인후염
"오늘의AI위키"의 AI를 통해 더욱 풍부하고 폭넓은 지식 경험을 누리세요.
1. 개요
인후염은 상기도 감염으로 발생하는 염증으로, 급성 및 만성으로 분류된다. 급성 인두염은 카타르성, 화농성 또는 궤양성으로, 만성 인두염은 카타르성, 비대성 또는 위축성으로 분류된다. 인두염은 바이러스, 세균, 비감염성 요인에 의해 발생하며, 증상만으로는 바이러스성과 세균성을 구별하기 어려워 인후 배양 검사 등 진단 방법을 활용한다. 치료는 증상 완화에 중점을 두며, 세균성 인두염의 경우 항생제를 사용한다.
더 읽어볼만한 페이지
- 인두 (해부학) - 비인두암
비인두암은 에프스타인-바 바이러스 감염, 유전적 요인, 환경적 요인 등으로 발생하는 비인두 상피의 악성 종양으로, 초기에는 증상이 미미하나 진행될수록 다양한 증상이 나타나며, 세계보건기구는 이를 세 가지 아형으로 분류하고 이비인후과적 검사, 영상 검사, 조직 검사 등을 통해 진단하며, 수술, 방사선 치료, 항암화학요법, 면역요법 등을 통해 치료하고, 특히 중국 남부 지역에서 발생률이 높습니다. - 인두 (해부학) - 아래인두수축근
아래인두수축근은 인두의 아래쪽을 구성하는 근육으로, 음식물을 식도로 보내는 삼킴 작용과 호흡, 말하기에 관여하며, 수면 중 인두를 열린 상태로 유지하는 데 기여한다. - 상기도 질환 - 감기
감기는 다양한 바이러스에 의해 발생하는 상기도 감염으로, 기침, 콧물, 재채기 등의 증상이 나타나며, 특별한 치료법은 없고 증상 완화를 위한 대증요법을 사용한다. - 상기도 질환 - 후두개염
후두개염은 후두덮개의 염증으로 발열, 인후통, 삼킴 곤란, 쉰 목소리, 천명 등을 유발하며, 과거 헤모필루스 인플루엔자 b형 감염이 주 원인이었으나 현재는 다른 세균 감염이 흔하고, 후두경 검사로 진단하며 기도 확보와 항생제 투여, 필요시 기관 삽관 또는 절개술을 시행한다. - 위장관 질환 - 혈변
혈변은 항문으로 혈액이 섞여 나오는 변으로, 다양한 원인(소화기 질환, 감염성 질환, 혈액 질환, 약물, 독성 물질 등)에 의해 발생할 수 있으며, 진단을 위해 병력 청취, 검진, 혈액/대변 검사, 내시경 검사 등이 활용된다. - 위장관 질환 - 위장출혈
위장출혈은 소화기관의 출혈로, 상부와 하부 위장관 출혈로 구분되며 소화성 궤양, 식도 정맥류, 치질, 대장암 등이 원인이 될 수 있고 토혈, 흑변, 혈변 등의 증상과 함께 내시경, 약물, 수술 등으로 치료한다.
인후염 | |
---|---|
개요 | |
질병 이름 | 인후염 |
영어 이름 | Pharyngitis |
다른 이름 | 급성 인두통 |
증상 및 징후 | |
주요 증상 | 인두통, 열 |
동반 증상 | 콧물, 기침, 두통, 쉰 목소리 |
합병증 | |
주요 합병증 | 부비동염, 급성 중이염 |
원인 및 위험 요인 | |
주된 원인 | 일반적으로 바이러스 감염 |
진단 | |
진단 방법 | 증상 기반, 신속 항원 검사, 인후 면봉 검사 |
감별 진단 | 후두덮개염, 갑상선염, 인두뒤 공간 농양 |
예방 및 관리 | |
치료 | 리도카인 |
지속 기간 | 원인에 따라 3~10일 |
빈도 및 역학 | |
발생률 | 3개월 동안 약 7.5%의 사람들이 경험 |
의학 분야 | |
관련 분야 | 감염병 |
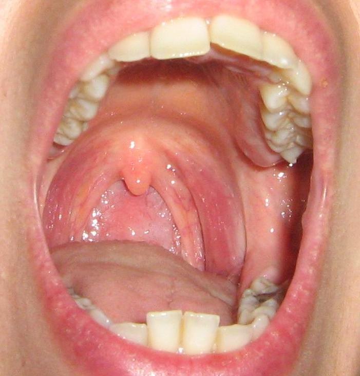
이미지 | |
![]() |
2. 분류
인후염은 상기도 감염으로 인해 발생하는 염증의 일종으로, 급성 또는 만성으로 분류할 수 있다.
- '''급성 인두염'''은 카타르성, 화농성, 또는 궤양성으로 분류될 수 있으며, 이는 원인체와 환자의 면역력에 따라 달라진다.
- '''만성 인두염'''은 카타르성, 비대성 또는 위축성일 수 있다.
편도선염은 인두염의 한 유형이다.[14] 편도와 목의 다른 부분 모두 염증이 있는 경우, '''인두편도염''' 또는 '''편도인두염'''이라고 부를 수 있다.[15] 비인두염(감기)도 인두염의 하위 분류이다.[16]
'''목사의 목 통증''' 또는 '''목사의 목'''은 과거 공공 연설과 같이 목소리를 과도하게 사용하는 것과 관련된 만성 인두염에 사용되던 용어이다. ''dysphonia clericorum'' 또는 만성 모낭염 목 통증이라고 불리기도 했다.[17]
2. 1. 급성 인두염
인두염은 상기도 감염으로 인해 발생하는 염증의 일종으로, 급성 또는 만성으로 분류될 수 있다. 급성 인두염은 카타르성, 화농성, 또는 궤양성으로 나뉠 수 있으며, 이는 원인체와 환자의 면역력에 따라 달라진다.
편도선염은 인두염의 한 유형이다.[14] 염증이 편도와 목의 다른 부분을 모두 포함하는 경우, '''인두편도염''' 또는 '''편도인두염'''이라고 부를 수 있다.[15] 비인두염 (감기)도 인두염의 또 다른 하위 분류이다.[16]
인후통의 원인은 다양하며, 감염성 질환, 종양(후두암, 인두암, 악성 림프종 등), SLE, 가와사키병, 천포창 등, 노래방 등 기계적 자극 등이 있다. 대부분은 감염성, 특히 바이러스성 질환이며, 대부분 양성으로 치명적이지 않지만 드물게 "치명적인 질환에 의한 인후통(killer sore throat)"도 존재한다.
급성 인두염은 감기와 달리 급격하게 증상이 나타나며, 고열, 목의 통증, 부종이 있고 기침이나 콧물은 적은 것이 특징이다. 원인으로는 바이러스성이 60%, 세균성이 40%를 차지한다. 세균성 인두염의 경우 대부분 화농성 연쇄상구균이 원인이므로 페니실린이 효과적이다(연쇄구균의 페니실린 감수성은 100%).
2. 1. 1. 바이러스성 인두염
바이러스성 인두염은 전체 인후염 감염 사례의 약 40–80%를 차지하며, 다양한 바이러스 감염의 특징으로 나타난다.[45][46]- 아데노바이러스 - 바이러스성 인두염 중 가장 흔한 원인이다.
- 오르토믹소바이러스과
- 전염성 단핵구증 - 엡스타인-바 바이러스에 의해 발생한다.
전염성 단핵구증 - 단순 헤르페스 바이러스
- 홍역
- 감기 - 라이노바이러스, 코로나바이러스, 호흡기 세포융합 바이러스(RS 바이러스), 파라인플루엔자 바이러스는 목, 귀, 폐의 감염을 일으켜 감기와 유사한 증상을 유발하고, 종종 통증을 동반한다.
- 인플루엔자 바이러스 감염증: RS 바이러스나 파라인플루엔자 바이러스 감염에 의한 인플루엔자 유사 질환과 증상이 비슷하다. 인플루엔자는 겨울에, 인플루엔자 유사 질환은 봄, 여름에 주로 발생한다. 인플루엔자 증상은 급성 고열, 오한, 관절통, 목 통증(인두 발적, 종창은 없음), 기침, 콧물 등이다. 보통 자연 치유되지만 고령자는 중증으로 이어져 사망할 수 있으므로 예방이 중요하다. 공기 감염(비말핵 감염)되므로 감염자는 5일간 취업 정지가 권장되며, 특히 고령자와의 접촉을 피해야 한다. 항생제 투여는 폐렴 예방 효과가 없다. 고열, 관절통, 근육통 등 전신 증상이 강하고 인두 발적 등 국소 증상이 약하면 인플루엔자를 의심하며, 신속 진단 키트로 진단한다. 신속 진단 키트는 발열 후 12시간 이내에는 위음성률이 높다. 발병 후 48시간 이내에는 항인플루엔자 약물(오셀타미비르, 자나미비르)이 효과적이다. 건강한 사람에게 오셀타미비르는 증상 회복을 하루 정도 앞당길 뿐, 감염 기간, 합병증, 사망률 감소 효과는 적어 고령자, 고위험 환자를 제외하고는 적극 투여할 필요성이 적다. 자나미비르는 흡입제이며, 고령자는 흡입이 어렵고 드물게 기관지 경련을 일으킬 수 있어 기관지 천식 환자는 주의해야 한다. A형 인플루엔자는 시메트렐(아만타딘)이 유효할 수 있지만, 20~80%는 내성이 있다는 보고가 있다. 인플루엔자에 걸렸을 때 해열제로 NSAIDs(비스테로이드성 소염 진통제)를 사용하면 인플루엔자 뇌증을 일으킬 수 있으므로, 아세트아미노펜이 권장된다.
2. 1. 2. 세균성 인두염
A군 베타 용혈성 연쇄상구균(GAS)에 의해 발생하는 사슬알균 인두염은 인두염의 가장 흔한 세균성 원인(15~30%)이다.[19][20] 발열, 인후통, 림프절 비대 등의 증상이 나타나며, 감염자와의 밀접 접촉으로 전파된다. 인후 배양 검사로 확진하며, 항생제는 류마티스열 등의 합병증 예방 및 회복 촉진에 쓰인다.[21]''푸소박테리움 네크로포럼''(Fusobacterium necrophorum)은 구강 인두 세균총의 정상 구성원이지만, 드물게 편도 주위 농양을 일으킨다. 치료하지 않을 경우 400건 중 1건 꼴로 르미에르 증후군이 발생한다.[22]
감기와 달리 급격한 증상 발현, 급성 고열, 인후통, 부종이 나타나고 기침, 콧물은 적은 것이 전형적이다. 원인으로는 60%가 바이러스성, 40%가 세균성이다. 세균성 인두염은 대부분 화농성 연쇄상구균이 원인이므로 페니실린이 효과적이다(연쇄구균의 페니실린 감수성은 100%).
세균성 인두염은 A군 β-용혈성 연쇄상구균 감염증이 합병증 대책으로 매우 중요하다. 합병증은 비화농성과 화농성으로 분류된다.
사구체 신염, IgA 신병증 외에는 항생제 투여로 예방 가능하다. 특히 류마티스열 예방이 중요한데, 류마티스열은 항생제 사용으로 격감했다. 류마티스열 증상은 존스 기준에 따라 진단한다.
A군 β-용혈성 연쇄상구균 인두염 진단법으로는 센토르 기준, 캐나다 룰, 인두 배양, A군 β-용혈성 연쇄상구균 신속 진단 키트 등이 있다.
화농성 인두염 치료에는 항생제가 사용되지만, 전염성 단핵구증과의 구별, 마크로라이드 내성균, 뉴퀴놀론에 의한 결핵 진단 곤란 등의 문제가 있다. 30세 이전에는 아목시실린 대신 바이실린(바이실린G 과립)을 사용하며, 클린다마이신, 아지스로마이신, 미노사이클린(20세 이후)도 사용 가능하다. 30세 이후에는 아목시실린 처방도 가능하다.
2. 2. 만성 인두염
만성 인두염은 카타르성, 비대성 또는 위축성일 수 있다.편도선염은 인두염의 한 유형이다.[14] 염증이 편도와 목의 다른 부분을 모두 포함하는 경우, 이를 '''인두편도염''' 또는 '''편도인두염'''이라고 부를 수 있다.[15]
'''목사의 목 통증''' 또는 '''목사의 목'''은 과거 공공 연설과 같이 목소리를 과도하게 사용하는 것과 관련된 만성 인두염에 사용되던 시대착오적인 용어이다. 때때로 ''dysphonia clericorum'' 또는 만성 모낭염 목 통증이라고 불리기도 했다.[17]
3. 원인
인후염은 대부분 감염된 사람과의 밀접한 접촉을 통해 획득한 감염성 미생물에 의해 발생한다. 인후통을 일으키는 질환은 여러 가지가 있는데, 크게 감염성, 종양(후두암, 인두암, 악성 림프종 등), SLE, 가와사키병, 천포창 등, 노래방 등 기계적 자극에 의한 것으로 나눌 수 있다.
3. 1. 감염성
인후통은 감염, 종양(후두암, 인두암, 악성 림프종 등), SLE, 가와사키병, 천포창 등, 노래방 등 기계적 자극 등 다양한 원인으로 발생한다. 대부분은 감염성, 특히 바이러스성 질환이며, 대개 양성으로 치명적이지 않지만 드물게 "치명적인 인후통(killer sore throat)"도 존재한다.[45][46]급성 관상동맥 증후군, 대동맥 박리와 같은 질환에서는 흉통 대신 방사통, 연관통으로 어깨, 목, 인두에 통증이 나타날 수 있다. 인두 통증은 감별 진단이 어려우므로, 발열이나 인두 주변 종창 등 감기 증상이 없고, 고령, 과거력, 활력징후 이상(저혈압, 서맥 등)이 있는 경우에는 심전도, 흉부 X선, H-FABP, 트로포닌 T, D-다이머 검사를 시행한다.
기도 폐쇄, 인두후벽 농양, 급성 후두개염, 레미에르 증후군, 편도 주위 농양, 구강저 봉와직염 등은 긴급을 요하는 질환이다. 기도 폐쇄는 청진으로 스트라이더(stridor)를 확인하고, 기도 확보와 함께 스테로이드를 투여한다. 인두 농양과 급성 후두개염은 기도 폐쇄를 유발할 수 있으며, 인두후벽 농양은 이비인후과 의사의 절개 배농이 필요하다. 급성 후두개염은 유연(타액을 삼키지 못하고 흘리는 증상)이 중요한 소견이며, 입원 치료와 이비인후과 협진이 필요하다.
세균성 인후염은 A군 β-용혈성 연쇄상구균 감염이 가장 흔하며, 합병증으로 연쇄구균 감염 후 사구체 신염, IgA 신병증, 급성 류마티스열, 인두 농양, 중이염, 부비동염, 괴사성 근막염 등이 발생할 수 있다. 류마티스열은 소아기에 발병하여 노년기에 승모판 협착증, 심방 세동, 뇌경색 등을 유발할 수 있으므로 예방이 중요하다.
A군 β-용혈성 연쇄상구균 인후염 진단에는 센토르 기준과 캐나다 룰이 사용된다.
기준 | 내용 |
---|---|
센토르 기준 | 편도선 백태, 압통 동반 전경부 림프절 종창, 발열, 기침 없음 중 3가지 이상 |
캐나다 룰 | 38도 이상 고열, 기침 없음, 전경부 림프절 종창, 편도 비대 또는 삼출물, 3~14세 연령 (45세 이상은 -1점) |
임균, 클라미디아 감염에 의한 인후염은 세프트리악손 1g 정맥 주사 및 아지스로마이신 250mg 4정 1회 투여로 치료하며, 반드시 파트너도 함께 치료해야 한다.
3. 1. 1. 바이러스
바이러스성 인후염은 모든 감염 사례의 약 40~80%를 차지하며, 다양한 유형의 바이러스 감염의 특징이 될 수 있다.[11][18][45][46]
- 아데노바이러스는 바이러스성 원인 중 가장 흔하다. 일반적으로 목의 림프절 비대 정도는 미미하며, 통증이 있지만 인후는 종종 붉게 보이지 않는다.
- 인플루엔자를 유발하는 Orthomyxoviridae는 고열, 두통 및 전신 통증이 빠르게 나타난다. 인후통이 동반될 수 있다. 인플루엔자 바이러스에 의한 감염증은 RS 바이러스나 파라인플루엔자 바이러스에 의해서도 거의 비슷한 증상이 나타나기 때문에 (인플루엔자 유사 질환이라고 한다) 백신을 맞았는데 인플루엔자에 걸렸다는 이야기가 나오기도 한다. 인플루엔자는 겨울에 많이 발생하며, 인플루엔자 유사 질환은 봄이나 여름에 많이 발생하는 특징이 있다.
- 감염성 단핵구증("선열")은 엡스타인-바 바이러스에 의해 발생한다. 이는 현저한 림프절 부종과 목의 현저한 발적 및 부종을 동반한 삼출성 편도염을 유발할 수 있다. 이것이 의심되는 경우 헤테로필 검사를 사용할 수 있다.
- 단순 포진 바이러스는 다수의 구강 궤양을 유발할 수 있다.
- 홍역
- 감기: 리노바이러스, 코로나바이러스, 호흡기 세포융합 바이러스, 파라인플루엔자 바이러스는 목, 귀 및 폐의 감염을 유발하여 일반적인 감기 증상과 종종 통증을 유발할 수 있다.
3. 1. 2. 세균
사람의 인후를 감염시킬 수 있는 세균에는 여러 종류가 있다. 가장 흔한 것은 A군 연쇄상구균( ''Streptococcus pyogenes'')이지만, ''Streptococcus pneumoniae'', ''Haemophilus influenzae'', ''Bordetella pertussis'', ''Bacillus anthracis'', ''Corynebacterium diphtheriae'', ''Neisseria gonorrhoeae'', ''Chlamydophila pneumoniae'', ''Mycoplasma pneumoniae'', ''Fusobacterium necrophorum'' 등도 인후염을 유발할 수 있다.[19]사슬알균 인두염은 A군 베타 용혈성 연쇄상구균(GAS)에 의해 발생하며,[20] 전체 인두염 사례 중 15~30%를 차지하는 가장 흔한 세균성 원인이다.[19] 발열, 인후통, 림프절 비대 등의 증상이 나타나며, 감염자와의 밀접 접촉으로 전파된다. 인후 배양 검사로 확진하고, 항생제를 사용하여 류마티스열 등의 합병증을 예방하고 회복 속도를 높일 수 있다.[21]
''푸소박테리움 네크로포럼''(Fusobacterium necrophorum)은 정상 구강 인두 세균총에 속하지만, 드물게 편도 주위 농양을 일으킬 수 있다. 치료받지 않은 환자 400명 중 1명꼴로 르미에르 증후군이 발생한다.[22]
디프테리아는 ''코리네박테리움 디프테리아''균에 의해 발생하는 상기도 감염으로, 생명을 위협할 수 있다. 제3세계와 일부 동유럽 지역에서 주로 발생하며, 초기 단계에 항생제를 투여하면 효과가 있지만 회복은 더딘 편이다.
인두 옆 공간 감염은 드물지만 치명적일 수 있으며, 편도 주위 농양(구인두 농양), 턱밑 공간 감염(루드비히 협심증), 후두개염 등이 있다.[23][24][25]
인두염은 감기와 달리 급격한 증상 발현이 특징적이다. 급성 고열, 인후통, 부종 등의 증상이 나타나며, 기침이나 콧물은 드물다. 원인의 60%는 바이러스성, 40%는 세균성이다. 세균성 인두염은 대부분 화농성 연쇄상구균이 원인이므로 페니실린이 효과적이다.
세균성 인두염 중 A군 β-용혈성 연쇄상구균 감염은 합병증 예방이 중요하다. 합병증은 비화농성과 화농성으로 나뉘며, 비화농성 합병증에는 연쇄구균 감염 후 사구체 신염, IgA 신병증, 급성 류마티스열이 있고, 화농성 합병증에는 인두 농양, 중이염, 부비동염, 괴사성 근막염 등이 있다. 류마티스열은 항생제 사용 증가로 크게 감소했다.
A군 β-용혈성 연쇄상구균 인두염 진단에는 센토르 기준과 캐나다 룰이 활용된다. 센토르 기준은 편도선 백태, 압통 동반 전경부 림프절 종창, 발열, 기침 없음 4가지 중 3가지 이상을 충족하면 진단한다. 캐나다 룰은 38도 이상 고열, 기침 없음, 전경부 림프절 종창, 편도 비대 또는 삼출물, 3~14세 연령을 기준으로 점수를 계산하여 진단한다.
화농성 인두염 치료에는 항생제가 사용된다. 전염성 단핵구증과의 감별, 마크로라이드 내성균, 뉴퀴놀론 사용 시 결핵 진단 어려움 등의 문제가 있다. 30세 미만은 아목시실린 대신 바이실린을 사용하고, 클린다마이신, 아지스로마이신, 미노사이클린(20세 이후)도 사용 가능하다. 30세 이후에는 아목시실린 처방도 가능하다.
임균, 클라미디아 감염 시에는 세프트리악손 1g 정맥 주사 및 아지스로마이신 250mg 4정 1회 투여로 치료한다.
3. 1. 3. 진균
인후염의 일부 사례는 칸디다 알비칸스와 같은 동물 곰팡이 감염으로 인해 발생하며, 이는 아구창을 유발한다.[26]3. 2. 비감염성
인두염은 찬 공기나 산 역류와 같은 기계적, 화학적, 열적 자극에 의해서도 발생할 수 있다. 프라미펙솔과 항정신병 약물 같은 일부 약물도 인두염을 유발할 수 있다.4. 증상
인후통은 다양한 질환으로 인해 발생할 수 있으며, 대부분 감염성, 특히 바이러스성 질환이다.[45][46] 드물게 "치명적인 질환에 의한 인후통(killer sore throat)"도 존재한다.
급성 관상동맥 증후군, 대동맥 박리와 같은 심각한 질환의 경우, 흉통 대신 어깨, 목, 인두에 방사통, 연관통이 나타날 수 있다. 이러한 경우 발열이나 인두 주변의 종창과 같은 감기 증상이 없는 경우가 많으므로, 연령, 과거력, 활력징후 등을 통해 질환을 의심하고 심전도 검사, 흉부 X선 등의 검사를 시행해야 한다.
기도, 인두, 후두 질환 중에는 기도 폐쇄, 인두후벽 농양, 급성 후두개염 등 긴급을 요하는 병태가 있다. 기도 폐쇄는 청진으로 스트라이더를 확인할 수 있으며, 원인 확인과 함께 기도 확보를 위한 치료가 필요하다.
바이러스성 인후염은 전체 감염 사례의 약 40–80%를 차지하며,[45][46] 다음과 같은 바이러스에 의해 발생할 수 있다.
- 아데노바이러스 (가장 흔함)
- 오르토믹소바이러스과
- 엡스타인-바 바이러스 (전염성 단핵구증 유발)
인플루엔자 바이러스 감염은 급성 고열, 오한, 관절통, 목 통증(인두 발적, 종창은 없음), 기침, 콧물 등의 증상을 유발한다. RS 바이러스나 파라인플루엔자 바이러스에 의한 감염도 유사한 증상을 나타낼 수 있다.
대부분의 인후통은 대증 요법으로 충분하며, 감염성 인후염의 경우에도 치료법이 없는 바이러스성 질환이 원인인 경우가 많다.
5. 진단
증상만으로는 인후통의 바이러스성 원인과 세균성 원인을 구별하기 어렵다.[30] 따라서 세균성 원인을 배제하기 위해 인후 면봉 검사를 자주 시행한다.[29]
수정된 센토 기준은 인두염 환자의 관리를 결정하는 데 사용될 수 있는데, 5가지 임상 기준에 따라 연쇄상구균 감염의 확률을 나타낸다.[21]
점수 | 연쇄상구균 감염 확률 | 관리 |
---|---|---|
1 이하 | 10% 미만 | 항생제 불필요, 배양 검사 불필요 |
2 | 11–17% | 배양 검사 또는 신속 항원 검사 결과에 따른 항생제 투여 |
3 | 28–35% | |
4 또는 5 | 52% | 경험적 항생제 투여 |
- 기침 없음
- 부어 있고 압통이 있는 경부 림프절
- 체온이 38°C 이상
- 편도 삼출액 또는 부기
- 15세 미만(44세 이상인 경우 1점 감점)
미국 감염병 학회는 경험적 치료를 권장하지 않으며, 양성 검사 후에만 항생제 투여를 적절하다고 간주한다.[30] 3세 미만의 어린이에게는 A군 연쇄상구균 감염과 류마티스열이 드물기 때문에 검사가 필요하지 않다. 단, 질병에 걸린 형제가 있는 경우는 예외이다.[30]
5. 1. 감별 진단
증상만으로는 인후통의 바이러스성 원인과 세균성 원인을 구별하기 어렵다.[30] 따라서 세균성 원인을 배제하기 위해 인후 면봉 검사를 자주 시행한다.[29]
인후통을 일으키는 질환은 여러 가지가 알려져 있다. 크게 나누면 감염성 질환, 종양(후두암, 인두암, 악성 림프종 등), SLE, 가와사키병, 천포창 등, 노래방 등 기계적 자극에 의한 것이 있다. 대부분은 감염성, 특히 바이러스성 질환이며, 치명적이지 않은 양성 질환이지만 드물게 "치명적인 질환에 의한 인후통(killer sore throat)"도 존재한다.
특히 급성 관상동맥 증후군, 대동맥 박리와 같이 연관통으로 나타나는 인후통이 유명하다. 이 경우 흉통이 아닌 방사통, 연관통으로서 어깨, 목, 인두에 통증이 나타난다. 어깨는 운동통의 유무로 정형외과적 질환과 구별이 가능하지만, 인두는 감별을 위한 소견이 매우 적다. 발열이나 인두 주변의 종창과 같은 감기 증상이 없고, 연령, 과거력, 활력징후(특히 저혈압이나 서맥)를 통해 의심되는 경우에는 심전도 검사, 흉부 X선, H-FABP 및 트로포닌 T, D-다이머 측정을 시행한다. D-다이머는 대동맥 박리에서 민감도가 매우 높으므로 감별에 중요한 검사이다.
기도 폐쇄, 인두후벽 농양, 급성 후두개염, 레미에르 증후군, 편도 주위 농양, 구강저 봉와직염 등은 기도, 인두, 후두 질환 중 긴급을 요하는 병태이다. 기도 폐쇄는 청진으로 스트라이더를 청취하며, 원인 검색(기도 이물 등)과 동시에 기도 확보에 힘쓰고, 스테로이드를 투여한다. 메틸프레드니솔론 40mg을 생리식염수 50ml에 용해하여 6시간마다 투여하며, 히스타민 H2 수용체 길항제를 병용하여 소화성 궤양 발생에 주의한다. 스테로이드 효과가 불충분하면 기관 내 삽관이 필요하므로 입원한다. 인두 농양, 급성 후두개염은 기도 폐쇄를 일으킬 수 있다. 인두후벽 농양은 이비인후과 의사의 절개 배농이 필요하며, 확진을 위해 경부 조영 CT을 실시한다. 급성 후두개염은 스트라이더와 함께 통증으로 인해 침을 삼킬 수 없어 흘리는 유연(流涎)이 중요한 소견이다. 이러한 병태가 예상되면 입원 치료가 필요하며, 이비인후과 협진이 바람직하다.
인두염은 감기와 달리 급격하게 증상이 나타나며, 급성 고열, 목의 통증, 부종이 나타나고 기침이나 콧물은 적다. 원인의 60%는 바이러스성, 40%는 세균성이다. 전염성 단핵구증, 디프테리아, HIV, 임질, 아급성 갑상선염, 인두결막염 등이 중요한 감별 질환이다. 세균성 인두염은 화농성 연쇄상구균이 원인인 경우가 대부분이므로 페니실린이 효과적이다(연쇄구균의 페니실린 감수성은 100%).
세균성 인두염은 A군 β-용혈성 연쇄상구균 감염증이 합병증 대책으로 매우 중요하다. 합병증은 비화농성 합병증( 연쇄구균 감염 후 사구체 신염, IgA 신병증, 급성 류마티스열)과 화농성 합병증(인두 농양, 중이염, 부비동염, 괴사성 근막염)으로 분류된다. 사구체 신염, IgA 신병증 외에는 항생제 투여로 예방이 가능하다. 인두염 다음 날 육안적 혈뇨가 나타나면 IgA 신병증, 2주 후라면 급성 사구체 신염이 소아과에서의 전형적인 병력이다. 류마티스열은 항생제 사용으로 격감했으며, 심염, 다발성 관절염, 무도병, 유연성 홍반, 피하 결절(이상 대기준), 관절통, 발열, 혈침이나 CRP 상승, PR 연장(이상 소기준) 등의 증상을 보인다. 소아기 류마티스열 발병은 노년기 심장 판막증(특히 승모판 협착증)과 심방 세동, 혈전증(특히 뇌경색)을 일으키므로 예방이 중요하다. 존스 기준이 널리 사용되며, 대기준 2개 또는 대기준 1개와 소기준 2개를 충족하고, 인두 배양이나 A군 β-용혈성 연쇄상구균 신속 진단 키트(Rapid Antigen test, 클리어뷰 스트렙 A) 양성, ASLO 양성으로 A군 β-용혈성 연쇄상구균 감염을 증명하여 진단한다. 고령자 판막증은 발병 당시 존스 기준이 없어 주의 깊은 문진이 필요하다. A군 β-용혈성 연쇄상구균 외 세균성 인두염은 항생제 투여 시 자각 증상 완화 외 장점이 거의 없다.
A군 β-용혈성 연쇄상구균에 의한 인두염 진단은 매우 중요하며, 캐나다 룰은 열이 38°C 이상, 기침 없음, 전경부 림프절 종창, 편도 비대 또는 삼출물, 연령 3~14세 항목에 대해 예라고 답한 수를 세고, 45세 이상은 -1로 계산한다. 합계 점수가 1점 이하면 세균성 인두염이 아니고, 2점 이상이면 인두 배양 또는 연쇄구균 신속 검사 후 페니실린을 투여하며, 4점 이상이면 경험적으로 페니실린을 투여한다.
화농성 인두염 치료는 항생제 투여이며, 전염성 단핵구증과의 구별 문제, 마크로라이드 내성균, 뉴퀴놀론에 의한 결핵 진단 곤란 등이 고려 사항이다. 전염성 단핵구증은 페니실린, 특히 아목시실린 투여 시 발진이 나타나며, 30세 이전에 많다. 흉쇄유돌근 앞 전경부 림프절 압통은 세균성 인두염, 뒤 후경부 림프절 압통은 전염성 단핵구증일 확률이 높다. 30세 이전에는 아목시실린과 달리 발진 위험이 낮은 바이실린(바이실린G 과립)이, 그 외에는 클린다마이신, 아지스로마이신, 미노사이클린(20세 이후)이 사용된다. 30세 이후에는 전염성 단핵구증 위험이 낮아 아목시실린 (상품명 파세토신 세립, 사와실린)도 처방 가능하다. 뉴퀴놀론은 사용하지 않는 것이 안전하다.
인플루엔자 바이러스 감염증은 RS 바이러스나 파라인플루엔자 바이러스에 의한 인플루엔자 유사 질환과 유사하여 백신 접종 후에도 인플루엔자에 걸렸다는 오해가 생기기도 한다. 인플루엔자는 겨울, 인플루엔자 유사 질환은 봄, 여름에 많이 발생한다. 인플루엔자는 급성 고열, 오한, 관절통, 목 통증(인두 발적, 종창 없음), 기침, 콧물 등이 나타나며, 자연 치유되지만 고령자는 중증화되어 사망할 수 있어 예방이 중요하다. 공기 감염(비말핵 감염)되므로 감염자는 5일간 취업 정지하고, 고령자 접촉을 피한다. 항생제 투여는 폐렴 예방 효과가 없다. 진단은 고열, 관절통, 근육통 등 전신 증상이 강하고 인두 발적 등 국소 증상이 약한 것으로 의심하며, 신속 진단 키트로 확진한다. 발증 후 12시간 이내에는 위음성률이 높다. 발증 후 48시간 이내 오셀타미비르, 자나미비르 등 항인플루엔자 약물이 효과적이다. 건강한 사람에게 오셀타미비르는 증상 회복을 하루 정도 앞당길 뿐, 감염 기간, 합병증, 사망률 감소 효과는 적어 고령자, 고위험 환자 외 투여 의미는 적다. 자나미비르는 흡입제이며, 고령자 흡입 곤란, 기관지 경련(기관지 천식 환자 주의) 가능성이 있다. A형 인플루엔자는 시메트렐(아만타딘)이 유효할 수 있지만, 20~80% 내성화 보고가 있다. 인플루엔자에 걸렸을 때 해열제로 NSAIDs(비스테로이드성 소염 진통제) 사용 시 인플루엔자 뇌증 위험이 있어 아세트아미노펜이 권장된다.
5. 1. 1. 센토 기준
수정된 센토 기준은 인두염 환자의 관리를 결정하는 데 사용될 수 있다. 5가지 임상 기준에 따라 연쇄상구균 감염의 확률을 나타낸다.[21]각 기준에 대해 1점을 부여한다:[21]
- 기침 없음
- 부어 있고 압통이 있는 경부 림프절
- 체온이 38°C 이상
- 편도 삼출액 또는 부기
- 15세 미만(44세 이상인 경우 1점 감점)
미국 감염병 학회는 경험적 치료를 권장하지 않으며, 양성 검사 후에만 항생제 투여를 적절하다고 간주한다.[30] 3세 미만의 어린이에게는 검사가 필요하지 않다. A군 연쇄상구균 감염과 류마티스열이 드물기 때문이다. 단, 질병에 걸린 형제가 있는 경우는 예외이다.[30]
점수 | 연쇄상구균 감염 확률 | 관리 |
---|---|---|
1 이하 | 10% 미만 | 항생제 불필요, 배양 검사 불필요 |
2 | 11–17% | 배양 검사 또는 신속 항원 검사 결과에 따른 항생제 투여 |
3 | 28–35% | |
4 또는 5 | 52% | 경험적 항생제 투여 |
6. 치료
대부분의 인후염 치료는 증상 완화에 중점을 둔다. 세균, 곰팡이, 단순 포진 감염에는 특정 치료법이 효과적이다. 인후통을 일으키는 질환은 다양하며, 대부분 감염성, 특히 바이러스성 질환이다. 대부분 양성 질환으로 치명적이지 않지만, 드물게 "치명적인 질환에 의한 인후통(killer sore throat)"도 존재한다.
급성 관상동맥 증후군, 대동맥 박리와 같이 흉통이 아닌 방사통, 연관통으로 어깨, 목, 인두에 통증이 나타나는 경우가 있다. 인두 통증의 경우 감별 진단이 어려울 수 있으므로, 발열, 인두 주변 종창 등 감기 증상이 없고, 고령, 과거력, 활력징후 이상 등이 있는 경우에는 심전도 검사, 흉부 X선 촬영, H-FABP, 트로포닌 T, D-다이머 측정 등을 시행한다.
기도 폐쇄, 인두후벽 농양, 급성 후두개염, 레미에르 증후군, 편도 주위 농양, 구강저 봉와직염 등은 긴급을 요하는 질환이다. 기도 폐쇄는 청진으로 스트라이더를 확인하고, 기도 확보와 함께 스테로이드를 투여한다. 메틸프레드니솔론과 히스타민 H2 수용체 길항제를 병용하기도 한다. 인두 농양, 급성 후두개염은 기도 폐쇄를 유발할 수 있으며, 이비인후과 진료가 필요할 수 있다.
감기와 달리 급격한 증상이 나타나는 것이 일반적이다. 인후염의 증상은 급성 고열, 목 통증, 부종이며, 기침이나 콧물은 적다. 원인은 60%가 바이러스성, 40%가 세균성이다. 전염성 단핵구증, 디프테리아, HIV, 임질, 아급성 갑상선염, 인두결막염 등과 감별해야 한다. 세균성 인후염은 대부분 화농성 연쇄상구균이 원인이므로 페니실린이 효과적이다.
A군 β-용혈성 연쇄상구균 감염은 연쇄구균 감염 후 사구체 신염, IgA 신병증, 급성 류마티스열 등의 합병증을 유발할 수 있다. 항생제 투여로 류마티스열을 예방하는 것이 중요하다. 류마티스열은 심염, 다발성 관절염, 무도병 등의 증상을 보이며, 존스 기준에 따라 진단한다. 센토르 기준, 캐나다 룰 등을 통해 A군 β-용혈성 연쇄상구균 인두염을 진단할 수 있다. 최근에는 신속 진단 키트를 많이 사용한다.
인플루엔자 바이러스 감염은 급성 고열, 오한, 관절통, 목 통증 등의 증상을 보인다. 오셀타미비르, 자나미비르 등의 항바이러스제가 효과적일 수 있다. 인플루엔자에 걸렸을 때 해열제로 NSAIDs를 사용하면 인플루엔자 뇌증을 일으킬 수 있으므로 아세트아미노펜이 권장된다.
임균, 클라미디아 감염은 세프트리악손, 아지스로마이신 등으로 치료하며, 파트너도 함께 치료해야 한다.
6. 1. 대증 치료
진통제의 일종인 NSAIDs나 아세트아미노펜과 같은 약물은 인후통 완화에 도움을 줄 수 있다. 아스피린은 성인이 사용할 수 있지만, 어린이의 경우 라이 증후군의 위험이 있어 권장되지 않는다.[31]스테로이드 (덱사메타손 등)는 심한 인두염에 효과가 있을 수 있지만,[32][7] 일반적으로 사용을 뒷받침할 근거는 부족하다.[6] 점성 리도카인은 점막을 마비시켜 통증을 완화한다.[33]
항생제는 세균 감염이 원인일 때 유용하며,[34][35] 바이러스 감염에는 효과가 없다. 미국에서는 세균 감염이 확인되기 전에도 25%의 사람들에게 항생제가 사용된다.[36]
경구용 진통 용액에는 페놀이 주로 사용되지만, 벤조카인, 세틸피리디늄 클로라이드, 멘톨 등이 사용되기도 한다. 클로라셉틱과 세파콜이 이러한 진통제의 예시이다.
소금물 가글은 흔히 권장되지만, 효과에 대한 증거는 없다.[10] 대체 의학이 인후통 치료에 사용되기도 하지만, 역시 증거는 부족하다.[37]
대부분의 인후통은 대증 요법으로 충분하다. 노래방 등에서 목을 혹사한 경우에는 수분 섭취와 안정을 통해 호전될 수 있다. 감염성 인후염도 라이노바이러스나 코로나바이러스처럼 치료법이 없는 바이러스성 질환이 대부분이다. 인후통의 대증 요법으로는 SP 트로키, 종합 감기약(아세트아미노펜, 항히스타민제), PL 과립, 지혈제 트라네삼산, 프리비나 등을 처방한다. 세균성 인후염, 인플루엔자, STD(임균, 클라미디아)에 의한 인후염은 치료 효과가 있다.
6. 2. 원인 치료
항생제는 세균 감염이 인후통의 원인일 때 효과적이다.[34][35] 바이러스 감염에는 항생제가 효과가 없다. 미국에서는 세균 감염이 확인되기 전에 25%의 사람들에게 항생제가 사용된다.[36]진통제인 NSAIDs나 아세트아미노펜 등은 인후통의 통증을 줄이는 데 도움이 된다. 아스피린은 성인에게 사용할 수 있지만, 라이 증후군의 위험 때문에 어린이에게는 사용을 권장하지 않는다.[31]
스테로이드 (덱사메타손 등)는 심한 인두염에 효과가 있을 수 있다.[32][7] 그러나 일반적으로 사용하는 것은 근거가 부족하다.[6]
점성 리도카인은 점막을 마비시켜 통증을 완화한다.[33]
경구용 진통 용액의 활성 성분은 보통 페놀이지만, 벤조카인, 세틸피리디늄 클로라이드, 멘톨 등이 사용되기도 한다. 클로라셉틱, 세파콜 등이 이러한 진통제의 예시이다.
화농성 연쇄상구균이 원인인 세균성 인두염은 페니실린이 효과적이다(연쇄구균의 페니실린 감수성은 100%).
항생제 투여에는 몇 가지 고려할 사항이 있다.
- 전염성 단핵구증과의 구별 문제
- 마크로라이드 내성균의 존재
- 뉴퀴놀론에 의한 결핵 진단 곤란
30세 이전에는 아목시실린 대신 바이실린을 사용하는 것이 발진 위험이 낮다. 클린다마이신, 아지스로마이신, 미노사이클린(20세 이후)도 사용 가능하다. 30세 이후에는 아목시실린 처방도 가능하다. 뉴퀴놀론은 사용하지 않는 것이 안전하다.
임균, 클라미디아 치료에는 세프트리악손 1g 정맥 주사 투여 및 아지스로마이신 250mg 4정 1회 투여를 한다. 파트너도 반드시 치료해야 한다.
대부분의 인후통은 대증 요법으로 충분하다. 노래방 등으로 목을 상한 경우에는 수분 섭취 등으로 건조를 막고 안정을 취하면 좋아진다. 감염성 인후염도 라이노바이러스나 코로나바이러스처럼 치료법이 없는 바이러스성 질환이 대부분이다. 인후통의 대증 요법으로는 SP 트로키, 종합 감기약(아세트아미노펜, 항히스타민제), 지혈제 트라네삼산, 프리비나 등을 조합하여 처방한다.
7. 합병증
인후염의 합병증으로는 기도 폐쇄, 인두후벽 농양, 급성 후두개염, 레미에르 증후군, 편도 주위 농양, 구강저 봉와직염 등이 있다. 기도 폐쇄는 청진으로 스트라이더(stridor, 그렁거림)를 확인하고, 기도 확보와 함께 스테로이드를 투여한다. 메틸프레드니솔론을 생리식염수에 용해하여 투여하며, 히스타민 H2 수용체 길항제를 병용하여 소화성 궤양 발생에 주의한다. 스테로이드 효과가 불충분하면 기관 내 삽관이 필요할 수 있다.[20]
인두 농양과 급성 후두개염은 기도 폐쇄를 유발할 수 있으므로 주의해야 한다. 인두후벽 농양은 이비인후과 의사의 절개 배농이 필요하며, 확진을 위해 경부 조영 CT를 시행한다. 급성 후두개염은 스트라이더와 함께 유연(타액, 침흘림)이 중요한 소견이다. 이러한 경우 이비인후과 협진과 함께 입원 치료가 필요하다.[20]
인후염은 감기와 달리 급격한 고열, 목 통증, 부종이 나타나며, 기침이나 콧물은 적은 편이다. 원인은 바이러스성(60%)과 세균성(40%)으로 나뉜다. 전염성 단핵구증, 디프테리아, HIV, 임질, 아급성 갑상선염, 인두결막염 등과 감별해야 한다. 세균성 인두염은 대부분 화농성 연쇄상구균이 원인이며, 페니실린이 효과적이다.[20]
A군 β-용혈성 연쇄상구균에 의한 인두염 진단을 위해 센토르 기준 및 캐나다 룰이 사용된다. 센토르 기준은 편도선의 백태, 압통을 동반하는 전경부 림프절 종창(부어오름), 발열, 기침 없음의 4가지 항목 중 3가지 이상을 충족하면 진단할 수 있다. 최근에는 A군 β-용혈성 연쇄상구균 신속 진단 키트를 많이 사용한다. 캐나다 룰은 38도 이상의 열, 기침 없음, 전경부 림프절 종창, 편도 비대 또는 삼출물, 3~14세 연령 등을 고려하여 점수를 매겨 진단한다.[20]
화농성 인두염 치료는 항생제 투여가 기본이다. 전염성 단핵구증과의 감별, 마크로라이드 내성균, 뉴퀴놀론에 의한 결핵 진단 곤란 등을 고려해야 한다. 전염성 단핵구증은 페니실린, 특히 아목시실린 투여 시 발진이 나타날 수 있다. 30세 이전에는 바이실린(바이실린G 과립)이라는 페니실린 제제가 주로 사용되며, 클린다마이신, 아지스로마이신, 미노사이클린 (20세 이후)도 사용될 수 있다. 30세 이후에는 아목시실린도 처방 가능하다. 뉴퀴놀론은 사용하지 않는 것이 안전하다.[20]
7. 1. 세균성 인두염의 합병증
A군 β-용혈성 연쇄상구균에 의한 세균성 인두염은 다양한 합병증을 유발할 수 있어 주의가 필요하다. 합병증은 크게 비화농성 합병증과 화농성 합병증으로 나뉜다.비화농성 합병증
- 연쇄구균 감염 후 사구체 신염과 IgA 신병증: 인두염 발생 후 각각 2주 후, 다음날 육안적 혈뇨가 나타나는 특징이 있다.
- 급성 류마티스열: 항생제 사용으로 크게 감소하였으나, 심염, 다발성 관절염, 무도병 등 다양한 증상을 일으킬 수 있다. 특히 소아기에 발병하면 노년기에 승모판 협착증과 같은 심장 판막증, 심방 세동, 뇌경색 등의 혈전증을 유발할 수 있어 예방이 매우 중요하다. 존스 기준에 따라 진단하며, A군 β-용혈성 연쇄상구균 감염 증명(인두 배양, 신속 진단 키트, ASLO 양성)이 필요하다.
화농성 합병증
- 인두 농양
- 중이염
- 부비동염
- 괴사성 근막염
사구체 신염과 IgA 신병증을 제외한 비화농성 합병증과 화농성 합병증은 항생제 투여로 예방이 가능하다.[20]
8. 역학
급성 인두염은 인후통의 가장 흔한 원인이며, 기침과 함께 미국에서 연간 190만 명 이상에게 진단된다.[11]
참조
[1]
서적
Oral and maxillofacial pathology
https://www.clinical[...]
Elsevier
2020-03-17
[2]
서적
Oxford textbook of medicine infection
https://books.google[...]
Oxford University Press
2012
[3]
웹사이트
Pharyngitis
https://www.nlm.nih.[...]
2016-08-04
[4]
웹사이트
Acute pharyngitis - Symptoms, diagnosis and treatment {{!}} BMJ Best Practice
https://bestpractice[...]
[5]
논문
Evidence-Based Evaluation And Management Of Patients With Pharyngitis In The Emergency Department.
2015-09
[6]
논문
No evidence for the effectiveness of systemic corticosteroids in acute pharyngitis, community-acquired pneumonia and acute otitis media.
2013-02
[7]
논문
Corticosteroids as standalone or add-on treatment for sore throat
2020-05-01
[8]
서적
Oxford Textbook of Primary Medical Care
https://books.google[...]
Oxford University Press
2016-08-04
[9]
서적
Community Pharmacy ANZ: Symptoms, Diagnosis and Treatment
https://books.google[...]
Elsevier Health Sciences
2015
[10]
논문
Pharyngitis.
2014-03
[11]
서적
Rosen's emergency medicine: concepts and clinical practice
Mosby/Elsevier
[12]
서적
Respiratory Care Anatomy and Physiology, Foundations for Clinical Practice,3: Respiratory Care Anatomy and Physiology
https://books.google[...]
Elsevier Health Sciences
2013
[13]
서적
Nursing Assistant: A Nursing Process Approach – Basics
https://books.google[...]
Cengage Learning
2009
[14]
웹사이트
Tonsillitis
https://www.nlm.nih.[...]
2016-08-04
[15]
논문
Airway Infectious Disease Emergencies
[16]
웹사이트
www.nlm.nih.gov
https://www.nlm.nih.[...]
[17]
논문
Clergyman's Sore Throat
https://muse.jhu.edu[...]
2021
[18]
웹사이트
Pharyngitis
http://emedicine.med[...]
2010-04-28
[19]
논문
Acute pharyngitis
2001-01
[20]
논문
Re-evaluation of antibiotic treatment of streptococcal pharyngitis
2010-02
[21]
논문
Diagnosis and treatment of streptococcal pharyngitis
http://www.aafp.org/[...]
2009-03
[22]
논문
Expand the pharyngitis paradigm for adolescents and young adults
2009-12-01
[23]
웹사이트
UpToDate Inc.
http://www.uptodate.[...]
[24]
논문
Severe soft tissue infections of the head and neck: a primer for critical care physicians
2009-09
[25]
논문
Otolaryngologic critical care
2003-01
[26]
웹사이트
Sore Throat (Pharyngitis)
https://www.health.h[...]
Harvard Health Publishing
2019-12-03
[27]
웹사이트
Mirapex product insert
http://bidocs.boehri[...]
Boehringer Ingelheim
2010-06-30
[28]
웹사이트
Mosby's Medical Dictionary, 8th edition
http://medical-dicti[...]
Elsevier
2010-06-30
[29]
논문
Managing sore throat: a literature review. I. Making the diagnosis
[30]
논문
Clinical Practice Guideline for the Diagnosis and Management of Group A Streptococcal Pharyngitis: 2012 Update by the Infectious Diseases Society of America.
2012-09-09
[31]
논문
Re-evaluation of antibiotic treatment of streptococcal pharyngitis
2010-02
[32]
논문
Corticosteroids for pain relief in sore throat: systematic review and meta-analysis
[33]
웹사이트
LIDOCAINE VISCOUS (Xylocaine Viscous) side effects, medical uses, and drug interactions.
http://www.medicinen[...]
[34]
논문
Antibiotics for sore throat.
2014-07-01
[35]
논문
Antibiotics for treatment of sore throat in children and adults
2021-12-09
[36]
논문
Acute pharyngitis: low adherence to guidelines highlights need for greater flexibility in managing paediatric cases.
2013-11
[37]
웹사이트
Sore throat: Self-care
http://www.mayoclini[...]
Mayo Clinic
2007-09-17
[38]
서적
Community Pharmacy ANZ: Symptoms, Diagnosis and Treatment
https://books.google[...]
Elsevier Health Sciences
2015
[39]
서적
Oral and maxillofacial pathology
https://www.clinical[...]
Elsevier
[40]
웹사이트
Pharyngitis
https://www.nlm.nih.[...]
2016-08-04
[41]
논문
Evidence-Based Evaluation And Management Of Patients With Pharyngitis In The Emergency Department.
2015-09
[42]
서적
Oxford Textbook of Primary Medical Care
https://books.google[...]
Oxford University Press
2016-08-04
[43]
서적
Community Pharmacy ANZ: Symptoms, Diagnosis and Treatment
https://books.google[...]
Elsevier Health Sciences
2015
[44]
논문
Pharyngitis.
2014-03
[45]
서적
Rosen's emergency medicine: concepts and clinical practice
Mosby/Elsevier
[46]
웹사이트
Pharyngitis
http://emedicine.med[...]
2010-04-28
[47]
논문
Evidence-Based Evaluation And Management Of Patients With Pharyngitis In The Emergency Department.
2015-09
[48]
서적
Community Pharmacy ANZ: Symptoms, Diagnosis and Treatment
https://books.google[...]
Elsevier Health Sciences
2015
[49]
웹인용
Pharyngitis
https://www.nlm.nih.[...]
2016-08-04
[50]
논문
Pharyngitis.
2014-03
[51]
논문
No evidence for the effectiveness of systemic corticosteroids in acute pharyngitis, community-acquired pneumonia and acute otitis media.
2013-02
[52]
논문
Corticosteroids as standalone or add-on treatment for sore throat.
2012-10-17
본 사이트는 AI가 위키백과와 뉴스 기사,정부 간행물,학술 논문등을 바탕으로 정보를 가공하여 제공하는 백과사전형 서비스입니다.
모든 문서는 AI에 의해 자동 생성되며, CC BY-SA 4.0 라이선스에 따라 이용할 수 있습니다.
하지만, 위키백과나 뉴스 기사 자체에 오류, 부정확한 정보, 또는 가짜 뉴스가 포함될 수 있으며, AI는 이러한 내용을 완벽하게 걸러내지 못할 수 있습니다.
따라서 제공되는 정보에 일부 오류나 편향이 있을 수 있으므로, 중요한 정보는 반드시 다른 출처를 통해 교차 검증하시기 바랍니다.
문의하기 : help@durumis.com