폐농양
"오늘의AI위키"의 AI를 통해 더욱 풍부하고 폭넓은 지식 경험을 누리세요.
1. 개요
폐농양은 폐 실질 내에 고름이 고이는 질환이다. 기침, 발열, 객담, 흉통, 호흡곤란 등의 증상이 나타나며, 심한 경우 합병증으로 기관지 확장증, 농흉, 균혈증 등이 발생할 수 있다. 폐농양은 인두나 위 내용물의 흡인, 패혈성 색전, 괴사성 폐렴 등이 원인이 되며, 혐기성 세균, 약호기성 미생물, 호기성 세균, 곰팡이, 기생충 등 다양한 미생물에 의해 발생할 수 있다. 진단은 흉부 엑스레이, CT 스캔, 객담 검사 등을 통해 이루어지며, 치료는 항생제 투여, 체위 배액, 흉부 물리 요법 등을 시행한다. 대부분의 경우 항생제에 반응하며 예후는 비교적 양호하다.
더 읽어볼만한 페이지
폐농양 | |
---|---|
일반 정보 | |
질병 분류 | 감염병, 호흡기 질환 |
관련 분야 | 감염내과, 호흡기내과 |
동의어 | 폐농양 (pye-nong-yang) |
증상 및 징후 | |
주 증상 | 발열 기침 가래 흉통 |
기타 증상 | 식욕 부진 체중 감소 야간 발한 피로감 |
합병증 | |
원인 | |
주요 원인 | 세균 감염 (특히 혐기성 세균) 흡인성 폐렴 |
위험 요인 | 알코올 의존증 마약 남용 뇌졸중 위식도 역류 질환 면역 저하 상태 |
진단 | |
진단 방법 | 흉부 X선 검사 흉부 CT 검사 객담 검사 혈액 검사 |
감별 진단 | |
예방 | |
예방 방법 | 구강 위생 관리 흡인성 폐렴 예방 기저 질환 관리 |
치료 | |
치료 방법 | 항생제 치료 배농 (경피적 배액, 수술적 배액) 기관지 내시경 |
예후 | |
예후 | 적절한 치료 시 비교적 양호 |
역학 | |
발생 빈도 | 비교적 드물다. |
2. 증상
폐농양의 증상은 서서히 나타나는 경우가 많지만, 괴사성 포도상구균 또는 그람 음성균 폐렴을 동반하는 경우에는 급성으로 나타날 수 있다. 기침, 오한을 동반한 발열, 야간 발한이 종종 나타난다. 기침은 좋지 않은 냄새가 나는 고름성 가래 (약 70%)를 동반하거나, 덜 빈번하게는 3분의 1의 경우에서 객혈을 동반할 수 있다.[14][3] 영향을 받은 환자는 흉통, 호흡곤란, 무기력증 및 기타 만성 질환의 특징을 호소할 수 있다.
폐농양의 합병증은 현대에는 드물지만, 감염이 다른 폐 구획으로 확산될 경우 기관지 확장증, 농흉, 균혈증, 전이 감염(예: 뇌농양)이 발생할 수 있다.[2] 제대로 인지하지 못하거나, 적절히 치료하지 않거나, 근본 원인을 치료하지 않으면 흉강 내 파열, 흉막 섬유증, 폐 감금, 호흡 부전, 기관지흉막루, 흉막피부루 등의 합병증이 발생할 수 있다.[4]
폐농양은 다음과 같은 질병과 미생물에 의해 발생할 수 있다.
폐 농양 환자는 일반적으로 진찰 시 악액질 상태를 보인다. 손가락 곤봉지는 환자의 3분의 1에서 나타난다.[3] 치아 우식증은 특히 알코올 중독자와 어린이에게 흔하다. 흉부 검사에서는 타진 시 국소적인 둔탁함과 호흡음과 같은 경화의 특징이 나타난다. 지속적인 고열, 기침, 황색 객담, 전신 권태감, 식욕 부진 등도 나타난다. 폐농양이 파열될 때는 농흉이 되어 호흡 곤란이 나타날 수 있다.
3. 합병증
4. 원인
4. 1. 폐농양에 기여하는 질병
wikitext
; 미생물
분류 | 세부 내용 |
---|---|
혐기성 생물 | 악티노미세스속, 펩토스트렙토커스, 박테로이데스, 푸소박테륨 종 |
약호기성 미생물 연쇄상구균 | :en:Streptococcus milleri |
호기성 세균 | 포도상구균, 클렙시엘라, 헤모필루스, 프세우도모나스, 노카르디아, 대장균, 연쇄상구균, 미코박테륨 |
균류 | 칸디다, 아스페르길루스 |
기생충 | 이질아메바 |
4. 2. 미생물
폐농양의 원인이 되는 미생물은 다음과 같다.[16][8]- 혐기성 생물: 방선균속, 펩토연쇄구균속, 박테로이데스, 푸소박테륨 종, 파르비모나스 미크라
- 약호기성 미생물 연쇄상구균: 밀러연쇄상구균
- 호기성 세균: 포도상구균, 클렙시엘라, 헤모필루스, 슈도모나스, 노카르디아, 대장균, 연쇄상구균, 미코박테륨
- 균류: 칸디다, 아스페르길루스, 히스토플라스마, 블라스토미세스, 콕시디오이데스
- 기생충: 이질아메바, 폐흡충
항생제 사용 이후 혐기성 세균의 발견 빈도는 감소하는 추세이다.[6] 원인균은 대부분 황색포도구균이다.
5. 진단
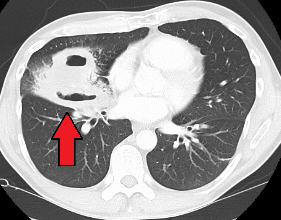
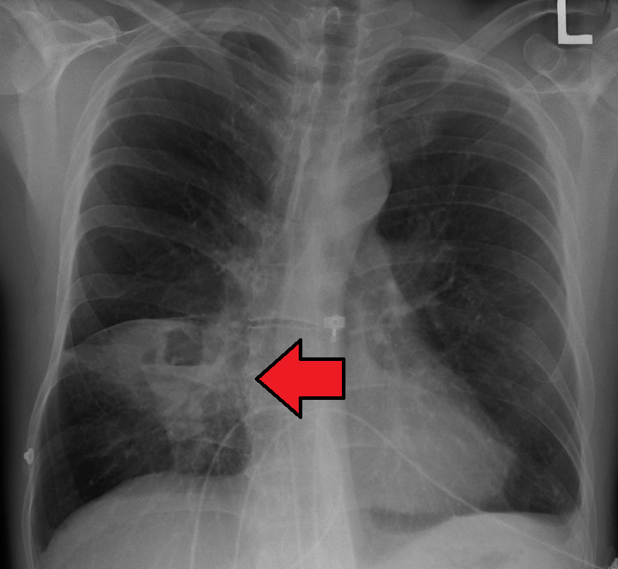
폐 잡음은 특별한 것은 없다. 흉부 엑스레이에서 폐 부분에 단발성 구형 백색 음영이 관찰되며, 구형 음영 내부는 고름으로 채워져 있어 수평선이 관찰될 수 있다. CT 스캔으로 확진할 수 있다.[1]
5. 1. 영상 검사
폐농양은 종종 편측에 나타나며, 누워있을 때 중력에 의해 영향받는 상엽의 후방 분절과 하엽의 첨단 분절을 침범하는 단일 병변이다. 공기-액체 경계면(air-fluid level)의 존재는 기관지로의 파열이나 드물게 가스 형성 미생물의 성장을 의미한다.[1]흉부 엑스레이에서는 폐 부분에 단발성 구형 백색 음영이 관찰된다.[1] 구형 음영의 내부는 고름으로 채워져 있으며, 수평선이 관찰될 수 있다.[1] CT 스캔으로 확진할 수 있다.[1]
5. 2. 검사실 검사
일반적으로 염증 지표(ESR, CRP)는 상승하지만, 특이적이지는 않다. 기침으로 뱉어낸 점액 검사는 모든 폐 감염에서 중요하며, 혼합된 세균총을 자주 보여준다. 기관지 경유 또는 기관지 기관지경 검사를 통한 흡인물 배양 또한 가능하다. 섬유 기관지 내시경 검사는 폐쇄성 병변을 배제하기 위해 자주 수행되며, 고름의 기관지 배액에도 도움이 된다.


폐 잡음은 특별한 것은 없다. 흉부 엑스레이에서 폐야에 단발성 구형 백색 음영을 관찰한다. 구형 음영의 내부는 고름으로 채워져 있으며, 수평선을 관찰할 수 있다. CT 스캔으로 확진할 수 있다.
6. 치료
폐농양 치료는 급성인지 만성인지에 따라 달라진다.
급성 폐농양은 혐기성 세균에는 메트로니다졸이나 클린다마이신을, 호기성 세균에는 베타-락탐, 세팔로스포린을 사용한다. MRSA 또는 ''포도상구균'' 감염에는 반코마이신이나 리네졸리드를 투여한다. 폐 물리 요법과 체위 배액 또한 중요하며, 필요한 경우 기관지 내시경을 사용한다.[9][10]
만성 폐농양은 항생제를 정맥 내 투여하고, 농흉 발생 시 흉관 삽관을 시행한다. 항생제가 효과가 없으면 경피적 배액을, 마지막 수단으로 개흉 수술을 시행한다.[1]
6. 1. 급성 농양 치료
광범위 항생제를 사용하여 혼합된 세균총을 억제하는 것이 주된 치료 방법이다. 폐 물리 요법과 체위 배액 또한 중요하다. 배액 또는 폐 절제가 필요한 선택적인 환자에게는 수술적 처치가 필요하다.[9][10]항생제는 다음과 같이 투여한다.[9][10]
체위 배액 및 흉부 물리 요법을 실시한다.[9][10]
다음과 같은 경우에는 기관지 내시경을 사용한다.[9][10]
- 항생제 흡인 또는 주입
- 기저 질환으로 이물질 또는 악성 종양을 의심하는 비정형적 증상을 보이는 환자
항생제를 정맥 내 투여한다. 주로 세펨계 항생제가 사용되지만, 내성 포도구균도 고려하여 반코마이신, 카바페넴계 항생제를 사용한다. 농흉이 발생했을 때는 즉시 흉관 삽관을 시행한다. 항생제가 효과가 없을 경우 엑스레이 투시 하에 경피적으로 농양을 천자하여 배액관을 삽입하여 지속적인 배농을 시킨다. 마지막 수단으로는 개흉하여 농양이 있는 폐엽을 절제한다.
6. 2. 만성 농양 치료
항생제를 정맥 내 투여한다. 주로 세펨계 항생제가 사용되지만, 내성 포도상구균도 고려하여 반코마이신, 카바페넴계 항생제를 사용한다. 농흉이 발생했을 때는 즉시 흉관 삽관을 시행한다. 항생제가 효과가 없을 경우 엑스레이 투시 하에 경피적으로 농양을 천자하여 배액관을 삽입하여 지속적인 배농을 시킨다. 마지막 수단으로는 개흉하여 농양이 있는 폐엽을 절제한다.[1]7. 예후
대부분의 경우 항생제에 반응하며, 기저 질환이 심각하지 않다면 예후는 일반적으로 매우 좋다. 폐농양 단독으로 인한 사망률은 약 5%이며 개선되고 있다.[10][11]
참조
[1]
논문
Anaerobic pleuropulmonary infections
[2]
웹사이트
Pneumonia and Other Pulmonary Infections: Lung Abscess, Medscape
http://www.medscape.[...]
2007-06-20
[3]
논문
Lung abscess: analysis of 252 consecutive cases diagnosed between 1968 and 2004
[4]
간행물
Lung Abscess
http://www.ncbi.nlm.[...]
StatPearls Publishing
2022
[5]
서적
Fifth Edition: Diseases of the Human Body
F. A. Davis Company
[6]
논문
The role of anaerobic bacteria in lung abscess
[7]
논문
A Case Report of a Massive Lung Abscess: Parvimonas Micra
2020-10-01
[8]
논문
Factors predicting mortality of patients with lung abscess.
[9]
서적
Manual for Pulmonary and Critical Care Medicine
Elsevier
[10]
서적
Respiratory Medicine
Wiley Blackwell
[11]
웹사이트
Lung Abscess." In The Gale Encyclopedia of Medicine, 6th ed.
https://link.gale.co[...]
2020
[12]
논문
Anaerobic pleuropulmonary infections
[13]
웹인용
Pneumonia and Other Pulmonary Infections: Lung Abscess, Medscape
http://www.medscape.[...]
2007-06-20
[14]
논문
Lung abscess: analysis of 252 consecutive cases diagnosed between 1968 and 2004
[15]
서적
Fifth Edition: Diseases of the Human Body
https://archive.org/[...]
F. A. Davis Company
[16]
논문
Factors predicting mortality of patients with lung abscess.
본 사이트는 AI가 위키백과와 뉴스 기사,정부 간행물,학술 논문등을 바탕으로 정보를 가공하여 제공하는 백과사전형 서비스입니다.
모든 문서는 AI에 의해 자동 생성되며, CC BY-SA 4.0 라이선스에 따라 이용할 수 있습니다.
하지만, 위키백과나 뉴스 기사 자체에 오류, 부정확한 정보, 또는 가짜 뉴스가 포함될 수 있으며, AI는 이러한 내용을 완벽하게 걸러내지 못할 수 있습니다.
따라서 제공되는 정보에 일부 오류나 편향이 있을 수 있으므로, 중요한 정보는 반드시 다른 출처를 통해 교차 검증하시기 바랍니다.
문의하기 : help@durumis.com