맨위로가기

폐 색전증

"오늘의AI위키"는 AI 기술로 일관성 있고 체계적인 최신 지식을 제공하는 혁신 플랫폼입니다.
"오늘의AI위키"의 AI를 통해 더욱 풍부하고 폭넓은 지식 경험을 누리세요.

1. 개요

폐색전증은 정맥의 혈전이 폐동맥을 막아 폐 기능을 저하시키는 심각한 질환이다. 주로 다리 정맥의 혈전(심부 정맥 혈전증)에서 발생하며, 수술, 암, 임신, 에스트로겐 사용 등이 위험 요인으로 작용한다. 증상으로는 호흡 곤란, 흉통, 기침, 객혈 등이 나타나며, 심한 경우 쇼크나 급사로 이어질 수 있다. 진단은 임상적 평가와 함께 D-이합체 검사, CT 폐 혈관 조영술, 환기/관류 스캔, 심전도, 심장 초음파 등을 활용한다. 치료는 항응고 요법이 주를 이루며, 심한 경우 혈전 용해술이나 하대정맥 필터를 사용하기도 한다. 예방을 위해 위험 요인을 관리하고, 항응고제 복용, 조기 운동 등의 노력이 필요하다.

더 읽어볼만한 페이지

  • 폐질환 - 규폐증
    규폐증은 실리카 먼지 흡입으로 발생하는 만성 폐 질환이며, 폐에 염증과 섬유화를 일으켜 호흡 곤란, 기침, 피로 등의 증상을 유발하고, 예방을 위해 실리카 노출을 줄이는 것이 중요하며 현재 완치법은 없다.
  • 폐질환 - 폐부종
    폐부종은 폐포 내에 체액이 과도하게 축적되는 병리적 상태로, 심인성 및 비심인성 원인으로 나뉘며 호흡곤란, 저산소증, 객혈 등의 증상을 보이고 흉부 X선 촬영 등으로 진단하여 산소 공급, 이뇨제 투여 등으로 치료한다.
  • 심장혈관 질환 - 동맥경화증
    동맥경화증은 동맥 벽이 굳고 두꺼워지는 질환으로, 세동맥경화증, 묀케베르크 경화증, 죽상동맥경화증으로 나뉘며, 특히 죽상동맥경화증은 혈관 내 죽상판 형성으로 심혈관 질환을 유발하는 주요 질환이다.
  • 심장혈관 질환 - 승모판 협착
    승모판 협착은 좌심방과 좌심실 사이의 승모판이 좁아져 혈액 흐름을 방해하는 질환으로, 류마티스열이 주요 원인이며, 심해지면 폐 울혈, 호흡 곤란 등의 증상이 나타나 심장 초음파 검사로 진단하고 증상에 따라 치료법을 고려한다.
폐 색전증
질병 정보
분야혈액학
심장학
호흡기학
응급 의학
증상호흡곤란
흉통
피가 섞인 기침
합병증실신
비정상적으로 낮은 혈압
급사
만성 혈전색전성 폐고혈압 (장기 합병증)
발병 시기노년층
원인
장기간의 침상 안정
둔상
흡연
뇌졸중
특정 유전적 조건
에스트로겐 기반 약물
임신
비만
수술 후
진단증상 기반
D-dimer
CT 폐동맥 혈관 조영술
폐 환기/관류 검사
감별 진단해당 없음
예방해당 없음
치료항응고제 (헤파린, 와파린, DOACs)
약물해당 없음
예후해당 없음
빈도미국: 연간 약 45만 명
유럽: 43만 명
사망자 수미국: 연간 10,000–12,000명 이상
유럽: 연간 30,000–40,000명 이상
기타 명칭
다른 이름폐 혈전색전증
PTE
폐색전증
PE
영어 명칭pulmonary thromboembolism, PTE
이미지
폐색전증
혈전이 다른 부위에서 이동하여 폐동맥을 막아 폐엽에 동맥 혈전증을 일으키는 폐의 그림
폐색전증 CT 촬영
폐색전증 CT 촬영.

2. 정의

정맥에서 유래한 혈전이 폐동맥 혈관을 막아 폐가 기능을 잃는 상태이다. 폐경색증이 오면 매우 위험하다.

3. 위험 요인

폐색전증의 위험 요인은 다양하며, 비르초 삼인군으로 알려진 혈류 변화, 혈관벽 손상, 혈액 응고 경향 증가와 관련이 있다.

'''발생률'''

폐색전증은 연간 약 1,000만 건 발생한다.[107] 미국에서는 연간 최소 10,000~12,000명의 사망의 주요 원인이며, 최소 30,000~40,000명의 사망 원인이 되기도 한다.[15] 실제 발생률은 부검 전까지 진단되지 않거나 인지되지 않는 경우가 많아 정확히 알려져 있지 않다.[107] 1993년부터 2012년까지 폐색전증으로 인한 병원 입원 건수는 인구 10만 명당 23건에서 65건으로 증가했지만, 같은 기간 동안 의학적 발전으로 사망률은 감소했다.[107]

정맥 혈전 색전증(VTE)은 70세 이상에서 훨씬 높은 비율로 나타난다(45~69세에 비해 3배 높음).[107] 이는 노인층의 낮은 활동 수준으로 인한 부동성과 비만 증가 때문일 수 있다.[107] VTE는 30일 후 10%, 3개월 후 15%, 1년 후 최대 20%로, 크고 지속적으로 증가하는 치명률을 보인다.[107] 폐색전증 단독(입원으로 이어지는 경우)의 치명률은 약 5%~10%이므로, VTE는 색전증의 심각성에 큰 영향을 미칠 수 있다.[107]

미국에서 치명적인 폐색전증 발생률은 지난 25년 동안 6%에서 2%로 감소했다.[108] 유럽에서는 2013년에서 2015년 사이에 폐색전증이 주요 원인으로 연간 평균 약 40,000명의 사망자가 보고되었는데, 이는 과소 진단 가능성으로 인해 보수적인 추정치이다.[109]

3. 1. 일반적인 위험 요인

오른쪽 다리에서 보이는 심부 정맥 혈전증은 폐색전증의 위험 요인이다.


색전증의 약 90%는 무릎 위, 즉 근위 심부 정맥 혈전증에서 발생하며, 여기에는 장골대퇴 심부 정맥 혈전증이 포함된다.[23] 드문 경우인 정맥 흉곽 출구 증후군도 특히 유의미한 위험 요인이 없는 젊은 남성에게서 심부 정맥 혈전증의 원인이 될 수 있다.[24] 심부 정맥 혈전증은 떨어져 나가 폐 순환으로 이동할 위험이 있다. 이러한 상태는 일반적으로 정맥 혈전 색전증(VTE)으로 알려진 연속선으로 간주된다.

정맥 혈전 색전증(VTE)은 면역 저하된 개인과 다음과 같은 동반 질환이 있는 개인에게서 훨씬 더 흔하게 발생한다.

  • 예방 없이 엉덩이 아래 또는 엉덩이 부위에서 정형외과 수술을 받는 환자.[107]
  • 이는 수술 중 또는 수술 후의 부동성과 수술 중의 정맥 손상 때문이다.[107]
  • 췌장암 및 결장암 환자 (다른 형태의 암도 요인이 될 수 있지만, 이것이 가장 흔하다)[107]
  • 이는 응고 촉진 인자의 방출 때문이다.[107]
  • VTE의 위험은 진단 및 치료 중에 가장 크지만 관해 시 감소한다.[107]
  • 고등급 종양 환자[107]
  • 임신[107]
  • 신체가 소위 "과응고 상태"에 들어가면서 출산 중 출혈의 위험이 감소하며, 이는 인자 VII, VIII, X, 폰 빌레브란트, 그리고 피브리노겐의 발현 증가로 조절된다.[107]
  • 에스트로겐 약물을 복용하는 환자[107][25][26][27]
  • 프로게스틴 단일 경구 피임약을 복용하는 사람과는 연관성이 발견되지 않았다.[28]


혈전증의 발생은 고전적으로 비르초 삼인군(혈류 변화, 혈관벽의 인자, 혈액 특성에 영향을 미치는 인자)으로 명명된 일련의 원인에 기인한다. 종종, 두 개 이상의 위험 요인이 존재한다.

  • ''혈류 변화'': 부동(수술 후, 장거리 비행), 외상, 임신(또한 응고 촉진), 비만(또한 응고 촉진), (또한 응고 촉진)
  • ''혈관벽의 인자'': 수술, 직접적인 손상을 유발하는 카테터 삽입 ("내피 손상")
  • ''혈액 특성에 영향을 미치는 인자''(응고 촉진 상태):
  • 에스트로겐 함유 약물(성전환 호르몬 치료, 폐경기 호르몬 치료 및 호르몬 피임약)[26][25][27]
  • 유전적 혈전증 (제5인자 레이든, 프로트롬빈 돌연변이 G20210A, 단백질 C 결핍증, 단백질 S 결핍증, 항트롬빈 결핍증, 고호모시스테인혈증 및 플라스미노겐/피브린 용해 장애)
  • 후천적 혈전증 (항인지질 증후군, 신증후군, 발작성 야간 혈색소뇨증)
  • (프로응고 인자 분비로 인해)


대부분의 폐색전증은 근위 심부 정맥 혈전증의 결과이지만, 폐색전증을 유발할 수 있는 다른 많은 위험 요인이 있다.

3. 2. 유전적 요인

V 인자 라이덴 돌연변이, 프로트롬빈 돌연변이 G20210A, 단백질 C 결핍증, 단백질 S 결핍증, 항트롬빈 결핍증, 고호모시스테인혈증 및 플라스미노겐/피브린 용해 장애와 같은 유전적 혈전증은 혈액 특성에 영향을 미쳐 응고를 촉진하는 요인이다.[30]

첫 번째 폐색전증 발생 후에는 보통 2차적인 원인 조사가 간략하게 이루어진다. 하지만, 항응고제 치료 중에도 두 번째 폐색전증이 발생하면, 기저 질환에 대한 추가적인 조사가 필요하다. 이러한 검사에는 V 인자 라이덴 돌연변이, 항인지질 항체, 단백질 C, 단백질 S, 항트롬빈 수치 검사("혈전성향 검사") 등이 있다. 이후 프로트롬빈 돌연변이, MTHFR 돌연변이, 제8인자 농도 및 드문 유전성 응고 이상 검사도 시행한다.[30]

3. 3. 기타 요인



색전증의 약 90%는 무릎 위, 즉 근위 심부 정맥 혈전증에서 발생하며, 여기에는 장골대퇴 심부 정맥 혈전증이 포함된다.[23] 드문 경우인 정맥 흉곽 출구 증후군도 특히 유의미한 위험 요인이 없는 젊은 남성에게서 심부 정맥 혈전증의 원인이 될 수 있다.[24] 심부 정맥 혈전증은 떨어져 나가 폐 순환으로 이동할 위험이 있다. 이러한 상태는 일반적으로 정맥 혈전 색전증 (VTE)으로 알려진 연속선으로 간주된다.

VTE는 면역 저하된 개인과 다음과 같은 동반 질환이 있는 개인에게서 훨씬 더 흔하게 발생한다.

  • 예방 없이 엉덩이 아래 또는 엉덩이 부위에서 정형외과 수술을 받는 환자.[107]
  • 이는 수술 중 또는 수술 후의 부동성과 수술 중의 정맥 손상 때문이다.[107]
  • 췌장암 및 결장암 환자 (다른 형태의 암도 요인이 될 수 있지만, 이것이 가장 흔하다)[107]
  • 이는 응고 촉진 인자의 방출 때문이다.[107]
  • VTE의 위험은 진단 및 치료 중에 가장 크지만 관해 시 감소한다.[107]
  • 고등급 종양 환자[107]
  • 임산부[107]
  • 신체가 소위 "과응고 상태"에 들어가면서 출산 중 출혈의 위험이 감소하며, 이는 인자 VII, VIII, X, 폰 빌레브란트, 그리고 피브리노겐의 발현 증가로 조절된다.[107]
  • 에스트로겐 약물을 복용하는 환자[107][25][26][27]
  • 프로게스틴 단일 경구 피임약을 복용하는 사람과는 연관성이 발견되지 않았다.[28]


혈전증의 발생은 고전적으로 비르초 삼인군 (혈류 변화, 혈관벽의 인자, 혈액 특성에 영향을 미치는 인자)으로 명명된 일련의 원인에 기인한다. 종종, 두 개 이상의 위험 요인이 존재한다.

  • 혈류 변화: 부동(수술 후, 장거리 비행), 외상, 임신 (또한 응고 촉진), 비만 (또한 응고 촉진), (또한 응고 촉진)
  • 혈관벽의 인자: 수술, 직접적인 손상을 유발하는 카테터 삽입 ("내피 손상")
  • 혈액 특성에 영향을 미치는 인자(응고 촉진 상태):
  • 에스트로겐 함유 약물 (성전환 호르몬 치료, 폐경기 호르몬 치료 및 호르몬 피임약)[26][25][27]
  • 유전적 혈전증 (제5인자 레이든, 프로트롬빈 돌연변이 G20210A, 단백질 C 결핍증, 단백질 S 결핍증, 항트롬빈 결핍증, 고호모시스테인혈증 및 플라스미노겐/피브린 용해 장애)
  • 후천적 혈전증 (항인지질 증후군, 신증후군, 발작성 야간 혈색소뇨증)
  • (프로응고 인자 분비로 인해)


대부분의 폐색전증은 근위 심부 정맥 혈전증의 결과이지만, 폐색전증을 유발할 수 있는 다른 많은 위험 요인이 있다.

4. 증상

폐색전증의 전형적인 증상은 없지만, 가장 흔한 증상은 갑자기 발생한 설명하기 어려운 호흡 곤란이다. 폐색전증의 증상은 일반적으로 갑자기 나타나며, 다음 중 하나 이상이 나타날 수 있다.



더 심각한 경우에는 청색증(입술과 손가락의 푸른 변색), 허탈, 순환 불안정과 같은 징후가 나타날 수 있다. 모든 급사의 약 15%가 폐색전증으로 인해 발생한다.[4] 폐색전증은 실신으로 나타날 수 있지만, 실신 사례의 1% 미만이 폐색전증으로 인해 발생한다.[18]

신체 검사에서 폐는 대개 정상이다. 때때로 폐의 영향을 받은 부위에서 흉막 마찰음이 들릴 수 있다(주로 경색을 동반한 폐색전증에서). 때때로 흉수가 존재하며 이는 삼출액(혈관에서 새어 나오는 체액)이다.[19] 이는 둔탁한 타진음, 들리는 호흡음, 그리고 발성 공명으로 감지할 수 있다. 우심실의 부담은 좌측 흉골 연 상행, 큰 두 번째 심장의 폐 구성 요소, 및/또는 상승된 경정맥압으로 감지될 수 있다.[4] 낮은 등급의 이 있을 수 있으며, 특히 관련 폐 출혈 또는 경색이 있는 경우에 그렇다.[20]

작은 폐색전증은 측부 순환 없이 더 말초 부위에 위치하는 경향이 있어, 저산소증, 호흡 곤란 또는 빈맥과 같은 혈역학적 불안정성이 아닌 폐 경색 및 작은 삼출액(둘 다 고통스러움)을 유발할 가능성이 더 크다. 더 큰 폐색전증은 중앙에 위치하는 경향이 있으며, 일반적으로 호흡 곤란, 저산소증, 저혈압, 빈맥(빠른 심박수), 실신을 유발하지만, 측부 순환으로 인해 폐 경색이 없기 때문에 종종 고통스럽지 않다. 흉막성 통증, 호흡 곤란 및 빈맥을 동반한 폐색전증의 전형적인 증상은 크고 작은 폐색전증을 모두 유발하는 큰 분절된 색전증으로 인해 발생할 가능성이 높다.[21]

폐색전증은 임상 증상에 따라 때때로 대량, 준대량, 비대량으로 설명된다. 대량 폐색전증은 혈역학적 불안정성이 있는 경우로, 지속적인 저혈압, 서맥(느린 심박수) 또는 무맥으로 나타나는 폐쇄성 쇼크의 원인이다.[22]

호흡 곤란(숨가쁨), 특히 숨을 쉴 때의 호흡에 의한 가슴 통증, 객혈이 나타난다.[115] 다리 부위의 혈전도 동시에 관찰될 수 있으며, 그 증상은 다리의 붉은기, 열, 부기, 통증이다.[115] 폐색전증의 의학적 징후에는 혈액 속 산소 수치 감소, 빈호흡, 심박수 증가, 때로는 경미한 발열이 있다.[116] 중증의 경우, 실신, 비정상적인 저혈압, 급사를 일으킬 수 있다.[117]

5. 진단

폐색전증 진단은 우선 임상 기준 검토를 통해 검사 필요성을 결정한다.[32] 저위험군에서는 추가 검사가 불필요할 수 있지만,[49] 고위험군에서는 CT 폐 혈관 조영술(CTPA) 등 추가 검사가 필요하다.[31]

폐색전증은 전형적인 증상 (호흡 곤란, 흉통)만으로는 다른 질환과 구별이 어려워, 임상 기준과 검사 결과를 종합하여 진단한다.[4] 임상적 가능성 예측에는 웰스 점수가 널리 사용된다.[34]

일반적으로 폐색전증 고위험군이 아닌 경우, 1차 검사 후 영상 검사를 통해 진단을 확인하거나 배제한다.[32][33][54] D-이합체 검사 등으로 영상 검사 필요성을 판단하고, 다른 검사에서 PE 진단 가능성이 중간 이상으로 확인되면 영상 검사를 시행한다.[33][54]

CT 폐동맥 조영술(CTPA)은 대부분의 환자에게 권장되는 1차 진단 영상 검사이다.[55] 다리 초음파 검사로 폐색전증 존재를 확인할 수는 있지만, 배제할 수는 없다.[56]

CT 폐 혈관 조영술(CTPA)은 컴퓨터 단층 촬영(CT)과 방사선 조영제를 사용하여 폐 혈관 조영술을 시행하는 방법으로, 정확하고 비침습적이며, 폐색전증 외 다른 폐 질환도 확인할 수 있다는 장점이 있다.[57]

환기/관류 스캔(V/Q 스캔, 폐 신티그래피)은 폐의 일부 영역이 혈전으로 막혀 환기는 되지만 혈액 관류가 되지 않는 것을 보여준다.[17] 요오드화 조영제 알레르기, 신장 기능 손상, 임신 등의 경우에 유용하다.[62][63][66]

PE 진단에 자주 시행되지만 민감도가 낮은 검사로는 흉부 X선, 다리 초음파 검사등이 있다.


  • 흉부 X-선: 숨가쁨 환자의 다른 원인(울혈성 심부전, 늑골 골절 등) 배제를 위해 시행.

폐색전증 환자의 햄프턴 혹

  • 다리 초음파 검사(다리 도플러): 심부 정맥 혈전증(DVT) 확인 목적.


선택적 폐 혈관 조영술로, 왼쪽 주 폐동맥에서 중앙 폐색을 일으키는 혈전(A로 표시)을 보여준다. 심전도 추적은 하단에 표시됩니다.


과거 진단의 골드 스탠다드는 투시경 검사를 이용한 폐 혈관 조영술이었으나, 비침습적 기술 발달로 사용이 감소했다.[67]

  • 혈액 검사
  • D-다이머: 웰스 점수가 낮은 검사 전 확률에서는 D-dimer<1000ng/mL, 웰스 점수가 중간 검사 전 확률에서는 D-dimer<500mg/mL인 경우, 추적 기간 중 정맥 혈전 색전증 확인 환자는 없었다.[119]
  • 조영 CT (CT 폐 혈관 조영술)
  • 폐 환기/관류 스캔
  • 심장 초음파 검사
  • 심전도: I 유도에서 깊은 S파, III 유도에서 Q파와 음성 T파가 있는 "SIQIIITIII 패턴"이나 V1-V3의 음성 T파를 보이기도 한다.

5. 1. 임상적 평가

폐색전증 진단을 위해서는 우선 검사가 필요한지를 판단하기 위해 임상 기준을 검토해야 한다.[32] 50세 미만, 분당 100회 미만의 심박수, 실내 공기 중 산소 농도 94% 이상, 다리 부종, 객혈, 지난 4주 이내의 수술이나 외상, 이전 혈전 또는 에스트로겐 사용 이력이 없는 저위험군 환자는 추가 검사가 필요 없을 수 있다.[49]

위험이 높은 경우에는 추가 검사가 필요하다. CT 폐 혈관 조영술(CTPA)은 폐색전증 진단에 가장 많이 사용되는 방법인데, 이는 시행하기 쉽고 정확도가 높기 때문이다.[31] CTPA 외에도 근위부 하지 압박 초음파(CUS) 검사 등을 시행할 수 있다.[31] CUS 검사는 단면 연구에서 민감도 41%, 특이도 96%를 보인다.[31]

폐색전증 진단은 전형적인 임상 증상 (호흡 곤란, 흉통)만으로는 다른 질환과 구별하기 어렵기 때문에, 임상 기준과 검사 결과를 종합하여 이루어진다. 의료 영상 촬영 여부는 병력, 증상, 신체 검사 결과에 따른 임상적 추론과 임상적 가능성 평가를 바탕으로 결정한다.[4]

임상적 확률을 예측하는 데 가장 널리 사용되는 방법은 웰스 점수이다. 이는 여러 버전이 있어 다소 복잡한 임상 예측 규칙이다.[34] 필립 스티븐 웰스(Philip Steven Wells)는 1995년에 DVT 가능성 예측 규칙을 처음 개발했고,[34] 1998년에 PE에 대한 새로운 예측 점수를 만들었다.[35] 2000년과 2001년에 웰스는 이 규칙을 개정하여 다양한 점수 시스템을 제안했다.[36][37] 이후 연구들에서 웰스 점수의 수정 및 재검토가 이루어졌다.[34][35][38][39] 제네바 규칙과 같은 다른 예측 규칙도 있으며, 이러한 규칙들은 재발성 혈전색전증 감소와 관련이 있다.[40]

웰스 점수[41]는 다음과 같은 항목으로 구성된다.

항목점수
임상적으로 의심되는 DVT3.0
다른 진단이 PE보다 덜 가능함3.0
빈맥 (심박수 > 100)1.5
이전 4주 이내의 고정(≥ 3일)/수술1.5
DVT 또는 PE 병력1.5
객혈1.0
악성 종양(6개월 이내 치료) 또는 완화1.0



전통적인 해석은 다음과 같다.[36][37][42]


  • 점수 > 6.0 – 높음 (확률 59%)[33]
  • 점수 2.0 ~ 6.0 – 중간 (확률 29%)[33]
  • 점수 < 2.0 – 낮음 (확률 15%)[33]


대안적 해석은 다음과 같다.[36][39]

  • 점수 > 4 – PE 가능성이 높음. 진단 영상 검사 고려.
  • 점수 4 이하 – PE 가능성이 낮음. PE 배제를 위해 D-dimer 고려.


PIOPED 연구진은 진단 알고리즘에 대한 권장 사항을 제시했지만, 이는 64 슬라이스 MDCT를 사용한 연구를 반영하지 않았다.[33] 이들은 다음과 같이 권장했다.

  • 낮은 임상적 확률: D-dimer 음성이면 PE 배제. D-dimer 양성이면 MDCT 시행 후 결과에 따라 치료.
  • 중간 임상적 확률: D-dimer 음성이면 PE 배제. (단, 이 경우 D-dimer 음성, MDCT 음성일 때 오류 확률 5% 존재. 64 슬라이스 MDCT 사용 시 오류율 감소 가능성 있음). D-dimer 양성이면 MDCT 시행 후 결과에 따라 치료.
  • 높은 임상적 확률: MDCT 시행. 양성이면 치료, 음성이면 PE 배제를 위해 추가 검사 필요. (D-dimer < 750 ug/L는 고위험군 PE 배제 불가).[43]


폐색전증 배제 기준(PERC)은 폐색전증이 의심되지만 발생 가능성이 낮은 환자를 평가하는 데 사용된다. 웰스 점수나 제네바 점수와 달리, PERC 규칙은 의사가 이미 저위험군으로 분류한 환자에게서 폐색전증 위험을 배제하기 위해 설계되었다.[45][42]

다음 기준에 모두 해당하지 않는 저위험군 환자는 폐색전증 추가 검사가 필요 없다.

  • 낮은 산소 포화도 – SaO2 <95%
  • 한쪽 다리 부종
  • 객혈
  • 과거 심부정맥 혈전증 또는 폐색전증 병력
  • 최근 수술 또는 외상
  • 50세 이상
  • 호르몬 사용
  • 빠른 심박수


이는 추가 검사(특히 흉부 CT 혈관조영술)가 폐색전증 위험보다 더 큰 해(방사선 노출 및 조영제)를 초래할 수 있기 때문이다.[44] PERC 규칙은 민감도 97.4%, 특이도 21.9%, 위음성률 1.0% (16/1666)이다.[45]

5. 2. 검사

폐색전증 진단을 위해서는 우선 임상 기준 검토를 통해 검사 필요성을 결정해야 한다.[32] 50세 미만, 분당 심박수 100회 미만, 실내 공기 중 산소 농도 94% 이상, 다리 부종, 객혈, 최근 4주 이내 수술/외상, 이전 혈전 또는 에스트로겐 사용 경험이 없는 저위험군에서는 추가 검사가 불필요하다.[49]

고위험군에서는 추가 검사가 필요한데, CT 폐 혈관 조영술(CTPA)이 정확도와 시행 용이성으로 인해 선호되는 진단 방법이다.[31] CTPA 외에도 근위부 하지 압박 초음파(CUS) 검사 등을 시행할 수 있으며,[31] CUS 검사의 민감도는 41%, 특이도는 96%이다.[31]

폐색전증 진단은 전형적인 임상 증상 (호흡 곤란, 흉통)만으로는 다른 질환과 구별이 어려워, 임상 기준과 검사 결과를 종합하여 이루어진다.[4] 임상적 가능성 예측에는 웰스 점수가 널리 사용되는데, 이는 임상 예측 규칙으로 여러 버전이 존재한다.[34][35] 제네바 규칙과 같은 다른 예측 규칙도 있으며, 이러한 규칙들을 활용하면 재발성 혈전색전증 감소에 도움이 된다.[40]

''웰스 점수''[41]는 다음과 같다.

  • 임상적으로 의심되는 DVT – 3.0점
  • 다른 진단보다 폐색전증(PE) 가능성이 높음 – 3.0점
  • 빈맥 (심박수 > 100) – 1.5점
  • 최근 4주 이내 고정(≥ 3일)/수술 – 1.5점
  • DVT 또는 PE 병력 – 1.5점
  • 객혈 – 1.0점
  • 악성 종양(6개월 이내 치료) 또는 완화 – 1.0점


전통적 해석[36][37][42]

  • 점수 > 6.0 – 높음 (확률 59%)[33]
  • 점수 2.0 ~ 6.0 – 중간 (확률 29%)[33]
  • 점수 < 2.0 – 낮음 (확률 15%)[33]


대안적 해석[36][39]

  • 점수 > 4 – PE 가능성 높음. 진단 영상 검사 고려.
  • 점수 4 이하 – PE 가능성 낮음. PE 배제를 위해 D-dimer 고려.


PIOPED 연구진은 진단 알고리즘을 제안했는데,[33] 이는 64 슬라이스 MDCT를 사용한 연구는 반영하지 않았다.

  • 낮은 임상적 확률: D-dimer 음성이면 PE 배제. 양성이면 MDCT 시행 후 결과에 따라 치료.
  • 중간 임상적 확률: D-dimer 음성이면 PE 배제. 양성이면 MDCT 시행 후 결과에 따라 치료. (단, D-dimer 음성이라도 5% 오류 확률 존재 가능성 유의)
  • 높은 임상적 확률: MDCT 시행. 양성이면 치료, 음성이면 PE 배제를 위한 추가 검사 필요. (D-dimer 750 μg/L 미만이라도 고위험군 PE 배제 불가)[43]


폐색전증 의심이 낮거나 중간인 경우, 정상 D-이합체 수치(혈액 검사 결과)는 혈전성 폐색전증 가능성을 배제하기에 충분하며, 3개월 내 혈전색전증 발생 위험은 0.14%이다.[46] D-이합체는 민감도가 높지만 특이성은 낮아(약 50%),[47] 양성 결과가 반드시 PE를 의미하지는 않지만, 음성 결과는 PE를 배제하는 데 유용하다.[48] 50세 이상에서는 기준치를 환자 나이에 10 μg/L을 곱한 값으로 조정하여 위양성 검사 수를 줄이는 것이 권장된다.[49][50][51]

폐색전증이 의심되면, 전혈구 계산, 혈액 응고 상태(PT, aPTT, TT), 선별 검사(적혈구 침강 속도, 신장 기능, 간 효소, 전해질) 등 여러 혈액 검사를 통해 이차적 원인을 배제한다.[52] 트로포닌 수치는 폐색전증 환자의 16~47%에서 증가한다.[53]

일반적으로 폐색전증 고위험군이 아닌 경우, 1차 검사 후 영상 검사를 통해 진단을 확인하거나 배제한다.[32][33][54] D-이합체 검사 등으로 영상 검사 필요성을 판단하고, 다른 검사에서 PE 진단 가능성이 중간 이상으로 확인되면 영상 검사를 시행한다.[33][54]

CT 폐동맥 조영술은 대부분의 환자에게 권장되는 1차 진단 영상 검사이다.[55] 다리 초음파 검사로 폐색전증 존재를 확인할 수는 있지만, 배제할 수는 없다.[56]

CT 폐 혈관 조영술(CTPA)은 컴퓨터 단층 촬영(CT)과 방사선 조영제를 사용하여 폐 혈관 조영술을 시행하는 방법으로, 우심 카테터 삽입술 대신 사용된다. 정확하고 비침습적이며, 폐색전증 외 다른 폐 질환도 확인할 수 있다는 장점이 있다.[57] 임산부에게도 유리하다.[57]

CT 폐 혈관 조영술의 정확도는 다중 검출기 CT(MDCT) 기계의 발전으로 인해 변화해왔다.[58] 코호트 연구에 따르면, 단일 슬라이스 나선형 CT는 민감도 69%, 특이도 84%를 보였으나,[59] 음성 단일 슬라이스 CT만으로는 PE를 배제하기에 충분하지 않다. 4 슬라이스 및 16 슬라이스 스캐너 혼합 연구에서는 민감도 83%, 특이도 96%로 보고되었으며,[60] 영상 결과와 임상적 확률이 불일치할 경우 추가 검사가 필요하다. CTPA는 VQ 스캔보다 열등하지 않으며, 더 많은 색전을 발견한다.[61]

환기/관류 스캔
(A) 20 mCi의 제논-133 가스 흡입 후, 후방 투영으로 신티그래피 이미지를 얻었으며, 폐의 균일한 환기를 보여준다.
(B) 4 mCi의 테크네튬-99m 표지 알부민 정맥 주사 후, 신티그래피 이미지가 후방 투영으로 표시된다. 이 외의 다른 영상에서는 여러 영역에서 활동 감소가 나타났다.


환기/관류 스캔(V/Q 스캔, 폐 신티그래피)은 폐의 일부 영역이 혈전으로 막혀 환기는 되지만 혈액 관류가 되지 않는 것을 보여준다.[17] 다중 슬라이스 CT와 정확도는 비슷하지만, CT 기술 발달로 인해 사용 빈도가 줄고 있다. 요오드화 조영제 알레르기, 신장 기능 손상, 임신 등의 경우에 유용하며(CT보다 방사선 노출 적음),[62][63][66] 평면 2차원 영상 또는 단일 광자 방출 컴퓨터 단층 촬영(SPECT)을 이용한 3차원 영상으로 검사할 수 있다.[55] SPECT/CT 하이브리드 장치는 이상 부위의 해부학적 특성 파악에 용이하다.[64]

PE 진단에 자주 시행되지만 민감도가 낮은 검사:

  • 흉부 X-선: 숨가쁨 환자의 다른 원인(울혈성 심부전, 늑골 골절 등) 배제를 위해 시행. PE 흉부 X-선은 드물게 정상 소견을 보이며,[65] 징후(웨스터마크 징후, 햄프턴 융기)도 부족하다.
  • 다리 초음파 검사(다리 도플러): 심부 정맥 혈전증(DVT) 확인 목적. DVT 확인 시 항응고 요법 시작 가능(DVT와 PE 연관성 높음). 임신 중 유효하나, 음성 스캔이 PE를 배제하지는 못하며, 산모가 PE 고위험군이면 저선량 스캔 필요.[66] 주로 심부 정맥 혈전증 임상 증상 있는 환자에게 유용하다.[66]


과거 진단의 골드 스탠다드는 투시경 검사를 이용한 폐 혈관 조영술이었으나, 비침습적 기술 발달로 사용이 감소했다.[67]

거대 및 부분 거대 폐색전증의 경우, 심장 초음파 검사에서 우심실 기능 부전이 나타날 수 있으며, 이는 폐동맥이 심하게 막혀 우심실이 압력을 감당할 수 없음을 의미한다. 일부 연구에서는 이러한 소견이 혈전 용해 적응증이 될 수 있다고 한다. 모든 PE 의심 환자에게 심장 초음파 검사가 필요한 것은 아니지만, 심장 트로포닌 또는 뇌 나트륨 이뇨 펩타이드 증가는 심장 부담을 나타내어 심장 초음파 검사를 정당화하고[75] 예후에 중요할 수 있다.[76]

심장 초음파 검사에서 보이는 우심실의 특정 모습은 ''맥코넬 징후''로, 중간 자유 벽의 무운동증과 심첨부의 정상적인 움직임이 나타나는 것이다. 이 현상은 급성 폐색전증 진단에 대해 민감도 77%, 특이도 94%를 갖는다.[77]

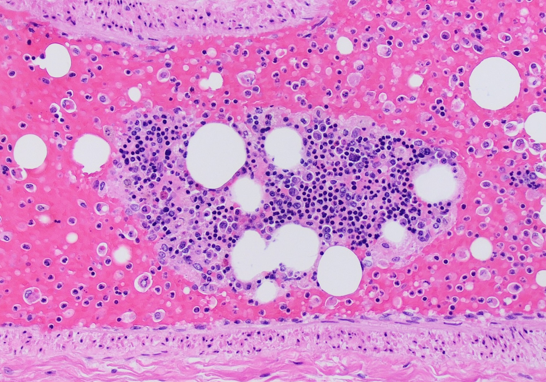
조직병리학 부검에서 폐동맥의 조직병리학적 소견. 지방 색전증 (가공 과정에서 지방이 용해되어 H&E 염색에서 여러 개의 빈 구형 공간으로 보임)을 보여줍니다. 중앙에는 골수 조각이 있고, 혈액에는 여러 개의 단일 조혈 세포가 있어 골절이 색전증의 원인임을 시사합니다.

  • 혈액 검사
  • D-다이머: 웰스 점수[118] 0-4점(낮은 검사 전 확률)에서 D-dimer<1000ng/mL, 웰스 점수 4.5-6점(중간 검사 전 확률)에서 D-dimer<500mg/mL인 경우, 항응고 요법을 실시하지 않았으나 추적 기간 중 정맥 혈전 색전증 확인 환자는 없었다.[119]
  • 조영 CT (CT 폐 혈관 조영술)
  • 폐 환기/관류 스캔
  • 심장 초음파 검사 (심장 초음파)
  • 심전도
  • 심전도에서는 I 유도에서 깊은 S파, III 유도에서 Q파와 음성 T파가 있는 "SIQIIITIII 패턴"(폐동맥 혈전 색전증 민감도 8.5%, 특이도 96.7%)을 보인다. V1-V3의 음성 T파(민감도 10.5%, 특이도 96.0%)도 보인다. 전벽 심근 경색에서도 이 소견이 나타날 수 있지만, 전벽 심근 경색에서는 V3(V4)에서 음전환이 최대가 되는 점이 감별 포인트이다. 폐동맥 혈전 색전증에서는 불완전 우각 블록(민감도 4.8%, 특이도 97.2%), 심박수 100회/분 초과 빈맥(민감도 28.8%, 특이도 84.3%)도 유명하지만, 민감도는 낮고 특이도는 높은 경향을 보인다.[120] 심전도만으로는 폐색전증 배제 또는 확진이 어렵다.
  • V1-3에서 음성 T파가 보이는 경우, II, aVF에서의 음성 T파가 하벽 심근 경색과 폐색전 감별에 유용하다는 보고가 있다.[121][122]
  • 하지 정맥 초음파[123]
  • 폐색전의 원인 혈전은 가자미근 정맥 유래인 경우가 많아, 하지 정맥 혈전 유무는 진단에 도움이 된다.

6. 치료

항응고 요법은 폐색전증 치료의 핵심이다. 전통적으로 비타민 K 길항제(와파린, 아세노쿠마롤, 펜프로쿠몬 등)가 주로 사용되었으나, 최근에는 직접 작용 경구 항응고제(리바록사반, 아픽사반, 다비가트란, 에독사반 등)가 미국 전문 지침에서 선호되고 있다.[80]

초기에는 비분획 헤파린(UFH), 저분자량 헤파린(LMWH), 폰다파리눅스와 같은 주사형 항응고제를 사용하면서 동시에 경구용 비타민 K 길항제를 투여한다. 국제정상화비율(INR)을 기준으로 용량을 조절하며, 폐색전증의 경우 2.0~3.0 사이가 이상적이다.[80] LMWH는 UFH에 비해 출혈 위험이 적고, 재발성 혈전 합병증 발생률을 줄이며, 혈전 크기를 감소시킨다는 장점이 있다.[83] 최근에는 INR 조절이 필요 없는 직접 작용 경구 항응고제가 사용되기도 한다. 리바록사반과 아픽사반은 초기 주사 치료가 필요 없지만, 다비가트란과 에독사반은 필요하다.[80]

암 환자는 와파린보다 LMWH 치료가 선호되며,[80][87] 임산부 역시 기형유발 위험 때문에 LMWH로 치료받는다.[66] 항응고 요법은 보통 3~6개월간 지속되며, 재발 위험이 높거나 일시적인 위험 요소가 없는 경우에는 평생 지속될 수 있다.[80][87] 가역적인 원인이 없는 경우 2년 치료가 6개월보다 효과적일 수 있다.[85]

하대정맥 필터


항응고제 사용이 어렵거나, 항응고제 투여 중에도 폐색전증이 재발하는 경우에는 하대정맥 필터를 삽입할 수 있다.[87] 그러나 그 효과에 대한 증거는 부족하다.[95] 급성 폐색전증의 외과적 관리(폐 혈전 제거술)는 흔하지 않지만, 최근 수술 기술 발전으로 다시 주목받고 있다.[96] 만성 폐색전증으로 인한 폐 고혈압은 폐 혈전 내막 절제술로 치료한다.[97]

6. 1. 급성기 치료

항응고 요법은 치료의 주된 방법이다. 급성기에는 산소 또는 진통제와 같은 보조적인 치료가 필요할 수 있다. 환자는 치료 초기 단계에 종종 입원하며, INR이 치료 수준에 도달할 때까지 (와파린 사용 시) 입원 치료를 받는 경향이 있다. 그러나 위험이 낮은 사례는 이미 심부 정맥 혈전증 치료에서 흔히 사용되는 방식으로 가정에서 관리되는 경우가 점점 더 많아지고 있다.[80][81] 한 가지 접근 방식과 다른 접근 방식 간의 차이를 뒷받침하는 증거는 미약하다.[82]

대량 폐색전증으로 혈역학적 불안정성(쇼크 및/또는 저혈압, 새로운 발병 부정맥, 저혈량증 또는 패혈증으로 인한 경우가 아닌 수축기 혈압 <90mmHg 또는 15분 이상 혈압 40mmHg 감소로 정의)이 발생한 경우, 약물로 혈전을 효소적으로 파괴하는 혈전 용해술을 시행해야 한다. 이러한 상황에서 혈전 용해술은 금기 사항이 없는 환자에게 최선의 치료법이며 임상 지침에서도 이를 뒷받침하고 있다.[98][87][88] 또한, 알려진 폐색전증으로 심정지가 발생한 환자에게도 권장된다.[89] 카테터 지향 혈전 용해술(CDT)은 대량 폐색전증에 비교적 안전하고 효과적인 새로운 기술로 밝혀졌다. 이는 서혜부 정맥에 카테터를 삽입하여 정맥계를 접근하고, 형광 투시 영상으로 안내하여 폐 순환의 폐색전증 옆에 위치하도록 하는 것이다. 혈전을 분해하는 약물을 카테터를 통해 방출하여 폐색전증에 직접적으로 최고 농도가 도달하게 한다. CDT는 중재적 방사선과 의사 또는 혈관 외과 의사가 수행하며, CDT를 제공하는 의료 기관에서는 일차 치료법으로 제공될 수 있다.[90] 카테터 기반 초음파 보조 혈전 용해술이 연구되고 있다.[91]

대량 폐색전증이 아닌 경우 혈전 용해술 사용에 대해서는 여전히 논쟁이 있다.[92][93] 일부 연구에서는 이 치료법이 사망 위험을 감소시키지만, 두개 내 출혈을 포함한 출혈 위험을 증가시키는 것으로 나타났다.[94] 다른 연구에서는 사망 위험 감소 효과가 없는 것으로 나타났다.[93]

일반적인 치료법으로는 항응고제헤파린와파린이 사용되며[124], 6개월 이상 복용이 권장된다.[125] 중증의 경우에는 조직 플라스미노겐 활성화 인자(tPA) 등의 약물 치료, 필요에 따라서는 폐 혈전 수술 (예: 만성 폐 혈전 색전증에 대한 폐동맥 혈전 내막 절제술) 등의 수술 치료가 있다. 항응고제가 적절하지 않은 경우에는 하대정맥 필터가 사용되기도 한다.[124]

6. 2. 장기 치료

항응고 요법은 폐색전증 치료의 주된 방법이다. 급성기에는 산소 또는 진통제와 같은 보조적인 치료가 필요할 수 있다. 환자는 치료 초기 단계에 종종 입원하며, INR이 치료 수준에 도달할 때까지 (와파린 사용 시) 입원 치료를 받는 경향이 있다. 그러나 위험이 낮은 사례는 이미 심부 정맥 혈전증 치료에서 흔히 사용되는 방식으로 가정에서 관리되는 경우가 점점 더 많아지고 있다.[80][81] 한 가지 접근 방식과 다른 접근 방식 간의 차이를 뒷받침하는 증거는 미약하다.[82]

수년 동안, 비타민 K 길항제 (와파린 또는 덜 일반적으로 아세노쿠마롤 또는 펜프로쿠몬)가 핵심 치료법이었다. 비타민 K 길항제는 즉시 작용하지 않으므로, 초기 치료는 신속하게 작용하는 주사형 항응고제인 비분획 헤파린 (UFH), 저분자량 헤파린 (LMWH) 또는 폰다파리눅스를 사용한다. 동시에 경구용 비타민 K 길항제를 투여하고 용량을 조절한다(보통 입원 환자 관리의 일부로). 이는 용량을 결정하는 검사인 국제정상화비율에 따라 결정된다.[80] 주사 치료와 관련하여, LMWH는 폐색전증 환자에서 UFH에 비해 출혈을 줄일 수 있다.[83] 동일한 검토에 따르면, LMWH는 헤파린에 비해 재발성 혈전 합병증의 발생률을 줄이고 혈전 크기를 감소시켰다. LMWH로 치료받은 참가자와 비분획 헤파린으로 치료받은 참가자 간의 전체 사망률에는 차이가 없었다.[83] 비타민 K 길항제는 국제정상화비율 (INR)의 빈번한 용량 조절 및 모니터링이 필요하다. 폐색전증의 경우, 일반적으로 2.0에서 3.0 사이의 INR이 이상적인 것으로 간주된다.[80] 와파린 치료 중 또 다른 폐색전증 에피소드가 발생하면, INR 범위를 2.5–3.5로 증가시키거나 항응고 요법을 LMWH와 같은 다른 항응고제로 변경할 수 있다.[80]

최근 몇 년 동안, INR에 맞춰 용량을 조절할 필요 없이 와파린과 유사한 효과를 제공하는 많은 항응고제가 도입되었다. 직접 작용 경구 항응고제로 알려진 이러한 치료법은 현재 미국 전문 지침에서 비타민 K 길항제보다 선호된다.[80] 이 중 두 가지 (리바록사반 및 아픽사반)는 초기 헤파린 또는 폰다파리눅스 치료가 필요하지 않지만, 다비가트란 및 에독사반은 필요하다.[80] 코크란 리뷰에 따르면, 경구용 DTI (다비가트란, 리바록사반, 에독사반, 아픽사반)와 표준 항응고 요법 간의 재발성 폐색전증 예방 효과에 차이가 있다는 증거는 없다.[84]

폐색전증이 발생한 암 환자의 경우, 와파린 또는 기타 경구용 항응고제보다 LMWH 치료가 선호된다.[80][87] 마찬가지로, 임산부는 와파린의 알려진 기형유발 효과를 피하기 위해 출산 후까지 저분자량 헤파린으로 치료받는다. 특히 임신 초기에는 저분자량 헤파린을 사용하지만, 모유 수유 중에는 와파린을 사용할 수 있다.[66]

항응고 요법은 일반적으로 3–6개월 동안 지속되거나, 이전의 심부정맥 혈전증 또는 폐색전증이 있었거나, 일반적인 일시적인 위험 요소가 없는 경우에는 "평생" 지속된다.[80][87] 가역적인 알려진 원인이 없는 환자의 경우 2년 치료가 6개월 치료보다 더 나을 수 있다.[85] 작은 폐색전증 (분절하 폐색전증이라고 함) 환자에서 항응고 요법의 효과는 알려져 있지 않다.[86] 일반적인 치료법으로는 항응고제헤파린와파린이 사용되며, 6개월 이상 복용이 권장된다.[124][125]

6. 3. 수술적 치료



하대정맥 필터가 유리하다고 여겨지는 상황은 두 가지가 있는데, 하나는 항응고 치료가 금기시되는 경우(예: 주요 수술 직후)이고, 다른 하나는 항응고제를 투여받고 있음에도 폐색전증이 발생하는 경우이다.[87] 이러한 경우, 새로 발생하거나 기존의 심부 정맥 혈전증(DVT)이 폐동맥으로 유입되어 기존의 막힘과 결합하는 것을 방지하기 위해 이 장치를 삽입할 수 있다.[87] 폐색전증을 예방한다는 이 장치의 이론적 이점에도 불구하고, 그 효과를 뒷받침하는 증거는 부족하다.[95]

하대정맥 필터는 항응고 치료를 시작하는 것이 안전해지는 즉시 제거해야 한다.[87] 최신 필터는 회수 가능하도록 만들어졌지만, 합병증으로 인해 일부를 제거하지 못할 수 있다. 필터를 영구적으로 신체 내에 남겨두는 장기적인 안전성 프로파일은 알려져 있지 않다.[95]

급성 폐색전증(폐 혈전 제거술)의 외과적 관리는 흔하지 않으며 장기적인 결과가 좋지 않아 대부분 사용되지 않는다. 그러나 최근 수술 기술의 개선으로 다시 주목받기 시작했으며, 특정 환자에게는 도움이 될 것으로 여겨진다.[96] 폐 고혈압을 유발하는 만성 폐색전증(''만성 혈전색전성 고혈압증''이라고도 함)은 폐 혈전 내막 절제술이라고 하는 수술 절차로 치료한다.[97]

7. 예방

폐색전증은 위험 요인이 있는 사람들에게서 예방이 가능할 수 있다. 병원에 입원한 환자는 분획 헤파린, 저분자량 헤파린 (LMWH), 또는 폰다파리눅스를 포함한 예방적 약물, 그리고 다리에서 혈전증이 발생하여 폐로 이동하는 위험을 줄이기 위한 항혈전 스타킹을 처방받을 수 있다.[79]

이전에 폐색전증을 겪었던 환자들의 항응고 치료가 완료된 후에는 장기간의 아스피린 복용이 재발을 예방하는 데 도움이 된다.[80] 폐색전증 예방은 수술 후 조기 운동, 앉아 있을 때의 하지 운동, 여러 종류의 수술 후 항응고제 사용 등이 있다.[126]

8. 예후

폐색전증의 예후는 영향을 받은 폐의 양과 다른 질병의 동반 여부에 따라 다르며, 폐로의 만성 색전증은 폐 고혈압으로 이어질 수 있다.[98] 대량 폐색전증 후 환자가 생존하려면 색전증을 어떻게든 해결해야 한다. 혈전성 폐색전증의 경우 혈전은 섬유소 용해에 의해 분해되거나, 혈전 내에 새로운 통로가 형성되도록 조직화되고 재개통될 수 있다. 혈류는 폐색전증 발생 후 처음 1~2일 동안 가장 빠르게 회복된다.[99] 그 이후 개선 속도는 느려지고 일부 결손은 영구적일 수 있다.

작은 분절 폐색전증의 치료 필요성에 대해서는 논란이 있으며[100], 분절 폐색전증 환자는 치료 없이도 잘 지낼 수 있다는 증거도 있다.[60][101] 항응고 요법을 중단하면 치명적인 폐색전증의 위험은 연간 0.5%이다.[102]

치료하지 않은 폐색전증의 사망률은 26%라고 한다. 이 수치는 1960년 Barrit과 Jordan이 발표한 연구에서 나왔는데, 이들은 1957년 브리스톨 왕립 병원에서 폐색전증 치료에서 항응고제의 역할을 조사하기 위해 위약 대조 시험을 실시했다.[103] 그 결과가 매우 설득력이 있어서 다시는 시험을 반복하지 않았다고 한다. 그러나 위약군에서 보고된 26%의 사망률은 당시의 기술로는 심각한 폐색전증만 감지했을 수 있다는 점을 감안할 때 과장된 수치일 가능성이 높다.[104]

폐동맥에서 관찰되는 큰 안장 혈전(흰색 화살표)


증상이 나타난 급성 폐색전증 환자의 5~10% 미만이 증상 발생 후 1시간 이내에 사망한다.[98][89] 3개월간 사망률은 17%이며, 혈역학적 불안정 환자는 사망률이 50%이다. 저혈압, 심인성 쇼크, 실신, 우심실 기능 부전의 증거 및 상승된 심장 효소 등은 위험을 계층화하는 데 사용되는 여러 지표이며, 이는 또한 불리한 결과의 독립적인 예측 인자이기도 하다.[98] 우심실 부하를 포함한 일부 심전도 변화도 단기 예후 악화와 관련이 있다.[22] 만성 폐쇄성 폐 질환(COPD) 및 만성 심부전과 같은 다른 환자 관련 요인도 예후에 영향을 미치는 것으로 생각된다.[98]

PESI 및 sPESI(단순 폐색전증 중증도 지수) 점수 도구는 환자의 사망률을 추정할 수 있다. 제네바 예측 규칙 및 웰스 기준은 환자의 사전 검사 확률을 계산하여 폐색전증 환자를 예측하는 데 사용된다. 이 점수는 진단 검사 및 치료 유형을 결정할 때 임상 판단과 함께 사용되는 도구이다.[105] PESI 알고리즘은 11개의 일상적으로 사용 가능한 임상 변수로 구성된다.[106] 이는 피험자를 5개 등급(I~V) 중 하나로 분류하며, 30일 사망률은 1.1%에서 24.5%까지이다. I 및 II 등급은 저위험군이고, III~V 등급은 고위험군이다.[106]

참조

[1] 웹사이트 What Is Pulmonary Embolism? https://www.nhlbi.ni[...] 2011-07-01
[2] 웹사이트 What Are the Signs and Symptoms of Pulmonary Embolism? https://www.nhlbi.ni[...] 2011-07-01
[3] 서적 Emergency Medicine: A Comprehensive Study Guide (Emergency Medicine (Tintinalli)) McGraw-Hill Companies
[4] 서적 Harrison's Principles of Internal Medicine McGraw-Hill
[5] 논문 Deep vein thrombosis and pulmonary embolism https://www.scienced[...] 2016-06-30
[6] 웹사이트 What Causes Pulmonary Embolism? https://www.nhlbi.ni[...] 2011-07-01
[7] 논문 Amniotic fluid embolism: review 2014
[8] 웹사이트 How Is Pulmonary Embolism Diagnosed? https://www.nhlbi.ni[...] 2011-07-01
[9] 웹사이트 Other Names for Pulmonary Embolism https://www.nhlbi.ni[...] 2011-07-01
[10] 웹사이트 How Can Pulmonary Embolism Be Prevented? https://www.nhlbi.ni[...] 2011-07-01
[11] 논문 Pulmonary Embolism 2013
[12] 웹사이트 How Is Pulmonary Embolism Treated? https://www.nhlbi.ni[...] 2011-07-01
[13] 논문 Thrombosis: a major contributor to global disease burden 2014-11
[14] 논문 Acute pulmonary embolism: an update on diagnosis and management 2005-02
[15] 논문 Age-sex specific pulmonary embolism-related mortality in the USA and Canada, 2000–18: an analysis of the WHO Mortality Database and of the CDC Multiple Cause of Death database 2020-10
[16] 웹사이트 Who Is at Risk for Pulmonary Embolism? https://www.nhlbi.ni[...] 2011-07-01
[17] 서적 Medical-surgical nursing: Assessment and management of clinical problems Elsevier Mosby 2014
[18] 논문 Prevalence of pulmonary embolism in patients presenting with syncope. A systematic review and meta-analysis 2018-04
[19] 간행물 Physiology, Pleural Fluid https://www.ncbi.nlm[...] StatPearls Publishing 2024-11-15
[20] 논문 Diagnosis of pulmonary embolism in the coronary care unit 2009-03
[21] 문서 "Quick Essentials: Emergency Medicine"
[22] 논문 Management of massive and submassive pulmonary embolism, iliofemoral deep vein thrombosis, and chronic thromboembolic pulmonary hypertension: a scientific statement from the American Heart Association 2011-04
[23] 서적 Ferri's Clinical Advisor Mosby's 2012
[24] 서적 StatPearls [Internet]. StatPearls Publishing
[25] 논문 Estrogen and progestogen effect on venous thromboembolism in menopausal women 2012-06
[26] 논문 Mechanisms of estrogen-induced venous thromboembolism 2010-07
[27] 논문 Estradiol Therapy in the Perioperative Period: Implications for Transgender People Undergoing Feminizing Hormone Therapy 2020-09
[28] 논문 Progestin-only contraception and thromboembolism: A systematic review 2016
[29] 논문 The diagnosis and management of pulmonary embolism 2020-01
[30] 웹사이트 Pulmonary embolus http://pacificschool[...] 2017-04-24
[31] 논문 Research productivity in Pakistan heart journal from 2005 to 2018: a scientometric study. 2019-03
[32] 웹사이트 Five Things Physicians and Patients Should Question http://choosingwisel[...] American College of Radiology 2012-08-17
[33] 논문 Diagnostic pathways in acute pulmonary embolism: recommendations of the PIOPED II Investigators 2007-01
[34] 논문 Accuracy of clinical assessment of deep-vein thrombosis 1995-05
[35] 논문 Use of a clinical model for safe management of patients with suspected pulmonary embolism 1998-12
[36] 논문 Derivation of a simple clinical model to categorize patients probability of pulmonary embolism: increasing the models utility with the SimpliRED D-dimer 2000-03
[37] 논문 Excluding pulmonary embolism at the bedside without diagnostic imaging: management of patients with suspected pulmonary embolism presenting to the emergency department by using a simple clinical model and d-dimer 2001-07
[38] 논문 Comparison of a clinical probability estimate and two clinical models in patients with suspected pulmonary embolism. ANTELOPE-Study Group 2000-02
[39] 논문 Effectiveness of managing suspected pulmonary embolism using an algorithm combining clinical probability, D-dimer testing, and computed tomography 2006-01
[40] 논문 Appropriateness of diagnostic management and outcomes of suspected pulmonary embolism 2006-02
[41] 논문 ACEP releases clinical policy on evaluation and management of pulmonary embolism http://www.aafp.org/[...] 2003-08
[42] 논문 A prospective reassessment of the utility of the Wells score in identifying pulmonary embolism 2007-09
[43] 논문 Is stand-alone D-dimer testing safe to rule out acute pulmonary embolism? 2017-02
[44] 논문 Clinical criteria to prevent unnecessary diagnostic testing in emergency department patients with suspected pulmonary embolism 2004-08
[45] 논문 Prospective multicenter evaluation of the pulmonary embolism rule-out criteria 2008-05
[46] 논문 VIDAS D-dimer in combination with clinical pre-test probability to rule out pulmonary embolism. A systematic review of management outcome studies 2009-05
[47] 논문 Comparison of diagnostic accuracies in outpatients and hospitalized patients of D-dimer testing for the evaluation of suspected pulmonary embolism 2003-09
[48] 논문 D-dimer test for excluding the diagnosis of pulmonary embolism 2016-08
[49] 논문 Evaluation of Patients With Suspected Acute Pulmonary Embolism: Best Practice Advice From the Clinical Guidelines Committee of the American College of Physicians 2015-11
[50] 논문 Diagnostic accuracy of conventional or age adjusted D-dimer cut-off values in older patients with suspected venous thromboembolism: systematic review and meta-analysis 2013-05
[51] 논문 Wells Rule and d-Dimer Testing to Rule Out Pulmonary Embolism: A Systematic Review and Individual-Patient Data Meta-analysis 2016-08
[52] 서적 Prehospital Emergency Care, 10e. Pearson Education, Inc.
[53] 논문 Biomarkers in pulmonary embolism 2004-11
[54] 논문 2014 ESC guidelines on the diagnosis and management of acute pulmonary embolism 2008-09
[55] Review SPECT in acute pulmonary embolism 2009-12
[56] 논문 Diagnostic characteristics of lower limb venous compression ultrasonography in suspected pulmonary embolism: a meta-analysis 2016-09
[57] 논문 Imaging for the exclusion of pulmonary embolism in pregnancy 2017-01
[58] 논문 MDCT for the diagnosis of acute pulmonary embolism 2005-11
[59] 논문 Accuracy of single-detector spiral CT in the diagnosis of pulmonary embolism: a prospective multicenter cohort study of consecutive patients with abnormal perfusion scintigraphy 2005-01
[60] 논문 Multidetector computed tomography for acute pulmonary embolism 2006-06
[61] 논문 Computed tomographic pulmonary angiography vs ventilation-perfusion lung scanning in patients with suspected pulmonary embolism: a randomized controlled trial 2007-12
[62] 논문 Investigating suspected pulmonary embolism in pregnancy http://www.bmj.com/c[...] 2007-02
[63] 논문 An official American Thoracic Society/Society of Thoracic Radiology clinical practice guideline: evaluation of suspected pulmonary embolism in pregnancy 2011-11
[64] 논문 SPECT/CT and pulmonary embolism 2014-05
[65] 논문 Chest radiographic findings in patients with acute pulmonary embolism: observations from the PIOPED Study 1993-10
[66] 웹사이트 Thrombosis and Embolism during Pregnancy and the Puerperium, the Acute Management of (Green-top Guideline No. 37b) https://www.rcog.org[...] Royal College of Obstetricians & Gynaecologists 2018-06-04
[67] 논문 2014 ESC guidelines on the diagnosis and management of acute pulmonary embolism 2014-11
[68] 논문 Best evidence topic report. Diagnostic utility of electrocardiogram for diagnosing pulmonary embolism 2005-10
[69] 서적 Emergency medicine avoiding the pitfalls and improving the outcomes https://books.google[...] Blackwell Pub./BMJ Books
[70] 논문 Acute cor pulmonale resulting from pulmonary embolism
[71] 논문 Diagnostic value of the electrocardiogram in suspected pulmonary embolism 2000-10
[72] 서적 Emergency medicine: avoiding the pitfalls and improving the outcomes Blackwell Pub./BMJ Books
[73] 논문 Findings From 12-lead Electrocardiography That Predict Circulatory Shock From Pulmonary Embolism: Systematic Review and Meta-analysis 2015-10
[74] 논문 Differences in negative T waves among acute coronary syndrome, acute pulmonary embolism, and Takotsubo cardiomyopathy 2012-12
[75] 논문 Cardiac biomarkers for risk stratification of patients with acute pulmonary embolism 2003-11
[76] 논문 Predictive value of the high-sensitivity troponin T assay and the simplified Pulmonary Embolism Severity Index in hemodynamically stable patients with acute pulmonary embolism: a prospective validation study 2011-12
[77] 논문 Regional right ventricular dysfunction detected by echocardiography in acute pulmonary embolism 1996-08
[78] 웹사이트 UOTW #2 Answer - Ultrasound of the Week https://www.ultrasou[...] 2014-06-16
[79] 간행물 Venous thromboembolism: reducing the risk: Reducing the risk of venous thromboembolism (deep vein thrombosis and pulmonary embolism) in patients admitted to hospital NICE 2010-01
[80] 논문 Antithrombotic Therapy for VTE Disease: CHEST Guideline and Expert Panel Report 2016-02
[81] 논문 Can selected patients with newly diagnosed pulmonary embolism be safely treated without hospitalization? A systematic review 2012-11
[82] 논문 Anticoagulant treatment for subsegmental pulmonary embolism 2016-01
[83] 논문 Fixed dose subcutaneous low molecular weight heparins versus adjusted dose unfractionated heparin for the initial treatment of venous thromboembolism 2017-02
[84] 논문 Oral direct thrombin inhibitors or oral factor Xa inhibitors versus conventional anticoagulants for the treatment of pulmonary embolism 2023-04
[85] 논문 Extended Anticoagulation for VTE: A Systematic Review and Meta-Analysis 2019-06
[86] 논문 Anticoagulant treatment for subsegmental pulmonary embolism 2020-02
[87] 간행물 Venous thromboembolic diseases: the management of venous thromboembolic diseases and the role of thrombophilia testing NICE 2012
[88] 논문 Update on Thrombolytic Therapy in Acute Pulmonary Thromboembolism 2019-06
[89] 논문 Part 10: Special Circumstances of Resuscitation: 2015 American Heart Association Guidelines Update for Cardiopulmonary Resuscitation and Emergency Cardiovascular Care 2015-11
[90] 논문 Catheter-directed therapy for the treatment of massive pulmonary embolism: systematic review and meta-analysis of modern techniques 2009-11
[91] 논문 Ultrasound-assisted thrombolysis for acute pulmonary embolism: a systematic review 2014-03
[92] 논문 Thrombolytic therapy for pulmonary embolism 2021-04
[93] 논문 Impact of the efficacy of thrombolytic therapy on the mortality of patients with acute submassive pulmonary embolism: a meta-analysis 2014-07
[94] 논문 Thrombolysis for pulmonary embolism and risk of all-cause mortality, major bleeding, and intracranial hemorrhage: a meta-analysis 2014-06
[95] 논문 Vena caval filters for the prevention of pulmonary embolism 2020-10
[96] 논문 Invasive approaches to treatment of venous thromboembolism 2004-08
[97] 서적 Pulmonary Circulation: Diseases and Their Treatment CRC Press
[98] 논문 2014 ESC guidelines on the diagnosis and management of acute pulmonary embolism 2014-11
[99] 논문 Resolution of pulmonary embolism 1970-10
[100] 논문 Diagnosis and management of subsegmental pulmonary embolism 2006-04
[101] 논문 Accuracy or outcome in suspected pulmonary embolism 2006-06
[102] 논문 Risk of fatal pulmonary embolism was 0.49 per 100 person-years after discontinuing anticoagulant therapy for venous thromboembolism 2008-10
[103] 논문 Anticoagulant drugs in the treatment of pulmonary embolism. A controlled trial 1960-06
[104] 논문 The limitations of laboratory methods in the diagnosis of pulmonary embolism 1967-01
[105] 논문 Prognostic models for selecting patients with acute pulmonary embolism for initial outpatient therapy 2007-07
[106] 논문 The prognostic value of pulmonary embolism severity index in acute pulmonary embolism: a meta-analysis 2012-12
[107] 논문 Epidemiology, Pathophysiology, and Natural History of Pulmonary Embolism 2018-06
[108] 서적 Basic Pathology Elsevier
[109] 논문 Trends in mortality related to pulmonary embolism in the European Region, 2000–15: analysis of vital registration data from the WHO Mortality Database 2020-03
[110] 웹사이트 What Is Pulmonary Embolism? https://www.nhlbi.ni[...]
[111] 웹사이트 Who Is at Risk for Pulmonary Embolism? https://www.nhlbi.ni[...]
[112] 웹사이트 What Causes Pulmonary Embolism? https://www.nhlbi.ni[...]
[113] 논문
[114] 웹사이트 Other Names for Pulmonary Embolism https://www.nhlbi.ni[...]
[115] 웹사이트 What Are the Signs and Symptoms of Pulmonary Embolism? https://www.nhlbi.ni[...]
[116] 서적
[117] 서적
[118] 간행물
[119] 논문 Diagnosis of Pulmonary Embolism with d-Dimer Adjusted to Clinical Probability https://doi.org/10.1[...]
[120] 간행물
[121] 논문 Differences in negative T waves among acute coronary syndrome, acute pulmonary embolism, and Takotsubo cardiomyopathy https://doi.org/10.1[...] Oxford University Press (OUP)
[122] 논문 心電図が決め手であったのに:「心筋梗塞」と誤診されてしまった2剖検例 https://doi.org/10.1[...] 日本心臓財団
[123] 웹사이트 How Is Pulmonary Embolism Diagnosed? https://www.nhlbi.ni[...]
[124] 웹사이트 How Is Pulmonary Embolism Treated? https://www.nhlbi.ni[...]
[125] 웹사이트 Living With Pulmonary Embolism https://www.nhlbi.ni[...]
[126] 웹사이트 How Can Pulmonary Embolism Be Prevented? https://www.nhlbi.ni[...]
[127] 논문
[128] 논문
[129] 서적
[130] 웹인용 What Are the Signs and Symptoms of Pulmonary Embolism? https://www.nhlbi.ni[...] 2011-07-01
[131] 서적 Harrison's Principles of Internal Medicine McGraw-Hill
[132] 웹인용 Who Is at Risk for Pulmonary Embolism? https://www.nhlbi.ni[...] 2011-07-01
[133] 웹인용 How Is Pulmonary Embolism Diagnosed? https://www.nhlbi.ni[...] 2011-07-01
[134] 저널 Antithrombotic Therapy for VTE Disease: CHEST Guideline and Expert Panel Report 2016-02
[135] 웹인용 What Is Pulmonary Embolism? https://www.nhlbi.ni[...] 2011-07-01
[136] 저널 Acute pulmonary embolism: an update on diagnosis and management 2005-02
[137] 저널 Thrombosis: a major contributor to global disease burden 2014-11
[138] 서적 Basic Pathology Elsevier
[139] 웹사이트 대한의협 의학용어 사전 https://www.kmle.co.[...]



본 사이트는 AI가 위키백과와 뉴스 기사,정부 간행물,학술 논문등을 바탕으로 정보를 가공하여 제공하는 백과사전형 서비스입니다.
모든 문서는 AI에 의해 자동 생성되며, CC BY-SA 4.0 라이선스에 따라 이용할 수 있습니다.
하지만, 위키백과나 뉴스 기사 자체에 오류, 부정확한 정보, 또는 가짜 뉴스가 포함될 수 있으며, AI는 이러한 내용을 완벽하게 걸러내지 못할 수 있습니다.
따라서 제공되는 정보에 일부 오류나 편향이 있을 수 있으므로, 중요한 정보는 반드시 다른 출처를 통해 교차 검증하시기 바랍니다.

문의하기 : help@durumis.com