기저세포암
"오늘의AI위키"의 AI를 통해 더욱 풍부하고 폭넓은 지식 경험을 누리세요.
1. 개요
기저세포암은 햇빛 노출과 관련된 피부암으로, 주로 윤기 있고 진주 같은 결절 형태로 나타난다. DNA 손상과 면역 체계 억제가 주요 원인이며, 드물게 유전 질환과 관련되기도 한다. 진단을 위해 피부 생검을 실시하며, 조직병리학적 특징과 성장 패턴에 따라 여러 유형으로 분류된다. 치료 방법으로는 외과적 절제술, 모즈 수술, 냉동 수술, 전기 소작술 및 큐렛 소파술, 약물 치료, 면역 치료, 방사선 치료, 광역동 치료 등이 있으며, 조기 치료 시 예후가 매우 좋다. 전 세계적으로 흔하게 발생하며, 한국에서도 피부암 중 높은 발생 빈도를 보인다.
더 읽어볼만한 페이지
- 피부 신생물 - 피부암
피부암은 피부 세포에서 발생하는 악성 종양으로, 자외선 노출, 유전적 요인, 면역 저하 등이 원인이 되며 기저세포암, 편평상피세포암, 흑색종으로 나뉘고 조기 발견과 자외선 차단이 중요하다. - 피부 신생물 - 흑색종
흑색종은 멜라닌 세포에서 발생하는 악성 피부암으로, 자외선 노출과 유전적 요인이 주요 원인이며, ABCDEEFG 규칙으로 인지 가능한 초기 증상과 수술, 면역 요법 등으로 치료하고, 종양 두께와 림프절 전이 여부에 따라 예후가 결정되는, 특히 자외선 노출이 강한 지역 백인에게서 발병률이 높은 암이다. - 암종 - 이행세포암종
이행세포암종은 이행상피세포에서 기원하는 악성 종양으로, 흡연, 특정 화학 물질, 방사선 노출 등이 위험 요인이며, 혈뇨를 유발하고, 외과적 절제술, 화학 요법, 면역 요법 등으로 치료하며, 유전체 이상이 발병에 관여한다. - 암종 - 소세포암종
소세포암종은 폐에서 주로 발생하고 빠르게 전이되는 미분화된 악성 종양으로, 임상병리학적으로 제한기와 확장기로 나뉘며 흡연이 주요 위험 요인이고, 화학 요법, 면역 요법, 방사선 치료 등으로 치료한다. - 조직병리학 - 지방간
지방간은 간에 중성 지방이 과도하게 축적되어 발생하는 질환으로, 알코올성 및 비알코올성으로 분류되며, 비만, 당뇨병 등과 관련이 깊고 간 섬유화, 간경변, 간암으로 진행될 수 있어 섭취 칼로리 조절, 약물 치료 등을 통해 치료한다. - 조직병리학 - 질-닐슨 염색
질-닐슨 염색은 결핵균 등 항산성 세균 검출을 위해 개발된 염색 방법으로, 석탄산 푹신으로 1차 염색 후 산성 알코올로 탈색하고 대비 염색하여 항산성 세균을 붉은색으로, 비항산성 세균을 다른 색으로 염색한다.
| 기저세포암 | |
|---|---|
| 질병 정보 | |
| 세부 정보 | |
| 발병 시기 | |
| 지속 기간 | |
| 종류 | |
| 원인 | |
| 예방 | |
| 약물 | |
| 이미지 | |
2. 원인
기저세포암의 대부분은 햇빛에 노출된 신체 부위에서 발생한다.[15] 과도한 햇빛 노출은 DNA 손상의 한 형태인 티민 이량체 형성을 유발한다.[21][22] DNA 복구가 대부분의 UV 유도 손상을 제거하지만, 모든 가교결합이 잘려나가는 것은 아니기에 돌연변이를 유발하는 누적된 DNA 손상이 발생한다. 돌연변이 생성 외에도 과도한 햇빛 노출은 국소 면역 체계를 억제하여 새로운 종양 세포에 대한 면역 감시를 감소시킬 수 있다.[21][22] DNA 복구 능력 감소는 일반 인구에서 햇빛 유도 피부 발암의 주요 원인 중 하나로 여겨진다.[21][22]
기저세포암은 주로 윤기 있고 진주 같은 피부 결절 형태로 나타난다.[14] 그러나 표재성 기저세포암은 습진과 유사한 붉은 반점으로 나타날 수 있다.[14] 침윤성 또는 경화성 기저세포암은 피부 두꺼워짐이나 흉터 조직으로 나타날 수 있어 진단이 어려울 수 있다.[14]
기저세포암을 진단하기 위해 조직병리학적 분석을 위한 피부 생검을 수행한다.[25] 가장 흔한 방법은 국소 마취 하에 시행하는 절제 생검이다.[25] 대부분의 결절성 기저세포암은 임상적으로 진단할 수 있지만, 다른 변종은 진피 모반, 피지선종, 섬유성 구진, 초기 여드름 흉터, 비후성 흉터와 같은 양성 병변과 구별하기가 매우 어려울 수 있다.[25] 임상적 의심이 높지만 불분명할 경우, 박리 세포학적 방법은 기저세포암 진단을 확인하는 데 높은 민감도와 특이성을 갖지만 그 외에는 유용성이 불분명하다.[26] 절제연 근처의 의심되지만 불확실한 기저 세포 암종 세포에서는 BerEp4를 이용한 면역조직화학 염색으로 기저 세포 암종 세포를 강조할 수 있다.[28]
기저세포암은 종종 광선 각화증, 지루 각화증, 편평 세포 암종과 같은 다른 피부 병변과 함께 나타날 수 있다.[23] 드물게 모반 기저 세포 암종 증후군(고린 증후군)의 결과로 발생하기도 하는데, 이 증후군은 턱의 각화낭성 치성 종양, 손바닥 또는 발바닥의 구덩이, 대뇌 낫의 석회화 및 갈비뼈 이상을 특징으로 한다.[24] 이 증후군의 원인은 염색체 9q22.3에 위치한 PTCH1 종양 억제 유전자의 돌연변이로, 고슴도치 신호 전달 경로를 억제한다. 고슴도치 경로에 있는 SMO 유전자의 돌연변이 또한 기저 세포 암종을 유발한다.[24]
3. 증상

기저세포암은 여드름 흉터, 광선 탄력 섬유증, 최근의 냉동 수술 염증과 시각적으로 구별하기 어려운 경우가 많다.[14]
4. 진단
5. 병리학적 특징 및 분류

현미경으로 보았을 때, 기저세포암 세포는 표피 기저 세포와 유사하며, 일반적으로 분화가 잘 되어 있다.[27] 불확실한 경우, BerEP4를 사용한 면역조직화학 검사를 사용할 수 있으며, 이는 BCC 세포만을 감지하는 높은 민감도와 특이성을 갖는다.[28]
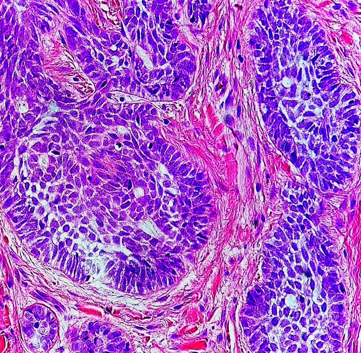
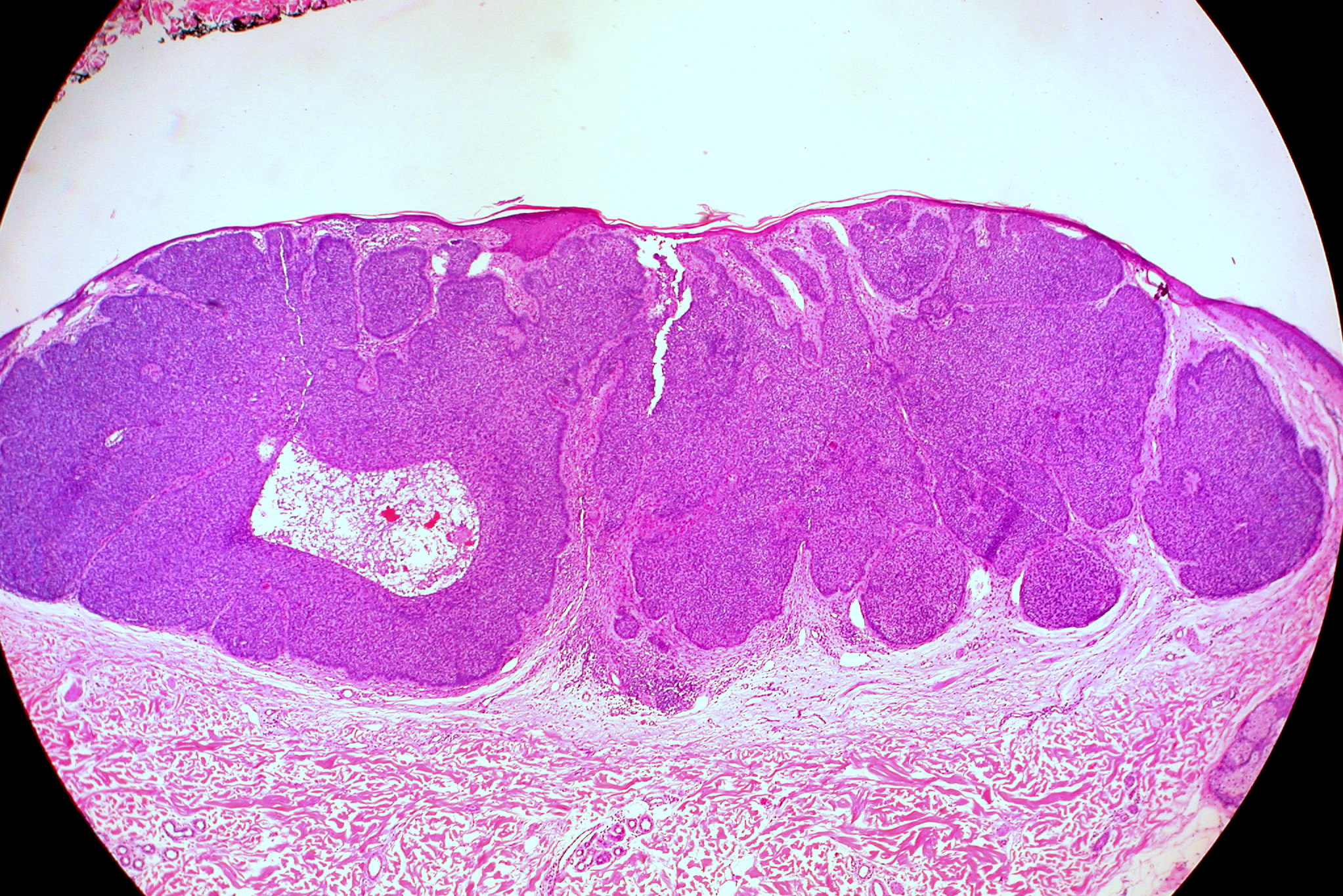
기저 세포와 유사한 핵 세포질 비율이 높은 종양 세포가 둥지, 기둥, 띠, 삭 모양으로 이루어진 피부 악성 종양이다.[70] 둥지의 가장 바깥쪽 세포는 마치 정상 중층 편평 상피의 기저 세포를 모방하듯이 주변 조직과의 경계면에 직교하여 배열되어 있는데, 이를 "울타리 배열"이라고 한다. 종양과 기저막 경계에 반접착 반점(헤미데스모솜)이 결여되어 종양과 간질 사이에 인공적인 틈이 자주 관찰된다.[70]
WHO 분류(2006)에서는 다음과 같은 변종을 기술하고 있다.5. 1. 주요 유형
기저세포암은 성장 패턴에 따라 크게 세 그룹으로 나뉜다.[29][31][32]
표재성 기저세포암은 이전에는 상피내 기저세포암이라고 불렸으며, 신생 기저세포의 표재성 증식이 특징이다. 이 종양은 일반적으로 이미퀴모드나 플루오로우라실과 같은 국소 화학 요법에 반응하지만, 수술적 치료가 완전한 제거를 보장하고 초기 생검에서 채취되지 않은 더 공격적인 아형이 없는지 확인하는 데 더 효과적이다. 주로 몸통에서 발생하며 홍반성 반점으로 나타난다.[31][32]
침윤성 기저세포암은 모페아형 및 미세결절형 기저세포암을 포함하며, 피부의 더 깊은 층으로 침투하는 경향이 있어 보존적 방법으로 치료하기가 더 어렵다.
결절성 기저세포암은 모든 기저세포암의 50%를 차지한다.[29] 햇빛에 노출되는 머리와 목 부위에 가장 흔하게 발생한다.[31][32] 조직 병리학적 검사 결과, 경계가 뚜렷하고 세포의 주변 울타리 배열을 보이며 하나 이상의 전형적인 틈새를 가진 기저 세포 집합체가 나타난다.[29] 이러한 틈새는 조직 고정 및 염색 과정에서 점액의 수축으로 인해 발생한다.[30] 호산성 과립 특징을 가진 중심부 괴사뿐만 아니라 점액도 존재할 수 있다. 점액의 많은 집합체는 낭성 구조를 결정한다. 특히 오랫동안 지속된 병변에서는 석회화가 나타날 수 있다.[29]
기저 세포 암종의 다른 더 구체적인 아형은 다음과 같다:[31][32]
기저 세포와 유사한 핵 세포질 비율이 높은 종양 세포의 둥지, 기둥, 띠, 삭으로 이루어진 피부 악성 종양[70]。둥지의 최외곽 세포는 마치 정상 중층 편평 상피의 기저 세포를 모방하듯이 주변 조직과의 경계면에 직교하여 배열되어 있다. 이를 "울타리 배열"이라고 한다. 종양과 기저막의 경계에 반접착 반점 헤미데스모솜이 결여되어 종양과 간질 사이에 인공적인 틈이 자주 관찰된다.
WHO 분류(2006)에서는 표재성 기저 세포 암종, 결절성 기저 세포 암종, 소결절성 기저 세포 암종, 침윤성 기저 세포 암종, 섬유상피성 기저 세포 암종, 부속기 분화를 동반한 기저 세포 암종, 기저 편평 세포 암종, 각화성 기저 세포 암종, 기타 변종등이 기술되어 있다.
5. 2. 공격성에 따른 분류
암세포의 응집성을 기준으로, 공격성은 주로 세 가지 패턴으로 나타난다.[35]| 낮은 수준의 공격성 패턴 | 중간 정도의 공격성 패턴 | 높은 수준의 공격성 패턴 |
|---|---|---|
기저 세포와 유사한 핵 세포질 비율이 높은 종양 세포의 둥지, 기둥, 띠, 삭으로 이루어진 피부 악성 종양[70]。둥지의 최외곽 세포는 마치 정상 중층 편평 상피의 기저 세포를 모방하듯이 주변 조직과의 경계면에 직교하여 배열되어 있다. 이를 "울타리 배열"이라고 한다. 종양과 기저막의 경계에 반접착 반점 헤미데스모솜이 결여되어 종양과 간질 사이에 인공적인 틈이 자주 관찰된다.
WHO 분류(2006)에서는 표재성 기저 세포 암종, 결절성 기저 세포 암종, 소결절성 기저 세포 암종, 침윤성 기저 세포 암종, 섬유상피성 기저 세포 암종, 부속기 분화를 동반한 기저 세포 암종, 기저 편평 세포 암종, 각화성 기저 세포 암종, 기타 변종이 기술되어 있다.
6. 치료
기저 세포 암종(BCC) 치료에는 여러 방법이 사용된다. 원칙적으로 수술로 종양을 절제하며, 전이는 거의 일어나지 않으므로 완전히 절제되면 예후는 양호하다. 다만, 수술 흉터가 광범위하게 발생하는 경우에는 성형외과적인 피부 재건이 필요할 수 있다.
- 외과적 절제술: 기저 세포 암종과 주변 피부를 제거하는 수술은 가장 효과적인 치료법으로 여겨진다.[41] 그러나 얼굴의 기저 세포 암종은 일반적인 외과적 절제술 후 재발률이 높다는 보고가 있다.[42] 특히 눈꺼풀,[43] 코, 얼굴 구조 주변에서 재발률이 높다.[44] 아랫입술 기저 세포 암종 절제술의 경우, 키스톤 피판으로 상처를 덮을 수 있다. 키스톤 피판은 결손 부위 아래에 피판을 만들어 상처를 덮기 위해 위쪽으로 당기는 방식이다. 이는 결손 부위를 덮을 만큼 충분한 피부 이완성이 있고 피판에 적절한 혈액 공급이 있는 경우에 가능하다.[46]
- 모즈 수술 (프레데릭 E. 모스 개발): 재발 위험이 높거나 머리, 목, 손, 발, 생식기 및 앞다리(정강이) 등 미용적으로 중요한 부위에 발생한 기저세포암에 고려된다.[47][48] 외래 환자 시술로, 종양을 외과적으로 절제한 후 즉시 현미경으로 암세포를 검사한다.[24] 수술 중 각 조직 제거 후, 암세포 검사 결과에 따라 추가 조직 제거 여부를 결정한다.[48] 모즈 수술은 편평 세포 암종, 흑색종 등 다른 피부암에도 사용되며, 일반적으로 다른 치료법보다 높은 완치율을 보인다.[49] Mohs 외과 의사가 직접 수술을 수행하고 현미경 슬라이드를 검토하는 것이 특징이다.[48] 대부분의 표준 절제술은 외부 실험실로 보내져 절제연의 5% 미만이 검사되지만,[50][51] 모즈 수술은 전체 수술 절개면을 검사(CCPDMA)한다.[48]
- 냉동 수술: 많은 피부암 치료에 사용되는 오래된 치료법이다.[52] 온도 프로브와 냉동 요법 도구를 정확하게 사용하면 매우 높은 완치율을 얻을 수 있다. 하지만 경계 조절 부족, 조직 괴사, 종양 과잉/과소 치료, 긴 회복 기간 등의 단점이 있다.[52] 냉동 수술을 기저 세포 암종(BCC)에 대한 합리적인 치료법으로 고려할 수 있을 만큼 충분한 데이터가 있지만,[52] 냉동 수술과 다른 치료법(모스 수술, 절제술, 전기 소작 및 큐렛 시술)을 비교하는 연구는 없어 냉동 수술의 효과에 대한 결론을 내릴 수 없다.[52]
- 전기 소작술 및 큐렛 소파술(EDC): 둥근 칼 또는 큐렛을 사용하여 연성 암을 긁어내는 방식이다. 피부를 전류로 태워 암세포를 제거한다. 피부를 부드럽게 만들어 칼로 다음 큐렛 층을 더 깊게 절개할 수 있게 한다. 육안으로 보이는 종양 주변 정상 피부에 안전 여유를 두고(일반적으로 4~6mm) 3~5회 반복한다. 치료 성공률은 시술자 숙련도와 종양 크기/유형에 따라 달라진다. 침윤성/경화성 기저세포암은 제거하기 어려울 수 있다. 몸통(상체)과 같이 미용적으로 중요하지 않은 부위에 주로 사용된다. 일부 의사들은 70세 이상 노인 환자의 얼굴에 사용하는 것이 적절하다고 생각하지만, 기대 수명이 증가함에 따라 이 기준은 지지하기 어렵다. 일부에서는 전기 소작술 없이 큐렛만 시행하는 것을 옹호하며, 동일한 치료 성공률을 보인다고 주장한다.
- 약물 치료:
- 5-플루오로우라실: 표재성 기저세포암 일부는 국소 화학요법제인 5-플루오로우라실 사용에 반응을 보이며, 염증을 유발할 수 있다.[56] 5-플루오로우라실은 미국 식품의약국(FDA) 승인을 받았다. 침습적인 부분을 제거한 후 잔여 표재성 기저세포암 제거를 위해 모스 수술 후 화학요법을 시행하기도 한다. 수술 상처 치유 확인을 위해 면역 요법 또는 화학 요법 시작 전 한 달 이상 기다리기도 한다.[54]
- 비스모데깁, 소니데깁: 기저세포암(BCC) 치료 승인 약물이지만, 가격이 비싸고 임산부에게는 사용할 수 없다.
- 이트라코나졸: 전통적 항진균제이나, 수술로 제거할 수 없는 기저세포암 치료에 사용될 가능성이 제기된다. 항-헤지호그 경로 활성을 가지며, 단독/비스모데깁/소니데깁과 병용하여 원발성 및 재발성 기저세포암에 대해 어느 정도 효능을 보인다는 임상 증거가 있다. 전이성 기저세포암에 대한 효능 보고 사례도 있다.[57]
- 면역 치료: 신체 면역 체계를 이용하여 암 세포를 죽이는 방법이다.[54] 면역 체계 개선은 암 세포까지 작용하여 피부암을 치료한다. 5% 이미퀴모드 크림(IMQ)을 일주일에 5번 6주 동안 국소 사용하면 기저세포암(BCC)을 줄이거나 제거하는 데 70~90%의 성공률을 보인다.[54] 이미퀴모드는 FDA 승인을 받았으며, 국소용 IMQ는 작은 표재성 기저세포암 치료를 위해 유럽 의약품청 승인을 받았다.[54] 침윤성 기저세포암에 대한 이미퀴모드 비승인 사용이 보고되었다. 이미퀴모드는 암 크기 감소를 위해 수술 전 사용될 수 있다. 일부에서는 암의 표재성 부분 제거를 위해 모스 수술 전 이미퀴모드 사용을 옹호한다.[58] ''Euphorbia peplus''를 사용한 치료가 효과적일 수 있다는 연구가 있다.[59] 호주 생명공학 회사 Peplin[60]은 이것을 BCC 국소 치료제로 개발 중이다.
- 방사선 치료: 외부 빔 방사선 치료 또는 근접 방사선 치료(대부분 내부 방사선 치료)로 제공될 수 있다.[61] 수술을 받을 수 없는 고령 환자에게 주로 사용되지만, 수술적 절제가 변형을 일으키거나 재건이 어려운 경우(특히 코끝, 콧구멍 가장자리)에도 사용된다.[61] 외부 방사선 치료는 5~25회 방문으로 이루어질 수 있다.[61] 치료 방문이 많을수록 종양을 지지하는 정상 조직 손상이 줄어든다.[61] 수술적 절제가 불완전하거나 수술 후 병리 보고서에서 재발 위험이 높은 경우(신경 침범 등)에도 유용하다.[61] 작은 종양은 완치율이 95%, 큰 종양은 80%까지 낮아질 수 있다.[61] 외부 근접 방사선 치료 변형은 표피 방사성 동위 원소 치료법이다(예: 레늄-SCT/Rhenium-SCT영어 형태로 188Re/188Rede 사용).[61] 근접 방사선 치료 적응증과 복잡한 위치/구조(예: 귓불), 생식기에 사용된다.[61] 방사선 치료 후 재발된 종양은 방사선 치료가 아닌 수술로 치료한다.[54] 추가 방사선 치료는 정상 조직에 더 많은 손상을 입힐 수 있으며, 종양이 추가 방사선에 저항성을 가질 수 있다.[54] 모반성 기저 세포 암종 증후군 치료에는 방사선 치료가 금기일 수 있다.[54] 2008년 연구에 따르면 방사선 치료는 원발성/재발성 BCC에 적합하지만, 이전 방사선 치료 후 재발한 BCC에는 적합하지 않다.[54]
- 광역동 치료(PDT): 기저 세포 암종 치료를 위한 새로운 치료법으로, 표적 부위에 광과민제를 적용한다. 빛에 의해 활성화되면 독성이 생겨 표적 세포를 파괴한다.[62] 메틸 아미노레불리네이트는 2001년부터 EU에서 광과민제로 승인되었다.[62] 2008년 연구에 따르면 PDT는 일차 표재성 BCC에 좋은 치료 선택이며, 일차 저위험 결절성 BCC에도 적절하지만, 고위험 병변에는 "상대적으로 좋지 않은" 선택이었다.[54]
6. 1. 외과적 절제술
기저 세포 암종이 영향을 미친 부위와 주변 피부를 제거하는 수술은 가장 효과적인 치료법으로 여겨진다.[41] 일반적인 외과적 절제술은 얼굴의 기저 세포 암종 재발률이 높다는 보고가 있다.[42] 특히 눈꺼풀,[43] 코, 그리고 얼굴 구조 주변에서 재발률이 높다.[44]
아랫입술의 기저 세포 암종 절제술의 경우, 상처를 키스톤 피판으로 덮을 수 있다. 키스톤 피판은 결손 부위 아래에 피판을 만들어 상처를 덮기 위해 위쪽으로 당겨서 얻을 수 있다. 이는 결손 부위를 덮을 만큼 충분한 피부 이완성이 있고 피판에 적절한 혈액 공급이 있는 경우 수행할 수 있다.[46]
원칙적으로 수술로 종양을 절제한다. 전이는 거의 일어나지 않으므로, 완전히 절제되면 예후는 양호하다. 다만, 수술 흉터가 광범위하게 미치는 경우에는 성형외과적으로 피부 재건을 해야 할 필요가 있다.
6. 2. 모즈 미세도식 수술
프레데릭 E. 모스가 개발한 모즈 수술은 재발 위험이 높거나 머리, 목, 손, 발, 생식기 및 앞다리(정강이) 등 미용적으로 중요한 부위에 발생한 기저세포암에 고려된다.[47][48] 이 수술법은 외래 환자 시술로, 종양을 외과적으로 절제한 후 즉시 현미경으로 암세포를 검사한다.[24] 수술 중 각 조직 제거 후, 암세포 검사 결과에 따라 추가 조직 제거 여부를 결정하는 방식이다.[48]모즈 수술은 편평 세포 암종, 흑색종 등 다른 피부암에도 사용되며, 일반적으로 다른 치료법보다 높은 완치율을 보인다.[49] Mohs 외과 의사가 직접 수술을 수행하고, 현미경 슬라이드를 검토하는 것이 이 수술의 중요한 특징이다.[48] 대부분의 표준 절제술은 외부 실험실로 보내져 절제연의 5% 미만이 검사되지만,[50][51] 모즈 수술은 전체 수술 절개면을 검사(CCPDMA)한다.[48]
원칙적으로 수술로 종양을 절제하며, 전이는 거의 일어나지 않아 예후는 양호하다. 하지만, 수술 흉터가 광범위하게 미치는 경우에는 성형외과적으로 피부 재건이 필요할 수 있다.
6. 3. 냉동 수술
냉동 수술은 많은 피부암 치료에 사용되는 오래된 치료법이다.[52] 온도 프로브와 냉동 요법 도구를 사용하여 정확하게 활용하면 매우 높은 완치율을 얻을 수 있다. 단점으로는 경계 조절의 부족, 조직 괴사, 종양의 과잉 또는 과소 치료, 그리고 긴 회복 기간 등이 있다.[52] 전반적으로 냉동 수술을 기저 세포 암종(BCC)에 대한 합리적인 치료법으로 고려할 수 있을 만큼 충분한 데이터가 있다.[52] 하지만 냉동 수술과 다른 치료법, 특히 모스 수술, 절제술 또는 전기 소작 및 큐렛 시술을 비교하는 연구는 없어 냉동 수술이 다른 방법만큼 효과적인지 여부에 대한 결론을 내릴 수 없다.[52]6. 4. 전기 소작술 및 큐렛 소파술
전기 소작술 및 큐렛 소파술(EDC, 큐렛 소작술이라고도 함)은 둥근 칼 또는 큐렛을 사용하여 연성 암을 긁어내는 방식으로 수행된다. 그런 다음 피부를 전류로 태워 암세포를 제거한다. 이 방법은 피부를 더 부드럽게 만들어 칼로 다음 큐렛 층을 더 깊게 절개할 수 있게 한다. 육안으로 보이는 종양 주변의 정상 피부에 안전 여유를 두고 이 주기를 3~5회 반복하며, 처리되는 자유 피부 가장자리는 일반적으로 4~6mm이다.치료 성공률은 시술자의 숙련도와 종양의 크기 및 유형에 따라 달라진다. 침윤성 또는 경화성 기저세포암은 이 방법으로 제거하기 어려울 수 있다. 일반적으로 몸통(상체)과 같이 미용적으로 중요하지 않은 부위에 사용된다. 일부 의사들은 70세 이상의 노인 환자의 얼굴에 이 시술을 사용하는 것이 적절하다고 생각하지만, 기대 수명이 증가함에 따라 이러한 기준은 지지하기 어렵다.
일부에서는 전기 소작술 없이 큐렛만 시행하는 것을 옹호하며, 동일한 치료 성공률을 보인다고 주장한다.
6. 5. 약물 치료
표재성 기저세포암 중 일부는 국소 치료에 화학요법제인 5-플루오로우라실을 사용하여 반응을 보이며, 이 치료법은 상당한 양의 염증을 유발할 수 있다.[56] 5-플루오로우라실은 미국 식품의약국(FDA)의 승인을 받았다. 침습적인 부분을 제거한 후 잔여 표재성 기저세포암을 제거하기 위해 모스 수술 후에 화학요법을 시행하기도 한다. 수술 상처 치유 확인을 위해 면역 요법 또는 화학 요법 시작 전 한 달 이상 기다리기도 한다.[54]비스모데깁과 소니데깁은 기저세포암(BCC) 치료에 승인된 약물이지만, 가격이 비싸고 임산부에게는 사용할 수 없다.
전통적으로 항진균제인 이트라코나졸은 수술로 제거할 수 없는 기저세포암 치료에 사용될 가능성이 제기되고 있다. 이트라코나졸은 항-헤지호그 경로 활성을 가지며, 단독으로 또는 비스모데깁/소니데깁과 병용하여 원발성 및 재발성 기저세포암에 대해 어느 정도 효능을 보인다는 임상적 증거가 있다. 전이성 기저세포암에 대한 효능 보고 사례도 있다.[57]
6. 6. 면역 치료
신체의 면역 체계를 이용하여 암 세포를 죽이는 방법이다.[54] 면역 체계가 개선되면 암 세포까지 작용하여 피부암을 치료한다. 5% 이미퀴모드 크림(IMQ)을 일주일에 5번 6주 동안 국소적으로 사용하면 기저세포암(BCC)을 줄이거나 심지어 제거하는 데 70~90%의 성공률을 보인다고 보고되었다.[54] 이미퀴모드는 FDA 승인을 받았으며, 국소용 IMQ는 작은 표재성 기저세포암 치료를 위해 유럽 의약품청의 승인을 받았다.[54] 침윤성 기저세포암에 대한 이미퀴모드의 비승인 사용이 보고되었다. 이미퀴모드는 암의 크기를 줄이기 위해 수술 전에 사용할 수 있다. 일부에서는 암의 표재성 부분을 제거하기 위해 모스 수술 전에 이미퀴모드를 사용하는 것을 옹호한다.[58] 연구에 따르면 흔한 정원 잡초인 ''Euphorbia peplus''를 사용한 치료가 효과적일 수 있다.[59] 호주의 생명공학 회사인 Peplin[60]은 이것을 BCC의 국소 치료제로 개발하고 있다.6. 7. 방사선 치료
방사선 치료는 외부 빔 방사선 치료 또는 근접 방사선 치료(대부분 내부 방사선 치료)로 제공될 수 있다.[61] 일반적으로 방사선 치료는 수술을 받을 수 없는 고령 환자에게 사용되지만, 수술적 절제가 변형을 일으키거나 재건이 어려운 경우 (특히 코끝과 콧구멍 가장자리)에도 사용된다.[61] 외부 방사선 치료는 5회에서 최대 25회까지의 방문으로 이루어질 수 있다.[61] 일반적으로 치료를 위해 더 많은 방문이 계획될수록 종양을 지지하는 정상 조직에 대한 합병증이나 손상이 줄어든다.[61] 방사선 치료는 또한 수술적 절제가 불완전하게 이루어졌거나 수술 후 병리 보고서에서 재발 위험이 높은 경우, 예를 들어 신경 침범이 확인된 경우에도 유용할 수 있다.[61] 작은 종양의 경우 완치율이 95%에 달할 수 있으며, 큰 종양의 경우 80%까지 낮아질 수 있다.[61] 외부 근접 방사선 치료의 변형은 표피 방사성 동위 원소 치료법(예: 레늄-SCT/Rhenium-SCT영어 형태로 188Re/188Rede을 사용)이다.[61] 이는 근접 방사선 치료의 일반적인 적응증과 특히 복잡한 위치 또는 구조(예: 귓불)뿐만 아니라 생식기에 따라 사용된다.[61]일반적으로 방사선 치료 후 재발된 종양은 방사선 치료가 아닌 수술로 치료한다.[54] 추가적인 방사선 치료는 정상 조직에 더 많은 손상을 입힐 수 있으며, 종양이 추가적인 방사선에 저항성을 가질 수 있다.[54] 방사선 치료는 모반성 기저 세포 암종 증후군의 치료에는 금기일 수 있다.[54] 2008년 연구에 따르면 방사선 치료는 원발성 BCC와 재발성 BCC에 적합하지만, 이전에 방사선 치료를 받은 후 재발한 BCC에는 적합하지 않다고 보고되었다.[54]
6. 8. 광역동 치료 (PDT)
광역동 치료(PDT)는 기저 세포 암종 치료를 위한 새로운 치료법으로, 표적 부위에 광과민제를 적용하여 시행한다. 이 분자들이 빛에 의해 활성화되면 독성이 생겨 표적 세포를 파괴한다.[62] 메틸 아미노레불리네이트는 2001년부터 EU에서 광과민제로 승인되었다.[62] 2008년 연구에 따르면 PDT는 일차 표재성 BCC에 대한 좋은 치료 선택이며, 일차 저위험 결절성 BCC에도 적절하지만, 고위험 병변에는 "상대적으로 좋지 않은" 선택이었다.[54]7. 예후
기저세포암은 조기에 적절한 치료를 받으면 예후가 매우 좋다.[63] 재발성 암은 치료 방법과 관계없이 재발률이 높아 치료하기가 훨씬 더 어렵다.[63] 기저세포암은 드물게 전이되지만, 국소적으로 성장하여 국소 조직을 침투하고 파괴한다.[63] 이 암은 신경과 같은 중요한 구조에 영향을 미쳐 감각 상실, 기능 상실 또는 드물게 사망을 초래할 수 있다.[63] 대부분의 사례는 심각한 합병증이 발생하기 전에 성공적으로 치료할 수 있다.[63] 치료 옵션의 재발률은 50%에서 1% 이하까지 다양하다.[63]
코와 관자놀이는 얼굴에 기저세포암이 가장 흔하게 발생하는 부위이다.[63] 완전히 절제하면 기저세포암의 재발률은 비교적 낮다.[63][1] 그러나 얼굴의 수술적 치료를 받은 기저세포암에서 재발이 발생하면 종양 두께와 강한 상관관계가 있다.[1] 원칙적으로 수술로 종양을 절제한다.[1] 전이는 거의 일어나지 않으므로, 완전히 절제되면 예후는 양호하다.[1] 다만, 수술 흉터가 광범위하게 미치는 경우에는 성형외과적으로 피부 재건을 해야 할 필요가 있다.
8. 역학
기저세포암은 한국을 포함하여 전 세계적으로 흔한 피부암이다.[64] 발생률은 적도 근처나 고도가 높은 지역에서 증가한다.[64] 미국에서는 연간 약 80만 건의 새로운 사례가 발생하며,[65] 백인의 최대 30%가 평생 동안 기저세포암을 앓게 된다.[66] 캐나다에서는 전체 암 진단의 3분의 1을 차지하며, 평생 동안 7명 중 1명이 영향을 받는다.[67]
80세 이상의 노인에게서 매우 흔하게 발생하지만,[64] 젊은 사람들도 영향을 받을 수 있다. 대부분의 기저세포암은 50세 이상의 햇빛 노출 피부에서 발생한다.[68] 이른 나이에 다발성 기저세포암이 발생하는 경우, 모반성 기저세포암 증후군(고린 증후군)을 의심해 볼 수 있다.[68]
피부암 중 발생 빈도가 가장 높으며,전이는 드물다. 이 때문에 암이 아닌 양성 종양으로 간주되기도 한다. 드물지만 진행이 멈추지 않는 극단적인 악성의 경우도 보고되고 있다. 기원을 표피의 기저 세포가 아닌 발생 초기의 모발 싹에 가까운 것으로 생각하여 '''악성 모아세포종''' (malignant trichoblastoma)이라고 부르는 사람도 있다.
멜라닌 세포로부터 멜라닌을 받아들이는 성질이 있어 표면은 검게 되어 있으며, 유색 인종에서는 검은색이지만, 백인에서는 피부와 같은 색의 종양을 나타내므로 주의가 필요하다. 호발 부위는 얼굴, 특히 코이며, 검은색이므로 악성 흑색종으로 오인하는 경우가 많다.
9. 한국에서의 기저세포암
한국에서 기저세포암은 피부암 중 높은 발생 빈도를 보인다.[64][65][66][67] 정확한 통계 자료는 부족하지만, 고령화 사회로 진입하면서 발생률이 증가할 것으로 예상된다. 특히 얼굴, 그 중에서도 코에 발생하는 경우가 많다.[66] 한국인의 경우, 기저세포암이 멜라닌 세포로부터 멜라닌을 받아들여 검은색으로 나타나는 경우가 많아 악성 흑색종으로 오인하여 병원을 찾는 경우가 있다. 기저세포암이 진행되면 중앙부가 궤양화될 수 있다.
10. 식도의 유기저세포암
식도의 유기저세포암은 식도에 발생하는 기저세포와 유사한 특징을 가진 암으로 정의되며, 매우 드물다.[69] 조직의 다양한 염색 반응에 따라 유기저세포 편평상피암형, 선종낭종암형, 소세포암형 등으로 분류된다.[69] 최초의 유기저세포 편평상피암형과 선종낭종암형은 공격적으로 진행되어 예후가 불량하다고 알려져 있지만, 한 보고에 따르면 유기저세포 편평상피암형 5례는 수술 후 전례 3년 이상 경과했음에도 생존하고 있다.[69]
참조
[1]
서적
Nutrition for Healthy Skin: Strategies for Clinical and Cosmetic Practice
https://books.google[...]
Springer
2010
[2]
논문
Global, regional, and national life expectancy, all-cause mortality, and cause-specific mortality for 249 causes of death, 1980–2015: a systematic analysis for the Global Burden of Disease Study 2015
2016-10
[3]
웹사이트
Basal Cell Carcinoma
https://dermnetnz.or[...]
2023-10-26
[4]
웹사이트
Basal Cell Carcinoma (Rodent Ulcer or BCC)
https://www.newcastl[...]
2022-10-31
[5]
웹사이트
Skin Cancer Treatment (PDQ®)
http://www.cancer.go[...]
2013-10-25
[6]
논문
Epidemiology and economic burden of nonmelanoma skin cancer
2012-11
[7]
서적
World Cancer Report 2014
World Health Organization
2014
[8]
논문
Ultraviolet radiation
2010
[9]
웹사이트
Skin Cancer Treatment
https://www.cancer.g[...]
2017-06-21
[10]
논문
UV protection and sunscreens: what to tell patients
2012-06
[11]
웹사이트
Skin Cancer Treatment
https://www.cancer.g[...]
2017-06-21
[12]
논문
Nonmelanoma skin cancer
2013-02
[13]
논문
Skin Cancer Epidemiology, Detection, and Management
2015-11
[14]
웹사이트
Basal Cell Carcinoma Warning Signs and Images
https://www.skincanc[...]
[15]
웹사이트
Genetics of Skin Cancer
https://www.cancer.g[...]
2009-07-29
[16]
웹사이트
Basal Cell Carcinoma - Skin Disorders
https://www.msdmanua[...]
[17]
논문
Trichoblastic carcinoma: a comprehensive review of the literature
null
2022
[18]
논문
Histological features and treatment approach of trichoblastic carcinomas: from a case report to a review of the literature
2012
[19]
논문
From basal cell carcinoma to trichoblastic tumors: a diagnostic challenge
null
2018
[20]
서적
A clinical atlas of 101 common skin diseases : with histopathologic correlation
Ardor Scribendi
2000
[21]
논문
DNA repair and susceptibility to basal cell carcinoma: a case-control study
null
1994-10
[22]
논문
DNA repair capacity for ultraviolet light-induced damage is reduced in peripheral lymphocytes from patients with basal cell carcinoma
null
1995-06
[23]
논문
Basal-Cell Carcinoma and Seborrheic Keratosis: When Opposites Attract
2015-09
[24]
논문
Case records of the Massachusetts General Hospital. Case 3-2008. An 80-year-old woman with cutaneous basal-cell carcinomas and cysts of the jaws
2008-01
[25]
웹사이트
What Is Basal Cell Cancer
http://www.skincance[...]
[26]
논문
Exfoliative cytology for diagnosing basal cell carcinoma and other skin cancers in adults
2018-12
[27]
웹사이트
Which histologic findings are characteristic of basal cell carcinoma (BCC)?
https://www.medscape[...]
[28]
논문
The Use of BEREP4 Immunohistochemistry Staining for Detection of Basal Cell Carcinoma
[29]
논문
Histology of Non-Melanoma Skin Cancers: An Update
[30]
웹사이트
Which histologic findings are characteristic of basal cell carcinoma (BCC)?
https://www.medscape[...]
[31]
서적
Fitzpatrick's Dermatology in General Medicine
McGraw-Hill
[32]
서적
Andrews' Diseases of the Skin: clinical Dermatology
Saunders Elsevier
[33]
논문
Morpheaform Basal Cell Carcinomas With Areas of Predominantly Single-Cell Pattern of Infiltration
[34]
논문
Fibroepithelioma of Pinkus Revisited
2016-09
[35]
논문
Risk of basal cell carcinoma in Swedish organ transplant recipients: a population-based study
[36]
논문
Dermoscopic Description of Fibroepithelioma of Pinkus with Negative Network
[37]
논문
Microcystic adnexal carcinoma of the cheek – a case report with dermatoscopy and dermatopathology
[38]
문서
Desmoplastic tricoepithelioma is particularly similar to basal-cell carcinoma.
[39]
논문
Sun protection for preventing basal-cell and squamous cell skin cancers
2016-07
[40]
논문
Chemoprevention of Basal and Squamous Cell Carcinoma With a Single Course of Fluorouracil, 5%, Cream: A Randomized Clinical Trial
2018-02
[41]
논문
Interventions for basal cell carcinoma of the skin
2020-11-17
[42]
서적
Basal Cell and Squamous Cell Skin Cancers
http://www.nccn.org/[...]
National Comprehensive Cancer Network
[43]
논문
Basal cell carcinoma of the eyelid. Risk of recurrence according to adequacy of surgical margins
1998-08
[44]
논문
Incomplete excision of basal cell carcinoma: rate and associated factors among 362 consecutive cases
2007-10
[45]
논문
Mohs micrographic surgery versus surgical excision for periocular basal-cell carcinoma
2014-12
[46]
논문
Basal Cell Carcinoma Excision from Lower Lip with Keystone Flap Reconstruction
https://jomi.com/art[...]
2020
[47]
논문
Basal Cell Skin Cancer, Version 1.2016, NCCN Clinical Practice Guidelines in Oncology
2016
[48]
논문
AAD/ACMS/ASDSA/ASMS 2012 appropriate use criteria for Mohs micrographic surgery: a report of the American Academy of Dermatology, American College of Mohs Surgery, American Society for Dermatologic Surgery Association, and the American Society for Mohs Surgery
2012
[49]
논문
Mohs Micrographic Surgery for the Management of Cutaneous Malignancies
https://www.scienced[...]
2017-08-01
[50]
논문
Surgical margins in the treatment of nonmelanoma skin cancer and mohs micrographic surgery
[51]
서적
Surgical Dermatopathology
Blackwell
[52]
논문
Evidence-based review of the use of cryosurgery in treatment of basal-cell carcinoma
2003-06
[53]
웹사이트
Understanding Actinic Keratosis – Treatment
http://www.webmd.com[...]
2008-12-05
[54]
논문
Guidelines for the management of basal-cell carcinoma
2008-07
[55]
논문
Treatment of basal cell carcinoma with curettage alone
2006-06
[56]
웹사이트
http://www.skincance[...]
[57]
논문
Itraconazole in the treatment of basal cell carcinoma: A case-based review of the literature
[58]
논문
Imiquimod 5% cream as adjunctive therapy for primary, solitary, nodular nasal basal-cell carcinomas before Mohs micrographic surgery: a randomized, double blind, vehicle-controlled study
2009-01
[59]
뉴스
Peplin's skin cancer gel trial a success
http://www.theage.co[...]
The Age
2006-05-01
[60]
웹사이트
http://www.peplin.co[...]
[61]
논문
High dose brachytherapy with non sealed 188Re (rhenium) resin in patients with non-melanoma skin cancers (NMSCs): single center preliminary results.
https://doi.org/10.1[...]
2020-11-02
[62]
논문
Lasers in medicine
[63]
논문
Retrospective Analysis of Clinicopathological Characteristics of Surgically Treated Basal Cell Carcinomas of the Face: A Single-Centre Maxillofacial Surgery Experience
2024-09
[64]
논문
The epidemiology and clinicopathological features of basal cell carcinoma in patients 80 years and older: a systematic review
2017
[65]
웹사이트
Skin Cancer Foundation: Basal-Cell Carcinoma
http://www.skincance[...]
[66]
논문
Basal cell carcinoma
2003-10
[67]
웹사이트
Epidemiology of Skin Cancer
http://www.cancercar[...]
2011-06-25
[68]
서적
Neurocutaneous Disorders Phakomatoses and Hamartoneoplastic Syndromes
[69]
문서
Shima I, Kakegawa T, Yamana H, Fujita H, Uhi T, Morimatsu M. Clinicopathologic studies on esophageal carcinoma with basaloid features. Nippon Kyobu Geka Gakkai Zasshi. 1993 Oct;41(10):2067-74.
[70]
문서
Philip E. LeBoit et al. Pathology and Genetics Skin Tumors ISBN 9283224140
[71]
웹인용
Basal Cell Carcinoma
https://dermnetnz.or[...]
2023-11-12
[72]
웹인용
Basal Cell Carcinoma (Rodent Ulcer or BCC)
https://www.newcastl[...]
2022-10-31
[73]
웹인용
Skin Cancer Treatment (PDQ®)
http://www.cancer.go[...]
2013-10-25
[74]
논문
Epidemiology and economic burden of nonmelanoma skin cancer
2012-11
[75]
서적
World Cancer Report 2014
https://archive.org/[...]
World Health Organization
2014
[76]
논문
Ultraviolet radiation
2010
[77]
웹인용
Skin Cancer Treatment
https://www.cancer.g[...]
2017-06-21
[78]
논문
UV protection and sunscreens: what to tell patients
2012-06
[79]
웹인용
Skin Cancer Treatment
https://www.cancer.g[...]
2017-06-21
[80]
논문
Nonmelanoma skin cancer
2013-02
[81]
논문
Skin Cancer Epidemiology, Detection, and Management
2015-11
본 사이트는 AI가 위키백과와 뉴스 기사,정부 간행물,학술 논문등을 바탕으로 정보를 가공하여 제공하는 백과사전형 서비스입니다.
모든 문서는 AI에 의해 자동 생성되며, CC BY-SA 4.0 라이선스에 따라 이용할 수 있습니다.
하지만, 위키백과나 뉴스 기사 자체에 오류, 부정확한 정보, 또는 가짜 뉴스가 포함될 수 있으며, AI는 이러한 내용을 완벽하게 걸러내지 못할 수 있습니다.
따라서 제공되는 정보에 일부 오류나 편향이 있을 수 있으므로, 중요한 정보는 반드시 다른 출처를 통해 교차 검증하시기 바랍니다.
문의하기 : help@durumis.com