광선 각화증
"오늘의AI위키"의 AI를 통해 더욱 풍부하고 폭넓은 지식 경험을 누리세요.
1. 개요
광선 각화증은 햇빛 노출로 인해 발생하는 흔한 피부 질환으로, 붉은 반점이나 비늘 모양의 병변이 특징이다. 주로 얼굴, 귓바퀴, 손등, 팔뚝 등 햇빛에 노출되는 부위에 나타나며, 압통, 가려움, 출혈 등을 동반할 수 있다. 가장 중요한 원인은 자외선이며, 피부색이 밝고, 면역력이 저하된 사람에게서 발생 위험이 높다. 진단은 육안 관찰과 생검을 통해 이루어지며, 생검은 피부암과의 감별을 위해 필요할 수 있다. 치료는 냉동 수술, 국소 약물 치료, 광역동 치료, 레이저 치료 등 다양하며, 자외선 차단과 HPV 예방을 통해 예방할 수 있다. 치료하지 않으면 피부암으로 진행될 수 있으므로 정기적인 검진이 중요하다.
더 읽어볼만한 페이지
- 피부과 - 일광화상
일광화상은 태양의 자외선에 과도하게 노출되어 발생하는 1~2도 화상으로, UVB는 염증 반응을, UVA는 피부 노화를 유발하며, 통증, 발적, 물집 등의 증상을 보이고, 예방을 위해서는 자외선 차단제 사용이 중요하며, 만성적인 노출은 피부암 위험을 증가시킨다. - 피부과 - 알레르기
알레르기는 면역 체계가 무해한 물질에 과도하게 반응하여 아토피 피부염, 비염, 천식, 두드러기 등 다양한 증상을 일으키는 질환으로, Gell과 Coombs 분류법에 따라 여러 유형으로 나뉘며, 심각한 경우 아나필락시스를 유발할 수 있고, 유전적, 환경적 요인이 복합적으로 작용하여 발생하며, 알레르겐 회피, 약물, 면역요법 등으로 치료한다.
| 광선 각화증 | |
|---|---|
| 일반 정보 | |
![]() | |
| 분야 | 피부과학 |
| 다른 이름 | 햇빛 각화증 노인성 각화증 (SK) |
| 증상 | |
| 증상 | 자외선 노출로 인한 거친 피부 |
| 합병증 | |
| 합병증 | 피부암 |
| 원인 | |
| 원인 | 자외선 노출 |
| 위험 요인 | |
| 위험 요인 | 자외선 노출 |
| 진단 | |
| 진단 | 피부 생검 |
| 감별 진단 | |
| 감별 진단 | 지루 각화증 |
| 예방 | |
| 예방 | 자외선 차단 |
| 치료 | |
| 치료 | 냉동 치료 국소 약물 광역동 치료 |
| 약물 | |
| 약물 | 플루오로우라실 이미퀴모드 디클로페낙 |
| 예후 | |
| 예후 | 치료 가능 |
| 빈도 | |
| 빈도 | 흔함 |
| 의학 식별 | |
| 질병 데이터베이스 | 29438 |
| ICD-10 | L57.0 |
| ICD-9 | 702.0 |
| MedlinePlus | 000827 |
| MeSH | D055623 |
2. 징후 및 증상
광선 각화증은 주변이 붉어지는 다양한 두께의 흰색 비늘판 모양으로 나타나며, 만졌을 때 사포와 같은 거친 질감이 느껴지는 것이 특징이다.[121] 병변 근처의 피부는 종종 과색소침착 영역과 함께 노란색 또는 옅은 색을 띠는 색소 변화를 보이며, 깊은 주름, 거친 질감, 자반병, 반상출혈, 건성 피부, 산발성 모세혈관확장증 등이 나타날 수 있다.[121]
대부분 증상이 없지만, 때로는 압통, 가려움, 출혈, 따끔거림, 화끈거림 등을 유발할 수 있다.[122] 임상 증상에 따라 1단계(쉽게 보이고 약간 만져짐), 2단계(쉽게 보이고 만져짐), 3단계(분명하게 보이고 과각화증)로 등급이 매겨진다.[123]
일반적으로 크기는 수 mm에서 최대 2cm 정도이며, 표면이 거칠거칠한 반점 병변으로 붉은 분홍색, 갈색, 또는 살색을 띤다. 주로 얼굴, 귓바퀴 주변, 손등, 팔뚝에 발생하며, 단발성 또는 다발성으로 나타날 수 있다. 경미한 가려움증을 호소하는 경우도 있지만, 대부분 자각 증상은 드물다. 피부 뿔이라고 불리는 계관 모양의 각질 덩어리가 쌓이는 경우도 있다. 병변은 자연적으로 사라지거나 재발할 수 있다.[15]
광선 각화증은 전암 병변이지만 자연 소퇴하는 경향도 있어 편평 상피 암으로 발전하는 경우는 드물다. 고령자에게 많이 나타나며, 미용상 문제가 없다면 병원을 찾지 않는 경우가 많다. 그러나 드물게 암으로 발전할 수 있으므로, 피부과 전문의의 정기적인 검진이 필요하다.
2. 1. 임상적 변형
광선 각화증(AK)은 다양한 임상 양상을 보인다. 일반적으로 주변이 붉어지는 다양한 두께의 흰색 비늘 판으로 나타나며, 장갑을 낀 손으로 만졌을 때 사포 같은 질감을 가진다.[121] 병변 근처의 피부는 종종 색소 변화를 특징으로 하는 일광 손상의 증거를 보이며, 과색소침착 영역과 함께 노란색 또는 옅은 색을 띤다. 깊은 주름, 거친 질감, 자반병 및 반상출혈, 건성 피부 및 산발성 모세혈관확장증도 특징적이다.[121]병변은 일반적으로 무증상이지만 압통, 가려움증, 출혈, 따끔거림 또는 화끈거림을 유발할 수 있다.[122] AK는 일반적으로 임상 증상에 따라 등급 I(쉽게 볼 수 있음, 약간 만져질 수 있음), 등급 II(쉽게 볼 수 있음, 만져질 수 있음) 및 등급 III(솔직히 눈에 띄고 각화과다증)로 등급이 매겨진다.[123]
광선 각화증의 다양한 임상 양상은 다음과 같다:
- 전형적인(또는 흔한) AK: 다양한 두께의 흰색, 비늘 모양의 반점, 구진 또는 플라크로 나타나며, 종종 주변에 홍반이 동반된다. 일반적으로 직경이 2~6mm이지만 때로는 직경이 몇 cm에 달하기도 한다.[17]
- 비대성(또는 과각화성) AK (HAK): 두꺼운 비늘 또는 거친 구진 또는 플라크로 나타나며, 종종 홍반성 기저부에 부착된다.
- 위축성 AK: 덮개 비늘이 없으므로, 색상 변화(또는 반점)로 만져지지 않는 변화로 나타난다. 종종 매끄럽고 붉으며 직경이 10mm 미만이다.
- 피부 각질 뿔을 동반한 AK: 피부 각질 뿔은 높이가 직경의 절반 이상인 각질 돌출부로, 종종 원뿔형이다. 피부 각질 뿔의 38~40%는 AK를 나타낸다.[19]
- 색소성 AK: 드문 변종으로, 종종 황갈색에서 갈색의 반점 또는 플라크로 나타난다. 햇빛 흑자 또는 악성 흑자와 구별하기 어려울 수 있다.[20]
- 광선 입술염: AK가 입술에 형성되면 이를 광선 입술염이라고 한다. 일반적으로 입술에 거칠고 비늘 모양의 반점으로 나타나며, 종종 구강 건조증과 입술의 증상적인 갈라짐이 동반된다.
- 보우엔양 AK: 일반적으로 경계가 잘 정해진 단독의 홍반성, 비늘 모양의 반점 또는 플라크로 나타난다.
궤양, 결절, 또는 출혈의 존재는 악성 종양에 대한 우려를 제기해야 한다.[22] 편평 세포 피부암으로의 진행 위험 증가를 시사하는 임상 소견은 "IDRBEU"로 인식될 수 있다: I(경화/염증), D(직경 > 1cm), R(빠른 확대), B(출혈), E(홍반) 및 U(궤양).[23]
3. 원인
광선 각화증(AK) 형성의 가장 중요한 원인은 태양 복사이다. 특히 자외선에 의해 유도된 p53 종양 억제 유전자의 돌연변이가 중요한 단계로 확인되었다.[124] 17번 염색체 p132에 위치한 이 유전자는 DNA나 RNA가 손상되었을 때 세포 주기를 멈추게 한다. p53 경로에 문제가 생기면 비정상적인 각질 세포가 무한정 복제되어 종양 성장 및 AK 발병의 원인이 되며, 피부암으로 진행될 가능성도 있다.[25]
AK 발달과 관련된 다른 분자 표지자로는 p16ink4, p14, CD95 리간드, TNF 관련 세포 사멸 유도 리간드(TRAIL) 및 TRAIL 수용체, 이형접합성 소실의 발현이 있다.[26][27]
인간 유두종 바이러스(HPV)도 AK 발달에 영향을 준다는 증거가 있다. AK의 40%에서 HPV 바이러스 부하량이 측정되었으며,[28] 바이러스 DNA 복제 증가는 비정상적인 각질세포 증식 및 분화를 유발하여 AK 및 발암 과정에 기여할 수 있다.
3. 1. 자외선 노출
자외선(UV) 방사선은 표피의 각질세포에서 돌연변이를 유발하여 비정형 세포의 생존과 증식을 촉진한다. UV-A와 UV-B 방사선 모두 광선 각화증(AK)의 원인으로 지목되고 있다.[29]- UV-B 방사선(파장 290–320 nm): DNA와 RNA에서 티미딘 이합체 형성을 유발하여 상당한 세포 돌연변이를 초래한다.[29] 특히, p53 종양 억제 유전자의 돌연변이는 AK 병변 피부 샘플의 30–50%에서 발견되었다.[25][27]
- UV-A 방사선(파장 320–400 nm): 피부 속으로 더 깊이 침투하여 활성 산소의 생성을 유발하며, 이는 세포막, 신호 단백질 및 핵산을 손상시킬 수 있다.[29]
UV 방사선은 아라키돈산과 같은 염증 지표와 염증 관련 분자들의 증가를 유발한다.[26]
UV 방사선으로 인한 AK 위험 증가는 다음 요인에 의해 예측할 수 있다.
- 일광 노출 정도: 누적된 일광 노출은 AK 발생 위험을 증가시킨다. 한 미국 연구에 따르면, 누적된 일광 노출이 많은 공정한 피부를 가진 남성의 55%에서 AK가 발견되었고, 연령이 일치하는 코호트에서 누적된 일광 노출이 적은 공정한 피부를 가진 남성의 19%에서만 발견되었다(동일 연구에서 여성의 비율은 각각 37%와 12%였다).[30] 또한, 자외선 차단제(SPF 17 이상)의 사용은 AK 병변의 발달을 현저하게 감소시키는 것으로 나타났으며, 기존 병변의 퇴행도 촉진한다.[31]
- 햇볕 화상의 병력: 연구에 따르면 어린 시절에 단 한 번의 고통스러운 햇볕 화상 에피소드만으로도 성인이 되었을 때 AK 발생 위험이 증가할 수 있다.[32] 평생 동안 6번 이상의 고통스러운 햇볕 화상은 AK 발생 가능성과 유의미하게 연관되었다.[32]
3. 2. 피부 색소
멜라닌은 자외선으로 인한 손상으로부터 각질 세포를 보호하는 기능을 하는 표피의 색소이다. 피부가 어두운 사람의 표피에서 멜라닌 농도가 더 높게 나타나 광선 각화증 발생에 대한 보호 기능을 제공한다.[30] 피부가 흰 사람은 올리브색 피부인 사람에 비해 광선 각화증 발생 위험이 현저히 높으며(각각 오즈비 14.1 및 6.5),[32] 흑인에게서는 광선 각화증이 흔하지 않다.[30]광선 각화증 발생 경향이 증가하는 피부가 흰 사람에게서 나타나는 다른 표현형 특징은 다음과 같다:[30]
- 주근깨
- 밝은 머리카락 및 눈 색깔
- 햇볕에 타는 경향
- 태닝 불가
3. 3. 기타 위험 요인
면역 억제 상태는 광선 각화증 발병 위험을 증가시킨다. AIDS와 같은 질병으로 면역 체계가 손상된 사람이나, 장기 이식 후 면역 억제 치료를 받는 사람들은 광선 각화증이 더 이른 나이에 발생하거나 병변 수가 증가할 수 있다.[33][34]인유두종 바이러스(HPV) 감염도 광선 각화증 발생 가능성을 높일 수 있다는 증거가 있다.[35] HPV 바이러스는 광선 각화증 병변에서 검출되었으며, 일부 연구에서는 AK의 40%에서 HPV 바이러스가 측정 가능한 수준으로 존재했다.[28]
색소성 건피증과 블룸 증후군과 같은 특정 유전 질환은 햇빛 노출 후 DNA 복구를 방해하여 광선 각화증 발병 위험을 높인다.
탈모가 있는 남성의 두피에서도 광선 각화증이 흔히 발견된다. 탈모 정도가 심할수록 광선 각화증 발생 위험이 높아지는 것으로 나타났는데, 심한 탈모가 있는 남성은 탈모가 거의 없거나 없는 남성에 비해 10개 이상의 광선 각화증이 발생할 가능성이 7배 더 높았다.[36] 이는 머리카락이 없어 두피가 자외선에 더 많이 노출되기 때문으로 설명할 수 있다.
4. 진단
의사는 일반적으로 육안 관찰과 촉진을 통해 광선 각화증을 진단한다. 하지만 병변이 피부암인지 확인하기 위해 각화증의 직경이 크거나, 두껍거나, 출혈이 있는 경우 생검이 필요할 수 있다.[127] 광선 각화증은 침윤성 편평 세포 암종(SCC)으로 진행될 수 있지만, 두 질환 모두 신체 검사에서 유사하게 나타나 임상적으로 구별하기 어려울 수 있다.[37]
조직학적 생검 또는 절제술을 통한 병변 검사는 AK와 상피내암 또는 침윤성 SCC를 확실히 구별하기 위해 필요할 수 있다.[37] SCC 외에도 AK는 지루 각화증, 기저 세포 암종, 건선 각화증, 모공 각화증, 바이러스 사마귀, 두피 미란성 농포성 피부염, 낙엽 천포창, 건선과 같은 염증성 피부병 또는 흑색종을 포함한 다른 피부 병변으로 오인될 수 있다.[47]
4. 1. 생검
의사는 보통 육안 관찰과 촉진으로 광선 각화증을 진단한다. 하지만 병변이 피부암인지 확인하기 위해 각화증의 직경이 크거나, 두껍거나, 출혈이 있는 경우에는 생검이 필요할 수 있다.[127] 광선 각화증은 침윤성 편평 세포 암종(SCC)으로 진행될 수 있지만, 두 질환 모두 신체 검사에서 유사하게 나타나 임상적으로 구별하기 어려울 수 있다.[127]진단이 불확실하거나 SCC으로 진행되었을 가능성이 의심되는 경우, 병변 생검을 수행한다. 가장 흔한 조직 채취 방법은 면도 생검 또는 펀치 생검이다. 병변의 크기나 위치 때문에 일부만 제거할 수 있는 경우, 생검은 SCC가 가장 잘 발견될 수 있는 병변의 가장 두꺼운 부위에서 조직을 채취해야 한다.
면도 생검은 진피 수준까지, 이상적으로는 중망상 진피까지 확장해야 충분한 조직을 얻을 수 있다. 펀치 생검은 펀치 블레이드의 전체 길이를 사용할 경우 대개 피하 지방까지 확장된다.
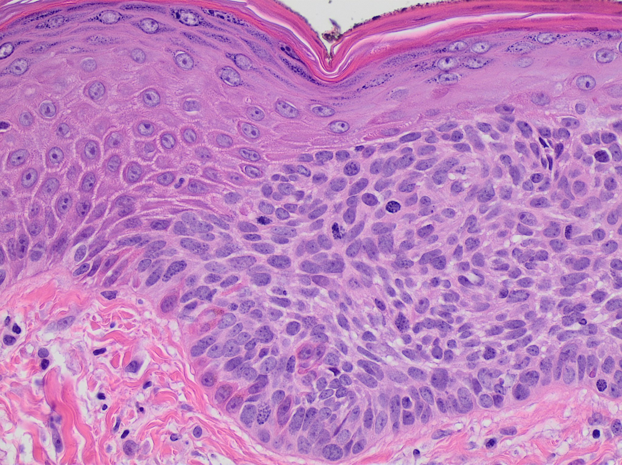
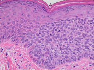
4. 1. 1. 조직 병리학적 특징
광선 각화증은 조직학적으로 표피 기저층에서 발생하는 비정형 각질세포의 증식을 보인다. 정상각화증과 부각화증이 교대로 나타나는 "깃발 징후"가 나타나기도 한다.[38] 표피 비후와 주변의 햇빛 손상 피부가 자주 관찰된다.[38] 세포간 공간의 확장, 비정상적으로 큰 핵과 같은 세포학적 비정형성, 경미한 만성 염증 침윤이 나타날 수 있다.[39]
임상 변이와 특정 병변 특성에 따라 구체적인 소견은 다르지만, 주요 조직병리학적 변이는 모두 기저층에서 시작하여 표피에 국한되는 비정형 각질세포 증식이 특징이며, 다음과 같이 7가지로 나뉜다:[38]
- 비대성: 현저한 과각화증이 특징적이며, 종종 명백한 부각화증을 보인다.[38]
- 위축성: 경미한 과각화증과 표피의 전반적인 위축성 변화를 보인다.
- 태선양: 유두 진피에 띠 모양의 림프구 침윤을 보여주며, 진피-표피 접합부 바로 아래에 위치한다.[38]
- 극세포분해: 무형성 변화로 인한 최하위 표피층의 세포간 틈새 또는 lacunae가 보인다.
- 보웬양: 보웬병과 현미경적으로 구별할 수 없는 전체 두께의 비정형성을 의미한다.[24]
- 표피용해성: 과립 변성을 보인다.[24]
- 색소침착성: 햇빛 흑자(solar lentigo)와 유사한 표피 기저층의 색소침착을 보인다.[38]
병리 검사에 제출되는 검체의 대부분은 피부 병변의 일부를 펀치 생검한 작은 조각이다.
조직 병리학적으로 광선 각화증의 병태는 표피의 이형성증이다. 각질층의 비후, 불완전 각화, 과립 세포층의 얇아짐, 표피 기저층에서 유극 세포층 중층으로 이형 표피 세포의 출현이 인정된다. 이형 세포는 핵의 종대, 크로마틴 패턴의 거친 망상화, 고세포 핵화를 보인다.
4. 2. 피부확대경검사
피부확대경검사(피부경검사)는 휴대용 확대 장치와 투과 조명 리프트를 활용하는 비침습적 기술이다. 피부 병변 평가에 자주 사용되지만, 생검 기반 조직 진단만큼 확정적인 진단 능력을 갖추고 있지는 않다. 여전히 조직병리학적 검사가 표준적인 진단 방법이다.[128]광선 각화증의 편광 접촉 피부확대경검사에서는 때때로 클로버 패턴으로 배열된 4개의 흰색 점("로제트 징후")이 나타나며, 이는 주로 모낭 입구 내에 국한된다.[40] "로제트 징후"는 조직학적으로 "깃발 징후"로 알려진 정각화증 및 부각화증의 변화에 해당한다고 추정된다.[40]
5. 예방
광선 각화증을 예방하기 위해서는 자외선 노출을 최소화하는 것이 가장 중요하다.
6. 치료
광선 각화증 치료는 병변의 개수, 크기, 위치, 환자의 상태 등을 고려하여 결정한다. 다양한 치료 옵션이 있으며, 새로운 병변 발생 및 기존 병변 진행 여부를 확인하기 위해 치료 후 정기적인 추적 관찰이 권장된다.[130] 시술 후 국소 치료를 추가하면 결과를 개선할 수 있다.[48]
보존적인 치료가 우선시되며, 일반적인 치료법은 액체 질소를 이용한 냉동 수술, 5-플루오로우라실 (5-FU) 연고를 이용한 국소 치료 등이 있다. 병변 부위의 외과적 절제는 미용적인 목적이나 보웬병과의 감별이 어려운 경우에 시행된다. 새로운 치료 시도로 광역 동역학 요법 등이 연구되고 있다.
6. 1. 약물 치료
국소 약물 치료는 여러 개의 병변이 있거나 넓은 부위에 걸쳐 있는 경우에 효과적이다.[66]국소 플루오로우라실(5-FU)은 티미딜산 합성 효소의 메틸화를 차단하여 DNA와 RNA 합성을 방해함으로써 광선 각화증을 파괴한다.[49] 이는 AK의 이형성 세포 증식을 막는다. 국소 5-FU는 AK 치료에 가장 많이 사용되며, 병변을 효과적으로 제거하는 결과를 종종 낳는다.[50] 전반적으로 국소 5-FU로 치료한 AK의 100% 소실로 이어지는 유효율은 50%이다.[51][52] 5-FU는 비과다각화증 병변 치료에 최대 90%의 효과를 보일 수 있다.[53] 국소 5-FU는 AK에 널리 사용되고 비용 효율적인 치료법이며 일반적으로 내약성이 좋지만, 잠재적인 부작용으로는 통증, 가피, 발적 및 국소 부종 등이 있을 수 있다.[54] 이러한 부작용은 적용 빈도를 줄이거나 사용 사이에 휴식을 취함으로써 완화하거나 최소화할 수 있다.[54] 가장 일반적으로 사용되는 적용 요법은 세안 후 하루에 두 번 국소 크림을 병변에 바르는 것으로 구성된다. 치료 기간은 일반적으로 뺨과 같은 얇은 피부에는 2~4주, 팔에는 최대 8주이며, 최대 8주까지 치료하면 더 높은 완치율을 보인다.[55][73]
이미퀴모드는 생식기 사마귀 치료에 사용하도록 허가된 국소 면역 증강제이다.[24] 이미퀴모드는 사이토카인의 방출 및 상향 조절을 통해 면역계를 자극한다.[55] 이미퀴모드 크림을 일주일에 2~3회 12~16주 동안 사용한 결과, AK 환자의 50%에서 AK가 완전히 해결된 반면, 대조군은 5%였다.[56] 이미퀴모드 3.75% 크림은 2주 치료 주기로 얼굴 전체와 두피에 매일 적용하는 치료법에서 유효성이 입증되었으며, 완전 소실률은 36%였다.[57] 이미퀴모드 3.75% 크림에서 관찰된 소실률은 5% 크림에서 관찰된 소실률(각각 36%와 50%)보다 낮았지만, 3.75% 크림의 부작용 발생률이 더 낮았다. 이미퀴모드 3.75% 크림을 사용한 개인의 19%가 국소 홍반, 딱지, 적용 부위의 각질과 같은 부작용을 보고한 반면, 5% 크림을 사용한 개인의 거의 3분의 1이 이미퀴모드 치료와 동일한 유형의 반응을 보고했다.[56][57]
잉게놀 메부테이트는 유럽과 미국에서 사용되는 광선 각화증(AK)의 새로운 치료법이다. 이는 세포막과 미토콘드리아를 파괴하여 세포사를 유도하고, 이어서 항체 의존성 세포 독성을 유도하여 남아있는 종양 세포를 제거하는 두 가지 방식으로 작용한다.[58] 0.015% 젤을 사용한 3일 치료 과정은 두피와 얼굴에 권장되며, 0.05% 젤을 사용한 2일 치료 과정은 몸통과 사지에 권장된다.[59] 0.015% 젤 치료는 광선 각화증(AK)의 57%를 완전히 제거하는 것으로 나타났으며, 0.05% 젤은 34%의 제거율을 보였다.[60] 잉게놀 메부테이트 치료의 장점으로는 짧은 치료 기간과 낮은 재발률이 있다.[61] 잉게놀 메부테이트 치료 중 통증, 가려움, 발적을 포함한 국소 피부 반응이 예상될 수 있다. 이 치료법은 각화증에 대한 전통적인 치료법으로 사용되어 온 페티 스퍼지(''Euphorbia peplus'')에서 파생되었다.
국소용 디클로페낙 나트륨 겔은 아라키돈산 경로를 억제하여 광선 각화증(AK) 치료에 효과가 있는 것으로 여겨지는 비스테로이드성 소염제이다. 이는 UVB 유발 피부암 발달에 관여하는 것으로 생각되는 프로스타글란딘의 생성을 제한한다.[39] 권장 치료 기간은 60~90일이며, 하루 두 번 도포한다. 디클로페낙 겔로 얼굴의 AK를 치료한 결과, 사례의 40%에서 병변이 완전히 사라졌다.[62] 흔한 부작용으로는 적용 부위의 건조, 가려움증, 발적 및 발진 등이 있다.[62]
국소 레티노이드는 광선 각화증 치료에 연구되었으나 결과는 미미하며, 미국 피부과학회는 현재 이를 1차 치료법으로 권장하지 않는다.[63] 아다팔렌 겔을 매일 4주간 사용하고 이후 9개월 동안 하루 두 번 사용한 결과, 위약에 비해 광선 각화증의 수가 유의미하게 감소했지만 그 효과는 미미했으며, 광손상 피부의 외관을 개선하는 추가적인 장점을 보였다.[64]
국소 트레티노인은 광선 각화증의 수를 줄이는 치료법으로 효과가 없다.[24] 광선 각화증의 2차 예방을 위해, 전신, 저용량의 아시트레틴은 신장 이식 환자의 피부암 화학 예방에 안전하고 내약성이 좋으며, 적당한 효과가 있는 것으로 나타났다.[65]
티르바니불린 (Klisyri)은 2020년 12월 미국에서 얼굴 또는 두피의 광선 각화증 치료제로 의료 사용이 승인되었다.[67][68][69][70]
일반적인 치료법은 다음과 같다:
- 액체 질소를 이용한 냉동 수술
- 5-플루오로우라실 (5-FU) 연고를 이용한 국소 치료
- 인게놀 메뷰테이트 0.05% (몸통 및 사지), 0.015% (얼굴 및 두피) 겔. 치료 기간은 0.05% 겔이 2일, 0.015% 겔이 3일.[101]
- 디클로페낙 나트륨 3% 겔 (비스테로이드성 소염 진통제)[102] 권장 치료 기간은 60~90일.
- 이미퀴모드[105] 국소 치료를 위한 면역 증강제.
90명을 대상으로 한 무작위 대조 시험에서, 아다팔렌 (비타민 A 유도체)이 광선 각화증을 감소시키고, 0.1% 농도의 제품보다 0.3%의 농도가 감소 수가 더 많았다는 보고가 있다.[106]
6. 2. 시술
액체 질소(−195.8 °C)를 이용한 냉동 치료는 가장 흔하게 사용되는 치료법으로, 마취가 필요 없고 환자가 잘 견딜 수 있는 외래 시술이다.[71][72] 얇고 경계가 명확한 병변이 15개 미만인 경우에 특히 적합하다.[71] 냉동 시간 및 병변 특성에 따라 67~99%의 완치율이 보고되었다.[74][14] 다만, 시술 중 및 시술 후 불편함, 물집, 흉터 및 발적, 저색소 침착 또는 과다 색소 침착, 그리고 건강한 조직의 파괴 등의 단점이 있을 수 있다.[75]광역동 치료(PDT)는 메틸 아미노레불리네이트(MAL) 또는 5-아미노레불린산(5-ALA) 등의 광과민제를 병변에 바른 후 특정 파장의 빛을 쬐어 비정상 세포를 파괴하는 방법이다.[76] 냉동 요법과 비교하여 3개월에 완전한 병변 제거를 달성할 가능성이 14% 더 높으며,[78] 5-FU 치료와 비교하여 더 우수한 미용 결과를 얻는 것으로 보인다.[79]

외과적 절제술은 각화증이 두껍고 각질의 구진일 경우, 또는 더 깊은 침윤이 의심되어 조직병리학적 진단이 필요할 경우에 사용된다.[24]
레이저 치료는 이산화 탄소(CO2) 또는 에르븀:이트륨 알루미늄 가넷(Er:YAG) 레이저를 이용하여 병변을 제거하는 방법으로, 약물 치료에 반응하지 않거나 미용적으로 민감한 부위에 위치한 경우에 효과적일 수 있다.[83][84]
화학적 박피술은 화학 약품을 이용하여 피부 표층을 벗겨내어 병변을 제거하는 방법으로, 35%~50% 트리클로로아세트산(TCA), 70% 글리콜산, 제스너 용액 등이 사용된다.[85][86]
7. 예후
치료하지 않은 광선 각화증(AK)은 그대로 있거나, 사라지거나, 침윤성 피부암으로 진행될 수 있다. 광선 각화증 병변은 편평 세포 암종(SCC)과 같은 선상에 있는 것으로 여겨진다.[16] 사라진 광선 각화증 병변도 다시 나타날 수 있다.
- 진행: 광선 각화증이 침윤성 암으로 바뀔 위험은 전체적으로 낮다. 평균적인 사람의 경우, 광선 각화증 병변이 SCC로 진행될 가능성은 1년에 1% 미만이다.[88][89] 이렇게 진행률이 낮음에도 불구하고, 연구에 따르면 SCC의 60%가 기존의 광선 각화증에서 발생한다.[88][89]
- 퇴행: 단일 광선 각화증 병변이 사라지는 비율은 1년 후 15%에서 63% 사이이다.[90]
- 재발: 사라졌던 단일 광선 각화증 병변이 1년 후 다시 나타나는 비율은 15%에서 53% 사이이다.[90]
이러한 임상 결과의 차이 때문에, 특정 광선 각화증이 어떻게 될지 예측하기는 어렵다. 광선 각화증 병변은 나타났다가 사라지기를 반복할 수 있으며, 피부에 나타나 몇 달 동안 지속되다가 사라지는 주기를 보인다. 특히 자외선 차단 없이 햇빛에 노출된 후 몇 주 또는 몇 달 안에 다시 나타나는 경우가 많다. 치료하지 않고 방치하면 병변이 침습적인 상태가 될 수 있다. 광선 각화증이 편평 세포 암종으로 진행될지 예측하기는 어렵지만, 편평 세포 암종은 이전에 광선 각화증으로 진단된 병변에서 발생하는 경우가 65%에서 97% 사이로 보고되었다.[16]
광선 각화증 자체는 생명에 지장을 주지 않는다. 흑색종과 기저 세포 암종을 제외한 피부의 편평 상피 세포 암종(유극 세포 암종)으로 진행될 확률은 10% 미만이다.

8. 역학
광선 각화증은 매우 흔하며, 피부과 방문의 약 14%가 광선 각화증과 관련이 있는 것으로 추정된다.[91] 이는 피부가 흰 사람들에게서 더 자주 나타나며,[32] 지역과 연령에 따라 발생률이 다르다.[92] 자외선 노출,[93] 특정 표현형 특징, 면역 억제와 같은 다른 요인들도 광선 각화증의 발달에 기여할 수 있다.
남성이 여성보다 광선 각화증이 발생할 가능성이 더 높으며, 광선 각화증 병변이 발생할 위험은 나이가 들어감에 따라 증가한다. 한 연구에서는 20~29세 여성의 약 5%가 광선 각화증을 겪는 데 비해 60~69세 여성은 68%가 겪고, 20~29세 남성의 10%가 광선 각화증을 겪는 데 비해 60~69세 남성은 79%가 겪는 것으로 나타났다.[94]
지리적 위치는 평생 동안 더 많은 자외선에 노출되는 지역에 거주하는 사람들이 광선 각화증이 발생할 위험이 현저히 높다는 점에서 중요한 역할을 하는 것으로 보인다. 오스트레일리아에서 40세 이상 성인의 유병률은 40~50%로 추정된다.[94] 이는 미국과 유럽의 성인 유병률이 11~38% 미만인 것에 비해 높은 수치이다.[36][93]
환자의 연령은 중장년층이 대부분이다. 성별 차이는 보이지 않지만, 다소 남성에게 많다. 백인에 비해 흑인, 황인종에서는 유병률이 낮다. 햇볕에 탔을 때 피부에 홍반이 생기기 쉬운 사람이 갈색 변화를 보이는 사람보다 광선 각화증을 더 쉽게 발병한다. 일본의 경우, 1980년대보다 90년대에 광선 각화증 환자가 84% 증가했다.
| 지역 | 인구 10만 명당 유병률 |
|---|---|
| 효고현 (1992-1997년) | 203명 |
| 오키나와현 (1993-1998년) | 842명 |
연간 UV-B량이 약 2배인 오키나와가 약 4배 높은 유병률을 보였다.
9. 연구 동향
최근 연구에서는 광선 각화증의 발생 기전과 피부암으로의 진행 과정을 밝히기 위한 연구가 활발히 진행되고 있다. 특히, 새로운 바이오마커 발굴과 표적 치료제 개발에 대한 연구가 주목받고 있다.
진단과 관련하여 연구자들은 어떤 광선 각화증이 피부 편평 세포 암종 또는 전이성 편평 세포 암종으로 발전할 가능성이 더 높은지 결정하는 데 도움이 되는 새로운 바이오마커의 역할을 연구하고 있다. 다양한 유형의 암에서 매트릭스 메탈로프로테이나제(MMP)의 상향 조절이 관찰되며, 특히 MMP-7의 발현과 생성은 편평 세포 암종에서 증가하는 것으로 밝혀졌다.[96] 세린 펩티데이스 억제제(Serpin)의 역할 또한 연구되고 있다. SerpinA1은 편평 세포 암종 세포주의 각질 세포에서 증가하는 것으로 밝혀졌으며, SerpinA1의 상향 조절은 ''생체 내''에서 편평 세포 암종 종양 진행과 상관관계가 있었다.[96] 특정 바이오마커에 대한 추가 조사는 의료 제공자가 예후를 더 잘 평가하고 특정 병변에 대한 최상의 치료법을 결정하는 데 도움이 될 수 있다.
치료 측면에서 여러 약물이 연구되고 있다. 레시퀴모드는 이미퀴모드와 유사하게 작용하지만 10~100배 더 강력한 TLR 7/8 효능제이다. 광선 각화증 병변 치료에 사용했을 때 완전 반응률은 40~74%에 달했다.[97] 아파멜라노타이드는 멜라닌 세포에 의해 멜라닌 생성을 유도하여 UVB 방사선에 대한 보호 인자로 작용하는 약물이다.[98] 면역 억제 요법을 받는 장기 이식 환자에서 광선 각화증 예방 효과를 결정하기 위해 연구되고 있다. 상피 성장 인자 수용체(EGFR) 억제제인 게피티니브와 세툭시맙과 같은 항-EGFR 항체는 다양한 유형의 암 치료에 사용되며, 현재 광선 각화증의 치료 및 예방에 사용될 가능성을 연구하고 있다.[99]
참조
[1]
서적
Dermatology: 2-Volume Set
Mosby
[2]
서적
Logan's Medical and Scientific Abbreviations
J. B. Lippincott and Company
[3]
논문
Dermacase. Actinic keratosis
2008-05
[4]
서적
Fitzpatrick's Dermatology in General Medicine
McGraw-Hill
[5]
논문
Actinic keratosis: how to differentiate the good from the bad ones?
http://www.john-libb[...]
[6]
문서
actinic keratosis
nine/000954019
DorlandsDict
[7]
서적
Weedon's Skin Pathology
Elsevier
[8]
논문
Clinical presentation of actinic keratoses and squamous cell carcinoma
2000-01
[9]
논문
Guidelines for the management of actinic keratoses
2006-11
[10]
웹사이트
Actinic keratosis - Symptoms, diagnosis and treatment {{!}} BMJ Best Practice
https://bestpractice[...]
2019-11-25
[11]
논문
Evidence- and consensus-based (S3) Guidelines for the Treatment of Actinic Keratosis - International League of Dermatological Societies in cooperation with the European Dermatology Forum - Short version
2015-11
[12]
논문
Clinical, histopathological and immunohistochemical assessment of human skin field cancerization before and after photodynamic therapy
2012-07
[13]
논문
Actinic keratoses: a comprehensive update
2009-07
[14]
논문
A prospective study of the use of cryosurgery for the treatment of actinic keratoses
2004-09
[15]
논문
Photoaging/photodamage and photoprotection
1990-01
[16]
논문
Prevalence and awareness of actinic keratosis: barriers and opportunities
2013-01
[17]
서적
Epithelial precancerous lesions. In: Fitzpatrick's Dermatology in General Medicine
McGraw-Hill
[18]
논문
Premalignant and early squamous cell carcinoma
2005-04
[19]
논문
A histopathological study of 643 cutaneous horns
1991-05
[20]
논문
Pitfalls in the clinical and dermoscopic diagnosis of pigmented actinic keratosis
2005-12
[21]
논문
Expression of p53 and p16 in actinic keratosis, bowenoid actinic keratosis and Bowen's disease
2010-02
[22]
논문
Actinic Keratosis and Non-Invasive Diagnostic Techniques: An Update
2018-03
[23]
논문
Actinic keratosis: how to differentiate the good from the bad ones?
2006-07
[24]
논문
Actinic keratosis
2007-09
[25]
논문
Aberrations of the tumor suppressor p53 gene and p53 protein in solar keratosis in human skin
1994-10
[26]
논문
Actinic keratosis: rationale and management
2014-06
[27]
논문
Analysis of the p53 gene in human precancerous actinic keratosis lesions and squamous cell cancers
1994-09
[28]
논문
Human papillomavirus-DNA loads in actinic keratoses exceed those in non-melanoma skin cancers
2005-07
[29]
논문
Actinic keratosis is an early in situ squamous cell carcinoma: a proposal for reclassification
2007-05
[30]
논문
Health effects of sunlight exposure in the United States. Results from the first National Health and Nutrition Examination Survey, 1971-1974
1988-01
[31]
논문
Reduction of solar keratoses by regular sunscreen use
1993-10
[32]
논문
The prevalence and determinants of solar keratoses at a subtropical latitude (Queensland, Australia)
1998-12
[33]
서적
Clinical practice guide: basal cell carcinoma, squamous cell carcinoma (and related lesions): a guide to clinical management in Australia.
Cancer Council Australia
2008
[34]
웹사이트
Actinic Keratosis (AK)
https://www.lecturio[...]
2020-11-12
[35]
논문
Sun-related factors, betapapillomavirus, and actinic keratoses: a prospective study
2007-07
[36]
논문
Prevalence of actinic keratosis and its risk factors in the general population: the Rotterdam Study
2013-08
[37]
서적
Fitzpatrick's dermatology.
[38]
서적
Dermatology
Elsevier Saunders
2012
[39]
서적
Weedon's Skin Pathology
Elsevier
[40]
논문
New dermoscopic pattern in actinic keratosis and related conditions
2009-06
[41]
논문
Dermoscopic features of actinic keratosis
2007-11
[42]
논문
Dermatoscopy of flat pigmented facial lesions: diagnostic challenge between pigmented actinic keratosis and lentigo maligna
2010-12
[43]
논문
The scientific basis of skin cancer
2000-01
[44]
웹사이트
How to apply sunscreen
https://www.aad.org/[...]
2018-12-13
[45]
웹사이트
Actinic keratoses (solar keratoses)
https://www.nhs.uk/c[...]
2017-09-14
[46]
웹사이트
HPV Vaccine Recommendations
https://www.cdc.gov/[...]
2018-12-13
[47]
서적
Andrews' Diseases of the Skin
Elsevier
[48]
논문
Cryosurgery combined with topical interventions for actinic keratosis: a systematic review and meta-analysis
2019-04
[49]
논문
The use of topical fluorouracil to treat actinic keratosis
2002-08
[50]
논문
Network meta-analysis of the outcome 'participant complete clearance' in nonimmunosuppressed participants of eight interventions for actinic keratosis: a follow-up on a Cochrane review
2013-08
[51]
논문
Effectiveness of 5-fluorouracil treatment for actinic keratosis--a systematic review of randomized controlled trials
2009-05
[52]
논문
Evaluation of the effectiveness of imiquimod and 5-fluorouracil for the treatment of actinic keratosis: Critical review and meta-analysis of efficacy studies
2005-10
[53]
논문
New treatments for actinic keratoses
2002-06
[54]
논문
British Association of Dermatologists' guidelines for the care of patients with actinic keratosis 2017
2017-01
[55]
논문
Actinic keratoses: new treatment options
2002
[56]
논문
Imiquimod for actinic keratosis: systematic review and meta-analysis
2006-06
[57]
논문
Imiquimod 2.5% and 3.75% for the treatment of actinic keratoses: results of two placebo-controlled studies of daily application to the face and balding scalp for two 2-week cycles
2010-04
[58]
논문
Dual mechanism of action of ingenol mebutate gel for topical treatment of actinic keratoses: rapid lesion necrosis followed by lesion-specific immune response
2012-03
[59]
웹사이트
Picato Gel label
http://www.accessdat[...]
2022-03-30
[60]
논문
Ingenol mebutate gel for actinic keratosis
2012-03
[61]
논문
Long-term follow-up study of ingenol mebutate gel for the treatment of actinic keratoses
2013-06
[62]
논문
Three percent diclofenac in 2.5% hyaluronan gel in the treatment of actinic keratoses: a meta-analysis of the recent studies
2005-11
[63]
논문
Guidelines of care for the management of cutaneous squamous cell carcinoma
2018-03
[64]
논문
Assessment of adapalene gel for the treatment of actinic keratoses and lentigines: a randomized trial
2003-07
[65]
논문
Acitretin and skin cancer in kidney transplanted patients. Clinical and histological evaluation and immunohistochemical analysis of lymphocytes, natural killer cells and Langerhans' cells in sun exposed and sun protected skin
2005-02
[66]
논문
Comparison of the Treatment Guidelines for Actinic Keratosis: A Critical Appraisal and Review
2017
[67]
웹사이트
Klisyri: FDA-Approved Drugs
https://www.accessda[...]
2020-12-15
[68]
웹사이트
NDA APPROVAL
https://www.accessda[...]
2022-03-30
[69]
웹사이트
FULL PRESCRIBING INFORMATION
https://www.accessda[...]
2022-03-30
[70]
간행물
Athenex Announces FDA Approval of Klisyri (Tirbanibulin) for the Treatment of Actinic Keratosis on the Face or Scalp
http://www.globenews[...]
Athenex Inc.
2020-12-15
[71]
논문
The treatment of actinic keratoses
2000-01
[72]
논문
Cutaneous cryosurgery
2012-12
[73]
서적
Clinical Dermatology
Elsevier
[74]
논문
Cryosurgery cure rate of actinic keratoses
1982-11
[75]
논문
Cryosurgery updated
1994-12
[76]
논문
Review of photodynamic therapy in actinic keratosis and basal cell carcinoma
2008-02
[77]
논문
Effective photodynamic therapy of actinic keratoses on the head and face with a novel, self-adhesive 5-aminolaevulinic acid patch
2009-02
[78]
논문
Efficacy of photodynamic therapy vs other interventions in randomized clinical trials for the treatment of actinic keratoses: a systematic review and meta-analysis
2014-12
[79]
논문
Interventions for actinic keratoses
2012-12
[80]
논문
Multicentre intraindividual randomized trial of topical methyl aminolaevulinate-photodynamic therapy vs. cryotherapy for multiple actinic keratoses on the extremities
2008-05
[81]
논문
Destructive procedures are the standard of care for treatment of actinic keratoses
1999-01
[82]
논문
Dermabrasion for prophylaxis and treatment of actinic keratoses
1996-01
[83]
논문
Full face laser resurfacing: therapy and prophylaxis for actinic keratoses and non-melanoma skin cancer
2004-02
[84]
논문
A case report of laser resurfacing as a skin cancer prophylaxis
1999-06
[85]
논문
Medium-depth chemical peels
2001-07
[86]
논문
Guidelines of care for actinic keratoses. Committee on Guidelines of Care
1995-01
[87]
논문
A comparison of the efficacy and safety of Jessner's solution and 35% trichloroacetic acid vs 5% fluorouracil in the treatment of widespread facial actinic keratoses
1995-02
[88]
논문
Malignant transformation of solar keratoses to squamous cell carcinoma
1988-04
[89]
논문
Actinic keratoses: Natural history and risk of malignant transformation in the Veterans Affairs Topical Tretinoin Chemoprevention Trial
2009-06
[90]
논문
The natural history of actinic keratosis: a systematic review
2013-09
[91]
논문
A survey of office visits for actinic keratosis as reported by NAMCS, 1990-1999. National Ambulatory Medical Care Survey
2002-08
[92]
논문
Predisposing factors of actinic keratosis in a North-West German population
[93]
논문
Epidemiology of actinic keratoses and squamous cell carcinoma
2000-01
[94]
논문
Skin cancer in a Queensland population
1988-12
[95]
논문
The role of childhood exposure to sunlight in the development of solar keratoses and non-melanocytic skin cancer
1990-01
[96]
논문
Squamous cell carcinoma of the skin: Emerging need for novel biomarkers
2013-11
[97]
논문
A phase II dose-ranging study of topical resiquimod to treat actinic keratosis
2008-07
[98]
논문
"[Nle4-D-Phe7]-alpha-melanocyte-stimulating hormone significantly increased pigmentation and decreased UV damage in fair-skinned Caucasian volunteers"
2006-08
[99]
논문
Nonsurgical innovations in the treatment of nonmelanoma skin cancer
2010-06
[100]
서적
あたらしい皮膚科学
https://www.derm-hok[...]
中山書店
2018
[101]
문서
Picato Gel label
http://www.accessdat[...]
[102]
서적
Weedon's Skin Pathology, 3rd Edition
Elsevier
[103]
논문
Review of photodynamic therapy in actinic keratosis and basal cell carcinoma
''
[104]
논문
Topical Methyl Aminolevulinate Photodynamic Therapy in Patients with Multiple Actinic Keratoses: A Randomized, Double-blind, Placebo-controlled Study
[105]
논문
Imiquimod for actinic keratosis: systematic review and meta-analysis
[106]
논문
Assessment of adapalene gel for the treatment of actinic keratoses and lentigines: a randomized trial
2003-07
[107]
서적
Dermatology: 2-Volume Set
Mosby
2007
[108]
서적
Logan's Medical and Scientific Abbreviations
https://archive.org/[...]
J. B. Lippincott and Company
1987
[109]
저널
Dermacase. Actinic keratosis
2008-05
[110]
서적
Fitzpatrick's Dermatology in General Medicine
McGraw-Hill
2003
[111]
저널
Actinic keratosis: how to differentiate the good from the bad ones?
http://www.john-libb[...]
2006
[112]
서적
Fitzpatrick's dermatology.
2019
[113]
DorlandsDict
actinic keratosis
nine/000954019
[114]
서적
Weedon's Skin Pathology
Elsevier
2010
[115]
저널
Clinical presentation of actinic keratoses and squamous cell carcinoma
2000-01
[116]
웹인용
Actinic keratosis - Symptoms, diagnosis and treatment {{!}} BMJ Best Practice
https://bestpractice[...]
2019-11-25
[117]
저널
Evidence- and consensus-based (S3) Guidelines for the Treatment of Actinic Keratosis - International League of Dermatological Societies in cooperation with the European Dermatology Forum - Short version
2015-11
[118]
저널
Clinical, histopathological and immunohistochemical assessment of human skin field cancerization before and after photodynamic therapy
2012-07
[119]
저널
Actinic keratoses: a comprehensive update
2009-07
[120]
저널
A prospective study of the use of cryosurgery for the treatment of actinic keratoses
2004-09
[121]
저널
Photoaging/photodamage and photoprotection
1990-01
[122]
서적
Epithelial precancerous lesions. In: Fitzpatrick's Dermatology in General Medicine
McGraw-Hill
2008
[123]
저널
Premalignant and early squamous cell carcinoma
2005-04
[124]
저널
Aberrations of the tumor suppressor p53 gene and p53 protein in solar keratosis in human skin
1994-10
[125]
저널
Actinic keratosis: rationale and management
2014-06
[126]
저널
Analysis of the p53 gene in human precancerous actinic keratosis lesions and squamous cell cancers
1994-09
[127]
서적
Fitzpatrick's dermatology.
2019
[128]
서적
Andrews' Diseases of the Skin
https://archive.org/[...]
Elsevier
2016
[129]
저널
Comparison of the Treatment Guidelines for Actinic Keratosis: A Critical Appraisal and Review
2017
[130]
저널
Cryosurgery combined with topical interventions for actinic keratosis: a systematic review and meta-analysis
2019-04
본 사이트는 AI가 위키백과와 뉴스 기사,정부 간행물,학술 논문등을 바탕으로 정보를 가공하여 제공하는 백과사전형 서비스입니다.
모든 문서는 AI에 의해 자동 생성되며, CC BY-SA 4.0 라이선스에 따라 이용할 수 있습니다.
하지만, 위키백과나 뉴스 기사 자체에 오류, 부정확한 정보, 또는 가짜 뉴스가 포함될 수 있으며, AI는 이러한 내용을 완벽하게 걸러내지 못할 수 있습니다.
따라서 제공되는 정보에 일부 오류나 편향이 있을 수 있으므로, 중요한 정보는 반드시 다른 출처를 통해 교차 검증하시기 바랍니다.
문의하기 : help@durumis.com
