꼭지돌기염
"오늘의AI위키"의 AI를 통해 더욱 풍부하고 폭넓은 지식 경험을 누리세요.
1. 개요
꼭지돌기염은 유돌 봉소의 염증을 특징으로 하는 질환이다. 주요 증상으로는 유돌 부위의 통증, 압통, 부종, 발열, 두통 등이 나타날 수 있으며, 세균이 중이에서 유돌 봉소로 퍼져 발생한다. 진단은 병력 및 신체 검사를 기반으로 하며, MRI 또는 CT 스캔과 같은 영상 검사가 사용될 수 있다. 치료는 정맥 내 항생제 투여가 기본이며, 상태가 호전되지 않으면 고막 절개술 또는 유양돌기 절제술이 시행될 수 있다. 적절한 치료를 받으면 완치될 수 있지만, 청력 손실, 안면 신경 마비, 뇌 농양 등의 합병증이 발생할 수 있다. 발생률은 선진국에서 낮지만, 개발도상국에서는 더 높으며, 생후 2개월에서 13개월 사이의 어린이에게서 가장 흔하게 나타난다.
더 읽어볼만한 페이지
- 귀 질환 - 균형 장애
균형 장애는 자세 불안정, 어지럼증, 현기증, 인지 기능 장애를 동반하여 낙상 위험을 높이는 신체 균형 유지의 어려움으로, 전정 기관 이상, 신경계 및 심혈관계 질환이 원인이며, 검사와 다양한 치료법을 통해 관리한다. - 귀 질환 - 소이증
소이증은 외이의 선천적 기형으로, 귀의 발달 부전으로 인해 발생하며, 외이 발달 정도에 따라 등급이 분류되고, 유전적 및 환경적 요인과 관련 있으며, 시각적 검사 및 청력 검사로 진단하고, 자가 연골 이식, 인공 보형물 삽입, 보청기 등을 통해 치료한다. - 골격계 질환 - 관절염
관절염은 관절에 염증이 생겨 통증, 부종, 강직 등을 유발하는 질환을 통칭하며, 다양한 종류가 있고, 약물 치료, 물리 치료, 수술적 치료 등으로 치료하며, 고령화 사회에서 유병률이 증가할 것으로 예상된다. - 골격계 질환 - 구루병
구루병은 비타민 D 결핍, 칼슘 및 인 섭취 부족, 유전적 요인 등으로 인해 소아기에 뼈의 성장과 골화 과정에 장애가 생겨 뼈가 약해지고 변형되는 질환으로, 혈액 검사, 골밀도 검사, 방사선 촬영 등으로 진단하며 비타민 D와 칼슘 제제로 치료한다. - 염증 - 신장염
신장염은 콩팥에 발생한 염증으로, 자가면역질환, 요로감염, 루푸스, 격렬한 운동 등이 원인이 되어 혈뇨, 핍뇨, 요독증, 고혈압 등의 증상을 유발하며, 혈액 검사, X레이, 초음파 등으로 진단하고 원인에 따라 치료한다. - 염증 - 신우신염
신우신염은 신장의 신우와 신실질에 발생하는 감염으로, 급성(고열, 배뇨통, 옆구리 통증)과 만성(지속적인 옆구리 통증, 체중 감소)으로 나뉘며, 대장균과 장구균이 주요 원인균이고, 항생제로 치료하며, 요로의 구조적 이상, 당뇨병, 면역 저하 등이 위험 요인이다.
2. 증상
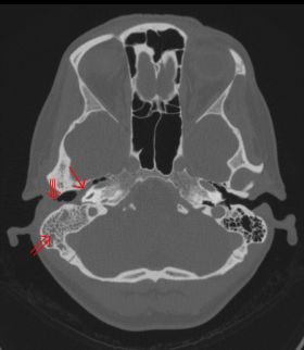
꼭지돌기염의 진단은 기본적으로 병력 청취와 신체 검사를 통해 임상적으로 이루어진다. 영상 검사는 진단에 추가적인 정보를 제공하는데, 진단의 표준 방법은 MRI 스캔이지만 CT 스캔이 더 흔하게 사용된다. CT 스캔은 뇌와 안면 신경 손상 위험 정도를 확인하는 데 더 선명하고 유용한 이미지를 제공하기 때문이다. 평면(2차원) X-ray는 진단적 유용성이 상대적으로 떨어진다. 만약 귀에서 고름과 같은 분비물(배액)이 나온다면, 원인균을 확인하기 위해 미생물 배양 검사를 시행할 수 있다. 하지만 환자가 이미 항생제를 복용하기 시작했다면 검사 결과가 음성으로 나올 수도 있다. 탐색 수술은 꼭지돌기와 주변 부위를 직접 확인하기 위한 최후의 수단으로 고려될 수 있다.
적절한 치료를 받으면 꼭지돌기염(유양돌기염)을 치료할 수 있다. 조기에 의료적 치료를 받는 것이 중요하다. 그러나 항생제가 꼭지돌기(유양돌기) 안쪽까지 침투하기 어려워 감염을 치료하기 쉽지 않을 수 있으며, 재발할 수도 있다.
꼭지돌기염의 일반적인 증상 및 의학적 징후로는 유양돌기(꼭지돌기) 부위의 통증, 압통, 부종 등이 있다. 귀의 통증(이통)이 있을 수 있으며, 귀 또는 유양돌기 부위가 붉게 변할 수 있다(홍반). 발열 또는 두통도 나타날 수 있다. 영아는 대개 식욕 부진, 설사, 또는 과민성을 포함한 비특이적 증상을 보인다. 귀에서 분비물이 나오는 심각한 경우에는 종종 아침에 일어났을 때 베갯잇에 갈색 분비물이 묻어 있는 것으로 나타난다.[4][6]
3. 병태 생리

꼭지돌기염의 병태생리는 세균이 중이에서 유돌봉소로 퍼져 염증이 뼈 구조에 손상을 일으키는 과정이다. 급성 꼭지돌기염에서 가장 흔하게 발견되는 원인균은 ''폐렴구균'', ''화농성 연쇄상구균'', ''황색포도상구균'', ''인플루엔자균'', ''모락셀라 카타랄리스'' 등이다. 드물게는 ''녹농균'' 및 기타 그람 음성 호기성 간균, 혐기성 세균이 발견된다.[7]
만성 꼭지돌기염에서는 ''P. aeruginosa'', 장내세균과, ''S. aureus'' 및 혐기성 세균 (''프레보텔라'', ''박테로이데스'', ''푸소박테리움'', ''펩토연쇄상구균'' 등)이 가장 흔하게 분리된다.[8] 드물게는 ''미코박테리움'' 종이 감염을 일으키기도 한다.
일부 꼭지돌기염은 중이 내에 생기는 각질화된 편평 상피 세포 덩어리인 진주종에 의해 발생하기도 한다. 진주종은 대개 반복적인 중이염의 결과로 나타나며, 치료하지 않으면 꼭지돌기로 침식하여 꼭지돌기염을 일으킬 수 있고 다른 합병증도 유발할 수 있다.[4]
4. 진단
5. 치료

귀 감염을 적절한 시간 안에 치료하면 항생제가 일반적으로 감염을 치료하고 확산을 막는다. 이 때문에 유양돌기염은 선진국에서 드물게 발생한다. 대부분의 귀 감염은 유스타키오관이 완전히 발달하지 않아 쉽게 배액되지 않는 유아에게서 발생한다.
현대 의료 시설을 갖춘 국가에서 유양돌기염의 주요 치료법은 정맥 내 항생제 투여이다. 초기에는 세프트리악손과 같은 광범위 항생제를 투여한다. 세균 배양 결과가 나오면, 확인된 호기성 세균 및 혐기성 세균 제거를 목표로 하는 더 특정적인 항생제로 치료법을 변경할 수 있다.[8] 감염을 완전히 제거하기 위해 장기간 항생제가 필요할 수도 있다.[4]
항생제로 상태가 빠르게 호전되지 않으면, 약물 치료를 계속하면서 수술적 절차를 시행할 수 있다. 가장 일반적인 절차는 고막 절개술(고막에 작은 절개를 내는 것) 또는 고막에 고막 절개 튜브를 삽입하는 것이다.[9] 이 절차들은 중이에서 고름을 배출시켜 감염 치료를 돕는다. 삽입된 튜브는 몇 주에서 몇 달 후 자연스럽게 빠지며 절개 부위도 저절로 아문다. 만약 합병증이 발생하거나 유양돌기염이 앞선 치료법들에 반응하지 않으면 유양돌기 절제술을 시행해야 할 수 있다. 이 수술은 감염된 뼈의 일부를 제거하고 고름을 배액하는 절차이다.[4]
6. 예후
꼭지돌기염은 여러 합병증을 유발할 수 있으며, 이는 감염이 주변 구조로 확산되면서 발생한다.
7. 역학
미국 등 선진국에서는 꼭지돌기염의 발생률이 0.004% 정도로 매우 낮지만, 개발도상국에서는 더 높은 발생률을 보인다. 이 질환은 귀 감염이 가장 흔한 생후 2개월에서 13개월 사이 어린이에게 가장 흔하게 나타난다. 남녀 발생률은 같다.[3]
8. 추가 자료
- Durand, Marlene & Joseph, Michael. (2001). Infections of the Upper Respiratory Tract. In Eugene Braunwald, Anthony S. Fauci, Dennis L. Kasper, Stephen L. Hauser, Dan L. Longo, & J. Larry Jameson (Eds.), ''Harrison's Principles of Internal Medicine'' (15th Edition), p. 191. New York: McGraw-Hill
- Cummings CW, Flint PW, Haughey BH, et al. ''Otolaryngology: Head & Neck Surgery''. 4th ed. St Louis, Mo; Mosby; 2005:3019–3020.
- [https://emedicine.medscape.com/article/966099-overview Mastoiditis E Medicine]
참조
[1]
서적
Diseases of ear nose & throat
elsevier
[2]
웹사이트
Mastoiditis
https://www.nlm.nih.[...]
MedlinePlus Medical Encyclopedia
2003-07-30
[3]
웹사이트
Ear Infections – Treatment
http://www.webmd.com[...]
webmd.com
2008-11-24
[4]
웹사이트
Mastoiditis
http://www.emedicine[...]
eMedicine
2005-06-10
[5]
논문
Meningoencephalitis caused by masked mastoiditis that was diagnosed during a follow-up in an elderly patient with diabetes mellitus: A case report.
2020-05
[6]
웹사이트
What to Do About Ear infections
http://www.webmd.com[...]
webmd.com
2008-11-24
[7]
논문
Acute mastoiditis in children: epidemiologic, clinical, microbiologic, and therapeutic aspects over past years
[8]
논문
The role of anaerobic bacteria in acute and chronic mastoiditis
[9]
논문
Conservative management of acute mastoiditis in children
2011-04
[10]
서적
Diseases of ear nose & throat
elsevier
[11]
웹인용
Mastoiditis
https://www.nlm.nih.[...]
MedlinePlus Medical Encyclopedia
2003-07-30
[12]
웹인용
Ear Infections – Treatment
http://www.webmd.com[...]
webmd.com
2008-11-24
[13]
웹인용
Mastoiditis
http://www.emedicine[...]
eMedicine
2005-06-10
[14]
저널 인용
Meningoencephalitis caused by masked mastoiditis that was diagnosed during a follow-up in an elderly patient with diabetes mellitus: A case report.
2020-05
본 사이트는 AI가 위키백과와 뉴스 기사,정부 간행물,학술 논문등을 바탕으로 정보를 가공하여 제공하는 백과사전형 서비스입니다.
모든 문서는 AI에 의해 자동 생성되며, CC BY-SA 4.0 라이선스에 따라 이용할 수 있습니다.
하지만, 위키백과나 뉴스 기사 자체에 오류, 부정확한 정보, 또는 가짜 뉴스가 포함될 수 있으며, AI는 이러한 내용을 완벽하게 걸러내지 못할 수 있습니다.
따라서 제공되는 정보에 일부 오류나 편향이 있을 수 있으므로, 중요한 정보는 반드시 다른 출처를 통해 교차 검증하시기 바랍니다.
문의하기 : help@durumis.com