면역조직화학
"오늘의AI위키"의 AI를 통해 더욱 풍부하고 폭넓은 지식 경험을 누리세요.
1. 개요
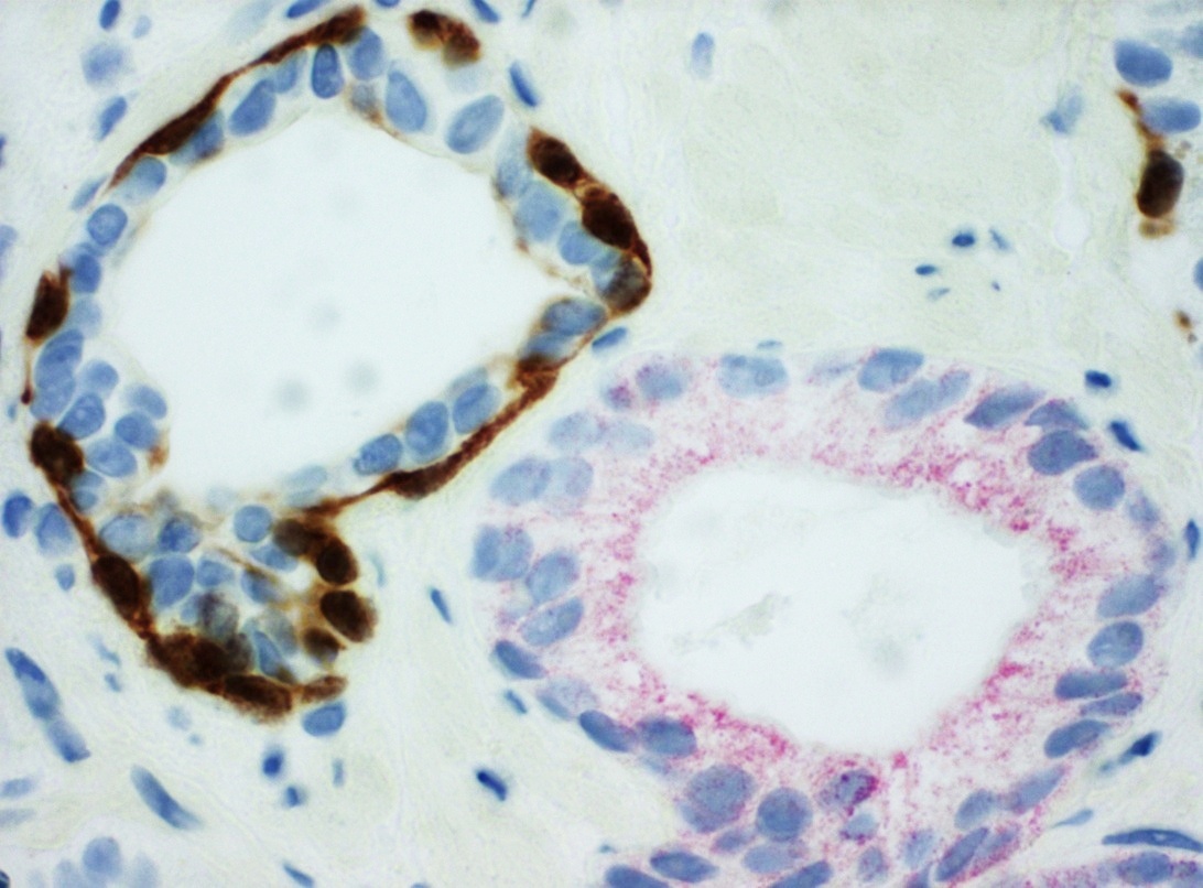
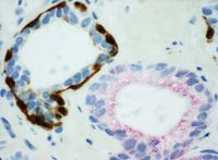
면역조직화학은 항원-항체 반응을 이용하여 조직 내 특정 단백질의 위치를 시각화하는 기술이다. 조직을 고정하고 절편을 제작한 후, 항원 회수, 차단, 항체 반응 등의 과정을 거쳐 항체의 결합 부위를 검출한다. 형광 항체법, 효소 항체법, 금속 표지 항체법 등 다양한 검출 방법이 사용되며, 진단 외과 병리학에서 종양의 면역표현형 분석에 널리 활용된다. 또한, 암 치료 반응 예측 및 단백질 발현 지도 작성에도 기여한다.
더 읽어볼만한 페이지
- 면역 검사 - C-반응성 단백질
C-반응성 단백질(CRP)은 간에서 생성되는 단백질로, 염증 반응의 지표로 사용되며, 세균 감염, 조직 손상, 자가면역 질환 등에서 혈중 농도가 증가하여 면역 반응에 기여한다. - 면역 검사 - 헤마글루티닌
헤마글루티닌은 바이러스 표면에 존재하는 당단백질로, 숙주 세포의 시알산에 결합하여 세포 침투를 돕고 유전 물질을 전달하며, 혈청학적 분석 및 질병 진단에 활용된다. - 염색 (생물학) - H&E 염색
H&E 염색은 헤마톡실린과 에오신을 사용하여 조직의 핵은 파란색 또는 보라색으로, 세포질은 분홍색 또는 붉은색으로 염색하는 조직학적 염색법이다. - 염색 (생물학) - 질-닐슨 염색
질-닐슨 염색은 결핵균 등 항산성 세균 검출을 위해 개발된 염색 방법으로, 석탄산 푹신으로 1차 염색 후 산성 알코올로 탈색하고 대비 염색하여 항산성 세균을 붉은색으로, 비항산성 세균을 다른 색으로 염색한다. - 단백질 기법 - 녹색 형광 단백질
녹색 형광 단백질(GFP)은 해파리에서 발견된 단백질로, 특정 파장의 빛을 흡수하여 녹색 형광을 방출하며, 자체 발색단 형성 능력과 유전자 조작을 통한 개량형 개발로 생물학 연구에서 리포터 유전자로 널리 사용되지만, 실험 결과 해석 시 주의가 필요하고 대체 기술 또한 개발 중이다. - 단백질 기법 - 크산토프로테인 반응
크산토프로테인 반응은 단백질 내 방향족 아미노산이 진한 질산에 의해 니트로화되어 황색으로 변하고, 알칼리성 조건에서 등황색으로 변하는 단백질 검출 및 정성 분석에 사용되는 반응이다.
2. 방법
면역조직화학은 항원-항체 반응을 이용하여 조직 내 특정 항원의 위치를 확인하는 방법이다. 이 방법은 크게 형광 색소를 이용하는 형광 항체법, 효소를 이용하는 효소 항체법, 금속을 이용하는 금속 표지 항체법으로 나눌 수 있다.[31]
- 형광 항체법: 1950년대 앨버트 쿤스 등이 개발한 방법으로, 형광 색소를 항체에 부착하여 항원-항체 결합을 확인한다. 분해능과 신호 대 잡음비가 우수하여 다중 염색에 유리하며, 공초점 레이저 현미경이나 초고해상도 현미경을 통해 미세한 구조까지 관찰할 수 있다.[32][33][34][31]
- 효소 항체법: 1966년 나카네 카즈호와 피어스가 개발한 방법으로, 효소를 항체에 부착하여 효소 반응을 통해 항원-항체 결합을 확인한다. 광학 현미경과 전자 현미경 모두에서 관찰 가능하다.[35][31] ABC 법, PAP 법, LSAB 법, 촉매 신호 증폭법, 면역 고분자법 등이 있다.
2. 1. 시료 준비
면역조직화학 염색은 파라핀에 고정 및 포매된 조직뿐만 아니라 급속 냉동(냉동) 조직에서도 수행할 수 있다. 조직 보존 방식에 따라 면역조직화학 염색을 위한 조직 준비 단계가 다르지만, 일반적인 방법은 적절한 고정, 항원 회수, 1차 항체와의 배양, 2차 항체와의 배양을 포함한다.[5][6]2. 1. 1. 조직 준비 및 고정
조직의 고정은 조직을 보존하고 세포 형태를 유지하는 데 중요하다. 고정 공식, 고정액과 조직의 비율, 고정액에 담가두는 시간은 결과에 영향을 미친다. 고정액으로는 흔히 10% 중성 완충 포르말린 용액을 사용한다.[5] 일반적인 고정 시간은 실온에서 24시간이다. 고정액과 조직의 비율은 1:1에서 1:20까지 다양하다. 조직을 고정한 후에는 파라핀 왁스에 포매할 수 있다.[6]냉동 절편의 경우, 새로운 항체를 검사하지 않는다면 대개 절편을 만든 후에 고정을 수행한다. 이때 아세톤이나 포르말린을 사용할 수 있다.[6]
2. 1. 2. 절편
조직 샘플의 절단은 미세절단기를 사용하여 수행한다. 파라핀 포매 조직의 경우 4μm가 일반적인 두께이며, 동결 절편의 경우 4μm – 6μm이다.[6] 절편의 두께는 면역조직화학에서 중요한 요소이다. 4μm 두께의 뇌 조직 절편과 7μm 두께의 절편을 비교하면, 7μm 두께의 절편에서 보이는 일부가 4μm 절편에서는 보이지 않을 수 있다. 이는 이 방법론과 관련된 상세한 방법의 중요성을 보여준다.[7] 파라핀 포매 조직은 크실렌 또는 그에 상응하는 물질을 사용하여 조직 샘플의 파라핀을 제거한 후 알코올로 처리하여 탈파라핀화해야 한다.[8]2. 1. 3. 항원 회수
항원 회수는 대부분의 포르말린 고정 조직 절편에 대한 면역조직화학 염색을 위해 항원 결정기를 접근 가능하게 만드는 과정이다. 항원 결정기는 표적 항원을 시각화하는 데 사용되는 항체의 결합 부위인데, 고정 과정에서 가려질 수 있다. 조직 고정은 메틸렌 다리(methylene bridge) 형성이나 아미노 그룹의 교차 결합을 유발하여 항원 결정기를 사용할 수 없게 만들 수 있다. 항원 회수는 고정으로 인한 교차 결합을 분해하여 가려진 항원성을 회복시킨다.[9] 항원 회수를 수행하는 가장 일반적인 방법은 슬라이드를 완충 용액에 담근 채 고온 가열하는 것이다.[10] 이는 전자레인지, 오토클레이브, 가열판, 또는 수조를 사용하여 수행할 수 있다. 냉동 절편의 경우 일반적으로 항원 회수가 필요하지 않지만, 아세톤이나 포르말린으로 고정된 냉동 절편의 경우 항원 회수를 통해 면역조직화학 신호를 향상시킬 수 있다.[6]2. 1. 4. 차단
항체의 비특이적 결합은 배경 염색을 유발할 수 있다. 항체는 특정 에피토프에 결합하지만, 표적 단백질의 결합 부위와 유사한 비특이적 단백질의 부위에 부분적으로 또는 약하게 결합할 수도 있다. 이차 항체가 생산된 종에서 분리된 정상 혈청으로 조직을 배양함으로써 배경 염색을 줄일 수 있다. 또한 시판되는 범용 차단 완충액을 사용할 수도 있다. 다른 일반적인 차단 완충액으로는 정상 혈청, 탈지 분유, BSA, 또는 젤라틴이 있다.[5][6] 내인성 효소 활성 또한 배경 염색을 유발할 수 있지만, 조직을 과산화수소로 처리하면 감소시킬 수 있다.[5]2. 2. 시료 표지
샘플 준비 후, 형광 화합물, 금속 또는 효소로 표지된 항체를 사용하여 표적을 시각화할 수 있다. 샘플 표지에는 직접법과 간접법이 있다.[6][11] 항원-항체 반응을 통해 항체의 결합 부위를 검출하기 위해 형광 색소를 이용한 형광 항체법, 효소를 이용한 효소 항체법, 금속을 이용한 금속 표지 항체법 등 다양한 방법을 활용한다.[31]2. 2. 1. 항체 유형
검출에 사용되는 항체는 다클론 항체 또는 단클론 항체일 수 있다. 다클론 항체는 기니피그, 토끼, 쥐, 랫 또는 염소와 같은 동물을 사용하여 만들어진다. 동물에게 관심 항원을 주사하여 면역 반응을 유발한다. 항체는 동물의 혈청 전체에서 분리할 수 있다. 다클론 항체 생성은 서로 다른 항체의 혼합물을 생성하며 여러 에피토프를 인식한다. 단클론 항체는 동물에게 관심 항원을 주사한 다음, 항체를 생성하는 B 세포(일반적으로 비장에서)를 분리하여 만들어진다. 항체를 생성하는 세포는 암 세포주와 융합된다. 이로 인해 항체는 단일 에피토프에 대한 특이성을 나타낸다.면역조직화학적 검출 전략에서 항체는 1차 시약 또는 2차 시약으로 분류된다. 1차 항체는 관심 항원에 대해 생성되며 일반적으로 비접합(표지되지 않음)된다. 2차 항체는 1차 항체 종의 면역글로불린에 대해 생성된다. 2차 항체는 일반적으로 바이오틴과 같은 링커 분자에 접합되어 리포터 분자를 모집하거나, 2차 항체 자체가 리포터 분자에 직접 결합된다.
형광 항체법
1950년대에 앨버트 쿤스 등에 의해 발표된 형광 색소를 이용하여 항체의 결합 부위를 검출하는 방법으로 분해능과 신호 대 잡음비가 뛰어나 다중 염색을 한 경우에도 식별성이 우수하다[32][33][34][31]. 공초점 레이저 현미경이나 초고해상도 현미경을 사용함으로써 기존의 광학 현미경에서의 검출 한계 이하의 해상도에 도달할 수 있다.
효소 항체법
1966년에 나카네 카즈호와 피어스에 의해 개발된, 효소를 이용하여 항체의 결합 부위를 효소 반응으로 발색시킴으로써 항원 물질의 소재를 검출하는 기법으로, 광학 현미경 및 전자 현미경으로 관찰이 가능하다.[35][31]
직접 항체에 효소를 결합시키는 방법 등이 있다.
- ABC 법 (avidin-biotinylated peroxidase complex method, 아비딘-바이오틴화 과산화효소 복합체 법)
- PAP 법 (peroxidase-antiperoxidase method, 과산화효소-항과산화효소 법)
- LSAB 법 (labeled streptavidin biotinylated antibody method, 표지된 스트렙타비딘 바이오틴화 항체 법)
- 촉매 신호 증폭법 (catalyzed signal amplification method, CSA)
- 면역 고분자법 (universal immunoenzyme polymer method)
2. 2. 2. 검출 방법
직접법은 한 단계 염색 방법으로, 조직 절편 내 항원에 직접 반응하는 표지 항체를 사용한다. 이 기술은 하나의 항체만 사용하므로 단순하고 빠르지만, 간접 방법에 비해 신호 증폭이 적어 감도가 낮다.[11]간접법은 조직 내 표적 항원에 결합하는 비표지 1차 항체를 사용한다. 그 다음, 1차 항체와 결합하는 2차 항체를 두 번째 층으로 첨가한다. 2차 항체는 1차 항체가 생성된 동물의 항체 IgG에 대해 생성되어야 한다. 이 방법은 각 1차 항체에 여러 개의 2차 항체가 결합하여 신호 증폭이 일어나기 때문에 직접 검출 전략보다 감도가 높다.[11]
간접법은 감도가 더 높다는 점 외에도 상대적으로 적은 수의 표준 접합(표지) 2차 항체를 생성하면 된다는 장점이 있다. 예를 들어, 토끼 IgG에 대해 생성된 표지 2차 항체는 토끼에서 생성된 모든 1차 항체에 유용하다. 이는 단일 항원에 대해 다양한 1차 항체를 생성하는 다클론 선택 때문이든, 여러 항원에 관심이 있든, 연구자가 둘 이상의 1차 항체를 표지할 때 특히 유용하다. 직접법의 경우, 관심 있는 모든 항원에 대해 각 1차 항체를 표지해야 한다.[11]

항원-항체 반응을 통해 항체의 결합 부위를 검출하기 위해 형광 색소를 이용한 형광 항체법, 효소를 이용한 효소 항체법, 금속을 이용한 금속 표지 항체법 등 다양한 방법을 활용한다.[31]
형광 항체법은 1950년대에 앨버트 쿤스 등에 의해 발표된 방법으로, 분해능과 신호 대 잡음비가 뛰어나 다중 염색을 한 경우에도 식별성이 우수하다.[32][33][34][31] 공초점 레이저 현미경이나 초고해상도 현미경을 사용함으로써 기존의 광학 현미경에서의 검출 한계 이하의 해상도에 도달할 수 있다.
효소 항체법은 1966년에 나카네 카즈호와 피어스에 의해 개발된 기법으로, 효소를 이용하여 항체의 결합 부위를 효소 반응으로 발색시킴으로써 항원 물질의 소재를 광학 현미경 및 전자 현미경으로 관찰할 수 있다.[35][31] 직접 항체에 효소를 결합시키는 방법 등이 있다.
- ABC 법 (avidin-biotinylated peroxidase complex method, 아비딘-바이오틴화 과산화효소 복합체 법)
- PAP 법 (peroxidase-antiperoxidase method, 과산화효소-항과산화효소 법)
- LSAB 법 (labeled streptavidin biotinylated antibody method, 표지된 스트렙타비딘 바이오틴화 항체 법)
- 촉매 신호 증폭법 (catalyzed signal amplification method, CSA)
- 면역 고분자법 (universal immunoenzyme polymer method)
2. 2. 3. 리포터 분자
리포터 분자는 검출 방법에 따라 다르며, 가장 흔한 것은 발색 및 형광 검출이다. 발색 면역조직화학에서 항체는 알칼리 인산 분해 효소 및 말 과산화 효소와 같은 효소와 결합되어 있으며, 이 효소는 디아미노벤지딘과 같은 발색 기질이 존재할 때 색상을 생성하는 반응을 촉매할 수 있다.[5] 이 유색 생성물은 일반적인 광학 현미경으로 분석할 수 있다.[13] 면역 형광법에서 항체는 형광체에 부착된다. 예를 들어, 플루오레세인 이소티오시아네이트, 테트라메틸로다민 이소티오시아네이트, 아미노메틸 쿠마린 아세테이트 또는 시아닌5 등이 사용된다. Alexa Fluors의 합성 형광 염료도 일반적으로 사용된다.[13][14] 형광 염료는 형광 또는 공초점 현미경으로 시각화할 수 있다.[13]발색 및 형광 검출 방법의 경우, 신호의 농도 분석을 통해 리포터 신호 수준과 단백질 발현 또는 국소화 수준을 각각 상관 관계시키기 위한 반정량적 및 완전 정량적 데이터를 제공할 수 있다.[6]
항원-항체 반응을 통해 항체의 결합 부위를 검출하는 데는 형광 색소를 이용한 형광 항체법(immunofluorescence method)과 효소를 이용한 효소 항체법(immunoenzyme method), 금속을 이용한 금속 표지 항체법(immunocolloid method) 등 다양한 방법이 활용된다.[31]
형광 항체법은 1950년대에 앨버트 쿤스 등에 의해 발표된 방법으로 분해능과 신호 대 잡음비가 뛰어나 다중 염색을 한 경우에도 식별성이 우수하다.[32][33][34][31] 공초점 레이저 현미경이나 초고해상도 현미경을 사용함으로써 기존의 광학 현미경에서의 검출 한계 이하의 해상도에 도달할 수 있다.
효소 항체법은 1966년에 나카네 카즈호와 피어스에 의해 개발된 기법으로, 효소를 이용하여 항체의 결합 부위를 효소 반응으로 발색시킴으로써 항원 물질의 소재를 검출하며, 광학 현미경 및 전자 현미경으로 관찰이 가능하다.[35][31] 직접 항체에 효소를 결합시키는 방법 등이 있다.
- ABC 법 (avidin-biotinylated peroxidase complex method, 아비딘-바이오틴화 과산화효소 복합체 법)
- PAP 법 (peroxidase-antiperoxidase method, 과산화효소-항과산화효소 법)
- LSAB 법 (labeled streptavidin biotinylated antibody method, 표지된 스트렙타비딘 바이오틴화 항체 법)
- 촉매 신호 증폭법 (catalyzed signal amplification method, CSA)
- 면역 고분자법 (universal immunoenzyme polymer method)
2. 2. 4. 효소 항체법의 종류
나카네 카즈호와 피어스가 1966년에 개발한 효소를 이용한 방법으로, 항체의 결합 부위를 효소 반응으로 발색시켜 항원 물질이 어디에 있는지 검출한다. 광학 현미경 및 전자 현미경으로 관찰이 가능하다.[35][31] 종류는 다음과 같다.- ABC 법 (avidin-biotinylated peroxidase complex method, 아비딘-바이오틴화 과산화효소 복합체 법)
- PAP 법 (peroxidase-antiperoxidase method, 과산화효소-항과산화효소 법)
- LSAB 법 (labeled streptavidin biotinylated antibody method, 표지된 스트렙타비딘 바이오틴화 항체 법)
- 촉매 신호 증폭법 (catalyzed signal amplification method, CSA)
- 면역 고분자법 (universal immunoenzyme polymer method)
2. 3. 대조 염색

표적 항원에 대한 면역조직화학 염색 후, 대조 염색이 종종 적용된다. 대조 염색은 기본 염색을 돋보이게 하고 조직 형태를 더 쉽게 검사할 수 있도록 대비를 제공한다. 또한 조직 절편의 방향 및 시각화에도 도움이 된다. 헤마톡실린이 일반적으로 사용된다.[6][15]
2. 4. 문제 해결
면역조직화학 기법에서는 조직의 최종 염색 전에 다양한 문제를 일으킬 수 있는 여러 단계가 있는데, 이는 강한 배경 염색, 약한 표적 항원 염색 및 인공물의 존재로 나타날 수 있다. 항체의 품질과 면역조직화학 기법을 최적화하는 것이 중요하다.[16] 내인성 바이오틴, 리포터 효소 또는 1차/2차 항체 가교 반응은 강한 배경 염색의 일반적인 원인이다.[11][13] 약하거나 없는 염색은 조직의 부적절한 고정 또는 낮은 항원 수준으로 인해 발생할 수 있다. 면역조직화학 조직 준비 및 항체 염색의 이러한 측면은 염색 문제를 식별하고 극복하기 위해 체계적으로 해결해야 한다.[5][6]
배경 염색을 제거하는 방법으로는 1차 또는 2차 항체의 희석, 배양 시간 또는 온도의 변경, 다른 검출 시스템 또는 다른 1차 항체 사용 등이 있다. 품질 관리는 최소한 항원을 발현하는 것으로 알려진 조직을 양성 대조군으로, 항원을 발현하지 않는 것으로 알려진 조직을 음성 대조군으로 포함해야 하며, 1차 항체를 생략하거나(또는 더 나아가 1차 항체를 흡수) 동일한 방식으로 검사 조직을 검사해야 한다.[5][18]
3. 진단 면역조직화학 표지자
진단 외과 병리학에서 사용되는 면역조직화학 표지자는 매우 다양하다. 3차 병원(대학병원)의 많은 임상 실험실에서는 진단, 예후 및 예측 바이오마커로 사용되는 200개 이상의 항체를 갖추고 있다. 일반적으로 사용되는 몇 가지 표지자는 다음과 같다.

4. 치료에서의 활용
암에서는 다양한 분자 경로가 변경되며, 이 중 일부는 암 치료의 표적이 될 수 있다. 면역조직화학은 분자 표적의 존재 여부나 증가된 수준을 감지하여, 어떤 종양이 치료에 반응할 가능성이 있는지 평가하는 데 사용될 수 있다.
4. 1. 화학 억제제
많은 종양이 호르몬에 의존적이다. 호르몬 수용체의 존재는 종양이 항호르몬 요법에 잠재적으로 반응하는지 여부를 결정하는 데 사용될 수 있다. 최초의 치료법 중 하나는 유방암 치료에 사용되는 항에스트로겐제인 타목시펜이었다. 이러한 호르몬 수용체는 면역조직화학 염색으로 검출할 수 있다.[23]세포 내 티로신 키나아제 억제제인 이매티닙은 특정 비정상적인 티로신 키나아제의 형성을 특징으로 하는 질병인 만성 골수성 백혈병 치료를 위해 개발되었다. 이매티닙은 특히 KIT를 발현하는 다른 티로신 키나아제를 발현하는 종양에 효과적인 것으로 입증되었다. 대부분의 위장관 기질 종양은 KIT를 발현하며, 이는 면역조직화학 염색으로 검출할 수 있다.[24]
4. 2. 단클론 항체
면역조직화학 검사에서 병리학적 상태에서 매우 상향 조절되는 것으로 나타난 많은 단백질은 단클론 항체를 활용한 치료법의 잠재적 표적이 된다. 단클론 항체는 크기 때문에 세포 표면 표적에 사용된다. 과발현된 표적 중에는 세포 내 티로신 키나아제를 조절하는 세포 외 수용체 도메인을 가진 막 관통 단백질인 EGFR 계열의 구성원들이 있다.[25] 이 중 HER2/neu(Erb-B2라고도 함)가 처음 개발되었다. 이 분자는 다양한 암 세포 유형, 특히 유방암에서 고도로 발현된다. 따라서 HER2/neu에 대한 항체는 약물명 ''허셉틴''으로 암 임상 치료에 대해 미국 식품의약국(FDA)의 승인을 받았다. 상업적으로 이용 가능한 면역조직화학 검사로는 Dako HercepTest, Leica Biosystems Oracle[26] 및 Ventana Pathway가 있다.[27]마찬가지로, 표피 성장 인자 수용체(HER-1)는 두경부암 및 결장암을 포함한 다양한 암에서 과발현된다. 면역조직화학은 얼비툭스(세툭시맙)와 같은 치료용 항체의 혜택을 받을 수 있는 환자를 결정하는 데 사용된다.[28] 면역조직화학으로 표피 성장 인자 수용체를 검출하는 상업용 시스템에는 Dako pharmDx가 있다.
5. 단백질 발현 지도 작성
휴먼 프로테인 아틀라스(Human Protein Atlas)는 정상적인 인간의 장기와 조직에서 단백질 발현 지도를 보여준다.[1] 면역조직화학과 조직 마이크로어레이를 함께 사용하면 다양한 조직 유형에서 단백질 발현 패턴을 확인할 수 있다.[1] 면역조직화학은 또한 가장 흔한 형태의 인간 암에서 단백질 프로파일링에도 사용된다.[1]
참조
[1]
웹사이트
p16
https://www.patholog[...]
2024-01-25
[2]
간행물
Immunohistochemistry in Historical Perspective: Knowing the Past to Understand the Present
https://link.springe[...]
Springer US
2022
[3]
웹사이트
Immunohistochemistry: Origins, Tips, and a Look to the Future
https://www.the-scie[...]
2024-02-22
[4]
논문
Applications of immunohistochemistry
2012
[5]
간행물
An Introduction to the Performance of Immunohistochemistry
Springer New York
2019
[6]
논문
Immunohistochemistry for Pathologists: Protocols, Pitfalls, and Tips
2016-11-15
[7]
논문
Characteristics of the tissue section that influence the staining outcome in immunohistochemistry
2019-01
[8]
논문
Immunohistochemical analysis of protein expression in formalin fixed paraffin embedded human intervertebral disc tissues
2020-05-15
[9]
논문
Antigen Retrieval Immunohistochemistry: Past, Present, and Future
http://journals.sage[...]
1997-03
[10]
논문
Antigen retrieval in formalin-fixed, paraffin-embedded tissues: an enhancement method for immunohistochemical staining based on microwave oven heating of tissue sections.
http://journals.sage[...]
1991-06
[11]
논문
Technical Aspects of Immunohistochemistry
http://journals.sage[...]
2005-07-04
[12]
논문
Recombinant antibodies and their use for food immunoanalysis
2021-08-21
[13]
간행물
Multiple Antigen Immunostaining Procedures
Humana Press
2010
[14]
간행물
An Introduction to Performing Immunofluorescence Staining
Springer New York
2019
[15]
논문
Synergistic Tissue Counterstaining and Image Segmentation Techniques for Accurate, Quantitative Immunohistochemistry
2008-06-03
[16]
논문
Rodent Immunohistochemistry: Pitfalls and Troubleshooting
http://journals.sage[...]
2013-09-27
[17]
논문
Standardization of negative controls in diagnostic immunohistochemistry: recommendations from the international ad hoc expert panel.
[18]
웹사이트
Immunohistochemistry (IHC) Staining troubleshooting
https://www.bosterbi[...]
[19]
서적
Breast Pathology
Churchill Livingstone/Elsevier
2006
[20]
논문
Review and updates of immunohistochemistry in selected salivary gland and head and neck tumors
2015-01
[21]
논문
BrdU immunohistochemistry for studying adult neurogenesis: paradigms, pitfalls, limitations, and validation
2007-01
[22]
논문
An analysis of the sensitivity and specificity of the cytokeratin marker CAM 5.2 for epithelial tumours. Results of a study of 203 sarcomas, 50 carcinomas and 28 malignant melanomas
1986-12
[23]
논문
Pharmacodiagnostics and targeted therapies - a rational approach for individualizing medical anticancer therapy in breast cancer
2007-04
[24]
논문
Combined surgical and molecular therapy: the gastrointestinal stromal tumor model
2006-08
[25]
논문
Epidermal growth factor receptor inhibition strategies in oncology
2004-12
[26]
웹사이트
leicabiosystems.com
http://www.leicabios[...]
leicabiosystems.com
2013-06-16
[27]
논문
Diagnostic evaluation of HER-2 as a molecular target: an assessment of accuracy and reproducibility of laboratory testing in large, prospective, randomized clinical trials
2005-09
[28]
논문
Assessment of epidermal growth factor receptor (EGFR) expression in primary colorectal carcinomas and their related metastases on tissue sections and tissue microarray
2006-09
[29]
웹사이트
The Human Protein Atlas
https://www.proteina[...]
2017-10-02
[30]
논문
Proteomics. Tissue-based map of the human proteome
2015-01
[31]
웹사이트
蛍光抗体法と酵素抗体法の比較
https://www.nichirei[...]
2020-09-28
[32]
문서
Immunological properties of an antibody containing a fluorescent group.
[33]
문서
Localization of antigen in tissue cells: II. Improvements in a method for the detection of antigen by means of fluorescent antibody.
[34]
문서
Studies on antibody production: II. The primary and secondary responses in the popliteal lymph node of the rabbit.
[35]
문서
Enzyme-labeled antibodies: preparation and application for the localization of antigens.
본 사이트는 AI가 위키백과와 뉴스 기사,정부 간행물,학술 논문등을 바탕으로 정보를 가공하여 제공하는 백과사전형 서비스입니다.
모든 문서는 AI에 의해 자동 생성되며, CC BY-SA 4.0 라이선스에 따라 이용할 수 있습니다.
하지만, 위키백과나 뉴스 기사 자체에 오류, 부정확한 정보, 또는 가짜 뉴스가 포함될 수 있으며, AI는 이러한 내용을 완벽하게 걸러내지 못할 수 있습니다.
따라서 제공되는 정보에 일부 오류나 편향이 있을 수 있으므로, 중요한 정보는 반드시 다른 출처를 통해 교차 검증하시기 바랍니다.
문의하기 : help@durumis.com
