반상치
"오늘의AI위키"의 AI를 통해 더욱 풍부하고 폭넓은 지식 경험을 누리세요.
1. 개요
반상치는 치아 형성 과정에서 과도한 불소 섭취로 인해 발생하는 치아의 변색 및 표면 결함 상태를 의미한다. 시각적 검사를 통해 진단하며, 불소 노출 시기, 기간, 용량에 따라 증상의 심각성이 달라진다. 경미한 경우 흰 반점이나 불투명한 부분이 나타나고, 심한 경우 치아 전체가 변색되고 표면이 손상될 수 있다. 딘 지수 및 TF 지수와 같은 분류 체계를 통해 심각도를 평가하며, 아멜로제네시스 임퍼펙타, 셀리악병 등으로 인한 법랑질 결손과 감별 진단이 필요하다. 예방을 위해서는 불소 섭취량을 조절하고, 치료는 증상 정도에 따라 치아 미백, 에나멜 미세 연마, 레진 충전 등의 방법을 사용한다. 미국에서 흔하게 나타나며, 수돗물 불소화와 관련된 논쟁이 존재한다.
더 읽어볼만한 페이지
| 반상치 | |
|---|---|
| 질병 개요 | |
![]() | |
| 다른 이름 | 반점 치아 에나멜 |
| 분야 | 치과학 |
| 원인 | |
| 원인 | 과도한 불소 섭취 |
| 메커니즘 | 치아 발달 중 과도한 불소 노출 |
| 진단 | |
| 분류 | Dean의 불소증 지수 |
| 예방 | |
| 예방 | 유아 및 어린이가 불소 치약, 보충제 및 불소 처리된 물을 과도하게 섭취하지 않도록 주의 |
| 관리 | |
| 관리 | 불소증의 심각도에 따라 미백, 미세 연마 또는 베니어를 사용할 수 있음 |
2. 진단
반상치(불소증)의 진단은 주로 시각적인 임상 검사를 통해 이루어진다. 정확한 진단을 위해서는 좋은 조명 아래에서 건조하고 깨끗한 치아 표면을 자세히 관찰해야 한다.[6] 임상적인 증상은 개인마다 다르게 나타나는데, 이는 불소에 노출된 기간, 시기, 그리고 양에 따라 크게 좌우된다. 증상의 심각도를 기준으로 다양한 분류 방법이 사용된다.
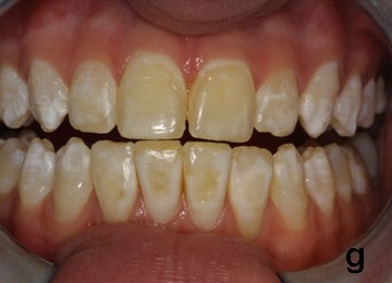
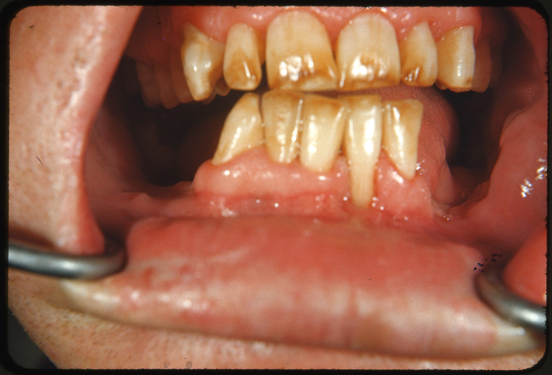
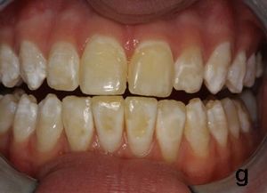
경미한 반상치의 경우, 치아 법랑질 표면은 대체로 손상되지 않고 단단하며 매끄럽지만, 경계가 불분명한 불투명한 흰색 반점이나 주름선(perikymata)을 따라 좁은 흰색 선이 나타나는 특징을 보인다.[7] 상태가 심해질수록 치아 표면 아래의 법랑질은 더욱 다공성(구멍이 많아지는 상태)이 된다. 이로 인해 법랑질은 황색이나 갈색으로 변색되거나, 충치와 유사하게 움푹 들어간 흰색-갈색 병변이 여러 개 나타날 수 있다. 이러한 외형은 흔히 "얼룩덜룩한 치아"라고 묘사된다.[8]
반상치 자체가 직접적으로 치아 변색을 일으키는 것은 아니다. 반상치의 영향을 받은 영구치가 처음 입안으로 나올 때는 아직 변색되지 않은 상태이다. 반상치는 법랑질 표면 아래에 미세한 구멍(다공성)을 만들거나 저석회화를 유발하는데, 상태가 진행되면 이러한 변화가 상아질-법랑질 경계면까지 확장된다. 이렇게 다공성이 증가한 법랑질은 외부 물질에 의한 착색에 더 취약해진다. 시간이 지나면서 음식물이나 음료 등에 포함된 외인성 이온(예: 철, 구리 이온)이 비정상적으로 다공성이 된 법랑질에 침투하여 점차 얼룩을 만들게 된다.[7]
반상치는 다른 치아 질환과 유사한 증상을 보일 수 있어 감별 진단이 중요하다.
2. 1. 감별 진단


반상치(불소증)의 적절한 진단은 시각적 임상 검사를 통해 이루어진다. 이를 위해 좋은 조명 아래에서 건조하고 깨끗한 치아 표면을 검사해야 한다.[6] 임상 증상은 개인별 불소 노출 기간, 시기, 용량에 따라 다양하게 나타난다. 경미한 경우 경계가 불분명한 흰 반점이나 선으로 나타나지만, 심해지면 법랑질이 다공성이 되어 황색/갈색 변색이나 움푹 팬 병변이 나타날 수 있다.[7][8] 이러한 외관상의 특징 때문에 다른 치아 질환과의 감별 진단이 중요하다.
반상치와 감별해야 할 주요 질환은 다음과 같다.
- 터너 형성 부전: 일반적으로 반상치보다 국소적으로 나타난다.[11]
- 셀리악병으로 인한 법랑질 결손: 진단되지 않고 치료받지 않은 경우에 발생하며, 반상치와 혼동될 수 있다.[9]
- 아멜로제네시스 임퍼펙타 및 법랑질 형성 부전: 일부 경미한 형태가 반상치와 유사하게 보일 수 있다.
- 1차 치아(젖니) 전구체의 감염으로 인한 법랑질 결손
- 충치: 반상치와 유사한 법랑질 결손은 종종 충치로 오진되기도 한다.[10]
- 치아 외상: 1차 치아에 가해진 기계적 외상이 영구치의 법랑질 형성에 영향을 주어 불투명도를 유발할 수 있다.[11]
3. 분류
반상치의 정도를 평가하기 위해 여러 분류 체계가 사용된다. 대표적으로 딘 지수(Dean's index)와 TF 지수(Thylstrup and Fejerskov index)가 있으며, 이 외에도 딘 지수와 TF 지수를 결합한 치아 표면 불소증 지수(Horowitz 외, 1984)나 불소 노출 시점과 치아 발달 단계를 고려한 불소증 위험 지수(Pendrys, 1990) 등이 있다.[32]
이 중 H. 트렌들리 딘이 1942년에 개발한 딘 지수는 현재 가장 널리 사용되는 분류 체계이다.[40] 딘 지수는 개인의 치아 중 최소 두 개 이상에서 나타나는 가장 심한 불소증 증상을 기준으로 분류한다.[40] 자세한 분류 기준은 하위 섹션에서 다룬다.
3. 1. 딘 지수 (Dean's index)

딘 치아 불소증 지수(Dean's index)는 H. 트렌들리 딘이 1934년에 처음 발표하고, 두 차례의 수정을 거쳐 1942년에 최종 형태로 완성한 불소증 분류 체계이다.[5] 이 지수는 현재 가장 널리 사용되는 분류 체계 중 하나로 평가받는다.[40]
개인의 불소증 점수는 검사 대상자의 치아 중 최소 두 개 이상에서 관찰된 가장 심각한 형태의 불소증을 기준으로 결정된다.[6][40] 딘 지수의 분류 기준은 다음과 같다.
3. 2. TF 지수 (Thylstrup and Fejerskov index)

불소증을 분류하는 주요 체계로는 딘 지수(Dean's index)와 TF 지수가 있다. 이 외에도 딘 지수와 TF 지수를 결합한 치아 표면 불소증 지수(Horowitz 등, 1984)와 불소 노출 시점 및 치아 발달 단계와 불소증 위험을 연관시킨 불소증 위험 지수(Pendrys, 1990) 등이 존재한다.[32]
TF 지수는 1978년 Thylstrup와 Fejerskov가 제안한 분류 체계로, 불소증의 병리학적 이해를 반영하여 기존의 딘 지수를 논리적으로 확장한 것이다.[32] 이 지수는 불소증으로 인한 법랑질의 변화 정도를 0점에서 9점까지의 등급으로 나누어 평가한다. 이를 통해 경미한 경우부터 심각한 경우까지 불소증의 상태를 더 세밀하게 구분하고 정의할 수 있다.[12]
4. 원인
반상치는 치아가 발달하는 시기에 불소를 과다 섭취하여 법랑질 형성에 이상이 생기는 질환이다.[13] 과도한 불소는 법랑질의 정상적인 광화 과정을 방해하여 표면 아래가 저석회화되고 다공성 구조를 띄게 만든다.[7] 이로 인해 치아 표면에 흰색 반점이나 줄무늬가 나타나며, 심한 경우 황갈색으로 변색되거나 표면이 패일 수 있다.[7][8] 이러한 변화는 주로 영구치에 나타나며, 시간이 지남에 따라 외부 물질에 의해 착색될 수 있다.[7]
정확한 진단은 좋은 조명 아래에서 건조하고 깨끗한 치아 표면을 시각적으로 검사하여 이루어진다.[6] 반상치는 다음과 같은 다른 원인에 의한 법랑질 결손과 구별해야 한다.
- 터너 형성 부전 (주로 국소적으로 나타남)
- 진단 및 치료되지 않은 셀리악병으로 인한 법랑질 결손[9]
- 일부 경미한 형태의 아멜로제네시스 임퍼펙타 및 법랑질 형성 부전
- 치아 우식증[10]
- 치아 외상으로 인한 법랑질 손상[11]
4. 1. 불소 과다 노출 원인
치아가 형성되는 시기, 특히 영구치가 발달하는 유아기와 아동기에 필요 이상으로 많은 양의 불소를 섭취하면 치아 불소증, 즉 반상치가 발생할 수 있다.[13] 영구치에 반상치가 생길 위험이 가장 큰 시기는 출생 후부터 만 6세까지이며, 일부 연구에서는 생후 첫 2년이 가장 중요하다고 본다.[14][15] 만 7세 이후에는 대부분의 영구치 발달이 완료되므로(사랑니 제외), 불소 섭취량과 관계없이 반상치 발생 가능성은 크게 줄어든다.[16] 반상치의 심각성은 섭취한 불소의 양, 노출 시기, 나이, 개인의 신체 반응, 체중, 활동량, 영양 상태, 뼈 성장 속도 등 다양한 요인에 따라 달라진다.[17] 유전적 요인도 불소에 대한 민감도에 영향을 미칠 수 있다.[18]불소를 과다하게 섭취하게 되는 주요 경로는 다음과 같다.[19]
- 치약이나 불소 강화 구강 청결제를 어린이가 삼키는 경우
- 불소가 과도하게 함유된 치약을 사용하는 경우
- 불소 함량 검사를 거치지 않은 생수를 마시는 경우
- 불소 보충제를 부적절하게 사용하는 경우
- 수입 식품 등 불소 함량이 높은 음식을 섭취하는 경우
- 수돗물 불소화
이 중 수돗물 불소화는 전체 반상치 발생의 약 40%와 직간접적으로 연관되어 있지만, 이로 인한 경우는 대부분 심미적인 문제에 그치는 경향이 있다.[19][20] 심각한 반상치는 자연적으로 불소 농도가 높은 물(권장 수준 이상)에 노출되거나, 특정 차(예: 전차)나 불소 함량이 높은 석탄 연소로 인한 오염 등 다른 경로를 통해 불소에 과다 노출될 때 발생할 수 있다.[21]
미국에서는 수돗물 불소화가 확대되면서 반상치 발생률도 함께 증가했으며, 이는 인종별로 차이를 보이기도 했다.[22] 질병통제예방센터(CDC)의 2010년 보고서에 따르면, 1986-87년 미국의 전체 반상치 유병률은 22%였으나 21세기 초에는 41%로 증가했고, 중등도 이상 반상치 유병률은 1%에서 4%로 늘어났다.[23] 2011-12년 NHANES 자료에서는 지난 10년간 미국 청소년의 반상치 유병률이 추가로 31% 증가하여 전체 청소년의 61%가 영향을 받는 것으로 나타났다. 특히 미국 청소년 5명 중 1명 이상(23%)은 최소 두 개 치아에서 중등도 이상의 반상치를 가지고 있었다.[24]
미국 콜로라도주 파이크스 산 인근 마을에서는 주민들의 치아에 갈색 반점이 나타나는 사례가 보고된 바 있다. 조사 결과, 지역의 빙정석에 포함된 불화물이 강물에 녹아들어 불소 농도가 높아졌고, 이 물을 지속적으로 마신 것이 원인으로 밝혀졌다.
일반적으로 수돗물 불소화 시 불소 농도는 1mg/L 수준으로 조절되는데, 이는 하루에 물 1L를 마시면 불소 1mg을 섭취하게 되는 양이다. 불소 첨가 수돗물의 농도는 과다 섭취를 막기 위해 상한량 이하로 설정된다. 하지만 불소가 함유된 치약을 삼키거나 불소 농도가 높은 식품을 섭취하는 등 다른 경로로 불소를 섭취하고, 동시에 불소 첨가 수돗물을 마시면 총 불소 섭취량이 상한량을 초과할 수 있다.
치아 불소증은 불소 섭취량을 아래 표의 상한량 이하로 조절함으로써 예방할 수 있다.
4. 2. 위험 요인
치아 불소증은 치아가 만들어지는 시기에 불소를 필요 이상으로 많이 섭취하면 생긴다. 상아질과 법랑질 불소증 모두 치아 형성기에만 발생하므로, 불소 노출은 주로 어린 시절에 일어난다. 법랑질 불소증이 생기면 치아 표면의 법랑질이 제대로 단단해지지 않아(저광화) 희고 불투명하게 보인다.[13]치아 불소증의 가장 눈에 띄는 문제는 영구치의 보기 좋지 않은 외관 변화이다. 영구치가 불소증에 걸릴 위험이 가장 높은 시기는 태어나서 만 6세까지이며, 특히 생후 첫 2년이 가장 중요하다고 보는 연구도 있다.[14][15] 만 7세 정도가 지나면 대부분 어린이의 영구치 발달이 끝나기 때문에(사랑니 제외), 이후에는 불소를 얼마나 섭취하든 불소증이 생길 가능성은 크게 줄어든다.[16] 불소증의 심한 정도는 불소에 노출된 양, 아이의 나이, 개인별 반응 차이, 체중, 신체 활동량, 영양 상태, 뼈 성장 속도 등 여러 요인에 따라 달라진다.[17] 유전적인 요인도 불소증에 얼마나 민감한지에 영향을 줄 수 있다.[18]
불소를 과다하게 섭취하게 되는 주요 경로로는 어린이가 삼킬 수 있는 불소 함유 치약이나 구강청결제, 불소 치약을 너무 많이 먹는 경우, 불소 함량을 확인하지 않은 생수, 불소 보충제의 부적절한 사용, 외국에서 수입된 특정 식품, 그리고 공공 수돗물 불소화 등이 있다.[19] 이 중 수돗물 불소화는 전체 불소증 발생의 약 40%와 관련이 있는 것으로 추정되지만, 이로 인한 불소증은 대부분 외관상의 문제에 그치는 경우가 많다.[19][20] 심각한 불소증은 자연적으로 불소 농도가 기준치보다 높은 물을 마시거나, 전차(벽돌 차) 또는 불소 함량이 높은 석탄 연소로 인한 오염 등 다른 경로로 불소에 노출될 때 발생할 수 있다.[21]
미국에서는 도시 수돗물 불소화가 확대되면서 치아 불소증 발생도 늘어났는데, 인종별로 발생률에 차이를 보였다.[22] 2010년 CDC 보고에 따르면, 1986-87년 조사 당시 22%였던 전체 치아 불소증 발생률이 2000년대 초에는 41%로 증가했고, 중등도 이상 심한 불소증은 1%에서 4%로 늘어났다.[23] 2011-12년 NHANES 결과는 이전 10년간 미국 청소년의 불소증 발생률이 다시 31% 증가하여 전체 청소년의 61%가 영향을 받은 것으로 나타났다. 미국 청소년 5명 중 1명 이상(23%)은 최소 두 개 치아에서 중등도 이상의 불소증을 겪고 있다.[24]
2005년 기준으로 미국 전체의 치아 불소증 유병률에 대한 전국적인 조사는 미국 국립 치의학 및 두개안면 연구소에서 1986-1987년에 실시한 조사[41]와 CDC에서 1999-2002년에 실시한 조사[42]가 대표적이다.
| 딘 지수 | 1987 | 2002 |
|---|---|---|
| 의심스러움 | 17% | 11.8% |
| 경미 | 19% | |
| 경도 | 4% | 5.83% |
| 중등도 | 1% | 0.59% |
| 중증 | 0.3% | |
| 합계 | 22.3% | 37.2% |
CDC는 미국 어린이의 치아 불소증 유병률이 20년 전 유사 조사 때보다 9%p 상승했다고 밝혔다.[43] 또한, 이 조사에서는 아프리카계 미국인이 백인 미국인보다 불소증 유병률이 더 높게 나타났다.
치아 불소증은 얕은 우물물을 식수로 사용하는 농촌 지역에서 발생 빈도가 높다. 또한 불소 농도가 1mg/L 이상인 물을 마시는 지역이나 칼슘 섭취가 부족한 어린이에게서 발생하기 쉽다.
5. 메커니즘
치아는 불소가 인체 건강에 미치는 영향을 연구하는 데 가장 중요한 신체 조직이다.[25][26] 반상치의 발생 메커니즘에 대해서는 몇 가지 가능성이 제기되었으나, 수십 년간의 연구에도 불구하고 아직 명확하게 입증된 것은 없다.[25][26]
일반적으로 받아들여지는 가설은, 영향을 받은 법랑질(에나멜)의 석회화 저하가 에나멜 형성 시기에 아멜로블라스트(법랑모세포)에 대한 불소의 직접적인 독성 효과 때문이라는 것이다. 이는 불소가 칼슘 대사에 미치는 전신적인 영향이나 불소 대사를 억제하는 중독 효과 때문은 아닌 것으로 여겨진다.[25][26]
구체적으로, 성숙하는 에나멜의 세포 외부 환경에서 과도한 불소 이온은 에나멜 매트릭스 단백질(아멜로제닌)이 효소에 의해 분해되는 속도와 그 분해 산물이 제거되는 속도를 변화시킨다.[2][32] 또한 불소는 광물화 환경에서 자유 칼슘 이온의 농도를 감소시켜 프로테아제의 작용을 간접적으로 방해할 수도 있다.[32] 이러한 과정은 결국 광물화가 덜 된 에나멜을 형성하게 만든다. 이렇게 석회화가 저하된 에나멜은 정상 에나멜과 다른 광학적 특성을 가져 불투명하고 광택이 없어 보이게 된다.[2]
과거에는 심한 불소증을 에나멜 형성 부전의 한 형태로 설명하기도 했으나, 실제로는 형성 부전 자체가 불소증의 결과로 발생하는 것은 아니다.[32] 심한 불소증에서 관찰되는 에나멜의 구멍, 줄무늬, 손실 등은 치아가 입안으로 나온 후, 심하게 석회화가 저하되고 부서지기 쉬운 에나멜이 손상되어 나타나는 결과이다.[32]
화학적으로는 에나멜의 주성분인 하이드록시아파타이트가 세 단계 과정을 거쳐 플루오르아파타이트로 전환되는 과정과 관련이 있다. 인구 집단 수준에서 치아 불소증은 식수의 불소 농도를 적절히 낮추는 불소 제거 조치를 통해 예방할 수 있다.
6. 예방
반상치는 불소 섭취량을 허용 가능한 상한선 이하로 낮춤으로써 예방할 수 있다. 이는 불소가 제거된 물을 섭취하거나 개인의 전반적인 영양 상태를 개선함으로써 달성할 수 있다.[31]
불소 첨가 수돗물의 경우, 일반적으로 1mg/L 농도로 공급되는데, 이 물 1L를 마시면 1mg의 불소를 섭취하게 된다. 수돗물 불소화 시 불소 농도는 과다 섭취를 막기 위해 적정 수준으로 관리된다.
하지만 불소가 함유된 치약을 삼키거나 불소 농도가 높은 음식을 섭취하는 등 다른 경로로 불소를 섭취하면서 불소 첨가 수돗물까지 마시면, 총 불소 섭취량이 상한선을 넘을 수 있다.
따라서 반상치를 예방하기 위해서는 총 불소 섭취량을 아래 표에 제시된 연령별 상한량 이하로 관리하는 것이 중요하다.
7. 치료
치아 불소증은 심미적인 문제일 수도 있고 아닐 수도 있다. 경우에 따라 다양한 정도의 부정적인 심리 사회적 영향이 있을 수 있다. 치료 옵션은 다음과 같다.
- 경미한 경우: 치아 미백[13]
- 중간 정도의 경우: 에나멜 미세 연마 (산성 환경에서 에나멜의 외부 손상층을 마모시킴)[13]
- 심한 경우: 복합 레진 충전물, 미세 연마, 라미네이트, 크라운[13]
8. 역학
미국에서 불소증은 흔하게 나타나며, 질병통제예방센터(CDC)에 따르면 청소년의 41%가 명확한 불소증을, 20%는 "의심스러운" 불소증을 앓고 있는 것으로 조사되었다.[27] 미국 내 치아 불소증 유병률에 대한 전국적인 데이터는 국립 치과 및 두개안면 연구소(NIDCR)가 1986년과 1987년 사이에 실시한 조사[28]와 질병통제예방센터(CDC)가 1999년과 2004년 사이에 실시한 조사[27]가 주요 자료이다. CDC는 1999-2004년 연구 발표 전, 1999년부터 2002년까지의 데이터를 포함한 임시 보고서를 발표하기도 했다.[29]
| 딘 지수(Dean's Index) | 유병률 |
|---|---|
| 의심스러운 불소증 | 11.5% |
| 매우 경미한 불소증 | 21.68% |
| 경미한 불소증 | 6.59% |
| 중등도에서 심각한 불소증 | 3.26% |
| 총 확인된 불소증 유병률 | 31.65% |
| 총 확인 및 의심스러운 불소증 유병률 | 43.15% |
CDC의 1999-2002년 조사 결과, 확인된 치아 불소증 유병률은 32%로 나타났으며, 이는 1986-1987년 NIDR 조사 결과(22.8%)보다 약 9%p 증가한 수치이다.[43] 또한, 이 조사는 아프리카계 미국인이 백인계 미국인보다 불소증 발생률이 더 높다는 추가적인 증거를 제시했다.
| 딘 지수 | 1987년 (NIDR) | 2002년 (CDC) |
|---|---|---|
| 의심스러움 | 17% | 11.8% |
| 매우 경미 | 19% | |
| 경미 | 4% | 5.83% |
| 중등도 | 1% | 0.59% |
| 중증 | 0.3% | |
| 합계 (확인된 불소증) | 22.3% | 37.2% |
반상치는 얕은 우물이나 손 펌프에서 식수를 얻는 농촌 지역에서 더 널리 발생하는 경향이 있다. 또한 식수에 포함된 불소 농도가 1 ppm(mg/L) 이상인 지역이나, 칼슘 섭취가 부족한 어린이에게서 발생할 가능성이 더 높다.
다음은 연령대별 불소의 식이 섭취 기준이다.
수돗물에 1 ppm의 불소가 첨가되어 있다면, 1L의 물을 마셔야 1mg의 불소를 섭취하게 된다. 따라서 최적으로 불소가 첨가된 물만 마시는 경우, 허용 가능한 상한 섭취량을 초과할 가능성은 낮다. 그러나 불소가 함유된 물을 많이 마시는 것 외에도, 불소가 함유된 치약을 삼키거나, 불소 함량이 높은 음식을 섭취하거나, 불소 보충제를 사용하는 등 다른 경로를 통해 불소를 과다 섭취할 수 있다. 치아 우식증 예방을 위한 불소 보충제 사용은 수돗물 불소화가 시행되는 지역에서는 드물지만, 1990년대 초까지 영국 등 일부 지역에서는 권장되기도 했다.
2006년 11월, 미국 치과 협회(ADA)는 수돗물 불소 첨가가 안전하고 효과적이며 건강에 유익하다는 입장을 밝혔다. ADA에 따르면, 치아 에나멜 불소증은 대개 경미하여 치과 전문가 외에는 눈에 띄지 않으며, 유아기에 최적량 이상의 불소를 섭취할 경우 발생할 수 있다. 불소가 첨가된 물로 유아용 분유를 타는 것은 안전하며, 분유를 바로 먹이거나 불소가 없거나 낮은 물을 사용하여 분말 또는 액체 농축 분유를 준비하면 불소증 발생 가능성을 줄일 수 있다고 권고했다. ADA는 불소의 이점을 얻으면서 어린이의 불소증 위험을 최소화하기 위해서는 적절한 양의 불소를 섭취하는 것이 중요하며, 치과의사나 소아과 의사 등 전문가와 상담하여 자녀의 불소 섭취를 최적화할 것을 권장했다.[30]
9. 역사
고대 시대에 갈레노스는 치아 불소증으로 여겨지는 증상을 묘사한 기록이 있다.[32] 하지만 치아 불소증이 점차 알려지고 과학적으로 연구되기 시작한 것은 20세기 초였다.
1901년, 이글은 이탈리아 나폴리 근처 작은 마을 출신 이민자들에게 나타나는 "반점 에나멜" 현상을 처음으로 기술했다.[33] 그는 이 증상이 이탈리아 교수 스테파노 키아이의 이름을 따서 Denti di Chiaie|덴티 디 키아이ita(키아이의 치아)라고 불린다고 기록했다.[33] 비슷한 시기 미국에서는 치과의사 프레데릭 매케이가 1901년 콜로라도주 스프링스에서 진료를 시작하며 지역 주민 상당수가 치아 변색을 겪고 있음을 발견했는데, 이는 지역적으로 "콜로라도 갈색 반점"으로 불렸다.[32] 이는 파이크스 산 인근 지역의 빙정석에 포함된 불화물이 강물에 녹아들었고, 이 고농도 불화물이 함유된 물을 지속적으로 마신 것이 원인이었다. 매케이는 이 문제를 당시 저명한 미국 치과의사 그린 바디만 블랙에게 알렸다. 1916년, 블랙은 해당 치아 에나멜 표본을 검사한 후, 이 상태를 "[치과 문헌에서 이전에는 알려지지 않았던] 치아 에나멜의 풍토병적 결함"이라고 설명했다.[32] 그들은 반점 에나멜이 저석회화되어 충치에 더 취약할 것으로 예상했지만, 실제로는 그렇지 않다는 점을 흥미롭게 관찰했다.[32] 점차 전 세계적으로 유사한 증상에 대한 보고가 이어졌다.[32]
1931년, 전 세계 세 곳의 서로 다른 과학자 그룹이 이 증상이 어린 시절 마시는 물 속 불소 때문에 발생한다는 사실을 밝혀냈다.[34][35][36][37] 이후 이 상태는 "치아 불소증"으로 불리기 시작했다.[37] 미국에서는 역학 연구를 통해 헨리 트렌들리 딘이 식수 내 높은 불소 농도와 반점 에나멜 사이의 인과 관계를 규명하는 데 기여했다.[32] 그는 또한 현재까지도 사용되는 치아 불소증 분류 체계인 딘 지수를 만들었다.[32] 연구가 진행되면서 불소가 충치 예방 효과가 있다는 사실도 밝혀졌다.[32]
참조
[1]
서적
McDonald and Avery's Dentistry for the Child and Adolescent
https://books.google[...]
Elsevier Health Sciences
2015-08-10
[2]
서적
Oral and Maxillofacial Pathology
https://books.google[...]
Elsevier Health Sciences
2015-05-13
[3]
학술지
Topical fluoride as a cause of dental fluorosis in children
2010-01
[4]
서적
Early Childhood Oral Health
https://books.google[...]
John Wiley & Sons
2015-10-26
[5]
웹사이트
HT Dean´s epidemiology of Mottled Teeth
http://www.fluoride-[...]
2015-11-12
[6]
웹사이트
E-training for Dean's Index Version 2
http://fluorosisinde[...]
Oral Health Services Research Centre, University College Cork, Ireland.
2015-11-12
[7]
학술지
Dental fluorosis: exposure, prevention and management
http://medicinaoral.[...]
2009-02
[8]
학술지
Dental fluorosis
[9]
웹사이트
Dental Enamel Defects and Celiac Disease
http://celiac.nih.go[...]
National Institute of Health (NIH)
[10]
학술지
Distinguishing between enamel fluorosis and other enamel defects in permanent teeth of children
2016-02-25
[11]
학술지
Enamel defects in permanent incisors after trauma to primary predecessors: inter-observer agreement based on photographs
2013-04
[12]
서적
Health effects of ingested fluoride
Washington, D.C. : National Academy Press
[13]
서적
Fluoride and the Oral Environment
2011
[14]
학술지
Timing of fluoride intake in relation to development of fluorosis on maxillary central incisors
[15]
간행물
Fluoride intake of children: considerations for dental caries and dental fluorosis in Fluoride and the Environment
Karger, Basel
2011
[16]
웹사이트
Dental Fluorosis
http://www.bfsweb.or[...]
[17]
학술지
Dental fluorosis: exposure, prevention and management
http://medicinaoral.[...]
2009-02
[18]
학술지
Fluoride use in caries prevention in the primary care setting
2014-09
[19]
웹사이트
Comment-Response Summary Report for the Peer Review of the Fluoride: Dose-Response Analysis for Non-Cancer Effects Document
http://water.epa.gov[...]
[20]
학술지
A systematic review of the efficacy and safety of fluoridation
[21]
서적
Fluoride in Drinking-water
World Health Organization
2009-01-24
[22]
학술지
Surveillance for Dental Caries, Dental Sealants, Tooth Retention, Edentulism, and Enamel Fluorosis — United States, 1988–1994 and 1999–2002
https://www.cdc.gov/[...]
2005-08-26
[23]
학술지
Prevalence and severity of dental fluorosis in the United States, 1999-2004
https://www.cdc.gov/[...]
[24]
학술지
Dental Fluorosis over Time: A comparison of National Health and Nutrition Examination Survey data from 2001-2002 and 2011-2012
[25]
학술지
How 'Clean' Must a Cavity Be before Restoration?
https://www.karger.c[...]
2004
[26]
학술지
Dental Fluorosis: Chemistry and Biology
[27]
학술지
Prevalence and Severity of Dental Fluorosis in the United States, 1999–2004
https://www.cdc.gov/[...]
National Center for Health Statistics
2010
[28]
서적
Fluoridation Facts
http://www.ada.org/~[...]
American Dental Association
[29]
웹사이트
Table 23, Surveillance for Dental Caries, Dental Sealants, Tooth Retention, Edentulism, and Enamel Fluorosis --- United States, 1988--1994 and 1999--2002
https://www.cdc.gov/[...]
Centers for Disease Control and Prevention
2006-10-29
[30]
웹사이트
Frequently Asked Questions (FAQ), American Dental Association Website accessed February 4, 2012
http://www.ada.org/4[...]
[31]
웹사이트
Fluorosis: Causes, Diagnosis, Management and Prevention
https://www.aimu.us/[...]
2017-08-15
[32]
서적
Dental Caries: The Disease and Its Clinical Management
https://books.google[...]
John Wiley & Sons
2009-03-16
[33]
학술지
Denti di Chiaie (Chiaie teeth)
1901-11-01
[34]
학술지
Reproduction experimentale chez Ie mouton de la dystrophie dentaire des animaux des zones phosphates
1931
[35]
학술지
Occurrence of fluorides in some water of the United States
1931
[36]
논문
The Cause of Mottled Enamel
1931-09
[37]
논문
Dental fluorosis
http://www.nmji.in/a[...]
1999
[38]
웹사이트
小児の歯のフッ素症の原因としてのフッ化物の局所応用
http://www.cochrane.[...]
[39]
웹사이트
フッ化物応用についての総合的な見解
http://www.pref.naga[...]
長崎県
2018-02-11
[40]
서적
Fluoridation Facts
http://www.ada.org.a[...]
American Dental Association
2005
[41]
서적
Fluoridation Facts
http://www.ada.org.a[...]
American Dental Association
2005
[42]
웹사이트
Table 23, Surveillance for Dental Caries, Dental Sealants, Tooth Retention, Edentulism, and Enamel Fluorosis --- United States, 1988--1994 and 1999--2002
http://www.cdc.gov/m[...]
Centers for Disease Control and Prevention
2006-10-29
[43]
웹사이트
http://www.cdc.gov/m[...]
[44]
서적
Fluoridation Facts
http://www.ada.org.a[...]
American Dental Association
2005
[45]
서적
현대예방치학
[46]
서적
구강병리학
본 사이트는 AI가 위키백과와 뉴스 기사,정부 간행물,학술 논문등을 바탕으로 정보를 가공하여 제공하는 백과사전형 서비스입니다.
모든 문서는 AI에 의해 자동 생성되며, CC BY-SA 4.0 라이선스에 따라 이용할 수 있습니다.
하지만, 위키백과나 뉴스 기사 자체에 오류, 부정확한 정보, 또는 가짜 뉴스가 포함될 수 있으며, AI는 이러한 내용을 완벽하게 걸러내지 못할 수 있습니다.
따라서 제공되는 정보에 일부 오류나 편향이 있을 수 있으므로, 중요한 정보는 반드시 다른 출처를 통해 교차 검증하시기 바랍니다.
문의하기 : help@durumis.com
