분비성 유방암
"오늘의AI위키"의 AI를 통해 더욱 풍부하고 폭넓은 지식 경험을 누리세요.
1. 개요
분비성 유방암(MSC)은 전체 유방암의 1% 미만을 차지하는 드문 질환이다. 환자 연령은 2세에서 96세까지 다양하며, 여성에게서 더 흔하게 발생한다. 종양은 일반적으로 유방의 왼쪽 바깥쪽 사분면에 위치하며, 림프절 전이를 보이기도 한다. MSC는 특징적인 조직병리학적 소견과 함께, 대부분의 종양에서 ''ETV6-NTRK3'' 융합 유전자를 나타내는 유전적 특징을 갖는다. 치료는 수술이 일반적이며, 원격 전이가 있는 경우 라로트렉티닙과 같은 약물 치료가 사용될 수 있다. 전반적으로 예후가 좋은 편이며, 조기 진단과 적절한 치료를 통해 높은 생존율을 보인다.
더 읽어볼만한 페이지
- 암종 - 기저세포암
기저세포암은 햇빛 노출 부위에 주로 발생하는 가장 흔한 피부암으로, 윤기 있는 결절이나 붉은 반점 형태로 나타나며, 기저 세포 증식으로 발생하지만 전이가 드물고 다양한 치료법이 존재한다. - 암종 - 이행세포암종
이행세포암종은 이행상피세포에서 기원하는 악성 종양으로, 흡연, 특정 화학 물질, 방사선 노출 등이 위험 요인이며, 혈뇨를 유발하고, 외과적 절제술, 화학 요법, 면역 요법 등으로 치료하며, 유전체 이상이 발병에 관여한다. - 유방암 - BRCA1
BRCA1은 DNA 복구, 전사 조절, 세포 주기 조절 등 다양한 기능을 수행하며 유방암 및 난소암과 관련되어, 이 유전자의 돌연변이는 유전성 유방-난소암 증후군을 유발하여 암 위험을 증가시킨다. - 유방암 - 염증성 유방암
염증성 유방암은 유방이 붓고 붉게 변하는 진행성 유방암의 희귀한 형태로, 종괴가 잘 만져지지 않으며, 영상 검사 및 생검을 통해 진단하고, 수술 전 전신 치료와 방사선 치료를 병행하며, 공격적인 특성으로 다학제적 진료 및 임상 시험 참여가 권장된다. - 희귀암 - 중피종
중피종은 석면 노출이 주요 원인이며 20~50년의 잠복기를 거쳐 흉막, 복막 등에서 발생하는 악성 종양으로, 진단은 영상 검사 등을 통해 이루어지고 수술, 항암 치료 등을 병행하며 예후는 좋지 않다. - 희귀암 - 성인 T세포 백혈병
성인 T세포 백혈병은 사람 T세포 림프친화 바이러스 1형에 의해 유발되는 고위험성 비호지킨 림프종의 일종으로, 고칼슘혈증, 피부 질환, 용해성 골병변 등의 증상을 동반하며 급성형, 림프종형, 만성형, 연성형으로 분류된다.
| 분비성 유방암 | |
|---|---|
| 일반 정보 | |
| 이름 | 분비성 유방암 |
| 동의어 | 유방의 분비성 암종 |
| 진료과 | 유방 수술 외과 종양학 |
| 발병 시기 | 성인 여성, 드물게 성인 남성 또는 여성 및 남성 어린이 |
| 지속 기간 | 매우 느린 성장 |
| 원인 | "ETV6-NTRK3" 융합 유전자 형성 |
| 빈도 | 드묾 |
| 증상 및 합병증 | |
| 합병증 | 매우 드문 경우 공격적인 암이 될 수 있음 |
| 진단 및 치료 | |
| 예후 | 좋음에서 매우 좋음 |
| 기타 | |
| 사망 | 드묾 |
2. 역학
분비성 유방암(MSC)은 전체 유방암 중 1% 미만을 차지하는 매우 드문 암이다.[1] 환자의 연령대는 2세부터 96세까지 매우 다양하며, 한 연구에서는 연령 중앙값을 56세로 보고했고(이 중 5%는 21세 미만)[1], 다른 연구에서는 48세로 보고했다.[15] 청소년 환자도 보고된 바 있다.[15] 남성보다 여성에게서 훨씬 흔하게 발생하며, 연구에 따라 남녀 비율은 약 1:30[1] 또는 3:41[15] 정도로 나타난다.
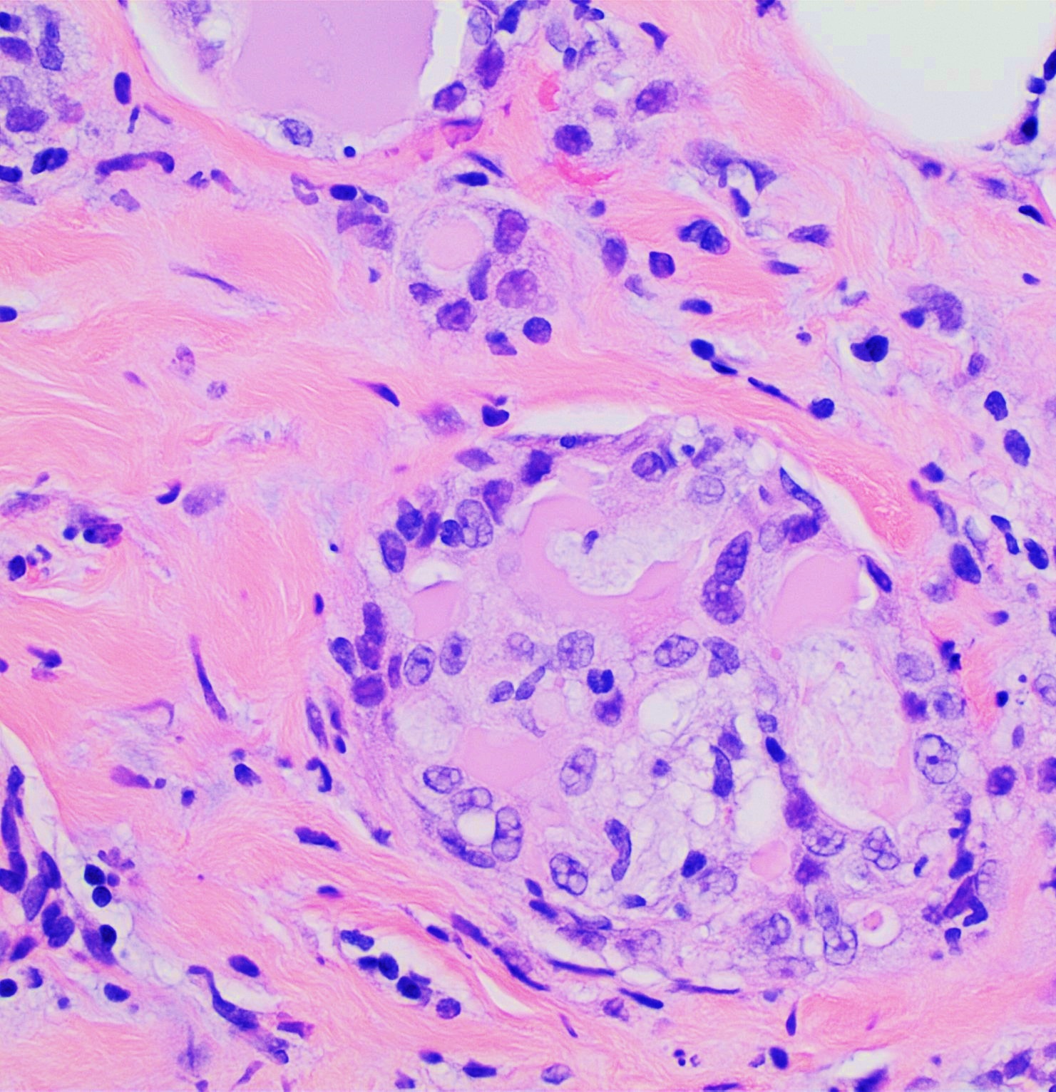
분비성 유방암(MSC) 종양을 H&E 염색하여 현미경으로 관찰하면, 일반적으로 경계가 명확한 고형 종양 형태로 나타난다. 이 종양은 다수의 미세낭포[13], 세포질 내에 수많은 공포를 가진 상피 세포 시트, 하나의 큰 세포질 공포를 가진 도장 세포, 그리고 세포 외 액적과 같은 분비물을 특징적으로 포함한다.[2] 이러한 세포 시트는 결합 조직 띠로 분리되어 있다.[5] 때로는 종양 세포가 손가락 모양의 유두상(papillary)[17] 또는 관 모양의 관상(tubular)[14] 패턴으로 배열되기도 한다.
종양은 주로 유방의 왼쪽 바깥쪽 사분면에 위치하는 경향이 있다.[1] 190명의 환자를 대상으로 한 연구에서는 103명이 왼쪽, 85명이 오른쪽 유방에서 종양이 발견되었고, 2명은 양쪽 유방 모두에서 발견되었다.[1] 어린 환자의 경우, 종양이 유륜 아래, 즉 유두 주변의 색소 침착 부위에 더 자주 발생하는 경향이 있다.[14] 종양의 평균 크기는 연구에 따라 2.3cm[1] 또는 3.5cm[15]로 보고되었으며, 개별 사례에서는 16cm에 달하는 큰 종양도 발견되었다.[4] 환자들은 주로 만져지는 덩어리를 통해 발견하거나[8] 유방 촬영술 검사에서 우연히 발견하게 된다.[8]
림프절 전이는 일부 환자에게서 나타난다. 한 연구에서는 환자의 29.3%에서 림프절 전이가 확인되었고,[1] 다른 연구에서는 44명 중 15명(약 34%)에서 발견되었다.[15] 대부분의 경우 감시 림프절 외 다른 조직으로의 전이는 드물지만,[1][15] 일부 연구에서는 추적 관찰 기간 동안 원격 전이가 발생한 사례가 보고되었다. 평균 93.4개월의 추적 연구에서 4명의 환자가 뼈로, 1명이 간으로, 1명이 특정되지 않은 부위로 원격 전이를 보였으며, 이 중 5명이 질병으로 사망했다.[15] 14명의 환자를 대상으로 한 다른 연구에서는 8명이 폐(9건), 간(4건), 뼈(4건), 피부(2건), 신장(1건), 종격동(1건), 췌장(1건), 폐 흉막(1건) 등 여러 부위로 원격 전이를 보였고, 이 중 8명이 초기 진단 후 평균 74.6개월 만에 질병으로 사망했다.[8]
드물게 유두종증을 앓았던 환자에게서 분비성 유방암이 나타나기도 하는데, 유두종증은 다른 유방암과도 관련이 있는 양성 유방 질환이다.[5] 2019년 기준으로, 유방의 관 외부 조직을 침범하지 않은 순수한 "제자리암" 형태의 분비성 유방암은 영어 문헌상 6건만 보고될 정도로 매우 드물다.[16]
3. 병리

세포 외 미세낭포와 세포 내 공포 및 구체는 H&E 염색에서 붉게 염색되며, 황산화된 글리코사미노글리칸과 뮤신 함유 물질로 구성되어 있다.[4] 이는 주기산-쉬프(PAS), PAS-디아스타제, 또는 알시안 블루와 같은 특수 염색을 통해 확인할 수 있다.[15] '분비성'이라는 명칭은 종양 세포의 공포와 구체가 세포 밖으로 분비되어 조직에 미세낭포 형태를 부여하는 특징에서 유래했다.[8] 드물게 종양 일부에서 육종과 유사한 악성 세포 변화가 관찰되기도 하며, 이는 빠른 전이를 동반하는 경향이 있다.[18][19] 또한, 순수하게 "제자리암"(즉, 유방의 관 외부에 있는 조직을 침범하지 않은 완전히 국소화된 종양) 형태로 발견된 경우는 매우 드물며, 보고된 사례들은 최소한 일부에서 유두상 구조를 보였다.[16]
면역조직화학 염색 분석 결과, MSC 종양 세포는 다음과 같은 특징을 보인다:
유전적으로는 특징적인 ETV6-NTRK3 융합 유전자가 발견되며, 이는 MSC 진단을 확인하는 데 중요한 단서가 된다.[1][17] (자세한 내용은 #유전적 특징 참조)
분비성 유방암의 진단은 유방 관 조직에서의 발생, 위에서 설명한 뚜렷한 현미경적 조직병리학적 특징[2], 그리고 종양 세포 내 ''ETV6-NTRK3'' 융합 유전자 또는 그 단백질 산물의 존재를 종합하여 내려진다.[1][15][16][17] 특히 유두상 조직병리학적 특징을 보이는 경우 유전자 검사가 진단에 더욱 중요하다.[17] ''ETV6-NTRK3'' 유전자 융합은 다른 종류의 종양에서도 발견될 수 있지만, 임상적 특징과 조직병리학적 소견을 통해 분비성 유방암과 구별할 수 있다.[13]
3. 1. 유전적 특징
분비성 유방암(MSC) 종양은 특정 유전자 변이가 특징적으로 나타난다. 이는 염색체 2의 2q25 위치에 있는 ''NTRK3'' 유전자 일부와 염색체 12의 12p13 위치에 있는 ''ETV6'' 유전자 일부가 서로 합쳐지는 돌연변이, 즉 균형 잡힌 유전자 전좌 현상이다.[14] 이 결과로 ''ETV6-NTRK3''라는 융합 유전자가 만들어지며, 이 유전자는 ETV6-NTRK3라는 키메라 단백질을 생성한다.[6]
이 ''ETV6-NTRK3'' 융합 유전자와 그 산물인 ETV6-NTRK3 단백질은 대부분의 MSC 종양 세포에서 발견된다 (약 88.6%[13]에서 최대 100%[8]까지 보고됨). ETV6-NTRK3 단백질에서 NTRK3 유전자 유래 부분은 티로신 키나아제 효소의 활성을 비정상적으로 높인다. 이 활성은 세포 성장과 생존을 촉진하는 두 가지 주요 세포 신호 전달 경로, 즉 PI3K/AKT/mTOR 경로와 MAPK/ERK 경로를 자극하여 MSC의 발생 및 진행에 기여하는 것으로 여겨진다. 또한, 이 경로들은 MSC 종양 조직에서 관찰되는 특징적인 구조인 공포(vacuole)와 소관(lumen) 형성을 유도할 수도 있다.[6]
''ETV6-NTRK3'' 융합 유전자와 ETV6-NTRK3 키메라 단백질은 MSC 외에도 타액선에서 발생하는 유방 유사 분비성 암,[20][21] 갑상선의 타액선형 암종,[22] 그리고 피부의 분비성 암종[12]에서도 발견된다.
이 유전자 전좌는 대부분의 MSC 종양에서 보고된 유일한 유전자 변이이며, MSC 종양 세포를 특징짓는 유전적 이상이다.[1] 따라서 MSC 진단을 확정하는 데 중요한 지표로 사용되며,[17] ETV6-NTRK3 융합 단백질의 티로신 키나아제 활성을 억제하는 표적 치료제인 라로트렉티닙 치료의 근거가 된다.[6]
4. 진단
분비성 유방암(MSC)의 진단은 주로 유방 관 조직에서 발생하는 종양의 특징적인 현미경적 조직병리학적 소견과 함께, 종양 세포 내에서 ''ETV6-NTRK3'' 융합 유전자 또는 해당 유전자가 만드는 ETV6-NTRK3 키메라 단백질의 존재를 확인하는 것을 기반으로 한다.[1][15][16][17] 특히 유두상 조직병리학적 특징을 보이는 종양의 진단에 있어 유전자 검사가 중요하다.[17]
임상적으로는 많은 환자들이 만져지는 덩어리나 유방 촬영술 검사에서 발견된 이상 소견을 통해 진단된다.[8] 어린 환자의 경우, 종양이 유륜 아래, 즉 유두 주변의 색소 침착 부위에 더 자주 발생하는 경향이 있다.[14] 종양의 크기는 다양하여 평균 2.3cm에서 3.5cm 정도로 보고되었으나, 16cm에 달하는 큰 종양도 보고된 바 있다.[1][15][4] 일부 환자에서는 진단 시 감시 림프절 전이가 발견되기도 한다.[1][15][8] 드물게는 유두종증이라는 양성 유방 질환과 관련하여 MSC가 발생하기도 한다.[5]
조직병리학적으로는 뚜렷한 특징을 보이며,[2] 2019년까지 보고된 순수한 "제자리암"(즉, 주변 조직을 침범하지 않은 국소화된 종양) 6건 모두에서 유두 미세 병리학 소견이 관찰되었다.[16]
유전학적으로 MSC 종양의 특징은 염색체 12의 12p13 위치에 있는 ''ETV6'' 유전자 일부와 염색체 2의 2q25 위치에 있는 ''NTRK3'' 유전자 일부가 유전자 전좌를 통해 융합되는 돌연변이이다.[14] 이 ''ETV6-NTRK3'' 융합 유전자는 ETV6-NTRK3라는 키메라 단백질을 만들며,[6] 이 융합 유전자와 단백질은 대부분의 MSC 종양 세포(약 88.6%[13]에서 100%[8])에서 발견된다. ETV6-NTRK3 단백질의 NTRK3 부분은 티로신 키나아제 활성을 비정상적으로 증가시킨다. 이 증가된 활성은 세포 증식과 생존을 촉진하는 PI3K/AKT/mTOR 경로와 MAPK/ERK 경로라는 두 가지 주요 세포 신호 전달 경로를 자극하여 MSC의 발생 및 진행에 기여하는 것으로 생각된다.[6] 이 융합 유전자는 MSC 종양 세포의 특징적인 유전적 이상으로 간주되며,[1] MSC 진단을 확진하는 데 사용될 뿐만 아니라,[17] 라로트렉티닙과 같이 ETV6-NTRK3 단백질의 티로신 키나아제 활성을 억제하는 표적 치료제의 근거가 된다.[6]
''ETV6-NTRK3'' 유전자 융합은 다른 종류의 종양(예: 염증성 근섬유모세포종, 선천성 중배엽 신종의 세포 변이, 방사선 유발 유두 갑상선 암)에서도 발견될 수 있지만, 이들 종양은 임상적 특징과 조직병리학적 소견이 분비성 유방암과 다르기 때문에 감별 진단이 가능하다.[13] 또한 타액선의 유방 유사 분비성 암,[20][21] 갑상선의 타액선형 암종,[22] 피부의 분비성 암종[12]에서도 동일한 유전자 융합이 발견된다.
5. 치료
분비성 유방암(MSC)의 치료는 주로 외과적 절제를 중심으로 이루어진다.[15] 하지만 종양의 특성과 환자 상태에 따라 최적의 수술 범위를 결정하는 데에는 아직 통일된 기준이 없다.[15] 치료 전략을 결정할 때는 종양의 크기, 림프절 전이 여부, 환자의 나이 등 다양한 요소를 고려한다.
일반적으로 종양의 크기가 2cm[13] 또는 3cm[15] 미만이고 경계가 명확하며, 겨드랑이 림프절 전이가 없고,[15] 진단 당시 환자의 나이가 20세[13] 또는 30세[14] 미만이거나, 암이 유관 내에만 머무르는 '상피내암'(in situ)인 경우[16] 예후가 비교적 좋은 것으로 여겨진다. 이러한 경우에는 유방 조직을 최대한 보존하는 유방 보존술이나 감시 림프절 생검을 동반한 단순 유방 절제술이 권장될 수 있다.[1] 이때, 암세포가 남지 않도록 종양 주변의 유선 조직까지 충분히 제거하는 것이 국소 재발 위험을 낮추는 데 중요하다.[1]
반면, 종양의 증식 속도가 빠르거나 크기가 2cm~3cm 이상이고,[13][15] 육종과 유사한 세포 형태를 보이거나,[19] 진단 당시 환자의 나이가 20세 또는 30세 이상이며,[13][14] 다른 장기로 원격 전이된 경우에는[8] 예후가 상대적으로 좋지 않을 수 있다. 이런 경우 근치적 유방 절제술과 같은 보다 광범위한 수술이 고려될 수 있다.[15] 성인 환자에게는 보존적 수술, 변형 근치적 유방 절제술, 근치적 유방 절제술 등이 주로 시행되며, 소아 환자에게는 단순 유방 절제술, 감시 림프절 생검을 동반한 국소 절제술, 또는 액와 림프절 전체 절제술 등이 적절한 치료로 제안된다.[15]
MSC는 일반적으로 천천히 자라고 비교적 예후가 좋은 편이며, 원격 전이가 발생하더라도 보통 10~20년 후에 나타나는 경우가 많아[14] 수술 후 항암 화학 요법이나 방사선 치료와 같은 보조 치료의 역할은 아직 명확히 정립되지 않았다.[4] (자세한 내용은 하위 섹션 '항암 화학 요법 및 방사선 치료' 참조) 다만, 일부 연구에서는 유방 보존 수술 후 방사선 치료를 병행하는 것이 생존율 향상에 도움이 될 수 있음을 시사하기도 한다.[5]
원격 전이가 발생한 드문 경우에는 기존의 화학 요법이 잘 듣지 않는 경향이 있으며,[8][13][14] 최근에는 특정 유전자 변이(ETV6-NTRK3 융합 유전자)를 표적으로 하는 치료법이 시도되고 있다.[6][13][16] (자세한 내용은 하위 섹션 '항암 화학 요법 및 방사선 치료' 참조)
MSC는 재발이나 전이가 늦게 나타날 수 있으므로, 치료 후에도 최소 20년 이상 장기적인 추적 관찰이 매우 중요하다.[1][14]
5. 1. 항암 화학 요법 및 방사선 치료
분비성 유방암(MSC)은 일반적으로 천천히 자라고 비교적 예후가 좋은 편이어서, 보조 화학 요법이나 방사선 요법의 효과에 대한 명확한 증거는 아직 부족하다.[4] 하지만 원격 전이가 없는 환자를 대상으로 한 후향적 연구에서는 유방 보존 수술과 방사선 요법을 함께 시행했을 때 단순 유방 절제술만 시행한 경우보다 생존 기간이 유의하게 더 길었다는 결과도 있다.[5] 따라서 방사선 요법이 특정 치료법의 효과를 높일 수 있는지에 대해서는 추가적인 연구가 필요하다.[5]종양이 멀리 떨어진 다른 장기로 전이된 드문 경우에는 다양한 화학 요법이 시도되었지만, 그 효과는 미미하거나 거의 없었다.[8][13][14]
최근에는 MSC 종양 세포에서 흔히 발견되는 ''ETV6-NTRK3'' 융합 유전자를 표적으로 하는 치료법이 주목받고 있다. 이 유전자 변이가 있는 원격 전이 환자 세 명(미성년 여성 2명, 26세 남성 1명)에게 표적 치료제인 Larotrectinib|라로트렉티닙eng을 투여한 결과, 빠르고 좋은 반응을 보였다.[6][13][16] 라로트렉티닙은 NTRK3 단백질의 티로신 키나아제 활성을 선택적으로 차단하는 경구용 약물이다. 다만, 보고된 세 건의 사례에서 반응은 부분적이었고 치료 후에도 일부 종양 조직이 남아 있었다.[23] 따라서 라로트렉티닙의 장기적인 효과나 Entrectinib|엔트렉티닙eng과 같은 다른 NTRK3 억제제의 효능에 대해서는 더 많은 환자를 대상으로 한 연구가 필요하다.[6][23]
6. 예후
전반적으로 분비성 유방암은 예후가 좋은 편이다.[5][23] 유방암이 다른 부위로 전이되지 않은 환자 190명을 대상으로 한 연구에 따르면, 초기 치료 후 5년, 10년, 20년 생존율(다른 원인으로 사망한 환자 제외)은 각각 95.79%, 93.16%, 93.16%로 나타났다.[1]
그러나 드물게 원격 조직으로 전이된 경우에는 예후가 달라질 수 있다.[8] 일부 환자는 전이 후에도 생존 기간이 연장되기도 했지만,[8] 진단 후 1년 이내에 사망하는 등 예후가 매우 불량한 사례도 보고되었다.[13][15][19] 환자의 연령, 종양의 크기, 림프절 전이 여부 등 여러 요인이 예후에 영향을 미칠 수 있다.
표적 치료제인 라로트렉티닙(Larotrectinib) 치료는 예후가 좋지 않은 일부 분비성 유방암 환자의 생존 기간을 향상시킬 가능성이 있다.[23]
참조
[1]
논문
Clinicopathologic profiling and oncologic outcomes of secretory carcinoma of the breast
null
2021-07
[2]
논문
Cytological and molecular characterization of secretory breast carcinoma
null
2022-02
[3]
논문
Breast carcinoma in children
null
1966-01
[4]
논문
Secretory breast carcinoma in a male child: Case report and literature review
null
2020
[5]
논문
Pediatric Breast Masses: An Overview of the Subtypes, Workup, Imaging, and Management
null
2021-08
[6]
논문
Fusion-associated carcinomas of the breast: Diagnostic, prognostic, and therapeutic significance
null
2022-05
[7]
논문
Secretory carcinoma of the breast
null
1980-05
[8]
논문
Secretory carcinoma of the breast: clinicopathologic profile of 14 cases emphasising distant metastatic potential
null
2019-08
[9]
논문
Secretory carcinoma of salivary gland - A systematic review of pediatric case reports and case series
null
2021
[10]
논문
Overview of the 2022 WHO Classification of Thyroid Neoplasms
null
2022-03
[11]
논문
Primary Cutaneous Mammary Analog Secretory Carcinoma With ETV6-NTRK3 Translocation
null
2016-11
[12]
논문
Secretory carcinoma of the skin with lymph node metastases and recurrence in both lungs: A case report
null
2021-08
[13]
논문
Secretory carcinoma of the breast with multiple distant metastases in the brain and unfavorable prognosis: a case report and literature review
null
2021-06
[14]
논문
Secretory carcinoma of the breast, commonly exhibits the features of low grade, triple negative breast carcinoma- A Case report with updated review of literature
null
2021
[15]
논문
Clinicopathologic and molecular characteristics of 44 patients with pure secretory breast carcinoma
null
2019-02
[16]
논문
Pure secretory carcinoma in situ: a case report and literature review
null
2019-08
[17]
논문
Papillary lesions of the breast
null
2022-01
[18]
논문
Carcinosarcoma of the Breast With An Unusual Secretory Carcinoma as the Carcinomatous Component
null
2004-10
[19]
논문
Dedifferentiated secretory breast carcinoma with fibrosarcomatous features harboring an ETV6-NTRK3 fusion in both components
null
2021-06
[20]
논문
Prognostic factors in mammary analogue secretory carcinomas of the parotid gland: Systematic review and meta-analysis
null
2022-03
[21]
논문
The oncogenic roles of NTRK fusions and methods of molecular diagnosis
null
2021-11
[22]
논문
Clinicopathologic and molecular characterization of NTRK-rearranged thyroid carcinoma (NRTC)
null
2020-11
[23]
논문
Locally Recurrent Secretory Carcinoma of the Breast with NTRK3 Gene Fusion
null
2021-10
[24]
저널
Clinicopathologic profiling and oncologic outcomes of secretory carcinoma of the breast
null
2021-07
[25]
저널
Cytological and molecular characterization of secretory breast carcinoma
null
2022-02
[26]
저널
Breast carcinoma in children
https://archive.org/[...]
1966-01
[27]
저널
Secretory breast carcinoma in a male child: Case report and literature review
null
2020
[28]
저널
Pediatric Breast Masses: An Overview of the Subtypes, Workup, Imaging, and Management
null
2021-08
[29]
저널
Fusion-associated carcinomas of the breast: Diagnostic, prognostic, and therapeutic significance
null
2022-05
[30]
저널
Secretory carcinoma of the breast
https://archive.org/[...]
1980-05
[31]
저널
Secretory carcinoma of the breast: clinicopathologic profile of 14 cases emphasising distant metastatic potential
null
2019-08
[32]
저널
Secretory carcinoma of the breast with multiple distant metastases in the brain and unfavorable prognosis: a case report and literature review
null
2021-06
본 사이트는 AI가 위키백과와 뉴스 기사,정부 간행물,학술 논문등을 바탕으로 정보를 가공하여 제공하는 백과사전형 서비스입니다.
모든 문서는 AI에 의해 자동 생성되며, CC BY-SA 4.0 라이선스에 따라 이용할 수 있습니다.
하지만, 위키백과나 뉴스 기사 자체에 오류, 부정확한 정보, 또는 가짜 뉴스가 포함될 수 있으며, AI는 이러한 내용을 완벽하게 걸러내지 못할 수 있습니다.
따라서 제공되는 정보에 일부 오류나 편향이 있을 수 있으므로, 중요한 정보는 반드시 다른 출처를 통해 교차 검증하시기 바랍니다.
문의하기 : help@durumis.com