육아조직
"오늘의AI위키"의 AI를 통해 더욱 풍부하고 폭넓은 지식 경험을 누리세요.
1. 개요
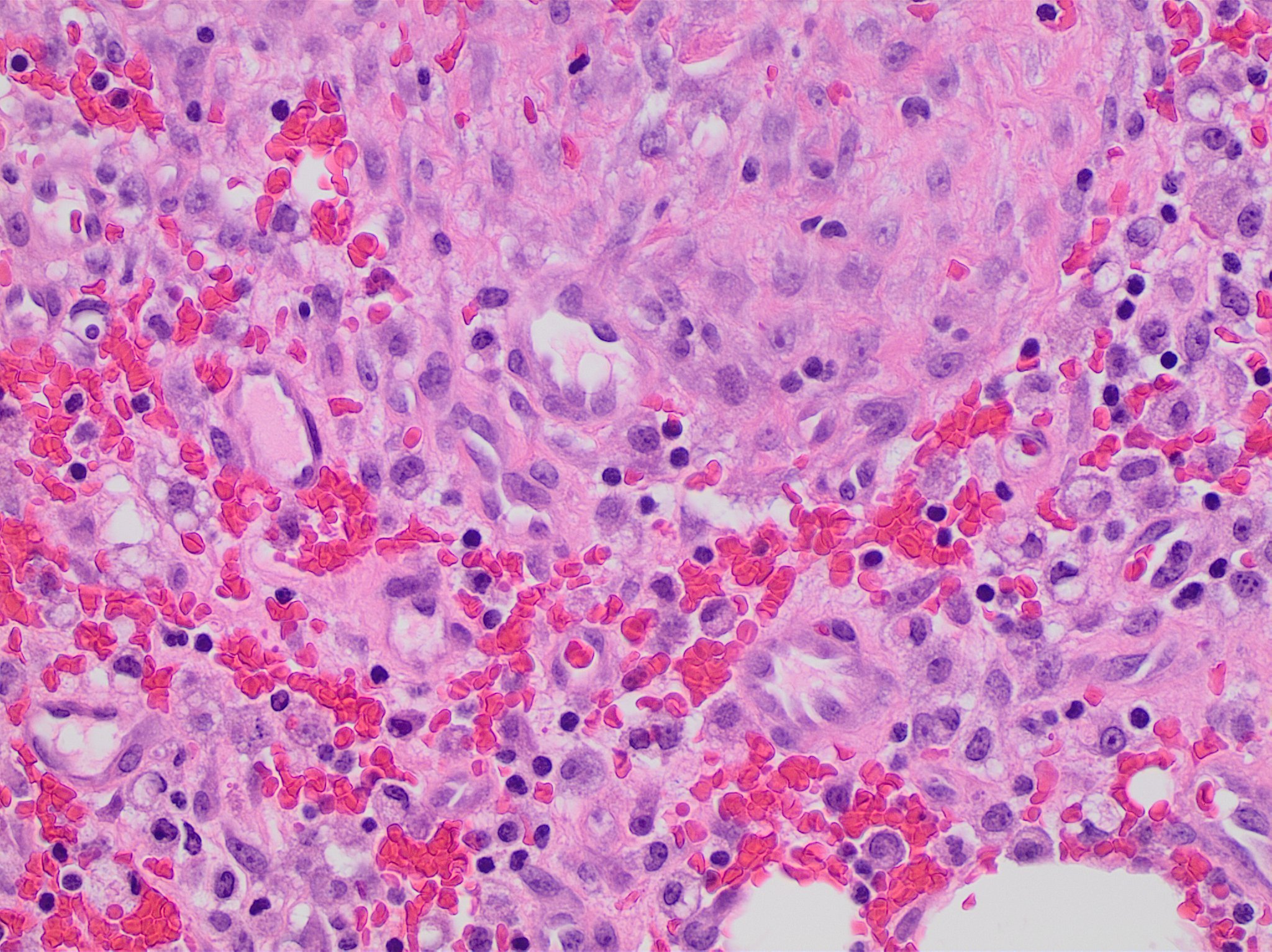
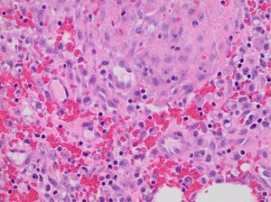
육아 조직은 상처 치료 과정에서 나타나는 조직으로, 밝은 적색 또는 분홍색을 띠며 부드럽고 촉촉한 특징을 보인다. 육아 조직은 세포외 기질, 면역, 혈관 신생으로 구성되며, 섬유아세포가 세포외 기질을 생성하고, 대식세포와 호중구가 면역 반응을 담당하며, 혈관 신생을 통해 영양 공급 및 노폐물 제거를 돕는다. 과도한 육아 조직은 "자부심 살"이라고 불리기도 한다.
더 읽어볼만한 페이지
2. 모습
육아 조직은 상처 치료 단계에 따라 다른 모습을 보인다.
육아 조직은 다양한 세포 유형을 지원하는 조직 기질로 구성되며,[3] 대부분 다음 기능 중 하나와 관련될 수 있다.
3. 구조
과도한 육아 조직(''caro luxurians'')은 비공식적으로 "자부심 살"이라고 불린다.[4]
육아 조직의 세포외 기질은 섬유아세포에 의해 생성되고 수정된다.[5] 초기에 이것은 신속하게 생성될 수 있는 약한 형태의 단백질인 III형 콜라겐 네트워크로 구성된다. 이는 나중에 더 강하고 긴 가닥의 I형 콜라겐으로 대체되는데, 이는 흉터 조직에서 입증된다.
조직에서 활성화되는 주요 면역 세포는 대식세포와 호중구이며, 다른 백혈구도 존재한다.[6] 이들은 늙거나 손상된 조직을 탐식하고, 치유 중인 조직을 병원성 감염으로부터 보호하는 역할을 한다.
혈관 신생은 내피 세포가 이전의 손상되지 않은 혈관에서 조직으로 빠르게 성장하는 과정이다.[8] 이들은 체계적인 방식으로 분기하여 다른 혈관과 문합을 형성한다. 섬유아세포는 육아 조직을 생성하는 주요 세포로, 증식하고 새로운 세포외 기질을 생성하기 위해 산소에 의존한다.[7]
3. 1. 세포외 기질

육아 조직의 세포외 기질은 섬유아세포에 의해 생성되고 수정된다.[5] 초기에 이것은 신속하게 생성될 수 있는 약한 형태의 단백질인 III형 콜라겐 네트워크로 구성된다. 이는 나중에 더 강하고 긴 가닥의 I형 콜라겐으로 대체되는데, 이는 흉터 조직에서 입증된다.
3. 2. 면역
조직에서 활성화되는 주요 면역 세포는 대식세포와 호중구이며, 다른 백혈구도 존재한다.[6] 이들은 늙거나 손상된 조직을 탐식하고, 치유 중인 조직을 병원성 감염으로부터 보호하는 역할을 한다. 이는 상처 부위가 효과적인 피부 장벽을 갖추지 못해 1차 방어선 역할을 할 수 없으므로, 치유 과정을 돕고 침입하는 병원체로부터 보호하기 위해 필요하다.
3. 3. 혈관 신생
조직이 성장함에 따라 영양분을 공급하고, 세포 노폐물을 제거하며, 새로운 백혈구를 해당 부위로 수송하기 위해 혈관 네트워크를 최대한 빨리 구축하는 것이 필요하다. 섬유아세포는 육아 조직을 생성하는 주요 세포로, 증식하고 새로운 세포외 기질을 생성하기 위해 산소에 의존한다.[7]
혈관 형성(vascularisation)은 혈관 신생이라고도 하며, 내피 세포는 이전의 손상되지 않은 혈관에서 조직으로 빠르게 성장한다.[8] 이들은 체계적인 방식으로 분기하여 다른 혈관과 문합을 형성한다.
참조
[1]
웹사이트
Granulation Tissue Definition
http://www.memidex.c[...]
2014-10-25
[2]
서적
Srb's Manual of Surgery, 4e
Jaypee Brother Medical Pub
[3]
논문
The Role of the Extracellular Matrix Components in Cutaneous Wound Healing
2014
[4]
웹사이트
Healing and Repair
http://compepid.tusk[...]
2010-09-27
[5]
논문
Tissue repair and the dynamics of the extracellular matrix
2004-06
[6]
논문
Disclosure of the Culprits: Macrophages-Versatile Regulators of Wound Healing.
2013-09
[7]
논문
Role of fibroblasts in wound healing and tissue remodeling on Earth and in space
2022-10-04
[8]
논문
Angiogenesis in Wound Healing
2000-12
[9]
웹인용
Granulation Tissue Definition
http://www.memidex.c[...]
2014-10-25
[10]
서적
Srb's Manual of Surgery, 4e
Jaypee Brother Medical Pub
본 사이트는 AI가 위키백과와 뉴스 기사,정부 간행물,학술 논문등을 바탕으로 정보를 가공하여 제공하는 백과사전형 서비스입니다.
모든 문서는 AI에 의해 자동 생성되며, CC BY-SA 4.0 라이선스에 따라 이용할 수 있습니다.
하지만, 위키백과나 뉴스 기사 자체에 오류, 부정확한 정보, 또는 가짜 뉴스가 포함될 수 있으며, AI는 이러한 내용을 완벽하게 걸러내지 못할 수 있습니다.
따라서 제공되는 정보에 일부 오류나 편향이 있을 수 있으므로, 중요한 정보는 반드시 다른 출처를 통해 교차 검증하시기 바랍니다.
문의하기 : help@durumis.com
