조직 (생물학)
"오늘의AI위키"의 AI를 통해 더욱 풍부하고 폭넓은 지식 경험을 누리세요.
1. 개요
조직은 생물체를 구성하는 세포들의 집합으로, 동물과 식물 모두에서 발견된다. 동물 조직은 결합 조직, 근육 조직, 신경 조직, 상피 조직으로 구분되며, 각 조직은 특정한 기능과 구조를 갖는다. 식물 조직은 표피, 기본 조직, 관다발 조직으로 나뉘며, 분열 조직과 영구 조직으로 구분되기도 한다. 조직학은 이러한 조직의 구조와 기능을 연구하는 학문으로, 자비에 비샤가 19세기 초에 조직이라는 개념을 도입하여 발전했다.
동물 조직은 기능과 구조에 따라 결합 조직, 근육 조직, 신경 조직, 상피의 네 가지 유형으로 분류된다.[4] 이들은 공통 기능을 수행하기 위해 단위로 결합하여 기관을 구성한다. 대부분의 동물은 네 가지 조직 유형을 모두 가지지만, 유기체의 유형에 따라 발현 양상이 다를 수 있다. 특정 조직을 구성하는 세포의 기원은 동물의 종류에 따라 발생학적으로 다를 수 있다. 조직은 진정후생동물에서 처음 나타났지만, 현대적 형태는 삼배엽동물에서만 나타났다.
식물의 조직은 세포 분열 능력 유무에 따라 분열조직과 영구조직으로 나뉜다.
2. 동물의 조직
모든 동물의 상피는 외배엽과 내배엽(또는 해면동물의 전구체)에서 유래하며, 중배엽에서 소량 기여하여 혈관을 구성하는 특수 상피인 내피를 형성한다. 진정한 상피 조직은 밀착 연접을 통해 유지되는 단일 세포층에만 존재하며, 피부, 기도, 소화관 등 외부 환경과 접촉하는 모든 표면을 덮어 보호, 분비, 흡수 기능을 수행하고 기저막으로 구분된다. 결합 조직과 근육 조직은 중배엽에서, 신경 조직은 외배엽에서 유래한다.
다세포 생물에서는 세포 분화를 통해 세포의 형태나 성질에 차이가 나타난다. 분화된 세포는 개별적으로 존재하거나 모여서 다른 성질의 세포군과 조합되어 개체를 형성한다. 이러한 세포군을 '''조직'''(tissue)이라고 한다. 조직은 세포가 3차원으로 배치된 생물에서 인정되며, 세포와 개체 사이의 계층을 이룬다. 복수의 조직이 조합되어 일정한 기능을 갖는 덩어리를 이룬 것을 기관이라고 하며, 이는 조직과 개체 사이의 계층을 이룬다.
세포가 입체적으로 배치되지 않는 생물에서는 조직을 인정하지 않는다. 균류에서는 버섯과 같이 다수의 균사가 얽혀 큰 구조를 이루지만, 이를 조직이라고 하지 않는다. 균사 세포가 부풀어 서로 붙어 연조직처럼 보이는 것을 가짜 연조직이라고 부르지만, 이는 조직으로 인정하지 않는 것이다.
육상 식물, 동물, 갈조류는 명확하게 조직을 가지고 있다. 육상 식물에서는 조직의 조합으로 개체의 몸이 형성된다. 동물에서는 조직이 모인 기관이 몸을 구성하는 단위가 된다. 동물의 조직은 상피 조직, 결합 조직, 근육 조직, 신경 조직의 네 가지로 분류된다.[9] 각각은 세포의 종류, 세포 결합 방식, 세포 외 기질 등에 따라 특징지어진다.
2. 1. 상피 조직
상피 조직은 피부 표면, 기도, 연조직 표면, 생식기, 그리고 소화관의 내벽과 같이 기관 표면을 덮는 세포로 구성된다.[4] 상피층을 구성하는 세포는 반투과성 밀착 연접을 통해 연결되어 있어 외부 환경과 덮고 있는 기관 사이에 장벽을 제공한다.[4] 이러한 보호 기능 외에도 분비, 배설 및 흡수 기능을 수행하도록 특화될 수 있다.[4] 상피 조직은 미생물, 부상 및 체액 손실로부터 기관을 보호하는 데 도움이 된다.[4]
상피 조직의 주요 기능은 다음과 같다.
보호 상피(단층 상피), 분비 상피(선 상피), 감각 상피, 흡수 상피가 여기에 해당한다.
2. 1. 1. 상피 조직의 종류
상피 조직에는 여러 종류가 있으며, 명명법은 다소 가변적이다. 대부분의 분류 체계는 상피 위층에 있는 세포 모양에 단층(세포 한 층) 또는 중층(세포 여러 층)을 나타내는 단어를 결합한다. 섬모와 같은 다른 세포 특징도 분류에 포함될 수 있다.
일반적인 상피 유형은 다음과 같다.
각 기관의 안과 밖 표면 등을 평면상으로 덮어 "경계"를 형성하는 조직은 서로 밀착된 세포가 세포 접착에 의해 빈틈없이 배열되어 있다.[1]
기관 표면의 경계에 기대되는 성질은 부위에 따라 다르며, 상피 조직에도 다양한 종류가 존재한다.[1] 예를 들어, 피부에서는 수분이 통과하는 것을 최대한 방지하고 충격에 강해야 하므로, 얇고 넓어진 세포가 여러 겹으로 겹쳐져 세포끼리 강하게 연결된 상피(중층 편평 상피)로 표면이 덮여 있다.[1] 이 층은 피부의 표피라고 불린다.[1] 한편, 영양분을 최대한 효율적으로 흡수하고 싶은 소장의 내벽에서는 원주형 세포가 한 층으로 배열된 상피(단층 원주 상피)로 덮여 있으며, 그 세포가 영양분 흡입구로서 효과적으로 작용할 수 있게 되어 있다.[1] 이 층은 소장의 점막 상피라고 불린다.[1]
분비샘은 상피 조직이 만드는 "경계" 형태가 변화하여 생긴 것으로 생각되며, 소화액이나 땀 등을 분비하는 외분비선이나, 호르몬을 분비하는 내분비선의 분비 세포 배열은 모두 상피 조직의 일종으로 간주한다.[1]
2. 2. 결합 조직
결합 조직은 신체의 다양한 조직과 기관을 연결하고 지지하는 역할을 한다. 이 조직은 세포외 기질이라는 특징적인 구조를 가지는데, 세포외 기질은 세포 사이를 채우는 무생물 물질이다. 세포외 기질은 액체일 수도 있고 단단할 수도 있다. 혈액은 액체 기질인 혈장을 포함하고, 뼈는 단단한 기질을 가진 대표적인 결합 조직이다.[4] 결합 조직은 기관의 형태를 만들고 제자리에 고정하는 데 중요한 역할을 한다.
2. 2. 1. 결합 조직의 종류
결합 조직은 무생물 물질인 세포외 기질로 분리된 세포로 구성된다. 이 기질은 액체 또는 단단할 수 있다. 예를 들어, 혈액은 기질로 혈장을 포함하고, 뼈의 기질은 단단하다.[1] 결합 조직은 기관의 형태를 부여하고 제자리에 고정시킨다.[1] 혈액, 뼈, 힘줄, 인대, 지방, 성긴 결합 조직은 결합 조직의 예시이다.[1] 결합 조직을 분류하는 한 가지 방법은 이를 섬유 결합 조직, 골격 결합 조직, 액체 결합 조직의 세 가지 유형으로 나누는 것이다.[1]
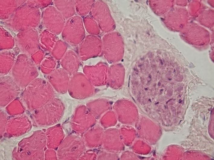
2. 3. 근육 조직

근육 조직은 근육 세포(근육세포)로 구성되며, 힘을 생성하고 운동이나 내부 장기 내 움직임을 일으키는 신체의 활동성 수축 조직이다.[4] 근육 조직은 생체의 근육뿐만 아니라, 수축하는 힘이 필요한 다른 기관에도 널리 존재한다.
2. 3. 1. 근육 조직의 종류
근육은 수축성 섬유로 구성되며, 민무늬근(평활근), 골격근, 심장 근육의 세 가지 주요 유형으로 나뉜다.[5]
근육 세포는 세포 내에 액틴, 미오신 등의 단백질이 배열된 근원 섬유를 대량으로 가지고 있으며, 이것이 늘어나고 줄어듦으로써 세포 전체의 길이를 변화시킬 수 있다. 근육 섬유라고도 불리는 근육 세포는 강한 힘을 낼 수 있도록 튼튼하게 접착되어 있으며, 대량의 에너지를 필요로 하기 때문에 혈관이 발달하고, 수축의 명령을 전달하기 위한 신경 섬유가 침투한다.
일반적인 근육을 구성하는 근육 조직은 골격근이라고 불리며, 심장 벽의 심근과 함께 근원 섬유의 배열이 규칙적이며, 현미경으로 가로줄무늬가 보이기 때문에 횡문근이라고 불린다. 내장 등 그 외의 기관에 널리 존재하는 평활근과 구분된다.
2. 4. 신경 조직
신경 조직은 신경 세포(뉴런)와 신경교세포(교세포)로 구성된다. 뇌나 척수 등의 중추 신경계와 온몸에 뻗어 있는 신경(신경 섬유 다발) 등 신경계 기관은 신경 조직으로 이루어져 있다.[4]
중추 신경계에서 신경 조직은 뇌와 척수를 형성한다. 말초 신경계에서 신경 조직은 뇌신경과 척수 신경을 형성하며, 운동 뉴런을 포함한다. 신경 세포는 시냅스라는 미세한 연결 부위를 통해 다른 신경 세포로 세포막의 흥분 자극을 전달한다. 신경 세포들은 시냅스를 통해 복잡하게 연결되어 정보 처리를 한다.
교세포는 스스로 흥분 전달을 수행하지는 않지만, 신경 세포의 기능을 다양한 측면에서 지원하는 세포를 통칭한다. 교세포의 종류는 다음과 같다.3. 식물의 조직
식물 해부학에서 식물 조직은 크게 표피, 기본 조직, 관다발 조직의 세 가지 조직계로 분류된다.
일반적으로 세포 조직은 모두 분열 조직의 활동에 의해 만들어지는데, 대부분은 스스로 다시 분열하는 일이 없다. 이런 조직을 '영구 조직'이라고 하며, 식물체의 대부분을 차지한다. 그러나 영구 조직 세포도 잠재적으로는 분열 능력을 가진 경우가 많아 최근에는 이 용어를 거의 사용하지 않는다.[10]
3. 1. 분열 조직
분열조직은 세포 분열이 활발하게 일어나는 조직으로, 식물의 생장을 담당한다. 분열조직 세포는 대략 구형, 다면체 또는 직사각형 모양이며 얇은 세포벽을 가지고 있다. 이 조직에서 생성된 새로운 세포는 처음에는 분열조직 세포와 같지만, 성장하고 성숙하면서 점차 특징이 변하여 분열조직의 구성 요소로 분화된다.[10]
분열조직 세포는 구조가 유사하며 셀룰로스로 만들어진 얇고 탄력적인 1차 세포벽을 가지고 있다. 세포 사이 간극 없이 촘촘하게 배열되어 있으며, 각 세포는 밀집된 세포질과 두드러진 세포 핵을 포함한다. 분열조직 세포의 밀집된 원형질에는 액포가 거의 없다. 일반적으로 분열조직 세포는 타원형, 다각형 또는 직사각형 모양이다.[10]
분열조직은 식물에서 세포 분열을 활발하게 수행하는 조직으로, 발생 초기를 제외하면 몸 안에서 세포 분열은 제한된 부위에서만 일어난다. 이 부분을 분열조직, 그 외의 부분을 영구조직이라고 한다.[10]
3. 1. 1. 분열 조직의 종류
분열조직은 다음과 같이 분류할 수 있다.3. 2. 영구 조직
영구 조직은 일반적으로 세포 분열 능력이 없는 조직을 말하며, 식물체의 대부분을 차지한다. 그러나 영구 조직 세포도 잠재적으로는 분열 능력을 가진 경우가 많아 최근에는 이 용어를 거의 사용하지 않는다. 영구 조직은 분열조직의 활동으로 만들어진다.[10]
식물 해부학에서는 식물 조직을 크게 세 가지 조직계로 분류한다.
| 조직계 | 설명 |
|---|---|
| 표피 | 잎과 어린 식물체의 바깥 표면을 형성하는 세포 |
| 관다발 조직 | 물관부와 사부로 구성되며, 액체와 영양분을 수송 |
| 기본 조직 | 세포 분화가 덜 되어 있으며, 광합성을 통해 영양분을 생산하고 저장 |
3. 2. 1. 영구 조직의 종류
영구 조직은 분열 능력을 상실하고 식물체 내에서 고정된 위치에 영구적으로 존재하는 조직으로, 분열 조직에서 만들어진 살아있거나 죽은 세포들의 집합이다. 분열 조직의 세포는 특정 역할을 수행하면서 분열 능력을 잃고, 영구적인 모양, 크기, 기능을 갖추게 되는데, 이러한 과정을 세포 분화라고 한다.영구 조직은 다음과 같이 두 가지 유형으로 나뉜다.
- 단순 영구 조직: 기원, 구조, 기능이 비슷한 세포들의 집합이다. 유조직, 후각 조직, 경화 조직으로 나뉜다.
- 복합 영구 조직: 공통 기원을 가지며 함께 작용하는 둘 이상의 세포 유형으로 구성된다. 주로 무기 영양소, 유기 용질(식량 물질), 물을 수송하는 역할을 담당하며, 전도 조직 또는 혈관 조직이라고도 불린다. 물관부(또는 목부)와 사관부(또는 인피부)가 대표적이다. 물관부와 사관부는 함께 혈관 다발을 형성한다.
식물 해부학에서 조직은 크게 세 가지 조직계로 분류되는데, 표피, 기본 조직, 관다발 조직이 그것이다.
- 표피는 잎과 어린 식물체의 바깥 표면을 형성하는 세포이다.
- 관다발 조직의 주요 구성 요소는 물관부와 사부이며, 이들은 내부적으로 액체와 영양분을 수송한다.
- 기본 조직은 다른 조직보다 세포 분화가 덜 되어 있으며, 광합성을 통해 영양분을 생산하고 예비 영양분을 저장한다.
관다발 식물의 경우, 영구조직은 표피 조직, 통도 조직, 기계 조직, 유조직으로 나뉜다.[10]
- 표피 조직은 잎이나 뿌리의 표면을 덮어 보호하는 조직이다. 변형되어 털뿌리나 공변세포가 된 것도 있다.
- 통도 조직(유관속계)은 식물의 수분과 영양분의 통로가 되는 조직으로, 물관부와 사부로 구성된다.
- 기계 조직은 세포벽이 두꺼워진 세포로 구성되어 있으며, 식물을 지지하는 역할을 한다.[10] 예를 들어, 줄기 속의 섬유 조직 등이 있다.
- 유조직은 동화 조직과 저장 조직으로 나뉜다. 동화 조직은 책상 조직과 해면상 조직으로 구성되며, 엽록체를 포함하기 때문에 광합성을 수행한다. 저장 조직은 뿌리와 줄기에서 관찰되며, 녹말 등을 저장한다.[10]
3. 3. 식물의 조직계
여러 조직이 모여 일정한 배열을 이루는 것을 '''조직계'''라고 하며, '''조직계Ⅰ'''과 '''조직계Ⅱ'''가 있다.조직계Ⅰ
'''표피계''' + '''관다발계''' + '''기본 조직계'''
조직계Ⅱ
표피 + '''피층''' + 중심주
4. 조직학의 역사
자비에 비샤는 1801년에 해부학 연구에 '조직'이라는 용어를 도입했다.[6] 그는 조직이 인체 해부학의 핵심 요소임을 처음으로 제안했으며, 기관을 그 자체로의 실체가 아닌, 종종 이질적인 조직의 모음으로 보았다.[7] 비샤는 현미경 없이 연구했지만, 인체 기관을 구성하는 21가지 유형의 기본 조직을 구별했으며,[8] 이는 이후 다른 학자들에 의해 축소되었다.
참조
[1]
논문
Leonardo da Vinci: anatomist
2012-06
[2]
논문
De Humani Corporis Fabrica Surgical Revolution
2008-01
[3]
서적
Anatomy and Physiology
https://openstax.org[...]
Openstax
2013-04-25
[4]
서적
Histology : a text and atlas : with correlated cell and molecular biology
Wolters Kluwer
2016
[5]
서적
Invertebrate Zoology, 7th edition
Cengage Learning
[6]
논문
A History of the Development of Histology up to the End of the Nineteenth Century
http://www.labome.or[...]
2015-01-02
[7]
웹사이트
Scientist of the Day: Xavier Bichat
https://www.lindahal[...]
2018-11-14
[8]
기타
[9]
서적
解剖学第2版
医歯薬出版
[10]
서적
三訂版 フォトサイエンス 生物図録
数研出版
본 사이트는 AI가 위키백과와 뉴스 기사,정부 간행물,학술 논문등을 바탕으로 정보를 가공하여 제공하는 백과사전형 서비스입니다.
모든 문서는 AI에 의해 자동 생성되며, CC BY-SA 4.0 라이선스에 따라 이용할 수 있습니다.
하지만, 위키백과나 뉴스 기사 자체에 오류, 부정확한 정보, 또는 가짜 뉴스가 포함될 수 있으며, AI는 이러한 내용을 완벽하게 걸러내지 못할 수 있습니다.
따라서 제공되는 정보에 일부 오류나 편향이 있을 수 있으므로, 중요한 정보는 반드시 다른 출처를 통해 교차 검증하시기 바랍니다.
문의하기 : help@durumis.com