호중구
"오늘의AI위키"의 AI를 통해 더욱 풍부하고 폭넓은 지식 경험을 누리세요.
1. 개요
호중구는 사람의 혈액에서 가장 많은 백혈구로, 세균 감염 시 감염 부위로 이동하여 식세포 작용을 통해 세균을 포식한다. 호중구는 엽이 있는 핵을 가진 다형핵세포이며, 활성화되면 아메바 형태로 변하여 항원을 따라 위족을 뻗을 수 있다. 호중구는 10^11개 정도가 매일 생성되며, 표준 호중구 수의 범위는 2.5 - 7.5 x 10^9/L이다. 호중구감소증, 알파 1 안티트립신 결핍, 가족성 지중해열 등 다양한 질병과 관련이 있으며, 감염, 염증, 악성 종양 등 다양한 요인에 의해 수가 증가하거나 감소할 수 있다. 호중구의 분화 과정은 조혈모세포에서 시작하여 골수아세포, 전골수구, 골수구, 후골수구, 막대핵구를 거쳐 분엽핵구로 진행된다.
더 읽어볼만한 페이지
- 식세포 - 세포 매개 면역
세포 매개 면역은 항체의 도움 없이 T 세포, 자연 살해 세포(NK 세포), 대식세포 등의 세포들이 직접 항원을 제거하는 면역 반응으로, 세포독성 T 세포는 감염 세포나 암세포를 파괴하고, NK 세포는 비자기 세포를 파괴하며, 대식세포는 식균 작용을 통해 병원체를 제거하고, 사이토카인을 분비하여 면역 반응을 조절하며, 바이러스 감염, 암, 이식 거부 반응 등에 관여한다. - 식세포 - 보조 T세포
보조 T세포는 CD4 단백질을 발현하는 CD4+ T 세포로서, 사이토카인을 분비하여 다른 면역 세포를 돕고, 항원 제시 세포가 제시하는 항원을 인식하여 면역 반응을 조절하는 역할을 수행하며, 기능에 따라 다양한 아형으로 분화하여 특화된 면역 반응을 유도하지만, 과도한 활성화 또는 기능 이상은 질병을 유발할 수 있다. - 백혈구 - 과립구
과립구는 골수에서 생성되어 식세포 작용과 독성 물질 방출을 통해 면역 반응에 기여하며, 호중구, 호산구, 호염기구, 비만 세포로 분류된다. - 백혈구 - 보조 T세포
보조 T세포는 CD4 단백질을 발현하는 CD4+ T 세포로서, 사이토카인을 분비하여 다른 면역 세포를 돕고, 항원 제시 세포가 제시하는 항원을 인식하여 면역 반응을 조절하는 역할을 수행하며, 기능에 따라 다양한 아형으로 분화하여 특화된 면역 반응을 유도하지만, 과도한 활성화 또는 기능 이상은 질병을 유발할 수 있다. - 면역학 - 체취
체취는 인간의 피부상재균이 분비물을 대사하여 발생하는 냄새로, 유전자, 건강 상태 등에 따라 달라지며, 데오드란트 등으로 관리하거나 심한 경우 의학적 치료가 필요하다. - 면역학 - 면역계
면역계는 물리적 장벽, 선천 면역, 후천 면역으로 구성되어 감염으로부터 생물체를 보호하는 다층적인 방어 시스템이며, 기능 이상 시 자가면역 질환, 과민 반응, 면역 결핍 등 다양한 질병을 유발할 수 있다.
| 호중구 |
|---|
2. 특징
호중구는 백혈구의 한 종류로, 과립구 중 하나이다. 중성 색소에 염색되는 살균성 과립을 가지고 있으며, 활발한 아메바 운동을 통해 생체 내 침입한 세균이나 진균류를 잡아먹고(식작용) 살균하여 감염을 막는다.
골수에서 생성되어 성숙하며, 염증 반응이 일어나는 곳으로 이동하여 세균, 진균 등의 이물질을 제거하고 분해하여 생체를 방어한다.
탐식된 세균은 세포 내 소기관인 리소좀과 융합, 리소좀 내의 산소 의존 기전에 의해 살균되고 가수분해 효소에 의해 분해된다. 호중구는 성숙 단계에 따라 핵의 형태가 달라져 간상핵구와 분엽핵구로 분류할 수 있다. 혈액 내 백혈구의 절반 이상이 호중구이다.
호중구는 식세포작용을 통해 세균을 포식하고, 과립 단백질을 포함한 수용성 항미생물제를 방출하며, 호중구 세포외덫(NET)을 생성하여 미생물을 직접 공격한다.[114] 호중구는 옵소닌으로 둘러싸인(항체 옵소닌화) 표적 물질을 인식하여 세포 내로 들이고 파고솜을 형성, 활성산소종과 가수분해효소를 분비하여 미생물을 죽인다.[105]
호흡폭발은 활성산소종인 초과산화물을 대량 생산하는 NADPH 산화효소가 활성화되는 현상이다. 초과산화물은 과산화수소로 분해되고, 골수세포형과산화효소에 의해 하이포아염소산(HClO)으로 전환된다. HClO는 호중구가 포식한 세균을 죽이지만, 단백질분해효소 활성화에도 필요하다.[115]
호중구는 세 종류의 과립을 탈과립 과정을 통해 방출하며, 과립 속 물질은 항미생물 작용을 통해 감염에 대항한다.
| 과립 유형 | 단백질 |
|---|---|
| 아주르친화성 과립 (일차 과립) | 골수세포형과산화효소, 살균/투과성 증가 단백질, 디펜신, 세린 단백질분해효소인 호중구 엘라스테이스와 카텝신 G |
| 특이과립 (이차 과립) | 알칼리성 인산분해효소, 라이소자임, NADPH 산화효소, 콜라겐분해효소, 락토페린, 카텔리시딘 |
| 삼차 과립 | 카텝신과 젤라틴분해효소 |
2004년, 호중구가 활성화되면 거미줄 구조의 DNA를 방출하여 세균을 죽이는 기작(호중구 세포외덫)이 보고되었다.[116] 이는 염색질과 세린 단백질분해효소로 이루어진 섬유망으로, 식세포작용 없이 미생물을 세포외에서 잡아 무력화시킨다. 또한 병원체가 퍼지는 것을 막는 물리적 방어벽을 형성한다. 패혈증에서는 혈관에 세포외덫이 형성되며,[117] 자간전증 등의 염증성 질환이나 혈전 생성에도 관여한다는 보고가 있다.[118][119][120][121]
호중구는 화학주성을 통해 감염이나 염증 부위로 이동한다. 세포 표면 수용체를 통해 인터류킨 8, 인터페론 감마, C5a, 류코트라이엔 B4 등의 농도 기울기를 감지하고, 보체계, 사이토카인, 케모카인, 렉틴 등과 결합하는 다양한 수용체를 이용한다.[111][112]
호중구는 이동성이 높아 감염 부위에 빠르게 모인다. 활성화된 혈관내피, 비만세포, 대식세포가 발현하는 사이토카인에 이끌리고, 호중구 또한 사이토카인을 발현, 방출하여 염증 반응을 증폭시킨다.[113]
2. 1. 형태
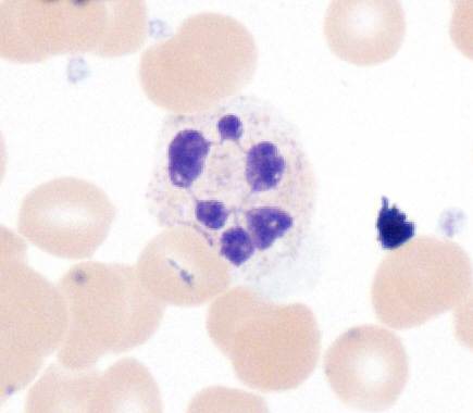
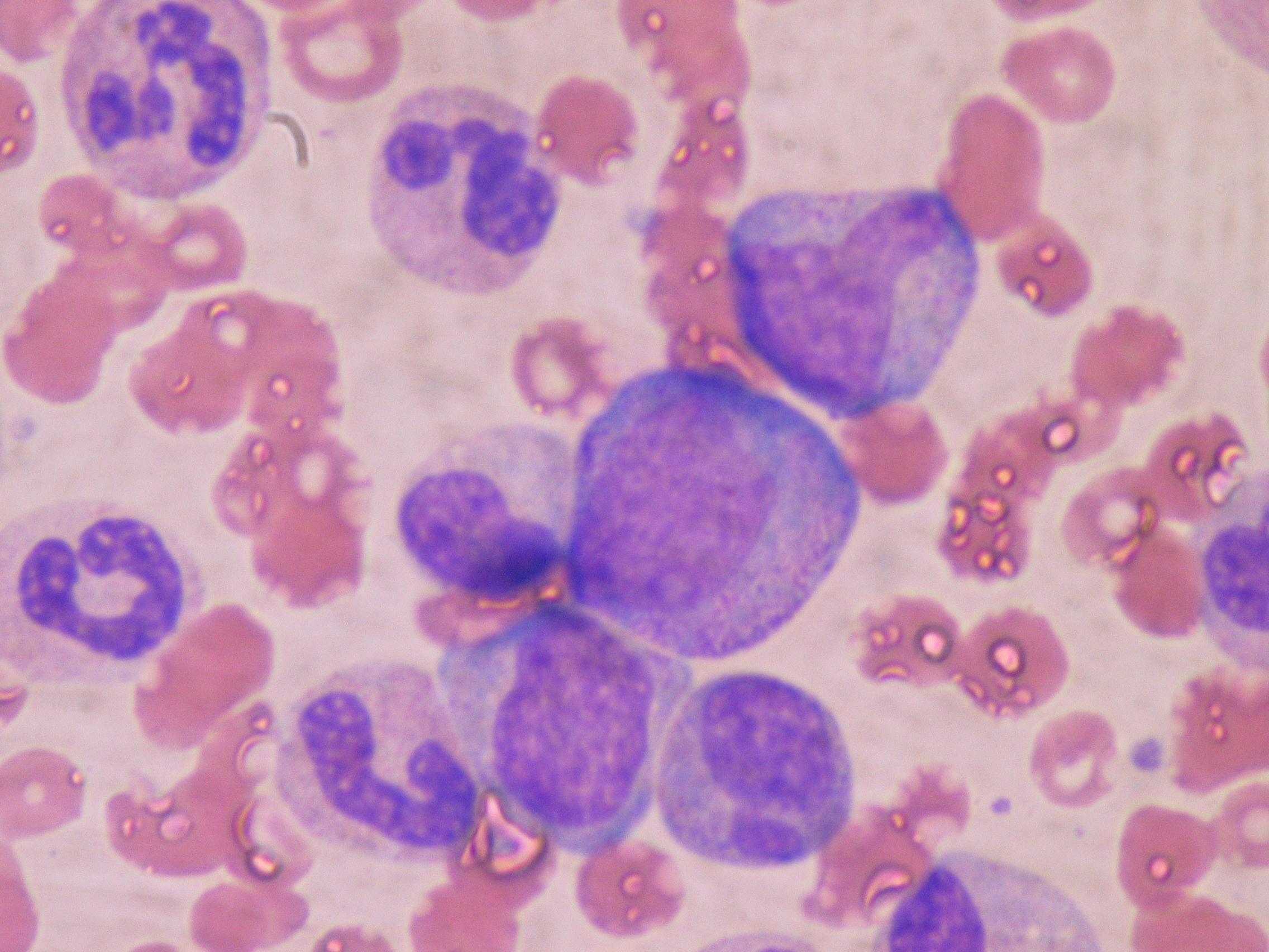
호중성 과립구는 말초 혈액 도말 실험에서 평균 지름 12 - 15μm로 나타난다. 자동 세포계수기에서 순수한 호중구 부유액을 분석하면 평균 지름은 8 - 9μm이다.[14]림프구, 단핵구 및 기타 백혈구와 달리, 호산구, 호염기구와 함께 호중구는 엽이 있는 핵을 가진 다형핵세포에 속한다. 핵은 특징적인 엽 형태로, 염색질로 서로 연결된다. 호중구는 성숙하면서 핵 분절이 증가하여 과다분절 상태가 된다. 또한 성숙하면서 핵소체가 사라지는 소수의 유핵세포에 속한다.[104] 세포질에 있는 골지체는 작고, 미토콘드리아와 리보솜이 드물게 존재하며 조면소포체는 없다.[104] 세포질에는 200여 개의 과립이 들어 있고, 그 중 1/3은 아주르친화성 과립이다.[104]
수컷과 암컷 개체의 호중구는 약간 다르다. 암컷 호중구의 핵에는 "호중구 북채"라고 알려진 작은 X 염색체 구조가 있다.[104]
호중구가 혈류를 돌면서 비활성화된 상태일 때는 구형이다. 활성화되면 아메바 형태로 변하고 위족을 뻗을 수 있다.[105]
표준 혈액 세포 염색인 김자 염색으로 중성 색소에 염색되는 특수 과립을 가지고 있으며, 성숙하면 핵이 분열(분엽)되므로 "다형 핵 백혈구"라고 불리기도 한다. 최종 완성형인 호중구는 "'''분엽 핵구'''"라고 불리며, 핵은 분열되지만 핵 사이는 핵사로 연결되어 있다. 분엽 핵구가 되기 전에는 핵이 크게 굽어진 젤리빈 모양의 막대 모양인 단계가 있는데 이를 '''간상 핵구'''라고 한다. 호중성 과립은 리소좀의 일종이며, 골지체에서 만들어진다. 직경은 12~15μm[77]이며, 백혈구 중에서는 림프구보다 크고, 단구·대식세포보다 작다.[78]
2. 2. 수와 분포


호중구는 사람의 혈액에서 가장 많은 백혈구로, 하루에 약 1011개(1,000억 개)가 생산되며 모든 백혈구 중 50 - 70%를 차지한다. 표준 호중구 수의 범위는 2.5 - 7.5 x 109/L이다. 아프리카와 중동에서는 호중구 수가 감소하지만 정상 범위에 속한다. 호중구는 분절호중구와 띠형호중구로 세분할 수 있다.
말초혈 내에는 1 마이크로리터 당 2,000개에서 7,500개 정도의 호중구가 포함되어 있으며, 성인의 말초혈 내에는 대략 1010 개(100억 개)의 호중구가 존재한다.[79] 체중 50kg의 경우 대략 80억 개에서 300억 개 정도이다.
호중구는 혈관벽이나 비장, 간 등에도 말초혈 내에 필적하는 양의 호중구가 변연 풀로서 존재한다.[80] 골수에는 말초혈 내의 10~30배에 달하는 양의 저장 풀이 존재하며, 생체 내 전체적으로는 1011개(1,000억 개)에 달하는 호중구가 존재한다.
세균 감염 시에는 저장 풀 내의 호중구가 동원되어 말초혈 내 호중구 수가 신속하게 증가한다. 식사, 운동, 스트레스 등 사소한 신체 변화에도 혈류량 변화에 의해 혈관벽에 머무르는 등 변연 풀에 존재하던 호중구가 말초혈 내로 이동하므로 호중구 수는 변화하기 쉽다. 감염이 없을 때에도 일부 호중구는 혈관에서 조직 내로 이동한다.
혈액 내 호중구의 수명은 1일 이내, 대략 10~12시간 정도이다.[81] 조직 내에서는 며칠이다.
호중구는 혈류에서 비활성화된 상태일 때는 구형이다. 활성화되면 아메바 형태로 변하고 항원을 따라다니면서 위족을 뻗을 수 있다.[105]
호중구는 세균보다 포도당, 과당, 설탕, 꿀, 오렌지 주스[106] 등 정제된 탄수화물을 포식하는 것을 선호한다.[106][107][108] 호중구의 식세포 능력은 단순당을 섭취하였을 때 영향을 받았고,[106] 공복 상태에서는 세균을 잡아먹는 능력이 증가하였다.[106] 녹말 섭취는 영향을 주지 않았으며, 호중구 수에는 변화가 없었다.
표면에 부착되면 호중구 과립구는 평균 직경이 12~15 마이크로미터(μm)이며, 혈액 도말에서 나타난다. 현탁액에서 인간 호중구의 평균 직경은 8.85 μm이다.[14]
2. 3. 기능
호중구는 식세포작용을 통해 세균을 포식하고, 과립 단백질을 포함한 수용성 항미생물제를 방출하며, 호중구 세포외덫(NET)을 생성하여 미생물을 직접 공격한다.[114]호중구는 포식세포로 미생물을 세포 내로 들일 수 있다. 호중구가 표적 물질을 인식하기 위해서는 항체 옵소닌화라는 옵소닌으로 둘러싸이는 과정이 필요하다.[105] 이를 통해 호중구는 미생물을 세포 내로 들이고 파고솜을 형성하며, 활성산소종과 가수분해효소를 파고솜 내로 분비하여 미생물을 죽인다.
호흡폭발은 활성산소종인 초과산화물을 대량 생산하는 NADPH 산화효소가 활성화되는 현상이다. 초과산화물은 자발적으로 안정한 상태로 변화하거나 초과산화물 디스뮤테이스에 의해 분해되어 과산화수소가 되고, 골수세포형과산화효소에 의해 하이포아염소산(HClO)으로 전환된다. HClO는 호중구가 포식한 세균을 죽일 수 있지만, 단백질분해효소를 활성화하는데 필요하다는 연구도 있다.[115]
호중구는 세 종류의 과립을 탈과립 과정을 통해 방출한다. 과립에 들어있는 물질은 항미생물 특성을 가지고 있어 감염과 싸우는 것을 돕는다.
| 과립 유형 | 단백질 |
|---|---|
| 아주르친화성 과립 (또는 "일차 과립") | 골수세포형과산화효소, 살균/투과성 증가 단백질, 디펜신, 세린 단백질분해효소인 호중구 엘라스테이스와 카텝신 G |
| 특이과립 (혹은 "이차 과립") | 알칼리성 인산분해효소, 라이소자임, NADPH 산화효소, 콜라겐분해효소, 락토페린, 카텔리시딘 |
| 삼차 과립 | 카텝신과 젤라틴분해효소 |
세균 등이 생체에 감염되면 호중구는 감염된 염증 부위로 이동하여 모여 세균을 탐식하고 살균한다. 호중구는 포도상구균, 연쇄상구균, 녹농균, 대장균 등의 화농균 살균에 효과적이지만, 결핵균, 티푸스균, 이질균과 같은 세포 내 기생성 세균에는 제한적인 대처 능력을 보인다.
2004년에는 호중구가 활성화되면 거미줄 구조의 DNA를 방출하여 세균을 죽이는 기작이 보고되었다.[116] 호중구 세포외덫은 염색질과 세린 단백질분해효소로 이루어진 섬유망으로, 미생물을 세포외에서 잡아 죽인다. 이는 식세포작용을 통한 섭취 없이 미생물에 결합하고, 미생물을 무장해제시켜 없앤다. 또한 병원체가 더 퍼지지 않도록 물리적 방어벽을 형성한다. 패혈증에서는 혈관에 세포외덫이 형성된다.[117] 자간전증과 같은 염증성 질환이나, 혈전 생성에도 호중구 세포외덫이 역할을 한다는 보고가 있다.[118][119][120][121]
호중구는 화학주성을 통해 감염이나 염증 부위로 이동한다. 세포 표면에 있는 수용체를 통해 인터류킨 8, 인터페론 감마, C5a, 류코트라이엔 B4 같은 분자의 농도 기울기를 감지하고 길잡이로 이용한다. 또한, 보체계, 사이토카인, 케모카인, 렉틴 등과 결합하는 다양한 특이적 수용체를 가지고 있다.[111][112]
호중구는 이동성이 높아 감염 부위에 재빨리 모인다. 활성화된 혈관내피, 비만세포, 대식세포가 발현하는 사이토카인에 이끌리고, 호중구 또한 사이토카인을 발현하고 방출하여 염증 반응을 증폭시킨다.[113]
3. 생체 방어 기전
호중구는 식세포작용, 탈과립, 호중구 세포외 덫(NETs) 형성과 같은 세 가지 주요 방어 기전을 통해 생체 방어에 기여한다.3. 1. 식세포작용 (Phagocytosis)
호중구는 미생물을 섭취할 수 있는 식세포이다. 호중구가 표적 물질을 인식하려면 옵소닌으로 둘러싸여야 하는데, 이를 항체 옵소닌화라고 한다.[105] 옵소닌화를 통해 호중구는 미생물을 세포 안으로 들여와 파고좀을 형성한다. 그 후, 활성산소종과 가수분해효소를 파고좀 안으로 분비하여 미생물을 죽인다.
활성산소종을 생산하면서 산소를 소비하는 것을 "호흡폭발"이라고 한다. 호흡폭발은 호흡이나 에너지 생산과는 관련이 없다. 호흡폭발은 활성산소종인 초과산화물을 대량으로 생산하는 NADPH 산화효소가 활성화되는 것과 관련이 있다. 초과산화물은 자발적으로 안정한 상태로 변화하거나 초과산화물 디스뮤테이스(Cu/ZnSOD와 MnSOD)에 의해 분해되어 과산화수소가 되고 녹색 헴 효소 골수세포형과산화효소에 의하여 다시 하이포아염소산(HClO)으로 전환된다. HClO는 호중구가 포식한 세균을 죽일 수 있는 물질이지만, 직접 세균을 처리하는 대신 단백질분해효소를 활성화하는데 필요하다는 연구가 있다.[115]
호중구는 식세포 작용 (섭취)을 통해 미생물을 직접 공격한다. 표적이 인식되려면 옵소닌으로 코팅되어야 하며, 이는 항체 옵소닌화로 알려진 과정이다.[18]
호중구는 많은 미생물을 내부화하고 죽일 수 있으며, 각 탐식 작용은 파고좀의 형성을 초래하고, 파고좀으로 활성 산소와 가수 분해 효소가 분비된다. 활성 산소의 생성 동안 산소 소비는 호흡이나 에너지 생성과 관련이 없음에도 불구하고 "호흡 폭발"이라고 한다.
호흡 폭발에는 효소 NADPH 산화 효소의 활성화가 관련되어 있으며, 이 효소는 다량의 과산화물인 활성 산소를 생성한다. 과산화물은 자발적으로 붕괴되거나 과산화물 불균등화 효소(Cu/ZnSOD 및 MnSOD)로 알려진 효소를 통해 과산화수소로 분해된 다음 녹색 헴 효소인 미엘로과산화효소에 의해 차아염소산 (HClO)으로 전환된다. HClO의 살균 특성은 호중구에 의해 탐식된 박테리아를 죽이기에 충분하다고 생각되지만, 대신 프로테아제의 활성화에 필요한 단계일 수 있다.[35]
호중구는 많은 미생물을 죽일 수 있지만, 미생물 및 미생물에서 생성된 분자와 호중구의 상호 작용은 종종 호중구 회전을 변경한다. 미생물이 호중구의 운명을 변경하는 능력은 매우 다양하며, 미생물에 따라 다르며, 호중구의 수명을 연장하는 것부터 탐식 후 빠른 호중구 용해를 유발하는 것까지 다양하다. ''클라미디아 폐렴균''과 ''임균''은 호중구 세포자멸사를 지연시키는 것으로 보고되었다.[36][37][38] 따라서 일부 박테리아와 주로 세포 내 병원체인 박테리아는 자발적인 세포자멸사 및/또는 PICD (탐식 유도 세포 사멸)의 정상적인 과정을 방해하여 호중구 수명을 연장할 수 있다. 반대편 스펙트럼의 일부 병원체, 예를 들어 ''화농성 연쇄상구균''은 빠른 세포 용해를 촉진하고/하거나 2차 괴사 지점까지 세포자멸사를 가속화하여 탐식 후 호중구의 운명을 변경할 수 있다.[39][40]
생체에 세균 등이 감염되면, 호중구는 감염된 염증 부위로 이동하여 모여 세균류를 탐식 살균한다. 호중구는 특히 화농균 (포도상구균, 연쇄상구균, 녹농균, 대장균 등 다수의 세균)의 살균에 효과를 발휘하지만, 결핵균이나 티푸스균, 이질균 등 세포 내 기생성 세균에 대한 대처 능력은 제한적이다.
세균이나 진균류가 침입한 조직에서는 조직 내의 대식세포나 비만 세포가 즉시 반응하여 인터루킨1(IL-1) 등의 사이토카인을 방출하고, 이러한 사이토카인에 의해 조직 내 세포는 염증성 변화를 일으킨다. 또한, 염증성 변화를 일으킨 조직이나 대식세포·비만세포는 인터루킨8(IL-8) 혹은 NAP-2, MIP-2를 대표로 하는 다종류의 케모카인 (사이토카인) 및 비만세포가 방출하는 류코트리엔 B4, 기타 다종류의 호중구 유주 자극 인자를 방출한다.[84] 또한, 세균 자체의 산출 물질(FMLP)이나 세균과 항체의 반응으로 활성화된 보체 성분도 호중구를 유주시키는 주화 인자로 작용한다.[85] 이러한 유주 자극 인자를 표면의 수용체로 감지한 호중구는 유주 운동을 활발하게 한다. 호중구는 표면에 다수 있는 수용체로 자극 인자의 농도를 감지하여 인자 농도가 짙은 방향으로 유주하여 감염 부위에 집결한다.
대부분의 경우, 감염 부위는 혈관 밖이며, 호중구는 혈관벽을 통과해야 한다. 염증 부위에 가까운 말초 혈관벽에서 호중구는 혈관 상피에 부착하고, 혈관 상피 세포와 호중구 각각이 각종 인자에 의해 변화를 일으키며, 호중구는 가짜 발을 뻗어 혈관 상피 세포 사이를 빠져나간다. 나아가 효소를 사용하여 기저막을 파괴하고 혈관 밖으로 기어 나온다. 혈관 밖으로 나온 호중구는 조직 내를 유주하여 감염 부위에 도달한다. 감염 부위에 도달한 호중구는 최종적으로 세균 자체의 산출 물질(FMLP)이나 세균과 항체의 반응으로 활성화된 보체 성분을 수용체로 감지하여 세균과 접촉한다.
염증 조직으로부터의 유주 자극 인자에 의해 골수 내의 저장 풀 등에 존재하는 호중구도 자극을 받아 유주 운동을 시작하고, 또한 골수에서는 호중구의 생산이 항진된다.[86] 이러한 작용에 의해 세균류의 감염에는 다량의 호중구가 동원된다.
감염 부위에 도달한 호중구는 세균류와의 접촉을 통해 탐식을 수행하고, 삼킨 세균류를 살균한다. 호중구는 세균류와 접촉하면 세균 표면 분자에 대응하는 각종 수용체를 통해 이물질로 인식하고, 부착 결합한다. 그러나 세균류의 포착 인식은 세균 표면 분자만으로는 불충분한 경우가 많다. 이 경우 세균류에 결합하여 호중구의 포착을 촉진하는 물질이 필요하다. 그 물질을 옵소닌이라고 하며,[87] 특히 중요한 것은 IgG 항체이다. 또한, 세균류에 결합하여 활성화된 보체 성분 C3b도 호중구가 세균류에 결합하는 과정에서 중요하다. IgG 항체나 활성화 보체 C3b 등의 옵소닌 물질이 세균 표면에 결합되어 있는 것을 "옵소닌화"라고 하며, 호중구는 IgG의 Fc 부분에 대한 Fc 수용체(FcγR) 및 C3b에 대한 보체 수용체 등 옵소닌 물질에 대응하는 수용체를 가지고 있으므로, 옵소닌화된 세균류는 특히 호중구에 포착되기 쉽다. 호중구는 반드시 단독으로 세균류에 대처하는 것이 아니라, 각종 면역 반응에도 지원받아 생체 방어를 수행한다.
결합된 세균류는, 호중구 형질막이 이를 감싸는 방식으로 호중구 내로 받아들인다. 호중구 내에서 세균류를 받아들여 뒤집힌 세포막 주머니를 식포라고 한다. 세균류를 받아들인 식포는 과립과 융합하여, 과립 내용물이 식포 내로 방출된다.
과립 내용물이 방출된 식포 내에서 세균류는 두 가지 수단으로 살균된다. 하나는 산소 의존성 기전으로, NADPH 산화 효소계의 작용으로 활성 산소와 과산화수소를 발생시켜 식포 내에서 살균한다. 아줄 과립에 포함된 미엘로페록시다아제는 과산화수소(H2O2)와 염화물 이온(Cl-)로부터 차아염소산(HOCl)을 생성한다. 세균은 효소 반응에 의해 생성된 HOCl에 의해 효율적으로 살균된다.[88]
다른 하나는 비산소 의존성 기전으로, 과립에서 방출되는 살균성 효소 (락토페린, 리소자임, 엘라스타제 등) 등으로 살균·분해한다.
세균류를 삼킨 호중구는 결국 사망하고, 시체는 고름이 되어 체외로 방출되거나, 조직 내의 대식세포 등에 의해 처리된다.
| -- | -- |
3. 2. 탈과립 (Degranulation)
호중구는 세 종류의 과립을 통해 단백질 꾸러미를 방출하는데, 이 과정을 탈과립이라고 한다. 과립에 들어있는 물질은 항미생물 특성을 가지고 있어 감염과 싸우는 데 도움이 된다.[41]| 과립 유형 | 단백질 |
|---|---|
| 아주르친화성 과립 (또는 "일차 과립") | 골수세포형과산화효소, 살균/투과성 증가 단백질, 디펜신, 세린 단백질분해효소인 호중구 엘라스테이스와 카텝신 G |
| 특이과립 (혹은 "이차 과립") | 알칼리성 인산분해효소, 라이소자임, NADPH 산화효소, 콜라겐분해효소, 락토페린, 카텔리시딘 |
| 삼차 과립 | 카텝신과 젤라틴분해효소 |
3. 3. 호중구 세포외 덫 (Neutrophil Extracellular Traps, NETs)
2004년 브링크만과 동료들은 호중구가 활성화되면 거미줄 구조의 DNA를 방출하며, 이것이 세균을 죽이는 세 번째 기작이라고 보고하였다.[116] 호중구 세포외덫(NETs)은 염색질과 세린 단백질분해효소로 이루어진 섬유망으로, 미생물을 세포외에서 잡아서 죽인다. 호중구 세포외덫은 항미생물 요소를 국소적으로 집중시켜서 식세포작용을 통한 섭취 없이 미생물에 결합하고, 미생물을 무장해제시켜 없애는 것으로 추정된다. 호중구 세포외덫은 또한 병원체가 더 퍼지지 않도록 물리적 방어벽을 형성한다. 패혈증에서는 혈관에 세포외덫이 형성된다.[117]호중구 세포외덫이 염증성 질환에서 특정한 역할을 한다는 보고가 있다. 임신과 관계된 염증성 질환인 자간전증에서 호중구가 활성화되고, 따라서 호중구 세포외덫이 어떤 역할을 할 수 있다.[118] 호중구 세포외덫은 인 비트로[119] 및 인 비보[120][121] 실험에서 혈전을 생성하는 효과가 있다고 밝혀졌다.
브링크만과 동료들의 연구에 따르면, 호중구 활성화는 DNA 그물 구조 방출을 유발하며, 이는 세균을 죽이는 세 번째 메커니즘이다.[43] 호중구 엑스트라셀룰러 트랩(NETs)은 크로마틴과 세린 프로테아제로 구성된 섬유 웹으로, 세포 외 미생물을 포획하고 죽인다.[44] NETs는 항균 성분을 국소적으로 고농도로 제공하고, 식세포 작용과 관계없이 미생물을 결합, 무력화 및 죽인다. 항균 특성 외에도, NETs는 병원균의 추가 확산을 막는 물리적 장벽 역할을 할 수 있다. 세균 포획은 NETs가 혈관 내에서 형성되는 패혈증에서 특히 중요한 역할일 수 있다.[45] NET 형성은 감염 중 대식세포의 살균 활성을 증가시키는 것으로 나타났다.[46][47]
최근 연구에 따르면 NETs는 자간전증과 같은 염증성 질환에서 역할을 하며, 관상 동맥에서 혈전 형성에 영향을 미쳐 심혈관 질환에도 영향을 줄 수 있다.[48][49][50] NETs는 시험관 내[51] 및 생체 내[52][53] 모두에서 혈전 촉진 효과를 나타내는 것으로 알려져 있으며, 2020년에는 NETs가 심각한 COVID-19의 경우 혈전 형성에 관여하는 것으로 밝혀졌다.[54]
4. 수명
활성화되지 않고 혈류를 따라 순환하는 사람 호중구의 평균 수명은 5.4일이다.[109] 활성화된 호중구는 혈관 내피세포에 근접하여 셀렉틴에 의존하여 포착되고 인테그린 의존성 부착으로 이어진다. 혈관을 떠나 조직으로 이동한 호중구는 그곳에서 1~2일 생존한다.[110]
호중구는 단핵구나 대식세포에 비해 수명이 짧지만 훨씬 많다. 병원체는 대부분 호중구를 먼저 만나게 된다. 일부 전문가들은 호중구의 짧은 수명이 진화적 적응이라고 추정한다. 호중구의 짧은 수명은 포식세포를 기생충으로 이용하는 병원체의 증식을 최소화하기 때문이다. 또한 호중구의 항균 생성물이 숙주 조직을 손상시킬 수 있기 때문에, 호중구의 짧은 수명은 염증 동안 숙주에 대한 손상을 제한한다.[110]
호중구는 대식세포에 의한 병원체의 탐식 후 제거될 것이다. 세포 표면의 PECAM-1과 포스파티딜세린이 이 과정에 관여한다.
비활성화된 인간 호중구의 혈액 내 평균 생존 기간은 5시간에서 135시간 사이로 보고되었다.[22][23] 활성화되면, 호중구는 마진화(혈관 내피에 인접하게 위치)를 거치고 대부분의 경우 셀렉틴 의존적 포획과 인테그린 의존적 부착을 거친 후 조직으로 이동하여 1~2일 동안 생존한다.[26]
혈액 내 호중구의 수명은 1일 이내, 대략 10~12시간 정도라고 한다.[81] 조직 내에서는 며칠이다.
5. 질병
호중구는 특정 질병에 따라 그 수가 증가하거나 감소할 수 있다.
감염증, 염증, 급성 출혈, 용혈, 만성 골수성 백혈병, 진성 적혈구 증가증, 중독, 악성 종양, 요독, 통풍, 부신피질 스테로이드 투여[82], 일시적인 요인(운동, 식사, 스트레스), 흡연[83] 등에 의해 호중구 수가 증가한다.
혈액 내 호중구 증가는 골수에서의 호중구 생성 증가 (만성 골수성 백혈병 등), 저장 풀 및 변연 풀에서 순환 풀(말초혈)로의 이동 및 골수에서의 반응적 생성 증가(감염증, 염증 등), 저장 풀 및 변연 풀에서 순환 풀(말초혈)로의 이동 및 조직으로의 이동 감소 (부신피질 스테로이드 투여), 혈류 변화에 따른 일시적인 변연 풀에서 순환 풀로의 이동(식사, 운동 등) 등 다양한 원인에 의해 발생한다.
고혈당증은 호중구 기능 장애를 유발할 수 있으며, 미엘로과산화효소 호중구 생화학 경로의 기능 장애 및 탈과립 감소와 관련이 있다.[60]
5. 1. 호중구감소증 (Neutropenia)
호중구감소증은 혈액 내 호중구 수가 낮은 질병을 말한다. 실험실에서 호중구 수를 계산했을 때 혈액에 보통 2.0×109개/L 이하가 있을 경우 호중구감소증으로 보고한다. 호중구감소증은 선천성 장애나 유전적 질환일 수도 있고, 재생불량성빈혈과 거대적혈모구빈혈, 발작성야간혈색소뇨증과 같이 빈혈에서도 나타나며, 또는 급성백혈병, 다발성골수종같이 골수에 이상이 생겨 생성되는 호중구의 수가 적어 발병하는 경우도 있다. 의약품의 부작용으로 생기기도 하는데, 화학요법으로 인한 경우가 대부분이다.[122]장티푸스에 감염되었을 경우 다른 세균 감염과 다르게 호중구 수가 감소하는 증상을 동반하며, 그 외에 리케치아균에 의한 발진티푸스에도 호중구가 감소한다. 또한 바이러스에 감염되었을 때도 발병할 수 있으며 이는 바이러스가 직접 호중구를 파괴하기 때문에 발생하는 것으로 생각하고 있다. 그 외에 기생충 감염에도 발병할 수 있는데 말라리아에 감염되었을 경우 감염 초기에는 호중구 수가 다소 증가하는 듯 하다가 열이 진행할수록 그 수가 감소하며, kala-azar와 같은 기생충 감염이 일어났을 때도 감소증이 발생한다. 이렇게 발생한 호중구감소증에 걸린 이는 감염에 매우 취약하다.[122]
알파 1 안티트립신 결핍의 경우에 호중구에서 주요 효소인 엘라스테이스를 저해하는 알파 1 안티트립신이 부족하다. 엘라스테이스가 적절하게 저해되지 않으면 염증이 일어났을 때 조직이 과도하게 손상된다. 만성 폐쇄성 폐질환에서 흔하다.[122]
가족성 지중해열은 ''pyrin'' 또는 ''marenostrin''(en) 유전자의 돌연변이로 나타난다. 이 유전자는 주로 호중구에서 발현되어 급성 병기 반응을 일으키고 발열, 관절통, 복막염으로 이어져 결국에는 아밀로이드증을 일으킨다.[122]

절대 호중구 수 (ANC)는 진단 및 예후에도 사용된다. ANC는 호중구 감소증의 심각성을 결정하는 데 있어 표준이며, 따라서 호중구 감소성 열을 결정하는 데 있어 표준이다. ANC < 1500 cells / mm3는 호중구 감소증으로 간주되지만, <500 cells / mm3는 심각한 것으로 간주된다.[61] 또한 조기 진단에 도움이 되도록 ANC를 심근 경색과 연결하는 새로운 연구가 있다.[62][63] 호중구는 급성 심근 경색에서 심실 빈맥을 촉진한다.[64]
부검에서 심장이나 뇌에 호중구가 존재하는 것은 경색의 첫 번째 징후 중 하나이며, 심근 경색 진단 및 뇌졸중의 시기와 진단에 유용하다.
바이러스 감염, 리케차 감염, 재생불량성 빈혈, 악성 빈혈, 비타민 B12 결핍이나 엽산 결핍, 급성 백혈병, 골수 섬유증, 비장 비대, 호중구에 대한 자가면역 질환, 약물 사용 등으로 호중구는 감소할 수 있다.
항암제 투여 시 현저하게 감소하며, 매우 많은 약물이 호중구 감소와 관련될 수 있다.
5. 2. 기타 질환
호중구감소증은 호중구 수가 비정상적으로 낮은 질병이다. 실험실 검사에서 혈액 1L당 호중구 수가 2.0 × 109개 이하일 때 호중구감소증으로 진단한다. 이는 선천성 장애, 유전적 질환, 재생불량성빈혈, 거대적혈모구빈혈, 발작성야간혈색소뇨증과 같은 빈혈, 급성백혈병, 다발성골수종 등 다양한 원인으로 발생할 수 있다. 화학요법을 포함한 의약품의 부작용으로 나타나기도 한다.[122]장티푸스, 리케치아균에 의한 발진티푸스, 바이러스 감염, 말라리아나 kala-azar와 같은 기생충 감염 시에도 호중구감소증이 나타날 수 있다. 호중구감소증 환자는 감염에 매우 취약해진다.[122]
알파 1 안티트립신 결핍은 호중구의 주요 효소인 엘라스테이스를 억제하는 알파 1 안티트립신이 부족하여 발생한다. 엘라스테이스가 제대로 억제되지 않으면 염증 발생 시 조직이 과도하게 손상되며, 이는 만성 폐쇄성 폐질환에서 흔히 나타난다. 엘라스타제의 과도한 활성은 급성 호흡 곤란 증후군 증상을 유발할 수 있다.[57] 이 효소는 톨 유사 수용체 (TLR)를 절단하고 NF-κB의 핵 전위를 억제하여 사이토카인 발현을 조절함으로써 대식세포 활성에 영향을 미친다.[58]
가족성 지중해열은 주로 호중구에서 발현되는 ''pyrin'' 또는 ''marenostrin''(en) 유전자의 돌연변이로 인해 발생한다. 이는 급성 병기 반응을 유발하여 발열, 관절통, 복막염을 일으키고, 결국 아밀로이드증으로 이어진다.[59]
고혈당증은 호중구 기능 장애를 유발할 수 있으며, 미엘로과산화효소 호중구 생화학 경로의 기능 장애 및 탈과립 감소와 관련이 있다.[60]
절대 호중구 수 (ANC)는 진단 및 예후에 사용된다. ANC < 1500 cells / mm3는 호중구 감소증, < 500 cells / mm3는 심각한 호중구 감소증으로 간주된다.[61] ANC는 심근 경색 조기 진단에도 활용될 수 있다.[62][63] 호중구는 급성 심근 경색에서 심실 빈맥을 촉진한다.[64]
부검 시 심장이나 뇌에서 호중구가 발견되는 것은 경색의 초기 징후 중 하나이며, 심근 경색 진단 및 뇌졸중의 시기와 진단에 유용하다.
6. 호중구 항원
현재까지 5개의 호중구 항원(HNA 1-5)이 알려져 있다.[123] HNA-1 항원 세 개(a-c)는 친화성이 낮은 Fc-γ수용체 IIIb(CD16b)에 있다. 하나만 알려진 HNA-2a는 CD177에 있다. HNA-3 항원계에는 CLT2 유전자(SLC44A2)의 일곱 번째 엑손에 있는 항원 3a와 3b가 있다. HNA-4와 HNA-5 항원계에는 각각 항원 a와 b가 알려져 있다. 이 항원들은 β2 인테그린에 있는데, HNA-4는 αM 사슬(CD11b)에, HNA-5는 αL 인테그린 단위(CD11a)에 있다.[69]
7. 분화 과정

호중구를 포함한 모든 혈구는 골수에 존재하는 조혈모세포에서 유래한다. 골수 내에서 조혈모세포는 적혈구, 각종 백혈구, 혈소판으로 분화되는데, 최종적으로 호중구로 분화되는 경로는 다음과 같다.
# 조혈모세포
# 골수계 줄기 세포 (골수계 전구 세포)
# 과립구·단구계 전구 세포
# 과립구 전구 세포
# 골수아세포
# 전골수구
# 골수구
# 후골수구
# 막대핵구
# 분엽핵구
마지막 두 단계인 막대핵구와 분엽핵구를 호중구라고 부른다.
조혈모세포에서 분열하여 분화가 시작된 세포는 활발하게 분열하여 수를 늘리면서, 조금씩 분화 방향으로 나아간다. 줄기 세포에서 전구 세포, 골수아세포 단계까지는 현미경에 의한 형태학적 관찰로는 최종적으로 호중구 등의 과립구계로 분화하는 세포인지 식별하기 어렵지만, 골수아세포 단계부터 과립이 생기기 시작하여 과립구계 세포와 형태학적으로 판단할 수 있게 된다. 전골수구 단계가 되면 호중구로의 분화 경향이 뚜렷해진다.
골수아세포 단계부터는 광학 현미경으로는 보이지 않지만 전자 현미경으로 확인할 수 있는 1차 과립(아주르 과립)이 생기기 시작하고, 전골수구에서는 광학 현미경으로도 확인할 수 있는 풍부한 1차 과립(아주르 과립)을 가지게 된다[90]. 골수구 단계에서는 1차 과립은 보이지 않게 되고(보이지 않지만 존재는 한다) 대신 2차 과립(특수 과립)이 발현된다. 또한 3차 과립 등 호중구에는 각종 과립이 존재하게 된다.
과립구계로 판단할 수 있게 된 단계 이후에도, 골수아세포에서 1회, 전골수구에서 2회, 골수구에서 2회 정도의 세포 분열을 일으켜 수를 늘린다. 후골수구 단계가 되면 세포 분열 능력을 잃는다. 통상적으로 골수아세포 이후 단계에서 7일에서 14일[91], 평균 약 11일의 시간을 거쳐 성숙한다.
골수아세포나 전골수구 등 어린 단계에서는 세포의 핵이 크고 둥글며, 핵 내 구조(크로마틴 구조)는 섬세하지만, 분화·성숙이 진행될수록 핵은 작고 찌그러지며, 구조는 거칠어진다. 핵이 왜곡된 젤리빈 모양인 막대핵구 단계가 되면, 완성된 호중구로 인식되지만, 더욱 성숙이 진행되어 핵의 형태가 여러 개로 나뉜 분엽핵구가 된다. 분엽핵구가 호중구 분화의 최종 성숙 단계이다.
말초혈에서 보이는 호중구의 대부분은 분엽핵구이지만, 염증 발생 시 등 저장 풀로부터 호중구를 대량 동원해야 할 경우에는 막대핵구의 비율이 증가한다.
8. 핵형의 좌방 이동
호중구는 정상 상태에서는 말초 혈액 중에 분엽핵구(2~3엽이 많음)가 많이 관찰된다.
감염증 등의 경우 면역 반응에 의한 호중구 증가가 관찰되지만, 그 초기 단계에서는 간상 핵구가 증가하고 더욱 어린 후골수구나 골수구가 말초 혈액에 나타날 수 있다. 출혈성 빈혈이나 의료 행위에 의한 골수 억제 등으로 인한 범혈구 감소증으로부터의 회복기에도 이와 유사한 현상이 일어난다. 이러한 단핵 세포의 증가를 "핵의 좌방 이동"이라고 부른다. 호중구를 신속하게 동원해야 하는 상황 때문에 최종 성숙 형태가 아닌 호중구도 동원되기 때문이다.
위는 "조혈의 시작"에서 보이는 일과성 좌방 이동의 예이지만, 골수 이형성 증후군이나 만성 골수성 백혈병 등의 경우에는 골수구-과립구 계통 세포의 분화 성숙 능력 자체에 이상이 생기기 때문에 좌방 이동 상태가 지속된다.
참조
[1]
서적
Elsevier's Integrated Review Immunology and Microbiology
2012
[2]
학술지
Candida albicans escapes from mouse neutrophils
2013-08-00
[3]
학술지
Neutrophils: molecules, functions and pathophysiological aspects
2000-05-00
[4]
서적
The Neutrophil: Function and Clinical Disorders
Elsevier/North-Holland Amsterdam
[5]
학술지
Neutrophils and immunity: challenges and opportunities
2006-03-00
[6]
서적
Hole's Essentials of Human Anatomy and Physiology
https://www.mheducat[...]
McGraw Hill
2023-02-28
[7]
학술지
Subclinical responses in healthy cyclists briefly exposed to traffic-related air pollution: an intervention study
2010-10-00
[8]
학술지
The interleukin-8 pathway in cancer
2008-11-00
[9]
학술지
The potential role of neutrophils in promoting the metastatic phenotype of tumors releasing interleukin-8
2004-08-00
[10]
학술지
Lyn is a redox sensor that mediates leukocyte wound attraction in vivo
2011-11-00
[11]
서적
Medical Microbiology
Elsevier
[12]
서적
Pathways of the Pulp
Mosby
2002
[13]
학술지
The role of neutrophils in pain: systematic review and meta-analysis of animal studies
https://journals.lww[...]
2024-10-25
[14]
학술지
Trace element landscape of resting and activated human neutrophils on the sub-micrometer level
2015-06-00
[15]
서적
Atlas of Blood Cells: Function and Pathology
Lea & Ferbiger
1988
[16]
학술지
Nonrandom location and orientation of the inactive X chromosome in human neutrophil nuclei
2001-08-00
[17]
학술지
Reduced neutrophil count in people of African descent is due to a regulatory variant in the Duffy antigen receptor for chemokines gene
2009-01-00
[18]
서적
Biochemistry and physiology of the neutrophil
Cambridge University Press
1994
[19]
학술지
Role of sugars in human neutrophilic phagocytosis
1973-11-00
[20]
학술지
Phagocytosis by human neutrophils is stimulated by a unique fungal cell wall component
2007-07-00
[21]
웹사이트
White blood cells are picky about sugar
http://wi.mit.edu/ne[...]
Whitehead Institute
2013-08-09
[22]
학술지
What's your age again? Determination of human neutrophil half-lives revisited
2013-10-00
[23]
학술지
In vivo labeling with 2H2O reveals a human neutrophil lifespan of 5.4 days
2010-07-00
[24]
학술지
Rapid neutrophil mobilization by VCAM-1+ endothelial cell-derived extracellular vesicles
2023-03-00
[25]
학술지
Are neutrophils important host cells for Leishmania parasites?
2009-11-00
[26]
서적
Wheater's basic histopathology: a colour atlas and text
Churchill Livingstone
2002
[27]
서적
Fundamentals of Inflammation
https://books.google[...]
Cambridge University Press
2010
[28]
학술지
Rac-GTPases and Rac-GEFs in neutrophil adhesion, migration and recruitment
2018-11-00
[29]
학술지
Ras suppression potentiates rear actomyosin contractility-driven cell polarization and migration
2024-07-00
[30]
학술지
Actuation of single downstream nodes in growth factor network steers immune cell migration
2023-07-00
[31]
학술지
Neutrophil swarms require LTB4 and integrins at sites of cell death in vivo
2013-06-00
[32]
학술지
Cytokine generation, promoter activation, and oxidant-independent NF-kappaB activation in a transfectable human neutrophilic cellular model
2008-04-00
[33]
학술지
Proteomic analysis of the neutrophil proteins of the Tammar wallaby (''Macropus eugenii'')
2006
[34]
학술지
Intravascular immunity: the host-pathogen encounter in blood vessels
2009-05-00
[35]
학술지
How neutrophils kill microbes
[36]
논문
Neisseria gonorrhoeae delays the onset of apoptosis in polymorphonuclear leukocytes
2006-11-01
[37]
논문
Neisseria gonorrhoeae-mediated inhibition of apoptotic signalling in polymorphonuclear leukocytes
2011-11-01
[38]
논문
Chlamydia pneumoniae multiply in neutrophil granulocytes and delay their spontaneous apoptosis
2004-02-01
[39]
논문
Bacterial pathogens modulate an apoptosis differentiation program in human neutrophils
2003-09-01
[40]
논문
Influence of Microbes on Neutrophil Life and Death
[41]
논문
Observations on the glitter-cell phenomenon
1956-11-01
[42]
논문
Localization of histaminase to the specific granule of the human neutrophil
1984-08-01
[43]
논문
Neutrophil extracellular traps kill bacteria
2004-03-01
[44]
논문
Neutrophil extracellular traps contain calprotectin, a cytosolic protein complex involved in host defense against Candida albicans
2009-10-01
[45]
논문
Platelet TLR4 activates neutrophil extracellular traps to ensnare bacteria in septic blood
2007-04-01
[46]
논문
Neutrophil extracellular traps enhance macrophage killing of bacterial pathogens
2021-09-01
[47]
논문
Mitochondrial Calcium Uniporter Affects Neutrophil Bactericidal Activity during Staphylococcus aureus Infection
2022-02-01
[48]
논문
Neutrophil NETs: a novel contributor to preeclampsia-associated placental hypoxia?
2007-06-01
[49]
논문
Neutrophil contributions to ischaemic heart disease
2017-02-01
[50]
논문
Coronary neutrophil extracellular trap burden and deoxyribonuclease activity in ST-elevation acute coronary syndrome are predictors of ST-segment resolution and infarct size
2015-03-01
[51]
논문
Extracellular DNA traps promote thrombosis
2010-09-01
[52]
논문
Neutrophil extracellular traps promote deep vein thrombosis in mice
2012-01-01
[53]
논문
From neutrophil extracellular traps release to thrombosis: an overshooting host-defense mechanism?
2011-09-01
[54]
논문
Neutrophil extracellular traps in COVID-19
2020-06-01
[55]
논문
GLUT1 Expression in Tumor-Associated Neutrophils Promotes Lung Cancer Growth and Resistance to Radiotherapy
2021-05-01
[56]
논문
Cross-talk between lung cancer and bones results in neutrophils that promote tumor progression
2018-12-01
[57]
논문
The role of neutrophil elastase in acute lung injury
2002-09-01
[58]
논문
Neutrophil Elastase Subverts the Immune Response by Cleaving Toll-Like Receptors and Cytokines in Pneumococcal Pneumonia
2018-01-01
[59]
논문
Familial mediterranean fever: revisiting an ancient disease
2003-07-01
[60]
논문
Stress hyperglycemia, insulin treatment, and innate immune cells
2014-05-08
[61]
논문
The diagnostic value of absolute neutrophil count, band count and morphologic changes of neutrophils in predicting bacterial infections
2007-01-01
[62]
논문
Blood cell counts and their correlation with creatine kinase and C-reactive protein in patients with acute myocardial infarction
2012-01-01
[63]
논문
Absolute neutrophil counts and fibrinogen levels as an aid in the early diagnosis of acute myocardial infarction
2004-04-01
[64]
논문
Neutrophils incite and macrophages avert electrical storm after myocardial infarction
2022-07-01
[65]
논문
Diagnosis of myocardial infarction at autopsy: AECVP reappraisal in the light of the current clinical classification
2020-02-01
[66]
논문
Targeting neutrophils in ischemic stroke: translational insights from experimental studies
2015-06-01
[67]
논문
Neutrophils and Bacterial Immune Evasion
2018-01-01
[68]
논문
Antimicrobial Activity of Neutrophils Against Mycobacteria
2021-12-23
[69]
논문
Genotyping of human neutrophil antigens (HNA) from whole genome sequencing data
2013-09-01
[70]
논문
Functional heterogeneity of human neutrophils and their role in peripheral blood leukocyte quantity regulation
Donetsk National Medical University
2012-01-01
[71]
논문
[Functional heterogenicity of human blood neutrophils: generation of oxygen active species]
https://www.research[...]
[72]
논문
[Neutrophil activation in vitro]
https://www.research[...]
[73]
논문
[Nitroblue tetrazolium reduction by human blood neutrophils. I. The influence of pH]
https://www.research[...]
[74]
논문
[Nitroblue tetrazolium reduction by human blood neutrophils. II. The influence of sodium and potassium ions]
https://www.research[...]
[75]
논문
Single-Cell Transcriptomics of Human and Mouse Lung Cancers Reveals Conserved Myeloid Populations across Individuals and Species
2019-05-00
[76]
논문
ITAM signaling by Vav family Rho guanine nucleotide exchange factors regulates interstitial transit rates of neutrophils in vivo
[77]
서적
血液学
内外医学社
[78]
서적
スタンダード検査血液学
医歯薬出版
2008-05-00
[79]
서적
スタンダード検査血液学 第2版
医歯薬出版
[80]
서적
三輪血液病学 第3版
文光堂
[81]
서적
三輪血液病学 第3版
[82]
서적
医療関連職種のための臨床検査概論
[83]
웹사이트
喫煙、飲酒および加齢が検査値に及ぼす影響
http://www.yhoken.jp[...]
[84]
서적
三輪血液病学 第3版
[85]
서적
医系免疫学 第11版
中外医学社
[86]
서적
三輪血液病学 第3版
[87]
서적
医系免疫学 第11版
[88]
서적
三輪血液病学 第3版
[89]
서적
医系免疫学 第11版
[90]
서적
三輪血液病学 第3版
[91]
서적
スタンダード検査血液学 第2版
医歯薬出版
[92]
웹사이트
Public Library of Science
http://www.plosone.o[...]
[93]
웹사이트
neutrophil
https://www.kmle.co.[...]
[94]
웹사이트
neutrocyte
https://www.kmle.co.[...]
[95]
웹사이트
heterophil
https://www.kmle.co.[...]
[96]
웹사이트
polymorphonuclear leukocyte
https://www.kmle.co.[...]
[97]
논문
Neutrophils: molecules, functions and pathophysiological aspects
http://www.nature.co[...]
[98]
논문
The Neutrophil: Function and Clinical Disorders
Elsevier/North-Holland Amsterdam
[99]
논문
Neutrophils and immunity: challenges and opportunities
http://www.nature.co[...]
2006-03-00
[100]
논문
Subclinical responses in healthy cyclists briefly exposed to traffic-related air pollution
http://www.ehjournal[...]
2010-10-00
[101]
논문
The interleukin-8 pathway in cancer
http://clincancerres[...]
2008-11-00
[102]
논문
The Potential Role of Neutrophils in Promoting the Metastatic Phenotype of Tumors Releasing Interleukin-8
http://clincancerres[...]
2004-08-00
[103]
서적
Pathways of the Pulp
Mosby
[104]
서적
Atlas of Blood Cells: Function and Pathology
Lea & Ferbiger
[105]
서적
Biochemistry and physiology of the neutrophil
https://archive.org/[...]
Cambridge University Press
[106]
웹사이트
Role of sugars in human neutrophilic phagocytosis
http://ajcn.nutritio[...]
The American Society for Clinical Nutrition
2013-09-08
[107]
저널
Phagocytosis by human neutrophils is stimulated by a unique fungal cell wall component
2007-07-00
[108]
웹사이트
White blood cells are picky about sugar
http://wi.mit.edu/ne[...]
Whitehead Institute
2013-08-09
[109]
저널
In vivo labeling with 2H2O reveals a human neutrophil lifespan of 5.4 days
http://bloodjournal.[...]
2014-11-20
[110]
서적
Wheater's basic histopathology: a colour atlas and text
http://www.ecc-book.[...]
Churchill Livingstone
[111]
저널
Signalling through C-type lectin receptors: shaping immune responses
http://www.nature.co[...]
2009-07-00
[112]
서적
Fundamentals of Inflammation
http://books.google.[...]
Cambridge University Press
[113]
저널
Cytokine generation, promoter activation, and oxidant-independent NF-kappaB activation in a transfectable human neutrophilic cellular model
[114]
저널
Intravascular immunity: the host–pathogen encounter in blood vessels
Nature Publishing Group
[115]
저널
How neutrophils kill microbes
[116]
저널
Neutrophil Extracellular Traps Kill Bacteria
http://www.sciencema[...]
AAAS
2007-04-09
[117]
저널
Platelet Toll-Like Receptor-4 Activates Neutrophil Extracellular Traps to Ensnare Bacteria in Endotoxemic and Septic Blood
http://www.nature.co[...]
Nature Publishing Group
2007-04-00
[118]
저널
Neutrophil NETs: a novel contributor to preeclampsia-associated placental hypoxia?
2007-06-00
[119]
저널
Extracellular DNA traps promote thrombosis
2010-09-07
[120]
저널
Neutrophil Extracellular Traps Promote Deep Vein Thrombosis in Mice
2011-11-01
[121]
저널
From neutrophil extracellular traps release to thrombosis: an overshooting host-defense mechanism?
2011-09-00
[122]
저널
Familial mediterranean fever: revisiting an ancient disease
http://www.springerl[...]
2014-11-20
[123]
저널
Genotyping of human neutrophil antigens (HNA) from whole genome sequencing data
http://www.ncbi.nlm.[...]
본 사이트는 AI가 위키백과와 뉴스 기사,정부 간행물,학술 논문등을 바탕으로 정보를 가공하여 제공하는 백과사전형 서비스입니다.
모든 문서는 AI에 의해 자동 생성되며, CC BY-SA 4.0 라이선스에 따라 이용할 수 있습니다.
하지만, 위키백과나 뉴스 기사 자체에 오류, 부정확한 정보, 또는 가짜 뉴스가 포함될 수 있으며, AI는 이러한 내용을 완벽하게 걸러내지 못할 수 있습니다.
따라서 제공되는 정보에 일부 오류나 편향이 있을 수 있으므로, 중요한 정보는 반드시 다른 출처를 통해 교차 검증하시기 바랍니다.
문의하기 : help@durumis.com