혈색소병증
"오늘의AI위키"의 AI를 통해 더욱 풍부하고 폭넓은 지식 경험을 누리세요.
1. 개요
혈색소병증은 헤모글로빈의 구조적 또는 양적 이상으로 발생하는 질환을 통칭한다. 정상적인 헤모글로빈은 2쌍의 글로빈 사슬(알파 유사, 베타 유사)과 헴 부분으로 구성되며, 발달 과정에 따라 다양한 유형(배아 Hb, 태아 Hb, 성인 Hb, Hb A2)으로 존재한다. 혈색소병증은 헤모글로빈의 구조적 변이(Hb S, Hb C 등)나 화학적 이상, 또는 글로빈 사슬의 불균형으로 인한 양적 결함(지중해 빈혈)으로 나타날 수 있다. 젤 전기 영동을 통해 헤모글로빈 변이체를 검출하며, 일부 혈색소병증은 말라리아 풍토병 지역에서 이형접합자에게 진화론적 이점을 제공하기도 한다. 치료법은 질환의 종류와 심각도에 따라 다르며, 수혈, 약물 치료, 조혈모세포 이식 등이 사용될 수 있다.
더 읽어볼만한 페이지
2. 헤모글로빈의 구조
헤모글로빈은 4개의 소단위체로 구성된 사합체 단백질이다. 각 소단위체는 글로빈 단백질과 헴 부분으로 구성된다. 글로빈 단백질은 α(알파) 사슬과 β(베타) 사슬의 두 종류가 있으며, 정상적인 성인의 경우 α 사슬 2개와 β 사슬 2개로 구성된 헤모글로빈 A(HbA)가 대부분을 차지한다. 헴 분자는 철 이온을 포함하고 있으며, 이 철 이온에 산소가 가역적으로 결합한다.[27]
2. 1. 헤모글로빈의 종류
헤모글로빈은 발달 단계에 따라 다른 종류가 생성된다.- 배아 헤모글로빈(Hb Gower-1, Hb Gower-2, Hb Portland)은 임신 초기에 생성되며, 태아 Hb로 대체되면서 임신 8주경에 사라진다.[28][29]
- Hb Gower-1은 2개의 ζ 글로빈(제타 글로빈)과 2개의 ε 글로빈(엡실론 글로빈)으로 구성(ζ2ε2)된다.
- Hb Gower-2는 2개의 α 글로빈과 2개의 엡실론 글로빈으로 구성(α2ε2)된다.
- Hb Portland는 2개의 제타 글로빈과 2개의 γ 글로빈(감마 글로빈)으로 구성(ζ2γ2)된다.
- 태아 Hb (Hb F)는 임신 약 8주부터 출생까지 생성되며 만삭 신생아에서 Hb의 약 80%를 구성한다. 생후 첫 몇 개월 동안 감소하고 정상 상태에서 유아기에는 총 Hb의 1% 미만을 차지한다. Hb F는 2개의 α 글로빈과 2개의 γ 글로빈(α2γ2)으로 구성된다.
- 성인 Hb (Hb A)는 생후 6개월 이상의 소아에서 주된 Hb이다. 혈색소병증이 없는 개인의 총 Hb의 96-97%를 구성한다. 2개의 α 글로빈과 2개의 β 글로빈(베타 글로빈)으로 구성(α2β2)되어 있다.
- Hb A2는 일반적으로 생후 6개월 이후부터 전체 Hb의 약 2.5-3.5%를 차지하는 미성년자 성체 Hb이다. 2개의 α 글로빈과 2개의 δ 글로빈(델타 글로빈)으로 구성(α2δ2)되어 있다.
3. 혈색소병증
혈색소병증은 헤모글로빈의 구조적 이상이나 생성 이상으로 인해 발생하는 질환군이다. 크게 질적 이상과 양적 이상으로 나눌 수 있다.
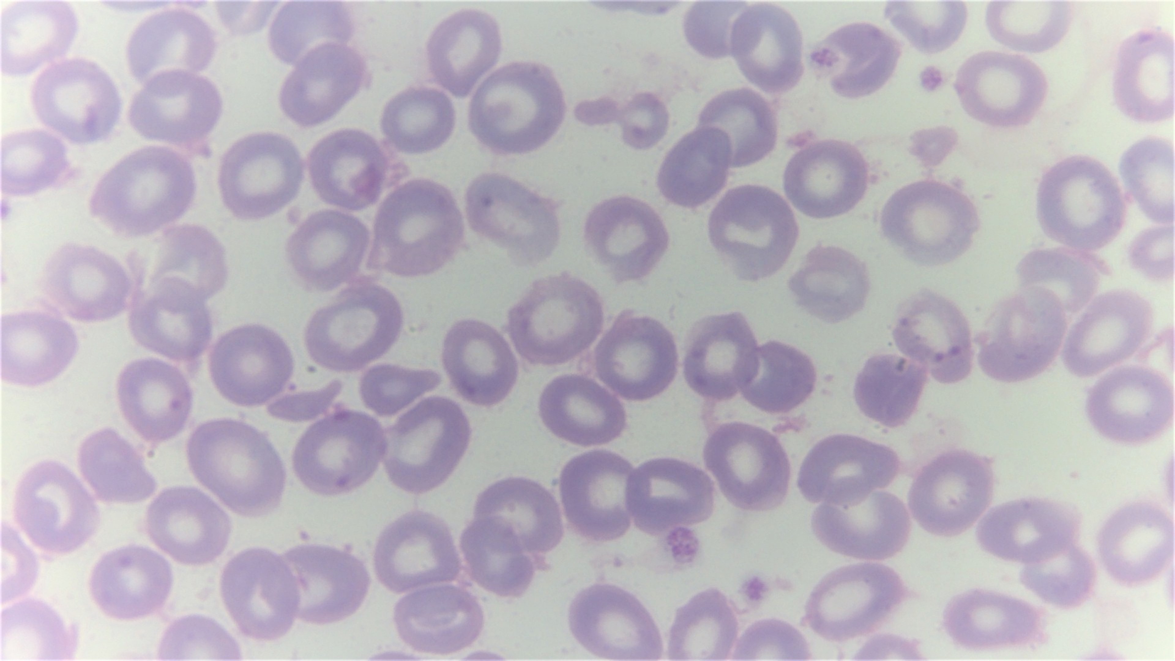
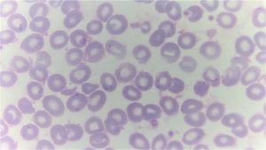
질적 혈색소병증은 헤모글로빈 분자의 구조적 이상 때문에 발생한다. 대표적으로 낫 모양 적혈구 혈색소 (HbS), 혈색소 C (HbC) 등이 있다.[30] 이들은 헤모글로빈 분자의 용해도 변화, 단백질 안정성 감소, 산소 친화도 변화 등을 유발한다.
양적 혈색소병증은 헤모글로빈 사슬 생성의 불균형으로 발생하며, 대표적으로 지중해빈혈이 있다.
3. 1. 질적 혈색소병증
질적 혈색소병증은 헤모글로빈(Hb) 분자의 구조적 이상으로 인해 발생한다. 대표적인 질적 혈색소병증으로는 낫 모양 적혈구 혈색소 (HbS)와 혈색소 C (HbC) 등이 있다.[30] 이러한 혈색소병증은 Hb 분자의 용해도 변화, 단백질 안정성 감소, 산소 친화도 변화, 헴 철의 산화와 같은 기능적 결과를 초래할 수 있다.3. 1. 1. 구조적 이상
Hb 변이체는 Hb 분자의 구조(1차, 2차, 3차 및 4차) 변화를 일으키는 질적 결함이다. 대부분의 Hb 변이체는 질병을 일으키지 않으며, 우연히 발견되거나 신생아 선별검사를 통해 발견되는 경우가 많다. Hb 변이의 일부는 다른 구조적 변이나 지중해 빈혈 돌연변이와 결합하여 동형 접합체 또는 복합 이형 접합체 상태로 유전될 때 심각한 질병을 유발할 수 있다. 임상적 결과로는 용혈로 인한 빈혈, 비정상적인 Hb의 산소 친화도 변화로 인한 적혈구 증가증 등이 있다. 용혈과 관련된 혈색소 변이의 예로는 낫 모양 적혈구 혈색소 (HbS) 및 혈색소 C (HbC)가 있다. Hb 변이는 일반적으로 단백질 기반 분석 방법으로 검출할 수 있지만, 단백질 분석에서 모호하거나 특이한 결과가 나오는 변이의 경우 DNA 기반 방법이 필요할 수 있다.[30]Hb 구조적 변이의 주요 기능적 결과는 다음과 같이 분류할 수 있다.
- 물리적 특성(용해도)의 변화: 일반적인 베타 글로빈 돌연변이는 Hb 분자의 용해도를 변경할 수 있다. HbS는 탈산소화될 때 중합되고 HbC는 결정화된다.[30]
- 단백질 안정성 감소(불안정성): 불안정한 Hb 변이는 Hb 분자가 침전되도록 하는 돌연변이로, 자발적으로 또는 산화 스트레스에 의해 발생하여 용혈성 빈혈을 유발한다. 침전된 변성된 Hb는 적혈구(RBC)의 원형질막 내층에 부착되어 하인츠 소체를 형성할 수 있다.[31]
- 산소 친화도의 변화: 산소 친화도가 높거나 낮은 Hb 분자는 정상적인 분자보다 각각 이완된(R, 옥시) 상태 또는 긴장된(T, 디옥시) 상태를 채택할 가능성이 더 높다. 산소 친화도가 높은 변이(R 상태)는 적혈구 증가증을 유발한다(예: Hb 체서피크, Hb 몬테피오레). 산소 친화도가 낮은 변이는 청색증을 유발할 수 있다(예: Hb 캔자스, Hb 베스 이스라엘).[32]
- 헴 철의 산화: 헴 결합 부위, 특히 보존된 근위 또는 원위 히스티딘 잔기에 영향을 미치는 돌연변이는 M-혈색소를 생성할 수 있으며, 여기서 헴 내의 철 원자는 제2철(Fe2+) 상태에서 제3철(Fe3+) 상태로 산화되어 메트헤모글로빈혈증을 유발한다.[32]
3. 1. 2. 화학적 이상
메트헤모글로빈혈증은 혈액 내 메트헤모글로빈 수치 상승으로 인해 발생하는 질환이다. 메트헤모글로빈은 철의 제2철 [Fe3+] 형태를 포함하는 Hb의 한 형태이다. 제2철의 산소 친화력은 손상된다. 메트헤모글로빈에 산소가 결합하면 동일한 4량체 헤모글로빈 단위 내에서 철 상태에 있는 나머지 헴 부위에서 산소에 대한 친화도가 ''증가''한다.3. 2. 양적 혈색소병증
지중해빈혈은 헤모글로빈 사슬 생성의 불균형으로 인해 발생하는 대표적인 양적 혈색소병증이다. 복제 수 변이(예: 결실, 복제, 삽입), 복잡한 유전자 재배열, 글로빈 유전자 융합 등이 원인이 될 수 있다.3. 2. 1. 지중해 빈혈
지중해빈혈은 알파 또는 베타 글로빈 사슬 생성 감소로 인해 발생하며, 알파 유사 사슬과 베타 유사 사슬의 비율에 불균형을 초래하는 양적 결함이다. Hb에 통합되지 않는 과잉 사슬은 적혈구(RBC) 내에서 침전되는 비기능적 응집체를 형성한다. 이것은 골수(베타 지중해빈혈) 및 말초 혈액(알파 지중해빈혈)에서 조기 적혈구 파괴로 이어질 수 있다.지중해 빈혈은 다음과 같이 나뉜다.
- 알파
- 베타(주)
- 베타(부)

4. 헤모글로빈 변이체
헤모글로빈 변이체가 반드시 병적인 것은 아니다. 예를 들어, 헤모글로빈 발레타와 헤모글로빈 마르세유는 비병리적인 헤모글로빈 변이체이다.[33]
다음은 주요 헤모글로빈 변이체 목록이다.
- HbS
- HbC
- HbE
- Hb 바트
- Hb D-펀자브
- HbO (Hb O-아랍)
- Hb G-필라델피아
- Hb H
- Hb 상수 스프링
- Hb 하샤론
- 헤모글로빈 케냐[33]
- Hb 콜레부
- Hb 레포어
- Hb M
- Hb 캔자스[34][35]
- Hb J
- Hb N-볼티모어
- Hb 호프
- Hb 피사
다음은 질병을 유발할 수 있는 헤모글로빈 변이체이다.
- 겸상 적혈구 빈혈증 - 혈색소 S - 심각한 질병 유발
- 혈색소 C - 경미한 빈혈 유발
- 혈색소 E - 경미한 빈혈 유발
- 혈색소 바르트 - 4개의 감마 글로빈으로 구성된 비정상적인 유형의 혈색소
- 혈색소 D - 경미한 빈혈 유발
5. 헤모글로빈 변이체 검사
헤모글로빈 변이체는 젤 전기 영동을 통해 검출할 수 있다.[36][15]
일반적으로 알칼리 전기영동과 산성 전기영동을 통해 헤모글로빈 변이체를 분리하고 식별할 수 있다. 알칼리 전기영동에서는 이동도가 높은 순서대로 헤모글로빈 A2, E=O=C, G=D=S=Lepore, F, A, K, J, Bart's, N, I, H가 나타난다. S 위치로 이동하는 비정상적인 헤모글로빈에 대해서는 겸상 검사를 수행하여 헤모글로빈이 아황산수소나트륨 용액에 침전되는지 확인한다. 산성 전기영동에서는 이동도가 높은 순서대로 헤모글로빈 F, A=D=G=E=O=Lepore, S, C가 나타난다.
예를 들어, Hgb G-Philadelphia는 알칼리 전기영동에서 S와 함께 이동하고 산성 전기영동에서는 A로 이동한다.
6. 헤모글로빈병증의 진화
일부 혈색소병증(및 포도당-6-인산 탈수소효소 결핍증과 같은 관련 질병)은 특히 말라리아가 풍토병인 지역에서 이형접합자에게 진화론적 이점을 제공한 것으로 보인다. 말라리아 기생충은 적혈구 안에 살지만 정상적인 세포 기능을 미묘하게 방해한다. 적혈구가 빠르게 제거되는 경향이 있는 환자에서 이는 기생충에 감염된 세포를 조기에 파괴하고 형질 보유자의 생존 기회를 증가시킬 수 있다.
7. 헤모글로빈의 기능
헤모글로빈은 폐에서 산소를 받아 신체의 각 조직으로 운반하고, 조직에서 생성된 이산화 탄소를 폐로 운반하여 배출하는 역할을 한다. 이산화탄소는 조직 대사의 최종 산물로서 산성을 띠며, 용액 내 수소 이온 농도를 증가시킨다. 수소 이온은 중탄산염과 결합하여 물과 이산화탄소를 생성하는데, 이때 이산화탄소는 혈색소에 의해 흡수되어 이 가역 반응을 돕는다.
또한 헤모글로빈은 산화 질소를 운반하는 기능도 수행한다. 산화 질소는 혈관 확장 물질로, 염증과 같은 스트레스 상황에서 혈관 반응을 조절하는 데 중요한 역할을 한다.
8. 헤모글로빈병증의 치료
조혈모 세포 이식(HSCT)은 다분화 조혈모 세포를 이식하는 것으로, 일반적으로 골수, 말초 혈액 또는 제대혈에서 유래하며 환자 내부에서 복제되어 정상적인 혈구를 생성한다.[16][17][18][19][20][21] 이는 자가 이식(환자 자신의 줄기 세포 사용), 동종 이식(공여자의 줄기 세포 사용) 또는 동계 이식(일란성 쌍둥이의 줄기 세포 사용)일 수 있다.[19][20]
참조
[1]
웹사이트
Hemoglobinopathies Research
https://www.cdc.gov/[...]
2019-02-08
[2]
논문
Inherited haemoglobin disorders: An increasing global health problem
[3]
웹사이트
Hemoglobinopathies and Thalassemia
http://www.medicalas[...]
2013-11-07
[4]
웹사이트
Hemoglobin Variants
http://www.labtestso[...]
American Association for Clinical Chemistry
2007-11-10
[5]
웹사이트
A Syllabus of Human Hemoglobin Variants
http://globin.cse.ps[...]
Pennsylvania State University
[6]
서적
The New Genetics and Clinical Practice
Oxford University Press
[7]
서적
The structure and function of normal and abnormal haemoglobins
W.B. Saunders
[8]
서적
Disorders of hemoglobin structure: sickle cell anemia and related abnormalities
McGraw-Hill
[9]
논문
Sickle Cell Hemoglobin Polymerization
[10]
논문
Severe hemolytic anemia associated with the homozygous state for an unstable hemoglobin variant (Hb Bushwick)
[11]
논문
Identification of high oxygen affinity hemoglobin variants in the investigation of patients with erythrocytosis
[12]
논문
Hemoglobin Kenya composed of alpha- and ((A)gammabeta)-fusion-globin chains, associated with hereditary persistence of fetal hemoglobin
2009-01
[13]
간행물
Hemoglobin Kansas, A Human Hemoglobin with a Neutral Amino Acid Substitution and an Abnormal Oxygen Equilibrium
1968-03
[14]
웹사이트
rs33948057
https://www.ncbi.nlm[...]
National Center for Biotechnology Information
2014-02-07
[15]
논문
Advances in detection of hemoglobinopathies
2015-01
[16]
논문
Revisiting hematopoiesis: applications of the bulk and single-cell transcriptomics dissecting transcriptional heterogeneity in hematopoietic stem cells
2022-03
[17]
논문
Brazilian Nutritional Consensus in Hematopoietic Stem Cell Transplantation: Children and adolescents
[18]
서적
Thomas' hematopoietic cell transplantation: stem cell transplantation
Wiley-Blackwell
[19]
논문
Hematopoietic stem cells: potential new applications for translational medicine
2014
[20]
논문
Hematopoietic stem cell expansion and generation: the ways to make a breakthrough
2015-12
[21]
논문
Stem Cells Applications in Regenerative Medicine and Disease Therapeutics
[22]
웹인용
Hemoglobinopathies Research
https://www.cdc.gov/[...]
2019-05-05
[23]
간행물
Inherited haemoglobin disorders: an increasing global health problem
2001
[24]
웹인용
Hemoglobinopathies and Thalassemia
http://www.medicalas[...]
2022-04-14
[25]
웹인용
Hemoglobin Variants
http://www.labtestso[...]
American Association for Clinical Chemistry
2008-10-12
[26]
웹인용
A Syllabus of Human Hemoglobin Variants
http://globin.cse.ps[...]
Pennsylvania State University
2008-10-12
[27]
서적
The New Genetics and Clinical Practice
Oxford University Press
[28]
서적
The structure and function of normal and abnormal haemoglobins
W.B. Saunders
[29]
서적
Disorders of hemoglobin structure: sickle cell anemia and related abnormalities
McGraw-Hill
[30]
저널 인용
Sickle Cell Hemoglobin Polymerization
[31]
간행물
Severe hemolytic anemia associated with the homozygous state for an unstable hemoglobin variant (Hb Bushwick)
1995-09-01
[32]
간행물
Identification of high oxygen affinity hemoglobin variants in the investigation of patients with erythrocytosis
2009-09-01
[33]
저널 인용
Hemoglobin Kenya composed of alpha- and ((A)gammabeta)-fusion-globin chains, associated with hereditary persistence of fetal hemoglobin
2009-01
[34]
간행물
Hemoglobin Kansas, A Human Hemoglobin with a Neutral Amino Acid Substitution and an Abnormal Oxygen Equilibrium
1968-03
[35]
웹인용
rs33948057
https://www.ncbi.nlm[...]
National Center for Biotechnology Information
2014-02-07
[36]
논문
Advances in detection of hemoglobinopathies
2015-01
본 사이트는 AI가 위키백과와 뉴스 기사,정부 간행물,학술 논문등을 바탕으로 정보를 가공하여 제공하는 백과사전형 서비스입니다.
모든 문서는 AI에 의해 자동 생성되며, CC BY-SA 4.0 라이선스에 따라 이용할 수 있습니다.
하지만, 위키백과나 뉴스 기사 자체에 오류, 부정확한 정보, 또는 가짜 뉴스가 포함될 수 있으며, AI는 이러한 내용을 완벽하게 걸러내지 못할 수 있습니다.
따라서 제공되는 정보에 일부 오류나 편향이 있을 수 있으므로, 중요한 정보는 반드시 다른 출처를 통해 교차 검증하시기 바랍니다.
문의하기 : help@durumis.com