맨위로가기

근관 치료

"오늘의AI위키"는 AI 기술로 일관성 있고 체계적인 최신 지식을 제공하는 혁신 플랫폼입니다.
"오늘의AI위키"의 AI를 통해 더욱 풍부하고 폭넓은 지식 경험을 누리세요.

1. 개요

근관 치료는 치아 내부의 치수(치아 신경 및 혈관)에 발생한 문제로 인해 손상되거나 감염된 치아를 치료하는 치과 시술이다. 치아의 검사 및 진단을 통해 치료 계획을 세우고, 감염된 치수를 제거하고 근관을 소독 및 충전하는 과정을 거친다. 근관 치료 중에는 치아 천공, 기구 파절 등 사고가 발생할 수 있으며, 치료 후에는 치아 변색이나 재감염의 위험이 있다. 근관 치료는 치아를 보존하는 데 효과적이며, 실패 시 재치료나 외과적 치료, 발치 등의 추가적인 치료가 필요할 수 있다.

더 읽어볼만한 페이지

  • 치과보존학 - 충치
    충치는 스트렙토코쿠스 뮤탄스, 락토바실러스 등의 원인균과 식이 습관, 구강 위생 등의 복합적인 요인으로 치아 법랑질이 손상되는 질환으로, 올바른 칫솔질과 식습관 조절, 정기적인 치과 검진을 통해 예방 및 치료가 가능하다.
  • 치과보존학 - 치과용 시멘트
    치과용 시멘트는 수복물이나 보철물 접착, 치수 보호 등에 사용되는 재료로, 인산아연, 폴리카르복실산, 글래스 아이오노머, 산화아연유지놀, 레진 시멘트 등 다양한 종류가 있으며 임상적 목적, 강도, 생체 적합성, 심미성을 고려하여 선택된다.
  • 표시 이름과 문서 제목이 같은 위키공용분류 - 라우토카
    라우토카는 피지 비치레부섬 서부에 위치한 피지에서 두 번째로 큰 도시이자 서부 지방의 행정 중심지로, 사탕수수 산업이 발달하여 "설탕 도시"로 알려져 있으며, 인도에서 온 계약 노동자들의 거주와 미 해군 기지 건설의 역사를 가지고 있고, 피지 산업 생산의 상당 부분을 담당하는 주요 기관들이 위치해 있다.
  • 표시 이름과 문서 제목이 같은 위키공용분류 - 코코넛
    코코넛은 코코넛 야자나무의 열매로 식용 및 유지로 사용되며, 조리되지 않은 과육은 100g당 354kcal의 열량을 내는 다양한 영양 성분으로 구성되어 있고, 코코넛 파우더의 식이섬유는 대부분 불용성 식이섬유인 셀룰로오스이며, 태국 일부 지역에서는 코코넛 수확에 훈련된 원숭이를 이용하는 동물 학대 문제가 있다.
  • 한국어 위키백과의 링크가 위키데이터와 같은 위키공용분류 - 라우토카
    라우토카는 피지 비치레부섬 서부에 위치한 피지에서 두 번째로 큰 도시이자 서부 지방의 행정 중심지로, 사탕수수 산업이 발달하여 "설탕 도시"로 알려져 있으며, 인도에서 온 계약 노동자들의 거주와 미 해군 기지 건설의 역사를 가지고 있고, 피지 산업 생산의 상당 부분을 담당하는 주요 기관들이 위치해 있다.
  • 한국어 위키백과의 링크가 위키데이터와 같은 위키공용분류 - 코코넛
    코코넛은 코코넛 야자나무의 열매로 식용 및 유지로 사용되며, 조리되지 않은 과육은 100g당 354kcal의 열량을 내는 다양한 영양 성분으로 구성되어 있고, 코코넛 파우더의 식이섬유는 대부분 불용성 식이섬유인 셀룰로오스이며, 태국 일부 지역에서는 코코넛 수확에 훈련된 원숭이를 이용하는 동물 학대 문제가 있다.
근관 치료
기본 정보
根管治療における感染した歯髄の除去
根管治療における感染した歯髄の除去
분야치내요법학
추가 정보
설명감염된 치수를 제거하고 치아 내부를 소독하고 강화하는 시술이다.

2. 검사 및 진단

근관 치료를 시행하기 전에는 치수와 주변 치근단 조직에 대한 정확한 진단이 필요하다. 이를 통해 근관 치료 전문의는 치아와 주변 조직을 보존하고 수명을 연장할 수 있는 가장 적절한 치료 옵션을 선택할 수 있다. 비가역성 치수염의 치료 옵션에는 치아 발치 또는 치수 제거가 있다. 부분 치수 절단술(치수 절제술)은 개방된 치근단공을 가진 치아에서 치수를 보존하기 위한 최선의 치료법이다.[8]

감염/염증이 있는 치수 조직을 제거하면 근관 치료 전문의가 치아의 수명과 기능을 보존할 수 있다. 선택된 치료 옵션은 치아의 예상 예후와 환자의 희망 사항을 고려하여 결정된다. 완전한 병력과 구강 내외 임상 검사, 진단 검사 사용이 필요하다.[68]

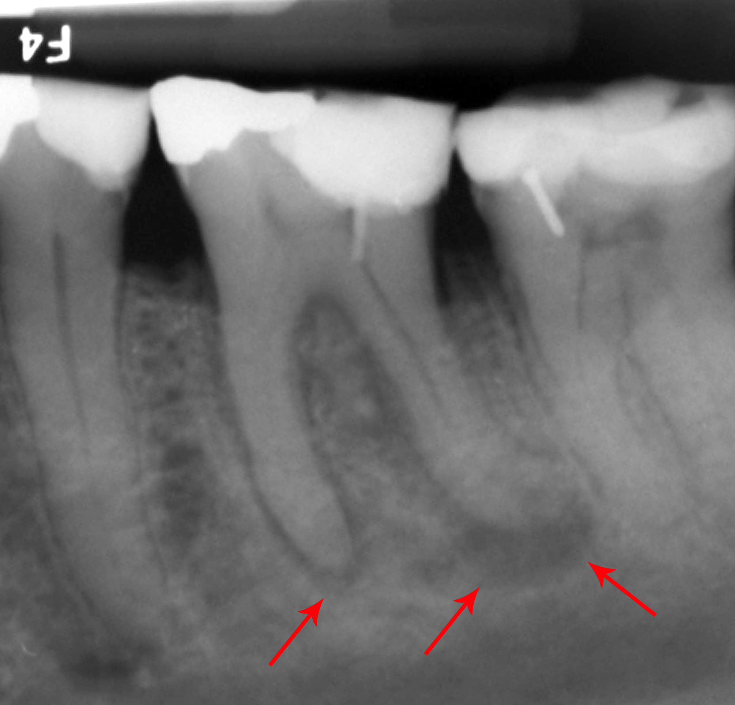
치근단부 종양이 확인되는 X선 사진




만약 치아가 충치, 균열 등으로 인해 미래 감염이 매우 가능하거나 불가피하다고 판단되는 경우, 그러한 감염을 예방하기 위해 치수 절제술(치수 조직 제거)을 권장한다. 일반적으로 치아 내부 및/또는 아래에 어느 정도의 염증 및/또는 감염이 이미 존재한다. 감염을 치료하고 치아를 살리기 위해 치과 의사는 치수강에 구멍을 뚫고 감염된 치수를 제거한다. 이후 치수강과 치근관에서 세균을 제거하기 위해 효과적인 방부제와 소독제를 사용한다.[10] 연조직은 엔진 구동 회전 파일로 치근관에서 드릴로 제거하거나, H 파일 및 K 파일로 알려진 바늘 모양의 긴 수동 기구를 사용하여 제거한다.

2. 1. 검사 방법

다음은 환자의 치아 상태를 검사하는 방법이다.[126]

  • 냉검사: 냉검사는 온검사보다 더 정확하다. 얼음, 염화에틸결정, 이산화탄소 스프레이 또는 얼음물을 사용한다.
  • 얼음막대: 마취용 주사바늘의 플라스틱 용기에 물을 채워 얼려서 만든다. 쉽게 구할 수 있고 사용이 용이하다.
  • 염화에틸 또는 이산화탄소 스프레이: 면봉이나 작은 솜에 뿌린 후 치아에 적용한다. 연조직에 영향을 주지 않고 일정한 온도로 사용할 수 있다.
  • 온검사: 임시스타핑 또는 가열 기구를 알코올램프의 불꽃에 달구어 치아의 순면이나 교합면에 접착하는 방법이다. 건강한 치아에 먼저 적용하여 환자가 정상적인 반응을 미리 느끼도록 한 후 검사한다.
  • 러버댐을 이용한 치수 온열 검사: 러버댐은 뺨과 혀를 견인하여 온검사 시 뺨과 혀의 우발적인 화상을 방지한다.
  • 전기 치수 검사: 전류를 치아에 흘려보내 치수의 감각섬유를 자극한다. 치수생활력을 평가하는 검사법으로, 온도검사법으로 치수생활력을 확인하기 어려울 때 사용한다. 환자의 전신상태와 개인의 반응 역치에 따라 결과가 달라질 수 있고 치수질환을 감별할 수 있을 정도로 세밀하지 않다는 단점이 있다.
  • 마취 검사: 적은 양의 마취액을 손상 의심 치아의 치근단 부위에 주입한다. 약 1~2분 후 통증이 완화된다.
  • 와동 형성 검사: 마취하지 않은 상태에서 법랑상아경계 또는 그 아래의 상아질을 직접 버(dental bur)로 삭제한다.
  • 방사선 사진 검사: 진단, 치료 술식과 예후 평가 등 근관치료 전 과정에서 술자에게 '제2의 눈' 역할을 한다.
  • 저작 검사: 치아 균열, 치아 파절 등의 상태를 확인한다.
  • 투조 검사: 치아 균열이나 파절이 의심될 경우, 외상을 받은 전치의 치수 출혈이나 괴사 상태, 인접면 우식증 등을 확인한다. 강한 빛을 피검치아의 설면에 비추어 색조 변화를 관찰한다.


근관치료 전 시행하는 많은 검사는 모든 치과치료의 공통적인 항목으로, 환자에 대한 정보는 이전의 의과적 혹은 치과적 병력, 환자의 불편함 청취, 직접 눈으로 관찰, X선 사진 촬영을 통해 얻을 수 있다.[127] 이 때 고려해야 할 환자의 병력에는 중추신경계, 호흡계, 심혈관계, 혈액질환, 위장관계, 비뇨생식기계, 내분비계, 면역성질환, 대사성질환, 약물중독(약물/얄콜)등이 있다. 필요에 따라 온도검사, 전기치수검사, 촉진, 타진 등의 검사도 시행한다. 치주조직 검사, 투조진단, 세균학적 검사를 시행하는 경우도 있으며, 파노라마 X선 사진, 바이트윙(bite wing)법, 반대측과 대합 치아의 X선 사진을 촬영해야 할 수 있다. 정확한 치수와 치주조직의 진단을 용이하게 하고 각 진단에서 얻어진 정보를 비교하기 위해선 환자가 정기적으로 병원을 내원해 경과를 관찰 받도록 권장한다.[127]

근관 치료 엑스레이 사진


치수 및 주변 조직의 진단에 도움이 되는 몇 가지 검사가 있다.[9]

  • 촉진: 과도한 조직에서 치근 끝을 촉진하여 부기나 압통이 있는지 확인한다.
  • 치아 동요도: 치아의 정상 범위를 초과하는 움직임이 있는지 평가한다.
  • 타진 (TTP, 타진 시 압통): 치아를 두드려 압통이 있는지 확인한다.
  • 투과 조명: 치아를 통해 빛을 비추어 눈에 띄는 골절이 있는지 확인한다.
  • 치아 슬루스: 환자에게 플라스틱 기구를 물도록 요청한다. 환자가 씹을 때 통증을 호소하는 경우 치아를 국소화하는 데 사용한다.
  • 방사선 사진
  • 치수 검사

3. 치료

근관 치료 대신 발치를 하고, 임플란트, 고정식 부분 의치 (브릿지), 가철성 의치 등으로 보철 치료를 할 수 있다.[115] 치료를 하지 않으면 통증, 감염, 치아 손상 등의 위험이 있다.[115] 치아 구조가 심하게 손실된 경우에는 발치가 유일한 치료법일 수 있다.

근관 치료와 임플란트는 치주 인대 섬유 파괴 여부, 고유 수용 감각 유지 등의 차이가 있다. 초기 비수술적 근관 치료와 단일 치아 임플란트는 비슷한 성공률을 보였다.[117] 통증은 두 시술 모두 유사하지만, 임플란트는 발치 시, 근관 치료는 마취 주사 시 가장 심한 통증을 보고했다. 임플란트 후 둔통, 근관 치료 후 과민 반응을 호소하는 경우도 있다.[118] 근관 치료 환자는 치료 다음 날, 발치 및 임플란트 환자는 수술 후 주말에 최대 통증을 보고했다.[119]

임플란트는 보통 3-6개월이 걸리지만, 감염 정도에 따라 다르다. 여성은 근관 치료 후 심리적 장애, 임플란트 후 신체적 장애를 더 많이 보고했지만, 남성은 유의미한 차이가 없었다.[118] 근관 치료 치아는 임플란트보다 씹는 힘이 강하다.[120] 초기 성공률은 비슷하지만, 2-4년 후 근관 현미경 수술 성공률은 감소한다.[119]

성공 기준은 시술 차이로 비교가 어렵다. 근관 치료 성공은 X선 사진 상 치근단 궤양 유무, 치근 빈 공간 유무로 정의된다. 임플란트 성공은 골유착으로 정의된다.[119] 근관 치료는 최종 수복 후 추가 치료가 적지만, 임플란트는 유지 관리가 더 필요하다.[121] 백인, 부유층은 임플란트, 아프리카계 미국인, 저소득층은 근관 치료를 선호하는 경향이 있다.[122]

3. 1. 치료 계획

치료를 계획하기 위해서는 해당 치아의 구강 내 중요성과 예후 및 근관에 대한 세심한 관찰이 필요하다. 고려해야 할 요소에는 심한 만곡근관, 치주염, 교합, 치아파절, 석회화변성, 폐쇄근관, 수복처치의 가능성, 복잡한 근관형태를 가지고 있는 치아 등이 있다.

치수 치료를 실시하기 전에 치수 및 주변의 치근 첨단 조직에 대한 정확한 진단이 필요하다. 이 진단을 통해 치수 치료 전문의는 가장 적절한 치료를 선택할 수 있으며, 치아 및 주변 조직을 보존하고 장기간 유지할 수 있게 된다. 불가역적인 염증을 일으킨 치수의 치료는 발치 또는 발수 처치(근관 치료의 방법) 중 하나를 선택한다.

감염이나 염증을 일으킨 치수 조직을 제거함으로써, 치수 치료 전문의는 치아의 수명 및 기능을 유지, 촉진할 수 있게 된다. 기대할 수 있는 치아의 예후 및 환자의 희망을 고려하여 치료법을 선택한다. 임상 검사(구강 내부 및 외부 모두)와 진단 검사를 수행하여, 환자의 증상 및 병력을 포함한 완전한 이력을 파악해야 한다.[68]

치수 및 주변 조직의 진단에 유용한 진단 검사는 다음과 같다.

  • 촉진: 부기나 압통 유무를 확인하기 위해, 덮여 있는 조직에서 치근의 첨단이 느껴지는 곳에 대해 수행한다.
  • 가동성: 치조 내에서 정상적인 움직임을 초과하는 치아가 있는지 여부를 평가한다.
  • 타진: 부드럽게 타진하여, 두드린 치아의 압통이나 유연성을 확인한다.
  • 투광: 유의해야 할 파단의 유무를 확인하기 위해 치아를 통해 빛을 비춘다.
  • 치아 손상 진단: 환자가 플라스틱 기구를 물도록 요청받는 검사. 환자가 씹을 때 통증을 호소하는 경우 유용하며, 해당 치아를 특정하기 위해 사용된다.
  • 엑스레이 사진



치아가 충치, 균열 등으로 심하게 손상되어 있고, 장래의 감염이 일어날 것 같거나 피할 수 없다고 생각되는 경우, 이러한 감염을 방지하기 위한 치수 절제술(치수 조직의 제거)이 권장된다. 통상적으로, 어느 정도의 염증 또는 감염이 치아의 내부 또는 하부에 이미 존재한다. 감염을 치료하고 치아를 보존하기 위해, 치과의는 치수강에 구멍을 뚫어 감염된 치수를 제거한 다음, 파일(또는 리머)이라고 알려진 긴 바늘 모양의 기구로 근관에서 신경을 적출한다.

3. 2. 치료 과정

근관치료의 전체적인 술식과정


치수가 완전히 괴사한 경우에는 환자가 통증을 느끼지 못하므로 마취 과정을 생략할 수도 있다. 마취를 할 경우에는 공포심을 느끼는 환자를 위해 주사 전 마취 크림으로 표면 마취를 미리 해주는 것이 좋다. 또한 마취액을 주사할 때는 체온과 유사한 온도의 마취액을 가급적 천천히 일정한 속도로 주입하면 환자의 통증을 줄여줄 수 있다. 타액의 방습에는 솜말이(cotton roll)나 러버댐(Rubber dam)을 사용한다.

러버댐(rubber dam) 장착 가능 여부를 확인한다. 또한 교합면을 삭제해 근관 치료 과정 중 씹는 교합압 또는 저작압에 의해 발생할 수 있는 교합 외상을 피하고, 치아의 파절을 방지한다. 자연 치질의 벽이 부적절할 경우엔 인위적으로 벽을 형성해주고, 근관장 측정 시엔 일정한 기준점을 유지한다.

방사선 사진에서 치수강의 위치와 형태를 확인한 후 고속 핸드피스(high speed handpiece)에 라운드 버(round bur)나 #245, #330 버(bur) 등을 이용해 와동을 형성(cavity preparation)하고 치수강 내에 치수가 존재하는 경우 라운드 버(round bur)나 엔더단틱 스푼 엑스케베이터(endodontic spoon excavator)로 제거한다. 이때 치수실저(chamber floor)와 벽을 삭제하지 않도록 주의한다. 스무스 브로치(Smooth broach)나 근관 탐침을 이용해 근관의 입구를 찾고, 필요에 따라 추가적인 치과용 국소마취로 동통을 조절한다.

와동 형성의 목적[131]은 다음과 같다.

  • 기구나 재료가 근첨까지 직선으로 도달하도록 직선 통로를 얻는다.
  • 치질을 최대한으로 보존한다. (필요 이상으로 많은 법랑질과 상아질을 삭제하면 치아가 약해지거나 파절될 수 있다.)
  • 치수실을 개방하고 치관부의 전 치수를 제거한다.


모든 치수(감염, 괴사되거나 건강한 치수)를 제거하는 것을 발수라고 한다.[132] 기구를 이용하여 치수강으로부터 치수를 완전히 제거하고, 근관이 넓고 치수가 생활력이 있으면 가시 브로치(barbed broach)를 사용하고 근관이 좁거나 치수가 괴사되어 있는 경우에는 파일(file)을 사용해 치수를 제거한다.

파일(file)을 제거한 후에는 파일(file) 끝에 묻어나온 상아질 삭편을 거즈에 닦고 관찰을 해보아야 한다. 만약 색깔이 깨끗하지 못하고 검은 빛을 띠면 근관이 깨끗이 청소되지 못했다는 것을 의미한다.



9번이 교두(cusp), 15번이 근단공(apical foramen)이다.


근관장(working length)이란 근관 치료의 작업 길이를 뜻하며 근관 치료의 범위를 결정하는 기준이 된다. 근관장은 치아의 교두정(cusp tip)에서 근단공(apical foramen)의 가장 좁은 부위까지의 거리를 말하며, 근관장을 본래의 길이보다 짧게 측정시 나머지 부분의 세균을 제거하지 못하고, 길게 측정시 기구가 근관의 끝 이상을 넘어가 치주조직에 손상이 가해진다.[133]

근관장은 측정할 때마다 다르게 나올 수 있는데 그 이유는 술자의 과실이 있을 수 있지만 근관의 길이가 조금씩 변하기 때문이다. 근관장은 같은 길이로 고정되어 있는 것이 아니라 확대 방법이나 변형 정도에 따라 다르기 때문에 수시로 확인이 필요하다. 근관장의 측정에는 방사선 사진 이용법과 전자 근관장 측정기가 사용된다.

  • '''방사선 사진 이용법(X-ray method)'''


근관장 측정에 많이 사용되는 방법으로, 방사선 사진상에서 근관장은 해당 치아의 참조점(reference point)에서 치아 뿌리 끝보다 0.5~1mm 상방에 도달한 근단공의 가장 좁은 부위까지의 거리를 잰 값이 된다. 임상에서는 방사선 사진에서 측정한 치아의 길이에서 약 1mm를 뺀 길이를 작업장으로 산정하여 근관 치료를 시행한다.[134]

  • '''전자 근관장 측정기(electric apex locater)'''


근관 길이 측정에 가장 많이 사용되는 기기이다. 전자 근관장 측정기는 인체 조직이 전기적 특성을 지닌다는 점을 이용하며, 저항이나 임피던스 등의 전기적 특성의 차이를 측정함으로써, 정확한 근관의 말단을 탐지할 수 있다.[135] 출혈이나 배농이 많은 경우, 치경부에 우식증이 있는 경우, 수복물이 있는 경우, 근관이 건조하거나 반대로 액이 과도할 경우 등의 조건에서는 오작동 할 가능성이 있기 때문에 방사선 사진 이용법과 병행하여 근관장 측정의 정확도를 높일 수 있다.[136]

  • '''주파수 의존형 장치(frequency-dependent type)'''


전자 근관장 측정기의 단점을 보완하여 최근에 개발된 근관 길이를 측정하는 제품이다. 환자의 불쾌감을 최소한으로 감소시키기 위해 만들어졌으며 서로 다른 두 가지의 주파수를 활용한다는 특징이 있다. 두 개의 다른 주파수를 활용하게 되면 두 개의 다른 저항을 얻게 되는데 낮은 주파수는 높은 저항을, 높은 주파수는 낮은 저항을 얻게 된다. 이 두 개의 저항은 파일이 치근단으로 갈수록 모두 떨어지지만 치근단공에 이르러서는 일정한 비율값을 가지게 된다.

근관의 용적을 증가시켜 근관 내에서의 기구 사용 및 근관 세척을 용이하게 하고 충전물의 삽입이 용이하도록 형성한다. 근관의 끝은 좁고, 근관 입구 쪽으로 갈수록 넓어지는 깔때기 모양의 근관 형태로 만들어 주는 과정으로, 근관의 형성에 사용되는 기구에는 수동 기구(H형, K형 파일, reamer), 저속 회전 기구(지지버, 피조리머, 엔진 구동형 기구(Ni-Ti file) 등이 있다.

정확한 근관장을 측정한 후 사용 기구에 고무로 된 rubber stop을 부착해 기구가 근단공을 넘어가지 않도록 주의해야 한다.

다음은 근관 형성의 방법이다.

  • 재래식 방법: 예전에 많이 사용하던 근관 형성 방법으로 기구의 작은 번호부터 순차적으로 크기를 증가시켜 원추형 모양의 근관을 형성하는 방법.
  • 스텝백 방법: 보편적으로 사용하는 근관 확대 방법으로 치근단 부위를 가능한 작게 유지해 변형을 최소화하는 동시에 치경부로 갈수록 넓혀줌으로써 원래의 치근 형태를 유지하는 방법.
  • 크라운-다운 방법: 재래식 방법이나 스텝-백 방법과는 반대로 큰 파일(file)부터 작은 파일(file)을 사용하면서 점차 치근단 방향으로 확대하는 방법.
  • 근관 세척의 필요성: 기구를 이용한 근관 확대만으로는 불규칙한 근관의 내용물들을 모두 제거할 수 없기 때문에 근관 세척제를 함께 사용한다. 근관 내 상아질 벽의 불규칙한 면이나 조직 잔사 또는 삭제된 상아질편 등은 세균의 서식지가 된다. 치수 조직 및 상아질 잔사를 제거하고 근관 파일의 효율을 증가시키며 근관 내 세균의 수를 줄이기 위해 근관 세척을 시행한다.[137]

  • 도말층의 제거: 도말층이란 근관 형성이나 와동 형성 등의 치아가 삭제되는 모든 과정에서 그 표면의 두께 1~2ℳm 정도의 얇은 찌꺼기층을 형성 한 것이다. 유기질과 무기질이 함께 섞여 있으며 세균도 있다. 도말층의 유기질은 차아염소산나트륨(NaOCL)으로 용해하고, 도말층의 무기질은 EDTA로 탈회하여 제거한다. 주사바늘을 천천히 근관 내로 밀어 넣다가 저항감이 느껴지면 2~3mm 뒤로 뺀 상태에서 주사바늘을 상하로 움직이며 세척액을 천천히 압력을 주지 않으면서 주입시켜야 한다. 자주 사용하는 근관 세척액의 종류에는 멸균 생리식염수, 차아염소산나트륨(NaOCL) 용액, EDTA 용액이 있다.

  • 근관 세척제가 갖추어야 할 이상적인 요건
  • 항균 효과가 있어야 한다.
  • 괴사 및 생활 치수 조직에 대한 작용이 있어야 한다.
  • 윤활 작용이 있어야 한다.
  • 치근단 조직에 유해하지 않아야 한다.

  • '''멸균 생리식염수(Saline)''': 우리 몸의 체액을 0.9% NaCI 용액으로 생각하여 이와 동일하게 농도를 조정하여 제조한 액체이다. 하지만 단순히 씻어내는 역할만 하므로 근관 세척제의 중요한 기능은 하지 못한다.[138]

  • '''5.25% 차아염소산나트륨 용액(NaOCL)''': 용해 작용, 윤활 작용, 표백 작용, 살균 효과 등 근관 세척제가 갖춰야 할 이상적인 조건을 많이 가지고 있어 가장 좋다.

  • '''EDTA''': 상아질 조직을 느슨하게 만들어 제거하기 용이하게 만들어 석회화된 근관 형성 시 효과적이다. 즉 무기 조직을 녹이는 것이다. 근관 윤활제의 용도로도 사용된다.
  • '''클로르헥시딘(CHX)''': 단독으로 사용했을 경우 도말층을 제거하지 못하고, 차아염소산나트륨(NaOCl)이 가지고 있는 조직 용해성도 없다. 치근단 조직에 친화성이 있으며 살균 작용만 가진다. 추가적인 살균 효과를 기대하는 경우에 제한적으로 사용한다. 하지만 차아염소산나트륨(NaOCl)과 함께 사용하였을 때 착색을 야기하는 것으로 보고되었다.[139]


근관을 세척한 후 알맞은 사이즈의 페이퍼 포인트(paper point)를 근관 내로 삽입하여 근관을 건조시킨다. 건조를 하는 이유는 근관 내 근관 소독제를 사용할 경우 농도가 희석될 수 있고 근관 내 미생물의 서식처로 작용할 수 있기 때문이다. 건조시킬 땐 근관 내로 공기(air)를 불면 안 된다. 뿌리 끝에 기종이 생길 위험이 있기 때문이다.

근관 소독은 근관 내에 치과용 약제를 넣어 근관 내에 남아 있는 세균을 사멸시키기 위한 것이다. 대부분의 경우, 임상에서는 살균 효과와 시술 후 동통의 예방 또는 억제, 근관 내 삼출물의 억제 등의 목적으로 사용하고 있다. 가장 많이 사용되는 근관 소독제는 치과계의 아스피린이라고도 불리는 수산화칼슘(calcium hydroxide)이다. 그러나 이러한 근관 소독제는 독성을 가지기 때문에 소독제가 치근단 조직에 직접 닿는 것을 피해야 한다.

근관 이중가봉법의 구조


근관 내에 소독제를 넣은 후에는 이중가봉법(double cilling)을 시행한다. 이중가봉법에서 가봉이란 근관 소독제를 적용한 후에 다음 내원까지 타액이나 음식물 등이 근관 내부로 유입되지 않도록 근관 와동을 임시로 밀폐하는 것이다. 수산화칼슘 분말과 멸균된 증류수를 혼합하고 K-file에 이를 묻혀 근관 내로 넣어준다. 그 다음 치수강을 임시 충전하여 약제의 상방에 소독된 솜을 넣어주고 gutta percha stopping과 ZOE cement 등의 재료를 이용하여 근관을 이중 가봉한다.

'''근관 소독제의 종류'''

  • 수산화칼슘(calcium hydroxide): 치과계의 아스피린으로 불리는 약제로, 높은 pH와 강한 살균 효과를 가진다.
  • 유지놀(eugenol): 유치에 많이 사용된다.
  • CMCP, CP
  • FC: 독성이 너무 강해 자주 사용하지 않는다.
  • 글루타르알데하이드(glutaraldehyde)
  • 항생제와 스테로이드가 혼합된 약제


근관 소독제는 살균 효과가 우수하고 조직에 해가 적거나 없는 약을 선택해야 한다.

3. 3. 근관치료 시 발생할 수 있는 사고와 처치

근관 치료 중에는 여러 가지 사고가 발생할 수 있으며, 이에 대한 적절한 처치가 필요하다.

  • 치아의 천공: 치아에 구멍이 생기는 것으로, 치수강(치아 내부 공간), 치경부(치아와 잇몸 경계), 치근부(치아 뿌리) 등 다양한 위치에서 발생할 수 있다. 아말감, 레진, SuperEBA, IRM, MTA(Mineral Trioxide Aggregate) 등의 재료를 사용하여 천공 부위를 메운다.
  • 근관 내 기구 파절: 근관 치료에 사용되는 기구가 부러져 근관 내에 남는 경우가 있다. 이 경우 부러진 기구를 제거하는 것이 원칙이지만, 제거가 불가능하면 부러진 기구를 우회하여 치료하거나, 해당 부위까지만 치료한다. 경우에 따라 외과적 수술을 통해 기구를 제거하고 역충전(근관 반대 방향에서 충전)을 시행하기도 한다.
  • 충전물에 의한 근관 막힘: 가타퍼차(근관 충전 재료), 실버 콘(과거에 사용되던 근관 충전 재료), 포스트(치아 보강 기둥) 등 기존 충전물이 근관을 막아 치료를 방해하는 경우가 있다. 이 경우 막힘의 원인이 되는 충전물을 제거해야 한다.
  • 선반 형성: 근관 벽에 계단 형태의 턱이 생기는 현상으로, 근관 기구 조작 시 발생할 수 있다. 선반을 우회하여 치료하는 것이 원칙이지만, 우회가 불가능하면 해당 부위까지만 치료한다. 필요에 따라 외과적 근관 치료를 시행할 수도 있다.
  • 과충전, 저충전: 근관 충전 재료가 너무 많이 들어가거나(과충전) 부족하게 들어간(저충전) 경우이다. 과충전 또는 저충전된 근관 충전물을 모두 제거하고 다시 근관 충전을 시행해야 한다.[147]


근관 치료 시에는 근관 내부를 깨끗하게 씻어내는 세척 과정이 필수적이다. 일반적으로 사용되는 세척액은 다음과 같다.

근관 세척액 종류
세척액설명
차아염소산 나트륨(NaClO)0.5% ~ 5.25% 농도로 사용[19][20][21]
6% 차아염소산 나트륨표면 개질제를 첨가하여 구석구석까지 잘 흐르도록 개선
2% 클로르헥시딘 글루코네이트
0.2% 클로르헥시딘 글루코네이트 + 0.2% 세트리모늄 클로라이드
17% 에틸렌다이아민테트라아세트산(EDTA)
프라미세틴 황산염
시트르산, 독시사이클린, 폴리솔베이트 80(계면활성제) 혼합물 (MTAD)
생리 식염수
거의 무수 에탄올



화학적 세척의 주요 목적은 세균을 죽이고 치수 조직(치아 내부의 연조직)을 녹이는 것이다.[22] 차아염소산나트륨과 클로르헥시딘과 같은 특정 세척액은 시험관 내에서 효과적인 항균제로 입증되었으며,[22] 전 세계적으로 근관 치료에 널리 사용된다. 그러나 어떤 세척액이 다른 세척액보다 더 효과적인지에 대한 명확한 증거는 부족하다.[23]

근관 세척 시스템은 크게 수동 교반 기술과 기계 보조 교반 기술로 나뉜다. 수동 세척은 일반적으로 주사기와 측면 통풍 바늘을 이용하는 양압 세척 방식이다. 기계 보조 세척 기술에는 음파 및 초음파를 이용하는 방식과 정단 음압 세척을 제공하는 새로운 시스템들이 있다.[24]

근관 치료 시 기구가 부러지는 사고는 치료받는 치아의 좁은 정도, 만곡, 길이, 석회화, 근관의 수에 따라 발생 빈도가 달라진다. 분리된 파일로 인한 막힘으로 인해 불완전하게 세척된 근관으로 인한 합병증은 외과적 근관 치료로 해결할 수 있다.[41] 근관 파일 파절의 위험을 최소화하기 위해서는 다음과 같은 방법들이 있다.[42]


  • 접근 와동(치아에 뚫는 구멍)을 통해 파일을 근관에 직선으로 삽입
  • 더 큰 테이퍼(끝으로 갈수록 가늘어지는 정도)의 NiTi(니켈-티타늄 합금) 파일을 사용하기 전에 글라이드 경로(파일이 들어갈 길)를 형성
  • 제조업체가 권장하는 속도와 토크(회전력) 설정으로 회전 기기를 사용
  • 파일의 과도한 사용을 방지하기 위해 1회용 파일 정책을 채택
  • 파일을 근관 내에 삽입하기 전에 매번 파일을 철저히 검사
  • 충분한 양의 관개 용액(세척액)을 사용
  • 심하게 만곡되거나 굴곡된 근관에서 회전 파일 사용을 피함


근관 치료 중 차아염소산나트륨이 치아 밖으로 유출되는 사고가 발생하면 즉각적인 심한 통증과 함께 부종(붓기), 혈종(피멍), 반상출혈(피부에 붉은 반점이 생기는 현상)이 나타날 수 있다.[43] 이는 세척액 주사 시 과도한 압력을 가하거나, 주사 바늘이 근관에 꽉 끼는 경우, 또는 치아 뿌리 끝 구멍이 유난히 큰 경우에 발생할 수 있다.[44] 대개 자연적으로 치유되며, 완전히 회복되기까지 2~5주가 소요될 수 있다.[44]

3. 4. 근관치료에 사용되는 기구

근관 치료에 사용되는 기구는 다음과 같이 분류할 수 있다.

  • '''탐사용 기구(Exploring instrument):''' 근관의 입구를 찾거나 근관 내부 상태를 확인하는 데 사용된다.
  • 평활브로치(smooth broach): 탐사용 기구로 분류되지만, 실제 임상에서는 거의 사용되지 않는다. 솜을 말아 페이퍼 포인트(paper point) 대신 사용하는 정도이다.
  • 근관탐침(endodontic explorer): 근관 입구를 찾고, 입구의 장애물을 부수는 데 사용된다.

  • '''적출용 기구(Extirpating instrument):''' 근관 내 치수를 제거하거나 다른 이물질을 제거하는 데 사용된다.
  • 가시 브로치(barbed broach): 발수, 소면구 등의 이물질을 제거하는 데 사용된다.
  • 스푼 엑스케베이터(spoon excavator): 주로 연화 상아질을 삭제하는 데 사용된다.

  • '''근관확대용 기구(Enlarging instrument or shaping instrument):''' 근관을 확대하는 데 사용된다.
  • 수동형 파일(file): K-file, H-file, 리머(reamer)가 있다.
  • K-file: 근관 확대에 가장 효과적인 기구로, H-file에 비해 파절 위험이 적고 치수 제거 및 근관장 길이 측정에 많이 사용된다.
  • H-file: 나사못과 유사하게 만들어졌으며, 근관 확대용으로 많이 사용된다. 삭제력이 매우 좋으나 파절되기 쉽다. 뒤로 당기는 동작으로 상아질을 삭제한다.
  • 리머: 근관벽을 확대, 평활하게 만들고 잔여물을 제거하는 데 사용된다. 횡단면은 삼각형 모양으로 날카로운 날과 높은 탄력성을 가져 파일(file)보다 삭제 효과가 우수하다. 상아질 잔사 제거에 효과적이다.
  • 저속 회전기구: 저속 핸드피스에 장착해 사용하는 기구이다. 지지버, 피조리머 등이 있다.
  • 엔진 구동형 기구: 회전식 전동기구 니켈 티타늄 파일(Nickel Titanium File, Ni-Ti file)은 토크가 크고 저속인 전기식 모터 핸드피스에 장착해 사용한다. 니켈-티타늄으로 제작된 전동 파일이다. 파일 경사도에 따라 0.02(2%), 0.04(4%), 0.06(6%) 등으로 크기가 구분되며, 삭제력이 없는 safe end를 가진다. 이 외에도 엔진 구동형 기구에는 Gate glidden dril, peeso reamer, Root ZX 등이 있다.
  • 음파 및 초음파기구(sonic and ultrasonic instrument): 초기에는 근관 확대에 사용되었으나, 최근에는 근관 세척 효과를 높이는 용도로도 사용된다.[148]

  • '''근관폐쇄용기구(Obturating instrument):''' 근관을 충전하거나 근관 충전용 실러(sealer)를 사용할 때 필요하다.
  • 근관 스프레더(root canal spreader): 끝이 뾰족하며 측방가압법에 사용된다.
  • 근관 플러거(root canal plugger): 끝이 뭉툭하며 수직가압법에 사용된다.


이 외에도 heat carrier, lentulo spiral 등이 근관 폐쇄에 사용된다.

4. 관련 치료

근관 치료와 관련된 치료는 다음과 같다.


  • 치아재식술(Tooth replantation): 외상으로 치아가 빠진 경우, 빠른 시간 안에 치아를 원래 자리에 넣어 기능을 회복시키는 시술이다. 빠진 치아는 20~30분 안에 시술해야 결과가 좋으므로, 최대한 빨리 치과에 가야 한다. 이때 치아는 수돗물이 아닌 생리식염수, 우유, 또는 자신의 입안에 보관한다.
  • 의도적 치아재식술(Intentional replantation of the tooth): 치아재식술의 한 종류로, 수술 부위에 접근하기 어려운 경우 해당 치아를 일부러 뽑아(발치) 입 밖에서 치근단 수술을 한 뒤 다시 치아를 심는(발치와에 위치) 시술이다.
  • 치아이식술(Tooth transplantation): 치아를 뽑아(발거) 다른 치조와에 옮기는 방법으로, 주로 사랑니(제3대구치)를 이용한다.

4. 1. 외과적 근관치료


  • '''절개배농 & 천공처치'''(incision and Drainage, I&D): 절개배농은 고름(삼출액) 배출을 위해 연조직에 외과적으로 구멍을 만드는 것이다. 붓는 부위에 마취를 하고 칼을 이용해 조직을 절개한다. 필요하면 거즈 등을 배농관에 삽입해 절개 부위가 막히지 않도록 한다.[90] 천공처치는 축적된 조직 삼출액 배출을 위해 뼈(치조골)에 외과적으로 구멍을 내는 것이다.
  • '''치근단 주위 조직의 소파'''(Periapical curettage): 치근 끝(근첨) 주변의 염증 조직을 긁어내는(소파) 시술이다. 치근은 자르지 않고 잇몸(점막골막판막)을 외과적으로 분리하고, 필요하면 뼈를 제거하여 병변 부위에 접근한다. 염증 조직 및 이물질을 모두 제거하여 증상 악화와 주변 조직 손상을 예방한다.
  • '''치근단 절제술'''(Apicoectomy): 가장 많이 시행하는 외과적 근관치료 방법으로, 치근 끝부분(첨부)의 치근낭이나 잘 낫지 않는(난치성) 염증이 있을 때 실시한다. 잇몸을 외과적으로 분리하고 필요하면 뼈를 제거한다.
  • '''편측절제술'''(Hemisection): 치아 뿌리(치근)와 머리(치관) 일부를 분리하여 제거하는 외과적 수술이다. 근관치료 후 보존이 불가능한 쪽의 치관과 치근을 모두 제거한다. 남은 치아는 치관 수복을 한다.
  • '''치근절제술'''(Root resection): 여러 개의 뿌리(다근치) 중 일부 치근이 보존 불가능하거나 치료가 어려운 경우, 해당 치근의 일부 또는 전부를 외과적으로 제거하는 수술이다.
  • '''치근분리술'''(Bicuspidization): 치관과 치근을 함께 절단 분리한 다음, 분리된 두 부분을 각각 다른 두 개의 치아로 보존하여 수복하는 방법이다. 아래턱 큰어금니(하악 대구치)를 절단 분리하여 두 개의 작은 어금니(소구치)처럼 수복하는 것이 그 예이다.
  • '''치근단 역충전''': 시술 부위를 건조시킨 뒤 치근 끝부분(근첨부위)을 소독하고 충전재료를 채워넣는 시술이다. 1급 와동이 형성된 치근단에 충전재료를 채워넣기 위한 목적이다.
  • '''치아재식술'''(Tooth replantation): 외상으로 치아가 빠진 경우, 단시간 내에 치아를 원래 자리에 넣어 기능을 회복시키는 시술이다. 빠진 치아는 20~30분 이내에 시술한 경우가 예후가 좋으므로, 빨리 치과에 가야 한다. 이때 치아는 수돗물이 아닌 생리식염수, 우유, 또는 자신의 입안에 보관한다.
  • '''의도적 치아재식술'''(Intentional replantation of the tooth): 치아재식술의 일종으로, 수술 부위 접근이 어려운 경우 해당 치아를 일부러 뽑아(발치) 입 밖에서 치근단 수술을 한 후 다시 치아를 심는(발치와에 위치) 시술이다.
  • '''치아이식술'''(Tooth transplantation): 치아를 뽑아(발거) 다른 치조와에 옮기는 방법으로, 주로 사랑니(제3대구치)를 이용한다.

4. 2. 비외과적 근관치료

비외과적 근관치료는 후속 영구치의 확실하지 않은 비가역성 치수염이나 치수괴사, 근첨병변의 유무에 관계없는 치수괴사, 그리고 치료로 인해 후속 영구치를 손상시키지 않는 경우에 유치의 치료에 바람직하다. 후속 영구치가 존재하면 근관을 세척, 형성하고 흡수성 재료로 충전한다. 후속 영구치가 없는 경우에는 생체에 유해하지 않은 비흡수성 근관충전재로 충전하며, 충분한 봉쇄를 위해 근관 충전재와 스케일러(scaler)를 이용한다.[149]

비가역성 치수염에 이환된 치아, 근첨병변 유무와 관계없는 치수 괴사, 근관치료 중 손상 위험이 있는 치아, 부가적인 처치 시 손상될 위험이 있는 치수를 가진 치아, 외상으로 인해 전위 또는 파절된 치아, 처치 가능한 흡수성 결손, 정상적 기능을 방해하는 지각과민성 치아(시린 치아) 등의 경우에도 비외과적 근관치료가 바람직하다.

미완성 치근이거나 외흡수가 진행 중이거나 우려되는 경우, 근첨형성술(apexification), 치근단유도술(apexogenesis) 및 재석회화 처치가 필요하다.

  • 근첨형성술(Apexification): 미성숙 치아의 근관 내 생활 치수가 남아있지 않은 경우, 약제로 근단부 형성을 유도하는 방법이다. 수산화칼슘으로 충전 후 3개월 간격으로 재내원하여 방사선 사진으로 apical barrier 형성을 확인하고 수산화칼슘(calcium hydroxide)을 교체한다. 환자의 나이, 초기 감염 정도에 따라 걸리는 시간이 다르며, 근첨 벽면(apical barrier) 형성이 확인되면 근관 충전이 가능하다.
  • 치근단유도술(Apexogenesis): 미성숙 영구치에서 치수의 일부라도 생활력을 유지하고 있는 경우, 치근의 생리적 발육을 돕는 방법이다. 치근첨의 생활력 유지로 계속적인 생리적 뿌리형성(root formation)이 진행되므로 주기적인 치료가 필요하다.
  • 재석회화(Recalcification) 처치: 외흡수의 치료나 예방을 위해 시행하며, 치근의 생리적 회복을 촉진하는 데 목적이 있다.


비외과적 재근관치료는 다음과 같은 경우에 시행한다.

  • 충분한 치유 기간 후에도 치근단 병소가 존재하는 경우
  • X선 사진상 근관 충전의 문제가 있고 치료 후에도 치근단 병소와 임상 증상이 지속되는 경우
  • 수복 또는 보철 처치가 예정되어 있으나 근관 치료 후 문제가 있는 경우
  • 근관 충전되어 있으나 장기간 타액(세균)에 오염된 경우


비외과적 재근관치료는 치아에서 근관충전재를 제거하고 가능한 러버댐(rubber dam)을 이용하여 무균 상태에서 근관을 세척, 형성, 소독하고, 생체 친화성이 있는 재료로 봉쇄하는 처치이다.

근관 치료 전에는 치수와 주변 치근단 조직에 대한 정확한 진단이 필수적이다. 이를 통해 근관 치료 전문의는 치아와 주변 조직을 보존하고 수명을 연장할 수 있는 최적의 치료 옵션을 선택할 수 있다. 비가역성 치수염의 치료 옵션에는 발치 또는 치수 제거가 있다. 부분 치수 절단술(치수 절제술)은 개방된 치근단공을 가진 치아에서 치수를 보존하기 위한 최선의 치료법이다.[8]

감염/염증이 있는 치수 조직을 제거하면 근관 치료 전문의가 치아의 수명과 기능을 보존할 수 있다. 치료 옵션은 치아의 예상 예후와 환자의 희망 사항을 고려하여 결정된다. 완전한 병력, 구강 내외 임상 검사 및 진단 검사가 필요하다.[9]

치수 및 주변 조직 진단에 도움이 되는 검사는 다음과 같다.

  • 촉진: 과도한 조직에서 치근 끝을 촉진하여 부기나 압통 확인
  • 치아 동요도: 치아의 정상 범위를 초과하는 움직임 평가
  • 타진: (TTP, 타진 시 압통; 치아를 두드려 압통 확인)
  • 투과 조명: 치아를 통해 빛을 비추어 골절 확인
  • 치아 슬루스: 플라스틱 기구를 물게 하여 통증 부위 국소화
  • 방사선 사진
  • 치수 검사


치아가 충치, 균열 등으로 인해 미래 감염이 매우 가능하거나 불가피하다고 판단되면, 감염 예방을 위해 치수 절제술(치수 조직 제거)을 권장한다. 일반적으로 치아 내부 및/또는 아래에 어느 정도의 염증 및/또는 감염이 존재한다. 감염 치료 및 치아 보존을 위해 치과 의사는 치수강에 구멍을 뚫고 감염된 치수를 제거한다. 치수강과 치근관에서 세균을 제거하기 위해 효과적인 방부제와 소독제를 사용해야 한다.[10] 연조직은 엔진 구동 회전 파일이나 H 파일 및 K 파일로 알려진 바늘 모양의 긴 수동 기구로 치근관에서 제거한다.

근관 치료를 위한 기계적 근관 형성에는 여러 개선이 있었다. 1961년 Ingle이 개발한 최초 방식은 '표준화 기법'이었으나, 작업 길이 손실, 계단 형성, 지핑 또는 천공 가능성과 같은 단점이 있었다.[11][12] 이후 스텝 백(step-back), 원주 파일링, 증분법, 반곡 파일링, 스텝 다운, 더블 플레어, 크라운 다운-무압, 균형력, 근관 마스터, 정점 박스, 점진적 확대, 수정된 더블 플레어, 수동적 스텝백, 교대 회전 운동 및 정점 개통 기법 등 다양한 '기법'들이 개발되었다.[13]

'''스텝 백''' 기법은 텔레스코픽 또는 직렬 근관 형성이라고도 하며, 두 단계로 나뉜다. 첫 번째 단계에서는 작업 길이를 설정하고 사이즈 25 K-파일이 작업 길이에 도달하여 근관의 정점 부분을 섬세하게 형성한다. 두 번째 단계에서는 수동 또는 회전 기구를 사용하여 나머지 근관을 준비한다.[14] 그러나 이 절차에는 부주의한 정점 이동 가능성과 같은 단점이 있다. 잘못된 기구 길이는 수정된 스텝 백으로 해결할 수 있으며, 방해하는 잔해는 수동적 스텝 백 기법으로 처리할 수 있다.[15] '''크라운 다운'''은 치과의사가 전체 근관의 개통성을 마스터 정점 파일로 탐색한 후 치관 부분부터 근관을 준비하는 절차이다.

스텝 백과 크라운 다운을 결합한 혼합 절차도 있다. 근관 개통성 확인 후, 치관 1/3을 수동 또는 게이츠 글리덴 드릴로 준비하고 작업 길이를 결정한 다음, 스텝 백 기법으로 정점 부분을 형성한다. 더블 플레어는 Fava가 도입한 절차로, 작은 파일을 사용하여 근관을 탐색하고 K-파일을 사용하여 크라운 다운 방식으로 근관을 준비한 다음 파일 크기를 늘려 1mm씩 증분하여 "스텝 백" 준비를 한다. "세 번 기법"이라고도 하는 초기 치관 확대를 사용하면 정점 위치 측정기로 작업 길이 평가 후 정점 근관을 준비하고 게이츠 글리덴 드릴로 점진적으로 확대한다(단, 치관 및 중간 1/3만 해당). 세 번째에는 치과의사가 "정점"에 "도착"하여 필요한 경우 25호 K-파일로 정점 개구를 준비한다. 마지막 단계는 두 번의 개선 단계를 거치는데, 첫 번째는 1mm 간격의 기구, 두 번째는 0.5mm 간격으로 진행된다. 90년대 초부터는 ProFile 시스템, Greater Taper 파일, ProTaper 파일 및 Light Speed, Quantec, K-3 로터리, Real World Endo 및 Hero 642와 같은 엔진 구동 기구도 도입되었다.

이러한 절차에는 빈번한 관개와 정점 개구에 도달하는 작은 파일인 마스터 정점 파일을 사용한 재캡슐화가 포함된다.[16] 고주파 초음파 기반 기술도 설명되었으며, 복잡한 해부학적 구조를 가진 경우나 이전 근관 치료 실패로 인해 잔류된 이물질 회수에 유용할 수 있다.[17]

근관 치료에는 두 가지 굴곡 방지 기법이 있다. 균형력 기법에서 치과의사는 파일을 근관에 삽입하고 시계 방향으로 1/4 바퀴 돌려 상아질을 결합시킨 다음, 시계 반대 방향으로 1/2 또는 3/4 바퀴 돌려 압력을 가하여 이전에 맞물렸던 조직을 잘라낸다. 균형력에서 파생된 기법으로는 역 균형력 기법(GT 기구를 먼저 시계 반대 방향으로 돌린 다음 시계 방향으로 돌리는 기법)과, 기구를 1/4 바퀴만 돌리고 결합 후 치관 방향으로 움직이지만 뽑아내지 않는 "밀어넣고 당기기" 기법이 있다.

근관 충전은 일반적으로 거타퍼차를 사용하는데, 이는 파르차 나무(''Palaquium gutta'')의 라텍스로부터 제조된 천연 고분자이다. 표준적인 근관 치료 기법은 거타퍼차 콘(일명 "포인트")을 세척된 근관에 밀봉 시멘트와 함께 삽입하는 것이다.[25] 녹이거나 열로 부드럽게 한 거타퍼차를 근관 통로에 주입하거나 압착하는 기법도 있다. 그러나 거타퍼차는 냉각되면서 수축하기 때문에 열적 기법은 신뢰할 수 없으며, 때로는 여러 기법을 조합하여 사용하기도 한다. 거타퍼차는 방사선 불투과성(X-ray 불투과성)을 띄기 때문에, 이후 근관 통로가 완전히 충전되었고 빈 공간이 없는지 확인할 수 있다.

때때로 치아 치근단 주변 농양의 산성도에 의한 마취제 비활성화로 인해 통증 조절이 어려울 수 있다. 농양을 배액하고 항생제를 처방한 다음, 염증이 완화되었을 때 시술을 다시 시도할 수 있다. 또한, 배액을 허용하고 압력을 완화하기 위해 치아를 개방할 수도 있다.

근관 치료된 치아는 크라운 또는 유사한 수복물의 시멘트 부착 전에 치아 파절을 예방하기 위한 조치로 교합에서 완화될 수 있다. 때때로 치과의사는 치아의 감염된 치수를 모두 제거하고 드레싱 및 임시 충전을 적용하여 치아에 대한 예비 치료를 수행한다. 이를 치수 절제술이라고 한다. 치과의사는 또한 치수 신경 조직의 90%를 포함하는 치아의 치관 부분을 제거하고 관 내 치수는 그대로 둘 수 있다. "치수 절단술"이라고 불리는 이 시술은 본질적으로 모든 통증을 제거하는 경향이 있다. 치수 절단술은 감염된 영구치에 대한 비교적 확실한 치료법이 될 수 있다. 치수 절제술과 치수 절단술은 근관 치료 시술을 완료하기 위한 후속 방문까지 통증을 제거하는 것을 목표로 한다. 통증의 추가 발생은 지속적인 감염의 존재 또는 생존 신경 조직의 잔존을 나타낼 수 있다.

일부 치과의사는 부위를 철저히 멸균하기 위해 수산화 칼슘 페이스트로 일시적으로 관을 충전하기로 결정할 수 있다. 이 강력한 염기는 주변 조직의 소독 및 염증 감소를 위해 1주일 이상 유지되며, 환자는 시술을 완료하기 위해 두 번째 또는 세 번째 방문을 해야 한다. 그러나 이 다회 방문 방식에는 이점이 없는 것으로 보이며, 단일 방문 시술이 실제로 다회 방문 시술보다 더 나은(통계적으로 유의하지는 않음) 환자 결과를 보여준다.[26]

근관 치료는 여러 가지 이유로 실패할 수 있다. 흔한 실패 이유 중 하나는 근관의 부적절한 화학적-기계적 변연 절제술이다. 이는 부적절한 근관 접근, 놓친 해부학적 구조 또는 근관의 부적절한 형성에 기인할 수 있으며, 특히 치근 근단 1/3 부위에서 더욱 그렇다. 또한 무작위 방향으로 치수에서 치주로 뻗어 있는 미세한 관인 부속 관에 접근하기 어렵기 때문이기도 하다. 이들은 주로 치근 근단 1/3 부위에서 발견된다.[32]

충전 재료가 구강 환경에 노출되면 거타퍼차가 구강 내 세균에 오염될 수 있다. 복잡하고 비용이 많이 드는 수복 치료를 고려하는 경우, 실패 위험을 최소화하기 위해 재치료 절차를 통해 오염된 거타퍼차를 교체하는 것이 이상적이다.

실패한 근관에서 발견되는 세균의 유형은 정상적인 감염된 치아와 다를 수 있다. 장구균 및/또는 기타 통성 장내 세균 또는 슈도모나스 속이 이러한 상황에서 발견된다.

근관 재치료는 기술적으로 까다롭다. 치과의사가 세심한 주의를 기울여야 하므로 시간이 오래 걸리는 절차일 수 있다. 재치료 사례는 일반적으로 전문 치과 보존과 전문의에게 의뢰된다. 수술 현미경 또는 기타 확대 장치의 사용은 결과를 개선할 수 있다.

현재, 치근단 병변에 대한 외과적 재치료 또는 비외과적 재치료를 선호하는 강력한 증거는 없다. 그러나 연구에 따르면 환자는 비외과적 재치료에 비해 외과적 재치료 후에 더 많은 통증과 부기를 경험한다. 외과적 기술을 비교할 때, 초음파 장치의 사용은 재치료 후 치유를 개선할 수 있다. 나노모터 임플란트의 적용은 상아질의 철저한 소독을 달성하기 위해 제안되었다.[33] 근관 재치료 후 항생제 사용이 수술 후 감염을 예방한다는 증거는 없다.[34][35]

5. 시술 시 고려사항

2000년 이후 근관 치료 기술과 과학 분야에는 큰 혁신이 있었다. 치과의사는 근관 시술을 최적으로 수행하기 위해 현재의 개념에 대한 교육을 받아야 한다. 근관 치료는 기계 구동 회전 기술과 더 발전된 근관 충전 방법 덕분에 더욱 자동화되고 신속하게 수행할 수 있게 되었다. 한 번의 치과 방문으로 여러 근관 시술이 이루어지는데, 이는 약 1~2시간이 소요될 수 있다. 더 효율적이고 과학적인 근관 치수 측정을 가능하게 하는 신기술(예: 콘빔 CT 스캔)이 이용 가능하지만, 치수 치료에서 CT 스캔의 사용은 정당화되어야 한다[96]. 많은 치과의사가 근관 치료를 수행하기 위해 치과용 루페를 사용하며, 루페 또는 기타 확대경(예: 수술용 현미경)을 사용하여 수행되는 시술은 그렇지 않은 시술보다 성공할 가능성이 높다. 일반 치과의사도 이러한 첨단 기술에 정통해지고 있지만, 근관 전문의(치수 치료 전문의)가 사용할 가능성이 높다.

레이저 근관 수술은 논란이 되고 있는 기술 혁신이다. 레이저는 빠를 수 있지만, 치아 전체를 완전 소독한다고 입증된 적이 없으며[97], 손상을 일으킬 수 있다[98].

근관 치료 시 고려해야 할 내과적 질환은 다음과 같다.

5. 1. 외과적 고려사항

근관소독은 근관 내에 치과용 약제를 넣어 근관 내에 남아 있는 세균을 사멸시키기 위한 것이다. 대부분의 경우, 임상에서는 살균 효과와 시술 후 동통의 예방 또는 억제, 근관 내 삼출물의 억제 등의 목적으로 사용하고 있다. 가장 많이 사용되는 근관소독제는 치과계의 아스피린이라고도 불리는 수산화칼슘(calcium hydroxide)이다. 그러나 이러한 근관소독제는 독성을 가지기 때문에 소독제가 치근단 조직에 직접 닿는 것을 피해야 한다.

근관 내에 소독제를 넣은 후에는 이중가봉법(double cilling)을 시행한다. 이중가봉법에서 가봉이란 근관 소독제를 적용한 후에 다음 내원까지 타액이나 음식물 등이 근관 내부로 유입되지 않도록 근관 와동을 임시로 밀폐하는 것이다. 수산화칼슘 분말과 멸균된 증류수를 혼합하고 K-file에 이를 묻혀 근관 내로 넣어준다. 그 다음 치수강을 임시 충전하여 약제의 상방에 소독된 솜을 넣어주고 gutta percha stopping과 ZOE cement 등의 재료를 이용하여 근관을 이중 가봉한다.

'''근관소독제의 종류'''

  • 수산화칼슘(calcium hydroxide): 치과계의 아스피린으로 불리는 약제로, 높은 pH와 강한 살균효과를 가진다.
  • 유지놀(eugenol): 유치에 많이 사용된다.
  • CMCP, CP
  • FC: 독성이 너무 강해 자주 사용하지 않는다.
  • 글루타르알데하이드(glutaraldehyde)
  • 항생제와 스테로이드가 혼합된 약제


근관소독제는 살균효과가 우수하고 조직에 해가 적거나 없는 약을 선택해야 한다.

5. 2. 내과적 고려사항

심한 고혈압, 심근경색증, 심부전, 출혈성 질환(예: 혈우병), 방사선골괴사증, 조절되지 않는 당뇨병, 인공삽입물[152] 등은 근관 치료 시 고려해야 할 내과적 질환이다.

감염된 치아는 신체의 다른 부분을 위협할 수 있다. 최근의 보철 관절 대체, 수리되지 않은 선천성 심장 결손 또는 면역 저하와 같은 특별한 취약성을 가진 사람은 치과 시술 중 감염 확산을 방지하기 위해 항생제를 복용해야 할 수 있다. 미국 치과 협회(ADA)는 모든 위험을 적절하게 관리할 수 있다고 주장한다.[52] 적절하게 수행된 근관 치료는 치아에서 감염된 치수를 효과적으로 제거한다.

1900년대 초, 여러 연구자들은 괴사성 치수를 가진 치아 또는 근관 치료를 받은 치아의 박테리아가 혈류를 통해 전파되어 치아로부터 멀리 떨어진 부위에 만성 또는 국소 감염을 일으킬 수 있다고 이론화했다. 이것을 "초점 감염 이론"이라고 불렀으며, 일부 치과의사는 발치를 옹호하게 되었다. 이 이론은 1930년대에 신뢰성을 잃었다.

균혈증(혈류 내 박테리아)은 양치질 등 많은 일상 활동으로 인해 발생할 수 있지만, 출혈을 수반하는 모든 치과 시술 후에도 발생할 수 있다. 치아의 이동과 이를 빼내기 위해 필요한 힘 때문에 발치 후 특히 발생하기 쉽지만, 근관 치료만으로는 균혈증이나 전신 질환을 유발하지 않는다.[114]

6. 주의사항

근관 치료 중에는 몇 가지 주의해야 할 사항이 있다.


  • 치료 중인 치아 쪽으로 음식을 씹지 않도록 한다. 치료받는 치아 뿌리 끝에서 일시적인 염증 반응이 나타나 압력이나 자극에 예민해져 통증으로 이어질 수 있기 때문이다.[153] 또한, 임시 충전물이 부서지거나 빠지면 침이나 이물질이 들어가 치근관이 다시 오염될 수 있다.[153]
  • 통증이 사라졌다고 치료를 중단하면 약제 때문에 치아가 부패하거나 염증에 감염될 수 있으므로, 치료가 끝날 때까지 정해진 날짜에 치과를 방문해야 한다.
  • 치료 도중 치아에 구멍(와동)을 만들기 때문에, 최종 수복을 하지 않으면 치아가 부러지기 쉽다. 따라서 치료 중단을 해서는 안된다.
  • 치료 후에는 뜨겁거나 찬 것에 대한 불편함은 사라지지만, 치아 고유 감각에 대한 뿌리의 민감도가 증가하여 만지거나, 씹거나, 누를 때 더 심한 통증이 나타날 수 있다.
  • 근관 치료를 받은 치아는 신경이 제거된 상태이므로, 차갑거나 뜨거운 자극에 반응하지 않고 충치가 생겨도 통증이 없다. 치아는 치질이 남아있는 한 관리가 소홀하면 언제든지 충치가 생길 수 있고, 근관 치료 후 다시 충치가 진행되면 통증이 없어 발견이 늦어져 치아를 뽑아야 할 수도 있다. 따라서 평소에 치아 관리를 잘하고 정기적으로 치과 검진을 받아야 한다.
  • 외과적 근관 치료 후에는 약간의 부종과 변색이 생길 수 있는데, 얼음찜질을 하면 출혈과 부종을 줄이고 통증 완화에도 도움이 된다. 얼음찜질은 10분간 찜질 후 20분간 쉬는 것을 수술 당일 동안 반복한다. 수술 후 3일간은 금연하고, 다음 날에는 따뜻한 식염수로 입안을 헹구고, 칫솔질은 봉합 부위에 자극을 주지 않도록 부드럽게 해야 한다.
  • 보통 7일 후에 봉합사를 제거한다. 하지만 치근단부 수술은 치유 과정이 빠르기 때문에 가능한 빨리 봉합사를 제거해야 한다. 늦어지면 세균 축적 등으로 감염될 수 있으므로 수술 후 2~3일 내에 제거해야 한다.[154]
  • 치근단 외과술 후에는 봉합 부위 보호를 위해 입술을 젖히거나 말을 많이 하지 않아야 한다.
  • 치근단 외과술 후에는 시술 부위 칫솔질을 피하고 부드러운 음식을 먹는 것이 좋다. 식사 후에는 생리 식염수로 입안을 헹궈야 한다.
  • 근관 치료 중 기구가 부러지는 경우(파절)가 발생할 수 있다. 이는 시술 중 사용된 금속 파일의 일부가 치아 내부에 남는 것을 의미한다. 허용 가능한 수준의 세척 및 성형이 이미 완료되었고, 파편을 제거하려는 시도가 치아를 손상시킬 우려가 있는 경우, 파일 파편은 남겨두기도 한다. 환자를 불안하게 만드는 잠재적 요소이기는 하지만, 금속 지주, 아말감 충전재, 금니, 의치의 금속 소성 포세린 등 치아 내부에 금속을 넣는 것은 비교적 일반적이다. 파일 분리 발생률은 치료가 진행 중인 치아의 좁은 정도, 만곡, 길이, 석회화, 치근의 수에 비례한다. 분리된 파일의 장애물로 인한 불완전한 근관 세척에서 발생하는 합병증은 외과적 근관 치료로 대처할 수 있다.[102] 치과용 파일의 파절 위험을 최소화하기 위해서는 다음과 같은 방법이 있다.[103]


파일 파절 위험을 최소화 하는 방법
와동 형성 시 파일을 직선으로 근관 내에 도입할 수 있도록 확보한다.
큰 니켈-티타늄 파일(NiTi)을 사용하기 전에 진입로를 만든다.
제조업체의 권장 속도 및 토크 설정으로 회전식 기기를 사용한다.
파일의 과도한 사용을 방지하기 위해 파일 일회용 정책을 채택한다.
근관 내에 삽입하기 전에 파일을 매번 철저히 검사한다.
충분한 양의 세척액을 사용한다.
급격한 만곡이나 열개된 근관에서의 회전식 파일 사용을 피한다.



치주인대 섬유(I-K에 해당)를 파괴하지 않는 것이 임플란트 치료보다 근관 치료의 장점이다.

  • 감염된 치아는 신체 다른 부분에 나쁜 영향을 줄 수 있다. 최근 인공 관절 치환, 회복 불가능한 선천성 심장 결손, 면역 부전과 같이 특별한 취약성을 가진 사람들은 치과 시술 중 감염 확산을 막기 위해 항생제를 복용해야 하는 경우도 있다. 미국 치과의사 협회는 (근관 치료를 수행할 때의) 어떠한 위험도 적절하게 관리할 수 있다고 주장하고 있다. 근관 치료가 적절하게 이루어지면 감염된 치수 부분이 치아에서 효율적으로 제거된다.
  • 1900년대 초, 괴사성 치수가 있는 치아나 치내 치료 이력이 있는 치아에 기인하는 세균이 혈류를 통한 세균 이동을 통해 치아에서 떨어진 영역에 만성적 또는 국소적 감염을 일으킬 수 있다고 몇몇 연구자들이 이론화했다. 이는 "병소 감염 이론(en)"이라고 불리며, 일부 치과의사가 그 이론으로 발치를 주장하게 되었다.
  • 1930년대에 이 이론은 신뢰를 잃었지만, 신뢰할 수 없는 초기 연구를 사용한 'Root Canal Cover-Up Exposed (번역: 드러난 근관 은폐)'라는 제목의 책으로 인해 최근 이 이론이 부활했으며, 치주 질환과 심장병, 뇌졸중, 조산과의 상관관계를 발견한 역학 연구로 더욱 복잡해졌다. 이 책의 저자 George Meinig는 오랫동안 치내 치료에 반대하는 강경론자였다. 그 후 그는 중과실로 인해 치과 면허를 잃었으며 'Root Canal Cover-Up Exposed'는 큰 비판을 받고 있다.
  • 균혈증(혈류 속에 세균이 있는 상태)은 칫솔질 등 매일의 다양한 활동으로 인해 발생할 수 있지만, 출혈을 동반하는 어떠한 치과 시술 후에도 발생할 수 있다. 특히 이는 치아 제거 및 발치에 필요한 힘 때문에 발치 후에 일어날 수 있지만, 치내 치료를 받은 치아만 균혈증이나 전신 질환을 일으키지 않는다.[114]

7. 예후

근관 치료의 예후는 치근단 조직, 근관, 치아 주위 조직의 상태, 그리고 수복적인 측면을 모두 고려해야 한다.

근관 치료 후에도 완전한 치유가 이루어지지 않는 경우가 있다. 치아에 다시 자극이 가해지거나, 충치가 생기거나, 수복물에 문제가 생기면 새로운 감염이 발생할 수 있으며, 이러한 증상은 근관 치료 후 수개월 또는 수년 후에 재발하기도 한다. 필요한 경우 치아를 보존하기 위해 치근단 수술이 필요할 수도 있다.[155]

근관 치료 후 갑자기 붓거나 통증이 오는 "플레어업(Flare-ups)"은 여성, 40~50대, 알레르기성 체질을 가진 사람에게서 자주 발생한다. 치료 전 이러한 증상 가능성을 설명하고, 소염진통제나 항히스타민제를 함께 투여하는 것이 좋다.[156]

근관 치료를 받은 치아는 장기적으로 97%에 가까운 성공률을 보인다. 대부분의 문제는 최초 근관 치료 후 3년 이내에 발생한다.[49] 발치의 주된 원인은 수복 불가능한 충치이며, 그 외에 크라운 변연 부적합으로 인한 박테리아 침입, 드물게는 근관 치료 실패, 수직 치근 파절, 천공(시술 오류) 등이 있다.[50][51] 근관 치료 후 적절한 수복은 장기적인 성공에 중요하지만, 근관 멸균 물질에 대한 문제도 제기되었다.[48]

차아염소산나트륨 사고는 심한 통증, 부종, 혈종, 반상 출혈을 일으키며, 의인성 질환으로 자연 치유되지만 2~5주가 소요될 수 있다.[104][105]

근관 치료와 임플란트 치료는 초기 성공률은 비슷하지만, 장기적으로는 근관 치료의 성공률이 다소 낮아진다.[116][117][119] 근관 치료는 치주인대를 보존하고 교합 피드백에 필요한 고유수용성감각을 유지하는 장점이 있다. 통증은 두 시술 모두 유사하지만, 임플란트는 발치 시, 근관 치료는 마취 주사 시 가장 심한 통증을 느낀다.[118] 임플란트는 3~6개월의 치료 기간이 필요하며, 여성은 근관 치료 후 심리적, 임플란트 후 신체적 장애를 더 많이 보고한다.[118] 근관 치료 치아는 저작력이 더 강하고,[120] 엑스레이 상 궤양 유무(근관 치료) 또는 골유착(임플란트) 여부로 성공을 판단한다.[119] 근관 치료는 추가 치료가 적지만, 임플란트는 유지 관리가 더 필요하다.[121]

7. 1. 근관치료가 실패한 경우

근관 치료는 여러 가지 이유로 실패할 수 있다. 흔한 원인 중 하나는 근관의 부적절한 화학적-기계적 변연 절제술이다. 이는 부적절한 근관 접근, 놓친 해부학적 구조, 또는 근관의 부적절한 형성, 특히 치근 근단 1/3 부위에서 발생할 수 있다. 또한, 무작위 방향으로 치수에서 치주로 뻗어 있는 미세한 관인 부속 관에 접근하기 어렵기 때문이기도 하다. 이들은 주로 치근 근단 1/3 부위에서 발견된다.[32]

충전 재료가 구강 환경에 노출되면 거타퍼차가 구강 내 세균에 오염될 수 있다. 복잡하고 비용이 많이 드는 수복 치료를 고려하는 경우, 실패 위험을 최소화하기 위해 재치료 절차를 통해 오염된 거타퍼차를 교체하는 것이 이상적이다.

실패한 근관에서 발견되는 세균의 유형은 정상적인 감염된 치아와 다를 수 있다. 장구균 및/또는 기타 통성 장내 세균 또는 슈도모나스 속이 이러한 상황에서 발견된다.

근관 재치료는 기술적으로 까다롭다. 치과의사가 세심한 주의를 기울여야 하므로 시간이 오래 걸리는 절차일 수 있다. 재치료 사례는 일반적으로 전문 치과 보존과 전문의에게 의뢰된다. 수술 현미경 또는 기타 확대 장치의 사용은 결과를 개선할 수 있다.

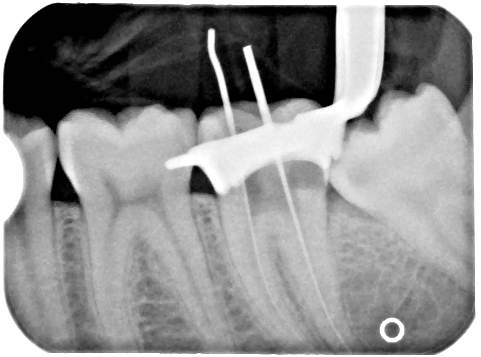
X-ray explanation of bad root canal therapy
조잡한 근관 치료의 엑스레이 사진


근관 치료의 또 다른 흔한 합병증은 근관 전체를 완전히 깨끗하게 청소하고 근관 충전재(보통 거타퍼차)로 채우지 못했을 때 발생한다. 반면에, 근관 충전재가 치근단에서 밀려나와 다른 합병증을 유발할 수도 있다. 위 그림의 엑스레이는 잘못된 근관 치료를 받은 인접한 두 개의 치아를 보여준다. 근관 충전재(3, 4 및 10)는 치아 뿌리(5, 6 및 11) 끝까지 확장되지 않는다. 치아 뿌리 하단의 어두운 원(7 및 8)은 주변 뼈의 감염을 나타낸다. 권장되는 치료법은 근관 치료를 다시 하거나 치아를 발치하고 임플란트를 식립하는 것이다. 불량한 품질의 충전재 또는 밀봉재도 근관 치료 실패의 원인이 될 수 있다.[46]

근관 치료를 받은 치아는 치과의사가 치아 내 모든 근관을 찾아서 세척하고 충전하지 못하는 경우와 같이 치유에 실패할 수 있다. 상악 어금니의 경우, 치아에 3개가 아닌 4개의 근관이 있을 확률이 50% 이상이지만, 종종 "근심 협측 2"라고 불리는 네 번째 근관은 보기가 매우 어렵고, 이를 보기 위해서는 특수 기구와 확대경이 필요한 경우가 많다(가장 흔하게 첫 번째 상악 어금니에서 발견된다. 연구에 따르면 이러한 치아의 평균 76%에서 최대 96%가 MB2 근관을 가지고 있다). 이 감염된 근관은 지속적인 감염이나 치아의 "악화"를 유발할 수 있다.

근관 치료가 실패하면 다음과 같은 방법을 고려해 볼 수 있다.

  • 근관치료 재시행 (재근관치료): 대부분 세균 침투로 인한 미세누출 상황에서 시행한다.
  • 치근단 수술 또는 의도적 재식술
  • 다른 전문의에게 의뢰
  • 최종적인 방법으로 해당 치아 발치:[157] 심한 치주질환, 뿌리에 금이 심하게 간 경우, 신경관 오염이 심한 경우는 예후가 불량하여 발치한다.[158]

참조

[1] 서적 Pathways of the Pulp Mosby
[2] 서적 Ten Cate's Oral Histology: Development, Structure, and Function Mosby
[3] 서적 The Principles of Endodontics OUP Oxford
[4] 논문 Analysis of four gutta-percha techniques used to fill mesial root canals of mandibular molars 2011-04
[5] 논문 A dynamic prospective cohort study of initial endodontic treatments of 627 teeth: Long term results.
[6] 논문 Comparison of long-term survival of implants and endodontically treated teeth 2014-01
[7] 논문 Advances in endodontics: Potential applications in clinical practice 2016-05-01
[8] 웹사이트 Success evaluation of N2 treated teeth with open apical foramen—A retrospective study https://www.dental-t[...] 2018-04-26
[9] 논문 Endodontics: Part 2 Diagnosis and treatment planning 2004-09
[10] 논문 Root canal dentinal infection
[11] 서적 Endodontics BC Decker 2008
[12] 논문 Root canal therapy and resection technique 1950-06
[13] 논문 Mechanical preparation of root canals: shaping goals, techniques and means https://www.aae.org/[...] 2016-02-20
[14] 논문 A light microscopic study of the efficacy of the telescopic and the Giromatic preparation of root canals 1982-10
[15] 논문 Endodontic treatment options after unsuccessful initial root canal treatment: Alternatives to single-tooth implants 2016-03
[16] 논문 Measurement of endodontic file lengths: calibrated versus uncalibrated digital images 2001-12
[17] 논문 Ultrasonic Technique to Retrieve a Rotary Nickel-Titanium File Broken Beyond the Apex and a Stainless Steel File from the Root Canal of a Mandibular Molar: A Case Report 2015-07
[18] 웹사이트 Anesthesia: Numbed by choices https://www.health.h[...] Harvard Health Publishing 2024-12-12
[19] 간행물 Preparation of contaminated root canal systems – the importance of antimicrobial irrigants Dental Inc. 2008-07
[20] 간행물 Preparation of contaminated root canal systems – the importance of antimicrobial irrigants. 经感染的根管系统的修复— 化学冲洗对根管治疗的重要性DENTAL INC. Chinese Edition DENTAL INC. Chinese Edition 2008-08
[21] 간행물 Die Bedeutung chemischer Spülungen in der Endodontie http://www.oemus.com[...] 2010
[22] 서적 The Principles of Endodontics Oxford
[23] 논문 Irrigants for non-surgical root canal treatment in mature permanent teeth 2012-09
[24] 웹사이트 Endodontic Irrigants and Irrigant Delivery Systems https://de.dental-tr[...] 2019-01-19
[25] 서적 Clinical Endodontics: A Textbook Thieme
[26] 논문 Single-visit more effective than multiple-visit root canal treatment?
[27] 논문 Human saliva penetration of coronally unsealed obturated root canals 1993
[28] 논문 Coronal leakage as a cause of failure in root-canal therapy: a review 1994
[29] 논문 Bacterial microleakage of temporary filling materials used for endodontic access cavity sealing 2016
[30] 웹사이트 Root Canals Explained http://www.aae.org/p[...] 2017-11-10
[31] 논문 Single crowns versus conventional fillings for the restoration of root-filled teeth http://www.cochrane.[...] 2015-09
[32] 논문 Root canal anatomy of the human permanent teeth 1984-11
[33] 논문 Mobile Nanobots for Prevention of Root Canal Treatment Failure 2022-05-04
[34] 논문 Endodontic procedures for retreatment of periapical lesions 2016-10-19
[35] 논문 Factors that influence the outcomes of surgical endodontic treatment 2023
[36] 논문 Role of Cone Beam Computed Tomography in Diagnosis and Treatment Planning in Dentistry: An Update
[37] 논문 Inability of laser and rotary instrumentation to eliminate root canal infection 2006-01
[38] 논문 Pain after root canal treatment with different instruments: A systematic review and meta-analysis 2018-03
[39] 논문 Post endodontic pain following single-visit root canal preparation with rotary vs reciprocating instruments: a meta-analysis of randomized clinical trials 2017-05
[40] 논문 Is the Use of Dexamethasone Effective in Controlling Pain Associated with Symptomatic Irreversible Pulpitis? A Systematic Review 2018-05
[41] 간행물 United States Patent 4,746,292: Tool and method for removing a parted endodontic file http://patft.uspto.g[...] 1988-05-24
[42] 논문 Endodontic instrument fracture: causes and prevention 2013-04
[43] 서적 Endodontics, 4th Edition W.B. Saunders Company
[44] Review Complications during root canal irrigation--literature review and case reports 2000-05
[45] 서적 Cohen's Pathways of the Pulp Expert Consult https://books.google[...] Elsevier Health Sciences 2015-09-23
[46] 논문 Failure of endodontic treatment: The usual suspects
[47] 간행물 The success of endodontic therapy: healing and functionality
[48] 간행물 Molecular evaluation of residual endodontic microorganisms after instrumentation, irrigation and medication with either calcium hydroxide or Septomixine
[49] 논문 Endodontic treatment outcomes in a large patient population in the USA: an epidemiological study 2004-12
[50] 문서 Cohen Pathways of the Pulp, 9th ed., Copyright © 2006 Mosby, An Imprint of Elsevier
[51] 간행물 Analysis of factors related to extraction of endodontically treated teeth 2008-08
[52] 간행물 Endodontics, Chapter 3: Microbiology of endodontics and asepsis in endodontic practice http://faculty.ksu.e[...] Hamilton, Ontario: BC Becker 2009-11-27
[53] 서적 Fundamentals of Fixed Prosthodontics Quintessence Publishing Co Inc.
[54] 논문 Cost-effectiveness of endodontic molar retreatment compared with fixed partial dentures and single-tooth implant alternatives 2011-03
[55] 논문 Retrospective cross sectional comparison of initial nonsurgical endodontic treatment and single-tooth implants 2007-06
[56] 논문 Quality of life of endodontically treated versus implant treated patients: a University-based qualitative research study 2011-07
[57] 논문 Choice of Treatment Plan Based on Root Canal Therapy versus Extraction and Implant Placement: A Mini Review 2015
[58] 논문 Differences in masticatory function in patients with endodontically treated teeth and single-implant-supported prostheses: a pilot study 2009-01
[59] 논문 Comparison of success of implants versus endodontically treated teeth 2008-11
[60] 웹사이트 根管治療(歯内療法)ってなんですか? http://www.jea.gr.jp[...]
[61] 서적 Ten Cate's Oral Histology: Development, Structure, and Function Mosby
[62] 서적 The Principles of Endodontics OUP Oxford
[63] 웹사이트 医療用医薬品 : ネオダイン https://www.kegg.jp/[...] ネオ製薬工業 2010-05
[64] 논문 Analysis of four gutta-percha techniques used to fill mesial root canals of mandibular molars 2011-04
[65] 논문 Comparison of long-term survival of implants and endodontically treated teeth 2014-01
[66] 논문 Advances in endodontics: Potential applications in clinical practice 2016-05-01
[67] 웹사이트 歯の種類・名称・番号・歯式 https://www.ha-chann[...]
[68] 논문 Endodontics: Part 2 Diagnosis and treatment planning 2004-09
[69] 웹사이트 根管治療成功のキーポイント、ラバーダム https://minedc-endop[...]
[70] 간행물 歯内療法の争点 -難治性根尖性歯周炎の病因と臨床- 新潟大学
[71] 서적 Endodontics BC Decker 2008
[72] 논문 Root canal therapy and resection technique 1950-06
[73] 논문 Mechanical preparation of root canals: shaping goals, techniques and means https://www.aae.org/[...] 2016-02-20
[74] 논문 A light microscopic study of the efficacy of the telescopic and the Giromatic preparation of root canals 1982-10
[75] 논문 Endodontic treatment options after unsuccessful initial root canal treatment: Alternatives to single-tooth implants 2016-03
[76] 간행물 手用切削器具 VS 機械切削器具 | 徹底追求 どっちがどっち? https://www.dental-d[...] デンタルダイヤモンド 1998-09
[77] 논문 Measurement of endodontic file lengths: calibrated versus uncalibrated digital images 2001-12
[78] 논문 Ultrasonic Technique to Retrieve a Rotary Nickel-Titanium File Broken Beyond the Apex and a Stainless Steel File from the Root Canal of a Mandibular Molar: A Case Report 2015-07
[79] 간행물 Preparation of contaminated root canal systems - the importance of antimicrobial irrigants Dental Inc. 2008-07
[80] 간행물 Preparation of contaminated root canal systems - the importance of antimicrobial irrigants. 经感染的根管系统的修复— 化学冲洗对根管治疗的重要性DENTAL INC. Chinese Edition DENTAL INC. Chinese Edition 2008-08
[81] 간행물 Die Bedeutung chemischer Sp?lungen in der Endodontie http://www.oemus.com[...] Endodontie Journal 2010
[82] 서적 The Principles of Endodontics Oxford
[83] 논문 Irrigants for non-surgical root canal treatment in mature permanent teeth 2012-09
[84] 웹사이트 Endodontic Irrigants and Irrigant Delivery Systems https://de.dental-tr[...] 2019-01-19
[85] 서적 Clinical Endodontics: A Textbook Thieme
[86] 웹사이트 Be Wary of Sargenti Root Canal Treatment http://www.dentalwat[...] 2011-01-09
[87] 웹사이트 The Truth about Sargenti N2 http://sargentipaste[...]
[88] 웹사이트 転帰とは https://www.kango-ro[...] 2019-03-04
[89] 논문 Single-visit more effective than multiple-visit root canal treatment?
[90] 웹사이트 Root Canals Explained http://www.aae.org/p[...] 2017-11-10
[91] 논문 Human saliva penetration of coronally unsealed obturated root canals 1993-09
[92] 논문 Coronal leakage as a cause of failure in root-canal therapy: a review 1994-06
[93] 웹사이트 ゴールドを選ぶ理由 https://arvtsc-jp.ne[...] 2014-06
[94] 논문 Single crowns versus conventional fillings for the restoration of root-filled teeth http://www.cochrane.[...] 2015-09
[95] 논문 Root canal anatomy of the human permanent teeth 1984-11
[96] 논문 Role of Cone Beam Computed Tomography in Diagnosis and Treatment Planning in Dentistry: An Update
[97] 논문 Inability of laser and rotary instrumentation to eliminate root canal infection 2006-01
[98] 웹사이트 Laser Root Canal Treatment. What is it and is it good? http://www.mgoldmand[...] 2017-11-10
[99] 논문 Pain after root canal treatment with different instruments: A systematic review and meta-analysis 2018-03
[100] 논문 Post endodontic pain following single-visit root canal preparation with rotary vs reciprocating instruments: a meta-analysis of randomized clinical trials 2017-05
[101] 논문 Is the Use of Dexamethasone Effective in Controlling Pain Associated with Symptomatic Irreversible Pulpitis? A Systematic Review 2018-05
[102] 간행물 United States Patent 4,746,292: Tool and method for removing a parted endodontic file http://patft.uspto.g[...] 1988-05-24
[103] 논문 Endodontic instrument fracture: causes and prevention 2013-04
[104] 서적 Endodontics, 4th Edition W.B. Saunders Company 2008
[105] 논문 Complications during root canal irrigation--literature review and case reports 2000-05
[106] 서적 Cohen's Pathways of the Pulp Expert Consult https://books.google[...] Elsevier Health Sciences 2015-09-23
[107] 간행물 The Center for Special Dentistry http://www.nycdentis[...] 2017-11-10
[108] 웹사이트 フレアーアップ https://www.quint-j.[...] 2007-11
[109] 논문 The success of endodontic therapy: healing and functionality
[110] 논문 Molecular evaluation of residual endodontic microorganisms after instrumentation, irrigation and medication with either calcium hydroxide or Septomixine
[111] 논문 Endodontic treatment outcomes in a large patient population in the USA: an epidemiological study 2004-12
[112] 문서 Cohen Pathways of the Pulp, 9th ed., Copyright © 2006 Mosby, An Imprint of Elsevier
[113] 논문 Analysis of factors related to extraction of endodontically treated teeth "" 2008-08
[114] 논문 Endodontics, Chapter 3: Microbiology of endodontics and asepsis in endodontic practice http://faculty.ksu.e[...] Hamilton, Ontario: BC Becker 2009-11-27
[115] 서적 Fundamentals of Fixed Prosthodontics Quintessence Publishing Co Inc.
[116] 논문 Cost-effectiveness of endodontic molar retreatment compared with fixed partial dentures and single-tooth implant alternatives 2011-03
[117] 논문 Retrospective cross sectional comparison of initial nonsurgical endodontic treatment and single-tooth implants 2007-06
[118] 논문 Quality of life of endodontically treated versus implant treated patients: a University-based qualitative research study 2011-07
[119] 논문 Choice of Treatment Plan Based on Root Canal Therapy versus Extraction and Implant Placement: A Mini Review 2015
[120] 논문 Differences in masticatory function in patients with endodontically treated teeth and single-implant-supported prostheses: a pilot study 2009-01
[121] 논문 Comparison of success of implants versus endodontically treated teeth 2008-11
[122] 논문 Influence of demographics on patients' receipt of endodontic therapy or implant placement 2015-04
[123] 서적 치과보존학의 원리와 임상 대한나래출판사 2017
[124] 웹인용 질병관리본부 건강/질병 정보 http://health.cdc.go[...] 2018-06-27
[125] 서적 치과보존학의 원리와 임상 대한나래출판사
[126] 서적 치과보존학의 원리와 임상 대한나래출판사
[127] 서적 최신 근관치료학 - 진단과 치료 한국퀸테덴드 2000
[128] 서적 치과보존학 2018
[129] 서적 치과보존학의 원리와 임상 대한나래출판사
[130] 서적 치과보존학 2018
[131] 서적 임상근관치료학 의치학사
[132] 서적 치과보존학의 원리와 임상 대한나래출판사
[133] 서적 치과보존학의 원리와 임상 대한나래출판사
[134] 서적 치과보존학의 원리와 임상 대한나래출판사 2017
[135] 뉴스 전자 근관장 측정기 https://terms.naver.[...] 2018-05-15
[136] 서적 치과보존학 고문사 2017
[137] 서적 치과보존학의 원리와 임상 대한나래출판사
[138] 서적 치과보존학의 원리와 임상 대한나래출판사
[139] 서적 문답으로 풀어보는 근관치료 문제점
[140] 뉴스 근관충전 https://terms.naver.[...] 2018-05-15
[141] 서적 임상근관치료학 의치학사
[142] 서적 치과보존학 고문사 2017
[143] 서적 근관치료학 대한근관치료학회 1996
[144] 서적 치과보존학 고문사 2017
[145] 서적 치과보존학의 원리와 임상 대한나래출판사
[146] 서적 치과보존학의 원리와 임상 대한나래출판사
[147] 서적 치과보존학 고문사 2017
[148] 서적 치과보존학 고문사 2017
[149] 서적 문답으로 풀어보는 근관치료 문제점
[150] 서적 치과보존학의 원리와 임상 대한나래출판사
[151] 서적 치과보존학 고문사 2017
[152] 서적 임상가를 위한 외과적 근관치료학 나래출판사
[153] 뉴스 신경 치료 https://terms.naver.[...] 2018-05-15
[154] 서적 임상가를 위한 외과적 근관치료학 나래출판사
[155] 뉴스 근관치료 https://terms.naver.[...] 2018-05-15
[156] 서적 문답으로 풀어보는 근관치료 문제점
[157] 서적 치과보존학 2018
[158] 문서 연세대치과대학병원.세브란스병원건강칼럼



본 사이트는 AI가 위키백과와 뉴스 기사,정부 간행물,학술 논문등을 바탕으로 정보를 가공하여 제공하는 백과사전형 서비스입니다.
모든 문서는 AI에 의해 자동 생성되며, CC BY-SA 4.0 라이선스에 따라 이용할 수 있습니다.
하지만, 위키백과나 뉴스 기사 자체에 오류, 부정확한 정보, 또는 가짜 뉴스가 포함될 수 있으며, AI는 이러한 내용을 완벽하게 걸러내지 못할 수 있습니다.
따라서 제공되는 정보에 일부 오류나 편향이 있을 수 있으므로, 중요한 정보는 반드시 다른 출처를 통해 교차 검증하시기 바랍니다.

문의하기 : help@durumis.com