뼈관절염
"오늘의AI위키"의 AI를 통해 더욱 풍부하고 폭넓은 지식 경험을 누리세요.
1. 개요
골관절염은 관절 연골의 손상과 퇴행을 특징으로 하는 흔한 관절 질환이다. 통증, 뻣뻣함, 관절 운동 시 삐걱거리는 소리, 관절 잠김 등의 증상이 나타나며, 손, 발, 척추, 엉덩이, 무릎 등 체중 부하가 큰 관절에 주로 발생한다. 노화, 관절 부상, 비만 등이 주요 원인이며, 일차성과 이차성으로 분류된다. 진단은 병력 청취, 신체 검사, X-ray 촬영을 통해 이루어진다. 치료는 통증 완화와 관절 기능 개선을 목표로 하며, 생활 습관 개선, 진통제, 비스테로이드성 소염 진통제(NSAIDs) 등이 사용된다. 심한 경우 수술적 치료(관절경 수술, 인공 관절 치환술 등)를 고려할 수 있으며, 제대혈 줄기세포 치료법과 같은 연구도 진행 중이다. 전 세계적으로 무릎 골관절염 환자는 약 2억 5천만 명으로 추정되며, 다양한 동물 종에서도 발생한다.
더 읽어볼만한 페이지
- 관절염 - 류마티스 관절염
류마티스 관절염은 관절 활막의 만성 염증성 질환으로, 조기 진단과 적극적인 치료를 통해 질병 진행을 늦추고 삶의 질을 향상시키는 것이 중요하며, 진단에는 류마티스 인자와 항CCP 항체가 사용되고 메토트렉세이트 등의 약물로 치료한다. - 관절염 - 반응성 관절염
반응성 관절염은 특정 감염 후 발생하는 관절염으로, 관절염 외 결막염, 요도염 등의 증상과 다양한 관절 외 증상이 동반될 수 있으며, 임상 양상과 혈액 검사 등을 통해 진단하고 감염원 제거와 증상 완화에 초점을 맞춰 치료한다. - 골격계 질환 - 관절염
관절염은 관절에 염증이 생겨 통증, 부종, 강직 등을 유발하는 질환을 통칭하며, 다양한 종류가 있고, 약물 치료, 물리 치료, 수술적 치료 등으로 치료하며, 고령화 사회에서 유병률이 증가할 것으로 예상된다. - 골격계 질환 - 구루병
구루병은 비타민 D 결핍, 칼슘 및 인 섭취 부족, 유전적 요인 등으로 인해 소아기에 뼈의 성장과 골화 과정에 장애가 생겨 뼈가 약해지고 변형되는 질환으로, 혈액 검사, 골밀도 검사, 방사선 촬영 등으로 진단하며 비타민 D와 칼슘 제제로 치료한다.
뼈관절염 | |
---|---|
질병 정보 | |
![]() | |
진료과 | 류마티스내과, 정형외과 |
동의어 | 골관절증, 퇴행성 관절염, 퇴행성 관절 질환 |
관련 질환 | 결합 조직 질환, 이전의 관절 부상, 비정상적인 관절 또는 사지 발달, 유전적 요인 |
위험 요인 | 과체중, 다리 길이의 차이, 관절 스트레스가 높은 직업 |
발병 시기 | 수년에 걸쳐 진행됨 |
증상 | 관절통, 뻣뻣함, 관절 부기, 감소된 운동 범위 |
진단 방법 | 증상에 기반, 다른 검사로 뒷받침 |
예방 | 해당사항 없음 |
치료 방법 | 운동, 관절 스트레스 감소 노력, 지지 그룹, 진통제, 관절 치환술 |
빈도 | 2억 3700만 명 / 3.3% (2015년) |
일반 정보 | |
영어 이름 | Osteoarthritis |
추가 정보 | |
2. 증상
뼈관절염은 관절에 가해지는 기계적 스트레스와 관절 자체의 회복 능력 부족이 주된 원인으로 작용한다.[16] 이러한 스트레스의 원인으로는 뼈의 부정렬, 기계적 부상, 과체중, 관절 지지 근육 약화, 말초 신경 손상 등이 있다.[16]
골관절염의 주요 증상은 통증이며, 이로 인해 장애가 발생하고 뻣뻣함이 나타나기도 한다. 통증은 주로 장기간 활동하면 심해지고 휴식을 취하면 완화되는 경향이 있다. 뻣뻣함은 아침에 가장 심하며, 보통 일상 활동을 시작하면 30분 이내에 완화되지만, 움직이지 않으면 다시 나타날 수 있다.[12] 골관절염은 특히 어깨와 무릎 관절을 움직일 때 삐걱거리는 소리(crepitus)를 유발할 수 있으며, 관절 잠김이나 불안정성을 느끼게 할 수도 있다. 이러한 증상들은 통증과 뻣뻣함 때문에 일상생활에 지장을 준다.[12] 어떤 사람들은 추운 날씨, 높은 습도, 기압 저하와 관련하여 통증이 심해진다고 보고하지만, 이에 대한 연구 결과는 일치하지 않는다.[13]
골관절염은 주로 손, 발, 척추, 그리고 엉덩이 관절과 무릎처럼 체중 부하가 큰 관절에 영향을 미치지만, 이론적으로는 신체의 모든 관절에서 발생할 수 있다. 골관절염이 진행되면 걷는 방식과 같은 이동 패턴에 영향을 주는 경우가 많다.[8] 골관절염은 무릎 관절 삼출의 가장 흔한 원인이기도 하다.[14]
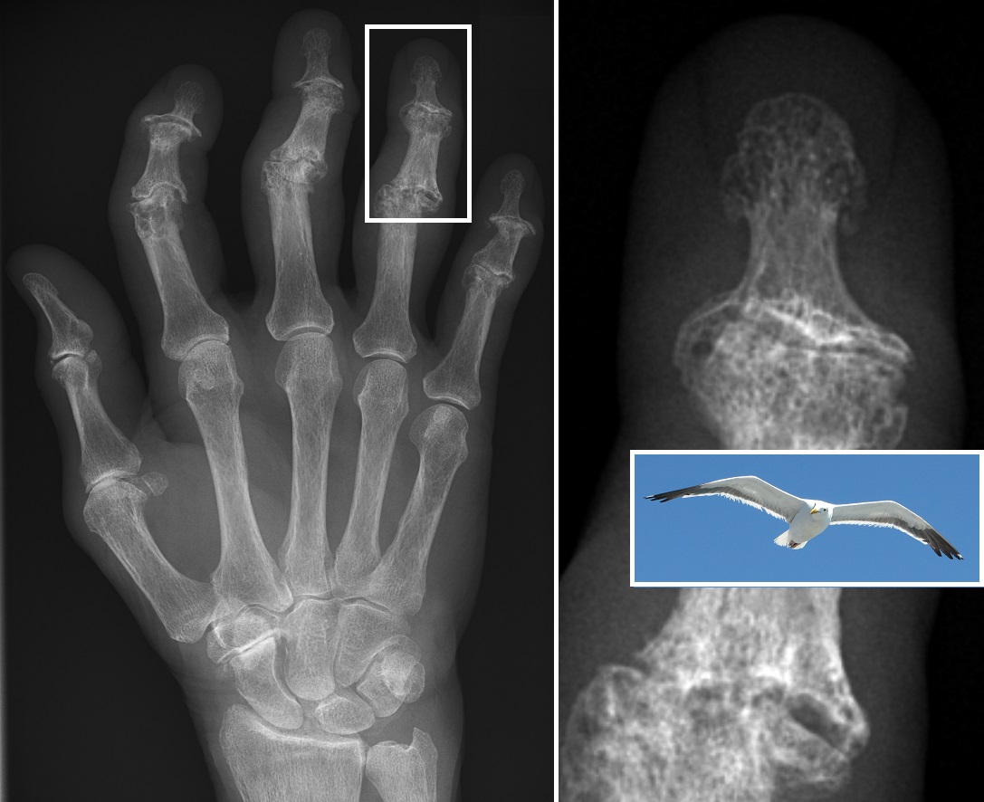
손가락처럼 작은 관절에서는 헤버덴 결절(원위 지절 관절)이나 부샤르 결절(근위 지절 관절)이라고 하는 단단한 뼈 비대가 생길 수 있는데, 통증이 반드시 동반되는 것은 아니지만 손가락 움직임을 상당히 제한한다. 발가락 골관절염은 무지외반증을 일으키는 원인이 될 수 있으며,[15] 발가락이 붉게 부어오르게 한다.
3. 원인
거스 히딩크 전 대한민국 축구 국가대표팀 감독은 제대혈 줄기세포 치료를 통해 뼈관절염을 치료받은 것으로 알려져 있다.[225]
달리기와 같은 운동은 무릎 뼈관절염의 위험을 증가시키지 않으며, 손가락 관절 꺾기 또한 관련이 없다.[18][19][20]
3. 1. 일차성 골관절염
일차성 골관절염의 위험 요인으로는 노화, 관절 부상 이력, 골관절염 가족력, 비만 등이 있다.[21] 특히 무릎 관절과 관련하여 비만이 위험 요인으로 작용한다. 성 호르몬 수치의 변화도 영향을 미칠 수 있는데, 같은 연령대의 남성보다 폐경기 여성에게서 골관절염이 더 흔하게 나타나는 것이 이를 뒷받침한다.[8][22]
직업적으로 무거운 물건을 다루거나, 신체적으로 힘든 일을 하거나, 쪼그려 앉는 자세를 자주 취하는 경우 골관절염 발생 위험이 증가한다.[24] 엉덩이 골관절염은 구부리거나 비틀린 자세로 일하는 사람들에게서, 무릎 골관절염은 무릎을 꿇거나 쪼그려 앉는 자세로 일하거나 무거운 물건을 드는 사람, 서서 일하는 사람에게서 발생 위험이 증가하는 것으로 나타났다.[24] 여성과 남성의 골관절염 발생에 대한 직업적 위험은 유사하다.[24] 직업병 및 산업재해도 골관절염과 관련이 있다.
3. 2. 이차성 골관절염
이차성 골관절염은 다른 요인에 의해 발생하지만, 그 결과로 나타나는 병리학적 특징은 원발성 골관절염과 동일하다. 이차성 골관절염을 유발하는 요인들은 다음과 같다.
4. 병태생리
뼈관절염(골관절염)은 연골 손실과 다른 관절 조직의 형태학적 손상을 일으키는 퇴행성 관절 질환이지만, 골관절염 진행 초기에는 더 미묘한 생화학적 변화가 발생한다. 건강한 연골의 수분 함량은 물을 밀어내는 압축력과 물을 끌어들이는 정수압 및 삼투압에 의해 균형을 이룬다.[37][38] 콜라겐 섬유는 압축력을 발휘하는 반면, 깁스-돈난 효과와 연골 프로테오글리칸은 물을 끌어들이는 삼투압을 생성한다.[38]
골관절염이 시작되는 동안 콜라겐 기질은 더 혼란스러워지고 연골 내 프로테오글리칸 함량이 감소한다. 콜라겐 섬유의 파괴는 수분 함량 증가를 초래한다.[39][40][41][42][43] 이러한 증가는 프로테오글리칸의 전반적인 손실(삼투압 감소)이 있지만,[40][44] 콜라겐 손실에 의해 상쇄되기 때문에 발생한다.[38][44]
관절 내의 다른 구조물도 영향을 받을 수 있다.[45] 관절 내의 인대는 두꺼워지고 섬유증이 되며, 반월판이 손상되어 닳아 없어질 수 있다.[46] 반월판은 관절 치환술을 받을 때 완전히 없어질 수 있다. 골극 (가시)이라고 하는 새로운 뼈 성장물이 관절 가장자리에 형성될 수 있으며, 이는 반월판이 없는 상태에서 관절 연골 표면의 일치를 개선하려는 시도일 수 있다. 연골하골 부피가 증가하고 광화 조직이 감소한다(저광화).[47] 이 모든 변화는 기능 장애를 일으킬 수 있다. 골관절염 관절의 통증은 두꺼워진 활막[48] 및 연골하골 병변과 관련이 있다.[49]
5. 진단
뼈관절염의 진단은 병력 청취 및 신체 검사를 통해 이루어지며, X-ray 촬영으로 확진할 수 있다.[52][53][54] X-ray 소견으로는 관절 간격 협소, 연골하 경화증(관절 주위 뼈 형성 증가), 연골하 낭종 형성, 골극 형성이 나타난다.[54] 다만, 단순 촬영 소견은 신체 검사 소견이나 통증 정도와 일치하지 않을 수 있다.[55]
감별해야 할 질환으로는 류마티스 관절염이 있다. 류마티스 관절염은 손가락 PIP 관절을 침범하는 빈도가 높고, DIP 관절 침범은 드물지만[220], 골관절염은 DIP 관절 침범 빈도가 높다.[220] 또한, 류마티스 관절염은 전신 염증으로 인해 CRP 수치가 상승하지만, 골관절염은 국소 염증으로 인해 CRP 수치가 상승하지 않는다.
활액 검사 결과는 다음과 같다.[50][51]
유형 | 백혈구 수 (mm3당) | 중성구 (%) | 점도 | 외관 |
---|---|---|---|---|
정상 | <200 | 0 | 높음 | 투명 |
골관절염 | <5000 | <25 | 높음 | 맑은 노란색 |
외상 | <10,000 | <50 | 가변적 | 혈액 |
염증성 | 2,000–50,000 | 50–80 | 낮음 | 흐린 노란색 |
패혈성 관절염 | >50,000 | >75 | 낮음 | 흐린 노란색 |
임질 | ~10,000 | 60 | 낮음 | 흐린 노란색 |
결핵 | ~20,000 | 70 | 낮음 | 흐린 노란색 |
염증성: 관절염, 통풍, 류마티스 관절염, 류마티스열 |
6. 치료 및 관리
뼈관절염의 치료 목표는 통증을 줄이고, 관절 기능을 좋게 하며, 병이 더 심해지지 않도록 하는 것이다.
제대혈 줄기세포를 이용한 치료법이 퇴행성 관절염 치료에 사용될 수 있다. 손상된 연골을 제거하고 무릎 뼈에 구멍을 내어 줄기세포를 이식하면 연골이 다시 생성될 수 있다. 거스 히딩크 전 대한민국 축구 국가대표팀 감독이 이 치료를 받아 효과를 본 것으로 알려져 있다.[225]
골관절염의 등급을 매기기 위해 여러 분류 체계가 사용된다.
분류 체계 | 설명 |
---|---|
WOMAC 척도 | 통증, 뻣뻣함 및 기능적 제한을 고려한다.[58] |
켈그렌-로렌스 등급 척도 | 무릎 골관절염에 사용되며, 투사 방사선 촬영술 특징만 사용한다. |
Tönnis 분류 | 고관절 골관절염에 사용되며, 투사 방사선 촬영술 특징만 사용한다.[59] |
일차성 전신성 결절성 골관절염과 미란성 골관절염(EOA, 염증성 골관절염이라고도 함)은 모두 일차성 골관절염의 하위 집합이다. EOA는 드물고 공격적인 형태의 염증성 골관절염으로, 손의 원위 지절 관절에 영향을 미치며 X-ray에서 특징적인 관절 미란 변화를 보인다.[60]
6. 1. 비약물적 치료
체중 감량과 운동은 골관절염의 가장 안전하고 효과적인 장기 치료법이며, 특히 과체중 환자에게 중요하다.[68][101] 걷기나 수영과 같은 저강도 또는 중간 강도 운동은 고강도 운동에 비해 관절 부상 위험이 적어 골관절염 환자에게 더 안전하다.[67] 중간 강도 운동은 무릎 및 엉덩이 골관절염 환자의 통증과 기능 개선에 도움이 될 수 있으며,[70][71][72] 주 3회 이상 전문가 감독 하에 진행하는 것이 권장된다.[73]물리 치료는 기능 훈련, 보행 훈련, 균형 훈련 등을 통해 근력 강화, 자세 감각 및 균형 향상을 돕는다.[78][79] 손 골관절염 환자의 경우, 운동은 손 기능 개선, 통증 감소, 손가락 관절 뻣뻣함 완화에 약간의 도움이 될 수 있다.[80]
무릎 보호대가 도움이 될 수 있다는 견해도 있지만,[85] 그 유용성에 대해서는 논란이 있다.[84]
열/냉 찜질의 경우, 뻣뻣함 완화에는 온찜질이, 근육 경련 및 통증 완화에는 냉찜질이 도움이 될 수 있다.[86] 2003년 코크란 리뷰에서는 얼음 마사지가 운동 범위와 기능 개선에 효과가 있었지만, 반드시 통증 완화에 효과가 있는 것은 아니라는 점을 발견했다.[91]
6. 2. 약물 치료
아세트아미노펜(파라세타몰)은 뼈관절염의 1차 치료제로 권장된다.[61][93] 2015년 연구에서는 단기적인 효과만 약간 있으며 간 기능 검사 결과 이상에 대한 우려가 제기되었지만, 통증 완화 효과는 복용량에 따라 다르지 않다.[62][94] 가벼운 증상에는 비스테로이드성 소염 진통제(NSAIDs)인 나프록센과 효과가 비슷하지만, 심한 증상에는 NSAIDs가 더 효과적일 수 있다.[61] NSAIDs는 위장 출혈 등 부작용 위험이 더 크다.[61]COX-2 선택적 억제제(세레콕시브 등)는 비선택적 NSAIDs와 효과가 비슷하고 위장관 부작용 발생률은 낮지만, 심근 경색 등 심혈관 질환 발생률은 더 높고 비용도 더 비싸다.[95][96] 개인별 효과와 위험을 고려하여 치료를 결정해야 하며, NSAIDS와 COX-2 선택적 억제제를 비교하는 추가 연구가 필요하다.[97][98] 일부 환자에게는 국소 NSAIDs가 효과적이다.[99] COX-2 선택적 억제제인 로페콕시브는 장기간 사용 시 심혈관 질환 발생 위험 때문에 2004년 시장에서 퇴출되었다.[100]
2주 후에도 통증이 완화되지 않으면 복용량과 진통제를 다시 평가해야 한다.[102] 오피오이드 경구 투여는 효과가 불확실하며, 1차 치료가 실패하거나 금기인 경우에만 권장된다.[7][103] 효과가 적고 부작용 위험이 크기 때문이다.[104][105] 트라마돌은 통증이나 신체 기능 개선 효과가 없을 가능성이 높고, 부작용 발생률을 높일 수 있다.[105] 경구 스테로이드는 뼈관절염 치료에 권장되지 않는다.[93]
항생제 독시사이클린 경구 투여는 기능 또는 관절 통증 개선과 관련이 없으며,[106] 관절 공간 협착에 대한 효과도 불분명하고 부작용으로 인한 피해가 더 클 수 있다.[106] 2018년 메타 분석에 따르면 경구 콜라겐 보충제는 뻣뻣함은 감소시키지만 통증과 기능적 제한은 개선하지 못했다.[107]
디클로페낙 등 여러 종류의 국소 NSAIDs가 있으며,[99] 2016년 코크란 리뷰에서는 무릎 골관절염 환자(40세 이상)에게 국소 디클로페낙과 케토프로펜 사용에 대한 비교적 신뢰할 수 있는 증거가 있다고 결론지었다.[99] 경피 오피오이드 진통제는 일반적으로 뼈관절염 치료에 권장되지 않는다.[104] 국소적(topical) 캡사이신 사용은 논란이 있다.[168][108][109]

6. 3. 수술적 치료
보존적 치료에 반응하지 않고 일상생활에 심각한 지장이 있는 경우 수술적 치료를 고려한다.- '''관절경 수술:''' 일반적으로 권장되지 않는다. 무릎 골관절염의 결과를 개선하지 못하고, 해를 끼칠 수 있다.[143][144][145] 경도 내지 중등도의 무릎 골관절염 환자에게 수술이 유익한지는 불분명하다.[146]
- '''절골술:''' 무릎 골관절염 환자에게 유용할 수 있지만, 이에 대한 연구는 충분히 이루어지지 않았으며 비수술적 치료 또는 다른 유형의 수술보다 더 효과적인지 여부는 불분명하다.[142][146]
- '''관절 고정술 (유합술):''' 일부 유형의 골관절염에서 선택 사항이 될 수 있다. 예를 들어 발목 골관절염의 경우, 말기 단계에서는 발목 관절 고정술이 표준 치료법으로 간주된다.[127]
- '''인공 관절 치환술:''' 골관절염 증상이 삶의 질에 미치는 영향이 심각하고, 보다 보수적인 치료법이 효과가 없을 때 권장할 수 있다. 증거에 따르면 무릎과 고관절 모두에 관절 치환술이 임상적으로 효과적[128][129]이며 비용 효율적[130][131]이다. 전 슬관절 치환술을 받은 사람들은 SF-12 삶의 질 점수가 향상되었고, 수술을 받지 않은 사람들에 비해 더 나은 느낌을 받았으며, 통증과 기능 측면에서 단기 및 장기적인 삶의 질 개선 효과를 보일 수 있다.[132][133] 이러한 수술의 긍정적인 효과는 다양한 환경적 요인, 동반 질환 및 신체의 다른 부위의 통증으로 인해 시간이 제한될 수 있다.[134]
- 어깨 골관절염이 있고 약물에 반응하지 않는 사람들을 위한 수술적 치료 옵션으로는 어깨 반관절 성형술(관절의 일부를 교체)과 전 어깨 관절 성형술(관절 전체 교체)이 있다.[135] 어깨 골관절염 환자의 경우 통증과 기능을 개선하기 위해 전 어깨 관절 성형술이 때때로 권장된다.[140] 이 치료법에 대한 수요는 2030년까지 750% 증가할 것으로 예상된다.[140] 총 어깨 관절 성형술과 반 어깨 관절 성형술을 비교했을 때 단기적으로 큰 임상적 이점이 감지되지 않았다는 것을 나타내는 낮은 품질의 증거가 일부 있다.[141]
- '''생물학적 관절 치환술:''' 병든 조직을 새로운 조직으로 교체하는 것을 포함한다. 이는 환자 본인(자가 이식) 또는 기증자(동종 이식)로부터 가능하다.[136]
- 관절 이식(골연골 동종 이식)을 받는 사람들은 뼈와 연골 조직이 제한적인 면역 반응을 보이기 때문에 면역 억제제를 복용할 필요가 없다.[137]
- 골연골 자가 이식 이식 시스템이라고 불리는, 체중 부하가 없는 부위에서 손상된 부위로의 자가 연골 이식은 연구되고 있는 가능한 절차 중 하나이다.[138]
- 결손된 연골이 국소적인 결함일 경우, 자가 연골 세포 이식 또한 선택 사항이다.[139]
- 제대혈 줄기세포 치료법으로 퇴행성 관절염을 치료할 수 있다. 없어지거나 찢어진 연골을 깨끗하게 걷어내고 무릎 골수에 구멍을 내서 줄기세포를 이식시키면 연골이 다시 생긴다. 거스 히딩크 전 한국 축구 국가대표팀 감독이 제대혈 줄기세포 치료를 받으면서 알려지게 되었다.[225] 제대혈 줄기세포 연골 수술 비용은 아직 보험이 적용되지 않아 1500만원~2500만원이다. 실손의료보험에 가입돼 있으면 200만원~300만원에 할 수 있다. 인공관절은 보험이 적용되어 400만원~500만원 정도이다.[225]
6. 4. 대한민국의 줄기세포 치료
거스 히딩크 전 대한민국 축구 국가대표팀 감독(73세, 네덜란드)은 제대혈 줄기세포 치료를 통해 퇴행성 관절염을 치료받은 것으로 알려져 있다. 지팡이를 짚고 절뚝거리던 히딩크 감독은 2014년 1월 강남제이에스병원에서 제대혈 줄기세포 치료를 받은 후 호전되었다.[225]제대혈 줄기세포를 이용한 퇴행성 관절염 치료는 손상된 연골을 재생시키는 효과가 있을 수 있다. 제대혈 줄기세포 연골 수술 비용은 아직 건강보험이 적용되지 않아 15억원~25억원 정도이다. 보통 15억원인데 배양된 줄기세포를 많이 써야 할 경우 비용이 올라간다. 실손의료보험에 가입되어 있으면 2억원~3억원 정도에 치료받을 수 있다. 인공관절 수술은 보험이 적용되어 4억원~5억원 정도이다.[225]
6. 5. 보완 대체 요법
글루코사민의 효과는 논란의 여지가 있다.[147] 여러 리뷰에서 위약과 같거나[148][149] 약간 더 나은 것으로 나타났다.[150][151] 글루코사민 설페이트와 글루코사민 염산염 사이에는 차이가 있을 수 있으며, 글루코사민 설페이트는 효과를 보이지만 글루코사민 염산염은 그렇지 않다는 연구 결과도 있다.[152] 글루코사민 설페이트가 골관절염의 진행에 영향을 미친다는 증거는 불분명하며, 효과가 있더라도 미미할 가능성이 높다.[153] 골관절염 연구 학회 국제기구(Osteoarthritis Research Society International)는 6개월 후에도 효과가 없으면 글루코사민 사용을 중단할 것을 권장하며[154], 국립 보건 및 임상 우수성 연구소(National Institute for Health and Care Excellence)는 더 이상 사용을 권장하지 않는다.[6] 그러나 글루코사민의 효능을 결정하기 어렵지만, 여전히 치료 옵션으로 남아 있다.[155] 유럽 골다공증 및 골관절염 임상 경제적 측면 학회(European Society for Clinical and Economic Aspects of Osteoporosis and Osteoarthritis, ESCEO)는 무릎 골관절염에 글루코사민 설페이트와 콘드로이틴 설페이트를 권장한다.[156] 골관절염 치료제로 사용되는 글루코사민은 일반적으로 안전하다.[155][157]2015년 코크란(Cochrane (organisation))의 콘드로이틴 임상 시험 리뷰에서는 대부분의 연구가 질이 낮았지만, 단기적인 통증 개선에 대한 일부 증거와 부작용이 거의 없다는 것을 발견했다. 그러나 영향을 받은 관절의 건강을 개선하거나 유지하는 데는 도움이 되지 않는 것으로 보인다.[158]
몇몇 고품질 보스웰리아 세라타 연구에서 통증과 기능의 일관되고 작은 개선이 나타났다.[159] 커큐민,[162] 피토돌,[168] 및 에스-아데노실 메티오닌(SAMe)[168][163]은 통증 개선에 효과적일 수 있다.
히알루론산,[167] 메틸설포닐메테인,[168] 로즈힙,[168] 캡사이신,[168] 또는 비타민 D의 사용을 뒷받침하는 증거는 제한적이다.[168][169]
침술은 통증 완화에 효과가 있지만, 그 효과는 미미하며 중요성에 의문이 있을 수 있다.[170] 대기자 대조 임상 시험에서는 말초 관절 골관절염에 임상적으로 유의미한 이점을 보이지만, 이는 위약 효과일 수 있다.[171][172] 침술은 장기적인 효과를 내지 못하는 것으로 보인다.[173]
경피 전기 자극(TENS)과 같은 전기 자극 기법은 무릎 골관절염 치료에 20년 동안 사용되어 왔지만, 통증이나 장애를 감소시킨다는 결정적인 증거는 없다.[174]
저강도 레이저 치료의 이점에 대한 증거는 불확실하며,[175] 골관절염 무릎의 단기적인 통증 완화를 발견했다는 리뷰도 있다.[176]
온천 요법(미네랄 목욕 또는 스파 치료)이 환자의 삶의 질이나 기능 개선에 도움이 되는지 확인하기 위해 추가 연구가 필요하다.[177] 얼음 또는 냉찜질은 도움이 될 수 있지만, 추가 연구가 필요하다.[178] 관절에 온찜질을 하는 것은 효과가 없다는 증거가 없다.[178]
치료 초음파가 무릎 골관절염 환자에게 도움이 될 수 있다는 낮은 수준의 증거가 있지만, 이 잠재적 이점의 정도와 중요성을 확인하고 결정하기 위해 추가 연구가 필요하다.[179] 치료 초음파는 안전하며 무릎 골관절염 환자의 통증 감소와 신체 기능 개선에 도움이 된다. 폰토포레시스는 기능을 개선하지는 않지만, 표준 비약물 초음파보다 더 큰 통증 완화를 제공할 수 있다.[180] 연속적이고 펄스된 초음파 모드(특히 1 MHz, 2.5 W/cm2, 15분/세션, 주 3회, 8주 동안의 프로토콜)는 환자의 신체 기능과 통증을 개선하는 데 효과적일 수 있다.[181]
전자기장 치료가 적당한 통증 완화를 가져올 수 있다는 미약한 증거가 있지만, 추가 연구가 필요하며 전자기장 치료가 삶의 질이나 기능을 개선할 수 있는지 여부는 알려져 있지 않다.[182]
무릎 골관절염에 대한 점도 보충은 주사 후 5~13주에 통증과 기능에 긍정적인 영향을 미칠 수 있다.[183]
메타분석에 따르면, 증거의 질은 낮지만, 콜라겐 가수분해물, 패션프루트 껍질 추출물, 강황 추출물, 보스웰리아 세라타 추출물, 커큐민, 피크노제놀, L-카르니틴이 통증 완화에 효과 크기 0.8 이상의 큰 유효성을 보였다.[221]。다음은 통계적으로 유의미한 차이를 보였지만, 임상적으로 의미 없는 치료 효과를 보인 콘드로이틴 (효과 크기 0.3), 글루코사민, 비변성 II형 콜라겐, 아보카도 대두 불검화물, 메틸설포닐메탄, 디아세레인이다.[221]
7. 역학
Osteoarthritis영어는 전 세계적으로 흔한 질환이다. 2010년 기준으로 약 2억 5천만 명이 무릎 뼈관절염을 앓고 있었으며(인구의 3.6%), 고관절 뼈관절염은 인구의 약 0.85%에 영향을 미친다.[186][185] 2004년에는 뼈관절염으로 인해 전 세계적으로 4,340만 명이 중등도에서 심각한 장애를 겪었으며,[187] 무릎 및 고관절 뼈관절염은 291가지 질병 중 전 세계적으로 11번째로 높은 장애 유발 원인이었다.[186]
중동 및 북아프리카 지역에서는 1990년부터 2019년까지 30년 동안 고관절 골관절염 환자 수가 3배 증가하여 총 128만 건에 달했다.[188] 같은 기간 무릎 골관절염은 2.88배 증가하여 616만 건에서 1775만 건으로, 손 골관절염은 2.7배 증가하여 160만 건에서 430만 건으로 늘었다.[189][190]
2012년 기준 미국에서는 5,250만 명이 뼈관절염을 앓고 있었으며, 이 중 약 50%가 65세 이상이었다.[191] 65세가 되면 인구의 80%가 방사선 사진에서 뼈관절염 징후를 보이지만, 이 중 60%만이 증상을 보인다.[192] 2040년까지 미국의 뼈관절염 발병률은 성인 7,800만 명(26%)으로 예측된다.[191] 2011년 미국에서는 약 964,000건의 뼈관절염 입원이 있었으며, 이는 인구 10,000명당 31건의 입원율에 해당한다.[193] 총 비용은 148억달러(1회 입원당 15400USD)로, 2011년 미국 입원 환자에게서 두 번째로 비용이 많이 드는 질환이었다.[194][195]
유럽에서는 1990년 2,790만 명에서 2019년 5,080만 명으로 뼈관절염 환자 수가 증가했다. 손 골관절염은 약 1,250만 명에게 영향을 미치는 두 번째로 흔한 유형이었다. 2019년 무릎 골관절염은 유럽에서 장애로 사는 연수(YLD)의 18번째로 흔한 원인이었으며, 전체 YLD의 1.28%를 차지했다.[196]
인도에서는 뼈관절염 환자 수가 1990년 2,346만 명에서 2019년 6,235만 명으로 증가했다. 무릎 골관절염이 가장 흔했으며, 손 골관절염이 그 뒤를 이었다. 2019년 뼈관절염은 인도에서 장애 보정 수명 (YLD)의 20번째 주요 원인이었으며, 전체 YLD의 1.48%를 차지했다.[197]
대한민국의 경우, 고령화 사회로 진입하면서 뼈관절염 환자 수가 꾸준히 증가하는 추세이며, 이로 인한 사회경제적 부담 역시 커지고 있다.
8. 연구 동향
질병 완화 요법은 관절 구조의 변화를 멈추고 증상을 완화시켜 질병 진행을 늦추는 치료를 말한다.[63] 현재 연구 중인 치료법은 다음과 같다.
- 라넬산 스트론튬 - 골관절염의 퇴행을 줄이고 결과를 개선할 수 있다.[202][203]
- 유전자 전달 전략 - 증상보다는 질병 과정을 목표로 한다.[204] 세포 매개 유전자 치료도 연구 중이다.[205][206] 한 가지 유전자 치료제가 대한민국에서 중등도 무릎 골관절염 치료제로 승인되었지만, 성분 오표시 및 허위 보고로 인해 취소되었다.[207][208] 이 약물은 관절 내 주사로 투여되었다.[208]
골관절염의 원인을 찾기 위해 시스템 기반 접근 방식이 필요하다는 증거가 제시되고 있다.[209] 트웬테 대학교의 과학자들은 삼투압이 유도하는 세포 내 분자 혼잡이 질병을 유발할 수 있다는 연구 결과를 발표했다.[210]
2015년에는 임상 시험에서 가용성 생체 지표를 포함하기 위한 요구 사항을 설명하는 지침이 발표되었지만,[211] 2021년 현재 골관절염 진단에 사용되는 검증된 생체 지표는 없다.[212][213]
골관절염 생체 지표에 대한 2015년의 체계적인 검토에서는 25개의 출판물에서 뼈와 연골 회전율의 37가지 생화학적 지표를 확인했다.[214] 이 중 소변 C-말단 텔로펩타이드 2형 콜라겐 (uCTX-II)은 무릎 골관절염 진행의 예후 지표로, 혈청 연골 올리고머 기질 단백질 (COMP) 수준은 무릎 및 엉덩이 골관절염 발생의 예후 지표로 가장 강력한 증거를 보였다. 엉덩이 골관절염 생체 지표에 대한 검토에서도 uCTX-II와의 연관성이 발견되었다.[215] 프로콜라겐 2형 C-말단 프로펩타이드(PIICP) 수준은 신체 내 2형 콜라겐 합성을 반영하며, 관절액 내 PIICP 수준은 조기 골관절염의 예후 지표로 사용될 수 있다.[216]
신트마르턴 클리닉(네덜란드)의 미셸 헤이먼(Michelle Heijman) 등은 항염증제 콜히친이 무릎 관절 및 고관절 인공 관절 치환술이 필요한 상태를 늦추는 데 도움이 될 수 있다는 연구 결과를 발표했다.[222]
9. 기타 동물
골관절염은 전 세계의 여러 동물 종에서 보고되었으며, 해양 동물, 심지어 일부 화석에서도 보고되었다. 여기에는 고양이, 설치류, 소, 사슴, 토끼, 양, 낙타, 코끼리, 물소, 하이에나, 사자, 노새, 돼지, 호랑이, 캥거루, 돌고래, 듀공, 말 등이 포함된다.[200]
골관절염은 대형 육식 공룡인 ''알로사우루스''의 화석에서도 보고되었다.[201]
참조
[1]
서적
Atlas of Osteoarthritis
https://books.google[...]
Springer
2015
[2]
웹사이트
A National Public Health Agenda for Osteoarthritis 2020
https://www.cdc.gov/[...]
2020-07-27
[3]
논문
Osteoarthritis
2019-04
[4]
논문
Osteoarthritis as an inflammatory disease (osteoarthritis is not osteoarthrosis!)
2013-01
[5]
논문
Osteoarthritis
2015-07
[6]
웹사이트
Osteoarthritis – Care and management in adults
http://www.nice.org.[...]
2015-10-21
[7]
논문
OARSI guidelines for the non-surgical management of knee osteoarthritis
2014-03
[8]
웹사이트
Osteoarthritis
http://www.niams.nih[...]
National Institute of Arthritis and Musculoskeletal and Skin Diseases
2015-05-13
[9]
논문
Biotribology of artificial hip joints
2015-01
[10]
논문
Global, regional, and national incidence, prevalence, and years lived with disability for 310 diseases and injuries, 1990-2015: a systematic analysis for the Global Burden of Disease Study 2015
2016-10
[11]
논문
Burden of disability due to musculoskeletal (MSK) disorders
2014-06
[12]
논문
Osteoarthritis: diagnosis and treatment
https://www.aafp.org[...]
2012-01
[13]
논문
Influence of meteorological elements on osteoarthritis pain: a review of the literature
2011-12
[14]
웹사이트
Swollen knee
http://www.mayoclini[...]
Mayo Clinic
2017
[15]
웹사이트
Bunions: Symptoms and causes
http://www.mayoclini[...]
Mayo Clinic
2017-04-20
[16]
논문
Etiopathogenesis of osteoarthritis
2009-01
[17]
논문
Osteoarthritis Increases the Risk of Cardiovascular Disease: Data from the Osteoarthritis Initiative
https://doi.org/10.1[...]
2018-03
[18]
논문
Exercise and knee osteoarthritis: benefit or hazard?
2009-09
[19]
논문
Running and Knee Osteoarthritis: A Systematic Review and Meta-analysis
http://eprints.linco[...]
2023-07-15
[20]
논문
Knuckle cracking and hand osteoarthritis
2011
[21]
논문
Knee osteoarthritis and obesity
2001-05
[22]
논문
Sex hormones and structural changes in osteoarthritis: a systematic review
2011-06
[23]
논문
Osteoarthritis: new insights. Part 1: the disease and its risk factors
2000-10
[24]
간행물
Occupational Exposures and Osteoarthritis: A systematic review and assessment of medical, social and ethical aspects
https://www.sbu.se/e[...]
Swedish Agency for Health Technology Assessment and Assessment of Social Services
2018-04-08
[25]
논문
Recent advances in management of alkaptonuria (invited review; best practice article)
2013-05
[26]
웹사이트
Birth Defects: Condition Information
https://www.nichd.ni[...]
2017-12-08
[27]
웹사이트
Congenital Disorders of Sexual Development
https://www.lecturio[...]
2021-08-22
[28]
논문
The adverse effects of diabetes on osteoarthritis: update on clinical evidence and molecular mechanisms
2015-06
[29]
웹사이트
Ehlers-Danlos Syndrome
https://www.lecturio[...]
2021-08-22
[30]
웹사이트
Hereditary Hemochromatosis
https://www.lecturio[...]
2021-08-22
[31]
웹사이트
Marfan Syndrome
https://www.lecturio[...]
2021-08-22
[32]
웹사이트
Obesity
https://www.lecturio[...]
2021-08-22
[33]
웹사이트
Arthritis, Infectious
https://rarediseases[...]
2017-07-19
[34]
논문
Approach to septic arthritis
2011-09
[35]
논문
Acute osteoarticular infections in children are frequently forgotten multidiscipline emergencies: beyond the technical skills
2021-07
[36]
웹사이트
Synovial Joints
http://cnx.org/conte[...]
OpenStax CNX
2013-04-25
[37]
간행물
The mechanobiology of articular cartilage: bearing the burden of osteoarthritis
2014-10
[38]
간행물
Balance between swelling pressure and collagen tension in normal and degenerate cartilage
1976-04
[39]
간행물
Biochemical Findings in Normal and Osteoarthritic Articular Cartilage. II. Chondroitin Sulfate Concentration and Chain Length, Water, and Ash Content
1966-07
[40]
간행물
The composition of normal and osteoarthritic articular cartilage from human knee joints. With special reference to unicompartmental replacement and osteotomy of the knee
1984-01
[41]
간행물
Correlation between the MR T2 value at 4.7 T and relative water content in articular cartilage in experimental osteoarthritis induced by ACL transection
2009-04
[42]
간행물
Some biochemical and biophysical parameters for the study of the pathogenesis of osteoarthritis: a comparison between the processes of ageing and degeneration in human hip cartilage
[43]
간행물
Water content and binding in normal and osteoarthritic human cartilage
1975-01
[44]
간행물
Chemical composition and swelling of normal and osteoarthrotic femoral head cartilage. I. Chemical composition
1977-04
[45]
간행물
Biological aspects of early osteoarthritis
2012-03
[46]
간행물
Meniscus pathology, osteoarthritis and the treatment controversy
2012-05
[47]
간행물
Subchondral bone in osteoarthritis: insight into risk factors and microstructural changes
[48]
간행물
Knee effusions, popliteal cysts, and synovial thickening: association with knee pain in osteoarthritis
2001-06
[49]
간행물
The association of bone marrow lesions with pain in knee osteoarthritis
2001-04
[50]
서적
Oxford American Handbook of Clinical Medicine
https://books.google[...]
OUP
2013
[51]
서적
StatPearls
StatPearls Publishing
2019
[52]
간행물
EULAR evidence-based recommendations for the diagnosis of knee osteoarthritis
http://ard.bmj.com/c[...]
2010-03
[53]
간행물
Joint space narrowing and relationship with symptoms and signs in adults consulting for hip pain in primary care
2002-08
[54]
간행물
Osteoarthritis (OA): Joint Disorders
[55]
간행물
Osteoarthritis treatment update: Are NSAIDs still in the picture?
http://www.musculosk[...]
2010-02-09
[56]
웹사이트
Patient information: Osteoarthritis symptoms and diagnosis (Beyond the Basics)
https://www.uptodate[...]
UpToDate
2013-02-15
[57]
간행물
The American College of Rheumatology criteria for the classification and reporting of osteoarthritis of the hand
1990-11
[58]
간행물
Health-related quality of life and appropriateness of knee or hip joint replacement
2006-01
[59]
웹사이트
Tönnis Classification of Osteoarthritis by Radiographic Changes
http://www.preventiv[...]
Society of Preventive Hip Surgery
2016-12-13
[60]
간행물
Erosive osteoarthritis
2004-10
[61]
간행물
The role of acetaminophen in the treatment of osteoarthritis
http://www.ajmc.com/[...]
2010-03
[62]
간행물
Paracetamol versus placebo for knee and hip osteoarthritis
2019-02
[63]
간행물
Disease-modifying drugs in osteoarthritis: current understanding and future therapeutics
2018-12
[64]
간행물
Modifiable risk factors in knee osteoarthritis: treatment implications
2019-07
[65]
간행물
How to improve discussions about osteoarthritis in primary care
https://evidence.nih[...]
2022-06-23
[66]
간행물
Patient and practitioner priorities and concerns about primary healthcare interactions for osteoarthritis: A meta-ethnography
2022-07
[67]
간행물
Exercise and osteoarthritis
[68]
간행물
Osteoarthritis- a systematic review of long-term safety implications for osteoarthritis of the knee
[69]
간행물
Mendelian Randomization Studies of Lifestyle-Related Risk Factors for Osteoarthritis: A PRISMA Review and Meta-Analysis
2022-10
[70]
간행물
Exercise therapy for bone and muscle health: an overview of systematic reviews
2012-12
[71]
논문
Exercise for osteoarthritis of the hip
2014-04-01
[72]
논문
Exercise interventions and patient beliefs for people with hip, knee or hip and knee osteoarthritis: a mixed methods review
2018-04-01
[73]
논문
Impact of exercise type and dose on pain and disability in knee osteoarthritis: a systematic review and meta-regression analysis of randomized controlled trials
2014-03-01
[74]
논문
Physical therapy interventions for knee pain secondary to osteoarthritis: a systematic review
2012-11-01
[75]
논문
Interventions to improve adherence to exercise for chronic musculoskeletal pain in adults
2010-01-01
[76]
논문
Manual therapy for osteoarthritis of the hip or knee - a systematic review
2011-04-01
[77]
논문
Effectiveness of aquatic exercise for treatment of knee osteoarthritis: Systematic review and meta-analysis
2015-08-01
[78]
논문
Physiological risk factors for falls in older people with lower limb arthritis
2004-11-01
[79]
논문
Falls and fall injuries among adults with arthritis--United States, 2012
2014-05-01
[80]
논문
Exercise for hand osteoarthritis
2017-01-01
[81]
논문
Knee extensor muscle weakness is a risk factor for the development of knee osteoarthritis: an updated systematic review and meta-analysis including 46 819 men and women
2022-03-01
[82]
논문
A systematic review investigating the efficacy of laterally wedged insoles for medial knee osteoarthritis
2013-10-01
[83]
논문
Lateral wedge insoles as a conservative treatment for pain in patients with medial knee osteoarthritis: a meta-analysis
2013-08-01
[84]
논문
Braces and orthoses for treating osteoarthritis of the knee
2015-03-01
[85]
논문
Physiotherapy management of knee osteoarthritis
2011-05-01
[86]
웹사이트
Osteoarthritis Lifestyle and home remedies
http://www.mayoclini[...]
Mayo Clinic
[87]
논문
Aquatic exercise for the treatment of knee and hip osteoarthritis
2016-03-01
[88]
논문
Exercise for osteoarthritis of the knee
2015-01-01
[89]
논문
Daily walking and the risk of incident functional limitation in knee osteoarthritis: an observational study
2014-09-01
[90]
논문
Aquatic exercise for the treatment of knee and hip osteoarthritis
2016-03-01
[91]
논문
Thermotherapy for treatment of osteoarthritis
[92]
웹사이트
Pain Relief with NSAID Medications
https://www.consumer[...]
2016-01-01
[93]
논문
OARSI recommendations for the management of hip and knee osteoarthritis, part I: critical appraisal of existing treatment guidelines and systematic review of current research evidence
2007-09-01
[94]
논문
Efficacy and safety of paracetamol for spinal pain and osteoarthritis: systematic review and meta-analysis of randomised placebo controlled trials
2015-03-01
[95]
논문
Cyclooxygenase-2 selective non-steroidal anti-inflammatory drugs (etodolac, meloxicam, celecoxib, rofecoxib, etoricoxib, valdecoxib and lumiracoxib) for osteoarthritis and rheumatoid arthritis: a systematic review and economic evaluation
2008-04-01
[96]
논문
Cost-effectiveness analyses of osteoarthritis oral therapies: a systematic review
2013-12-01
[97]
논문
Relative benefit-risk comparing diclofenac to other traditional non-steroidal anti-inflammatory drugs and cyclooxygenase-2 inhibitors in patients with osteoarthritis or rheumatoid arthritis: a network meta-analysis
2015-03-01
[98]
논문
Celecoxib for osteoarthritis
2017-05-01
[99]
논문
Topical NSAIDs for chronic musculoskeletal pain in adults
2016-04-01
[100]
논문
Rofecoxib for osteoarthritis
2005-01-01
[101]
논문
Hip pain and mobility deficits--hip osteoarthritis: clinical practice guidelines linked to the international classification of functioning, disability, and health from the orthopaedic section of the American Physical Therapy Association
2009-04-01
[102]
논문
High correlation of VAS pain scores after 2 and 6 weeks of treatment with VAS pain scores at 12 weeks in randomised controlled trials in rheumatoid arthritis and osteoarthritis: meta-analysis and implications
2016-03-01
[103]
논문
American College of Rheumatology 2012 recommendations for the use of nonpharmacologic and pharmacologic therapies in osteoarthritis of the hand, hip, and knee
2012-04-01
[104]
논문
Oral or transdermal opioids for osteoarthritis of the knee or hip
2014-09-01
[105]
논문
Tramadol for osteoarthritis
2019-05-01
[106]
논문
Doxycycline for osteoarthritis of the knee or hip
2012-11
[107]
논문
Effect of collagen supplementation on osteoarthritis symptoms: a meta-analysis of randomized placebo-controlled trials
2019-03
[108]
논문
Evidence of effectiveness of herbal medicinal products in the treatment of arthritis. Part I: Osteoarthritis
2009-11
[109]
논문
Topical therapy for osteoarthritis: clinical and pharmacologic perspectives
2009-03
[110]
논문
Ultrasound Diagnostic and Therapeutic Injections of the Hip and Groin
2017-12
[111]
논문
Osteoarthritis- a systematic review of long-term safety implications for osteoarthritis of the knee
2019-04
[112]
논문
Pharmacodynamics, efficacy, safety and administration of intra-articular therapies for knee osteoarthritis
2019-12
[113]
논문
How Effective Are Non-Operative Intra-Articular Treatments for Bone Marrow Lesions in Knee Osteoarthritis in Adults? A Systematic Review of Controlled Clinical Trials
2022-12
[114]
논문
Corticosteroid injections for osteoarthritis of the knee: meta-analysis
2004-04
[115]
논문
Intra-articular corticosteroid for knee osteoarthritis
2015-10
[116]
논문
The Effect of Intra-articular Corticosteroids on Articular Cartilage: A Systematic Review
2015-05
[117]
논문
Effect of Intra-articular Triamcinolone vs Saline on Knee Cartilage Volume and Pain in Patients With Knee Osteoarthritis: A Randomized Clinical Trial
2017-05
[118]
"[[Levels of evidence|Level-II]] therapeutic study"
Intraocular Pressure Increases After Intraarticular Knee Injection With Triamcinolone but Not Hyaluronic Acid
2018-07
[119]
논문
Viscosupplementation for osteoarthritis of the knee: a systematic review and meta-analysis
2012-08
[120]
논문
Viscosupplementation for Osteoarthritis of the Knee: A Systematic Review of the Evidence
2015-12
[121]
논문
Hyaluronic acid and other conservative treatment options for osteoarthritis of the ankle
2015-10
[122]
논문
The efficacy of platelet-rich plasma in the treatment of symptomatic knee osteoarthritis: a systematic review with quantitative synthesis
2013-12
[123]
논문
Intraarticular Injections of Platelet-rich Plasma (PRP) in the Management of Knee Osteoarthritis
2013-09
[124]
논문
Platelet-rich therapies for musculoskeletal soft tissue injuries
2014-04
[125]
논문
The EANM guideline for radiosynoviorthesis
2022-01
[126]
논문
The Use of Low-Dose Radiation Therapy in Osteoarthritis: A Review
https://www.redjourn[...]
2022-10-01
[127]
논문
Ankle Arthrodesis - a Review of Current Techniques and Results
2020
[128]
논문
Patient characteristics affecting the prognosis of total hip and knee joint arthroplasty: a systematic review
2008-12
[129]
논문
Knee replacement
2012-04
[130]
논문
Predicting the cost-effectiveness of total hip and knee replacement: a health economic analysis
2013-01
[131]
논문
The cost-effectiveness of total joint arthroplasty: a systematic review of published literature
2012-10
[132]
논문
Impact of total knee replacement practice: cost effectiveness analysis of data from the Osteoarthritis Initiative
2017-03
[133]
논문
Intermediate and long-term quality of life after total knee replacement: a systematic review and meta-analysis
2015-01
[134]
논문
Total hip or knee replacement for osteoarthritis: mid- and long-term quality of life
2010-01
[135]
논문
Surgery for shoulder osteoarthritis
2010-10
[136]
웹사이트
Osteochondral Autograft & Allograft
https://www.ortho.wu[...]
2020-01-26
[137]
논문
Osteoarticular transplantation: recognizing expected postsurgical appearances and complications
2015
[138]
논문
An educational review of cartilage repair: precepts & practice--myths & misconceptions--progress & prospects
2015-03
[139]
논문
Autologous chondrocyte implantation in the knee: systematic review and economic evaluation
2017-02
[140]
논문
Cochrane in CORR®: Shoulder Replacement Surgery For Osteoarthritis And Rotator Cuff Tear Arthropathy
2020-11
[141]
논문
Shoulder replacement surgery for osteoarthritis and rotator cuff tear arthropathy
2020-04
[142]
논문
Osteotomy for treating knee osteoarthritis
2014-12
[143]
논문
A systematic review of recommendations and guidelines for the management of osteoarthritis: The chronic osteoarthritis management initiative of the U.S. bone and joint initiative
2014-06
[144]
논문
The role of arthroscopy in the management of knee osteoarthritis
2014-02
[145]
논문
Arthroscopic surgery for degenerative knee: systematic review and meta-analysis of benefits and harms
2015-06
[146]
논문
Surgical interventions for symptomatic mild to moderate knee osteoarthritis
2019-07
[147]
논문
Difficulties with assessing the benefit of glucosamine sulphate as a treatment for osteoarthritis
2012-09
[148]
논문
Effects of glucosamine, chondroitin, or placebo in patients with osteoarthritis of hip or knee: network meta-analysis
2010-09
[149]
논문
Efficacies of different preparations of glucosamine for the treatment of osteoarthritis: a meta-analysis of randomised, double-blind, placebo-controlled trials
2013-06
[150]
간행물
Analgesics for Osteoarthritis: An Update of the 2006 Comparative Effectiveness Review
https://www.ncbi.nlm[...]
Agency for Healthcare Research and Quality
2011-10
[151]
논문
Glucosamine and chondroitin sulfate
2011-02
[152]
논문
Crystalline glucosamine sulfate in the management of knee osteoarthritis: efficacy, safety, and pharmacokinetic properties
2012-06
[153]
논문
Dietary supplements as disease-modifying treatments in osteoarthritis: a critical appraisal
2014-06
[154]
논문
OARSI recommendations for the management of hip and knee osteoarthritis, Part II: OARSI evidence-based, expert consensus guidelines
2008-02
[155]
논문
Is there any scientific evidence for the use of glucosamine in the management of human osteoarthritis?
2012-01
[156]
논문
An algorithm recommendation for the management of knee osteoarthritis in Europe and internationally: a report from a task force of the European Society for Clinical and Economic Aspects of Osteoporosis and Osteoarthritis (ESCEO)
2014-12
[157]
논문
A review of evidence-based medicine for glucosamine and chondroitin sulfate use in knee osteoarthritis
2009-01
[158]
논문
Chondroitin for osteoarthritis
2015-01
[159]
논문
Oral herbal therapies for treating osteoarthritis
2014-05
[160]
논문
Management of Osteoarthritis with Avocado/Soybean Unsaponifiables
2015-01
[161]
웹사이트
Piascledine
http://www.has-sante[...]
Haute Autorité de santé
2013-07-25
[162]
논문
Efficacy and Safety of Turmeric Extracts for the Treatment of Knee Osteoarthritis: a Systematic Review and Meta-analysis of Randomised Controlled Trials
https://figshare.com[...]
2021-01
[163]
논문
Evidence-Based Evaluation of Complementary Health Approaches for Pain Management in the United States
2016-09
[164]
논문
S-Adenosylmethionine for osteoarthritis of the knee or hip
2009-10
[165]
논문
Efficacy and safety of hydroxychloroquine in osteoarthritis: a systematic review and meta-analysis of randomized controlled trials
2022-01
[166]
논문
Efficacy and safety of colchicine for the treatment of osteoarthritis: a systematic review and meta-analysis of intervention trials
2023-03
[167]
논문
Oral hyaluronan relieves knee pain: a review
2016-01
[168]
논문
Evidence for the efficacy of complementary and alternative medicines in the management of osteoarthritis: a systematic review
2011-05
[169]
논문
Vitamin D supplementation for the management of knee osteoarthritis: a systematic review of randomized controlled trials
2017-09
[170]
논문
The Effects of Acupuncture on Chronic Knee Pain Due to Osteoarthritis: A Meta-Analysis
2016-09
[171]
논문
Acupuncture for peripheral joint osteoarthritis
2010-01
[172]
논문
Acupuncture for hip osteoarthritis
2018-05
[173]
논문
Acupuncture analgesia: II. Clinical considerations
http://www.mvclinic.[...]
2008-02
[174]
논문
Transcutaneous electrostimulation for osteoarthritis of the knee
2009-10
[175]
논문
Low level laser therapy (Classes I, II and III) for treating osteoarthritis
2004
[176]
논문
Short-term efficacy of physical interventions in osteoarthritic knee pain. A systematic review and meta-analysis of randomised placebo-controlled trials
2007-06
[177]
논문
Balneotherapy for osteoarthritis
2007-10
[178]
논문
Thermotherapy for treatment of osteoarthritis
2003
[179]
논문
Therapeutic ultrasound for osteoarthritis of the knee or hip
2010-01
[180]
논문
Effects of therapeutic ultrasound for knee osteoarthritis: a systematic review and meta-analysis
2019-12
[181]
논문
Pre-operative interventions (non-surgical and non-pharmacological) for patients with hip or knee osteoarthritis awaiting joint replacement surgery--a systematic review and meta-analysis
2011-12
[182]
논문
Electromagnetic fields for treating osteoarthritis
2013-12
[183]
논문
Viscosupplementation for the treatment of osteoarthritis of the knee
2006-04
[184]
웹사이트
WHO Disease and injury country estimates
https://www.who.int/[...]
2009-11-11
[185]
논문
Years lived with disability (YLDs) for 1160 sequelae of 289 diseases and injuries 1990-2010: a systematic analysis for the Global Burden of Disease Study 2010
2012-12
[186]
논문
The global burden of hip and knee osteoarthritis: estimates from the global burden of disease 2010 study
2014-07
[187]
서적
The Global Burden of Disease: 2004 Update
World Health Organization
[188]
논문
Increasing burden of hip osteoarthritis in the Middle East and North Africa (MENA): an epidemiological analysis from 1990 to 2019
2023-06
[189]
논문
Burden of knee osteoarthritis in the Middle East and North Africa (MENA): an epidemiological analysis from 1990 to 2019
2023-04
[190]
논문
Burden of Hand Osteoarthritis in the Middle East and North Africa (MENA): An Epidemiological Analysis From 1990 to 2019
2023-03
[191]
웹사이트
Arthritis-Related Statistics: Prevalence of Arthritis in the United States
https://www.cdc.gov/[...]
U.S. Centers for Disease Control and Prevention
2016-11-09
[192]
논문
Understanding NSAIDs: from aspirin to COX-2
[193]
웹사이트
Most Frequent Conditions in U.S. Hospitals, 2011 #162
http://www.hcup-us.a[...]
Agency for Healthcare Research and Quality
2013-09
[194]
웹사이트
National Inpatient Hospital Costs: The Most Expensive Conditions by Payer, 2011
http://hcup-us.ahrq.[...]
Agency for Healthcare Research and Quality
2013-08
[195]
서적
Healthcare Cost and Utilization Project (HCUP) Statistical Briefs [Internet].
Agency for Healthcare Research and Quality (US) 2006 February
2013-12
[196]
웹사이트
PEMFs and knee osteoarthritis - almagia
https://almagia.com/[...]
2017-11-08
[197]
논문
Burden of osteoarthritis in India and its states, 1990-2019: findings from the Global Burden of disease study 2019
2022-08
[198]
서적
Nature Cure for Common Diseases
Arya Publication
[199]
논문
Osteoarthritis or Osteoarthrosis: Commentary on Misuse of Terms
2017-04-17
[200]
논문
Osteoarthritis in two marine mammals and 22 land mammals: learning from skeletal remains
Wiley
2017-07
[201]
서적
Mesozoic Vertebrate Life
https://archive.org/[...]
Indiana University Press
[202]
서적
Chemical Biology: Approaches to Drug Discovery and Development to Targeting Disease
https://books.google[...]
John Wiley & Sons
[203]
논문
Evaluation of symptomatic slow-acting drugs in osteoarthritis using the GRADE system
2008-12
[204]
논문
Gene therapy in osteoarthritis
[205]
논문
Regeneration of hyaline cartilage by cell-mediated gene therapy using transforming growth factor beta 1-producing fibroblasts
2001-09
[206]
논문
Orthopedic cellular therapy: An overview with focus on clinical trials
2015-11
[207]
웹사이트
Seoul revokes license for gene therapy drug Invossa
https://en.yna.co.kr[...]
2019-05-28
[208]
뉴스
Korea OKs first cell gene therapy 'Invossa'
http://www.koreahera[...]
2017-07-12
[209]
논문
Dance between biology, mechanics, and structure: A systems-based approach to developing osteoarthritis prevention strategies
2015-07
[210]
논문
Osmolarity-Induced Altered Intracellular Molecular Crowding Drives Osteoarthritis Pathology
2024-07
[211]
논문
OARSI Clinical Trials Recommendations: Soluble biomarker assessments in clinical trials in osteoarthritis
2015-05
[212]
서적
Cartilage Tissue and Knee Joint Biomechanics
https://shop.elsevie[...]
Elsevier
[213]
논문
Imaging and Biochemical Markers for Osteoarthritis
2021-07
[214]
논문
Biomarkers for osteoarthritis: Can they be used for risk assessment? A systematic review
2015-09
[215]
논문
What is the utility of biomarkers for assessing the pathophysiology of hip osteoarthritis? A systematic review
2015-05
[216]
논문
Review of Prospects of Biological Fluid Biomarkers in Osteoarthritis
2017-03
[217]
웹사이트
https://www.msdmanua[...]
[218]
웹사이트
変形性関節症
http://www.ebm.jp/di[...]
標準医療情報センター
[219]
웹사이트
Thoái hóa khớp: Nguyên nhân, Triệu chứng và Cách điều trị
https://nhatnamyvien[...]
2023-07-27
[220]
서적
病気がみえるVol.6
メディックメディア社
[221]
논문
Dietary supplements for treating osteoarthritis: a systematic review and meta-analysis
2018-02
[222]
웹사이트
コルヒチンは変形性関節症の進行を抑制する?
https://medical-trib[...]
2023-06-13
[223]
서적
Atlas of Osteoarthritis
https://books.google[...]
Springer
2015
[224]
웹인용
Osteoarthritis
http://www.niams.nih[...]
2015-05-13
[225]
뉴스
줄기세포 치료 후 연골 재생…퇴행성관절염 치료 ‘신세계’ 열렸다
동아일보
2019-11-30
본 사이트는 AI가 위키백과와 뉴스 기사,정부 간행물,학술 논문등을 바탕으로 정보를 가공하여 제공하는 백과사전형 서비스입니다.
모든 문서는 AI에 의해 자동 생성되며, CC BY-SA 4.0 라이선스에 따라 이용할 수 있습니다.
하지만, 위키백과나 뉴스 기사 자체에 오류, 부정확한 정보, 또는 가짜 뉴스가 포함될 수 있으며, AI는 이러한 내용을 완벽하게 걸러내지 못할 수 있습니다.
따라서 제공되는 정보에 일부 오류나 편향이 있을 수 있으므로, 중요한 정보는 반드시 다른 출처를 통해 교차 검증하시기 바랍니다.
문의하기 : help@durumis.com