음부신경
"오늘의AI위키"의 AI를 통해 더욱 풍부하고 폭넓은 지식 경험을 누리세요.
1. 개요
음부신경은 엉치신경얼기에서 갈라져 나오는 신경으로, 남성의 음경, 여성의 음핵, 회음부, 골반 바닥 근육 등에 감각 및 운동 기능을 제공한다. 엉치신경(S2, S3, S4)에서 유래하며, 궁둥구멍근과 꼬리근 사이를 지나 골반을 나가 엉치가시인대를 거쳐 다시 골반으로 들어온다. 음부신경은 아래곧창자신경, 샅신경, 음경등신경(남성), 음핵등신경(여성) 등으로 갈라진다. 임상적으로는 음부신경 마취, 손상, 신경 잠복기 검사 등에 활용되며, '푸덴달'이라는 용어는 외부 생식기를 뜻하는 라틴어에서 유래했다.
더 읽어볼만한 페이지
- 성해부학 - 성징
성징은 생물의 성별을 나타내는 신체적 특징으로, 성차를 이루며, 일차 성징(생식 기관)과 이차 성징(사춘기 이후 변화)으로 나뉘고, 성별, 젠더, 성적 지향 등과 상호작용하는 개념이다. - 성해부학 - 항문올림근
항문올림근은 골반 바닥을 지지하는 엉덩꼬리근, 두덩꼬리근, 두덩곧창자근으로 구성된 중요한 근육으로, 골반 장기 지지, 요 흐름 조절, 남성 사정, 출산 시 아기 머리 위치에 기여하며 케겔 운동으로 강화될 수 있지만 손상 시 골반저기능장애를 유발할 수 있다. - 샅 - 망울해면체근
망울해면체근은 남녀 샅에 위치하여 생식 및 배뇨 기능에 관여하며, 남성의 발기, 오르가슴, 사정, 여성의 음핵 발기와 오르가슴 시 수축, 그리고 방광 배출 후 요도를 비우는 데 기여하는 근육이다. - 샅 - 궁둥해면체근
궁둥해면체근은 남성과 여성의 생식기 주변에 위치하며, 음경다리 또는 음핵다리에 붙어 발기 유지 및 오르가슴 시 질 긴장을 돕는 근육이다. - 하반신의 신경 - 폐쇄신경
폐쇄신경은 허리신경얼기에서 시작하여 골반을 거쳐 넓적다리 안쪽으로 연결되는 신경으로, 다리 안쪽 피부 감각과 다리 모음근의 운동 기능을 담당하며, 무릎이나 요도 수술 시 신경 차단술에 활용되고, 일부 사람들에게는 부폐쇄신경이 존재할 수 있다. - 하반신의 신경 - 얕은종아리신경
얕은종아리신경은 다리의 피부 감각과 근육 운동을 담당하는 말초신경으로, 안쪽발등피부신경과 중간발등피부신경으로 나뉘어 발등 피부 감각을 담당하며, 긴종아리근과 짧은종아리근을 지배하고 손상 시 발등 젖힘 능력 상실 및 감각 저하를 유발하여 낙상 위험을 증가시킬 수 있다.
음부신경 | |
---|---|
개요 | |
![]() | |
라틴어 | nervus pudendus |
기원 | |
시작 | 엉치신경 S2, S3, S4 |
분포 | |
가지 | 아래곧창자신경 샅신경 음경등신경(남성) 음핵등신경(여성) |
2. 구조
음부신경은 엉치신경얼기의 주요 가지이며, 척수의 엉치뼈 부위에 있는 오누프핵에서 기원하는 섬유이다.[34]
사람에 따라 음부신경의 시작점은 다를 수 있다. 예를 들어, 음부신경은 궁둥신경에서 갈라져 나올 수 있다.[35] 이런 경우 궁둥신경이 손상되면 음부신경에도 영향을 줄 수 있다. 때로는 첫째엉치신경의 등쪽 가지가 음부신경에 신경섬유를 내고, 훨씬 드물게는 다섯째엉치신경에서 나온 가지가 함께 음부신경을 형성할 수 있다.[30]
2. 1. 주행 경로
음부신경은 몸의 왼쪽과 오른쪽에 각각 하나씩, 총 두 개가 있다. 각각의 음부신경은 3개의 신경 뿌리가 갈라져 나온 즉시 엉치결절인대와 꼬리근의 위쪽 경계선 위에서 합쳐져 형성된다.[29] 중간뿌리와 아래뿌리가 합쳐져 아래갈래를 형성하면서 3개의 뿌리가 2개의 갈래가 되고, 그 후 두 갈래가 결합하여 엉치가시인대 바로 몸쪽에 위치하는 음부신경을 형성한다.[30] 세 개의 뿌리는 둘째, 셋째, 넷째엉치신경(S2, S3, S4)의 앞가지에서 유래한다.[29][31] 이 중 셋째엉치신경에서 음부신경 형성에 가장 많은 지분을 차지한다.[32]음부신경은 궁둥구멍근과 꼬리근 사이를 통과하고 큰궁둥구멍의 아랫부분을 통해 골반을 나간다.[29] 골반을 나간 이후로는 엉치가시인대의 가쪽 부분을 가로질러 작은궁둥구멍을 통해 골반으로 다시 들어온다. 골반에 들어온 이후에는 궁둥항문오목의 가쪽 벽을 따라 속음부동맥, 속음부정맥과 함께 폐쇄근막에 의해 형성된 신경혈관집(sheath)인 음부신경관에 싸인 채 위앞쪽으로 주행한다.[33]
음부신경관 내에서 음부신경은 여러 가지로 나뉜다. 먼저 아래곧창자신경을 내며, 그 후 샅신경을 낸다. 이후 남성의 경우 음경등신경으로, 여성의 경우 음핵등신경으로 이어진다.[33]
2. 2. 가지
음부신경은 몸의 왼쪽과 오른쪽에 각각 하나씩, 총 두 개가 있다. 각각의 음부신경은 3개의 신경 뿌리가 갈라져 나온 즉시 엉치결절인대와 꼬리근의 위쪽 경계선 위에서 합쳐져 형성된다.[29] 중간뿌리와 아래뿌리가 합쳐져 아래갈래를 형성하면서 3개의 뿌리가 2개의 갈래(cord)가 되고, 그 후 두 갈래가 결합하여 엉치가시인대 바로 몸쪽에 위치하는 음부신경을 형성한다.[30] 세 개의 뿌리는 둘째, 셋째, 넷째엉치신경(S2, S3, S4)의 앞가지에서 유래한다.[29][31] 이 중 셋째엉치신경에서 음부신경 형성에 가장 많은 지분을 차지한다.[32]음부신경은 궁둥구멍근과 꼬리근 사이를 통과하고 큰궁둥구멍의 아랫부분을 통해 골반을 나간다.[29] 골반을 나간 이후로는 엉치가시인대의 가쪽 부분을 가로질러 작은궁둥구멍을 통해 골반으로 다시 들어온다. 골반에 들어온 이후에는 궁둥항문오목의 가쪽 벽을 따라 속음부동맥, 속음부정맥과 함께 폐쇄근막에 의해 형성된 신경혈관집(sheath)인 음부신경관에 싸인 채 위앞쪽으로 주행한다.[33]
음부신경관 내에서 음부신경은 여러 가지로 나뉜다. 먼저 아래곧창자신경을 내며, 그 후 샅신경을 낸다. 이후 남성의 경우 음경등신경으로, 여성의 경우 음핵등신경으로 이어진다.[33]
2. 3. 신경핵
음부신경은 엉치신경얼기의 주요 가지이며,[34] 척수의 엉치뼈 부위에 있는 오누프핵에서 기원하는 섬유이다.[30]2. 4. 변이
음부신경은 그 시작점이 사람에 따라 다를 수 있다. 예를 들어 음부신경은 궁둥신경에서 갈라져 나올 수 있다.[35] 결과적으로 이런 경우 궁둥신경이 손상되면 음부신경에도 영향을 줄 수 있다. 때로는 첫째엉치신경의 등쪽 가지가 음부신경에 신경섬유를 내고 훨씬 더 드물게는 다섯째엉치신경에서 나온 가지가 함께 음부신경을 형성할 수 있다.[30]음부신경은 한 쌍으로, 신체의 좌우에 하나씩 두 개의 신경이 있다. 각각은 엉치결절인대와 꼬리뼈근의 위쪽 경계 바로 위에서 세 개의 뿌리가 모이면서 형성된다.[2] 세 개의 뿌리는 중간 뿌리와 아래 뿌리가 합쳐져 아래쪽 끈을 형성하고, 이들이 다시 합쳐져 엉치가시인대 바로 근위부에서 제대로 된 음부신경을 형성할 때 두 개의 끈이 된다.[7] 세 개의 뿌리는 2, 3, 4번째 엉치척수신경의 배쪽 가지에서 유래하며, 주된 기여는 4번째에서 온다.[2][3][4]
음부신경은 기원이 다양할 수 있다. 예를 들어, 음부신경은 실제로 궁둥신경에서 기원할 수 있다.[6] 결과적으로, 궁둥신경 손상은 음부신경에도 영향을 미칠 수 있다. 때로는 첫 번째 천추신경의 배측지가 음부신경에 섬유를 제공하며, 드물게 다섯 번째 천추신경도 기여한다.[7]
3. 기능
음부신경은 운동 기능과 감각 기능을 모두 가지고 있다. 교감신경 섬유는 운반하지만 부교감신경 섬유는 운반하지 않는다.[36]
음부신경은 샅과 골반바닥의 근육 및 음경, 음핵, 음낭, 음순, 항문관 등에 분포하여 감각 및 운동 기능을 담당한다. [37] [38] [33] 발기와 사정에도 관여한다.[39] [40]
3. 1. 감각 기능
음부신경은 운동 기능과 감각 기능을 모두 가지고 있다. 교감신경 섬유는 운반하지만 부교감신경 섬유는 운반하지 않는다.[36]음부신경은 남성의 음경, 여성의 음핵의 감각을 전달하는데, 이 감각 정보는 각각 음경등신경과 음핵등신경을 통해 음부신경으로 전달된다.[37] 남성의 경우 음낭 뒤쪽의 뒤음낭신경, 여성의 경우 음순의 뒤음순신경을 통해 감각을 전달한다. 음부신경은 이 부위의 감각을 전달하는 여러 신경 중 하나이다.[38] 항문관에서도 감각을 전달한다.[33] 음경과 음핵의 감각 정보를 전달하면서 음부신경은 음경 발기와 음핵 발기의 들신경섬유 성분으로서 분포하며,[39] 사정을 담당하기도 한다.[40]
3. 2. 운동 기능
음부신경은 운동 기능과 감각 기능을 모두 가지고 있으며, 교감신경 섬유를 운반한다.[36]음부신경의 가지는 샅 부위와 골반바닥의 근육에도 분포한다. 분포하는 근육은 다음과 같다.
- 망울해면체근과 궁둥해면체근[38]
- 항문올림근(엉덩꼬리근, 두덩꼬리근, 두덩곧창자근, 남성의 두덩전립샘근, 여성의 두덩질근)[37][41]
- 바깥항문조임근(아래항문가지를 통해)[13]
- 바깥요도조임근[14]
골격근인 바깥요도조임근에 분포하면서 조임근의 긴장도 조절을 담당하는데, 이는 아세틸콜린의 방출을 통해 매개된다. 아세틸콜린 방출이 증가하면 바깥요도조임근이 수축하여 오줌이 나가지 못하게 한다. 반대로 아세틸콜린이 감소하면 바깥요도조임근이 이완되어 오줌이 나가며 방광이 비워진다.[42] 바깥요도조임근은 자율신경계통에 의해 불수의적으로 조절되는 민무늬근인 속요도조임근과 달리, 골격근으로서 몸신경계통에 의해 수의적으로 조절된다.[43]
사정을 담당하기도 한다.[40]
4. 임상적 중요성
음부신경이 눌리거나 늘어나면 일시적 또는 영구적인 신경병증이 발생할 수 있다. 신경이 정상 길이의 12% 이상 늘어나면 돌이킬 수 없는 신경 손상이 발생할 수 있다.[33] 골반바닥이 과도하게 늘어나거나 급성(예: 길게 이어진 출산이나 난산) 또는 만성(예: 변비로 인한 배변 중 만성 근육 긴장)인 경우 음부신경은 신장(stretch)으로 인한 신경병증에 취약해진다.[33]
음부신경 포착은 매우 드문 질환이며 전문 사이클링과 관련이 있다.[46] 당뇨병 및 다발성 경화증과 같은 전신 질환은 탈수초화 또는 기타 메커니즘을 통해 음부신경을 손상시킬 수 있다.[33] 골반 종양(대형 엉치꼬리기형종) 또는 종양 제거 수술도 영구적인 손상을 유발할 수 있다.[47] 한쪽 음부신경 신경병증은 변실금을 유발하기도 하지만, 일부 사람들에게서는 바깥항문조임근에 양쪽 음부신경이 교차 분포하기 때문에 변실금이 발생하지 않는다.[33]
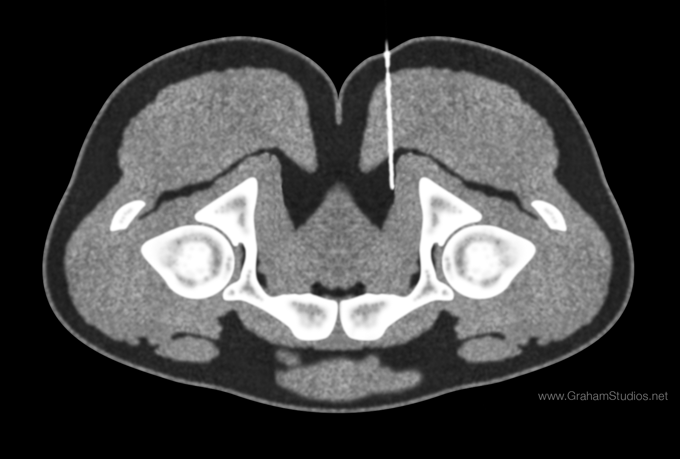
음부신경은 일반적인 CT 또는 MRI에서 촬영하기는 어렵지만, CT 유도 하에 음부 신경혈관다발 근처에 바늘을 놓을 수 있다. 궁둥뼈가시는 CT에서 쉽게 식별할 수 있는 구조이기 때문에, 주로 이 높이에서 주사가 이루어진다. 척수마취용침(스파이날 니들)은 볼기의 근육을 통해 궁둥뼈가시의 몇 밀리미터 내에 주사한다. 그런 다음 조영제(X선 염료)를 주입하여 음부신경관 안의 음부신경을 잘 보이게 하고 바늘이 올바르게 들어갔는지 확인할 수 있다. 이후 신경에 코르티손과 국소 마취제를 주입하여 외부 생식기의 만성 통증(여성의 경우 외음부통증), 골반 및 항문과 곧창자의 통증을 확인하고 치료할 수 있다.[48][49]
음부신경이 분포하는 근육의 감각 및 운동 섬유에 가해지는 전기 자극에 대한 반응 시간을 정량화할 수 있다. 전도 시간(종말 운동 잠복기)이 증가했다는 것은 신경이 손상되었다는 것을 의미한다.[50] 검사자는 장갑을 낀 손가락(보통 검지)에 2개의 자극 전극과 2개의 측정 전극("St Mark's electrode")을 붙여 검사에 사용한다.[50]
4. 1. 음부신경 마취
음부신경 마취는 분만 중 샅 부위를 마취하기 위해 산과에서 사용하는 국소 마취 기술이다.[44] 음부신경 마취 시 음부신경을 중심으로 질 내벽을 통해 마취제를 주입한다.[45]
음부 신경 차단술은 "안장 신경 차단술"이라고도 하며, 산부인과 시술에서 분만 중 회음부를 마취하기 위해 사용되는 국소 마취 기술이다.[17] 이 시술에서는 리도카인과 같은 마취제를 음부 신경 부근의 질 내벽을 통해 주사한다.[18]
4. 2. 음부신경 손상
음부신경이 눌리거나 늘어나면 일시적 또는 영구적인 신경병증이 발생할 수 있다. 신경이 정상 길이의 12% 이상 늘어나면 돌이킬 수 없는 신경 손상이 발생할 수 있다.[33] 골반바닥이 과도하게 늘어나거나 급성(예: 길게 이어진 출산이나 난산) 또는 만성(예: 변비로 인한 배변 중 만성 근육 긴장)인 경우 음부신경은 신장(stretch)으로 인한 신경병증에 취약해진다.[33] 음부신경이 포착되거나 눌려서 발생하는 음부신경 포착은 매우 드문 질환이며 전문 사이클링과도 관련이 있다.[46] 당뇨병 및 다발성 경화증과 같은 전신 질환은 탈수초화 또는 기타 메커니즘을 통해 음부신경을 손상시킬 수 있다.[33] 골반 종양(대형 엉치꼬리기형종) 또는 종양 제거 수술도 영구적인 손상을 유발할 수 있다.[47]음부신경의 한쪽 신경병증은 변실금을 유발하기도 하지만 일부 사람들에서는 변실금이 발생하지 않는다. 이런 차이가 생기는 이유는 변실금이 생기지 않는 사람들에서는 바깥항문조임근에 양쪽 음부신경이 교차하여 분포하기 때문이다.[33] 음부신경은 압박 또는 신장될 수 있으며, 일시적 또는 영구적인 신경병증을 유발할 수 있다. 음부신경 손상은 근육 조절 상실보다는 감각 문제(통증 또는 감각 변화/상실)로 더 많이 나타난다.[8] 골반저가 급성으로(예: 장시간 또는 어려운 분만), 또는 만성적으로(예: 변비로 인한 배변 시 만성적인 긴장) 과도하게 늘어나면 음부신경은 신장으로 인한 신경병증에 취약해진다.[13] 음부신경의 반복적인 견인 후, 기능 상실과 함께 섬유 조직으로 대체되기 시작한다.[21] 음부신경 포착은 ''Alcock canal syndrome''이라고도 하며 매우 드물고 전문적인 사이클링과 관련이 있다.[19] 당뇨병 및 다발성 경화증과 같은 전신 질환은 탈수초성 질환 또는 기타 메커니즘을 통해 음부신경을 손상시킬 수 있다.[13] 골반 종양(특히 큰 천미골 기형종), 또는 종양 제거 수술 또한 영구적인 손상을 유발할 수 있다.[20]
편측성 음부신경 신경병증은 일부 사람들에게서 변실금을 일관되지 않게 유발한다. 이는 일부 개인에게서 외항문 괄약근의 교차 지배가 발생하기 때문이다.[13] 외항문 괄약근의 지배는 양쪽의 음부신경에서 상당한 중복이 발생한다.[21] 이는 신경 손상 후 반대쪽에서 부분적인 재신경 지배를 가능하게 한다.[21]
4. 3. 영상 촬영
음부신경은 일반적인 CT 또는 MRI에서 촬영하기는 어렵지만, CT 유도 하에 음부 신경혈관다발 근처에 바늘을 놓을 수 있다. CT에서 쉽게 식별할 수 있는 구조인 궁둥뼈가시 높이에서 주로 주사한다. 척수마취용침(스파이날 니들)은 볼기의 근육을 통해 궁둥뼈가시의 몇 밀리미터 내에서 주사한다. 그런 다음 조영제(X선 염료)를 주입하여 음부신경관 안의 음부신경이 잘 보이게 하고 바늘이 올바르게 들어갔는지 확인할 수 있다. 그런 다음 신경에 코르티손과 국소 마취제를 주입하여 외부 생식기의 만성 통증(여성의 경우 외음부통증), 골반 및 항문과 곧창자의 통증을 확인하고 치료할 수 있다.[48][49]4. 4. 신경 잠복기 검사
음부신경이 분포하는 근육이 감각 및 운동 섬유에 가해지는 전기 자극에 반응하여 수축하는 데 걸리는 시간을 정량화할 수 있다. 전도 시간(종말 운동 잠복기)이 증가했다는 것은 신경이 손상되었다는 것을 의미한다.[50] 검사자는 장갑을 낀 손가락(보통 검지)에 2개의 자극 전극과 2개의 측정 전극("St Mark's electrode")을 붙여 검사에 사용한다.[50]5. 역사
"음부(Pudendal)"라는 용어는 외부 생식기를 뜻하는 라틴어 단어 'Pudenda|푸덴다la'에서 유래했으며, 이는 '부끄러워 해야 할 부분'이라는 뜻의 Pudendum|푸덴둠la에서 유래했다.[51][25] 음부신경관은 1836년에 이 구조를 기록한 아일랜드 해부학자 벤저민 올콕의 이름을 따서 '올콕관(Alcock's canal)'이라고도 불린다. 올콕은 로버트 벤틀리 토드의 "해부학과 생리학 백과사전(The Cyclopaedia of Anatomy and Physiology)"에 실린 엉덩동맥에 대한 기고문에서 음부신경관과 음부신경의 존재를 처음 기록했다.[52][26]
참조
[1]
서적
Grant's atlas of anatomy
https://books.google[...]
Wolters Kluwer Health/Lippincott Williams & Wilkins
[2]
서적
Gray's Anatomy: The Anatomical Basis of Clinical Practice
https://archive.org/[...]
Elsevier
[3]
서적
Essential clinical anatomy
Lippincott Williams & Wilkins
[4]
서적
Examination of peripheral nerve injuries an anatomical approach
https://books.google[...]
Thieme
[5]
서적
Varney's midwifery
https://books.google[...]
Jones & Bartlett Publishers
[6]
저널
Unusual origin of dorsal nerve of penis and abnormal formation of pudendal nerve—Clinical significance
2006-11
[7]
저널
Surgical anatomy of the pudendal nerve and its clinical implications
[8]
서적
Pudendal Nerve Entrapment Syndrome.
https://www.ncbi.nlm[...]
StatPearls
2022-01
[9]
서적
Knobil and Neill's physiology of reproduction
Elsevier
[10]
서적
Elsevier's integrated anatomy and embryology
Elsevier Saunders
[11]
서적
Handbook of urology diagnosis and therapy
Lippincott Williams & Wilkins
[12]
저널
Evidence for the Innervation of Pelvic Floor Muscles by the Pudendal Nerve
2005-10
[13]
서적
The ASCRS textbook of colon and rectal surgery
Springer
[14]
서적
Gray's anatomy for students
Elsevier/Churchill Livingstone
[15]
저널
The neural control of micturition
2008-06
[16]
서적
Male Sexual Function: A Guide to Clinical Management
Annals of Internal Medicine
[17]
서적
Maternal, Neonatal, and Women's Health Nursing, Volume 1
Cengage Learning
[18]
웹사이트
Transvaginal Pudendal Nerve Block
http://emedicine.med[...]
WebMD LLC
2015-07-19
[19]
저널
Common cycling injuries. Management and prevention
1991-01
[20]
저널
Preoperative Chemoradiation for Rectal Cancer Causes Prolonged Pudendal Nerve Terminal Motor Latency
[21]
서적
The ASCRS Textbook of Colon and Rectal Surgery
Springer Nature
2021-11-20
[22]
저널
Computed tomography-guided pudendal nerve block. A new diagnostic approach to long-term anoperineal pain: a report of two cases
[23]
저널
Chronic perineal pain caused by pudendal nerve entrapment: anatomy and CT-guided perineural injection technique
[24]
서적
Pelvic floor disorders imaging and multidisciplinary approach to management
Springer
[25]
웹사이트
Pudendum
http://www.etymonlin[...]
2014-02-28
[26]
저널
Benjamin Alcock (1801–?) and his canal
2013-09
[27]
서적
Grant's Atlas of Anatomy
https://books.google[...]
2013
[28]
서적
Gray's anatomy : the anatomical basis of clinical practice
2016
[29]
서적
Gray's anatomy : the anatomical basis of clinical practice
http://archive.org/d[...]
Edinburgh ; New York : Elsevier Churchill Livingstone
2005
[30]
저널
Surgical anatomy of the pudendal nerve and its clinical implications
https://onlinelibrar[...]
1995
[31]
서적
Essential clinical anatomy
https://www.worldcat[...]
Lippincott Williams & Wilkins
2007
[32]
저널
A Novel Multimodal Treatment Method and Pilot Feasibility Study for Vaginismus: Initial Experience With the Combination of Sacral Erector Spinae Plane Block and Progressive Dilatation
https://www.research[...]
2020-10-08
[33]
서적
The ASCRS textbook of colon and rectal surgery
https://www.worldcat[...]
Springer
2007
[34]
서적
Varney's midwifery
https://books.google[...]
Jones & Bartlett Publishers
[35]
저널
Unusual origin of dorsal nerve of penis and abnormal formation of pudendal nerve—Clinical significance
2006-11
[36]
서적
Knobil and Neill's physiology of reproduction
Elsevier
[37]
서적
Gray's anatomy for students
https://archive.org/[...]
Elsevier/Churchill Livingstone
[38]
서적
Elsevier's integrated anatomy and embryology
https://archive.org/[...]
Elsevier Saunders
[39]
서적
Handbook of urology diagnosis and therapy
https://archive.org/[...]
Lippincott Williams & Wilkins
[40]
서적
Male Sexual Function: A Guide to Clinical Management
Annals of Internal Medicine
[41]
저널
Evidence for the Innervation of Pelvic Floor Muscles by the Pudendal Nerve
https://journals.lww[...]
2005-10
[42]
저널
The neural control of micturition
2008-06
[43]
저널
Clinical and Functional Anatomy of the Urethral Sphincter
https://www.ncbi.nlm[...]
2012-09
[44]
서적
Maternal, Neonatal, and Women's Health Nursing, Volume 1
Cengage Learning
[45]
웹인용
Transvaginal Pudendal Nerve Block
http://emedicine.med[...]
WebMD LLC
2015-07-19
[46]
저널
Common cycling injuries. Management and prevention
1991-01
[47]
저널
Preoperative Chemoradiation for Rectal Cancer Causes Prolonged Pudendal Nerve Terminal Motor Latency
[48]
저널
Computed tomography-guided pudendal nerve block. A new diagnostic approach to long-term anoperineal pain: a report of two cases
https://semanticscho[...]
[49]
저널
Chronic perineal pain caused by pudendal nerve entrapment: anatomy and CT-guided perineural injection technique
[50]
서적
Pelvic floor disorders imaging and multidisciplinary approach to management
Springer
[51]
웹인용
Pudendum
http://www.etymonlin[...]
2014-02-28
[52]
저널
Benjamin Alcock (1801–?) and his canal
2013-09
본 사이트는 AI가 위키백과와 뉴스 기사,정부 간행물,학술 논문등을 바탕으로 정보를 가공하여 제공하는 백과사전형 서비스입니다.
모든 문서는 AI에 의해 자동 생성되며, CC BY-SA 4.0 라이선스에 따라 이용할 수 있습니다.
하지만, 위키백과나 뉴스 기사 자체에 오류, 부정확한 정보, 또는 가짜 뉴스가 포함될 수 있으며, AI는 이러한 내용을 완벽하게 걸러내지 못할 수 있습니다.
따라서 제공되는 정보에 일부 오류나 편향이 있을 수 있으므로, 중요한 정보는 반드시 다른 출처를 통해 교차 검증하시기 바랍니다.
문의하기 : help@durumis.com