결절종
"오늘의AI위키"의 AI를 통해 더욱 풍부하고 폭넓은 지식 경험을 누리세요.
1. 개요
결절종은 관절낭이나 힘줄집의 약해진 부위가 밖으로 튀어나와 발생하는 낭종으로, 손목 등 관절 주변에서 흔히 발생한다. 육안으로 확인하거나 초음파 검사로 진단하며, 자연 치유되기도 하지만 통증이 있는 경우 흡인술이나 절제술을 시행한다. 치료 후 재발하거나 관절 강직 등의 합병증이 나타날 수 있다. 과거에는 책으로 쳐서 치료하기도 했다.
더 읽어볼만한 페이지
| 결절종 | |
|---|---|
| 개요 | |
| 질병 종류 | 성형외과, 정형외과, 수부 외과 |
| 증상 | 관절 또는 힘줄집과 관련된 작고 부드러운 돌기 |
| 상세 정보 | |
| 발병 시기 | 모든 연령 |
| 원인 | 알려진 원인 없음 |
| 진단 방법 | 징후를 기반으로 진단 |
| 감별 진단 | 지방종, 신전 건초염 |
| 예방 | 알려진 예방법 없음 |
| 치료 | 경과 관찰 해당 관절 부목 고정 바늘 흡인 수술 |
| 예후 | 심각하지 않음 |
| 빈도 | 손과 손목 기준 연간 약 10,000명당 3명 |
| 사망률 | 해당 없음 |
| 명칭 | |
| 한국어 | 결절종 |
| 영어 | Ganglion cyst |
| 다른 이름 | ganglia synovial cyst Gideon's disease Olamide's cyst Bible cyst Bible bump |
| 일본어 | ガングリオン (Gangurion) |
| 질병 분류 | |
| DiseasesDB | 31229 |
| ICD-10 | M67.4 |
| ICD-9 | 727.4 |
| eMedicine | orthoped/493 |
2. 원인
결절종의 가장 일반적인 원인으로 '탈출 가설'이 널리 받아들여진다. 이 가설은 관절낭이나 힘줄집의 약해진 부위가 밖으로 튀어나오거나 팽창하여 결절종이 생긴다는 이론이다. 이는 결절종이 주로 힘줄과 관절 근처에서 발견된다는 관찰 결과를 바탕으로 한다. 결절종의 현미경적 해부학적 구조는 힘줄윤활막 조직과 유사하며, 안의 액체는 활액과 성분이 비슷하다. 관절에 주입된 염료는 종종 결절종으로 흘러 들어가지만, 결절종에 주입된 염료가 관절로 들어가는 경우는 드물다. 이는 관절에서 액체가 빠져나갈 수는 있지만 다시 들어오지 못하게 하는 "체크 밸브"와 같은 구조가 형성되기 때문으로 추정된다.[6]
결절종은 낭종의 평균 크기가 2cm이며, 5cm 이상 절제된 낭종도 보고된 바 있다.[6] 낭종의 크기는 시간에 따라 변할 수 있다. 손과 손목의 모든 덩어리 중 50~70%가 결절종이다.[7][8] 흔히 손목 관절, 특히 주상월상 인대 부근에서 발견된다.[9]
활액 낭종은 외상 후 결합 조직의 퇴행과 염증이 원인으로 여겨진다. 결절종 발생의 다른 가능성으로는 반복적인 기계적 스트레스, 후관절 관절증, 관절 주위 섬유 조직의 점액 변성 및 만성 손상으로 인한 액화, 섬유아세포에 의한 히알루론산 생성 증가, 간엽 세포 증식 등이 있다.[23][24]
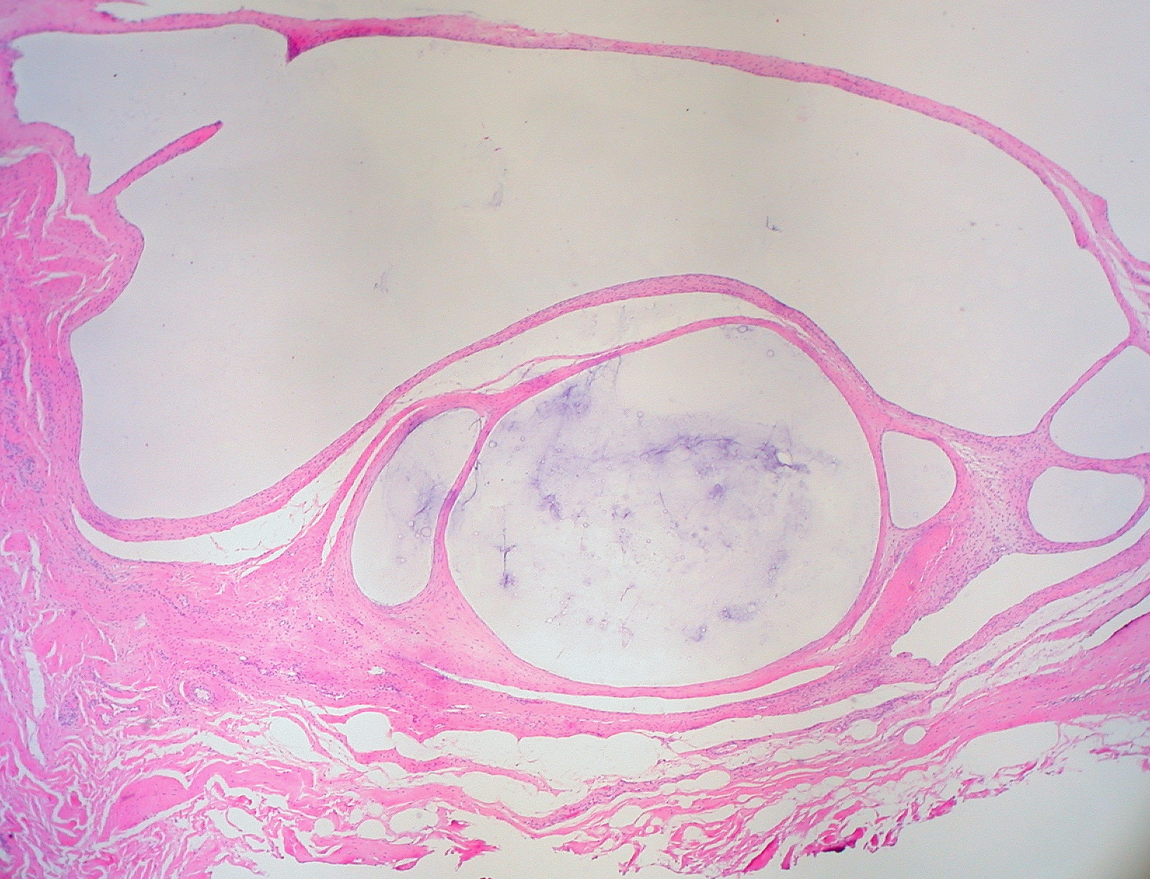
결절종은 관절 근처 막이나 점액낭에 젤리 형태의 액체가 고여 탄력 있는 종괴를 이루는 것으로, 초음파 검사에서 저에코 병변으로 나타난다. 이 액체는 천자 흡인이 가능하다. 내용물이 섬유화되면 단단하게 굳어져 만져지며, 약간 고에코를 띠어 천자 흡인이 어려워진다. 증상이 없는 경우가 많지만, 신경이나 힘줄을 압박하면 통증이 생긴다. 머크 매뉴얼 가정판에서는 여성에게서 많이 발생한다고 언급하지만,[40] 발병 요인은 불명확하다. "연골이 튀어나왔다"는 속설은 잘못된 것이다.
3. 증상 및 진단
흔한 손목 결절종은 다음과 같다.
2007년 글래스고에서 발 덩어리 제거 수술을 받은 환자를 대상으로 한 연구에서, 101건 중 39건이 결절종이었다. 이 연구는 결절종이 발바닥이나 뒤꿈치에서는 발견되지 않는다는 이전 연구 결과를 재현했다. 연구진은 "이 부위의 덩어리가 결절종일 수 있지만, 외과 의사는 우선 다른 진단을 고려해야 할 것이다"라고 기술했다. 연구진은 여성(85%)에서 발생 빈도가 높고, 다른 11건은 수술 전에 결절종으로 오진되었다고 언급했다.
결절종은 손과 발에만 국한되지 않는다. 무릎 근처, 특히 십자 인대 근처에서 흔히 발생하지만, 가자미근 힘줄 기시부와 전방의 호파 지방체에서도 발생할 수 있다. 어깨에서는 일반적으로 견봉쇄골 관절이나 이두근 힘줄을 따라 발생한다.
결절종은 관절이나 힘줄에서 기원하여 다양한 위치에 형성될 수 있다. 드물게는 뼈내 결절종이 발생하며, 때로는 덮고 있는 연조직의 낭종과 함께 나타나기도 한다.[6][16] 종아리의 가자미근 내 결절종의 희귀한 사례가 보고되었다.[17][18] 낭종이 관절에서 상당히 멀리 떨어진 곳에서 나타나는 경우도 있다. 극단적인 경우, 결절종이 총비골신경의 통로를 통해 대퇴부까지 광범위하게 확산되는 것이 관찰되었는데, 이러한 경우 근위부 관절 수술을 통해 관절 연결을 제거하면 대퇴부 신경 조직에서의 더 위험하고 광범위한 수술의 필요성을 없앨 수 있다.[19] 낭종이 척추로 침투하여 원위부 사지에서 통증과 감각 이상을 유발할 수 있다.[23]
모험 낭종성 질환은 무릎 근처의 슬와 동맥 내에 낭종이 발생하는 질환으로, 최근 관절에서 기원하여 비골 신경 내로 퍼지는 결절종의 발달과 유사한 관절 메커니즘에 의해 발생한다고 제안되었다.[20] 낭종의 드문 위치 중 하나는 손의 근육 힘줄, 예를 들어 얕은 손가락 폄근에 있다.[21]
하나 이상의 신경을 압박하고 뼈 침식을 유발하는 낭종이 어깨 관절 근처에서 발생하는 것으로 보고되었다.[22]
결절종은 육안으로 확인이 가능하고 만져서 부드럽기 때문에 쉽게 진단할 수 있다.
초음파 검사(US)는 임상적으로 의심되는 병변의 진단적 확신을 높이거나, 손목을 힘차게 펴는 동작을 할 때 발생하는 통증의 원인인 더 작은 "숨겨진" 낭종을 확인하는 데 사용될 수 있다. 관절 근처의 막이나 점액낭에 젤리 형태의 액체가 고여 탄력 있는 종괴를 이루는 것으로, 초음파 검사상 저에코 병변으로 나타난다. 액체는 천자 흡인이 가능하다. 내용물이 섬유화되면 경결(단단하게 굳음)로 만져지며, 약간 고에코를 띠게 되어 천자 흡인이 불가능해진다. 무증상인 경우가 많지만, 신경이나 힘줄을 압박하면 통증이 발생한다. 머크 매뉴얼 가정판에서는 여성에게서 많이 발생한다고 언급하고 있지만[40], 발병 요인은 불명확하다. 속설로는 "연골이 튀어나왔다"는 오해도 있다.
4. 치료
결절종은 자연적으로 소실되기도 하지만, 통증이 있는 경우에는 내용물을 흡인하거나 절제술 등으로 제거한다. 치료에는 비수술적 치료(침 시술), 흡인, 수술적 절제술 등이 있으며, 처치 후 재발하는 경우도 있다.[41][25][26]
4. 1. 보존적 치료
결절종은 최소 33%가 6년 이내에, 50%가 10년 이내에 치료 없이 자연적으로 치유된다.[25] 주사 바늘을 사용하여 낭종의 체액을 배액하는(흡인) 방법이 있는데,[26] 결절종 흡인 후 재발률은 약 50%이다. 자연 소실도 보이지만, 통증이 있는 경우에는 내용물을 흡인하거나 절개술 등으로 제거하며, 처치 후 재발하는 경우도 있다.4. 2. 비수술적 치료
결절종이 있는 환부에 침 시술을 하면 결절종의 피막을 터뜨리는 효과가 있다. 환자의 결절종의 정체된 기를 풀어주면 피막을 수술로 제거하지 않아도 결절종 안의 관절액이 자체적으로 흡수되어 사라지게 된다.[41]최소 33%는 6년 이내에, 50%는 10년 이내에 치료 없이 자연적으로 치유된다.[25] 주사 바늘을 사용하여 낭종의 체액을 배액(흡인)할 수 있다.[26] 결절종 흡인 후 재발률은 약 50%이다. 자연 소실도 보이지만, 통증이 있는 경우에는 내용물을 흡인하거나 절개술 등으로 제거하며, 처치 후 재발하는 경우도 있다.
4. 3. 수술적 치료
결절종은 최소 33%가 6년 이내에, 50%는 10년 이내에 치료 없이 자연적으로 치유된다.[25] 수술적 절제술은 결절종의 주요 선택적 치료 방법이다. 또는 주사 바늘을 사용하여 낭종의 체액을 배액(흡인)할 수 있다.[26] 결절종 흡인 후 재발률은 약 50%이다. 통증이 있는 경우에는 내용물을 흡인하거나 절개술 등으로 제거하지만, 처치 후 재발하는 경우도 있다.5. 합병증 및 예후
치료의 합병증으로는 관절 강직 및 흉터 형성이 있을 수 있다.[26] 손목의 결절종 절제술 후 병변의 재발이 더 흔하게 나타난다. 줄기 또는 경을 포함하지 않는 불완전한 절제술이나 절개 부위의 층별 봉합 실패는 재발로 이어질 수 있다.[27]
재발률은 절제술을 시행한 낭종보다 흡인술을 시행한 경우 더 높다.[28] 결절종은 수술 후 환자의 12%[29]에서 41%[30]에서 재발하는 것으로 나타났다.
손등 손목의 결절종 치료에 대한 6년간의 결과 연구에서는 절제술, 흡인술, 무치료를 비교했다. 절제술과 흡인술 모두 무치료보다 장기적인 이점을 제공하지 못했다. 치료받지 않은 결절종 중 58%가 자연적으로 해결되었고, 이 연구에서 수술 후 재발률은 39%였다.[31] 2003년 손목의 손바닥 표면에서 발생하는 결절종에 대한 유사한 연구에서는 "2년 및 5년 추적 관찰 결과, 손바닥 손목 결절종을 절제, 흡인 또는 방치했는지 여부에 관계없이 증상에 차이가 없었다"고 밝혔다.[32]
6. 기타
결절종은 신경절 또는 신경절 세포와 관련이 없다는 오명이 현대까지 지속되고 있다.[33] 어원은 고대 그리스어 γάγγλιον에서 유래되었으며, 이는 "피부 아래의 덩어리" 또는 "부어오름"을 의미하며, 신경 덩어리로 비유적으로 확장되었다.[34] 일반적으로, 히포크라테스가 이 낭종을 묘사한 것으로 인정받고 있다.[6][35]
역사적으로 결절종 치료는 크고 무거운 책으로 혹을 쳐서 낭종이 파열되어 주변 조직으로 배출되도록 하는 것이었다. 가정에서 가장 크거나 유일한 책이었던 성경이 이 치료에 사용되어, "성경 혹" 또는 "기드온의 질병"이라는 별칭이 붙었다.[2][36] 그러나 이 치료는 환자를 다치게 할 위험이 있어 권장되지 않는다.[37][38][39]
나가사키 리키가 이끄는 재팬 프로레슬링이 전일본 프로레슬링에서 철수할 때, 나가사키의 장기 결장(1987년 2월 20일, 익사이트 시리즈 개막전 당일) 이유가 "오른쪽 손목 결절종 수술"이라고 발표되었다.
참조
[1]
웹사이트
National Library of Medicine - Medical Subject Headings (MeSH) - Ganglion Cyst
https://www.nlm.nih.[...]
2013-08-27
[2]
웹사이트
E-hand.com The Electronic Textbook of Hand Surgery
http://www.eatonhand[...]
The American Society for Surgery of the Hand assh.com
2014-04-12
[3]
웹사이트
Ganglion Cyst of the Wrist and Hand-OrthoInfo
http://orthoinfo.aao[...]
2013-03-01
[4]
서적
Ferri's Clinical Advisor 2015 E-Book: 5 Books in 1
https://books.google[...]
Elsevier Health Sciences
2014
[5]
서적
The Wrist: Diagnosis and Operative Treatment
https://books.google[...]
Lippincott Williams & Wilkins
2011
[6]
웹사이트
excision of the ganglion cyst
http://www.podiatryi[...]
Podiatry Institute
[7]
간행물
Chapter 32 - Hand and Wrist Ganglia
http://www.sciencedi[...]
Content Repository Only!
2020-10-24
[8]
간행물
CHAPTER 17 - Splinting for Work, Sports, and the Performing Arts
http://www.sciencedi[...]
Mosby
2020-10-24
[9]
웹사이트
Ganglion cysts
http://www.bssh.ac.u[...]
BSSH
2017-04-06
[10]
간행물
36 - Ganglions and Tumors of the Hand and Wrist
http://www.sciencedi[...]
Mosby
2020-10-24
[11]
간행물
CHAPTER 45 - Dorsal Wrist Syndrome and Rotatory Subluxation of the Scaphoid
http://www.sciencedi[...]
W.B. Saunders
2020-10-24
[12]
간행물
Chapter 21 - Ganglion Cysts and Other Common Tumors of the Hand and Wrist
http://www.sciencedi[...]
Mosby
2020-10-24
[13]
논문
The Differential Diagnosis of Foot Lumps: 101 Cases Treated Surgically in North Glasgow Over 4 Years
2007-08
[14]
서적
Fundamentals of Musculoskeletal Ultrasound
https://books.google[...]
Elsevier Health Sciences
[15]
문서
Ultrasound of the Shoulder
http://www.shoulderu[...]
Master Medical Books
2013
[16]
논문
Intraosseous ganglion cyst of the humeral head in a competitive flat water paddler: case report
2011-12
[17]
논문
Case Report : Intramuscular Ganglion Cyst of the Gastrocnemius Muscle
http://210.101.116.1[...]
[18]
논문
Ruptured intramuscular ganglion cyst in the gastrocnemius medialis muscle: sonographic appearance
2009-10
[19]
웹사이트
Re: Pure Peroneal Intraneural Ganglion Cyst: Hindsight is 20/20
http://www.turkishne[...]
Turkish Neurosurgery
[20]
논문
Evidence to support that adventitial cysts, analogous to intraneural ganglion cysts, are also joint-connected.
2012-08-29
[21]
논문
Synovial Cyst of the extensor digitorum superficialis: A case report
2024-02-28
[22]
서적
MasterCases: Shoulder and Elbow Surgery
Thieme
[23]
논문
A Ganglion Cyst in the Second Lumbar Intervertebral Foramen
2011-04
[24]
서적
Learning Musculoskeletal Imaging
Springer
[25]
웹사이트
Clinical treatments for wrist ganglia
https://www.surgeons[...]
[26]
서적
The Gale encyclopedia of surgery: a guide for patients and caregivers, Volume 1
https://archive.org/[...]
Gale
[27]
문서
Excision of the Ganglion Cyst
http://www.podiatryi[...]
[28]
서적
Pocket Guide to Musculoskeletal Diagnosis
Springer
[29]
논문
Arthroscopic resection of dorsal wrist ganglia: 114 cases with minimum follow-up of 2 years
[30]
논문
Surgical excision of wrist ganglia; literature review and nine-year retrospective study of recurrence and patient satisfaction
[31]
논문
The natural history of untreated dorsal wrist ganglia and patient reported outcome 6 years after intervention
2007-10
[32]
논문
Palmar wrist ganglion: does intervention improve outcome? A prospective study of the natural history and patient-reported treatment outcomes
2003-04
[33]
서적
The Dictionary of Modern Medicine
https://books.google[...]
CRC Press
[34]
웹사이트
Etymology of the Greek word ganglion (γάγγλιον)
http://www.myetymolo[...]
[35]
문서
On the Articulations
https://wikisource.o[...]
[36]
논문
Falling Up the Stairs: the Equivalent of 'Bashing it with a Bible' for an ACL Ganglion Cyst of the Knee
2012-03-27
[37]
웹사이트
Should you bash a 'bible bump'?
http://www.bbc.com/f[...]
2018-08-09
[38]
웹사이트
Ganglions
http://www.eatonhand[...]
2009-05-27
[39]
웹사이트
Should you bash a 'bible bump'?
http://www.bbc.com/f[...]
2018-11-24
[40]
웹사이트
Ganglia - 08. 骨、関節、筋肉の病気 - MSDマニュアル家庭版
https://www.msdmanua[...]
[41]
웹인용
결절종, 강그리온, Ganglion Cyst
https://blog.daum.ne[...]
2021-04-15
본 사이트는 AI가 위키백과와 뉴스 기사,정부 간행물,학술 논문등을 바탕으로 정보를 가공하여 제공하는 백과사전형 서비스입니다.
모든 문서는 AI에 의해 자동 생성되며, CC BY-SA 4.0 라이선스에 따라 이용할 수 있습니다.
하지만, 위키백과나 뉴스 기사 자체에 오류, 부정확한 정보, 또는 가짜 뉴스가 포함될 수 있으며, AI는 이러한 내용을 완벽하게 걸러내지 못할 수 있습니다.
따라서 제공되는 정보에 일부 오류나 편향이 있을 수 있으므로, 중요한 정보는 반드시 다른 출처를 통해 교차 검증하시기 바랍니다.
문의하기 : help@durumis.com