염증
"오늘의AI위키"의 AI를 통해 더욱 풍부하고 폭넓은 지식 경험을 누리세요.
1. 개요
염증은 신체의 조직 손상이나 감염에 대한 방어 반응으로, 발적, 열감, 부종, 통증, 기능 저하 등의 증상을 동반한다. 염증은 지속 기간에 따라 급성, 아급성, 만성으로 나뉘며, 원인에 따라 물리적, 생물학적, 화학적, 심리적 요인에 의해 발생할 수 있다. 염증은 혈관의 변화, 백혈구의 작용, 다양한 염증 매개 물질의 분비를 통해 나타나며, 완전 회복, 섬유화, 농양 형성, 만성 염증 등의 결과를 초래한다. 비정상적인 염증은 알레르기, 자가면역 질환, 암, 심혈관 질환 등 다양한 질병의 원인이 되며, 식습관, 운동, 생활 습관 등과 밀접한 관련이 있다. 염증은 약물, 면역 조절, 생활 습관 개선 등을 통해 조절할 수 있으며, 다른 생물에서도 유사한 형태로 나타난다.
더 읽어볼만한 페이지
- 동물생리학 - 체취
체취는 인간의 피부상재균이 분비물을 대사하여 발생하는 냄새로, 유전자, 건강 상태 등에 따라 달라지며, 데오드란트 등으로 관리하거나 심한 경우 의학적 치료가 필요하다. - 동물생리학 - 체온
체온은 생물체의 신체 내부 온도로, 환경 온도와 생체 내 열에너지 생산의 균형에 따라 결정되며, 동물은 항온동물과 변온동물로 나뉘지만 대부분 체온 조절 능력이 있고, 인간은 땀이나 떨림 등으로 체온을 유지하며, 체온 측정은 체온계나 열화상 카메라로 가능하다. - 병리학 - 림프병
림프병은 림프계에 발생하는 다양한 질환을 포괄하는 용어로, 림프종, 림프절염, 림프관염, 림프부종, 림프구증가증 등을 포함하며 림프계 기능 이상을 초래한다. - 병리학 - 조직병리학
조직병리학은 수술, 생검, 부검 등으로 채취한 조직을 고정, 염색, 현미경 관찰하여 질병을 진단하는 의학 분야로, 필요에 따라 면역조직화학, 분자병리학적 검사, 디지털 병리학, 인공지능 기술 등이 활용된다. - 면역계 - 알레르기
알레르기는 면역 체계가 무해한 물질에 과도하게 반응하여 아토피 피부염, 비염, 천식, 두드러기 등 다양한 증상을 일으키는 질환으로, Gell과 Coombs 분류법에 따라 여러 유형으로 나뉘며, 심각한 경우 아나필락시스를 유발할 수 있고, 유전적, 환경적 요인이 복합적으로 작용하여 발생하며, 알레르겐 회피, 약물, 면역요법 등으로 치료한다. - 면역계 - 면역억제
면역억제는 면역계의 활동을 감소시키는 현상으로, 의도적으로는 장기 이식 거부 반응 방지나 자가면역 질환 치료를 위해 면역억제제를 사용하고, 비의도적으로는 질병으로 인해 발생하며 면역결핍질환을 유발할 수 있다.
| 염증 |
|---|
2. 증상
염증의 주요 징후는 발적, 열감, 부종, 통증, 기능 저하이다.[14],[15] 이 징후들은 염증 부위의 혈관 확장, 혈류 증가, 혈관투과성 증가, 신경 자극 등으로 인해 나타난다.
켈수스는 《의학에 대하여》(''De Medicina'')에서 기능 저하를 제외한 통증, 발적, 부종, 열감을 염증의 4요소로 칭했다.[140] 이후 기능 저하가 추가되어 염증의 5대 징후가 되었다.
- '''발적(홍반)''': 혈관 확장으로 국소 혈액량이 증가하여 환부가 붉어진다.
- '''열감''': 혈관 확장으로 국소 혈액량이 증가하여 환부가 열을 띤다.
- '''부종(종창)''': 혈관 투과성 항진으로 염증성 부종이 발생하여 환부가 붓는다.
- '''통증''': 히스타민, 브래디키닌과 같은 화학 물질이 방출되어 신경 종말을 자극하여 통증이 발생한다.[14]
- '''기능 저하''': 부종과 통증의 결과로 환부가 기능을 하지 못하는 것을 말하며, 피르호가 제시하였다.[105]
급성 염증은 국소적인 증상 외에도 피로, 발열, 근육통 등의 전신 증상을 유발할 수 있다.[145],[146] 심한 경우 패혈증, 사이토카인 폭풍으로 이어져 생명을 위협할 수 있다.[147]
만성 염증은 급성 염증에 비해 증상이 경미하거나 비특이적인 경우가 많으며,[149] 장기간 지속될 경우 조직 손상, 섬유화, 괴사 등을 유발할 수 있다.

| 종류 및 원인 | 급성 염증 | 만성 염증 |
|---|---|---|
| 발병 | 즉시 | 천천히 |
| 기간 | 며칠 | 몇 개월 또는 1년 이상 |
| 원인 물질 | 미생물, 손상된 조직 | 지속적인 급성 염증 (원인: 분해·제거되지 않는 미생물, 바이러스 감염, 이물질 또는 지속적인 자가면역반응) |
| 관련된 세포 | 호중구(염증반응의 주 세포, 초기 반응 수행)[161] 호염구(히스타민 분비, 알레르기)[162] 호산구(기생충에 대한 방어, 알레르기) 단핵세포(단핵구, 대식세포) | 단핵세포(단핵구, 대식세포, 림프구, 형질세포) 섬유아세포 |
| 염증매개물질 | 혈관활성아민(혈관작용아민) 아이코사노이드 전염증성 사이토카인(IL-1β, IL-8, TNF-α, IL-6, IL-12 등)[163] | 체액성 면역 유도 사이토카인(IL-3, IL-4, IL-5, IL-7, IL-9, IL-10, IL-13, IL-14 등)[164] 세포성 면역 유도 사이토카인(IL-2, IL-12, IL-15, IFN-γ 등)[164] 생장인자 활성산소종 가수분해효소 |
| 결과 | 증상 완화 농양 형성 염증의 만성화 | 조직손상 섬유화 괴사 |
2. 1. 급성 염증과 만성 염증의 비교
급성 염증과 만성 염증은 발병 속도, 지속 기간, 원인, 관여 세포, 염증 매개 물질, 결과 등에서 차이를 보인다.[160]
| 종류 및 원인 | 급성 염증 | 만성 염증 |
|---|---|---|
| 발병 | 즉시 | 천천히 |
| 기간 | 며칠 | 몇 개월 또는 1년 이상 |
| 원인 물질 | 미생물, 손상된 조직 | 지속적인 급성 염증 (원인: 분해·제거되지 않는 미생물, 바이러스 감염, 이물질 또는 지속적인 자가면역반응) |
| 관련된 세포 | 호중구(염증반응의 주 세포, 초기 반응 수행)[161] 호염구(히스타민 분비, 알레르기)[162] 호산구(기생충에 대한 방어, 알레르기) 단핵세포(단핵구, 대식세포) | 단핵세포(단핵구, 대식세포, 림프구, 형질세포) 섬유아세포 |
| 염증매개물질 | 혈관활성아민(혈관작용아민) 아이코사노이드 전염증성 사이토카인(IL-1β, IL-8, TNF-α, IL-6, IL-12 등)[163] | 체액성 면역 유도 사이토카인(IL-3, IL-4, IL-5, IL-7, IL-9, IL-10, IL-13, IL-14 등)[164] 세포성 면역 유도 사이토카인(IL-2, IL-12, IL-15, IFN-γ 등)[164] 생장인자 활성산소종 가수분해효소 |
| 결과 | 증상 완화 농양 형성 염증의 만성화 | 조직손상 섬유화 괴사 |
염증의 종류를 분류하는 대표적인 기준에는 염증의 지속 기간, 염증의 원인, 염증이 생긴 부위, 병리학적 양상 등이 있다.[150]
급성 염증은 생체 내에 이상이 발생했을 때 초기 또는 경미한 이상에 대처하기 위해 나타나는 반응으로, 보통 수 분 또는 수 시간 내에 나타나며 유해 자극이 제거되면 사라진다.[20] 손상 직후에 발생하며 며칠 동안만 지속되며,[11] 2~6주 동안 지속되는 염증은 아급성 염증으로 분류된다.[11][24]
만성 염증은 수개월 또는 수년 동안 지속되는 염증이다.[24] 당뇨병, 심혈관 질환, 알레르기, 만성 폐쇄성 폐질환(COPD)은 만성 염증에 의해 매개되는 질병의 예이다.[24] 비만, 흡연, 스트레스 및 불충분한 식단은 만성 염증을 촉진하는 요인 중 일부이다.[24] 2014년 연구에 따르면 미국인의 60%가 적어도 하나 이상의 만성 염증 질환을 가지고 있으며, 42%는 둘 이상의 질환을 가지고 있다고 보고되었다.[24] 만성 염증은 급성 염증의 증상이 경감되면서도 완치되지 않고 지속되거나, 발병이 서서히 진행되어 증상은 심하지 않지만 지속되는 경우를 말한다.[105]
3. 분류
=== 지속 기간에 따른 분류 ===
염증은 지속 기간에 따라 급성, 아급성, 만성으로 분류된다. 급성 염증은 수 분에서 수 일 동안 지속되는 초기 반응이다.[20][11] 손상 직후 발생하며 며칠 동안만 지속되고,[11] 유해 자극이 제거되면 사라진다.[20] 사이토카인과 케모카인은 염증 부위로 호중구와 대식세포의 이동을 촉진한다.[11] 병원체, 알레르기, 독소, 화상, 동상 등이 급성 염증을 유발할 수 있다.[11] 톨유사수용체(TLR)는 미생물 병원체를 인식한다.[11]
아급성 염증은 2주에서 6주 동안 지속된다.[11][24]
만성 염증은 수개월 또는 수년 동안 지속되는 염증이다.[24][105] 급성 염증과 달리 만성 염증에서는 대식세포, 림프구, 형질 세포가 우세하다.[24] 당뇨병, 심혈관 질환, 알레르기, 만성 폐쇄성 폐질환(COPD) 등이 만성 염증으로 인해 발생할 수 있다.[24] 비만, 흡연, 스트레스, 불충분한 식단은 만성 염증을 촉진한다.[24] 2014년 연구에 따르면 미국인의 60%가 적어도 하나 이상의 만성 염증 질환을 가지고 있으며, 42%는 둘 이상의 질환을 가지고 있다고 보고되었다.[24] 경도의 만성 염증은 치매, 우울증, 심혈관 질환, 암 등의 원인이 될 수 있으며,[112] 전 세계 인구의 3/5가 만성 염증 관련 질병으로 사망한다.[112] 만성적인 스트레스 등은 만성 염증의 발병을 유발할 수 있다.[112]width="150" | 급성 만성 원인 물질 세균 병원체, 손상된 조직 분해되지 않는 병원체, 바이러스 감염, 지속적인 이물질 또는 자가면역 반응으로 인한 지속적인 급성 염증 관여하는 주요 세포 호중구(주로), 호염기구(염증 반응), 호산구(회충 및 기생충 반응), 단핵구(단핵구, 대식세포) 단핵구(단핵구, 대식세포, 림프구, 형질 세포), 섬유아세포 주요 매개체 혈관 활성 아민, 에이코사노이드 IFN-γ 및 기타 사이토카인, 성장 인자, 활성 산소 종, 가수 분해 효소 발병 즉각적 지연됨 지속 기간 수일 최대 수개월 또는 수년 결과 회복, 농양 형성, 만성 염증 조직 파괴, 섬유증, 괴사
=== 원인에 따른 분류 ===
염증은 다양한 원인에 의해 발생하며, 크게 물리적, 생물학적, 화학적, 심리적 원인으로 분류된다.[7]원인 예시 물리적 원인 화상, 동상, 외상, 이물질, 이온화 방사선 생물학적 원인 병원체에 의한 감염, 과민증으로 인한 면역반응, 스트레스, 손상된 세포 화학적 원인 화학자극, 독성, 알코올, 당분, 지방, 미세먼지 심리적 원인 쑥스러움, 흥분
물리적 원인에는 화상, 동상, 외상, 둔상 또는 관통상, 가시나 먼지 및 파편을 포함한 이물질, 전리 방사선 등이 있다.[7][8] 생물학적 원인으로는 세균, 진균, 바이러스, 원충, 기생충 등의 침입에 의한 감염[7], 과민증으로 인한 면역 반응, 스트레스 등이 있다. 화학적 원인에는 화학적 자극제, 독소, 알코올 등이 있으며,[7] 심리적 원인으로는 흥분 등이 있다.[9]
염증을 일으키는 물질은 발병 물질이라고 하며, 체외에서 침입한 외인과 체내에서 생성된 내인으로 나뉜다. 항원항체 반응, 체액 면역, 세포성 면역 등은 면역학적 인자로 분류되기도 하며, 이는 내인에 해당한다.[104][106]
=== 발생 부위에 따른 분류 ===
감염성 미생물은 순환계나 림프계를 통해 즉각적인 조직의 경계를 벗어나 신체의 다른 부위로 퍼질 수 있다.[93] 만약 미생물이 급성 염증 반응에 의해 제거되지 않으면, 근처 림프관을 통해 림프계로 들어갈 수 있다.[93] 림프관의 감염은 림프관염으로, 림프절의 감염은 림프절염으로 알려져 있다.[93] 림프절이 모든 병원균을 파괴하지 못하면 감염은 더욱 확산된다.[93] 병원균은 림프 배액을 통해 순환계로 들어가 혈류에 접근할 수 있다.[93]
염증이 숙주를 압도하면 전신염증반응증후군으로 진단된다.[93] 감염으로 인한 경우에는 패혈증이라는 용어가 사용되며, 세균성 패혈증에는 균혈증이라는 용어가, 바이러스성 패혈증에는 바이러스혈증이라는 용어가 특히 사용된다.[93] 혈관확장과 장기 기능 부전은 광범위한 감염과 관련된 심각한 문제이며, 패혈성 쇼크와 사망으로 이어질 수 있다.[93]
=== 병리학적 양상에 따른 분류 ===
급성 및 만성 염증에서 특정한 병리학적 패턴이 관찰될 수 있으며, 대표적으로 상피세포에서 염증이 일어났을 때나, 감염에 의해 고름이 형성된 경우를 예로 들 수 있다.[258] 염증은 세포나 조직의 변성·괴사가 두드러지지만 삼출이나 증식이 일어나지 않는 변성성 염증, 국소의 순환 장애와 혈액 성분의 삼출을 특징으로 하는 삼출성 염증, 섬유아세포의 증식을 특징으로 하는 증식성 염증으로 나뉘며, 특히 증식성 염증 중에서 과립구 형성을 특징으로 하는 것을 특수성염(육아종성염)이라고 한다.[106]3. 1. 지속 기간에 따른 분류
염증은 지속 기간에 따라 급성, 아급성, 만성으로 분류된다. 급성 염증은 수 분에서 수 일 동안 지속되는 초기 반응이다.[20][11] 손상 직후 발생하며 며칠 동안만 지속되고,[11] 유해 자극이 제거되면 사라진다.[20] 사이토카인과 케모카인은 염증 부위로 호중구와 대식세포의 이동을 촉진한다.[11] 병원체, 알레르겐, 독소, 화상, 동상 등이 급성 염증을 유발할 수 있다.[11] 톨유사수용체(TLR)는 미생물 병원체를 인식한다.[11]
아급성 염증은 2주에서 6주 동안 지속된다.[11][24]
만성 염증은 수개월 또는 수년 동안 지속되는 염증이다.[24][105] 급성 염증과 달리 만성 염증에서는 대식세포, 림프구, 형질 세포가 우세하다.[24] 당뇨병, 심혈관 질환, 알레르기, 만성 폐쇄성 폐질환(COPD) 등이 만성 염증으로 인해 발생할 수 있다.[24] 비만, 흡연, 스트레스, 불충분한 식단은 만성 염증을 촉진한다.[24] 2014년 연구에 따르면 미국인의 60%가 적어도 하나 이상의 만성 염증 질환을 가지고 있으며, 42%는 둘 이상의 질환을 가지고 있다고 보고되었다.[24] 경도의 만성 염증은 치매, 우울증, 심혈관 질환, 암 등의 원인이 될 수 있으며,[112] 전 세계 인구의 3/5가 만성 염증 관련 질병으로 사망한다.[112] 만성적인 스트레스 등은 만성 염증의 발병을 유발할 수 있다.[112]
| width="150" | | 급성 | 만성 |
|---|---|---|
| 원인 물질 | ||
| 관여하는 주요 세포 | ||
| 주요 매개체 | ||
| 발병 | ||
| 지속 기간 | ||
| 결과 |
3. 2. 원인에 따른 분류
염증은 다양한 원인에 의해 발생하며, 크게 물리적, 생물학적, 화학적, 심리적 원인으로 분류된다.[7]| 원인 | 예시 |
|---|---|
| 물리적 원인 | 화상, 동상, 외상, 이물질, 이온화 방사선 |
| 생물학적 원인 | 병원체에 의한 감염, 과민증으로 인한 면역반응, 스트레스, 손상된 세포 |
| 화학적 원인 | 화학자극, 독성, 알코올, 당분, 지방, 미세먼지 |
| 심리적 원인 | 쑥스러움, 흥분 |
물리적 원인에는 화상, 동상, 외상, 둔상 또는 관통상, 가시나 먼지 및 파편을 포함한 이물질, 전리 방사선 등이 있다.[7][8] 생물학적 원인으로는 세균, 진균, 바이러스, 원충, 기생충 등의 침입에 의한 감염[7], 과민증으로 인한 면역 반응, 스트레스 등이 있다. 화학적 원인에는 화학적 자극제, 독소, 알코올 등이 있으며,[7] 심리적 원인으로는 흥분 등이 있다.[9]
염증을 일으키는 물질은 발병 물질이라고 하며, 체외에서 침입한 외인과 체내에서 생성된 내인으로 나뉜다. 항원항체 반응, 체액 면역, 세포성 면역 등은 면역학적 인자로 분류되기도 하며, 이는 내인에 해당한다.[104][106]
3. 3. 발생 부위에 따른 분류
감염성 미생물은 순환계나 림프계를 통해 즉각적인 조직의 경계를 벗어나 신체의 다른 부위로 퍼질 수 있다.[93] 만약 미생물이 급성 염증 반응에 의해 제거되지 않으면, 근처 림프관을 통해 림프계로 들어갈 수 있다.[93] 림프관의 감염은 림프관염으로, 림프절의 감염은 림프절염으로 알려져 있다.[93] 림프절이 모든 병원균을 파괴하지 못하면 감염은 더욱 확산된다.[93] 병원균은 림프 배액을 통해 순환계로 들어가 혈류에 접근할 수 있다.[93]염증이 숙주를 압도하면 전신염증반응증후군으로 진단된다.[93] 감염으로 인한 경우에는 패혈증이라는 용어가 사용되며, 세균성 패혈증에는 균혈증이라는 용어가, 바이러스성 패혈증에는 바이러스혈증이라는 용어가 특히 사용된다.[93] 혈관확장과 장기 기능 부전은 광범위한 감염과 관련된 심각한 문제이며, 패혈성 쇼크와 사망으로 이어질 수 있다.[93]
3. 4. 병리학적 양상에 따른 분류
급성 및 만성 염증에서 특정한 병리학적 패턴이 관찰될 수 있으며, 대표적으로 상피세포에서 염증이 일어났을 때나, 감염에 의해 고름이 형성된 경우를 예로 들 수 있다.[258] 염증은 세포나 조직의 변성·괴사가 두드러지지만 삼출이나 증식이 일어나지 않는 변성성 염증, 국소의 순환 장애와 혈액 성분의 삼출을 특징으로 하는 삼출성 염증, 섬유아세포의 증식을 특징으로 하는 증식성 염증으로 나뉘며, 특히 증식성 염증 중에서 과립구 형성을 특징으로 하는 것을 특수성염(육아종성염)이라고 한다.[106]
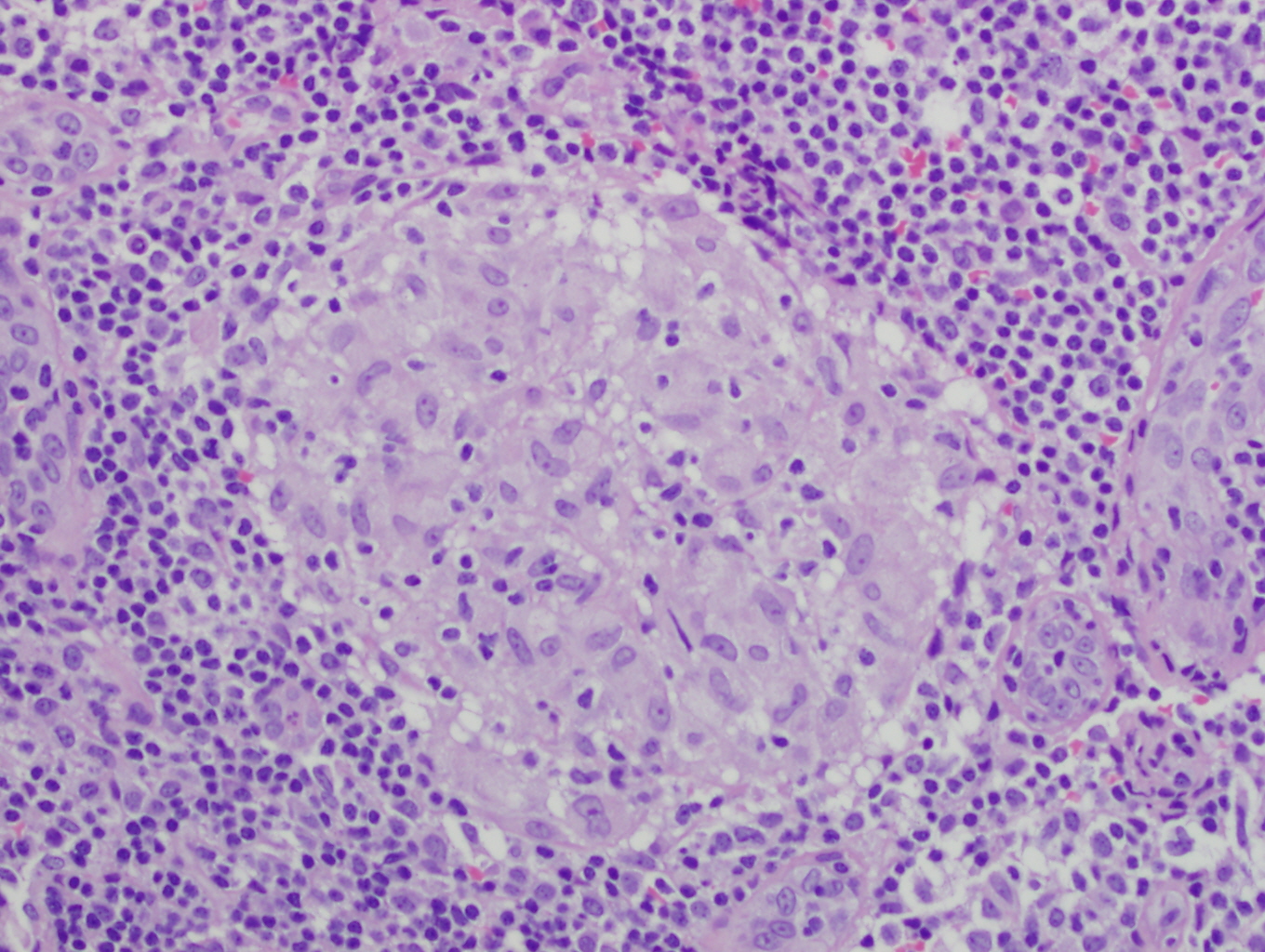
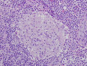
- 육아종성 염증: 병리 소견상 육아종으로 특징지어지며 일부 질병에서 특징적인 소견으로 나타난다. 대표적으로 결핵, 나병, 사르코이드증, 매독 등을 들 수 있다.
- 섬유소성 염증: 혈관 투과성 증가로 인해 조직의 삼출액 내에 피브린 등의 섬유성 물질이 침착될 수 있다. 암[166]이나 류마티스 열,[259] 폐렴 등에서 같은 경우가 그 예인데, 적절한 전응고촉진 자극원이 존재한다면 섬유소의 유출이 누적된다. 장막 사이의 공간에 이러한 현상이 흔히 일어날 수 있으며, 섬유소를 포함한 삼출물이 흉터를 형성하는 원인이 되어 장막의 정상 기능을 방해할 수 있다.
- 화농성 염증: 많은 양의 호중구, 죽은 세포들과 고농도의 단백질[260]을 함유하고 있는 고름을 만들어내며, 포도상구균과 같은 화농균에 감염되었을 때 특징적으로 나타난다. 고름이 배출되지 못하고 차서 주변 조직에 둘러쌓인 상태가 되면 농양이라 부른다.
- 장액성 염증: 수분이 많고 단백질이 적으며 점성이 적은 장액이 특징적으로 발생하는 염증이다. 이러한 장액은 장막의 중피세포에서 주로 형성되며, 혈장 유래 액체인 경우도 있다. 피부에 생기는 물집이 대표적이다.
- 궤양성 염증: 상피의 근처에서 일어나는 염증은 조직의 괴사에 의하여 아래의 층이 드러나는 경우가 있다. 상피가 손상되어 구멍이 생기는 것을 궤양이라고 한다.
4. 생리 작용
급성 염증반응의 경우 혈관 및 혈장 단백질, 사이토카인 등의 변화가 일어난 후, 면역세포들의 작용이 일어난다. 염증에 관여하는 화학물질들에는 대표적으로 히스타민과 프로스타글란딘, 키닌류가 있다. 히스타민은 혈관작용아민(혈관활성아민) 종류로 분류할 수 있으며,[165] 손상된 부위에 혈액과 림프액이 더 많이 오도록 작용한다. 키닌류는 근육의 수축을 완화하여 모세혈관을 확장시켜 혈액 운반을 원활하게 하고 통증이 느껴지도록 한다. 대표적으로 브라디키닌이 있다. 백혈구가 세포내로 유입되면 프로스타글란딘이 합성되어 통증과 발열을 일으킨다.
4. 1. 급성 염증의 과정

급성 염증은 조직 손상에 대한 1차 방어 작용으로, 자극원이 없어지면 멈추게 된다.[166]
급성 염증 과정은 조직 내에 이미 존재하는 면역 세포(주로 대식세포, 수지상 세포, 조직구, 쿠퍼세포, 비만세포)에 의해 시작된다.[20] 이 세포들은 표면에 수용체를 가지고 있어 병원체연관분자유형(PAMPs)과 손상연관분자유형(DAMPs)을 인식한다.[168] PAMPs는 병원체 유래 물질이며, DAMPs는 숙주의 세포 손상으로 생성된 물질이다.[168]
감염, 화상 등의 손상이 발생하면, 면역 세포들이 활성화되어 염증 매개 물질을 방출한다. 이 과정에서 NF-κB 등의 전사인자를 통한 신호전달경로가 시작되며, 사이토카인 (예: TNF-α, IL-6, IL-1, IL-8)이 분비된다.[169]
이러한 염증 매개 물질들은 다음과 같은 현상을 유발한다.
- '''혈관 확장''' 및 '''혈류 증가''': 발적(''rubor'')과 열감(''calor'')을 유발한다.[170]
- '''혈관 투과성 증가''': 혈장 단백질과 체액이 조직으로 유출되어 부종(''tumor'')을 일으킨다.[170]
- '''통증 민감도 증가''': 브라디키닌과 같은 물질은 통증(''dolor'')에 대한 민감도를 높인다.[170]
- '''백혈구 유출''': 호중구, 대식세포 등이 손상 부위로 이동한다. 호중구의 이동은 화학주성이라고 불린다.[166]
- '''기능 상실''': 통증이나 부종 등으로 인해 조직의 기능 상실(''functio laesa'')이 일어날 수 있다.[170]

세포 유래 매개체 외에도, 보체계, 혈액응고반응, 섬유소용해계 등 생화학적 경로가 염증 반응에 기여한다.[166]
급성 염증은 손상에 대한 초기 방어선으로, 지속적인 자극이 필요하다. 염증 매개체는 수명이 짧고 조직에서 빠르게 분해되므로, 자극이 제거되면 염증은 멈춘다.[20]
4. 2. 전신의 염증 반응
국소적인 염증 반응이 전신으로 확산될 수 있다. 이 과정은 국소 조직에 갇혀있던 염증 반응의 산물들과 염증매개물질이 전신으로 퍼지고, 호르몬과 혈관이 관여하면서 일어날 수 있다.[171][172] 예를 들어 알라민과 같은 염증유발물질이 순환계로 스필오버되는 경우 국소 염증 반응이 전신 염증 반응으로 진행된다.[173] 혈관을 통해 전신을 순환하는 사이토카인들이 염증의 전파에 영향을 줄 수 있다.[174] 반면 항염증 사이토카인, 예를 들어 TNF 수용체, IL-1RA, IL-10 등의 항염증매개물질은 전신 염증을 미리 차단할 수 있다.[175]순환계나 림프계를 통하여 감염원(병원체 등)이 국소 조직에서 전신으로 퍼질 수 있다. 감염원이 급성 염증의 작용에 의해 적절히 통제되지 못하면 림프관을 통해 빠져나가 림프계로 들어갈 수 있다. 림프절과 림프관이 감염되면 각각 임파선염과 림프관염이 발생한다. 림프절의 면역세포들이 병원체를 제거하는 데 실패한 경우 감염원은 전신으로 퍼져나갈 수 있으며, 이 경우 병원체는 림프액 이동 경로를 따라 순환계로 흘러가게 된다.
염증이 숙주를 압도하면 전신성염증반응증후군으로 진단된다. 전신성염증반응증후군의 대표적 원인에는 감염, 화상, 출혈, 비감염성 염증 등이 있다.[176] 감염으로 인한 경우에는 패혈증이라는 용어가 사용되며,[177][178] 세균성 패혈증에는 균혈증, 바이러스성 패혈증에는 바이러스혈증이라는 용어가 특히 사용된다. 혈관확장과 장기 기능 부전은 광범위한 감염과 관련된 심각한 문제이며, 패혈성 쇼크와 사망으로 이어질 수 있다.[93]
5. 혈관의 변화

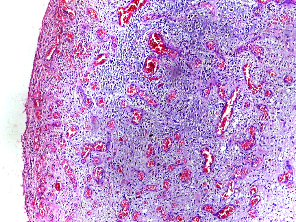
염증반응이 일어나는 동안 혈관이 조절되면서 혈류와 투과성이 변한다. 혈관의 확장은 세동맥에서 처음 발생한 후 모세혈관에서 뒤따라 일어난다. 염증 초기에 혈관이 잠깐 수축한 후, 이완된 상태가 지속된다.[180] 이는 혈류를 증가시키고, 혈액량이 늘어나 발적과 열감이 유발된다. 병원체연관분자유형을 감지한 조직의 대식세포와 비만세포는 염증과 관련된 물질들을 분비한다. 히스타민, 세로토닌과 같은 혈관작용아민들, 프로스타글란딘 E2, 류코트리엔 B4와 같은 아라키돈산 대사물질, 일산화질소 등이 대표적이다.[27] 이러한 물질들은 염증 부위의 혈관에 영향을 미쳐 혈관의 투과성과 굵기를 조절한다.
세정맥에서 내피세포 사이에 틈이 생기게 되는데, 이는 혈관 내피세포들의 구조적인 수축 때문이다. 이러한 기전들을 통하여 혈관 투과성이 증가하게 된다.[181][182]
급성 염증은 다양한 염증 매개체의 작용에 의해 유발되는 현저한 혈관 변화, 즉 혈관확장, 투과성 증가 및 혈류 증가를 특징으로 한다.[27] 미세순환 영역에 급속히 나타나는 급성 염증 반응은 미세순환 혈류의 증가, 미세순환으로부터의 혈장 단백질 삼출, 미세순환으로부터의 백혈구의 혈관 외 유주 과정으로 구성된다.[110]
==혈류의 증가==
급성 염증에서 가장 빨리 나타나는 변화는 혈관 확장이며, 히스타민과 일산화질소(NO)가 혈관벽의 평활근을 이완시킴으로써 발생한다.[110]
==혈장 단백질의 삼출==
혈관 확장이 일으키는 가장 두드러진 변화는 혈관 투과성의 항진이며, 이로 인해 혈액 내 세포 성분과 비교적 크기가 큰 혈장 단백질이 혈관에서 혈관 외 간질로 이동( 삼출 )할 수 있게 된다.[110]
==백혈구의 혈관 외 유주==
혈관 내 성분의 삼출이 일어나면 혈류 속도는 저하되고, 혈액의 점도가 증가하여 혈관 울혈을 일으킨다.[110]
6. 혈장 성분의 역할
혈관의 투과성이 증가하면 조직으로 혈장이 누출되고, 혈액의 혈구 농도가 진해지면서 혈류 정체가 일어난다. 혈관 투과성의 변화로 세포액이 조직으로 이동하면서 부종이 형성된다. 혈장에서 유래한 조직액에 포함된 보체, 라이소자임, 항체 등의 항균물질들은 미생물에 의한 공격에 직접 대응하는데 쓰이거나, 외부 병원체를 옵소닌화시켜서 면역세포의 인식작용을 돕는다. 예를 들어 열상(찢어진 상처)의 경우, 혈장에서 유래한 혈소판, 응고인자, 플라스민, 키닌류들이 상처 부위에 혈전을 형성하고 응고반응을 일으킨다. 응고 매개물질들은 염증 부위에서 피브린을 응집시켜 그물 형태로 만들고, 식작용을 통한 염증 원인 및 조직세포의 제거와 상처의 재생을 유도한다. 조직액의 일부는 림프계로 흘러들어가 림프절에서 미생물의 침입을 알리고, 적응 면역 시스템을 작동시킨다.
혈액의 응고반응은 상처 부위의 보호를 위해 단백질 그물을 형성하며, 이는 흔히 딱지라고 불린다.
섬유소 용해반응은 응고반응과 반대로 작용하여 균형을 맞추며, 염증매개물질을 생성한다. 특히 PAI-1, uPA 등의 몇몇 물질은 염증반응에 관여한다.[188]
키닌계 및 칼리크레인-키닌 체계는 혈관 확장 상태의 유지와 염증 효과를 일으키는 단백질들의 생성에 관여한다.
보체계는 막공격복합체를 형성하며, 옵소닌작용, 응집반응, 주화성을 일으키는 연쇄반응에 관여한다.
보체계가 활성화되면 일련의 화학 반응이 연쇄적으로 발생하여 옵소닌화, 화학주성, 응집을 촉진하고 MAC를 생성한다.
키닌계는 혈관확장 및 기타 물리적 염증 효과를 유지할 수 있는 단백질을 생성한다.
응고계 또는 혈액 응고 연쇄 반응은 손상 부위를 보호하는 단백질 그물을 형성한다.
섬유소용해계는 응고계와 반대 작용을 하여 응고를 상쇄하고 다른 여러 염증 매개체를 생성한다.
6. 1. 혈장 유래 염증 매개 물질
혈장 유래 염증 매개 물질에는 브라디키닌, 보체 성분(C3, C5a), 응고 인자(XII 인자), 막공격복합체(MAC), 플라스민, 트롬빈 등이 있다.[160][189]- 브라디키닌: 키닌계에 속하며 혈관의 이완, 투과성 증가, 평활근 수축을 유도하고 통증을 유발한다.[160][189]
- C3: 보체계의 구성 성분으로, C3 전환효소에 의해 분해되거나 스스로 분해되어 C3a와 C3b로 나뉜다. C3a는 비만세포에서 히스타민 분비를 유도하여 혈관 확장을 일으킨다.[160][190] C3b는 옵소닌 작용을 통해 식작용을 돕고, 다른 보체 단백질과 결합하여 C3 전환효소나 C5 전환효소로 작용한다.[190]
- C5a: 보체계의 구성 성분으로, 비만세포의 탈과립을 유도하여 히스타민 분비를 자극하고, 주화인자로 작용하여 주화성을 일으킨다.[160][191]
- XII 응고인자: 혈액응고계에 속하며, 평소에는 비활성 상태로 존재하다가 콜라겐, 혈소판 등에 의해 활성화된다. 활성화된 XII 인자는 키닌계, 섬유소용해계, 혈액응고계를 활성화시켜 염증 반응에 기여한다.[160][192]
- 막공격복합체(MAC): 보체계 단백질인 C5b, C6, C7, C8, C9 분자로 구성되며, 병원체에 결합하여 파괴하는 작용을 한다. 이들은 박테리아 세포막에 구멍을 뚫어 삼투압에 의한 분해를 유도한다.[160]
- 플라스민: 섬유소용해계에 속하며, 피브린으로 구성된 혈전을 분해하고, 보체 단백질 C3을 절단하며, XII 인자를 활성화시킨다.[160]
- 트롬빈: 혈액응고계에 속하며, 피브리노겐을 분해하여 피브린을 형성하고, PAR1 수용체를 통해 일산화질소나 케모카인 형성에 관여한다.[160]
7. 면역 세포계의 역할
면역체계를 유지하기 위해 다양한 세포들이 각자의 역할을 담당하고 있으며, 염증 반응에도 이러한 면역세포들이 참여하게 된다.[193][194][195]
이들에는 혈액에 존재하는 백혈구들도 포함된다. 혈류의 정체에 따라서 혈관 내의 백혈구가 혈관내피를 따라 이동할 수 있고, 투과성이 증가한 혈관을 빠져나가 조직으로 이동하게 된다. 백혈구 중 일부는 식세포로 기능하여 식작용으로 세균, 바이러스, 세포 찌꺼기 등을 섭식한다. 일부 백혈구는 다양한 효소가 포함된 과립을 분비하여 숙주조직을 정리하거나 외부 항원인 세균 등을 죽인다.[196] 다른 일부는 염증반응을 매개하고 조절하는 염증전달물질을 분비한다.
급성염증의 경우 일반적으로 과립구에 의해 조절된다. 반면, 만성염증의 경우 단핵구, 림프구 등의 단핵세포 참여가 두드러진다. 특히 염증 반응의 초기 단계에서는 항균 작용이 강한 호중구가 주로 반응하며, 이후 반응이 진행하면서 단핵구, 대식세포가 참여하게 된다.[197]
세포 성분에는 염증 부위로 이동하여 염증 반응을 돕기 위해 혈액 내에 정상적으로 존재하다가 혈관외유출을 통해 염증 조직으로 이동하는 백혈구가 포함된다.[25] 일부는 식세포로 작용하여 박테리아, 바이러스 및 세포 파편을 섭취한다. 다른 백혈구는 병원체 침입자를 손상시키는 효소 과립을 방출한다. 백혈구는 또한 염증 반응을 유발하고 유지하는 염증 매개체를 방출한다. 일반적으로 급성 염증은 과립구에 의해 매개되는 반면, 만성 염증은 단핵구 및 림프구와 같은 단핵구 세포에 의해 매개된다.
7. 1. 백혈구의 혈관 외 유출
다양한 백혈구, 특히 호중구는 염증 반응의 시작과 유지에 있어서 중요한 역할을 한다.[198] 백혈구는 일반적으로 혈액에서 손상이 된 조직으로 이동을 하는 과정을 거친다. 백혈구가 혈관을 빠져나와 혈액에서 손상된 조직으로 이동하는 것을 혈관외유출이라 하며, 이러한 일련의 과정은 몇 가지 단계로 나뉘어 진행된다. 이 과정은 크게 화학쏠림, 구르기 및 부착, 내피세포 통과 이동의 3단계로 구성된다.[198]
- '''주화성'''(chemotaxis): 조직의 대식세포나 혈액의 단핵구, 기타 다른 면역세포들이 조직에 침투한 병원체를 인식하면 다양한 사이토카인들이 분비된다.[169] 화학주성을 일으킬 수 있는 사이토카인들을 케모카인이라고 부른다.[199] IL-1, IL-8, TNF-α, C5a 등은 염증 부위 근처의 혈관내피세포가 셀렉틴 등의 세포부착분자를 발현하도록 한다. 혈관을 타고 순환하던 백혈구는 케모카인의 신호를 받고 손상 또는 감염이 생긴 부위로 동원된다.
- '''접착'''(adhesion): 혈관에서 떠다니던 백혈구가 염증신호를 인식하면 염증 조직으로 빠져나가기 위해 혈관벽의 혈관내피세포에 붙어야 한다. 혈관 중앙에서 흘러가던 백혈구는 케모카인을 인식한 후 혈관의 벽 방향으로 이동한다.[201] 조직의 염증신호를 인식하여 활성화된 대식세포는 IL-1, TNF-α 등을 분비하고, 이들이 내피세포의 GPCR에 결합한다. 그 결과로 모세혈관 및 모세혈관이후세정맥의 내피세포에서는 셀렉틴이 발현된다. 셀렉틴은 호중구, 호산구, 단핵구, T세포 등의 수용체로 작용할 수 있으며, 내피세포에서는 P-셀렉틴과 E-셀렉틴이 발현되는데 P-셀렉틴은 내피세포의 자극 이후 E-셀렉틴보다 먼저 발현된다.[203] 포획된 백혈구는 PSGL-1과 같은 표면의 당단백질 리간드를 통하여 P-셀렉틴, E-셀렉틴과 결합되었다가 떨어졌다를 반복하면서 혈관 내피의 표면을 따라 구르게 된다. IL-8(CXCL8), SLC(CCL21), ELC(CCL19), SDF-1(CXCL12) 등의 케모카인이 분비되어 인테그린의 구조변화를 일으킨다.[204] LFA1, VLA4와 같은 백혈구 표면의 인테그린은 내피세포의 인테그린 수용체와 더 강한 결합을 형성하여 혈류 흐름으로부터 백혈구를 고정시킨다. 사이토카인들은 내피세포의 ICAM-1 및 VCAM-1과 같은 인테그린 리간드의 발현을 유도하여 접착을 매개하고 백혈구를 더욱 느리게 한다.
- '''내피세포 통과 이동'''(transmigration): 혈관외유출 과정을 통하여 백혈구가 혈관 밖으로 빠져나가게 된다. 케모카인의 농도차이를 인식한 백혈구는 혈관 벽을 따라 이동하며 인접한 내피세포들의 틈으로 이동한다. 내피세포는 움츠러들면서 백혈구가 기저막을 통과할 수 있게 하고, 백혈구는 ICAM-1과 같은 부착분자를 이용하여 주위 조직으로 이동한다.[201]
7. 2. 면역 세포의 식작용
백혈구의 일종인 호중구를 비롯한 식세포들은 유형인식수용체(PRR)를 통해 병원체와 맞닥뜨리게 된다.[205] 병원체연관분자유형은 병원체가 지니고 있는 특정한 분자로, 면역숙주에서는 발견되지 않으며, 대표적으로 지질다당류, 펩티도글리칸, 베타글루칸 등이 있다. 유형인식수용체는 식작용을 직접적으로 매개하는 기능(세포내 이입성 PRR)과 함께 옵소닌 작용에 도움을 주고(분비성 PRR) 염증성 신호 전달을 매개할 수 있다.[206][207] 만노스 수용체, CD14, CD36, 덱틴-1(CLEC7A) 등의 세포내 이입성 유형인식수용체가 PAMPs를 인식하여 식작용을 유도한다.[208]식세포의 세포 표면 엔도사이토시스 패턴 인식 수용체(PRRs)는 미생물 관련 분자 패턴(PAMPs)에 대한 친화력과 효능을 가지며, C형 렉틴 수용체는 만난과 β-글루칸에 결합하고, 청소 수용체는 지질다당류(LPS)에 결합한다. 병원체 등의 외래 입자들은 식세포에 의해 인식될 수 있도록 옵소닌화 되는 경우가 많은데, IgG 항체와 C3b 보체 등이 옵소닌으로 작용하여 미생물 항원에 결합하여 코팅한다. 백혈구 표면의 Fcγ 수용체와 1형 보체 수용체 등이 옵소닌을 감지할 수 있다.[209] 엔도사이토시스 PRR과 옵소닌 수용체의 공동 자극은 식작용 과정의 효능을 증가시켜 감염원의 리소좀 제거를 향상시킨다.
외부 물질이 수용체에 결합하면 세포막과 액틴 세포골격이 변화하면서 물질을 감싸게 된다.[209] 식작용으로 식세포로 들어온 외부 물질은 식포를 형성한다. 포스파티딜이노시톨 등이 관여하는 복잡한 경로를 통하여 식포의 성숙작용이 일어나고, 성숙된 식포는 리소좀과 결합하여 포식용해소체를 형성한다.[209] Vps34-Vps15-Beclin1 신호 전달 경로는 세포내이입된 파고좀을 세포 내 리소좀으로 이동시키는 데 관여한다. 소체 내의 활성산소종, 과산화물 및 염소이온 혹은 차아염소산 표백제 등은 소체 내의 물질을 분해한다.
7. 3. 세포 유래 염증 매개 물질
비만세포와 호염구에서 분비되는 히스타민은 모노아민의 일종으로, 소동맥을 확장시키고 정맥의 투과성을 증가시킨다.[160][189] T세포와 NK세포에서 유래하는 IFN-γ는 사이토카인의 일종으로, 항바이러스, 면역 조절, 항종양 특성을 가지며 만성 염증 유지에 중요한 역할을 한다.[210] 대식세포에서 주로 생성되는 IL-8은 케모카인의 일종으로, 호중구의 화학주성을 유도하고 식작용을 촉진한다.[160][189]백혈구와 암세포에서 유래하는 류코트리엔 B4는 아이코사노이드의 일종으로, 백혈구가 혈관내피세포에 부착하고 이동하도록 돕는다. 또한 호중구의 화학주성을 유도하고, 활성산소종 형성과 리소좀 효소 분비에 관여한다.[160][189] 대식세포, 내피세포, 일부 뉴런에서 생성되는 일산화질소는 혈관을 이완시키고 평활근을 이완시키며, 혈소판 응집을 감소시킨다. 또한 백혈구 동원을 유도하고 고농도에서는 항균 작용을 한다.[160][189]
비만세포에서 유래하는 프로스타글란딘은 지질의 일종으로, 혈관 확장, 발열, 통증을 유발한다.[160][189] 주로 대식세포에서 유래하는 사이토카인인 TNF-α와 IL-1은 여러 세포에 염증 반응을 유도한다. 이들은 열, 사이토카인 생성, 내피세포 유전자 조절, 백혈구의 주화성 및 부착, 섬유아세포 활성화 등에 관여하며, 전신적인 염증 영향에도 관여한다.[160][189] 특히 TNF-α는 대식세포 활성화, 혈관신생 및 혈관 투과성 증가, CRP 합성 증가, 관절 연골 파괴 촉진, 조골세포 분화 억제 등에 관여한다.[211][212] IL-1 가계 사이토카인 중 IL-18은 NK세포와 T세포에 작용하여 IFN-γ 합성을 유도하고, 단핵구에 작용하여 GM-CSF, TNF-α, IL-1β 발현을 유도하며, 호중구 활성화 및 사이토카인 분비 과정에 관여한다.[120]
8. 염증 관해와 만성 염증
8. 1. 염증 관해

염증반응은 필요한 역할을 다하였을 시 반드시 중단되어야 하며, 그렇지 못하고 계속 진행될 경우 조직에 손상을 줄 수 있다.[166] 염증반응이 적절히 중단되지 못한 경우 만성염증이 진행된다. 만성염증의 과정에서 세포사멸이 일어나 조직의 파괴가 일어날 수 있다.[215][216] 염증의 관해 과정은 조직에 따라 서로 다른 방식으로 진행된다.[166][217]
염증 해소 과정에서 호중구들의 세포자살과 대식세포의 극성 전환이 중요한 과정을 담당한다.[227] 염증 기간에서 회복 기간으로 넘어가면서 조직의 세포 구성이 달라진다.[228][229] M2 대식세포, 세포자살한 호중구, 조직의 실질세포가 내뿜는 물질들이 염증 해소와 회복을 시작하는 신호로 작용할 수 있다.[227] 대식세포는 상황에 따라서 지질다당류, IFN-γ에 의해 주로 활성화되는 M1 대식세포와, TGF-β, IL-4, IL-10 IL-13 등에 의해 주로 활성화되는 M2 대식세포로 극화한다.[230][231] 이 두 형태는 서로 가역적으로 왔다갔다 할 수 있으며,[218] 상처 회복기의 조직에는 M2 대식세포가 더 많은 비율을 차지하고 있다.[227]
다음은 염증반응이 종결되는 일부 메커니즘이다.[166][217][20][73]
- 염증매개물질들의 짧은 반감기 (''in vivo''에서)
- 대식세포에서 TGF-β의 생성과 분비[218][219][74][75][76]
- IL-10의 생성과 분비[220][77]
- 전염증성물질들의 발현 감소 (예: 류코트리엔 등)
- 항염증성물질들의 발현 증가 (예: TNF 수용체, IL-1RA 등)
- 항염증성 기능을 담당하는 염증해소촉진전달자의 생성 (예: 라이폭신, 레졸빈, 마레신, 프로텍틴 등)[221][222][78][79]
- 전염증성 세포들의 세포자살[223][80]
- 수용체들의 탈감작, 리간드로 인한 활성 감소
- 세포외기질과의 상호작용으로 인한 염증 조직의 세포 생존의 증가[224][81][82]
- 금속함유 단백분해효소에 의한 케모카인의 분해 (간접적으로 항염증성물질의 생성 증가를 유도)[225][83]
- 당질코르티코이드와 같은 호르몬의 분비[226]
8. 2. 만성 염증
이전에는 급성 염증과 만성 염증이 다른 이유로 발생하는 별개의 현상으로 생각되었지만, 최근에는 생명체의 항상성을 유지하기 위한 하나의 과정으로 묶여 이해되고 있다.[232] 이는 염증의 정의가 과거의 고전적 정의에서 "염증성물질의 상승 또는 발견"으로 변화하게 된 것과 관계가 깊다.[233] 만성 염증은 림프구와 대식세포의 관여, 혈관 증식, 조직의 괴사 및 섬유화가 특징이다.[234] 염증 관해가 실패하는 경우 만성 염증으로 이어져 조직의 손상과 기능 상실로 이어질 수 있다.[230] 급성 염증 상태에서 획득면역의 관여는 만성 염증으로의 진행을 유도할 수 있다.[235]만성 염증에 관여하는 인자는 삼출성 요소와 세포성 요소의 2가지로 나눠볼 수 있다.[236] 삼출성 요소들은 혈관 투과성을 조절하여 조직의 부종을 유도하며, 혈관내피세포성장인자는 만성 염증에서 혈관 투과성을 조절하는 대표적인 물질이다.[237] 단핵구/대식세포, 호중구, 수지상세포, 섬유세포, T세포, 비만세포 등 다양한 면역 관련 세포들이 만성 염증에 관여한다.[236]
만성 염증의 지속 상태는 거의 대부분의 장기에서 발생할 수 있으며[116] 매우 다양한 형태의 질병에 직접적으로 관여한다.[159][238][239] 만성 염증은 수개월 또는 수년 동안 지속되는 염증이다.[24] 당뇨병, 심혈관 질환, 알레르기, 그리고 만성 폐쇄성 폐질환(COPD)은 만성 염증에 의해 매개되는 질병의 예이다.[24] 비만, 흡연, 스트레스 및 불충분한 식단은 만성 염증을 촉진하는 요인 중 일부이다.[24]
만성 염증은 인지 기능 저하, 뇌졸중, 치매(알츠하이머병 포함), 우울증으로 이어질 수 있다. 만성적인 스트레스 등은 만성 염증의 발병을 유발한다.[112]
8. 3. 저강도의 만성 염증
저강도의 만성 염증은 다양한 질병의 위험 인자로 주목받고 있으며, 흔히 염증의 5대 증상 없이 염증 반응이 지속되는 상태를 의미한다.[240] 임상적으로는 혈액 속의 hs-CRP 농도로 정의되는 경우가 많으며, AHA/CDC의 권고치[242]인 3mg/L를 기준으로 그보다 상승한 경우를 위험군으로 판단한다.[241][243][244] 미국인의 약 30%,[244] 한국인의 약 10% 내외[245][246]가 저강도의 만성 염증을 가지고 있다.저강도의 만성 염증은 생활습관, 사회적 관계 및 식습관과 밀접하게 연관되어 다양한 원인으로 발생한다.[241][247][248] 건강하지 못한 식사, 적은 수면, 흡연 및 간접흡연, 신체활동 감소, 악력 감소, 고지대 거주, 미혼, 노화, 사회적 고립 등의 사회적 요인이 영향을 미칠 수 있다.[241] 고혈압 및 전고혈압, 저산소증, 폐쇄성 수면 무호흡, 비만, 허리디스크, 낮은 출생 체중, 다낭성 난소 증후군 등도 저강도의 만성 염증을 유발하는 의료적 상황으로 꼽힌다.[241]
저강도의 만성 염증은 만성 피로를 유발하고,[249] 암, 관절염, 대사증후군, 당뇨병, 심혈관질환, 신경계질환 등의 원인 및 위험 인자로 작용할 수 있다.[250][251] 제2형 당뇨병, 죽상경화증, 인슐린 저항성 등이 저강도의 만성 염증과 연관되어 있지만, 항염증제를 통해 질병을 완화하려는 시도는 부분적인 성공만을 거두었다.[252]
만성 염증 발생 시 전신 통증, 관절통, 근육통, 만성 피로와 불면증, 우울증, 불안 및 기분 장애, 변비, 설사 및 위산 역류와 같은 위장 합병증, 체중 증가 또는 감소, 잦은 감염과 같은 징후와 증상이 나타날 수 있다.[24]
9. 원인
염증은 미생물에 의한 감염, 외상으로 인한 상처, 수술, 화상 및 동상, 전기자극, 화학물질 등 다양한 원인에 의하여 발생한다.[7]
원인은 크게 물리적, 생물학적, 화학적, 심리적 원인으로 나뉜다.
| 물리적 원인 | 화상, 동상, 외상, 이물질, 이온화 방사선 |
| 생물학적 원인 | 병원체에 의한 감염, 과민증으로 인한 면역반응, 스트레스, 손상된 세포 |
| 화학적 원인 | 화학자극, 독성, 알코올, 당분, 지방, 미세먼지 |
| 심리적 원인 | 쑥스러움, 흥분 |
물리적 원인에는 화상,[7] 동상, 둔상 또는 관통상,[8] 가시나 먼지 및 파편 포함한 이물질, 외상,[7] 전리 방사선이 있다. 생물학적 원인에는 병원체 감염,[7] 과민증으로 인한 면역 반응, 스트레스 등이 있다. 화학적 원인에는 화학적 자극제, 독소, 알코올 등이 있다.[7] 심리적 원인에는 흥분[9] 등이 있다.
염증의 원인에는 세포 및 조직 손상을 일으키는 모든 것이 포함된다. 구체적인 원인(스트레스 침입)으로는, 세균, 진균, 바이러스, 원충, 기생충 등의 침입에 의한 감염증 등으로 발생하는 '''생물학적 인자'''(생물학적 스트레스), 기계적 외력 등의 타격, 전기, 자외선, 방사선, 고온(화상)이나 저온(동상)과 같은 온도 변화 등 일정한 물리적 자극에 의해 발생하는 '''물리적 인자'''(물리적 스트레스), 중금속이나 유기용제에 의한 중독 또는 산이나 알칼리에 의한 부식 등으로 발생하는 '''화학적 인자'''(화학적 스트레스)가 있다.[104][106]
염증을 일으키는 물질을 발병 물질이라고 한다. 발병 물질에는 체외에서 생체 내로 침입한 것(외인)과 체내에서 생성된 것(내인)이 있다. 예를 들어 외상 등으로 세포 조직이 괴사하고, 유리된 붕괴 산물이 유해 인자로 작용하는 경우 등이 있다.
항원항체 반응이나 체액 면역, 세포성 면역도 염증의 원인으로 분류되는 경우가 있으며, 이들은 '''면역학적 인자'''라고 불리기도 한다. 생물학적 인자, 물리적 인자, 화학적 인자가 외인에 해당하는 반면, 면역학적 인자는 내인에 해당한다.
10. 결과
염증 반응의 결과는 손상된 조직의 종류와 상태, 염증을 일으킨 원인에 따라 달라진다.[166] 크게 완전 회복, 섬유화, 농양 형성, 만성 염증 등으로 나눌 수 있다.[166]
- '''완전 회복:''' 손상된 조직이 염증 이전의 상태로 완전히 재생되는 경우이다.[166] 제한적인 염증 반응이나 자극이 작고 짧은 기간 동안 일어난 반응에서 나타난다. 염증 반응으로 생긴 혈관 확장, 화학 물질 생성, 백혈구의 조직 침투, 손상된 조직의 실질 세포 등이 원상태로 회복된다.[166] 병원체가 제거되고 조직과 세포가 회복되어 질병의 흔적이 남지 않는다.[111]
- '''섬유화:''' 많은 양의 조직이 손상되거나 파괴된 경우, 이전과 같은 세포로 완벽하게 재생될 수 없다.[253] 손상 부위는 흉터 조직으로 채워지는데, 이는 주로 콜라겐으로 구성되어 기능적으로 조직의 제 기능을 하지 못한다.[253] 비후성 반흔이나 흉터로 인한 조직 수축, 켈로이드 등이 형성될 수 있다.[253] 이물질이나 병원체를 완전히 제거하지 못하고 조직 결손을 회복하지 못한 채 단단한 섬유로 대체되는 경우도 섬유화라고 한다.[111] 결손 조직이 많은 경우 섬유아세포, 대식세포, 신생혈관이 육아조직을 형성하여 반흔 조직이 되어 결손 부위를 보충한다.
- '''농양(종기) 형성:''' 염증이 다른 곳으로 퍼져나가지 못하게 하는 과정에서 고름이 모여 화농할 수 있다.[254] 고름에는 박테리아들과 죽은 백혈구, 파괴된 세포들의 잔해가 함유되어 있으며, 흔히 불투명한 색의 액체로 보인다.[254] 농양에는 흔히 격벽이 형성되어 정상 조직이 농양 안의 박테리아로부터 감염되는 것을 막아준다.[254] 농양을 치료하기 위해 항생제 투여와 함께 절개 및 배농 과정을 거쳐 고름을 제거하며, 내시경이나 수술적인 방법이 필요할 수 있다.[254][255] 화농균 감염이 염증 부위에서 발생하는 경우에 발생한다.
- '''만성 염증:''' 급성 염증의 원인이 지속되는 경우 만성 염증으로 발전할 수 있다.[256] 원인 물질이 없어지지 않고 계속 남아있을 때 일어나며, 염증이 몇 개월 혹은 수 년간 지속되면서 손상된 조직에 만성 상처를 형성한다.[256] 만성 상처는 일반적으로 4주 이상 치유되지 않는 상처를 말한다.[256] 만성 염증은 조직에서 대식세포가 계속적으로 존재하는 특징을 지니며, 대식세포가 내뿜는 세포독성물질들(활성산소 등)은 조직에 지속적인 손상을 입혀 정상 조직을 파괴한다.[256]
괴사 세포는 세포 및 조직 파괴물에 포함된 효소에 의해 분해되고, 호중구와 대식세포의 식작용에 의해 제거된다.[106] 손상된 조직은 섬유아세포가 생성하는 콜라겐 섬유로 수복되고, 수복 재료를 운반하기 위한 풍부한 모세혈관으로 이루어진 육아조직이 형성된다.[106]
11. 병리학적 특징
육아종성 염증, 섬유소성 염증, 화농성 염증, 장액성 염증, 궤양성 염증 등 다양한 병리학적 패턴이 염증에서 관찰될 수 있다.[258]
- 육아종성 염증: 육아종으로 특징지어지며 결핵, 나병, 사르코이드증, 매독 등 일부 질병에서 특징적인 소견으로 나타난다.[257] 비건락성 육아종은 사르코이드증, 결핵 등의 질병에서 발견될 수 있다.[257]
- 섬유소성 염증: 혈관 투과성 증가로 인해 조직의 삼출액 내에 피브린 등의 섬유성 물질이 침착될 수 있다. 암,[166] 류마티스 열,[259] 폐렴 등에서 나타날 수 있으며, 적절한 전응고촉진 자극원이 존재하면 섬유소의 유출이 누적된다. 장막 사이의 공간에 이러한 현상이 흔히 발생하며, 섬유소를 포함한 삼출물이 흉터를 형성하여 장막의 정상 기능을 방해할 수 있다. 이러한 삼출물의 축적은 가성막을 형성할 수 있으며 ''C. difficile'' 감염으로 인한 거짓막 결장염 등에서 관찰된다.
- 화농성 염증: 많은 양의 호중구, 죽은 세포들과 고농도의 단백질[260]을 함유하고 있는 고름을 만들어내며, 포도상구균과 같은 화농균에 감염되었을 때 특징적으로 나타난다. 고름이 배출되지 못하고 차서 주변 조직에 둘러쌓인 상태가 되면 농양이라 부른다.
12. 진단적 특징
염증으로 인한 질환을 발견하기 위하여 임상 증상, 염증조직의 조직검사(병리소견), 혈액검사, 조직액 검사(활막액검사, 흉수검사 등), 내시경 소견, 영상의학 검사 등 다양한 진단적 특징을 종합적으로 고려해야 한다.[261][262]
임상적으로 염증을 발견하기 위해서 다양한 염증 표지자에 대한 검사를 할 수 있다. 혈구, 응고반응 검사, 화학 검사 등의 혈액 검사가 대표적인 예시이다.[263] 세포 표면에서 셀렉틴, 인테그린 등의 발현을 보거나, 염증매개물질과 사이토카인, 케모카인, 보체, 급성기 단백질 등을 분석할 수 있다.[263]
==== 급성기 단백질 ====
염증 반응의 결과로 간에서 CRP, 혈청 아밀로이드 A, 혈청 아밀로이드 P, 알파-1 항트립신, D-이합체, 세룰로플라스민, 합토글로빈 등 급성기 단백질의 발현이 유도된다.[263][264] 염증 반응이 일어나면 농도가 증가하는 급성기 단백질이 있는 반면, 알부민, AFP, 아포지단백 A1, 아포지단백 A2 등의 혈장 단백질은 감소하며, 이러한 변화를 통해 염증 여부를 판단할 수 있다.[265][266]
급성기 단백질은 체액성 선천면역에 도움을 주고, 응고반응을 유발하며, 조직 손상을 막고 복구를 돕는다.[266] 급성 염증에서는 유익하지만, 만성 염증에서는 아밀로이드증 발병에 영향을 줄 수 있다.[166][20] 이들은 발열, 피로, 혈압 증가, 식욕 감퇴, 땀의 감소, 졸음 등의 전신 증상을 일으킬 수 있다.[166][20]
CRP는 간에서 발현되며, C1q 보체 활성화와 옵소닌화 반응을 촉진하고, 단핵구와 마크로파지의 기능, 사이토카인 분비를 조절한다.[267]
==== 혈구 ====
염증은 백혈구 수에 영향을 줄 수 있다. 백혈구증가증은 말초혈액의 백혈구 수가 정상 범위보다 증가하는 것이다. 흔히 감염에 의해 일어나는 염증에서 미성숙한 백혈구가 혈액에 증가하면서 이러한 소견을 볼 수 있다. 백혈구의 수는 흔히 15,000–20,000개/μL까지 증가하는데, 극도로 증가된 경우에는 100,000개/μL까지 보이는 경우도 있다.[166][20] 박테리아에 의한 감염은 호중구를 증가시키며, 기생충에 의한 감염이나 천식, 알레르기 비염 등의 질병은 호산구의 증가가 일어난다.[166][20] 반면 백혈구감소증은 바이러스 감염, 리케차 감염, 원생동물 감염, 결핵 및 암 등과 같은 특정 상황에서 관찰된다.[166][20]
ESR은 EDTA 튜브에 혈액을 채취한 후 1시간 동안 수직으로 세워 두었을 때 적혈구가 침강된 길이를 뜻하며, 염증 및 감염이 있을 경우 증가할 수 있다.[268]
12. 1. 급성기 단백질
염증 반응의 결과로 간에서 CRP, 혈청 아밀로이드 A, 혈청 아밀로이드 P, 알파-1 항트립신, D-이합체, 세룰로플라스민, 합토글로빈 등 급성기 단백질의 발현이 유도된다.[263][264] 염증 반응이 일어나면 농도가 증가하는 급성기 단백질이 있는 반면, 알부민, AFP, 아포지단백 A1, 아포지단백 A2 등의 혈장 단백질은 감소하며, 이러한 변화를 통해 염증 여부를 판단할 수 있다.[265][266]급성기 단백질은 체액성 선천면역에 도움을 주고, 응고반응을 유발하며, 조직 손상을 막고 복구를 돕는다.[266] 급성 염증에서는 유익하지만, 만성 염증에서는 아밀로이드증 발병에 영향을 줄 수 있다.[166][20] 이들은 발열, 피로, 혈압 증가, 식욕 감퇴, 땀의 감소, 졸음 등의 전신 증상을 일으킬 수 있다.[166][20]
CRP는 간에서 발현되며, C1q 보체 활성화와 옵소닌화 반응을 촉진하고, 단핵구와 마크로파지의 기능, 사이토카인 분비를 조절한다.[267]
12. 2. 혈구
염증은 백혈구 수에 영향을 줄 수 있다. 백혈구증가증은 말초혈액의 백혈구 수가 정상 범위보다 증가하는 것이다. 흔히 감염에 의해 일어나는 염증에서 미성숙한 백혈구가 혈액에 증가하면서 이러한 소견을 볼 수 있다. 백혈구의 수는 흔히 15,000–20,000개/μL까지 증가하는데, 극도로 증가된 경우에는 100,000개/μL까지 보이는 경우도 있다.[166][20] 박테리아에 의한 감염은 호중구를 증가시키며, 기생충에 의한 감염이나 천식, 알레르기 비염 등의 질병은 호산구의 증가가 일어난다.[166][20] 반면 백혈구감소증은 바이러스 감염, 리케차 감염, 원생동물 감염, 결핵 및 암 등과 같은 특정 상황에서 관찰된다.[166][20]ESR은 EDTA 튜브에 혈액을 채취한 후 1시간 동안 수직으로 세워 두었을 때 적혈구가 침강된 길이를 뜻하며, 염증 및 감염이 있을 경우 증가할 수 있다.[268]
13. 염증 질환
비정상적인 염증은 다양한 인간의 질병의 원인 또는 위험 인자로 작용한다. 면역계 이상, 암, 죽상경화증, 관상동맥질환, 알레르기성 질환, 염증성 근병증 등 다양한 질환이 염증과 관련되어 있다.[166][20]

염증과 관련된 질환의 예는 다음과 같다.
- 여드름
- 천식
- 자가면역 질환
- 자가염증 질환
- 셀리악병
- 만성 전립선염
- 대장염
- 게실염
- 가족성 지중해열
- 사구체신염
- 농피증
- 과민증
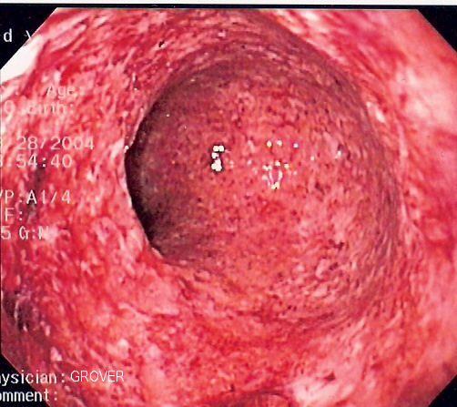
- 염증성 장 질환
- 간질성 방광염
- 편평태선
- 비만세포 활성화 증후군
- 비만세포증
- 중이염
- 골반 염증성 질환
- 말초 궤양성 각막염
- 폐렴
- 재관류 손상
- 류마티스열
- 류마티스 관절염
- 비염
- 사르코이드증
- 이식 거부 반응
- 혈관염
- 급성염증
- * 변질성염증(실질성염증)
- * 삼출성염증(침출성염증, 혈관성염증)
- ** 장액성염증
- ** 섬유소성염증
- ** 화농성염증
농양
봉소염(봉와직염)
급성 충수염
축농증
- ** 삼출성 중이염
- ** 카타르성염증
- ** 출혈성염증
- ** 부패성염증(괴저성염증, 괴사성염증)
괴사성근막염
- 만성염증
- * 증식성염증
- ** 육아종성염증
특이성염증(특수성염증)
* 결핵
* 매독
* 한센병
* 사르코이드증
* 야토병
* 브루셀라증
* 장티푸스
* 기타 진균증
13. 1. 장기별 분류
심장, 혈관, 호흡기, 소화기, 비뇨기, 생식기, 뼈, 관절, 피부, 근육, 뇌, 신경, 눈, 귀, 구강 등 다양한 장기에서 염증 질환이 발생할 수 있다. 염증은 보통 접미사 "-염"을 붙여 표시하지만, 천식이나 폐렴과 같이 이 규칙을 따르지 않는 경우도 있다.- 심장: 관상동맥질환, 협심증, 심근경색, 심장막염, 심근염 등
- 혈관: 죽상경화증, 혈관염, DIC, ITP, TTP, 일부 빈혈 등
- 상기도: 급성 비인두염, 알레르기비염, 부비동염, 인두염, 편도염, 후두염 등
- 하기도 및 폐: 기관지염, 기관지확장증, 천식, COPD, 폐렴, 간질성 폐질환, 결핵 등
- 상부 위장관: 위염, 식도염 등
- 하부 위장관: 소장염, 궤양성 대장염, 크론병, 셀리악병, 게실염, 과민성대장증후군, 맹장염, 치루 등
- 간, 담도 및 췌장: 간염, 지방간, 담관염, 담낭염, 췌장염, 제1형 당뇨병 등
- 신장(상부요로): 신우신염, 사구체신염, 요로감염증 등
- 하부요로: 요로감염증, 요관염, 요도염, 방광염, 전립선염/만성골반통증후군 등
- 갑상선 및 부갑상선: 갑상선염, 부갑상선염 등
- 부신: 부신염 등
- 생식기관: 골반내 염증성 질환, 난소염, 고환염, 부고환염 등
- 뼈 및 관절: 골관절염, 류마티스 관절염, 골수염, 활막염 등
- 피부: 연조직염, 단독, 어루러기/무좀, 여드름 등
- 근육: 근염 등
- 뇌: 뇌염, 주요우울장애 등
- 신경: 눈/귀를 포함한 다양한 부위의 신경염, 복합부위 통증 증후군, 길랑-바레 증후군 등
- 눈: 다래끼, 포도막염, 결막염 등
- 귀: 중이염, 유양돌기염 등
- 구강: 구내염, 치주염, 치은염 등
- 전신 질환: 다양한 자가면역질환, 대사증후군 관련 질환 등
- 다양한 장기에서 발생 가능한 질환: 암 등
- 기타: 복막염, 재관류 손상, 이식거부반응, 과민반응 등
13. 2. 원인에 따른 분류
염증은 다양한 원인에 의해 발생할 수 있다. 감염은 흔한 원인 중 하나이며, 세균, 바이러스, 진균 등이 몸에 침투하여 염증 반응을 일으킬 수 있다. 알레르기나 과민반응 또한 염증을 유발할 수 있는데, 특정 물질에 대한 면역 반응이 과도하게 일어나면서 발생한다. 자가면역은 자신의 몸을 공격하는 면역 체계의 이상으로 인해 염증이 발생하는 경우이다. 외부 손상이나 유해 물질 노출 역시 염증 반응을 일으킬 수 있다.13. 3. 비만과 염증 반응
비만은 전신의 만성 염증 상태를 유발한다.[269][270][271] 인터루킨의 발견과 함께 전신성 염증에 대한 관심이 커졌으며, 이는 국소 조직의 염증과 동일하지만 전신의 다른 장기와 내피에 영향을 미친다는 점에서 차이가 있다.[272] 저강도의 만성 염증은 TNF-α, IL-6, CRP 농도가 일반인의 2~3배 증가한 상태가 특징적이다.[272]허리둘레와 전신 염증 반응 정도는 양의 상관관계를 보인다.[273] 중심성 비만, 특히 내장지방을 이루는 지방세포들은 렙틴, 레지스틴, IL-6, TNF-α와 같은 아디포카인을 분비하며, 이들은 혈관 염증과 죽상경화에 중요한 역할을 한다.[274] 비만한 사람은 지방 조직이 더 많아 지방세포에서 직접 분비되는 IL-6과 같은 염증 관련 물질의 농도가 높다.[275] 정상 범위를 벗어난 과도한 지방 조직은 대식세포를 활성화시켜 IL-6, TNF-α 등 염증 관련 물질 생산을 늘린다.[276][277] 특히 백색지방 조직의 감소는 염증 마커 감소를 유발한다.[278]
비만인 사람은 IL-6, IL-8, IL-18, TNF-α, CRP, 인슐린, 혈당, 렙틴 등 염증 마커가 일반적으로 상승한다.[271][279] CRP 증가는 심혈관 질환 발생 확률을 높이며, 비만인 사람은 CRP 농도가 일반인보다 높다.[280]
13. 4. 노화와 염증 반응

노화는 분자, 세포 및 조직 수준에서 축적된 손상이 이들의 기능적인 감소와 오작동으로 연결되는 현상을 의미한다.[281] 나이가 들면서 이러한 노화과정은 자연스럽게 진행되지만, 이 과정에서 일어나는 손상에 염증반응이 중요한 역할을 차지하기 때문에 이를 조절하려는 노력 역시 활발히 진행 중이다.[282]
건강한 사람도 정상적인 노화과정을 통해 저강도의 만성염증이 시작될 수 있다.[284] 많은 경우 질병이 없는 건강한 노인들에게서도 다양한 염증성 사이토카인의 농도가 상승해있는 것이 발견되지만,[285] 이를 반박하는 일부 증거도 있다.[286] 대사의 부산물로 생긴 단백질 퇴적물 및 세포 잔해를 제대로 처리하지 못하거나, 세포 자체의 노화, 선천면역의 기능 저하 등이 이러한 현상의 대표적인 원인으로 꼽힌다.[287]
알츠하이머, 파킨슨병 등 노화수반병을 가진 환자들에게서 만성염증은 병태생리에 중요한 기여를 한다.[234]
항염증제를 이용해 노인의 염증반응을 줄일 수 있지만, 위장관이나 심혈관계에 부작용을 일으킬 수 있다.[284] 운동과 칼로리 섭취 제한 등의 생활습관 변화가 면역노화와 염증노화를 방지할 수 있다.[288]
13. 5. 염증 질환 각론
13. 5. 1. 죽상 경화증
죽상경화증은 과거에는 단순히 혈관벽에 지방이 쌓이는 질병으로 생각되었다. 그러나 최근 연구 결과들은 콜레스테롤 침착, 죽종 형성, 혈관벽 손상, 죽상경화반 형성, 혈전 발생 등 죽상경화증의 모든 단계에 염증이 관여한다는 것을 보여준다.[289][290] 이러한 발견은 죽종 형성에 위험인자로 작용할 수 있는 요소들을 설명할 수 있게 한다. 임상 연구에서는 죽상경화증과 염증의 관련성이 환자의 다른 질병 발생 및 예후에 직접적인 영향을 줄 수 있음을 보여주었다.[291]CRP로 측정되는 저강도의 만성 염증은 죽상경화증으로 인한 심혈관질환과 같은 다양한 질병을 예측하는 주요 인자로 사용된다.[292] 관상동맥질환의 위험을 줄이는 치료는 염증을 줄이는 데 추가적으로 기여한다. 스타틴을 사용하여 혈중 지질 농도를 낮추면, LDL 감소와 관계없이 항염증 효과를 얻을 수 있다.[293]
13. 5. 2. 암
염증이 있다고 해서 암이 무조건 발생하는 것은 아니지만, 암이 발생할 확률이 어느 정도 증가할 수 있다.[294] 염증은 암의 주변을 둘러싼 미세환경을 조절하여 종양의 증식, 암세포의 생존과 전이에 기여한다.[295][296] 암과 관련된 염증은 암세포의 유전자 돌연변이를 촉진할 수 있다.[297] 1863년, 루돌프 피르호(Rudolf Virchow)는 암의 기원이 만성 염증 부위에 있다고 가설을 세웠다.[46][47] 대략 15–25%의 암에서 만성염증이 관여한다.[116][298][47][48]염증 매개체는 혈관 및/또는 세포에 작용하여 염증 반응을 촉진하는 메신저이다.[49] 종양 형성에 기여하는 염증 매개체에는 프로스타글란딘, IL-1β, TNF-α, IL-6, IL-15과 같은 염증성 사이토카인, 그리고 IL-8 및 GRO-알파와 같은 케모카인이 포함된다.[50][47] 이러한 염증 매개체들과 다른 매개체들은 증식과 생존을 촉진하는 환경을 조성한다.[46][50]
염증은 또한 다양한 세포 내 염증 매개체에 의한 활성산소종(ROS) 유도로 인해 DNA 손상을 유발한다.[46][50][47] 또한 염증 부위로 유인된 백혈구 및 기타 식세포는 ROS와 활성질소종(RNS) 생성을 통해 증식하는 세포에서 DNA 손상을 유발한다. ROS와 RNS는 일반적으로 감염과 싸우기 위해 이러한 세포에 의해 생성된다.[46] ROS 자체는 20가지가 넘는 유형의 DNA 손상을 유발한다.[51] 산화적 DNA 손상은 돌연변이[52]와 후성적 변화를 모두 일으킨다.[53][47][54] RNS 또한 돌연변이원성 DNA 손상을 일으킨다.[55]
만성 염증의 장기간 동안 DNA 손상을 자주 받으면 정상 세포가 발암 과정을 거쳐 암세포가 될 수 있다. DNA 손상은 부정확한 복구로 인해 유전적 돌연변이를 일으킬 수 있다. 또한 DNA 복구 과정의 실수는 후성유전적 변화를 일으킬 수 있다.[47][50][54] 체세포 증식 중에 복제되고 선택적 이점을 제공하는 돌연변이와 후성유전적 변화는 발암성일 수 있다.
인간 암 조직의 게놈 전체 분석 결과, 전형적인 단일 암세포는 코딩 영역에 약 100개의 돌연변이를 가지고 있으며, 그중 10~20개는 암 발생에 기여하는 “driver 돌연변이”이다.[47] 그러나 만성 염증은 DNA 메틸화와 같은 후성유전적 변화도 유발하는데, 이는 종종 돌연변이보다 더 흔하다. 일반적으로 암세포에서는 수백에서 수천 개의 유전자가 메틸화된다(암에서의 DNA 메틸화 참조). 크로마틴의 산화적 손상 부위는 DNA 메틸전이효소(DNMT), 히스톤 탈아세틸화효소(SIRT1), 그리고 히스톤 메틸전이효소(EZH2)를 포함하는 복합체를 모집하여 DNA 메틸화를 유도할 수 있다.[47][56][57] CpG 섬의 프로모터 영역의 DNA 메틸화는 하류 유전자의 침묵을 유발할 수 있다(CpG 부위 및 암에서의 전사 조절 참조). 특히 DNA 복구 유전자는 다양한 암에서 메틸화에 의해 자주 불활성화된다(암에서의 DNA 복구 유전자의 과메틸화 참조). 2018년 보고서[58]는 두 가지 다른 유형의 암으로의 진행에서 돌연변이와 후성유전적 변화의 상대적 중요성을 평가했다. 이 보고서는 후성유전적 변화가 위암(염증과 관련됨) 발생에 있어 돌연변이보다 훨씬 더 중요함을 보여주었다.[59] 그러나 식도 편평세포암( 담배 화학 물질과 알코올 대사의 산물인 아세트알데히드와 관련됨) 발생에는 돌연변이와 후성유전적 변화가 거의 동등한 중요성을 지녔다.
암세포는 조직으로의 침윤과 다른 곳으로의 이동, 전이를 위해 셀렉틴과 다양한 케모카인들을 이용한다.[299] 종양면역학에서 주목하는 다양한 면역계의 세포들은 암의 발생을 저해한다.[300] 세포 발달에 중요한 영향을 미치는 스테로이드 호르몬 수용체와 염증에 중요한 역할을 하는 NF-κB와 같은 전사인자의 상호작용은 암세포에 대한 염증 자극에 대단히 중요한 영향을 줄 수 있다.[301] 이러한 경로의 차단을 통하여 암의 진행을 막음과 동시에 암과 관련 없는 조직의 부작용을 최소로 하는 치료법에 기여할 수 있다.[302][303][304]
13. 5. 3. 알레르기
제 1형 과민반응, 즉 알러지 반응은 면역관용이 필요한 물질들에 대해 부적절한 면역반응이 일어나 혈관확장과 염증반응 등이 일어나는 현상이다.[120] 사전에 감작된 비만세포는 자극에 활성화되어 탈과립을 일으킨다. 이러한 작용이 일어나면 비만세포에서 히스타민, 단백분해효소, 프로테오글리칸, TNF-α 등 다양한 물질이 염증매개물질을 생성, 분비된다.[305] 이렇게 분비된 히스타민은 염증에 관여하여 혈관확장, 전염증성물질과 사이토카인 분비, 백혈구의 혈관외유출을 일으킨다.[166] 대표적인 예로, 비만세포가 알레르겐에 의해 과민반응을 일으켜 알레르기 비염, 천식 등이 생길 수 있다.[305] 심각한 염증은 전신적인 반응이 오는 아나필락시스로 이어져 생명을 위협할 수 있다.[305] 제 2형, 제 3형 과민반응은 항체에 의한 반응과 백혈구에 의해 염증이 유도된다.[166][306]알레르기 반응은, 형식적으로는 1형 과민반응으로 알려져 있으며, 부적절한 면역 반응이 염증, 혈관 확장 및 신경 자극을 유발한 결과이다. 일반적인 예로는 꽃가루 알레르기가 있는데, 이는 비만 세포가 알레르겐에 과민 반응을 보이는 것에 의해 발생한다. 예민하게 반응한 비만 세포는 탈과립하여 히스타민과 같은 혈관 활성 화학 물질을 방출한다. 이러한 화학 물질은 혈관 확장, 염증 유발 분자 생성, 사이토카인 방출 및 백혈구 유입을 특징으로 하는 과도한 염증 반응을 증폭시킨다.[20]
13. 5. 4. 우울증
우울증과 염증은 밀접한 관련을 가진다.[307] 예를 들어, 바이러스, 세균, 기생충 등의 감염원이 일으키는 염증반응이 우울증을 일으킬 가능성이 있다.[308] 이러한 기전은 우울증의 원인을 설명하는 한가지 가설인 '병원체 숙주 방어 가설'(PATHOS-D)에서도 잘 드러난다.[309] 염증성 사이토카인의 분비가 증가는 뇌가 우리 몸을 질병상태로 판단하도록 유도하고, 그 결과 우울한 감정 및 우울증이 발생할 수 있다.[310] 몸이 아프면 생길 수 있는 병적인 증상들, 예를 들어 감기에 걸렸을 때 피곤하고 무기력하며 아픈 기분이 드는 것처럼 우울증도 똑같은 증상이 나타날 수 있다.[311] 양극성장애를 겪는 환자에서 우울 삽화가 진행되면 염증성 사이토카인이 증가하고, 삽화가 종료됨에 따라 다시 감소하게 된다.[312] 주요우울장애 환자에게 항우울제 투여와 함께 소염제나 항염증치료를 같이 진행한 경우 우울 증상을 유의하게 개선되었고, 항우울제에 대한 치료반응 역시 더 좋게 나타났다.[313][314]염증 과정은 스트레스, 폭력 또는 박탈과 같은 부정적 인지 또는 그 결과에 의해 촉발될 수 있다. 따라서 부정적 인지는 염증에 기여할 수 있으며, 이는 다시 우울증으로 이어질 수 있다. 2019년 메타 분석에 따르면 만성 염증은 주요 우울 장애 발생 위험이 30% 증가하는 것과 관련이 있으며, 염증과 정신 건강 간의 연관성을 뒷받침한다.[38]
우울증과 염증 간의 연관성을 보여주는 증거가 있고, 스트레스, 폭력 또는 박탈과 같은 부정적인 인지 또는 그 결과로 인해 염증 과정이 유발될 수 있다. 따라서 부정적인 인지는 염증을 유발하고, 그것은 다시 우울증으로 이어질 수 있다.[86][87]
또한, 사이토카인 증가로 인해 뇌가 "질병 모드"로 전환됨으로써 염증이 우울증을 유발할 수 있다는 증거가 증가하고 있다.[88]
무기력증과 같은 신체적으로 아픈 것의 전형적인 증상은 우울증을 특징짓는 행동과 상당히 겹친다. 사이토카인 수치는 조울증 환자의 우울증 에피소드 동안 급격히 증가하고, 관해 기간 동안 감소하는 경향이 있다.[89] 더욱이, 임상 시험에서 항우울제에 항염증제를 추가로 복용하면 증상이 크게 개선될 뿐만 아니라 치료에 긍정적으로 반응하는 대상자의 비율도 증가하는 것으로 나타났다.[90]
심각한 우울증으로 이어지는 염증은 바이러스, 박테리아 또는 기생충에 의해 발생하는 감염과 같은 일반적인 감염으로 인해 발생할 수 있다.[91]
13. 5. 5. HIV/AIDS
HIV에 감염된 사람들에게는 단순한 면역기능 저하뿐만 아니라, 지속적인 염증과 비정상적인 면역기능 활성화가 관찰된다.[315][316] 만성 염증은 HIV 감염자에게 면역기능 이상과 면역 노화를 유도하여 노인성질병과 면역 결핍의 조기 발생을 일으킨다.[317][318] 심지어 오랜 기간 동안 항레트로바이러스요법을 통해 잘 관리되고 있는 HIV 감염자의 경우에도 지속적인 저강도의 만성 염증이 나타난다.[319]많은 학자들은 HIV 감염이 면역 결핍과 함께 만성 염증을 일으킨다는 점에 주목하고 있다.[320][321] HIV 감염자의 만성 염증은 AIDS 이외의 원인으로 HIV 감염자가 사망하는 데 중요한 영향을 미친다.[322] HIV 감염은 심각한 면역결핍 발병뿐만 아니라 지속적인 염증과 면역 활성화를 특징으로 한다는 것이 오랫동안 인지되어 왔다.[60][61][62]
상당한 양의 증거가 만성 염증을 면역 기능 장애, 노화 관련 질병의 조기 발생 및 면역 결핍의 주요 원인으로 지목한다.[60][63] 많은 연구자들은 이제 HIV 감염을 진화하는 바이러스 유도 면역 결핍일 뿐만 아니라 만성 염증 질환으로 간주한다.[64]
13. 5. 6. 근질환
염증성 근병증은 면역계가 근육을 공격하여 근육에 염증이 일어나는 질환이다. 전신경화증, 다발성근염, 피부근염, 봉입체근염 등이 대표적이다.[166][323][20]13. 5. 7. 백혈구 이상
백혈구는 염증의 진행과 전파에서 중요한 역할을 담당한다. 따라서 백혈구의 기능 손상은 염증의 방어 기능에 악영향을 미치며, 인체를 감염에 취약하도록 만든다.[166] 기능이 손상된 백혈구는 부착수용체에 문제가 생겨 혈관벽을 빠져나갈 수 없거나(백혈구부착결핍증), 식작용에 문제가 생기거나(세디아크-히가시 증후군), 미생물 제거기능이 손상(만성 육아종병)되는 등의 유전질환에서 발견될 수 있다. 골수를 침범하는 다양한 질환들도 혈중 백혈구의 감소나 미성숙 백혈구 형성에 영향을 미친다.백혈구가 염증 발생 및 진행에 중추적인 역할을 하므로, 백혈구 기능 이상은 종종 염증 방어 능력 감소와 이후 감염에 대한 취약성으로 이어진다.[20] 기능 이상이 있는 백혈구는 표면 수용체 돌연변이로 인해 혈관에 제대로 결합하지 못하거나(예: 혈관염, 알레르기 반응), 박테리아를 소화하지 못하거나(예: 체디악-히가시 증후군(Chédiak–Higashi syndrome)), 살균 물질(미생물 사멸제)(만성육아종성질환(chronic granulomatous disease))을 생성하지 못할 수 있다. 또한, 골수에 영향을 미치는 질병은 비정상적인 백혈구 수 감소를 초래할 수 있다.
14. 일상 활동과 염증
14. 1. 식습관과 염증
열량이 높고 포화 지방산을 많이 포함한 식단은 염증성 반응의 증가와 연관된다.[324][325] 과식과 체내 지방축적은 전신의 염증반응과 대사 증후군의 가능성을 높일 수 있다.[270][326] 염증과 식습관의 관련성은 음식에 함유된 영양소 단위에서부터 각각의 식품, 식사 패턴까지 다양하게 연구되고 있다.[327] 복합 탄수화물, 식이섬유, 다가불포화지방산, 비타민 C, 비타민 E 등이 염증을 감소시킬 수 있다는 보고가 있다.[327] 낮은 포화지방과 높은 식이섬유를 특징으로 하는 지중해식 식단은 다양한 연구를 통하여 염증을 줄여주고 심혈관질환의 발생 가능성을 낮출 수 있다는 결과를 보였다.[328][329][330][331][332] 지중해식 식단과 유사한 노르딕 다이어트 식사법 역시 항염증 효과가 있을 가능성이 제기되었다.[333]염증과 식습관 및 식사 패턴을 정량적으로 연결하려는 시도도 있다. 식사염증지표와 건강식이지표(식생활평가지수) 등이 그 예시이다. 건강식이지표(HEI)는 미국 농무부에 의해 개발된 식사의 질 평가 도구로, 미국인을 위한 식사지침을 기준으로 식사 패턴을 평가한다.[334] 한국인에 맞추어 식생활평가지수가 개발되었다.[335] 식사염증지표는 항염증효과와 염증촉진효과를 동시에 평가하여 식단의 정량화된 염증 가능성을 추정하는 수단으로 쓰인다.[336]
14. 2. 운동과 염증
14. 2. 1. 운동과 염증 완화
규칙적인 운동은 염증 반응 감소에 도움이 될 수 있다.[337][338] 이러한 염증 개선은 운동의 강도와 지속 기간에 따라 달라질 수 있으며, 어떤 경우에는 운동과 염증 정도의 개선이 관련이 없다는 보고도 있다.[284] 또한 건강한 일반인과 이미 만성질환 또는 대사성 질환을 앓고 있는 환자군의 운동에 대한 효과가 다를 수 있다.[339] 연구 대상의 조건(나이, 성별, 기저질환), 체중 조절 여부, 운동의 정도 및 기간에 따라 상반되는 다양한 결과가 존재한다.[340] 그럼에도 불구하고 생물학적, 의학적 기전에 따라 활동량 증가와 운동이 염증 반응 감소에 긍정적 영향을 끼친다는 의견이 지배적이다.[341][342][343][344]유산소운동 결과 염증을 나타내는 표지자들의 농도가 감소함을 보여준 메타분석 결과가 있다.[345] 만성 염증성 질환을 가진 사람들을 대상으로, 운동을 일회성으로 하고 난 후에는 체내 염증을 나타내는 염증 수치들이 나빠졌지만, 장기간(8–12주)의 운동을 지속하는 경우 염증 수치들이 개선되는 것을 확인하였다.[339] 가벼운 운동을 한 경우에는 염증 관련 수치가 감소하였으나, 중등도 이상의 운동을 하였을 때는 이러한 효과가 적게 나타났다. 특히 강도가 아주 높은 운동은 인체를 감염에 취약한 상태로 만들고, 급성 염증을 유발할 수도 있다.[346] 예를 들어, 마라톤은 전염증성 사이토카인으로 분류되는 IL-6의 수치를 단기간에 상승시킬 수 있다.[347] 그러나 중등도 이상의 운동이 더 효과가 있다는 연구 결과도 존재한다.[348] 일반인과 운동선수의 기본적인 면역 기능에는 큰 차이가 없는 것으로 보인다.[349][350]
운동을 통해서 지방세포를 줄이고, 면역세포(단핵구)를 늘릴 수 있으며, 활성산소에 대한 항산화작용과 항염증 사이토카인의 분비를 늘릴 수 있다.[344] 또한 그렐린을 감소시키고 아디포넥틴을 증가시켜서 식욕을 조절하고, 뼈의 강도를 높여주며, 인슐린 저항성과 대사증후군에 긍정적인 영향을 미칠 수 있다.[344]
식사 등으로 섭취하는 열량 감소나 꾸준한 신체활동 증가처럼 장기적인 행동 변화가 염증을 반영하는 마커들의 수치를 개선할 수 있다. 현재까지 진행된 여러 연구에서도 입증되었듯이, 적절한 운동은 만성염증 상태 개선에 도움이 되며, 비활동적인 생활은 염증질환 발생과 악화에 영향을 미친다. 지나치게 과도한 운동의 경우 염증반응을 악화시킬 수 있지만, 운동을 시행하는 대부분의 일반인에게는 거의 도달할 수 없는 수준이다.
14. 2. 2. 근육의 성장 및 재생과 염증
염증반응과 근육 성장은 관계가 있는 것으로 알려져 있다.[351] 운동 및 근수축으로 인한 근육의 손상과 뒤따르는 국소적 염증반응은 근육의 성장에 필요하다.[352] 근수축에 반응하여 근육에 급성 염증반응이 일어나 손상을 입은 근육조직이 제거, 분해된다.[353]신장성 운동[354]과 단축성 운동, 등척성 운동[355]을 시행한 후 근육의 염증이 일어날 수 있다. 특히 근육의 길이가 늘어나는 신장성 운동을 하고 난 이후 근육 조직에 염증이 주로 일어난다. 신장성 운동에 의한 운동유발성 근육 손상이 일어나고 복구되는 과정동안 염증 반응이 중요한 역할을 차지한다.
신장성 운동을 마친 후 24–48시간에 거쳐 근육통이 유발된다. 이러한 근육통을 지연성 근육통이라 부르며, 근육의 근섬유와 Z선에 대한 구조적인 손상이 그 원인으로 꼽힌다. Z선은 액틴과 마이오신 필라멘트가 붙어있는 부위로, 근섬유가 수축할 때 구조적인 지지대 역할을 한다. 그러나 근섬유에 과도한 부하가 걸리는 경우 Z선이 지지대 역할을 제대로 하지 못하고 움직이며 무너지는 현상이 발생한다.[356] 이에 따라 평행하게 배열되어 있던 액틴과 마이오신 필라멘트의 배열이 흐트러지게 된다. 이러한 근섬유의 분열은 백혈구를 자극하여 근육통을 유발하고, 염증반응을 일으키게 한다. 혈액의 크레아틴 키나아제와 미오글로빈 농도가 상승하고,[357] 근섬유의 손상으로 인해 정상 근육과는 다른 구조가 관찰된다. 손상 후 2일이 지난 후부터 서서히 근섬유가 재생되기 시작한다.[356] 염증 반응의 결과로 생긴 물질들(히스타민, K+, 키닌류 등)은 근육의 자유신경말단을 자극한다.[358]
운동유발성 근육 손상이 일어난 후 근육 조직에 백혈구가 동원되고, 다양한 사이토카인 및 마이오카인이 분비된다.[355] IL-1β, IL-8, TNF-α, IL-6 등의 전염증성 사이토카인이 분비된다. 이러한 사이토카인들은 흔히 손상 후 5–7일 정도까지 분비될 수 있다.[357][353] 염증이 생긴 근육에는 위성세포에 의해 근육의 성장과 손상 복구가 일어난다. 위성세포는 운동 등으로 인해 근육이 손상되면 활성화되고, 근육이 부하에 적응을 하거나 회복을 거쳐 더 강해지는데 중요한 역할을 하게 된다. 위성세포는 손상된 근섬유를 보수하기 위해 스스로 분열하고 다시 늘어나는 특성을 가진다.[359] 구체적으로, 위성세포는 근핵을 새로 만들고 손상된 근섬유를 보수하며 단백질을 합성하는 과정을 통해 근육을 재생시키고 근비대를 유도한다.[360] IL-6의 증가와 IL-6 수용체의 발현이 이 과정에 기여한다.[361] 엘리트 파워리프팅 선수의 경우 일반인에 비해 근육의 위성세포 수가 2배까지 늘어날 수 있다고 한다.[362]
근육에 대한 부하 운동 이후에는 근육의 성장과 분화를 억제하는 신호물질인 마이오스타틴이 감소하게 된다.[363] 동시에 근육세포에서 근육의 수축에 반응하여 마이오카인의 분비량이 증가한다.[364]
14. 2. 3. 만성 염증과 근육 손실
과도한 염증 상태나 만성 염증은 근육 성장에 필요한 동화작용을 방해한다. 만성 염증은 노화에 따른 근육량의 감소에 일정 부분 기여하는 것으로 알려져 있다.[365][366] 만성 염증 상태에서 TNF-α가 증가하면서 IGF1-Akt/PKB 신호전달경로[367]나 mTOR 신호전달경로[368]가 억제되고, 그 결과 근육의 이화 작용, 즉 근육량의 감소가 발생할 수 있다.[369] 다양한 사이토카인이 IGF1이 작용하는 것을 방해하여 동화작용 및 근육 합성을 방해할 수 있다. 패혈증과 같이 전신의 심각한 염증 상태가 지속되는 경우, 류신의 근육 합성 작용과 근원섬유, 근육세포질 합성이 일어나지 않는 것이 관찰되었다.[369][370]14. 2. 4. "신호 대 잡음비" 이론
국소 부위의 급성 염증은 근육의 성장에 필요한 반면, 저강도의 만성 염증은 근육의 동화작용을 방해한다. 염증의 정도에 따라서 근육의 성장이 달라질 수 있다는 사실은 염증과 근육 성장이 신호 대 잡음비 모델을 따른다는 것을 시사한다. 영양학자 브래드 필론은 이러한 이론을 제안하면서[371] 만성 염증으로 인한 "잡음"을 최소로 유지하고, 국소 부위의 급성 염증을 적절한 상태로 조절한다면 근육 성장에 도움을 줄 수 있다고 설명하였다.15. 염증 조절
15. 1. 염증 조절 복합체
염증조절복합체는 선천성 면역계의 일부로, 염증 반응 활성화에 관여하는 다단백질 올리고머이다.[372] 이들은 미생물의 감염이나 조직 손상 등의 염증 유발 환경에서 발현, 조립된다.[373] 이러한 자극에 노출되어 형성된 염증조절복합체는 캐스페이즈-1 활성화 과정에 관여한다.[374] 그 결과 전염증성 사이토카인인 IL-1β, IL-18의 분비와 가스더민 D의 분해 활성이 일어난다.[372] 또한 가스더민 D의 분해를 통해 세포막 천공을 일으키는 파이롭토시스와 같은 세포사멸 기전에도 연관되어 있다.[375] 염증조절복합체의 조절 기전이 비정상적일 경우, 제 1형 당뇨병, 류마티스 관절염, 다발경화증 등과 같은 자가면역질환[376]이나, 암, 대사성 질환, 신경퇴행성 질환 등이 발병할 수 있다.[372]15. 2. 염증과 약물
항염증제는 염증을 억제하는 약물이다. 코르티코스테로이드는 가장 강력한 항염증제 중 하나로, 유전자 전사 과정과 세포 신호전달경로를 조절하여 염증을 억제한다.[377][378][379] 비스테로이드 항염증제(NSAIDs)는 프로스타글란딘을 합성하는 사이클로옥시게네이즈(COX) 효소를 차단하여 항염증 작용을 한다.[380] 이들은 COX-1, COX-2를 동시에 억제하는 비선택적 항염증제와 COX-2 선택적 항염증제로 분류할 수 있다. 특정 면역 세포나 염증성 사이토카인을 표적으로 하는 생물학적 제제들도 개발되고 있으며, 리툭시맙, 인플릭시맙 등은 류마티스 관절염 치료에 사용된다.[381][382] 스타틴 역시 항염증 작용을 보인다.[383]비타민의 적절한 섭취는 염증 조절에 영향을 줄 수 있다.[384] 비타민 A 결핍은 염증 반응을 증가시키며,[385][39] 비타민 C는 항산화 작용을 통해 염증 바이오마커를 감소시킨다.[384][386] 마약류 중 코카인과 엑스터시 등은 NF-κB와 같은 염증 관련 신호전달경로를 활성화시켜 염증을 유발할 수 있다.[387][388][40][41]
15. 3. 면역 조절
면역계의 조절을 통하여 비정상적인 염증을 조절할 수 있다. 면역조절은 다양한 질병에서 치료방법으로 사용되고 있으며, 면역계의 활성을 증가시키거나 감소시켜 질병을 조절할 수 있다.[389] 면역요법이 사용되는 대표적인 질병은 암이며,[390] 이 과정에서 염증이 암의 치료에 기여할 수 있다.[391] 예를 들어 항 PD-1 단일클론항체와 같은 면역항암제들의 경우 T세포의 면역반응을 유도하여 암세포를 사멸시키는 기전을 가지는데, 종양의 미세환경에서 염증반응을 증가시켜 이러한 치료를 도울 수 있다.[392] 많은 만성질환에서 염증의 조절을 통해 질병의 조절 및 치료를 시도한다.[393] 자가면역질환,[394] 천식,[395] 감염질환[396] 등의 질병에서 염증 조절을 위한 면역요법이 사용된다.일부 건강기능식품은 면역기능을 조절하여 염증을 완화시킬 수 있는 가능성이 있으며, 고려인삼, 홍삼, 알로에 겔, 클로렐라, 상어간유 등이 식약처의 고시형 원료로 인정받았다.[397] 나노입자를 통하여 면역조절 및 염증 완화를 유도할 수 있다.[398]
16. 다른 생물의 염증
염증은 진화적으로 잘 보존된 현상으로, 척추동물과 무척추동물 모두에서 면역체계의 일차적인 방어 기전으로 작용한다.[399] 다세포생물은 조직의 손상과 감염에 대항하기 위한 반응이 필요하다.[400]
무척추동물은 개방순환계를 가지고 있으며 모세혈관이 없고, 혈액과 조직액이 분리되지 않아 순환계를 도는 혈액을 체액으로 통칭한다.[403] 따라서 척추동물과 동일한 형태의 염증반응이 일어날 수 없고, 외부 병원체에 대해 선천성 면역으로 대항한다. 체액 내의 다양한 체액세포(hemocyte)가 외부 병원체를 무력화하며,[404] 세포성 면역기전( 식작용, 결절 형성, 캡슐화) 및 체액성 면역기전(항균펩타이드, 페놀옥시데이즈 시스템)으로 대응한다.[405] 히드라속 등에서는 손상된 조직에서 발생하는 손상연관분자유형를 인식하여 선천성 면역 반응이 일어나며,[406] 투구게와 같이 응고반응 형태로 면역작용을 하는 경우도 있다.[400][407]
인간의 염증성 질환( 암, 백혈병 등)이 무척추동물에게도 발생할 수 있다. 초파리속 파리들은 JAK-STAT 신호전달경로의 과도한 활성으로 양성종양이나 암이 형성되고,[408] 연체동물, 특히 조개류는 백혈병과 유사한 질병이 관찰되며, p53 단백질 유전자의 돌연변이가 발견된다.[409] 그러나 무척추동물에게 암은 매우 희귀하며, 이는 척추동물에 비해 구조적으로 단순하기 때문으로 추정된다.[410]
무척추동물은 예쁜꼬마선충(선천성 면역작용 분석),[411] 초파리, 이매패류(노화, 암, 노인성 심장질환, 혈관신생, 저산소증 등)와 같이 인간 염증성 질환 연구 모델로 쓰이기도 한다.[411]
척추동물 간에도 염증반응의 차이가 존재한다. 응고반응에 관여하는 응고인자가 척추동물 사이에서 조금씩 다르고,[413] 상처에 대한 조직 복구 과정도 동물별로 차이가 있다.[414] 그럼에도 인간과 겹치는 염증마커들이 발견되어,[412] 쥐, 기니피그, 토끼, 개, 고양이, 영장류 등이 인간 염증성 질환 모델로 사용된다.[415]
반려동물의 수명이 길어지면서 염증성 질환이 대두되고 있다.[416][417]
17. 염증과 역사
인간이 출현한 이후 염증은 인류와 함께 공존해왔다. 6000년 전 인간의 뼈에서 관절염 흔적이 발견되었고,[418] 기원전 2000년 이집트 파피루스에도 염증으로 인한 고름이 묘사되어 있다.[419]
고대 그리스와 로마 사람들은 염증에 관한 기록을 남겼다. 염증을 뜻하는 영어 단어 'inflammation'은 "불에 타다"를 뜻하는 라틴어 'inflammare'에서 기원하였다.[420] 기원전 5세기 히포크라테스는 염증을 조직 손상 후 조기 치유 과정의 하나로 설명했다.[421] 1세기 켈수스는 "염증"이라는 단어를 처음 사용하고 염증의 4요소를 묘사했다.[422] 갈레노스는 조직의 기능 상실과 사체액설을 이용하여 염증을 설명하였다.[421]
19세기 중반 과학 발전과 함께 감염에 대한 패러다임 전환이 일어나면서 염증에 대한 본격적인 연구가 시작되었다.[423] 피르호, 콘하임, 메치니코프는 염증의 원인을 놓고 대립하였는데, 피르호는 조직세포의 과도한 대사작용 및 퇴행, 콘하임은 혈관, 메치니코프는 식세포 작용을 주 원인으로 주장하였다.[421][424] 이들은 모두 염증을 단편적으로 보아 통합적인 설명을 하지 못했다.[423]
20세기에 들어서며 면역학 발전과 함께 염증 과정이 통합적으로 연구되기 시작하였다. 헨리 H. 데일은 자가약리학(Autopharmacology) 개념을 제안하며 염증을 설명하려 했다.[423] 1926년 칼 아쇼프에 의해 망상내피계가 제안되며 식세포 작용의 실체가 밝혀졌다. 같은 해 가스통 라몽은 디프테리아 백신을 연구하던 중 염증반응을 이용한 면역 보조제를 처음으로 개발하였다.[425] 1900년대를 전후하여 리차드 파이퍼, 아돌프 빈다우스, 헨리 H. 데일, 윌리엄 S. 틸렛, 울프 폰 오일러 등 과학자들이 염증 관련 물질들을 발견하였다.[425] 1970년대 중반 스탠리 코헨에 의해 사이토카인 용어가 사용된 후 다양한 염증매개물질이 규명되었다. 분자생물학과 면역학적 기법을 이용하여 염증의 비밀이 계속해서 밝혀지고 있다.[421]
18. 염증 질환 예시

염증은 보통 질병 이름 뒤에 접미사 "-염"을 붙여 표시한다. 하지만 천식이나 폐렴과 같이 이 규칙을 따르지 않는 경우도 있다. 더 많은 예시는 염증의 종류 목록에서 확인할 수 있다.
급성 충수염, 접촉성 피부염, 전신 홍반성 루푸스, 골관절염, 부고환염, 뇌수막염, 천식, 식도염, 급성 췌장염, 편도염 등 다양한 질환이 염증과 관련되어 있다.
참조
[1]
논문
Chronic inflammation: importance of NOD2 and NALP3 in interleukin-1beta generation
2007-02-01
[2]
논문
Inflammatory responses and inflammation-associated diseases in organs
Impact Journals, LLC
2018-01-01
[3]
서적
Basic Immunology. Functions and disorders of the immune system
Saunders/Elsevier
[4]
웹사이트
Inflammation and Your Health
https://www.cedars-s[...]
[5]
논문
Th1 and Th2 responses: what are they?
https://www.bmj.com/[...]
2021-07-01
[6]
웹사이트
inflammation
https://www.etymonli[...]
2024-08-11
[7]
서적
Guyton and Hall textbook of medical physiology
Saunders/Elsevier
2011-01-01
[8]
서적
Inflammation and the Microcirculation
https://www.ncbi.nlm[...]
Morgan & Claypool Life Sciences
2017-07-01
[9]
논문
Physiological responses to emotional excitement in healthy subjects and patients with coronary artery disease
2013-10-01
[10]
논문
The dynamics of acute inflammation
2004-09-01
[11]
논문
Acute Inflammatory Response
https://www.ncbi.nlm[...]
2020-12-28
[12]
서적
Stedman's Medical Dictionary
Williams & Wilkins
[13]
논문
Disturbance of function (functio laesa): the legendary fifth cardinal sign of inflammation, added by Claudius Galen to the four cardinal signs of Celsus
1971-03-01
[14]
서적
Concise Pathology
http://www.accessmed[...]
McGraw-Hill
2008-11-05
[15]
논문
Disturbance of function (functio laesa): the legendary fifth cardinal sign of inflammation, added by Galen to the four cardinal signs of Celsus
1971-03-01
[16]
서적
A massage Therapist Guide to Pathology
http://thepoint.lww.[...]
Wolters Kluwer
2010-10-06
[17]
서적
Brief History of Vision and Ocular Medicine
https://books.google[...]
Kugler Publications
[18]
서적
Essentials of pahtophysiology: concepts of altered health states
Lippincott Williams & Wilkins
[19]
서적
The worst of evils: man's fight against pain
https://archive.org/[...]
Yale University Press
[20]
서적
Robbins Pathologic Basis of Disease
W.B Saunders Company
[21]
웹사이트
InformedHealth.org [Internet]
https://www.ncbi.nlm[...]
Institute for Quality and Efficiency in Health Care (IQWiG)
2018-02-22
[22]
웹사이트
Inflammation | Definition, Symptoms, Treatment, & Facts | Britannica
https://www.britanni[...]
2024-03-11
[23]
서적
Pathologic basis of disease
Saunders Elsevier
2020-01-01
[24]
논문
Chronic Inflammation
https://www.ncbi.nlm[...]
National Institutes of Health – National Library of Medicine
2020-12-28
[25]
논문
Inflammation and Nutritional Science for Programs/Policies and Interpretation of Research Evidence (INSPIRE)
2015-05-01
[26]
논문
Inflammation and immune resolution
2018-07-01
[27]
논문
Origin and physiological roles of inflammation
2008-07-01
[28]
논문
Humoral Innate Immunity and Acute-Phase Proteins
2023-02-01
[29]
서적
Present Knowledge in Nutrition
Elsevier
2023-02-17
[30]
서적
Muir's Textbook of Pathology
CRC Press
[31]
서적
Itch: Mechanisms and Treatment
https://www.ncbi.nlm[...]
CRC Press/Taylor & Francis
2014-01-01
[32]
논문
Mast cell tryptases and chymases in inflammation and host defense
2007-06-01
[33]
논문
Mast cell proteases as pharmacological targets
2016-05-01
[34]
논문
Inflammation during the life cycle of the atherosclerotic plaque
2021-11-01
[35]
논문
Role of inflammation in atherosclerosis
2007-11-01
[36]
논문
Beyond Lipid-Lowering: Effects of Statins on Cardiovascular and Cerebrovascular Diseases and Cancer
2022-01-01
[37]
논문
A Review of Interleukin-1 in Heart Disease: Where Do We Stand Today?
2018-06-01
[38]
논문
Inflammatory markers in depression: A meta-analysis of mean differences and variability in 5,166 patients and 5,083 controls
2020-07-01
[39]
논문
Vitamin A deficiency increases inflammatory responses
1996-12-01
[40]
논문
Cocaine, not morphine, causes the generation of reactive oxygen species and activation of NF-kappaB in transiently cotransfected heart cells
[41]
논문
Role of reactive oxygen species, glutathione and NF-kappaB in apoptosis induced by 3,4-methylenedioxymethamphetamine ("Ecstasy") on hepatic stellate cells
2004-03-01
[42]
논문
Interaction of tumor cells with the microenvironment
2011-09-01
[43]
논문
Opposing roles for complement component C5a in tumor progression and the tumor microenvironment
2012-09-01
[44]
논문
Sex steroid receptors in skeletal differentiation and epithelial neoplasia: is tissue-specific intervention possible?
2009-06-01
[45]
review
Cancer-related inflammation, the seventh hallmark of cancer: links to genetic instability
2009-07-01
[46]
논문
Inflammation and cancer
[47]
논문
Inflammation-associated cancer development in digestive organs: mechanisms and roles for genetic and epigenetic modulation
http://repository.ku[...]
2018-06-09
[48]
논문
Cancer-related inflammation
https://air.unimi.it[...]
2018-06-09
[49]
논문
Mediators of inflammation
[50]
논문
Chronic inflammation and cancer
2002-02-01
[51]
논문
Occurrence, Biological Consequences, and Human Health Relevance of Oxidative Stress-Induced DNA Damage
2016-12-01
[52]
논문
Oxidatively induced DNA damage: mechanisms, repair and disease
2012-12-01
[53]
논문
Oxidative stress and epigenetic instability in human hepatocarcinogenesis
[54]
논문
The emerging role of epigenetic modifiers in repair of DNA damage associated with chronic inflammatory diseases
[55]
논문
Nitrative and oxidative DNA damage in infection-related carcinogenesis in relation to cancer stem cells
[56]
논문
Oxidative damage targets complexes containing DNA methyltransferases, SIRT1, and polycomb members to promoter CpG Islands
2011-11-01
[57]
논문
Mismatch Repair Proteins Initiate Epigenetic Alterations during Inflammation-Driven Tumorigenesis
2017-07-01
[58]
논문
Genetic and epigenetic alterations in normal tissues have differential impacts on cancer risk among tissues
2018-02-01
[59]
논문
Oxidative DNA damage as a potential early biomarker of Helicobacter pylori associated carcinogenesis
2014-10-01
[60]
논문
HIV infection, inflammation, immunosenescence, and aging
2011-01-01
[61]
논문
Immune activation and HIV persistence: implications for curative approaches to HIV infection
2013-07-01
[62]
논문
Increased immune activation precedes the inflection point of CD4 T cells and the increased serum virus load in human immunodeficiency virus infection
1998-08-01
[63]
논문
The paradox of the immune response in HIV infection: when inflammation becomes harmful
2013-02-01
[64]
논문
Persistent inflammation in HIV infection: established concepts, new perspectives
2014-10-01
[65]
논문
Lack of clinical AIDS in SIV-infected sooty mangabeys with significant CD4+ T cell loss is associated with double-negative T cells
2011-03-01
[66]
논문
Simian immunodeficiency virus replicates to high levels in sooty mangabeys without inducing disease
1998-05-01
[67]
논문
Natural SIV hosts: showing AIDS the door
2012-03-01
[68]
논문
Cell death by pyroptosis drives CD4 T-cell depletion in HIV-1 infection
2014-01-01
[69]
논문
IFI16 DNA sensor is required for death of lymphoid CD4 T cells abortively infected with HIV
2014-01-01
[70]
논문
Cell-to-Cell Transmission of HIV-1 Is Required to Trigger Pyroptotic Death of Lymphoid-Tissue-Derived CD4 T Cells
2015-09-01
[71]
논문
Dissecting How CD4 T Cells Are Lost During HIV Infection
2016-03-00
[72]
웹사이트
Study of VX-765 in Subjects With Treatment-resistant Partial Epilepsy – Full Text View – ClinicalTrials.gov
https://clinicaltria[...]
2016-05-21
[73]
논문
Inflammation in wound repair: molecular and cellular mechanisms
2007-03-00
[74]
논문
Mice lacking Smad3 show accelerated wound healing and an impaired local inflammatory response
1999-09-00
[75]
논문
Bidirectional regulation of macrophage function by TGF-beta
https://zenodo.org/r[...]
1999-12-00
[76]
논문
Transforming growth factor-beta 1 inhibition of macrophage activation is mediated via Smad3
2000-11-00
[77]
논문
Regulatory role of endogenous interleukin-10 in cutaneous inflammatory response of murine wound healing
1999-11-00
[78]
논문
Controlling the resolution of acute inflammation: a new genus of dual anti-inflammatory and proresolving mediators
2008-08-00
[79]
논문
The resolution of inflammation: Principles and challenges
2015-05-00
[80]
논문
The role of apoptosis in wound healing
1998-09-00
[81]
논문
Regulation of lung injury and repair by Toll-like receptors and hyaluronan
2005-11-00
[82]
논문
Resolution of lung inflammation by CD44
2002-04-00
[83]
논문
Inflammation dampened by gelatinase A cleavage of monocyte chemoattractant protein-3
2000-08-00
[84]
논문
Resolution of inflammation: the beginning programs the end
2005-12-00
[85]
논문
So depression is an inflammatory disease, but where does the inflammation come from?
2013-09-00
[86]
논문
Stereotypes, Prejudice, and Depression: The Integrated Perspective
2012-09-00
[87]
논문
Inflammation: depression fans the flames and feasts on the heat
2015-11-00
[88]
뉴스
Is depression a kind of allergic reaction?
https://www.theguard[...]
2015-01-04
[89]
논문
Comparison of cytokine levels in depressed, manic and euthymic patients with bipolar disorder
2009-08-00
[90]
논문
The cyclooxygenase-2 inhibitor celecoxib has therapeutic effects in major depression: results of a double-blind, randomized, placebo controlled, add-on pilot study to reboxetine
2006-07-00
[91]
논문
Reconceptualizing major depressive disorder as an infectious disease
[92]
논문
Inflammatory and blood gas markers of COVID-19 delirium compared to non-COVID-19 delirium: a cross-sectional study
https://discovery.uc[...]
2022-10-00
[93]
서적
StatPearls
StatPearls Publishing
2021-00-00
[94]
Review
Secret talk between adipose tissue and central nervous system via secreted factors-an emerging frontier in the neurodegenerative research
2016-03-00
[95]
논문
Adipose tissue as an endocrine organ
2004-06-00
[96]
논문
Elevated levels of interleukin 6 are reduced in serum and subcutaneous adipose tissue of obese women after weight loss
2000-09-00
[97]
논문
beta-Adrenergic regulation of IL-6 release from adipose tissue: in vivo and in vitro studies
2001-12-00
[98]
논문
Leptin regulates proinflammatory immune responses
1998-01-00
[99]
논문
Inflammatory cytokine concentrations are acutely increased by hyperglycemia in humans: role of oxidative stress
2002-10-00
[100]
논문
The anti-inflammatory effect of exercise
2005-04-00
[101]
논문
Waist circumference as the predominant contributor to the micro-inflammatory response in the metabolic syndrome: a cross sectional study
2010-07-00
[102]
논문
Therapeutic approaches targeting inflammation for diabetes and associated cardiovascular risk
2017-01-00
[103]
논문
Obesity and C-reactive protein in various populations: a systematic review and meta-analysis
2013-03-00
[104]
간행물
総説 炎症性疾患(1)炎症とは
https://doi.org/10.2[...]
[105]
간행물
看護学生のための病理学教室~病気のしくみを学びにゆく~炎症論1
https://www.kanto-ct[...]
公立学校共済組合 関東中央病院
2023-04-09
[106]
웹사이트
~炎症と免疫~
http://www.medical-e[...]
2023-03-18
[107]
서적
A massage Therapist Guide to Pathology
http://thepoint.lww.[...]
Wolters Kluwer
[108]
논문
DAMPs, PAMPs and alarmins: all we need to know about danger
[109]
서적
エッセンシャル免疫学
メディカル・サイエンス・インターナショナル
[110]
웹사이트
看護学生のための病理学教室~病気のしくみを学びにゆく~炎症論3
https://www.kanto-ct[...]
2023-04-09
[111]
웹사이트
看護学生のための病理学教室~病気のしくみを学びにゆく~炎症論8
https://www.kanto-ct[...]
2023-04-09
[112]
웹사이트
Fighting Inflammation - Harvard Health
https://www.health.h[...]
2021-01-31
[113]
웹사이트
Why all the buzz about inflammation — and just how bad is it?
https://www.health.h[...]
2022-03-16
[114]
웹인용
What is an inflammation?
https://www.ncbi.nlm[...]
Institute for Quality and Efficiency in Health Care (IQWiG)
2019-10-08
[115]
논문
Chronic inflammation: importance of NOD2 and NALP3 in interleukin-1beta generation
2006-11-27
[116]
논문
Inflammatory responses and inflammation-associated diseases in organs
2019-10-11
[117]
서적
Medical Microbiology
https://www.ncbi.nlm[...]
University of Texas Medical Branch at Galveston
2019-10-08
[118]
서적
고등셀파: 생명과학1
http://study.zum.com[...]
천재교육
2019-10-08
[119]
논문
Adaptive Immunity and Inflammation
2019-10-10
[120]
서적
Cellular and Molecular Immunology
범문에듀케이션
2019-10-10
[121]
논문
Two Faces of Inflammation: An Immunopharmacological View
2019-11-03
[122]
논문
프롤로치료
https://synapse.kore[...]
대한정형외과학회
2019-10-14
[123]
논문
The Five Cardinal Signs of Inflammation: Calor, Dolor, Rubor, Tumor … and Penuria (Apologies to Aulus Cornelius Celsus, De medicina, c. A.D. 25)
2019-10-08
[124]
논문
Sepsis in Patients Receiving Immunosuppressive Drugs in Korea: Analysis of the National Insurance Database from 2009 to 2013
https://www.accjourn[...]
2019-10-08
[125]
논문
About inflammation and infection
2019-10-08
[126]
논문
Parasitic worms and inflammatory diseases
2019-10-08
[127]
논문
Hypoxia and Inflammation
2019-10-08
[128]
서적
Immunobiology: The Immune System in Health and Disease
https://www.ncbi.nlm[...]
Garland Science
2001
[129]
논문
Time for trauma immunology
2019-10-08
[130]
논문
The Danger Model: A Renewed Sense of Self
2019-10-08
[131]
논문
Comprehensive comparison of three different animal models for systemic inflammation
2019-10-08
[132]
논문
Animal models of human disease: Inflammation
2019-10-08
[133]
논문
Knowing your friends: invertebrate innate immunity fosters beneficial bacterial symbioses
2019-10-10
[134]
논문
Innate Immune Recognition
2019-10-10
[135]
논문
The Evolution of Inflammatory Mediators
2019-10-10
[136]
논문
Tumors in the Invertebrates: A Review
https://cancerres.aa[...]
2019-10-10
[137]
논문
Plant innate immunity – sunny side up?
Cell Press
2019-10-10
[138]
논문
Plant innate immunity: An updated insight into defense mechanism
Indian Academy of Sciences
2019-10-10
[139]
서적
Studies on Periodontal Disease
Springer
2019-10-10
[140]
서적
Textbook of Endodontics
https://books.google[...]
JP Medical Ltd
2019-10-11
[141]
저널
Disturbance of function (functio laesa): the legendary fifth cardinal sign of inflammation, added by Galen to the four cardinal signs of Celsus
2019-10-11
[142]
서적
The works of Thomas Sydenham, M. D., on acute and chronic diseases: with their histories and modes of cure
http://resource.nlm.[...]
Benjamin & Thomas Kite
2019-10-11
[143]
저널
Natural resolution of inflammation
2019-10-11
[144]
서적
Concise Pathology
https://accessphysio[...]
McGraw-Hill
2019-10-11
[145]
서적
Translational Pain Research: From Mouse to Man
https://www.ncbi.nlm[...]
CRC Press/Taylor & Francis
2019-10-11
[146]
저널
Acute inflammation and negative mood: Mediation by cytokine activation
2019-10-11
[147]
저널
Surviving sepsis campaign: international guidelines for management of severe sepsis and septic shock: 2012
https://www.canadian[...]
2019-10-11
[148]
웹인용
What Is Inflammation?
https://www.livescie[...]
2019-10-11
[149]
웹인용
Understanding and Managing Chronic Inflammation
https://www.healthli[...]
2019-10-11
[150]
서적
Pathology for the Health Professions
Saunders
2019-10-14
[151]
저널
Host-Microbiota Interactions Shape Local and Systemic Inflammatory Diseases
2019-10-14
[152]
서적
Robbins and Cotran Pathologic Basis of Disease Professional Edition
Saunders
2019-10-14
[153]
서적
StatPearls [Internet]
https://www.ncbi.nlm[...]
StatPearls Publishing
2019-10-14
[154]
웹인용
III. What are the types of inflammation?
https://blog.nus.edu[...]
NUS Centre for Instructional Technology
2019-10-14
[155]
웹인용
Inflammation: What You Need to Know
https://www.healthli[...]
2019-10-14
[156]
서적
Pathology: The Big Picture
https://accessmedici[...]
McGraw-Hill
2019-10-14
[157]
저널
The Acute Inflammatory Response and Its Regulation
2019-10-10
[158]
저널
Activation of Resolution Pathways to Prevent and Fight Chronic Inflammation: Lessons From Asthma and Inflammatory Bowel Disease
2019-10-14
[159]
저널
Resolution of chronic inflammatory disease: universal and tissue-specific concepts
https://www.nature.c[...]
2019-10-14
[160]
서적
Essential Revision Notes in Surgery for Medical Students
https://archive.org/[...]
PasTest
2019-10-22
[161]
저널
Neutrophil function in inflammation and inflammatory diseases
2019-10-14
[162]
저널
What does a basophil do?
2019-10-14
[163]
저널
The crucial roles of inflammatory mediators in inflammation: A review
2019-10-14
[164]
저널
Cytokines in Acute and Chronic Inflammation
https://www.research[...]
2019-10-15
[165]
저널
Role of Histamine in Modulating the Immune Response and Inflammation
2019-10-16
[166]
서적
Robbins Pathologic Basis of Disease
Saunders
1998
[167]
저널
The Inflammasomes
2019-10-15
[168]
저널
The two NF-κB activation pathways and their role in innate and adaptive immunity
2019-10-15
[169]
서적
Inflammation: From Molecular and Cellular Mechanisms to the Clinic
Wiley‐VCH Verlag GmbH & Co. KGaA.
2019-10-12
[170]
저널
Inflammatory mediators of pain
2019-10-16
[171]
저널
Pathophysiology of the systemic inflammatory response after major accidental trauma
2019-10-27
[172]
저널
Local versus systemic inflammatory response in shock, trauma and sepsis
https://www.wcs.nl/w[...]
2019-10-27
[173]
저널
Stress molecules in sepsis and systemic inflammatory response syndrome
2019-10-27
[174]
저널
Anticytokine Strategies in the Treatment of the Systemic Inflammatory Response Syndrome
2019-10-27
[175]
저널
Normal Responses to Injury Prevent Systemic Inflammation and Can Be Immunosuppressive
2019-10-27
[176]
저널
Novel Insights for Systemic Inflammation in Sepsis and Hemorrhage
2019-10-27
[177]
저널
American College of Chest Physicians/Society of Critical Care Medicine Consensus Conference: definitions for sepsis and organ failure and guidelines for the use of innovative therapies in sepsis
2019-10-26
[178]
저널
Systemic inflammatory response syndrome (SIRS): Where did it come from and is it still relevant today?
2019-10-27
[179]
저널
The Third International Consensus Definitions for Sepsis and Septic Shock (Sepsis-3)
2019-10-26
[180]
저널
Tissue injury and inflammation
2019-10-17
[181]
저널
Physiology of the endothelium
2019-10-17
[182]
저널
Physiology of the endothelium
2019-10-17
[183]
저널
Role of Histamine in Acute Inflammation
https://www.jpsr.pha[...]
PharmaInfo Publications (India)
2019-10-17
[184]
웹인용
Chemical Mediators of Inflammation
https://www.msdvetma[...]
2019-10-17
[185]
저널
Beyond a neurotransmitter: The role of serotonin in inflammation and immunity
2019-10-17
[186]
저널
The Effects of Serotonin in Immune Cells
2019-10-17
[187]
저널
중추신경계 외부의 세로토닌
2019-10-17
[188]
저널
Fibrinolysis, inflammation, and regulation of the plasminogen activating system
2019-10-19
[189]
서적
Pharma Triumph: An Encyclopedia For GPAT And All Pharmacy Recruitment And Entrance Exam
Evincepub Publishing
2019-10-19
[190]
저널
바이러스 감염에 대한 면역반응
https://synapse.kore[...]
대한면역학회
2019-10-19
[191]
서적
Veterinary Immunology
Saunders
2019-10-19
[192]
저널
Factor XII Contact Activation
2019-10-20
[193]
웹인용
Cellular Components of the Immune System
https://www.msdmanua[...]
2019-10-20
[194]
저널
Immune cell subset differentiation and tissue inflammation
2019-10-20
[195]
웹인용
Cellular Components of Inflammation
https://medictests.c[...]
2019-10-20
[196]
저널
Neutrophils in Immunity
https://synapse.kore[...]
대한미생물학회
2019-10-20
[197]
저널
Partners in crime: neutrophils and monocytes/macrophages in inflammation and disease
2019-10-20
[198]
서적
Inflammation: From Molecular and Cellular Mechanisms to the Clinic
Wiley‐VCH Verlag GmbH & Co. KGaA.
2019-10-12
[199]
저널
The chemokine system: redundancy for robust outputs
2019-10-20
[200]
저널
Molecular mechanisms of leukocyte recruitment in the inflammatory process
2019-10-20
[201]
서적
Muir's textbook of pathology
CRC Press
2014-01-01
[202]
저널
백혈구, 내피세포 혈소판의 상호작용에 의한 출혈과 지혈
https://e-sciencecen[...]
한국혈전지혈학회
2019-10-20
[203]
저널
알레르기 질환에서의 adhesion molecule의 역할
https://www.kjp.or.k[...]
대한소아청소년과학회
2019-10-20
[204]
저널
Arrest Chemokines
https://www.research[...]
2019-10-21
[205]
저널
Pathogen Recognition and Inflammatory Signaling in Innate Immune Defenses
2019-10-22
[206]
저널
Innate Immunity
2019-10-22
[207]
저널
Insights into phagocytosis-coupled activation of Pattern Recognition Receptors and Inflammasomes
2019-10-22
[208]
저널
A Consensus Definitive Classification of Scavenger Receptors and Their Roles in Health and Disease
2019-10-22
[209]
저널
Phagocytosis: A Fundamental Process in Immunity
2019-10-22
[210]
저널
Interferon‐γ: an overview of signals, mechanisms and functions
2019-10-22
[211]
저널
Tumor Necrosis Factor-α Signaling in Macrophages
2019-10-22
[212]
서적
Inflammation: From Molecular and Cellular Mechanisms to the Clinic
Wiley‐VCH Verlag GmbH & Co. KGaA.
2019-10-12
[213]
서적
Inflammation: From Molecular and Cellular Mechanisms to the Clinic
Wiley‐VCH Verlag GmbH & Co. KGaA.
2019-10-12
[214]
저널
Role of interleukin-1β during pain and inflammation
2019-10-22
[215]
저널
The inflammatory response to cell death
2019-10-29
[216]
저널
From Inflammation to Fibrosis—Molecular and Cellular Mechanisms of Myocardial Tissue Remodelling and Perspectives on Differential Treatment Opportunities
https://link.springe[...]
2019-10-29
[217]
저널
Inflammation in Wound Repair: Molecular and Cellular Mechanisms
2019-10-29
[218]
저널
Macrophage activation switching: an asset for the resolution of inflammation
2019-11-03
[219]
저널
Impaired TGF-β signaling and a defect in resolution of inflammation contribute to delayed wound healing in a female rat model of type 2 diabetes
2019-10-29
[220]
저널
Regulatory Role of Endogenous Interleukin-10 in Cutaneous Inflammatory Response of Murine Wound Healing
2019-10-29
[221]
저널
Pro-resolving lipid mediators are leads for resolution physiology
2019-10-29
[222]
저널
Specialized pro-resolving mediators: endogenous regulators of infection and inflammation
2019-10-29
[223]
저널
The role of apoptosis in wound healing
2019-10-29
[224]
저널
Regulation of lung injury and repair by Toll-like receptors and hyaluronan
2019-10-29
[225]
저널
Inflammation Dampened by Gelatinase A Cleavage of Monocyte Chemoattractant Protein-3
2019-10-29
[226]
서적
Inflammation: From Molecular and Cellular Mechanisms to the Clinic
Wiley‐VCH Verlag GmbH & Co. KGaA.
2019-10-29
[227]
저널
Resolution of inflammation: an integrated view
2019-11-02
[228]
저널
Resolution of inflammation: a new therapeutic frontier
2019-11-03
[229]
저널
Resolution of Inflammation: What Controls Its Onset?
2019-11-03
[230]
서적
Chronic Inflammation: Molecular Pathophysiology, Nutritional and Therapeutic Interventions
Taylor & Francis Group, LLC
2019-10-30
[231]
저널
Macrophages in Inflammation
2019-11-03
[232]
서적
Chronic Inflammation: Molecular Pathophysiology, Nutritional and Therapeutic Interventions
Taylor & Francis Group, LLC
2019-10-30
[233]
저널
Inflammation and metabolic disorders
2019-11-03
[234]
저널
Molecular mechanisms of aging-associated inflammation
2019-10-30
[235]
서적
Chronic Inflammation: Mechanisms and Regulation
Springer Japan
2019-10-30
[236]
서적
Chronic Inflammation: Molecular Pathophysiology, Nutritional and Therapeutic Interventions
Taylor & Francis Group, LLC
2019-10-30
[237]
저널
Expression of vascular permeability factor (VPF/VEGF) messenger RNA by plasma cells: Possible involvement in the development of edema in chronic inflammation
2019-11-03
[238]
저널
Chronic inflammation in cancer development
2019-11-03
[239]
저널
Chronic inflammatory systemic diseases: An evolutionary trade-off between acutely beneficial but chronically harmful programs
2019-11-03
[240]
저널
A unifying biologic explanation for “high‐sensitivity” C‐reactive protein and “low‐grade” inflammation
2019-11-03
[241]
저널
It’s time to redefine inflammation
https://www.fasebj.o[...]
2019-10-28
[242]
저널
Markers of inflammation and cardiovascular disease: application to clinical and public health practice: A statement for healthcare professionals from the Centers for Disease Control and Prevention and the American Heart Association
2019-11-03
[243]
저널
Antiinflammatory Effects of Angiotensin II Subtype 1 Receptor Blockade in Hypertensive Patients With Microinflammation
2019-11-03
[244]
저널
What Does Minor Elevation of C-Reactive Protein Signify?
2019-10-28
[245]
저널
Sex Difference in the Association between High-sensitivity C-reactive Protein and Depression: The 2016 Korea National Health and Nutrition Examination Survey
2019-11-03
[246]
저널
High-Sensitivity C-Reactive Protein Levels and Cancer Mortality
2019-11-03
[247]
저널
Comprehensive metabolic profiling of chronic low-grade inflammation among generally healthy individuals
2019-10-28
[248]
저널
Low-grade inflammation, diet composition and health: current research evidence and its translation
2019-10-28
[249]
저널
The High Costs of Low-Grade Inflammation: Persistent Fatigue as a Consequence of Reduced Cellular-Energy Availability and Non-adaptive Energy Expenditure
2019-11-03
[250]
저널
Low-Grade Systemic Inflammation and the Development of Type 2 Diabetes: The Atherosclerosis Risk in Communities Study
2019-10-28
[251]
저널
Inflammation, a Double-Edge Sword for Cancer and Other Age-Related Diseases
2019-11-03
[252]
저널
Therapeutic approaches targeting inflammation for diabetes and associated cardiovascular risk
2019-10-29
[253]
저널
Scar Contractures, Hypertrophic Scars, and Keloids
2019-10-23
[254]
저널
직장 주위 농양 배액술
http://www.gie.or.kr[...]
2019-10-23
[255]
저널
화농성 및 아메바 간농양
https://web.archive.[...]
2019-10-23
[256]
저널
만성창상의 치료에 쓰이는 치료제재
https://synapse.kore[...]
대한의사협회
2019-10-23
[257]
저널
Mnemonic for the Differential Diagnosis of Noncaseating Granulomas
https://www.mattioli[...]
2019-10-22
[258]
서적
Basic Pathology
https://archive.org/[...]
W.B. Saunders Co.
2019-10-22
[259]
저널
Acute rheumatic fever and rheumatic heart disease
2019-10-22
[260]
저널
On the haemagglutinin reaction as a test of the toxicity of various antiseptic reagents, and on the association (if any) between the haemagglutinin content of the blood serum and pus, and capacity to resist infection
2019-10-22
[261]
웹인용
염증성 장질환
https://web.archive.[...]
2019-10-23
[262]
웹인용
류마티스 관절염
http://www.amc.seoul[...]
2019-10-23
[263]
서적
Immunotoxicity Testing
Springer
2019-10-23
[264]
저널
Acute-phase proteins: As diagnostic tool
2019-10-23
[265]
웹인용
Blood Tests to Detect Inflammation
https://patient.info[...]
2019-10-23
[266]
서적
Inflammation: From Molecular and Cellular Mechanisms to the Clinic
Wiley‐VCH Verlag GmbH & Co. KGaA.
2019-10-29
[267]
저널
Function of C-reactive protein
2019-10-23
[268]
웹인용
ESR (L2016)
http://amc.seoul.kr/[...]
2019-10-23
[269]
저널
Chronic inflammation in fat plays a crucial role in the development of obesity-related insulin resistance
2019-10-28
[270]
저널
Chronic Inflammation in Obesity and the Metabolic Syndrome
2019-10-23
[271]
저널
Obesity and inflammation: the linking mechanism and the complications
2019-10-28
[272]
저널
The anti-inflammatory effect of exercise
2019-10-28
[273]
저널
Waist circumference as the predominant contributor to the micro-inflammatory response in the metabolic syndrome: a cross sectional study
2019-10-28
[274]
저널
대사증후군
https://synapse.kore[...]
대한의사협회
2019-10-28
[275]
저널
Adipose Tissue in Obesity-Related Inflammation and Insulin Resistance: Cells, Cytokines, and Chemokines
2019-10-28
[276]
저널
Macrophage function in obesity-induced inflammation and insulin resistance
2019-10-28
[277]
저널
Obesity, Inflammation, and Macrophages
2019-10-28
[278]
저널
Secret talk between adipose tissue and central nervous system via secreted factors—an emerging frontier in the neurodegenerative research
2019-10-28
[279]
저널
Inflammatory Cytokine Concentrations Are Acutely Increased by Hyperglycemia in Humans: Role of Oxidative Stress
2019-10-28
[280]
저널
Obesity and C‐reactive protein in various populations: a systematic review and meta‐analysis
2019-10-29
[281]
웹인용
노화에 대한 분자 생물학적 이해와 응용 동향
https://www.ibric.or[...]
2019-10-30
[282]
저널
노화과정에서 분자염증 반응과 에너지 대사의 중요성
http://kmbase.medric[...]
2019-10-30
[283]
서적
StatPearls [Internet]
https://www.ncbi.nlm[...]
StatPearls Publishing
2019-10-30
[284]
저널
Exercise, Inflammation and Aging
2019-10-24
[285]
저널
Age-related inflammatory cytokines and disease
2019-10-30
[286]
저널
The origins of age-related proinflammatory state
2019-11-03
[287]
저널
Source of Chronic Inflammation in Aging
2019-10-29
[288]
저널
Reversing the immune ageing clock: lifestyle modifications and pharmacological interventions
2019-11-03
[289]
저널
Inflammation and its resolution in atherosclerosis: mediators and therapeutic opportunities
2019-10-31
[290]
저널
Inflammation and Atherosclerosis
2019-10-31
[291]
저널
Inflammation, atherosclerotic burden and cardiovascular prognosis
2019-10-31
[292]
저널
Clinical Application of C-Reactive Protein for Cardiovascular Disease Detection and Prevention
2019-10-31
[293]
저널
Statins as Anti-Inflammatory Agents in Atherogenesis: Molecular Mechanisms and Lessons from the Recent Clinical Trials
2019-10-31
[294]
웹인용
[암과 염증]염증이 암의 원인?
http://cancer-strate[...]
2019-10-31
[295]
웹인용
[암(癌)에게서 배우다] <15회> Tumor microenvironment(2) ; 여행, 그 변화의 유익함에 관하여
https://www.ibric.or[...]
2019-10-31
[296]
저널
Interaction of tumor cells with the microenvironment
2019-10-31
[297]
저널
Cancer-related inflammation, the seventh hallmark of cancer: links to genetic instability
2019-10-31
[298]
저널
Crosstalk between DNA Damage and Inflammation in the Multiple Steps of Carcinogenesis
2019-10-31
[299]
저널
Inflammation and cancer
2019-10-31
[300]
저널
Opposing Roles for Complement Component C5a in Tumor Progression and the Tumor Microenvironment
2019-10-31
[301]
저널
Sex steroid receptors in skeletal differentiation and epithelial neoplasia: is tissue-specific intervention possible?
2019-10-31
[302]
저널
Therapeutic potential of inhibition of the NF-κB pathway in the treatment of inflammation and cancer
2019-10-31
[303]
저널
Cancer and systemic inflammation: treat the tumour and treat the host
2019-10-31
[304]
저널
Tumor microenvironment: Interactions and therapy
2019-10-31
[305]
저널
알레르기 염증에서의 비만세포 역할과 비만세포 관련 질환
https://synapse.kore[...]
대한천식알레르기학회
2019-10-31
[306]
웹인용
과민반응 (Hypersensitivity Reaction)
https://www.ibric.or[...]
2019-10-31
[307]
저널
The role of inflammation in depression: from evolutionary imperative to modern treatment target
2019-10-31
[308]
저널
Reconceptualizing major depressive disorder as an infectious disease
2019-10-31
[309]
저널
Pathogen–Host Defense in the Evolution of Depression: Insights into Epidemiology, Genetics, Bioregional Differences and Female Preponderance
2019-10-31
[310]
뉴스
Is depression a kind of allergic reaction?
https://www.theguard[...]
2019-10-31
[311]
저널
Depression and sickness behavior are Janus-faced responses to shared inflammatory pathways
2019-10-31
[312]
저널
Comparison of cytokine levels in depressed, manic and euthymic patients with bipolar disorder
2019-10-31
[313]
저널
The cyclooxygenase-2 inhibitor celecoxib has therapeutic effects in major depression: results of a double-blind, randomized, placebo controlled, add-on pilot study to reboxetine
2019-10-31
[314]
저널
Anti-inflammatory treatment for major depressive disorder: implications for patients with an elevated immune profile and non-responders to standard antidepressant therapy
2019-10-31
[315]
저널
HIV-associated chronic immune activation
2019-10-30
[316]
저널
Immune activation and HIV persistence: implications for curative approaches to HIV infection
2019-10-30
[317]
저널
HIV Infection, Inflammation, Immunosenescence, and Aging
2019-10-30
[318]
저널
The paradox of the immune response in HIV infection: When inflammation becomes harmful
2019-10-30
[319]
저널
Inflammation in Chronic HIV Infection: What Can We Do?
2019-10-31
[320]
저널
Immune Activation, Inflammation, and Non-AIDS Co-Morbidities in HIV-Infected Patients under Long-Term ART
2019-10-30
[321]
저널
Persistent inflammation in HIV infection: established concepts, new perspectives
2019-10-30
[322]
저널
Soluble Markers of Inflammation and Coagulation but Not T-Cell Activation Predict Non–AIDS-Defining Morbid Events During Suppressive Antiretroviral Treatment
2019-10-31
[323]
저널
Rituximab: 염증성 근병증 치료의 새로운 전망
https://synapse.kore[...]
2019-10-30
[324]
저널
Saturated Fatty Acids Produce an Inflammatory Response Predominantly through the Activation of TLR4 Signaling in Hypothalamus: Implications for the Pathogenesis of Obesity
2019-10-23
[325]
저널
A saturated fatty acid-rich diet induces an obesity-linked proinflammatory gene expression profile in adipose tissue of subjects at risk of metabolic syndrome
2019-10-23
[326]
저널
Systemic inflammation and the metabolic syndrome among middle-aged community volunteers
2019-10-23
[327]
저널
대사성 질환자의 영양평가를 위한 한국형 식사염증지표 개발 및 타당성 검증: 한국인 유전체역학조사자료를 활용하여
http://www.dbpia.co.[...]
한국생활과학회
2019-10-23
[328]
뉴스
지중해식 식단 심장·뇌에 좋아
http://www.amc.seoul[...]
2019-10-23
[329]
뉴스
그 좋다는 ‘지중해 식단’, 어떻게 먹는 건가요?
http://realfoods.co.[...]
2019-10-23
[330]
저널
Assessment of Dietary Patterns Represents a Potential, Yet Variable, Measure of Inflammatory Status: A Review and Update
2019-10-23
[331]
저널
Adherence to the Mediterranean Diet and Inflammatory Markers
2019-10-23
[332]
뉴스
지중해식 식단, 왜 좋은지 밝혀져… "염증 줄이고, 당 분해 도와"
http://health.chosun[...]
2019-10-23
[333]
저널
Nordic Diet and Inflammation—A Review of Observational and Intervention Studies
2019-10-23
[334]
저널
Diet Quality as Assessed by the Healthy Eating Index, the Alternate Healthy Eating Index, the Dietary Approaches to Stop Hypertension Score, and Health Outcomes: A Systematic Review and Meta-Analysis of Cohort Studies
2019-10-23
[335]
저널
국민건강영양조사 자료를 이용한 한국 성인의 식생활평가지수 개발
https://synapse.kore[...]
한국영양학회
2019-10-23
[336]
저널
Designing and developing a literature-derived, population-based dietary inflammatory index
2019-10-23
[337]
저널
Relationship Between Physical Activity and Inflammation Among Apparently Healthy Middle-aged and Older US Adults
2019-10-24
[338]
저널
Physical activity and inflammatory markers over 10 years follow up in men and women from the Whitehall II cohort study
2019-10-24
[339]
저널
The effects of acute and chronic exercise on inflammatory markers in children and adults with a chronic inflammatory disease: a systematic review
2019-10-27
[340]
저널
Chronic Low-grade Inflammation after Exercise: Controversies
2019-10-27
[341]
저널
The anti-inflammatory effects of exercise: mechanisms and implications for the prevention and treatment of disease
2019-10-27
[342]
저널
Exercise as a Mean to Control Low-Grade Systemic Inflammation
2019-10-27
[343]
저널
Effect of exercise training on chronic inflammation
2019-10-27
[344]
저널
Impact of physical activity on inflammation: effects on cardiovascular disease risk and other inflammatory conditions
2019-10-27
[345]
저널
Effect of Aerobic Exercise on Inflammatory Markers in Healthy Middle-Aged and Older Adults: A Systematic Review and Meta-Analysis of Randomized Controlled Trials
2019-10-24
[346]
저널
Chronic Inflammation as an Immunological Abnormality and Effectiveness of Exercise
2019-10-27
[347]
저널
Impact of a Competitive Marathon Race on Systemic Cytokine and Neutrophil Responses
2019-10-27
[348]
저널
Impact of moderate versus mild aerobic exercise training on inflammatory cytokines in obese type 2 diabetic patients: a randomized clinical trial
2019-10-27
[349]
저널
Exercise and the Immune System: Regulation, Integration, and Adaptation
2019-10-27
[350]
저널
Immune system adaptation in elite athletes
2019-10-27
[351]
저널
Elderly Patients and High Force Resistance Exercise—A Descriptive Report: Can an Anabolic, Muscle Growth Response Occur Without Muscle Damage or Inflammation?
2019-10-23
[352]
저널
Mechanisms regulating muscle mass during disuse atrophy and rehabilitation in humans
2019-10-23
[353]
저널
Cytokines in exertion-induced skeletal muscle injury
2019-10-23
[354]
저널
Characterization of inflammatory responses to eccentric exercise in humans
2019-10-23
[355]
저널
Insights into the molecular etiology of exercise-induced inflammation: opportunities for optimizing performance
2019-10-23
[356]
서적
Exercise and Sport Science
https://archive.org/[...]
LWW
2019-10-23
[357]
저널
Muscle damage and inflammation during recovery from exercise
2019-10-23
[358]
저널
Mechanisms of exercise-induced delayed onset muscular soreness: a brief review
2019-10-23
[359]
웹인용
근육안에 자고있는 위성세포를 깨우자.
https://www.sportnes[...]
2019-10-23
[360]
저널
Muscle Stem Cells and Exercise Training
2019-10-24
[361]
저널
Association of Interleukin-6 Signalling with the Muscle Stem Cell Response Following Muscle-Lengthening Contractions in Humans
2019-10-24
[362]
저널
MicroRNAs in Muscle: Characterizing the Powerlifter Phenotype
2019-10-24
[363]
저널
Time course of proteolytic, cytokine, and myostatin gene expression after acute exercise in human skeletal muscle
2019-10-24
[364]
저널
Role of myokines in exercise and metabolism
2019-10-24
[365]
저널
Age-related differences in skeletal muscle protein synthesis: relation to markers of immune activation
2019-10-27
[366]
저널
Relationship of Interleukin-6 and Tumor Necrosis Factor-α With Muscle Mass and Muscle Strength in Elderly Men and Women: The Health ABC Study
2019-10-27
[367]
저널
Regulation of skeletal muscle growth by the IGF1-Akt/PKB pathway: insights from genetic models
2019-10-27
[368]
저널
mTOR as a Key Regulator in Maintaining Skeletal Muscle Mass
2019-10-27
[369]
저널
Sepsis-induced suppression of skeletal muscle translation initiation mediated by tumor necrosis factor alpha
2019-10-27
[370]
저널
Cytokine inhibition of JAK-STAT signaling: a new mechanism of growth hormone resistance
2019-10-27
[371]
웹인용
Inflammation: the major regulator of muscle growth nobody talks about
https://mennohenselm[...]
2019-10-28
[372]
저널
Inflammasomes: mechanism of assembly, regulation and signalling
2019-11-01
[373]
저널
PAMPs and DAMPs: Signal 0s that Spur Autophagy and Immunity
2019-11-01
[374]
저널
The Inflammasome: A Caspase-1 Activation Platform Regulating Immune Responses and Disease Pathogenesis
2019-11-01
[375]
웹인용
세포사멸의 분자 기전들: 세포사멸 명칭위원회의 제안
https://www.ibric.or[...]
2019-11-01
[376]
저널
Dysregulation of Inflammasome Priming and Activation by MicroRNAs in Human Immune-Mediated Diseases
2019-11-01
[377]
저널
How corticosteroids control inflammation: Quintiles Prize Lecture 2005
2019-11-01
[378]
저널
Molecular mechanisms of corticosteroid actions
2019-11-01
[379]
저널
How do corticosteroids work in asthma
2019-11-01
[380]
저널
골관절염의 치료에서 COX-2 선택적 비스테로이드성 소염진통제의 이용
http://www.jksrr.org[...]
2019-11-01
[381]
저널
Anti-inflammatory Agents: Present and Future
2019-11-01
[382]
서적
NIHR Health Technology Assessment programme: Executive Summaries
https://www.ncbi.nlm[...]
NIHR Journals Library
2019-11-01
[383]
저널
Anti-Inflammatory Effects of Statins: Clinical Evidence and Basic Mechanisms
2019-11-01
[384]
웹인용
Vitamins That Fight Inflammation
https://www.webmd.co[...]
2019-11-01
[385]
저널
Vitamin A deficiency increases inflammatory responses
2019-11-01
[386]
저널
Effect of vitamin C on inflammation and metabolic markers in hypertensive and/or diabetic obese adults: a randomized controlled trial
2019-11-01
[387]
저널
Cocaine, not morphine, causes the generation of reactive oxygen species and activation of NF-kappaB in transiently cotransfected heart cell
2019-11-01
[388]
저널
Role of reactive oxygen species, glutathione and NF-κB in apoptosis induced by 3,4-methylenedioxymethamphetamine (“Ecstasy”) on hepatic stellate cells
2019-11-01
[389]
저널
Immunomodulatory drugs: Oral and systemic adverse effects
2019-11-02
[390]
저널
A Paradigm Shift in Cancer Immunotherapy: From Enhancement to Normalization
2019-11-02
[391]
저널
Targeting cancer‐related inflammation in the era of immunotherapy
2019-11-02
[392]
저널
Cancer Immunotherapy Targets Based on Understanding the T Cell-Inflamed Versus Non-T Cell-Inflamed Tumor Microenvironment
2019-11-02
[393]
저널
Editorial: Regulation of Inflammation in Chronic Disease
2019-11-03
[394]
저널
Immunotherapies for autoimmune diseases
https://www.nature.c[...]
2019-11-02
[395]
저널
Allergen-Specific Immunotherapy in Asthma
2019-11-02
[396]
저널
Recent advances in immunotherapies: from infection and autoimmunity, to cancer, and back again
2019-11-02
[397]
웹인용
면역조절 기능성 식품의 구조 및 작용
https://www.ibric.or[...]
2019-11-01
[398]
저널
Emerging Role of Immunosuppression in Diseases Induced by Micro- and Nano-Particles: Time to Revisit the Exclusive Inflammatory Scenario
2019-11-03
[399]
저널
Inflammation: Mechanisms, Costs, and Natural Variation
2019-10-31
[400]
저널
Inflammation – a critical appreciation of the role of myeloid cells
2019-10-31
[401]
저널
Evolution of innate and adaptive immunity: can we draw a line?
2019-10-31
[402]
저널
Evolution of Vertebrate Immunity
2019-10-31
[403]
서적
글로벌세계대백과사전
https://ko.wikisourc[...]
도서출판 범한
2019-10-31
[404]
저널
Innate Immune Memory in Invertebrate Metazoans: A Critical Appraisal
2019-10-31
[405]
웹인용
곤충의 생체방어체제에서의 Prophenoloxidase Activating System의 역할
https://www.ibric.or[...]
2019-10-31
[406]
저널
Knowing your friends: invertebrate innate immunity fosters beneficial bacterial symbioses
2019-10-31
[407]
저널
Coagulation Systems of Invertebrates and Vertebrates and Their Roles in Innate Immunity: The Same Side of Two Coins?
2019-11-01
[408]
저널
Tumors in invertebrates
http://www.isj.unimo[...]
2019-10-31
[409]
저널
Tumors in invertebrates: molluscs as an emerging animal model for human cancer
http://www.isj.unimo[...]
2019-10-31
[410]
저널
Comparative study of tumorigenesis and tumor immunity in invertebrates and nonmammalian vertebrates
2019-10-31
[411]
저널
Invertebrate Models for Biomedical Research, Testing, and Education
2019-11-01
[412]
저널
A vertebrate cytokine primer for eco‐immunologists
2019-11-01
[413]
저널
Coagulation in Vertebrates with a Focus on Evolution and Inflammation
2019-11-01
[414]
저널
Parallels between vertebrate cardiac and cutaneous wound healing and regeneration
2019-11-01
[415]
저널
Animal models of human disease: Inflammation
2019-11-01
[416]
저널
Why Animals Die: An Introduction to the Pathology of Aging
2019-11-01
[417]
저널
Defining healthy aging in older dogs and differentiating healthy aging from disease
2019-11-01
[418]
웹인용
What a 6,000-Year-Old Knee Can Teach Us About Arthritis
https://www.smithson[...]
2019-10-11
[419]
서적
Inflammation. Handbook of Experimental Pharmacology (Continuation of Handbuch der experimentellen Pharmakologie)
Springer
2019-10-11
[420]
뉴스
자극과 항상성 함께 봐야 염증 해소 가능
http://www.kmpnews.c[...]
2019-10-11
[421]
서적
Inflammation and the Microcirculation
https://www.ncbi.nlm[...]
Morgan & Claypool Life Sciences
2019-10-11
[422]
저널
What is “inflammation”? Are we ready to move beyond Celsus?
2019-10-11
[423]
저널
A brief survey of the history of inflammation
2019-10-11
[424]
서적
Chemical Mediators of the Acute Inflammatory Reaction
https://archive.org/[...]
Pergamon
2019-10-12
[425]
서적
Inflammation: From Molecular and Cellular Mechanisms to the Clinic
Wiley‐VCH Verlag GmbH & Co. KGaA.
2019-10-12
본 사이트는 AI가 위키백과와 뉴스 기사,정부 간행물,학술 논문등을 바탕으로 정보를 가공하여 제공하는 백과사전형 서비스입니다.
모든 문서는 AI에 의해 자동 생성되며, CC BY-SA 4.0 라이선스에 따라 이용할 수 있습니다.
하지만, 위키백과나 뉴스 기사 자체에 오류, 부정확한 정보, 또는 가짜 뉴스가 포함될 수 있으며, AI는 이러한 내용을 완벽하게 걸러내지 못할 수 있습니다.
따라서 제공되는 정보에 일부 오류나 편향이 있을 수 있으므로, 중요한 정보는 반드시 다른 출처를 통해 교차 검증하시기 바랍니다.
문의하기 : help@durumis.com