어깨 관절
"오늘의AI위키"의 AI를 통해 더욱 풍부하고 폭넓은 지식 경험을 누리세요.
1. 개요
어깨 관절은 어깨뼈와 위팔뼈 사이의 절구관절로, 인체에서 가장 가동 범위가 넓은 관절이다. 어깨뼈의 접시오목과 오목테두리, 관절주머니, 윤활막, 윤활주머니, 근육, 인대, 신경, 혈관 등으로 구성되어 있다. 어깨 관절의 움직임은 굽힘, 폄, 벌림, 모음, 안쪽돌림, 가쪽돌림, 휘돌림 등이 있으며, 다양한 근육들이 이러한 움직임에 관여한다. 어깨 관절 관련 질환으로는 오십견, 슬랩 파열, 어깨 탈구, 봉우리밑주머니염 등이 있으며, 관절촬영술, MRI 등의 진단 방법을 통해 진단한다.
더 읽어볼만한 페이지
- 어깨 - 오십견
오십견은 어깨 관절낭의 유착으로 발생하는 어깨 통증과 운동 범위 제한을 특징으로 하는 질환이며, 비수술적 치료와 수술적 치료를 통해 증상을 완화하고 회복을 돕는다. - 어깨 - 어깨결림
어깨결림은 어깨 관절과 관련된 다양한 질환 및 손상을 포괄하는 용어로, 여러 원인에 의해 통증, 운동 범위 감소, 어깨 사용의 어려움 등을 유발하며, 진단 후 원인에 따라 다양한 치료가 이루어진다. - 상지해부학 - 쇄골
쇄골은 어깨뼈와 위팔을 연결하는 뼈로, 어깨 구조를 지지하고 충격을 흡수하며, 견쇄관절을 형성하고, 골절이 흔하게 발생하여 골절 유형에 따라 치료 방법이 달라진다. - 상지해부학 - 손목
손목은 팔과 손을 연결하는 부위로, 요골과 척골, 손목뼈, 중수골 등으로 구성되며 다양한 움직임을 가능하게 하고, 손목 통증 등 여러 질환이 발생할 수 있다. - 관절 - 팔꿈치
팔꿈치는 위팔과 아래팔을 굽힘, 폄, 회전 운동이 가능하도록 연결하는 관절 부위로, 뼈, 인대, 근육, 혈관, 신경 등 복잡한 구조로 이루어져 있으며 테니스 엘보, 골프 엘보 등의 부상과 류마티스 관절염, 주관 증후군 등의 질환이 발생할 수 있다. - 관절 - 활액
활액은 활막 관절의 윤활 작용을 하는 혈장 성분과 단백질로 이루어진 점액성 액체로, 관절 연골에 영양을 공급하고 마찰을 줄여 관절 운동을 돕고, 활액 분석은 관절 질환 진단에 중요하다.
| 어깨 관절 | |
|---|---|
| 어깨관절 | |
| 영어 | Shoulder joint |
| 라틴어 | Articulatio humeri |
![]() | |
2. 구조
(1), (6) 봉우리밑-어깨세모근밑주머니, (2) 어깨밑근오목, (3) 부리밑주머니, (4) 부리봉우리주머니, (5) 봉우리위주머니]]
봉우리위주머니는 보통 어깨관절과는 교통하지 않는다.
어깨를 안정하게 하는 주된 근육은 위팔 앞쪽의 위팔두갈래근과 돌림근띠의 힘줄들이다. 큰가슴근, 넓은등근, 큰원근, 어깨세모근도 어깨관절을 지지하는 역할을 한다.[4] 돌림근띠의 힘줄과 그 근육들(가시위근, 가시아래근, 작은원근, 어깨밑근)은 어깨관절을 안정하게 하고 고정시킨다.[4]
위, 중간, 아래 접시위팔인대는 관절주머니가 두꺼워져 형성되며 접시오목의 위쪽 부분부터 위팔뼈 작은결절과 머리의 아래쪽 부분까지 주행한다. 부리위팔인대[4], 가로위팔인대[4], 부리봉우리인대[7]등이 어깨관절을 강화한다.
팔신경얼기에서 갈라져 나온 어깨위신경, 겨드랑신경, 가쪽가슴근신경이 어깨관절을 지배한다. 앞위팔휘돌이동맥, 뒤위팔휘돌이동맥의 가지와 어깨위동맥, 어깨휘돌이동맥이 어깨관절에 혈액을 공급한다.
2. 1. 뼈

어깨관절은 어깨뼈와 위팔뼈 사이의 절구관절이다. 어깨뼈의 접시오목은 좁지만 오목테두리가 존재하기 때문에 깊이는 깊다. 오목테두리는 연골로 이루어진 고리 모양의 구조물로 접시오목의 가장자리에 붙어 있다. 오목테두리는 위쪽의 위팔두갈래근의 힘줄과 연속되어 있다.
2. 2. 공간
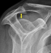
중요한 관절 내 공간은 다음과 같다.- 정상적인 오목위팔공간은 4mm~5mm 정도이다.[1]
- 어깨 X선에서 정상적인 봉우리밑공간은 9mm~10mm 정도로, 남성에서 훨씬 크며 나이가 들수록 조금씩 크기가 줄어든다.[2] 중년기에 봉우리밑공간의 크기가 6mm보다 작다면 병적인 상태로 보며, 위가시근 힘줄의 파열을 시사하는 소견일 수 있다.[2]

겨드랑공간은 어깨의 근육들 사이에 위치하는 해부학적 공간이다. 겨드랑신경과 어깨밑동맥이 겨드랑공간을 통과한다.
2. 3. 관절주머니와 윤활막
어깨관절은 매우 느슨한 관절주머니를 가지고 있다. 관절주머니 겨드랑이 부분의 U자 모양 부분은 아래오목위팔인대의 앞쪽 띠와 뒤쪽 띠 사이에 위치하며, '겨드랑주머니'(axillary pouch)라고 한다.[3]윤활막은 위팔두갈래근 긴 갈래와 어깨밑근 힘줄의 아래쪽에 뻗어 있으며 어깨밑근주머니(subscapular bursa)를 형성한다. 따라서 위팔두갈래근 긴 갈래는 윤활막보다는 바깥쪽, 관절주머니보다는 안쪽에 있다고 할 수 있으며 이후 접시위결절에 붙는다.[4]
2. 4. 윤활주머니
(1), (6) 봉우리밑-어깨세모근밑주머니, (2) 어깨밑근오목, (3) 부리밑주머니, (4) 부리봉우리주머니, (5) 봉우리위주머니]]윤활주머니라고 하는 약간의 액체가 차 있는 여러 개의 주머니들이 관절 주변에 위치하여 관절의 운동을 돕는다.
- 관절주머니와 어깨세모근 사이에는 어깨세모근밑주머니가 위치한다.
- 관절주머니와 어깨뼈봉우리 사이에는 봉우리밑주머니가 위치하며 대부분의 경우 어깨세모근밑주머니와 연속된다.
- 관절주머니와 어깨뼈의 부리돌기 사이에는 부리밑주머니가 위치한다.
- 부리위팔근 힘줄과 어깨밑근 사이에는 부리위팔주머니가 위치한다.
- 관절주머니와 어깨밑근 힘줄 사이에는 어깨밑주머니가 위치한다.
봉우리위주머니는 보통 어깨관절과는 교통하지 않는다.
2. 5. 근육
어깨를 안정하게 하는 주된 근육은 위팔 앞쪽의 위팔두갈래근과 돌림근띠의 힘줄들로, 관절주머니의 아래쪽 모서리를 제외한 주머니 모든 측면에서 섞인다.[5]위팔두갈래근 긴갈래의 힘줄은 위팔뼈의 두갈래근고랑을 통과하여 관절오목의 위쪽 모서리에 닿고, 위팔뼈머리를 관절오목 쪽으로 누르는 역할을 한다.[5] 큰가슴근, 넓은등근, 큰원근, 어깨세모근도 어깨관절을 지지하는 역할을 한다.[4]
돌림근띠의 힘줄과 그 근육들(가시위근, 가시아래근, 작은원근, 어깨밑근)은 어깨관절을 안정하게 하고 고정시킨다.[4] 가시위근은 어깨관절을 처음 15도까지 벌리는 역할을 하고, 가시아래근과 작은원근은 벌림과 바깥쪽돌림을 돕는다.[6]
2. 6. 인대
위, 중간, 아래 접시위팔인대는 관절주머니가 두꺼워져 형성되며 접시오목의 위쪽 부분부터 위팔뼈 작은결절과 머리의 아래쪽 부분까지 주행한다. 이 세 쌍의 인대들은 약하며 인대의 뒤쪽 부분은 가시아래근에 의해 지지된다.[4] 부리위팔인대[4], 가로위팔인대[4], 부리봉우리인대[7]등이 어깨관절을 강화한다.2. 7. 신경 분포
팔신경얼기에서 갈라져 나온 어깨위신경, 겨드랑신경, 가쪽가슴근신경이 어깨관절을 지배한다.2. 8. 혈액 공급
앞위팔휘돌이동맥, 뒤위팔휘돌이동맥의 가지와 어깨위동맥, 어깨휘돌이동맥이 어깨관절에 혈액을 공급한다.3. 기능


어깨에 위치한 돌림근띠 근육은 강한 장력을 만들어 내며 위팔뼈머리를 접시오목 쪽으로 당긴다. 접시오목은 좁은 공간이며, 오목테두리로 인해 깊이가 깊어져 안정해진다. 다른 구조물의 도움 없이 120도까지 굽힐 수 있어 인체에서 가장 가동성이 좋은 관절이다.
3. 1. 어깨위팔리듬
어깨뼈가 가슴우리를 가로지르며 위팔뼈에 대해 움직이는 것을 '어깨위팔리듬'(scapulohumeral rhythm)이라고 한다. 어깨뼈 위치가 변하면 움직임의 범위는 줄어들 수 있다. 이로 인해 어깨뼈를 제자리에 고정하는 큰 근육인 등세모근에 불균형이 생길 수 있다. 이 불균형은 어깨의 움직임 범위에 영향을 줄 수 있다.3. 2. 움직임
어깨뼈가 가슴우리를 가로지르며 위팔뼈에 대해 움직이는 것을 '어깨위팔리듬'(scapulohumeral rhythm)이라고 한다. 어깨뼈 위치가 변하면 움직임의 범위는 줄어들 수 있다. 이로 인해 어깨뼈를 제자리에 고정하는 큰 근육인 등세모근에 불균형이 생길 수 있으며, 이는 어깨 움직임 범위에 영향을 줄 수 있다.
- (시상면 기준) 어깨관절의 굽힘과 폄
- * 굽힘은 어깨세모근 앞쪽 섬유와 큰가슴근, 부리위팔근에 의해 수행된다.
- * 폄은 어깨세모근 뒤쪽 섬유와 넓은등근에 의해 수행된다.
- (관상면 기준) 어깨의 벌림과 모음
- * 벌림은 어깨세모근과 가시위근에 의해 첫 90도 동안 수행되고, 90~180도에서는 등세모근과 앞톱니근이 수행한다.
- * 모음은 큰가슴근, 넓은등근, 큰원근, 어깨밑근이 수행한다.
- (수평면 기준) 어깨의 벌림과 모음
- 어깨의 안쪽돌림과 가쪽돌림 (또는 안쪽돌림과 바깥쪽돌림)
- * 안쪽돌림은 어깨세모근의 앞쪽 섬유, 큰원근, 어깨밑근, 큰가슴근, 넓은등근이 수행한다.
- * 가쪽돌림은 어깨세모근의 뒤쪽 섬유, 가시아래근, 작은원근이 수행한다.
- 어깨의 휘돌림 (굽힘, 폄, 모음, 벌림을 조합하여 팔을 원을 그리며 회전시키는 동작)
4. 임상적 중요성
어깨관절은 부상 위험이 높고 다양한 질환이 발생할 수 있는 관절이다. 어깨관절의 진단에는 CT, MRI 등의 영상 검사가 사용될 수 있다. 관절촬영술은 조영제를 부리돌기 아래가쪽에 주사하여 어깨관절의 윤곽을 나타내는 검사 방법이다. 어깨의 겨드랑주머니는 팔을 바깥쪽으로 돌릴 때, 어깨밑-부리밑주머니는 팔을 안쪽으로 돌릴 때 잘 관찰된다. 조영제가 위가시근 힘줄의 완전 파열이 아닌 경우 봉우리밑주머니로 들어가서는 안 된다.[4]
4. 1. 흔한 질환
오십견은 관절주머니에 염증이 생기거나 뻣뻣해지면서 비정상적인 조직이 관절면 사이에 자라나 발생하며, 통증과 관절의 움직임 제한을 일으킨다.[8]슬랩 파열(SLAP tear영어)은 오목테두리의 파열이 원인이다. 특정 위치에 어깨 통증이 발생하고, 테니스나 던지는 동작이 있는 스포츠와 관련된 통증, 어깨 쇠약 등의 증상이 나타난다. 수술로 복구해야 하는 경우도 종종 있다.[8]
어깨관절의 앞쪽 탈구는 위팔뼈머리가 앞쪽으로 제 위치를 벗어났을 때 발생한다. 앞쪽 어깨 탈구는 종종 팔을 벌린 상태에서 어깨에 충격이 가해져 생긴다. 젊은 사람들의 경우, 탈구는 위팔뼈나 접시오목의 골절로 인해 불안정성이 재발하여 생기는 것이 가장 흔하다. 나이 든 사람들에게서 불안정성이 재발하는 것은 드물지만 돌림근띠가 찢어지는 경우가 더 많다.[9] 겨드랑이 부위의 동맥과 신경(겨드랑신경 등)이 어깨 탈구로 인해 손상되는 경우는 흔하지 않지만, 치료되지 않을 시 쇠약, 근위축, 마비 등으로 이어질 수 있다.[10]
봉우리밑주머니염은 염증에 의해 통증이 발생하는 질환으로 어깨충돌증후군의 증상을 여럿 나타내는 경우가 많다.
4. 2. 진단
어깨관절 진단에는 엑스레이, CT, MRI 등 영상 검사가 사용된다.- 정상적인 오목위팔공간(glenohumeral space)은 4–5mm 정도이다.[1]
- 어깨 X선에서 정상적인 봉우리밑공간(subacromial space)은 9–10mm 정도로, 남성에서 훨씬 크며 나이가 들수록 조금씩 크기가 줄어든다.[2] 중년기에 봉우리밑공간의 크기가 6mm보다 작다면 병적 상태로 보며, 위가시근 힘줄의 파열을 시사하는 소견일 수 있다.[2]
관절촬영술은 조영제를 주사하여 어깨관절의 윤곽을 나타내는 검사이다. 어깨의 겨드랑주머니는 팔의 바깥쪽돌림 시에, 어깨밑-부리밑주머니는 팔의 안쪽돌림 시에 잘 관찰할 수 있다. 조영제는 위가시근 힘줄이 완전히 파열된 것이 아닐 경우 봉우리밑주머니로는 들어가면 안 된다.[4]
MRI도 어깨관절을 촬영하는 데에 사용된다.[4]
참조
[1]
웹인용
Glenohumeral joint space
http://radref.org/re[...]
[2]
논문
The subacromial space in normal shoulder radiographs
1984-02
[3]
논문
Shoulder Anatomy and Normal Variants
2017-12
[4]
서적
Anatomy for diagnostic imaging
Elsevier Ltd
2011
[5]
서적
Anatomy & Physiology: The Unity of Form and Function
McGraw-Hill
[6]
서적
Anatomy, Shoulder and Upper Limb, Arm Teres Minor Muscle
http://www.ncbi.nlm.[...]
StatPearls Publishing
2022
[7]
서적
Moore Clinically Oriented Anatomy
Lippincott Williams and Wilkins
[8]
웹인용
Shoulder Pain: Raising the level of diagnostic certainty about SLAP lesions
http://www.mayoclini[...]
Mayo Clinic
2012-09-05
[9]
논문
Shoulder dislocation in patients older than 60 years of age
https://www.ncbi.nlm[...]
2010
[10]
서적
Anatomy & Physiology: The Unity of Form and Function
https://archive.org/[...]
McGraw-Hill Education
2015
본 사이트는 AI가 위키백과와 뉴스 기사,정부 간행물,학술 논문등을 바탕으로 정보를 가공하여 제공하는 백과사전형 서비스입니다.
모든 문서는 AI에 의해 자동 생성되며, CC BY-SA 4.0 라이선스에 따라 이용할 수 있습니다.
하지만, 위키백과나 뉴스 기사 자체에 오류, 부정확한 정보, 또는 가짜 뉴스가 포함될 수 있으며, AI는 이러한 내용을 완벽하게 걸러내지 못할 수 있습니다.
따라서 제공되는 정보에 일부 오류나 편향이 있을 수 있으므로, 중요한 정보는 반드시 다른 출처를 통해 교차 검증하시기 바랍니다.
문의하기 : help@durumis.com
