맨위로가기

교합

"오늘의AI위키"는 AI 기술로 일관성 있고 체계적인 최신 지식을 제공하는 혁신 플랫폼입니다.
"오늘의AI위키"의 AI를 통해 더욱 풍부하고 폭넓은 지식 경험을 누리세요.

1. 개요

교합은 위아래 치아의 맞물림을 의미하며, 정상교합은 구강 기능에 조화로운 교합, 부정교합은 기능에 방해를 주는 교합을 말한다. 교합은 치아, 턱관절, 근육 등 저작계 해부학적 구조와 밀접하게 관련되어 있으며, 치과 치료 시 최적의 기능적 교합을 고려하는 것이 중요하다. 교합은 절치와 구치 관계를 기준으로 분류되며, 교두감합위, 중심 관계, Posselt의 경계 운동 포락선 등 다양한 용어로 설명된다. 하악 운동은 후방 및 전방 유도 시스템에 의해 안내되며, 견치 유도, 그룹 기능, 절치 유도 등이 있다. 교합은 양측성 균형 교합, 편측성 균형 교합, 상호 보호 교합 등 다양한 방식으로 구성될 수 있으며, 편향 접촉과 교합 간섭은 하악 운동을 방해할 수 있다. 교합 검사를 통해 얼굴 외형, 근육, 턱관절, 치열궁 등을 평가하며, 교합은 환자 편안함 증진, 수복물 성공률 증가 등 임상적으로 중요한 역할을 한다.

더 읽어볼만한 페이지

  • 이 (몸) - 상아
    상아는 코끼리, 매머드, 하마 등의 동물 엄니나 이빨로 만들어진 재료로, 장신구, 공예품 등에 사용되었으나 코끼리 개체 수 감소로 국제적으로 거래가 제한되고 대체재가 개발되고 있다.
  • 이 (몸) - 어금니
교합
정의
교합치아 사이의 접촉 관계
관련 용어
중심 교합위턱뼈와 아래턱뼈의 관계가 정해진 상태에서의 교합
작업측 교합아래턱뼈가 움직일 때, 회전하는 쪽의 어금니 부위의 교합
균형측 교합아래턱뼈가 움직일 때, 회전하는 반대쪽의 어금니 부위의 교합
전치부 교합앞니 부위의 교합
구치부 교합어금니 부위의 교합
교합 이상
과개교합위 앞니가 아래 앞니를 과도하게 덮는 상태
반대교합아래 앞니가 위 앞니보다 더 앞으로 나와있는 상태
개방교합앞니가 서로 닿지 않는 상태
덧니치아가 제 위치에서 벗어나 겹쳐서 나는 상태
부정교합치아의 배열이 가지런하지 않은 상태
교합의 중요성
저작 기능음식물을 씹는 기능
발음 기능정확한 발음을 위한 기능
심미성아름다운 미소를 위한 요소
턱관절 건강턱관절 질환 예방
진단 및 치료
진단구강 검사, 엑스레이 촬영, 치아 모형 분석 등을 통해 진단
치료교정 치료, 보철 치료, 외과적 수술 등을 통해 치료

2. 정상교합과 부정교합

정상교합은 아래턱이 움직일 때 위아래 턱뼈와 치아의 맞물림이 조화를 이루어 구강 기능이 원활하게 이루어지는 교합이다.

부정교합은 아래턱의 움직임을 방해하는 위아래 치아의 맞물림을 가진 교합이다. 부정교합은 아래턱의 움직임을 방해하고 교합력이 부적절하게 작용하여 치아, 구강 조직, 턱관절을 움직이는 근육의 긴장을 유발한다.[12]

교합 및 부정교합의 분류는 교정학의 진단 및 치료 계획에서 중요한 역할을 한다.

'''절치 관계'''

상악과 하악 절치 간의 관계는 Angle의 절치 관계 분류에 따라 다음과 같이 나뉜다.


  • '''1급:''' 하악 절치가 상악 절치의 중앙 1/3 또는 설면의 치경에 접촉한다.
  • '''2급:''' 하악 절치가 구개면에서 상악 절치와 접촉하며, 치은 1/3 또는 치경 뒤에 접촉한다. 1분할과 2분할로 나뉜다.
  • '''1분할''': 전경된(90%) 상악 절치가 포함되며, 수평피개가 크다.
  • '''2분할''': 후경된(10%) 절치가 포함되며, 수직피개가 증가한다.[7]
  • '''3급:''' 하악 절치는 상악 절치와 구개면에서, 특히 절단 1/3에서 또는 치경 앞에 교합한다.
  • 어떤 경우에는 수평피개가 반전되고(<0mm) 하악 절치가 상악 절치보다 앞쪽에 위치한다.


'''구치 관계'''

'''구치 관계''' 분류, 상악 제1대구치의 근심 협측 교두와 하악 제1대구치의 협측 구를 찾을 때 관찰된다.


후방 치아의 교합은 제1 대구치를 기준으로 세 가지 범주로 나뉜다.

  • '''1급:''' 하악 제1대구치가 상악 제1대구치의 근심에 교합하며, 상악 제1대구치의 근심 협측 교두가 하악 제1대구치의 협측 구에 교합한다.
  • '''2급:''' 상악 제1대구치의 근심 협측 교두가 하악 제1대구치의 협측 구 앞쪽에 교합한다.
  • '''3급:''' 상악 제1대구치의 근심 협측 교두가 하악 제1대구치의 협측 구 뒤쪽에 교합한다.[5]


1급 관계에서 벗어나는 모든 것은 부정교합으로 간주된다. 1급 관계는 "이상적"이지만, 이 분류는 두 턱관절의 위치를 고려하지 않는다. 2급 및 3급 구치 및 절치 관계는 부정교합의 한 형태이지만, 모두 교정 치료가 필요할 정도로 심각한 것은 아니다.

3. 저작계의 해부학

저작계는 치아, 턱관절(TMJ), 저작근, 골격 구성 요소 등으로 구성되며, 교합을 이해하기 위해서는 이들에 대한 해부학적 이해가 필수적이다.[13]

TMJ의 해부학 - RCP는 치아가 후퇴 접촉 위치에 있을 때의 과두 위치, ICP는 치아가 교두간 위치에 있을 때의 과두 위치, R은 과두 머리의 회전(하악골 열림, 이동 없음), T는 과두 머리의 회전과 이동을 결합한 하악골 최대 개구를 나타낸다.(아버딘 대학교 치과 연구소)


'''인대'''

TMJ와 관련된 다양한 인대는 수동적인 구속 장치로 작용하여 경계 운동을 제한하고 억제하며, 관절 기능에 직접 기여하지 않고 보호 역할을 한다. TMJ와 관련된 주요 인대는 다음과 같다.

  • 측두하악 인대
  • 내측 및 외측 디스크 인대
  • 접형하악 인대
  • 경돌하악 인대[3]

3. 1. 치아 및 주변 구조

치아는 치관 (치아 머리)과 치근 (치아 뿌리)으로 구성되며, 치주인대에 의해 치조골 (잇몸뼈)에 고정된다.[1] 각 치아는 씹는 기능 등 서로 다른 기능을 담당하며, 위아래 치아 간의 관계는 교합에 큰 영향을 미친다.

3. 2. 골격 구성 요소

골격 구성 요소(Skeletal components)는 다음과 같다.

  • '''상악골'''은 위턱 치아(maxillary teeth)를 지지하고 입천장(hard palate)을 형성한다.
  • '''하악골'''은 아래턱 치아(mandibular teeth)를 지지하고 턱관절(TMJ)의 일부를 형성한다.

3. 3. 턱관절 (TMJ)

주어진 원본 소스에는 '턱관절 (TMJ)' 섹션에 대한 내용이 직접적으로 나타나 있지 않다. 따라서 요약에 제시된 턱관절의 해부학적 특징(측두골, 하악골 과두, 섬유 연골 디스크, 활주 관절)과 디스크의 특성(혈관 및 신경 분포, 재생 능력)에 대한 정보는 원본 소스에서 찾을 수 없으므로, 해당 정보를 기반으로 섹션을 작성할 수 없다. 마찬가지로, 요약에서 언급된 한국인의 턱관절 질환 유병률 및 치료 현황에 대한 추가 정보 역시 원본 소스에 포함되어 있지 않다.

결론적으로, 주어진 원본 소스만을 사용하여 '턱관절 (TMJ)' 섹션을 작성하는 것은 불가능하다.

3. 4. 근육

측두근, 교근, 내측익돌근, 외측익돌근 등 저작근은 아래턱뼈(하악골)의 움직임에 관여한다. 이복근 등 다른 근육도 하악골 하강, 설골 거상 등에 관여하여 저작계와 관련이 있다.

4. 교합의 발달

유치가 생후 6개월에 맹출하기 시작하면서 상악과 하악의 치아는 서로 맞물리게 된다. 맹출하는 치아는 발달 과정에서 , , 입술에 의해 제 위치에 자리 잡게 된다. 위아래 유치는 2년 후에 정확하게 맞물리고 정렬되어야 하며, 만 3세에는 치근이 완전히 발달한다.

치아 발달이 완료된 지 약 1년 후, 턱이 계속 성장하여 일부 치아 사이에 간격이 생기는데, 이를 '''이개'''라고 한다. 이 현상은 전치(앞니)에서 가장 크게 나타나며, 만 4~5세부터 볼 수 있다.[12] 이러한 공간은 영구치가 올바른 교합으로 맹출할 수 있는 공간을 제공하는 데 중요한 역할을 하며, 이러한 공간이 없으면 영구치의 '''총생'''(덧니)이 발생할 가능성이 높다.

혼합 치열 단계는 유치와 영구치가 모두 존재하는 시기를 말하며, 이 단계에서 소구치의 역학을 이해하는 것이 교합 발달과 부정교합을 완전히 이해하는 데 중요하다. 영구 소구치는 약 9~12세에 맹출하며, 유구치를 대체한다. 맹출하는 소구치는 대체하는 치아보다 작으며, 유구치와 그 후속 치아 사이의 이러한 공간 차이(상악은 1.5mm, 하악은 2.5mm[4])를 '''여유 공간'''이라고 한다. 이 여유 공간은 영구 구치가 중간으로 이동하여 Class I 교합을 형성할 수 있게 한다.

'''여유 공간'''은 유치 후구치(C, D, E)와 영구치(견치, 제1 및 제2 소구치) 사이의 크기 차이를 말한다. 상악은 1.5mm, 하악은 2.5mm의 공간을 볼 수 있다. (애버딘 대학교 치과 연구소)

5. 절치 및 구치 관계 분류

교정학에서 교합 및 부정교합의 분류는 부정교합 진단 및 치료 계획 수립에 중요한 역할을 한다. Angle 분류법은 상악 대구치와 절치의 관계를 기준으로 부정교합을 분류하는 데 오랫동안 사용되어 왔다.[5][6]

Angle 분류법에서 1급 관계는 "이상적"이라고 여겨지지만, 이 분류는 두 턱관절의 위치를 고려하지 않는다. 2급 및 3급 구치 및 절치 관계는 부정교합의 한 형태로 간주되지만, 모두 교정 치료가 필요할 정도로 심각한 것은 아니다. 교정 치료 필요 지수는 다양한 교합적 특성과 인식된 미적 손상의 중요성에 따라 부정교합의 순위를 매기는 시스템이다.[8]

5. 1. 절치 관계

상악과 하악 절치 간의 관계는 Angle의 절치 관계 분류에 따라 다음과 같이 나뉜다.

  • '''1급:''' 하악 절치가 상악 절치의 중앙 1/3 또는 설면의 치경에 닿는다.
  • '''2급:''' 하악 절치가 구개면에서 상악 절치와 닿으며, 치은 1/3 또는 치경 뒤에 닿는다. 1분할과 2분할로 더 세분화된다.
  • '''1분할'''에는 앞으로 뻗은(90%) 상악 절치가 포함되며, 수평피개라고 하는 더 큰 수평 겹침을 가진다.
  • '''2분할'''에는 뒤로 젖혀진(10%) 절치가 포함되며, 수직피개라고 하는 수직 겹침이 증가한다.[7]
  • '''3급:''' 하악 절치는 상악 절치와 구개면에서, 특히 절단 1/3에서 또는 치경 앞에 교합한다.
  • 수평피개가 반전되고(<0mm) 하악 절치가 상악 절치보다 앞쪽에 위치하는 경우도 있다.

5. 2. 구치 관계



후방 치아의 교합을 논할 때, 이 분류는 제1 대구치를 지칭하며 세 가지 범주로 나눌 수 있다.

  • '''1급:''' 하악 제1대구치가 상악 제1대구치의 근심에 교합하며, 상악 제1대구치의 근심 협측 교두가 하악 제1대구치의 협측 구에 교합한다.
  • '''2급:''' 상악 제1대구치의 근심 협측 교두가 하악 제1대구치의 협측 구 앞쪽에 교합한다.
  • '''3급:''' 상악 제1대구치의 근심 협측 교두가 하악 제1대구치의 협측 구 뒤쪽에 교합한다.[5]


치아의 정상적인 관계(1급)에서 벗어나는 모든 것은 부정교합으로 간주된다.

6. 교합 용어

Posselt의 운동 포락선(종종 '하악 경계 운동'이라고 함)은 세 평면(시상면, 수평면 및 전두면)에서 턱의 최대 운동을 나타낸 개략적인 다이어그램이다. 이는 후퇴 접촉 위치(RCP)에서 벗어나는 모든 움직임을 포함하며 다음을 포함한다.


  • '''전방 운동:''' 아래턱이 중심 관계에서 앞으로 움직일 때, 이를 전방 운동으로 간주한다.[9] 1급 교합에서 주요 접촉은 아래턱 앞니와 순면의 절단면과 위턱 앞니의 절단 연 및 구개와 영역에서 발생한다.[12]
  • '''측방 운동:''' 아래턱이 왼쪽 또는 오른쪽으로 움직일 때, 아래턱 뒤쪽 치아는 반대쪽 치아를 가로질러 측면으로 움직인다. 예를 들어, 아래턱이 오른쪽으로 움직일 때, 오른쪽 아래턱 치아는 상대 치아를 가로질러 측면으로 움직이며, 이를 아래턱의 '''작업측'''이라고 한다(아래턱이 움직이는 쪽). 반대로, 왼쪽 아래턱 치아는 상대 뒤쪽 치아를 가로질러 내측, 아래쪽 및 앞쪽으로 움직이며, 이를 '''비작업측'''이라고 한다(아래턱이 멀어지는 쪽).
  • '''후방 운동:''' 이는 아래턱이 교두감합위(ICP)에서 뒤쪽으로 움직일 때이다. 전방 및 측방 운동과 비교하여, 후방 운동은 일반적으로 인대 구조에 의한 제한으로 인해 운동 범위가 약 1mm~2mm로 상당히 작다.[13]

7. 교합 유도

하악 운동은 후방 유도 시스템(턱관절)과 전방 유도 시스템(치아)에 의해 안내된다.

하악이 중심 관계에서 앞으로 움직일 때, 이를 전방 운동이라고 한다.[9] 1급 교합에서 주요 접촉은 하악 절치의 절단면과 순면, 상악 절치의 절단연 및 구개와 영역에서 발생한다.[12]

하악이 왼쪽 또는 오른쪽으로 움직일 때, 하악 후방 치아는 반대쪽 치아를 가로질러 측면으로 움직인다. 하악의 '''작업측'''(하악이 움직이는 쪽)에서는 오른쪽 하악 치아가 상대 치아를 가로질러 측면으로 움직인다. 반대로 '''비작업측'''(하악이 멀어지는 쪽)에서는 왼쪽 하악 치아가 상대 후방 치아를 가로질러 내측, 아래쪽 및 앞쪽으로 움직인다.

후방 운동은 하악이 ICP에서 후방으로 움직일 때이다. 후방 운동은 인대 구조에 의한 제한으로 인해 운동 범위가 약 1~2 mm로 상당히 작다.[13]

'''베넷 각''' - 하악이 움직일 때 TV(궤도) 과두 (점진적인 측방 이동). ''(애버딘 대학교 치과 연구소)''

7. 1. 후방 유도 시스템

후방 유도는 턱관절(TMJ)의 관절 운동 및 관련 구조를 지칭한다. 하악골의 움직임을 결정하는 것은 와(fossa) 내의 과두(condyles)와 관련 근육 및 인대, 그리고 신경근 연결이다.[13] 하악골의 측방, 전방, 후방 운동은 후방 시스템에 의해 유도된다.

측방 운동에서 과두의 움직임을 정의하는 것이 중요하다.

  • '''작업측 과두''': 하악골이 움직이는 쪽에 가장 가까운 과두이다.
  • '''비작업측 과두''': 하악골이 멀어지는 쪽의 과두이다.


측방 운동에서 주요 움직임은 비작업측(NWS) 과두(균형 과두 또는 궤도 과두라고도 함)에서 발생한다. NWS 과두는 아래, 앞, 안쪽 방향으로 움직인다. 이 움직임은 수직면과 수평면의 두 개의 별도 평면에 대해 정의된다.[12]

  • '''베넷 각(Bennet Angle)''': 수직면에 대한 NWS 과두의 내측 운동 각도
  • '''과두 각(Condylar Angle)''': 수평면에 대한 NWS 과두의 하방 운동 각도


작업측(WS) 과두(회전 과두라고도 함)는 즉각적이고 비진행적인 측방 이동을 겪는다. 이 움직임을 '''베넷 운동'''이라고 한다(그러나 베넷 각과 혼동될 수 있으므로 일반적으로 즉시 측방 이동이라고 한다). 과두는 움직임 방향으로 약간의 측방 이동과 함께 회전하는 것으로 보인다.[12]

우리는 치과 수복 치료를 통해 후방 유도 시스템에 영향을 줄 수 없다.[13]

7. 2. 전방 유도 시스템

전방 유도는 하악 운동 경로에 접촉하는 치아의 영향을 말한다. 치아 접촉은 전방, 후방 치아 접촉 또는 둘 다일 수 있지만 이러한 접촉은 여전히 ​​턱관절(TMJ) 전방에 위치하기 때문에 전방 유도라고 한다. 전방 유도는 다음과 같이 더 세분화될 수 있다.

260x260px

  • '''견치 유도'''
  • 하악의 측방 운동 동안 견치(작업측)에서 발생하는 동적 교합.
  • 이 치아는 긴 치근과 좋은 치관/치근 비율로 인해 편심 운동에서 수평력을 받아들이는 데 가장 적합하다.
  • 치과 기공사가 왁스업 및 수복물 제작 중에 이를 제공하기 쉽다.
  • '''그룹 기능'''
  • 작업측(WS)의 측방 운동 시 상악 및 하악 치아 사이의 다중 접촉으로, 여러 치아의 동시 접촉이 그룹으로 작용하여 교합력을 분산시킨다.
  • 이 유도는 어금니(Molar (tooth))보다 소구치와 같이 가능한 한 전방에 위치하는 것이 좋다. 접촉이 턱관절에 더 가까울수록 적용되는 힘이 증가하기 때문이다.
  • '''절치 유도'''
  • 하악 및 상악 절치의 접촉면이 하악 운동에 미치는 영향[9]은 상악 절치의 수직 피개와 수평 피개로 특징지어진다.


수복 치료에서 저작 시스템과 조화를 이루는 전방 유도 시스템을 조작하고 설계하는 것이 가능하다.

7. 3. 임상적 중요성

하악 경계 운동 시 하악 운동은 '후방' 유도 시스템과 '전방' 유도 시스템에 의해 안내된다. 후방 유도는 턱관절의 관절 운동 및 관련 구조를 의미하며, 와(fossa) 내의 과두(condyles)와 관련 근육 및 인대, 신경근 연결에 의해 하악골의 측방, 전방, 후방 운동이 유도된다.

측방 운동에서 과두의 움직임은 다음과 같이 정의된다.

  • 작업측 과두: 하악골이 움직이는 쪽에 가장 가까운 과두이다.
  • 비작업측 과두: 하악골이 멀어지는 쪽의 과두이다.


하악골의 최대 좌우 측방 운동은 약 10-12mm이다.[13] 측방 운동에서 주요 움직임은 비작업측 과두에서 발생하며, 아래, 앞, 안쪽 방향으로 움직인다. 이 움직임은 수직면과 수평면의 두 개의 별도 평면에 대해 정의된다.

  • '''베넷 각(Bennet Angle)''' : 수직면에 대한 비작업측 과두의 내측 운동 각도
  • '''과두 각(Condylar Angle)''' : 수평면에 대한 비작업측 과두의 하방 운동 각도


작업측 과두는 즉각적이고 비진행적인 측방 이동(베넷 운동)을 겪으며, 움직임 방향으로 약간의 측방 이동과 함께 회전하는 것으로 보인다.[12]

전방 운동의 경우 과두는 관절와(glenoid fossa)의 관절면 원위부를 따라 전방 및 하방으로 이동하며, 인대 구조에 의해 최대 약 8-11mm로 제한된다.[13] 후방 운동은 인대 구조에 의해 제한되며 최대 후방 한계는 일반적으로 약 1mm이다.[13]

치과 수복 치료를 통해 후방 유도 시스템에는 영향을 줄 수 없다. 전방 유도는 하악 운동 경로에 접촉하는 치아의 영향을 말하며, 턱관절 전방에 위치하기 때문에 전방 유도라고 한다. 전방 유도는 다음과 같이 세분화될 수 있다.

  • '''견치 유도'''
  • 하악의 측방 운동 동안 견치(작업측)에서 발생하는 동적 교합.
  • 긴 치근과 좋은 치관/치근 비율로 인해 편심 운동에서 수평력을 받아들이는 데 가장 적합하다.
  • '''그룹 기능'''
  • 작업측의 측방 운동 시 상악 및 하악 치아 사이의 다중 접촉. 여러 치아의 동시 접촉이 그룹으로 작용하여 교합력을 분산시킨다.
  • 어금니보다 소구치와 같이 가능한 한 전방에 위치하는 것이 좋다.
  • '''절치 유도'''
  • 하악 및 상악 절치의 접촉면이 하악 운동에 미치는 영향[9]


수복 치료에서 저작 시스템과 조화를 이루는 전방 유도 시스템을 조작하고 설계하는 것이 가능하다. 교합에 관여하는 치아 접촉은 무거운 하중과 비축성 교합 하중을 모두 견딜 수 있어야 하므로 특히 중요하다. 전방 유도 시스템을 복원할 때는 후방 유도 시스템과 호환되어야 한다.

치아의 교합면을 복원하면 교합이 바뀌고 유도 시스템도 변경될 가능성이 높다. 턱관절은 이러한 교합의 변화에 적응하기보다는 치아 마모, 치아 이동 또는 파절을 통해 새로운 교합에 적응할 가능성이 높다. 따라서 수복물을 제공할 때 이러한 유도 개념을 고려하는 것이 중요하며, 수복 전에도 고려해야 한다.

8. 교합의 구성

정상교합은 아래턱이 움직일 때 위아래 턱뼈의 관계와 위아래 치아의 맞물림이 조화를 이루는 것을 말하며, 구강기능을 위해 중요하다. 반면, 부정교합은 이러한 조화가 깨져 아래턱의 움직임을 방해하고, 치아나 구강 조직, 턱관절 근육에 문제를 일으킬 수 있다.

기능적인 치아 배열을 위해 다음 세 가지 개념이 사용된다.


  • 양측성 균형 교합: 가철성 보철학 분야에서 주로 적용된다.
  • 편측성 균형 교합 (그룹 기능 교합): 현대 치의학에서 널리 사용된다.
  • 상호 보호 교합: 전방 치아와 후방 치아가 서로를 보호하는 교합 방식이다.

8. 1. 양측성 균형 교합

스피 곡선과 윌슨 곡선을 기반으로 하는 이 개념은, 수복된 자연 치열에서는 구식이 되어가고 있지만, 가철성 보철학 분야에서는 여전히 적용되고 있다. 이 방식은 하악의 모든 편심 운동에서 가능한 많은 치아(작업측과 비작업측 모두)에 접촉을 유도한다. 이는 하악 운동 시 비작업측 치아 접촉이 의치상을 안정시키는 데 도움이 되므로, 총의치 제작 시 특히 중요하다.[14] 1930년대에는 이러한 배열이 전체 교합 재건 시 스트레스를 분산시키는 데 이상적이라고 여겨졌다. 그러나 수복된 구치에 가해지는 측방력이 수복물에 손상을 주는 것으로 밝혀졌다.[15]

교두 감합위에서 하악이 측방 운동을 할 때, 구치부에서 작업 측에서는 상악의 협측 교두와 하악의 협측 교두, 상악의 설측 교두와 하악의 설측 교두가 각각 접촉하고, 평형 측에서는 상악의 설측 교두와 하악의 협측 교두가 접촉한다. 이러한 교합 양식을 양측성 평형 교합 또는 풀 밸런스드 오클루전이라고 부른다.

8. 2. 편측성 균형 교합 (그룹 기능 교합)

편측성 균형 교합은 현재 치의학에서 널리 사용되는 치아 배열로, 일반적으로 '''그룹 기능'''으로 알려져 있다. 이 개념은 비작업측(NWS) 접촉이 파괴적이라는 관찰에 근거하며,[16] 따라서 비작업측 치아는 편심 접촉이 없어야 하고, 대신 작업측(WS)에서 접촉이 분산되어 교합 부하를 공유해야 한다. 그룹 기능은 견치 유도가 달성될 수 없을 때 사용되며, 판키-만-스카일러(PMS) 접근법에서도 견치 유도보다 작업측에 부하를 더 잘 분산시키므로 더 나은 것으로 간주되었다.[21]

중심위 교합에서 아래턱이 측방 운동을 할 때, 어금니 부위에서 작업 측에서는 위아래 턱의 치아 사이에 교합 접촉이 보이지만, 평형 측에서는 위아래 턱의 치아가 떨어져 있다. 또한, 아래턱이 전방 운동을 할 때 앞니 부위에서는 아래턱 앞니의 절단연이 위턱 앞니의 설면에 접촉하면서 활주하지만 어금니 부위에서는 위아래 턱의 치아가 떨어져 있다. 이러한 교합 양식을 편측성 균형 교합 또는 그룹 기능 교합이라고 부른다.

8. 3. 상호 보호 교합

'''상호 보호 교합''' - 아래턱이 앞으로 내밀어질 때 치아의 후방 이개 ''(애버딘 대학교 치과 연구소)''


''The Journal of Prosthetic Dentistry''(2017)는 상호 보호 교합을 '최대 교두 감합 위치에서 후방 치아가 전방 치아의 과도한 접촉을 방지하고, 모든 하악 운동에서 전방 치아가 후방 치아를 이개하는 교합 방식'으로 정의한다.[9]

편심 운동 시에는 후방 치아에 손상력이 가해지며, 전방 치아가 이를 받는 데 가장 적합하다. 따라서 전방 운동 중에는 전방 치아의 접촉 또는 유도가 후방 치아를 이개하고 보호하기에 적절해야 한다. 반대로 후방 치아는 아래턱 폐쇄 시 가해지는 힘을 받아들이는 데 더 적합하다. 이는 후방 치아가 치아의 장축을 따라 직접 힘이 가해지고 효율적으로 분산시킬 수 있도록 위치하는 반면, 전방 치아는 순측 위치 및 경사로 인해 이러한 큰 힘을 제대로 받아들일 수 없기 때문이다. 따라서 최대 교두 감합 위치(ICP)에서 후방 치아가 전방 치아보다 더 강한 접촉을 가져야 하며 수직 폐쇄를 위한 정지 역할을 하는 것으로 받아들여진다.

또한, 측방 운동 시에는 전방 치아가 손상적인 수평력을 분산하는 데 가장 적합하고, 접촉이 턱관절(TMJ)에서 더 멀리 떨어져 있어 생성되는 힘이 감소하므로, 견치 또는 군기능이 작업측(WS)에서 후방 치아를 이개해야 한다. 군기능 또는 견치 유도는 근육 활동 증가로 인해 턱관절과 치아에 가해지는 힘의 양과 방향이 파괴적일 수 있으므로 비작업측(NWS)에서도 치아의 이개를 제공해야 한다.[17] 비작업측 접촉이 없으면 작업측 과두의 부드러운 움직임이 가능하게 되는데, 접촉이 과두의 유도를 방해하여 불안정한 하악 관계를 야기할 수 있기 때문이다.[18]

9. 편향 접촉과 간섭

편향 접촉은 하악이 의도한 움직임에서 벗어나도록 하는 접촉이다.[9] 예를 들어 하악이 편향 접촉에 의해 결정되는 경로인 RCP-ICP 슬라이드를 통해 ICP로 편향되는 경우가 있다. 이는 종종 씹기와 같은 기능과 관련이 있지만, 어떤 경우에는 이러한 편향 접촉이 손상을 일으키고 치아 주변에 통증을 유발할 수 있다(종종 이갈이와 관련됨).[19] 그러나 일부 환자는 유사한 편향 접촉을 전혀 인식하지 못할 수 있는데, 이는 접촉 자체보다는 환자의 적응력이 환자의 증상에 영향을 미칠 수 있음을 시사한다.

교합 간섭은 조화로운 하악 운동을 방해하거나 저해하는 모든 치아 접촉(바람직하지 않은 치아 접촉)이다.[9]

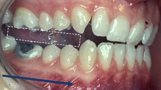
비작업측 간섭(사진): 하악이 왼쪽으로 움직일 때(작업측) 조음 용지 또는 플라스틱 심스톡으로 감지할 수 있다. (애버딘 대학교 치과 연구소)


교합 간섭은 다음과 같이 분류될 수 있다:[20]

종류설명
작업측 간섭하악이 움직이는 쪽에 상악 치아와 하악 치아 사이에 과도하거나 조기 치아 접촉이 발생하며, 이 접촉이 전치를 차단할 수도 있고 그렇지 않을 수도 있다.[21]
비작업측 간섭하악이 움직이는 반대쪽에서 발생하는 교합 접촉으로, 하악의 조화로운 움직임을 방해한다. 이러한 간섭은 비스듬하게 향하는 힘 때문에 작업측 간섭보다 더 파괴적일 수 있다.[22]
전방 돌출 간섭상악 후방 치아의 원위 측면과 하악 후방 치아의 근심 측면 사이에 발생하는 접촉. 이러한 간섭은 잠재적으로 매우 손상될 수 있으며, 간섭이 근육에 근접하여 제대로 절단할 수 없게 만들 수도 있다.



치과의사가 수복물을 제공할 때, 이러한 수복물이 간섭을 생성하지 않도록 하는 것이 중요하다. 그렇지 않으면 수복물에 하중이 증가하게 된다. 편향 접촉과 마찬가지로, 간섭도 이갈이와 같은 기능 이상과 관련될 수 있으며(증거는 미약하지만) 과도한 교합력의 분산에 부정적인 영향을 미칠 수 있다. 간섭은 또한 저작근의 활동을 변화시켜 통증을 유발할 수 있지만,[23] 교합과 측두하악 장애 사이의 관계는 논쟁의 여지가 많다.

10. '이상적인' 교합

모든 사람에게 동일한 '이상적인' 교합이 존재하는 것은 아니며, 오히려 각 개인은 자신만의 '이상적인 교합'을 가지고 있다는 점을 이해해야 한다. 이는 특정 교합 형태에 초점을 맞추는 것이 아니라, 개인의 교합이 나머지 구강계 (턱관절, 치아 및 지지 구조, 신경근 요소)와 조화를 이룰 때 발생한다.[20]

그러나 최적의 기능적 교합은 보철물을 제공할 때 고려하는 것이 중요한데, 이는 무엇을 달성하려 하는지 이해하는 데 도움이 된다. 이는 기존 문헌[13]에서 다음과 같이 정의된다.

'''1. 중심 교합과 중심 관계의 조화 (CO=CR)'''


  • 입을 다물고 과두가 관절 결절의 후방 경사에 닿아 가장 상방 및 전방 위치에 놓여 있을 때 (CR), 모든 구치부의 접촉이 균등하고 동시에 이루어져야 한다.
  • 전치도 교합되어야 하지만, 접촉은 구치부 접촉보다 가벼워야 한다.


'''2. 중심 교합에서의 자유'''

  • 이는 하악이 중심 교합 상태에서 시상 및 수평면에서 약간 움직일 수 있음을 의미한다.
  • 이는 앞서 '교합의 구성'에서 언급된 교합의 PMS 이론[16]의 일부이기도 하다.


'''3. 하악 운동 시 즉각적이고 지속적인 구치부 이개'''

  • 측방 운동 시 작업측 접촉은 비작업측을 즉시 이개시킨다.
  • 전방 운동 시 전치 접촉 및 유도는 구치부를 즉시 이개시킨다.


'''4. 견치 유도는 최상의 전방 유도 시스템으로 간주된다'''

  • 이는 견치가 가장 길고 큰 치근을 가지고 있고, 바람직한 치관/치근 비율을 가지고 있어 수평력을 받아들일 수 있기 때문이다.
  • 또한 구치부와 달리 조밀한 치밀골에 둘러싸여 있어 수평력을 견디는 데 더 적합하다.[24]
  • 견치 유도는 또한 군 기능보다 수복적으로 관리하기 더 쉽다.
  • 그러나 환자의 견치가 견치 유도에 적절하게 위치하지 않은 경우, 군 기능 (견치 및 소구치 포함)이 가장 유리한 대안이다.

11. 환자의 적응력

중추신경계와 치주 인대, 구강 점막 및 치아의 기계수용체와 같은 요인이 모두 교합 변화에 대한 환자의 적응 능력에 중요한 역할을 한다. 실제로, 개인이 교합 자체가 아니라 교합의 변화에 적응할 수 있는지 여부는 이러한 곳에서 오는 체감각계 입력에 달려있다.[24] 교합의 작은 변화에 적응하지 못하는 경우는 드물지만 발생할 수 있다. 구강 환경의 변화에 대해 더 경계하는 환자는 교합 변화에 적응하기 어려울 수 있다. 심리적 스트레스와 정서적 스트레스 또한 환자의 적응 능력에 영향을 줄 수 있는데, 이는 이러한 요인들이 중추신경계에 영향을 미치기 때문이다.[20]

12. 교합 검사

원인 불명의 통증, 치아 파절, 치아 이동, 마모 등이 있는 경우 교합 검사가 필요하다. 얼굴 외관, 근육, 턱관절, 치열궁, 최대 교두 감합위, 후퇴위 접촉 위치, 측방 운동, 전방 운동, 수직 고경 등을 평가한다.[32] 어떤 사람들에게는 교합의 작은 불일치조차도 턱관절(TMJ) 관련 증상이나 급성 구강안면 통증으로 이어질 수 있으므로 이러한 원인을 파악하고 제거하는 것이 중요하다.[12]

272x272px


'''필요한 도구'''

  • 밀러 포셉
  • 교합지
  • 심 스톡
  • 모스키토 포셉
  • 거울
  • 치과 탐침
  • 윌리스 게이지


검사는 다음과 같은 사항을 평가하면서 체계적인 접근 방식으로 수행해야 한다.

  • 얼굴 외관
  • 근육
  • 턱관절(TMJ)
  • 각 치열궁 개별 평가
  • 최대 교두 감합위(ICP)
  • 후퇴위 접촉 위치(RCP)
  • RCP-ICP 슬라이드
  • 측방 운동
  • 전방 운동
  • 수직 고경(OVD)


'''1) 얼굴 외형'''[25]

환자의 얼굴 대칭성을 관찰해야 한다.

다음으로 환자의 골격 관계를 확인하고 기록해야 한다.

  • I급: 상악과 하악이 조화를 이루고 일치한다.
  • II급: 상악이 하악보다 앞쪽에 위치하며 후퇴해 있다.
  • III급: 상악이 하악보다 뒤쪽에 위치하며 전진해 있다.[26]


환자의 얼굴 높이를 고려해야 하며, 손실이 있는 곳을 기록해야 한다.

'''2) 근육'''

단순히 치아의 교합과 관련된 근육을 촉진하는 것으로 시작한다. 이러한 근육에는 저작근과 같은 머리와 목 부위의 다른 근육(예: 설골상근)이 포함된다. 동시에 양쪽 근육을 촉진하는 것이 가장 좋다.[27] 측두근, 교근, 내측 및 외측 익상근, 이설골근, 설골하근, 이복근과 함께 승모근, 후경근, 후두근 및 흉쇄유돌근은 위축이나 압통의 징후가 있는지 확인해야 한다.[28] 턱관절 기능 장애는 일반적으로 근육 압통을 동반하며,[32] 근육과 관련된 통증 또는 촉진 가능한 통증은 기능 이상 활동과도 관련될 수 있다.

'''3) 턱관절'''

턱관절 장애는 교합 검사를 통해 감지할 수 있다. 환자에게 턱관절 공간에 두 손가락을 대고 입을 벌리고 닫으라고 요청한다. 하악에서 35mm 미만으로 입을 벌리는 것은 제한된 것으로 간주되며, 이러한 제한은 관절 내 캡슐 내 변화와 관련될 수 있다.[27] 이어서, 환자에게 턱을 오른쪽으로 움직인 다음 왼쪽으로 움직이도록 요청한다. 딸깍거림, 연발음, 통증 또는 편차를 기록한다.[32]

교합 검사의 주요 측면 요약
검사 측면무엇을 살펴봐야 하는가
안면 외관얼굴의 대칭성을 평가하고 환자를 적절한 골격 관계로 분류한다.
근육촉진하여 정상적인 근육량과 위축 징후가 없는지 확인한다.
측두하악 관절통증, 딸깍거림, 크레피투스 또는 편위가 있는지 확인하고 더 자세한 정보를 얻기 위해 적절한 질문을 한다.
상악 및 하악궁각 아치를 개별적으로 검사하고 치아 내 교합 부하, 마모 및 미세 골절 징후가 있는지 확인한다.
최대 교두 감합위 (ICP)수직 피개 및 수평 피개를 기록한다. ICP에서 치아가 접촉하는 위치와 이러한 접촉이 안정적인지 여부를 평가한다.
후퇴 접촉 위치 (RCP)양수 조작 또는 턱 끝 안내를 사용하여 환자를 RCP로 옮긴다. RCP를 평가하고 교합과 관련하여 문제가 있는지 확인한다.
RCP-ICP 슬라이드슬라이드의 품질과 양을 모두 평가한다. RCP에서 ICP로의 슬라이드는 부드러워야 하며 일반적으로 길이는 약 1mm–2mm이며, 검사 중에 이를 확인하고 문제를 기록해야 한다.
전방 운동안내를 제공하는 치아를 기록해야 한다. 마찬가지로 간섭도 기록해야 한다.
우측 측방 운동안내가 어느 치아에 있는지 검사하고, 작업측과 비작업측 모두에서 식별할 수 있는 간섭을 기록하는 것이 중요하다.
좌측 측방 운동안내가 어느 치아에 있는지 검사하고, 작업측과 비작업측 모두에서 식별할 수 있는 간섭을 기록하는 것이 중요하다.
교합 수직 고경필요한 경우, OVD, 즉 OVD가 손실되었거나 교합 간극이 필요하거나 심미성이 좋지 않은 경우를 측정한다.


13. 교합의 임상 적용

교합은 치의학의 기본 개념이지만, 중요하지 않거나 가르치고 이해하기 어렵다는 이유로 종종 간과되기도 한다. 임상의는 교합 부조화와 관련된 일반적인 문제를 인식하고 치료하기 위해 교합 조화와 관련된 원리에 대한 확실한 이해를 갖추어야 한다.[31] 이러한 지식을 갖는 것과 관련된 몇 가지 장점은 다음과 같다.


  • '''환자 편안함 증진''': 예를 들어, 어떤 사람들은 교합 과부하나 간섭으로 인해 새로운 수복물 장착 후 통증이나 민감성을 경험하며, 시술자가 장착 시 이러한 사항을 고려한다면 이를 피할 수 있다.
  • '''교합 안정성 증가''': 치아가 덜 움직이고, 교합 접촉이 유지될 가능성이 높다.
  • '''수복물의 성공률 증가''': 이상적인 교합이 있는 경우 과도한 마모, 파절, 균열이 덜 관찰된다.
  • '''더 나은 심미성''': 전치부가 이상적인 교합 기능과 안정성을 따를 때 최고의 심미적 결과를 얻을 수 있다.


간단한 교합 조정은 관련된 치아의 교두나 수복물을 삭제하는 것을 포함하며, 신중한 검사 후 다음과 같은 경우에 적용될 수 있다.

  • 교합력의 과부하로 인해 통증, 치아 파절 또는 치아 동요가 발생한 경우
  • 수복물 제작을 위해 교합 공간이 필요한 경우 (예: 과잉 맹출된 치아에서 교합면 조절이 필요한 경우)


더 심각한 상황에서 교합 조정이 필요할 수 있으며, 이러한 예는 다음과 같다.

  • 통증, 마모, 치아 이동 또는 동요를 유발하는 전방 압력 제거
  • 전치부 수복을 위한 공간 확보
  • 이갈이 관리 (그러나 드물게)
  • 측두하악 관절 장애 제거 (그러나 앞서 언급했듯이 교합은 TMD의 원인 인자로 드물기 때문에 교합 변경 전에 이를 뒷받침하는 상당한 증거가 있어야 함)


만족스러운 교합 재구성을 달성하려면 원하는 턱 관계 (기존 ICP에 따르거나 CR과 일치하는 새로운 ICP를 생성), 교두 접촉 결정 (굴절 접촉 제거 및 치아의 형태/경사 조절), 활주 접촉 조정 (간섭 제거) 및 상호 보호 교합을 목표로 해야 한다.[32] 이는 매우 복잡한 과정이며 위에서 설명한 임상 교합 검사, 마운트된 스터디 모형 및 진단 왁스업에 대한 자세한 검사가 필요하다.

환자의 기존 교합에 맞는 수복물을 제작할 때, 하악 및 상악 모형(치아의 인상을 채득하여 치과용 석고로 주입)을 교합기에 ICP 상태로 장착하는 것이 일반적이다. ICP 상태로 교합기에 장착된 모형은 진단 목적이나 간단한 수복에 유용하지만, 더 광범위한 치료 계획이 있는 경우에는 CR, 즉 RCP -> ICP 슬라이딩과 관련된 교합 접촉을 고려해야 한다. 기존 교합을 재구성하거나 조정할 계획(교합 수직 고경의 변화 포함)이 있는 경우, ICP보다 CR 기록이 더 적절할 수 있다.[32] 이러한 상황에서 CR을 중심으로 하악 운동(특히 입을 벌리고 닫는 동작)을 정확하게 시뮬레이션하기 위해, 페이스보우를 사용하여 상악 모형을 반조절성 교합기에 장착한 다음, CR 기록을 사용하여 하악 모형을 장착해야 한다. 그 후 환자의 새로운 ICP가 환자가 CR 상태에 있을 때 발생하도록 새로운 교합을 배열한다.

14. 관련 전문가

교합 치료는 다음과 같은 치과 전문 분야에서 담당한다.


  • 치과보존과 전문의[1]
  • 치과교정과 전문의[2]
  • 보철과 전문의[6]

15. 관련 학회


  • 대한치과교정학회
  • 대한구강악안면외과학회
  • 대한치과보존학회
  • 대한턱관절협회

참조

[1] 논문 Occlusion: What is occlusion? 2001-09-08
[2] 서적 Anatomy for dental students Oxford University Press 2013
[3] 서적 Temporomandibular Disorders 2018
[4] 서적 Paediatric dentistry Oxford University Press 2018-04-05
[5] 논문 The Angle classification as a parameter of malocclusion 1965-06
[6] 서적 British standard glossary of dental terms = Glossaire des termes utilisés en art dentaire British Standards Institution 1983
[7] 서적 Essential Orthodontics. John Wiley & Sons, Incorporated 2017
[8] 논문 The development of an index of orthodontic treatment priority 1989-08
[9] 논문 The Glossary of Prosthodontic Terms 2017-05
[10] 서적 Advanced Operative Dentistry : a Practical Approach. Elsevier Health Sciences 2014
[11] 서적 Studies in the mobility of the human mandible 1952
[12] 서적 Wheeler's dental anatomy, physiology, and occlusion Elsevier, Saunders 2014-11-25
[13] 서적 Management of temporomandibular disorders and occlusion. MOSBY 2019
[14] 논문 Fundamental Principles in the Correction of Occlusal Disharmony, Natural and Artificial * https://jada.ada.org[...] 1935-07-01
[15] 논문 Principles involved in restoring occlusion to natural teeth 1960-03
[16] 논문 Factors of occlusion applicable to restorative dentistry 1953-11
[17] 서적 Periodontal Therapy. Second edition. [By H.M. Goldman, Saul Schluger, Lewis Fox, D. Walter Cohen.]. St. Louis 1960
[18] 논문 Occlusion as Applied to Crown and Bridge-Work https://zenodo.org/r[...] 1920-05
[19] 논문 Bruxism, a clinical and electromyographic study 1961-01
[20] 서적 Fundamentals of fixed prosthodontics Quintessence Pub. 2014-08-02
[21] 서적 Evaluation, diagnosis, and treatment of occlusal problems Mosby 1989
[22] 논문 The non-working interference 1974-10
[23] 논문 Occlusal interferences and mastication: An electromyographic study 1967-05
[24] 서적 Functional Occlusion in Restorative Dentistry and Prosthodontics. Elsevier Health Sciences UK 2015
[25] 웹사이트 Step-by-step guide to your orthodontic journey https://orthodontics[...] 2018-06-16
[26] 서적 Principles of orthodontics. Lippincott 1950
[27] 서적 Contemporary fixed prosthodontics 2015-09-18
[28] 간행물 The Temporomandibular Joint Examination http://www.ncbi.nlm.[...] Butterworths 1990
[29] 서적 Comprehensive occlusal concepts in clinical practice Wiley-Blackwell 2011
[30] 서적 Pickard's manual of operative dentistry Oxford University Press 2011
[31] 서적 Functional occlusion : from TMJ to smile design Mosby 2007
[32] 서적 Applied occlusion



본 사이트는 AI가 위키백과와 뉴스 기사,정부 간행물,학술 논문등을 바탕으로 정보를 가공하여 제공하는 백과사전형 서비스입니다.
모든 문서는 AI에 의해 자동 생성되며, CC BY-SA 4.0 라이선스에 따라 이용할 수 있습니다.
하지만, 위키백과나 뉴스 기사 자체에 오류, 부정확한 정보, 또는 가짜 뉴스가 포함될 수 있으며, AI는 이러한 내용을 완벽하게 걸러내지 못할 수 있습니다.
따라서 제공되는 정보에 일부 오류나 편향이 있을 수 있으므로, 중요한 정보는 반드시 다른 출처를 통해 교차 검증하시기 바랍니다.

문의하기 : help@durumis.com