대혈관 전위
"오늘의AI위키"의 AI를 통해 더욱 풍부하고 폭넓은 지식 경험을 누리세요.
1. 개요
대혈관 전위는 심장의 주요 동맥인 대동맥과 폐동맥의 위치가 바뀐 선천성 심장 기형이다. 1797년 매튜 베일리에 의해 처음 기술되었으며, 심방과 심실 사이의 관계는 정상적으로 유지되지만, 폐동맥이 좌심실에, 대동맥이 우심실에 연결되는 질환이다. 크게 완전 대혈관 전위(d-TGA, 우전위 대혈관 전위)와 수정 대혈관 전위(l-TGA, 좌전위 대혈관 전위)로 나뉘며, d-TGA는 청색증을 유발하여 생후 몇 시간 또는 며칠 안에 증상이 나타난다. 진단은 흉부 엑스레이, 심전도, 심장 초음파, 심장 카테터 삽입술 등을 통해 이루어지며, 수술적 교정이 유일한 치료법이다. 수술 전에는 동맥관을 열어두고 심방 중격 절개술을 시행하며, 수술 후에는 평생 심장 전문의의 관리가 필요하다.
더 읽어볼만한 페이지
2. 역사
1797년 스코틀랜드의 병리학자 매튜 베일리가 대혈관 전위를 처음으로 보고하였다.[9][6][8]
3. 종류
대혈관 전위는 심방-정맥, 심실-동맥, 동맥-정맥 간의 연결이 불일치를 보이는 선천성 심장 기형이다. 이는 혈압의 변화부터 순환계 중단까지 다양한 영향을 미칠 수 있다.
"전위"는 문자 그대로 "바뀌었다"는 의미이지만, 대혈관 전위(TGV)의 많은 유형은 혈관이 서로 바뀌지 않고 비정상적인 위치에 있기도 하다. TGV와 TGA라는 용어는 주로 두 개의 주요 동맥이 서로 바뀐 위치에 있는 우대혈관 전위를 지칭할 때 사용된다. 동맥과 심실이 모두 바뀐 좌대혈관 전위의 경우에도 이 용어들이 사용되지만 빈도는 낮다.
폐동맥이 좌심실에, 대동맥이 우심실에 연결되는 것이 특징이며, 1797년 스코틀랜드의 병리학자 매튜 베일리가 처음 보고했다.[7][8]
대혈관 전위는 크게 두 가지로 분류된다.3. 1. 우선성 대혈관 전위 (d-TGA)
대혈관 전위는 심방-정맥, 심실-동맥, 동맥-정맥 불일치를 보일 수 있다. 영향은 잘못된 위치의 특성과 정도, 그리고 어떤 특정 혈관이 관련되었는지에 따라 혈압의 약간의 변화에서 순환계의 중단에 이르기까지 다양할 수 있다.
"전위"는 문자 그대로 "바뀌었다"는 의미이지만, 대혈관 전위(TGV)의 많은 유형은 실제로 서로 바뀌지 않은 채 비정상적인 위치에 있는 혈관을 포함한다. TGV와 대혈관 전위(TGA)라는 용어는 두 개의 주요 동맥이 서로 바뀐 위치에 있는 우대혈관 전위에 대해 가장 일반적으로 사용된다.
대혈관 전위증(우심실 대동맥 전위라고도 함)은 대동맥이 우심실에서 기원하고 폐동맥이 좌심실에서 기원하는 청색증 심장 결손이다. 이러한 전환으로 인해 우심실에서 나온 탈산소화된 혈액이 대동맥을 통해 즉시 펌핑되어 몸 전체와 심장 자체로 순환하며 폐를 완전히 우회하게 된다. 이와 같은 상태에서 좌심실은 산소화된 혈액을 폐동맥을 통해 신체 순환계로 내보내는 대신 폐로 계속 펌핑한다. 결과적으로 두 개의 별개의 "병렬" 순환계가 생성된다. 신생아가 산소 부족으로 인해 파랗게 변하기(청색증) 때문에 청색증 선천성 심장 질환(CHD)이라고 불린다.
심방과 심실 사이의 관계는 정상적으로 유지되지만, 폐동맥이 좌심실에, 대동맥이 우심실에 연결되는 질환이다.[7] 1797년에 스코틀랜드의 병리학자 매튜 베일리에 의해 처음 보고되었다.[8]
3. 2. 좌선성 대혈관 전위 (l-TGA)
대혈관 전위는 심방-정맥, 심실-동맥 및/또는 동맥-정맥 불일치를 보일 수 있다. "전위"는 문자 그대로 "바뀌었다"는 의미이지만, 대혈관 전위(TGV)의 많은 유형은 실제로 서로 바뀌지 않은 채 비정상적인 위치에 있는 혈관을 포함한다. TGV와 TGA라는 용어는 두 개의 주요 동맥이 서로 바뀐 위치에 있는 우대혈관 전위에 대해 가장 일반적으로 사용된다. 그러나 두 용어는 동맥과 심실 모두가 바뀐 좌대혈관 전위와 관련하여 약간 덜 사용되지만 일반적으로 사용된다.
좌전위 대혈관 전위(Levo-Transposition of the great arteries, Levo-TGA, 선천성 교정 대혈관 전위, 이중 불일치 또는 심실 전위라고도 함)는 드문 무청색증 심장 결함으로, 주요 동맥이 전위되어 대동맥은 폐동맥의 앞쪽과 왼쪽에 위치하고, 형태학적 좌심실과 우심실과 해당 방실판막 또한 전위된다.[3] 다시 말해, 우심실은 심장의 왼쪽에 있고 좌심실은 심장의 오른쪽에 위치한다. 전신 순환과 폐순환은 이 상태에서 연결된다. 우심실은 낮은 압력의 폐순환으로 혈액을 펌프질하도록 적응되어 있지만, 현재는 좌심실이 일반적으로 위치하는 곳에 위치하기 때문에 고저항의 전신 순환에 대해 훨씬 더 높은 압력으로 혈액을 펌프질해야 한다는 사실로 인해 압력 변화로 인한 합병증이 발생할 수 있다.
심방과 심실 사이의 관계는 정상적으로 유지되지만, 폐동맥이 좌심실에, 대동맥이 우심실에 연결되는 질환이다.[7] 1797년에 스코틀랜드의 병리학자 매튜 베일리에 의해 처음 보고되었다.[8]
3. 3. 단순 대혈관 전위와 복잡 대혈관 전위
대혈관 전위는 대부분 다른 심장 결손을 동반한다. 가장 흔한 유형은 심장 내 단락으로, 심방 중격 결손 (난원공 개존증 포함), 심실 중격 결손, 동맥관 개존증 등이 있다. 협착 또는 판막 및/또는 혈관의 기타 결함도 나타날 수 있다.
다른 심장 결손이 없으면 '단순 대혈관 전위', 다른 결함이 있으면 '복잡 대혈관 전위'라고 한다.
4. 증상
대혈관 전위의 증상은 유형과 동반된 심장 결손(심실 중격 결손, 심방 중격 결손 또는 동맥관 개존)의 유무에 따라 다르지만, 일반적으로 다음과 같은 증상이 나타날 수 있다. 전위 대혈관 증(dextro-TGA)이 더 흔한 유형이기 때문에, 대혈관 전위가 있는 대부분의 아기는 태어난 지 몇 시간 또는 며칠 안에 피부가 파랗게 변색되는 청색증을 보인다.
- 빠른 호흡 (빈호흡)
- 호흡 곤란 (호흡 곤란)
- 빠른 심박수 (빈맥)
- 식사 불량
5. 위험 요인
임신부의 당뇨병은 태아의 대혈관 전위 위험을 증가시키는 요인으로 알려져 있다.[10][3]
6. 진단
심전도(ECG)는 신체에 부착된 전극을 사용하여 심장의 전기적 활동을 기록하는 검사이다. 이 검사 결과는 대혈관 전위(TGA)에만 나타나는 것은 아니다. TGA가 있는 경우 QRS 복합체의 우측 편향과 우심실 비대 또는 양심실 비대가 나타날 수 있다.[3]
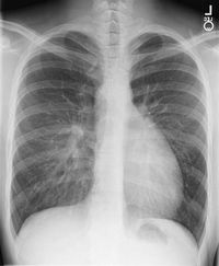
흉부 엑스레이 검사에서 대혈관 전위는 일반적으로 "실에 매달린 달걀"처럼 보이는 심장-종격동 윤곽을 보여준다. 심장 비대는 옆으로 누인 달걀을 나타내고, 상부 종격동의 좁아진 위축된 흉선은 실을 나타낸다.[4]
심장 초음파 검사는 심장의 구조와 기능을 정확하게 평가하는 초음파 검사이며, TGA의 특징을 보여줄 수 있다. 이 검사를 통해 TGA를 확진할 수 있다.[3]
심장 카테터 삽입술은 다른 진단 검사로 충분한 정보를 얻지 못하거나 신생아가 불안정한 경우에 시행된다. 카테터를 사타구니의 동맥 또는 정맥에 삽입하여 심장까지 넣는다. 조영제를 사용하여 X-ray에서 심장 구조를 시각화하고, 심장과 폐의 압력을 측정할 수 있다.[2][3]
7. 치료
대혈관 전위(TGA)를 앓는 모든 영아는 교정 수술이 필요하다. 교정 수술을 받지 않으면 기대 수명은 몇 달에 불과하다. 수술 후에는 평생 심장 전문의의 추적 관찰이 필요하며, 수술을 받은 대부분의 영아는 증상이 완화되고 정상적인 생활을 할 수 있다.
7. 1. 수술 전 처치
프로스타글란딘을 투여하여 동맥관을 열어두어 폐 순환과 전신 순환의 혼합을 가능하게 한다. 이를 통해 폐로 되돌아가는 산소화된 혈액이 신체 전체로 순환하는 혈액과 섞여, 수술 전까지 신체에 산소를 공급할 수 있다.[5] 또한, 수술 대신 심장 카테터를 사용하여 심장의 위쪽 방(심방) 사이의 자연스러운 연결을 확대하는 심방 중격 절개술을 시행할 수 있다. 이를 통해 산소가 풍부한 혈액과 산소가 부족한 혈액이 혼합되어 아기의 신체에 산소 공급이 개선된다.[1]7. 2. 수술적 교정
동맥 전환술은 폐동맥과 대동맥을 정상적인 위치로 옮기는 수술이다. 이는 우선성 대혈관 전위(dextro-TGA)를 교정하기 위해 수행되는 가장 일반적인 수술이며, 최종적인 치료법으로 간주된다.[2] 심방 전환술은 특정 관상 동맥 해부학 때문에 동맥 전환술이 불가능할 때 대안적인 수술 옵션이다. 이 수술은 심장의 두 상부 방(심방) 사이에 터널(배플)을 만든다.[2]7. 3. 수술 후 관리
평생 심장 전문의의 추적 관찰이 필요하다. 수술을 받은 대부분의 영아는 증상이 완화되고 정상적인 생활을 할 수 있다. 발생할 수 있는 잠재적인 합병증으로는 관상 동맥 문제, 심장 판막 문제 또는 불규칙한 심장 박동(부정맥) 등이 있다.[2]8. 추가 이미지
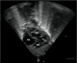
약어: LV 및 RV=좌심실 및 우심실, PT=폐동맥, VSD=심실 중격 결손, PS=폐동맥 협착.]]
참조
[1]
웹사이트
Transposition of the great arteries: MedlinePlus Medical Encyclopedia
https://medlineplus.[...]
2019-05-28
[2]
논문
Transposition of the Great Arteries
2006
[3]
논문
Transposition of the great arteries
2008
[4]
논문
Classic imaging signs of congenital cardiovascular abnormalities
2007
[5]
논문
Surgery for transposition of great arteries: A historical perspective
2015
[6]
서적
The morbid anatomy of some of the most important parts of the human body - Digital Collections - National Library of Medicine
http://resource.nlm.[...]
1795
[7]
논문
【先天性心疾患の病態と診断・治療】 チアノーゼ性心疾患
[8]
문서
The Morbid Anatomy of Some of the Most Important Parts of the Human Body
1793
[9]
문서
The Morbid Anatomy of Some of the Most Important Parts of the Human Body
1793
[10]
논문
Transposition of the great arteries
http://www.ojrd.com/[...]
2017-03-25
[11]
논문
Classic imaging signs of congenital cardiovascular abnormalities
http://radiographics[...]
2007
본 사이트는 AI가 위키백과와 뉴스 기사,정부 간행물,학술 논문등을 바탕으로 정보를 가공하여 제공하는 백과사전형 서비스입니다.
모든 문서는 AI에 의해 자동 생성되며, CC BY-SA 4.0 라이선스에 따라 이용할 수 있습니다.
하지만, 위키백과나 뉴스 기사 자체에 오류, 부정확한 정보, 또는 가짜 뉴스가 포함될 수 있으며, AI는 이러한 내용을 완벽하게 걸러내지 못할 수 있습니다.
따라서 제공되는 정보에 일부 오류나 편향이 있을 수 있으므로, 중요한 정보는 반드시 다른 출처를 통해 교차 검증하시기 바랍니다.
문의하기 : help@durumis.com
