사구체주머니
"오늘의AI위키"의 AI를 통해 더욱 풍부하고 폭넓은 지식 경험을 누리세요.
1. 개요
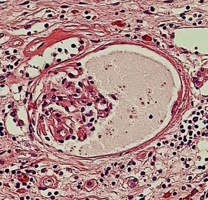
사구체주머니는 신장의 사구체를 둘러싸는 구조로, 혈액 여과를 담당한다. 사구체주머니는 혈관극과 요세관극 두 개의 극을 가지며, 벽측 층, 보우만 공간, 내장 층, 여과 장벽으로 구성된다. 벽측 층은 여과 기능을 하지 않으며, 보우만 공간은 여과액이 모이는 공간이다. 내장 층은 발돌기 세포로 구성되어 있으며, 여과 장벽은 혈액 내 물질의 통과를 조절한다. 사구체주머니는 사구체 여과율 측정에 중요한 역할을 하며, 신부전과 같은 질환과 관련될 수 있다. 이 구조는 윌리엄 보우만의 이름을 따서 명명되었지만, 알렉산드르 슘랸스키가 먼저 기술했다.
더 읽어볼만한 페이지
- 신장해부학 - 사구체
사구체는 신장 내 보우만 주머니 안의 모세혈관 덩어리로, 혈액을 여과하여 근위 세뇨관으로 이동하는 한외 여과액을 생성하며, 손상 시 단백뇨를 유발하고 사구체 여과율은 신장 질환 지표로 활용된다. - 신장해부학 - 네프론
네프론은 신장의 기능적 단위로, 사구체와 신세뇨관으로 구성되어 혈액을 여과하고 필요한 물질을 재흡수하며 노폐물을 배설하여 오줌을 생성하는 역할을 수행하며, 알도스테론, 항이뇨호르몬 등의 호르몬에 의해 조절되어 체액의 항상성 유지에 기여한다. - 비뇨계 - 오줌
오줌은 신장에서 혈액을 여과하여 생성되는 액체 노폐물로, 체내 수용성 노폐물 배출과 삼투압 조절에 중요한 역할을 하며, 건강 상태 지표가 될 수 있는 색깔, 냄새, pH, 비중 등을 가진다. - 비뇨계 - 방광
방광은 골반저에 위치하여 소변을 저장하고 배출하는 속이 빈 근육 기관으로, 요관과 요도가 연결되어 있으며, 배뇨근으로 팽창과 수축을 하고, 뇌간의 배뇨 중추에 의해 배뇨가 조절된다. - 생리학 - 항상성
항상성은 생명체가 생존을 위해 체온, 혈당, 혈액 pH, 수분 및 이온 균형 등 내부 환경의 안정성을 유지하려는 경향으로, 음성 피드백 시스템, 신경계, 내분비계 등을 통해 조절된다. - 생리학 - 스트레스 요인
스트레스 요인은 개인이 환경적 요구에 적절히 대응하지 못할 때 심리적, 신체적 반응을 일으키는 자극으로, 지속시간, 강도, 예측 가능성, 통제 가능성에 따라 영향이 달라지며, 인지된 스트레스 척도 등으로 측정 가능하다.
2. 구조

사구체주머니(보우만주머니)는 신장의 신소체를 구성하는 중요한 부분으로, 사구체를 감싸고 있는 주머니 모양의 구조물이다. 사구체주머니의 구조는 크게 외부의 극과 내부의 층으로 나눌 수 있다.
사구체주머니 외부에는 두 개의 극이 존재한다.
- '''혈관극''': 들세동맥과 날세동맥이 드나드는 쪽이다.
- '''요세관극''': 근위 세뇨관과 연결되는 쪽이다.
캡슐 내부의 층은 바깥쪽에서 안쪽으로 다음과 같이 구성된다.
- '''벽측 층''': 가장 바깥쪽을 이루는 단층의 편평 상피 세포층이다.
- '''보우만 공간''' (또는 "요 공간", "캡슐 공간"): 벽측 층과 아래 설명할 내장 층 사이에 있는 공간으로, 사구체에서 여과된 액체(여과액)가 모이는 곳이다.[1]
- '''내장 층''': 사구체 모세혈관을 직접 둘러싸고 있는 층으로, 특수화된 세포인 발돌기 세포(족세포)로 구성된다.
내장 층과 사구체 모세혈관 사이에는 혈액을 여과하는 여과 장벽이 존재한다. 이 장벽은 혈액 속 특정 성분만 선택적으로 통과시켜 여과액을 만드는 역할을 한다.
2. 1. 벽측엽
벽측엽은 편평상피의 단층막으로 이루어져 있으며, 여과 기능은 없다.2. 2. 장측엽
두꺼운 사구체 기저막 바로 아래에 있으며, 발돌기 세포(족세포)로 구성되어 있다. 장측 엽 바로 아래에는 사구체가 있다.2. 3. 보먼강 (요강)
보먼강(Bowman's space)은 '요강' 또는 '캡슐 공간'이라고도 한다. 이 공간은 사구체주머니의 벽측 층(벽측 엽)과 내장 층(장측 엽) 사이에 위치한다.[1][6] 사구체에서 여과된 액체(여과액)는 발세포(족세포) 사이의 여과 슬릿[6]을 통과하여 보먼강으로 들어온다.[1]2. 4. 혈관극과 요세관극
사구체주머니 외부에는 두 개의 극이 있다.- '''혈관극''': 들세동맥(수입 세동맥)과 날세동맥(수출 세동맥)이 드나드는 쪽이다. 원위 세뇨관의 일부가 이 극 근처에 위치한다.
- '''요세관극''': 사구체주머니에서 근위 세뇨관으로 이어지는 부위이다.
2. 5. 여과 장벽
여과 장벽은 사구체 모세혈관의 창상 내피, 내피 세포와 발돌기 세포(족세포)의 융합된 기저판, 그리고 발돌기 세포의 여과 틈새(여과 슬릿)[6]로 구성된다. 이 장벽은 물, 이온, 그리고 작은 분자들이 혈류에서 보우만 공간으로 통과하도록 허용하는 역할을 한다. 반면, 알부민과 같이 크거나 음전하를 띤 단백질의 통과는 막는다.[1]여과 장벽의 기저판은 세 개의 층으로 이루어져 있다. 가장 바깥쪽 층은 발돌기 세포 돌기 옆에 위치한 lamina rara externa|라미나 라라 엑스테르나lat이다. 안쪽 층은 내피 세포 옆에 있는 lamina rara interna|라미나 라라 인테르나lat이다. 마지막으로 중앙에는 어두운 영역인 lamina densa|라미나 덴사lat가 있다. 이 층은 제4형 콜라겐과 라미닌으로 이루어진 그물망 구조를 가지며, 선택적으로 거대 분자를 걸러내는 필터 역할을 수행한다.
사구체에서 혈액을 여과하는 과정은 사구체 여과(한외 여과)라고 하며, 이는 혈액 여과의 주요 부위이다. 정상적인 사구체 여과율(GFR)은 분당 125ml로, 이는 하루 동안 전체 혈액량의 약 80배에 해당하는 양을 여과하는 것과 같다.
대략 30 킬로달톤(kDa) 미만의 단백질은 막을 자유롭게 통과할 수 있다. 하지만 기저막과 발돌기 세포가 음전하를 띠고 있기 때문에, 음전하를 띤 분자는 통과에 약간의 추가적인 방해를 받는다.
물, 포도당, 소금(NaCl), 아미노산, 요소와 같은 작은 분자들은 보우만 공간으로 자유롭게 통과한다. 그러나 세포, 혈소판, 그리고 큰 단백질들은 통과하지 못한다.
결과적으로 보우만 주머니를 떠나 근위 세뇨관으로 들어가는 여과액은 혈장 단백질을 제외하고는 혈장과 성분이 매우 유사하다. 즉, 단백질을 제외한 혈장의 모든 구성 요소를 포함한다.
3. 기능
사구체주머니(보우만 주머니)는 혈액을 여과하는 주요 부위이다. 이 여과 과정은 사구체 여과 또는 한외 여과라고 부른다. 정상적인 사구체 여과율(GFR)은 분당 약 125ml이다.
분자량이 대략 30 킬로달톤(kDa) 미만인 단백질은 막을 자유롭게 통과할 수 있다. 하지만 기저막과 족세포(podocyte)의 발돌기가 가진 음전하 때문에, 음전하를 띤 분자는 통과에 약간의 방해를 받는다.
물, 포도당, 염(NaCl), 아미노산, 요소와 같은 작은 분자들은 자유롭게 여과되어 사구체주머니 안의 공간(보우만 공간)으로 들어간다. 반면, 혈구 세포, 혈소판, 그리고 큰 단백질 분자들은 통과하지 못한다.
결과적으로 사구체주머니를 떠나 근위 세뇨관으로 들어가는 여과액(사구체 여과액)은 혈장에서 단백질만 제외된 것과 성분이 매우 유사하다.
4. 임상적 의의
사구체 여과율(GFR)을 측정하는 것은 신장 기능을 진단하는 중요한 검사이다.[3] GFR이 감소하는 것은 신부전의 징후일 수 있다.
사구체 내에서 다양한 문제를 일으킬 수 있는 질환으로는 급성 증식성 (내피 모세혈관) 사구체신염, 간질 증식성 사구체신염, 간질 모세혈관 (막 증식성) 사구체신염, 급성 초승달 사구체신염, 국소 분절 사구체신염, 당뇨병성 사구체 경화증 등이 있다.
5. 역사
사구체주머니는 흔히 '보우만 주머니'라고도 불리는데, 이는 영국의 외과 의사이자 해부학자인 윌리엄 보우만 경(1816–1892)의 이름을 따서 명명된 것이다.[4] 그러나 신장의 상세한 현미경적 구조, 특히 사구체주머니(네프론 캡슐)를 포함한 구조는 그보다 앞서 1782년에 러시아 제국의 우크라이나 출신 외과 의사이자 해부학자인 알렉산드르 슘랸스키(1748–1795) 교수가 그의 박사 학위 논문 "De structura renum"("신장 구조에 관하여", 라틴어)에서 처음으로 기술했다.[5]
한편, 사구체와 주머니를 합쳐 부르는 신장 소체는 '말피기 소체'라고도 알려져 있다. 이는 17세기 이탈리아의 의사이자 생물학자인 마르첼로 말피기(1628–1694)의 이름에서 유래했다. 하지만 이 명칭은 비장의 말피기 소체와 혼동될 수 있어 현재는 널리 사용되지 않는다.
6. 동의어
사구체주머니는 보먼주머니(Bowman's capsuleeng), 토리주머니, 사구체낭이라고도 불린다.
'보먼주머니'라는 명칭은 영국의 외과 의사이자 해부학자인 윌리엄 보먼 경의 이름을 따서 지어졌다.
참조
[1]
BUHistology
[2]
논문
Glomerular Aging and Focal Global Glomerulosclerosis: A Podometric Perspective
https://www.ncbi.nlm[...]
[3]
서적
Oxford Handbook of Evolutionary Medicine
Oxford University Press
2019
[4]
서적
On the structure and use of the Malpighian bodies of the kidney: with observations on the circulation through that gland
Taylor
1842
[5]
서적
Dissertatio Inauguralis Anatomica De Structura Renum Quam Pro Licentia Summos In Medicina Honores Et Privilegia Doctoralia Legitime Obtinendi In Inclyta Argentoratensium Universitate Solenni Eruditorum Examini Submittit Alexander Schumlansky Poltawo-Russus Die XVI. Novembr. A. MDCCLXXXII.
https://www.worldcat[...]
1782
[6]
웹사이트
Histology at BU
http://www.bu.edu/hi[...]
[7]
웹사이트
대한의협 의학용어 사전, 대한해부학회 의학용어 사전
https://www.kmle.co.[...]
본 사이트는 AI가 위키백과와 뉴스 기사,정부 간행물,학술 논문등을 바탕으로 정보를 가공하여 제공하는 백과사전형 서비스입니다.
모든 문서는 AI에 의해 자동 생성되며, CC BY-SA 4.0 라이선스에 따라 이용할 수 있습니다.
하지만, 위키백과나 뉴스 기사 자체에 오류, 부정확한 정보, 또는 가짜 뉴스가 포함될 수 있으며, AI는 이러한 내용을 완벽하게 걸러내지 못할 수 있습니다.
따라서 제공되는 정보에 일부 오류나 편향이 있을 수 있으므로, 중요한 정보는 반드시 다른 출처를 통해 교차 검증하시기 바랍니다.
문의하기 : help@durumis.com
![[[사구체 (콩팥)|사구체]] (빨간색), [[보먼주머니]] (파란색) 및 [[근위세뇨관]] (녹색)](https://cdn.onul.works/wiki/noimage.png)