석면폐
"오늘의AI위키"의 AI를 통해 더욱 풍부하고 폭넓은 지식 경험을 누리세요.
1. 개요
석면폐는 공기 중 석면 섬유 흡입으로 발생하는 만성 폐 질환이다. 1970년대 이전에 석면 제품을 다루는 직업에 종사한 사람, 석면 광산 근처 거주자, 석면 오염 건축 자재에 노출된 건설 노동자 등이 위험하다. 석면 섬유가 폐에 들어가면 폐 조직에 흉터를 남기고, 호흡 곤란, 폐 기능 저하, 심한 경우 호흡 부전을 유발한다. 진단은 흉부 엑스레이, CT, 폐 기능 검사 등을 통해 이루어지며, 완치법은 없다. 산소 요법, 호흡기 물리 치료, 예방 접종 등의 보조 치료와 금연, 정기 검진을 통해 관리한다. 석면 노출과 관련된 법적 문제와 소송이 많으며, 석면 관련 질병으로 사망한 유명인들도 있다.
더 읽어볼만한 페이지
- 직업병 - 규폐증
규폐증은 실리카 먼지 흡입으로 발생하는 만성 폐 질환이며, 폐에 염증과 섬유화를 일으켜 호흡 곤란, 기침, 피로 등의 증상을 유발하고, 예방을 위해 실리카 노출을 줄이는 것이 중요하며 현재 완치법은 없다. - 직업병 - 중피종
중피종은 석면 노출이 주요 원인이며 20~50년의 잠복기를 거쳐 흉막, 복막 등에서 발생하는 악성 종양으로, 진단은 영상 검사 등을 통해 이루어지고 수술, 항암 치료 등을 병행하며 예후는 좋지 않다. - 폐질환 - 규폐증
규폐증은 실리카 먼지 흡입으로 발생하는 만성 폐 질환이며, 폐에 염증과 섬유화를 일으켜 호흡 곤란, 기침, 피로 등의 증상을 유발하고, 예방을 위해 실리카 노출을 줄이는 것이 중요하며 현재 완치법은 없다. - 폐질환 - 폐부종
폐부종은 폐포 내에 체액이 과도하게 축적되는 병리적 상태로, 심인성 및 비심인성 원인으로 나뉘며 호흡곤란, 저산소증, 객혈 등의 증상을 보이고 흉부 X선 촬영 등으로 진단하여 산소 공급, 이뇨제 투여 등으로 치료한다.
| 석면폐 | |
|---|---|
| 개요 | |
![]() | |
| 진료과 | 호흡기학 |
| 증상 및 징후 | |
| 주요 증상 | 숨가쁨(호흡 곤란) 기침 쌕쌕거림(천명) 가슴 통증 |
| 합병증 | |
| 가능한 합병증 | 폐암 악성 중피종 흉막 섬유증 폐성심 |
| 발병 시기 | |
| 잠복 기간 | 장기 노출 후 약 10-40년 후 |
| 원인 | |
| 원인 물질 | 석면 |
| 진단 | |
| 진단 방법 | 노출 이력 확인 의료 영상 |
| 예방 | |
| 예방 방법 | 석면 노출 제거 |
| 치료 | |
| 치료 방법 | 대증 치료 금연 산소 요법 폐 이식 |
| 예후 | |
| 진행 경과 | 최대 40%까지 악화될 수 있음 |
| 빈도 | |
| 2015년 발생 건수 | 157,000건 |
| 사망 | |
| 2015년 사망자 수 | 3,600명 |
2. 원인

석면폐는 공기 중에 떠다니는 미세한 석면 광물 섬유를 흡입하여 발생한다.[17] 1930년대에 E. R. A. 메레웨더는 석면에 많이 노출될수록 석면폐 발생 위험이 커진다는 것을 발견했다.[18]
2. 1. 위험 요인
석면폐의 원인은 공기 중에 떠다니는 미세한 석면 광물 섬유를 흡입하는 것이다.[17] 1930년대에 E. R. A. 메레웨더는 노출이 많을수록 위험이 커진다는 것을 발견했다.[18]1970년대 후반 이전에 석면 제품의 생산, 분쇄, 제조, 설치 또는 제거 작업에 종사한 사람들, 특히 미국과 캐나다에서 이러한 직업에 종사한 사람들은 석면 노출 위험이 증가한다. 해당 직업은 다음과 같다.
- 석면 광부
- 항공 및 자동차 정비사
- 보일러 운영자
- 건설 노동자
- 전기 기술자
- 철도 노동자
- 오래된 건물에서 증기 용기 주변의 석면 단열재를 제거하는 작업자
페인트, 퍼티, 지붕 널, 조적 혼합물 및 석고 보드와 같은 오염된 건축 자재에서 석면을 흡입하는 건설 노동자는 석면폐증에 걸릴 수 있다.
개인의 석면 노출량과 노출 기간은 위험 수준을 결정하는 주요 요인이다. 물질에 더 오래 노출될수록 폐 손상이 발생할 위험이 높아진다.
노출된 노동자의 가족은 옷과 머리카락에서 나온 석면 섬유가 집 안에 들어갈 수 있기 때문에 영향을 받을 수 있다. 광산 근처에 사는 사람들도 공기 중의 석면 섬유에 노출될 수 있다.
3. 병태생리
석면폐는 공기 중에 떠다니는 미세한 석면 광물 섬유를 흡입하여 발생한다.[17] 석면에 많이 노출될수록 석면폐가 발생할 위험이 커진다.[18]
석면 섬유는 폐 조직에 흉터를 만드는데, 이는 말단 세기관지와 폐포관 주변에서 시작하여 폐포벽으로 확장된다. 석면 섬유에는 각섬석(가늘고 곧음)과 사문석(곱슬)의 두 가지 유형이 있다. 모든 형태의 석면 섬유는 폐 깊숙이 침투할 수 있기 때문에 인체 질환을 유발한다. 이러한 섬유가 폐포에 도달하면 폐의 국소 면역계를 활성화시키고, 대식세포가 주도하는 염증 반응을 일으킨다.[20]
대식세포는 석면 섬유를 식세포작용(섭취)하고 섬유아세포를 자극하여 결합 조직을 침착시킨다. 석면 섬유는 소화에 강하기 때문에, 일부 대식세포는 염증성 화학 신호를 방출하고, 다른 대식세포는 죽어 활성 산소를 방출하며, 이는 염증 유발 사이토카인의 발현을 증폭시킨다.[21] 이러한 과정은 흉터 조직을 형성하며, 이는 결국 널리 퍼지게 된다. 흡입된 섬유의 약 20%는 폐포 상피 세포에 의해 폐의 간질 구획으로 운반되어 대식세포 및 중간엽 세포와 상호 작용한다. 사이토카인, 형질 전환 성장 인자 베타 및 종양 괴사 인자 알파는 흉터 형성에 주요 역할을 한다.[22][23] 그 결과 간질 공간에 섬유증, 즉 석면폐증이 발생한다.
이러한 섬유성 흉터는 폐포벽을 두껍게 하여 탄성과 가스 확산을 감소시키고, 혈액으로의 산소 전달과 이산화 탄소 제거를 감소시킨다. 이는 숨가쁨을 유발할 수 있다.[24] 또한, 석면폐 환자는 자연 살해 세포의 세포 독성 감소와 T 보조 세포의 기능 손상으로 인해 종양(중피종) 발생에 취약하다.[25]
4. 증상
석면폐의 징후와 증상은 보통 석면에 노출된 후 오랜 시간이 지나야 나타나며, 미국에서는 수십 년이 걸리기도 한다.[11] 주된 증상은 호흡 곤란으로, 특히 몸을 움직일 때 서서히 나타난다.[12] 심한 석면폐는 호흡 부전을 일으킬 수 있다. 청진기로 폐 소리를 들어보면 흡기 시 "수포음"이 들린다.
석면폐의 특징적인 폐 기능 검사 소견은 제한성 환기 장애이다.[13] 이는 폐활량(VC)과 총 폐 용량(TLC) 감소로 나타난다. TLC는 폐포 벽이 두꺼워져 감소할 수 있지만, 항상 그런 것은 아니다.[14] FEV1/FVC로 나타나는 큰 기도의 기능은 대개 잘 보존된다.[11] 심한 경우, 폐가 굳어지고 TLC가 감소하여 폐 기능이 급격히 떨어지면 우심부전(폐성 심장)이 발생할 수 있다.[15][16] 제한성 장애 외에도 석면폐는 확산 능력 감소와 동맥혈 내 저산소혈증을 유발할 수 있다.
5. 진단
미국 흉부 학회(ATS)에 따르면, 석면폐증의 일반적인 진단 기준은 다음과 같다:[11]
- 영상 또는 조직 검사로 문서화된 석면폐증과 일치하는 구조적 병리의 증거
- 직업 및 환경적 병력, 노출 지표(보통 흉막반), 석면체의 회수 또는 기타 수단에 의해 문서화된 석면에 의한 인과 관계의 증거
- 소견에 대한 다른 그럴듯한 원인의 배제
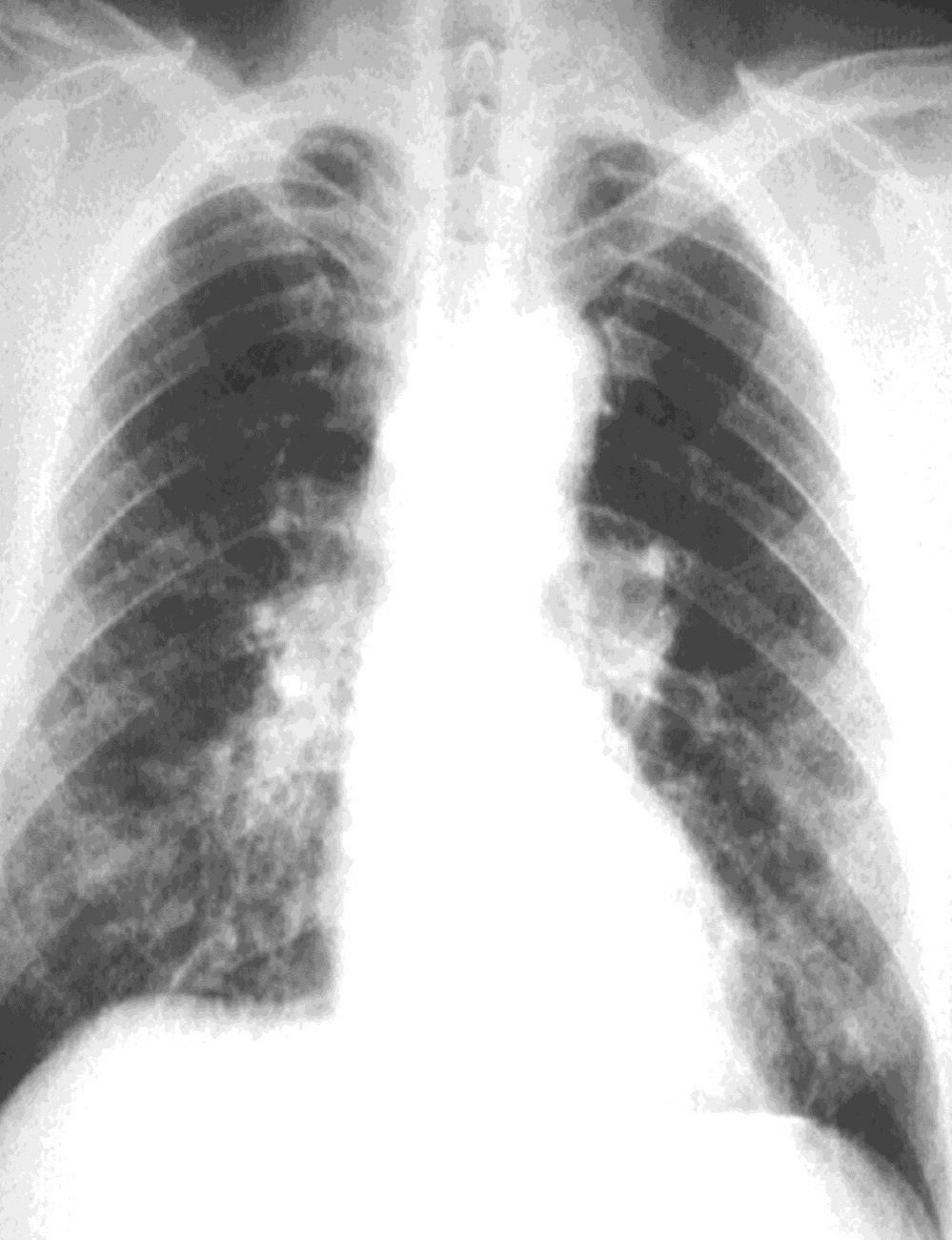
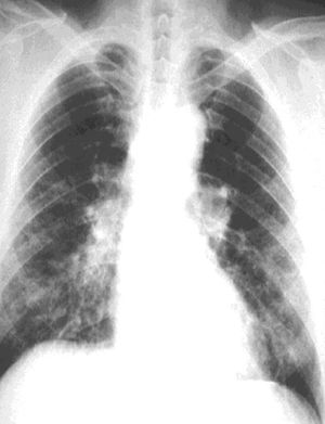
비정상적인 흉부 엑스레이와 그 해석은 폐 섬유증의 존재를 확립하는 데 가장 중요한 요소로 남아있다.[11] 소견은 일반적으로 폐 기저부에 주로 나타나는 작고 불규칙한 실질 불투명으로 나타난다. ILO 분류 시스템을 사용하면 "s", "t", 및/또는 "u" 불투명이 우세하다. CT 또는 고해상도 CT(HRCT)는 폐 섬유증(및 기저 흉막 변화)을 감지하는 데 일반 방사선 촬영보다 더 민감하다. 석면폐증을 앓는 사람의 50% 이상이 흉벽과 폐 사이의 공간인 벽측 흉막에 반점을 형성한다. 일단 나타나면 석면폐증의 방사선학적 소견은 추가적인 석면 노출이 없더라도 천천히 진행되거나 정체될 수 있다.[26] 급속한 진행은 다른 진단을 시사한다.
석면폐증은 진폐증을 포함한 다른 많은 확산성 간질성 폐 질환과 유사하다. 감별 진단에는 특발성 폐 섬유증(IPF), 과민성 폐렴, 사르코이드증 등이 있다. 흉막반의 존재는 석면에 의한 인과 관계의 증거를 제공할 수 있다. 폐 생검은 일반적으로 필요하지 않지만, 폐 섬유증과 관련된 석면체의 존재는 진단을 확립한다.[27] 반대로, 석면체가 없는 간질성 폐 섬유증은 석면폐증이 아닐 가능성이 가장 높다.[11] 섬유증이 없는 석면체는 질병이 아닌 노출을 나타낸다.

6. 치료
석면폐는 완치할 수 있는 치료법이 없다.[28] 가정에서의 산소 요법은 종종 호흡 곤란을 완화하고 근본적인 낮은 혈중 산소 수치를 교정하는 데 필요하다. 증상에 대한 보조 치료에는 체위 배액, 흉부 타진 및 진동을 통해 폐에서 분비물을 제거하는 호흡기 물리 치료가 포함된다. 분비물을 느슨하게 하거나 근본적인 만성 폐쇄성 폐 질환을 치료하기 위해 네뷸라이저 약물을 처방할 수 있다. 폐렴구균 폐렴에 대한 예방 접종과 매년 독감 예방 접종은 질병에 대한 민감도가 증가하기 때문에 시행된다. 석면폐 환자는 특정 암에 걸릴 위험이 더 높다. 흡연을 하는 경우, 금연은 추가적인 손상을 줄인다. 추가적인 위험을 감지하기 위해 정기적인 폐 기능 검사, 흉부 방사선 사진, 암 검진/평가를 포함한 임상 평가가 제공된다.
7. 합병증
석면폐는 석면 섬유 흡입으로 인해 폐 조직에 흉터가 생기는 질환이다. 흉터는 말단 세기관지와 폐포관 주변에서 시작하여 폐포벽으로 확장된다. 석면 섬유에는 각섬석(가늘고 곧음)과 사문석(곱슬)의 두 가지 유형이 있다. 모든 형태의 석면 섬유는 폐 깊숙이 침투할 수 있어 인체 질환을 유발한다.
이러한 섬유가 폐포(공기 주머니)에 도달하면, 이물질(석면 섬유)은 폐의 국소 면역계를 활성화시키고, 염증 반응을 일으킨다. 이 염증 반응은 만성적으로 진행되며, 면역계가 이물질 섬유를 제거하려는 느린 과정을 보인다. 대식세포는 섬유를 식세포작용 (섭취)하고 섬유아세포를 자극하여 결합 조직을 침착시킨다.
석면 섬유는 소화에 강하기 때문에, 일부 대식세포는 염증성 화학 신호를 방출하고, 다른 대식세포는 죽어 활성 산소를 방출하며 염증 유발 사이토카인의 발현을 증폭시킨다.[21] 이러한 염증성 화학 신호는 더 많은 폐 대식세포와 섬유아세포를 끌어들여 섬유성 흉터 조직을 합성하게 하며, 이는 결국 널리 퍼지게 된다. 이 조직은 동물 모델에서 노출 직후 현미경으로 관찰할 수 있다. 일부 석면 섬유는 노출이 심한 경우 철을 함유한 단백질 물질(철 함유 소체)로 덮이게 된다. 흡입된 섬유의 약 20%는 폐의 간질 구획으로 운반되어 대식세포 및 중간엽 세포와 상호 작용한다. 사이토카인, 형질 전환 성장 인자 베타 및 종양 괴사 인자 알파는 흉터 형성에 주요 역할을 하는 것으로 보인다.[22][23] 그 결과는 간질 공간의 섬유증, 즉 석면폐증이다.
이러한 섬유성 흉터는 폐포벽을 두껍게 하여 탄성 및 가스 확산을 감소시켜 혈액으로의 산소 전달과 이산화 탄소 제거를 감소시킨다. 이는 숨가쁨을 유발할 수 있으며, 이는 석면폐 환자에게 흔히 나타나는 증상이다.[24] 석면폐 환자는 종양 성장(중피종)에 더 취약할 수 있다.[25]
8. 사회와 문화
석면 제조업체를 상대로 한 최초의 소송은 1929년에 발생하였다. 이후 석면, 석면증, 중피종의 연관성이 알려지면서, 안전 조치를 소홀히 한 석면 제조업체와 고용주를 상대로 많은 소송이 제기되었다. 이러한 소송과 피해자들에 대한 책임은 수십억 달러에 달했다. 보상액 및 할당 방법은 여러 법원 소송과 정부의 관련 시도의 원인이 되었다.
현재까지 약 100개의 회사가 석면 관련 책임으로 인해 부분적으로 파산 신고를 했다. 미국 연방 파산법에 따라, 회사는 자산 및 부채의 일부를 석면 개인 상해 신탁으로 이전할 수 있으며, 이 신탁은 현재 및 미래의 청구인에게 보상할 책임이 있다. 1988년 이후 약 370억달러의 총 자산을 가진 60개의 신탁이 설립되었다. 1988년부터 2010년까지, 미국 정부 회계 감사원의 분석에 따르면 신탁은 약 175억달러 가치의 약 330만 건의 청구를 지불했다.[34]
| 이름 | 설명 |
|---|---|
| 버니 밴튼 | 사회 정의 옹호자 |
| 폴 글리슨 | 영화 《조찬 클럽》 배우 |
| 넬리 커쇼 | 1924년 석면 관련 질병으로 진단받은 최초의 인물 |
| 존 맥두걸 | 정치인 |
| 스티브 맥퀸 | 배우 |
| 테오도어 스터전 | 작가 |
8. 1. 법적 문제
1924년 영국의 섬유 노동자 넬리 커쇼가 폐 석면증으로 사망한 것은 의학 문헌에서 처음으로 기술된 사례였으며, 직업적 석면 노출로 인해 확실히 발생한 질병에 대한 최초의 공개 보고서였다. 그러나 그녀의 전 고용주(터너 브라더스 석면)는 당시에는 의학적 상태가 공식적으로 인정되지 않았기 때문에 석면증이 존재한다는 사실을 부인했다. 그 결과, 그들은 그녀의 부상에 대한 책임을 인정하지 않았고, 그녀의 마지막 병환 중이나 그녀의 사망 후에도 그녀의 가족에게 보상금을 지불하지 않았다.[32] 그럼에도 불구하고, 그녀의 사망에 대한 사망 원인 조사 결과는 영국 의회에 의한 의회 조사를 이끌었다는 점에서 매우 영향력이 있었다. 그 조사는 석면증의 존재를 공식적으로 인정하고, 그것이 건강에 유해하다는 것을 인식했으며, 그것이 장기간의 석면 먼지 흡입과 명백하게 관련되어 있다고 결론지었다. 의학적 및 사법적 근거를 바탕으로 석면증의 존재를 확립한 후, 그 보고서는 1931년에 최초의 석면 산업 규정을 발표하는 결과를 낳았고, 이는 1932년 3월 1일에 발효되었다.[32][33]석면 제조업체를 상대로 한 최초의 소송은 1929년에 발생했다. 그 이후로 석면, 석면증, 중피종의 연관성이 알려진 후, 안전 조치를 시행하는 것을 소홀히 한 석면 제조업체와 고용주를 상대로 많은 소송이 제기되었다. 소송의 엄청난 수와 피해를 입은 사람들의 결과로 발생하는 책임은 수십억 달러에 달했다. 보상액 및 할당 방법은 많은 법원 소송과 기존 및 미래 사건의 해결에 대한 정부의 시도의 원인이 되었다.
현재까지 약 100개의 회사가 석면 관련 책임으로 인해 부분적으로 파산 신고를 했다. 미국 연방 파산법의 챕터 11 및 § 524(g)에 따라, 회사는 자산 및 부채의 일부를 석면 개인 상해 신탁으로 이전할 수 있으며, 신탁은 현재 및 미래의 청구인에게 보상할 책임이 있다. 1988년 이후로 약 370억달러의 총 자산을 가진 60개의 신탁이 청구를 지불하기 위해 설립되었다. 1988년부터 2010년까지, 미국 정부 회계 감사원의 분석에 따르면 신탁은 약 175억달러 가치의 약 330만 건의 청구를 지불했다.[34]
8. 2. 주목할 만한 인물
참조
[1]
웹사이트
World Health Organization. Air Quality Guidelines, 2nd Edition—Asbestos
http://www.euro.who.[...]
2009-12-20
[2]
서적
Clinical Handbook of Interstitial Lung Disease
https://books.google[...]
CRC Press
2017
[3]
웹사이트
Asbestosis symptoms and treatments
https://www.nhsinfor[...]
2017-12-19
[4]
서적
Oxford Handbook of Occupational Health
https://books.google[...]
OUP Oxford
2013
[5]
웹사이트
Asbestosis symptoms and treatments
https://www.nhsinfor[...]
NHS
2017-12-19
[6]
웹사이트
Air Quality Guidelines
http://www.euro.who.[...]
WHO
2009-12-20
[7]
웹사이트
Asbestosis - Pulmonary Disorders
http://www.merckmanu[...]
Merck
2014-05
[8]
논문
Global, regional, and national life expectancy, all-cause mortality, and cause-specific mortality for 249 causes of death, 1980-2015: a systematic analysis for the Global Burden of Disease Study 2015.
2016-10-08
[9]
논문
Global, regional, and national incidence, prevalence, and years lived with disability for 310 diseases and injuries, 1990-2015: a systematic analysis for the Global Burden of Disease Study 2015.
2016-10-08
[10]
웹사이트
Asbestos-related disease statistics, Great Britain 2021
https://www.hse.gov.[...]
2021-12
[11]
논문
Diagnosis and initial management of nonmalignant diseases related to asbestos
2004-09
[12]
서적
Pathology of asbestos-associated diseases
https://archive.org/[...]
Springer
[13]
논문
Relationship of pulmonary function to radiographic interstitial fibrosis in 2,611 long-term asbestos insulators. An assessment of the International Labour Office profusion score
1992-02
[14]
논문
Airways obstruction from asbestos exposure. Effects of asbestosis and smoking
1994-10
[15]
논문
Asbestos content of lung tissue and carcinoma of the lung: a clinicopathologic correlation and mineral fiber analysis of 234 cases
[16]
논문
An expert system for the evaluation of historical asbestos exposure as diagnostic criterion in asbestos-related diseases
[17]
웹사이트
Asbestos
https://www.cdc.gov/[...]
2013-10-09
[18]
서적
The Health Effects of Asbestos: An Evidence-based Approach
https://books.google[...]
CRC Press
2015
[19]
웹사이트
A chronic lung disease caused by inhaling asbestos fibers-Asbestosis - Symptoms & causes
https://www.mayoclin[...]
[20]
논문
Time Course of chemotactic factor generation and the macrophage response to asbestos inhalation
[21]
논문
Cellular and molecular mechanisms of asbestos‐induced fibrosis
[22]
논문
TNF-α receptor knockout mice are protected from the fibroproliferative effects of inhaled asbestos fibers
[23]
논문
Transforming Growth Factor-β1 overexpression in Tumor Necrosis Factor-α receptor knockout mice induces fibroproliferative lung disease
[24]
서적
Asbestosis
Elsevier Science
[25]
논문
Altered functions of alveolar macrophages and NK cells involved in asbestos-related diseases
2013-05
[26]
논문
Fiber burden and asbestos-related lung disease: determinants of dose-response relationships
1994-12
[27]
논문
The pathology of asbestos-associated diseases of the lungs and pleural cavities: diagnostic criteria and proposed grading schema. Report of the Pneumoconiosis Committee of the College of American Pathologists and the National Institute for Occupational Safety and Health
1982-10
[28]
서적
Asbestos: medical and legal aspects
Aspen
[29]
웹사이트
Hubert Montague Murray
https://history.rcpl[...]
[30]
서적
Statement Before the Committee in the Minutes of Evidence, Report of the Departmental Committee on Compensation for Industrial Disease
http://www.ibasecret[...]
[31]
논문
Classical syndromes in occupational medicine: The Montague Murray case
Wiley
[32]
논문
Fibrosis of the Lungs due to the Inhalation of Asbestos Dust
1924-07-26
[33]
논문
A Landmark Case in Asbestosis
http://jama.ama-assn[...]
1991-02-20
[34]
문서
Report to the Chairman, Committee on the Judiciary, House of Representatives
https://www.mesothel[...]
2016-04-30
[35]
웹사이트
Asbestosis symptoms and treatments
https://www.nhsinfor[...]
2017-12-19
[36]
웹사이트
World Health Organization. Air Quality Guidelines, 2nd Edition—Asbestos
http://www.euro.who.[...]
2009-12-20
[37]
웹사이트
Asbestosis symptoms and treatments
https://www.nhsinfor[...]
2017-12-19
[38]
웹사이트
Asbestosis symptoms and treatments
https://www.nhsinfor[...]
2017-12-19
[39]
웹사이트
Asbestosis - Pulmonary Disorders
http://www.merckmanu[...]
2017-12-19
[40]
웹사이트
Asbestosis symptoms and treatments
https://www.nhsinfor[...]
2017-12-19
[41]
논문
Global, regional, and national life expectancy, all-cause mortality, and cause-specific mortality for 249 causes of death, 1980-2015: a systematic analysis for the Global Burden of Disease Study 2015.
2016-10-08
[42]
논문
Global, regional, and national incidence, prevalence, and years lived with disability for 310 diseases and injuries, 1990-2015: a systematic analysis for the Global Burden of Disease Study 2015.
2016-10-08
본 사이트는 AI가 위키백과와 뉴스 기사,정부 간행물,학술 논문등을 바탕으로 정보를 가공하여 제공하는 백과사전형 서비스입니다.
모든 문서는 AI에 의해 자동 생성되며, CC BY-SA 4.0 라이선스에 따라 이용할 수 있습니다.
하지만, 위키백과나 뉴스 기사 자체에 오류, 부정확한 정보, 또는 가짜 뉴스가 포함될 수 있으며, AI는 이러한 내용을 완벽하게 걸러내지 못할 수 있습니다.
따라서 제공되는 정보에 일부 오류나 편향이 있을 수 있으므로, 중요한 정보는 반드시 다른 출처를 통해 교차 검증하시기 바랍니다.
문의하기 : help@durumis.com
