설소대
"오늘의AI위키"의 AI를 통해 더욱 풍부하고 폭넓은 지식 경험을 누리세요.
1. 개요
설소대는 혀의 바닥에서 아랫면까지 수직으로 뻗어 있는 얇은 조직 띠로, 혀의 움직임을 제한한다. 임신 초기 혀의 발달 과정에서 설소대는 혀의 성장을 돕는 역할을 하며, 설소대가 짧은 경우 설소대 단축증(혀 유착증)을 유발할 수 있다. 설소대 단축증은 모유 수유 문제를 일으키거나, 엘러스-단로스 증후군과 관련될 수 있다. 또한, 구강 성교와 관련된 외상으로 인해 설소대 아랫면에 궤양이 발생할 수 있으며, 치료는 국소 마취제 사용 또는 외과적 절제를 포함한다.
더 읽어볼만한 페이지
- 혀 - 미뢰
미뢰는 혀의 유두에 있는 미각 수용체로, 설유두를 제외한 버섯, 잎새, 둥근 유두에 존재하며, 지지 세포와 미각 세포로 구성되어 맛을 감지하고 뇌로 전달하며, 기능은 흡연, 음주, 노화 등으로 저하될 수 있다. - 혀 - 프렌치 키스
프렌치 키스는 입을 벌려 혀를 사용하는 키스의 한 형태로, 친밀함, 낭만, 에로티시즘을 표현하며 질병 감염 경로가 될 수도 있다. - 조음기관 - 혀
혀는 구강 내 근육 기관으로 맛을 느끼고, 음식물을 씹고, 소리를 내는 등 다양한 기능을 수행하며, 설암 등의 질병이 발생할 수 있고, 사회 문화적으로 언어를 상징하기도 한다. - 조음기관 - 이 (몸)
이는 섭식에 관여하는 입 안의 작고 단단한 구조물로, 척추동물과 많은 무척추동물에서 발견되며, 동물의 종류에 따라 형태, 기능, 교체 방식이 다양하게 나타난다. - 언어학에 관한 - 중설 모음
중설 모음은 혀의 위치가 입의 중앙에 위치하여 발음되는 모음으로, 혀의 높이, 앞뒤 위치, 입술의 둥글림 여부에 따라 여러 종류로 구분된다. - 언어학에 관한 - 유성음
유성음은 허파에서 나온 공기가 성대를 진동시켜 만들어지는 소리이며, 모음과 일부 자음이 이에 해당하고, 언어에 따라 유성음과 무성음의 구별이 단어의 의미를 구분하는 기준이 되기도 한다.
| 설소대 | |
|---|---|
| 개요 | |
![]() | |
| 라틴어 | frenulum linguae |
| 위치 | 입 |
| 상세 정보 | |
| 종류 | 점막 주름 |
| 기능 | 혀를 입 바닥에 연결 |
| 임상 정보 | |
| 관련 질병 | 혀 유착증 |
2. 발생 과정
혀는 임신 4주경부터 첫 번째, 두 번째, 세 번째 인두궁에서 발생하며, 이는 후두 근육의 이동을 유도한다. 혀의 구강 부분 앞쪽과 양쪽에 U자형 고랑이 발달한다. 이로 인해 혀는 설소대 부위를 제외하고는 자유롭고 매우 움직이기 쉬워진다. 이 단계에서 발생하는 장애는 설소대 단축증을 유발한다. 임신 6주 동안 내측 비강 돌기가 서로 접근하여 단일 구상 돌기를 형성하며, 이는 결국 코끝, 코 기둥, 전구순, 윗입술의 소대, 그리고 1차 구개를 형성한다.[2] 혀가 계속 발달함에 따라 설소대 세포는 세포 자멸사를 겪고, 혀 끝에서 멀어져 혀의 이동성을 증가시킨다.[3]
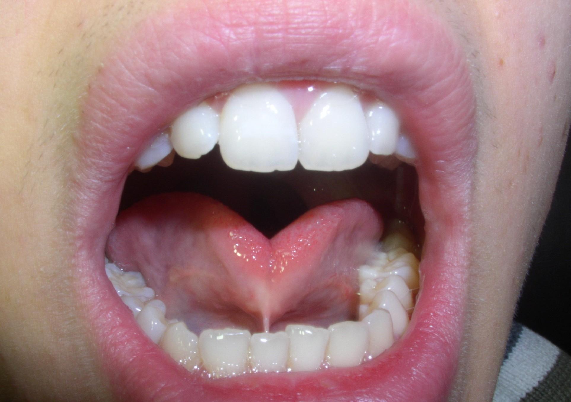
설소대는 혀의 바닥에서 혀 아랫면까지 수직으로 뻗어 있는 얇은 조직 띠이다. 설소대는 혀의 움직임을 제한하며, 어떤 사람들에게는 너무 짧아서 말을 하는 데 방해가 되기도 한다.
설소대 단축증(혀유착증)은 설소대가 비정상적으로 짧거나 굵어 혀의 움직임이 제한되는 선천성 기형이다. 심한 경우 혀끝이 아래 앞니를 넘어 돌출되지 않는다.[6] 전방 설소대 단축증과 후방 설소대 단축증으로 분류할 수 있는데, 혀 끝에 가깝게 부착된 설소대는 "전방 혀 유착증", 혀의 바닥 근처에 부착되어 점막하(보이지 않음)에 있지만 혀의 움직임을 제한하는 경우는 "후방 혀 유착증"이라고 한다.[7]
임신 초기(4주경) 동안, 설소대는 혀의 전방 성장을 위한 가이드 역할을 한다. 출생 후, 혀의 끝부분은 계속 길어져, 마치 설소대가 뒤로 물러나는 듯한 인상을 주지만, 실제로는 이는 출생 전부터 어느 정도 진행되어 왔다. 이 때문에 일부 설소대 단축증을 겪었던 유아의 설소대가 나이와 성장에 따라 "늘어나는" 듯한 인상을 준다. 실제로는 혀가 종종 설소대 너머로 성장하며, 일부는 경미한 사고 후에도 늘어나거나 파열되기도 한다. 다른 많은 경우, 교정하지 않으면 평생 동안 문제를 일으킨다.[4]
3. 구조
혀의 기저부 근처 조직이 융기된 곳에는 여러 침샘관이 있다. 가장 큰 두 개의 관은 바르톤관이며, 턱밑샘 및 설하선 침샘에서 나오는 침을 설소대 양쪽의 작은 돌기인 '설소대 소구'로 배출한다. 이 관들은 சில 사람들에게는 매우 활발하여 말을 하거나, 먹거나, 하품하거나, 이를 닦을 때 상당량의 침이 뿜어져 나올 수 있는데, 이를 침 뱉기라고 한다. 설하선은 바르톤관 양쪽 조직에 있는 여러 개의 작은 관을 통해 침을 분비한다. 혀는 설소대에 의해 입 안 바닥에 부착되어 있다.
설소대 기저부에는 정맥류라고 하는 얕은 정맥이 지나간다. 이는 정상적인 현상이며, 나이가 들수록 더 뚜렷해진다.[5]
4. 설소대 단축증 (Ankyloglossia)

혀는 임신 4주경부터 발달하기 시작하여 첫 번째, 두 번째, 세 번째 인두궁에서 발생하며, 이는 후두 근육의 이동을 유도한다. 혀의 구강 부분 앞쪽과 양쪽에 U자형 고랑이 발달하면서 설소대 부위를 제외하고는 자유롭고 움직이기 쉬워진다. 이 단계에서 장애가 발생하면 설유착증 또는 설소대 단축증이 유발된다. 임신 6주 동안 내측 비강 돌기가 서로 접근하여 단일 구상 돌기를 형성하며, 이는 코끝, 코 기둥, 전구순, 윗입술의 소대, 그리고 1차 구개를 형성한다.[2] 이후 설소대 세포는 세포 자멸사를 겪고 혀 끝에서 멀어져 혀의 이동성이 증가한다.[3]
임신 초기(4주경)에 설소대는 혀의 전방 성장을 위한 가이드 역할을 한다. 출생 후에는 혀끝이 계속 길어져 설소대가 뒤로 물러나는 듯 보이지만, 이는 출생 전부터 진행되어 온 과정이다. 따라서 설유착증을 겪었던 유아의 설소대가 성장하면서 "늘어나는" 듯한 인상을 주기도 한다. 실제로는 혀가 설소대 너머로 성장하거나, 경미한 사고 후 늘어나거나 파열되기도 한다. 하지만 교정하지 않으면 평생 동안 문제를 일으키는 경우도 많다.[4]
4. 1. 설소대 단축증과 모유 수유
설소대 혀 유착증은 비정상적으로 짧은 설소대가 특징인 선천성 기형이다.[6] 영아의 비정상적으로 짧은 설소대는 젖꼭지 통증 및 손상, 부적절한 수유 등 모유 수유 문제의 원인이 될 수 있으며,[8] 이는 영아의 체중 증가를 느리게 만들 수 있다.[9]
4. 2. 설소대 단축증과 다른 질환과의 연관성
하순 소대(100% 민감도, 99.4% 특이도)와 설소대(71.4% 민감도, 100% 특이도)의 부재는 엘러스-단로스 증후군의 고전적 유형 및 과다 가동성 유형과 관련이 있는 것으로 밝혀졌다.[10]
5. 구강 성교와 관련된 외상
설소대 아래쪽(아랫면)의 외상성 피부 질환은 혀와 하악 중절치 사이의 마찰로 인해 발생할 수 있으며, 이는 설즐이 특히 두드러질 때 구강성교 및 기타 구강 성행위(예: 항문 성교)[11][12][13][14] 중에 발생할 수 있다. 이는 때때로 "설즐 혀" 또는 "설즐 증후군"으로 알려져 있다.[15]
이 질환은 혀 아랫면[17], 때로는 목의 통증과 헐거움으로 나타난다.[15] 설즐로 인해 발생하는 구내염은 일반적으로 수평으로 나타나며, 병변은 혀가 가장 앞으로 뻗은 상태에서 혀의 아랫면이 하악 절치와 접촉하고 설즐이 늘어날 때 나타난다.[11] 궤양은 특이하지 않은 외관을 보이며, 피브린성 삼출물로 덮여 있고, 홍반(붉은색) "후광"으로 둘러싸여 있다.[17][16] 이 부위의 만성 궤양은 선형 섬유성 과형성(자극성 섬유종)을 유발할 수 있다.[11][17]
감별 진단은 아프타성 구내염, 이차적 헤르페스 병변, 매독 등과 같은 구강 궤양의 다른 원인과의 감별을 포함한다.[16]
국소 마취제는 병변이 치유되는 동안 증상을 완화하는 데 사용될 수 있다.[17] 섬유성 병변은 설소대 절제술을 통한 외과적 절제가 필요할 수 있다.[17] 하악 치아의 절단면은 외상의 가능성을 최소화하기 위해 매끄럽게 할 수 있다.[11] 이러한 유형의 병변은 일반적으로 7~10일 내에 해결되지만 반복적인 행위로 인해 재발할 수 있다.[11]
참조
[1]
서적
The Story of Lucy Gault
2002
[2]
웹사이트
Basic Embryology of Head and Neck
http://emedicine.med[...]
Chicago Medical Center
2009-08-14
[3]
서적
Human embryology made easy
https://books.google[...]
Harwood Academic Publishers
[4]
웹사이트
lingual frenulum
http://everything2.c[...]
Everything2
2002-03-23
[5]
웹사이트
Oral-dental anatomy
[6]
웹사이트
Division of ankyloglossia (tongue-tie) for breastfeeding
http://www.nice.org.[...]
NICE, the National Institute for Health and Clinical Excellence
2005-12-14
[7]
간행물
What is a tongue tie? Defining the anatomy of the in-situ lingual frenulum
2019-09
[8]
간행물
The importance of the identification of ankyloglossia (short lingual frenulum) as a cause of breastfeeding problems
NCBE
2005-12-14
[9]
웹사이트
Sore Nipples and Slow Weight Gain Related to a Short Frenulum
http://jhl.sagepub.c[...]
SAGE
[10]
간행물
Absence of the inferior labial and lingual frenula in Ehlers-Danlos syndrome
2001-05-22
[11]
서적
Oral & maxillofacial pathology
W.B. Saunders
[12]
서적
Clinical forensic medicine a physician's guide
https://books.google[...]
Humana Press
2011
[13]
서적
Oral and maxillofacial diseases: an illustrated guide to diagnosis and management of diseases of the oral mucosa, gingivae, teeth, salivary glands, jaw bones and joints
https://books.google[...]
Informa Healthcare
2010
[14]
서적
Oral and maxillofacial diseases
Taylor & Francis
2004
[15]
서적
Handbook of obstetric and gynecologic emergencies
https://books.google[...]
Lippincott Williams & Wilkins
2010
[16]
서적
Color atlas of oral diseases
https://books.google[...]
Thieme
2003
[17]
서적
Textbook of Oral Medicine, Oral Diagnosis and Oral Radiology
https://books.google[...]
Elsevier Health Sciences
2014-02-10
본 사이트는 AI가 위키백과와 뉴스 기사,정부 간행물,학술 논문등을 바탕으로 정보를 가공하여 제공하는 백과사전형 서비스입니다.
모든 문서는 AI에 의해 자동 생성되며, CC BY-SA 4.0 라이선스에 따라 이용할 수 있습니다.
하지만, 위키백과나 뉴스 기사 자체에 오류, 부정확한 정보, 또는 가짜 뉴스가 포함될 수 있으며, AI는 이러한 내용을 완벽하게 걸러내지 못할 수 있습니다.
따라서 제공되는 정보에 일부 오류나 편향이 있을 수 있으므로, 중요한 정보는 반드시 다른 출처를 통해 교차 검증하시기 바랍니다.
문의하기 : help@durumis.com
