오목가슴
"오늘의AI위키"의 AI를 통해 더욱 풍부하고 폭넓은 지식 경험을 누리세요.
1. 개요
오목가슴은 흉골이 함몰되어 나타나는 질환으로, 원인은 아직 명확히 밝혀지지 않았으나 유전적 요인과 연관될 수 있으며, 누난 증후군, 마르판 증후군 등 다른 질환과 동반되기도 한다. 증상으로는 흉골 함몰, 흉통, 요통, 심폐 기능 저하, 심리적 불안 등이 나타날 수 있으며, 진단은 시진, 청진, 엑스레이, CT 스캔 등을 통해 이루어진다. 치료는 경미한 경우 별도의 처치가 필요 없으나, 심한 경우 비수술적 치료법인 진공 벨, 운동, 보조기 착용, 수술적 치료법인 너스 시술, 라비치 수술, 펙투스 업 테크닉, 임플란트 삽입술 등을 고려할 수 있다.
오목가슴의 원인은 아직 명확하게 밝혀지지 않았다. 유전적 요인, 늑연골의 이상, 다른 질환과의 연관성 등이 원인으로 추정되고 있다.
오목가슴의 주된 증상은 흉골이 함몰되어 보이는 것이다. 흉통 및 요통을 동반할 수 있으며, 심한 경우 심장과 폐 기능에 영향을 줄 수 있다.[4] 경미한 경우에도 심장이 변위되거나 회전될 수 있지만, 심폐 기능은 정상일 수 있다.[5] 심한 경우에는 우심방 압박, 승모판 탈출증, 폐활량 감소로 인한 신체 능력 제한이 나타날 수 있다.[6][7] 또한 당혹감, 사회 불안, 수치심, 우울증 등의 심리적 증상이 나타날 수 있다.[40]
2. 원인
2. 1. 유전적 요인
연구자들은 오목가슴의 원인에 대해 확신하지 못하고 있다. 일부 연구자들은 오목가슴이 선천성 질환 (선천적 결함)이라고 주장하지만 유전적인 요인은 아니라고 본다. 다른 연구자들은 유전적 요소가 일부 있다고 추정한다. 소규모 표본 검사 결과, 최소한 일부 사례에서 환자의 37%가 영향을 받은 직계 가족을 가지고 있는 것으로 나타났다.[8] 2012년 기준으로 오목가슴에 대한 여러 유전자 표지가 발견되기도 했다.[9]
수십 년 동안 오목가슴은 늑연골의 과성장으로 인해 발생한다고 믿어졌지만, 실제로 오목가슴 환자는 갈비뼈 길이에 비해 늑연골이 더 짧은 경향이 있다.[10]
오목가슴은 누난 증후군, 마르판 증후군[11] 및 로이스-다이츠 증후군과 같은 다른 질환과 엘러스-단로스 증후군과 같은 다른 결합 조직 질환에서도 나타날 수 있다.[12] 척수성 근위축증을 앓는 많은 어린이들은 횡격막 호흡으로 인해 오목가슴을 앓게 된다.
2. 2. 동반 질환
오목가슴은 누난 증후군, 마르판 증후군[11], 로이스-다이츠 증후군, 엘러스-단로스 증후군과 같은 결합 조직 질환에서 나타날 수 있다.[12] 척수성 근위축증을 앓는 많은 어린이는 횡격막 호흡으로 인해 오목가슴을 앓게 된다.
3. 증상
3. 1. 경증
오목가슴의 특징은 흉골이 함몰되어 보이는 것이다. 가장 흔한 형태는 흉골 하단부가 함몰된 컵 모양이며, 상부 늑연골을 포함하는 더 넓은 함몰도 가능하다.[2] 가장 하위의 갈비뼈가 튀어나올 수도 있다.[3] 오목가슴 결함은 대칭적이거나 비대칭적일 수 있다.
사람들은 흉통 및 요통을 경험할 수 있으며, 이는 대개 근골격계 기원이다.[4] 경미한 경우에는 심폐 기능이 정상적이지만, 심장이 변위되거나 회전될 수 있다.[5]
3. 2. 중등도 ~ 중증
오목가슴의 특징은 흉골이 함몰되어 보이는 것이다. 가장 흔한 형태는 흉골 하단부가 함몰된 컵 모양이며, 상부 늑연골을 포함하는 더 넓은 함몰도 가능하다.[2] 가장 하위의 갈비뼈가 튀어나올 수 있다("flared ribs").[3] 오목가슴 결함은 대칭적이거나 비대칭적일 수 있다.
사람들은 또한 흉통 및 요통을 경험할 수 있으며, 이는 대개 근골격계 기원이다.[4] 심한 경우에는 우심방이 압박될 수 있고, 승모판 탈출증이 나타날 수 있으며, 폐활량 감소로 인해 신체 능력이 제한될 수 있다.[6][7]
3. 3. 심리적 증상
오목가슴 환자는 당혹감, 사회 불안, 수치심을 느끼며, 활동 및 의사소통 능력에 제한을 받을 수 있다. 또한 부정적인 태도, 불관용, 좌절감을 느낄 수 있으며, 심한 경우 우울증을 겪기도 한다.[40]
4. 진단

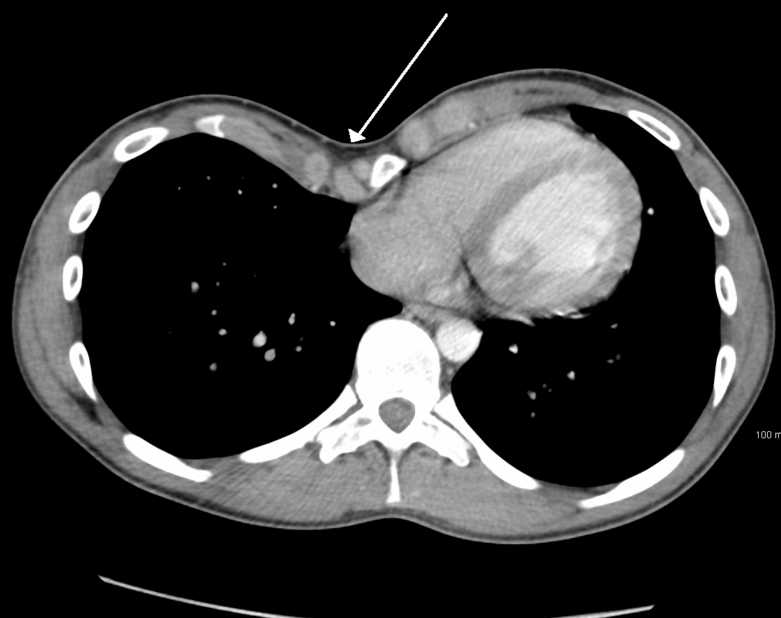
오목가슴은 우선 앞가슴을 시각적으로 검사하여 의심할 수 있다. 가슴 청진을 통해 심장 박동의 변위와 판막 탈출증을 확인할 수 있다. 흉골과 폐동맥 사이가 가까워 수축기 동안 심잡음이 발생할 수 있다.[14] 폐 소리는 일반적으로 깨끗하지만 폐 용량이 감소하여 약해질 수 있다.[64]
가슴 벽 변형 정도를 결정하기 위해 여러 척도가 개발되었다. 이들 대부분은 흉골과 척추 사이의 거리를 변형한 것이다. 그중 하나는 칼돌기에 가장 가까운 척추체의 직경과 칼돌기와 가장 가까운 척추체 사이 거리의 비율을 기준으로 변형의 심각도를 평가하는 ''Backer ratio''이다.[15] 최근에는 CT 스캔 측정에 기반한 Haller 지수가 사용된다. 3.25 이상의 지수는 종종 심각한 것으로 정의된다.[16] Haller 지수는 늑골 안쪽의 수평 거리와 척추와 흉골 사이의 최단 거리 비율이다.[17]
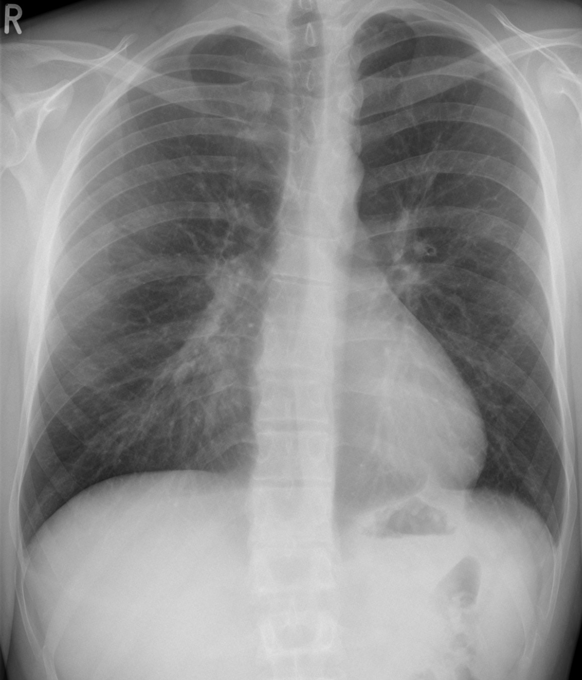
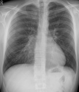
가슴 엑스레이도 진단에 유용하다. 오목가슴의 가슴 엑스레이는 오른쪽 폐 부위에 폐렴에서 보이는 것과 같은 침윤으로 오인될 수 있는 불투명성을 나타낼 수 있다.[18] 일부 연구에서는 기능에 제한이 없는 개인의 경우 CT 스캔 대신 가슴 엑스레이를 기반으로 Haller 지수를 계산할 수 있다고 제안한다.[19]
오목가슴은 여러 징후와 증상을 확인하여 다른 질환과 구별한다. 새가슴은 흉골이 함몰된 것이 아니라 돌출된 것이므로 간단히 관찰하여 배제할 수 있다. 척추옆굽음증은 척추의 진단 이미징을 통해 배제되며, 오목가슴의 경우 척추는 일반적으로 정상적인 구조를 보인다.
4. 1. 신체 검진
오목가슴은 우선 앞가슴을 육안으로 검사하여 진단한다. 가슴을 청진하면 심장 박동의 위치 변화와 판막 탈출증을 확인할 수 있다. 흉골과 폐동맥이 가까워 수축기 동안 심잡음이 들릴 수 있다.[14] 폐 소리는 보통 깨끗하게 들리지만, 폐활량이 줄어들어 약해질 수 있다.[64]가슴 벽 변형 정도를 파악하기 위해 여러 척도가 개발되었다. 대부분 흉골과 척추 사이 거리를 변형한 것이다. 그 중 하나는 ''Backer ratio''인데, 칼돌기에 가장 가까운 척추체의 직경과 칼돌기에서 가장 가까운 척추체 사이 거리의 비율을 통해 변형의 심각도를 평가한다.[15] 최근에는 CT 스캔을 기반으로 한 Haller 지수가 사용된다. 3.25 이상이면 심각한 수준으로 본다.[16] Haller 지수는 늑골 안쪽의 수평 거리와 척추와 흉골 사이의 가장 짧은 거리의 비율이다.[17]
가슴 엑스레이도 진단에 도움이 된다. 오목가슴의 경우, 가슴 엑스레이에서 오른쪽 폐 부위에 폐렴과 혼동될 수 있는 불투명한 부분이 보일 수 있다.[18] 일부 연구에서는 기능 제한이 없는 사람의 경우 CT 스캔 대신 가슴 엑스레이를 통해 Haller 지수를 계산할 수 있다고 한다.[19]
오목가슴은 여러 징후와 증상을 확인하여 다른 질환과 구분한다. 새가슴은 흉골이 함몰되었는지 돌출되었는지를 관찰하여 구분할 수 있다. 척추옆굽음증은 척추 영상을 통해 확인하며, 오목가슴의 경우 척추는 보통 정상적인 구조를 보인다.
4. 2. 영상 검사
오목가슴은 우선 앞가슴을 시각적으로 검사하여 의심할 수 있다. 가슴 청진을 통해 심장 박동의 변위와 판막 탈출증을 확인할 수 있다. 흉골과 폐동맥 사이가 가까워 수축기 동안 심잡음이 발생할 수 있다.[14] 폐 소리는 일반적으로 깨끗하지만 폐 용량이 감소하여 약해질 수 있다.[64]
가슴 벽 변형 정도를 결정하기 위해 여러 척도가 개발되었다. 대부분 흉골과 척추 사이의 거리를 변형한 것이다. 이 중 하나는 칼돌기에 가장 가까운 척추체의 직경과 칼돌기와 가장 가까운 척추체 사이 거리의 비율을 기준으로 변형의 심각도를 평가하는 ''Backer ratio''이다.[15] 최근에는 CT 스캔 측정에 기반한 Haller 지수가 사용된다. 3.25 이상의 지수는 종종 심각한 것으로 정의된다.[16] Haller 지수는 늑골 안쪽의 수평 거리와 척추와 흉골 사이의 최단 거리 비율이다.[17]
가슴 엑스레이도 진단에 유용하다. 오목가슴의 가슴 엑스레이는 오른쪽 폐 부위에 침윤(예: 폐렴에서 보이는 것과 같은)으로 오인될 수 있는 불투명성을 나타낼 수 있다.[18] 일부 연구에서는 기능에 제한이 없는 개인의 경우 CT 스캔 대신 가슴 엑스레이를 기반으로 Haller 지수를 계산할 수 있다고 제안한다.[19]
오목가슴은 일련의 징후와 증상 제거를 통해 다른 질환과 구별된다. 새가슴은 흉골이 함몰된 것이 아니라 돌출된 것이므로 간단히 관찰하여 배제할 수 있다. 척추옆굽음증은 척추의 진단 이미징을 통해 배제되며, 오목가슴의 경우 척추는 일반적으로 정상적인 구조를 보인다.
4. 3. 기타 검사
오목가슴은 우선 앞가슴을 눈으로 확인하여 의심할 수 있다. 가슴을 청진하면 심장 박동의 위치 변화와 판막 탈출증을 확인할 수 있다. 흉골과 폐동맥이 가까이 있기 때문에 수축기 동안 심잡음이 들릴 수 있다.[14]
폐 소리는 보통 깨끗하지만, 폐활량이 줄어들어 약하게 들릴 수 있다.[64]
가슴 벽 변형 정도를 파악하기 위해 여러 척도가 개발되었다. 대부분은 흉골과 척추 사이 거리를 변형한 것이다. 이 중 하나는 칼돌기에 가장 가까운 척추체의 직경과 칼돌기에서 가장 가까운 척추체 사이 거리의 비율을 기준으로 변형의 심각도를 평가하는 'Backer ratio'이다.[15] 최근에는 CT 스캔 측정을 바탕으로 한 Haller 지수가 사용된다. 3.25 이상의 지수는 종종 심각한 것으로 정의된다.[16] Haller 지수는 늑골 안쪽의 수평 거리와 척추와 흉골 사이의 가장 짧은 거리의 비율이다.[17]
가슴 엑스레이도 진단에 도움이 된다. 오목가슴의 가슴 엑스레이는 오른쪽 폐 부위에 폐렴에서 보이는 것과 같은 침윤으로 오인될 수 있는 불투명성을 나타낼 수 있다.[18] 일부 연구에서는 기능에 제한이 없는 사람의 경우 CT 스캔 대신 가슴 엑스레이를 기반으로 Haller 지수를 계산할 수 있다고 제안한다.[19]
오목가슴은 여러 징후와 증상을 확인하여 다른 질환과 구별한다. 새가슴은 흉골의 함몰이 아닌 돌출을 관찰하여 간단히 배제할 수 있다. 척추옆굽음증은 척추의 진단 이미징을 통해 배제할 수 있으며, 오목가슴의 경우 척추는 일반적으로 정상적인 구조를 보인다.
5. 치료
오목가슴 치료에는 여러 가지 방법이 있다. 경미한 경우에는 특별한 치료가 필요 없을 수 있지만,[20] 심각한 경우에는 수술적 또는 비수술적 방법을 통해 치료할 수 있다. 수술 전에는 CT 스캔, 폐 기능 검사, 심장학 검사 등을 통해 환자의 상태를 정확하게 파악한다.[21] CT 스캔을 통해 Haller 지수를 측정하는데, 이 지수가 3.25보다 크면 일반적으로 수술이 필요하다.[17][22][23][24]
오목가슴 교정을 위한 최선의 수술 방법에 대해서는 논란이 있지만, 각 개인의 특성에 맞는 수술 방법을 선택하는 것이 중요하다.[43] 수술적 교정은 호흡 문제나 심장 잡음과 같은 기능적 증상을 개선할 수 있으며,[44] 심혈관 기능을 유의미하게 개선하는 것으로 나타났다.[45] 다만, 폐 기능 개선 여부에 대해서는 아직 결론이 나지 않았다.[46]
'''일본의 수술 치료'''
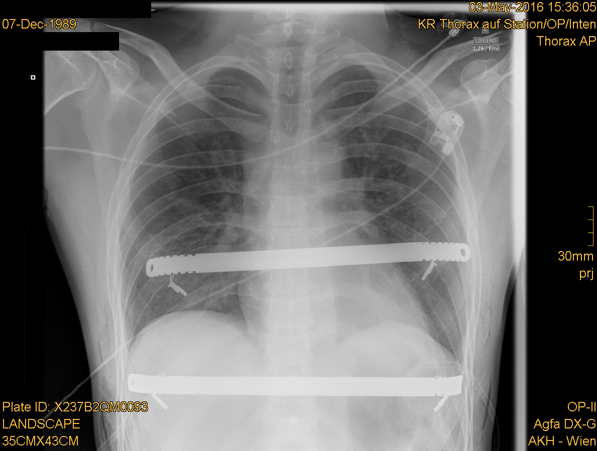
일본에서는 너스 시술이 오목가슴 수술의 표준적인 방법으로 자리 잡았다. 이 방법은 늑골 아래에 티타늄이나 스테인리스 스틸 재질의 바를 삽입하여 흉골을 들어 올리는 방식이다. 흉터가 작고 뼈를 절개하지 않아 통증이 적다는 장점이 있지만, 옆구리 절개로 인한 통증과 합병증 위험이 있을 수 있다.
라비치 수술은 늑연골을 일부 절개하고 재봉합하는 방법으로, 흉터가 눈에 띄지 않고 진공 벨보다 효과를 기대할 수 있다는 장점이 있다. 하지만 뼈를 절개하기 때문에 통증이 따르고, 흉곽 전체의 편평함은 개선되지 않는다는 단점이 있다.
와다 수술은 늑골을 절개하여 흉골을 뒤집는 방법이지만, 침습성이 크고 출혈량이 많으며 흉터가 눈에 띄기 쉬워 현재는 거의 시행되지 않는다.
5. 1. 비수술적 치료
경미한 오목가슴은 교정 절차가 필요하지 않다.[20] 심각한 경우에는 침습적 시술 또는 비침습적 시술을 통해 치료할 수 있다. 흉벽은 탄성이 있으며 나이가 들면서 점차 굳어지는데,[26] 비수술적 치료법은 특히 젊은 환자들을 대상으로 흉벽의 탄성을 이용하여 오목가슴을 점진적으로 완화시키는 것을 목표로 한다.운동은 보존적 오목가슴 치료에서 중요한 역할을 하지만, 그 자체만으로는 질환을 해결할 수 없다.[27][28] 운동은 경미하거나 중간 정도의 오목가슴 진행을 멈추거나 늦추고,[27][28] 나쁜 자세 개선, 2차 합병증 예방, 치료 후 재발 방지를 위한 보조 치료법으로 사용된다.[29] 오목가슴 운동에는 심호흡 및 호흡 유지 운동,[27] 등 및 가슴 근육을 위한 근력 운동이 포함된다. 유산소 운동은 심폐 기능 개선을 위해 사용된다.[28]

수술의 대안으로 2006년에 진공 벨이 소개되었다. 이 절차는 '컵 흡입' 치료라고도 불린다. 오목한 부위에 맞는 그릇 모양의 장치로, 손 펌프를 사용하여 공기를 제거한다.[31] 이렇게 생성된 진공은 흉골을 위쪽으로 들어 올려 기형의 심각성을 줄인다.[32] 덜 심각한 경우에는 수술의 대안으로 제안되었다.[33] 결함이 시각적으로 사라지면, 영구적인 교정을 위해 진공 벨을 2년 더 사용해야 한다.[34][35] 물리 치료 운동과 함께 이 치료법은 흉곽이 유연한 경우 수술의 "유망하고 유용한 대안"으로 평가되었으며, 필요한 치료 기간은 "나이, 심각성 및 사용 빈도와 직접적으로 연관"되어 있는 것으로 밝혀졌다.[36][37] 장기적인 결과는 아직 부족하다.[33][36][37]
소아 외과 저널(Journal of Pediatric Surgery)에 보고된 한 연구에 따르면 진공 벨 치료를 사용한 환자의 20%에서 우수한 교정 결과를 보였지만, "환자의 90%에서 우수한 결과를 얻을 수 있는 너스 시술(Nuss procedure)을 대체할 수는 없다"고 한다.[38] 우수한 결과를 예측하는 변수에는 11세 이하의 나이, 흉벽 깊이 ≤ 1.5cm, 흉벽 유연성 및 12개월 연속 진공 벨 사용 등이 있다.[38]
''인터랙티브 심혈관 및 흉부 외과(Interactive Cardiovascular and Thoracic Surgery)''의 기사에서, 진공 벨 치료가 비수술적으로 기형을 교정하는 데 안전하다는 결과가 나왔다. 이 치료법은 더 일찍 나타나고, 가볍거나 대칭적인 기형, 유연한 흉벽 및 늑골 벌어짐이 없는 환자에게서 더 높은 성공률을 보이는 것으로 나타났다.[39]
진공 벨은 수술 준비에도 사용할 수 있다.[33][37]
시드니 하제(Sydney Haje)라는 브라질 정형외과 의사가 오목가슴 및 돌출가슴 치료를 위한 비수술적 프로토콜을 개발했다. 이 방법은 압박 보조기를 착용하고 운동 프로토콜을 따르는 것을 포함한다.[40]
경미한 경우에는 코르셋과 유사한 정형외과 지지 조끼와 운동으로도 치료되었다고 보고되었다.[41][42]
흉부에 장치를 장착하여 외부에서 흡인하는 방식으로 흉부를 들어 올리는 방법도 있다. 장점으로는 5세부터 착용이 가능하고 수술이 필요 없어 통증이 없다는 점이 있다. 단점으로는 흡인에는 한계가 있어 다른 치료법만큼의 효과는 기대하기 어렵다.
5. 2. 수술적 치료
경미한 오목가슴은 교정이 필요하지 않다.[20] 심한 경우에는 침습적 시술이나 비침습적 시술, 또는 두 가지 모두를 사용하여 치료할 수 있다. 수술 전에는 일반적으로 CT 스캔, 폐 기능 검사, 심장학 검사(청진, ECG 등)를 포함한 여러 검사를 시행한다.[21] CT 스캔 후에는 Haller 지수를 측정하는데, 이는 횡경(늑골 내부 수평 거리)과 전후경(척추와 흉골 사이 최단 거리)의 비율이다.[22] Haller 지수가 3.25보다 크면 심각한 것으로 간주되며, 정상 가슴은 2.5이다.[17][23][24] 심폐 기능 검사는 폐활량과 심장 잡음을 확인하는 데 사용된다.[25]오목가슴 교정을 위한 최선의 수술 방법에 대해서는 논란이 있어 왔다. 외과 의사는 각 개인의 특성에 맞는 수술 방법을 선택해야 한다.[43] 수술적 교정은 호흡 문제나 심장 잡음 같은 기능적 증상을 개선하며, 극심한 경우 영구적 손상이 없다면 효과를 볼 수 있다.[44] 오목가슴 수술은 심혈관 기능을 유의미하게 개선하는 것으로 나타났지만,[45] 폐 기능 개선 여부는 아직 결론이 나지 않았다.[46] 오늘날 가장 인기 있는 오목가슴 수술 기술 중 하나는 MIRPE 또는 너스(Nuss) 수술로 알려진 최소 침습 수술이다.[47]
자기 미니 무버 시술(3MP)은 두 개의 자석을 사용하여 흉골을 가슴과 늑골의 나머지 부분과 재정렬하여 오목가슴을 교정하는 최소 침습 시술이다.[48] 하나의 자석은 환자 몸 안쪽 흉골 하단에 1cm 삽입하고, 다른 하나는 맞춤형 보조기구 바깥쪽에 배치한다. 이 두 자석은 수년에 걸쳐 흉골을 바깥쪽으로 이동시키기 위해 약 0.04 테슬라(T)를 생성한다. 신체에 안전하게 적용할 수 있는 최대 자기장은 약 4T이므로 이 기술은 안전하다.[48] 3MP 기술의 장점은 너스 수술과 같은 주요 수술 방식보다 비용 효율적이고 수술 후 통증이 훨씬 적다는 것이다. 이 시술은 가슴벽 유연성이 떨어지는 고령자에게는 효과가 제한적이며, 초중기 사춘기 어린이에게만 효과적이다.[49] 인공 인공 심박 조율기가 있는 경우 비활성화될 수 있다는 잠재적 부작용도 있다.

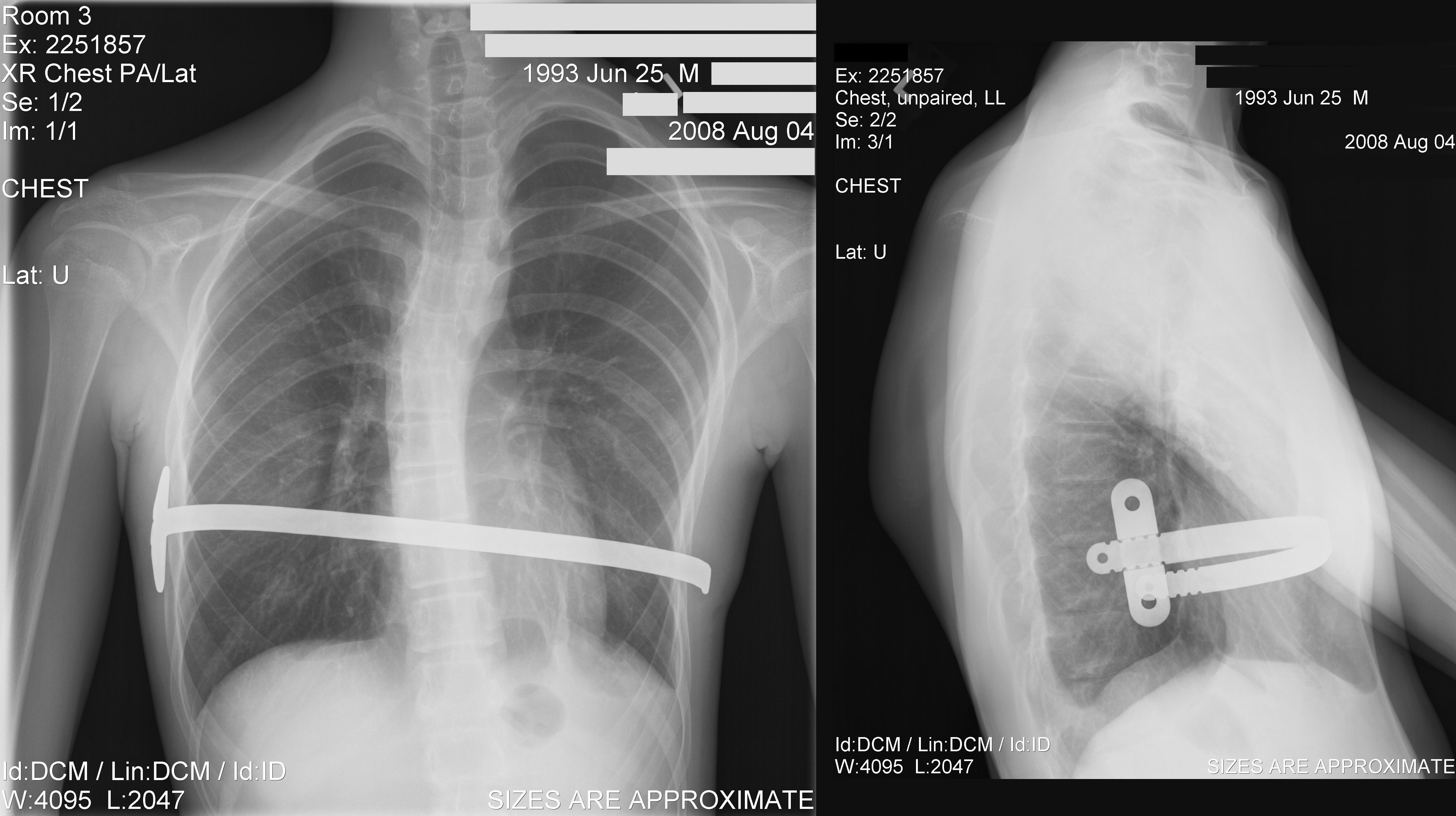
라비치 기법은 1949년에 소개되어[50] 1950년대에 개발된 침습적 수술 방법이다. 가슴 부위에 절개를 하여 연골을 제거하고 흉골을 절개한다. 흉골을 원하는 위치로 고정하기 위해 작은 바(bar)를 흉골 아래에 삽입하고, 약 6개월 동안 연골이 다시 자랄 때까지 유지한다. 이후 간단한 외래 환자 시술로 바를 제거하는 2단계 수술 절차이다. 라비치 기법은 매우 침습적이어서 널리 사용되지는 않지만, 흉골이 석회화된 고령 환자, 비대칭 변형, 또는 덜 침습적인 너스 수술이 실패한 경우에 더 자주 사용된다.[51]

1987년, 버지니아주 노퍽의 어린이 왕의 딸 병원의 도널드 너스는 오목가슴의 최초 최소 침습적 교정술(MIRPE)을 시행했으며[52], 1997년 학회에서 발표했다.[52][53][54] "너스 시술"로 널리 알려진 이 2단계 시술은 하나 이상의 오목한 강철 막대를 흉부 내, 흉골 아래에 삽입하는 과정이다.[55] 막대는 흉골을 바깥쪽으로 밀어 변형을 교정하도록 볼록한 위치로 뒤집는다. 막대는 약 2년 동안 신체 내에 유지되지만, 최근에는 최대 5년까지 유지하는 경우도 있다. 뼈가 제자리에 굳어지면 외래 수술을 통해 막대를 제거한다. 처음에는 10세 미만 어린이를 대상으로 설계되었지만, 10대 후반과 20대 환자에게도 너스 시술이 성공적으로 이루어지고 있다.[56]
1965년, 프란시스 로비첵은 노스캐롤라이나주 샬럿의 캐롤라이나스 메디컬 센터에서 로비첵 수술법을 개발했다. 이 수술은 매번 환자의 변형 정도와 위치에 따라 개별적으로 맞춤화된다. 흉골에 4~6cm 절개를 시작으로 대흉근을 흉골에서 분리한다. 흉골 함몰 상단을 가이드로 변형된 연골을 하나씩 제거하고, 흉골 하단을 타월 클립으로 잡아 심막 및 흉막과의 조직 연결을 푼다. 흉골을 강제로 구부려 교정된 위치로 이동시킨 후, 메쉬 조각을 이동된 흉골 아래에 놓고 갈비뼈 절단 부위에 봉합한다. 대흉근을 흉골 앞에서 합쳐 봉합하고 상처를 닫는 단일 단계 수술이다.[57] 이 기술은 라비치 수술법보다 덜 침습적이지만, 연골과 뼈의 기억 현상 때문에 재발률이 높을 수 있다는 비판이 있다.[1]
2016년, 바르셀로나의 소아 외과 의사 카를로스 바르다지와 생명 공학 엔지니어 루이스 카소는 오목가슴 교정을 위한 흉부 외 삽입 수술 방법인 펙투스 업 테크닉을 발표했다.[58] 이 수술을 위해 특별히 설계된 임플란트와 견인 장치가 개발되었다. 펙투스 업 테크닉은 결함이 가장 깊은 지점의 흉골에 작은 구멍을 뚫고 이중 나사를 박는다. 스테인리스 스틸 임플란트를 흉골과 갈비뼈 위에 피부 아래에 놓고 이중 나사에 맞춰 중심을 잡는다. 견인 도구를 사용하여 임플란트와 갈비뼈를 지렛대로 삼아 이중 나사로 흉골을 들어 올린다. 추가 나사로 임플란트를 흉골에 고정하여 흉골을 원하는 위치에 고정한다. 선택적으로 스테인리스 스틸 와이어를 임플란트와 갈비뼈 주위에 감아 추가 고정할 수 있다. 누스 수술과 마찬가지로, 펙투스 업 테크닉은 흉골이 영구적으로 새로운 위치를 잡은 후 몇 년 후에 임플란트 하드웨어를 제거하는 후속 수술이 필요하다. 타울리노성형술에 사용되는 임플란트 및 관련 하드웨어는 벤추라 메디컬 테크놀로지스의 독점 제품이며, 펙투스 업이라는 브랜드 이름으로 수술 키트 형태로 판매된다.[59] 펙투스 업 테크닉은 흉강에 들어가는 위험과 단점을 제거하는 누스 수술의 대안으로 개발되었다. 환자는 일반적으로 누스 수술보다 수술 시간과 회복 시간이 짧고, 수술 후 통증이 적다.
'''일본의 수술 치료'''
일본에서는 누두흉 수술의 표준적인 술식으로 너스(Nuss) 수술법이 자리 잡았다. 늑골 아래에 티타늄 또는 스테인리스 스틸 재질의 바와 필요에 따라 안정장치를 2~3년 동안 삽입한 후 제거하여 흉골을 들어 올리는 방법이다. 장점으로는 흉골 융기술 변법에 비해 가슴 앞부분의 흉터가 작고 눈에 띄지 않으며, 뼈를 절개하지 않으므로 흉골 융기술 변법과 같은 뼈에서 오는 통증이 없다. 또한, "함몰 치료" 외에 "[https://www.med.kagawa-u.ac.jp/~keisei/routo/basic/thinchest/ 편평 흉곽]"도 해결한다. 단점으로는 흉골 융기술 변법에서는 하지 않는 옆구리 부분 절개(바 삽입을 위해)로 수술 후 며칠 동안 상처 부위에 통증이 따르며, 경막외 마취가 필요하다. 또한, 합병증 위험도 있는데, 가와사키 의과대학 및 니시노미야 와타나베 심장 뇌·혈관 센터 누두흉 치료 센터 연구에서 스테로이드가 효과적이었다고 발표되었다. 수술 후 바 제거까지 바 편위를 방지하기 위해 유도와 같은 운동 제한이 있다.
라비치(Ravitch) 수술법은 늑연골을 일부 절개하고 남은 늑연골과 흉골을 재봉합하는 수술법이다. 제2, 3 늑연골부터 제7 늑연골까지 광범위하게 절개하는 것이 일반적이다. 장점으로는 흉골 거상술에 비해 흉터가 눈에 띄지 않고, 진공 벨(Vacuum bell)보다 효과를 기대할 수 있다. Nuss 술식보다 합병증이 적다고 주장하는 외과의도 있다. 단점으로는 뼈를 절개하기 때문에 통증이 따르며, "함몰 치료"라는 국소적인 문제는 해결되지만 흉곽 전체의 편평함은 개선되지 않는다. 이는 흉부에 다소 광범위한 늑골 절개가 필요하다는 점과 함께 단점으로 꼽힌다. 수술 후 일정 기간 경과 후, 문제없이 스포츠 활동이 가능하다.
와다(Wada) 수술법은 늑골을 절개하여 흉골째 뒤집는 방법이다. 침습이 크고, 출혈량이 많으며, 흉터가 눈에 띄기 쉬워 너스 수술법 보급으로 현재는 거의 시행되지 않는다.
5. 3. 성형 수술
경미한 오목가슴은 교정 절차가 필요하지 않다.[20] 심각한 경우에는 침습적 시술 또는 비침습적 시술이나 두 가지 모두를 사용하는 기법으로 치료할 수 있다. 수술 전에는 일반적으로 CT 스캔, 폐 기능 검사, 심장학 검사(청진 및 ECG 등)를 포함한 여러 검사를 수행한다.[21] CT 스캔 촬영 후에는 Haller 지수를 측정한다. 환자의 Haller 지수는 횡경(늑골 내부의 수평 거리)과 전후경(척추와 흉골 사이의 가장 짧은 거리)의 비율을 계산하여 구한다.[22] Haller 지수가 3.25보다 크면 일반적으로 심각한 것으로 간주되며, 정상적인 가슴은 지수가 2.5이다.[17][23][24] 심폐 기능 검사는 폐활량을 확인하고 심장 잡음을 확인하는 데 사용된다.[25]임플란트는 오목가슴을 형태학적 관점에서 치료할 수 있게 해준다. 이 시술은 간단하고 신뢰할 수 있으며 최소 침습적이면서 미적으로 만족스러운 결과를 제공한다.[60] 그러나 이 시술은 드물게 오목가슴으로 인해 발생할 수 있는 심장 및 호흡기 문제를 해결하지는 않는다. 여성 환자의 경우, 유방 비대칭은 이 시술로 부분적으로 또는 완전히 교정될 수 있다.[61]
환자의 흉부 피부에 직접 석고 모델을 제작하는 과정이 임플란트 설계에 사용될 수 있다. 의료 영상 기술과 CAD(컴퓨터 지원 설계)[62]의 발전으로 늑골에서 직접 맞춤형 3D 임플란트를 설계할 수 있게 되어, 더 정확하고 흉근 아래에 쉽게 삽입할 수 있으며 각 환자의 모양에 완벽하게 적합하다.[63] 임플란트는 내마모성이 뛰어나고 내구성이 매우 강한 의료용 실리콘 고무로 만들어진다(유방 보형물에 사용되는 실리콘 젤과는 다르다). 임플란트는 수명 동안 지속되며(부작용의 경우 제외) 외부에서 보이지 않는다.
수술은 전신 마취하에 진행되며 약 1시간 정도 소요된다. 외과의는 약 7cm의 절개를 하고, 가슴에 맞춤형 공간을 준비한 후, 근육 깊숙이 임플란트를 삽입한 다음 절개를 봉합한다. 수술 후 입원 기간은 일반적으로 약 3일이다.
수술 후 회복에는 일반적으로 경미한 통증 완화만 필요하다. 수술 후에는 며칠 동안 수술용 드레싱이 필요하며, 시술 후 한 달 동안 압박 조끼를 착용해야 한다. 일주일 후에 장액종 천자를 위해 검진 약속을 잡는다. 수술에 합병증이 거의 없다면 환자는 빠르게 일상 활동을 재개할 수 있으며, 15일 후에 직장에 복귀하고 3개월 후에 모든 스포츠 활동에 참여할 수 있다.
"자가지방이식" 기술은 굵은 바늘이 달린 주사기를 사용하여 환자로부터 지방을 흡입하고(보통 복부 또는 허벅지 바깥쪽), 원심분리 후 지방 세포를 채워야 하는 함몰 부위 아래 피부에 재주입하는 것이다. 이 기술은 주로 일반적인 수술 치료 후에도 지속될 수 있는 작은 결함을 교정하는 데 사용된다.
6. 합병증
오목가슴 자체로는 합병증이 발생하지 않지만, 수술 후에는 합병증이 나타날 수 있다.
누두흉 수술은 일본에서 표준적인 수술법으로 자리 잡았다. 늑골 아래에 티타늄이나 스테인리스 스틸 재질의 막대와 안정 장치를 2~3년 동안 삽입한 후 제거하여 흉골을 들어 올리는 방식이다. 이 수술법은 흉터가 작고 눈에 띄지 않으며, 뼈를 절개하지 않아 흉골 융기술 변법처럼 뼈에서 발생하는 통증이 없다. 또한 https://www.med.kagawa-u.ac.jp/~keisei/routo/basic/thinchest/ 편평 흉곽도 개선할 수 있다. 그러나 옆구리 절개로 인해 수술 후 며칠 동안 상처 부위에 통증이 발생하므로 경막외 마취가 필요하며, 합병증 위험도 존재한다. 가와사키 의과대학 등에서는 스테로이드가 합병증에 효과적이라고 발표했다.[1] 수술 후 막대 제거 전까지는 유도와 같은 운동에 제한이 있다.[1]
늑연골 일부를 절개하고 남은 늑연골과 흉골을 다시 봉합하는 수술법도 있다. 이 방법은 흉터가 눈에 띄지 않고 진공 벨보다 효과를 기대할 수 있다는 장점이 있다. 일부 외과의는 Nuss 술식보다 합병증이 적다고 주장한다. 하지만 뼈를 절개하므로 통증이 발생하고, 함몰된 가슴은 치료되지만 흉곽 전체의 편평함은 개선되지 않는다. 또한 흉부에 다소 넓은 범위의 늑골 절개가 필요하다.
수술 후 일정 기간이 지나면 문제없이 스포츠 활동을 할 수 있다.[1]
6. 1. 수술 후 합병증
누두흉 수술은 일본에서 표준적인 술식으로 자리 잡았다. 늑골 아래에 티타늄 또는 스테인리스 스틸 재질의 바와 필요에 따라 안정장치를 2~3년 동안 삽입한 후 제거하여 흉골을 들어 올리는 방법이다. 이 수술법의 장점은 다음과 같다.- 가슴 앞부분의 흉터가 흉골 융기술 변법에 비해 작고 눈에 띄지 않는다.
- 뼈를 절개하지 않으므로 흉골 융기술 변법과 같은 뼈에서 오는 통증이 없다.
- 함몰된 가슴이 치료될 뿐만 아니라 https://www.med.kagawa-u.ac.jp/~keisei/routo/basic/thinchest/ 편평 흉곽도 개선된다.
단점은 다음과 같다.
- 흉골 융기술 변법에서는 하지 않는 옆구리 부분의 절개(바 삽입을 위해)를 하므로 수술 후 며칠 동안 상처 부위에 통증이 따르며, 따라서 경막외 마취가 필요하다.
- 합병증의 위험이 있다. 가와사키 의과대학 및 니시노미야 와타나베 심장 뇌·혈관 센터 누두흉 치료 센터의 연구에서는 스테로이드가 합병증에 효과적이었다고 발표했다.[1]
수술 후 바를 제거할 때까지 바의 편위를 방지하기 위해 유도와 같은 운동 제한이 있다.[1]
늑연골을 일부 절개하고 남은 늑연골과 흉골을 재봉합하는 수술법도 있다. 제2, 3 늑연골부터 제7 늑연골까지 광범위하게 절개하는 것이 일반적이다. 이 수술법의 장점은 다음과 같다.
- 흉골 거상술에 비해 흉터가 눈에 띄지 않는다.
- 진공 벨(Vacuum bell)보다 효과도 기대할 수 있다.
- 일부 외과의들은 Nuss 술식보다 합병증이 적다고 주장한다.
단점은 다음과 같다.
- 뼈를 절개하기 때문에 통증이 따른다.
- 함몰된 가슴은 치료되지만, 흉곽 전체의 편평함은 개선되지 않는다.
- 흉부에 다소 광범위한 늑골 절개가 필요하다.
수술 후 일정 기간이 지나면 문제없이 스포츠 활동을 할 수 있다.[1]
7. 사회적 문제
미국의 올림픽 수영 선수 코디 밀러는 폐활량을 제한했음에도 불구하고 오목가슴 치료를 받지 않기로 결정했다. 그는 2016년에 금메달을 획득했다.[69][70][71] 배우 조엘 키나만은 얼터드 카본 촬영 전에 변형을 교정하기 위해 흉골을 밖으로 밀어내는 두 개의 금속 막대를 삽입하는 수술을 받았다.[72] 영국의 코미디언이자 진행자인 조쉬 위디콤과 유튜버/스트리머 루드비히 아흐렌도 이 질환을 앓고 있는 것으로 알려져 있다.[73] 자크 우즈는 오목가슴을 앓고 있는 또 다른 인기 있는 미국 배우이며, 이는 ''오피스'' (시즌 8, 에피소드 12) 에피소드에서 상의를 벗는 장면에 나타난다.[74] 네덜란드 보디빌더, 배우이자 머슬 미츠 CEO인 올리비에 리히터스는 수술 교정을 받기 전에 이 질환을 앓았다.[74][75]
콜럼바인 고등학교 총기 난사 사건을 저지른 미국의 대량 살인범 에릭 해리스도 오목가슴을 앓고 있었다.[76] 그는 12세와 13세에 변형을 교정하기 위한 수술을 받았지만, 부검 당시에도 여전히 눈에 띄었다.[76]
8. 관련 인물
코디 밀러(1992년 출생)는 미국의 올림픽 수영 선수로, 폐활량이 제한됨에도 불구하고 오목가슴 치료를 받지 않기로 결정했으며 2016년에 금메달을 획득했다.[69][70][71] 조엘 키나만은 배우로, ''얼터드 카본'' 촬영 전에 변형을 교정하기 위해 흉골을 밖으로 밀어내는 두 개의 금속 막대를 삽입하는 수술을 받았다.[72] 조쉬 위디콤은 영국의 코미디언이자 진행자이며, 루드비히 아흐렌은 유튜버/스트리머로 이들 또한 오목가슴을 앓고 있다.[73] 자크 우즈는 미국의 배우로, 오목가슴을 앓고 있으며 ''오피스'' (시즌 8, 에피소드 12)에서 상의를 벗는 장면에 나타난다.[74] 올리비에 리히터스("더치 자이언트")는 네덜란드 보디빌더, 배우이자 머슬 미츠 CEO로, 수술 교정을 받기 전에 이 질환을 앓았다.[74][75]
에릭 해리스는 콜럼바인 고등학교 총기 난사 사건을 저지른 미국의 대량 살인범으로, 오목가슴을 앓고 있었다.[76] 그는 12세와 13세에 변형을 교정하기 위한 수술을 받았지만, 부검 당시에도 여전히 눈에 띄었다.[76]
참조
[1]
MedlinePlusEncyclopedia
Pectus excavatum
[2]
논문
Management of congenital chest wall deformities
[3]
논문
Treatment of flaring of the costal arch after the minimally invasive pectus excavatum repair (Nuss procedure) in children
[4]
EMedicine
Pectus Excavatum
[5]
논문
Anatomical, histologic, and genetic characteristics of congenital chest wall deformities
[6]
웹사이트
Cardiopulmonary Manifestations of Pectus Excavatum
http://www.medscape.[...]
[7]
논문
Right Ventricular Compression Observed in Echocardiography from Pectus Excavatum Deformity
2011
[8]
논문
Congenital chest wall deformities
[9]
논문
Pectus excavatum (funnel chest): a historical and current prospective
[10]
논문
Against the Overgrowth Hypothesis: Shorter Costal Cartilage Lengths in Pectus Excavatum
2019-03
[11]
EMedicine
Genetics of Marfan Syndrome
[12]
논문
Family study of the inheritance of pectus excavatum
2006-10
[13]
논문
Improved cardiac function and exercise capacity following correction of pectus excavatum: a review of current literature
[14]
논문
Cardiac findings in pectus excavatum in children: review and differential diagnosis
[15]
논문
The surgical treatment of funnel chest. Initial and follow-up results
[16]
서적
Nursing Care of the Pediatric Surgical Patient (Browne, Nursing Care of the Pediatric Surgical Patient)
Jones & Bartlett Publishers
[17]
논문
Use of CT scans in selection of patients for pectus excavatum surgery: a preliminary report
[18]
논문
Radioopacity of the right paracardiac lung field due to pectus excavatum (funnel chest)
[19]
논문
Chest x-ray as a primary modality for preoperative imaging of pectus excavatum
[20]
서적
Nelson Textbook of Pediatrics
Elsevier
[21]
논문
Pectus excavatum
http://findarticles.[...]
[22]
논문
Índice antropométrico para classificação quantitativa do pectus excavatum
2004-12
[23]
논문
The Nuss Procedure for Pectus Excavatum Correction
2001-12
[24]
웹사이트
Pectus Excavatum overview
http://www.cigna.com[...]
[25]
논문
Cardiopulmonary exercise testing and its application
2007-11-01
[26]
웹사이트
Lung elasticity, thorax, and age
http://www.spirxpert[...]
2016-04-14
[27]
서적
Fundamentals of Pediatric Surgery
https://books.google[...]
Springer Science & Business Media
2011-02-15
[28]
서적
Congenital Thoracic Wall Deformities: Diagnosis, Therapy and Current Developments
https://books.google[...]
Springer Science & Business Media
2011-09-15
[29]
서적
Ashcraft's Pediatric Surgery
https://books.google[...]
Elsevier Health Sciences
2014-01-31
[30]
서적
Operative Pediatric Surgery, Seventh Edition
https://books.google[...]
CRC Press
2013-05-21
[31]
간행물
chkd
http://www.chkd.org/[...]
Children's Hospital of the King's Daughters
[32]
논문
The vacuum bell for treatment of pectus excavatum: an alternative to surgical correction?
2006-04
[33]
논문
Pectus excavatum: history, hypotheses and treatment options
[34]
뉴스
Non-surgical sunken chest treatment device may eliminate surgery
http://www.massdevic[...]
Mass Device
2012-11
[35]
간행물
First patients in US receive non-surgical device of sunken chest syndrome
https://www.eurekale[...]
Children's Hospital of The King's Daughters
2012-11-21
[36]
논문
Preliminary study of efficacy of cup suction in the correction of typical pectus excavatum
[37]
논문
Non-surgical treatment of pectus excavatum
[38]
논문
Nonoperative management of pectus excavatum with vacuum bell therapy: A single center study
2018-06
[39]
논문
Is vacuum bell therapy effective in the correction of pectus excavatum?
2019-08-01
[40]
논문
Orthopedic Approach to Pectus Deformities: 32 Years of Studies
[41]
웹사이트
LaceIT PE Brace
http://laceitpe.com
[42]
웹사이트
Orthopectus
http://www.orthopect[...]
[43]
논문
To Nuss or Not to Nuss? Two Opposing Views
2009
[44]
웹사이트
Thoracic Surgery
https://www.lecturio[...]
2021-07-02
[45]
논문
Cardiovascular Function Following Surgical Repair of Pectus Excavatum
2006-08
[46]
논문
Pulmonary function following surgical repair of pectus excavatum: a meta-analysis
2006-10
[47]
논문
Minimally Invasive Repair of Pectus Excavatum
2009
[48]
논문
Magnetic Mini-Mover Procedure for pectus excavatum
2007-01
[49]
논문
Magnetic mini-mover procedure for pectus excavatum III: safety and efficacy in a Food and Drug Administration-sponsored clinical trial
2012-01
[50]
논문
The Operative Treatment of Pectus Excavatum
1949-04
[51]
논문
Surgery for Recurrent Pectus Deformities
2009-11
[52]
논문
Minimally invasive repair of pectus excavatum by the Nuss procedure in Poland and worldwide – a summary of 25 years of history
2013
[53]
논문
A 10-year review of a minimally invasive technique for the correction of pectus excavatum
1998-04
[54]
논문
Early results following the Nuss operation for pectus excavatum - a single-institution experience of 383 patients
2008-02-01
[55]
논문
Short Nuss bar procedure
2016-09
[56]
논문
Short Nuss bar procedure
2016-09
[57]
논문
Marlex Mesh Support for the Correction of Very Severe and Recurrent Pectus Excavatum
1978-07
[58]
논문
Taulinoplasty: the traction technique—a new extrathoracic repair for pectus excavatum
2016-09
[59]
웹사이트
Pectus UP surgery kit, the solution for Pectus Excavatum
http://pectusup.com/[...]
2019-11-29
[60]
논문
Pectus excavatum : correction par la technique de comblement avec mise en place d'une prothèse en silicone sur mesure en position rétromusculaire profonde
2010-01
[61]
논문
Correction des asymétries mammaires associées au pectus excavatum primaire
2013-02
[62]
웹사이트
Pectus Excavatum & Poland Syndrome treatment I AnatomikModeling
http://www.anatomikm[...]
[63]
논문
Apport de l'informatique à la sélection des implants mammaires ou à la fabrication sur mesure des implants thoraciques
2010-10
[64]
문서
Pectus Excavatum
[65]
웹사이트
Pectus Excavatum: Frequently Asked Questions: Surgery: UI Health Topics
http://www.uihealthc[...]
[66]
서적
Dorland's Medical Dictionary
Saunders
2017-05-24
[67]
웹사이트
Pectus Excavatum
http://www.fpnoteboo[...]
[68]
서적
Genetics for Surgeons
https://www.ncbi.nlm[...]
Remedica Publishing
[69]
URL
http://www.raredr.co[...]
[70]
웹사이트
Cody Miller
http://www.usaswimmi[...]
[71]
뉴스
Cody Miller is IU's first U.S. Olympic swimmer in 40 years
http://www.indystar.[...]
2016-06-27
[72]
뉴스
Altered Carbon: the cast of Netflix's sci-fi saga on immortality, fight scenes, and full-frontal nudity
https://www.telegrap[...]
2018-02-01
[73]
트윗
would you take $1,000,000 to drink fireball out of my chest hole #fireballpartner
2020-10-03
[74]
웹사이트
40 Celebrities that have Pectus Excavatum - Life with pectus
https://www.lifewith[...]
2021-11-20
[75]
웹사이트
Dutch Giant Towers Over Phil Heath, The Mountain, Big Ramy & Others Making Everyone Look Tiny!
https://fitnessvolt.[...]
2017-06-13
[76]
웹사이트
Eric Harris's Autopsy Report {{!}} School Shooters .info
https://schoolshoote[...]
2023-04-26
[77]
웹사이트
Genetic Anomalies of Cats
http://www.messybeas[...]
[78]
학술지
Surgical correction of pectus excavatum, using external splintage in two dogs and a cat
[79]
학술지
Use of internal splinting to realign a noncompliant sternum in a cat with pectus excavatum
[80]
학술지
Repair of pectus excavatum by percutaneous suturing and temporary external coaptation in a kitten
본 사이트는 AI가 위키백과와 뉴스 기사,정부 간행물,학술 논문등을 바탕으로 정보를 가공하여 제공하는 백과사전형 서비스입니다.
모든 문서는 AI에 의해 자동 생성되며, CC BY-SA 4.0 라이선스에 따라 이용할 수 있습니다.
하지만, 위키백과나 뉴스 기사 자체에 오류, 부정확한 정보, 또는 가짜 뉴스가 포함될 수 있으며, AI는 이러한 내용을 완벽하게 걸러내지 못할 수 있습니다.
따라서 제공되는 정보에 일부 오류나 편향이 있을 수 있으므로, 중요한 정보는 반드시 다른 출처를 통해 교차 검증하시기 바랍니다.
문의하기 : help@durumis.com