고관절 이형성증
"오늘의AI위키"의 AI를 통해 더욱 풍부하고 폭넓은 지식 경험을 누리세요.
1. 개요
고관절 이형성증은 고관절이 정상적으로 발달하지 않아 발생하는 질환으로, 증상은 경미한 불완전성에서 심각한 탈구까지 다양하게 나타날 수 있다. 원인은 다인자적이며, 유전적 요인, 둔위 태아, 속싸개 사용 등 환경적 요인이 복합적으로 작용한다. 신생아 선별 검사, 초음파, X-ray 등을 통해 진단하며, 파블릭 보장구, 프레이카 베개와 같은 비수술적 치료와 수술적 치료가 있다. 발생률은 민족, 진단 방법에 따라 다르며, 여성에게서 더 흔하게 나타난다.
더 읽어볼만한 페이지
2. 증상
고관절 이형성증은 증상이 거의 없는 것부터 심각한 이형성에 이르기까지 범위가 다양할 수 있다. 선천성 형태인 기형이나 축소되지 않는 탈구는 더 복잡한 질병의 일부로서 발생한다.
이 질환은 양쪽 모두에 발생할 수 있고 한 쪽에만 발생할 수도 있다.
- 양쪽 고관절 모두 영향을 받는 경우 "양측성" 이형성증이라고 한다. 이 경우 비대칭 주름 및 다리 길이 불균형과 같은 일부 진단 지표는 적용되지 않는다.
- 편측성 이형성증의 경우 한쪽 관절만 변형을 보이며, 반대쪽에서 그 결과가 나타날 수 있다.[5] 편측성 사례의 대부분에서 왼쪽 고관절에 이형성증이 나타난다.
관절이 완전히 탈구된 경우, 탈구된 대퇴골두 위치의 반대쪽에 종종 가성 비구(골반 위쪽)가 형성된다.
비구 이형성증의 경우 비구 (소켓)가 너무 얕거나 변형된다. 고관절 내반 변형으로 대퇴골두가 몸통에 비해 너무 좁은 각도로 자라는 경우와 고관절 외반 변형으로 해당 각도가 너무 넓은 경우가 대퇴골 이형성증의 두 가지 형태이다.
드문 유형인 "Beukes 가족성 고관절 이형성증"은 Beukes 가문의 구성원인 아프리카너에게서 발견된다. 대퇴골두는 평평하고 불규칙하다. 사람들은 조기에 골관절염을 앓게 된다.[7]


모든 신생아는 선천성 고관절 이형성증에 대한 선별 검사를 받아야 한다. 신생아의 고관절 이형성증을 감지하기 위한 선별 검사 기술에는 다음 관찰이 포함된다.
- 다리의 비대칭 및 비대칭적인 둔부 주름 ,[21]
- 사지 길이 차이(아기를 앙와위로 눕혀 엉덩이와 무릎을 구부림으로써 평가됨[무릎 높이가 같지 않게 보일 수 있음 - 갈레아찌 징후]), 및
- 고관절 외전 제한.
때때로 검사 중에 엉덩이에서 "딸깍" 소리 또는 좀 더 정확하게는 "딸각거리는" 소리가 감지될 수 있다[22] (하지만 모든 딸깍 소리가 고관절 이형성증을 나타내는 것은 아님).[23] 엉덩이 딸깍 소리(영국에서는 "딸깍거리는 엉덩이"라고도 함)가 감지되면, 고관절 발달 이형성증이 있는지 확인하기 위해 추가 선별 검사로 아이의 엉덩이를 추적한다.[24][25] 그러나 2021년 4월에 발표된 새로운 영국 지침에서는 고립된 딸깍 소리는 더 이상 임상적으로 유의미한 것으로 간주되지 않으므로 양성 선별 기준을 충족하지 않는다고 명시했다.[26]
신생아 검사에서 일반적으로 사용되는 두 가지 조작법은 Ortolani 조작과 Barlow 조작이다.[27][28]
Ortolani 조작을 수행하려면 검사자가 신생아를 반대쪽 엉덩이를 고정하고 검사할 엉덩이의 허벅지를 외전시키고 부드럽게 앞쪽으로 당기는 자세로 만드는 것이 권장된다. "딸깍" 소리가 들리면(대퇴골두가 비구 위로 움직이는 소리) 관절은 정상이지만, "딸깍" 소리가 나지 않으면 비구가 완전히 발달하지 않았음을 나타낸다. 사용할 수 있는 다음 방법은 Barlow 조작이라고 한다. 허벅지를 뒤쪽으로 밀면서 고관절을 내전시켜 수행한다. 엉덩이가 소켓 밖으로 나오면 탈구된 것이므로, 신생아에게 선천성 고관절 탈구가 있는 것이다. 다리를 벌려 검사하기 위해 아기를 등을 대고 눕힌다. 딸깍 소리가 들리면 아기가 고관절 탈구가 있을 수 있음을 나타낸다. 아기가 칭얼거리지 않을 때 이러한 조작을 수행하는 것이 매우 권장된다. 왜냐하면 아기가 엉덩이 움직임을 억제할 수 있기 때문이다.
Harris 고관절 점수[33]는 수술 후 고관절 기능을 평가하는 한 가지 방법이다. 다른 점수 방법은 Oxford 고관절 점수, HOOS 및 WOMAC 점수와 같은 환자의 평가를 기반으로 한다.[34] Children's Hospital Oakland Hip Evaluation Scale (CHOHES)는 현재 평가 중인 Harris 고관절 점수의 수정본이다.[35]
고관절 이형성증은 나이가 들어서도 발생할 수 있다. 고관절 이형성증이 있는 청소년 및 성인은 절뚝거리는 보행, Trendelenburg 징후, 고관절 외전 감소, 고관절 통증 및 일부 경우 고관절 순 파열을 나타낼 수 있다.
3. 원인
고관절 이형성증은 여러 요소가 복합적으로 작용하는 다인성 질병이다.[69] 구체적인 원인은 아직 밝혀지지 않았지만, 거대아나 둔위 태아에게서 흔히 나타난다.
이 질환은 다인자적 특성을 가지며, 유전 및 인종적 배경과 관련이 있다.[8] 일부 아메리카 원주민 집단에서 높은 발병률을 보이는 것은 속싸개 사용과 관련이 있는 것으로 추정된다. 반면, 아프리카계 미국인과 중국 남부 지역 중국인은 발병 위험이 낮다. 일부 연구에서는 릴랙신 호르몬과의 관련성을 제시하기도 한다.[59][9]
둔위 분만은 대퇴골두를 관절구 밖으로 밀어내는 경향이 있어 주요 위험 요인으로 작용할 수 있다.[3] 또한, 유아를 속박하는 전통,[18] 과도하게 제한적인 유아용 시트나 캐리어,[19] 고관절을 "내전" 위치로 고정하는 요람판 사용도 관련이 있다. 좁은 자궁이나 자세 쏠림, 슬링 사용도 발병 원인이 될 수 있다.[67]
"선천성 고관절 탈구"(CDH)보다 "고관절 발달성 이형성증"(DDH)이라는 용어가 더 선호되기도 하는데, 이는 CDH가 잠재적 합병증의 다양성을 충분히 설명하지 못한다고 판단되기 때문이다.[38] DDH는 아탈구, 이형성증, 탈구를 포함하며, 지지 캡슐 이완이나 비정상적인 비구가 주요 유형이다.
3. 1. 선천성
고관절 이형성증은 여러 요소가 복합적으로 작용하여 발생하는 다인성 질환으로 여겨진다.[69] 정확한 원인은 알려져 있지 않으나, 거대아나 둔위 태아에게서 자주 발생하는 경향이 있다.일부 연구에서는 호르몬, 특히 릴렉신과의 관련성을 제시하기도 한다.[70][71]
이 질환은 다인자적 특성을 보이며, 유전적 요인과 인종적 배경이 발병에 영향을 미치는 것으로 알려져 있다. 예를 들어, 일부 아메리카 원주민 집단에서 높은 발병률을 보이는 것은 속싸개 사용과 관련이 있는 것으로 추정되며, 이는 이형성증의 잠재적 위험 요인으로 간주된다. 반면, 아프리카계 미국인과 중국 남부 지역 중국인에게는 발병 위험이 낮다.
여성에게서 발병하는 경우가 전체의 75%를 차지한다.[44] 또한, 가족력이 있거나 특정 민족 집단(미국 원주민,[10] 사미인[11][12])에서 발생률이 높은 것으로 보아 유전적 요인이 작용하는 것으로 보인다. 13번 염색체에서 관련 유전자좌가 확인되었으며,[13] Beukes 가족성 이형성증은 4q35 염색체 4번의 11-cM 영역에 위치하는 것으로 밝혀졌다.[14] 이 외에도 성별, 유전(가족력),[15][16] 첫째 아이 여부[17] 등이 추가적인 위험 요인으로 작용한다.
3. 2. 후천성
후천성 고관절 이형성증은 유아기의 강보(swaddling)[72]나 아기의 자리, 이동에 과도한 제한을 받는 것[73]과 관련이 있는 경우가 많다. 고관절 이형성증은 여러 요인이 복합적으로 작용하여 발생하는 다인자적 질환으로 여겨진다.[8]정확한 원인은 알려져 있지 않지만, 선천성 고관절 탈구의 일부 요인은 유전 및 인종적 배경과 관련이 있다. 일부 아메리카 원주민 집단과 같이 특정 민족 집단에서 발병률이 높은 것은 신생아 속싸개 사용과 관련이 있는 것으로 추정되는데, 이는 이형성증 발병의 잠재적 위험 요인으로 알려져 있다. 아프리카계 미국인과 중국 남부 지역 중국인은 발병 위험이 낮다.
둔위 분만 시 대퇴골두는 관절구 밖으로 밀려나는 경향이 있으며, 둔위는 유아의 질식 분만 여부와 관계없이 가장 중요한 단일 위험 요인일 수 있다.[3]
후천적인 상태로서, 이 질환은 유아를 속박하는 전통,[18] 과도하게 제한적인 유아용 시트, 캐리어 및 기타 아기 운반 방법의 사용,[19] 또는 고관절을 "내전" 위치(무릎을 함께 당기는 자세)로 고정하는 요람판 사용과 관련이 있다. 이러한 자세는 대퇴골 머리를 관절구 또는 비구에서 빼내는 경향이 있다. '고관절 건강 속박'과 같은 현대적인 속박 기술은 전통적인 속박 방법으로 인한 고관절 스트레스를 완화하기 위해 개발되었다.[20]
좁은 자궁 또한 태아 발달 및 출산 중 고관절 탈구를 촉진할 수 있다. 자세 쏠림에 의해서도 발병하며, 최근에는 슬링으로 인해 발병하는 사례가 증가하여 문제가 되고 있다.[67]
4. 진단
고관절 이형성증은 초음파[42]와 투사 방사선 촬영(X-ray)[43]으로 진단할 수 있다. 초음파 영상은 대퇴골두의 골화가 제한적인 4개월까지 선호되는데, 이는 출생 후 초기 몇 달 동안 고관절을 영상화하는 데 가장 정확한 방법이다. 하지만 생후 3~4주 전에는 생리적인 정상 이완성 때문에 초음파 검사를 해서는 안 된다.[46][47]
모든 신생아는 선천성 고관절 이형성증에 대한 선별 검사를 받아야 한다. 신생아의 고관절 이형성증을 감지하기 위한 선별 검사에는 다음 관찰이 포함된다.[21]
- 다리의 비대칭 및 비대칭적인 둔부 주름[21]
- 사지 길이 차이 (아기를 앙와위로 눕혀 엉덩이와 무릎을 구부림으로써 평가되며, 무릎 높이가 같지 않게 보일 수 있는데 이를 갈레아찌 징후라고 한다.)
- 고관절 외전 제한
때때로 검사 중에 엉덩이에서 "딸깍" 소리 또는 "딸각거리는" 소리가 감지될 수 있다[22] (하지만 모든 딸깍 소리가 고관절 이형성증을 나타내는 것은 아니다).[23] 엉덩이 딸깍 소리가 감지되면, 고관절 발달 이형성증이 있는지 확인하기 위해 추가 선별 검사로 아이의 엉덩이를 추적한다.[24][25]
신생아 검사에서 일반적으로 사용되는 두 가지 조작법은 Ortolani 조작과 Barlow 조작이다.[27][28] Ortolani 조작은 검사자가 신생아를 반대쪽 엉덩이를 고정하고 검사할 엉덩이의 허벅지를 외전시키고 부드럽게 앞쪽으로 당기는 방식으로 진행된다. "딸깍" 소리가 들리면(대퇴골두가 비구 위로 움직이는 소리) 관절은 정상이지만, "딸깍" 소리가 나지 않으면 비구가 완전히 발달하지 않았음을 나타낸다. Barlow 조작은 허벅지를 뒤쪽으로 밀면서 고관절을 내전시켜 수행한다. 엉덩이가 소켓 밖으로 나오면 탈구된 것이므로, 신생아에게 선천성 고관절 탈구가 있는 것이다. 아기가 칭얼거리지 않을 때 이러한 조작을 수행하는 것이 좋은데, 아기가 엉덩이 움직임을 억제할 수 있기 때문이다.
하지만 최신 증거에 따르면 임상 선별 검사는 고관절 발달 이형성증을 진단하는 데 충분히 신뢰할 수 없다.[29] 신생아의 고관절 검사가 고통스럽다는 증거가 있으며, 경구 포도당 형태의 통증 완화가 제안되었지만 아직 널리 받아들여지지 않고 있다.[30][31] 많은 신생아의 엉덩이가 어느 정도의 인대 이완성을 보이고, 반면에 심하게 기형된 관절은 안정적으로 보일 수 있다. 이것이 후속 검사 및 발달 모니터링이 중요한 이유이다.
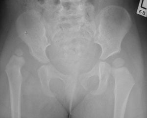
나이가 들어서도 고관절 이형성증이 발생할 수 있다. 고관절 이형성증이 있는 청소년 및 성인은 절뚝거리는 보행, 트렌델렌부르크 징후, 고관절 외전 감소, 고관절 통증 및 일부 경우 고관절 순 파열을 나타낼 수 있다. 투사 방사선 촬영(X-ray)은 고관절 이형성증의 진단을 확인하는 데 사용된다. CT 스캔과 MRI 스캔도 가끔 사용된다.[36][37]
고관절 이형성증 엑스레이 사진도 참고할 수 있다. 골반 X-레이는 고관절 이형성증을 진단하거나 모니터링하거나, 다른 선천성 질환 또는 골종양을 평가하는 데 여전히 자주 사용된다.[45]
미국 방사선학회 적정성 기준에 따른 고관절 이형성증 영상 촬영 지침은 다음과 같다.[46]
4. 1. 한국
한국에서는 갈레아치 검사를 앨리스 징후(Allis sign)라고 부르는 경우가 많다.[1]4. 2. 미국
미국에서는 신생아의 고관절 이형성증 선별 검사가 일반적이다. 이 검사에는 둔부 주름의 비대칭, 다리 길이 차이, 고관절 외전 제한 등의 관찰이 포함된다.[21] 때때로 "딸깍" 소리가 감지될 수 있는데,[22] 이 경우 추가 검사를 통해 고관절 발달 이형성증 여부를 확인한다.[24][25]신생아 검사에는 Ortolani 조작과 Barlow 조작이 사용된다.[27][28] Ortolani 조작은 신생아를 눕혀 엉덩이를 고정하고 검사할 엉덩이의 허벅지를 외전시키고 부드럽게 앞쪽으로 당기는 방식으로 진행된다. "딸깍" 소리가 들리면 정상, 그렇지 않으면 비구가 완전히 발달하지 않은 것이다. Barlow 조작은 허벅지를 뒤쪽으로 밀면서 고관절을 내전시켜 수행하며, 엉덩이가 소켓 밖으로 나오면 탈구된 것이다. 그러나 최신 증거에 따르면 임상 선별 검사는 고관절 발달 이형성증 진단에 충분히 신뢰할 수 없다.[29]
초음파[42]와 투사 방사선 촬영(X-ray)[43]이 진단에 사용될 수 있다. 초음파 영상은 대퇴골두의 골화가 제한적인 4개월까지 선호되며, 출생 후 초기 몇 달 동안 고관절을 영상화하는 데 가장 정확하다.[46] 그러나 대부분의 경우 생후 3~4주 전에는 초음파 검사를 수행해서는 안 된다.[46][47] 미국 소아과학회에서는 신생아의 보편적인 초음파 검사를 권장하지 않는다.[44]
미국 방사선학회 적정성 기준에 따른 고관절 이형성증 영상 촬영 지침은 다음과 같다:[46]
아메리카 원주민은 다른 인종보다 선천성 고관절 탈구를 겪을 가능성이 더 높다. 아메리카 원주민의 위험은 1,000명 중 약 25~50명이다.
4. 3. 기타
모든 신생아는 선천성 고관절 이형성증에 대한 선별 검사를 받아야 한다. 신생아의 고관절 이형성증을 감지하기 위한 선별 검사에는 다음과 같은 관찰이 포함된다.[21]- 다리의 비대칭 및 비대칭적인 둔부 주름
- 사지 길이 차이 (아기를 앙와위로 눕혀 엉덩이와 무릎을 구부림으로써 평가되며, 무릎 높이가 같지 않게 보일 수 있는데, 이를 갈레아찌 징후라고 한다.)
- 고관절 외전 제한
때때로 검사 중에 엉덩이에서 "딸깍" 소리 또는 "딸각거리는" 소리가 감지될 수 있다.[22] (하지만 모든 딸깍 소리가 고관절 이형성증을 나타내는 것은 아니다).[23] 엉덩이 딸깍 소리(영국에서는 "딸깍거리는 엉덩이"라고도 함)가 감지되면, 고관절 발달 이형성증이 있는지 확인하기 위해 추가 선별 검사로 아이의 엉덩이를 추적한다.[24][25] 그러나 2021년 4월에 발표된 새로운 영국 지침에서는 고립된 딸깍 소리는 더 이상 임상적으로 유의미한 것으로 간주되지 않으므로 양성 선별 기준을 충족하지 않는다고 명시했다.[26]
신생아 검사에서 일반적으로 사용되는 두 가지 조작법은 Ortolani 조작과 Barlow 조작이다.[27][28]
Ortolani 조작을 수행하려면 검사자가 신생아를 반대쪽 엉덩이를 고정하고 검사할 엉덩이의 허벅지를 외전시키고 부드럽게 앞쪽으로 당기는 자세로 만드는 것이 권장된다. "딸깍" 소리가 들리면(대퇴골두가 비구 위로 움직이는 소리) 관절은 정상이지만, "딸깍" 소리가 나지 않으면 비구가 완전히 발달하지 않았음을 나타낸다. 사용할 수 있는 다음 방법은 Barlow 조작이라고 한다. 허벅지를 뒤쪽으로 밀면서 고관절을 내전시켜 수행한다. 엉덩이가 소켓 밖으로 나오면 탈구된 것이므로, 신생아에게 선천성 고관절 탈구가 있는 것이다. 다리를 벌려 검사하기 위해 아기를 등을 대고 눕힌다. 딸깍 소리가 들리면 아기가 고관절 탈구가 있을 수 있음을 나타낸다. 아기가 칭얼거리지 않을 때 이러한 조작을 수행하는 것이 매우 권장된다. 왜냐하면 아기가 엉덩이 움직임을 억제할 수 있기 때문이다. 전반적으로, 최신 증거에 따르면 임상 선별 검사는 고관절 발달 이형성증을 진단하는 데 충분히 신뢰할 수 없다.[29]
신생아의 고관절 검사가 고통스럽다는 증거가 있으며, 경구 포도당 형태의 통증 완화가 제안되었지만 아직 널리 받아들여지지 않고 있다.[30][31]
많은 신생아의 엉덩이가 어느 정도의 인대 이완성을 보이고, 반면에 심하게 기형된 관절은 안정적으로 보일 수 있다는 점은 답답한 부분이다. 이것이 후속 검사 및 발달 모니터링이 중요한 이유 중 하나이다. 신생아의 신체 검사 후 적절한 고관절 초음파 사용이 널리 받아들여지고 있다.[32]
Harris 고관절 점수[33](매사추세츠 출신의 정형외과 의사인 William H. Harris MD에 의해 개발됨)는 수술 후 고관절 기능을 평가하는 한 가지 방법이다. 다른 점수 방법은 Oxford 고관절 점수, HOOS 및 WOMAC 점수와 같은 환자의 평가를 기반으로 한다.[34] Children's Hospital Oakland Hip Evaluation Scale (CHOHES)는 현재 평가 중인 Harris 고관절 점수의 수정본이다.[35]
고관절 이형성증은 나이가 들어서도 발생할 수 있다. 고관절 이형성증이 있는 청소년 및 성인은 절뚝거리는 보행, Trendelenburg 징후, 고관절 외전 감소, 고관절 통증 및 일부 경우 고관절 순 파열을 나타낼 수 있다. X-레이는 고관절 이형성증의 진단을 확인하는 데 사용된다. CT 스캔과 MRI 스캔도 가끔 사용된다.[36][37]
고관절 이형성증 엑스레이 사진도 참고할 수 있다.
고관절 이형성증은 초음파[42] 및 투사 방사선 촬영("X-ray")으로 진단할 수 있다.[43] 초음파 영상은 대개 4개월까지 선호되는데, 이는 그때까지 대퇴골두의 골화가 제한적이기 때문이며, 출생 후 처음 몇 달 동안 고관절을 영상화하는 데 가장 정확한 방법이다. 그러나 대부분의 경우, 생리적인 정상적인 이완성 때문에 생후 3~4주 전에는 초음파 검사를 수행해서는 안 된다.[46][47] 보편적인 초음파 검사와 표적 초음파 검사를 비교했을 때, 전자는 고관절 이형성증의 늦은 진단을 거의 줄이지 못하며, 이것이 미국 소아과학회에서 신생아의 보편적인 초음파 검사를 권장하지 않는 이유이다.[44]
골반 X-레이는 고관절 이형성증을 진단하거나 모니터링하거나, 다른 선천성 질환 또는 골종양을 평가하는 데 여전히 자주 사용된다.[45]
소아 골반에서 고관절 이형성증을 평가하는 데 사용할 수 있는 가장 유용한 선과 각도는 다음과 같다:[45] 성인에서는 다른 측정을 사용한다.[45]
발생률을 결정하는 것은 어려울 수 있다.[57][58] 또한 진단 결과에 큰 차이가 있다. 두 가지 방법을 비교한 독일 연구에서 한 방법의 발생률이 일반적인 것보다 두 배 높았다. 이 질환은 남성보다 여성에게 8배 더 흔하다.[59]
아메리카 원주민은 다른 인종보다 선천성 고관절 탈구를 겪을 가능성이 더 높다. 아메리카 원주민의 위험은 1,000명 중 약 25~50명이다. 고관절 이형성증의 전체 빈도는 개인 1,000명당 약 1건이지만, Barlow는 신생아의 고관절 불안정성 발생률이 신생아 60명당 1건으로 높을 수 있으며, 1주 후에 1:240으로 감소한다고 믿었다.[60][61]
5. 치료
고관절 이형성증 치료는 발달성 기형으로 인한 문제와 치료 자체로 인해 발생하는 문제 사이의 균형을 맞추는 것이 중요하다. 조기 진단과 치료가 중요하며, 치료하지 않으면 이른 나이에 관절염이 발생할 수 있다. 모든 치료의 목표는 관절염 발생을 늦추는 것이지만, 완벽한 치료법은 없으며 모든 치료법에는 위험이 따른다. 유감스럽게도, 유아 및 어린이에 대한 수술/정형외과적 치료나 초기 치료의 부정적인 결과(예: 관절염, 무혈성 괴사)를 예측할 수 있는 방법은 아직 찾지 못했다.
치료 방법은 크게 비수술적 치료와 수술적 치료로 나눌 수 있으며, 자세한 내용은 각 하위 문단을 참고할 수 있다.
5. 1. 비수술적 치료
초기 고관절 이형성증은 대개 생후 1년 이내에 파블릭 보장구([48]) 또는 프레이카 베개/부목([49])을 사용하여 치료할 수 있으며, 대개 정상적인 결과를 얻는다. 파블릭 보장구를 사용할 때 대퇴신경 마비([50]) 및 대퇴골두의 무혈성 괴사와 같은 합병증이 발생할 수 있다고 보고되었지만,([51]) 이러한 사례가 장치의 부적절한 적용 때문인지, 질환 진행 중 발생한 합병증 때문인지는 아직 밝혀지지 않았다. 합병증은 주로 엉덩허리근의 얇은 막이 넙다리돌림 동맥을 대퇴골 경부에 밀어 혈류를 감소시켜 발생하므로, 프레이카 베개는 고관절 발달 이형성증의 모든 형태에 적용되는 것은 아니다.


사용되는 다른 장치로는 특히 수술적 폐쇄 정복술, 개방 정복술 또는 유아 및 어린아이의 절골술 후 스파이카 석고붕대([52])가 있다. 견인은 고관절 인대를 늘리는 데 도움이 되도록 수술 전 몇 주 동안 사용되기도 하지만, 사용에 대한 논란이 있으며 의사마다 다르다.([53]) 파블릭 하네스를 사용하는 방법도 있으나, 완전 탈구의 경우 대퇴골두 무혈성 괴사를 일으킬 수 있다.
5. 2. 수술적 치료
고관절 이형성증은 발달성 기형과 관련된 관절염, 움직임/이동성 문제 및 통증과 치료 자체로 인해 발생하는 관절염, 움직임/이동성 문제 및 통증 사이에서 거의 완벽한 균형을 이룬다. 절뚝거림, 지속적이거나 쇠약해지는 통증, 복잡한 치료, 그리고 후년의 이동성 장애의 현실적인 가능성을 고려할 때, 신중한 발달 모니터링이 필요하며 조기 중재가 종종 최상의 결과를 가져온다. 치료하지 않을 경우 발생할 수 있는 최악의 결과는 이른 나이에 관절염이 발생하는 것이며, 심지어 십대 시절에도 발생할 수 있다. 모든 치료의 목표는 관절염의 발병을 늦추는 것이지만, 관절염을 완전히 피할 수 있는 치료법은 없으며, 모든 가능한 치료법은 동등한 손상을 입힐 위험이 있다.나이가 많은 어린이의 경우, 탈구된 관절 위치에 적응하여 장요근과 내전근을 수술적으로 치료해야 할 수 있다. (\구축) 이러한 치료법 후에는 보조기와 부목을 자주 사용하여 치료를 계속한다.
일부 어린이들은 치료하지 않은 경미한 고관절 이형성증을 "극복"하기도 하고,[40] 치료하지 않은 일부 형태의 이형성증은 삶의 질에 거의 또는 전혀 지장을 주지 않지만, 아직까지는 결과를 예측하는 방법을 찾을 수 있는 연구는 없다. 반면에, 치료를 늦게 시작하면 합병증을 유발하고 결과가 좋지 않다는 것이 자주 기록된다.
고관절 이형성증은 비교적 젊은 나이에 고관절의 골관절염을 유발하는 것으로 자주 언급된다. 탈구된 하중 지지면은 마모를 증가시키고 이상하게 만들지만, 이러한 결과를 반박하는 연구도 있다([54][55]). 골반 연골 절제술(PAO) 수술은 일부 청소년 및 성인의 고관절을 재정렬하는 데 사용될 수 있다. 이후의 총 고관절 성형술(고관절 치환술) 치료는 신체가 성숙함에 따라 골격 변화, 이완/마모 또는 골 흡수로 인해 재수술(인공 관절 교체)이 필요하기 때문에 복잡하다. 고관절 표면 치환술은 성인의 고관절 이형성증을 교정하는 또 다른 옵션이다. 뼈를 더 많이 보존하는 고관절 치환술의 일종이며, 더 젊은 고관절 이형성증 환자에게 효과가 있을 수 있다.[56]
절골술은 성형술과 함께 사용되거나, 정렬 불량을 교정하기 위해 단독으로 사용된다.
6. 역학
고관절 이형성증의 발생률은 정확하게 파악하기 어려우며, 진단 결과에 큰 차이가 있을 수 있다.[57][58] 독일에서 두 가지 진단 방법을 비교한 연구에 따르면 한 가지 방법의 발생률이 일반적인 경우보다 두 배 높게 나타났다. 이 질환은 남성보다 여성에게서 8배 더 흔하게 발생한다.[59]
아메리카 원주민은 다른 인종보다 선천성 고관절 탈구를 겪을 가능성이 더 높다. 아메리카 원주민의 발병 위험은 1,000명 중 약 25~50명이다. 고관절 이형성증의 전체 발생 빈도는 1,000명당 약 1건이지만, Barlow는 신생아의 고관절 불안정성 발생률이 신생아 60명당 1건으로 높을 수 있으며, 1주 후에는 1:240으로 감소한다고 보았다.[60][61]
7. 역사
프레지카 베개 부목은 체코의 정형외과 의사인 베드르지흐 프레지카(1890-1972) 박사의 이름을 따서 명명되었다. 파블리크 보조기는 역시 체코 정형외과 의사인 아르노슈트 파블리크(1902-1962) 박사의 이름을 따서 명명되었다.
과거에는 출생 전에 발병한다고 여겨져 "선천성 고관절 탈구"라고 불렸으나, 출생 후에도 발병하는 것이 밝혀지면서 현재의 명칭으로 변경되었다.
참조
[1]
웹사이트
Definition: congenital dysplasia of the hip from Online Medical Dictionary
http://cancerweb.ncl[...]
[2]
웹사이트
Your Orthopaedic Connection: Developmental Dysplasia of the Hip
http://orthoinfo.aao[...]
2013-10
[3]
논문
Evaluation and Referral for Developmental Dysplasia of the Hip in Infants.
2016-12
[4]
서적
European Instructional Lectures: Volume 9, 2009; 10th EFORT Congress, Vienna, Austria
https://books.google[...]
Springer Science & Business Media
2009
[5]
논문
The other hip in unilateral hip dysplasia
[6]
논문
Studies of acetabular and congenital subluxation of the hip joint with special reference to complication of osteoarthritis Acta Chir Scand 1939, 83(Suppl. 58)
[7]
논문
Beukes familial hip dysplasia: an autosomal dominant entity
[8]
서적
Fundamentals of Pediatric Orthopedics
[9]
논문
Pathogenetic relevance of the pregnancy hormone relaxin to inborn hip instability
[10]
웹사이트
Developmental dysplasia of the hip: natural history, results of treatment, and controversies. In: Bourne R, ed. Controversies in Hip Surgery.
http://fds.oup.com/w[...]
Oxford University Press
[11]
간행물
The occurrence of hip joint dislocation in early Lappic populations of Norway
https://archive.toda[...]
[12]
논문
'[A physician from Finnmark who pointed out the significance of heredity in congenital hip dysplasia]'
[13]
논문
Familial osteoarthritis of the hip joint associated with acetabular dysplasia maps to chromosome 13q
[14]
웹사이트
AJHG - Autosomal Dominant (Beukes) Premature Degenerative Osteoarthropathy of the Hip Joint Maps to an 11-cM Region on Chromosome 4q35
http://www.ajhg.org/[...]
2008-05-06
[15]
논문
Genetics of developmental dysplasia of the hip: Recent progress and future perspectives
2019-08
[16]
웹사이트
Causes of Developmental Dysplasia of the Hip - International Hip Dysplasia Institute
http://www.hipdyspla[...]
2020-04-13
[17]
웹사이트
Developmental Dislocation of the Hip - Wheeless' Textbook of Orthopaedics
http://www.wheelesso[...]
2020-07-22
[18]
논문
Does swaddling influence developmental dysplasia of the hip?
http://pediatrics.aa[...]
[19]
웹사이트
Baby Carriers, Seats, & Other Equipment - International Hip Dysplasia Institute
http://www.hipdyspla[...]
2012-06-25
[20]
웹사이트
Hip-Healthy Swaddling - International Hip Dysplasia Institute
http://www.hipdyspla[...]
2020-05-28
[21]
웹사이트
Asymmetry Symptoms of DDH
http://www.hipdyspla[...]
2012-08-31
[22]
웹사이트
HipDysplasia - Newborn Nursery at LPCH - Stanford University School of Medicine
http://newborns.stan[...]
2023-07-05
[23]
논문
Is 'clicky hip' a risk factor in developmental dysplasia of the hip?
[24]
웹사이트
Newborn Screening and Prevention - International Hip Dysplasia Institute
http://www.hipdyspla[...]
2012-08-31
[25]
웹사이트
Hip Clicks and Hip Dysplasia - International Hip Dysplasia Institute
http://www.hipdyspla[...]
2012-08-31
[26]
웹사이트
Newborn and infant physical examination (NIPE) screening programme handbook
https://www.gov.uk/g[...]
2024-10-18
[27]
웹사이트
Physical Examination of Infants - International Hip Dysplasia Institute
http://www.hipdyspla[...]
2012-08-31
[28]
논문
Screening for developmental dysplasia of the hip
http://www.aafp.org/[...]
1999-07
[29]
논문
Does This Infant Have a Dislocated Hip?: The Rational Clinical Examination Systematic Review
2024-05-14
[30]
논문
Oral sweet solution to prevent pain during neonatal hip examination: a randomised controlled trial
2019-04
[31]
논문
Neurophysiological and behavioral measures of pain during neonatal hip examination
2019-09
[32]
웹사이트
Physician Newborn Screening and Prevention - International Hip Dysplasia Institute
http://www.hipdyspla[...]
2012-08-31
[33]
웹사이트
Harris Hip Score - Orthopaedic Scores
http://www.orthopaed[...]
[34]
논문
The Oxford hip score: the patient's perspective
[35]
논문
Clinical evaluation of avascular necrosis in patients with sickle cell disease: Children's Hospital Oakland Hip Evaluation Scale--a modification of the Harris Hip Score
[36]
서적
The Parents' Guide to Hip Dysplasia
[37]
서적
A Guide for Adults with Hip Dysplasia
https://web.archive.[...]
Lulu.com
2013-04-02
[38]
간행물
Developmental Dysplasia of the Hip
https://web.archive.[...]
2008-04-19
[39]
웹사이트
Dr. Rose's Peripheral Brain--DEVELOPMENTAL DYSPLASIA OF THE HIP
https://web.archive.[...]
2008-04-22
[40]
간행물
Screening for Developmental Dysplasia of the Hip
https://web.archive.[...]
2008-04-14
[41]
간행물
eMedicine - Developmental Dysplasia of the Hip : Article by James McCarthy, MD, FAAOS
http://www.emedicine[...]
2019-10-20
[42]
웹사이트
Ultrasound Detection of DDH - International Hip Dysplasia Institute
https://web.archive.[...]
2012-08-31
[43]
웹사이트
X-Ray Screening for Developmental Dysplasia of the Hip - International Hip Dysplasia Institute
https://web.archive.[...]
2012-08-31
[44]
간행물
Evaluation and Referral for Developmental Dysplasia of the Hip in Infants
https://publications[...]
2016-12-01
[45]
간행물
Imaging of Hip Pain: From Radiography to Cross-Sectional Imaging Techniques
[46]
웹사이트
ACR Appropriateness Criteria - Developmental Dysplasia of the Hip (DDH)–Child
https://acsearch.acr[...]
[47]
웹사이트
ACR Appropriateness Criteria - Developmental Dysplasia of the Hip (DDH)–Child
https://acsearch.acr[...]
[48]
웹사이트
Pavlik Harness
https://web.archive.[...]
2012-08-31
[49]
간행물
Retrospective analysis of the non-surgical treatment of developmental dysplasia of the hip using Pavlik harness and Fredjka pillow: comparison of both methods
[50]
간행물
Femoral Nerve Palsy
https://pubmed.ncbi.[...]
2018-04
[51]
간행물
Treatment for developmental dysplasia of the hip using the Pavlik harness: long-term results
https://archive.toda[...]
[52]
웹사이트
Hip Spica Cast for Developmental Dysplasia of the Hip
https://web.archive.[...]
2012-08-31
[53]
웹사이트
Traction with DDH Treatment
https://web.archive.[...]
2012-08-31
[54]
간행물
Hip osteoarthritis and dysplasia in Chinese men
[55]
간행물
Influence of hip dysplasia on the development of osteoarthritis of the hip
[56]
서적
A Guide for Adults with Hip Dysplasia
http://sutherland-st[...]
Lulu.com
[57]
간행물
Developmental dysplasia of the hip: a new approach to incidence
http://pediatrics.aa[...]
[58]
간행물
Developmental dysplasia of the hip. Prevention and real incidence
[59]
웹사이트
Clinical Practice Guideline: Early Detection of Developmental Dysplasia of the Hip -- Committee on Quality Improvement and Subcommittee on Developmental Dysplasia of the Hip 105 (4): 896 -- AAP Policy
https://web.archive.[...]
2005-01-29
[60]
문서
Developmental Dysplasia of the Hip
[61]
웹사이트
UNSW Embryology- Musculoskeletal System - Abnormalities
https://web.archive.[...]
2008-04-19
[62]
웹사이트
ER - Out on a Limb (2006)
https://www.imdb.com[...]
2012-08-31
[63]
서적
Textbook of Veterinary Internal Medicine
W. B. Saunders Company
[64]
간행물
原著 : 小児発育性股関節形成不全に対する広範囲展開観血的整復術の長期成績
https://doi.org/10.1[...]
2018-05-12
[65]
간행물
Evaluation and Referral for Developmental Dysplasia of the Hip in Infants
[66]
문서
先天性股関節脱臼(発育性股関節形成不全)
https://doi.org/10.1[...]
2018
[67]
웹사이트
発育性股関節形成不全
https://www.joa.or.j[...]
日本整形外科学会
[68]
간행물
Evaluation and Referral for Developmental Dysplasia of the Hip in Infants.
2016-12
[69]
서적
Fundamentals of Pediatric Orthopedics
[70]
웹인용
Clinical Practice Guideline: Early Detection of Developmental Dysplasia of the Hip - Committee on Quality Improvement, Subcommittee on Developmental Dysplasia of the Hip 105 (4): 896 - AAP Policy
https://web.archive.[...]
2017-04-01
[71]
논문
Pathogenetic relevance of the pregnancy hormone relaxin to inborn hip instability
[72]
논문
Does swaddling influence developmental dysplasia of the hip?
http://pediatrics.aa[...]
[73]
웹인용
Baby Carriers, Seats, & Other Equipment - International Hip Dysplasia Institute
http://www.hipdyspla[...]
2017-04-01
본 사이트는 AI가 위키백과와 뉴스 기사,정부 간행물,학술 논문등을 바탕으로 정보를 가공하여 제공하는 백과사전형 서비스입니다.
모든 문서는 AI에 의해 자동 생성되며, CC BY-SA 4.0 라이선스에 따라 이용할 수 있습니다.
하지만, 위키백과나 뉴스 기사 자체에 오류, 부정확한 정보, 또는 가짜 뉴스가 포함될 수 있으며, AI는 이러한 내용을 완벽하게 걸러내지 못할 수 있습니다.
따라서 제공되는 정보에 일부 오류나 편향이 있을 수 있으므로, 중요한 정보는 반드시 다른 출처를 통해 교차 검증하시기 바랍니다.
문의하기 : help@durumis.com