이행세포암종
"오늘의AI위키"의 AI를 통해 더욱 풍부하고 폭넓은 지식 경험을 누리세요.
1. 개요
이행세포암종은 환경적 발암 물질 노출과 관련된 악성 종양의 일종으로, 주로 방광, 요관, 신우, 전립선 등 요로 상피에서 발생한다. 흡연, 화학 물질 노출, 특정 약물 복용, 유전적 요인, 만성적인 요로 자극 등이 발병 원인으로 작용하며, 혈뇨가 가장 흔한 증상으로 나타난다. 진단은 소변 검사, 방광경 검사, 영상 검사, 조직 검사 등을 통해 이루어지며, 종양의 유형과 진행 정도에 따라 수술, 화학 요법, 면역 요법 등의 치료법이 적용된다.
더 읽어볼만한 페이지
- 비뇨기 신생물 - 고환암
고환암은 고환에서 발생하는 암으로, 흔히 고환 덩어리 또는 부어오름으로 나타나며, 잠복고환 등의 위험 요인이 있고, 조기 진단 시 높은 완치율을 보이며, 수술, 방사선, 화학 요법 등으로 치료하고 심리적 관리도 필요하다. - 암종 - 기저세포암
기저세포암은 햇빛 노출 부위에 주로 발생하는 가장 흔한 피부암으로, 윤기 있는 결절이나 붉은 반점 형태로 나타나며, 기저 세포 증식으로 발생하지만 전이가 드물고 다양한 치료법이 존재한다. - 암종 - 소세포암종
소세포암종은 폐에서 주로 발생하고 빠르게 전이되는 미분화된 악성 종양으로, 임상병리학적으로 제한기와 확장기로 나뉘며 흡연이 주요 위험 요인이고, 화학 요법, 면역 요법, 방사선 치료 등으로 치료한다.
2. 원인
이행상피세포암종은 환경적 요인과 유전적 요인이 복합적으로 작용하여 발생한다. 환경적 요인으로는 흡연, 화학 물질 노출, 방사선 노출 등이 있으며, 유전적 요인으로는 특정 염색체 결손, 유전자 돌연변이 등이 있다. 만성 요로 결석, 만성 카테터 삽입, 만성 감염 등도 위험 요인이다.
2. 1. 환경적 요인
이행상피세포암종은 환경적 발암 물질의 영향으로 발생하는 악성 종양의 대표적인 예시이다. 가장 큰 원인은 흡연이며, 전체 이행상피세포암종의 약 절반을 차지한다.[5] 화학 물질 노출은 석유 산업, 페인트 및 안료 제조(예: 아닐린 염료)[17], 농약 분야의 근로자에게서 발생하며, 이행상피세포암 발생을 촉진하는 것으로 알려져 있다.[5] 장거리 트럭 운전사처럼 소변을 오래 참는 사람들에게서도 위험이 증가한다.사이클로포스파미드와 같은 특정 약물은 대사 산물인 아크롤레인 및 페나세틴을 통해 이행상피세포암종(특히 상부 요로와 관련)의 발생을 촉진할 수 있다.[6] 방사선 노출 또한 원인이 될 수 있다.
2. 2. 유전적 요인
체세포 돌연변이는 이행세포암종 발생 위험을 높인다. 예를 들어 9q 염색체, 9p, 11p, 17p, 13q, 14q의 결손, RAS (종양 유전자) 및 상피 성장 인자 수용체 (EGFR)의 과발현이 이에 해당한다."sSMC i(5)(p10)" (소형 과잉 표지 염색체)는 이행상피세포암종에서 가장 흔하게 반복되는 구조적 염색체 이상이다. 이는 질병 대부분의 경우 악성 세포에 존재하며, sSMS와 관련된 이행상피세포 방광암은 그렇지 않은 경우보다 더 공격적이고 침습적인 경향을 보인다.[8] sSMC는 염색체 5번의 단완(p)의 두 복제본으로 구성된 이염색체 유사 구조를 가지는데, 이를 보유한 악성 세포는 각 정상 염색체 5번에서 두 개, sSMC에서 두 개, 총 네 개의 p 완의 유전 물질 복제본을 갖게 된다.[7]
2. 3. 기타 요인
만성 요로 결석, 만성 카테터 삽입 (예: 하반신 마비 또는 다발성 경화증 환자), 만성 감염 등은 물리적 자극을 통해 요로 상피의 악성 형질 전환 위험을 높인다.[5] 액체 섭취량 증가는 소변 생성량 증가와 요로상피 표면에서의 체류 시간 감소로 이어져 위험을 감소시킨다.[5]3. 증상
이행세포암종의 증상은 암의 위치와 범위에 따라 다르게 나타난다. 가장 흔한 증상은 혈뇨이다.[17]
4. 진단
요세포 검사는 소변에서 암세포를 검출하는 방법이다. 고등급 요로 상피 세포 암종(HGUC)에 대해 음성에서 양성으로 분류되는 요로 세포 검사 보고를 위한 파리 시스템 버전 2.0이 사용된다.[10]
면역조직화학 염색을 이용한 p53 검사는 PUNLMP와 저등급 요로 상피 세포 암종을 구별하는 데 도움을 줄 수 있다. p53 과발현은 저등급 요로 상피 세포 암종의 75%에서 보이며, PUNLMP에서는 10%에서만 나타난다.[11][12]
방광경 검사를 통해 내시경으로 방광 내부를 직접 관찰할 수 있다. 또한, CT, MRI 등 영상 검사를 통해 종양의 위치, 크기, 전이 여부를 확인한다. 방광경 검사 중 의심되는 부위의 조직을 채취하여 현미경으로 암세포를 확인하는 조직 검사도 진단에 활용된다. 분자 유전학적 검사를 통해 암세포의 유전적 특징을 분석하여 진단 및 치료에 활용하기도 한다.
5. 분류
이행상피세포암종은 주로 유두상(70%)과 비유두상(30%)으로 나뉜다.[2]
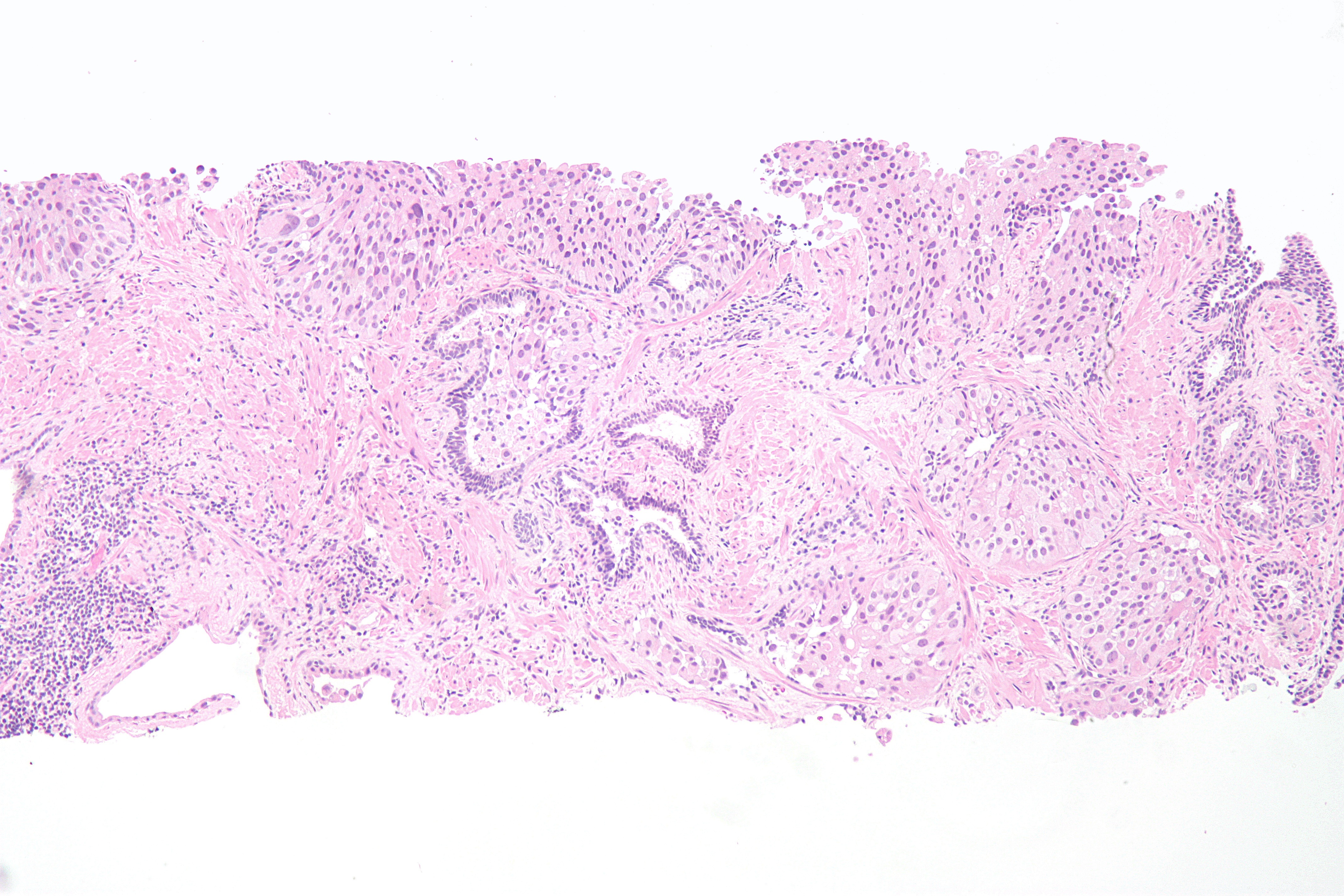
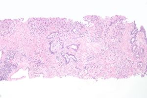
1973년 WHO의 이행상피세포암종 분류 체계(유두종, G1, G2, G3)가 가장 일반적으로 사용되었으나, 2004년 WHO[13]의 유두상 유형 분류(낮은 악성 잠재력의 유두상 신생물(PNLMP), 저등급 및 고등급 유두상 암종)로 대체되었다. 고등급 암종은 일반적으로 더 많은 다형성, 다수의 유사분열, 진염색질 및 비교적 두드러진 인, 그리고 불균일한 핵 분포를 보인다.
6. 성장 및 전이
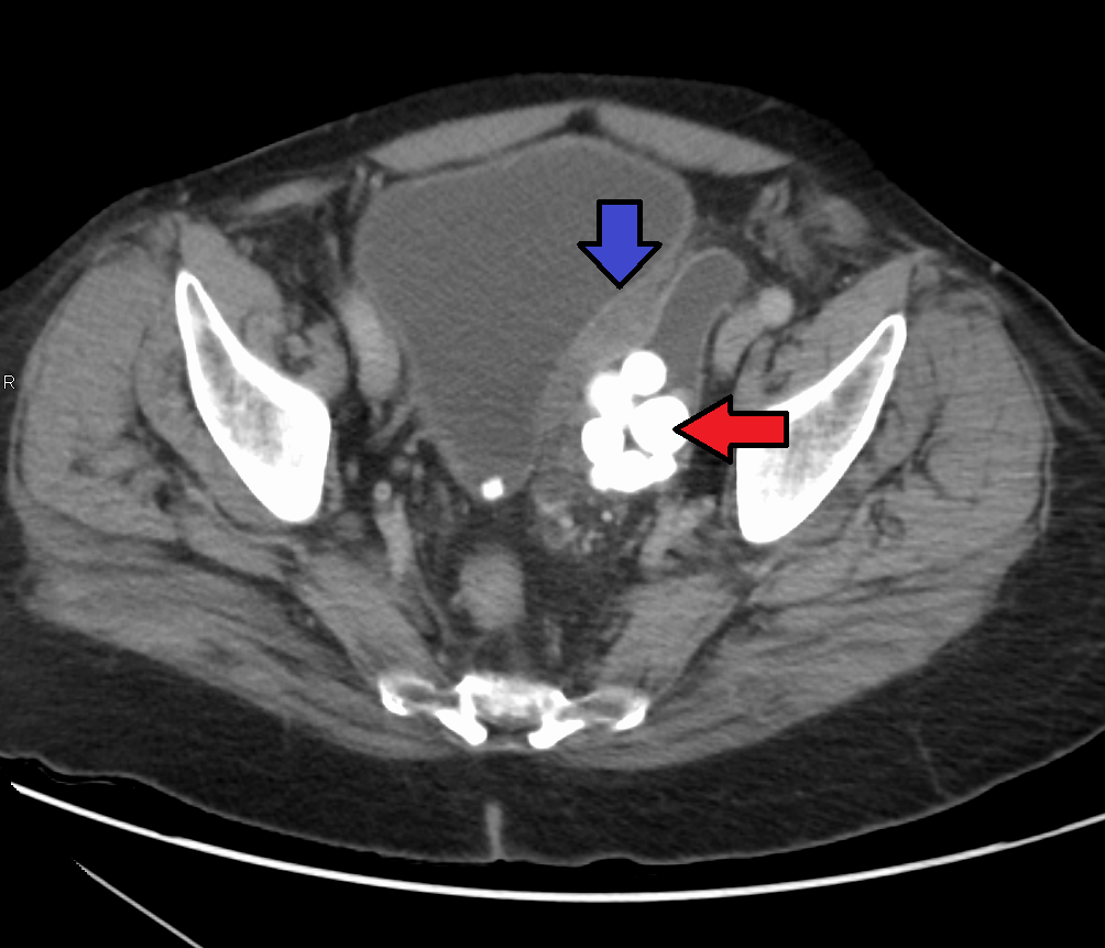
이행세포암종은 종종 다발성으로 나타나며, 환자의 30~40%는 진단 시에 하나 이상의 종양을 가지고 있다. 이행세포암종의 성장 패턴은 유두상, 무경성 또는 상피내암일 수 있다. 이행세포암종의 전이가 골반 밖에서 가장 흔하게 일어나는 부위는 뼈(35%)이며, 이 중 40%는 척추에 발생한다.[9]
7. 치료
이행상피세포암종의 치료는 암의 병기, 환자의 전신 상태, 암의 종류 등을 고려하여 결정한다.
치료법은 크게 국소/초기 단계와 진행성/전이성 단계로 나뉜다. 초기에는 종양을 외과적으로 절제하고, 재발 방지를 위해 마이토마이신이나 칼메트-게랭 간균(BCG)을 방광 내에 주입한다. 진행성 단계에서는 젬시타빈과 시스플라틴 또는 MVAC (메토트렉세이트, 빈블라스틴, 아드리아마이신, 시스플라틴) 조합을 이용한 화학 요법을 시행한다.[14] 이러한 화학 요법에 반응하지 않거나 재발한 경우에는 택산, 빈플루닌, 면역 요법제인 펨브롤리주맙 등을 2차 치료제로 사용한다.[15][16][17] 아테졸리주맙과 사시투주맙 고비테칸은 특정 환자군에서 FDA의 가속 승인을 받아 사용되기도 한다.[18][20] 전립선에 발생한 이행세포암종도 보고된 바 있다.[21][22]
7. 1. 국소/초기 이행상피세포암종
국소적 단계의 이행 세포 암종 치료법은 종양을 외과적으로 절제하는 것이지만, 재발이 흔하다. 일부 환자에게는 수술 직후(24시간 이내) 또는 수술 후 몇 주 후에 마이토마이신을 1회 투여하거나 6회 투여 요법으로 방광 내에 주입한다.국소적/초기 이행 세포 암종은 칼메트-게랭 간균(BCG)을 방광 내로 주입하여 치료할 수도 있다. 이러한 주입은 6주(유도 과정) 또는 3주(유지/부스터 투여) 동안 매주 시행한다. 부작용으로는 전신성 결핵이 발생할 가능성이 작고, 환자가 BCG에 민감해져 심한 불내성을 유발하며, 흉터로 인해 방광 용량이 감소할 수 있다.
초기 근육 침윤의 증거가 있는 환자의 경우, 림프절 샘플링과 함께 방광-전립선 절제술 형태의 근치적 수술을 수행할 수도 있다. 이러한 환자의 경우, 종종 장 루프를 사용하여 요도를 통해 또는 요루를 통해 몸에서 배출되기 전에 소변을 저장하는 장소 역할을 하는 "신방광" 또는 "회장 도관"을 만든다.
7. 2. 진행성/전이성 이행상피세포암종
젬시타빈과 시스플라틴 또는 메토트렉세이트, 빈블라스틴, 아드리아마이신, 시스플라틴의 조합(MVAC 다제 화학 요법)은 전이성 또는 진행성 이행세포암종의 1차 화학 요법 요법이다.[14] 이러한 다제 화학 요법 치료 옵션 중 일부와 관련된 부작용은 심각한 것으로 간주되며 MVAC 치료로 인한 사망률은 약 4%로 추정된다.[17] 시스플라틴과 젬시타빈 치료는 덜 심각한 부작용과 관련될 수 있다.[17] 방광암 환자의 최대 절반이 전반적인 건강 상태로 인해 이러한 화학 요법 치료를 받을 수 없다.택산 또는 빈플루닌은 2차 치료제로 사용된다(백금 함유 화학 요법 진행 후).[15]
면역 요법인 펨브롤리주맙은 GC 또는 MVAC 치료에도 불구하고 진행된 전이성 요로 상피암의 2차 치료제로 자주 사용되지만, 이는 불확실성이 낮은 증거에 기반한다.[16][17]
2016년 5월, 미국 식품의약국(FDA)은 시스플라틴 기반 화학 요법 실패 후 국소적으로 진행되거나 전이된 요로 상피암 치료를 위해 아테졸리주맙에 대한 가속 승인을 부여했다.[18] 확인 임상 시험 (가속 승인을 정식 승인으로 전환하기 위해)은 전체 생존율의 1차 평가변수를 달성하지 못했다.[19]
2021년 4월, FDA는 이전에 백금 함유 화학 요법과 프로그램된 세포사멸 수용체-1(PD-1) 또는 프로그램된 세포사멸 리간드 1(PD-L1) 억제제를 투여받은 국소적으로 진행되거나 전이된 요로 상피암(mUC) 환자에 대해 사시투주맙 고비테칸에 대한 가속 승인을 부여했다.[20]
7. 3. 전립선 이행상피세포암종
전이 세포 암종은 전립선과 관련될 수 있다.[21][22]8. 관련 장기
이행세포암종은 다음 장기에서 발생할 수 있다.
9. 관련 질환
참조
[1]
DorlandsDict
transitional cell carcinoma
two/000017251
[2]
저널
Incidence and Survival of urothelial carcinoma of the urinary bladder in Norway 1981-2014
2016-10
[3]
뉴스
Types of Bladder Cancer: TCC & Other Variants
https://www.cancerce[...]
2018-08-10
[4]
웹사이트
Kidney Cancer - Introduction
https://www.cancer.n[...]
Cancer.Net
2019-12-02
[5]
웹사이트
Bladder Cancer Risk Factors {{!}} Risk for Bladder Cancer
https://www.cancer.o[...]
2023-10-14
[6]
저널
Environmental factors involved in carcinogenesis of urothelial cell carcinomas of the upper urinary tract
2009-11
[7]
저널
Small supernumerary marker chromosomes and their correlation with specific syndromes
2015
[8]
저널
Chromosomal changes in uroepithelial carcinomas
2005-08
[9]
저널
Diffuse bony metastasis from transitional cell carcinoma of urinary bladder: a case report and review of literature
1999-08
[10]
저널
We'll always have Paris The Paris System for Reporting Urinary Cytology 2022.
https://pubmed.ncbi.[...]
[11]
저널
Altered p53/p16 expression is linked to urothelial carcinoma progression but largely unrelated to prognosis in muscle-invasive tumors.
https://www.ncbi.nlm[...]
[12]
저널
P53 overexpression in bladder urothelial neoplasms: new aspect of World Health Organization/International Society of Urological Pathology classification.
https://www.ncbi.nlm[...]
[13]
간행물
Noninvasive urothelial neoplasias: WHO classification of noninvasive papillary urothelial tumors
World Health Organization
[14]
저널
Gemcitabine and cisplatin versus methotrexate, vinblastine, doxorubicin, and cisplatin in advanced or metastatic bladder cancer: results of a large, randomized, multinational, multicenter, phase III study
2000-09
[15]
웹사이트
Immunotherapy Proceeds to Change Bladder Cancer Treatment
http://www.oncnursin[...]
2017
[16]
저널
De-novo and acquired resistance to immune checkpoint targeting
2017-12
[17]
저널
Immunotherapy for advanced or metastatic urothelial carcinoma
http://doi.wiley.com[...]
2023-10-09
[18]
뉴스
FDA approves new, targeted treatment for bladder cancer
https://www.fda.gov/[...]
FDA
2016-05-20
[19]
웹사이트
Failed confirmatory trial raises questions about atezolizumab for advanced urothelial cancer
https://www.healio.c[...]
2017-06
[20]
웹사이트
FDA grants accelerated approval to sacituzumab govitecan for advanced urothelial cancer
https://www.fda.gov/[...]
2021-04-13
[21]
저널
Dilemmas in the treatment of urothelial cancers of the prostate
[22]
저널
Transitional cell carcinoma involving the prostate: a clinicopathological retrospective study of 76 cases
2003-01
[23]
DorlandsDict
transitional cell carcinoma
two/000017251
[24]
저널
Incidence and Survival of urothelial carcinoma of the urinary bladder in Norway 1981-2014
2016-10
[25]
뉴스
Types of Bladder Cancer: TCC & Other Variants
https://www.cancerce[...]
2018-08-10
[26]
웹인용
Kidney Cancer - Introduction
https://www.cancer.n[...]
Cancer.Net
2019-12-02
[27]
저널
Immunotherapy for advanced or metastatic urothelial carcinoma
http://doi.wiley.com[...]
2023-10-09
본 사이트는 AI가 위키백과와 뉴스 기사,정부 간행물,학술 논문등을 바탕으로 정보를 가공하여 제공하는 백과사전형 서비스입니다.
모든 문서는 AI에 의해 자동 생성되며, CC BY-SA 4.0 라이선스에 따라 이용할 수 있습니다.
하지만, 위키백과나 뉴스 기사 자체에 오류, 부정확한 정보, 또는 가짜 뉴스가 포함될 수 있으며, AI는 이러한 내용을 완벽하게 걸러내지 못할 수 있습니다.
따라서 제공되는 정보에 일부 오류나 편향이 있을 수 있으므로, 중요한 정보는 반드시 다른 출처를 통해 교차 검증하시기 바랍니다.
문의하기 : help@durumis.com
