치근농양
"오늘의AI위키"의 AI를 통해 더욱 풍부하고 폭넓은 지식 경험을 누리세요.
1. 개요
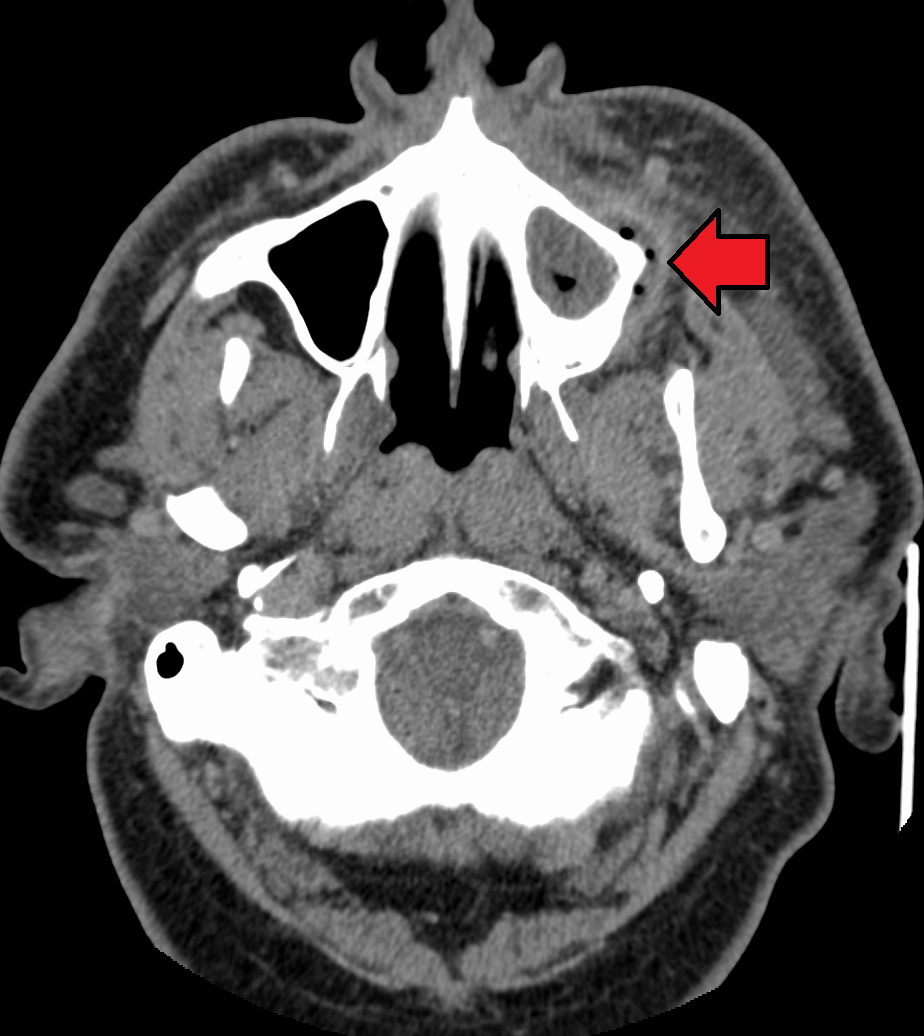
치근농양은 치아 뿌리 끝이나 주변 조직에 발생하는 세균 감염으로, 통증, 부기, 발열 등의 증상을 동반한다. 치근단 농양, 치주 농양, 치은 농양, 치관 주위 농양, 치주-근관 복합 농양 등 다양한 유형이 있으며, 외상, 충치, 치주 질환 등이 원인이 된다. 치료는 감염 제거에 중점을 두며, 근관 치료, 발치, 치근단 절제술, 항생제 투여 등이 시행된다.
더 읽어볼만한 페이지
2. 분류
- 치근단 농양
- 치주 농양
- 치은 농양
- 치관 주위 농양
- 치주-근관 복합 농양
2. 1. 치근단 농양
치근단 농양은 치아 뿌리의 끝 또는 치근단에 위치한 만성적인 국소 감염의 결과이다.[1]2. 2. 치주 농양
치주 농양은 치주낭에서 시작된다.[1] 치은 농양은 치아나 치주 인대에 영향을 미치지 않고 잇몸 조직만 포함한다.[1]2. 3. 치은 농양
치은 농양은 치아나 치주 인대에 영향을 미치지 않고 잇몸 조직에만 발생한다.( 치주 농양 참조)[1]2. 4. 치관 주위 농양
치아의 치관 주변 연조직을 포함한다. (치관주위염 참조)[1]2. 5. 치주-근관 복합 농양
치주-근관 복합 농양은 치근단 농양과 치주 농양이 합쳐진 경우이다. 치주-근관 복합 병변을 참조하라.[1]3. 증상
치근단 농양의 통증은 지속적이고 극심하며, 날카롭거나 쏘는 듯하고, 욱신거리는 통증으로 묘사될 수 있다. 치아에 압력을 가하거나 따뜻하게 하면 극심한 통증이 유발될 수 있다. 해당 부위는 만졌을 때 민감하고 부어오를 수 있다. 부기는 치아 기저부, 잇몸, 볼에서 나타날 수 있으며, 때로는 얼음찜질로 완화될 수 있다.[2]
급성 농양은 통증이 없을 수 있지만, 잇몸에 부기가 나타날 수 있다. 이러한 증상이 나타나면 치과 전문의에게 검사를 받는 것이 중요하며, 만성으로 진행될 수 있다.[2]
어떤 경우에는 치아 농양이 뼈에 구멍을 내고 주변 조직으로 배출되어 국소적인 얼굴 부종을 유발한다. 목의 림프선이 감염에 반응하여 부어오르고 압통이 생길 수 있다. 통증은 감염 부위에서 전달되어 편두통처럼 느껴질 수도 있다. 통증은 일반적으로 얼굴 반대쪽으로 전달되지 않고, 위아래로만 전달된다.[2]
치아가 감염된 얼굴 측면의 심한 통증과 불편함도 흔하며, 치아 자체는 극심한 통증으로 인해 만질 수 없을 정도로 아플 수 있다.[2]

4. 합병증
치아 농양을 치료하지 않고 방치하면 뼈를 관통하고 연조직으로 확장될 정도로 커져 골수염 및 봉와직염으로 진행될 수 있다. 거기에서 감염은 최소 저항 경로를 따라 내부 또는 외부로 퍼질 수 있다. 감염 경로는 감염된 치아의 위치, 뼈, 근육 및 근막 부착 부위의 두께와 같은 요인의 영향을 받는다.
외부 배농은 농양에서 고름 배출을 허용하는 종기로 시작될 수 있으며, 구강 내(보통 잇몸을 통해) 또는 구강 외로 발생한다. 만성 배농은 이 통신에 상피 라이닝이 형성되어 고름 배출관(누공)을 형성하게 한다.[3] 때로는 이러한 유형의 배농이 압력과 관련된 고통스러운 증상 중 일부를 즉시 완화시키기도 한다.
내부 배농은 성장하는 감염이 감염 주변 조직 내에서 공간을 만들기 때문에 더 우려된다. 즉시 입원이 필요한 심각한 합병증으로는 성장하는 감염과 봉와직염의 조합인 루트비히 협심증이 있으며, 이는 극단적인 경우 기도를 닫아 질식을 유발할 수 있다. 또한 감염은 조직 공간을 따라 종격동으로 퍼져 심장과 같은 생명 유지 기관에 심각한 영향을 미칠 수 있다. 또 다른 합병증은 일반적으로 위쪽 치아에서 발생하며, 패혈증이 경로를 통해 이동하여 심내막염, 뇌 농양 (극히 드물게), 또는 수막염 (또한 드물게)으로 이어질 수 있는 위험이 있다.
감염의 심각성에 따라 환자는 약간의 불편함만 느낄 수도 있고, 극심한 경우에는 입원 치료가 필요할 수도 있다.
5. 진단
치주 농양은 치근단 농양과 감별하기 어려울 수 있으며, 때로는 함께 발생하기도 한다.[4] 치주 농양과 치근단 농양은 치료 방법이 다르기 때문에, 이 둘을 구분하는 것은 중요하다.
일반적으로 치주 농양은 잇몸 가장자리에 더 가깝게 부기가 나타나고, 고름은 치주낭을 통해 배출될 가능성이 높다.[4] 또한, 기존에 치주 질환을 앓고 있는 경우가 많으며, 부기가 통증보다 먼저 나타나는 경향이 있다.[4] 치수 생활력 검사에서는 정상적인 결과를 보이며, 뜨겁거나 차가운 것에 민감하게 반응하는 치통 병력은 없는 경우가 많다. 치과 방사선 사진은 초기에는 큰 도움이 되지 않지만, 농양의 위치를 확인하는 데는 유용할 수 있다. 누공이 있다면 거타퍼차 포인트를 삽입하여 감염의 기원을 확인하기도 한다. 수직 타진보다 측면 타진에 더 민감하게 반응한다.[4]
반면, 치근단 농양은 부기가 치근단 부위에 더 가깝고, 고름은 관련 치아의 치근단 근처 잇몸으로 배출된다.[4] 비교적 건강한 치주 상태인 경우가 많으며, 통증이 부기보다 먼저 나타나는 경향이 있다.[4] 이전의 치수염을 시사하는 치통 병력이 있을 수 있고, 치근단 타진에 더 민감하게 반응한다.[4]
5. 1. 감별 진단
치주 농양은 치근단 농양과 구별하기 어려울 수 있으며, 실제로 함께 발생하는 경우도 있다.[4] 치주 농양과 치근단 농양의 관리가 다르기 때문에, 이를 구분하는 것은 중요하다.
6. 치료
치근농양의 치료는 원인균을 줄이거나 없애는 데 중점을 둔다. 치아를 복원할 수 있으면 근관 치료를 하고, 그렇지 않으면 발치 후 소파술을 시행한다.[9] 항생제[5] 치료나 배농을 하기도 하지만, 치과의사들은 항생제 내성 문제 때문에 감염 확산이 심각한 경우에만 항생제를 처방한다.[6][7]
근관 치료 후 1년, 2년 뒤에 평가하여 치유 여부를 확인한다. 농양이 낫지 않는 이유는 낭종 형성, 부적절한 근관 치료, 수직 치근 파절, 병변 내 이물질, 관련된 치주 질환, 상악동 천공 등이 있다. 일반적인 근관 치료로 낫지 않으면 수술, 치근단 충전, 생검 등이 필요할 수 있다.[9] 원인이 되는 치아에 대해 치수 치료, 치근단 절제술, 발치 등의 치료를 실시하며, 대증 요법으로 절개를 통한 배농 촉진이나, 항생제를 투여한다.
6. 1. 보존적 치료
치근농양의 성공적인 치료는 원인균의 감소 및 제거에 중점을 둔다.이는 항생제[5] 치료와 배농을 포함할 수 있지만, 치과의사들은 감염 확산의 심각한 징후를 보이는 급성 사례에 대해서만 처방을 제한함으로써 항생제 처방 관행을 개선하여, 인구 집단에서 항생제 내성 세균주의 발생을 극복하려는 노력을 광범위하게 권장해 왔다.[6][7] 급성 치근농양 환자가 전신 항생제 처방의 혜택을 받을 수 있는지 여부를 배제할 명확한 증거는 없다.[8]
치아를 복원할 수 있는 경우, 근관 치료를 수행할 수 있다. 복원할 수 없는 치아는 치아 발치해야 하며, 이후 모든 치근단 연조직에 대한 소파술이 뒤따른다.
근관 치료를 받은 치아는 증상이 없는 한, 병변의 확대 가능성을 배제하고 적절한 치유를 보장하기 위해 근관 치료 후 1년 및 2년 간격으로 평가해야 한다.
농양이 치유되지 않는 데에는 여러 가지 이유가 있을 수 있다.
- 낭종 형성
- 부적절한 근관 치료
- 수직 치근 파절
- 병변 내 이물질
- 관련된 치주 질환
- 상악동 천공
일반적이고 적절한 근관 치료 후, 치유되지 않거나 확대되는 농양은 종종 수술로 치료하고 치근단을 충전하며, 진단을 평가하기 위해 생검이 필요하다.[9] 원인이 되는 치아에 대해 치수 치료, 치근단 절제술, 발치 등의 치료를 실시한다. 또한 대증 요법으로 절개를 통해 배농을 촉진하거나, 항생제를 투여한다.
6. 2. 근관 치료
치근농양의 성공적인 치료는 원인균의 감소 및 제거에 중점을 둔다.이는 항생제[5] 치료와 배농을 포함할 수 있지만, 치과의사들은 감염 확산의 심각한 징후를 보이는 급성 사례에 대해서만 처방을 제한함으로써 항생제 처방 관행을 개선하여, 인구 집단에서 항생제 내성 세균주의 발생을 극복하려는 노력을 광범위하게 권장해 왔다.[6][7] 급성 치근농양 환자가 전신 항생제 처방의 혜택을 받을 수 있는지 여부를 배제할 명확한 증거는 없다.[8]
치아를 복원할 수 있는 경우, 근관 치료를 수행할 수 있다. 복원할 수 없는 치아는 치아 발치해야 하며, 이후 모든 치근단 연조직에 대한 소파술이 뒤따른다.
근관 치료를 받은 치아는 증상이 없는 한, 병변의 확대 가능성을 배제하고 적절한 치유를 보장하기 위해 근관 치료 후 1년 및 2년 간격으로 평가해야 한다.
농양이 치유되지 않는 데에는 여러 가지 이유가 있을 수 있다.
- 낭종 형성
- 부적절한 근관 치료
- 수직 치근 파절
- 병변 내 이물질
- 관련된 치주 질환
- 상악동 천공
일반적이고 적절한 근관 치료 후, 치유되지 않거나 확대되는 농양은 종종 수술로 치료하고 치근단을 충전하며, 진단을 평가하기 위해 생검이 필요하다.[9] 원인이 되는 치아에 대해 치수 치료, 치근단 절제술, 발치 등의 치료를 실시한다. 또한 대증 요법으로 절개를 통해 배농을 촉진하거나, 항생제를 투여한다.
6. 3. 발치
복원할 수 없는 치아는 치아 발치해야 하며, 이후 모든 치근단 연조직에 대한 소파술이 뒤따른다.[9]6. 4. 치근단 절제술
일반적이고 적절한 근관 치료 후, 치유되지 않거나 확대되는 농양은 종종 수술로 치료하고 치근단을 충전하며, 진단을 평가하기 위해 생검이 필요하다.[9] 원인이 되는 치아에 대해 치수 치료, 치근단 절제술, 발치 등의 치료를 실시한다. 또한 대증 요법으로 절개를 통해 배농을 촉진하거나, 항생제를 투여한다.7. 원인
참조
[1]
서적
Dermatology: 2-Volume Set
Mosby
[2]
웹사이트
Tooth abscess: MedlinePlus Medical Encyclopedia
https://medlineplus.[...]
2022-11-18
[3]
웹사이트
Fistulas
https://medlineplus.[...]
2022-11-18
[4]
서적
OSCEs for dentistry
PasTest Ltd.
[5]
웹사이트
Dental abscess - Management
http://www.cks.nhs.u[...]
2012-03-01
[6]
논문
Antibiotic prescribing practices by dentists: a review
2010-07
[7]
논문
Antibiotics in dental practice: how justified are we
2015-02
[8]
논문
Systemic antibiotics for symptomatic apical periodontitis and acute apical abscess in adults
2024-05
[9]
서적
Oral and Maxillofacial Pathology
Saunders
[10]
웹사이트
잇몸 고름 주머니 생기는 치주농양
https://rebrush.co.k[...]
본 사이트는 AI가 위키백과와 뉴스 기사,정부 간행물,학술 논문등을 바탕으로 정보를 가공하여 제공하는 백과사전형 서비스입니다.
모든 문서는 AI에 의해 자동 생성되며, CC BY-SA 4.0 라이선스에 따라 이용할 수 있습니다.
하지만, 위키백과나 뉴스 기사 자체에 오류, 부정확한 정보, 또는 가짜 뉴스가 포함될 수 있으며, AI는 이러한 내용을 완벽하게 걸러내지 못할 수 있습니다.
따라서 제공되는 정보에 일부 오류나 편향이 있을 수 있으므로, 중요한 정보는 반드시 다른 출처를 통해 교차 검증하시기 바랍니다.
문의하기 : help@durumis.com
