맨위로가기

치실

"오늘의AI위키"는 AI 기술로 일관성 있고 체계적인 최신 지식을 제공하는 혁신 플랫폼입니다.
"오늘의AI위키"의 AI를 통해 더욱 풍부하고 폭넓은 지식 경험을 누리세요.

1. 개요

치실은 치아 사이를 청소하는 데 사용되는 실 또는 섬유질 도구이다. 기원전에도 치아 간 청소를 위해 유사한 도구가 사용되었으며, 현대적 형태의 치실은 1815년 레비 스피어 파멜리에 의해 처음 제안되었다. 1898년 존슨앤드존슨이 치실에 대한 최초의 특허를 받았으며, 제2차 세계 대전 중 나일론 치실이 개발되면서 널리 사용되기 시작했다. 치실은 왁스 처리, 두께, 재질, 기능성 등 다양한 종류로 제공되며, 플로스 픽과 같은 보조 도구도 존재한다. 치과 전문의들은 치아 사이 세정 기구를 이용한 치실 사용을 권장하며, 잇몸 질환과 구취 예방에 도움이 될 수 있다고 보지만, 그 효과에 대한 과학적 증거는 제한적이라는 상반된 의견도 존재한다.

더 읽어볼만한 페이지

  • 구강위생용품 - 이쑤시개
    이쑤시개는 치아 사이의 음식물 찌꺼기를 제거하는 도구로, 다양한 재료로 제작되며 음식 섭취 후 사용하거나 음식을 고정하는 데 사용되지만, 과도한 사용은 잇몸 손상을 유발할 수 있다.
  • 구강위생용품 - 칫솔
    칫솔은 칫솔모를 사용하여 치아 표면의 치태와 음식물 찌꺼기를 제거하는 구강 위생 용품으로, 7세기에서 10세기 사이 중국 당나라에서 돼지털을 대나무나 뼈로 만든 손잡이에 심어 처음 발명되었으며, 유럽을 거쳐 전 세계로 퍼져나가 다양한 형태로 발전하여 오늘날에는 일반 칫솔 외에도 전동 칫솔, 치간 칫솔 등 다양한 종류가 사용된다.
  • 19세기 발명품 - 기관총
    기관총은 자동 사격이 가능하며, 19세기 개틀링 건에서 시작되어 맥심 기관총을 거쳐 발전했고, 제1차 세계 대전을 거치면서 참호전의 주요 무기가 되었으며, 냉각 방식, 사용 탄약, 작동 방식에 따라 종류가 나뉘어 제압 사격, 지역 거부 등의 목적으로 사용된다.
  • 19세기 발명품 - 자동차
    자동차는 18세기 증기 자동차에서 시작하여 내연기관 발명으로 발전했으며, 크기, 용도, 연료 등에 따라 분류되고, 자율 주행 및 친환경 기술 개발을 통해 안전과 환경 문제 해결을 모색한다.
  • 미국의 발명품 - 텔레비전
    텔레비전은 움직이는 영상과 소리를 전기 신호로 변환하여 전송하고 수신 측에서 다시 영상과 소리로 바꾸는 기술을 이용한 매체로, 닙코프 원판을 이용한 초기 기계식 방식에서 음극선관 발명을 통해 전자식으로 발전하여 디지털 기술과 다양한 디스플레이 기술 발전을 거쳐 현재에 이르렀으며 사회, 문화, 경제적으로 큰 영향을 미치지만 건강 문제 및 부정적 콘텐츠 노출 등의 부작용도 존재한다.
  • 미국의 발명품 - 태양 전지
    태양전지는 빛 에너지를 전기 에너지로 변환하는 장치로, 기술 발전을 거듭하여 발전 효율이 크게 향상되었고 다양한 분야에 응용되고 있으며, 고집광 태양전지와 페로브스카이트 태양전지 등의 새로운 기술 개발과 투자가 지속적으로 요구되는 지속 가능한 에너지원이다.
치실
개요
종류구강 위생 용품
용도치아 사이 및 잇몸선 세정
역사
최초 사용기원전 (추정)
현대적 형태 개발1815년경, 미국의 치과 의사 레비 스피어 파믈리에 의해
대량 생산 시작1882년, 코드만 앤 섀틀리프 회사에서 왁스 처리된 비단 치실 생산
특허1898년, 존 셔먼에 의해 미끄럼 방지 치실 홀더 특허 획득
나일론 치실 개발1940년대, 나일론 섬유를 이용한 치실 개발 시작
종류
재료나일론 또는 폴리에틸렌
형태왁스/무왁스 치실
테이프형 치실
스펀지형 치실
향 첨가 치실
고리형 치실 (치실 홀더)
사용법
사용 시기칫솔질 전 또는 후 (개인 선호에 따라)
사용 방법적당량의 치실을 잘라 양손으로 잡고, 치아 사이에 부드럽게 삽입
잇몸선을 따라 C자 형태로 움직이며 치아 표면을 닦아줌
각 치아 사이마다 새로운 치실 부분을 사용
효과
플라그 제거칫솔이 닿기 어려운 치아 사이 및 잇몸선의 플라그 제거
치은염 예방치은염 예방 및 구강 건강 유지
주의사항
무리한 사용잇몸 손상 및 출혈 유발 가능성
올바른 사용법 숙지치과 전문가의 지시에 따라 올바른 사용법 숙지 권장
논란
효과에 대한 이견치실 사용의 효과에 대한 과학적 증거 부족 주장 존재
대안치간 칫솔, 구강 세정기 등 다른 구강 위생 용품 고려 가능

2. 역사

치실의 역사는 치아 사이 청결을 위한 인류의 오랜 노력과 함께한다. 기원전에도 치간 청소에 실이나 가느다란 섬유질을 사용한 흔적이 발견되었으므로, 치실과 유사한 것은 아주 오래전부터 사용되었을 것으로 보인다.

현대적인 치실은 1819년 미국 뉴올리언스의 치과의사 레비 스피어 파멜리가 실크로 만들어진 치실을 발명하고 사람들에게 치간 청소를 권장하면서 시작되었다. 그러나 1882년 코드먼 앤 슈틀리프(Codman and Shurtleft)사가 왁스를 바르지 않은 실크 치실을 판매하기 전까지는 널리 퍼지지 않았다. 1898년, 존슨앤드존슨은 적십자사와 소울터・실사, 브런즈윅 등 몇 가지 상표를 포함한 치실 최초의 특허를 취득했다.

제2차 세계 대전 이전에는 치실 사용이 일반적이지 않았지만, 전쟁 중 찰스 C. 배스 박사에 의해 실크보다 마모에 강하고 탄력성과 내구성이 뛰어나 잘 끊어지지 않는 나일론 치실이 발명되면서 치실 사용의 중요성이 강조되었다.

2. 1. 초기 역사

기원전에도 치아 사이를 청소하기 위해 실이나 가느다란 섬유질을 사용한 흔적이 발견되었기 때문에, 치실과 유사한 것은 아주 오래전부터 사용되었을 것으로 보인다.[4]

현대적 형태의 치실은 1819년 미국 뉴올리언스의 치과의사 레비 스피어 파멜리가 왁스 처리된 실크 실을 사용하면서 시작되었다.[5] 그는 칫솔로 제거할 수 없는 자극적인 물질을 제거하기 위해 치아 사이와 잇몸 사이에 실을 사용할 것을 권장했다.[6][7] 그는 이것이 구강 관리의 가장 중요한 부분이라고 생각했다.[5]

1882년 코드만 앤 슈틀리프(Codman and Shurtleft)사가 왁스 처리되지 않은 실크 치실을 생산하기 시작하면서 치실이 상업적으로 판매되었다.[8] 1898년 존슨앤드존슨은 의사들이 실크 봉합에 사용하던 것과 동일한 실크 재료로 만든 치실에 대한 최초의 특허를 받았다.[8]

제임스 조이스의 소설 ''율리시스''(1918–1920 연재)에서 치실 사용에 대한 묘사를 찾아볼 수 있지만, 제2차 세계 대전 이전에는 치실 사용이 저조했다. 전쟁 중에는 의사 찰스 C. 배스가 나일론 치실을 개발했다.[8] 나일론 치실은 실크보다 마모 저항성이 뛰어나고 다양한 길이와 크기로 생산할 수 있어 더 나은 것으로 밝혀졌다.[8]

치실은 1970년대에 미국과 캐나다에서 일상적인 개인 구강 관리의 일부가 되었다.[9]

2. 2. 상용화 및 발전

1882년, 코드먼 앤 슈틀리프(Codman and Shurtleft)사가 왁스 처리되지 않은 실크 치실을 상업적으로 생산하기 시작했다.[8] 1898년, 존슨앤드존슨은 의사들이 수술용 봉합사로 사용하던 실크 소재를 이용한 치실 특허를 획득했다.[8]

제2차 세계 대전 이전에는 치실 사용이 저조했지만, 전쟁 중에 찰스 C. 배스 박사가 나일론 치실을 개발하면서 상황이 바뀌었다.[8] 나일론 치실은 내마모성과 탄력성이 뛰어나 실크보다 더 나은 것으로 밝혀졌다.[8] 이러한 장점 덕분에 치실 사용이 대중화되는 계기가 마련되었다.

2. 3. 한국의 치실 역사

한국에서는 1970년대부터 치실이 개인 구강 관리 용품으로 사용되기 시작했으며, 점차 그 사용이 증가하는 추세이다. 최근에는 다양한 종류의 치실과 치실 보조 도구들이 개발되어 사용자의 편의성을 높이고 있다.

3. 종류

치실은 재질, 형태, 기능에 따라 다양한 종류로 나뉜다.


  • '''실 감는 형태''': 치실을 실 감개에 묶은 형태로, 사용할 때마다 적당한 길이로 잘라 사용한다.
  • '''홀더형''': 전용 손잡이에 치실을 장착한 형태로, 치실과 홀더가 세트로 판매되거나, 치석 제거용 픽이 붙어 있기도 하다.
  • '''왁스 부착''': 치아 사이에 넣기 쉽도록 왁스로 코팅된 치실이다. 왁스를 사용하지 않은 것은 '논왁스', '언왁스'라고 불리며, 치태 제거 효과를 높이는 데 사용된다.
  • '''익스팬드 타입''': 타액이나 마찰에 의해 섬유가 팽창하여 넓은 부위의 치태를 제거하는 데 효과적이다. '스펀지 타입'이라고도 불린다.

익스팬드 타입

  • '''불소 가공''': 충치 예방에 효과적인 불화물을 섬유에 첨가한 치실이다.


이 외에도 다양한 종류의 치실이 있으며, 자신의 치아와 잇몸 상태에 맞는 치실을 치과에서 상담 후 구매하는 것이 좋다.

동력 치실


다음 표는 동력을 사용하는 치간 관리 제품(파워 치실)의 특징을 나타낸다.[12]

치간 동력 자가 관리 제품설명적응증금기 사항 및 제한 사항제품 오용 시 흔히 발생하는 문제
파워 치실활 모양 팁 및 단일 필라멘트 나일론 팁유형 I 절흔: 신체적 어려움이 있는 개인, 일반 치실 사용이 어려운 개인, 개인 선호.유형 II 및 III 절흔, 치아 간 좁은 접촉 또는 겹침치실 홀더 디자인으로 인한 치실 절단 또는 열상, 치아 측면 완전 밀착 및 장력 유지 어려움.


3. 1. 일반 치실

일반적으로 사용되는 치실에는 왁스 처리, 왁스 미처리, 단일 필라멘트, 다중 필라멘트 등 다양한 형태가 있다. 왁스로 코팅된 단일 필라멘트 치실은 치아 사이를 부드럽게 통과하며, 올이 잘 풀리지 않는다. 왁스 처리 유무에 따른 효과 차이는 크지 않지만, 일부 왁스 처리된 치실은 항균제나 플루오르화나트륨을 함유하기도 한다.[12] 치실을 선택할 때는 치아 사이 간격과 개인 선호도를 고려해야 한다. 치실 테이프는 일반 치실보다 넓고 평평한 형태로, 치아 표면적이 넓은 사람에게 권장된다.[12]

다양한 종류의 치실은 치태 제거 능력에서 큰 차이를 보이지 않는다.[13] 즉, 가격이 저렴한 치실도 비싼 치실만큼 구강 위생에 효과적이다.

올바른 치실 선택 및 사용 적절성 여부를 판단하는 요소는 다음과 같다.[12]

  • 접촉 부위의 꽉 조이는 정도: 치실 너비를 결정한다.
  • 잇몸 조직의 형태
  • 인접면 표면 거칠기
  • 사용자의 숙련도 및 선호도: 보조 장치 필요 여부를 결정한다.


일회용 갈고리에 성형된 치실, 위쪽: 135° 손잡이, 아래쪽: 90° 손잡이


특수 플라스틱 막대나 치실 홀더를 사용하여 치실을 잡을 수도 있다. 이러한 막대는 일반 치실처럼 손가락을 조이지 않지만, 사용이 어색하고 모든 각도에서 치실질하기 어려울 수 있다. 또한, 잇몸선 아래 영역을 놓칠 위험도 있다. 그러나 막대를 사용하면 어금니 치실질이 더 쉬워진다.

치실은 치아 사이 공간이 좁고 잇몸 형태가 정상적인 경우에 가장 적합한 세정 보조제이다.[12] '절흔 공간'은 두 치아의 접촉점 바로 아래 삼각형 모양 공간을 의미하며, 이 공간의 크기에 따라 적절한 치간 세정 보조제를 선택할 수 있다.[12] 절흔 공간은 세 가지 유형으로 분류된다.[12]

치아 사이 공간을 채우는 잇몸의 양 분류

  • 유형 I – 잇몸이 절흔 공간을 완전히 채운다.
  • 유형 II – 잇몸이 절흔 공간을 부분적으로 채운다.
  • 유형 III – 잇몸이 절흔 공간을 채우지 않는다.


다음 표는 다양한 치간 비동력 자가 관리 제품을 설명한다.[12]

치간 비동력 자가 관리 제품설명적응증금기 사항 및 제한 사항제품 오용 시 흔히 발생하는 문제사용 횟수/사용 기간
왁스 치실전통적인 실 치실, 폴리테트라플루오로에틸렌(PTFE)으로 코팅된 왁스 처리 나일론 단일 필라멘트 치실, 올이 풀리지 않음유형 I 절흔, 잇몸과 치아 사이 세정유형 II 및 III 절흔치실 절단, 치실 열상, 손가락 혈액 순환 차단, 어금니 접근 어려움일회용. 사용 후 폐기
왁스 미처리 치실전통적인 실 치실, 왁스 미처리, 다중 필라멘트유형 I 절흔, 잇몸과 치아 사이 세정유형 II 및 III 절흔왁스 치실과 동일일회용. 사용 후 폐기
치실 테이프일반 치실보다 넓고 평평한 왁스 치실유형 I 절흔, 치아 표면적이 넓은 경우 잇몸과 치아 사이 세정유형 II 및 III 절흔왁스 치실과 동일일회용. 사용 후 폐기
묶음/꼬임 치실/ 슈퍼플로스일반 직경 치실, 넓은 묶음 부분은 털실과 유사. 제품 끝부분은 실과 유사유형 II 및 III 절흔. 고정 부분 의치 아래유형 I 절흔조직에 억지로 밀어 넣을 경우 외상 발생. 털실과 같은 부분이 기구에 걸릴 수 있음일회용. 사용 후 폐기
연속 치실 홀더Y 또는 F 모양 갈고리가 있는 손잡이유형 I 절흔. 간격이 있거나 구토 반사로 손가락 사용이 어려운 경우. 간병인에게 도움유형 II 및 III 절흔치아에 대한 장력 유지 및 완전한 감싸기 어려움. 잇몸 외상 및 치실 절단 방지 위해 지렛대/손가락 받침대 설정 필요.여러 번 사용; 긴 연속 치실은 사용할 때마다 재배치
성형 치실 홀더 - 2피스Y 모양 분리 가능 갈고리가 있는 손잡이유형 I 절흔. 간격이 있거나 구토 반사로 손가락 사용이 어려운 경우. 간병인에게 도움유형 II 및 III 절흔좁은 공간에서 장력 유지 및 움직임 용이, 가시성 향상손잡이는 무기한 재사용. 갈고리 및 성형 치실은 매번 또는 올 풀림 시 변경
성형 치실 홀더 - 1피스Y 또는 F 모양 갈고리가 있는 작은 손잡이유형 I 절흔. 간격이 있거나 구토 반사로 손가락 사용이 어려운 경우. 간병인에게 도움유형 II 및 III 절흔좁은 공간에서 장력 유지 및 움직임 용이, 가시성 향상갈고리 손잡이 및 성형 치실은 매번 또는 올 풀림 시 변경
치실 스레더큰 구멍이 있는 바늘과 유사한 나일론 루프. 치실을 꿰어 두 치아 사이에 삽입하여 치아 측면 세정유형 I 절흔: 치아 간 좁은 접촉, 지대치 및 고정 보철물 아래, 교정 장치 아래, 임플란트용 바 아래유형 II 및 III 절흔잇몸에 외상 발생 가능여러 번 사용, 치실은 매번 교체
스레더 팁 치실부착된 스레더 팁이 있는 치실유형 I 절흔, 잇몸과 치아 사이 세정유형 II 및 III 절흔왁스 치실과 동일일회용. 사용 후 폐기


3. 2. 기능성 치실

익스팬드 타입은 타액이나 마찰에 의해 섬유가 팽창하는 타입으로, 스펀지 타입이라고도 불린다. 보다 광범위한 치태 제거를 목적으로 한다.[1]

불소 가공 치실은 충치 예방에 효과가 있는 불화물을 섬유에 스며들게 한 것이다.[1]

3. 3. 치실 보조 도구

플로스 픽(Floss pick영어)은 손잡이가 달린 Y자형 또는 F자형 도구로, 치실 사용을 편리하게 해준다. 1935년 F.H. 도너는 Y자 모양의 기구를 발명하였고,[49] 1963년 제임스 B. 커비는 F자형 치실 기구를 발명하였다.[50] 치실 픽은 성인과 어린이를 위해 다양한 모양, 색상 및 크기로 제조되며, 치실은 불소, 향료 또는 왁스로 코팅될 수 있다.[35]

플로스 스레더(Floss threader영어)는 치아 교정기, 고정식 유지 장치, 브릿지 등으로 인해 치실 사용이 어려운 경우에 사용되는 보조 도구이다.[34]

플로스 스레더

4. 사용 방법

치과 전문가들은 칫솔질 전이나 후에 하루에 한 번 치실을 사용하여 칫솔이 닿지 않는 부분까지 관리하고, 치약의 불소가 치아 사이에 도달할 수 있도록 권장한다. 칫솔질만으로는 치태를 50~70% 정도밖에 제거할 수 없지만, 치실을 사용하면 제거율을 90%까지 높여 충치와 치주 질환 예방에 도움을 줄 수 있다.

치실 사용 시에는 치아 간 공간마다 깨끗한 부분을 사용해야 한다. 치열이나 수복물 상태에 따라 사용법 및 주의사항이 다를 수 있으므로, 치과의사나 치과 위생사의 지도를 받아 사용하는 것이 바람직하다.

4. 1. 일반적인 치실 사용법

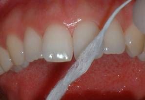
치과 전문의들은 칫솔이 닿지 않는 부위에 도달하고 치약의 불소가 치아 사이로 스며들도록 하기 위해 양치질 전후 하루에 한 번 치실 사용을 권장한다.[10][11] 치실은 일반적으로 10~100미터의 치실이 들어 있는 플라스틱 용기에 담겨 제공된다. 사용자는 약 40cm의 치실을 꺼낸 후, 용기 내 칼날에 대고 당겨서 자른다. 그런 다음 치실 조각을 포크 모양 도구에 꿰거나, 양손으로 1~2cm 정도의 치실을 노출시킨 채 손가락 사이에 잡는다. 사용자는 각 치아 쌍 사이에 치실을 넣고 치아 측면에 'C'자 모양으로 부드럽게 구부려 잇몸선 아래로 안내한다. 이렇게 하면 치아 사이에 끼어 있는 음식 입자와 잇몸선 아래 치아 표면에 부착된 치태가 제거된다.[3]

치실 사용 모습


치실 사용 모습


일반적인 치실 사용법은 다음과 같다.

# 치실을 40~50cm 정도 길이로 자른다.

# 양쪽 끝을 엄지와 가운데 손가락으로 잡고, 오른쪽 가운데 손가락에 3번 정도 감고, 나머지를 왼쪽 가운데 손가락에 감는다.

# 양손의 가운데 손가락 사이가 10cm 정도 되는 곳에서 감는 것을 멈추고, 검지와 엄지로 실을 잡는다. 이때, 잡은 손가락 끝과 손가락 끝 사이가 1.5~2cm 정도 되도록 조절한다.

# 검지와 엄지를 사용하여 톱질하듯이 왕복하면서, 치실을 치아와 치아 사이에 천천히 삽입한다.

# 치아와 치아가 꽉 맞닿아 있는 부분을 통과하면, 치실을 한쪽 면에 딱 맞닿게 하면서 잇몸 아래 1~2mm까지 넣는다.

# 치실이 "C"자가 되도록 하여 치아를 감싸고, 치실을 위아래로 몇 번 이동시킨다.

# 옆 치아에 대해서도 동일하게 청소한다.

# 삽입할 때와 마찬가지로 천천히 인접면을 통과시켜 치실을 뺀다.

치실을 사용할 때는, 오염물질과 세균의 이동을 막기 위해, 치아 간 공간마다 깨끗한 부분을 사용하여 청소해야 한다. 오염 물질을 제거한 치실을 이동시키려면, 오른쪽 가운데 손가락을 한 바퀴 감고, 왼쪽 가운데 손가락에서 한 바퀴 푼다. 또한, 치열이나 수복물의 상태에 따라 사용법 및 주의사항이 다를 수 있으므로, 치과의사나 치과 위생사의 지도를 받아 사용하는 것이 바람직하다.

4. 2. 치실 사용 시 주의사항

치실을 너무 세게 사용하면 잇몸에 상처를 줄 수 있으므로 주의해야 한다. 치아 사이가 좁거나 보철물이 있는 경우에는 치과의사나 치과 위생사의 지도를 받아 적절한 치실 사용법을 익히는 것이 좋다. 치실을 사용할 때는 오염 물질과 세균의 이동을 막기 위해, 치아 간 공간마다 깨끗한 부분을 사용하여 청소해야 한다.

5. 치실 사용의 효과 및 논란

미국 치과 협회는 칫솔질과 함께 치실 사용이 잇몸 질환[14] 및 구취를 예방하는 데 도움이 될 수 있다고 보았으나,[15] 치실의 일반적인 사용을 지지하는 증거는 제한적이었다. 2015년 미국 미국인을 위한 식생활 지침서[20]에서 치실 사용 권고가 포함되지 않아 논란이 일기도 했다.

2016년 8월, AP통신은 "치실의 의학적 효능 입증되지 않아"[26]라는 제목의 기사에서 2015년 문서에서 치실 사용 권고가 빠진 점을 보도했다. AP통신은 정보 공개 요청을 통해 미국 보건복지부와 농무부에 지침서의 치실 사용 권고에 대한 과학적 증거를 요구하며 "지침서는 법에 따라 과학적 증거에 기반해야 한다"고 지적했다. 이 기사는 "치실 사용 안 해서 죄책감 느껴지세요? 어쩌면 그럴 필요 없을지도"라는 제목의 ''뉴욕 타임스'' 기사를 포함한 다른 언론에서도 다루어졌다.[27]

미국 치과 협회는 미국 보건복지부에[28][29] 이 누락에 대해 연락했으며, 보건복지부는 식생활 지침서가 식단에 초점을 맞추기로 결정했기 때문이며, 이는 보건복지부가 치실의 효능에 의문을 제기해서가 아니라고 밝혔다.[30] 치실 제조사가 운영하는 웹사이트에서는 이 모든 사건을 "Flossgate"라고 지칭했다.[31]

칫솔을 사용한 칫솔질과 함께 치실을 사용한 치아 청소("플로싱")는 치태 제거율을 높여 충치·치주 질환을 비롯한 구강 내 질병을 예방하는 효과를 높인다. 서구에서는 플로싱이 일반적인 습관이 되었다.

5. 1. 치실 사용의 효과

미국 치과 협회(American Dental Association)는 칫솔질과 함께 치실 사용이 잇몸 질환[14] 및 구취를 예방하는 데 도움이 될 수 있다고 밝혔다.[15] 하지만, 치실의 일반적인 사용을 지지하는 증거는 제한적이다.

2008년 체계적 검토에 따르면 치실 사용은 치태나 치은염을 줄이는 데 있어 칫솔질만 하는 것보다 더 효과적이지 않았다.[3] 저자들은 치은염 환자에게 보조 요법으로 치실 사용을 정기적으로 교육하는 것은 과학적 증거로 뒷받침되지 않으며, 치실 사용 권고는 치과 전문의가 개별적으로 해야 한다고 결론 내렸다.[3]

2011년 코크란 데이터베이스(Cochrane Database)의 체계적 검토에서는 "칫솔질 외에 치실 사용이 치은염을 줄이는 데 도움이 된다는 12개 연구의 일부 증거"와 "치실과 칫솔질을 함께 사용하면 1개월 및 3개월 시점에 치태가 소량 감소할 수 있다는 10개 연구의 신뢰도가 매우 낮은, 미약한 증거"를 확인했다.[16] 2006년 검토에서는 전문 의료진이 1.7년 동안 학령기 아동의 치아에 치실을 사용했을 때 충치 위험이 40% 감소했다는 결과가 나왔다.[17]

2019년 코크란 데이터베이스(Cochrane Database)의 체계적 검토에서는 칫솔질만 하는 것과 치아 사이 세정 기구를 비교하고, 치실 사용과 다른 치아 사이 세정 방법을 비교했다.[18] 저자들은 "전반적으로 증거의 확실성은 낮거나 매우 낮았으며, 관찰된 효과 크기는 임상적으로 중요하지 않을 수 있다"고 결론 내렸다.

많은 저자들은 치실의 효능이 개인의 선호도, 기술, 동기에 따라 매우 다양할 수 있다고 언급했다.[19] 또한, 치실 사용은 치간 칫솔에 비해 치아 사이를 청소하는 데 비교적 더 어렵고 지루한 방법일 수 있다.[19]

칫솔로는 닿지 않는 치아 사이의 측면이나 치아 사이 아래 잇몸에 붙은 치태를 제거하여 치주 질환이나 충치를 예방하는 것이 치실 사용의 목적이다. 일반적으로 "플로스"라고도 불린다. 칫솔로 칫솔질하는 것만으로는 치태의 50%~70% 정도밖에 제거할 수 없지만, 치실을 사용하면 90% 정도까지 치태 제거율을 높일 수 있어 충치·치주 질환을 비롯한 구강 내 질병을 예방하는 효과가 있다고 여겨진다.

5. 2. 치실 사용 효과에 대한 논란

미국 치과 협회(American Dental Association)는 치아를 닦는 것과 함께 치실 사용이 잇몸 질환[14] 및 구취를 예방하는 데 도움이 될 수 있다고 밝혔다.[15] 하지만, 치실의 일반적인 사용을 지지하는 증거는 제한적이다. 2008년 체계적 검토에서는 치실 사용이 치태나 치은염을 줄이는 데 있어 칫솔질만 하는 것보다 더 효과적이지 않았다는 결과가 나왔다.[3]

2011년 코크란 데이터베이스(Cochrane Database)의 체계적 검토에서는 칫솔질 외에 치실 사용이 치은염을 줄이는 데 도움이 된다는 일부 증거와, 치실과 칫솔질을 함께 사용하면 치태가 소량 감소할 수 있다는 미약한 증거를 확인했다.[16] 그러나 치실 사용에 대한 연구는 자기 보고를 기반으로 하며, 많은 사람들이 치실을 제대로 사용하지 않는다는 한계가 있다. 전문 의료진이 학령기 아동의 치아에 치실을 사용한 연구에서는 충치 위험이 40% 감소했다는 결과도 있었다.[17]

2019년 코크란 데이터베이스(Cochrane Database)의 체계적 검토에서는 칫솔질만 하는 것과 치아 사이 세정 기구를 비교하고, 치실 사용과 다른 치아 사이 세정 방법을 비교했다.[18] 대부분 연구에서 수행 편향의 위험이 높았으며, 전반적으로 증거의 확실성은 낮거나 매우 낮았고, 효과 크기는 임상적으로 중요하지 않을 수 있다는 결론이 나왔다.

많은 연구에서 치실의 효능은 개인의 선호도, 기술, 동기에 따라 매우 다양할 수 있다고 지적한다.[19] 또한, 치실 사용은 치간 칫솔에 비해 어렵고 지루한 방법일 수 있다.[19]

2015년 미국 미국인을 위한 식생활 지침서[20]에서 치실 사용 권고가 포함되지 않아 논란이 되었다. 2000년, 2005년, 2010년에 발간된 지침서[22]는 치아 질환 예방을 위한 방법으로 치실 사용을 권장했지만, 2015년 지침서에서는 빠진 것이다.

2016년 8월, AP통신은 정보 공개 요청을 통해 보건복지부와 농무부에 치실 사용 권고에 대한 과학적 증거를 요구했다.[26] 이 기사는 ''뉴욕 타임스'' 등 다른 언론에서도 다루어졌다.[27]

미국 치과 협회는 미국 보건복지부에[28][29] 이 누락에 대해 문의했고, 보건복지부는 식생활 지침서가 식단에 초점을 맞추기로 결정했기 때문이며, 치실의 효능에 의문을 제기해서가 아니라고 밝혔다.[30]

6. 기타

야생 및 사육 환경에서 일본 원숭이와 긴꼬리원숭이가 사람의 머리카락과 깃털로 치실질하는 모습이 관찰되었다.[42][43][44]

참조

[1] 웹사이트 How to Floss http://www.colgate.c[...] Colgate 2015-04-17
[2] 논문 The efficacy of an essential oil antiseptic mouthrinse vs. dental floss in controlling interproximal gingivitis
[3] 논문 The efficacy of dental floss in addition to a toothbrush on plaque and parameters of gingival inflammation: a systematic review.
[4] 논문 Levi Spear Parmly: The apostle of dental hygiene
[5] 논문 Levi Spear Parmly: the apostle of dental hygiene
[6] 논문 Sumter Smith Arnim, DDS, PhD (1904-1990): a pioneer in preventive dentistry
[7] 서적 A Practical Guide to the Management of the Teeth; Comprising a Discovery of the Origin of Caries, or Decay of the Teeth https://archive.org/[...] Collins & Croft
[8] 뉴스 Dental Floss 1 http://www.abc.net.a[...] 2015-05-15
[9] 웹사이트 If you don't floss daily, you don't need to feel guilty https://www.vox.com/[...] 2016-08-02
[10] 웹사이트 Floss and Other Interdental Cleaners http://www.ada.org/1[...] 2010-04-12
[11] 웹사이트 Flossing & Brushing http://www.cda-adc.c[...] Canadian Dental Association 2015-04-17
[12] 문서 Dental Hygiene Theory and Practice Saunders Elsevier
[13] 서적 Restorative dentistry, paediatric dentistry and orthodontics https://archive.org/[...] Churchill Livingstone 2008
[14] 웹사이트 ADA.org: ADA Seal of Acceptance: Floss and Other Interdental Cleaners http://www.ada.org/a[...] 2009-11-28
[15] 웹사이트 Bad Breath (Halitosis) http://www.ada.org/p[...] 2009-11-28
[16] 논문 Flossing for the management of periodontal diseases and dental caries in adults
[17] 논문 Professional flossing is effective in reducing interproximal caries risk in children who have low fluoride exposures: Does dental flossing reduce interproximal caries incidence? 2006
[18] 논문 Home use of interdental cleaning devices, in addition to toothbrushing, for preventing and controlling periodontal diseases and dental caries 2019-04-10
[19] 논문 Comparison of interdental brush to dental floss for reduction of clinical parameters of periodontal disease: A systematic review. https://www.ncbi.nlm[...]
[20] 서적 2015–2020 Dietary Guidelines for Americans http://health.gov/di[...] U.S. Department of Health and Human Services and U.S. Department of Agriculture 2021-01-16
[21] 웹사이트 About the Dietary Guidelines https://health.gov/o[...] 2021-01-16
[22] 웹사이트 Previous Dietary Guidelines https://health.gov/o[...] 2021-01-16
[23] 서적 Dietary Guidelines for Americans, 2010 https://health.gov/o[...] U.S. Department of Health and Human Services and U.S. Department of Agriculture 2021-01-16
[24] 서적 Dietary Guidelines for Americans, 2005 https://health.gov/o[...] U.S. Department of Health and Human Services and U.S. Department of Agriculture 2021-01-16
[25] 서적 Nutrition and Your Health: Dietary Guidelines for Americans, 2000 https://health.gov/o[...] U.S. Department of Health and Human Services and U.S. Department of Agriculture 2021-01-16
[26] 뉴스 Medical benefits of dental floss unproven https://apnews.com/a[...] Associated Press 2016-08-02
[27] 뉴스 Feeling Guilty About Not Flossing? Maybe There's No Need https://www.nytimes.[...] 2016-08-02
[28] 웹사이트 Government, ADA recognize importance of flossing https://www.ada.org/[...] 2016-08-02
[29] 웹사이트 Federal Government, ADA Emphasize Importance of Flossing and Interdental Cleaners https://www.ada.org/[...] 2016-08-04
[30] 뉴스 Dietary Guidelines Omit Flossing, but Patients Shouldn't https://www.medscape[...] Medscape Medical News 2016-08-05
[31] 웹사이트 "Flossgate" Controversy: Changes to the 2015-2020 Dietary Guidelines for Americans https://www.dentalca[...] 2021-01-16
[32] 문서 Association between dental floss use and gingival conditions in orthodontic patients. American Journal of Orthodontics and Dentofacial Orthpedics
[33] 문서 Risk factors and management of white spot lesions in orthodontics. Journal of Orthodontic Science
[34] 웹사이트 Dental floss threader with locking means (Patent US 4064883) https://patents.goog[...] 2015-05-18
[35] 웹사이트 Floss and Other Interdental Cleaners http://www.ada.org/a[...] American Dental Association 2009-07-06
[36] 웹사이트 Patent US407362 - Combination tooth-pick - Google Patents https://patents.goog[...] 2014-04-13
[37] 웹사이트 Dental Floss Holder http://www.google.co[...] U.S. Patent 2013-04-11
[38] 웹사이트 Patent US2076449 - Dental instrument - Google Patents https://patents.goog[...] 2014-04-13
[39] 웹사이트 Patent US3106216 - Tooth cleaning device - Google Patents https://patents.goog[...] 2014-04-13
[40] 웹사이트 Patent US3775849 - Dental handpiece attachment - Google Patents https://patents.goog[...] 2014-04-13
[41] 웹사이트 Patent US3926201 - Method of making a disposable dental floss tooth pick - Google Patents https://patents.goog[...] 2014-04-13
[42] 웹사이트 Monkeys 'teach infants to floss' http://news.bbc.co.u[...] 2009-03-12
[43] 간행물 The first case of dental flossing by a Japanese macaque (Macaca fuscata): implications for the determinants of behavioral innovation and the constraints on social transmission https://link.springe[...] 2009-07-10
[44] 웹사이트 Monkey seen 'flossing' after eating https://www.msn.com/[...] 2020-09-21
[45] 서적 ステッドマン医学大辞典 改訂第6版 メジカルビュー社 2008
[46] 서적 看護学大辞典 第5版 メヂカルフレンド社 2002
[47] 논문 Levi Spear Parmly: The Apostle of Dental Hygiene 1999
[48] 웹인용 Dental Floss Holder https://www.google.c[...] U.S. Patent 2018-08-31
[49] 웹인용 Patent US2076449 - Dental instrument - Google Patents https://www.google.c[...] Google.com 2014-04-13
[50] 웹인용 Patent US3106216 - Tooth cleaning device - Google Patents https://www.google.c[...] Google.com 2014-04-13



본 사이트는 AI가 위키백과와 뉴스 기사,정부 간행물,학술 논문등을 바탕으로 정보를 가공하여 제공하는 백과사전형 서비스입니다.
모든 문서는 AI에 의해 자동 생성되며, CC BY-SA 4.0 라이선스에 따라 이용할 수 있습니다.
하지만, 위키백과나 뉴스 기사 자체에 오류, 부정확한 정보, 또는 가짜 뉴스가 포함될 수 있으며, AI는 이러한 내용을 완벽하게 걸러내지 못할 수 있습니다.
따라서 제공되는 정보에 일부 오류나 편향이 있을 수 있으므로, 중요한 정보는 반드시 다른 출처를 통해 교차 검증하시기 바랍니다.

문의하기 : help@durumis.com