맨위로가기

균상식육종

"오늘의AI위키"는 AI 기술로 일관성 있고 체계적인 최신 지식을 제공하는 혁신 플랫폼입니다.
"오늘의AI위키"의 AI를 통해 더욱 풍부하고 폭넓은 지식 경험을 누리세요.

1. 개요

균상식육종은 피부에 발생하는 드문 유형의 T 세포 림프종으로, 1806년 처음 기술되었다. 이 질환은 피부의 붉은 반점, 솟아오른 병변, 종양과 같은 증상을 보이며, 진행성으로 악화될 수 있다. 균상식육종은 비정상적인 T 림프구의 증식으로 발생하며, 증상은 반 단계, 판 단계, 종양 단계로 나뉜다. 진단은 임상 및 병리 검사를 통해 이루어지며, 치료는 푸바 요법, 광선 요법, 국소 약물, 화학 요법 등 다양한 방법이 사용된다. 예후는 진단 시 병기에 따라 다르며, 5년 상대 생존율은 약 70%이다.

더 읽어볼만한 페이지

  • 림프종 - 림프절 변연부 B세포 림프종
    제공된 텍스트는 위키백과 문서의 개요가 아니라 문서 작성 과정에 대한 설명이므로, 림프절 변연부 B세포 림프종에 대한 요약문을 생성할 수 없습니다.
  • 림프종 - 성인 T세포 백혈병
    성인 T세포 백혈병은 사람 T세포 림프친화 바이러스 1형에 의해 유발되는 고위험성 비호지킨 림프종의 일종으로, 고칼슘혈증, 피부 질환, 용해성 골병변 등의 증상을 동반하며 급성형, 림프종형, 만성형, 연성형으로 분류된다.
  • 증후군 - 쇼그렌 증후군
    쇼그렌 증후군은 자가면역 반응으로 발생하는 만성 염증성 질환으로, 침샘과 눈물샘 등에서 분비물 감소를 유발하여 건성안, 구강건조증 등 다양한 증상을 나타낸다.
  • 증후군 - 수근관 증후군
    수근관 증후군은 손목터널 내 정중신경 압박으로 인해 저림, 통증을 유발하며 유전적 요인, 당뇨병, 반복적인 손목 사용 등이 원인이 될 수 있고, 보존적 치료나 수술적 치료를 고려한다.

2. 역사

균상식육종은 1806년 프랑스 피부과 의사 장루이마르크 알리베르에 의해 처음 기술되었다.[32][33] "균상식육종"이라는 이름은 매우 오해의 소지가 있는데, 이는 대략 "버섯 모양의 곰팡이 질환"을 의미한다. 그러나 이 질환은 곰팡이 감염이 아니라 일종의 비호지킨 림프종이다. 알리베르가 심각한 사례의 피부 종양을 버섯과 유사한 외형으로 묘사했기 때문에 이러한 이름이 붙여졌다.[34]

3. 원인

균상식육종은 비정상적인 백혈구 (T 림프구)에 의해 발생한다. 이 비정상 세포는 피부의 바깥층 (표피)에 국한되어 통제되지 않고 증식하는 경향이 있다. 비정상 세포는 나중에 림프절과 같은 다른 장기를 침범할 수 있다. 이러한 암세포의 유전자 돌연변이가 증가된 성장과 프로그래밍된 세포 사멸로부터의 탈출을 유발하는 것으로 추정된다.[11]

또한, 이 질병은 면역계의 일부인 CD4 T 세포의 비정상적인 발현이다. 이 T 세포는 피부 관련 세포로, 동적인 방식으로 생화학적 및 생물학적으로 피부와 가장 관련이 있다. 균상식육종은 가장 흔한 유형의 피부 T세포 림프종 (CTCL)이지만, 균상식육종과 관련이 없고 다르게 치료되는 다른 많은 유형의 CTCL이 있다.[12]

4. 증상

균상식육종은 진행성 질환으로, 초기에는 햇빛에 거의 노출되지 않는 엉덩이 등의 몸통 부위에 비늘 모양 반점 형태의 병변이 나타난다.[2] 이러한 병변은 미미한 반점으로 시작해 최대 10년 동안 진단되지 않을 수 있으며,[6] 드물게 어린이, 청소년, 피부가 어두운 사람에게는 저색소침착 (피부가 정상보다 밝아짐)이 나타나기도 한다.[7]

진행 단계에서는 전신 적색피부증 (신체 대부분을 덮는 붉은 발진), 심한 가려움증 (소양증), 비늘 등의 증상이 나타난다.[4]

4. 1. 반 단계

균상식육종의 반


필라델피아의 펜 의과대학에서 이미퀴모드로 치료하고, 앨런타운, 펜실베이니아의 리하이 밸리 병원-시더 크레스트에서 방사선 치료를 받은 발의 균상식육종 반


균상식육종의 증상은 반 단계, 판 단계, 종양 단계의 세 가지 임상 단계로 분류된다.[2] 반 단계는 주름진 모양을 가질 수 있는 크기가 다양한 편평하고 붉은 반점으로 정의된다. 피부가 어두운 사람들에게는 황색으로 보일 수도 있다.[2] 반 단계는 초기 단계의 균상식육종으로 간주된다.[3]

4. 2. 판 단계



판 단계는 균상식육종의 반 단계 다음에 나타나며, 붉은 갈색으로 보이는 솟아오른 병변이 나타나는 것이 특징이다.[3] 피부색이 어두운 경우 판은 회색 또는 은색으로 보일 수 있다.[4] 반 단계와 판 단계는 모두 초기 단계의 균상식육종으로 간주된다.[3]

4. 3. 종양 단계

균상식육종의 종양 단계는 일반적으로 크고 불규칙한 덩어리를 보인다.[5] 종양은 얼굴과 머리 부위를 포함하여 신체의 모든 부위에서 판이나 정상적인 피부에서 발생할 수 있다.[5]

머리와 목에서 보이는 종양 단계의 균상식육종

4. 4. 기타 증상

가려움증(소양증)은 균상식육종 환자들이 가장 흔하게 보고하는 증상으로, 환자의 최대 88%가 질병 진행에 따라 악화되는 다양한 강도의 가려움증을 겪는다고 보고한다.[8] 심한 가려움증은 정서적, 기능적, 신체적으로 삶의 질에 부정적인 영향을 미치는 것으로 알려져 있다.[9]

균상식육종과 세자리 증후군은 관련된 질환으로, 동일한 유형의 암 T 림프구가 처음에는 다른 신체 구획에서 성장한다. 세자리 증후군 세포는 주로 혈액에서 발견되는 반면, 균상식육종은 일반적으로 피부를 침범한다. 균상식육종의 진행 단계에서는 암세포가 피부에서 다른 장기 및 혈류로 이동하는데, 이를 "백혈병성 균상식육종", "균상식육종에 선행된 세자리 증후군", "이차성 균상식육종" 등으로 부른다.[10]

5. 진단

균상식육종 진단은 임상 및 병리학적 연구를 종합하여 이루어진다. 초기에는 습진, 건선, 편평 태선 등 염증성 피부 질환이나 다른 피부 림프종과 유사하여 진단이 어려울 수 있다.[4] 현미경적 특징이 잘 나타나지 않기 때문에 여러 번 생검하여 임상 및 조직학적 소견을 종합하여 진단한다.[13] 장기간 치료를 받으면 생검 결과가 변하여 다른 염증성 피부 질환과 구별하기 어려워진다.[4]

소아 균상식육종은 전체의 0.5%에서 7.0%를 차지한다.[14] 2021년 체계적 검토에 따르면 소아 균상식육종은 진단 지연이 흔하며, 이는 예후에 부정적인 영향을 미칠 수 있다. 대부분 소아 환자는 초기 단계의 질병을 보인다.[14]

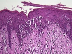
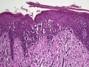
병리 검사상 파우트리에 미세 농양이 관찰된다.[35][39]

5. 1. 조직학적 소견

피부 생검을 통해 다음과 같은 소견이 나타나면 이 질환으로 진단한다.[15]

  • 꼬인 윤곽(뇌회형 핵)을 가진 암세포가 존재한다.
  • 반점 및 판 단계에서는 암세포가 표피(피부의 가장 얕은 층)에서 관찰된다. [16] 이를 표피친화성이라고 한다.
  • '''파우트리에 미세농양'''은 표피에 배열된 4개 이상의 비정형 림프구의 집합이다. 이는 균상식육종의 특징이지만, 일반적으로 나타나지는 않는다.
  • 종양 단계에서 암세포는 진피(피부의 더 깊은 층)로 이동한다.[16]
  • 대세포 변형은 병변 내에서 동일한 림프구가 비대증을 보이는 경우를 말하며, 변형된 세포에서 CD30 수용체가 존재하면 생존율 향상과 관련이 있다.[17]


피부 T세포 림프종에서 파우트리에 미세농양의 조직병리학적 소견


말초 혈액 도말 검사에서는 종종 엉덩이 세포가 나타난다.[18] 병리 검사상 파우트리에 미세 농양이 관찰된다.[35][39]

6. 병기

전통적으로, 균상식육종은 전진균증기, 진균증기, 종양기의 세 단계로 나뉜다.


  • 전진균증기: 임상적으로 붉고 가려우며 비늘 모양의 병변으로 나타난다. 현미경적 소견은 비진단적이며 표피의 건선형 변화와 관련된 만성 비특이적 피부병변으로 나타난다.
  • 진균증기: 침윤성 플라크가 나타나며 생검 결과 진피에서 명백한 비정형 림프구 세포가 소수 포함된 다형성 염증 침윤이 나타난다. 이러한 세포들은 표피 기저층을 따라 개별적으로 배열될 수 있다. 후자의 소견은 해면증이 동반되지 않으면 균상식육종을 강하게 시사한다.
  • 종양기: 뇌회전 핵을 가진 중간 크기의 림프구의 밀집된 침윤이 진피를 확장시킨다.


균상식육종의 정확한 병기 설정은 적절한 치료 및 예후를 결정하는 데 필수적이다.[19] 병기 설정은 균상식육종 협동 그룹이 제안하고 국제 피부 림프종 학회/유럽 암 연구 및 치료 기구에서 수정된 종양, 림프절, 전이, 혈액(TNMB) 분류를 기반으로 한다.[19] 이 병기 설정 시스템은 피부 침범 정도(T), 림프절 존재(N), 내장 질환(M), 말초 혈액 내 세자리 세포 존재(B)를 검사한다.[19]

균상식육종 환자 대부분은 초기 진단 시 초기 단계 질환(1A-IIA기)을 겪는다.[19] 주로 피부에 국한된 초기 단계 질환을 가진 사람들은 양호한 예후를 보인다.[19] 진행성 단계(IIB-IVB기) 환자는 종종 치료에 반응하지 않으며 불량한 예후를 보인다.[19] 진행성 단계 질환 환자를 위한 치료 옵션은 종양 부하를 줄이고, 질병 진행을 지연시키며, 삶의 질을 유지하도록 설계되었다.[19]

7. 치료

균상식육종의 가장 일반적인 1차 치료법은 푸바 요법(PUVA 요법)이다.[5] 푸바 요법은 광과민성 약물인 프소랄렌을 국소적으로 또는 경구 투여한 후 자외선에 피부를 노출시키는 광화학 요법이다.[20] 전신 치료는 종종 내성을 유발하므로, 진행된 질환에서는 추가적인 치료 옵션이 필요한 경우가 많다.[21]

다른 치료법들도 제시되었지만, 효과적인 치료 전략을 확인하기 위해서는 더 크고 광범위한 연구가 필요하다.[5] 제안된 치료법에는 광선 요법, 자외선(주로 NB-UVB 312 nm), 국소 스테로이드 등의 국소 약물, 국소 및 전신 화학 요법, 국소 표재성 방사선 요법, 히스톤 탈아세틸화 효소 억제제인 보리노스타트, 전신 피부 전자선 조사, 광선 반출 요법, 레티노이드, 렉시노이드 등의 전신 요법, 인터페론 등의 생물학적 요법이 있다. 이러한 치료법들은 종종 병용된다.[5] 초기 질환은 부작용 가능성이 있으므로, 전신적인 치료법으로 진행하기 전에 국소 및 피부 지향적 치료를 시작하는 것이 권장된다.[5] 2010년, 미국 식품의약국은 피부 T세포 림프종의 가려움증 치료제로 사용되는 국소 오피오이드 수용체 경쟁적 길항제인 날록손 로션에 대해 희귀 의약품 지정을 부여했다.[22][23] 모가물리주맙은 CCR4 단클론 항체로, 무진행 생존율을 향상시키는 것으로 나타났다. 2018년 미국 FDA는 재발성 또는 불응성 균상식육종이나 세자리 증후군 환자에게 이 약의 사용을 승인했다.[21]

아시트레틴 또는 체외 광선 요법(ECP) 사용을 뒷받침하는 증거는 없다.[5] 푸바 요법과 병변 내 IFN-α의 병용 치료 또는 푸바 요법과 벡사로텐의 병용 치료를 뒷받침하는 증거도 없다.[5]

성인 및 소아의 균상식육종 치료는 치료법의 안전성에 따라 달라진다.[24] 협대역 UV-B는 소아에게 흔히 사용되는 치료법으로, 성인에게 자주 사용되는 푸소랄렌과 UV-A, 메클로레타민 염산염, 또는 경구용 베사로텐과는 대조적이다.[24]

홍반기~국면기에는 스테로이드 외용 요법, PUVA 요법(자외선 요법), 인터페론 투여[35][39], 종양기에는 방사선 요법, 화학 요법이 사용된다.[35][39] 2010년대에 들어 히스톤 탈아세틸화 효소(HDAC) 억제제도 사용되게 되었다.[39]

8. 예후

1999년 미국에서 진행된 만성 림프구성 백혈병(CLL) 환자의 의무 기록 연구에 따르면 5년 상대 생존율은 77%, 10년 상대 생존율은 69%였다.[25] 11년 후 관찰된 상대 생존율은 약 66%로 유지되었다.[25] 생존율 저하는 고령 및 흑인과 관련이 있었다. 기혼 여성은 다른 성별 및 결혼 상태 그룹에 비해 더 높은 생존율을 보였다.[25] 소아의 완전 관해율은 거의 30%이다.[24]

악성 종양의 분류에 속하지만, 평균 생존 기간이 연 단위인 저악성도 군으로 분류된다.[39] 생존율은 진단 시 병기에 따라 다르다.

9. 역학

균상식육종은 20세 이전에 발병하는 경우는 드물며, 발병 평균 연령은 반점 및 판 질환만 있는 경우 45세에서 55세 사이이지만, 종양, 전신 홍반증(피부의 붉어짐) 또는 백혈병 형태(세자리 증후군)로 나타나는 경우에는 60세 이상이다. 균상식육종은 여성보다 남성에게 더 흔하게 나타나며, 다양한 인종 집단 간에 발생률의 차이가 여러 연구에서 보고되었다.[26] 2000년에서 2020년 사이에 균상식육종의 발생률이 증가하는 것으로 나타났으며,[27] 일부 지역에서는 다소 안정화되는 경향을 보였다.[28] 중장년층에 많다.[39]

10. 저명한 사례

1995년 배우 미스터 T는 피부 T 세포 림프종, 즉 균상식육종 진단을 받았다.[29] 관해 상태가 된 후 그는 이 우연의 일치에 대해 "상상할 수 있겠어? 내 이름이 붙은 암이라니, 맞춤형 암이잖아!"라고 농담했다.[30]

영국의 인기 텔레비전 배우 폴 에딩턴은 40년 동안 균상식육종을 앓다가 이 질환으로 사망했다.[31]

참조

[1] WhoNamedIt
[2] 학술지 "'Could it be mycosis fungoides?': an approach to diagnosing patch stage mycosis fungoides" 2015-12-01
[3] 학술지 Mycosis fungoides and Sézary syndrome: 2019 update on diagnosis, risk-stratification, and management 2019-09
[4] 학술지 Mycosis fungoides-clinical and histopathologic features, differential diagnosis, and treatment 2018-03
[5] 학술지 Interventions for mycosis fungoides 2020-07
[6] Citation Cutaneous T-Cell Lymphoma (Mycosis Fungoides) http://accessmedicin[...] McGraw-Hill Education 2021-11-29
[7] 웹사이트 Mycosis Fungoides/Sezary Syndrome https://www.dynamed.[...] 2021-11-29
[8] 학술지 Quality of life in patients with Mycosis Fungoides and Sézary Syndrome: a systematic review of the literature 2021-12
[9] Citation Peripheral T-Cell Lymphoma http://www.ncbi.nlm.[...] StatPearls Publishing 2021-11-29
[10] 웹사이트 Mycosis Fungoides (Including Sézary Syndrome) Treatment (PDQ)–Patient Version - National Cancer Institute https://www.cancer.g[...] 2021-11-29
[11] 학술지 Mycosis fungoides: A great imitator 2019-05-01
[12] 학술지 Clinical manifestations and pathogenesis of cutaneous lymphomas: current status and future directions 2017-01
[13] 학술지 Cutaneous T-cell lymphoma: 2017 update on diagnosis, risk-stratification, and management: WILCOX 2017-10
[14] 학술지 Mycosis Fungoides in Children and Adolescents: A Systematic Review https://pubmed.ncbi.[...] 2021-04-01
[15] 서적 Wintrobe's clinical hematology Wolters Kluwer, Lippincott Williams & Wilkins Health 2014
[16] 서적 StatPearls StatPearls Publishing 2021-11-29
[17] 학술지 Prognostic Significance of CD30 in Transformed Mycosis Fungoides 2021-08
[18] 서적 USMLE Step 2 Secrets Elsevier Health Sciences 2013-11-28
[19] 학술지 Primary cutaneous T-cell lymphoma (mycosis fungoides and Sézary syndrome): part II. Prognosis, management, and future directions 2014-02
[20] 학술지 A clinical review of phototherapy for psoriasis 2018-01
[21] 학술지 Spotlight on Mogamulizumab-Kpkc for Use in Adults with Relapsed or Refractory Mycosis Fungoides or Sézary Syndrome: Efficacy, Safety, and Patient Selection 2020-09-16
[22] 웹사이트 Elorac, Inc. announces orphan drug designation for novel topical treatment for pruritus in cutaneous T-cell lymphoma (CTCL) http://eon.businessw[...] 2010-11-30
[23] 학술지 New insights into the pathophysiology and treatment of chronic itch in patients with end-stage renal disease, chronic liver disease, and lymphoma 2010-01
[24] 학술지 Mycosis Fungoides in Children and Adolescents: A Systematic Review 2021-04
[25] 학술지 The changing survival of patients with mycosis fungoides: a population-based assessment of trends in the United States 1999-01
[26] 학술지 Mycosis fungoides: developments in incidence, treatment and survival 2020-10
[27] 학술지 Incidence of mycosis fungoides and Sézary syndrome in the Netherlands between 2000 and 2020 2021-08
[28] 학술지 Changing incidence trends of cutaneous T-cell lymphoma 2013-11
[29] 웹사이트 Mr. T, T cell lymphoma survivor https://www.youtube.[...] 2013-05-30
[30] 웹사이트 Mr. T - The Ultimate Tough Guy goes Head-to-Head with Cancer http://copingmag.com[...] 2000-03
[31] 뉴스 Actor reveals he has rare skin cancer: 'Yes Minister' star refuses to https://www.independ[...] 2011-10-23
[32] 서적 Dermatology: 2-Volume Set Mosby
[33] 서적 Descriptions des maladies de la peau observées a l'Hôpital Saint-Louis, et exposition des meilleures méthodes suivies pour leur traitement http://infohawk.uiow[...] Barrois l'ainé
[34] 문서 Mycosis fungoides#cite note-Skin Lymphomas 2004-2|Cerroni, 2007, p.13
[35] 문서 医師国家試験のためのレビューブック マイナー メディック・メディアISBN 978-4896325485
[36] 서적 Dermatology: 2-Volume Set Mosby null
[37] 서적 Descriptions des maladies de la peau observées a l’Hôpital Saint-Louis, et exposition des meilleures méthodes suivies pour leur traitement http://infohawk.uiow[...] Barrois l’ainé
[38] 서적 An illustrated guide to Skin Lymphomas Blackwell Publishing
[39] 서적 イヤーノート 2015: 内科・外科編 メディック・メディア
[40] 간행물 WhoNamedIt



본 사이트는 AI가 위키백과와 뉴스 기사,정부 간행물,학술 논문등을 바탕으로 정보를 가공하여 제공하는 백과사전형 서비스입니다.
모든 문서는 AI에 의해 자동 생성되며, CC BY-SA 4.0 라이선스에 따라 이용할 수 있습니다.
하지만, 위키백과나 뉴스 기사 자체에 오류, 부정확한 정보, 또는 가짜 뉴스가 포함될 수 있으며, AI는 이러한 내용을 완벽하게 걸러내지 못할 수 있습니다.
따라서 제공되는 정보에 일부 오류나 편향이 있을 수 있으므로, 중요한 정보는 반드시 다른 출처를 통해 교차 검증하시기 바랍니다.

문의하기 : help@durumis.com