만성 림프구성 백혈병
"오늘의AI위키"의 AI를 통해 더욱 풍부하고 폭넓은 지식 경험을 누리세요.
1. 개요
만성 림프구성 백혈병(CLL)은 림프구의 과도한 증식을 특징으로 하는 혈액 암의 일종이다. 초기에는 무증상인 경우가 많으며, 진행되면 발열, 야간 발한, 체중 감소, 림프절 종창 등의 증상이 나타난다. 진단은 혈액 검사, 유세포 분석을 통해 이루어지며, Rai 병기 시스템 또는 Binet 분류를 사용하여 질병의 진행 정도를 평가한다. 치료는 증상, 병기, 환자의 상태에 따라 다르며, 화학 요법, 표적 치료, 면역 치료, 조혈모세포 이식 등이 사용된다. 예후는 유전자 변이, 환자의 성별 등에 따라 다르며, 평균 5년 생존율은 86.1%이다. 서구권에서 흔하며, 아시아에서는 드물게 발생한다.
더 읽어볼만한 페이지
- 만성 백혈병 - 만성 골수성 백혈병
만성 골수성 백혈병은 필라델피아 염색체 전좌로 인해 발생하는 혈액암으로, 티로신 키나아제 활성을 유발하여 비정상적인 백혈구 세포가 과도하게 증식하며, 티로신 키나아제 억제제 치료와 조혈모세포 이식을 통해 관리된다. - 림프구성 백혈병 - 털세포 백혈병
털세포 백혈병은 악성 B세포 축적으로 백혈구, 적혈구, 혈소판 생성을 방해하는 혈액암으로, BRAF V600E 체세포 돌연변이가 모든 환자에게서 확인되었으며 퓨린 유사체로 치료한다. - 림프구성 백혈병 - 거대 과립 림프구성 백혈병
거대 과립 림프구성 백혈병은 과립을 가진 비정상적인 T 림프구 증식으로 인해 자가면역 질환과 관련되어 빈혈, 호중구 감소증, 림프구 증가증을 유발하며 혈액 검사 등으로 진단하고 면역억제제 등으로 치료하는 드문 혈액 질환입니다.
2. 증상 및 징후
만성 림프구성 백혈병 환자의 상당수는 초기에는 특별한 자각 증상을 느끼지 못한다. 주로 건강검진 등 다른 이유로 혈액 검사를 받았다가 백혈구 수치, 특히 림프구 수치가 높게 나온 것을 보고 우연히 발견되는 경우가 많으며, 환자의 절반 이상이 이러한 경우에 해당한다.[16][104]
증상이 나타나는 경우에는 피로감, 체중 감소, 발열, 밤에 땀을 많이 흘리는 증상(야간 발한) 등이 흔하게 나타날 수 있다.[16][104][105][106] 드물게는 목이나 겨드랑이, 사타구니 등에 있는 림프절이 커지는 증상으로 처음 발견되기도 하는데,[16] 이처럼 림프절 비대가 주된 소견일 경우 소림프구 림프종(SLL)으로 진단될 수도 있다.[17]
병이 진행되면 림프절이 더 커지거나 비장 비대, 간 비대가 나타날 수 있다.[104] 또한, 빈혈이나 혈소판 수치 감소가 나타나거나, 면역력이 약해져 감염에 취약해지는 경향을 보일 수 있으며, 피부에 발진이 생기기도 한다.[104][107] 드물게는 암세포가 골수 기능을 억제하여 적혈구, 호중구, 혈소판 감소가 먼저 나타나면서 병이 발견되기도 한다.[16]
2. 1. 합병증
만성 림프구성 백혈병의 합병증으로는 혈류 내 항체 수치가 감소하는 저감마글로불린혈증으로 인해 감염이 재발하기 쉬워지는 것이 있다. 또한, 환자의 10~15%에서는 온면역 용혈성 빈혈이 발생하며, 골수 부전이 나타나기도 한다.만성 림프구성 백혈병은 리히터 변형으로 진행될 수 있는데, 이는 미만성 거대 B세포 림프종이나 호지킨 림프종의 조직 검사 특징을 보이는 훨씬 더 공격적인 형태로 전환되는 것을 의미한다.[23] 이러한 리히터 변형의 발생률은 만성 림프구성 백혈병 환자의 약 5%로 추정된다.[30]
드물게는 림프모구 림프종, 털세포 백혈병, 고등급 T세포 림프종,[24] 급성 골수성 백혈병,[25] 폐암, 뇌암, 눈 또는 피부의 흑색종,[26][27] 타액선 종양, 그리고 카포시 육종과 같은 다른 더 공격적인 질환으로 전환되는 경우도 보고되었다.[28] 이러한 전환 중 일부도 리히터 변형으로 불리기도 했지만, 세계보건기구[29] 및 대부분의 연구[23]에서는 리히터 변형을 만성 림프구성 백혈병/소림프구성 림프종(CLL/SLL)이 미만성 거대 B세포 림프종 또는 호지킨 림프종으로 전환되는 경우로 정의하고 있다.
또한 드물게 위장관(GI) 침범이 발생할 수 있다. 보고된 증상으로는 장중첩증, 소장 세균 과증식, 대장염 등이 있다. 일반적으로 만성 림프구성 백혈병과 관련된 위장관 합병증은 리히터 변형 후에 발생하는 것으로 알려져 있으나, 리히터 변형이 없는 상태에서 위장관 침범이 발생한 사례도 두 건 보고된 바 있다.[31]
3. 원인
만성 림프구성 백혈병의 정확한 원인은 아직 명확히 밝혀지지 않았다.[111] 그러나 유전적 요인과 후성유전학적 변화가 발병에 관여하는 것으로 생각된다.
유전적으로는 특정 염색체 이상이 다양하게 발견되는데, 13q-, 11q-, 17p-, 6q- 결실이나 12번 삼염색체 등이 비교적 흔하게 나타난다.[111] 모든 경우에 해당하는 단일 돌연변이는 없지만, 만성 림프구성 백혈병의 위험을 높이는 여러 돌연변이가 함께 유전될 경우 발병 가능성이 커질 수 있다.[34] 2020년까지 45개의 관련 감수성 유전자좌가 확인되었으며, 이 중 93%는 면역 반응, 세포 생존, 또는 Wnt 신호 전달 경로에 관여하는 30개 유전자의 발현 변화와 관련이 있는 것으로 나타났다.[35] 또한, 서양인에게서 발병률이 높고 일본인이나 미국에 거주하는 일본계 미국인에게서는 상대적으로 낮은 경향을 보여 유전적 요인이 영향을 미치는 것으로 추정되지만, 구체적인 원인 유전자는 아직 밝혀지지 않았다.[111]
후성유전학적 측면에서는 DNA 염기 서열 자체의 변화 없이 DNA에 특정 표지(tag)가 붙어 유전자 발현이 조절되는 변화가 관찰된다. 만성 림프구성 백혈병에서는 이러한 변화가 DNA 메틸화 양상에 따라 나이브 B 세포 유사형, 기억 B 세포 유사형, 중간형의 세 가지 하위 그룹으로 분류될 수 있으며, 이는 해당 유전자가 얼마나 활발하게 발현되는지에 영향을 미친다.[32][33]
환경적 요인으로는 에이전트 오렌지 노출이 만성 림프구성 백혈병의 위험을 증가시키는 것으로 알려져 있으며,[36] C형 간염 바이러스 감염 역시 위험도를 높일 수 있다는 가능성이 있다.[36] 반면, 이온화 방사선 노출,[36] 특정 화학 물질이나 일반적인 바이러스와의 인과 관계는 명확히 인정되지 않으며,[111] 수혈[4] 역시 위험 요인으로 간주되지 않는다.[4]
4. 진단

만성 림프구성 백혈병(CLL)의 진단은 혈액, 골수 또는 조직에서 비정상적인 B 림프구 집단을 확인하는 것을 기반으로 한다. 이 세포들은 세포 표면에 특이하지만 특징적인 분자 패턴을 나타낸다.[9][37]
대부분의 경우, 다른 이유로 시행한 일반 혈액 검사 결과에서 백혈구 수치, 특히 순환하는 림프구 수가 크게 증가한 것을 보고 CLL 진단을 받게 된다.[16] 이 단계에서는 증상이 없는 경우가 일반적이다.[16] CLL이 의심되는 가장 흔한 소견은 림프구증가증, 즉 전혈구 검사에서 림프구 수가 비정상적으로 증가한 것이다. 림프구 수는 보통 혈액 마이크로리터(μL)당 5,000개를 초과하며, 때로는 훨씬 더 높을 수 있다.[9] 특히 고령자에게서 림프구증가증이 발견되면 CLL을 강하게 의심하고 확진 검사를 진행해야 한다.[37] 드물게는 비대해진 림프절이 첫 증상일 수 있으며,[16] 이 경우 소림프구 림프종(SLL)으로 진단될 수 있다.[17] 또한, 암세포가 골수를 과도하게 침범하여 빈혈(적혈구 감소), 호중구 감소, 혈소판 감소 등을 유발한 후에야 진단되기도 한다.[16]
CLL 진단을 확립하기 위해서는 말초 혈액의 현미경 검사와 유세포 분석법을 통한 림프구 분석이 필수적이다. 이 검사들을 통해 림프구의 클론성(유전적으로 동일한 세포 집단)과 특징적인 표면 표지자 발현을 확인한다.[36]
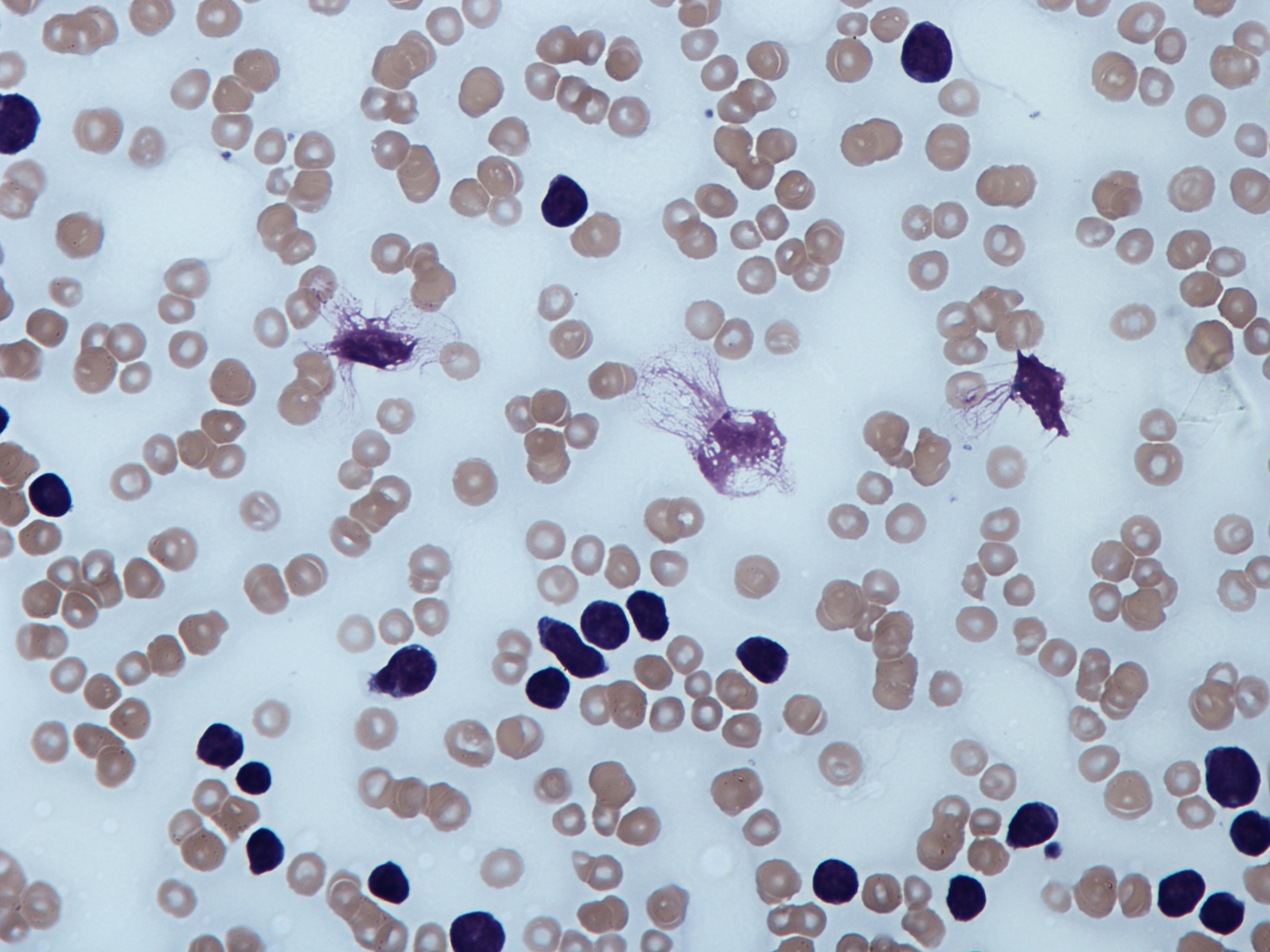
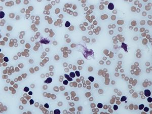
- 말초 혈액 도말 검사: 현미경으로 혈액 세포를 관찰하는 검사이다. CLL 세포는 정상 림프구와 비슷하게 보이지만 약간 작고, 유리 슬라이드에 도말할 때 쉽게 깨지는 경향이 있다. 이렇게 깨진 세포를 스머지 세포(smudge cell) 또는 스미어 세포(smear cell)라고 하며, CLL 진단에 도움이 될 수 있다.[38] 스머지 세포는 세포 골격을 구성하는 단백질인 비멘틴이 부족하여 세포 형태와 탄력성을 유지하기 어렵기 때문에 생긴다.[39][40]
- 유세포 분석법: 혈액 내 세포들의 표면 표지자 분자를 분석하는 검사이다. CLL 세포는 정상적인 B 세포 표지자인 CD19와 CD20을 발현하면서, 동시에 T 세포 표지자인 CD5와 CD23을 비정상적으로 함께 발현하는 특징을 보인다.[36] 또한, 유세포 분석법은 세포 집단의 클론성을 확인하는 데 중요하다. CLL 세포는 모두 단일 클론, 즉 하나의 비정상 B 세포에서 유래했기 때문에 면역글로불린 경쇄 중 카파(kappa) 또는 람다(lambda) 중 하나만을 발현한다. 정상적인 B 림프구는 다양한 항체를 만드는 세포들로 구성되어 카파와 람다를 모두 발현하는 세포가 섞여 있는 것과 대조적이다. 이러한 경쇄 제한(light chain restriction)은 B 세포 악성 종양 진단의 핵심 근거 중 하나이다.[41]
미국 국립암연구소(NCI) 후원 연구 그룹의 1996년 진단 기준에 따르면, 말초 혈액 림프구 수가 5,000/μL 이상이고, 증가한 세포가 B 세포 특성(CD19+, CD20+)을 가지며 CD5 양성이어야 한다. 또한 골수 내 림프구 비율이 30% 이상이어야 하지만, 골수 검사가 진단에 반드시 필요한 것은 아니다.[109] 국제 만성 림프구성 백혈병 워크숍(IWCLL)에서는 CLL의 세포학적 특징을 가진 림프구가 말초 혈액에서 만성적으로 증가하면 CLL로 진단할 수 있다고 본다.[110]
CLL은 특정 유형의 단클론 B 세포 림프구 증가증(MBL)과 밀접한 관련이 있다. CLL 환자는 거의 대부분 CLL 유형 MBL을 동반하며, 이는 혈액 내 비정상적인 단클론 B 세포 수가 약간 증가(<5x109/L)한 상태이다. 이 중 단클론 B 세포 수가 0.5x109/L 이상인 고수치 MBL은 매년 1~2%의 비율로 CLL로 진행될 수 있다.[19][20][21][22][9]
마튜테스 CLL 점수 시스템은 CD5, CD23, FMC7, CD22, 면역글로불린 경쇄 발현 양상을 종합하여 전형적인 CLL과 다른 B 세포 만성 림프증식 질환을 감별하는 데 도움을 줄 수 있다.[42] 그러나 다른 림프종과의 감별에는 한계가 있을 수 있어 추가적인 검사가 필요할 수 있다.[42][43][44][45]
4. 1. 감별 진단
만성 림프구성 백혈병(CLL)은 임상 양상, 질병 경과, 현미경적 세포 외형 등에서 유사점을 보이는 다른 여러 림프구 증식 질환들과 구별하는 것이 중요하다.[58] CLL 진단을 확립하기 위해서는 말초 혈액의 현미경 검사와 유세포 분석법을 통해 림프구의 클론성(유전적으로 동일한 세포 집단) 및 특정 표면 표지자(CD5, CD19, CD20, CD23 등) 발현을 확인하는 과정이 필요하다.[36]CLL과 혼동될 수 있으며 감별 진단이 필요한 주요 림프구 질환들은 다음과 같다.
특히 다음과 같은 질환들과의 감별이 중요하다.
- B 세포 전림프구성 백혈병: CLL과 관련이 있지만 더 공격적인 경과를 보이는 질환이다. CLL 세포와 유사한 표현형을 가지지만, 세포 크기가 정상 림프구보다 현저히 크고 핵소체가 뚜렷하게 관찰된다. 예후와 치료법이 CLL과 다르므로 정확한 구별이 필수적이다.[59] 전림프구가 많은 CLL은 B 세포성 전림프구성 백혈병(B-PLL)과의 경계선상에 있어 CLL/PL로 불리기도 한다.[110]
- 털세포 백혈병: 역시 B 림프구에서 유래한 종양이지만, 현미경 관찰 시 세포 표면에 가늘고 털과 같은 돌기가 있는 독특한 형태를 보이며, 발현하는 표지자 분자도 CLL과 다르다.[60]
- 외투 세포 림프종, 변연부 림프종, 림프형질세포 림프종 등도 임상 양상 및 세포 형태에서 CLL과 유사할 수 있어 감별 대상에 포함된다.
과거에는 혈액 내에서 CLL과 유사한 현미경적 외관을 보이면서 T세포 표현형을 가지는 경우를 T세포 만성 림프구성 백혈병(T-cell CLL)이라고 불렀으나, 현재는 T 세포 림프모구 백혈병(T-PLL)이라는 별개의 질병 그룹으로 인식하여 분류한다.[55][56] T-PLL은 드물지만 공격적인 질병이므로 CLL과의 정확한 감별이 요구된다.[57] 이 외에도 세자리 증후군, 성인 T 세포 백혈병/림프종 등 다른 T세포 기원의 질환들도 감별해야 한다.[109]
이러한 혈액 및 골수의 B세포 또는 T세포 악성 종양들은 세포의 현미경적 형태, 유세포 분석법을 통한 표지자 분자 발현 분석, 그리고 FISH 등을 이용한 특정 종양 관련 유전자 결함 확인 등을 종합하여 서로 구별할 수 있다.[61] 이러한 감별 진단 과정은 혈액 질환에 대한 전문 지식을 갖춘 병리학자가 환자의 혈액, 골수, 경우에 따라 림프절 세포를 평가하여 이루어진다.
5. 병기 분류
만성 림프구성 백혈병의 진행 정도, 즉 병기를 파악하는 것은 치료 방침을 결정하는 데 중요하다. 질병의 범위를 결정하는 병기 설정에는 주로 미국에서 널리 사용되는 Rai 병기 시스템과 유럽에서 주로 사용되는 Binet 분류가 있다.[109] 한국에서는 두 가지 분류 체계 모두 임상 현장에서 활용될 수 있다. 만성 림프구성 백혈병(CLL)과 소림프구 림프종(SLL)은 임상 양상이 다를 뿐, 근본적으로는 같은 질병으로 간주된다.
이러한 병기 분류는 기본적으로 혈액 내 림프구 수의 증가 정도, 림프절 비대, 간 비대 또는 비장 비대의 유무, 그리고 빈혈이나 혈소판 감소증 동반 여부 등을 종합적으로 평가하여 이루어진다.[103] 초기 단계의 질병은 치료가 필요하지 않을 수 있다.
각 병기 시스템에 대한 자세한 설명은 아래 하위 섹션에서 다룬다.
- Rai 분류
- Binet 분류
5. 1. Rai 분류
만성 림프구성 백혈병의 병기 설정, 즉 질병의 진행 정도를 파악하는 데에는 주로 Rai 병기 시스템이 사용된다. 이 시스템은 특히 미국에서 널리 쓰이며, 주로 혈액 내 림프구 수와 함께 림프절, 간, 비장의 비대 여부, 그리고 빈혈이나 혈소판 감소증 유무를 기준으로 단계를 나눈다.[109]- '''0단계''': 림프구 증가증(절대 림프구 수 >15,000/mm3)만 나타나는 상태이다. 림프절 비대, 간 비대, 비장 비대, 빈혈, 혈소판 감소증은 동반되지 않는다.
- '''1단계''': 림프구 증가증과 함께 림프절 비대가 나타난다. 간이나 비장의 비대, 빈혈, 혈소판 감소증은 없다.
- '''2단계''': 림프구 증가증과 함께 간 비대 또는 비장 비대가 나타난다. 림프절 비대는 있을 수도 있고 없을 수도 있다. 빈혈이나 혈소판 감소증은 없다.
- '''3단계''': 림프구 증가증과 함께 빈혈(헤모글로빈 <11 g/dL)이 나타난다. 림프절, 간, 비장의 비대 유무는 관계없다.
- '''4단계''': 림프구 증가증과 함께 혈소판 감소증(<100,000/mm3)이 나타난다. 림프절, 간, 비장의 비대나 빈혈 유무는 관계없다.
아래는 Rai 분류를 요약한 표이다.
5. 2. Binet 분류
Binet 분류는 만성 림프구성 백혈병(CLL)의 병기를 설정하는 데 사용되는 시스템 중 하나로, 주로 유럽에서 사용된다.[109] Rai 병기 시스템과 함께 질병의 범위를 결정하는 데 활용된다.Binet 분류는 다음과 같은 세 가지 임상 단계로 나뉜다.
- '''임상 A 단계''': 빈혈이나 혈소판 감소증이 없으며, 침범된 림프 조직 부위가 3개 미만인 경우이다. 이는 Rai 병기 시스템의 0, I, II 단계에 해당한다.
- '''임상 B 단계''': 빈혈이나 혈소판 감소증이 없으며, 침범된 림프 조직 부위가 3개 이상인 경우이다. 이는 Rai 병기 시스템의 I, II 단계에 해당한다.
- '''임상 C 단계''': 침범된 림프절 부위 수와 관계없이 빈혈 및/또는 혈소판 감소증이 있는 경우이다. 이는 Rai 병기 시스템의 III, IV 단계에 해당한다.
각 단계별 상세 기준과 예측되는 중앙 생존 기간은 아래 표와 같다.
6. 치료
만성 림프구성 백혈병(CLL)의 치료는 완치를 목표로 하기보다는 질병의 진행을 조절하고 관련 증상을 완화하여 생존 기간을 연장하는 데 중점을 둔다.[3][117] 대부분의 경우 병의 진행 속도가 느리기 때문에, 많은 환자들이 수년에서 수십 년간 정상적인 활동을 유지하며 살아간다.[3]
초기 단계이거나 증상이 거의 없는 환자(예: Rai 병기 0, Binet 병기 A)에게는 즉각적인 치료가 생존 기간이나 삶의 질을 향상시키지 못할 수 있으므로, 일반적으로 관찰 대기(watchful waiting)를 통해 병의 경과를 주기적으로 관찰한다.[3][62][63][112][113] 이는 질병 패턴의 변화를 감지하기 위함이다.[3][62][63]
치료 시작 여부는 질병의 진행 정도, 환자의 증상, 그리고 미국에서 주로 사용되는 Rai 병기 분류나 유럽에서 사용되는 Binet 병기 분류와 같은 병기 설정 시스템을 통해 평가된 위험도에 따라 결정된다.[3][48][113] 국제 CLL 워크숍(iwCLL)이나 미국 국립 암 연구소(NCI) 후원 워킹 그룹 등의 가이드라인에서는 특정 임상 지표가 나타날 경우 치료를 시작할 것을 권고한다. 예를 들어, 일정 기간 내 의미 있는 체중 감소, 심한 피로감, 발열, 야간 발한 등의 전신 증상, 진행성 빈혈이나 혈소판 감소증, 현저한 비장 비대 또는 림프절 종대, 림프구 수가 빠르게 증가하는 경우 등이 치료 시작의 기준이 될 수 있다.[63][116]
치료가 필요한 경우에는 화학 요법, 방사선 요법, 생물학적 치료(표적 치료, 단클론 항체 치료 포함), 조혈모세포 이식 등 다양한 방법이 사용될 수 있다.[3] 때로는 비대해진 비장을 제거하는 비장 절제술이나 부어오른 림프절의 크기를 줄이기 위한 방사선 요법이 증상 완화 목적으로 시행되기도 한다. 어떤 치료법을 선택할지는 정확한 진단, 질병의 병기, 환자의 전반적인 건강 상태, 그리고 의료진의 선호도 및 경험 등 여러 요소를 종합적으로 고려하여 결정된다.[3]
임신 중 만성 림프구성 백혈병 진단을 받은 경우, 치료는 대개 출산 후로 연기될 수 있다. 만약 임신 중 치료가 불가피하다면, 태아에 대한 위험(임신 손실이나 선천적 기형 등)을 줄이기 위해 임신 초기보다는 임신 2기 또는 3기에 화학 요법을 시행하는 것을 고려할 수 있다.[74]
6. 1. 치료 약제
만성 림프구성 백혈병(CLL) 치료는 완치보다는 질병과 증상을 조절하는 데 중점을 둔다.[3] 증상이 없거나 최소한의 증상만 있는 환자는 일반적으로 관찰 대기를 통해 경과를 지켜본다.[3] 치료가 필요한 경우 화학 요법, 방사선 요법, 생물학적 치료, 골수 이식 등이 사용될 수 있으며, 증상 완화를 위해 비장 절제술이나 방사선 요법이 시행되기도 한다.치료에 사용되는 약제는 다양하며, 환자의 상태, 질병 진행 정도, 의료진의 판단에 따라 결정된다.[3]
=== 화학 요법 ===
화학 요법 병용 요법은 단일 약제를 사용하는 것보다 더 높은 반응률과 긴 무진행 생존율을 보이는 경우가 많다. 주요 병용 요법은 다음과 같다.
- '''FC''': 플루다라빈과 사이클로포스파미드 병용[64]
- '''FR''': 플루다라빈과 리툭시맙 병용[65]
- '''FCR''': 플루다라빈, 사이클로포스파미드, 리툭시맙 병용[66]
특히 '''FCR 요법'''은 신체적으로 건강한 CLL 환자에게서 반응률, 무진행 생존율, 전체 생존율을 향상시키는 효과가 입증되었다.[69] 이는 특정 1차 치료법이 CLL 환자의 전체 생존율을 개선할 수 있음을 보여준 중요한 결과이다.
과거에는 클로람부실이 주로 사용되었으나, 퓨린 유사체인 플루다라빈이 1차 치료에서 더 우수한 반응률을 보였다.[67][68] 그러나 플루다라빈의 조기 사용이 전체 생존율을 향상시킨다는 명확한 증거는 부족하여, 일부에서는 재발 시 사용하기 위해 남겨두기도 한다.
CLL 치료에 사용되는 알킬화제로는 벤다무스틴과 사이클로포스파미드 등이 있다.
=== 표적 치료제 ===
표적 치료는 정상 세포에 대한 손상을 줄이면서 특정 분자를 표적으로 삼아 암세포를 공격하는 방식이다. CLL 치료에 사용되는 주요 표적 치료제는 다음과 같다.[3][70]
- Bcl-2 억제제: 베네토클락스
- 브루톤 티로신 키나아제 (BTK) 억제제: 이브루티닙, 아칼라브루티닙
- 포스파티딜이노시톨 3-키나아제 (PI3K) 억제제: 이델라리십, 두벨리십
이러한 표적 치료제 중 일부, 특히 BCR 경로 억제제는 CLL 세포와 종양 성장을 돕는 T세포 간의 상호작용을 방해하여 효과를 나타내는 것으로 보인다. 마지막 치료 후 6개월 이내에 재발하는 "불응성" CLL의 경우, BCR 또는 BCL2 경로 억제제와 같은 표적 치료법이 생존율 향상에 기여할 수 있다.[73]
=== 단클론 항체 ===
단클론 항체는 특정 단백질(항원)에 결합하여 암세포를 공격하거나 면역 체계를 활성화시키는 약물이다. CLL 치료에 사용되는 주요 단클론 항체는 다음과 같다.[3][70]
- CD20 표적 항체: 리툭시맙, 오파투무맙, 오비누투주맙
- CD52 표적 항체: 알렘투주맙
오파투무맙은 2013년 3월 일본에서 재발성 또는 불응성 CD20 양성 CLL 치료제로 승인되었다.
=== 표준 치료 요법 ===
현재 CLL의 초기 치료로는 이브루티닙 단독 요법 또는 FCR 병용 요법이 표준 치료로 여겨진다. BR 요법(벤다무스틴 + 리툭시맙)도 선택 가능하지만, FCR보다 치료 강도가 낮아 환자 상태를 고려하여 신중하게 선택된다. 2차 치료로는 이브루티닙, FCR, 오파투무맙, 알렘투주맙, VenR(베네토클락스 + 리툭시맙) 등 다양한 약제가 사용될 수 있다. 늦게 재발한 경우(late relapse)에는 1차 치료와 동일한 요법을 다시 시도해 볼 수도 있다. 17p 유전자 결손이 있거나 치료에 반응하지 않는 경우(SD/PD)에는 동종 조혈모세포 이식도 고려될 수 있다.[118]
6. 2. 조혈모세포 이식
자가 조혈모 줄기 세포 이식은 환자 자신의 세포를 사용하는 방법으로, 완치 효과는 없다.[86] 만성 림프구성 백혈병으로 인해 사망 위험이 높은 젊은 환자의 경우, 동종 조혈모 줄기 세포 이식을 고려할 수 있다. 건강한 기증자의 혈액 세포를 이용하는 골수 제거 형태의 동종 조혈모 줄기 세포 이식은 완치가 가능하지만, 치료 관련 독성이 심각할 수 있다.[86] 치료 강도를 중간 정도로 낮춘 감소 강도 조절 동종 조혈모 줄기 세포 이식은 고령이거나 신체적으로 약한 환자들이 비교적 잘 견딜 수 있는 방법이다.[71][72] 특히 17p 결손이 있거나 SD/PD인 경우에는 동종 조혈모세포 이식을 고려한다.[118]7. 예후
만성 림프구성 백혈병의 예후는 환자의 유전자 변이 유형 등 다양한 요인에 따라 크게 달라질 수 있다.[75]
특히 면역글로불린 중쇄 가변 영역 유전자(''IGHV'')의 돌연변이 유무는 중요한 예후 인자이다. ''IGHV'' 영역에 변이가 있는 경우 전체 생존 기간(OS) 중간값이 20~25년 이상으로 비교적 예후가 좋은 반면, 변이가 없는 경우는 OS 중간값이 8~10년에 그쳐 예후가 상대적으로 좋지 않다.[3] ''IGHV'' 돌연변이가 없는 경우는 남성에게 더 흔하게 나타나며, 병의 진행 속도가 빠르고 예후가 좋지 않은 경향을 보인다.
다른 유전자 변이들도 예후에 영향을 미친다.[3] 주요 유전자 변이와 관련된 예후는 다음과 같다.
실제로 환자의 ''IGHV'' 돌연변이 유무를 직접 조사하는 것은 기술적으로 어려울 수 있어, 이와 상관관계가 있는 다른 지표들을 활용하기도 한다. 세포 표면 항원인 CD38이나 세포 내 단백질인 ZAP-70이 대표적이다. CD38이나 ZAP-70이 양성인 경우, 이는 ''IGHV'' 돌연변이가 없을 가능성이 높음을 시사하며 예후가 좋지 않은 것으로 간주된다. 반대로 CD38과 ZAP-70이 모두 음성인 경우는 상대적으로 좋은 예후를 기대할 수 있다.
이 외에도 텔로미어의 길이가 생존 기간을 예측하는 지표가 될 수 있다는 연구 결과가 있다.[77] 또한, 환자의 성별도 예후 및 치료 효과에 영향을 미치는 것으로 나타났다. 특정 약물 치료 시, 여성이 남성보다 질병 진행 없이 더 오래 생존하는 경향을 보였다.[78]
이처럼 예후는 여러 요인에 따라 매우 다양하지만, 평균적인 5년 생존율은 86.1%로 보고된다.[76]
8. 역학
만성 림프구성 백혈병(CLL)은 서구 세계에서 가장 흔한 백혈병 유형이지만, 한국, 일본, 중국 등 아시아 국가와 라틴 아메리카, 아프리카 등 비서구 지역에서는 상대적으로 드물게 발생한다.[79][86][87] 아시아 국가에서는 전체 백혈병 사례 중 10% 미만을 차지하며, 일본의 경우 2% 미만[105] 또는 2.5%[108] 수준으로 보고된다. 미국으로 이주한 일본인이나 이스라엘로 이주한 아프리카 및 아시아계 사람들에게서도 발생률이 낮게 유지되는 경향을 보이는데,[86][105] 이는 환경이나 식습관보다는 인종적 요인이 발병에 더 큰 영향을 미칠 수 있음을 시사한다.[105]
CLL은 주로 고령층에서 발생하는 질병으로, 진단된 환자 10명 중 9명은 50세 이후에 발병한다.[80] 진단 시 평균 연령은 약 70세이다.[80][105] 전 세계적으로 남성이 여성보다 CLL에 걸릴 확률이 약 2배 높으며,[79] 남녀 발병 비율은 2~2.5:1 정도로 보고된다.[105] 특히 젊은 연령층에서는 남성 환자가 여성보다 2배 더 많이 진단되지만,[81] 80세 이상의 고령층에서는 이러한 성별 간 차이가 줄어들어 남녀 발생률이 비슷해진다.[81] 미국 암 학회에 따르면, 2021년 미국에서는 약 21,250명(남성 13,040명, 여성 8,210명)이 새로 CLL 진단을 받고, 약 4,320명(남성 2,620명, 여성 1,700명)이 이 질병으로 사망할 것으로 예상되었다.[82]
과거 CLL 환자의 생존 기간은 평균 10년 정도였으나, 치료법의 발달로 정상적인 기대 수명까지 생존하는 경우가 늘어나면서[3] 질병을 가진 사람의 수(유병률)가 새로 진단받는 사람의 수(발생률)보다 훨씬 높아졌다. 영국에서는 CLL이 가장 흔한 백혈병 유형으로 전체 백혈병의 38%를 차지하며, 2011년 한 해에만 약 3,200명이 진단받았다.[83]
한편, 서구 인구 중 임상 증상이 없는 건강한 성인의 약 3.5%,[84] 특히 70세 이상 노인의 최대 8%에서 CLL의 특징적인 표현형을 가진 소규모 B 세포 클론이 발견될 수 있다.[85] 이러한 세포들의 임상적 의미는 아직 명확히 밝혀지지 않았다.
전체 림프증식성 질환 중 만성 림프구성 백혈병/소림프구성 림프종(CLL/SLL)이 차지하는 비율은 약 7%이다.[88] 또한, 일부 연구에서는 산업 오염이 심각한 지역에 거주하는 경우 백혈병, 특히 CLL 발병 위험이 높아질 수 있다는 가능성을 제기하기도 했다.[89]
9. 연구 동향
펜실베이니아 대학교 의과대학의 연구진은 유전자를 변형시킨 환자 자신의 T 세포를 이용한 유전자 치료법으로 만성 림프구성 백혈병 치료에 초기 성공을 거두었다고 보고했다.[92] 2011년 8월 발표된 이 연구[93][94]는 유전자 변형 T 세포를 주입받은 환자 3명의 결과를 담고 있다. 이 T 세포는 몸 안에서 스스로 증식하며, 백혈병의 원인이 되는 B 세포를 찾아 파괴하도록 설계되었다. 연구 결과, 환자 2명은 암세포가 상당히 줄어드는 부분 관해 상태에 이르렀고, 나머지 1명은 백혈병 세포가 70% 감소했다.[95][96]
특히, 13년간 만성 림프구성 백혈병을 앓으며 기존 치료에 실패했던 한 환자는 이 유전자 변형 T 세포 치료를 받은 지 1주일 만에 혈액에서 백혈병 세포가 사라지는 놀라운 결과를 보였다.[97] 치료 후 6개월이 지나도 환자의 혈액 속에는 변형된 T 세포가 남아 있어, 백혈병 세포가 다시 나타나더라도 싸울 준비가 되어 있음을 시사했다.[95] 이는 과학자들이 유전자 치료를 통해 진행된 암 환자의 종양을 성공적으로 파괴한 첫 사례로 기록되었다.[98]
또한, B 세포 수용체 신호 전달 경로를 표적으로 하는 새로운 치료법 연구도 활발히 진행 중이다. Syk 단백질 억제제인 포스타마티닙과 엔토스플레티닙이 현재 임상 시험 단계에 있다.[99][100] 이브루티닙과 베네토클락스를 함께 사용하는 병용 요법 역시 임상 시험에서 일부 환자들에게 긍정적인 결과를 보였다.[101]
키메라 항원 수용체 T 세포(CAR-T)를 이용한 면역 치료법도 만성 림프구성 백혈병 환자들에게 높은 치료 반응률을 보이는 것으로 나타나 주목받고 있다.[102]
참조
[1]
서적
Chronic Lymphocytic Leukemia
https://books.google[...]
CRC Press
2008
[2]
논문
Chronic lymphocytic leukaemia
2009-02
[3]
웹사이트
Chronic Lymphocytic Leukemia Treatment
https://www.cancer.g[...]
2017-12-19
[4]
논문
Chronic lymphocytic leukaemia
2017-01
[5]
서적
Ferri's Clinical Advisor 2018 E-Book: 5 Books in 1
https://books.google[...]
Elsevier Health Sciences
2017
[6]
논문
Management of chronic lymphocytic leukemia
2015-05-01
[7]
논문
Chronic lymphocytic leukemia: 2020 update on diagnosis, risk stratification and treatment
2019-11
[8]
논문
Current and future treatment strategies in chronic lymphocytic leukemia
2021-04
[9]
논문
Chronic lymphocytic leukemia: 2017 update on diagnosis, risk stratification, and treatment
2017-09
[10]
논문
Global, regional, and national incidence, prevalence, and years lived with disability for 310 diseases and injuries, 1990–2015: a systematic analysis for the Global Burden of Disease Study 2015
2016-10
[11]
논문
Global, regional, and national life expectancy, all-cause mortality, and cause-specific mortality for 249 causes of death, 1980–2015: a systematic analysis for the Global Burden of Disease Study 2015
2016-10
[12]
웹사이트
Key Statistics for Chronic Lymphocytic Leukemia
https://www.cancer.o[...]
2021-11-29
[13]
웹사이트
Chronic Lymphocytic Leukemia – Cancer Stat Facts
https://seer.cancer.[...]
2022-09-09
[14]
웹사이트
Genes and Cancer
https://cancer.ca/en[...]
[15]
논문
Chronic Lymphocytic Leukemia-Induced Humoral Immunosuppression: A Systematic Review
2020-11
[16]
논문
Chronic lymphocytic leukaemia
2018-04
[17]
논문
Prognostic models for newly-diagnosed chronic lymphocytic leukaemia in adults: a systematic review and meta-analysis
2020-07
[18]
논문
Chronic lymphocytic leukemia (CLL)-Then and now
2016-03
[19]
논문
Diagnosis and classification of lymphoma: Impact of technical advances
2019-01
[20]
논문
Monoclonal B-cell lymphocytosis: Does the elderly patient need a specialistic approach?
2018-12
[21]
논문
The Treatment of Chronic Lymphatic Leukemia
2019-01
[22]
논문
Diagnostically relevant updates to the 2017 WHO classification of lymphoid neoplasms
2018-12
[23]
논문
Richter's Transformation
2022-08
[24]
논문
Hodgkin Lymphoma and Hairy Cell Leukemia Arising from Chronic Lymphocytic Leukemia: Case Reports and Literature Review
2022-08
[25]
논문
Leukemic phase of Richter transformation: A mimic of acute myeloid leukemia that responded to Ibrutinib monotherapy
2020-03
[26]
논문
Angioimmunoblastic T-Cell Lymphoma and Chronic Lymphocytic Leukemia/Small Lymphocytic Lymphoma: A Novel Form of Composite Lymphoma Potentially Mimicking Richter Syndrome
2021-06
[27]
논문
Second cancers in patients with chronic lymphocytic leukemia
1992-09
[28]
논문
Trends in the risk of second primary malignancies among survivors of chronic lymphocytic leukemia
2019-09
[29]
논문
Diagnostic dilemmas of high-grade transformation (Richter's syndrome) of chronic lymphocytic leukaemia: results of the phase II National Cancer Research Institute CHOP-OR clinical trial specialist haemato-pathology central review
2016-12
[30]
논문
Richter syndrome: biology, incidence, and therapeutic strategies
2005-01
[31]
논문
Colonic perforation secondary to chronic lymphocytic leukemia infiltration without [[Richter's transformation|Richter transformation]].
2011-05
[32]
논문
The importance of complex karyotype in prognostication and treatment of chronic lymphocytic leukemia (CLL): a comprehensive review of the literature
2019-10
[33]
서적
WHO classification of tumours of haematopoietic and lymphoid tissues
https://www.worldcat[...]
World Health Organization,, International Agency for Research on Cancer
[34]
논문
Candidate gene association studies and risk of chronic lymphocytic leukemia: a systematic review and meta-analysis
2014-01
[35]
논문
Chronic lymphocytic leukemia: from molecular pathogenesis to novel therapeutic strategies
2020-09
[36]
논문
Chronic Lymphocytic Leukemia: Diagnosis and Treatment
2018-05
[37]
웹사이트
Chronic Lymphocytic Leukemia
https://www.lecturio[...]
2021-07-09
[38]
서적
Blood Cells: A Practical Guide
https://archive.org/[...]
Blackwell Publishing Limited
[39]
서적
Wintrobe's clinical hematology
Lippincott Williams & Wilkins
2014
[40]
논문
The vimentin cytoskeleton: when polymer physics meets cell biology
2020-12
[41]
논문
Molecular clonality assessment shows high performance to predict malignant B-cell non-Hodgkin's lymphoma using cytological smears
https://pubmed.ncbi.[...]
[42]
논문
The immunological profile of B-cell disorders and proposal of a scoring system for the diagnosis of CLL
1994-10
[43]
논문
FMC7 is an epitope of CD20
2008-02
[44]
논문
CD200 expression may help in differential diagnosis between mantle cell lymphoma and B-cell chronic lymphocytic leukemia
2009-09
[45]
논문
Automated analysis of multidimensional flow cytometry data improves diagnostic accuracy between mantle cell lymphoma and small lymphocytic lymphoma
2012-01
[46]
서적
Chronic lymphocytic leukemia : recent progress, future direction : proceedings of a Hyland Laboratories-UCLA symposium held in Napa, California, December 2–5, 1986
Liss
1987
[47]
논문
Clinical staging of chronic lymphocytic leukemia
1975-08
[48]
간행물
Chronic Lymphocytic Leukemia
http://accessmedicin[...]
McGraw-Hill Education
2023-01-29
[49]
논문
A new prognostic classification of chronic lymphocytic leukemia derived from a multivariate survival analysis
1981-07
[50]
논문
Molecular allelokaryotyping of early-stage, untreated chronic lymphocytic leukemia
2008-03
[51]
논문
Customized oligonucleotide array-based comparative genomic hybridization as a clinical assay for genomic profiling of chronic lymphocytic leukemia
2009-01
[52]
논문
Automated array-based genomic profiling in chronic lymphocytic leukemia: development of a clinical tool and discovery of recurrent genomic alterations
2004-01
[53]
논문
Genome-wide analysis of DNA copy number changes and LOH in CLL using high-density SNP arrays
2007-02
[54]
논문
Whole-genome scanning by array comparative genomic hybridization as a clinical tool for risk assessment in chronic lymphocytic leukemia
2008-09
[55]
웹사이트
T Cell Prolymphocytic Leukemia
http://www.accessmed[...]
AccessMedicine
2009-02-04
[56]
논문
T-cell prolymphocytic leukaemia: does the expression of CD8+ phenotype justify the identification of a new subtype? Description of two cases and review of the literature
1999-06
[57]
논문
T-cell Prolymphocytic Leukemia
2017-04
[58]
서적
Harrison's Principles of Internal Medicine
McGraw Hill Professional
2015-04-17
[59]
웹사이트
France – Lymphoproliferative Syndrome B-Cell Prolymphocytic Leukemia
https://icgc.org/icg[...]
2016-11-18
[60]
웹사이트
Hairy Cell Leukemia
https://www.lecturio[...]
2021-07-24
[61]
논문
Immunological method for mapping genes on Drosophila polytene chromosomes
1982-07
[62]
논문
Rituximab for Chronic Lymphocytic Leukemia in Treatment-Naïve and Treatment-Experienced Patients
http://www.onclive.c[...]
[63]
논문
iwCLL guidelines for diagnosis, indications for treatment, response assessment, and supportive management of CLL
2018-06
[64]
논문
Fludarabine plus cyclophosphamide versus fludarabine alone in first-line therapy of younger patients with chronic lymphocytic leukemia
2006-02
[65]
논문
Randomized phase 2 study of fludarabine with concurrent versus sequential treatment with rituximab in symptomatic, untreated patients with B-cell chronic lymphocytic leukemia: results from Cancer and Leukemia Group B 9712 (CALGB 9712)
2003-01
[66]
논문
Early results of a chemoimmunotherapy regimen of fludarabine, cyclophosphamide, and rituximab as initial therapy for chronic lymphocytic leukemia
2005-06
[67]
논문
Fludarabine compared with chlorambucil as primary therapy for chronic lymphocytic leukemia
2000-12
[68]
논문
Purine antagonists for chronic lymphocytic leukaemia
2006-07
[69]
논문
Addition of rituximab to fludarabine and cyclophosphamide in patients with chronic lymphocytic leukaemia: a randomised, open-label, phase 3 trial
2010-10
[70]
논문
Targeted Therapies in CLL: Monotherapy Versus Combination Approaches
2018-12
[71]
논문
Stem cell transplantation in chronic lymphocytic leukemia
2009-01
[72]
논문
Treatment-related mortality and graft-versus-leukemia activity after allogeneic stem cell transplantation for chronic lymphocytic leukemia using intensity-reduced conditioning
2003-05
[73]
논문
The magnitude of improvement in progression-free survival with targeted therapy in relapsed/refractory chronic lymphocytic leukemia based on prognostic risk category: a systematic review and meta-analysis
2019-07
[74]
논문
How I treat acute and chronic leukemia in pregnancy
2008-09
[75]
논문
Chronic lymphocytic leukaemia: from genetics to treatment
2019-11
[76]
웹사이트
Chronic Lymphocytic Leukemia – Cancer Stat Facts
https://seer.cancer.[...]
2020-12-07
[77]
논문
Telomere length is an independent predictor of survival, treatment requirement and Richter's syndrome transformation in chronic lymphocytic leukemia
2009-06
[78]
논문
Impact of gender on outcome after chemoimmunotherapy in patients with chronic lymphocytic leukemia: a meta-analysis by the German CLL study group
2017-10
[79]
웹사이트
Chronic lymphocytic leukaemia – Symptoms, diagnosis and treatment {{!}} BMJ Best Practice
https://bestpractice[...]
2021-11-29
[80]
서적
Current medical diagnosis & treatment 2022
https://www.worldcat[...]
2022
[81]
서적
Harrison's principles of internal medicine
https://www.worldcat[...]
2018
[82]
웹사이트
Cancer Facts & Figures 2021
https://www.cancer.o[...]
[83]
웹사이트
Chronic lymphocytic leukaemia (CLL) statistics
http://www.cancerres[...]
2014-10-27
[84]
논문
Monoclonal B lymphocytes with the characteristics of "indolent" chronic lymphocytic leukemia are present in 3.5% of adults with normal blood counts
2002-07
[85]
웹사이트
Chronic Lymphocytic Leukemia
https://my.cleveland[...]
2021-07-09
[86]
서적
Williams Hematology
McGraw-Hill
[87]
논문
Chronic lymphocytic leukemia
2012-04
[88]
서적
Clinical hematology: theory and procedures
Lippincott Williams & Wilkins
[89]
논문
Association between leukemia incidence and mortality and residential petrochemical exposure: A systematic review and meta-analysis
2020-12
[90]
논문
The Evolving Landscape of Chronic Lymphocytic Leukemia on Diagnosis, Prognosis and Treatment
2021-05
[91]
논문
Clinical Practice Recommendations for Use of Allogeneic Hematopoietic Cell Transplantation in Chronic Lymphocytic Leukemia on Behalf of the Guidelines Committee of the American Society for Blood and Marrow Transplantation
2016-12
[92]
뉴스
Genetically Modified "Serial Killer" T Cells Obliterate Tumors in Patients with Chronic Lymphocytic Leukemia, Penn Researchers Report
http://www.uphs.upen[...]
"[[University of Pennsylvania School of Medicine]]"
2011-08-10
[93]
논문
Chimeric antigen receptor-modified T cells in chronic lymphoid leukemia
2011-08
[94]
논문
T cells with chimeric antigen receptors have potent antitumor effects and can establish memory in patients with advanced leukemia
2011-08
[95]
뉴스
Gene Therapy Advance Trains Immune System To Fight Leukemia
https://www.npr.org/[...]
"[[NPR]]"
2011-08-11
[96]
뉴스
New leukemia treatment exceeds 'wildest expectations'
http://www.nbcnews.c[...]
2011-08-10
[97]
뉴스
Gene Therapy Cures Adult Leukemia
http://www.webmd.com[...]
"[[WebMD]]"
2011-08-10
[98]
뉴스
Gene therapy shown to destroy leukemia tumors
https://www.reuters.[...]
2011-08-10
[99]
논문
Microenvironment dependency in Chronic Lymphocytic Leukemia: The basis for new targeted therapies
2014-12
[100]
논문
Novel Targeted Therapies for Chronic Lymphocytic Leukemia in Elderly Patients: A Systematic Review
2020-07
[101]
논문
Initial Results of Ibrutinib Plus Venetoclax in Relapsed, Refractory CLL (Bloodwise TAP CLARITY Study): High Rates of Overall Response, Complete Remission and MRD Eradication after 6 Months of Combination Therapy
http://www.bloodjour[...]
2017-12-07
[102]
논문
The efficacy of anti-CD19 chimeric antigen receptor T cells for B-cell malignancies
2019-07
[103]
서적
삼륜혈액병학
문광당
2006
[104]
서적
삼륜혈액병학
문광당
2006
[105]
서적
조혈기종양아틀라스
일본의사신보사
2009
[106]
서적
内科学書 Vol.6 改訂第7版
中山書店
2009
[107]
서적
内科学書 Vol.6 改訂第7版
中山書店
2009
[108]
서적
内科学書 Vol.6 改訂第7版
中山書店
2009
[109]
서적
造血器腫瘍取扱い規約
金原出版
2010
[110]
서적
造血器腫瘍アトラス
日本医事新報社
2009
[111]
서적
三輪血液病学
文光堂
2006
[112]
서적
白血病・リンパ腫・骨髄腫 : 今日の診断と治療
中外医学社
2011
[113]
서적
内科学書 Vol.6 改訂第7版
中山書店
2009
[114]
서적
三輪血液病学
文光堂
2006
[115]
서적
白血病・リンパ腫・骨髄腫 : 今日の診断と治療
中外医学社
2011
[116]
서적
白血病・リンパ腫・骨髄腫 : 今日の診断と治療
中外医学社
2011
[117]
서적
白血病・リンパ腫・骨髄腫 : 今日の診断と治療
中外医学社
2011
[118]
웹사이트
ホーム|造血器腫瘍診療ガイドライン 2018年版補訂版|一般社団法人 日本血液学会
http://www.jshem.or.[...]
2021-09-23
[119]
서적
造血器腫瘍アトラス
日本医事新報社
2009
[120]
저널
Chronic lymphocytic leukaemia
2009-02
[121]
웹인용
Chronic Lymphocytic Leukemia Treatment
https://www.cancer.g[...]
2017-12-19
[122]
저널
Chronic lymphocytic leukaemia
2018-04
[123]
저널
Chronic lymphocytic leukaemia
2017-01
[124]
서적
Ferri's Clinical Advisor 2018 E-Book: 5 Books in 1
https://books.google[...]
Elsevier Health Sciences
2017
[125]
저널
Management of chronic lymphocytic leukemia
2015-05-01
[126]
저널
Chronic lymphocytic leukemia: 2020 update on diagnosis, risk stratification and treatment
2019-11
[127]
저널
Current and future treatment strategies in chronic lymphocytic leukemia
2021-04
[128]
저널
Chronic lymphocytic leukemia: 2017 update on diagnosis, risk stratification, and treatment
2017-09
[129]
저널
Global, regional, and national incidence, prevalence, and years lived with disability for 310 diseases and injuries, 1990-2015: a systematic analysis for the Global Burden of Disease Study 2015
2016-10
[130]
저널
Global, regional, and national life expectancy, all-cause mortality, and cause-specific mortality for 249 causes of death, 1980-2015: a systematic analysis for the Global Burden of Disease Study 2015
2016-10
[131]
웹인용
Key Statistics for Chronic Lymphocytic Leukemia
https://www.cancer.o[...]
2021-11-29
[132]
웹인용
Chronic Lymphocytic Leukemia - Cancer Stat Facts
https://seer.cancer.[...]
2022-09-09
[133]
웹인용
Genes and Cancer
https://cancer.ca/en[...]
[134]
저널
Chronic Lymphocytic Leukemia-Induced Humoral Immunosuppression: A Systematic Review
2020-11
본 사이트는 AI가 위키백과와 뉴스 기사,정부 간행물,학술 논문등을 바탕으로 정보를 가공하여 제공하는 백과사전형 서비스입니다.
모든 문서는 AI에 의해 자동 생성되며, CC BY-SA 4.0 라이선스에 따라 이용할 수 있습니다.
하지만, 위키백과나 뉴스 기사 자체에 오류, 부정확한 정보, 또는 가짜 뉴스가 포함될 수 있으며, AI는 이러한 내용을 완벽하게 걸러내지 못할 수 있습니다.
따라서 제공되는 정보에 일부 오류나 편향이 있을 수 있으므로, 중요한 정보는 반드시 다른 출처를 통해 교차 검증하시기 바랍니다.
문의하기 : help@durumis.com
