건선
"오늘의AI위키"의 AI를 통해 더욱 풍부하고 폭넓은 지식 경험을 누리세요.
1. 개요
건선은 피부에 붉은 반점과 비늘이 나타나는 만성 염증성 질환으로, 다양한 유형과 증상을 보인다. 유전적, 면역학적, 환경적 요인이 복합적으로 작용하며, 가족력, 면역 세포의 과도한 활성화, 특정 약물, 감염 등이 원인으로 작용할 수 있다. 진단은 피부 외관을 기반으로 하며, 심할 경우 피부 생검을 시행한다. 치료법으로는 국소 치료, 광선 치료, 전신 치료가 있으며, 환자의 증상과 중증도에 따라 선택된다. 건선은 심혈관 질환, 우울증, 당뇨병 등 다양한 합병증을 유발할 수 있으며, 삶의 질을 저하시킬 수 있으므로 조기 진단과 적절한 관리가 중요하다.
더 읽어볼만한 페이지
- 건선 - 광선 치료
광선 치료는 특정 파장의 빛을 사용하여 질병을 치료하거나 증상을 완화하는 방법으로, 피부 질환, 정신 질환, 수면 장애 등에 적용되며 닐스 뤼베르 핀센이 현대 광선 요법의 아버지로 불리지만, 자외선 노출, 광과민 반응 등의 부작용과 윤리적 문제를 고려해야 한다. - 건선 - 건선성 관절염
건선성 관절염은 건선과 함께 나타나는 만성 염증성 질환으로, 관절 통증, 부기, 손톱 변화, 피부 병변 등을 동반하며, 유전적, 면역학적, 환경적 요인이 복합적으로 작용하여 발생하는 것으로 추정되고, 염증 조절 및 관절 손상 예방을 목표로 약물 치료를 시행한다. - 자가 면역 질환 - 류마티스 관절염
류마티스 관절염은 관절 활막의 만성 염증성 질환으로, 조기 진단과 적극적인 치료를 통해 질병 진행을 늦추고 삶의 질을 향상시키는 것이 중요하며, 진단에는 류마티스 인자와 항CCP 항체가 사용되고 메토트렉세이트 등의 약물로 치료한다. - 자가 면역 질환 - 크론병
크론병은 위장관에 만성 염증을 일으키는 질환으로, 유전적 요인, 면역계 이상, 환경적 요인이 복합적으로 작용하며 복통, 설사, 합병증 등을 유발할 수 있고, 약물 요법, 영양 요법, 수술 등으로 치료하며 완치 치료법은 없다. - 피부 질환 - 류마티스 관절염
류마티스 관절염은 관절 활막의 만성 염증성 질환으로, 조기 진단과 적극적인 치료를 통해 질병 진행을 늦추고 삶의 질을 향상시키는 것이 중요하며, 진단에는 류마티스 인자와 항CCP 항체가 사용되고 메토트렉세이트 등의 약물로 치료한다. - 피부 질환 - 두드러기
두드러기는 피부에 붉은 팽진과 가려움증을 동반하는 질환으로, 다양한 원인에 의해 발생하며 급성 및 만성으로 분류되고, 항히스타민제 등의 치료를 받는다.
2. 역사
건선의 역사적 기록과 인식 변화, 치료법의 발전 과정은 #서양의학에서의 건선에서 자세히 다룬다.
2. 1. 서양의학에서의 건선
학자들은 건선이 히브리 성경에서 다양한 피부 질환을 아우르는 צָּרַעַת|차라아트he(흔히 나병으로 번역됨)에 포함되었을 것으로 보고 있다.[131] 성경 시대에는 건선과 같은 피부 질환을 앓는 사람을 "부정"하다고 여겼으며(tumah and taharah 참조), 코헨(제사장)이 치료를 담당했다.[132] 그러나 이러한 용어의 혼란은 고대 그리스에서 두 질환에 동일한 단어를 사용했기 때문에 발생했을 가능성이 크다. 그리스인들은 비늘이 생기는 피부 질환에 λέπρα|레프라el라는 용어를, 가려운 피부 질환에는 ψώρα|프소라el라는 용어를 사용했다.[132]건선에 대한 최초의 임상적 기술은 고대 로마의 코르넬리우스 켈수스에 의해 이루어진 것으로 여겨진다.[134] 이후 18세기 후반, 영국의 피부과 의사인 로버트 윌란과 토마스 베이트먼은 건선을 다른 피부 질환과 구별하며 '윌란의 나병'이라고 명명했다. 그들은 나병의 반점이 규칙적이고 원형적인 형태를 띠는 반면, 건선은 항상 불규칙한 형태를 보인다고 설명했다. 윌란은 건선을 leprosa graecorumla와 psora leprosala의 두 가지 범주로 나누었다.[133] 토마스 베이트먼은 1813년에 건선과 관절염 증상 사이의 연관 가능성을 처음으로 기술했다.[134]
제2차 세계 대전 중에는 미국 해군의 윌리엄 홀시 주니어 제독이 해상에서 건선이 발병하여 미드웨이 해전에 참여하지 못한 사례도 있다. 당시 태평양 함대 사령관이었던 체스터 W. 니미츠 제독은 홀시 제독에게 하와이의 병원에서 치료받도록 명령했다.
건선 치료의 역사를 살펴보면, 효과가 의심스럽거나 독성이 높은 방법들이 사용되었음을 알 수 있다. 18세기와 19세기에는 비소 화합물인 파울러 용액이 피부과 의사들에 의해 건선 치료제로 사용되었는데, 이는 독극물이자 발암 물질이었다.[132] 이 시기에는 수은 또한 건선 치료에 사용되었다.[132] 당시 건선이 전염병이라는 잘못된 믿음 때문에 유황, 요오드, 페놀 등도 흔히 사용되었다.[132] 1900년대 초에는 석탄 타르를 바르고 자외선을 쬐는 방식이 국소 치료법으로 널리 사용되었다.[132][135] 같은 시기에 건선성 관절염 환자들은 류마티스 관절염 치료와 유사하게 금 제제를 정맥 주사로 투여받기도 했다.[135]
3. 원인
건선의 정확한 원인은 아직 완전히 밝혀지지 않았지만, 유전적 소인, 환경적 요인, 면역 체계의 이상 등이 복합적으로 작용하는 것으로 생각된다.[96][42] 유전적 요인이 중요한 역할을 하는 것으로 알려져 있으며[141], 식생활을 포함한 생활 습관 등 환경적 요인 역시 건선 발병 및 악화에 영향을 미칠 수 있다.[141] 또한 건선은 면역 체계와 관련된 만성 염증성 질환으로 이해되고 있다. 건선 환자는 심장 관상 동맥의 동맥 경화 플라크 단면적 비율이 높다는 연구 결과도 보고되었다.[142]
3. 1. 유전적 요인
건선 환자의 약 3분의 1은 질병의 가족력을 보고하며, 연구자들은 이 질환과 관련된 유전적 유전자 좌위를 확인했다. 쌍둥이 연구에 따르면, 일란성 쌍둥이 중 한 명이 건선을 앓고 있을 경우 다른 쌍둥이가 건선을 앓을 확률은 70%에 달하며, 이란성 쌍둥이의 경우 이 확률은 약 20%이다.[31][141] 이러한 결과는 건선 발병에 유전적 소인과 환경적 요인이 모두 관여함을 시사한다.[31]건선은 유전적 요인이 강하게 작용하며 많은 유전자가 관련되어 있지만, 이들 유전자가 어떻게 상호작용하는지는 아직 명확히 밝혀지지 않았다. 확인된 유전자 대부분은 면역계, 특히 주요 조직 적합성 복합체(MHC) 및 T 세포와 관련이 있다. 유전자 연구는 건선의 분자 기전과 경로를 밝혀 추가 연구 및 잠재적 치료 표적을 찾는 데 중요한 역할을 한다.[32]
고전적인 전유전체 연관 분석을 통해 건선과 관련된 9개의 유전자 좌위가 여러 염색체 상에서 확인되었다. 이들은 건선 감수성 1부터 9까지(''PSORS1''에서 ''PSORS9'')로 명명되었다. 이 좌위들 내에는 염증 유발 경로에 관여하는 유전자들이 존재하며, 이 유전자들의 특정 변이(돌연변이)는 건선 환자에게서 흔하게 발견된다.[32] 전장 유전체 연관성 분석(GWAS) 연구는 건선에서 특징적으로 변이된 다른 유전자들을 추가로 확인했으며, 이들 중 일부는 건선에 관여하는 면역 세포에 영향을 미치는 염증 신호 단백질을 발현한다. 또한 이 유전자 중 일부는 다른 자가면역 질환과도 관련이 있다.[32]
가장 중요한 유전적 결정 인자는 ''PSORS1''이며, 건선 유전성의 35~50%를 차지하는 것으로 추정된다.[33] 이 좌위는 면역계에 영향을 미치거나 건선에서 과발현되는 피부 단백질을 암호화하는 유전자들을 조절하며, 중요한 면역 기능을 담당하는 MHC 내 6번 염색체에 위치한다. ''PSORS1'' 좌위 내 세 가지 유전자는 건선 발병과 특히 강한 연관성을 보인다.[32]
- ''HLA-C'' 유전자의 변이인 ''HLA-Cw6'': MHC 클래스 I 단백질을 암호화한다.[96]
- ''CCHCR1'' 유전자: 건선 표피에서 과발현되는 코일 코일 단백질을 암호화한다.
- ''CDSN'' 유전자: 표피의 과립층과 각질층에서 발현되며 건선에서 상향 조절되는 단백질인 각질세포 데스모신을 암호화한다.
주요하게 연구되는 면역계 관련 유전자로는 인터루킨-12 서브유닛 베타(''IL12B'')와 인터루킨-23 수용체(''IL23R'')가 있다. ''IL12B''는 5q 염색체에 위치하며 인터루킨-12B를 발현하고, ''IL23R''은 1p 염색체에 위치하며 인터루킨-23 수용체를 발현하여 T 세포 분화에 관여한다. 이 두 유전자 모두 건선과 강한 연관성을 보인다.[96] T 세포는 건선을 유발하는 염증 과정의 핵심 요소이다.[32] 이 유전자들은 염증에 관여하는 종양 괴사 인자-α 및 핵인자 κB를 상향 조절하는 경로에 속한다.[32] 건선과 직접적으로 연관된 것으로 처음 확인된 유전자는 ''PSORS2'' 좌위에 위치한 ''CARD14'' 유전자이다. 이 유전자 내의 드문 돌연변이가 환경적 요인과 결합하면 가장 흔한 형태인 판상 건선을 유발하기에 충분할 수 있다.[34][35]
유전적 요인과 발병 연령을 기준으로 건선을 분류하기도 한다. 제1형은 가족력이 있고 40세 이전에 발병하며 인간 백혈구 항원(HLA) 중 ''HLA-Cw6''와 관련이 있다. 반면 제2형은 가족력이 없고 40세 이후에 발병하며 ''HLA-Cw6''와 관련이 없다.[130] 제1형은 전체 건선 환자의 약 75%를 차지한다.[57]
전 세계적으로 건선의 유병률은 약 1.6% 정도로 추정되지만[141], 인종에 따라 차이를 보인다. 백인종에서는 2~4%로 비교적 높게 나타나는 반면, 흑인과 황색 인종에서는 상대적으로 드물다.[141] 흥미롭게도, 백인종 비율이 유럽보다 낮은 미국의 건선 유병률이 유럽보다 높다는 보고가 있다.[141] 또한, 일본에서는 태평양 전쟁 이전에는 건선이 드문 질환이었으나, 전쟁 이후 식생활의 서구화 등 생활 습관 변화와 함께 환자가 증가하여 1970년대 0.025%였던 유병률이 1990년대에는 0.1%, 2010년대에는 약 0.4%까지 상승했다.[141] 이러한 사실들은 건선 발병에 유전적 요인뿐만 아니라 식생활을 포함한 환경 및 생활 습관 요인도 중요하게 작용할 수 있음을 시사한다.[141]
3. 2. 면역학적 요인
건선은 피부 표피층의 비정상적으로 과도하고 빠른 성장을 특징으로 한다.[45] 피부 세포의 비정상적인 생성과 과다한 축적은 건선의 주요 병리 현상이며,[124] 이는 피부 외상, 감염, 약물 등 외부 요인에 의해 면역 체계가 활성화되는 시작 단계와 질병이 만성적으로 진행되는 유지 단계로 구성된다.[32][19] 건선 환자의 피부 세포는 정상적인 28~30일 주기가 아닌 3~5일마다 교체된다.[114] 이러한 변화는 진피에서 수지상 세포, 대식세포, T 세포 등 면역 세포들의 염증 반응 연쇄 작용에 의해 각질 세포의 조기 성숙이 유도되기 때문으로 여겨진다.[27][46] 이 면역 세포들은 진피에서 표피로 이동하여 인터루킨-36γ, 종양 괴사 인자-알파(TNF-α), 인터루킨-1β, 인터루킨-6, 인터루킨-22와 같은 염증성 사이토카인을 분비하며,[32][47] 이는 각질 세포의 증식을 자극하는 것으로 생각된다.[32] 건선 발병 기전에는 조절 T 세포와 조절 사이토카인인 인터루킨-10의 결함이 관여한다는 가설도 있다.[32] 건선성 손발톱이나 건선성 관절염에서 발견되는 염증성 사이토카인은 피부 병변에서 발견되는 것과 유사하여 공통적인 염증 메커니즘이 작용함을 시사한다.[19]피부 장벽 기능에 관여하는 단백질의 유전자 돌연변이가 건선 발생 감수성 표지자로 확인되었다.[48][49] 또한, 사멸하는 세포에서 방출된 DNA는 건선에서 염증성 자극제로 작용하여[50] 특정 수지상 세포의 수용체를 자극하고, 이는 다시 사이토카인 인터페론-α 생성을 유도한다.[50] 수지상 세포와 T 세포로부터의 화학적 신호에 반응하여 각질 세포 역시 인터루킨-1, 인터루킨-6, TNF-α와 같은 사이토카인을 분비하여 추가적인 염증 세포 유입과 염증 반응을 촉진한다.[32]
수지상 세포는 선천 면역계와 적응 면역계를 연결하는 중요한 역할을 한다. 건선 병변에서는 수지상 세포가 증가하며,[45] 이들은 T 세포와 Th1 세포 및 Th17 세포의 증식을 유도한다. PUVA 요법이나 특정 면역 요법은 수지상 세포 수를 줄이고 사이토카인 분비 패턴을 Th2 세포 우세형으로 변화시키는 효과를 보인다.[32][39] 건선 환자의 T 세포는 진피에서 표피로 이동하여 인터페론-γ와 인터루킨-17을 분비한다.[51] 인터루킨-23은 인터루킨-17과 인터루킨-22의 생성을 유도하는 것으로 알려져 있으며,[45][51] 인터루킨-17과 인터루킨-22는 함께 작용하여 각질 세포가 호중구를 유인하는 사이토카인을 분비하도록 유도한다.[51]
HIV 양성 환자의 건선 발생률은 HIV 음성 환자와 비슷하지만, 건선 증상은 HIV 감염자에게서 더 심각하게 나타나는 경향이 있다.[46] 또한 HIV 감염 건선 환자는 비감염 환자보다 훨씬 높은 비율로 건선성 관절염을 겪는다.[46] HIV 감염 시 면역 반응은 주로 CD4+ 보조 T 세포의 Th2 하위 집합에서 나타나는 세포 신호가 특징적인 반면,[38] 건선의 면역 반응은 Th1 및 Th17 하위 집합 CD4+ 보조 T 세포의 신호 패턴이 특징이다.[39][40] HIV 감염으로 인한 CD4+ T 세포 감소는 CD8+ T 세포의 과활성화를 유발하여 건선 악화의 원인이 되는 것으로 추정된다. HIV/AIDS 환자의 건선은 종종 심각하며 기존 치료법에 잘 반응하지 않을 수 있다.[41] 장기간 건선이 잘 조절된 환자에서 새로운 HIV 감염은 건선 및/또는 건선성 관절염의 심각한 재발을 유발할 수 있다.
유전적 요인과 발병 연령 등을 고려하여 건선을 분류하기도 한다. 제1형은 가족력이 있고 40세 이전에 발병하며, 인간 백혈구 항원(HLA) 중 ''HLA-Cw6''와 관련이 있다. 반면 제2형은 가족력이 없고 40세 이후에 발병하며 ''HLA-Cw6''와 관련이 없다.[130] 제1형이 전체 건선 환자의 약 75%를 차지한다.[57] 게놈 와이드 연관 분석에서는 HLA class I 영역 외에도 6번 염색체상의 PSORS1과 17번 염색체상의 PSORS2 등 여러 유전자좌가 건선 관련 후보 유전자 영역으로 보고되었다.
건선을 자가면역 질환으로 분류할지에 대해서는 상당한 논쟁이 있다. 일부 연구자들은 건선 및 건선성 관절염을 자가면역 질환으로 분류하지만,[124][96][58] 다른 연구자들은 이를 면역 매개 염증성 질환으로 구분하여 자가면역 질환과는 다른 범주로 본다.[32][59][60]
최근 건선은 류마티스 관절염, 크론병과 함께 대표적인 Th17 세포 매개 만성 염증성 질환으로 여겨지고 있다. 이에 따라 치료에서도 항TNF-α 단클론 항체인 아달리무맙과 인플릭시맙, 항인간 인터루킨-12/인터루킨-23p40 단클론 항체인 우스테키누맙, 항인터루킨-17A 항체인 세쿠키누맙, 항인터루킨-17A 수용체 A 항체인 브로달루맙 등이 효과를 나타내고 있다.
겨울철 악화 및 여름철 호전 경향, 장 질환 동반, 식생활에 따른 증상 변화, 무균 상태 사육 시 건선 모델 마우스의 미발병, 치주 질환 악화 시 건선 악화, 궤양성 대장염 환자와 유사한 장내 세균총 편향 등 유전적 소인 외에 다양한 요인이 건선 악화에 관여하는 것으로 보이며 연구가 진행 중이나, 명확한 기전은 아직 밝혀지지 않았다.
3. 3. 환경적 요인
만성적인 감염, 스트레스, 계절 및 기후 변화 등은 건선을 악화시키는 요인으로 알려져 있다.[96] 이 외에도 뜨거운 물 사용, 건선이 생긴 피부 병변을 긁는 행위, 피부 건조, 과도한 음주, 흡연, 비만 등도 상태를 악화시킬 수 있는 요인으로 꼽힌다.[96][36][120][37] 다만 2019년 기준으로, 금연이나 알코올 남용 중단이 건선에 미치는 영향에 대해서는 아직 명확히 연구된 바가 없다.[37]연쇄상구균 인두염을 앓은 후에 건선이 발생하는 경우가 있으며, 피부나 장 내에 ''황색포도상구균'', ''말라세지아'' 속 균, ''칸디다 알비칸스'' 등이 증식하면 건선이 악화될 수 있다.[42] 특히 물방울 건선은 주로 어린이와 청소년에게 나타나며, 최근에 A군 연쇄상구균 감염(편도선염 또는 인두염)을 겪은 후 유발되는 경우가 많다.[19]
건선 발병에는 유전적 요인이 크게 작용하는 것으로 여겨지지만[141](일란성 쌍둥이의 경우 발병 일치율이 70%에 달하며, 이란성 쌍둥이는 약 20%이다), 환경 및 생활 습관의 영향도 무시할 수 없다. 예를 들어, 백인종 인구 비율이 유럽보다 낮은 미국에서 건선 유병률이 오히려 더 높게 나타나는 현상이 관찰된다. 또한 일본의 경우, 태평양 전쟁 이전에는 건선이 드문 질환이었으나 전쟁 이후 식생활이 서구적으로 크게 변화하면서 환자 수가 증가했다. 1970년대 0.025%였던 유병률은 1990년대에 0.1%로 상승했고, 2010년대에는 약 0.4%에 달했다. 이러한 사례들은 유전적 소인 외에도 식생활을 비롯한 생활 습관이 건선 발병에 중요한 요인이 될 수 있음을 보여준다.
4. 증상
건선의 증상은 다양하며, 가장 흔한 형태는 피부에 은백색 인설을 동반한 붉은색 발진이 나타나는 것이다. 이 발진은 경계가 명확하며 주로 팔꿈치, 무릎, 두피 등 자극받기 쉬운 부위에 발생한다. 외부의 물리적인 자극으로 증상이 유발되거나 악화되는 쾨브너 현상이 특징이다. 피부 증상은 안구를 제외한 전신 어디에나 나타날 수 있다.
손톱이나 발톱에 변화가 생기는 손톱 건선이 나타날 수 있으며, 이는 건선성 관절염 발병 가능성과 관련이 있을 수 있다. 손톱 건선은 손톱 표면의 함몰, 변색, 두꺼워짐, 부스러짐 등 다양한 형태로 나타난다.
드물지만 구강 점막에 증상이 나타나기도 하는데(구강 건선), 특별한 증상이 없거나 흰색 또는 회백색 반점 형태로 나타날 수 있다.[22] 혀에 지도 설과 유사한 병변이 나타나는 경우도 있으며, 일부 연구에서는 두 질환 간의 연관성을 제시하기도 했다.[23][24]
가려움증의 정도는 환자마다 매우 다양하여, 심한 발진에도 가려움증이 적은 경우도 있고 심한 가려움증을 동반하는 경우도 있다.
건선은 전염병이 아니므로 타인에게 옮기지 않는다. 그러나 외형이 일부 전염성 피부 질환과 비슷하여 오해를 받는 경우가 많아 환자들이 해수욕이나 온천 이용 등에 어려움을 겪거나 사회적으로 위축되는 문제가 있다.[143][144] 따라서 건선이 전염되지 않는다는 사실을 알리고 사회적 인식을 개선하는 노력이 필요하다.[145]
4. 1. 판상 건선 (Plaque psoriasis)
건선 보통(만성 고정 건선 또는 판상 건선)은 가장 흔한 형태의 건선으로, 전체 건선 환자의 약 85~90%를 차지한다.[27] 판상 건선은 일반적으로 피부가 두꺼워지고 경계가 뚜렷한 붉은 발진 위에 은백색의 인설(비늘)이 겹겹이 쌓여 나타나는 것이 특징이다. 이 발진 부위를 '반'이라고 부르며, 주로 팔꿈치, 무릎, 두피, 등과 같이 외부 자극을 받기 쉬운 부위에 잘 생긴다.[27][10]
피부 증상으로는 특유의 광택을 띠는 흰색 인설이 표면에 나타나며, 피부가 두꺼워지고 약간 단단해진 붉은 발진이 생긴다. 병변 부위는 주변 정상 피부보다 약간 솟아올라 경계가 분명하며, 때로는 넓게 퍼져 큰 붉은 반점을 형성하기도 한다. 이를 속칭 햄 모양 피부 발진이라고 표현하기도 한다.
판상 건선의 특징 중 하나는 외부의 물리적인 자극에 의해 증상이 유발되거나 악화되는 쾨브너 현상이다. 이 때문에 마찰이 잦은 팔꿈치나 꼬리뼈 부위에 처음 발병하는 경우가 많다. 하지만 이 부위들은 본인 시야에 잘 들어오지 않고, 가려움증이 심하지 않은 경우도 있어 발병 초기에 알아차리지 못할 수 있다. 반면, 눈에 잘 띄는 무릎이나 심한 가려움증을 동반하는 두피의 병변을 통해 건선을 인지하고 병원을 찾는 경우도 많다. 건선은 안구를 제외한 전신 어디에나 나타날 수 있다.
손톱이나 발톱에 건선이 생기면 손발톱 표면이 울퉁불퉁해지거나 작은 함몰이 생기고, 색깔이 변하거나 두꺼워지며 심한 경우 부스러지기도 한다. 이를 손톱 건선이라고 하며, 손톱 건선이 있는 경우 건선성 관절염으로 진행될 가능성이 더 높은 것으로 알려져 있다.
건선의 가려움증 정도는 사람마다 매우 다양하다. 강한 발진에도 불구하고 다른 피부 질환에 비해 가려움증이 적은 경우도 있지만, 참기 힘든 심한 가려움증을 호소하는 경우도 있다. 증상의 정도, 병변 부위, 사용하는 약제의 자극 등에 따라 다양한 양상을 보인다.
건선은 전염병이 아니므로 다른 사람에게 옮기지 않는다. 그러나 백선(무좀) 등 다른 전염성 피부병과 외관이 비슷하여 오해를 받는 경우가 많다. 환자가 건선이라고 설명해도 질환에 대한 인지도가 낮고, '건선'과 '감염'의 일본어 발음이 같아(칸센, かんせん) 전염병으로 오해받기 쉽다는 지적도 있다.[143][144] 이러한 오해 때문에 건선 치료에 도움이 될 수 있는 해수욕이나 특정 온천 입욕 등을 다른 사람의 시선을 의식하여 피하게 되어 치료 기회를 놓치는 안타까운 상황이 발생하기도 한다. 따라서 건선이 전염되지 않는다는 사실을 널리 알리는 사회적 인식 개선 노력이 필요하다.[145]

4. 2. 물방울 건선 (Guttate psoriasis)
물방울 건선(滴状乾癬)은 건선의 한 형태로 분류된다. 농포성, 간찰성, 기저귀, 구강, 지루성 유사 형태 등 다른 드문 형태들과 함께 전체 건선 사례의 약 10%를 차지한다.[11]4. 3. 농포성 건선 (Pustular psoriasis)

농포성 건선은 비감염성 고름(농포)으로 채워진 솟아오른 덩어리 형태로 나타나는 건선의 한 종류이다.[12] 농포 아래와 주변의 피부는 붉고 민감해지는 특징이 있다.[124] 농포성 건선은 특정 부위에 국소적으로 나타나거나 신체 전반에 걸쳐 광범위하게 발생할 수 있다. 국소 농포성 건선에는 손과 발에 국한되는 손발바닥 농포성 건선과 할로포의 연속성 지단피염 등이 있다.[19]
일부 농포성 건선은 급격한 발열과 함께 전신의 피부가 붉어지고(조홍) 무균성 농포가 많이 발생하는 드문 형태로 나타나기도 한다. 이는 손발바닥 농포증과 증상이 유사하여 감별 진단이 필요하다. 참고로 손발바닥 농포증은 일본에서는 건선으로 분류되지 않지만, 다른 국가에서는 건선으로 분류되는 경우가 많다. 발열 등 전신 증상이 심한 경우에는 입원 치료가 필요하며, 사이클로스포린이나 비타민 A 복용 등이 치료에 사용될 수 있다. 증상이 매우 심각할 때는 단기간 스테로이드 대량 투여(스테로이드 펄스)를 시행하기도 한다.
기존에 건선을 앓던 환자에게 농포성 건선이 발병하면, 원래 건선이 있던 부위를 제외한 다른 부위에 무균성 농포가 나타나는 경우도 있다. 만약 약물 부작용으로 인한 피부 발진이 원인이라면 해당 약물의 투여를 중지해야 한다.
농포성 건선은 특정 질환 치료 연구 사업 대상 질환으로 지정되어 있다.[150]
증상이 하지 전체에 나타날 경우, 발에 체중이 실릴 때 심한 통증으로 인해 걷기 어려워져 휠체어 사용이 필요할 수도 있다. 이러한 통증에는 일반적인 진통 소염제가 큰 효과를 보이지 않는 경우가 많다. 또한, 병변이 치유되는 과정에서 심한 가려움증을 동반하기도 한다.
4. 4. 간찰성 건선 (Inverse psoriasis)
간찰성 건선은 건선의 한 형태로, 전체 건선 사례의 약 10%를 차지하는 다른 형태들(농포성, 기저귀, 물방울, 구강, 지루성 유사 형태 등) 중 하나이다.[11] 역 건선(굴곡 건선이라고도 함)은 매끄럽고 염증이 있는 피부 반점으로 나타난다.[18] 이러한 반점은 주로 피부 주름이 있는 부위에 나타나는데, 특히 생식기 주변(허벅지와 사타구니 사이), 겨드랑이, 과체중인 사람의 복부 피부 주름(지방층), 엉덩이 사이의 접히는 부분(둔부 간 열구), 유방 아래(유방 하 주름) 등에서 자주 발생한다.[18] 열, 외상, 감염 등이 이러한 비정형 건선 형태의 발달에 영향을 미치는 것으로 생각된다.[18] 기저귀 건선은 2세 미만 영아에게 흔하며[30][13] 종종 기저귀 피부염으로 오진되기도 한다.[14] 기저귀 건선을 앓았던 영아가 성장하면서 판상 건선이나 간찰성 건선으로 발전하는 경우도 있다.[15]4. 5. 건선성 홍피증 (Erythrodermic psoriasis)
건선성 홍피증(홍피성 건선)은 신체 표면의 대부분(일반적으로 90% 이상)에 걸쳐 광범위한 염증과 피부 박리가 나타나는 건선의 한 형태이다.[19] 심한 건조함, 가려움증, 부기, 통증이 동반될 수 있으며, 모든 유형의 건선에서 발생 가능하다.[19] 불안정한 판상 건선이 악화되면서 발생하는 경우가 많으며, 특히 전신 글루코코르티코이드 치료를 갑자기 중단했을 때 나타나기 쉽다.[20] 이 형태는 극심한 염증과 피부 박리로 인해 신체의 체온 조절 능력과 피부 방어 기능이 손상되어 생명에 위협이 될 수도 있다.[21]4. 6. 건선성 관절염 (Psoriatic arthritis)
건선 관절염은 피부 및 손발톱 건선과 자주 동반되는 만성 염증성 관절염의 한 형태로, 임상 양상이 매우 다양하다.[25][28] 일반적으로 관절과 주변 결합 조직에 통증을 동반한 염증이 생기며, 모든 관절에서 발생할 수 있지만 특히 손가락과 발가락 관절에 흔하게 나타난다. 이로 인해 손가락과 발가락이 소시지처럼 붓는 다발성 지염이 발생하기도 한다.[25] 또한 엉덩이, 무릎, 척추(척추염), 천장관절(천장관절염) 등에도 영향을 미칠 수 있다.[26]건선 환자 중 약 30%[27] 또는 1~20%[148] 정도가 건선성 관절염을 앓는 것으로 알려져 있으며, 최근 증가하는 추세를 보인다.[148] 약 75%의 환자에서는 건선의 피부 증상이 관절염 증상보다 먼저 나타나는 경향이 있다.[28] 등이나 허리 관절에 염증이 생기는 경우에는 척추관절염의 일종으로 분류되기도 한다.
피부 증상이 먼저 나타나면 피부과를 방문하는 경우가 많지만, 손발의 관절 증상이 먼저 나타나면 류마티스내과, 허리나 등의 통증이 먼저 나타나면 정형외과를 방문하게 된다. 피부 증상이 선행된 경우, 건선의 여러 증상에 더해 전신 관절에 염증이 생기는데, 주로 아침에 일어났을 때 관절이 뻣뻣함을 느끼고 이어서 통증과 부종이 발생한다. 관절이 파괴되거나 변형될 수도 있지만, 류마티스 관절염이나 다른 척추관절염처럼 급격하게 진행되는 경우는 드물다.
건선성 관절염은 손가락 끝 관절(DIP 관절)에도 발생할 수 있다는 점에서 류마티스 관절염과 차이가 있다. 또한, 관절 증상과 피부 발진의 심각도가 반드시 비례하지는 않는다.[148] 주로 염증이 생기는 부위는 무릎 관절, 손가락 관절, 손목, 발목 등이며, 늑골과 흉골 사이의 관절(흉쇄 관절), 쇄골과 늑골 사이의 관절, 어깨 관절, 천장 관절, 척추 등에도 염증이 생길 수 있다. 쉬고 있을 때 통증이 있고 몸을 움직이면 나아지는 경향이 있으며, 관절염과 함께 전신에 열이 나기도 한다.
류마티스 관절염과 달리, 건선성 관절염은 힘줄이 뼈에 붙는 부위(힘줄 부착 부위)에 염증이 생기면서 시작되는 것이 특징이다. 아킬레스건 부착 부위나 천장 관절이 염증이 잘 생기는 부위이다.
심한 관절 통증은 수면을 방해하고, 심한 뻣뻣함 때문에 목욕이나 화장실 사용에 불편을 겪을 수 있다. 또한 필기구나 젓가락을 잡기 어려워지고, 옷을 갈아입는 데 도움이 필요해지는 등 일상생활에 큰 지장을 주어 삶의 질을 떨어뜨린다.
2016년, 대한피부과학회는 대한류마티스학회 및 대한정형외과학회의 요청에 따라 당분간 '건선성 관절염(관절증성 건선)'으로 병기하기로 합의하였다.[149]
4. 7. 손발톱 건선 (Nail psoriasis)

건선은 손톱과 발톱에도 영향을 미쳐 외관상 다양한 변화를 일으킬 수 있다. 이를 손발톱 건선이라고 한다. 손발톱 건선은 피부 건선 환자의 약 40~45%에서 나타나며, 건선성 관절염 환자의 경우 평생 동안 80~90%가 경험하게 된다.[29]
손발톱 건선의 주요 증상은 다음과 같다.[29]
- 손톱 함몰: 손톱 표면에 바늘로 찍은 듯한 작은 홈이 파이는 것으로, 손톱 건선 환자의 약 70%에서 관찰된다.
- 손톱 백색화: 손톱이 하얗게 변색된다.
- 선상 출혈: 손톱 아래 모세 혈관의 출혈로 인해 가늘고 붉거나 검은 선이 나타난다. 이를 조갑하 선상 출혈이라고도 한다.
- 기름 방울 또는 연어 반점: 손톱 아래에 노란색 또는 붉은색의 불규칙한 반점이 나타난다.
- 건조 및 부스러짐: 손톱이 건조해지고 쉽게 부스러진다.
- 손톱밑 과다각화증: 손톱 아래 피부가 두꺼워진다.
- 조갑 박리: 손톱이 손톱 바닥 피부와 분리되어 들뜬다.
- 손톱 붕괴: 심한 경우 손톱 전체가 부서지거나 변형된다.
5. 진단
건선의 진단은 일반적으로 피부의 겉모습을 보고 내린다. 건선의 전형적인 피부 특징은 비늘처럼 벗겨지고 붉어지는 홍반성 반점, 구진, 또는 피부 판이며, 이는 통증과 가려움증을 유발할 수 있다.[18] 진단을 위해 특별한 혈액 검사나 진단 절차가 일반적으로 필요하지는 않다.[124][53]
발진의 모양과 분포 외에도, 의료진이 진단을 돕기 위해 사용하는 특정 의학적 징후들이 있다. 여기에는 Auspitz 징후(비늘을 제거했을 때 점 모양의 출혈이 나타나는 현상), 쾨브너 현상(피부에 상처가 난 자리에 건선 병변이 생기는 현상),[30] 그리고 구진과 반점에 국한된 가려움증 및 통증이 포함될 수 있다.[18][30]
건선의 감별 진단에는 증상이 비슷한 다른 피부 질환들이 포함된다. 예를 들어 원판상 습진, 지루성 습진, 장미색 비강진(특히 물방울 건선과 혼동될 수 있음), 손발톱 진균증(손발톱 건선과 혼동될 수 있음), 또는 피부 T 세포 림프종(이 암 환자의 약 절반이 처음에는 건선으로 오진받기도 함) 등이 있다.[44] 또한 이차 매독의 발진과 같이 다른 전신 질환의 피부 증상도 건선과 혼동될 수 있다.[44]
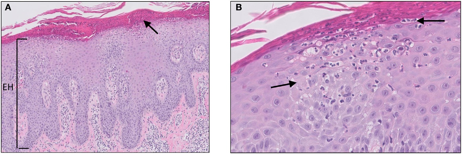
임상적인 진단이 확실하지 않은 경우에는 다른 질환의 가능성을 배제하고 진단을 확정하기 위해 피부 생검이나 긁어내는 검사를 시행할 수 있다. 생검으로 얻은 피부 조직을 현미경으로 관찰하면, 진피와 맞물리는 곤봉 모양의 표피 돌출부를 볼 수 있다. 표피가 두꺼워지는 현상 역시 건선 병변의 특징적인 조직학적 소견이다.[124][54] 표피의 과립층은 건선 병변에서 종종 없거나 현저하게 줄어든다. 또한 피부의 가장 바깥층에 있는 피부 세포들은 완전히 성숙하지 못해 비정상적인 모습을 보인다. 정상적인 성숙 세포와 달리, 이러한 표면 세포들은 핵을 그대로 가지고 있다.[124] 건선의 영향을 받은 피부 조직이나 관절 조직을 검사할 때 염증 세포들이 침투한 것을 현미경으로 흔히 볼 수 있다. 건선 염증이 있는 표피 조직에는 종종 많은 CD8+ T 세포가 발견되는 반면, 피부와 관절의 진피층에는 주로 CD4+ T 세포가 염증 세포 침윤을 구성한다.[124]
6. 치료
건선에 대한 완치법은 없지만,[44] 다양한 치료 방법이 존재한다. 일반적으로 질환의 중증도에 따라 치료법을 선택하는데, 경증 질환에는 국소 치료제, 중등도 질환에는 광선 요법, 중증 질환에는 전신 치료제를 주로 사용한다.[70]
급성 물방울 건선이나 만성 건선이 급성 물방울 형태로 재발하는 경우, 기존의 국소 및 전신 약물, 생물학적 제제, 또는 광선 요법의 효과를 명확히 뒷받침하는 증거는 아직 부족하다.[71] 물방울 건선은 피부 발진이 판상 건선과 유사하지만 각각의 발진 크기가 더 작으며, 주로 편도염과 같은 감염 후에 발병하는 경우가 많고 비교적 젊은 연령층에서 흔하게 나타난다. 치료는 일반적인 건선 치료와 함께 항생제 복용이 이루어지기도 한다.
6. 1. 국소 치료
국소 코르티코스테로이드 제제는 8주 동안 지속적으로 사용할 때 가장 효과적인 약물이다. 레티노이드와 콜타르는 제한적인 효과를 보이며, 위약보다 효과가 없을 수도 있다.[72] 매우 강력한 국소 코르티코스테로이드는 다른 덜 강력한 국소 치료법이 효과가 없을 경우에 한해 4주 동안 사용을 고려할 수 있다.[73]비타민 D 유사체(예: 파리칼시톨, 칼시포트리올, 타칼시톨, 칼시트리올)는 위약보다 우수한 효과를 보인다. 비타민 D 유사체와 코르티코스테로이드의 병용 요법은 각각 단독으로 사용하는 것보다 효과적이며, 만성 판상 건선에서는 비타민 D가 콜타르보다 효과가 좋다.[74] 피부의 각질화를 억제하기 위해 비타민 D3 유도체 외용제(예: 오키사롤, 도보넥스 연고, 본알파 하이)가 우선적으로 시도된다. 그러나 비타민 D3 외용제는 고칼슘혈증을 유발하고 급성 신부전을 일으킬 수 있는 부작용이 보고되었다.[151] 단기간 사용 시, 피부 염증을 억제하는 부신피질 스테로이드 외용제와 병용하면 상승 효과를 기대할 수 있어, 비타민 D3와 스테로이드 혼합제(예: 도보벳 연고)가 사용되기도 한다. 비타민 D 유사체는 스테로이드와 함께 사용될 경우, 스테로이드 단독 사용 시보다 부작용 발생률이 낮으며[74], 스테로이드 사용 용량을 줄이는 데 도움을 줄 수 있다.[78]
두피 건선의 경우, 2016년 연구 검토에 따르면 비타민 D 유사체와 국소 코르티코스테로이드의 이중 요법 또는 코르티코스테로이드 단독 요법이 국소 비타민 D 유사체 단독 요법보다 더 효과적이고 안전한 것으로 나타났다.[75] 안전성 프로파일이 유사하고 단독 요법에 비해 이중 요법의 이점이 크지 않기 때문에, 코르티코스테로이드 단독 요법이 단기 치료에 적합한 방법으로 여겨진다.[75]
미네랄 오일, 바셀린, 데큐발(유중 수 에멀젼)과 같은 보습제와 연화제는 건선 병변의 각질 제거를 돕는 것으로 나타났다. 일부 연화제는 광선 요법과 함께 사용될 때 각질 제거에 더욱 효과적이다.[76] 그러나 특정 연화제는 각질 제거에 효과가 없거나 광선 요법의 효과를 감소시킬 수도 있다. 예를 들어, 연화제인 살리실산은 광선 요법을 방해하는 것으로 알려져 있으며, 코코넛 오일 역시 연화제로 사용될 때 광선 요법과 병행하면 각질 제거 효과를 감소시키는 것으로 밝혀졌다.[76] 보습제 자체는 염증 억제 효과가 적지만, 피부 건조를 막기 위해 자주 병용된다.
건선 병변에 직접 바르는 약용 크림과 연고는 염증을 줄이고, 쌓인 각질을 제거하며, 피부 세포의 과도한 증식을 억제하고, 병변 부위의 각질을 제거하는 데 도움을 줄 수 있다. 콜타르, 디트라놀, 코르티코스테로이드(예: 데속시메타손), 플루오시노니드, 비타민 D3 유사체(예: 칼시포트리올), 레티노이드를 함유한 연고와 크림이 일반적으로 사용된다. 국소 치료제의 적절한 양을 결정하는 데 손가락 끝 단위를 활용할 수 있다.[36][77]
온천 요법의 한 형태인 사해에서의 매일 목욕하는 방법도 건선 치료에 사용된다. 일반적으로 4주 동안 진행되며, 햇빛 노출, 특히 UVB 광선 노출이 치료 효과의 주된 요인으로 여겨진다. 이는 비용 효율적이며 약물 없이 건선을 치료하는 효과적인 방법으로 알려져 있다.[79] 건선 중증도 지수(PASI) 점수가 75% 이상 감소하고 수개월 동안 증상이 완화되는 경우가 흔하게 관찰되었다.[79] 부작용으로는 가려움증, 모낭염, 일광 화상, 피부 변색증과 같은 경미한 증상이 나타날 수 있으며, 비흑색종 피부암 또는 흑색종 발생 위험 증가 가능성이 이론적으로 제기되었다.[79] 일부 연구에서는 장기적으로 흑색종 위험이 증가하지 않는다고 보고했다.[80] 비흑색종 피부암 위험에 대한 데이터는 아직 명확하지 않지만, 이 요법이 광선 탄성 섬유증이나 간 반점과 같은 햇빛으로 인한 양성 피부 손상 위험 증가와 관련이 있다는 점은 뒷받침된다.[80] 사해 온천 요법은 건선성 관절염에도 효과가 있다.[80] 예비 연구 결과에 따르면, 만성 판상 건선에서 소금 목욕과 자외선 B 광선(UVB) 노출을 결합한 온천 광선 요법이 UVB 단독 요법보다 더 효과적일 수 있다.[81] 글리세린 또한 건선에 효과적인 치료법으로 알려져 있다.[82]
방향족 탄화수소 수용체(AhR) 작용제인 타피나로프는 통상성 건선 치료에 사용되는 국소 약물 중 하나이다. 2024년 6월 일본에서 치료제로 승인되었으며[152], 제III상 임상 시험 결과, 타피나로프 크림 1%를 52주간 투여했을 때 대조군보다 건선 증상이 유의미하게 개선된 것으로 보고되었다.[153]
6. 2. 광선 치료
광선 요법은 햇빛을 이용하는 형태로 오랫동안 건선 치료에 사용되어 왔다.[70] 주로 311–313 나노미터(nm) 파장의 자외선 B(UVB)가 가장 흔하게 사용되며, 이 파장을 방출하는 램프가 치료를 위해 개발되었다.[70] 광선 치료 시에는 과다 노출과 피부 화상을 방지하기 위해 노출 시간을 정밀하게 제어해야 한다. UVB 램프에는 설정된 시간이 지나면 자동으로 꺼지는 타이머가 필수적이다. 치료 초기에는 짧은 시간 노출로 시작하여 피부가 빛에 적응함에 따라 점차 노출 시간을 늘려나간다.[70] UVB 치료로 인한 피부암 발병률 증가는 미미한 수준으로 보고된다.[70]특히 협대역 UVB 치료법(Narrowband UVB, NB-UVB)은 푸바 요법(PUVA)과 비슷한 치료 효과를 보이면서도[86] 일반적으로 더 편리하다는 장점이 있다. 2013년의 메타 분석 연구에서도 건선 치료 효과 면에서 NB-UVB와 PUVA 사이에 큰 차이가 없음을 확인했다.[83] NB-UVB의 주요 작용 원리는 DNA에 손상을 주어 피리미딘 이합체를 형성시키는 것이다. 이 과정은 세포의 세포 주기를 방해하고 멈추게 하여, 건선에서 특징적으로 나타나는 피부 세포의 빠른 증식을 억제하는 효과를 낸다.[86] 또한, 피부에 존재하는 여러 종류의 면역 세포 활성도 NB-UVB 치료에 의해 효과적으로 억제된다.[87] NB-UVB 치료의 가장 흔한 단기 부작용은 피부가 붉어지는 홍반이며, 드물게 가려움증, 수포 형성, 눈의 자극(결막염, 각막염), 또는 입 주변 단순 포진 바이러스 재활성화로 인한 입술 포진 등이 나타날 수 있다. 따라서 광선 치료 중에는 반드시 눈 보호 장비를 착용해야 한다.[86] 최근에는 환부에만 자외선을 조사할 수 있는 표적형 자외선 치료기(VTRAC, 세라빔, 엑시마 라이트 등)가 등장하여 안전성과 효과를 더욱 높였다.
푸바 요법(PUVA)은 소랄렌(Psoralen)이라는 약물을 복용하거나 바른 후 자외선 A(UVA)를 조사하는 방식이다. 정확한 작용 기전은 아직 완전히 밝혀지지 않았지만, UVA 광선이 소랄렌을 활성화시켜 건선 피부 세포의 비정상적인 빠른 증식을 억제하고 피부 면역계에 영향을 미치는 것으로 추정된다. PUVA 요법은 구역질, 두통, 피로, 화끈거림, 가려움증 등의 부작용을 유발할 수 있다. 장기간 치료 시 편평 세포 암종의 위험이 증가하지만, 흑색종과의 연관성은 보고되지 않았다.[120][88] 중등도에서 중증 건선 환자에게 PUVA 요법과 아시트레틴을 병용하는 치료가 효과적일 수 있으나, 아시트레틴은 선천적 결손 유발 및 간독성의 위험이 있다.[89] 과거에는 전신에 자외선을 조사하는 치료기가 주류였다.
과거에는 게켈만 요법이라 하여 전신에 콜타르를 바르고 일광욕을 하는 치료법도 사용되었으나, 접촉성 피부염 유발 및 콜타르의 발암 위험성 때문에 현재는 시행되지 않으며 관련 약품도 생산이 중단되었다.
임상적인 광선 요법은 병원 방문의 어려움 등으로 접근성이 떨어지는 문제가 있다. 이 때문에 일부 환자들은 대안으로 실내 태닝 시설을 이용하기도 한다. 한 조사에서는 특정 태닝 시설 이용객의 50%가, 다른 시설에서는 36%가 건선 치료 목적으로 방문한다고 보고되었다. 그러나 상업적 태닝 시설의 기기는 주로 UVA를 방출하여 건선 치료 효과가 떨어질 수 있다는 우려가 있다. 한 연구에 따르면 판상 건선은 UVA 또는 UVB의 홍반 유발 용량에 모두 반응하지만, UVA로 동일한 효과를 얻으려면 더 많은 에너지가 필요하다.[84]
모든 종류의 자외선 노출은 위험을 동반한다. 특히 태닝 베드는 세계 보건 기구(WHO)에서 발암 물질로 분류할 만큼 위험성이 높다.[85] 자외선 노출은 흑색종, 편평 세포 암종, 기저 세포 암종 등 피부암 발생 위험을 높이는 것으로 알려져 있다. 특히 35세 미만의 젊은 건선 환자는 자외선 치료로 인한 흑색종 위험이 더 증가할 수 있으므로, 피부암 발생에 취약한 사람들은 자외선 치료를 받을 때 각별한 주의가 필요하다.[84]
6. 3. 전신 치료
국소 치료 및 광선 치료에 반응하지 않는 건선은 경구 투여 약물 또는 주사 치료를 포함한 전신 치료로 치료할 수 있다.[90] 전신 치료를 받는 환자는 약물 독성을 확인하기 위해 정기적인 혈액 검사 및 간 기능 검사를 받아야 한다.[90] 이러한 치료법의 대부분은 임신 중 사용을 피해야 하며, 전신 치료가 중단된 후에는 건선이 재발하는 경우가 많다.=== 비생물학적 전신 치료 ===
전통적으로 사용되어 온 비생물학적 전신 치료법은 다음과 같다.[91]
이러한 약제들은 건선성 홍피증의 1차 치료제로도 고려된다.[20] 경구 코르티코스테로이드는 중단 시 건선을 심각하게 악화시키는 반동 효과를 유발할 수 있으므로 전신 치료에는 사용하지 않는다.[92][154]
=== 생물학적 제제 ===
생물학적 제제는 건선 발병과 관련된 면역 체계의 특정 경로를 표적으로 하는 단백질 기반 약물이다.[91] 기존의 비생물학적 전신 치료제보다 더 표적화된 작용 기전을 가지며, 일반적으로 내약성이 좋은 편이다. 제한적이지만 장기 데이터에 따르면 중등도에서 중증 판상 건선에 장기간 사용하는 것이 비교적 안전한 것으로 나타났다.[91][93][161] 그러나 면역 체계를 억제하므로 감염 위험이 다소 증가할 수 있다.[91][147]
일반적으로 생물학적 제제는 국소 치료, 광선 치료, 비생물학적 전신 치료에 충분한 반응을 보이지 않는 중등도-중증 건선 환자에게 3차 치료법으로 고려된다.[93][147] 임신 중 안전성은 확립되지 않았으며, 임신 계획 시 사용을 피하는 것이 권장된다. B형 간염 바이러스 만성 보균자나 HIV 감염자에게는 일부 제제(특히 항-TNF 제제) 사용에 주의가 필요하다.[91] 생물학적 제제는 비용이 상당히 높아 환자에게 경제적 부담이 될 수 있으며, 고액 중증질환 산정특례제도 적용 대상이 되는 경우가 많다.[161]
주요 생물학적 제제는 작용 기전에 따라 다음과 같이 분류할 수 있다.
연구에 따르면 중등도에서 중증 건선 치료에 인플릭시맙, 비메키주맙, 익세키주맙, 리산키주맙 등이 가장 효과적인 생물학적 제제 중 하나로 나타났다.[100] 세쿠키누맙, 브로달루맙, 구셀쿠맙, 세르톨리주맙, 우스테키누맙 등도 효과가 있는 것으로 보고되었다.[101][100] 전반적으로 생물학적 제제는 기존의 비생물학적 전신 치료보다 더 효과적인 것으로 평가된다.[100] 건선의 면역 경로에는 Th9, Th17, Th1 림프구 및 IL-22 등이 관여하며, 생물학적 제제는 이러한 경로의 다양한 지점을 차단한다.
=== 기타 전신 치료 ===
- PDE4 억제제: 아프레밀라스트 (오테즐라)는 경구 복용하는 저분자 억제제로, 세포 내 cAMP 농도를 높여 염증 반응을 조절한다.[103][158] 비교적 안전하게 사용할 수 있으며, 사전 혈액 검사가 필수는 아니다.[158]
- JAK 억제제/TYK2 억제제: JAK 신호 전달 경로를 차단하는 경구 약물이다. 우파다시티닙 (린버크, JAK 억제제) 및 듀크라바시티닙 (소틱투, TYK2 억제제) 등이 건선 및 건선성 관절염 치료에 사용된다.[160]
항연쇄상구균 약물이 물방울 건선이나 만성 판상 건선에 효과가 있을 것이라는 이론도 있었으나, 연구 결과 항생제 치료는 효과적이지 않은 것으로 나타났다.[104]
6. 4. 기타 치료
제한적인 증거에 따르면 편도 절제술이 만성 판상 건선, 물방울 건선 및 손발바닥 농포증 환자에게 도움이 될 수 있다.[105][106]식이 요법 또한 건선 증상 완화에 영향을 줄 수 있다.
- 피쉬 오일: 비통제 연구에서는 에이코사펜타에노산 (EPA)과 도코사헥사엔산 (DHA)이 풍부한 피쉬 오일 보충 식단이 건선 또는 건선성 관절염 환자에게 긍정적인 영향을 줄 수 있음을 시사했다.[107]
- 저칼로리 식단: 저칼로리 식단은 건선의 심각성을 감소시키는 것으로 보인다.[37]
- 권장 및 회피 식품: 연어, 청어, 고등어와 같은 냉수성 어류(양식보다는 야생 어류 선호), 엑스트라 버진 올리브 오일, 콩류, 채소, 과일, 통곡물 섭취가 권장된다. 반면, 알코올, 붉은 육류, 유제품(포화 지방 함유) 섭취는 피하는 것이 좋다. 카페인(커피, 홍차, 마테차, 다크 초콜릿 등) 섭취의 영향은 아직 명확히 밝혀지지 않았다.[108]
- 기타 보고: 많은 환자들이 담배, 카페인, 설탕, 가지과 채소(토마토, 가지, 고추, 파프리카, 흰 감자) 섭취를 줄이고 프로바이오틱스와 경구 비타민 D를 복용한 후 증상 개선을 경험했다고 보고한다.[109]
건선 환자는 셀리악병 발병률이 더 높은 경향이 있다.[108][110] 셀리악병 환자나 항글리아딘 항체가 있는 사람이 글루텐 프리 식단을 따를 경우, 건선 증상의 심각도가 감소하는 경향이 있다.[107][111][112]
백혈구 제거 요법(LCAP)이나 과립구 제거 요법(GCAP) 등도 건선 치료에 효과가 있을 수 있으나, 현재 보험 적용은 농포성 건선에 한정된다.[163]
7. 합병증 및 동반 질환
건선은 단순한 피부 질환을 넘어 전신에 영향을 미치며 환자의 삶의 질을 떨어뜨릴 수 있다.[65] 또한, 건선과 함께 나타나는 동반 질환들은 치료를 더 어렵게 만들고 경제적 부담을 가중시키므로 건선 관리 시 반드시 고려해야 한다.[65]
건선 환자는 심혈관 질환 합병증 위험이 일반인보다 2.2배 높으며,[66] 심근 경색(심장 마비)이나 뇌졸중에 더 취약하다.[66] 이는 건선으로 인한 전신 염증이 소위 '건선 행진'(psoriatic march)을 유발하여 심혈관 합병증을 포함한 다른 염증성 질환으로 이어질 수 있기 때문이라는 추측이 있다.[66] 한 연구에서는 FDG PET/CT 촬영을 통해 건선 환자의 대동맥 혈관 염증을 측정한 결과, 관상 동맥 질환 관련 지표(총 플라크 부하, 내강 협착, 고위험 플라크 등)가 증가한 것으로 나타났다. 또한 건선 중증도 지수(PASI) 점수가 75% 개선되었을 때 대동맥 혈관 염증이 11% 감소하는 결과도 확인되었다.[67]
건선 환자의 28~55%는 우울증이나 우울 증상을 경험하는 것으로 나타났다.[68] 눈에 띄는 피부 병변으로 인해 사회적 낙인이 찍히는 경우가 많은데, 이러한 사회적 낙인은 우울증의 주요 위험 요인이다. 하지만 면역 체계 관련 요인들도 건선 환자의 우울증 발병률 증가와 관련 있을 수 있다.[68] 실제로 신체의 염증 신호 증가는 건선을 포함한 만성 염증성 질환 환자들의 우울증 발병에 기여할 수 있다는 증거들이 제시되고 있다.[68]
건선 환자는 제2형 당뇨병 발병 위험이 약 1.5배 높은 것으로 알려져 있다.[69] 전체 유전체 연구에 따르면 건선과 제2형 당뇨병은 염증성 NF-κB 경로와 관련된 ACTR2, ERLIN1, TRMT112, BECN1 네 가지 유전자 위치를 공유한다.[69]
대부분의 건선 환자는 국소 치료로 관리 가능한 경미한 피부 증상만을 경험하지만,[72] 증상의 심각도와 발생 부위에 따라 상당한 신체적 불편함과 활동 제약을 겪으며 삶의 질에 큰 영향을 받기도 한다.[96] 가려움증과 통증은 기본적인 자기 관리나 수면을 방해할 수 있으며,[114] 손발에 병변이 있는 경우 운동, 특정 직업 활동, 가족 돌봄 등에 어려움을 겪을 수 있다.[114] 특히 두피에 발생한 건선은 비듬으로 오인될 수 있어 환자에게 당혹감을 줄 수 있다.[113]
외모에 대한 자의식 과잉, 대중의 거부감에 대한 두려움, 정신적인 문제 등으로 인해 자아상이 나빠질 수 있다. 건선은 낮은 자존감과 관련 있으며, 우울증 발병률도 더 높다.[3] 건선이 전염된다는 잘못된 믿음 때문에 사회적 편견을 느끼는 경우도 흔하다.[114] 심리적 고통이 심해지면 심각한 임상 우울증이나 사회적 고립으로 이어질 수 있으며, 자살 생각 비율도 높은 것으로 알려져 있다.[14] 여러 연구에서 건선 환자들이 삶의 질 저하를 경험한다는 사실이 확인되었다.[115] 건선이 있는 어린이는 따돌림의 대상이 되기도 한다.[116]
건선은 비만,[3] 심혈관 및 대사 장애 등 여러 질환과 관련이 있다. 이러한 동반 질환은 특히 노년층에서 더 흔하게 나타난다. 65세 이상 건선 환자의 거의 절반이 최소 3가지 동반 질환을 가지고 있으며, 3분의 2는 최소 2가지 동반 질환을 가지고 있다.[117]
- 당뇨병: 건선 환자의 연간 신규 당뇨병 발생률은 일반인보다 27% 높다.[118] 특히 중증 건선일수록 당뇨병 발병 위험이 더 크며,[118] 젊은 건선 환자 역시 당뇨병 발병 위험이 증가할 수 있다.[117][119]
- 심장 질환: 건선 또는 건선성 관절염 환자는 일반인에 비해 심장 질환 및 심장 마비 위험이 약간 더 높다. 심혈관 질환 위험은 건선의 중증도 및 유병 기간과 관련이 있는 것으로 보이며, 건선이 심혈관 질환으로 인한 사망 위험 증가와 직접적인 관련이 있다는 강력한 증거는 아직 부족하다. 메토트렉세이트 치료는 심장 보호 효과를 가질 수 있다.[120][117]
- 고혈압: 건선 환자는 고혈압 발생 확률이 1.58배(즉 58%) 더 높으며, 중증 건선의 경우 이 확률은 더욱 증가한다. 건선성 관절염 환자 역시 고혈압 발생 확률이 일반인보다 2.07배(즉 107%) 더 높은 것으로 나타났다. 정확한 연관성은 현재까지는 밝혀지지 않았다. 이 관계에 관여하는 것으로 추정되는 메커니즘으로는 레닌-안지오텐신 시스템의 조절 이상, 혈중 엔도텔린 1 수치 상승, 그리고 산화 스트레스 증가 등이 있다.[119][121]
- 심방 세동: 신규 발생 건수는 경증 건선 환자에서 1.31배(즉 31%) 더 높고, 중증 건선 환자는 1.63배(즉 63%) 더 높다.[125]
- 뇌졸중: 건선, 특히 중증 건선의 경우 뇌졸중 위험이 약간 증가할 수 있다.[120][122]
- 고콜레스테롤혈증: 스타틴으로 고콜레스테롤혈증을 치료하면 건선 중증도(PASI 점수)가 감소하고 다른 심혈관 질환 위험 인자(염증 지표 등)도 개선되는 효과가 있다.[123] 이는 스타틴이 혈중 지질 수치를 개선하고 항염증 효과를 나타내기 때문이다. 건선 및 고지혈증 환자에서 스타틴 사용은 고감도 C-반응성 단백질(hsCRP) 및 TNF-α 수치 감소, 면역 단백질 LFA-1 활성 감소와 관련이 있었다.[123]
- 대사 증후군: 건선 환자는 일반인에 비해 대사 증후군 기준을 충족할 가능성이 더 높다.[124][125]
그 외에도 건선 환자는 다음과 같은 질환의 발병 위험이 증가한다.
- 염증성 장질환: 크론병 발병률은 3.8배, 궤양성 대장염 발병률은 7.5배 더 높다.[3]
- 셀리악병: 발병 위험이 더 높다.[108][112]
- 다발성 경화증: 연관성에 대한 연구는 부족하며 관계가 명확히 밝혀지지 않았다.[3][126]
- 암: 건선은 비피부암의 전체적인 상대 위험을 16% 증가시키며, 이는 전신 치료(특히 메토트렉세이트)와 관련이 있을 수 있다.[120] 장기간 전신 치료를 받는 경우 폐암(52% 증가), 식도암(205% 증가), 비뇨기 질환 관련 암(31% 증가), 간암(90% 증가), 췌장암(46% 증가)의 위험이 증가한다.[120] 비흑색종 피부암 발생 위험도 증가하여, 편평 세포 암종 위험은 431%, 기저 세포 암종 위험은 100% 증가한다.[120] 단, 흑색종 위험 증가는 관찰되지 않았다.[120] 전반적으로 건선 환자는 암 발생 위험이 더 높다고 할 수 있다.[127]
8. 한국의 건선 현황 및 관리
전 세계적으로 건선의 유병률은 약 1.6% 정도로 추정되며, 인종에 따라 차이를 보인다. 백인에서는 2~4%로 비교적 높은 유병률을 보이는 반면, 흑인과 황인종에서는 상대적으로 낮은 유병률을 나타낸다.[128][43] 이는 한국인의 건선 유병률을 이해하는 데 참고할 수 있는 부분이다.
건선 발병에는 유전적 요인이 중요하게 작용하는 것으로 알려져 있으며, 일란성 쌍둥이의 발병 일치율은 70%에 달한다 (이란성 쌍둥이는 약 20%).[141] 하지만 유전적 요인 외에 환경적 요인 또한 건선 발병 및 유병률에 영향을 미치는 것으로 보인다. 예를 들어, 일본의 경우 태평양 전쟁 이전에는 건선이 드문 질환이었으나, 전후 식생활의 서구화 등 생활 습관의 변화와 함께 환자 수가 증가하여 1970년대 0.025%였던 유병률이 2010년대에는 약 0.4%까지 상승한 것으로 보고되었다. 이는 식생활을 포함한 생활 습관의 변화가 건선 유병률에 영향을 줄 수 있음을 시사한다.
건선은 이름 때문에 전염성 질환으로 오해받기 쉬우나, 다른 사람에게 감염되는 병은 아니다.[167] 건선에 대한 사회적 인식을 개선하고 올바른 정보를 제공하기 위한 노력이 국제적으로 이루어지고 있으며, 매년 10월 29일은 '세계 건선의 날'(World Psoriasis Day)로 지정되어 다양한 캠페인이 진행된다.[168][169]
참조
[1]
논문
Global, regional, and national incidence, prevalence, and years lived with disability for 310 diseases and injuries, 1990-2015: a systematic analysis for the Global Burden of Disease Study 2015
2016-10
[2]
서적
Medical-Surgical Nursing
https://books.google[...]
Pearson Higher Education AU
2020-05-08
[3]
논문
Guidelines of care for the management of psoriasis and psoriatic arthritis
https://linkinghub.e[...]
2008
[4]
논문
The generalized rash: part II. Diagnostic approach
http://www.aafp.org/[...]
2010-03
[5]
논문
Psoriasis
2015-09
[6]
논문
Global epidemiology of psoriasis: a systematic review of incidence and prevalence
2013-02
[7]
웹사이트
Questions and Answers About Psoriasis
https://www.niams.ni[...]
2017-04-12
[8]
서적
Dermatology: illustrated study guide and comprehensive board review
https://books.google[...]
Springer
[9]
서적
Psoriatic and Reactive Arthritis: A Companion to Rheumatology
https://books.google[...]
Mosby
[10]
서적
Davidson's principles and practice of medicine.
Churchill Livingstone/Elsevier
[11]
서적
Andrews' Diseases of the Skin: Clinical Dermatology
Saunders
[12]
논문
Treatment of pustular psoriasis: from the Medical Board of the National Psoriasis Foundation
2012-08
[13]
논문
Napkin psoriasis
https://onlinelibrar[...]
2016-05
[14]
논문
Therapeutic moisturizers as adjuvant therapy for psoriasis patients
2009-01
[15]
논문
Childhood psoriasis
http://www.john-libb[...]
2016-11
[16]
서적
((StatPearls [Internet]))
StatPearls Publishing
2022-08
[17]
논문
A systematic review of treatments for guttate psoriasis
2001
[18]
논문
Psoriasis
https://www.aafp.org[...]
2013-05
[19]
논문
Psoriasis Pathogenesis and Treatment
2019-03
[20]
논문
Erythroderma in the era of biological therapies
2012-05
[21]
웹사이트
Erythrodermic psoriasis
http://dermnetnz.org[...]
DermNet NZ
2014-03-16
[22]
논문
In search of oral psoriasis
2012-01
[23]
서적
Burket's oral medicine
BC Decker
[24]
논문
Association between geographic tongue and psoriasis: A systematic review and meta-analyses
https://pubmed.ncbi.[...]
2019-05
[25]
논문
Profile of certolizumab and its potential in the treatment of psoriatic arthritis
2013-04
[26]
논문
Sacroiliac joint pain as an important element of psoriatic arthritis diagnosis
2013-04
[27]
논문
New developments in the management of psoriasis and psoriatic arthritis: a focus on apremilast
2013-03
[28]
논문
Current and relevant concepts in psoriatic arthritis
2012-01
[29]
논문
Nail psoriasis: a review
2012-12
[30]
서적
Fitzpatrick's Dermatology in General Medicine
McGraw-Hill
[31]
논문
Psoriasis--recent advances in understanding its pathogenesis and treatment
2005-07
[32]
논문
Psoriasis
2009-07
[33]
논문
Psoriasis and its management
2006-08
[34]
논문
Rare and common variants in CARD14, encoding an epidermal regulator of NF-kappaB, in psoriasis
2012-05
[35]
논문
PSORS2 is due to mutations in CARD14
2012-05
[36]
논문
Psoriasis
http://www.racgp.org[...]
2011-07
[37]
논문
Lifestyle changes for treating psoriasis
2019-07
[38]
논문
Unraveling the paradoxes of HIV-associated psoriasis: a review of T-cell subsets and cytokine profiles
http://dermatology.c[...]
2007-05
[39]
논문
Phototherapy in psoriasis: a review of mechanisms of action
2013-01
[40]
논문
The emerging role of IL-17 in the pathogenesis of psoriasis: preclinical and clinical findings
2013-01
[41]
웹사이트
Images of Memorable Cases: Case 34
http://cnx.org/conte[...]
Rice University
2009-12-21
[42]
논문
Triggering psoriasis: the role of infections and medications
2007
[43]
논문
Onset of psoriasis in patients with inflammatory bowel disease treated with anti-TNF agents
2013-01
[44]
서적
Clinical dermatology
https://books.google[...]
Blackwell
2020-11-19
[45]
논문
Distinct roles of IL-22 in human psoriasis and inflammatory bowel disease
2010-12
[46]
논문
New insights into HIV-1-primary skin disorders
2011-01
[47]
논문
Cytokines in psoriasis
2015-06
[48]
논문
Psoriasis genetics: breaking the barrier
2010-09
[49]
논문
Epidermal barrier function and systemic diseases
2012-05
[50]
논문
Cathelicidin LL-37: a defense molecule with a potential role in psoriasis pathogenesis
2012-05
[51]
논문
Interleukin-23 and interleukin-17: importance in pathogenesis and therapy of psoriasis
2012-10
[52]
논문
Complement Activation in Inflammatory Skin Diseases
[53]
논문
Clinical and histologic diagnostic guidelines for psoriasis: a critical review
2013-04
[54]
논문
Cytokines and cytokine profiles in human autoimmune diseases and animal models of autoimmunity
[55]
웹사이트
Application to Dermatology of International Classification of Disease (ICD-10)
http://web.ilds.org/[...]
The International League of Dermatological Societies
[56]
서적
Fitzpatrick's dermatology in general medicine
McGraw-Hill
[57]
논문
A classification of psoriasis vulgaris according to phenotype
2007-02
[58]
논문
Vascular endothelial growth factor inhibitors: investigational therapies for the treatment of psoriasis
2013-09
[59]
논문
Triptolide in the treatment of psoriasis and other immune-mediated inflammatory diseases
2012-09
[60]
논문
Ustekinumab in psoriasis immunopathology with emphasis on the Th17-IL23 axis: a primer
2012-06
[61]
논문
Definition of treatment goals for moderate to severe psoriasis: a European consensus
2011-01
[62]
논문
Measures of psoriatic arthritis: Tender and Swollen Joint Assessment, Psoriasis Area and Severity Index (PASI), Nail Psoriasis Severity Index (NAPSI), Modified Nail Psoriasis Severity Index (mNAPSI), Mander/Newcastle Enthesitis Index (MEI), Leeds Enthesitis Index (LEI), Spondyloarthritis Research Consortium of Canada (SPARCC), Maastricht Ankylosing Spondylitis Enthesis Score (MASES), Leeds Dactylitis Index (LDI), Patient Global for Psoriatic Arthritis, Dermatology Life Quality Index (DLQI), Psoriatic Arthritis Quality of Life (PsAQOL), Functional Assessment of Chronic Illness Therapy-Fatigue (FACIT-F), Psoriatic Arthritis Response Criteria (PsARC), Psoriatic Arthritis Joint Activity Index (PsAJAI), Disease Activity in Psoriatic Arthritis (DAPSA), and Composite Psoriatic Disease Activity Index (CPDAI)
2011-11
[63]
논문
Psoriasis Update
http://www.skinandag[...]
[64]
논문
A Simplified Psoriasis Area Severity Index (SPASI) for rating psoriasis severity in clinic patients
2004-10
[65]
논문
Co-morbidity in psoriasis: mechanisms and implications for treatment
2017-01
[66]
논문
Psoriasis and Cardiovascular Risk: A Comprehensive Review
2020-05
[67]
논문
Psoriasis and Co-morbidity
2020-01
[68]
논문
Common Fundamentals of Psoriasis and Depression
2021-11
[69]
논문
Causal Relationship and Shared Genetic Loci between Psoriasis and Type 2 Diabetes through Trans-Disease Meta-Analysis
2021-06
[70]
논문
Current and future management of psoriasis
2007-07
[71]
논문
Nonantistreptococcal interventions for acute guttate psoriasis or an acute guttate flare of chronic psoriasis
2019-04
[72]
논문
Topical therapies for the treatment of plaque psoriasis: systematic review and network meta-analyses
2013-05
[73]
논문
Review of international psoriasis guidelines for the treatment of psoriasis: recommendations for topical corticosteroid treatments
2019-06
[74]
논문
Topical treatments for chronic plaque psoriasis
http://dro.dur.ac.uk[...]
2019-11-06
[75]
논문
Topical treatments for scalp psoriasis
2016-02
[76]
논문
The impact of emollients on phototherapy: a review
https://zenodo.org/r[...]
2019-06-30
[77]
논문
Guidelines of care for the management of psoriasis and psoriatic arthritis. Section 3. Guidelines of care for the management and treatment of psoriasis with topical therapies
2009-04
[78]
논문
The role of vitamin D in psoriasis: a review
2015-04
[79]
논문
Nonstandard and off-label therapies for psoriasis
2008-09
[80]
논문
Scientific evidence of the therapeutic effects of dead sea treatments: a systematic review
2012-10
[81]
논문
Indoor salt water baths followed by artificial ultraviolet B light for chronic plaque psoriasis
2020-05
[82]
뉴스
Glycerin is safe, effective in psoriasis model.
www.sciencedaily.com[...]
ScienceDaily
2023-07-09
[83]
논문
Narrow-band ultraviolet B phototherapy versus broad-band ultraviolet B or psoralen-ultraviolet A photochemotherapy for psoriasis
2013-10
[84]
논문
A review of the use of tanning beds as a dermatological treatment
2015-03
[85]
서적
Artificial tanning devices: public health interventions to manage sunbeds
World Health Organization (WHO)
2017-06-15
[86]
논문
Narrowband ultraviolet B in the treatment of psoriasis: the journey so far!
2010-11
[87]
논문
Effective treatment of psoriasis with narrow-band UVB phototherapy is linked to suppression of the IFN and Th17 pathways
2011-07
[88]
논문
A review of phototherapy protocols for psoriasis treatment
2011-05
[89]
논문
Acitretin in dermatology: a review
2011-07
[90]
논문
Systemic methotrexate therapy for psoriasis: past, present and future
2013-08
[91]
논문
Long-term safety of biologics in the treatment of moderate-to-severe plaque psoriasis: review of current data
2012-11
[92]
웹사이트
'Learning module: Psoriasis {{!}} American Academy of Dermatology'
https://www.aad.org/[...]
2017-03-26
[93]
논문
Biologics for psoriasis: current evidence and future use
2012-11
[94]
논문
Ixekizumab for the Treatment of Psoriasis: A Review of Phase III Trials
2016-03
[95]
논문
Effects of AIN457, a fully human antibody to interleukin-17A, on psoriasis, rheumatoid arthritis, and uveitis
2010-10
[96]
논문
Genetics of psoriasis and pharmacogenetics of biological drugs
2013-08
[97]
웹사이트
Novel Drug Approvals for 2017
https://www.fda.gov/[...]
[98]
논문
Anti-TNF agents for paediatric psoriasis
2015-11
[99]
논문
The immunogenicity of humanized and fully human antibodies: residual immunogenicity resides in the CDR regions
2010
[100]
논문
Systemic pharmacological treatments for chronic plaque psoriasis: a network meta-analysis
2023-07
[101]
논문
A Review of Biologic Therapies Targeting IL-23 and IL-17 for Use in Moderate-to-Severe Plaque Psoriasis
2016-03
[102]
논문
Oral fumaric acid esters for psoriasis
2015-08
[103]
논문
Apremilast, an oral phosphodiesterase 4 (PDE4) inhibitor, in patients with moderate to severe plaque psoriasis: Results of a phase III, randomized, controlled trial (Efficacy and Safety Trial Evaluating the Effects of Apremilast in Psoriasis [ESTEEM] 1).
https://pubmed.ncbi.[...]
2024-09-17
[104]
논문
Antistreptococcal interventions for guttate and chronic plaque psoriasis
2019-03
[105]
논문
Tonsillectomy as a treatment for psoriasis: a review
2014-12
[106]
논문
The role of the palatine tonsils in the pathogenesis and treatment of psoriasis
https://deepblue.lib[...]
2013-02
[107]
논문
Diet in dermatology: revisited
[108]
논문
Environmental Risk Factors in Psoriasis: The Point of View of the Nutritionist
2016-07
[109]
논문
Dietary Behaviors in Psoriasis: Patient-Reported Outcomes from a U.S. National Survey
2017-05-19
[110]
Review
Psoriasis and comorbidities: links and risks
[111]
Review
Extraintestinal manifestations of coeliac disease
2015-10
[112]
논문
Diet and psoriasis, part II: celiac disease and role of a gluten-free diet
2014-08
[113]
논문
Seborrheic dermatitis: etiology, risk factors, and treatments: facts and controversies
[114]
논문
Psoriasis: symptoms, treatments and its impact on quality of life
2012-11
[115]
논문
Quality of life in patients with psoriasis
2006-06
[116]
논문
Appearance-related bullying and skin disorders
2013-01
[117]
서적
Clinical dermatology a color guide to diagnosis and therapy
Mosby Elsevier
[118]
논문
Accumulating evidence for the association and shared pathogenic mechanisms between psoriasis and cardiovascular-related comorbidities
2014-12
[119]
논문
Psoriasis and the risk of diabetes mellitus: a systematic review and meta-analysis
2013-01
[120]
논문
Psoriasis, cardiovascular events, cancer risk and alcohol use: evidence-based recommendations based on systematic review and expert opinion
2013-08
[121]
논문
The association between psoriasis and hypertension: a systematic review and meta-analysis of observational studies
2013-03
[122]
뉴스
Psoriasis Linked to Stroke Risk
https://www.bbc.co.u[...]
BBC
2011-08
[123]
논문
Clinical improvement in psoriasis with treatment of associated hyperlipidemia
2011-05
[124]
논문
Diagnosis and classification of psoriasis
2014-01
[125]
논문
Risk of cardiovascular disorders in psoriasis patients: current and future
2013-02
[126]
논문
Psoriasis and autoimmune disorders: a review of the literature
2012-11
[127]
뉴스
Psoriasis Tied to Increased Cancer Risk
https://www.nytimes.[...]
2019-10-16
[128]
웹사이트
Psoriasis affects more than 8 million people in the U.S.
https://www.psoriasi[...]
National Psoriasis Foundation
2021-07-12
[129]
논문
Childhood psoriasis
[130]
논문
Psoriasis vulgaris: an evidence-based guide for primary care
2013-11
[131]
문서
The Nature of Biblical 'Leprosy' and the Use of Alternative Medical Terms in Modern Translations of the Bible
[132]
논문
Psoriasis treatment--yesterday, today, and tomorrow
[133]
논문
A note on the history of psoriasis
1955-03
[134]
논문
Psoriasis and psoriatic arthropathy, historical aspects: part I
2013-06
[135]
논문
Psoriasis and psoriatic arthropathy: historical aspects: part II
2013-08
[136]
웹사이트
International Federation of Psoriasis Associations
http://www.ifpa-pso.[...]
[137]
논문
Managed care aspects of psoriasis and psoriatic arthritis
http://www.ajmc.com/[...]
2016-06
[138]
논문
Emerging therapies for the treatment of psoriasis
2012-12
[139]
논문
Promising new treatments for psoriasis
2013-07
[140]
웹사이트
大阪乾癬患者友の会 会報 平成13年10月10号
http://derma.med.osa[...]
2021-05-16
[141]
논문
尋常性乾癬を多発した1家系
https://doi.org/10.1[...]
1971
[142]
뉴스
乾癬患者の動脈硬化性プラークは危険度が高い 皮膚症状の改善に伴い動脈硬化も改善
https://medical.nikk[...]
日経メディカルオンライン
2017-08-04
[143]
뉴스
人にうつりますか? 乾癬ネット
https://www.kansenne[...]
ヤンセンファーマ株式会社
2019-04-15
[144]
뉴스
乾癬(かんせん) は 感染しない! 疾患への誤解に一石を投じる『HIKANSEN project』始動
https://www.janssen.[...]
ヤンセンファーマ株式会社
2019-04-15
[145]
뉴스
「誤解多い乾癬 知ってほしい/道端アンジェリカさん イベントで呼びかけ」
https://www.asahi.co[...]
朝日新聞
2018-10-06
[146]
논문
橋本病と円形脱毛症を合併した尋常性乾癬の1例
https://doi.org/10.1[...]
2005
[147]
간행물
乾癬における生物学的製剤の使用ガイダンス(2018年版)
https://www.dermatol[...]
日本皮膚科学会
2019-02-20
[148]
웹사이트
乾癬性関節炎
https://kompas.hosp.[...]
慶應義塾大学病院
[149]
간행물
乾癬における生物学的製剤の使用ガイダンス(2018年版)
https://www.dermatol[...]
日本皮膚科学会
2019-02-20
[150]
웹사이트
膿疱性乾癬(汎発型)(指定難病37)
http://www.nanbyou.o[...]
難病情報センター
[151]
뉴스
ビタミンD3外用薬で腎不全 腎障害患者は必ずクレアチニンやCaの確認を
https://medical.nikk[...]
日経メディカルオンライン
2012-10-01
[152]
웹사이트
"製造販売承認取得のご案内"
https://www.torii.co[...]
2024-10-27
[153]
논문
Tapinarof cream for the treatment of plaque psoriasis: Efficacy and safety results from 2 Japanese phase 3 trials
2024-08
[154]
논문
乾癬の病態と生物学的製剤の治療効果
https://doi.org/10.2[...]
2013
[155]
웹사이트
大阪乾癬患者友の会 会報 平成13年10月10号
http://derma.med.osa[...]
2021-05-16
[156]
웹사이트
症例報告 サラゾスルファピリジンが奏効した関節症性乾癬
https://webview.isho[...]
의학서원
2021-05-16
[157]
웹사이트
Mesalazine in treatment of psoriasis
https://pubmed.ncbi.[...]
2021-05-16
[158]
논문
オテズラ®錠10mg,20mg,30mg
https://doi.org/10.1[...]
2017
[159]
논문
エトレチナート長期内服に伴う骨,関節変化-16症例の検討-
1991
[160]
논문
Trial of Upadacitinib and Adalimumab for Psoriatic Arthritis
2021
[161]
논문
皮膚科領域における免疫抑制薬と個別療法
https://doi.org/10.1[...]
2017
[162]
웹사이트
乾癬生物学的製剤使用承認施設
https://www.dermatol[...]
日本皮膚科学会
2021-05-16
[163]
웹사이트
血液浄化療法
https://www.kyoto2.j[...]
2021-05-16
[164]
논문
尋常性乾癬における扁桃摘出術の効果
2007-2008
[165]
논문
病巣感染症に対する口蓋扁桃摘出術の効果
https://doi.org/10.1[...]
2000
[166]
논문
乾癬治療における人工透析法の適応
https://doi.org/10.1[...]
1980
[167]
웹사이트
乾癬(かんせん)って、どんな病気?
https://www.maruho.c[...]
乾癬.com(マルホ)
[168]
웹사이트
World Psoriasis Day
https://nationaltoda[...]
NationalToday
[169]
웹사이트
INSPIRE JAPAN WPD 乾癬啓発普及協会
http://www.inspireja[...]
[170]
웹인용
Learn: About psoriasis
http://www.psoriasis[...]
National Psoriasis Foundation
2012-07-17
[171]
뉴스
Psoriasis Linked to Stroke Risk
http://www.bbc.co.uk[...]
BBC
2011-08-28
[172]
저널
Clinical Improvement in Psoriasis with Treatment of Associated Hyperlipidemia
본 사이트는 AI가 위키백과와 뉴스 기사,정부 간행물,학술 논문등을 바탕으로 정보를 가공하여 제공하는 백과사전형 서비스입니다.
모든 문서는 AI에 의해 자동 생성되며, CC BY-SA 4.0 라이선스에 따라 이용할 수 있습니다.
하지만, 위키백과나 뉴스 기사 자체에 오류, 부정확한 정보, 또는 가짜 뉴스가 포함될 수 있으며, AI는 이러한 내용을 완벽하게 걸러내지 못할 수 있습니다.
따라서 제공되는 정보에 일부 오류나 편향이 있을 수 있으므로, 중요한 정보는 반드시 다른 출처를 통해 교차 검증하시기 바랍니다.
문의하기 : help@durumis.com
