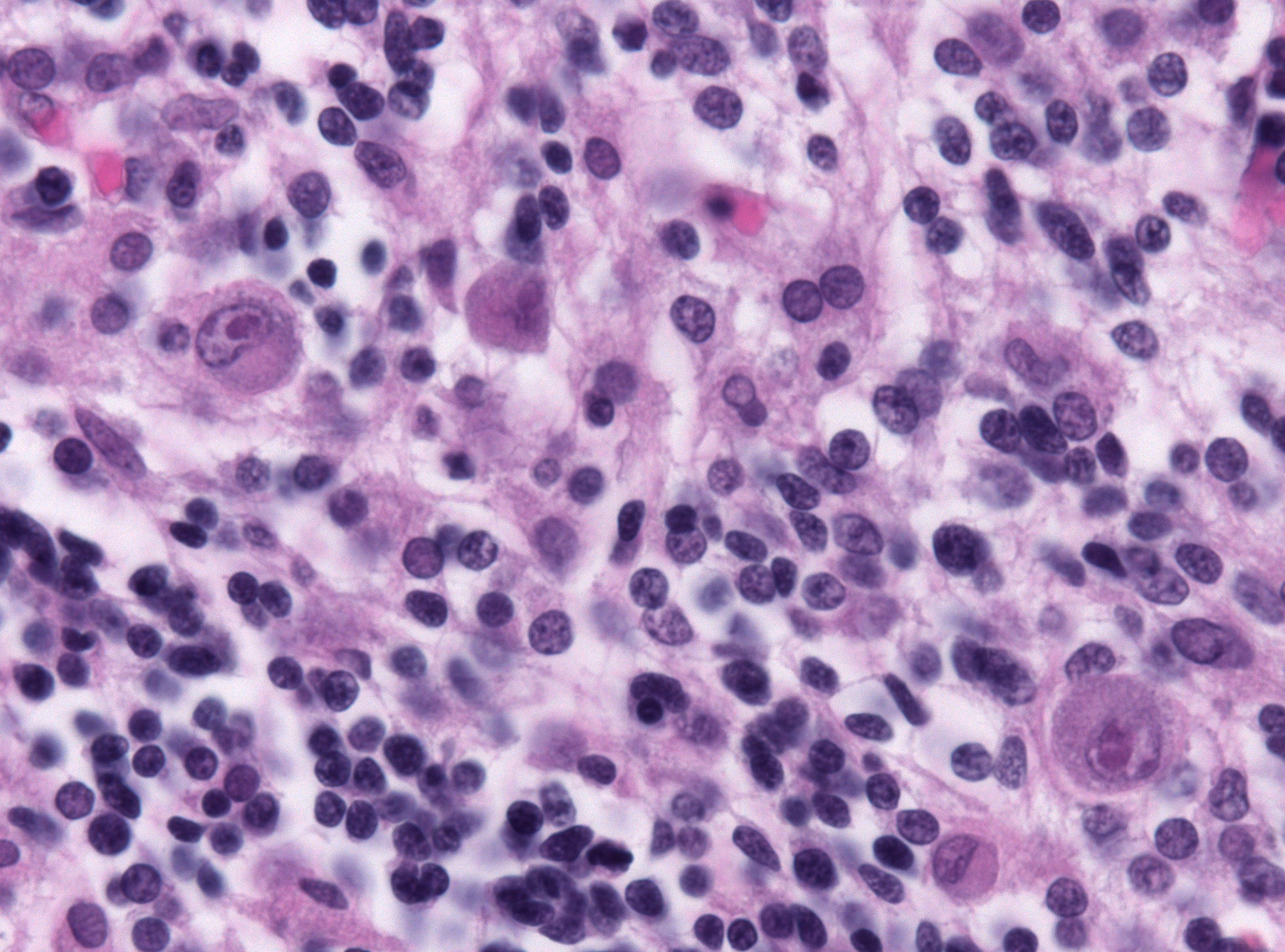
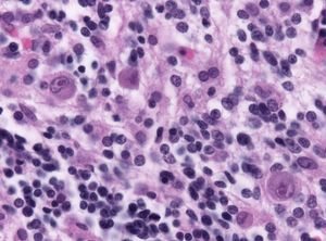
김사 염색
"오늘의AI위키"의 AI를 통해 더욱 풍부하고 폭넓은 지식 경험을 누리세요.
1. 개요
김사 염색은 DNA의 인산기에 특이적으로 결합하는 염색법으로, 주로 염색체 연구, 혈액 도말 검사, 그리고 특정 미생물 및 세포의 식별에 사용된다. G 밴딩(김사 밴딩)을 통해 염색체를 염색하여 핵형 분석 및 염색체 이상을 진단하며, 라이트 염색과 결합하여 감별 염색에도 활용된다. 혈액 도말 검사에서는 혈액 세포를 염색하여 세포의 형태를 관찰하고, 말라리아 원충, 스피로헤타, 원생동물 혈액 기생충, 그리고 거대세포바이러스 감염 등을 진단하는 데에도 사용된다. 염색 과정은 메탄올로 표본을 고정하고 김사 염색 용액으로 염색한 후 세척 및 건조하는 방식으로 진행된다.
더 읽어볼만한 페이지
- 미생물학 기술 - 질-닐슨 염색
질-닐슨 염색은 결핵균 등 항산성 세균 검출을 위해 개발된 염색 방법으로, 석탄산 푹신으로 1차 염색 후 산성 알코올로 탈색하고 대비 염색하여 항산성 세균을 붉은색으로, 비항산성 세균을 다른 색으로 염색한다. - 미생물학 기술 - 산화효소 시험
산화효소 시험은 세균의 시토크롬 산화효소 유무를 확인하여 산소 이용 여부를 판단하고, 산화환원 지시약의 색상 변화로 결과를 판독하여 세균 분류 및 감염병 진단에 활용하는 생화학적 검사법이다. - 현미경 관찰 - 개구수
개구수는 렌즈나 광섬유의 집광 또는 전파 능력을 나타내는 무차원 수치로, 굴절률과 최대 각도의 사인 값의 곱으로 정의되며, 분해능, f-수, 발산각, 수광 능력 등 광학 시스템 성능 평가에 사용된다. - 현미경 관찰 - 마이크로그라피아
로버트 훅의 마이크로그라피아는 현미경으로 관찰한 대상들의 정밀한 기록과 구리판화를 통해 미세 세계를 시각적으로 제시하며, 과학적 관심사와 사회에 큰 영향을 미친 책이다. - 조직병리학 - 지방간
지방간은 간에 중성 지방이 과도하게 축적되어 발생하는 질환으로, 알코올성 및 비알코올성으로 분류되며, 비만, 당뇨병 등과 관련이 깊고 간 섬유화, 간경변, 간암으로 진행될 수 있어 섭취 칼로리 조절, 약물 치료 등을 통해 치료한다. - 조직병리학 - 질-닐슨 염색
질-닐슨 염색은 결핵균 등 항산성 세균 검출을 위해 개발된 염색 방법으로, 석탄산 푹신으로 1차 염색 후 산성 알코올로 탈색하고 대비 염색하여 항산성 세균을 붉은색으로, 비항산성 세균을 다른 색으로 염색한다.
| 김사 염색 | |
|---|---|
| 염색 정보 | |
| 이름 | 김자 염색 |
| 다른 이름 | 귐자 염색 |
| 명명 유래 | 구스타프 김자 |
| 용도 | 조직병리학 (조직 및 혈액 세포 염색) |
| 염색 부위 | 핵, 세포질, 과립, 기생충 |
| 염색 결과 | 핵과 세포질: 보라색 적혈구: 분홍색 과립: 푸른색 말라리아 원충: 특징적인 색상 |
| 염색 원리 | |
| 염색 메커니즘 | Romanowsky-Giemsa 효과 |
| 염료 성분 | 아즈르 (Azure) 염료 에오신 (Eosin) 염료 |
| 용매 | 글리세롤, 메탄올 |
| 사용 방법 | |
| 염색 방법 | 현미경 슬라이드에 도말된 혈액 또는 조직 샘플을 염색 |
| 염색 과정 | |
| 의료 분야 활용 | |
| 진단 | 말라리아 진단 (혈액 내 말라리아 원충 관찰) 혈액 질환 진단 (혈액 세포 형태 관찰) 세균 감염 진단 (세균 관찰) |
| 기타 | 세포 유전학 연구 |
2. 용도
김사 염색은 혈액학적 검사, 세포유전학적 검사, 미생물학적 검사 등 다양한 분야에서 활용되는 염색법이다.
2. 1. 혈액학적 검사
김사 염색은 말초 혈액 도말이나 골수 표본에 대한 고전적인 혈액 도말 염색법이다. 이 염색법을 사용하면 적혈구는 분홍색, 혈소판은 옅은 분홍색, 림프구의 세포질은 하늘색, 단핵구의 세포질은 옅은 파란색, 백혈구 핵 염색질은 마젠타색으로 염색된다. 또한 김사 염색은 페스트균의 특징적인 모양을 잘 보여주는 데에도 사용된다.[14]2. 2. 세포유전학적 검사
DNA의 인산기에 특이적이며 아데닌-티민 결합이 많은 DNA 영역에 붙는다. 김사 염색은 일반적으로 G 밴딩(김사 밴딩)에 사용되어 염색체를 염색하고 종종 핵형도(염색체 지도)를 만드는 데 사용된다. 전좌나 재배열과 같은 염색체 이상을 식별할 수 있다.[14]
2. 3. 미생물학적 검사
김사 염색은 감별염색의 일종으로, 다양한 미생물과 세포를 구별하여 염색하는 데 사용된다.- 세균 염색:
- 인간 세포에 병원성 세균이 부착되는 것을 연구하는 데 사용될 수 있다. 인간 세포는 보라색, 세균 세포는 분홍색으로 염색된다.
- 페스트균의 특징적인 "안전핀" 모양을 관찰하는 데 사용된다.
- 클라미디아를 염색할 수 있다.[16]
- 기생충 염색:
- 말라리아의 원인 병원체인 열원충을 비롯한 스피로헤타, 원생동물 혈액 기생충의 조직병리학적 진단에 사용될 수 있다.[14]
- 질편모충 영양체를 염색하여 운동성 세포를 관찰할 수 있다.
- 바이러스 염색:
- 염색체를 관찰하는 데 사용되며, 특히 거대세포바이러스 감염의 특징적인 "올빼미 눈 징후" 바이러스 봉입체를 확인하는 데 유용하다.[15]
- 진균 염색:
- 진균인 히스토플라스마를 염색할 수 있다.[16]
- 기타:
- 비만 세포를 식별하는 데 사용될 수 있다.[16]
- 말초 혈액 도말이나 골수 표본 검사 시, 적혈구(분홍색), 혈소판(옅은 분홍색), 림프구 세포질(하늘색), 단핵구 세포질(옅은 파란색), 백혈구 핵 염색질(마젠타색) 등 다양한 세포 성분을 구별하여 염색한다.

2. 4. 기타 용도
김사 염색은 감별염색을 위해 사용될 수 있다. 라이트 염색과 결합하여 라이트-김사 염색을 형성하는데, 이는 인간 세포에 병원성 세균이 부착되는 것을 연구하는 데 사용될 수 있다. 인간 세포와 세균 세포를 각각 보라색과 분홍색으로 구별하여 염색한다. 말라리아의 원인 병원체인 플라스모디움,[14] 기타 스피로헤타나 원생동물 혈액 기생충의 조직병리학적 진단에 사용될 수 있다.김사 염색은 말초 혈액 도말이나 골수 표본에 대한 고전적인 혈액 도말 염색법이다. 적혈구는 분홍색으로, 혈소판은 옅은 분홍색으로, 림프구의 세포질은 하늘색으로, 단핵구의 세포질은 옅은 파란색으로, 백혈구 핵 염색질은 마젠타색으로 염색된다. 또한 페스트균의 모양을 잘 보이게 하는 데 사용된다.
염색체를 보이게 하는 데에도 사용된다. 이것은 특히 '올빼미 눈' 바이러스 봉입체라는 거대세포바이러스 감염의 검출에 사용되는 고전적인 징후와 관련이 있다.[15]
김사 염색은 진균인 히스토플라스마나 세균인 클라미디아를 염색하고 비만 세포를 식별하는 데 사용할 수 있다.[16]
3. 염색 과정
김사 염색 과정은 다음과 같다.
1. 현미경 슬라이드 위의 검체 박막을 순수 메탄올에 30초 동안 담그거나 슬라이드에 메탄올 몇 방울을 떨어뜨려 고정한다.
2. 슬라이드를 새로 제조한 5% 김사 염색액 용액에 20~30분 동안 담근다.
3. 긴급한 경우에는 10% 용액에서 5~10분 동안 염색할 수 있다.
4. 수돗물로 헹군 후 건조시킨다.[17][6][12]
3. 1. 시약 준비
김사 염색액은 메틸렌 블루, 에오신, [http://www.chemicalland21.com/specialtychem/finechem/AZURE%20B.htm Azure B]의 혼합물이다. 염색은 일반적으로 시판되는 김사 분말로 준비된다.[17]현미경 슬라이드에 있는 표본의 박막을 순수한 메탄올에 30초 동안 담그거나 슬라이드에 메탄올 몇 방울을 떨어뜨려 고정시킨다. 슬라이드를 새로 준비된 5% 김사 염색 용액에 20-30분 동안 담근 다음(긴급 상황에서는 10% 용액에 5-10분 사용 가능), 수돗물로 씻어내고 건조시킨다.[17]
3. 2. 검체 고정
현미경 슬라이드에 있는 표본의 박막을 순수한 메탄올에 30초 동안 담그거나 슬라이드에 메탄올 몇 방울을 떨어뜨려 고정한다.[17] 그 후 슬라이드를 새로 준비된 5% 김사 염색 용액에 20-30분 동안 담근다. 긴급 상황에서는 10% 용액에 5-10분 동안 담가 사용할 수 있다. 마지막으로 수돗물로 씻어내고 건조시킨다.[17]3. 3. 염색
김사 염색 용액은 메틸렌 블루, 에오신, [http://www.chemicalland21.com/specialtychem/finechem/AZURE%20B.htm 아쥬르 B]의 혼합물이다. 염색은 일반적으로 시판되는 김사 분말로 준비된다.[17]현미경 슬라이드에 있는 표본의 박막을 순수한 메탄올에 30초 동안 담그거나 슬라이드에 메탄올 몇 방울을 떨어뜨려 고정시킨다. 슬라이드를 새로 준비된 5% 김사 염색 용액에 20-30분 동안 담근 다음(긴급 상황에서는 10% 용액에 5-10분 사용 가능), 수돗물로 씻어내고 건조시킨다.[6],[12]
3. 4. 세척 및 건조
현미경 슬라이드에 있는 표본의 박막을 순수한 메탄올에 30초 동안 담그거나 슬라이드에 메탄올 몇 방울을 떨어뜨려 고정한다. 슬라이드를 새로 준비된 5% 김사 염색 용액에 20~30분 동안 담근다. 긴급 상황에서는 10% 용액에 5~10분 동안 담가둘 수 있다. 그 후 수돗물로 씻어내고 건조시킨다.[17][6][12]참조
[1]
논문
Über Romanowsky-Farbstoffe und den Romanowsky-Giemsa-Effekt
1984
[2]
논문
Cytometry in malaria: moving beyond Giemsa
2007-08
[3]
서적
The Prokaryotes
Springer
[4]
논문
Detection of infection or infectious agents by use of cytologic and histologic stains
1996-07
[5]
논문
Mast cells and atopic dermatitis. Stereological quantification of mast cells in atopic dermatitis and normal human skin
https://link.springe[...]
1997-04
[6]
웹사이트
4.2.2.2. Giemsa stain
http://en.impact-mal[...]
2013-10-28
[7]
논문
Über Romanowsky-Farbstoffe und den Romanowsky-Giemsa-Effekt
https://doi.org/10.1[...]
1984
[8]
간행물
Giemsa G (1904 Eine Vereinfachung und Vervollkommnung meiner Methylenblau-Eosin-Färbemethode zur Erzielung der Romanowsky-Nocht’schen Chromatinfärbung. Centralblatt für Bakteriologie I Abteilung 32, 307-313.
[9]
논문
Cytometry in malaria: moving beyond Giemsa
2007-09
[10]
논문
Detection of infection or infectious agents by use of cytologic and histologic stains
1996-07
[11]
논문
Mast cells and atopic dermatitis. Stereological quantification of mast cells in atopic dermatitis and normal human skin
1997-04
[12]
웹사이트
4.2.2.2. Giemsa stain
2013-10-28
[13]
간행물
Giemsa G (1904 Eine Vereinfachung und Vervollkommnung meiner Methylenblau-Eosin-Färbemethode zur Erzielung der Romanowsky-Nocht’schen Chromatinfärbung. Centralblatt für Bakteriologie I Abteilung 32, 307–313.
[14]
저널 인용
Cytometry in malaria: moving beyond Giemsa
2007-09
[15]
저널 인용
Detection of infection or infectious agents by use of cytologic and histologic stains
1996-07
[16]
저널 인용
Mast cells and atopic dermatitis. Stereological quantification of mast cells in atopic dermatitis and normal human skin
http://link.springer[...]
1997-04
[17]
웹인용
4.2.2.2. Giemsa stain
http://en.impact-mal[...]
2013-10-28
본 사이트는 AI가 위키백과와 뉴스 기사,정부 간행물,학술 논문등을 바탕으로 정보를 가공하여 제공하는 백과사전형 서비스입니다.
모든 문서는 AI에 의해 자동 생성되며, CC BY-SA 4.0 라이선스에 따라 이용할 수 있습니다.
하지만, 위키백과나 뉴스 기사 자체에 오류, 부정확한 정보, 또는 가짜 뉴스가 포함될 수 있으며, AI는 이러한 내용을 완벽하게 걸러내지 못할 수 있습니다.
따라서 제공되는 정보에 일부 오류나 편향이 있을 수 있으므로, 중요한 정보는 반드시 다른 출처를 통해 교차 검증하시기 바랍니다.
문의하기 : help@durumis.com