적혈구
"오늘의AI위키"의 AI를 통해 더욱 풍부하고 폭넓은 지식 경험을 누리세요.
1. 개요
적혈구는 척추동물의 혈액에 존재하는, 산소를 운반하는 세포이다. 핵이 없는 오목한 원반 모양으로, 산소 교환 효율을 높이고 좁은 모세혈관을 통과하기 쉽게 한다. 헤모글로빈을 통해 산소를 운반하며, 혈액형을 결정하는 항원을 가지고 있다. 적혈구의 생성은 조혈모세포로부터 시작되어 에리트로포이에틴의 자극을 받아 골수에서 이루어지며, 약 120일의 수명을 가진 후 비장 등에서 파괴된다. 적혈구 수, 헤모글로빈 농도, 헤마토크리트 등의 검사를 통해 건강 상태를 파악하며, 빈혈, 용혈, 적혈구 증가증 등 다양한 질환과 관련된다.
더 읽어볼만한 페이지
- 1658년 과학 - 혈구
혈구는 혈액의 주요 구성 요소인 적혈구, 백혈구, 혈소판으로 구성되어 각 세포는 산소 운반, 면역 방어, 혈액 응고와 같은 고유한 기능 수행하며 혈액 검사를 통해 혈구 관련 질병 진단 및 건강 상태를 평가할 수 있다. - 혈액 세포 - 호산구
호산구는 골수에서 생성되어 혈액을 통해 이동하는 백혈구의 한 종류로, 기생충 감염이나 알레르기 반응과 관련된 면역 반응에 관여하고 염증을 조절하는 기능을 수행하며, 호산구증가증은 다양한 원인에 의해 발생할 수 있고 코르티코스테로이드 등으로 치료한다. - 혈액 세포 - 혈구
혈구는 혈액의 주요 구성 요소인 적혈구, 백혈구, 혈소판으로 구성되어 각 세포는 산소 운반, 면역 방어, 혈액 응고와 같은 고유한 기능 수행하며 혈액 검사를 통해 혈구 관련 질병 진단 및 건강 상태를 평가할 수 있다. - 호흡 - 호흡근
호흡근은 횡격막, 늑간근, 보조 호흡근으로 구성되어 호흡 작용에 관여하며, 손상 시 질병 및 합병증을 유발할 수 있고 호흡 재활로 기능 회복이 가능하다. - 호흡 - 호흡 (생리학)
호흡은 생물이 에너지를 얻기 위해 산소를 섭취하고 이산화탄소를 배출하는 생리적 과정으로, 수중 환경에서 다양한 방식으로 산소를 얻으며, 호흡계통은 동물에 따라 다른 형태로 진화했고, 여러 메커니즘과 실험 및 치료법이 존재한다.
2. 형태
적혈구는 대부분 철 이온을 가진 헤모글로빈으로 구성되어 산소를 운반한다. 헤모글로빈의 산소 친화도는 혈중 수소 이온 농도(pH)와 2,3-비스포스포글리세르산(2,3-BPG)의 영향을 받는다.




적혈구는 핵이 없는 오목한 원반 모양이다. 이러한 모양은 표면적을 넓혀 산소 교환 효율을 높이고, 좁은 모세혈관을 통과하기 쉽게 한다. 전자현미경으로 관찰하면 한국인의 적혈구는 평균 직경 7µm~8µm, 두께 2.2µm 정도이며, 중심부는 0.46µm~1.16µm 정도로 더 얇다.[76]
포유류의 적혈구는 성숙 과정에서 핵을 잃어 헤모글로빈을 위한 공간을 확보한다. 포유류의 적혈구는 전형적으로 양쪽이 오목한 원반 모양이며, 단면은 아령 모양이고, 원반 가장자리는 환형체 모양이다. 이러한 모양은 가스의 확산을 용이하게 하기 위해 높은 표면적 대 부피(SA/V) 비율을 허용한다.[16]
적혈구 막은 지질 이중층과 막 골격 단백질로 구성되어 유연성과 변형성을 제공한다. 사람 및 대부분의 포유류 적혈구 막 질량의 절반은 단백질이고, 나머지 절반은 인지질과 콜레스테롤과 같은 지질이다.[28]
3. 작동 원리
pH가 낮을수록(혈중 수소 이온 농도가 높을수록) 헤모글로빈의 산소 친화도는 낮아진다. 이산화 탄소는 체액을 산성으로 만들어 헤모글로빈이 산소를 쉽게 내놓게 한다. 2,3-BPG 역시 헤모글로빈의 산소 친화도를 떨어뜨린다. 순수한 헤모글로빈은 산소 친화도가 매우 높지만, 혈중 2,3-BPG에 의해 조절된다.
혈액 내 적혈구 수 감소 또는 헤모글로빈 농도 저하는 혈액의 산소 운반 능력을 저하시켜 빈혈을 유발한다.
대부분의 포유류를 포함한 척추동물은 적혈구를 가지고 있다. 유일하게 적혈구가 없는 척추동물은 남극 얼음고기(Channichthyidae과)인데, 이들은 산소가 풍부한 차가운 물에서 혈액에 자유롭게 용해된 산소를 운반한다.[11] 헤모글로빈을 사용하지 않지만, 헤모글로빈 유전자 잔재는 유전체에서 발견된다.[12]
척추동물의 적혈구는 주로 헤모글로빈으로 구성되며, 폐나 아가미에서 철 원자가 산소 분자(O2)와 일시적으로 결합하여 신체 전체에 방출하는 헴 그룹을 포함하는 복잡한 금속단백질이다. 산소는 적혈구 세포막을 통해 쉽게 확산된다. 헤모글로빈은 이산화 탄소를 조직에서 다시 운반하기도 하지만, 대부분의 이산화 탄소는 혈장에 용해된 탄산수소염 (HCO3−) 형태로 폐 모세혈관으로 운반된다. 미오글로빈은 근육 세포에서 산소를 저장한다.[13]
적혈구 색상은 헤모글로빈의 헴 그룹 때문이며, 혈장은 짚 색이지만, 적혈구는 헤모글로빈 상태에 따라 색상이 변한다. 산소와 결합하면 옥시헤모글로빈은 선홍색, 산소가 방출되면 디옥시헤모글로빈은 어두운 적자색을 띤다. 맥박 산소 측정법은 헤모글로빈 색상 변화를 이용해 동맥 혈액 산소 포화도를 측정한다. 헤모글로빈은 일산화 탄소와 높은 친화력을 가져 카르복시헤모글로빈을 형성한다.
산소 운반 단백질을 특수 세포 내에 갖는 것은 척추동물 진화에 중요한 단계였으며, 덜 점성인 혈액, 높은 산소 농도, 혈액에서 조직으로의 산소 확산을 가능하게 했다. 적혈구 너비는 모세혈관 직경보다 약 25% 커서, 적혈구에서 조직으로의 산소 전달을 개선한다는 가설이 있다.[15]
인간 적혈구는 약 6.2–8.2 μm 디스크 직경[19]과 최대 두께 2–2.5 μm, 중앙 최소 두께 0.8–1 μm를 가지며, 다른 인간 세포보다 작다. 약 90 fL[20] 평균 부피와 약 136 μm2 표면적을 가지며, 막 신장 없이 150 fL를 포함하는 구형으로 부풀 수 있다.
성인은 약 20–30조 개 적혈구를 가지며, 이는 수적으로 모든 세포의 약 70%이다.[21] 여성은 혈액 1마이크로리터(입방 밀리미터)당 약 4–5백만 개, 남성은 약 5–6백만 개 적혈구를 가진다. 고산지대에서는 더 많은 적혈구를 가진다. 적혈구는 백혈구(약 4,000–11,000개)와 혈소판(약 150,000–400,000개)보다 훨씬 흔하다.
인간 적혈구는 한 순환 주기를 완료하는 데 평균 60초가 걸린다.[5][9][22]
혈액의 붉은색은 헴 철 이온의 스펙트럼 특성으로 인해 발생하며, 헤모글로빈은 총 세포 부피의 약 3분의 1을 차지한다. 헤모글로빈은 신체 내 산소의 98% 이상을 운반하고(나머지는 혈장에 용해), 성인 남성 적혈구는 총 2.5그램의 철분을 저장한다(신체 총 철분의 약 65%).[23][24]
적혈구는 좁은 혈관에서 전단 응력을 받으면 ATP를 방출해 혈관벽을 이완, 확장시켜 정상 혈류를 촉진한다.[48] 탈산소화되면 S-니트로소티올을 방출해 혈관을 확장시키고,[49] 산소 고갈 부위로 더 많은 혈액을 보낸다.
내피 세포처럼 L-아르기닌을 기질로 산화 질소를 합성할 수 있다.[50] 생리적 전단 응력에 노출되면 산화 질소 합성 효소가 활성화되고 산화 질소가 배출되어[51] 혈관 긴장도 조절에 기여한다.
혈관벽을 이완시키는 황화 수소를 생성하며, 마늘의 심장 보호 효과는 적혈구가 마늘 황 화합물을 황화 수소로 전환하기 때문으로 여겨진다.[52]
병원체에 의해 용해되면 헤모글로빈이 자유 라디칼을 방출해 병원체 세포벽과 막을 파괴한다.[53][54] 미토콘드리아가 없어 수송하는 산소를 사용하지 않고 글루코스의 당 분해와 피루브산의 젖산 발효로 ATP를 생산한다.[55][56] 오탄당 인산 경로는 포도당-6-인산 탈수소 효소 결핍증에서 중요하다.
핵이 없어 단백질 생합성이 없는 것으로 추정된다. 핵과 세포 소기관이 없어 DNA가 없고 RNA도 합성할 수 없어(RNA는 포함하지만)[57][58] 분열, 복구 능력이 제한적이다.[59]
3. 1. 헤모글로빈과 산소·이산화탄소 수송
헤모글로빈은 적혈구 세포질의 주요 구성 물질로, 폐에서 전신으로 산소를 운반하는 단백질이다. 포르피린 핵에 철을 가진 4개의 헴과 4개의 글로빈으로 이루어져 있다.[75] 헴은 중심에 철 원자 1개를 가지며, 산소 1분자와 결합할 수 있으므로, 헤모글로빈 1분자는 산소 분자 4개와 결합할 수 있다. 표준 체격의 성인이 가진 적혈구에 포함된 헤모글로빈의 총량은 약 750g이며,[75] 1g의 헤모글로빈은 산소 1.39mL와 결합할 수 있으므로, 총량으로 대략 1L의 산소와 결합할 수 있다.
적아구는 미토콘드리아와 폴리리보솜을 통해 헤모글로빈을 활발하게 합성하며, 세포가 성숙해짐에 따라 세포질은 헤모글로빈으로 채워진다. 성숙한 적혈구에서는 더 이상 헤모글로빈 합성이 이루어지지 않는다. 적아구의 미토콘드리아에서는 헴이, 폴리리보솜에서는 글로빈이 만들어진다. 미토콘드리아가 만든 헴과 폴리리보솜이 만든 글로빈은 세포질 내에서 만나 헤모글로빈이 된다.
성숙한 적혈구는 골수에서 혈관 내로 이동하여 혈액 순환을 통해 폐와 조직을 순환한다. 조직 내에서는 세포 활동으로 이산화탄소가 발생하는데, 이산화탄소는 적혈구 내로 유입된다. 적혈구 내에서 이산화탄소(CO2)와 물(H2O)은 탄산 탈수 효소에 의해 중탄산 이온 (HCO3-)과 수소 이온(H+)으로 변환된다. 수소 이온 증가로 산성이 강해진 적혈구 내에서는 산소와 헤모글로빈이 결합한 옥시헤모글로빈으로부터 산소 분자가 유리되어, 세포막을 통해 체세포에 산소가 공급된다(보어 효과). 산소를 방출한 헤모글로빈은 수소 이온과 결합하여 적혈구 내 pH가 극단적으로 산성으로 기울어지는 것을 방지한다.
혈액 중 이산화탄소의 약 70%는 적혈구 내에서 중탄산 이온으로 변환되어 혈장에 녹아 폐로 순환한다. 이산화탄소의 15-20%는 헤모글로빈과 결합하여 카르바미노헤모글로빈으로서 적혈구에 의해 폐로 운반되며, 약 10%는 그대로 혈장에 녹아 폐로 순환한다.
사람의 경우 폐에서는 산소 분압이 높아 적혈구의 산소 포화도는 거의 100%가 된다. 조직 내에서는 산소 분압이 낮고 이산화탄소가 발생하여 pH가 감소하며, 보어 효과로 적혈구는 대부분의 산소를 방출한다.
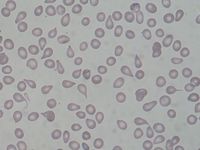
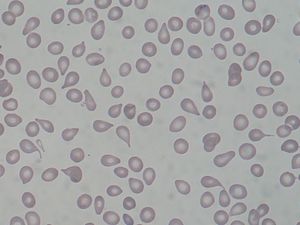
thumb
thumb
폐에서는 이산화탄소가 적어 적혈구 내 이산화탄소가 밖으로 나가고, 중탄산 이온이 이산화탄소로 되돌려져 방출된다. pH가 상승한 적혈구 내에서는 산소를 섭취하기 쉬워지며, 헤모글로빈은 충분한 산소를 섭취한다. 산소 포화도가 높아진 적혈구는 다시 말단 조직 세포에 산소를 운반한다. 과도한 산소는 세포를 손상시키지만, 적혈구는 이산화탄소 농도가 높은 곳에서 산소를 공급하므로, 산소를 필요로 하는 세포에 적정량의 산소를 공급할 수 있다.
적혈구는 산소와 이산화탄소 수송을 담당하며, 이를 위해 적혈구막에서는 산소(O2), 이산화탄소(CO2), 탄산수소염(HCO3-) 교환이 중요하다.
3. 1. 1. 헤모글로빈의 산소 친화성 조절
헤모글로빈의 산소 친화도는 혈중 수소 이온 농도(pH)와 2,3-비스포스포글리세르산(2,3-BPG)의 영향을 받는다. pH가 낮아질수록 헤모글로빈의 산소 친화도는 낮아진다. 이산화탄소는 체액을 산성으로 만들어 헤모글로빈이 산소를 쉽게 내놓게 한다.2,3-BPG 역시 헤모글로빈의 산소 친화도를 떨어뜨린다. 순수한 헤모글로빈은 산소 친화도가 매우 높지만, 혈중 2,3-BPG에 의해 산소 해리가 조절된다. 헤모글로빈의 산소 친화성 조절에는 pH 변화에 의한 보어 효과뿐만 아니라 2,3-BPG도 관여한다. 적혈구 내 2,3-BPG는 헤모글로빈의 산소 친화성을 약화시킨다.
고산 지대에서는 저산소 상태에 적응하기 위해 2,3-BPG 농도가 상승하여 산소 친화성이 저하된다. 이는 조직 내에서 산소 방출량을 증가시킨다. 빈혈, 심부전, 호흡 부전 등에서도 2,3-BPG 농도가 상승하여 저산소 상태에 대응한다.[1]
태아의 헤모글로빈 F는 성인의 헤모글로빈 A보다 2,3-BPG 결합이 약해 산소 친화성이 높다. 이는 태반에서 산소를 효율적으로 획득하기 위함이다.[1]
3. 2. 적혈구 세포막
적혈구는 유연성과 안정성이 필요하며, 이를 위해 적혈구 세포막은 막 지질 이중층, 막 골격, 막 관통 단백질 등으로 구성되어 있다.
막 지질 이중층은 인지질과 콜레스테롤로 구성되며, 인지질은 바깥쪽과 안쪽에 비대칭적으로 분포한다. 막 골격은 스펙트린, 액틴, 단백질 4.1 등이 그물처럼 연결되어 세포막을 지지한다.
- '''막 지질 이중층''': 자세한 내용은 #막 지질 이중층 참조.
- '''막 골격''': 자세한 내용은 #막 골격 참조.
- '''표면 단백질''': 자세한 내용은 #표면 단백질 참조.
이러한 구조를 바탕으로 적혈구막에서는 산소(O)와 이산화탄소(CO), 탄산수소염(중탄산 이온 )의 교환이 이루어지며, 세포 유지에 필요한 포도당과 각 이온 등의 교환도 중요하다. 주요 물질 수송 기구는 아래 표와 같다.
3. 2. 1. 막 지질 이중층
적혈구 막은 대부분의 인간 세포에서 발견되는 전형적인 지질 이중층을 포함한다. 이 지질 이중층은 무게 기준으로 콜레스테롤과 인지질이 거의 같은 비율로 구성되어 있다. 지질 조성은 막 투과성 및 유동성과 같은 물리적 특성을 결정하는 데 중요하다. 또한, 많은 막 단백질의 활성은 이중층 내 지질과의 상호작용에 의해 조절된다.[28]인지질은 친수성 인산 머리 부분과 소수성 지방산 꼬리 두 개로 구성된 분자이다. 적혈구 안팎은 주로 물로 채워져 있으므로, 인지질 분자는 머리 부분을 바깥쪽으로, 물과 섞이지 않는 꼬리 부분을 안쪽으로 향하게 하여 이중층을 형성한다. 이중층의 바깥쪽은 친수성이기 때문에 막 전체가 적혈구 안팎의 환경에 잘 적응하며, 안쪽은 소수성 지방산으로 채워져 세포 안팎을 효과적으로 분리한다.[87][88]
콜레스테롤은 내부 및 외부 층 사이에 균등하게 분포하지만, 5가지 주요 인지질은 다음과 같이 비대칭적으로 배열되어 있다.[28]
'''외부 단일층'''
- 포스파티딜콜린 (PC)
- 스핑고마이엘린 (SM)
'''내부 단일층'''
- 포스파티딜에탄올아민 (PE)
- 포스포이노시톨 (PI) (소량)
- 포스파티딜세린 (PS)
이러한 이중층 내 인지질의 비대칭적 분포는 "플립퍼제", "플로퍼제", "스크램블레이스"와 같은 단백질의 기능에 의해 조절된다. 플립퍼제는 인지질을 외부에서 내부 층으로 이동시키고, 플로퍼제는 농도 기울기에 반대로 작용하며, 스크램블레이스는 농도 기울기에 따라 양방향으로 인지질을 이동시킨다.[89]
이중층 내 인지질의 비대칭적 분포는 세포의 완전성과 기능 유지에 중요하며, 다음과 같은 역할을 수행한다.
- 대식세포는 외부 표면에 PS를 노출한 적혈구를 인식하고 식세포 작용을 통해 제거한다.[28]
- 지중해 빈혈 및 낫적혈구 빈혈증에서 조기에 적혈구가 파괴되는 것은 외부 층에 PS가 노출되기 때문이다.[28]
- PS 노출은 적혈구가 혈관 내피 세포에 부착되도록 하여 미세 혈관을 통한 정상적인 흐름을 방해할 수 있다.[28]
- PS와 포스파티딜이노시톨 4,5-이중인산 (PIP2)은 스펙트린 및 단백질 4.1R과 상호작용하여 막의 기계적 기능을 조절한다.[28]
최근 연구에 따르면, 적혈구 막에는 "지질 뗏목"이라는 특수한 구조가 존재한다. 이 구조는 콜레스테롤과 스핑고지질이 풍부하며, 플로틸린, STOMatins (밴드 7), G-단백질, β-아드레날린성 수용체와 관련되어 있다. 지질 뗏목은 적혈구 세포에서 β2-아드레날린성 수용체 신호를 매개하고 cAMP 수치를 증가시켜 말라리아 기생충의 침입을 조절하는 것으로 알려져 있다.[29][30]
3. 2. 2. 막 골격

α 사슬 스펙트린(Spectrin)과 β 사슬 스펙트린이 연결된 한 개의 선형 단백질이 나란히 2개가 얽힌 길이 200nm의 끈 모양 단백질(α 사슬 2개, β 사슬 2개로 이루어진 4량체 스펙트린)이 단백질 4.1, 액틴(Actin) 등의[94] 단백질에 의해 연결되어 망상으로 존재하며 지질 이중층에 접하는 형태로 존재하는 것이 막 골격이다. 스펙트린은 수축성이 풍부하여 펴지면 4량체에서 200nm의 길이가 평소에는 스프링처럼 40nm 정도로 수축하며, 그 수축된 스펙트린이 망상으로 연결된 막 골격은 앙키린(Ankyrin)이나 단백질 4.1에 의해 막 관통 단백질인 밴드 3 단백질이나 글리코포린(Glycophorin)에 결합되어 지질 이중층에 매달린 채 접해있다.
이 막 골격은 적혈구가 좁은 모세 혈관에 들어갈 때 변형되면 스프링이 늘어난 것과 같은 상태로 적혈구의 변형에 대응하고, 모세 혈관을 빠져나온 후에는 수축하여 적혈구의 형태를 유지한다. 이 지질 이중층의 세포막을 막 골격이 뒷받침하여 보강하는 구조가 적혈구막의 유연성과 안정성을 가져다준다.
3. 2. 3. 표면 단백질
적혈구 막에는 다양한 막 관통 단백질이 존재하여 물질 수송, 세포 부착, 구조적 역할 등 여러 기능을 수행한다.[95]
- 밴드 3 – 음이온 수송체이며, 적혈구 막의 중요한 구조적 구성 요소이다. 세포막 표면의 최대 25%를 차지하며, 각 적혈구는 약 100만 개의 복사본을 포함한다. 디에고 혈액형을 정의한다. 앙키린과 상호작용하여 이중층을 막 골격에 연결하는 역할도 한다.
- 글리코포린 - 밴드 3 다음으로 많은 막 관통 단백질이지만, 세포질 쪽은 막 골격에 연결되어 앵커 역할을 하며, 적혈구 외면에 노출된 부분에는 다량의 당쇄를 가지고 있다.[96] 당쇄 끝에는 시알산이 있으며, 음전하를 띠어 적혈구끼리나 혈관 내피 세포와의 부착을 방지하고, 세균 침입을 막는 작용을 한다.
AB형은 밴드 3과 밴드 4.5 단백질의 적혈구막 바깥쪽 당쇄 구조가 항원이 된다.
4. 생성과 파괴
적혈구는 골수에서 조혈모세포로부터 만들어지며, 이 과정을 적혈구 생성이라고 한다. 적혈구 생성은 에리트로포이에틴(EPO)이라는 호르몬에 의해 조절되며, EPO는 주로 신장에서 생성된다.[75] 골수는 하루에 2,000억 개에 육박하는 적혈구를 생성하며, 빈혈 등으로 저산소 상태가 되면 적혈구 생성이 활발해진다. 에리트로포이에틴은 적혈구 생성 중간 단계인 CFU-E(후기 적혈구계 전구 세포)에 작용하여 세포 분열을 촉진하고 적혈구 수를 늘린다. 적혈구 수가 증가하여 저산소 상태가 개선되면 에리트로포이에틴 생성이 감소하고, 골수에서의 적혈구 생성도 안정된다.
적혈구는 약 120일 동안 순환하며, 노화된 적혈구는 비장, 간 등에서 대식세포에 의해 제거된다. 이 과정은 적혈구 사멸이라고 불리며, 적혈구 생성 속도와 균형을 이루어 전체 순환 적혈구 수를 일정하게 유지한다.[64] 파괴된 적혈구의 구성 성분은 재활용되거나 빌리루빈 형태로 배설된다. 노화된 적혈구는 세포막의 변화로 인해 대식세포에 의해 인식되고 탐식작용을 받는다.
4. 1. 생성
사람의 적혈구는 적혈구 생성 과정을 통해 생성되며, 이 과정은 약 7일이 소요된다. 조혈모세포에서 시작하여 골수계 줄기 세포, 적아구, 망상 적혈구 단계를 거쳐 성숙한 적혈구가 된다.[62] 성숙한 적혈구는 건강한 사람의 경우 약 100~120일 동안 혈액 순환계에서 생존한다.[62]
골수에서 관찰되는 어린 적아구 계통의 세포는 염색성이 염기호성 세포질을 가지므로 회청색을 띤다. 이들은 성숙함에 따라 헤모글로빈의 붉은색이 나타나며, 핵이 탈락한 적혈구가 되어 말초혈에 보내진다.
적혈구 생성 과정에서, 골수 내 대식세포는 적아구에 헤모글로빈 합성에 필요한 철분과 세포 생육에 필요한 물질을 공급하고, 성숙을 조절하며, 탈핵된 핵을 처리한다.[98] 이러한 대식세포와 적아구의 집단을 적아구섬이라고 한다.[98]
조혈모세포는 골수계 줄기 세포(골수계 전구 세포), 적아구·거핵구계 전구 세포, 전기 적아구계 전구 세포(BFU-E), 후기 적아구계 전구 세포(CFU-E)를 거쳐 전적아구로 분화한다. 전적아구는 직경이 20-25µm로 적혈구 분화 단계에서 가장 크며, 핵 구조가 섬세하고 세포질은 염기성이 강하다.[97] 이후 호염기성 적아구, 다염성 적아구, 정염성 적아구를 거치면서 크기가 점차 작아지고, 헤모글로빈 합성이 시작되며, 핵이 응축된다. 정염성 적아구는 세포 분열 능력을 상실하고 핵이 탈락하여 망상 적혈구가 된다. 망상 적혈구는 골수에서 2일 정도 머무른 후 혈액으로 이동하여 1-2일 후 성숙한 적혈구가 된다.[62]
4. 1. 1. 태아의 조혈
태아의 조혈은 출생 후와 다른 양상을 보인다. 태생 15-18일경 난황낭에서 1차 조혈이 시작되어 Embryonic hemoglobin|배아형 헤모글로빈영어이 만들어진다.[99] 배아형 헤모글로빈은 태생 4주 이후 혈액 순환을 통해 산소를 운반한다. 1차 조혈에서 만들어지는 배아형 헤모글로빈은 Fetal hemoglobin|태아형 헤모글로빈영어(HbF) 및 출생 후의 성숙 적혈구(Hemoglobin A|헤모글로빈 A영어, Hemoglobin A2|헤모글로빈 A2영어)와는 크게 다르다. 태생 초기 난황낭에서 만들어지는 배아형 헤모글로빈은 태아형 헤모글로빈 및 성체형 헤모글로빈보다 4-5배 크고, 성숙해도 핵이 없어지지 않고 유핵 상태이다. 형태는 적아구와 비슷하지만, 배아형 헤모글로빈은 태아형 헤모글로빈이나 출생 후 적혈구의 헤모글로빈과 다르다.[99] 이 배아형 헤모글로빈은 태생 10주경에 사라진다.사람은 태생 5-6주경부터 간에서 조혈이 시작된다. 간에서 시작되는 조혈에서 생성되는 적혈구는 성인의 적혈구와 같은 조혈 줄기 세포에서 만들어지며, 크기와 구조가 같고, 적혈구의 세포핵은 없어진다. 이 적혈구는 헤모글로빈은 주로 태아형 헤모글로빈(HbF)으로 성체형과는 다르지만, 출생 후의 조혈과 직접적으로 연결되므로 2차 조혈이라고 한다. 간에서의 조혈은 3-6개월경에 조혈의 중심이 되고, 태생 6-7개월에 정점에 도달한다. 비장에서도 조혈이 이루어진다. 간과 비장에서의 조혈은 정점을 찍은 후 감소하여 출생 시에는 종료된다.
골수에서의 조혈은 태생 4개월경부터 시작되어 점차 그 역할이 증가한다. 6-7개월 이후에는 골수가 조혈의 중심이 되어 출생 시에는 유일한 조혈 기관이 된다.[99] 태아의 적혈구는 임신 초기에 배아형 헤모글로빈을 포함하지만, 곧 태아형 헤모글로빈(HbF)을 포함하게 된다. 임신 기간 대부분 동안 태아 적혈구 헤모글로빈의 대부분은 HbF가 차지하고, 성체형 헤모글로빈(HbA)은 적지만, 출생이 가까워질수록 HbA의 비율이 급격히 증가한다.[100][101] 임신 중기에는 헤모글로빈의 대부분을 차지했던 HbF는 출생 시에는 헤모글로빈의 60-80%가 되거나,[101] 다른 자료에서는 임신 말기 제대혈 헤모글로빈의 평균 83%가 HbF로 여겨진다.[101] 출생 후에는 HbF가 급격히 HbA로 대체되어 생후 6개월에는 HbF가 3% 정도로 줄어든다. 성인의 헤모글로빈은 HbA가 97%, HbA2가 2%, HbF가 1% 이하의 비율이 된다. HbF는 HbA보다 산소 친화성이 높아 태내의 낮은 산소 농도에서 산소를 운반하는 데 적합하다(HbA는 산소 농도가 높은 환경(폐 호흡)에서 산소 운반에 적합하다).[102]
4. 1. 2. 에리트로포이에틴
골수에서는 하루에 2,000억 개에 육박하는 적혈구를 생성하지만, 골수는 이의 3~5배에 달하는 적혈구 생성 능력을 가지고 있으며, 빈혈 등으로 저산소 상태가 되면 적혈구 생성이 활발해진다.[75] 조혈모세포로부터 적혈구 등의 혈액 세포 분화 및 증식에는 40종류 이상의 인자가 관여하지만, 특히 적혈구 증식에는 에리트로포이에틴(EPO)이 크게 관여한다. 에리트로포이에틴은 분자량 약 34kDa(킬로달톤)의 당단백질이며 주로 신장(일부는 간)에서 생성된다.빈혈이나 만성 폐 질환, 공기가 희박한 고지대에서의 생활 등으로 만성적인 저산소 상태가 되면 신장에서는 에리트로포이에틴을 활발하게 생성한다. 적혈구 생성 중간 단계인 CFU-E(후기 적혈구계 전구 세포)는 에리트로포이에틴에 대한 감수성이 매우 높으며, 에리트로포이에틴을 받으면 세포 분열 능력을 높여 적혈구 수 증가로 이어진다. 이윽고 적혈구 수가 증가하여 빈혈 등의 저산소 상태가 개선되면 신장에서는 에리트로포이에틴 생성이 감소하고, 따라서 골수에서의 적혈구 생성도 안정된다. 그러나 만성 신부전 등으로 신장 기능이 저하된 환자에서는 EPO 생성이 줄어들어, 빈혈이 되어도 적혈구 생성이 항진되지 않아 빈혈이 개선되지 않는다.
4. 2. 파괴
노화된 적혈구는 혈장막에 변화를 겪어 대식세포에 의해 선택적으로 인식되고, 이후 단핵 탐식 세포계(비장, 간, 림프절)에서 탐식작용을 받는다. 이 과정을 통해 오래되고 결함이 있는 세포가 제거되고 혈액이 정화된다. 이러한 적혈구의 프로그램된 죽음을 적혈구 사멸이라고 한다.[64] 이 과정은 적혈구 생성에 의해 생성되는 속도와 동일하게 일어나 전체 순환 적혈구 수를 균형있게 유지한다.적혈구 사멸은 패혈증, 용혈성 요독 증후군, 말라리아, 겸상 적혈구 빈혈, 베타-지중해 빈혈, 포도당-6-인산 탈수소 효소 결핍증, 인산 고갈, 철 결핍 및 윌슨병을 포함한 광범위한 질병에서 증가한다. 삼투압 쇼크, 산화 스트레스, 에너지 고갈뿐만 아니라 다양한 내인성 매개체 및 외래성 물질에 의해서도 적혈구 사멸이 유발될 수 있다.[64]
결과적으로 생성된 분해 산물의 대부분은 체내에서 재순환된다. 헤모글로빈의 헴 성분은 철(Fe3+)과 빌리베르딘으로 분해된다. 빌리베르딘은 빌리루빈으로 환원되어 혈장으로 방출되어 알부민에 결합되어 간으로 재순환된다. 철은 트랜스페린이라는 운반 단백질에 의해 재순환되기 위해 혈장으로 방출된다. 거의 모든 적혈구는 용혈되기 전에 순환계에서 이 방식으로 제거된다. 용혈된 헤모글로빈은 합토글로빈이라고 하는 혈장 내 단백질에 결합되어 신장에서 배설되지 않는다.[65]
적혈구가 노화되면 혐기성 해당계의 에너지 생산이 쇠퇴하고, 그 때문에 세포막상의 Na+, K+ ATPase 단백질이나 Ca2+ ATPase 단백질이 작동하지 않게 되어 이온 균형이 무너진다. 세포질은 수분이 감소하고 적혈구의 변형 능력도 쇠퇴해진다. 그러면 노화 적혈구는 비장이나 간, 골수의 혈관 내에 널리 퍼져 있는 망내계라고 불리는 혈관 내강을 덮는 세망 세포와 부속된 세망 섬유에 의한 그물 구조의 조직에 걸리게 된다.
적혈구 세포막에 존재하는 막 관통 단백질인 밴드 3은 젊은 적혈구에서는 간격을 두고 존재한다. 밴드 3에서 적혈구 표면에 노출된 당쇄에는, 이에 대응하는 자연 항체 (항 밴드 3IgG 항체)가 존재하지만, 이 자연 항체는 밴드 3의 당쇄가 충분한 간격을 두고 있는 경우 (단독 당쇄)에는 친화성이 낮아 결합할 수 없다. 그러나, 적혈구가 노화되면 헤모글로빈의 산화물이 증가하고, 헤모글로빈 산화물은 밴드 3의 세포질 측에 결합한다. 밴드 3에 결합한 헤모글로빈의 산화물은 서로 가교 결합하여 밴드 3을 응집시킨다. 밴드 3이 응집하면 세포 표면의 당쇄도 응집하고, 응집한 당쇄는 항 밴드 3IgG 항체와의 친화성이 높아 항체가 결합할 수 있게 된다. 비장에는 항 밴드 3IgG 항체에 대한 레세프터를 가진 대식세포가 존재하고, 응집 당쇄에 항 밴드 3IgG 항체가 결합한 노화 적혈구는 대식세포에 의해 용이하게 인식, 포착된다.
또한, 젊은 적혈구에서는 지질 이중층을 구성하는 인지질인 포스파티딜세린(PS)은 이중층에서 적혈구막 내면, 세포질 쪽에 많이 존재하지만, 적혈구가 노화되어 혐기성 해당계의 에너지 생산이 쇠퇴하면 포스파티딜세린을 막 내면 쪽으로 이동시키던 효소 flippase의 작용도 쇠퇴하여 포스파티딜세린은 막 표면에 많이 나타난다.
5. 적혈구와 임상
적혈구 관련 지표(적혈구 수, 헤모글로빈 농도, 헤마토크리트 등)는 빈혈, 혈액 질환 등의 진단에 활용된다. 혈액형은 적혈구 표면 항원에 따라 결정되며, 수혈 시 혈액형 적합성이 중요하다. 철, 비타민 B12, 엽산 등은 적혈구 생성에 필수적인 영양소이다.
수혈은 다른 사람에게 헌혈을 받거나, 자신이 이전에 보관해둔 혈액을 사용한다. 전혈에서 혈장을 제거하여 만들어진 농축 적혈구는 수혈 의학에서 사용된다.[69] 일부 운동선수들은 혈액 도핑을 통해 경기력을 향상시키려 시도하는데, 이는 세계 반도핑 기구에 의해 금지되어 있다.
2008년에는 인간 배아 줄기 세포를 실험실에서 적혈구로 만드는 데 성공했다. 어려운 단계는 세포가 핵을 배출하도록 유도하는 것이었는데, 이는 골수에서 채취한 기질 세포에서 세포를 배양하여 달성되었다. 이러한 인공 적혈구가 결국 수혈에 사용될 수 있기를 바라고 있다.[67] 2022년에는 기증자 혈액에서 얻은 줄기 세포에서 배양한 혈액을 사용하는 인체 임상 시험이 진행되었다.[68]
5. 1. 적혈구 관련 기준값
건강한 한국 성인의 적혈구 수, 헤모글로빈 농도, 헤마토크리트 등의 기준값은 성별에 따라 약간의 차이가 있다.[103][76]
5. 2. 혈액형
ABO blood group system영어에서 적혈구 표면에는 250종 이상의 표면 항원이 있는데, A/B형 항원은 그 대표적인 항원이다. 적혈구 표면에 A항원이 있으면 A형, B항원이 있으면 B형, A와 B 두 항원 모두 있으면 AB형, 두 항원 모두 없으면 O형으로 한다.[49] 반대로 혈장 중에는 각 항원에 반응하는 항체가 있는데, 일반적으로 A형 혈장에는 항B항체가 있고, B형 혈장에는 항A항체가 있으며, AB형 혈장에는 항A항체와 항B항체 모두 없고, O형 혈장에는 항A항체와 항B항체가 모두 존재한다.[49] (혈장 속 항체를 조사하여 혈액형을 판정하는 것을 뒷면 검사라고도 한다.[49])표면 항원에 각각 대응하는 항체가 반응하면 적혈구는 응집하게 된다.
5. 3. 중요한 영양소
철, 비타민 B12, 엽산은 적혈구 생성에 필수적인 영양소이며, 부족 시 빈혈을 유발할 수 있다.[106][107]
성인의 체내에는 3~4g의 철이 있는데, 그 중 2/3는 헤모글로빈의 구성 재료로서 적혈구에 존재한다. 낡은 적혈구는 비장이나 간에서 파괴되지만, 이때 철은 회수되어 손실되는 양은 하루에 수 mg에 불과하다.[106] 그러나 출혈 등으로 철을 많이 잃으면 헤모글로빈 합성에 필요한 철분이 부족해지고, 철 결핍성 빈혈이 발생하여 적혈구는 작아지거나 헤모글로빈 함량이 낮아진다.
비타민 B12는 코발트를 포함하는 비타민의 총칭으로, 특정 박테리아만 생산할 수 있다. 하지만 먹이 사슬을 통해 동물은 충분한 양의 B12를 체내에 가지고 있으며, 사람도 육류, 어류, 유제품 등 동물성 식품을 섭취함으로써 B12를 섭취한다. 일반적인 상태에서는 체내에 수 년 분량의 B12를 저장하고 있다. B12는 음식에서는 단백질과 결합되어 있지만, 위산에 의해 단백질에서 유리되고, 위벽에서 분비되는 내인자(IF)와 B12가 췌장의 작용에 의해 결합함으로써 B12는 회장에서 흡수된다. 따라서 위 절제술을 받은 환자, 위축성 위염으로 인한 내인자 분비 장애(악성 빈혈) 등으로 내인자가 부족하거나, 장 흡수 장애, 또는 극단적인 채식주의자 등은 수 년 후에 B12가 부족해질 수 있다. B12가 부족하면 세포의 DNA 합성이 어려워져 적혈구 계열 조혈에서는 거대 적아구(거대한 적아구)가 생산되며, 정상적인 적혈구로 분화할 수 없으므로 무효 조혈이 되어 거대적아구성 빈혈에 빠진다.
엽산은 간, 녹황색 채소, 과일 등에 포함된 수용성 비타민으로, 비타민 B12와 함께 작용하여 적혈구의 성숙에 관여한다. 보통 엽산은 음식으로부터 효소의 작용으로 소장에서 흡수되며, 체내에 수 개월 분량이 저장되어 있지만, 어떤 이유로 부족하게 되면 B12 부족과 마찬가지로 적혈구 DNA 합성이 저해되어 정상적인 성숙을 할 수 없게 되어 거대적아구성 빈혈이 된다.
5. 4. 적혈구의 변형
적혈구는 핵이 없어 세포 중앙이 움푹 파인 도넛 형태를 띤다. 이러한 형태는 가스 교환 효율을 높이고, 삼투압 변화나 외부 충격에 대한 저항력을 높이며, 모세혈관을 쉽게 통과할 수 있게 한다.적혈구는 삼투압 변화에 따라 모양이 변형될 수 있다. 저장액 환경에서는 물을 흡수하여 팽창하고, 고장액 환경에서는 수분을 잃고 수축한다. 또한, 여러 질병에 의해서도 적혈구의 형태가 변형될 수 있는데, 이는 질병 진단의 중요한 단서가 된다. 예를 들어 겸상 적혈구 빈혈증의 경우 적혈구가 낫 모양으로 변형되어 혈관을 막고 통증, 뇌졸중 등을 유발할 수 있다.
적혈구가 파열되거나 막 이상 등으로 파괴되는 것을 용혈이라고 하며, 대량으로 용혈이 일어나면 빈혈을 유발할 뿐만 아니라, 칼륨이 방출되어 일시적으로 고칼륨혈증이 된다. 고칼륨혈증이 심해지면 서맥이나 부정맥 등 심장 이상이 나타나 최악의 경우 사망에 이를 수 있다.[115][116] 또한 헤모글로빈 분해 과정에서 생기는 빌리루빈으로 인해 고빌리루빈혈증이 되어 황달을 유발하며, 특히 출생 시 저체중아의 경우 생명의 위험을 동반할 수 있다.[117]
혈액의 점성은 혈액 속 세포 성분에 의해 결정된다. 그 중에서도 세포 성분의 대부분을 차지하는 적혈구는 혈액의 물성을 결정하는 중요한 인자이다. 유체의 물성을 정량화하는 학문 분야를 레올로지라고 부르며, 혈류와 관련된 것은 특히 '''혈액 레올로지'''라고 칭한다.
적혈구는 혈관 속을 혈장이라는 유체에 실려 흐르며, 그 모양과 유연성으로 폐나 조직 내 모세 혈관을 통과하여 순환한다. 혈장의 삼투압 저하나 적혈구 세포막 변질, 약물, 질환 등으로 적혈구 모양이 콩 모양이나 구형으로 변형되면 적혈구의 변형 능력이 저하되어 모세 혈관을 통과하기 어려워지거나, 혈액 점도가 상승하여 혈압 상승이나 혈전이 생기기 쉬워진다. 반대로 삼투압 상승이나 약물, 질환 등으로 모양이 편평하거나 기형 모양으로 변해도 적혈구 변형 능력은 저하된다.

적혈구 표면은 시알산으로 덮여 음전하를 띠고 있어, 적혈구끼리 반발하므로 보통 부착되지 않는다. 그러나 혈관 내 저전단 응력 영역에서는 고분자 화합물의 영향으로 혈액 점도가 상승하여, 적혈구가 동전을 쌓아 놓은 듯한 상태(연전 형성)가 될 수 있다.
전단 응력은 유체 역학・스토크스 관계식으로 설명되는 힘으로, 원통관 내 유체 속도는 관벽 근방에서 느리고, 중앙에서 빠르며, 유속 변화율은 관벽에 가까울수록 크다. 이때 생기는 속도 차이에 의해 생기는 힘이 전단 응력이다. 흐름이 느린 혈관이나 혈관 중앙 부근에서는 적혈구에 걸리는 전단 응력이 작아지고, 혈관벽 부근이나 혈류가 빠른 혈관 내에서는 전단 응력이 커진다. 전단 응력이 작으면 적혈구는 집합하기 쉽지만, 집합한 적혈구도 전단 응력이 커지면 분리된다.
전단 응력이 작아지면 적혈구가 집합하여 연전 형성을 하는 기전은 정확히 알려져 있지 않지만, 혈장 중의 트리글리세리드(중성 지방), 피브리노겐, 면역 글로불린(특히 IgM), 고분자 단백질이 많으면 적혈구는 집합하기 쉽다. 다발성 골수종, 원발성 거대 글로불린 혈증 등에서 만들어지는 병적인 고분자 단백질은 특히 적혈구를 집합시키는 것으로 알려져 있다. 또한, 적혈구 변형 능력이 저하되어도 집합하기 쉽다. 혈장 중 고분자가 많고 적혈구 집합 정도가 크면, 혈액 점도가 증가하고 혈액 흐름이 정체되어 전단 응력이 작아지며, 그러면 더욱 적혈구가 집합하여 혈액 점도가 상승하는 악순환에 빠지기도 한다.
5. 4. 1. 삼투압에 의한 변형
삼투압이 낮은 저장액 환경에 적혈구를 넣으면, 적혈구는 물을 흡수하여 팽창한다. 적혈구막이 팽창 압력을 견디지 못하면 결국 파열되는데, 이를 용혈이라고 한다. 반대로 짙은 소금물과 같은 고장액 환경에서는 적혈구가 수분을 잃고 수축한다.[108][109][110] 사람의 생리 식염수(등장액)는 0.9% 농도인데, 정상적인 적혈구는 0.5% 식염수 농도에서 용혈이 일어날 수 있다. 0.48-0.5% 농도에서 용혈이 시작되고, 0.4-0.42%에서 50%가 용혈되며, 0.33-0.35%에서 전부 용혈된다.[108][109][110]
5. 4. 2. 질환에 의한 변형
다양한 질환에서 적혈구의 형태 이상(변형적혈구증)이 나타날 수 있으며, 이는 질병 진단의 단서가 된다.
- 빈혈은 적혈구 수의 감소 또는 적혈구나 헤모글로빈의 이상으로 인해 혈액의 산소 수송 능력이 낮은 질환이다.
- 철 결핍성 빈혈은 가장 흔한 빈혈로, 철분 섭취 또는 흡수가 불충분하여 철분을 포함하는 헤모글로빈이 생성되지 못할 때 발생한다.
- 악성 빈혈은 신체가 음식으로부터 비타민 B12를 흡수하는 데 필요한 내인자가 부족한 자가면역 질환이다. 비타민 B12는 적혈구와 헤모글로빈 생산에 필요하다.
- 겸상 적혈구 빈혈증은 비정상적인 헤모글로빈 분자를 생성하는 유전 질환이다. 조직에서 산소를 방출하면 불용성이 되어 적혈구의 모양이 변형된다. 이러한 낫 모양의 적혈구는 변형성이 감소하고 점탄성이 있어 경직되어 혈관 막힘, 통증, 뇌졸중 및 기타 조직 손상을 유발할 수 있다.
- 지중해 빈혈은 비정상적인 헤모글로빈 소단위의 비율을 생성하는 유전 질환이다.
- 유전성 구상 적혈구증 증후군은 적혈구의 세포막 결함으로 특징지어지는 유전 질환군으로, 세포가 도넛 모양의 유연한 형태가 아닌 작고 구형이며 깨지기 쉬운 형태를 갖게 한다. 이러한 비정상적인 적혈구는 비장에 의해 파괴된다.[66]
- 무형성 빈혈은 골수가 혈액 세포를 생성할 수 없는 경우에 발생한다.
- 적혈구 무형성증은 골수가 적혈구만 생성할 수 없는 경우에 발생한다.
- 용혈은 적혈구의 과도한 파괴를 나타내는 일반적인 용어이다. 여러 가지 원인이 있을 수 있으며, 용혈성 빈혈을 유발할 수 있다.
- 말라리아 기생충은 적혈구에서 생애 주기의 일부를 보내며 헤모글로빈을 먹고 파괴하여 열을 유발한다. 겸상 적혈구 빈혈증과 지중해 빈혈은 말라리아 발생 지역에서 더 흔한데, 이러한 돌연변이가 기생충에 대한 어느 정도의 방어 기능을 제공하기 때문이다.
- 적혈구 증가증은 적혈구가 과도하게 많은 질환이다. 혈액의 점도 증가는 여러 가지 증상을 유발할 수 있다.
- 진성 적혈구 증가증에서는 적혈구 수의 증가는 골수의 이상으로 인해 발생한다.
- 미세혈관병증을 포함한 여러 미세혈관병증 질환은 분산성 혈관 내 응고 및 혈전성 미세혈관병증을 포함하여 특징적인 (진단적) 분열 적혈구라고 불리는 적혈구 파편을 나타낸다. 이러한 병리는 피브린 가닥을 생성하여 적혈구가 혈전을 통과하려 할 때 적혈구를 절단한다.

성게 적혈구나 금평당 모양의 가시 적혈구는 해당계 효소 이상증, 요독증, 혈청 β-리포단백 결핍 혈증, 간 기능 장애, 변비나 설사 등 장의 이상 시 등에 나타나며[111], 눈물 방울 모양의 적혈구는 골수 섬유증이나 암의 골 전이에서 나타난다[112]。각종 용혈성 질환 등에서는 산산조각이 나 파편이 된 파쇄 적혈구가 관찰되며[113], 어떤 종류의 유전성 빈혈에서는 낫 적혈구가 관찰된다[114]。
5. 5. 적혈구에 영향이 나타나는 주요 질환
적혈구와 관련된 혈액 질환은 다음과 같다.
- 빈혈: 적혈구 수 감소 또는 적혈구나 헤모글로빈 이상으로 혈액의 산소 수송 능력이 저하되는 질환이다.
- 철 결핍성 빈혈: 가장 흔한 빈혈로, 철분 섭취/흡수 불충분으로 철분을 포함하는 헤모글로빈 생성이 어려울 때 발생한다.
- 악성 빈혈: 비타민 B12 흡수에 필요한 내인자 부족 자가면역 질환이다. 비타민 B12는 적혈구와 헤모글로빈 생산에 필요하다.
- 겸상 적혈구 빈혈증: 비정상 헤모글로빈 분자 생성 유전 질환이다. 조직에서 산소 방출 시 불용성이 되어 적혈구 모양이 변형된다. 낫 모양 적혈구는 변형성 감소, 점탄성으로 경직되어 혈관 막힘, 통증, 뇌졸중, 조직 손상 유발한다.
- 지중해 빈혈: 비정상 헤모글로빈 소단위 비율 생성 유전 질환이다.
- 유전성 구상 적혈구증: 적혈구 세포막 결함 유전 질환군으로, 세포가 작고 구형이며 깨지기 쉬운 형태가 된다. 비정상 적혈구는 비장에서 파괴된다.[66]
- 무형성 빈혈: 골수가 혈액 세포 생성 불가 시 발생한다.
- 적혈구 무형성증: 골수가 적혈구만 생성 불가 시 발생한다.
- 용혈: 적혈구 과다 파괴를 나타내는 용어다. 다양한 원인으로 발생하며, 용혈성 빈혈 유발한다.
- 말라리아 기생충은 적혈구에서 생애 주기 일부를 보내며 헤모글로빈을 먹고 파괴해 열 유발한다. 겸상 적혈구 빈혈증과 지중해 빈혈은 말라리아 발생 지역에서 흔한데, 돌연변이가 기생충 방어 기능 제공하기 때문이다.
- 적혈구 증가증: 적혈구 과다 질환이다. 혈액 점도 증가로 여러 증상 유발한다.
- 진성 적혈구 증가증: 골수 이상으로 적혈구 수 증가한다.
- 미세혈관병증: 분산성 혈관 내 응고, 혈전성 미세혈관병증 포함, 분열 적혈구라는 적혈구 파편을 나타낸다. 피브린 가닥 생성으로 적혈구가 혈전 통과 시 절단된다.
적혈구 영향 질환은 다양하지만, 대표적 혈액 질환은 다음과 같다.
- 범혈구 감소성 질환: 재생 불량성 빈혈, 골수 이형성 증후군, 급성 백혈병 등
- 적혈구/헤모글로빈 감소 질환: 적아구 무형성증, 신성 빈혈, 거대 적아구성 빈혈, 철 결핍성 빈혈, 무 트랜스페린 혈증, 철아구성 빈혈, 자가 면역 용혈성 빈혈[118], 겸상 적혈구 빈혈[119], 지중해 빈혈, 발작성 야간 혈색소뇨증, 비장 기능 항진증 등
- 적혈구 수 증가 질환 (다혈증[120]): 진성 다혈증 등
- 색소 대사 이상: 포르피린증, 메트헤모글로빈혈증 등
6. 적혈구와 레올로지
혈액의 점조성은 혈액 속 세포 성분에 의해 결정된다. 그 중에서도 세포 성분의 대부분을 차지하는 '''적혈구'''는 혈액의 물성을 결정하는 중요한 인자이다. 일반적으로 유체의 물성을 정량화하는 학문 분야를 레올로지라고 부르며, 혈류와 관련된 것은 특히 '''혈액 레올로지'''라고 칭한다.[74]
적혈구는 생체 내에서 혈관이라는 관 속을 혈장이라는 유체에 실려 흐르며, 그 모양과 유연성으로 폐나 조직 내 모세 혈관을 통과하여 순환한다. 혈장의 삼투압 저하나 적혈구 세포막의 변질, 약물의 영향, 각종 질환 등으로 적혈구 모양이 콩 모양이나 구형으로 변형되면 적혈구의 변형 능력이 저하되어 모세 혈관을 통과하기 어려워진다. 또한 적혈구가 흐르기 어려워져 혈액 점도가 상승하여 혈압이 상승하거나 혈전이 생기기 쉬워진다.[75][76][77] 반대로 삼투압 상승이나 약물, 질환 등으로 모양이 편평하거나 기형 모양으로 변해도 적혈구 변형 능력은 저하된다.[78][79]
적혈구 표면은 시알산으로 덮여 음전하를 띠고 있어, 적혈구끼리는 음전하로 반발하므로 보통 부착되지 않는다.[80] 그러나 혈관 내 저전단 응력 영역에서는 고분자 화합물의 영향으로 혈액 점도가 상승하여 적혈구가 동전을 쌓아 놓은 듯한 상태(연전 형성, rouleau formation)가 될 수 있다.[81][82][83]
전단 응력은 유체 역학・스토크스의 관계식으로 설명되는 힘으로, 원통관 내 유체는 관벽 근방에서 느리고, 중앙에서 빠르며, 유속 변화율은 관벽에 가까울수록 크다. 이때 속도 차이로 생기는 힘이 전단 응력이다.[84] 따라서 흐름이 느린 혈관이나 혈관 중앙 부근에서는 적혈구에 걸리는 전단 응력이 작아지고, 혈관벽 부근이나 혈류가 빠른 혈관 내에서는 커진다. 전단 응력이 작으면 적혈구는 집합하기 쉽지만, 일단 집합한 적혈구도 전단 응력이 커지면 분리된다.[85][86]
전단 응력이 작아지면 적혈구가 집합하여 연전 형성을 하는 기전은 정확히 알려져 있지 않지만, 혈장 중의 트리글리세리드 (중성 지방), 피브리노겐, 면역 글로불린 (특히 IgM), 그 외 고분자 단백질이 많으면 적혈구는 집합하기 쉽다. 다발성 골수종・원발성 거대 글로불린 혈증 등에서 만들어지는 병적인 고분자 단백질은 특히 적혈구를 집합시키는 것으로 알려져 있다. 또한, 적혈구의 변형 능력이 저하되어 있어도 집합하기 쉽다.[87] 혈장 중 고분자가 많고 적혈구 집합 정도가 크면, 혈액 점도가 증가하고 혈류가 정체되어 전단 응력이 작아지기도 하며, 그러면 더욱 적혈구가 집합하여 혈액 점도가 상승하는 악순환에 빠지기도 한다.[88][89]
7. 기타 척추동물 및 무척추동물의 적혈구
척추동물은 극히 일부 예외(노토테니아아목의 남극빙어과)를 제외하고는 적혈구를 가지고 있다. 포유류의 성숙한 적혈구는 사람의 적혈구와 유사하며, 핵이 없고 붉은색을 띠며 헤모글로빈이 풍부한 둥근 원반 모양이다. 낙타과는 예외적으로 타원형 원반 모양이지만, 이 역시 핵은 없다.[123]
사람과 다른 포유류의 적혈구는 구조[124]와 헤모글로빈 농도는 거의 같고, 크기와 수명에서 차이가 난다.[125] 생쥐의 적혈구는 사람의 절반 정도 크기지만, 혈액 1µL당 적혈구 수는 약 2배이다. 대부분의 포유류에서 적혈구는 사람보다 작지만, 적혈구 수가 많아 적혈구 용적률은 35-50% 전후로 큰 차이가 없다. 코끼리의 적혈구(직경 9-10µm[125])는 사람(7-8µm)보다 크지만, 소나 말의 적혈구는 생쥐와 크기가 비슷하고 수는 더 많다. 염소의 적혈구는 사람의 1/5 정도 크기이다. 포유류의 적혈구 수명은 생쥐 20-30일, 고양이 68일, 염소 125일, 말 140-150일 등으로 다양하며, 대체로 몸집이 클수록 수명이 긴 경향이 있다.[126]
척추동물의 적혈구는 척추동물의 등장과 함께 나타나 진화했을 가능성이 있다. 가장 진화한 포유류는 산소 운반에 불필요한 핵을 제거하고 산소 수송에 특화하는 등 더욱 진화했을 가능성이 있다.[135] 산소 운반 관점에서 보면 포유류의 적혈구가 가장 진화했으며, 비교적 하등한 동물일수록 산소 운반에 비효율적인 경우가 많아 진화가 늦어진 것으로 추정되지만, 그 이상의 적혈구 진화에 대해서는 확실히 밝혀진 바가 없다.
7. 1. 척추동물
척추동물은 극히 일부 예외(노토테니아아목의 남극빙어과)를 제외하고는 적혈구를 가지고 있다.[25]
포유류 이외의 척추 동물(조류, 파충류, 어류, 양서류)의 적혈구는 타원형으로 핵을 가지고 있지만, 세포질은 역시 헤모글로빈으로 가득 차 있으며 붉은색을 띤다.[127]
조류의 적혈구는 사람의 적혈구보다 약간 크고[128], 세포와 핵 모두 타원형이지만 그 모양은 매끄럽다. 조류의 적혈구 헤모글로빈 농도는 짙고, 적혈구 용적률도 35-55%로 형태와 핵의 유무 외에는 포유류와 큰 차이가 없다.[129] 조류의 헤모글로빈은 포유류의 것과 글로빈의 구조가 달라, 산소 해리 곡선이 포유류보다 오른쪽으로 이동하여 근육 등 조직 내에서 산소를 분리하기 쉽다. 조류의 적혈구 수명은 1개월 전후로 짧다.[129]
어류의 적혈구는 사람의 것보다 수는 적고 약간 크다. 양서류의 적혈구는 매우 크고 수는 적다. 파충류는 양서류와 조류의 사이에 있다.[131] 파충류, 양서류, 어류의 적혈구도 세포질에는 헤모글로빈이 있어 붉지만, 포유류나 조류에 비해 양서류와 어류의 적혈구 세포질의 헤모글로빈 농도는 옅다. MCHC는 잉어가 20.5g/dL, 개구리가 26-28g/dL 정도이다.[25]
조혈 장소는 포유류와 조류에서는 주로 골수, 어류에서는 주로 신장, 양서류에서는 비장이다. 파충류는 종에 따라 다르다.[25]
7. 2. 무척추동물
대부분의 무척추동물은 적혈구를 가지고 있지 않지만, 일부 해양 무척추동물은 예외적으로 적혈구를 가진다.[132] 이러한 무척추동물에는 피조개, 가리비, 솔갯벌벌레, 별벌레 등이 있으며, 육상 무척추동물 중에는 적혈구를 가진 것이 없다.[121][133]무척추동물의 적혈구는 척추동물의 적혈구와 여러 면에서 다르다.[133] 주요 특징은 다음과 같다.
- 핵 외에 세포질에 과립이 존재한다.
- 종에 따라 다양한 특징을 보인다.
- 해삼의 적혈구: 여러 개의 돌기가 있으며, 핵 외에 눈에 띄게 큰 몇 개의 과립이 있다.
- 유령벌레나 피조개의 적혈구: 과립의 수가 수십 개에 이른다.
- 달팽이조개의 적혈구: 여러 개의 핵이 있다.
- 성구동물(별벌레)의 적혈구: 몇 개의 육면체 결정이 존재한다.
별벌레류의 적혈구에는 헤메리트린이, 그 외에는 헤모글로빈[134]이 존재한다.[133]
대부분의 무척추동물은 적혈구가 없어 헤모글로빈, 에리스로크루오린, 헤메리트린, 헤모시아닌 등의 혈색소가 혈장에 직접 녹아 순환하며 산소를 공급한다. 연체동물이나 절지동물 등은 헤모시아닌을 통해 산소를 운반하여 혈액이 푸른빛을 띤다.[131]
무척추동물의 적혈구는 종에 따라 다양하며, 척추동물의 적혈구와는 다른 점이 많다. 무척추동물의 적혈구는 백혈구 기능을 겸하는 경우가 많고, 혈색소는 과립 내에 존재한다. 적혈구를 가진 무척추동물은 다양한 문에 흩어져 존재하며, 같은 이매패류 중에서도 피조개는 적혈구를 가지지만 다른 대부분의 이매패류는 적혈구를 가지지 않는다.[135] 또한, 진화상 척추동물에 가까운 멍게류나 극피동물에는 적혈구를 가진 것이 거의 없다.[136][135]
이러한 점들로 미루어 척추동물의 적혈구와 무척추동물의 적혈구 사이에는 진화적 연관성이 낮을 가능성이 있다고 여겨진다.[135]
8. 적혈구의 발견과 연구사
현미경의 발명으로 적혈구가 발견되었다. 1658년 네덜란드의 얀 스암메르담이 단식 현미경으로 개구리의 적혈구를 처음 관찰했고, 1660년에는 마르첼로 말피기가 모세 혈관의 혈구 순환을 관찰했다.[138] 1674년 안톤 판 레벤후크는 직접 제작한 고성능 단식 현미경[140]으로 사람의 적혈구를 관찰하여 크기가 8.5µm의 원반형임을 보고했다.[141][142] 또한 레벤후크는 포유류의 적혈구는 원반형이지만, 포유류 이외의 동물의 적혈구는 난형이라는 것도 발견했다.[143]
1747년 빈첸초 멘기니는 적혈구가 철을 포함한다는 것을 자석을 사용하여 발견했고, 1774년 조지프 프리스틀리는 적혈구가 산소에 반응하는 것을 관찰했으며, 1780년 앙투안 라부아지에와 피에르시몽 라플라스는 적혈구가 산소를 운반한다는 것을 밝혀냈다.
1865년 펠릭스 호페-자일러는 결정화에 성공한 헤모글로빈을 연구하였다. ABO식 혈액형은 1900년 카를 란트슈타이너에 의해 발견되었는데, 처음에는 A, B, C형으로 분류했다가[144] 1901년 발표 논문에서는 A, B, O형으로, 1902년에는 공동 연구자들과 현재의 A, B, O, AB형으로 재분류했다. 1904년 덴마크의 크리스티안 보어는 적혈구의 산소 결합과 유리 및 이산화탄소의 관계를 조사하여 보어 효과(이산화탄소의 존재에 의해 적혈구의 헤모글로빈과 산소의 결합하기 쉬움이 변화하는 현상)를 발견했다.
1933년 로턴 등은 적혈구 내 탄산 탈수 효소를 발견했고, 1961년 맥스 페루츠는 헤모글로빈의 입체 구조를 분석했다.
1967년 알프레드 차누탄은 적혈구에 포함된 2,3-비스포스포글리세르산(DPG)의 양의 변화에 의해서도 산소 해리 곡선이 이동하는 것을 발견했다.
1935년 휴 데이비드슨 등은 세포막의 인지질 이중층 구조를 제창했으며, 1966년 시모어 조너선 싱어와 가스 니콜슨에 의해 유동 모자이크 모델의 기본 모델이 제안되었다. 1970년대 이후 전자 현미경의 발달로 적혈구막의 미세 구조가 밝혀지고 있다.[145]
9. 인공 적혈구

큰 부상 등으로 대량 출혈이 발생하면 생명의 위험이 있어, 긴급하게 수혈을 해야 하지만, 혈액은 언제 어디서나 충분한 양을 확보할 수 있다고는 할 수 없다. 따라서 응급용 인공 적혈구 개발의 필요성은 예전부터 지적되어 왔다. 오래전에는 유럽과 미국에서 헤모글로빈을 가공한 것을 혈액에 주입할 수 없을까 연구가 진행되었지만, 노출된 헤모글로빈의 독성[146]을 제거하는 것은 어려웠으며, 1개의 제품이 남아프리카 공화국에서 승인되었지만 안전성과 유용성에 의문이 제기되어 주요 국가에서는 실용화의 전망이 보이지 않았다. 따라서 현재는 헤모글로빈을 내포한 소포체의 개발이 진행되고 있다[147][148][149]。
인지질 분자는 자발적으로 이중층 또는 리포솜, 미셀의 형태로 정렬되므로, 리포솜 내부에 헤모글로빈을 봉입하면 산소 운반 능력을 갖게 할 수 있으며, 헤모글로빈의 독성도 가둘 수 있다[148][149]。
2010년 현재 적혈구의 수십 분의 1 크기(직경 수백 나노미터 정도)의 리포솜 내에 (수혈에 사용되지 않은 폐기 혈액에서 추출한) 헤모글로빈을 봉입한 헤모글로빈 소포체가 동물 실험에서 단기적으로 효과를 인정받을 수 있는 단계까지 개발이 진행되고 있다[148][150]。
참조
[1]
서적
Robbins Basic Pathology
Saunders
[2]
웹사이트
Blood Cells
http://www.biosbcc.n[...]
[3]
논문
Red blood cell proteomics update: is there more to discover?
2017-03
[4]
문서
Biological Membranes Architecture and Function.
Elsevier
[5]
서적
Monitoring of Respiration and Circulation
https://books.google[...]
CRC Press
[6]
논문
The human cell count and size distribution
2023-09
[7]
논문
Revised Estimates for the Number of Human and Bacteria Cells in the Body
2016-08
[8]
서적
Blood Groups and Red Cell Antigens
https://www.ncbi.nlm[...]
National Center for Biotechnology Information (US)
2005
[9]
논문
Cell-based drug delivery
2008-01
[10]
논문
On the size and shape of red corpuscles of the blood of vertebrates, with drawings of them to a uniform scale, and extended and revised tables of measurements
[11]
논문
Vertebrates without erythrocytes and blood pigment
1954-05
[12]
서적
The Making of the Fittest
W.W. Norton
[13]
서적
Human Biology and Health
https://archive.org/[...]
Prentice Hall
[14]
웹사이트
Why Are Veins Blue?
http://scienceblogs.[...]
2008-04-17
[15]
논문
Red Blood Cells: Centerpiece in the Evolution of the Vertebrate Circulatory System
[16]
웹사이트
BBC Bitesize – GCSE Biology – Blood – Revision 2
https://www.bbc.co.u[...]
2017-11-26
[17]
논문
The bigger the C-value, the larger the cell: genome size and red blood cell size in vertebrates
[18]
논문
The human red blood cell proteome and interactome
2007-12
[19]
서적
Clinical Hematology: Theory and Procedures
https://books.google[...]
Lippincott Williams & Wilkins
[20]
논문
Statistical and graphical evaluation of erythrocyte volume distributions
1987-04
[21]
논문
An estimation of the number of cells in the human body
2013-11-01
[22]
서적
Hematology in Clinical Practice: A Guide to Diagnosis and Management
McGraw-Hill Professional
[23]
웹사이트
Iron Metabolism
http://www.med-ed.vi[...]
University of Virginia Pathology
2007-09-22
[24]
웹사이트
Transferrin and Iron Transport Physiology
https://sickle.bwh.h[...]
2023-03-26
[25]
논문
The cytomorphic system of anucleate non-mammalian erythrocytes
[26]
논문
Non-nucleated erythrocytes in a teleostean fish Maurolicus mülleri (Gmelin)
[27]
논문
Genome size, cell size, and the evolution of enucleated erythrocytes in attenuate salamanders
2008
[28]
논문
Blood groups and diseases associated with inherited abnormalities of the red blood cell membrane
2000-10
[29]
논문
Red cell membrane: past, present, and future
2008-11
[30]
논문
Factors determining detergent resistance of erythrocyte membranes
2008-06
[31]
논문
Characterization of membrane proteins by polychromatic silver staining
[32]
논문
Red blood cell membrane defects
2003-03
[33]
논문
Clinical and Functional Relevance of the Monocarboxylate Transporter Family in Disease Pathophysiology and Drug Therapy
2018-07
[34]
논문
The structure and function of the molecules that carry human red blood cell and platelet antigens
2004-07
[35]
문서
Modifications in erythrocyte membrane zeta potential by Plasmodium falciparum infection
Exp Parasitol
[36]
서적
Textbook of Medical Physiology
W. B. Saunders
1976
[37]
서적
Respiratory Physiology – the essentials
Williams & Wilkens
1974
[38]
서적
Textbook of Medical Physiology
W. B. Saunders
1976
[39]
서적
Textbook of Medical Physiology
W. B. Saunders
1976
[40]
서적
Physiology of Respiration
Year Book Medical Publishers
1965
[41]
서적
Documenta Geigy Scientific Tables
Ciba-Geigy Limited
1970
[42]
서적
Textbook of Medical Physiology
W. B. Saunders
1976
[43]
서적
Physiology of Respiration
Year Book Medical Publishers
1965
[44]
서적
Textbook of Medical Physiology
W. B. Saunders
1976
[45]
서적
Physiology of Respiration
Year Book Medical Publishers
1965
[46]
서적
Respiratory Physiology – the essentials
Williams & Wilkens
1974
[47]
서적
Best & Taylor's Physiological basis of medical practice.
Williams & Wilkins
1973
[48]
논문
Dynamics of shear-induced ATP release from red blood cells
2008-10
[49]
논문
Hypoxic vasodilation by red blood cells: evidence for an s-nitrosothiol-based signal
2008-08
[50]
논문
Red blood cells express a functional endothelial nitric oxide synthase
2006-04
[51]
논문
Mechanical stimulation of nitric oxide synthesizing mechanisms in erythrocytes
[52]
논문
Hydrogen sulfide mediates the vasoactivity of garlic
2007-11
[53]
뉴스
Red blood cells do more than just carry oxygen; New findings by NUS team show they aggressively attack bacteria too
http://www.dbs.nus.e[...]
2013-03-26
[54]
논문
Respiratory protein-generated reactive oxygen species as an antimicrobial strategy
2007-10
[55]
서적
Biochemistry
W.H. Freeman
2012
[56]
논문
Regulation of glycolysis in the erythrocyte: role of the lactate/pyruvate and NAD/NADH ratios
1991-08
[57]
논문
Gene expression analysis of human red blood cells
[58]
논문
Single Cell RNA-Seq Analysis of Human Red Cells
[59]
서적
Molecular biology of the cell
Garland
2023-11-30
[60]
뉴스
Scientists Explore Ways to Lure Viruses to Their Death
https://www.nytimes.[...]
2013-03-26
[61]
논문
Human parvovirus B19
2002-07
[62]
논문
Fetal erythrocyte lifespan
1979-06
[63]
논문
Red blood cell population dynamics
2015-03
[64]
논문
Physiology and pathophysiology of eryptosis
2012-10
[65]
논문
Erythrocyte programmed cell death
2008-10
[66]
논문
Disorders of red cell membrane
2008-05
[67]
웹사이트
First red blood cells grown in the lab
https://www.newscien[...]
2023-03-26
[68]
웹사이트
Researchers are trialing lab-grown blood transfusions: What to know
https://www.medicaln[...]
MedicalNewsToday
2022-11-17
[69]
웹사이트
Circular of Information for Blood and Blood Products
http://www.aabb.org/[...]
American Association of Blood Banks, American Red Cross, America's Blood Centers
2010-11-01
[70]
서적
Blood Groups and Red Cell Antigens
National Academies Press (US)
1996-02-08
[71]
간행물
Swammerdam, Jan (1637–1680)
McGraw Hill AccessScience
2007
[72]
웹사이트
Max F. Perutz – Biographical
https://www.nobelpri[...]
2018-10-23
[73]
뉴스
'Iceman' mummy holds world's oldest blood cells
https://web.archive.[...]
2012-05-02
[74]
문서
血液の55%程度を占める血漿はやや黄色を帯びてはいるがほとんど透明であり、血液の色は主に45%程度を占める赤血球の色である。
[75]
서적
内科学
[76]
서적
血液学
[77]
문서
基準値の設定は研究機関・検査施設ごとに違う
[78]
서적
内科学
[79]
서적
幹細胞の分化誘導と応用
[80]
서적
内科学
[81]
문서
ヒトでは安静時に心臓は4-8L/分の血液を拍出し-出典、寺野『シンプル内科学』p.110-人の体内の血液はおよそ3.5-5Lなので血液は平均しておよそ1分弱で体内を巡ることになる。1日で2000回前後、120日では20-30万回程度になる。
[82]
문서
造血幹細胞を源とし、完成形を赤血球とすると、造血幹細胞から赤血球への分化・成熟の途中段階である。
[83]
문서
短距離走などの激しい運動をしている筋肉では組織内の酸素分圧は一気に 5mmHg 程度に下がる。この酸素分圧レベルになると筋肉組織内のミオグロビンが蓄えていた酸素を放出して一時的に賄うがミオグロビンは酸素に対する親和性がヘモグロビンより高いので通常の組織内の酸素分圧レベル 20mmHg 以上では酸素を供給することはできない。
[84]
서적
ハーパー生化学
[85]
서적
分子細胞生物学
[86]
문서
リン脂質二重層の厚さに関しては文献によって異なり、{{harv|『三輪血液病学』|p=129}}では 7.5ナノメートル|nm、H. Lodish, 他 著『分子細胞生物学』p381では 3.5-5.6nm、日本検査血液学会編『スタンダード検査血液学』では 8nm、浅島『図解分子細胞生物学』では 3-5nm など様々である。これは膜に存在するタンパク質の厚さも影響していると思われる。タンパク質を考慮しない脂質二重層のみの厚さは3-6nmの範囲と思われる。ここでは『分子細胞生物学』の数字を挙げた。
[87]
서적
赤血球膜研究史
[88]
서적
クーパー細胞生物学
[89]
서적
図解分子細胞生物学
[90]
서적
分子細胞生物学
[91]
서적
図解分子細胞生物学
[92]
서적
赤血球膜研究史
[93]
서적
図解分子細胞生物学
[94]
문서
スペクトリンの結合・連結には4.1タンパク (Band4.1) やアクチン (Actin) が関わり、結合部には他に4.2タンパク・4.9タンパク・アデューシンなどのタンパク質が見られるが、4.2タンパク・4.9タンパク・アデューシンの役割は不明である-出典、日本生化学会『新生化学実験講座6』(上)p405-408
[95]
서적
分子細胞生物学
[96]
서적
スタンダード検査血液学
[97]
문서
血液細胞はヘモグロビン以外の物質は無色半透明であり、そのままでは顕微鏡を用いても細胞の様子を見ることはできない。そのために細胞に染色をして特徴を見やすくする。染色の方法は目的によって様々であるが、一般的なライトギムザあるいはメイギムザ染色は二重染色であり、塩基性色素が DNA や RNA, 細胞質のアズール顆粒などを青色に染め、エオジン色素がヘモグロビンや好酸性顆粒を赤橙色に染めるが、若い赤芽球では細胞質が塩基性色素で特に青色が強く染まり、ヘモグロビンが作られ始めた多染性赤芽球では細胞質の青が弱くなってヘモグロビンを染める赤が加わって「多染」となり、さらにヘモグロビンが増えた正染性赤芽球では赤が強くなり細胞質の青色は分からなくなる。
[98]
서적
血液細胞アトラス
[99]
문서
成人のヘモグロビン (HbA) は2本のポリペプチドα鎖グロビンと2本のポリペプチドβ鎖グロビンからなる四量体 (α{{sub|2}}β{{sub|2}}) であるが、人のグロビンには α鎖と β鎖の他に、γ鎖、δ鎖、ε鎖、ζ鎖がある。α鎖とζ鎖の遺伝子は16番染色体上に並び、ζ鎖は胚期初期にのみ発現する。胎生期の大部分と出生後は α鎖のみが発現する。11番染色体上ではグロビン遺伝子は ε鎖、γ鎖、δ鎖およびβ鎖の順に並びスイッチングが起きて発現するグロビンが変化する。胚性ヘモグロビンは α{{sub|2}}ε{{sub|2}}, ε{{sub|4}}, ζ{{sub|2}}ε{{sub|2}}, ζ{{sub|2}}γ{{sub|2}} などであるが、グロビン遺伝子のスイッチングで ε鎖、ζ鎖はまもなく作られなくなり、次に作られる胎児型ヘモグロビンHbF は α{{sub|2}}γ{{sub|2}} であるが、出生に近づくとγ鎖も次第に減っていき、出生後にはヘモグロビンの大半を占める α{{sub|2}}β{{sub|2}} の HbA と少数の α{{sub|2}}δ{{sub|2}} からなる HbA2 に置き換わっていく。
[100]
논문
赤ちゃんは胎外の高酸素環境にどのように適応しているの?
東京医学社
2001
[101]
논문
HbF(ヘモグロビンF)
http://mol.medicalon[...]
診断と治療社
1976
[102]
논문
ヘモグロビンの酸素平衡特性に秘められた意義-成人と胎児を比べて
日本生理学会
1997
[103]
문서
研究機関・検査施設ごとに多少の基準値設定の差はある。
[104]
서적
スタンダード検査血液学
[105]
문서
赤血球の30日から120日の寿命の間中に赤血球内のヘモグロビンはグルコース(血糖)と結びついていくが、その反応は緩徐的(ゆっくり)で非酵素反応のため、一時的なグルコース濃度の変化やグルコース以外の要素の影響を受けにくく、Hb 中の HbA1c の割合は過去1 - 3か月のグルコース濃度(血糖値)の平均に相関することが分かっている。血中にはグルコースは必ずあるため健康人でもヘモグロビンの4.3%-5.8%は HbA1c であるが、血中の血糖値が長期間の平均で高いほど HbA1c も高値になり、糖尿病では6.5%以上の高値になる
[106]
서적
内科学
[107]
논문
鉄欠乏性貧血の検査と診断
https://doi.org/10.2[...]
2010
[108]
서적
ギャノング生理学23版
[109]
서적
ギャノング生理学23版
[110]
서적
人体機能生理学
[111]
논문
赤血球自動識別アルゴリズムとその評価
https://doi.org/10.1[...]
1990
[112]
논문
真性赤血球増加症
https://doi.org/10.2[...]
2007
[113]
논문
赤血球ピルビン酸キナーゼ欠乏および骨髄細胞染色体異常を伴った急性骨髄性白血病の1例
https://doi.org/10.1[...]
1979
[114]
논문
赤血球変形能の測定と環境因子による変化
https://doi.org/10.1[...]
1992
[115]
문서
[116]
웹사이트
メルクマニュアル・カリウム
http://merckmanual.j[...]
2011-05-08
[117]
웹사이트
メルクマニュアル・高ビリルビン血症
https://www.msdmanua[...]
2011-05-08
[118]
논문
温式自己免疫性溶血性貧血患者における赤血球結合IgG量の測定とその意義
https://doi.org/10.3[...]
1992
[119]
문서
[120]
문서
[121]
서적
光学顕微鏡でみる比較動物学
[122]
서적
最新・獣医血液学
[123]
문서
[124]
서적
赤血球の生化学
[125]
서적
最新・獣医血液学
[126]
서적
最新・獣医血液学
[127]
서적
鳥類とエキゾチックアニマルの血液学、細胞診
[128]
서적
鳥類とエキゾチックアニマルの血液学、細胞診
[129]
서적
鳥類とエキゾチックアニマルの血液学、細胞診
[130]
서적
光学顕微鏡でみる比較動物学
[131]
서적
鳥類とエキゾチックアニマルの血液学、細胞診
[132]
서적
生物学実験法講座 第8巻 A
[133]
서적
生物学実験法講座 第8巻 A
[134]
문서
[135]
서적
素顔の赤血球
[136]
서적
動物の血液細胞と生体防御
[137]
서적
顕微鏡の歴史
[138]
서적
顕微鏡の歴史
[139]
서적
顕微鏡の歴史
西村書店
1981
[140]
서적
顕微鏡の歴史
[141]
문서
レーヴェンフックはスワンメルダムらの観察を知らなかったため、独力での発見である。ただし、レーヴェンフック自身は赤血球は本来は球状であると信じていたため、円盤状になっているのは観察時に何らかの要因で変形したのだと思っていた。
[142]
서적
顕微鏡の歴史
[143]
서적
世界の顕微鏡の歴史
[144]
웹사이트
ABO血液型の分子遺伝学
https://sites.google[...]
2011-05-07
[145]
서적
赤血球膜研究史
[146]
문서
血管は少量の一酸化窒素 (NO) の存在によって弛緩し拡張するが修飾Hb(ヘモグロビンそのものあるいは重合化など加工されたヘモグロビン、ここで言う剥き出しのヘモグロビン)は一酸化窒素 (NO) との高い親和度を持ち血管内皮から一酸化窒素 (NO) を奪い去ってしまうため、血管収縮による血圧の異常亢進や心筋梗塞があり、死亡率が明らかに高くなることが分かっている。-石塚「人工酸素運搬体の開発の現状」。余談になるが、体内で一酸化窒素 (NO) に変換される硝酸薬ニトログリセリンが狭心症の特効薬になるのは一酸化窒素 (NO) の血管拡張作用のためである。-出典、高久『新臨床内科学』p.243
[147]
간행물
人工酸素運搬体の開発の現状
[148]
간행물
人工赤血球のICU使用を目的とした最適化およびME技術の改良
[149]
간행물
ヘモグロビン小胞体の開発の歴史と現状
[150]
간행물
Hb小胞体の動物投与の成績
[151]
서적
Robbins Basic Pathology
Saunders
[152]
뉴스
"Swammerdam, Jan (1637–1680)"
McGraw Hill AccessScience
2007-12-27
본 사이트는 AI가 위키백과와 뉴스 기사,정부 간행물,학술 논문등을 바탕으로 정보를 가공하여 제공하는 백과사전형 서비스입니다.
모든 문서는 AI에 의해 자동 생성되며, CC BY-SA 4.0 라이선스에 따라 이용할 수 있습니다.
하지만, 위키백과나 뉴스 기사 자체에 오류, 부정확한 정보, 또는 가짜 뉴스가 포함될 수 있으며, AI는 이러한 내용을 완벽하게 걸러내지 못할 수 있습니다.
따라서 제공되는 정보에 일부 오류나 편향이 있을 수 있으므로, 중요한 정보는 반드시 다른 출처를 통해 교차 검증하시기 바랍니다.
문의하기 : help@durumis.com
