혈액 도말
"오늘의AI위키"의 AI를 통해 더욱 풍부하고 폭넓은 지식 경험을 누리세요.
1. 개요
혈액 도말은 혈액 질환 진단을 위해 혈액을 얇게 펴서 슬라이드에 고정, 염색하여 현미경으로 관찰하는 검사법이다. 혈액 도말 검사 과정은 혈액을 슬라이드에 얇게 펴 바르고, 메탄올로 고정, 염색하는 순서로 진행되며, 염색 후에는 현미경으로 관찰하여 백혈구, 적혈구, 혈소판의 형태와 수적 이상을 확인한다. 이 검사를 통해 빈혈, 백혈병, 감염성 질환 등 다양한 질병을 진단하며, 말라리아와 같은 기생충 감염 진단에도 활용된다.
더 읽어볼만한 페이지
2. 혈액 도말 검사 준비 및 과정
혈액 도말 검사는 혈액 세포의 형태나 수의 이상을 검출하기 위해 시행된다. 혈액 도말은 슬라이드 한쪽 끝에 혈액 한 방울을 떨어뜨려 얇게 펴서 만든다.
염색 후 단층을 최대 1000배 배율로 현미경으로 관찰하며, 개별 세포를 검사하고 형태를 기록한다.[1][2] 최근에는 자동 혈구 계산 장치를 먼저 사용하고, 기계 산정에서 이상이 있거나 혈액 질환이 있는 환자의 경우 혈액 도말 검사를 추가로 시행한다.[42][64]
말초 혈액 도말 검사는 진단에 중요한 정보를 제공하지만, 수작업이 많이 필요한 검사이다.
2. 1. 검체 준비
정맥 등에서 채취한 말초 혈액을 슬라이드 글라스 위에 얇게 펴서(도말) 건조시킨다.[12] 혈액 도말은 슬라이드 한쪽 끝에 혈액 한 방울을 떨어뜨린 다음, '도말 슬라이드'를 사용하여 슬라이드 전체에 혈액을 펴서 만든다. 이때 세포를 세고 구별할 수 있을 정도로 충분히 떨어져 있는 영역, 즉 단층을 얻는 것이 목표이다. 단층은 도말 슬라이드가 혈액을 앞으로 끌면서 생성하는 "깃털 모양 가장자리"에서 발견된다.슬라이드는 공기 중에서 건조시킨 후 혈액을 잠시 메탄올에 담가 슬라이드에 고정한다. 고정은 세포의 세부 사항을 잘 염색하고 나타내는 데 필수적이다. 고정 후 슬라이드를 염색하여 세포를 서로 구별한다.
의학 실험실에서 혈액에 대한 일상적인 분석은 Wright 염색, 기엠자 염색, Diff-Quik과 같은 로마노프스키 염색으로 염색된 혈액 도말 검사로 수행된다. Wright-Giemsa 병합 염색도 많이 사용된다. 이러한 염색은 백혈구, 적혈구, 혈소판의 이상을 감지할 수 있게 한다. 혈액병리학 전문의는 혈액 질환의 감별 진단을 돕기 위해 다른 특수 염색을 사용하기도 한다.
염색에는 일반적으로 로마노프스키 염색의 변법 (메이-그륀발트-김자 염색, 라이트-김자 염색 등)이 사용된다(드물게 특수 염색이 시행되는 경우가 있다.[13][66][43]). 또한, 이 항목에서 기재하는 혈액 세포의 색은 염색된 상태의 색임을 유의해야 한다.
도말 및 염색 과정은 대규모 시설에서는 기계화되어 있지만, 최종적으로는 임상병리사가 현미경으로 관찰(경검)하며, 100~200개의 백혈구를 육안으로 분류해야 한다.
2. 2. 염색
얇게 펴 바른 혈액을 메탄올에 담가 슬라이드에 고정한 후, 염색하여 세포를 서로 구별한다.[1][2]의학 실험실에서 혈액에 대한 일상적인 분석은 로마노프스키 염색 (라이트 염색, 김자 염색, Diff-Quik)으로 염색된 혈액 도말 검사로 수행된다. 라이트-김자 병합 염색도 많이 사용된다. 이러한 염색은 백혈구, 적혈구, 혈소판의 이상을 감지할 수 있게 한다. 혈액병리학 전문의는 혈액 질환의 감별 진단을 돕기 위해 다른 특수 염색을 사용하기도 한다.[13][66][43]
정맥 등에서 채취한 말초 혈액[12]을 슬라이드 글라스 위에 얇게 펴서(도말) 건조시킨 후 염색한다. 염색에는 일반적으로 로마노프스키 염색의 변법 (메이-그륀발트-김자 염색, 라이트-김자 염색 등)이 사용된다.
도말 및 염색 과정은 대규모 시설에서는 기계화되어 있지만, 최종적으로는 임상병리사가 현미경으로 관찰(경검)하며, 100~200개의 백혈구를 육안으로 분류해야 한다.[42][64]
3. 혈액 세포 관찰 및 분석
현미경을 통해 혈액 세포의 형태, 크기, 수, 염색성 등을 관찰하여 이상 유무를 판단한다. 정맥 등에서 채취한 말초 혈액[12]을 슬라이드 글라스 위에 얇게 펴서(도말) 건조시킨 후 염색하여 관찰한다.
염색에는 일반적으로 로마노프스키 염색의 변법 (메이-그륀발트-김자 염색, 라이트-김자 염색 등)이 사용된다.[13][66][43] 염색된 혈액 세포의 색깔을 통해 이상 유무를 확인할 수 있다.
도말 및 염색 과정은 자동화되어 있지만, 최종적으로는 임상병리사가 현미경으로 관찰(경검)하며, 100~200개의 백혈구를 육안으로 분류해야 한다.
혈액 도말 검사는 혈액 세포의 형태나 수의 이상을 검출할 목적으로 시행되며, 전혈구 검사와 함께 수행된다.[3]
- '''적혈구 분석''': 적혈구의 모양, 크기, 착색을 현미경으로 검사하여 빈혈의 원인을 파악할 수 있다. 철 결핍성 빈혈, 겸상 적혈구 빈혈, 거대 적아구 빈혈, 미세혈관병성 용혈성 빈혈 등은 혈액 도말에서 특징적인 이상 소견을 보인다.[2]
- '''말라리아 및 바베시아증 진단''': 혈액 도말 검사는 말라리아 및 바베시아증과 같은 특정 기생충 감염의 선호되는 진단 방법이다.[7] 드물게, 심각한 패혈증 환자의 혈액 도말에서 세균이 관찰될 수 있다.[8]
3. 1. 백혈구 분석
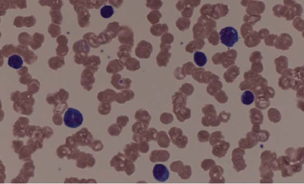
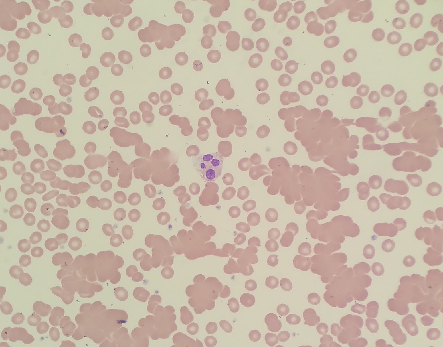
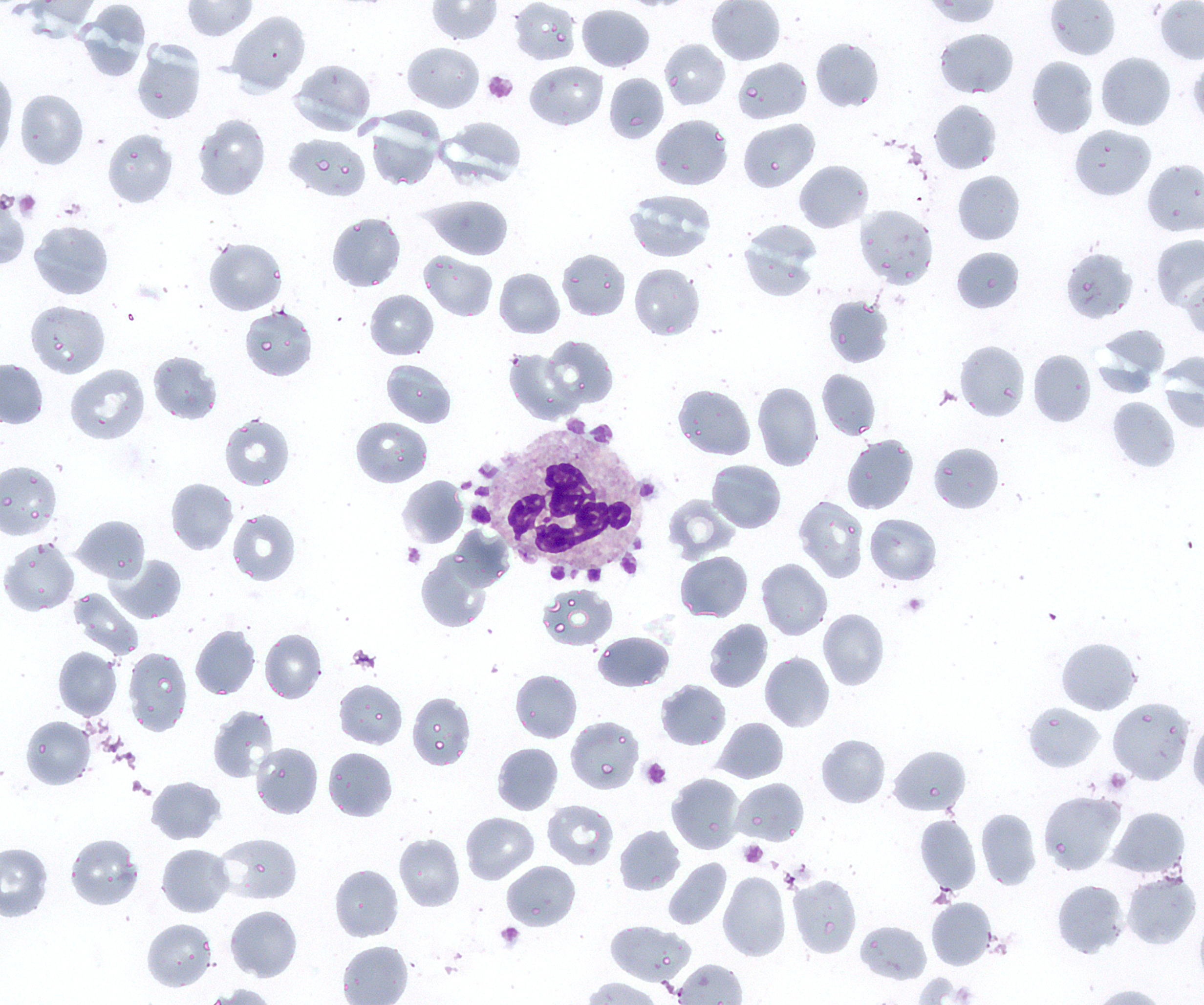
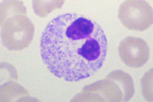
혈액 도말 검사를 통해 다양한 백혈구의 비율을 확인할 수 있으며, 이를 수동 백혈구 감별 계산이라 한다. 백혈구 감별 계산은 호중구 증가증, 호산구 증가증 등 백혈구 유형의 비율 이상이나 급성 백혈병에서 보이는 순환 모세포와 같은 비정상 세포의 존재를 확인할 수 있다.[4] 독성 과립 등 백혈구의 질적 이상 또한 혈액 도말에서 관찰 가능하다. 최신 전혈구 검사 분석기는 자동 백혈구 감별 계산을 제공하지만, 미성숙 세포나 비정상 세포 감별에는 한계가 있어 수동 혈액 도말 검사가 필요할 때도 있다.[5][6] 백혈구는 일반적으로 6가지로 분류되며, 각 백혈구 수 변화는 특정 질환과 관련될 수 있다.3. 1. 1. 백혈구 분류
백혈구는 현미경 검사 시 일반적으로 아래 표와 같이 6가지로 분류된다.[44]
각 백혈구 분획에 따라 증가하거나 감소하는 병태는 아래 표와 같다.[41][42][43]
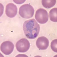
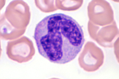
선천적으로 호중구의 핵 분엽이 감소하는 펠거-휘트(Pelger-Huet) 핵 이상이라는 병태(통상 무증상)가 알려져 있다. 정상적인 분엽핵구의 핵은 3개 전후(2~5개)로 분엽되어 있지만, 펠거-휘트 핵 이상에서는 아령 또는 코안경 모양의 2엽의 핵이 대부분이다.[21]
3. 1. 2. 백혈구 이상
막대핵구의 상대적 증가(보통 백혈구 중 막대핵구 비율 15% 이상)를 좌방 이동이라고 한다.[20] 호중구를 비롯한 다형핵 백혈구는 성숙함에 따라 핵이 분엽되는데, 핵이 분엽되지 않은 막대핵구의 증가는 성숙 백혈구의 소비 항진과 백혈구 생산 증대를 의미한다. 이는 세균 감염 등의 자극으로 혈중 어린 백혈구 비율이 증가했음을 뜻하며, 심한 경우 후골수구, 골수구도 말초혈액에서 관찰된다. 좌방 이동은 중증 세균 감염증을 시사하여 진단상 중요하다.[49] 만성 골수성 백혈병에서도 어린 호중구 전구 세포가 말초 혈액에 나타나 혈액상이 좌방 이동을 보인다.
- -|]]|thumb|비타민 B12 결핍으로 나타난 호중구 핵 과분엽]]
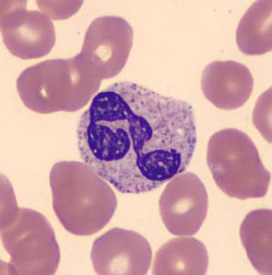
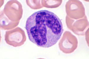
호중구에서 5개 이상 분엽된 핵이 증가하거나 6개 이상 분엽된 핵이 관찰되면 과분엽이라고 한다. 비타민 B12 결핍증과 같은 거적아구성 빈혈, 골수형성이상 증후군, 항종양제 투여 등에서 볼 수 있다.[60]
- -|]]|thumb|폐렴 환자의 호중구(분엽 핵구)에서 관찰되는 중독성 과립]]
중독성 과립은 호중구 세포질이 청자색으로 염색되는 거친 과립으로, 어린 아줄 과립의 잔존물로 추정된다. 중증 감염증, G-CSF 투여 등 호중구가 급속히 동원되는 상황에서 관찰되며, 호중구의 중독성 변화 중 하나이다.[39][60]
- -|]]|thumb|데이레 소체와 공포를 가진 호중구]]
데이레 소체(Döhle bodies)는 호중구 세포질에서 보이는 청색 반점 모양의 봉입체로, 세포질 성숙 지연으로 리보솜이 축적된 것이다. 성홍열, 중증 감염증, 항암 화학 요법 등에서 나타나며, 호중구 독성 변화 중 하나이지만[39][60], 건강한 사람에게도 관찰될 수 있다.
- -|]]|thumb|왼쪽 호중구에서 공포 변성이 관찰된다]]
호중구 세포질에서 관찰되는 공포는 탐식 작용을 반영하며, 중증 감염증(특히 패혈증)에서 자주 관찰된다. 호중구 독성 변화 중 하나로[39][60], 독성 과립과 함께 나타나는 경우가 많다. 감염증(독성 변화) 외에 급성 알코올 중독, 방사선 피폭에서도 관찰될 수 있다.[60]
- -|]]|thumb|백혈구 내 공포(조르당스 이상). 중성지질 축적증의 하나인 도르프만-샤나린 증후군 환자.]]
조르당스(Jordans) 이상은 말초 혈액 도말 표본에서 과립구 세포질에 다발성 공포(지방 방울)가 보이는 소견으로, 선천성 중성지질 축적증의 특징이다.[22][52] 1953년 조르당(G.H.Jordans)이 보고하여 조르당스 이상(Jordans' anomaly)이라고 불리나, 조르단 이상(Jordan’s anomaly)으로 표기되기도 한다.
- -|]]|thumb|골수형성이상 증후군에서 관찰된 저과립 호중구, 가성 펠거-휴엣 핵 이상을 동반.]]
호중구 세포질 내 중성 과립 생성 장애로 세포질이 희게 비어 투명감이 증가하는 현상이다. 백혈병이나 골수형성이상 증후군에서 관찰된다.[48]
- -|]]|thumb|말초 혈액 도말에서 관찰된 골수아세포]]
- -|]]|thumb|아우어 소체를 가진 골수아세포]]
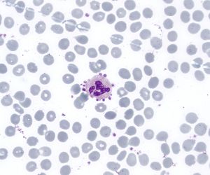
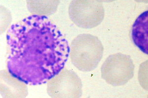
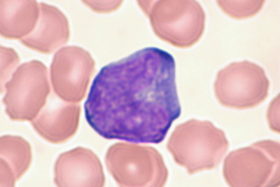
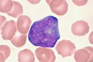
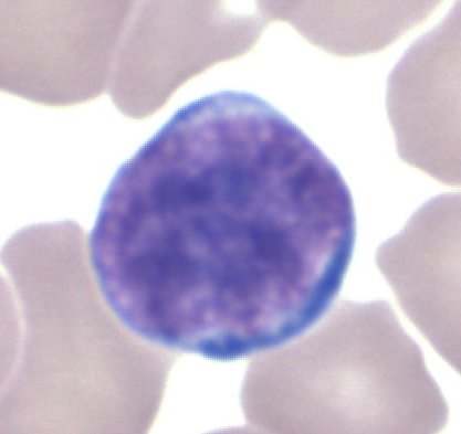
말초 혈액 내 골수아세포나 림프아세포 출현은 혈액 종양성 질환을 시사한다. 골수아세포는 급성 및 만성 백혈병, 골수형성이상 증후군, 골수 섬유증 등에서,[23] 림프아세포는 급성 림프구성 백혈병에서 관찰된다.[24] 아우어 소체(Auer rod, Auer body)는 골수아세포 또는 전골수구 세포질에서 보이는 적자색 선상, 방추형 봉입체로, 아주르 과립 유래로 추정된다. 급성 골수성 백혈병(AML), 특히 급성 전골수구 백혈병(APL)을 시사하지만, 골수 이형성 증후군, 만성 골수단핵구 백혈병에서도 관찰될 수 있다.
3. 1. 3. 림프구 이상
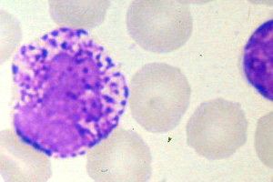
크고 세포질이 넓고 호염기성(파란색)이 강한 림프구이다. 핵소체, 아줄 과립, 공포가 관찰될 수 있다. 면역계의 자극을 반영하는 반응성 변화이며 종양성은 아니다[60]。
Atypical lymphocyte영어

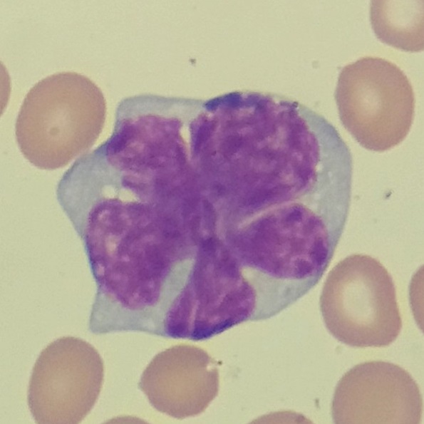
핵이 꽃잎 모양으로 분엽된 림프구(플라워 셀)는 전형적으로 성인 T 세포 백혈병(ATL)에서 관찰된다[47][25]。

이상 림프구란 종양성 형태 변화를 보이는 림프구이며, 급성 림프구성 백혈병이나 악성 림프종 등에서 말초 혈액 중에 종양 세포가 나타난 상태를 말한다. 양성 반응성 변화인 이형 림프구와 혼동해서는 안 된다. 이상 림프구는 세포질에 비해 핵이 크고, 핵 형태가 불규칙하며, 핵소체가 뚜렷하다는 등의 특징으로 이형 림프구와 감별된다.

핵영(군프레히트 핵영, 스머지 세포smudge cells, basket cells, Gumprecht shadows영어)이란, 말초 혈액 도말 표본을 제작할 때 백혈구(특히 림프구)가 붕괴되어 생긴 얼룩 같은 모습을 의미하며, 인공 산물이다.[38][26][27]
건강한 사람에게서도 소수는 관찰될 수 있지만, 만성 림프구성 백혈병(CLL)에서는 다수의 핵영이 관찰되며, 핵영이 많을수록 예후가 좋다고 보고되고 있다.[28] 그 외, 림프성 백혈병이나 전염성 단핵구증 등에서도 관찰될 수 있다.[27][29][30]
3. 2. 적혈구 분석
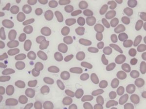
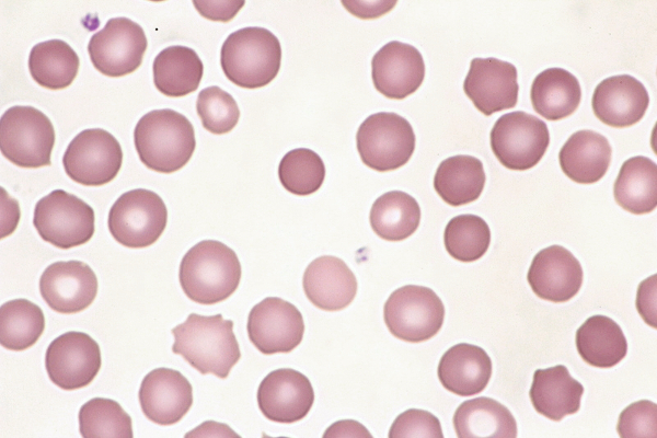
혈액 도말 검사를 통해 적혈구의 모양, 크기, 착색을 현미경으로 검사하는 것은 빈혈의 원인을 파악하는 데 유용하다. 철 결핍성 빈혈, 겸상 적혈구 빈혈, 거대 적아구 빈혈, 미세혈관병성 용혈성 빈혈과 같은 질환은 혈액 도말에서 특징적인 이상 소견을 보인다.[2] 정상 적혈구는 직경 7-8 μm이며, 원형이고 중앙이 밝게 보인다(중앙 담명).
적혈구의 형태 이상[42]은 건강한 사람에게서도 소수가 관찰될 수 있지만, 이상으로 판단하기 위해서는 출현 빈도도 고려해야 한다.[41]
3. 2. 1. 적혈구 형태 이상
적혈구의 형태 이상[42]은 건강한 사람에게서도 소수가 관찰될 수 있지만, 이상으로 판단하기 위해서는 출현 빈도도 고려해야 한다.[41]; 크기
적혈구 직경이 6 μm보다 작은 것을 소적혈구, 9.5 μm보다 큰 것을 대적혈구라고 한다. 적혈구 크기 이상은 도말 현미경 검사로도 정성적으로 확인 가능하지만, 임상 현장에서는 주로 자동 혈구 계산 장치로 정량 측정되는 평균 적혈구 용적(MCV)이 사용된다.
소적혈구가 보이는 (MCV가 저하) 빈혈은 소구성 빈혈(microcytic anemia영어)이라고 하며, 헤모글로빈 합성 장애가 원인이다. 대부분 철 결핍성 빈혈이며, 철아구성 빈혈, 지중해 빈혈, 만성 질환에 따른 빈혈 등도 해당된다.[58][59]
대적혈구가 보이는 (MCV가 상승) 빈혈은 대구성 빈혈(macrocytic anemia영어)이라고 하며, 거적아구성 빈혈(비타민 B12 결핍증, 엽산 결핍증 등, DNA 합성 장애)과 간 장애에 따른 빈혈이 대표적이다.[58]
; 크기 부동
적혈구의 크기 부동(anisocytosis영어)은 철 결핍성 빈혈이나 거적아구성 빈혈에서 자주 관찰된다.[31][54] 수혈 후나 골수 이형성 증후군에서는 크기가 다른 두 그룹의 적혈구가 함께 존재하는 경우도 있다.[54]
; 색소량
적혈구의 헤모글로빈(혈색소)량이 정상인 것을 정색소성, 헤모글로빈량이 저하된 (옅은 색으로 염색되는) 것을 저색소성이라고 한다. 적혈구 중앙의 담명부(central pallor영어)가 적혈구 직경의 1/3을 초과하면 저색소성으로 판단한다.[54] 정량적으로는 자동 혈구 계산 장치에서 산출되는 평균 적혈구 혈색소량(MCH)이 있지만, 헤모글로빈량은 적혈구 용적과 같은 움직임을 보이므로, 임상적으로는 주로 평균 적혈구 용적(MCV)이 사용된다.[54][58][59]
; 다염성
에오신으로 분홍색으로 염색되는 성숙한 적혈구와 달리, 유약한 적혈구는 메틸렌 블루나 아주르 색소와 같은 염기성 색소에도 염색되어 푸르스름하게 보인다. 이를 다염성(polychromasia영어)이라고 한다. 다염성 적혈구(망상 적혈구와 같은 것)가 많이 나타나는 경우 적혈구 형성 항진(용혈성 빈혈, 만성 출혈, 급성 출혈 회복기 등), 또는 수외 조혈을 의심할 수 있다.[54] 유약한 적혈구의 정량에는 자동 혈구 계산 장치 또는 시산에 의한 망상 적혈구 수가 사용된다.

연전 형성(rouleaux formation영어)은 적혈구가 엽전을 끈으로 꿴 듯이 넓은 면으로 서로 연결되어 보이는 상태이다. 다발성 골수종이나 매크로글로불린 혈증과 같은 고감마글로불린혈증, 감염증, 교원병 등과 같이 고피브리노겐혈증에서 혈액 점도가 증가한 경우에 나타난다. 건강한 사람도 도말이 두꺼운 부분에서는 관찰될 수 있다.[54]

적혈구 응집은 적혈구가 연전 형성과는 달리 포도송이 모양의 덩어리를 형성하는 현상이다. 한랭 응집소증(IgM 자가항체에 의한)이나 자가면역성 용혈성 빈혈에서 나타난다.[54]
타원 적혈구(elliptocyte)는 타원형, 난원형, 막대 모양을 띠는 적혈구이다. 유전성 타원 적혈구증[32]이 대표적이지만, 거대 적아구성 빈혈, 철 결핍성 빈혈, 화학 요법 후, 과음으로 인한 대구성 빈혈 등에서도 나타날 수 있다.[54]
구상 적혈구 (spherocyte)는 막 투과성 이상으로 적혈구에 나트륨이 축적되어 가운데가 움푹 들어간 부분이 없어진 상태이다. 도말 표본에서는 적혈구가 작고 중앙의 창백한 부분이 소실되어 있다. 면역 매개성 용혈성 빈혈이나 유전성 구상 적혈구증에서 관찰된다.[54]

유구적혈구(有口赤血球, stomatocyte영어)는 중앙 담염이 직사각형이 되어 입처럼 보이는 적혈구이다(구순 적혈구라고도 한다). 유전성 유구적혈구증, 알코올 과음, 혈액형 물질 이상(Rh null 증후군) 등에서 보인다.[54][58]
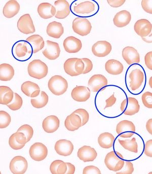
파쇄 적혈구(분열 적혈구, 단편화 적혈구, schistocyte영어, fragmented erythrocyte)는 헬멧형, 삼각형 등으로 단편화된 적혈구이며, 중앙의 창백함이 종종 사라진다. 혈관 내에 피브린 혈전이나 혈소판 혈전이 형성되어, 그곳을 통과하는 적혈구가 분단되기 때문에 생성된다고 여겨진다. 혈전성 혈소판 감소성 자반병(TTP), 용혈성 요독 증후군(HUS), 파종성 혈관 내 응고 증후군(DIC), 혈전성 미세 혈관 병증(TMA) 등 심각한 병태가 원인이다. 행군 혈색소뇨증, 심장의 인공 판막 등에서도 관찰된다.[54]
눈물방울적혈구(tear drop cell, dacrocyte)는 한쪽 방향이 눈물 방울 모양으로 뾰족한 적혈구이다. 골수섬유증, 암의 골수 전이, 지중해 빈혈 등 골수외 조혈이 활발한 병태에서 관찰되며, 섬유 사이를 적혈구가 통과할 때 변형된 것으로 여겨진다.[54]

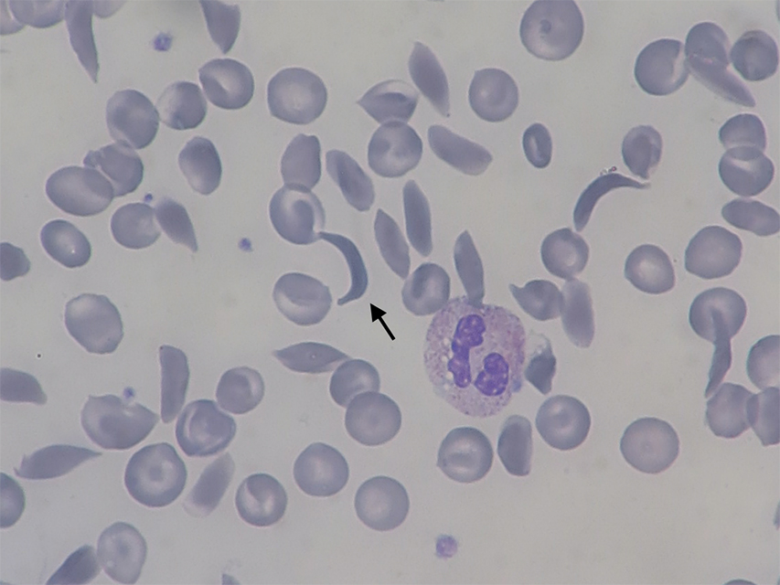
낫 모양 적혈구(sickle cell영어)는 이상 헤모글로빈(HbS)이 적혈구 내에서 응집하여 적혈구가 초승달 모양 또는 배 모양으로 변형된 것이다. 겸상 적혈구 빈혈증에서 나타난다.

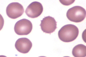
유극적혈구(acanthocyte, 스퍼 세포)는 적혈구 표면에 다수의 가시 모양 돌기가 있는 상태를 말한다. 돌기의 분포, 길이, 굵기가 균일하고 끝이 뾰족한 것을 성게적혈구(echinocyte, 버 세포)라고 하며, 돌기가 불균일한 것을 유극적혈구로 구별하기도 하지만, 현미경 검사에서는 엄밀하게 구별하기 어렵다.[51][58][54] 유극적혈구는 중증 간 질환, 비장 기능 저하, β지단백 결손, 혈청 지질 저하, 신경극세포증 등에서 관찰된다.[54] 성게적혈구는 ATP 생산 장애를 동반하는 용혈성 빈혈(pyruvate kinase deficiency|피루브산 키나아제 결핍증영어 등), 신부전, 수혈 후, 인 결핍증, 화상 등에서 관찰된다.[54]
표적 적혈구(target cell, codocyte)는 적혈구 중앙의 담명부에 붉게 염색되는 부분이 생겨 사격의 과녁처럼 보이는 적혈구로, 표면적에 비해 체적이 작아지고 막이 과잉되었을 경우에 나타난다. 지중해 빈혈, 철 결핍성 빈혈, 철아구성 빈혈, 이상 헤모글로빈증(헤모글로빈 C, 헤모글로빈 SC), 간 질환, 폐쇄성 황달 등에서 볼 수 있다.[53][54]

사람을 포함한 포유류에서는 말초 혈액 중의 적혈구는 핵을 가지지 않는다. 골수의 적아구는 핵을 잃고 망상 적혈구로 말초 혈액으로 이행하여 성숙 적혈구가 된다. 말초 혈액의 적혈구가 핵을 가지고 있는 경우 (즉, 적아구가 말초 혈액에 나타나는 경우) 유핵 적혈구 (nucleated red blood cell영어, NRBC)라고 불린다.
말초 혈액 중의 유핵 적혈구는 출생 직후에는 정상적으로 소수 관찰되지만, 이후 골수 장애 (악성 종양의 골수 전이, 골수형성이상증후군, 백혈병, 납 중독, 중대한 전신 상태 등), 수외 조혈 (골수 섬유증, 악성 종양의 골수 전이 등), 비장 적출 후, 급격한 적혈구 형성 항진 (대량 출혈로부터의 회복기 등) 등의 병태에서 나타난다. 유핵 적혈구와 함께 백혈구 계통의 어린 세포가 나타나는 경우 백적아구증 (leukoerythroblastosis영어)이라고 불리며, 수외 조혈 등에서 관찰된다.[57]

하웰-졸리 소체(영어: Howell-Jolly body)는 적혈구 내의 암청색에서 자색을 띠는 봉입체이다. 둥근 형태이며, 단독으로 존재하고, 적혈구 지름의 10-20% 전후로 비교적 크다. 핵의 잔여물로 여겨진다. 비장 절제 후, DNA 합성 장애(비타민 B12 결핍증 등의 거대 적아구성 빈혈, 화학 요법 후), 골수형성이상 증후군 등에서 관찰된다[54][41]

파펜하임 소체(Pappenheimer body영어)는 적혈구 주변에 분포하는 작고 파란색에서 보라색의 봉입체로, 보통 여러 개가 관찰된다. 철 염색으로 염색되는 철 과립이며, 불용성 비헴철 침착으로 인해 발생한다. 비장 절제 후, 철아구성 빈혈, 거적아구성 빈혈, 골수이형성 증후군, 납 중독, 헤모글로빈 이상증, 각종 철 과잉증 등에서 관찰된다.[54][55]

하인츠 소체(Heinz body영어)는 적혈구의 주변부에 있는 작고 둥근 형태의 봉입체로, 로마노프스키 염색으로는 염색되지 않고 투명하지만 강하게 빛을 굴절한다(하인츠 소체 염색에서는 염색이 가능하다). 헤모글로빈이 변성된 것으로, 불안정 헤모글로빈증, 비장 절제술 후, 메트헤모글로빈혈증 등에서 보인다.[33][54]
호염기성 반점(好塩基性斑点, basophilic stippling영어, punctate basophilia)은 적혈구의 세포질 전체에 분포하는 다수의 염기성 색소(예: 메틸렌 블루)로 파랗게 염색되는 과립이다. 이는 리보솜 또는 리보솜의 RNA 응집체로 여겨진다. 납 중독의 소견으로 유명하지만, 지중해 빈혈, 겸상 적혈구 빈혈과 같은 헤모글로빈 이상증, 거대 적아구 빈혈, 골수 이형성 증후군, pyrimidine-5'-nucleotidase deficiency|피리미딘-5'-뉴클레오티데이스 결핍증영어 등 다양한 질환에서 나타날 수 있다. 납 중독 등의 경우에는 굵은 호염기성 반점이 나타나지만, 미세한 것은 망상 적혈구가 증가하는 병태나 건강한 사람에게서도 볼 수 있다[62][54]

카보트 환( Cabot rings영어)은 적혈구 내에서 붉은색 또는 보라색 고리 모양이나 8자 모양으로 나타나는 구조물이다. 세포 분열 과정에서 방추사에서 유래된 것으로 여겨진다. 드물게 관찰되는 소견이다. 비타민 B12 결핍, 납 중독, 골수형성이상 증후군, 기타 적혈구 형성에 장애가 생기는 질환에서 관찰된다[46]
3. 3. 혈소판 분석
정상 혈소판은 옅은 청색의 세포질 안에 아주르 과립이 관찰된다. 크기는 적혈구보다 작은 2~4μm 정도이다. 거핵구에서 생성된 직후의 혈소판은 크고, 노화에 따라 작아진다. 4μm를 넘으면 대형 혈소판, 적혈구 크기(8μm)를 넘으면 거대 혈소판으로 간주한다.[50]
혈소판 수적 이상 평가는 일반적으로 자동 혈구 계산기를 사용한다. 수적 이상에 대해서는 혈소판, 혈소판 감소증 문서를 참조할 수 있다.
3. 3. 1. 혈소판 형태 이상

베르나르-술리에 증후군, 메이-헤글린 이상증영어, 회색 혈소판 증후군영어[34] 등 다수의 선천성 질환에서 대형/거대 혈소판이 나타날 수 있다. 4 μm를 넘으면 대형 혈소판, 적혈구 크기(8 μm)를 넘으면 거대 혈소판으로 간주한다.[50] 거대 혈소판증영어도 참조할 수 있다.[35] 후천적으로는 특발성 혈소판 감소성 자반병 등 골수에서 혈소판 생산이 활발해지는 경우나 골수형성이상 증후군 등에서 볼 수 있다. 거대 혈소판은 자동 혈구 계산 장치에서 적혈구로 오인될 수 있으므로 도말 표본으로 확인해야 한다.[43]


WAS 유전자 이상에 의한 위스콧-앨드리치 증후군영어 및 그 경증형인 X 연쇄 혈소판 감소증은 소형 혈소판과 혈소판 감소증이 특징이다.[35][56]
말초 혈액 도말 표본에서 혈소판 응집은 일반적으로 검사 과정에서 생긴 인공 산물이다.[38] 자주 보이는 것은 채혈관의 항응고제인 EDTA에 의한 EDTA 의존 혈소판 응집증이다. 혈소판 응집 때문에 자동 혈구 계수기에서는 혈소판 수가 잘못 낮게 산정된다(가성 혈소판 감소증). 현미경 검사로 혈소판 응집을 확인하여 진정한 혈소판 감소증과 감별이 가능하다. 헤파린 등 EDTA 이외의 항응고제를 사용하면 혈소판 수가 정확하게 산정되는 경우가 많다. EDTA에 의해 백혈구 주위에 혈소판이 부착되는 혈소판 위성 현상도 드문 가성 혈소판 감소증의 원인이다.[36] 채혈이나 검체 취급의 수기가 불량하여 검체가 응고되면 혈소판 응집이 일어날 수 있으며, 현미경 검사에서 피브린도 관찰된다.
4. 질병 진단
혈액 도말 검사는 자동 혈구 분석기의 결과가 신뢰할 수 없거나 이상 소견이 있을 때, 전혈구 검사와 함께 수행되어 여러 질환을 진단하는데 사용된다.[3]
현미경을 통해 적혈구의 모양, 크기, 색깔을 검사하여 빈혈의 원인을 찾을 수 있다. 철 결핍성 빈혈, 겸상 적혈구 빈혈, 거대 적아구 빈혈, 미세혈관병성 용혈성 빈혈 등은 혈액 도말에서 특징적인 이상 소견을 보인다.[2]
백혈구의 비율을 확인하는 수동 백혈구 감별 계산을 통해, 호중구 증가증, 호산구 증가증과 같은 백혈구 비율 이상이나 급성 백혈병에서 보이는 순환 모세포와 같은 비정상 세포를 발견할 수 있다.[4] 또한, 독성 과립과 같은 백혈구의 질적 이상도 관찰 가능하다.[5][6]
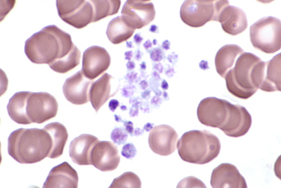
말라리아나 바베시아증과 같은 특정 기생충 감염은 혈액 도말 검사가 선호되는 진단 방법이다.[7] 드물게, 심한 패혈증 환자의 혈액 도말에서 세균이 관찰될 수 있다.[8]
4. 1. 주요 질환
혈액 도말 검사를 통해 다음과 같은 질환들을 확인할 수 있다.- 빈혈: 철 결핍성 빈혈, 용혈성 빈혈, 거대적아구성 빈혈 등 다양한 종류의 빈혈을 진단할 수 있다. 적혈구의 크기, 모양, 색깔 등을 관찰하여 빈혈의 원인을 파악한다. 예를 들어, 철 결핍성 빈혈에서는 작고(소구성) 색이 옅은(저색소성) 적혈구가 관찰된다.[2] 거적아구성 빈혈에서는 비타민 B12나 엽산 결핍 등으로 인해 크기가 큰(대구성) 적혈구가 나타난다.[58] 용혈성 빈혈의 경우, 미세혈관병성 용혈성 빈혈과 같이 혈액 도말에서 특징적인 이상 소견이 관찰될 수 있다.[2]
- 백혈병: 급성 백혈병이나 만성 골수성 백혈병과 같은 백혈병의 경우, 혈액 도말 검사를 통해 비정상적인 백혈구 세포(모세포)의 존재를 확인할 수 있다.[4] 급성 림프구성 백혈병에서는 림프아세포가 관찰된다.[24]
- 감염: 말라리아나 바베시아증과 같은 기생충 감염은 혈액 도말 검사를 통해 진단할 수 있다.[7] 말라리아의 경우, 적혈구 내에서 말라리아 원충을 확인하여 확진한다.[45] 바베시아증 또한 적혈구 내 기생충을 확인하여 진단하며, 말라리아와의 감별이 필요하다.[61] 드물게, 심한 패혈증 환자의 혈액 도말에서 세균이 관찰되기도 한다.[8]
- 기타 질환: 혈전성 혈소판 감소성 자반병(TTP), 용혈성 요독 증후군(HUS)과 같은 질환에서는 파쇄된 적혈구(분열 적혈구, 단편화 적혈구)가 관찰된다.[54] 골수섬유증에서는 눈물방울 모양의 적혈구가 나타날 수 있다.[54]
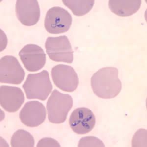
4. 2. 말라리아 진단
말라리아의 가장 확실한 진단 방법은 혈액 도말을 현미경으로 검사하는 것이다. 네 가지 주요 말라리아 기생충 종은 각각 뚜렷한 특징을 가지고 있기 때문이다. 일반적으로 두 종류의 혈액 도말이 사용된다.[9]- '''얇은 도말''': 일반적인 혈액 도말과 유사하며, 기생충의 모습이 가장 잘 보존되기 때문에 종 식별에 유용하다.
- '''두꺼운 도말''': 얇은 도말보다 약 11배 더 민감하여 낮은 수준의 감염을 발견하기 쉽지만, 기생충의 모습이 왜곡되어 종 구별이 어려울 수 있다.[10][9]
경험이 풍부한 현미경 검사자는 두꺼운 도말에서 모든 기생충을 감지할 수 있다. 그러나 초기 영양체("고리 형태")는 네 종 모두 비슷하게 보여 종 식별이 어려울 수 있으므로, 여러 영양체를 기반으로 종을 식별한다.
선진국 실험실에서는 혈액 채취와 도말 제작 사이의 지연이 큰 문제이다. 혈액이 실온으로 식으면 수컷 배우자체가 분열하여 미세 배우자체를 방출하는데, 이는 ''Borrelia''와 같은 다른 유기체로 오인될 수 있다. 또한, ''P. vivax'' 또는 ''P. ovale''를 EDTA에 오래 방치하면 기생충 감염된 적혈구가 수축되어 ''P. malariae''처럼 보일 수 있다. 이러한 문제는 항응고제인 헤파린이나 구연산염을 사용하면 더 심해진다. EDTA가 가장 문제를 덜 일으키는 항응고제이다. 로마노프스키 염색이나 변형된 염색이 일반적으로 사용되며, 말라리아 혈액 도말은 pH 7.2에서 염색해야 Schüffner 반점과 James 반점이 잘 보인다.
면역 크로마토그래피를 이용한 신속 진단 검사(말라리아 항원 검사)는 현미경 검사가 어려운 경우 대안이 될 수 있다.[11]
말라리아의 확진은 말초 혈액 도말 표본에서 적혈구 내 말라리아 원충을 확인하는 것이다.[45] 바베시아증의 바베시아 원충도 적혈구 내에 기생하므로 말라리아와 감별해야 한다.[61]



참조
[1]
서적
Clinical Hematology and Fundamentals of Hemostasis
https://books.google[...]
F. A. Davis Company
[2]
서적
Linné & Ringsrud's Clinical Laboratory Science: Concepts, Procedures, and Clinical Applications
https://books.google[...]
Elsevier Mosby
2015-03-23
[3]
간행물
Purpose and Criteria for Blood Smear Scan, Blood Smear Examination, and Blood Smear Review
[4]
간행물
Differential Blood Count
https://emedicine.me[...]
2015-01-14
[5]
간행물
Automated blood cell counts: state of the art
2008-07
[6]
서적
Wintrobe's Clinical Hematology
https://books.google[...]
Lippincott Williams & Wilkins
2008-12
[7]
간행물
Laboratory diagnosis of infections due to blood and tissue parasites
[8]
간행물
Free and intracellular bacteria on peripheral blood smears: an uncommon situation related to an adverse prognosis
[9]
웹사이트
CDC - DPDx - Diagnostic Procedures - Blood Specimens
https://www.cdc.gov/[...]
2022-02-20
[10]
간행물
Laboratory diagnosis of malaria
[11]
간행물
Immunoprecipitation of malarial enzymes
[12]
문서
末梢血とは末梢静脈など血管の中を流れる血液であり、「造血器官である[[骨髄]]の血液ではない」という意味で使用される。[[骨髄]]から穿刺や生検で採取した血液には、末梢血にはみられない幼若な血液細胞などが多々含まれ、骨髄塗抹標本検査(骨髄像)が行なわれる。
[13]
문서
[[白血病]]などの[[血液疾患]]では、異常細胞の細胞系統の鑑別のため、[[ミエロペルオキシダーゼ|ペルオキシダーゼ]]染色(骨髄系細胞とリンパ系細胞の鑑別)、エステラーゼ染色([[好中球]]と[[単球]]の鑑別)、などの特殊染色が行なわれることもあるが、近年は細胞[[表面マーカー]]検査や[[遺伝子診断|遺伝子検査]]・[[染色体]]検査が主流である。
[14]
문서
アズール顆粒(アズール好性顆粒)とは、染色液の[[アズール色素]]で染まり紫褐色から紫赤色を呈する顆粒である。詳細は[[アズール顆粒]]を参照されたい。
[15]
문서
末梢血塗抹検査で発見しうる病原体としては、[[マラリア原虫]]、[[バベシア症|バベシア原虫]]、[[トリパノソーマ|トリパノソーマ原虫]]、[[フィラリア]]、などがある。また、重篤な[[敗血症]]では、白血球に貪食された[[細菌]]がみられることがある。
[16]
문서
多形核白血球(polymorphonuclear leukocytes。多核球、顆粒球とよばれることもある)とは、細胞質内に特異顆粒を持つ白血球であり、主に[[好中球]]をさすが、他に、[[好酸球]]、[[好塩基球]]も含まれる。ただし、好酸球や好塩基球は数が少なく、顆粒のため核の形状が判別しにくい場合も多いため、桿状核球と分葉核球の区別は、通常は、好中球についてのみ行なわれる。
[17]
문서
[[画像認識]]により桿状核球と分葉核球を識別可能な血液像自動分析装置は市販されているが、現時点では広く普及しておらず、また、人間の鏡検を完全に不要とするレベルには達していない。
[18]
문서
偽性好中球減少症とは、好中球の体内分布の異常で、辺縁プールの増大により末梢血好中球数が少ないが、免疫能は正常である。
[19]
문서
アジソン病では相対的な好中球減少、好酸球増多、リンパ球増多がみられる。
[20]
문서
血液細胞の分化は、通常、左から右へ分化が進む形で記載するため、未分化な細胞が増えることは、左にずれると表現することになる。
[21]
문서
ほとんどの[[ペルゲル・フェット核異常]]は[[ヘテロ接合型]]であるが、まれな[[ホモ接合型]]では好中球の殆どが分葉をしめさない。
[22]
문서
中性脂質蓄積症(neutral lipid storage disease、NLSD)には、魚鱗癬を伴うNLSD-I(CGI-58遺伝子の変異。ドルフマン・シャナリン症候群)と、ミオパチーを伴うNLSD-M(ATGL遺伝子の異常)がある。
[23]
문서
骨髄抑制の回復期(特に[[顆粒球コロニー刺激因子|G-CSF]]投与時)にも一過性に[[骨髄芽球]]が出現することがある。
[24]
문서
リンパ芽球はリンパ球の前駆細胞であるが、ときに、抗原刺激で巨大化したリンパ球をリンパ芽球と呼ぶことがあり、注意を要する。
[25]
문서
ATLを発症していないHTLV-1無症候キャリヤの末梢血にもフラワーセルがみられることがある。
[26]
간행물
Smudge cells in chronic lymphocytic leukemia: pathophysiology, laboratory considerations, and clinical significance
https://doi.org/10.1[...]
Oxford University Press US
[27]
웹사이트
American Proficiency Institute. EDUCATIONAL COMMENTARY – SMUDGE CELLS: USELESS ARTIFACT OR PROGNOSTIC INDICATOR?
http://www.api-pt.co[...]
[28]
문서
予後の悪い[[慢性リンパ性白血病]](CLL)症例では、腫瘍細胞の[[細胞骨格]]蛋白である[[ビメンチン]]が多くて細胞が壊れにくいためである
[29]
간행물
骨髄標本のスマッジ細胞集簇像が診断の契機となった血管内大細胞型B細胞リンパ腫
https://doi.org/10.1[...]
日本臨床衛生検査技師会
2022-07
[30]
간행물
Percentage of smudge cells on routine blood smear predicts survival in chronic lymphocytic leukemia
https://doi.org/10.1[...]
American Society of Clinical Oncology
[31]
문서
自動血球計数装置においても、赤血球の大小不同を、RDW(red cell distribution width、 赤血球分布幅)として定量的に報告できるものがある
[32]
문서
遺伝性楕円赤血球症では卵円形+棒状の赤血球が多数みられるが、通常、溶血や貧血はなく、臨床的に問題にはならない。
[33]
문서
獣医学領域ではハインツ小体は[[タマネギ中毒]]の所見の一つである。
[34]
문서
灰色血小板症候群においては[[血小板]]のα顆粒の産生が障害されているため、末梢血塗抹標本では[[アズール顆粒]]に乏しい淡い色の血小板がみられる。画像は[https://imagebank.hematology.org/reference-case/60/gray-platelet-syndrome 米国血液学会イメージバンク:Gray Platelet Syndrome]を参照されたい。
[35]
간행물
ITPと鑑別が必要な小型・正常大の血小板を有する遺伝性血小板減少症
https://doi.org/10.1[...]
日本小児血液・がん学会
[36]
논문
Pseudothrombocytopenia—A Review on Causes, Occurrence and Clinical Implications
https://doi.org/10.3[...]
MDPI
[37]
문서
[38]
문서
[39]
문서
[40]
서적
臨床検査法提要
金原出版株式会社
1998-09-20
[41]
서적
臨床検査データブック2021-2022
医学書院
2021-01-15
[42]
서적
今日の臨床検査2021-2022
南江堂
2021-05-15
[43]
서적
臨床検査ガイド 2020年改訂版
文光堂
2020-06-17
[44]
간행물
血液形態検査における標準化の普及に向けて 日本臨床衛生検査技師会・日本検査血液学会 血球形態標準化ワーキンググループ
http://jslh.kenkyuuk[...]
[45]
간행물
国立感染症研究所 病原体検出マニュアル 「マラリア」
https://www.niid.go.[...]
[46]
간행물
米国血液学会イメージバンク カボット環
https://imagebank.he[...]
[47]
간행물
HTLV-1情報サービス
http://www.htlv1joho[...]
[48]
논문
2.血液形態学
https://doi.org/10.2[...]
[49]
논문
12)ルーチン検査(血算・生化学・凝固検査)にて細菌感染症の病態を把握する
https://doi.org/10.2[...]
[50]
논문
1.先天性巨大血小板症の診断
https://doi.org/10.2[...]
[51]
논문
The acanthocyte-echinocyte differential
https://doi.org/10.4[...]
EMH Media
[52]
논문
中性脂肪蓄積心筋血管症―この難病を1日でも早く克服する―
https://doi.org/10.2[...]
[53]
간행물
Poikilocytosis
https://www.ncbi.nlm[...]
[54]
간행물
Red blood cell morphology
https://onlinelibrar[...]
[55]
논문
Multiple pappenheimer bodies
https://doi.org/10.1[...]
Wiley Online Library
[56]
간행물
Confirmed diagnosis of classic Wiskott–Aldrich syndrome in East Africa: a case report
https://jmedicalcase[...]
[57]
간행물
Three neglected numbers in the CBC: The RDW, MPV, and NRBC count
https://www.ccjm.org[...]
[58]
논문
貧血:診断と治療の進歩 赤血球と貧血についての基本的事項 貧血に関する検査とその読み方
https://doi.org/10.2[...]
日本内科学会
[59]
논문
II.貧血の分類と診断の進め方
https://doi.org/10.2[...]
日本内科学会
[60]
간행물
Nonmalignant leukocyte disorders
https://www.ncbi.nlm[...]
Elsevier
2023-04-08
[61]
논문
本邦におけるヒトへのBabesia寄生のはじめての証明
https://doi.org/10.1[...]
日本感染症学会
[62]
간행물
Histology, Basophilic Stippling
https://www.ncbi.nlm[...]
[63]
논문
Auer rods and faggot cells: A review of the history, significance and mimics of two morphological curiosities of enduring relevance
https://onlinelibrar[...]
[64]
논문
〈臨床検査シリーズ〉血液検査室の流れ:血球算定から骨髄像検査まで
http://id.nii.ac.jp/[...]
近畿大学医学会
2009-12
[65]
간행물
臨床検査のガイドライン2012:貧血
http://jslm.info/GL2[...]
2023-04-11
[66]
간행물
臨床検査のガイドライン2012:白血病
http://jslm.info/GL2[...]
2023-04-11
본 사이트는 AI가 위키백과와 뉴스 기사,정부 간행물,학술 논문등을 바탕으로 정보를 가공하여 제공하는 백과사전형 서비스입니다.
모든 문서는 AI에 의해 자동 생성되며, CC BY-SA 4.0 라이선스에 따라 이용할 수 있습니다.
하지만, 위키백과나 뉴스 기사 자체에 오류, 부정확한 정보, 또는 가짜 뉴스가 포함될 수 있으며, AI는 이러한 내용을 완벽하게 걸러내지 못할 수 있습니다.
따라서 제공되는 정보에 일부 오류나 편향이 있을 수 있으므로, 중요한 정보는 반드시 다른 출처를 통해 교차 검증하시기 바랍니다.
문의하기 : help@durumis.com



