편평상피세포암
"오늘의AI위키"의 AI를 통해 더욱 풍부하고 폭넓은 지식 경험을 누리세요.
1. 개요
편평상피세포암은 편평 상피 세포에서 발생하는 암의 일종으로, 다양한 신체 부위에서 발생할 수 있다. 발생 부위는 구강, 피부, 갑상선, 식도, 폐, 생식기, 전립선, 난소, 방광, 눈 등 다양하며, 각 부위별로 발생 원인과 특징이 다를 수 있다. 진단은 생검을 통해 이루어지며, 조직학적 아형에 따라 분류된다. 예방을 위해서는 금연, 절주, 자외선 차단, HPV 백신 접종 등이 권장되며, 식습관 또한 영향을 미칠 수 있다.
더 읽어볼만한 페이지
- 상피조직 - 단층원주상피
단층원주상피는 기둥 모양의 세포로 구성된 상피로, 흡수, 분비, 보호 기능을 수행하며 섬모 유무에 따라 섬모단층원주상피와 비섬모단층원주상피로 구분된다. - 상피조직 - 중층편평상피
중층편평상피는 여러 겹의 편평한 상피 세포로 구성되어 신체 내부와 외부를 보호하며, 비각질과 각질 형태로 존재하고 피부암, 식도암 등 다양한 질환과 관련된다. - 종양학 - 이형성
이형성은 세포의 비정상적인 성장과 발달을 특징으로 하는 의학 용어이며, 초기 신생물성 과정을 나타내고 발암 위험을 증가시킬 수 있다. - 종양학 - 전이 (의학)
전이는 암세포가 원발 부위에서 혈관이나 림프관을 통해 다른 부위로 이동하는 과정으로, 폐, 간, 뇌, 뼈 등에 흔히 발생하며 다양한 증상을 유발하고, 상피-간엽 전이 및 간엽-상피 전이 가설, 암줄기세포 가설 등 복잡한 기전을 통해 림프관, 혈행, 체강 등 여러 경로를 거쳐 진행되며, 조직검사, 영상 검사 등으로 진단하고 방사선수술, 항암화학요법, 방사선치료 등으로 치료한다. - 암 - 피부암
피부암은 피부 세포에서 발생하는 악성 종양으로, 자외선 노출, 유전적 요인, 면역 저하 등이 원인이 되며 기저세포암, 편평상피세포암, 흑색종으로 나뉘고 조기 발견과 자외선 차단이 중요하다. - 암 - 자궁경부암
자궁경부암은 인유두종바이러스 감염이 주원인인 자궁 경부의 악성 종양으로, 초기에는 증상이 미미하지만 진행 시 질 분비물 증가, 성교통, 골반통이 나타날 수 있으며, 자궁경부 세포진 검사, 조직 생검 등으로 진단하고 수술, 방사선 치료, 항암 치료 등으로 치료하며, HPV 백신 접종과 정기 검진으로 예방이 가능하다.
| 편평상피세포암 | |
|---|---|
| 기본 정보 | |
![]() | |
| 다른 이름 | 표피암종 가시세포암 |
| 분야 | 종양학 |
| 증상 | |
| 증상 | 붉은색의 단단한 결절, 벗겨짐, 출혈, 가려움증 |
| 원인 | |
| 위험 요인 | 자외선 노출 인간 유두종 바이러스 (HPV) 감염 흉터 만성 궤양 비소 노출 방사선 노출 흡연 면역 억제 |
| 진단 | |
| 진단 방법 | 조직 검사 |
| 예방 | |
| 예방 방법 | 자외선 차단, 인간 유두종 바이러스 백신 접종 |
| 치료 | |
| 치료 방법 | 외과적 절제 방사선 치료 화학 요법 국소 요법 |
| 빈도 | |
| 발생 빈도 | 피부암의 약 20% |
| 사망 | |
| 사망률 | 약 2% |
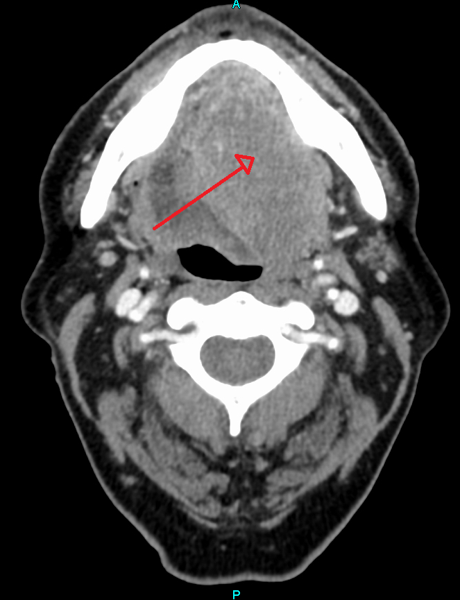
2. 발생 부위
인간 유두종 바이러스 감염은 구강인두암, 폐,[2] 손가락,[3] 및 항문생식기 부위의 편평상피세포암과 관련이 있다. 편평상피세포암은 다음과 같은 신체 부위에서 발생할 수 있다.
- '''두경부암''': 비강, 비인두 등을 포함한 구강, 인두 및 관련 구조 암의 약 90%[4]를 차지한다.
- '''피부 편평 세포 암종''': 미국에서 매년 100만 건 이상 발생하는 두 번째로 흔한 피부암이다.[5]
- '''갑상선 편평상피세포암''': 공격적인 경향을 보이며 예후가 좋지 않다.[6]
- '''식도암''': 식도 편평상피세포암(ESCC)은 입에 가깝게 발생한다.
- '''폐''': 주로 흡연으로 인해 발생하는 비소세포폐암으로, 중심부에 위치한 대세포암이다.[8]
- '''생식기''': 인간 유두종 바이러스 감염(HPV), 특히 HPV 16형과 18형은 남성의 음경 편평상피세포암과 관련이 깊다.[9] 질 편평상피세포암은 가장 흔한 유형의 질암이다.[12]
- '''전립선''': 매우 공격적인 특성을 보인다.[10]
- '''난소 편평상피세포암''': 난소암의 1%를 차지하는 드문 종양이다.[13]
- '''방광''': 주혈흡충증과 관련된 방광암은 흔히 편평상피세포암이지만,[1] 한국에서는 드물다.
- '''눈''': 결막 편평 세포 암종 및 각막 상피내 종양은 눈 표면 편평 상피내 종양(OSSN)을 구성한다.
2. 1. 두경부

두경부암(구강, 비강, 비인두, 인두 및 관련 구조의 암) 사례의 약 90%[4]가 편평상피세포암(SCC)으로 인해 발생한다.
2. 2. 피부
피부 편평 세포 암종은 미국에서 매년 100만 건 이상 발생하는 두 번째로 흔한 피부암이다.[5]2. 3. 갑상선
갑상선 편평상피세포암은 공격적인 생물학적 표현형을 보이며, 환자의 예후가 좋지 않다.[6]2. 4. 식도
식도암은 식도 편평상피세포암(ESCC) 또는 선암종(EAC)에 의해 발생할 수 있다. 편평상피세포암은 입에 더 가깝게 발생하고, 선암종은 위에 더 가깝게 발생한다. 연하곤란(삼키기 어려움, 액체보다 고체 음식에서 더 심함)과 통증을 동반한 연하는 흔한 초기 증상이다. 질병이 국소적인 경우, 영향을 받은 식도의 외과적 제거가 완치의 가능성을 제공할 수 있다. 질병이 전파된 경우, 화학 요법과 방사선 치료가 일반적으로 사용된다.[7]2. 5. 폐

폐와 관련된 경우, 전형적으로 중심부에 위치한 대세포암(비소세포폐암)이다. 이는 종종 부신생물 증후군을 유발하여 부갑상선 호르몬 관련 단백질의 이소성 생성을 유발, 고칼슘혈증을 일으키지만, 부신생물 증후군은 소세포폐암과 더 일반적으로 관련되어 있다. 주로 흡연으로 인해 발생한다.[8]
2. 6. 생식기
인간 유두종 바이러스 감염(HPV), 주로 HPV 16형과 18형은 남성의 음경 편평상피세포암 발병과 강하게 연관되어 있다.[9] 보웬병, 케이랏 홍색증, 보웬양 구진증은 음경 편평상피세포암의 전암 병변으로 알려져 있다.- 보웬병은 음경 몸통에 백반증으로 나타나며, 약 3분의 1의 사례가 편평상피세포암으로 진행된다.
- 케이랏 홍색증은 보웬병의 변형으로, 귀두에 홍반증으로 나타난다.
- 보웬양 구진증은 조직학적으로 보웬병과 유사하며, 붉은 구진으로 나타난다.
질 편평상피세포암은 천천히 확산되며 보통 질 근처에 머물지만, 폐와 간으로 전이될 수 있다. 이는 가장 흔한 유형의 질암이다.[12]
2. 7. 전립선
전립선과 관련된 편평상피세포암은 매우 공격적인 특성을 보인다.[10] 전립선 특이 항원 수치의 증가가 나타나지 않아 발견하기 어려우며, 이는 종종 암이 진행된 단계에서 진단됨을 의미한다.[11]2. 8. 난소
난소 편평상피세포암(oSCC) 또는 ''편평 난소 암종''(SOC)은 드문 종양으로, 난소암의 1%를 차지한다.[13]2. 9. 방광
주혈흡충증과 관련된 방광암은 흔히 편평상피세포암이다.[1] 그러나 한국에서는 주혈흡충증 발생이 거의 없어, 방광 편평상피세포암은 드물다.2. 10. 눈
결막 편평 세포 암종 및 각막 상피내 종양은 눈 표면 편평 상피내 종양(OSSN)을 구성한다.3. 진단



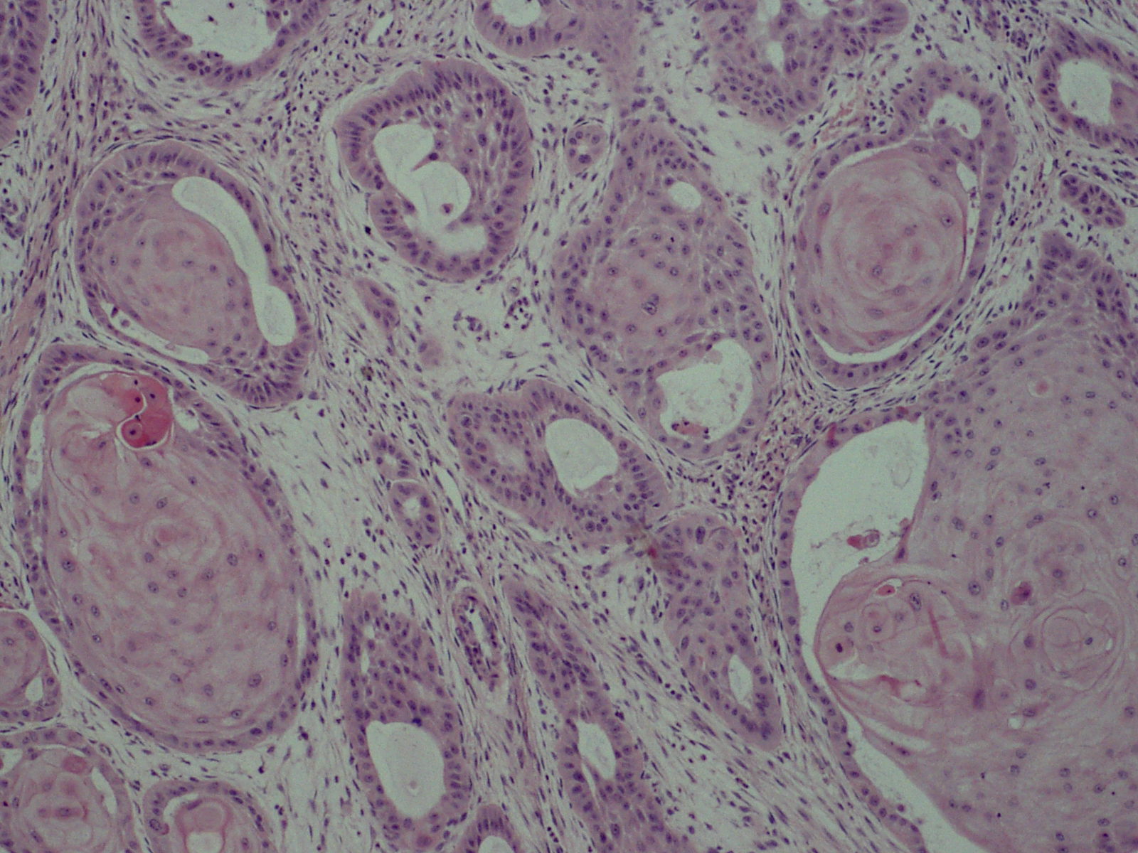
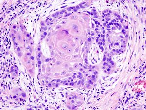
병력, 신체 검사 및 의학 영상은 편평상피세포암을 시사할 수 있지만, 일반적으로 조직병리학적 생검을 통해 진단을 확정한다. TP63 염색은 편평상피세포암의 주요 조직학적 표지자이다. 또한 TP63은 편평 세포의 정체성을 확립하는 데 필수적인 전사 인자이다.[18]
4. 분류
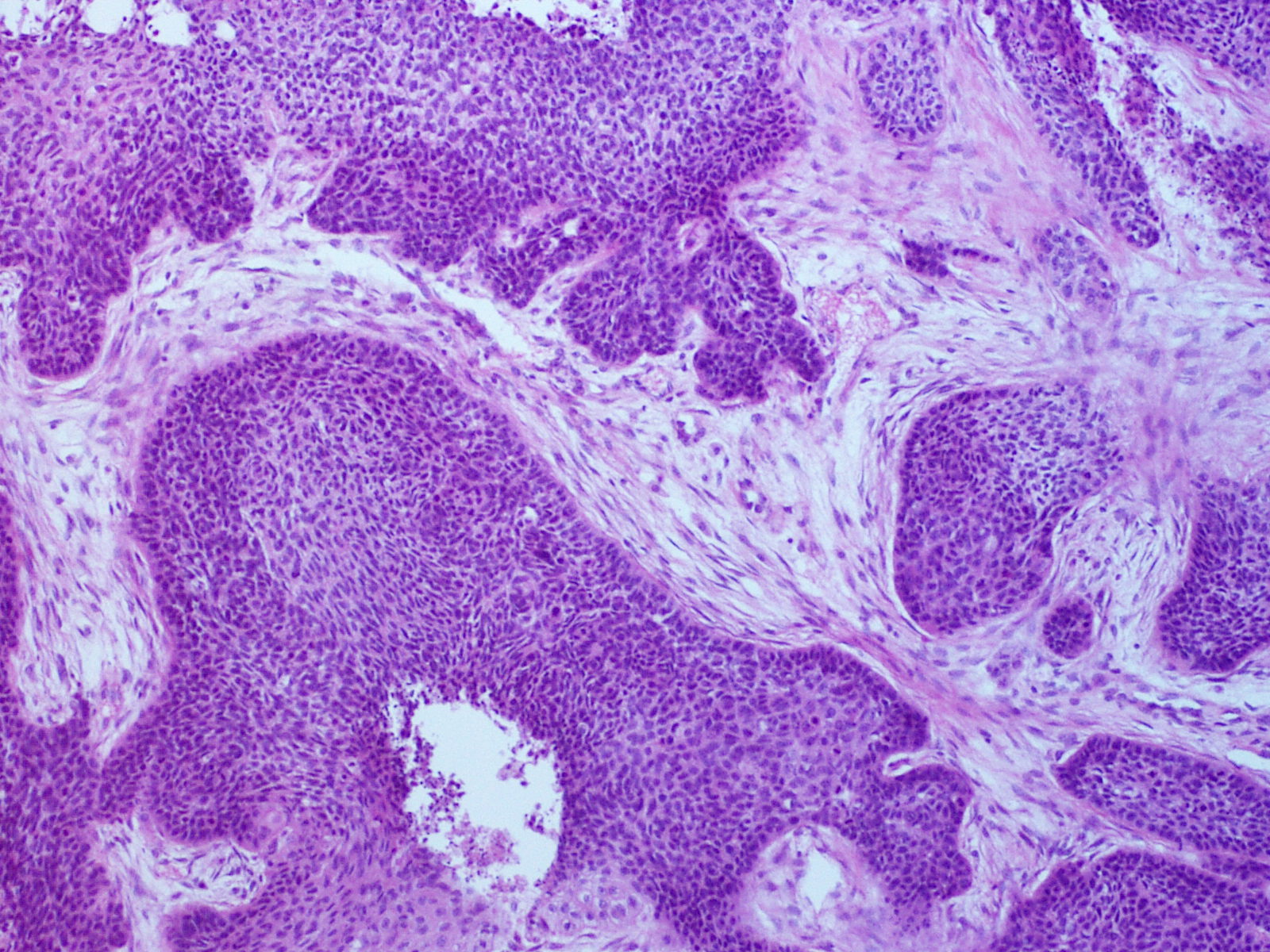
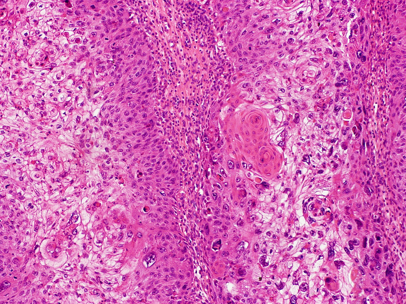
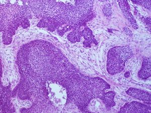
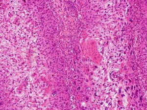
편평상피세포암(SCC)은 상피 계통의 암 줄기 세포가 반복적이고 제어되지 않게 분열하면서 시작된다.[19][20][21] 이 암은 신체 여러 부위를 덮고 있는 편평한 세포인 편평 상피 세포에서 발생하며, 그 중 일부는 각질 세포이다. 암세포가 축적되면 비정상 세포의 미세한 초점이 생기는데, 초기에는 기원 세포가 있던 조직 내에 국한된다. 이러한 상태를 편평상피세포 상피내암종이라고 한다.
병변이 성장하여 인접 구조를 파괴하고 침투하면 "침윤성" 편평상피세포암이라고 한다. 침윤성 암은 다른 장기로 퍼져 전이를 일으킬 수 있다.
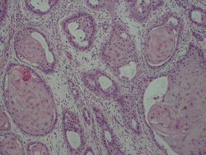
4. 1. 조직학적 아형 (ICD-O 기준)
| 종양학을 위한 국제 질병 분류(ICD-O) 코드 | 조직학적 아형 |
|---|---|
| 8050/3 | 유두 갑상선 암종 |
| 8051/3 | 사마귀 편평상피세포암종 |
| 8052/3 | 유두 편평상피세포암종 |
| 8070/3 | 편평상피세포암종 |
| 8071/3 | 대세포 각질화 편평상피세포암종 |
| 8072/3 | 대세포 비각질화 편평상피세포암종 |
| 8073/3 | 소세포 각질화 편평상피세포암종 |
| 8074/3 | 방추세포 편평상피세포암종[23] |
| 8075/3 | 선양/가선상 편평상피세포암종 |
| 8081/3 | 표피내 편평상피세포암종 |
| 8082/3 | 림프상피 암종 |
| 다른 SCC 변종으로는 각질극세포종 등이 있다. | |
4. 2. 기타 조직병리학적 아형
- 퀘이라트 적색비후증
- 마졸린 궤양은 치유되지 않는 궤양 또는 화상 상처에서 발생하는 편평상피세포암의 한 유형이다. 그러나 최근 증거에 따르면 이전에 제대로 인식되지 않았던 편평상피세포암과 마졸린 궤양 사이에는 유전적 차이가 존재한다고 한다.[24]
- 샘양 편평상피세포암(가성선상 편평상피세포암이라고도 함)은 관 모양의 현미경 패턴과 각질세포 극세포융해가 특징이다.[25]
- 기저양 편평상피세포암은 주로 혀, 편도 또는 후두에서 발견되지만, 폐 또는 다른 부위에서도 발생할 수 있다.[26]
- 투명 세포 편평상피세포암(피부의 투명 세포 암종이라고도 함)은 수포성 팽윤의 결과로 투명하게 보이는 각질세포가 특징이다.[25]
- 반지세포 편평상피세포암(때로는 반지세포 편평상피세포암으로 표현됨)은 각질로 구성된 동심원과 현저하게 확장된 소포체에 해당하는 큰 공포가 특징인 조직학적 변이형이다.[25] 이러한 공포는 세포 세포 핵을 세포막 쪽으로 급격하게 이동시킬 정도로 확장되어 현미경으로 볼 때 세포가 독특하게 "반지"와 유사한 모습을 보인다.
5. 예방
피부 편평 세포 암종은 미국에서 매년 100만 건 이상 발생하는, 두 번째로 흔한 피부암이다.[5] 연구에 따르면 식단과 편평상피세포암(SCC)을 포함한 피부암 사이에 연관성이 있다. 고지방 유제품 섭취는 이전에 피부암을 앓았던 사람들에게서 SCC 종양 위험을 증가시킨다. 녹색 잎채소는 후속 SCC의 발병을 예방하는 데 도움이 될 수 있으며, 여러 연구에서 생 채소와 과일이 SCC 위험에 대해 유의미하게 보호 효과를 갖는다는 것을 발견했다.[27][28] 반면에, 전유, 요구르트, 치즈 섭취는 민감한 사람들에게 SCC 위험을 증가시킬 수 있다.[29] 또한, 육류 및 지방 위주의 식단은 SCC 병력이 없는 사람들에게도 SCC 위험을 증가시킬 수 있지만, 이 연관성은 피부암 병력이 있는 사람들에게서 더 두드러진다.[30] 흡연과 맥주 및 술 섭취가 많은 식습관 또한 SCC 위험을 상당히 증가시킨다.[31][27]
참조
[1]
웹사이트
NCI Dictionary of Cancer Terms
https://www.cancer.g[...]
2011-02-02
[2]
논문
Correlation of HPV-16/18 infection of human papillomavirus with lung squamous cell carcinomas in Western China
2009-06
[3]
웹사이트
Recurrent Squamous Cell Carcinoma In Situ of the Finger
http://www.medscape.[...]
2010-09-22
[4]
웹사이트
Types of head and neck cancer - Understanding - Macmillan Cancer Support
http://www.macmillan[...]
[5]
간행물
Squamous Cell Skin Cancer
http://www.ncbi.nlm.[...]
StatPearls Publishing
2022
[6]
논문
Squamous cell carcinoma of the thyroid gland: primary or secondary disease?
2011-01
[7]
웹사이트
Esophageal Cancer
https://www.lecturio[...]
2020-10-26
[8]
서적
Porth pathophysiology: concepts of altered health states
https://books.google[...]
Wolters Kluwer Health/Lippincott Williams & Wilkins
[9]
서적
Robbins Basic Pathology
Saunders/Elsevier
2007
[10]
논문
Primary prostatic squamous cell carcinoma
2021-01
[11]
논문
Transformation of adenocarcinoma of prostate to squamous cell carcinoma following hormonal treatment: A case report and review of the literature
2019-04
[12]
웹사이트
Squamous-cell Carcinoma of the Vagina
http://www.dynamed.c[...]
2018-02-20
[13]
Case report
Pure Primary Squamous Cell Carcinoma of Ovary – A Rare Case Report
2017-05
[14]
웹사이트
Squamous cell carcinoma pathology
https://dermnetnz.or[...]
2014-05-03
[15]
웹사이트
Cervix - Squamous cell carcinoma and variants
https://www.patholog[...]
[16]
웹사이트
Cervix - Squamous cell carcinoma and variants
https://www.patholog[...]
[17]
웹사이트
Adenocarcinoma overview
https://www.patholog[...]
[18]
논문
Maintaining protein stability of ∆Np63 via USP28 is required by squamous cancer cells
2020-04
[19]
논문
Tumor taxonomy for the developmental lineage classification of neoplasms
2004-11
[20]
논문
Tumor classification: molecular analysis meets Aristotle
2004-03
[21]
서적
Pathology and Genetics of Tumours of the Lung, Pleura, Thymus and Heart
http://www.iarc.fr/e[...]
IARC Press
[22]
서적
International Classification of Diseases for Oncology: ICD-0
World Health Organization
[23]
서적
Dermatology: 2-Volume Set
Mosby
[24]
논문
Transcriptional Analysis Reveals Evidence of Chronically Impeded ECM Turnover and Epithelium-to-Mesenchyme Transition in Scar Tissue Giving Rise to Marjolin's Ulcer
2017-01
[25]
서적
Fitzpatrick's dermatology in general medicine
McGraw-Hill
2003
[26]
서적
Squamous Cell Carcinoma
InTech
[27]
논문
Food groups and risk of squamous cell carcinoma of the oesophagus: a case-control study in Uruguay
2003-10
[28]
논문
Food intake and the occurrence of squamous cell carcinoma in different sections of the esophagus in Taiwanese men
2009-07
[29]
논문
Food intake and risk of squamous cell carcinoma of the skin in a community: the Nambour skin cancer cohort study
2006-10
[30]
논문
Dietary pattern in association with squamous cell carcinoma of the skin: a prospective study
2007-05
[31]
논문
Dietary patterns and risk of squamous-cell carcinoma and adenocarcinoma of the esophagus and adenocarcinoma of the gastric cardia: a population-based case-control study in Sweden
2006
[32]
웹인용
NCI Dictionary of Cancer Terms
https://www.cancer.g[...]
2011-02-02
본 사이트는 AI가 위키백과와 뉴스 기사,정부 간행물,학술 논문등을 바탕으로 정보를 가공하여 제공하는 백과사전형 서비스입니다.
모든 문서는 AI에 의해 자동 생성되며, CC BY-SA 4.0 라이선스에 따라 이용할 수 있습니다.
하지만, 위키백과나 뉴스 기사 자체에 오류, 부정확한 정보, 또는 가짜 뉴스가 포함될 수 있으며, AI는 이러한 내용을 완벽하게 걸러내지 못할 수 있습니다.
따라서 제공되는 정보에 일부 오류나 편향이 있을 수 있으므로, 중요한 정보는 반드시 다른 출처를 통해 교차 검증하시기 바랍니다.
문의하기 : help@durumis.com
