주혈흡충증
"오늘의AI위키"의 AI를 통해 더욱 풍부하고 폭넓은 지식 경험을 누리세요.
1. 개요
주혈흡충증은 주혈흡충과에 속하는 기생충에 의해 발생하는 질병으로, 사람을 포함한 포유류가 감염될 수 있다. 주요 병원충으로는 만손주혈흡충, 빌하르츠주혈흡충, 일본주혈흡충 등이 있으며, 감염된 물에 노출되어 피부를 통해 기생충이 침투하여 발생한다. 감염 초기에는 피부 발진이나 가려움증이 나타날 수 있으며, 만성 감염으로 진행되면 장, 간, 비뇨생식기 등에 심각한 손상을 일으킬 수 있다. 진단은 혈액이나 대변, 소변 검사를 통해 기생충 항원이나 충란을 확인하여 이루어지며, 치료에는 프라지콴텔과 옥사미퀴닌 등의 약물이 사용된다. 예방을 위해서는 오염된 물과의 접촉을 피하고, 위생적인 환경을 유지하는 것이 중요하다.
더 읽어볼만한 페이지
- 기생충병 - 회충증
회충증은 회충 감염으로 발생하는 질환으로, 회충 알이 섞인 음식 섭취를 통해 감염되며 장폐색, 내장 손상, 폐렴 등을 유발할 수 있으며, 대변 검사로 진단하고 위생 시설 개선과 구충제 사용으로 치료 및 예방한다. - 기생충병 - 낭미충증
낭미충증은 돼지촌충 유충인 낭미충이 인체에 감염되어 발생하는 질병으로, 경구-분변 경로를 통해 감염되며 뇌, 눈, 근육 등에 다양한 증상을 유발하고, CT, MRI 등으로 진단하여 항기생충제 투여, 수술 등으로 치료하며 위생 개선, 돼지고기 위생 관리 등으로 예방할 수 있다. - 수인성 질병 - 장티푸스
장티푸스는 살모넬라 엔테리카 세로바르 티피균에 의해 발생하는 수인성 전염병으로, 고열, 두통, 복통 등의 증상을 보이며, 항생제를 사용하여 치료하고 개인 위생과 환경 위생을 통해 예방한다. - 수인성 질병 - 이질
이질은 세균이나 기생충 감염으로 발병하는 감염성 질환으로, 혈액이 섞인 설사, 복통, 발열 등의 증상을 보이며, 세균성과 아메바성으로 나뉘고 위생 환경 개선으로 발생 빈도는 감소했으나 개발도상국에서는 여전히 주요한 건강 문제이다. - 소외질병 - 나병
나병은 주로 피부, 말초 신경 등을 침범하는 만성 감염 질환으로, *M. leprae*와 *M. lepromatosis*에 의해 발생하며, 다제 병용 요법으로 치료하고 조기 진단과 치료가 중요하다. - 소외질병 - 승저증
승저증은 파리 유충이 살아있는 척추동물의 조직이나 체액 등을 섭취하며 기생하는 질병으로, 다양한 부위에서 발생 가능하며 위생 환경이 열악하거나 면역력이 저하된 경우 발병 위험이 높고, 괴사 조직 제거에 구더기를 이용하는 치료법이 주목받고 있다.
2. 분류
주혈흡충과에 속하는 흡충(편형동물)은 암수딴몸이며 혈관에 기생하는 기생충이다. 포유류가 종숙주이며, 사람에게 감염되는 주혈흡충으로는 빌하르쯔주혈흡충(Schistosoma haematobium), 장간막주혈흡충(Schistosoma intercalatum), 일본주혈흡충(Schistosoma japonicum), 만손주혈흡충(Schistosoma mansoni), 메콩주혈흡충(Schistosoma mekongi) 5종이 있다.
그 외에도 야생 동물이나 가축에 감염되는 종이 알려져 있으며, 이들이 사람에게 세르카리아 피부염을 일으키기도 한다.
2. 1. 인체 감염 주혈흡충
흡충(편형동물) 중 주혈흡충과에 속하는 기생충이 인체 감염 주혈흡충의 병원체이다. 암수 이체이며 혈관에 기생한다는 점에서 특징적이다. 포유류가 종숙주이며, 사람에게 감염되는 주혈흡충으로는 다음 5종이 존재한다.- 빌하르쯔주혈흡충(Schistosoma haematobium): 요로 주변의 정맥총에 기생
- 인터칼라툼주혈흡충(S. intercalatum)
- 일본주혈흡충(S. japonicum)
- 만손주혈흡충(S. mansoni)
- 메콩주혈흡충(S. mekongi): 문맥 등 장관 주변의 정맥총에 기생
가장 먼저 나타날 수 있는 반응은 처음 12시간에서 며칠 이내에 유충이 피부를 관통하여 발생하는 가려운 반점구진 발진이다.[40] 처음 노출된 민감하지 않은 사람에게는 이러한 발진이 일반적으로 경미하며 따끔거리는 느낌이 동반되지만, 이는 과민 반응의 일종이므로 빠르게 저절로 사라진다.[40] 이전에 감염된 적이 있는 민감한 사람의 경우, 발진이 가렵고 붉게 솟아오른 병변(구진)으로 발전할 수 있으며, 일부는 체액으로 채워진 병변(수포)으로 변한다.[40] 유충에 의한 이전 감염은 더 강력한 면역 반응으로 인해 더 빠르게 진행되고 악화된 피부염을 유발한다.[17] 둥근 융기는 일반적으로 지름이 1~3cm이다.[18] 영향을 받는 지역에 거주하는 사람들은 종종 반복적으로 노출되기 때문에, 급성 반응은 관광객과 이주민에게서 더 흔하게 나타난다.[19] 발진은 노출 후 처음 몇 시간에서 일주일 사이에 발생할 수 있으며, 일반적으로 약 7~10일 이내에 저절로 사라진다.[18][40]
인체 주혈흡충증의 경우, "수영객 가려움증"이라고 불리는 유사한 유형의 피부염은 조류를 자주 감염시키는 동물 흡충류의 유충에 의해서도 발생할 수 있다.[14][40][20] 유충 피부염은 전염성이 없으며 사람 간에 전파될 수 없다.[42]
증상은 다음과 같다.
발진을 긁으면 피부에 2차 세균 감염이 발생할 수 있으므로, 긁지 않는 것이 중요하다.[42] 가려움증에 대한 일반적인 치료법으로는 코르티코스테로이드 크림, 가려움 완화 로션, 발진 부위에 냉찜질, 엡솜염 또는 베이킹 소다 목욕, 심한 가려움증의 경우 처방전이 필요한 크림 및 로션 등이 있다.[42] 경구 항히스타민제도 가려움증 완화에 도움이 될 수 있다.[40]
그 외에도 야생 동물이나 가축에 감염되는 종이 알려져 있으며, 이들이 사람에게 세르카리아 피부염을 일으키는 경우도 있다.
2. 2. 기타 주혈흡충
주혈흡충과에 속하는 흡충(편형동물)은 암수딴몸으로 혈관에 기생하는 기생충이다. 포유류가 종숙주이며, 사람에게 감염되는 주혈흡충으로는 빌하르츠주혈흡충(Schistosoma haematobium), 인터칼라툼주혈흡충(S. intercalatum), 일본주혈흡충(S. japonicum), 만손주혈흡충(S. mansoni), 메콩주혈흡충(S. mekongi) 5종이 있으며, 이들은 각각 요로 주변의 정맥총이나 문맥 등 장관 주변의 정맥총에 기생한다.그 외에도 야생 동물이나 가축에 감염되는 종이 알려져 있으며, 이들이 사람에게 세르카리아 피부염을 일으키는 경우도 있다.
3. 증상
주혈흡충증은 증상이 없는 경우부터 심각한 경우까지 다양하게 나타난다. 증상은 크게 급성 감염과 만성 감염으로 나뉘며, 기생충의 종류, 감염 정도, 숙주의 면역 상태에 따라 달라진다.

주혈흡충이 피부를 뚫고 들어갈 때 가려운 발진 (세르카리아 피부염)이 나타날 수 있다. [104] 조류가 최종 숙주인 주혈흡충의 유충(세르카리아)이 침입해도 피부염이 발생하지만, 인체 내에서 기생하지 못하고 죽기 때문에 피부염만 나타나고 끝난다.
만성 감염의 경우, 성충의 기생 부위에 따라 요로 주혈흡충증과 장관 주혈흡충증으로 나뉜다. 요로 주혈흡충증은 혈뇨, 요로 섬유증, 신염을 일으키고, 방광암 위험을 높인다. 생식기 병변은 여성에게는 음부 염증, 출혈, 결절, 성교통을, 남성에게는 정낭, 전립선 이상을 일으켜 불임을 유발할 수 있다. 장관 주혈흡충증은 복통, 설사, 혈변을 일으키며, 간경변, 문맥압 항진, 복수, 식도 정맥류로 인한 토혈을 유발할 수 있다. 뇌종양과 비슷한 증상을 보이기도 한다.
3. 1. 급성 감염
많은 사람이 주혈흡충증에 감염되어도 증상을 경험하지 않는다. 증상이 나타나는 경우, 감염 후 보통 4~6주가 걸린다. 질병의 첫 번째 증상은 일반적인 불쾌감일 수 있다. 감염 후 12시간 이내에 "수영자 가려움증"이라고 불리는 따끔거림이나 가벼운 발진이 나타날 수 있는데, 이는 옴이나 다른 유형의 발진과 비슷할 수 있다.[40]주혈흡충 감염의 징후는 기생충의 유충(세르카리아)과 성충, 그리고 그 알이 몸을 통해 이동하면서 시간에 따라 달라진다.[14] 알이 뇌나 척수로 이동하면 발작, 마비 또는 척수 염증이 발생할 수 있다.[15]
급성 증상으로는 유충 피부염(수 시간에서 수일)과 급성 전신 주혈흡충증(2~8주)이 있으며, 발열, 근육통, 기침, 혈성 설사, 오한, 림프절 비대 등의 증상이 나타날 수 있다. 일부 환자는 호흡 곤란 및 저산소증을 경험할 수 있는데, 이는 폐 침윤 발생과 관련이 있다.[16]
처음 12시간에서 며칠 이내에 유충이 피부를 뚫고 들어가면서 가려운 반점구진 발진이 나타날 수 있다.[40] 처음 감염되는 사람에게는 따끔거리는 느낌과 함께 경미한 발진이 나타나지만, 이전에 감염된 적이 있는 사람은 가렵고 붉게 솟아오른 병변(구진)이 나타나고, 일부는 체액으로 채워진 수포로 변하기도 한다.[40] 이전 감염은 더 강한 면역 반응을 일으켜 피부염을 악화시킨다.[17] 둥근 융기는 보통 지름이 1~3cm이다.[18]
주혈흡충증은 기본적으로 만성 질환이다. 주혈흡충이 피부로 침입했을 때 가려움을 동반하는 발진(세르카리아 피부염)이 나타난다. 급성기 증상으로는 발열, 두드러기, 설사, 간비종, 기침 등이 있으며 "가타야마열"[104]이라고 불리지만, 뚜렷한 증상이 없는 불현성 감염이 되는 경우도 많다.
증상:
발진을 긁으면 2차 세균 감염이 발생할 수 있으므로 긁지 않는 것이 중요하다.[42]
가려움증 치료법:[42]
급성 주혈흡충증(가타야마 열)은 초기 감염 후 몇 주 또는 몇 달(약 2~8주) 후에 나타날 수 있으며, 혈류를 통해 폐를 거쳐 간으로 이동하는 주혈흡충 유충과 알의 항원에 대한 전신 반응이다.[14] 가타야마 열은 처음 감염된 사람들에게서 더 흔하게 나타나며, 심한 감염과 관련이 있다.[41] ''Schistosoma japonicum''은 만성 감염된 인구에서 급성 주혈흡충증을 유발할 수 있으며, 더욱 심각한 형태의 급성 주혈흡충증으로 이어질 수 있다.[40]
급성 주혈흡충증 증상:
급성 주혈흡충증은 대부분 2~8주 안에 자연적으로 낫지만,[21] 소수의 환자들은 지속적인 체중 감소, 설사, 광범위한 복통 및 발진을 겪는다.[14]
신경학적 합병증:[40]
심장 합병증:
치료법:
- 프레드니손과 같은 코르티코스테로이드는 과민 반응을 완화하고 염증을 줄이는 데 사용된다.[40]
- 프라지콴텔은 만성 감염을 예방하기 위해 코르티코스테로이드 치료 외에도 성충 주혈흡충을 죽이는 데 사용될 수 있다.[40] 프라지콴텔은 유충에는 효과가 없기 때문에 초기 감염 후 몇 주 후에 반복 치료가 필요할 수 있다.[21] 초기 노출 후 4~6주 후에 프라지콴텔로 치료하는 것이 권장된다.[23]
- 옥사미퀸(50mg/kg 1회)은 주혈흡충증 초기 단계에 투여할 수 있다. 프라지콴텔보다 유충에 더 효과적이지만, ''S. mansoni''에만 효과가 있다.
- 아르테메테르는 7~21일 된 유충에 효과적인 아르테미신 유도체이지만, 노출된 어린이의 ''S. mansoni'' 감염을 50%만 감소시킨다.
3. 2. 만성 감염
많은 사람이 증상을 경험하지 않는다. 증상이 나타나면 감염 후 보통 4~6주가 걸린다. 질병의 첫 번째 증상은 일반적인 병적인 느낌일 수 있다. 감염 후 12시간 이내에 개인은 침입 부위의 자극으로 인해 "수영자 가려움증"이라고 불리는 따끔거림이나 가벼운 발진을 호소할 수 있다. 발생할 수 있는 발진은 옴 및 다른 유형의 발진을 모방할 수 있다.주혈흡충증은 기본적으로 만성 질환이다. 주혈흡충이 피부로 침입했을 때 가려움을 동반하는 발진(세르카리아 피부염)이 나타난다.[104] 급성기 증상으로는 발열, 두드러기, 설사, 간비종, 기침 등이 있으며 "가타야마열"이라고 불리지만, 뚜렷한 증상이 없는 불현성 감염이 되는 경우도 많다. 또한, 최종 숙주가 조류인 주혈흡충의 세르카리아 침입으로도 피부염이 발생하지만, 충체는 기생에 성공하지 못하고 그대로 사멸하므로, 피부염만 나타나고 종식된다.
만성 증상은 성충의 기생 부위에 따라 요로 주혈흡충증과 장관 주혈흡충증으로 크게 나눌 수 있다. (주혈흡충은 각각 요로 또는 장관을 둘러싼 정맥총에 기생한다.)
요로 주혈흡충증에서는 혈뇨가 나타나며, 진행되면 요로의 섬유증이나 신염이 나타난다. 합병증으로 방광암이 증가하는 것으로 알려져 있다. 병변은 생식기에도 미치며, 여성에서는 음부의 염증 및 출혈, 결절, 성교통 등, 남성에서는 정낭 및 전립선에 이상이 나타나 불임의 원인이 되기도 한다.
장관 주혈흡충증에서는 복통, 설사, 혈변 등이 나타난다. 진행되면 간경변이 일어나고, 문맥압 항진에 의해 복수가 찬다. 식도 정맥류가 나타나 토혈을 하는 경우도 있다. 뇌종양과 비슷한 증상을 보이기도 한다.
만성 감염의 경우, 성충은 염증 반응을 일으킬 수 있는 알을 낳는다. 알은 방출을 돕기 위해 단백질 분해 효소를 분비하여 방광과 장으로 이동한다. 또한 조직에 알이 갇히거나 간, 비장, 폐 또는 뇌로 색전증이 발생하면 효소는 호산구 염증 반응을 일으킨다.[14] 장기적인 증상은 주혈흡충의 종류에 따라 달라지는데, 성충이 각기 다른 부위로 이동하기 때문입니다.[24] 많은 감염은 증상이 경미하며, 빈혈과 영양실조가 유행 지역에서 흔하게 나타난다.[25]
3. 3. 신경 주혈흡충증
벌레 또는 알이 감염의 급성 단계 동안 척수로 이동하는 경우 척수 염증(횡단 척수염)이 발생할 수 있다.[40]다음은 신경 주혈흡충증의 증상이다.[40]
4. 원인
흡충(편형동물) 중 주혈흡충과에 속하는 기생충이 주혈흡충증의 원인이다. 주혈흡충은 암수딴몸이며 혈관에 기생한다는 점에서 특징적이다. 포유류가 종숙주이며, 사람에게 감염되는 주혈흡충으로는 빌하르츠주혈흡충(Schistosoma haematobium), 인터칼라툼주혈흡충(S. intercalatum), 일본주혈흡충(S. japonicum), 만손주혈흡충(S. mansoni), 메콩주혈흡충(S. mekongi) 5종이 있다.[24][44]
- ''S. haematobium''(빌하르츠주혈흡충): 방광과 요관 주변의 정맥에서 번식하며, 하루 최대 3000개의 알을 생산한다. 이 알은 정맥에서 방광과 요관 내강으로 이동하지만, 최대 50%는 주변 조직에 갇혀 육아종성 염증, 폴립 형성, 방광, 요관 및 생식기 조직의 궤양을 유발할 수 있다. 감염 후 10~12주 후에 혈뇨를 유발하며, 시간이 지남에 따라 섬유증은 요로 폐쇄, 수신증 및 신부전을 유발할 수 있다.[40][44][14][18] 방광암 진단 및 사망률은 영향을 받는 지역에서 일반적으로 증가하며, 특히 남성 흡연자에게서 방광암 위험이 높다.[18][27][20]
- 여성: 비뇨생식기 질환은 HIV 전파율을 증가시킬 수 있는 생식기 병변을 포함할 수 있으며, 병변이 나팔관이나 난소를 침범하는 경우 불임으로 이어질 수 있다.[18][28][29][40]
- 남성: 생식 기관이 영향을 받으면 정액에 혈액이 나타날 수 있다.[40]
요로 증상으로는 혈뇨(가장 흔한 증상), 배뇨통, 빈뇨, 단백뇨, 이차 요로 감염, 이차 신장 감염, 방광벽의 석회화 등이 있다.[40][41] 생식기 증상으로는 자궁 경부, 질 또는 외음부의 염증 및 궤양, 정액 내 혈액, 여성 불임 등이 있다.[40][41]
신장 기능은 많은 경우 영향을 받지 않으며, 벌레를 제거하기 위한 적절한 치료를 통해 병변을 되돌릴 수 있다.[40]
그 외에도 야생 동물이나 가축에 감염되는 종이 알려져 있으며, 이들이 사람에게 세르카리아 피부염을 일으키는 경우도 있다.
4. 1. 생활사
주혈흡충과에 속하는 기생충은 포유류를 종숙주, 담수산 권패류를 중간 숙주로 하며, 대략 비슷한 생활환을 가진다.1. 감염 및 배출: ''주혈흡충''에 감염된 개체는 대변이나 소변을 통해 물속으로 알을 배출한다.[8]
- 현미경으로 대변 샘플을 채취하면 ''S. intercalatum'', ''S. mansoni'', ''S. japonicum''의 알을 확인할 수 있다.
- 소변 샘플을 현미경으로 관찰하면 ''S. haematobium''의 알과 드물게 ''S. mansori''의 알을 확인할 수 있다.[32]
2. 유충 부화 및 달팽이 감염: 배출된 알에서 유충이 부화한 후, 유충은 특정한 종류의 담수 달팽이를 감염시킨다.[33]
- ''S. haematobium''과 ''S. intercalatum''은 ''Bulinus'' 속 달팽이
- ''S. mansoni''는 ''Biomphalaria''
- ''S. japonicum''은 ''Oncomelania''
3. 달팽이 내 발달: 주혈흡충 유충은 달팽이 안에서 생활 주기의 다음 단계를 거치며, 번식하고 발달한다.
4. 세르카리아 유충 방출: 이 단계가 완료되면 기생충(세르카리아)은 달팽이를 떠나 물속으로 들어간다. 기생충은 포유류 숙주가 없으면 물속에서 48시간 동안만 생존할 수 있다.
5. 인체 감염: 숙주를 찾으면 벌레는 혈관으로 들어간다. 인간은 목욕, 놀이, 수영, 세탁, 낚시, 또는 물을 걸어 다니는 동안 오염된 물에 들어갈 때 주혈흡충 기생충의 유충과 마주하게 된다.[35][36][32]
6. 성체 발달 및 짝짓기: 벌레는 몇 주 동안 혈관에 머물면서 성체 단계로 계속 발달한다. 성숙기에 도달하면 짝짓기가 일어나고 알이 생성된다.
7. 알 배출 및 반복: 알은 방광/창자로 들어가 소변과 대변을 통해 배설되고, 이 과정이 반복된다. 알이 배설되지 않으면 신체 조직에 박혀 면역 반응 및 장기 손상과 같은 다양한 문제를 일으킬 수 있다.[8]
- 일반적으로 담수 달팽이가 서식하는 국가에서만 전파가 발생하지만, 독일에서는 한 남성이 수족관에 있던 감염된 달팽이로 인해 주혈흡충증에 걸린 사례가 보고되었다.[34]
- 흡충 (편형동물) 중 주혈흡충과에 속하는 기생충이 병원체이다. 암수 이체이며 혈관에 기생한다는 점에서 특징적이다.
- 사람에게 감염되는 주혈흡충: 빌하르츠주혈흡충(Schistosoma haematobium), 인터칼라툼주혈흡충(S. intercalatum), 일본주혈흡충(S. japonicum), 만손주혈흡충(S. mansoni), 메콩주혈흡충(S. mekongi) 5종.
- 그 외에도 야생 동물이나 가축에 감염되는 종이 알려져 있으며, 이들이 사람에게 세르카리아 피부염을 일으키는 경우도 있다.
상세 생활사:1. 배설된 충란(1)은 담수에 닿으면 부화하여 유미유충이 헤엄쳐 나온다(2).
2. 유미유충은 담수산 달팽이의 체표에서 감염되어(3), 조직 내에서 낭상(囊狀)의 포자낭으로 변태한다(4).
3. 이 모포자낭 내에서 유생 생식을 통해 딸 포자낭이 형성된다.
4. 딸 포자낭은 중장선으로 이동하여 다시 유생 생식을 통해 다수의 세르카리아를 형성한다.
5. 세르카리아는 숙주 조개의 일주기 리듬에 따라 탈출하여 수중을 유영한다(5).
6. 세르카리아는 포유류의 피부에 닿으면 단백질 분해 효소를 분비하여 피부 안으로 침입하고(6), 그 머리 부분만이 시스토소미울라로 변태한다(7).
7. 시스토소미울라는 2일 정도 피부에 머물며, 세정맥에서 혈류를 타고 폐로 향한다(8).
8. 폐에서 성충으로 변태한 후, 감염 8일에서 10일 정도에 간의 동양혈관에 도달하여, 구흡반을 발달시키고 적혈구를 포식하여 성숙한다(9).
9. 성숙한 주혈흡충은 체장 10mm 정도로, 암컷이 약간 짧은 수컷의 포란관에 끼워지듯이 짝을 이루어 최종적인 기생 부위로 이동하여 산란한다(10).
10. 세르카리아의 감염에서 성숙하여 산란을 시작하기까지 6~8주가 걸리고, 수 년에서 20년 정도 기생을 계속한다. 태어난 충란은 소화관 또는 요로에서 숙주 체외로 배출된다.
4. 2. 감염 경로
''주혈흡충''에 감염된 개체는 대변이나 소변을 통해 물속으로 알을 배출한다. 현미경으로 대변 샘플을 채취하면 ''S. intercalatum'', ''S. mansoni'', ''S. japonicum''의 알을 확인할 수 있다. 소변 샘플을 현미경으로 관찰하면 ''S. haematobium''의 알과 드물게 ''S. mansori''의 알을 확인할 수 있다.[32] 이러한 알에서 유충이 부화한 후, 유충은 매우 특정한 종류의 담수 달팽이를 감염시킨다. 예를 들어, ''S. haematobium''과 ''S. intercalatum''의 경우 ''Bulinus'' 속의 달팽이이고, ''S. mansoni''의 경우 ''Biomphalaria'', ''S. japonicum''의 경우 ''Oncomelania''이다.[33] 주혈흡충 유충은 이러한 달팽이 안에서 생활 주기의 다음 단계를 거치며, 번식하고 발달하는 데 시간을 보낸다. 이 단계가 완료되면 기생충은 달팽이를 떠나 물속으로 들어간다. 기생충은 포유류 숙주가 없으면 물속에서 48시간 동안만 생존할 수 있다. 숙주를 찾으면 벌레는 혈관으로 들어간다. 벌레는 몇 주 동안 혈관에 머물면서 성체 단계로 계속 발달한다. 성숙기에 도달하면 짝짓기가 일어나고 알이 생성된다. 알은 방광/창자로 들어가 소변과 대변을 통해 배설되고 이 과정이 반복된다. 알이 배설되지 않으면 신체 조직에 박혀 면역 반응 및 장기 손상과 같은 다양한 문제를 일으킬 수 있다.[8] 일반적으로 담수 달팽이가 서식하는 국가에서만 전파가 발생하지만, 독일에서는 한 남성이 수족관에 있던 감염된 달팽이로 인해 주혈흡충증에 걸린 사례가 보고되었다.[34]인간은 목욕, 놀이, 수영, 세탁, 낚시, 또는 물을 걸어 다니는 동안 오염된 물에 들어갈 때 주혈흡충 기생충의 유충과 마주하게 된다.[35][36][32] 수영이나 물을 마시는 등 물과 접촉할 때 감염된다. 어업이나 논농사 등의 작업으로 물에 잠겼을 때에도 감염될 수 있다.

5. 병리
주혈흡충은 평균 3~5년 동안 생존할 수 있으며, 알은 감염 후 30년 이상 생존할 수 있다.[40]
감염은 주혈흡충의 자유롭게 헤엄치는 유충 형태인 유미유충이 흡반, 단백질 분해 효소, 꼬리 움직임을 사용하여 인간의 피부를 관통하면서 시작된다. 유미유충은 꼬리를 잃고 스키스토뮬라로 변형된 후 정맥계를 통해 심장과 폐로 이동하여 결국 간에 도달하여 성충으로 성숙한다.[39][40] 주혈흡충에 의해 발생하는 질병은 급성 주혈흡충증과 만성 주혈흡충증으로 특징지어지며, 주혈흡충의 종에 따라 다양할 수 있다.[41]
'''급성 감염'''
- 초기 감염 후 몇 분에서 며칠:
- * 유미유충 피부염(수영객 가려움증) - 유미유충이 피부를 관통한 부위에서 국소적인 알레르기 반응으로 인해 가렵고 붉은 뾰루지와 물집으로 특징지어지는 염증 반응.[42]
- 초기 감염 후 몇 주에서 몇 달:
- * 급성 주혈흡충증(카타야마 열) - 정확한 병태생리는 알려져 있지 않다.[41] 이동성 스키스토뮬라와 난자에서 외래 항원에 대한 면역 복합체 형성(제3형 과민성)으로 인한 전신 면역 반응, 그리고 이 복합체의 다양한 조직 침착으로 자가면역 반응이 활성화되어 발생하는 것으로 추정된다.[40][41] ''S. mansoni''와 ''S. haematobium''에 의해 발생하는 급성 주혈흡충증은 일반적으로 유행 지역을 방문하는 관광객과 같이 처음 감염된 사람들에게 영향을 미친다.[40] ''S. japonicum''에 의해 발생하는 급성 주혈흡충증의 경우 유행 지역에 거주하는 인구에서 재감염이 발생할 수 있으며, 더 높은 발병률을 보이며 예후가 더 나쁠 수 있다.[40] ''S. japonicum''에 의해 방출되는 다량의 난자 항원이 항체와 상호 작용하여 많은 양의 면역 복합체를 형성하고, 이로 인해 림프 조직이 비대해진다는 가설이 제시되었다.[40] 이러한 일련의 사건은 발열, 섬유증으로 인한 비장 및 간 비대, 문맥 고혈압, 사망의 임상 증상으로 이어질 수 있다.[40]
'''만성 감염'''
만성 감염의 임상 증상은 주로 조직 내에 난자가 갇히는 것에 대한 면역 반응으로 인해 육아종이 형성되고 만성 염증이 발생하는 것이다.[41] 성충은 쌍(수컷 1마리와 암컷 1마리)으로 함께 살면서 성적으로 번식하며, 종에 따라 장과 방광 주변의 정맥에 난자를 낳는다. 이 난자는 정맥벽을 파열하여 주변 조직으로 탈출할 수 있다.[43] 난자는 단백질 분해 효소의 도움을 받아 조직을 통과하여 장이나 방광강으로 이동하지만, 많은 양의 난자는 여정을 마치지 못하고 조직 내에 갇혀 면역 반응을 유발할 수 있다.[41] 이 난자 내의 섬모충은 염증성 면역 반응을 자극하는 항원을 방출할 수 있다.[41] 난자 내의 섬모충은 약 6~8주 동안 생존한 후 죽어 항원 방출을 멈춘다.[41] 육아종 반응은 CD4+ T 세포, 호중구, 호산구, 림프구, 대식세포 및 단핵구에 의해 매개되는 세포 면역 반응이며, 난자에 의해 유발된 이러한 만성 염증 반응은 섬유증, 조직 파괴, 관련 장기의 기능을 방해하는 육아종 결절을 유발할 수 있다.[41][44] Th1 도우미 세포 반응은 감염 초기 단계 동안 IFN-'''γ'''와 같은 사이토카인을 방출하는 것이 두드러지며, 난자 생산이 진행됨에 따라 IgE, IL-4 및 호산구 수치가 증가하는 Th2 반응으로 전환된다.[40] 만성 감염에서 Th2 반응은 IL-10, IL-13 및 IgG4의 수치를 증가시켜 육아종의 진행을 되돌리고 육아종 부위에 콜라겐 침착을 유도한다.[40] 이로 인해 발생하는 특정 임상 증상과 질병의 심각성은 주혈흡충 감염의 유형, 감염 기간, 난자 수 및 난자가 침착된 장기에 따라 다릅니다.[41] 조직에 갇힌 난자의 양은 주혈흡충이 제거되지 않으면 계속 증가한다.[41]
만손 주혈흡충과 일본 주혈흡충은 장간막과 직장의 정맥으로 이동하는 반면, 빌하르츠 주혈흡충은 직장 정맥총을 거쳐 방광, 요관, 신장 등의 정맥총으로 이동한다. 이 기생 부위의 차이가 장관 주혈흡충증과 요로 주혈흡충증이라는 증상의 차이를 만들어낸다.
감염된 어른벌레가 증상을 일으키는 것이 아니라, 어른벌레가 낳은 충란에 대해 숙주가 면역 반응을 일으켜 격렬한 염증 반응을 일으키고, 그것으로 인해 조직이 손상되는 것이 각종 증상의 원인이 된다. 따라서, 구충해도 충란이 남아있는 한 증상이 완화되지 않는다.
특히 일본 주혈흡충은 하루에 3000개나 되는 많은 충란을 낳아 심한 증상을 일으킨다.
6. 진단
주혈흡충증 진단에는 대변이나 소변에서 충란을 현미경으로 확인하는 방법, 혈액에서 항체를 검출하는 방법, 그리고 기타 검사 방법이 사용된다.
- 충란 검출: 자세한 내용은 #충란 검출 하위 섹션을 참조.
- 항체 검출: 자세한 내용은 #항체 검출 하위 섹션을 참조.
- 기타 검사:
- 중합 효소 연쇄 반응(PCR) 검사는 정확하고 빠르지만, 장비 비용과 기술적 전문성이 필요해 주혈흡충증 유행 국가에서는 널리 사용되지 않는다.[49] 2019년 기준으로 현미경 검사 비용은 검사당 0.4달러인 반면, PCR 검사는 7USD이다.[50] 등온 증폭법은 비용이 저렴해 연구 중이나, 2019년 기준 상용화되지는 않았다.[49][50]
- 지역 사회에서 ''S. haematobium'' 선별 검사를 위해 소변 검사 스트립을 사용하거나, ''S. mansoni'' 및 ''S. japonicum'' 감염에 대한 대변 내 혈액 검사를 위해 대변 구아야크 검사를 할 수 있다.[40]
- 유행 지역 여행자나 이주민은 CBC (전혈구 검사)를 통해 혈액 내 호산구 수치가 높은지 확인하여 급성 감염 여부를 판단할 수 있다.[40]
- 간비장 주혈흡충증이 의심되면 간 기능 검사를 실시하고, 이상 소견이 있으면 간염 검사를 추가한다.[40]
- 호산구 증가증은 대부분의 기생충 감염에서 나타나며, 주혈흡충증의 경우에도 CBC 검사로 확인할 수 있다.[16]
- 다른 검사로 감염을 확인하기 어렵지만 주혈흡충증이 의심되면 직장, 방광, 간 조직 생검을 통해 충란을 찾을 수 있다.[40][41]
- X-선, 초음파 검사, 컴퓨터 단층 촬영(CT), 자기 공명 영상(MRI) 등 영상 기법은 주혈흡충증의 심각도와 감염 장기 손상 정도를 평가하는 데 사용된다.[51]
- PET/CT 스캔은 드물게 주혈흡충증 진단에 도움을 줄 수 있다.[51]
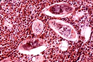
6. 1. 충란 검출
감염 진단은 대변에서 충란을 확인하여 확진한다. 주혈흡충(학명: ''S. mansoni'')의 충란은 크기가 약 140 x 60 μm이며 측면 가시가 있다. 진단은 반정량적 대변 검사 기법인 카토-카츠 기법을 사용하여 향상된다. 사용할 수 있는 다른 방법으로는 효소 면역 측정법, 환상 난침강 반응 검사, 알칼리성 인산분해효소 면역 측정법 등이 있다.[45]대변 또는 소변에서 충란을 현미경으로 확인하는 것이 가장 실용적인 진단 방법이다. 주혈흡충(학명: ''S. mansoni'') 또는 일본주혈흡충(학명: ''S. japonicum'') 감염이 의심되는 경우 대변 검사를 실시해야 하며, 방광주혈흡충(학명: ''S. haematobium'') 감염이 의심되는 경우 소변 검사를 실시해야 한다. 충란은 모든 ''주혈흡충'' 종의 감염에서 대변에 존재할 수 있다. 검사는 간단한 도말 검사(대변 물질 1~2mg)로 수행할 수 있다. 충란은 간헐적으로 또는 소량으로 배출될 수 있으므로, 반복적인 검사 또는 농축 절차, 또는 둘 다를 통해 검출을 향상시킬 수 있다. 또한, 현장 조사 및 연구 목적으로는 카토-카츠 기법(대변 물질 20~50mg) 또는 리치 기법을 사용하여 충란 배출량을 정량화할 수 있다. 충란은 방광주혈흡충(학명: ''S. haematobium'') 감염(채취 권장 시간: 정오에서 오후 3시 사이) 및 일본주혈흡충(학명: ''S. japonicum'') 감염 시 소변에서 발견될 수 있다. 표준량의 소변을 핵공 필터 막을 통해 여과한 후 막에서 충란 수를 세는 방식으로 정량화가 가능하다. 조직 생검(모든 종에 대한 직장 생검 및 방광주혈흡충(학명: ''S. haematobium'')에 대한 방광 생검)은 대변 또는 소변 검사 결과가 음성일 때 충란을 확인할 수 있다.[46]
요추 시약 스트립을 사용한 소변 내 미세혈뇨 확인은 유행 지역에서 활동성 주혈흡충증을 확인하는 데 순환 항원 검사보다 더 정확하다.[47]
진단은 ELISA를 통해 환자 혈액에서 기생충 항원을 검출하여 이루어진다. 현미경으로 변 또는 뇨 중에 충란을 검출하는 것도 가능하다. 또한 방광 주혈흡충의 경우, 골반 X선 사진에서 특징적인 방광 석회화가 관찰된다.

6. 2. 항체 검출
항체 검출은 주혈흡충증이 흔한 지역을 여행했으며 대변이나 소변 검체에서 기생충 알이 검출되지 않는 사람들에게 주혈흡충 감염을 나타내는 데 유용할 수 있다. 혈청학적 주혈흡충증 진단을 위해 보고된 다양한 검사에서 검사 민감도와 특이도는 광범위하게 다르며, 사용된 항원 제제(조잡, 정제, 성충, 알, 유미충)의 유형과 검사 절차에 따라 달라진다.[46]미국 질병통제예방센터(CDC)에서는 정제된 성충 항원을 이용한 검사 조합이 항체 검출에 사용된다. 모든 혈청 검체는 ''S. mansoni'' 성충 미세소체 항체를 사용하여 FAST-ELISA로 검사한다. 양성 반응(혈청 9단위/μL 초과)은 ''Schistosoma'' 종의 감염을 나타낸다. ''S. mansoni'' 감염에 대한 민감도는 99%, ''S. haematobium'' 감염에 대한 민감도는 95%, ''S. japonicum'' 감염에 대한 민감도는 50% 미만이다. 주혈흡충 감염을 감지하는 이 검사의 특이도는 99%이다. FAST-ELISA의 검사 민감도는 ''S. mansoni'' 이외의 종에 대해 감소하므로, ''S. haematobium'' 및 ''S. japonicum'' 감염의 감지를 보장하기 위해 해당 환자의 여행 이력에 맞는 종의 면역블롯도 검사한다. 성충 미세소체 항체를 이용한 면역블롯은 종 특이적이므로 양성 반응은 감염 종을 나타낸다. 항체의 존재는 단지 과거의 주혈흡충 감염을 나타낼 뿐이며 임상 상태, 기생충 부하, 알 생산 또는 예후와 연관될 수 없다. 환자가 여행한 지역은 면역블롯 검사에서 어떤 ''Schistosoma'' 종을 검사할지 결정하는 데 도움이 될 수 있다.[46]
2005년, 런던 자연사 박물관의 러셀 스토타드(Russell Stothard)가 이끄는 팀은 런던의 주혈흡충증 통제 이니셔티브와 협력하여 우간다에서 장 주혈흡충증 진단을 위한 새로운 휴대용 현미경의 현장 평가를 수행했다.[48] 진단은 ELISA를 통해 환자 혈액에서 기생충 항원을 검출하여 이루어진다.
6. 3. 기타 검사
중합 효소 연쇄 반응(PCR) 기반 검사는 정확하고 빠르다.[49] 그러나, 이 질병이 흔한 국가에서는 장비 비용과 검사 수행에 필요한 기술적 전문성 때문에 자주 사용되지 않는다.[49] 현미경을 사용하여 충란을 검출하는 데는 검사당 0.4달러가 소요되는 반면, PCR은 2019년 기준 검사당 7USD이다.[50] 등온 증폭법은 비용이 더 저렴하여 연구되고 있다.[49] LAMP 검사는 2019년 현재 상용화되지 않았다.[50]지역 사회에서의 ''S. haematobium'' 선별 검사는 혈뇨를 확인하기 위해 소변 검사 스트립을 사용하거나, 잠재적인 ''S. mansoni'' 및 ''S. japonicum'' 감염에 대한 대변 내 혈액 검사를 위해 대변 구아야크 검사를 사용할 수 있다.[40] 유행 지역의 여행자나 이주민의 경우, 급성 감염을 나타낼 수 있는 혈액 내 높은 수준의 호산구를 확인하기 위해 CBC (전혈구 검사)를 할 수 있다.[40] 간비장 주혈흡충증이 의심되는 경우 간 기능 검사를 실시할 수 있으며, 간 기능 검사가 비정상적인 경우 후속적인 간염 검사 패널을 주문할 수 있다.[40]
대부분의 기생충 감염과 마찬가지로, 주혈흡충증은 일반적으로 호산구 증가증을 유발하며, 이는 CBC (전혈구 검사)로 확인할 수 있다.[16] 주혈흡충증의 다른 진단 방법으로 감염을 감지하지 못했지만, 주혈흡충증에 대한 의심이 여전히 높은 경우, 직장, 방광 및 간에서 조직 생검을 얻어 조직 표본 내에서 주혈흡충의 알을 찾을 수 있다.[40][41]
X-선, 초음파 검사, 컴퓨터 단층 촬영(CT), 자기 공명 영상(MRI)과 같은 영상 기법은 주혈흡충증의 심각성과 감염된 장기의 손상을 평가하는 데 활용될 수 있다.[51] 예를 들어, 흉부 X-선 및 CT 스캔은 폐 주혈흡충증으로 인한 폐의 병변을 감지하는 데 사용될 수 있으며, 골반 X-선은 만성 요로 주혈흡충증에서 방광의 석회화를 보여줄 수 있다.[51] 초음파 검사는 간비장 주혈흡충증에서 간과 비장의 이상을 확인하는 데 사용될 수 있으며, 간 CT 스캔은 ''S. japonicum'' 감염과 관련된 간의 석회화를 확인하는 데 좋은 도구이다.[51] CT 스캔은 또한 장, 비뇨생식기 및 중추 신경계의 주혈흡충증 감염으로 인한 손상을 평가하는 데 사용될 수 있다.[51] MRI는 중추 신경계, 간 및 생식기의 주혈흡충증을 평가하는 데 사용된다.[51]
대사 활동이 높은 조직을 식별하는 PET/CT 스캔은 드문 경우의 주혈흡충증 진단에 도움이 되기 위해 사용되었다.[51] 이는 주혈흡충의 알에 의해 유발되는 높은 수준의 염증으로 인해 주변 조직의 대사율이 증가하기 때문이다.[51]
진단은 ELISA를 통해 환자 혈액에서 기생충 항원을 검출하여 이루어진다. 현미경으로 변 또는 뇨 중에 충란을 검출하는 것도 가능하다. 또한 방광 주혈흡충의 경우, 골반 X선 사진에서 특징적인 방광 석회화가 관찰된다.
7. 치료
주혈흡충증은 항흡충제인 프라지콴텔로 쉽게 치료할 수 있다. 프라지콴텔은 안전하고 저렴하지만, 치료가 필요한 환자의 14%에게만 보급되고 있다.[102] 그 외에, 만손주혈흡충에는 옥삼니킨, 빌하르츠주혈흡충에는 메트리포네이트가 효과가 있다. 과거에는 안티몬이 사용되기도 했다.
7. 1. 치료제

주혈흡충증 치료에는 프라지콴텔과 옥사미퀴닌 두 가지 약물이 사용된다.[60] 이들은 ''S. mansoni''에 대한 효능과 안전성 측면에서 동등하게 여겨진다.[61] 프라지콴텔이 치료 비용이 더 저렴하고, 옥사미퀴닌은 ''S. haematobium''에 의해 발생하는 비뇨생식기 형태의 질병에 효과가 없기 때문에 일반적으로 프라지콴텔이 치료의 첫 번째 선택으로 여겨진다.[62] 프라지콴텔은 임산부와 어린 아이에게도 안전하게 사용할 수 있다.[41] 치료의 목표는 질병을 치료하고 급성 형태에서 만성 형태로의 진행을 막는 것이다. 성충 기생충은 숙주 안에서 수년간 살 수 있기 때문에 주혈흡충증이 의심되는 모든 경우에 증상과 관계없이 치료해야 한다.[63]
주혈흡충증은 프라지콴텔을 1년에 한 번 경구 복용하여 치료할 수 있다.[64] 프라지콴텔은 성충 주혈흡충만 제거하며, 알과 미성숙 벌레를 죽이는 데는 효과가 없다.[40] 미성숙 벌레는 프라지콴텔 치료 후에도 생존하여 성충 주혈흡충으로 자랄 수 있다.[40] 따라서 프라지콴텔 치료 후 약 4~6주 후에 대변 및/또는 소변 검사를 반복하여 주혈흡충증을 검사하는 것이 중요하다.[40] 기생충을 완전히 제거하기 위해 프라지콴텔 치료를 반복할 수 있다.[40]
세계보건기구(WHO)는 이 질병이 흔한 마을의 어린이들에게 미치는 영향을 기반으로 지역 사회 치료 지침을 개발했다.[64]
다른 가능한 치료법으로는 프라지콴텔과 메트리포네이트, 아르테수네이트, 또는 메플로퀸의 조합이 있다.[65] 코크란 리뷰는 메트리포네이트를 단독으로 사용했을 때 프라지콴텔만큼 효과적이라는 잠정적인 증거를 발견했다.[65] 과거에 말라리아의 치료 및 예방에 사용되었던 메플로퀸은 2008~2009년에 주혈흡충에 효과적인 것으로 확인되었다.[66]
과거에는 주석산안티몬칼륨이 1980년대 프라지콴텔이 개발되기 전까지 주혈흡충증의 치료제로 남아 있었다.[67]
'''치료 후 모니터링'''
오스테오폰틴(OPN)은 프라지콴텔 효능과 치료 후 섬유증 퇴행을 모니터링하는 데 유망한 도구이다. OPN 발현은 ''S. mansoni'' 알 항원에 의해 조절되며, OPN 수치는 생쥐와 인간의 주혈흡충증 섬유증 및 문맥 고혈압의 심각성과 관련이 있다. 프라지콴텔 약물 요법은 생쥐의 전신 OPN 수치와 간 콜라겐 함량을 감소시킨다.[68] 항흡충제 프라지콴텔로 쉽게 치료할 수 있다. 프라지콴텔은 안전하고 저렴하지만, 치료가 필요한 환자의 14%에게만 보급되고 있다.[102] 그 외에, 만손주혈흡충에는 옥삼니킨, 빌하르츠주혈흡충에는 메트리포네이트가 효과가 있다. 과거에는 안티몬이 사용되기도 했다.
7. 2. 치료 후 관리
프라지콴텔로 주혈흡충증을 치료한 후에는 경과를 관찰하고 관리해야 한다.[64] 프라지콴텔은 성충만 죽이고 알과 미성숙 벌레에는 효과가 없으므로, 치료 후에도 감염자는 몇 주 동안 살아있는 알을 배출할 수 있다.[40] 또한 미성숙 벌레는 성충으로 자랄 수 있다.[40] 따라서 치료 후 약 4~6주 뒤에 대변 및 소변 검사를 다시 하여 주혈흡충증이 남아있는지 확인해야 한다.[40] 완전히 기생충을 없애기 위해 프라지콴텔 치료를 반복하기도 한다.[40]오스테오폰틴(OPN)은 프라지콴텔의 효과 및 치료 후 섬유증이 줄어드는 정도를 파악하는 데 유용한 지표이다.[68] OPN 수치는 쥐와 사람의 주혈흡충증 섬유증 및 문맥 고혈압의 심각도와 관련 있으며, 프라지콴텔 치료는 쥐의 전신 OPN 수치와 간 콜라겐 함량을 감소시킨다.[68]
8. 예방
많은 국가에서 주혈흡충증을 근절하기 위해 노력하고 있으며, 세계 보건 기구(WHO)는 이러한 노력을 장려하고 있다. 도시화, 오염, 그리고 달팽이 서식지 파괴로 인해 새로운 감염이 감소하는 경우도 있었다. 과거에는 연체동물 살충제를 사용하여 달팽이 개체수를 줄이려는 시도가 있었지만, 비용이 많이 들고 효과가 제한적이었다.[40] 프라지콴텔은 질병이 흔한 지역에 거주하는 고위험 인구의 예방에 사용된다.[52] 질병 통제 예방 센터는 주혈흡충증이 흔한 지역에서 오염된 물을 마시거나 접촉하는 것을 피하도록 권고한다.[53]
2014년의 검토 결과 깨끗한 물과 위생에 대한 접근성을 높이면 주혈흡충 감염이 감소한다는 잠정적인 증거가 발견되었다.[54] 다른 중요한 예방 조치로는 행동 변화를 유도하는 위생 교육과 안전한 수자원 공급을 보장하기 위한 위생 공학이 있다.[40]
중국은 주혈흡충증 관리를 위해 다음과 같은 세 번의 전략 변화를 겪었다.
2018년의 검토 결과, "새로운 통합 전략"은 인간과 중간 숙주 달팽이 모두에서 일본주혈흡충 감염률을 줄이는 데 매우 효과적이었으며, 기존 전략에 비해 감염 위험을 3~4배 줄였다.[59]
8. 1. 집단 투약
세계 보건 기구(WHO)는 많은 국가에서 주혈흡충증을 근절하기 위한 노력을 장려하고 있다. 도시화, 오염, 달팽이 서식지 파괴로 인해 새로운 감염이 감소한 경우도 있다. 과거에는 연체동물 살충제를 사용하여 달팽이 개체수를 줄이려는 시도도 있었지만, 비용이 많이 들고 효과가 제한적이었다.[40]프라지콴텔은 질병이 흔한 지역에 거주하는 고위험 인구의 예방에 사용된다.[52] 질병 통제 예방 센터는 주혈흡충증이 흔한 지역에서 오염된 물을 마시거나 접촉하는 것을 피하도록 권고한다.[53] 2014년의 검토 결과 깨끗한 물과 위생에 대한 접근성을 높이면 주혈흡충 감염이 감소한다는 잠정적인 증거가 발견되었다.[54]
다른 중요한 예방 조치로는 위생 교육과 안전한 수자원 공급을 보장하기 위한 위생 공학이 있다.[40] WHO는 예방적 구충제 투여를 권장하는데, 이는 주혈흡충증에 걸린 전체 인구에 대한 치료와, 프라지콴텔을 사용하여 주혈흡충증에 걸릴 위험이 높은 모든 집단에 대한 주기적인 치료를 의미한다.[8] 2019년에는 전 세계 주혈흡충증 환자의 44.5%가 치료를 받았으며, 예방적 화학 요법이 필요한 학령기 아동의 67.2%가 치료를 받았다.[8]
중국에서 주혈흡충증 관리 국가 전략은 세 번의 변화를 겪었다. 1950년대 중반부터 1980년대 초반까지는 전파 통제 전략, 1980년대 중반부터 2003년까지는 이환율 통제 전략, 2004년부터 현재까지는 "새로운 통합 전략"이 시행되고 있다. 이환율 통제 전략은 인간과 소의 동시 화학 요법에 중점을 두었고, 새로운 통합 전략은 주혈흡충증 전파 경로에 개입한다. 여기에는 소를 기계로 대체, 목초지에서 소 방목 금지, 위생 개선, 배에 분변 용기 설치, 프라지콴텔 약물 치료, 달팽이 통제, 건강 교육 등이 포함된다. 2018년의 검토 결과, "새로운 통합 전략"은 일본주혈흡충 감염률을 줄이는 데 매우 효과적이었으며, 기존 전략에 비해 감염 위험을 3~4배 줄였다.[59]
감염 위험이 높은 지역에서는 정기적으로 모든 주민에게 프라지콴텔을 투여하여 충란 수를 억제한다. 학동이나 물에 접촉하는 직업(어업이나 농업)에 종사하는 사람에 한정하여 투약하기도 한다. 동시에 위생 교육을 실시하고 분뇨 처리를 개선하는 등의 수단을 조합한다.
8. 2. 달팽이 구제
많은 국가에서 주혈흡충증을 근절하기 위해 노력하고 있으며, 세계 보건 기구는 이러한 노력을 장려하고 있다.[40] 도시화, 오염, 그리고 달팽이 서식지 파괴로 인해 새로운 감염이 감소하는 경우도 있었다. 과거에는 연체동물 살충제를 사용하여 달팽이 개체수를 줄이려는 시도가 있었지만, 비용이 많이 들고 효과가 제한적이었다.[40]1950년대부터 대규모 댐과 관개 시설 건설로 인해 주혈흡충증으로 인한 수인성 감염이 크게 증가했다. 1950년대 이후 여러 유엔 문서에 명시된 설계 지침을 따랐다면 이러한 문제를 최소화할 수 있었지만, 설계자들은 이를 인지하지 못했다.[55][56] 댐은 달팽이를 잡아먹는 대형 이동성 새우인 ''Macrobrachium''의 개체 수를 감소시켰고, 이는 주혈흡충증 증가의 원인 중 하나로 여겨진다. 1986년 세네갈강의 디아마 댐에서 댐 상류의 새우를 복원하자 달팽이 밀도와 인간의 주혈흡충증 재감염률이 모두 감소했다.[57][58]
중국에서는 주혈흡충증 관리를 위해 1950년대 중반부터 2004년까지 세 번의 전략 변화를 겪었다. 2004년부터는 "새로운 통합 전략"을 시행하여 소를 기계로 대체하고, 목초지에서 소 방목을 금지하며, 위생을 개선하고, 프라지콴텔 약물 치료, 달팽이 통제, 건강 교육 등을 실시했다. 2018년 연구에 따르면 이 전략은 감염 위험을 3~4배 줄이는 데 매우 효과적이었다.[59]
담수산 달팽이류 구제에는 아크롤레인, 황산구리, 니클로사미드 등이 사용된다. 가재 도입과 같이 생태계를 이용한 달팽이류의 생식 수 조정 방법도 고려할 수 있지만, 인위적인 생태계 변화를 초래할 수 있다.
8. 3. 위생 개선
많은 국가에서 주혈흡충증을 근절하기 위해 노력하고 있으며, 세계 보건 기구는 이러한 노력을 장려하고 있다.[40] 도시화, 오염, 그리고 달팽이 서식지 파괴로 인해 주혈흡충에 대한 노출과 새로운 감염이 줄어드는 경우가 있었다. 과거에는 연체동물 살충제를 사용하여 달팽이 개체수를 줄여 주혈흡충증을 예방하려는 시도가 있었지만, 비용이 많이 들고 달팽이 개체수를 줄이는 데 그치는 경우가 많았다.[40] 프라지콴텔은 질병이 흔한 지역에 거주하는 고위험 인구의 예방에 사용된다.[52] 질병 통제 예방 센터는 주혈흡충증이 흔한 지역에서 오염된 물을 마시거나 접촉하는 것을 피하도록 권고한다.[53]2014년의 한 검토에서는 깨끗한 물과 위생 시설을 개선하면 주혈흡충 감염이 감소한다는 잠정적인 증거가 발견되었다.[54] 다른 중요한 예방 조치로는 위생 교육을 통해 행동 변화를 유도하고, 안전한 수자원을 확보하기 위한 위생 공학이 있다.[40]
중국에서 주혈흡충증 관리 전략은 크게 세 번의 변화를 겪었다.
2018년의 한 검토에 따르면, "새로운 통합 전략"은 인간과 중간 숙주 달팽이 모두에서 일본주혈흡충 감염률을 줄이는 데 매우 효과적이었으며, 기존 전략에 비해 감염 위험을 3~4배 줄였다.[59]
수영이나 물을 마시는 등 물과 접촉하거나, 어업이나 논농사 등의 작업으로 물에 잠겼을 때에도 주혈흡충에 감염될 수 있다.
8. 4. 기타
많은 국가에서 주혈흡충증을 근절하기 위해 노력하고 있으며, 세계 보건 기구는 이러한 노력을 장려하고 있다.[40] 도시화, 오염, 그리고 달팽이 서식지 파괴로 인해 새로운 감염이 감소하는 경우도 있었다. 과거에는 연체동물 살충제를 사용하여 달팽이 개체수를 줄이려는 시도가 있었지만, 비용이 많이 들고 효과가 제한적이었다.[40] 주혈흡충증이 흔한 지역에서는 프라지콴텔이라는 약물을 사용하여 예방하기도 한다.[52] 질병 통제 예방 센터는 주혈흡충증이 흔한 지역에서 오염된 물을 피하도록 권고한다.[53]2014년 연구에 따르면 깨끗한 물과 위생 시설을 개선하면 주혈흡충 감염을 줄일 수 있다는 증거가 있다.[54] 위생 교육과 안전한 식수 공급도 중요한 예방 조치이다.[40]
1950년대 이후 대규모 댐과 관개 시설 건설로 인해 주혈흡충증이 크게 증가했다. 하지만 1950년대 이후 유엔 문서에 명시된 지침을 따르면 이러한 문제를 최소화할 수 있었다.[55] 달팽이가 서식하기 어렵고 주민과의 접촉을 줄이도록 관개 시설을 설계할 수 있지만,[55] 설계자들이 이러한 지침을 알지 못하는 경우가 많았다.[56] 댐은 달팽이를 잡아먹는 ''Macrobrachium''이라는 새우의 개체 수를 감소시켰고, 이는 주혈흡충증 증가의 원인 중 하나로 지목된다. 1986년 세네갈강의 디아마 댐 상류에 새우를 복원하자 달팽이 밀도와 인간의 주혈흡충증 재감염률이 감소했다.[57][58]
중국은 주혈흡충증 관리를 위해 세 번의 전략 변화를 겪었다. 1950년대 중반부터 1980년대 초반까지는 전파 통제 전략, 1980년대 중반부터 2003년까지는 이환율 통제 전략, 2004년부터 현재까지는 "새로운 통합 전략"을 시행하고 있다. 새로운 통합 전략은 소를 기계로 대체하고, 목초지에서 소 방목을 금지하며, 위생을 개선하고, 배에 분변 용기를 설치하는 등 주혈흡충증 전파 경로에 개입하는 방식이다. 2018년 연구에 따르면 이 전략은 감염 위험을 3~4배 줄이는 데 효과적이었다.[59]
백신 개발은 현재 연구 단계에 있다.
9. 역학
주혈흡충증은 말라리아 다음으로 사회경제적으로 큰 영향을 미치는 기생충 질환이다. 개발도상국 74개국에서 유행하고 있으며, 2억 명 이상이 감염되었고 7억 명 이상이 감염 위험에 노출되어 있다.[105] 2000만 명의 환자가 심각한 증상을 겪고 있으며,[106] 아프리카에서만 연간 약 20만 명이 이 질병으로 사망하는 것으로 추산된다.[102]
9. 1. 분포 지역

주혈흡충증은 아프리카, 카리브해, 남아메리카, 동남아시아, 중동의 열대 국가에서 발견된다. 만손주혈흡충(''S. mansoni'')은 남아메리카, 카리브해, 아프리카, 중동 일부 지역에서 발견되며, 빌하르츠주혈흡충(''S. haematobium'')은 아프리카와 중동에서 발견된다. 일본주혈흡충(''S. japonicum'')은 중국, 필리핀, 인도네시아 등 극동 지역에서 발견된다. 메콩주혈흡충(''S. mekongi'')과 인터칼라툼주혈흡충(''S. intercalatum'')은 각각 동남아시아와 중앙아프리카 서부에서 국소적으로 발견된다.
이 질병은 약 75개 개발도상국에서 풍토병으로, 주로 농촌 지역과 도시 주변 지역에 거주하는 사람들에게 영향을 미친다.[69][77][35]
특히 상하수도 설비가 제대로 갖춰지지 않은 지역이나, 가축 분뇨를 직접 하천에 배출하는 지역에서는 감염 확산이 우려된다.
사람의 기생충 질환 중에서 말라리아 다음으로 사회 경제적 영향이 큰 질환으로 여겨진다. 개발도상국 74개국에서 유행하고 있으며, 2억 명 이상이 감염되었고, 7억 명 이상이 감염 위험에 노출된 것으로 알려져 있다.[105] 또한 2000만 명의 환자가 심각한 증상으로 고통받고 있으며,[106] 아프리카에서만 연간 사망자 수가 20만 명 정도로 추산된다.[102]
9. 2. 감염 현황
주혈흡충증은 아프리카, 카리브해, 남아메리카, 동남아시아, 중동의 열대 국가에서 발견된다.
- '''만손주혈흡충'''(''S. mansoni''): 남아메리카, 카리브해, 아프리카, 중동 일부 지역
- '''빌하르츠주혈흡충'''(''S. haematobium''): 아프리카와 중동
- '''일본주혈흡충'''(''S. japonicum''): 극동 ( 중국, 필리핀, 인도네시아 등)
- '''메콩주혈흡충'''(''S. mekongi'')과 '''인터칼라툼주혈흡충'''(''S. intercalatum''): 각각 동남아시아와 서부 중앙 아프리카에서 국소적으로 발견
이 질병은 약 75개 개발도상국에서 풍토병으로, 주로 농촌 지역과 도시 주변 지역에 거주하는 사람들에게 영향을 미친다.[69][77][35]
특히 상하수도 설비가 제대로 갖춰지지 않은 지역이나, 가축에 의해 배출된 분뇨를 직접 하천에 배출하는 지역에서는 감염 확산이 우려된다.
사람의 기생충 질환 중에서 말라리아 다음으로 사회 경제적 영향이 큰 질환으로 여겨진다. 개발도상국 74개국에서 유행하고 있으며, 2억 명 이상이 감염되었고, 7억 명 이상이 감염 위험에 노출된 것으로 알려져 있다.[105] 또한 2000만 명의 환자가 심각한 증상으로 고통받고 있으며,[106] 연간 사망자 수는 아프리카에서만 20만 명 정도로 추산된다.[102]
10. 역사
주혈흡충증에 대한 가장 오래된 기록은 6,000년 이상 전으로 거슬러 올라간다. 시리아 북부(기원전 5800~4000년)에서 발견된 인간 골격 유해의 골반 퇴적물에서 주혈흡충의 증거가 발견되었다. 주혈흡충의 '요람'은 아프리카 대호수 지역으로 여겨지는데, 이곳에서 기생충과 중간 숙주가 모두 활발하게 진화했다. 이후 주혈흡충증은 파라오 제5왕조(기원전 2494~2345년경) 시기 원숭이와 노예 수입으로 이집트로 확산된 것으로 추정된다.[78] 고대 이집트의 그레코-로마 시대에는 주혈흡충증이 흔한 사망 원인이었다.[84]
과거 일본에서는 야마나시현, 히로시마현, 후쿠오카현에서 일본 주혈흡충 감염자가 많았지만, 1978년 야마나시현에서 마지막 환자가 확인된 이후 새로운 감염자는 보고되지 않고 있다. 1990년 후쿠오카현에서 안전 선언, 1996년 야마나시현에서 종식 선언이 이루어져, 일본은 세계에서 유일하게 주혈흡충증을 박멸한 국가가 되었다.
반면, 중화인민공화국은 대약진 운동 기간 중인 1958년에 "세계 최초의 주혈흡충증 박멸 성공"을 선언하고 현재도 선전에 사용하고 있지만, 실제로는 그렇지 못했다는 평가를 받는다.[107] 일본 주혈흡충증은 2000년까지 모든 유행 지역에서 박멸되었지만, 장강 유역 등 아시아 각지에서는 여전히 발생하고 있다.[101] 2016년에는 2억 명 이상이 치료를 필요로 했지만, 실제 치료를 받은 사람은 8,800만 명에 불과했다.[85]
10. 1. 고대 기록
농경 생활의 확산과 함께 관개에 사용되는 하천이나 호수에 서식하는 달팽이가 중간 숙주가 되면서 말라리아와 더불어 감염이 확대되었다. 사람에게는 생수를 통해 감염된다[101]。 주혈흡충 보균자는 만성적인 위나 가슴 통증, 피로감, 설사 등을 호소하며, 충란이 방광이나 요관 점막에 모이기 때문에 요로 장애가 생긴다[101]。 프랑스 역사 속 영웅인 나폴레옹 보나파르트는 요도의 심한 통증을 겪었는데, 이전에는 요로 결석이 원인으로 여겨졌지만, 그의 증상을 자세히 검토한 의사에 따르면 이집트 시리아 원정 때 감염된 빌하르츠 주혈흡충증일 가능성이 높다는 보고가 있었다[101]。10. 2. 근현대 연구
2010년에는 약 2억 3,800만 명이 주혈흡충증에 감염되었으며, 이 중 85%가 아프리카에 거주했다.[70] 2019년에는 2억 3,660만 명이 감염된 것으로 나타났다.[8] 전 세계적으로 약 6억에서 7억 명이 이 유기체가 흔한 국가에 살고 있기 때문에 이 질병에 걸릴 위험이 있다.[9][77]요생식기 주혈흡충증의 원인체인 ''S. haematobium''은 사하라 사막 이남 아프리카에서만 매년 1억 1,200만 명 이상을 감염시킨다.[74] 이로 인해 매년 3,200만 건의 배뇨 곤란, 1,000만 건의 수신증, 15만 명의 신부전 사망자가 발생하여 ''S. haematobium''을 세계에서 가장 치명적인 주혈흡충으로 만들고 있다.[74]
주혈흡충증은 많은 국가에서 1851년 요로 주혈흡충증의 원인을 처음으로 기술한 독일 의사 테오도어 빌하르츠의 이름을 따서 빌하르지아 또는 빌하르지오시스라고 알려져 있다.[79][80] 1908년 브라질의 기생충학자 피라자 다 실바가 전체 질병 주기를 기술하였다.[81][82]
말라리아와 함께 농경 생활의 확산으로 확대된 감염병이며, 관개에 사용되는 하천이나 호수에 서식하는 달팽이가 중간 숙주가 되어, 사람에게는 생수를 통해 감염된다.[101] 주혈흡충의 보균자는 만성적인 위나 가슴의 통증, 피로감, 설사 등을 호소하며, 충란이 방광이나 요관의 점막에 모이기 때문에 요로에 장애가 생긴다.[101] 나폴레옹 보나파르트는 요도의 심한 통증을 겪었으며, 종래에는 그 원인이 요로 결석으로 여겨졌지만, 그의 증상을 자세히 검토한 의사에 따르면, 이집트 시리아 원정 때 감염된 빌하르츠 주혈흡충증일 가능성이 높다는 보고가 이루어졌다.[101]
11. 사회와 문화
'빌하르츠병'이라는 이름은 1851년 이집트에서 처음으로 이 기생충을 발견한 독일 출신의 병리학자 테오도어 빌하르츠의 이름에서 유래되었다. '가타야마병'이라는 이름은 한때 주혈흡충증이 유행했던 일본 히로시마현의 가타야마 지역에서 유래되었다.[86]
나일강을 따라 건설된 이집트의 댐과 관개 사업으로 인해 주혈흡충증은 악화되었으며, 이집트에서 풍토병으로 자리 잡았다. 1950년대 후반부터 1980년대 초반까지 감염된 마을 사람들은 주석산 에메틱을 반복적으로 주사하는 치료를 받았다. 역학적 증거에 따르면 이 캠페인은 부정한 바늘을 통해 C형 간염의 확산을 의도치 않게 촉진했을 가능성이 있다. 이집트는 세계에서 C형 간염 감염률이 가장 높으며, 이집트 여러 지역의 감염률은 주혈흡충증 치료 캠페인의 시기와 강도와 밀접하게 관련되어 있다.[87]
20세기 초, 주혈흡충증의 증상인 혈뇨는 이집트에서 남성의 월경으로 여겨졌고, 따라서 소년들의 통과의례로 간주되었다.[88][89]
인간 기생충 질환 중 주혈흡충증은 열대 및 아열대 지역에서 사회 경제적 및 공중 보건 중요성 측면에서 말라리아 다음으로 두 번째로 높다.[90]
참조
[1]
웹사이트
Schistosomiasis (bilharzia)
http://www.nhs.uk/Co[...]
2011-12-17
[2]
웹사이트
Schistosomiasis
http://www.patient.i[...]
2013-12-02
[3]
논문
Global, regional, and national incidence, prevalence, and years lived with disability for 310 diseases and injuries, 1990-2015: a systematic analysis for the Global Burden of Disease Study 2015
2016-10
[4]
논문
Human schistosomiasis
2014-06
[5]
웹사이트
Schistosomiasis Fact sheet N°115
https://www.who.int/[...]
World Health Organization
2014-02-03
[6]
논문
Impacts of host gender on Schistosoma mansoni risk in rural Uganda—A mixed-methods approach
2020-05-13
[7]
웹사이트
Chapter 3 Infectious Diseases Related To Travel
http://wwwnc.cdc.gov[...]
cdc.gov
2013-08-01
[8]
웹사이트
Schistosomiasis
https://www.who.int/[...]
2021-05-18
[9]
논문
Schistosomiasis chemotherapy
2013-07
[10]
논문
Global, regional, and national life expectancy, all-cause mortality, and cause-specific mortality for 249 causes of death, 1980-2015: a systematic analysis for the Global Burden of Disease Study 2015
2016-10
[11]
웹사이트
Schistosomiasis A major public health problem
https://www.who.int/[...]
World Health Organization
[12]
웹사이트
Schistosomiasis Control Program
http://www.cartercen[...]
[13]
웹사이트
Neglected Tropical Diseases
https://www.cdc.gov/[...]
cdc.gov
2011-06-06
[14]
논문
Human schistosomiasis
2006-09
[15]
웹사이트
Parasites - Schistosomiasis, Disease
https://www.cdc.gov/[...]
[16]
논문
Schistosomiasis—from immunopathology to vaccines
2020
[17]
웹사이트
CDC - DPDx - Cercarial Dermatitis
https://www.cdc.gov/[...]
2019-05-13
[18]
논문
Diagnosis and management of schistosomiasis
2011-05
[19]
논문
Imported Katayama fever: clinical and biological features at presentation and during treatment
2006-05
[20]
논문
Schistosomiasis
http://espace.librar[...]
2002-04
[21]
서적
Schistosomiasis (Bilharziasis)
http://accessmedicin[...]
McGraw-Hill Education
2021
[22]
논문
Schistosomiasis in the People's Republic of China: prospects and challenges for the 21st century
2001-04
[23]
서적
Schistosomiasis
http://www.ncbi.nlm.[...]
StatPearls Publishing
2021
[24]
서적
Mandell, Douglas, and Bennett's Principles and Practice of Infectious Diseases
https://archive.org/[...]
[25]
웹사이트
Schistosomiasis
https://www.niaid.ni[...]
[26]
논문
Hepatic and Intestinal Schistosomiasis: Review
2013-09-01
[27]
논문
Relationship between schistosomiasis and bladder cancer
1999-01
[28]
논문
Impact of Endemic Infections on HIV Susceptibility in Sub-Saharan Africa
2019
[29]
논문
Female genital schistosomiasis: a neglected risk factor for the transmission of HIV?
1995-03
[30]
논문
Schistosomal myeloradiculopathy in a low-prevalence area: 27 cases (14 autochthonous) in Campinas, São Paulo, Brazil
2010-07
[31]
서적
Pathology of CNS parasitic infections
2013
[32]
웹사이트
CDC - Schistosomiasis - Disease
https://www.cdc.gov/[...]
[33]
서적
Manson's Tropical Diseases
https://archive.org/[...]
Saunders Elsevier
[34]
웹사이트
Abenteuer Diagnose: Bilharziose
https://www.ardmedia[...]
2020-09-01
[35]
논문
The global status of schistosomiasis and its control
2000-10
[36]
웹사이트
Schistosomiasis
https://www.who.int/[...]
World Health Organization
2016-11-11
[37]
간행물
Key Aspects of the Biology of Snail-Killing Sciomyzidae Flies
Annual Reviews
2012-01-07
[38]
간행물
Lessons from the History of Ivermectin and Other Antiparasitic Agents
Annual Reviews
2016-02-15
[39]
웹사이트
CDC - Schistosomiasis - Biology
https://www.cdc.gov/[...]
2021-10-28
[40]
서적
Hunter's Tropical Medicine and Emerging Infectious Diseases
https://linkinghub.e[...]
Elsevier
2020
[41]
Citation
Preface to the Fourth Edition
Elsevier
2017-01-01
[42]
웹사이트
CDC - Cercarial Dermatitis - Frequently Asked Questions (FAQs)
https://www.cdc.gov/[...]
2021-10-28
[43]
간행물
Schistosomiasis: Drugs used and treatment strategies
https://linkinghub.e[...]
2017-12
[44]
간행물
Urogenital Schistosomiasis—History, Pathogenesis, and Bladder Cancer
2021-01
[45]
웹사이트
Clinical Aspects
http://www2.ttcn.ne.[...]
University of Tsukuba School of Medicine
2007-06-14
[46]
CDC
https://www.cdc.gov/[...]
2016-01-05
[47]
간행물
Circulating antigen tests and urine reagent strips for diagnosis of active schistosomiasis in endemic areas
2015-03
[48]
간행물
Field evaluation of the Meade Readiview handheld microscope for diagnosis of intestinal schistosomiasis in Ugandan school children
2005-11
[49]
간행물
New diagnostic tools in schistosomiasis
2015-06
[50]
간행물
Schistosomiasis: from established diagnostic assays to emerging micro/nanotechnology-based rapid field testing for clinical management and epidemiology
2019-12-19
[51]
간행물
Medical Imaging in the Diagnosis of Schistosomiasis: A Review
2021-08
[52]
간행물
Progress report 2001–2011, strategic plan 2012–2020
https://www.who.int/[...]
World Health Organization
2013
[53]
웹사이트
Schistosomiasis - Prevention & Control
https://www.cdc.gov/[...]
Centers for Disease Control and Prevention
2012-11-07
[54]
간행물
The relationship between water, sanitation and schistosomiasis: a systematic review and meta-analysis
2014-12
[55]
간행물
Taking Bilharziasis out of the irrigation equation
1980-08-07
[56]
서적
The IRG Solution — hierarchical incompetence and how to overcome it
Souvenir Press
[57]
간행물
Nearly 400 million people are at higher risk of schistosomiasis because dams block the migration of snail-eating river prawns
2017-06
[58]
간행물
Reduced transmission of human schistosomiasis after restoration of a native river prawn that preys on the snail intermediate host
2015-08
[59]
간행물
Effectiveness of the new integrated strategy to control the transmission of Schistosoma japonicum in China: a systematic review and meta-analysis
[60]
웹사이트
eMedicine - Schistosomiasis
http://www.emedicine[...]
eMedicine
2007-06-14
[61]
간행물
Drugs for treating Schistosoma mansoni infection
http://archive.lstme[...]
2013-02
[62]
웹사이트
WHO TDR news item, 4th Dec 2014, Praziquantel dose confirmed for schistosomiasis
https://www.who.int/[...]
2016-09-05
[63]
간행물
Experiences with mass chemotherapy in the control of schistosomiasis in Mali
1988-06
[64]
웹사이트
How is Schistosomiasis Treated?
http://www.cartercen[...]
2008-07-17
[65]
간행물
Drugs for treating urinary schistosomiasis
2014-08
[66]
간행물
Mefloquine, a new type of compound against schistosomes and other helminthes in experimental studies
2013-11
[67]
간행물
Etymologia: Antimony
2018-08
[68]
간행물
Praziquantel pharmacotherapy reduces systemic osteopontin levels and liver collagen content in murine schistosomiasis mansoni
https://www.scienced[...]
2021-01-23
[69]
간행물
Genome and Genomics of Schistosomes
[70]
간행물
Years lived with disability (YLDs) for 1160 sequelae of 289 diseases and injuries 1990-2010: a systematic analysis for the Global Burden of Disease Study 2010
2012-12
[71]
서적
Guidelines for the Safe Use of Wastewater, Excreta and Greywater, Volume 4 Excreta and Greywater Use in Agriculture.
http://www.susana.or[...]
World Health Organization
2006
[72]
웹사이트
Schistosomiasis
https://www.who.int/[...]
WHO Media Centre
2014-02
[73]
웹사이트
Malaria
https://www.who.int/[...]
WHO Media Centre
2014-03
[74]
웹인용
Immune Response to Parasitic Infections
http://ebooks.bentha[...]
Bentham e books
2014
[75]
간행물
Global and regional mortality from 235 causes of death for 20 age groups in 1990 and 2010: a systematic analysis for the Global Burden of Disease Study 2010
https://zenodo.org/r[...]
2012-12
[76]
간행물
Mortality due to schistosomiasis mansoni: a field study in Sudan
1999-02
[77]
웹사이트
Neglected Tropical Diseases
https://www.cdc.gov/[...]
2011-06-06
[78]
간행물
History of schistosomiasis (bilharziasis) in humans: from Egyptian medical papyri to molecular biology on mummies
2018-07-04
[79]
간행물
Ein Beitrag zur Helminthographia humana …
https://www.biodiver[...]
1852
[80]
서적
Schistosomiasis
Cambridge University Press
[81]
서적
Tropical Hemato-Oncology
https://books.google[...]
Springer
2015-07-15
[82]
서적
Schistosoma: Biology, Pathology and Control
https://books.google[...]
CRC Press
2017
[83]
뉴스
Ancient parasite egg found in 6,200-year-old child skeleton gives earliest evidence of a modern disease
http://news.national[...]
2014-06-20
[84]
웹인용
Proceedings of the 13h Annual History of Medicine Days
https://www.ucalgary[...]
University of Calgary
2004-03
[85]
웹사이트
Schistosomiasis
https://www.who.int/[...]
[86]
간행물
History of Katayama disease: Schistosomiasis japonica in Katayama district, Hiroshima, Japan
2003
[87]
간행물
Liver disease in Egypt: hepatitis C superseded schistosomiasis as a result of iatrogenic and biological factors
2006-05
[88]
간행물
The Paleoepidemiology of Schistosomiasis in Ancient Egypt
http://www.humanecol[...]
[89]
간행물
The Diagnosis of Schistosomiasis in Modern and Ancient Tissues by Means of Immunocytochemistry
[90]
뉴스
Water-related Diseases
https://www.who.int/[...]
World Health Organization
[91]
간행물
Safety and efficacy of the rSh28GST urinary schistosomiasis vaccine: A phase 3 randomized, controlled trial in Senegalese children
2018-12
[92]
웹사이트
CRISPR/Cas9 shown to limit impact of certain parasitic diseases
https://www.bionity.[...]
2019-01-18
[93]
간행물
The impact of schistosomes and schistosomiasis on murine blood coagulation and fibrinolysis as determined by thromboelastography (TEG)
2016-05
[94]
간행물
Critical factors contributing to the thromboelastography trace
https://pubmed.ncbi.[...]
2010-10
[95]
웹사이트
Schistosomiasis (bilharzia)
http://www.nhs.uk/Co[...]
2011-12-17
[96]
웹사이트
Schistosomiasis
http://www.patient.i[...]
2013-12-02
[97]
간행물
Global, regional, and national incidence, prevalence, and years lived with disability for 310 diseases and injuries, 1990-2015: a systematic analysis for the Global Burden of Disease Study 2015
2016-10
[98]
간행물
Schistosomiasis chemotherapy
2013-07
[99]
간행물
Global, regional, and national life expectancy, all-cause mortality, and cause-specific mortality for 249 causes of death, 1980-2015: a systematic analysis for the Global Burden of Disease Study 2015
2016-10
[100]
웹사이트
Schistosomiasis Fact sheet N°115
http://www.who.int/m[...]
World Health Organization
2014-02-03
[101]
문서
石(2018)pp.80-82
[102]
웹사이트
Fact Sheet 115 Schistosomiasis
http://www.who.int/m[...]
World Health Organization
2012-01
[103]
웹사이트
Neglected Tropical Diseases
https://www.cdc.gov/[...]
cdc.gov
2011-06-06
[104]
문서
Katayama fever
2016
[105]
간행물
Genome and Genomics of Schistosomes
http://www.ingentaco[...]
[106]
학술지
Mortality due to schistosomiasis mansoni: a field study in Sudan
[107]
웹사이트
Mao's China falsely claimed it had eradicated schistosomiasis – and it's still celebrating that 'success' in propaganda today
http://theconversati[...]
2020-08-22
[108]
웹인용
Schistosomiasis (bilharzia)
http://www.nhs.uk/Co[...]
2011-12-17
[109]
웹인용
Schistosomiasis
http://www.patient.i[...]
2013-02-12
[110]
웹인용
Schistosomiasis Fact sheet N°115
http://www.who.int/m[...]
2014-02
본 사이트는 AI가 위키백과와 뉴스 기사,정부 간행물,학술 논문등을 바탕으로 정보를 가공하여 제공하는 백과사전형 서비스입니다.
모든 문서는 AI에 의해 자동 생성되며, CC BY-SA 4.0 라이선스에 따라 이용할 수 있습니다.
하지만, 위키백과나 뉴스 기사 자체에 오류, 부정확한 정보, 또는 가짜 뉴스가 포함될 수 있으며, AI는 이러한 내용을 완벽하게 걸러내지 못할 수 있습니다.
따라서 제공되는 정보에 일부 오류나 편향이 있을 수 있으므로, 중요한 정보는 반드시 다른 출처를 통해 교차 검증하시기 바랍니다.
문의하기 : help@durumis.com