식도암
"오늘의AI위키"의 AI를 통해 더욱 풍부하고 폭넓은 지식 경험을 누리세요.
1. 개요
식도암은 식도에 발생하는 암으로, 연하 곤란이 가장 흔한 증상이다. 주요 유형은 편평상피세포암과 선암이며, 흡연, 음주, 위산 역류 등이 위험 요인으로 작용한다. 진단은 내시경 검사로 이루어지며, CT, PET 등의 검사로 병기를 결정한다. 치료는 수술, 화학 요법, 방사선 요법 등을 다학제적으로 시행하며, 예후는 좋지 않아 조기 진단과 예방이 중요하다. 식도암은 전 세계적으로 발생하며, 특히 아시아 지역에서 높은 발병률을 보인다.
더 읽어볼만한 페이지
- 위장관암 - MALT 림프종
MALT 림프종은 림프절 외 림프종의 한 종류로, 헬리코박터 파일로리 감염 등과 관련 있으며, 내시경과 생검으로 진단하고, 헬리코박터 파일로리 제균 치료, 방사선 치료, 화학 요법 등을 통해 치료하며 예후가 비교적 양호하다. - 위장관암 - 소장암
소장암은 소장에 발생하는 악성 종양으로, 선암종, 위장관 기질 종양, 림프종, 유암종 등으로 분류되며, 나이, 특정 질환, 식습관 등이 주요 위험 요인이다. - 소화기 질환 - 위염
위염은 헬리코박터 파일로리 감염, 비스테로이드성 소염제, 알코올, 스트레스 등으로 인해 위 점막에 염증이 생기는 질환으로, 상복부 통증, 메스꺼움, 구토 등의 증상이 나타나거나 무증상일 수 있으며, 급성 또는 만성으로 분류되고, 내시경 검사 등으로 진단하여 제산제, 항생제 등으로 치료한다. - 소화기 질환 - 치질
치질은 항문 주위 질환의 총칭으로, 치핵, 치열, 치루 등으로 분류되며, 가장 흔한 치핵은 항문 혈관이 부어오르는 질환으로 출혈, 통증, 가려움증 등의 증상을 보이며 불규칙한 배변 습관, 운동 부족, 식습관, 임신 등이 원인이 될 수 있고, 보존적 요법부터 수술적 치료까지 다양한 치료법이 있으며 예방을 위해 규칙적인 생활 및 식습관 관리가 중요하다. - 암 - 피부암
피부암은 피부 세포에서 발생하는 악성 종양으로, 자외선 노출, 유전적 요인, 면역 저하 등이 원인이 되며 기저세포암, 편평상피세포암, 흑색종으로 나뉘고 조기 발견과 자외선 차단이 중요하다. - 암 - 자궁경부암
자궁경부암은 인유두종바이러스 감염이 주원인인 자궁 경부의 악성 종양으로, 초기에는 증상이 미미하지만 진행 시 질 분비물 증가, 성교통, 골반통이 나타날 수 있으며, 자궁경부 세포진 검사, 조직 생검 등으로 진단하고 수술, 방사선 치료, 항암 치료 등으로 치료하며, HPV 백신 접종과 정기 검진으로 예방이 가능하다.
| 식도암 | |
|---|---|
| 개요 | |
| 질병 분야 | 소화기내과 일반외과 종양학 |
| 증상 | 삼키기 어려움 체중 감소 쉰 목소리 쇄골 주위의 림프절 비대 피 구토 피 섞인 대변, 흑색변 |
| 발병 시기 | 알려진 바 없음 |
| 지속 기간 | 알려진 바 없음 |
| 종류 | 식도 편평세포암종 식도 선암종 |
| 원인 | 알려진 바 없음 |
| 위험 요인 | 흡연 음주 뜨거운 음료 빈랑 씹기 비만 위산 역류 |
| 진단 방법 | 생검 |
| 감별 진단 | 알려진 바 없음 |
| 예방 | 알려진 바 없음 |
| 치료 | 수술 화학 요법 방사선 요법 |
| 약물 | 알려진 바 없음 |
| 예후 | 5년 생존율 ~15% |
| 빈도 | 2015년 기준 746,000명 |
| 사망자 수 | 2018년 509,000명 |
| 질병 정보 | |
| DiseasesDB | 9150 |
| ICD10 | C15 |
| ICD9 | 150 |
| ICDO | 알려진 바 없음 |
| OMIM | 133239 |
| MedlinePlus | 000283 |
| eMedicineSubj | 알려진 바 없음 |
| eMedicineTopic | 277930 |
| MeshID | D004938 |
| 관련 질병 | |
| 관련 질병 | 소화기 계통 질환 |
2. 징후 및 증상
식도암의 가장 흔하고 초기 증상은 연하곤란(삼킴 곤란)이며, 처음에는 고형 음식에서 시작하여 점차 부드러운 음식과 액체로 확대된다.
식도암의 증상은 다음과 같이 정리할 수 있다.
| 초기 증상 | 진행 증상 |
|---|---|
식도암으로 진단받은 사람 중 74%는 연하곤란을, 14%는 연하통을 경험한다.[11] 57%는 체중 감소를 보이는데, 이때 체중 감소 정도가 BMI 기준 10% 이상 감소에 해당하는 경우에는 예후가 좋지 않을 가능성이 높아진다. 호흡곤란, 기침, 쉰 목소리, 흉골 뒤쪽 또는 등 또는 오른쪽 상복부 통증은 드물지만 진행된 병변의 존재를 시사한다.
초기암의 경우에는 특별한 신체 소견이 거의 없다. 진행암에서는 때때로 우측 또는 좌측 쇄골 상부 림프절 종대를 확인할 수 있다. 반회신경 마비로 인한 쉰 목소리가 나타나기도 한다.
2. 1. 초기 증상
눈에 띄는 증상은 암이 식도관 둘레의 60% 이상을 침윤할 때까지 나타나지 않는 경우가 많으며, 이때는 이미 종양이 진행된 단계이다.[112] 초기 증상은 비특이적 증상과 비슷하게 식도에 이물감 등으로 나타나며, 진행이 빠르고 발견이 늦어지기 쉽다.가장 흔한 초기 증상은 연하 곤란으로, 처음에는 단단한 음식을 삼키기 어렵고, 점차 부드러운 음식과 액체를 삼키는 데 어려움을 겪는다.[101] 초기에는 삼킬 때 통증이 덜하다.[101] 편평상피세포암의 경우 체중 감소가 초기 징후인 경우가 많지만, 선암의 경우에는 일반적으로 그렇지 않다.[114] 식욕 감소와 영양 부족으로 인한 체중 감소도 흔하다.[115]
2. 2. 진행 증상
암이 식도관 둘레의 60% 이상 침투하면 종양이 이미 진행 단계에 있다는 신호이다.[112] 증상은 일반적으로 종양으로 인해 관이 좁아져서 발생한다.[113]가장 흔한 증상은 연하 곤란으로, 처음에는 단단한 음식을 삼키기 어렵고 점차 부드러운 음식과 액체도 삼키기 어려워진다.[101] 초기에는 삼킬 때 통증이 덜하다.[101] 편평상피세포암의 경우 체중 감소가 초기 증상인 경우가 많지만, 선암의 경우에는 대개 그렇지 않다.[114] 식욕 감소와 영양 부족으로 체중 감소가 흔하게 발생한다.[115] 가슴뼈 뒤쪽이나 위 주변 부위의 통증은 속쓰림처럼 느껴지기도 하며, 음식을 삼킬 때 심해질 수 있다. 종양이 되돌이후두신경에 영향을 미치면 쉰 목소리가 나는 기침이 발생할 수 있다.
종양이 있으면 삼킬 때 식도의 정상적인 수축을 방해하여[112] 메스꺼움, 구토, 음식물 역류, 기침을 유발할 수 있다.[112] 식도와 기관 사이에 누공이 생기면 음식물이 기도로 들어가 흡인성 폐렴의 위험이 높아진다.[110] 음식을 먹거나 마실 때 기침을 한다면 흡인성 폐렴의 초기 증상일 수 있다.[116] 종양 표면에서 출혈이 발생하면 피를 토할 수 있다. 진행성 질환에서는 주변 조직 압박으로 상기도 폐쇄, 상대정맥 증후군이 발생할 수 있고, 고칼슘혈증이 나타날 수도 있다.[112]
암이 다른 곳으로 퍼지면 전이된 부위에 따라 증상이 나타난다. 흔한 전이 부위는 인근 림프절, 간, 폐, 뼈 등이다.[112] 간 전이는 황달, 복부 팽만(복수)을 유발할 수 있다. 폐 전이는 폐 주위 체액 증가(흉막 삼출)로 인한 호흡 장애, 호흡 곤란 등의 증상을 유발할 수 있다.
3. 원인
식도암은 크게 편평세포암과 선암 두 가지 주요 유형으로 나뉘며, 각각 뚜렷한 위험 요인을 가진다.[114] 편평상피세포암은 흡연 및 음주와 같은 생활 습관, 선암은 장기적인 위산 역류의 영향과 관련이 있다.[117] 담배는 두 유형 모두의 위험 요인이며,[114] 60세 이상에서 더 흔하게 나타난다.[118]
두경부암은 현장 암화로 인해 식도 편평상피세포암을 포함한 해당 부위의 두 번째 원발성 종양과 관련이 있다.[131][132] 흉부에 다른 질환으로 방사선 치료를 받은 병력, 부식성 물질 섭취로 인한 식도 손상, 태선증, 연하곤란증, 플러머 빈슨 증후군도 위험 요소로 작용할 수 있다. 인유두종 바이러스(HPV)와 식도 편평상피세포암 사이의 인과관계는 불분명하지만, 일부 아시아 국가에서는 HPV 관련성이 더 클 수 있다.[137][138] 셀리악병과 식도암 사이에도 연관성이 있으며, 치료받지 않은 셀리악병 환자는 위험이 더 높다.[139]
국제암연구기관(IARC)은 2016년에 65℃ 이상의 뜨거운 음료 자체를 식도암 관점에서 "그룹 2A: 발암 가능성이 있는 것"으로 분류했다.[87][88]
일본에서는 60대 남성에게서 많이 발생하며(남녀 비율 약 3:1), 전체 식도암의 93% 이상이 식도편평상피암이다. 발생 부위는 흉부 중앙부 식도에 많다. 반면, 미국에서는 지난 30년 동안 편평상피암의 비율이 감소하여 현재는 약 절반을 식도위접합부 부근의 선암이 차지한다. 이러한 차이는 금연에 의한 암 발생 예방 효과가 편평상피암 쪽이 높다는 점, 바렛식도 발병률이 미국에서 더 높다는 점 등이 원인으로 작용했을 수 있다.
음주와 흡연은 식도암의 강력한 원인으로 여겨진다.[84] 채소·과일, 특히 십자화과 채소 섭취는 식도암 위험을 감소시킨다.[85]
3. 1. 편평상피세포암
식도 편평세포암의 두 가지 주요 위험 요인은 담배(흡연 또는 씹는 담배)와 알코올이다.[100] 담배와 알코올의 조합은 강력한 시너지 효과를 발휘한다. 일부 데이터에 따르면 전체 사례의 약 절반은 담배, 약 3분의 1은 알코올로 인한 것이며, 남성의 경우 4분의 3 이상이 흡연과 과음으로 인한 것으로 나타났다.[100] 알코올과 관련된 위험은 알코올의 알데하이드 대사산물 및 특정 관련 효소의 돌연변이와 관련이 있는 것으로 보인다.[114] 이러한 대사 변이는 아시아에서 비교적 흔하다.[100]다른 관련 위험 요인으로는 매우 뜨거운 음료(65℃ 이상)의 규칙적인 섭취와[119][120] 부식성 물질의 섭취가 있다.[100] 니트로사민(담배 연기 및 특정 식품에서 발견되는 화합물)에 대한 높은 수준의 식이 노출도 관련 위험 요인으로 보인다.[100] 좋지 않은 식이 패턴은 가공육 및 바비큐 고기, 절인 채소 등을 통해 니트로사민에 노출되고 신선한 식품을 적게 섭취하는 것과 관련이 있는 것으로 보인다.[114] 기타 관련 요인으로는 영양 결핍, 낮은 사회경제적 지위, 열악한 구강 위생 등이 있다.[100][114] 빈랑(아레카)을 씹는 것은 아시아에서 중요한 위험 요인이다.[106] 신체적 외상은 위험을 증가시킬 수 있으며, 여기에는 매우 뜨거운 음료를 마시는 것이 포함될 수 있다.[121][105]
- 두경부암은 현장 암화(즉, 장기간 발암성 노출에 대한 국소 반응)로 인해 식도 편평상피세포암을 포함한 해당 부위의 두 번째 원발성 종양과 관련이 있다.[131][132]
- 실수로 또는 고의로 부식성 물질을 삼켜 식도에 부식성 손상을 입는 것은 편평상피세포암의 위험 요인이다.[100]
- 식도암을 동반한 태선증은 상염색체 우성으로 유전되는 희귀한 가족성 질환으로 17번 염색체에 존재하는 RHBDF2 유전자의 돌연변이와 관련이 있으며, 손바닥과 발바닥 피부가 두꺼워지고 편평상피세포암에 걸릴 평생 위험이 높다.[100][133]
- 연하곤란증(삼킨 후 식도의 불수의반사 부족)은 적어도 남성에서 두 가지 주요 유형의 식도암의 위험 요인으로 보이며, 이는 갇힌 음식물과 음료의 정체로 인한 것이다.[134]
- 플러머 빈슨 증후군(식도막과 관련된 희귀 질환)도 위험 요소이다.[100]
- 인유두종 바이러스(HPV)와 식도 편평상피세포암 사이에 인과관계가 있을 수 있다는 일부 증거가 있으나, 그 관계는 불분명하다.[135][136] 중국을 포함한 일부 아시아 국가와 같이 이러한 형태의 질병 발생률이 특히 높은 지역에서는 HPV의 관련성이 더 클 수 있다.[137][138]
3. 2. 선암종

식도 선암종은 남성에게서 여성보다 약 7~10배 더 자주 발생한다.[122] 이러한 불균형은 위산 역류 및 비만을 포함한 다른 알려진 위험 요인의 특성 및 상호 작용과 관련이 있을 수 있다.[122]
'''위식도 역류 질환(GERD)'''
위산 역류(위식도 역류 질환 또는 GERD 라고도 하는 매우 흔한 질환)의 장기적인 침식 효과는 이러한 유형의 암과 밀접하게 관련되어 있다.[123] 역류성 식도염이 오래 지속되면 식도 편평 상피 내벽의 침식에 반응하여 식도 하부에 세포 유형의 변화를 유도할 수 있다. 바렛 식도라고 알려진 이 현상은 호르몬 요인으로 인해 남성보다 여성에게 약 20년 늦게 나타나는 것으로 보인다.[123] 기계적인 수준에서 식도에는 정상적인 편평 상피처럼 담즙과 산에 더 강하고 장 분화 및 발암성 변형이 일어나기 쉬운 작은 HOXA13 발현 구획이 있다.[124] 위식도역류질환이 발생하면 이 HOXA13 발현 구획이 정상 편평 구획을 능가하여 식도의 세포가 장의 세포 유형으로 변하고 식도암이 발생할 가능성이 높아진다.[114] 증상이 있는 위식도 역류질환이나 담즙 역류가 있으면 바렛 식도가 발생할 가능성이 높아져 궁극적으로 선암으로 이어질 수 있는 추가 변화의 위험이 높아진다. 데옥시콜산과 체노데옥시콜산을 포함한 비공액 담즙산을 포함하는 담즙 역류는 산화 스트레스와 DNA 손상을 유도하여 식도 선암 발암에 기여하는 것으로 보이며,[125] 바렛 식도가 있을 때 선암이 발생할 위험은 명확하지 않으며 과거에 과대평가되었을 수 있다.[100]
비만 또는 과체중은 모두 위험 증가와 관련이 있는 것으로 보인다.[126] 비만과의 연관성은 모든 유형의 비만 관련 암 중에서 가장 강력한 것으로 보이지만 그 이유는 아직 명확하지 않다.[127] 복부 비만은 위식도역류질환 및 바렛 식도암뿐만 아니라 이러한 유형의 암과도 밀접한 관련이 있는 것으로 보인다.[127] 이러한 유형의 비만은 남성에게 특징적이다.[127] 생리적으로 위식도 역류를 자극하고 다른 만성 염증 효과도 있다.[123]
헬리코박터 파일로리 감염(전 세계 인구의 절반 이상이 감염된 것으로 추정되는 흔한 질환)은 식도 선암의 위험 요인이 아니며, 오히려 식도 선암을 예방하는 것으로 보인다. 위식도역류질환의 원인이자 위암의 위험 인자이기는 하지만, 감염은 식도 선암의 위험을 50%까지 낮추는 것과 관련이 있는 것으로 보인다.[128][129] 보호 효과에 대한 생물학적 설명은 다소 불분명하다.[129] 한 가지 설명은 일부 헬리코박터 파일로리 균주가 위산을 감소시켜 위식도역류질환에 의한 손상을 감소시킨다는 것이다.[130] 최근 수십 년 동안 서구 인구의 헬리코박터 파일로리 감염률이 감소한 것도 식도 선암의 동시 증가와 관련이 있을 수 있다.[128]
여성 호르몬도 보호 효과가 있을 수 있는데, 여성에게 EAC가 훨씬 덜 흔할 뿐만 아니라 평균 20년 정도 늦게 발병하기 때문이다. 많은 생식 관련 요인에 대한 연구 결과가 명확하게 밝혀지지는 않았지만, 모유 수유 기간이 길어질수록 산모의 위험은 감소하는 것으로 보인다.[128]
흡연은 식도 선암의 위험을 증가시키지만 편평상피세포암에 비해 식도 선암에 미치는 영향은 미미하며, 알코올이 원인이라고 입증된 바는 없다.[128]
흉부에 다른 질환으로 방사선 치료를 받은 병력은 식도 선암의 위험 요인이다.[114]
4. 진단

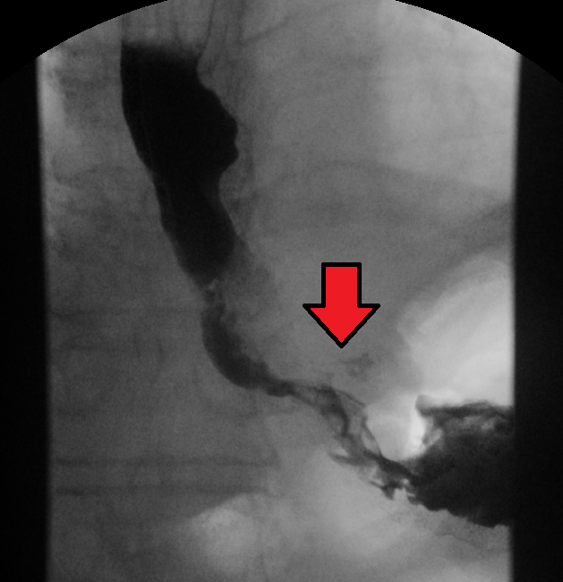
식도암 진단은 주로 내시경 검사를 통해 이루어진다. 바륨 삼킴 검사나 바륨 식사 검사에서 폐쇄성 종양을 의심할 수 있지만, 내시경 검사가 더 정확하다. 내시경 검사는 식도위십이지장내시경검사라고도 불리며, 빛과 카메라가 달린 유연한 관을 식도로 넣어 식도 벽을 검사하는 방식이다. 이 과정에서 의심스러운 병변의 조직을 채취하여 조직학적으로 악성 종양 여부를 확인한다.[140][141]
종양의 위치는 일반적으로 치아로부터의 거리로 측정한다. 25cm 길이의 식도는 위치 결정을 위해 세 부분으로 나뉜다. 식도선암은 위 근처에서, 식도 편평상피세포암은 목 근처에서 발생하는 경향이 있지만, 식도 어디에서나 발생할 수 있다.
4. 1. 임상적 평가
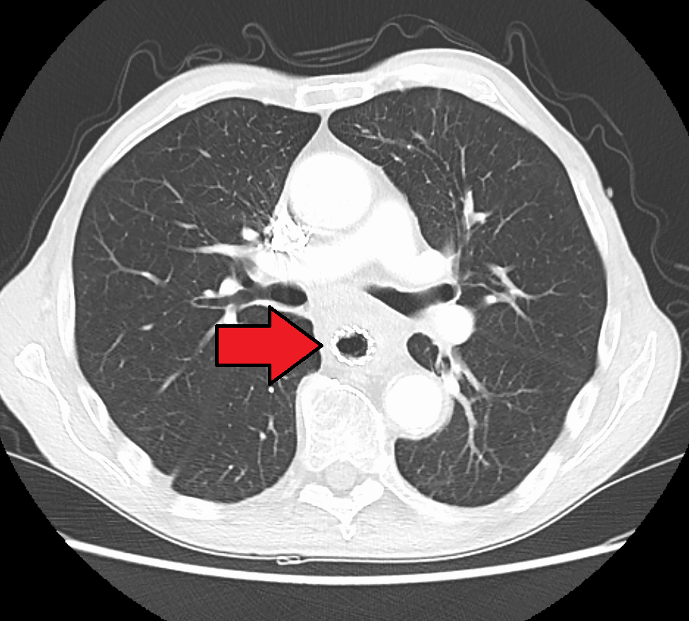
바륨 삼킴 검사나 바륨 식사 검사에서 폐쇄성 종양을 의심할 수 있지만, 진단은 내시경을 이용한 검사로 하는 것이 가장 정확하다. 내시경 검사는 광원과 카메라가 달린 유연한 관을 식도로 통과시켜 식도벽을 검사하는 것으로, 식도위십이지장내시경검사라고 한다. 그런 다음 의심스러운 병변의 조직을 채취하여 악성 징후가 있는지 조직학적으로 검사한다.[140][141]암이 얼마나 퍼졌는지 평가하려면 추가 검사가 필요하다. 흉부, 복부 및 골반의 컴퓨터 단층 촬영(CT)을 통해 암이 인접 조직이나 멀리 떨어진 장기(특히 간 및 림프절)로 퍼졌는지 여부를 평가할 수 있다. CT 스캔의 민감도는 일반적으로 1cm 보다 큰 종괴(예: 림프절 비대 또는 관련 장기)를 감지하는 능력에 의해 제한된다.[142] 양전자 방출 단층 촬영(PET)은 질병의 범위를 추정하는 데 사용되며 CT 단독보다 더 정확한 것으로 간주된다.[143] 새로운 검사 기구인 PET/MR은 PET/CT와 비교하여 타당성이 높고 상관관계가 좋은 수술 전 병기 결정에서 유망한 결과를 보여주었다.[144] 환자에 대한 방사선량을 낮추면서 조직 분화를 향상시킬 수 있다. 식도 내시경 초음파는 종양의 침범 수준과 국소 림프절로의 전이 가능성에 관한 병기 정보를 제공할 수 있다.
4. 2. 추가 검사 (병기 결정)
암의 확산 정도를 평가하기 위해 추가 검사가 필요하다. 흉부, 복부 및 골반의 컴퓨터 단층 촬영(CT)을 통해 암이 인접 조직이나 멀리 떨어진 장기(특히 간 및 림프절)로 퍼졌는지 여부를 평가할 수 있다. CT 스캔의 민감도는 일반적으로 1cm보다 큰 종괴(예: 림프절 비대 또는 관련 장기)를 감지하는 능력에 의해 제한된다.[140][141] 양전자 방출 단층 촬영(PET)은 질병의 범위를 추정하는 데 사용되며 CT 단독보다 더 정확한 것으로 간주된다.[142] PET/MR은 PET/CT와 비교하여 타당성이 높고 상관관계가 좋은 수술 전 병기 결정에서 유망한 결과를 보여주는 새로운 검사 기구이다.[143] PET/MR은 환자에 대한 방사선량을 낮추면서 조직 분화를 향상시킬 수 있다. 식도 내시경 초음파는 종양의 침범 수준과 국소 림프절로의 전이 가능성에 관한 병기 정보를 제공할 수 있다.5. 유형
식도암은 대부분 식도의 상피 또는 표면을 구성하는 조직에서 발생하며, 크게 편평상피세포암(ESCC)과 선암(EAC)으로 분류된다.[46][47] 편평상피세포암은 흡연 및 음주와 관련이 깊고, 선암은 위식도 역류 질환(GERD) 및 바렛 식도와 관련이 있다. 식도 상부 2/3에서 발생하는 암은 편평상피세포암일 가능성이 높고, 하부 1/3에서 발생하는 암은 선암일 가능성이 높다.
드물게 발생하는 식도암으로는 편평세포암종의 여러 변이형과 비상피 종양(예: 평활근육종, 악성 흑색종, 횡문근육종, 림프종 등)이 있다.[46][47]
| 분류 | 종류 |
|---|---|
| 양성 상피성 종양 | 편평상피 유두종, 선종 |
| 상피내 종양 | 편평상피내 종양 (저이형성도·고이형성도), 원주상피내 종양 |
| 상피성 악성 종양 | 편평상피암 (고분화형·중분화형·저분화형), 유기저세포암, 선암 (고분화형·중분화형·저분화형), 선편평상피암, 점액표피암, 선양낭포암, 신경내분비종양(카르시노이드, 내분비세포암), 미분화암 |
| 비상피성 종양 | 평활근 종양 (평활근종, 평활근육종), 위장관 기질 종양 (gastrointestinal stromal tumor|가스트로인테스티널 스트로말 튜머영어, 약칭: GIST), 신경성 종양 |
| 림프구계 종양 | |
| 종양양 병변 | 이소성 위점막, 이소성 피지선, 카우덴(Cowden)병, 글리코겐 표피 비후 |
5. 1. 편평상피세포암 (ESCC)
식도 편평상피세포암의 두 가지 주요 위험 요인은 담배(흡연 또는 씹는 담배)와 알코올이다.[3] 담배와 알코올의 결합은 강력한 상승 효과를 나타낸다.[20] 일부 자료에 따르면 모든 사례의 약 절반이 담배 때문이고 약 3분의 1이 알코올 때문이며, 남성의 경우 4분의 3 이상이 흡연과 과음의 결합 때문이라고 한다.[3] 알코올과 암의 위험성은 알데히드 대사체 및 특정 관련 효소의 돌연변이와 관련이 있는 것으로 보인다.[15] 이러한 대사적 변이형은 아시아에서 비교적 흔하다.[3]다른 관련 위험 요인으로는 매우 뜨거운 음료(65°C 이상)의 정기적인 섭취[21][22] 및 부식성 물질의 섭취가 있다.[3] 담배 연기와 특정 식품 모두에서 발견되는 니트로사민에 대한 식이 노출 수준이 높은 것도 관련 위험 요인으로 보인다.[15] 불량한 식습관은 가공육 및 바비큐 고기, 절인 채소 등을 통한 니트로사민 노출과 신선한 식품의 섭취 부족과 관련이 있는 것으로 보인다.[3] 기타 관련 요인으로는 영양 결핍, 낮은 사회경제적 지위 및 불량한 구강 위생이 있다.[15] 아시아에서는 빈랑(아레카) 씹는 것이 중요한 위험 요인이다.[23]
신체적 외상은 위험을 증가시킬 수 있다.[24] 여기에는 매우 뜨거운 음료 섭취가 포함될 수 있다.[6]
5. 2. 선암 (EAC)
선암(EAC)은 식도 하부 1/3, 위 근처에서 주로 발생하며, 위식도 역류 질환(GERD) 및 바렛식도와 관련이 깊다.
남성에게서 여성보다 약 7~10배 더 흔하게 발생하는데, 이는 산 역류 및 비만을 포함한 다른 위험 요인들과의 상호작용과 관련이 있을 수 있다.[25]
'''위식도 역류 질환(GERD)'''
위식도 역류 질환(GERD)은 식도 하부의 세포 유형의 변화를 유발하여 바렛식도를 일으킬 수 있다.[26] 바렛식도는 여성에게서 남성보다 약 20년 늦게 나타나는데, 이는 호르몬 요인 때문일 수 있다.[26] GERD는 식도에 HOXA13 발현 구획을 발생시켜 식도암 발생 가능성을 증가시킨다.[27] 증상이 있는 GERD 또는 담즙 역류는 바렛식도의 가능성을 높이고, 이는 결국 선암으로 이어질 수 있는 추가적인 변화의 위험을 증가시킨다.[15] 비결합 담즙산을 포함하는 담즙 역류는 산화 스트레스와 DNA 손상을 유발하여 식도 선암 발암에 기여하는 것으로 보인다.[28]
과체중 또는 비만은 식도 선암의 위험을 증가시킨다.[29] 복부 비만이 특히 관련이 있는 것으로 보이며, GERD를 자극하고 만성 염증 효과를 유발한다.[30]
'''헬리코박터 파일로리 감염'''
헬리코박터 파일로리 감염은 식도 선암의 위험 요인이 아니며, 오히려 보호 효과가 있는 것으로 보인다. 이 감염은 최대 50%까지 식도 선암 위험 감소와 관련이 있는 것으로 보인다.[73][31] 일부 '''H. pylori''' 균주는 위산을 감소시켜 GERD에 의한 손상을 줄일 수 있다.[32]
'''기타'''
여성 호르몬도 보호 효과가 있을 수 있는데, EAC는 여성에게서 훨씬 덜 흔하고, 평균 20년 늦게 발생한다. 모유 수유 기간이 길어짐에 따라 어머니의 위험이 감소하는 것으로 보인다.[73]
흡연은 위험을 증가시키지만, 식도 선암에서의 효과는 편평 상피 세포 암종에 비해 미미하며, 알코올은 원인으로 입증되지 않았다.[73]
5. 3. 기타 희귀 유형
6. 병기
병기는 종양 침윤 정도(T), 림프절 침범(N), 그리고 원격 전이(M)를 분류하는 TNM 분류법을 기반으로 한다.[15] 현재 선호되는 분류는 식도암과 식도위 접합부 암에 대한 2010년 AJCC 병기 분류법이다.[15] 임상적 의사결정을 돕기 위해 이 시스템에는 세포 유형, 등급, 종양 위치 등에 대한 정보도 포함된다.[49]
6. 1. TNM 병기 시스템
병기 분류는 종양 침윤 정도(T), 림프절 침범(N), 그리고 원격 전이(M)를 분류하는 TNM 분류법을 기반으로 한다.[15] 현재 선호되는 분류는 식도암과 식도위 접합부 암에 대한 2010년 AJCC 병기 분류법이다.[15] 임상적 의사결정을 돕기 위해 이 시스템에는 세포 유형(ESCC, EAC 등), 등급(분화 정도 – 암세포의 생물학적 공격성을 나타냄), 그리고 종양 위치(상부, 중부, 하부 또는 접합부[48])에 대한 정보도 포함된다.[49]TNM 병기 시스템은 다음과 같이 분류된다.
- '''T1a''': 암이 점막층에 국한된 병변
- '''T1a-EP''' ('''m1''')
- '''T1a-LPM''' ('''m2''')
- '''T1a-MM''' ('''m3''')
- '''T1b''': 암이 점막하층에 국한된 병변
- '''SM1''', '''SM2''', '''SM3'''
- '''T2''': 암이 고유근층에 국한된 병변
- '''T3''': 암이 식도외막에 침윤되어 있다.
- '''T4''': 암이 식도 주위 장기에 침윤되어 있다.
7. 예방
식도암 예방을 위해서는 금연, 금주, 건강한 식습관, 정상 체중 유지 등이 중요하다. 국립암연구소에 따르면 십자화과 채소(양배추, 브로콜리, 콜리플라워, 방울양배추) 및 녹황색 채소와 과일을 많이 섭취하고, 식이 섬유를 충분히 섭취하는 것이 좋다.[153][154] 아시아 지역에서는 빈랑 씹기를 중단하는 것도 식도 편평상피세포암 예방에 도움이 될 수 있다.[150] 칼슘 섭취가 식도암 위험 감소와 관련이 있을 수 있다는 연구 결과도 있다.[152] 그러나 비타민 보충제는 식도암 위험을 변화시킨다는 증거는 없다.[155]
7. 1. 생활 습관 개선
예방에는 금연 또는 씹는 담배를 끊는 것이 포함된다.[149] 아시아에서 빈랑 씹기를 중단하는 것은 식도 편평상피세포암을 예방하기 위한 또 다른 유망한 전략이다.[150] 정상 체중을 유지하는 것도 위험을 줄일 수 있다.[151] 2022년 엄브렐러 리뷰에 따르면 칼슘 섭취는 위험 감소와 관련이 있을 수 있다고 한다.[152]국립암연구소에 따르면 "십자화과(양배추, 브로콜리/브로콜리니, 콜리플라워, 방울양배추) 및 녹황색 채소와 과일을 많이 섭취하는 식단은 식도암 위험 감소와 관련이 있다."고 한다.[153] 식이 섬유는 특히 식도 선암에 대한 보호 효과가 있는 것으로 알려져 있다.[154] 비타민 보충제가 위험을 변화시킨다는 증거는 없다.[155]
7. 2. 식이 요법
국립암연구소에 따르면 "십자화과(양배추, 브로콜리, 콜리플라워, 방울양배추) 및 녹황색 채소와 과일을 많이 섭취하는 식단은 식도암 위험 감소와 관련이 있다."고 한다.[153] 식이섬유는 특히 식도 선암에 대한 보호 효과가 있는 것으로 알려져 있다.[154] 비타민 보충제가 위험을 변화시킨다는 증거는 없다.[155]7. 3. 건강 검진
바렛 식도(하부 식도를 감싸고 있는 세포의 변화)가 있는 사람은 식도암 위험이 훨씬 높으므로, 암의 초기 징후에 대해 정기적인 내시경 검사를 받을 수 있다.[156][157] 증상이 없는 사람에 대한 선암 검진의 이점은 불분명하므로[149] 미국에서는 권장되지 않는다.[155] 편평상피암 발병률이 높은 일부 지역에서는 선별 검사 프로그램을 시행하고 있다.[149]8. 관리
식도암 치료는 여러 분야의 전문가들이 함께하는 다학제 팀에 의해 관리된다.[158][159] 환자의 영양 섭취와 치과 치료가 중요하다.[160] 치료 방법은 암의 병기, 세포 유형(EAC, ESCC 등), 환자의 전반적인 건강 상태, 그리고 다른 질병 유무에 따라 결정된다.[160]
원격 전이가 없는 국소적인 암은 완치를 목표로 치료하며, 수술을 포함한 복합적인 접근 방식을 고려할 수 있다. 암이 광범위하게 퍼졌거나 전이된 경우, 또는 재발한 경우에는 증상 완화를 위한 완화적 치료를 시행한다. 완화적 치료는 화학 요법을 통해 생존 기간을 연장하고, 방사선 요법이나 스텐트 삽입 등으로 삼킴을 돕는다.[160]

8. 1. 다학제 팀
치료는 다양한 전문 분야를 아우르는 다학제 팀이 관리한다.[158][159] 적절한 영양 섭취가 보장되어야 하며, 적절한 치과 치료가 필수적이다.[160]8. 2. 치료 방법
치료는 여러 전문 분야를 아우르는 다학제 팀이 관리한다.[158][159] 적절한 영양 섭취가 보장되어야 하며, 적절한 치과 치료가 필수적이다. 치료 결정에 영향을 미치는 요인에는 암의 병기 및 세포 유형(EAC, ESCC 및 기타 유형)과 함께 환자의 전반적인 상태 및 기타 질병이 포함된다.[160]일반적으로 완치를 목적으로 하는 치료는 원거리 전이가 없는 국소 질환으로 제한되며, 이러한 경우 수술을 포함한 복합적인 접근 방식을 고려할 수 있다. 광범위하거나 전이성 또는 재발성 질환은 완화적으로 관리한다. 이 경우 생존 기간을 연장하기 위해 화학 요법을 사용할 수 있으며, 증상을 완화하고 삼키기 쉽게 하기 위해 방사선 요법이나 스텐트 삽입과 같은 치료법을 사용할 수 있다.[160]
8. 3. 수술
암이 아직 초기 단계일 때 진단된 경우, 완치를 목적으로 하는 수술적 치료가 가능할 수 있다. 식도 점막이나 내벽에만 국한된 일부 작은 종양은 내시경 점막 절제술(EMR)로 제거할 수 있다.[161][162] 그렇지 않으면 초기 병변의 치료 수술에는 식도의 전체 또는 일부를 제거하는 수술(식도 절제술)이 수반될 수 있지만, 이는 사망률이나 수술 후 어려움의 위험이 상대적으로 높은 고난이도의 수술이다. 조기 식도암의 경우 수술의 이점은 내시경 점막 절제술에 비해 명확하지 않다.[158][163][164] 여러 가지 수술 옵션이 있으며, 특정 상황에 가장 적합한 선택은 여전히 연구와 논의의 대상이다. 종양의 특성과 위치뿐만 아니라 환자의 상태, 수술팀의 가장 경험이 많은 수술 유형 등도 고려해야 할 요소이다.치료 후 삶의 질은 수술을 고려할 때 중요한 요소이다.[165] 수술이 자주 시행되는 대형 센터에서 수술 결과가 더 좋을 가능성이 높다.[163] 암이 신체의 다른 부위로 전이된 경우 요즘에는 식도 절제술을 일반적으로 시행하지 않는다.[163][166]
식도 절제술은 식도의 일부를 제거하는 수술로, 남은 식도의 길이가 짧아지기 때문에 소화관의 다른 일부가 흉강을 통해 위로 당겨져 끼어들게 된다. 일반적으로 위 또는 대장(결장) 또는 공장의 일부이다. 짧아진 식도에 위를 다시 연결하는 것을 식도위 문합술이라고 한다.[163]
식도 절제술은 여러 가지 방법을 사용하여 수행 할 수 있다. 수술 접근법의 선택은 종양의 특성과 위치, 외과의의 선호도에 따라 달라진다. 어떤 접근법이 다양한 상황에서 최상의 결과를 제공하는지에 대한 임상 시험의 명확한 증거는 부족하다.[163] 진입 지점과 관련하여 첫 번째 결정은 식도구멍 시술과 흉부 시술 중 하나이다. 최근의 식도구멍 접근법은 가슴을 열지 않고 하복부 절개와 목 절개를 통해 진입한다. 식도의 아랫부분을 주변 조직에서 떼어내고 필요에 따라 잘라낸다. 그런 다음 위를 식도 열공(식도가 횡격막을 통과하는 구멍)을 통해 밀어 넣고 목에 있는 식도의 나머지 윗부분과 연결한다.[163]
전통적인 흉부 접근법은 가슴을 통해 몸에 들어가며 여러 가지 변형이 있다. 흉복부 접근법은 복강과 흉강을 함께 열고, 2단계 아이보 루이스(Lewis-Tanner라고도 함) 접근법은 초기 개복술로 위관을 만든 다음 우측 개흉술을 통해 종양을 절제하고 식도 위 문합을 만든다. 3단계 맥킨 접근법은 목에 세 번째 절개를 추가하여 자궁경부 문합을 완료한다. 최근 일부 외과 의사들은 림프절을 포함한 주변 조직을 일괄적으로 제거하는 확장 식도 절제술이라고 하는 접근법을 사용한다.[163]
환자가 전혀 삼킬 수 없는 경우 식도를 열어두기 위해 식도 스텐트를 삽입할 수 있으며, 스텐트는 누공을 막는 데도 도움이 될 수 있다. 종양 치료를 받는 동안 수유를 계속하기 위해 비위관이 필요할 수 있으며, 일부 환자는 위루(위장에 직접 접근할 수 있도록 피부에 구멍을 뚫는 수술)가 필요할 수 있다. 후자의 두 가지는 환자가 음식이나 타액을 기도로 흡인하는 경향이 있어 흡인성 폐렴에 걸리기 쉬운 경우 특히 중요하다.
8. 4. 화학 요법 및 방사선 요법
화학 요법은 종양 유형에 따라 다르지만, 시스플라틴 기반(또는 카보플라틴 또는 옥살리플라틴)을 플루오로우라실(5-FU)과 함께 투여하는 방법이 있다.[167] 화학 요법은 수술 후(보조요법), 수술 전(신보조요법) 또는 수술이 불가능한 경우에 투여할 수 있으며, 이 경우 시스플라틴과 5-FU가 사용된다.방사선 치료는 화학 요법이나 수술 전, 도중 또는 후에 시행되며 때로는 증상을 조절하기 위해 단독으로 시행되기도 한다. 국소 질환이 있지만 수술이 불가능한 환자의 경우, 치료 목적으로 "근치적 방사선 치료"를 사용할 수 있다.[15]
화학 요법과 방사선 치료의 병용 요법은 수술 치료 이외의 근치적 치료로서 널리 시행되고 있다. 일반적으로 전신 상태로 인해 수술이 불가능한 경우에 시행된다. I기의 경우 5년 생존율이 수술 치료와 거의 같다는 보고도 있다. II~IVa기에 대해서도 유효성이 보고되고 있다.
근치적 치료를 목표로 하는 방사선 치료는 T1~3, N0, 1, M0의 절제 가능한 경우부터 T4, N0, 1, M0의 절제 불가능한 경우까지 적응증으로 여겨지며, 화학 요법과 병용함으로써 양호한 치료 결과가 보고되고 있다. 식도암 수술은 위험성이 높기 때문에, 외과적 수술을 하지 않는 근치적 치료에서는 화학 요법과 병용하는 화학 방사선 요법이 선택되고 있다.
8. 5. 기타 치료
0기 및 1기 질환에는 내시경 점막 절제술(EMR)[168]과 고주파 절제술, 광역학 치료, NdYAG 레이저 또는 아르곤 플라즈마 응고를 이용한 점막 절제술 등의 내시경 치료가 사용된다.레이저 치료는 고강도 빛을 사용하여 치료 부위에만 영향을 미치면서 종양 세포를 파괴하는 방법이다. 일반적으로 수술로 암을 제거할 수 없는 경우에 시행한다. 막힌 부분을 완화하면 통증과 삼키기 어려움을 완화하는 데 도움이 될 수 있다. 광역학 치료는 레이저 치료의 일종으로, 암세포에 흡수되는 약물을 사용하는데, 특수한 빛에 노출되면 약물이 활성화되어 암세포를 파괴한다.
8. 6. 후속 조치
치료 요법이 완료된 후 환자를 면밀히 추적 관찰한다.[158][159] 증상을 개선하고 영양을 극대화하기 위해 다른 치료법을 사용하는 경우도 많다.9. 예후
일반적으로 식도암의 예후는 매우 좋지 않은데, 대부분의 환자가 질병이 진행된 상태에서 발견되기 때문이다. 첫 증상이 나타날 때는 이미 질병이 상당히 진행된 상태이다. 미국의 전체 5년 생존율(5YSR)은 약 15%이며, 대부분의 환자가 진단 후 1년 이내에 사망한다.[169] 잉글랜드와 웨일즈의 최신 생존 데이터(2007년에 진단받은 환자)에 따르면 식도암 환자 10명 중 1명만이 최소 10년 이상 생존하는 것으로 나타났다.[170]
개별적인 예후는 병기에 따라 크게 달라진다. 병기에 따른 5년 생존율은 다음과 같다.
| 병기 | 5년 생존율 |
|---|---|
| 식도 점막에만 국한된 암 | 약 80% |
| 점막하 침범 | 50% 미만 |
| 식도 근육층으로 전이 | 20% |
| 식도 인접 구조물로 전이 | 7% |
| 원거리 전이 | 3% 미만[171] |
위암, 대장암을 포함한 소화기암 중에서 예후는 매우 불량하다. 이는 림프절 전이가 많다는 점과, 식도는 다른 소화기 장기와 달리 장막(외막)을 가지고 있지 않아 주변으로 비교적 쉽게 침윤되기 때문이다.
식도암 전체의 5년 생존율은 1970년에는 4%였지만 현재는 14% 정도로 개선되었다.
10. 역학
식도암은 전 세계적으로 흔한 암 중 하나이며, 암으로 인한 사망 원인 중에서도 상위권을 차지한다.[173] 2012년 기준으로 약 40만 명이 식도암으로 사망했으며, 이는 전체 암 사망의 약 5%에 해당한다. 새로 진단된 환자는 약 45만 6천 명으로 전체 암의 약 3%를 차지했다.[172]
식도암은 크게 편평상피세포암과 선암 두 가지 유형으로 나뉘며, 지역에 따라 발생률에 차이를 보인다. 개발도상국에서는 편평상피세포암이, 선진국에서는 선암이 더 많이 발생하는 경향이 있다.[172]
일본에서는 60대 남성에게서 식도암이 많이 발생하며, 남녀 비율은 약 3:1이다. 일본 식도암의 93% 이상은 편평상피세포암이며, 주로 흉부 중앙부 식도에 발생한다. 반면, 미국에서는 지난 30년 동안 편평상피세포암의 비율이 감소하여 현재는 약 절반을 식도위접합부 부근의 선암이 차지한다. 이러한 차이는 금연과 같은 요인에 의한 것으로 추정된다.
음주와 흡연은 식도암의 주요 위험 요인으로 알려져 있다.[84] 채소와 과일, 특히 양배추, 무, 갓과 같은 십자화과 채소를 많이 섭취하면 식도암 위험이 감소하는 것으로 나타났다.[85] 국제암연구기관(International Agency for Research on Cancer영어|IARC)은 65℃ 이상의 뜨거운 음료 섭취가 식도암 발병 가능성을 높일 수 있다고 경고했다.[87][88]
10. 1. 발생률
식도암은 전 세계적으로 8번째로 많이 진단되는 암이며, 예후가 좋지 않아 암 관련 사망 원인 중 6번째로 흔하다.[173] 2012년에는 약 40만 명이 식도암으로 사망하여 전체 암 사망의 약 5%를 차지했고, 신규 진단 건수는 약 45만 6천 건으로 전체 암의 약 3%를 차지했다.[172]식도암은 조직학적 유형에 따라 편평상피세포암과 선암으로 나뉜다. 전 세계적으로 식도암의 60~70%는 편평상피세포암, 20~30%는 선암이다.[174] 식도암의 두 가지 주요 유형 발생률은 지역에 따라 크게 다르다.[175] 일반적으로 개발도상국에서는 식도 편평상피세포암이, 선진국에서는 식도 선암이 더 흔하다.[172]
2012년 전 세계 식도 편평상피세포암 발병률은 100,000인년당 5.2건이었으며, 남성이 여성보다 더 많이 발생했다 (남성 100,000인년당 7.7건, 여성 2.8건).[176] 특히 중국 북부, 러시아 남부, 이란 북동부, 아프가니스탄 북부, 터키 동부를 지나는 '아시아 식도암 벨트'에서 빈번하게 발생한다.[174] 2012년 전 세계 식도암 환자의 약 80%가 중앙아시아 및 동남아시아에서 발생했으며, 전체 환자의 절반 이상(53%)이 중국에서 발생했다.[176] 국가별 발병률이 가장 높은 국가는 아시아에서는 몽골과 투르크메니스탄, 아프리카에서는 말라위, 케냐, 우간다였다.[176]
서구 국가에서는 최근 수십 년 동안 식도 선암 발병률이 증가했다. 2012년 전 세계 식도 선암 발병률은 10만 명당 0.7명으로 남성이 여성보다 더 많이 발생했다 (남성 10만 명당 1.1명, 여성 0.3명).[178][179] 특히 북유럽과 서유럽, 북미, 오세아니아에서 발병률이 높다. 영국, 네덜란드, 아일랜드, 아이슬란드, 뉴질랜드가 가장 높은 발병률을 기록했다.[176]
10. 2. 대한민국
2022년에 발표된 중앙암등록본부 자료에 따르면, 2020년에 대한민국에서 발생한 식도암은 2,748건으로 전체 암 발생의 1.1%를 차지했다. 인구 10만 명당 조(粗)발생률(해당 관찰 기간 중 대상 인구 집단에서 새롭게 발생한 환자 수. 조사망률도 산출 기준이 동일)은 5.4건이었다.[184]남녀 성비는 8.3 : 1로 남성에게서 더 많이 발생했으며, 남성 2,451건, 여성 297건이었다. 연령대별로는 60대가 37.5%로 가장 많았고, 70대(27.6%), 50대(17.9%) 순이었다.[184]
2020년 식도암 전체 발생 건수 2,748건 중 암종(carcinoma)이 97.1%를 차지했다. 암종 중에서는 편평상피세포암이 91.4%로 가장 많았고, 선암이 3.1%였다.[184]
10. 3. 미국
미국에서 식도암은 남성 암 사망 원인 7위(전체의 4%)이다.[180] 미국 국립암연구소는 2013년에 약 18,000건의 식도암이 새로 발생하고 15,000명 이상이 식도암으로 사망한 것으로 추정했다. 미국 암학회는 2014년 한 해 동안 약 18,170건의 식도암이 새로 진단되고 15,450명이 사망할 것으로 추정했다.[175][180]편평상피세포암은 흡연이나 음주 이력이 있는 아프리카계 미국인 남성에게 더 흔하다. 1970년대까지 편평상피세포암은 미국에서 발생하는 식도암의 대부분을 차지했다. 최근 수십 년 동안 미국에서 식도 선암(바렛 식도와 관련이 있음)의 발생률이 꾸준히 증가하여 이제는 편평상피세포암을 넘어섰다. 편평상피세포암과 달리 식도 선암은 백인 미국인 남성(60세 이상)에게 더 흔하다. 여러 보고에 따르면 지난 20년 동안 식도 선암 발생률이 특히 비히스패닉계 백인 남성에서 증가했다고 한다. 뉴멕시코에서는 1973년부터 2002년까지 식도 선암의 연령 조정 발생률이 증가했다. 이러한 증가는 비히스패닉계 백인과 히스패닉계 백인에서 발견되었으며 비히스패닉계 백인에서 우세하게 나타났다.[181]
아프리카계 미국인의 식도암 발생률과 사망률은 계속해서 코카시아인보다 높다. 그러나 1980년대 초부터 아프리카계 미국인의 식도암 발생률과 사망률은 크게 감소한 반면, 백인의 식도암 발생률과 사망률은 계속 증가하고 있다.[182] 1975년과 2004년 사이에 미국 백인 남성의 선암 발생률은 460% 이상, 미국 백인 여성의 선암 발생률은 335% 증가했다.[175]
11. 연구 방향
아스피린 또는 관련 비스테로이드성 소염진통제(NSAID)를 복용하는 경우 식도 편평상피세포암의 위험이 감소할 수 있지만,[187] 무작위 대조 임상시험이 없어 현재로서는 그 증거가 확실하지 않다.[172][179]
식도 선암의 유전체학은 암 게놈 시퀀싱을 사용하여 연구되고 있다.[188][189] 식도 선암은 종양 미세 환경 내에서 이질성을 가진 복잡한 종양 게놈이 특징이다.[189]
참조
[1]
논문
Global, regional, and national incidence, prevalence, and years lived with disability for 310 diseases and injuries, 1990-2015: a systematic analysis for the Global Burden of Disease Study 2015
2016-10-01
[2]
문서
Even by those using the British English spelling "oesophagus"
[3]
서적
World Cancer Report 2014
World Health Organization
2014-01-01
[4]
서적
Gastrointestinal oncology: principles and practices
https://books.google[...]
Lippincott Williams & Wilkins
2007-01-01
[5]
서적
Cancer epidemiology and prevention
https://books.google[...]
Oxford University Press
2006-01-01
[6]
논문
Epidemiologic differences in esophageal cancer between Asian and Western populations
2012-06-01
[7]
논문
Oesophageal cancer: ESMO Clinical Practice Guidelines for diagnosis, treatment and follow-up
2013-10-01
[8]
웹사이트
Esophageal Cancer Factsheet
http://gco.iarc.fr/t[...]
2019-11-08
[9]
논문
Global and regional mortality from 235 causes of death for 20 age groups in 1990 and 2010: a systematic analysis for the Global Burden of Disease Study 2010
https://zenodo.org/r[...]
2012-12-01
[10]
논문
Esophageal cancer
http://gastro.ucsd.e[...]
2003-12-01
[11]
서적
Ferri's clinical advisor 2013
Mosby (Elsevier)
2012-01-01
[12]
웹사이트
SEER Stat Fact Sheets: Esophageal Cancer
http://seer.cancer.g[...]
2014-06-18
[13]
서적
Harrison's principles of internal medicine
McGraw-Hill Medical Publishing Division
[14]
서적
Oxford American Handbook of Gastroenterology and Hepatology
https://archive.org/[...]
Oxford University Press
2011-01-01
[15]
논문
Oesophageal carcinoma
2013-02-01
[16]
서적
Textbook of Gastroenterology
https://books.google[...]
John Wiley & Sons
[17]
서적
Cancer of the Upper Gastrointestinal Tract
PMPH-USA
[18]
논문
Genetic predisposition to gastro-oesophageal cancer
2010-06-01
[19]
서적
Cancer and its management
John Wiley & Sons
2013-01-01
[20]
논문
The synergistic effects of alcohol and tobacco consumption on the risk of esophageal squamous cell carcinoma: a meta-analysis
2014-06-01
[21]
논문
Carcinogenicity of drinking coffee, mate, and very hot beverages
http://www.smeo.org.[...]
2016-10-03
[22]
웹사이트
Q&A on Monographs Volume 116: Coffee, maté, and very hot beverages
https://www.iarc.fr/[...]
IARC / WHO
2016-10-03
[23]
논문
Areca nut chewing and esophageal squamous-cell carcinoma risk in Asians: a meta-analysis of case-control studies
2013-02-01
[24]
서적
Esophageal cancer principles and practice
https://books.google[...]
Demos Medical
2009-01-01
[25]
논문
Oesophageal adenocarcinoma: the new epidemic in men?
2011-07-01
[26]
논문
Barrett's oesophagus: epidemiology, cancer risk and implications for management
2014-01-01
[27]
논문
HOXA13 in etiology and oncogenic potential of Barrett's esophagus
2021-06-01
[28]
논문
The role of bile acids in carcinogenesis
2022-04-01
[29]
논문
A meta-analysis of body mass index and esophageal and gastric cardia adenocarcinoma
2013-03-01
[30]
논문
Influence of obesity on the risk of esophageal disorders
2011-06-01
[31]
논문
Risk factors for esophageal cancer development
http://download.bioo[...]
2009-07-01
[32]
서적
Epidemiology of Chronic Disease: Global Perspectives
Jones & Bartlett Publishers
[33]
논문
Second primary tumors in patients with head and neck cancer
2011-04-01
[34]
논문
Coincidental squamous cell cancers of the esophagus, head, and neck: risk and screening
2008-06-01
[35]
웹사이트
Tylosis with esophageal cancer
http://rarediseases.[...]
Genetic and Rare Diseases Information Center (GARD) – NIH
2013-01-18
[36]
서적
Textbook of Cancer Epidemiology
Oxford University Press
[37]
논문
The aetiological role of human papillomavirus in oesophageal squamous cell carcinoma: a meta-analysis
[38]
논문
InterSCOPE study: Associations between esophageal squamous cell carcinoma and human papillomavirus serological markers
2012-01-00
[39]
논문
Geographic origin is a significant determinant of human papillomavirus prevalence in oesophageal squamous cell carcinoma: systematic review and meta-analysis
2013-01-00
[40]
논문
Association between human papillomavirus (HPV) and oesophageal squamous cell carcinoma: a meta-analysis
2014-06-00
[41]
논문
Association Between Coeliac Disease and Risk of Any Malignancy and Gastrointestinal Malignancy: A Meta-Analysis
2015-09-00
[42]
논문
Diagnostic accuracy of CT scan in staging resectable esophageal cancer
2016-01-00
[43]
논문
Multimodality assessment of esophageal cancer: preoperative staging and monitoring of response to therapy
[44]
논문
PET/CT of esophageal cancer: its role in clinical management
2007-11-00
[45]
논문
18F-FDG-PET/MRI in preoperative staging of oesophageal and gastroesophageal junctional cancer
2019-09-00
[46]
서적
General Thoracic Surgery
https://books.google[...]
Lippincott Williams & Wilkins
[47]
서적
Perez and Brady's Principles and Practice of Radiation Oncology
https://books.google[...]
Lippincott Williams & Wilkins
[48]
웹사이트
C16 - Malignant neoplasm of the stomach
http://apps.who.int/[...]
World Health Organization
2014-11-14
[49]
논문
A cancer staging primer: esophagus and esophagogastric junction
2010-03-00
[50]
논문
Body Fatness and Cancer--Viewpoint of the IARC Working Group
2016-08-00
[51]
논문
Diet and Esophageal Cancer Risk: An Umbrella Review of Systematic Reviews and Meta-Analyses of Observational Studies
2022-12-00
[52]
논문
Diet and oral, pharyngeal, and esophageal cancer
http://www.cancer.go[...]
[53]
논문
Dietary fiber and the risk of precancerous lesions and cancer of the esophagus: a systematic review and meta-analysis
2013-07-00
[54]
논문
Epidemiology of esophageal cancer
2013-09-00
[55]
논문
Controversies in Barrett esophagus
2014-07-00
[56]
서적
Cancer and its Management
John Wiley & Sons
[57]
문서
[58]
논문
Endoscopic submucosal dissection
2014-04-00
[59]
논문
Efficacy and complication of endoscopic submucosal dissection for superficial esophageal carcinoma: a systematic review and meta-analysis
2014-05-00
[60]
서적
DeVita, Hellman, and Rosenberg's Cancer: Cancer: Principles & Practice of Oncology
Lippincott Williams & Wilkins
2011-00-00
[61]
논문
Esophageal cancer: staging system and guidelines for staging and treatment
2014-05-00
[62]
논문
The role of health-related quality of life outcomes in clinical decision making in surgery for esophageal cancer: a systematic review
2008-09-00
[63]
문서
[64]
논문
Prospective randomized trial comparing mitomycin, cisplatin, and protracted venous-infusion fluorouracil (PVI 5-FU) With epirubicin, cisplatin, and PVI 5-FU in advanced esophagogastric cancer
2002-04-00
[65]
논문
Endoscopic mucosal resection and endoscopic submucosal dissection in esophageal and gastric cancers
2010-09-00
[66]
논문
Trends in survival for both histologic types of esophageal cancer in US surveillance, epidemiology and end results areas
2003-05-00
[67]
웹사이트
Oesophageal cancer survival statistics
http://www.cancerres[...]
2015-05-15
[68]
웹사이트
Esophageal Cancer Treatment How We Treat Esophageal Cancer KAIZEN Hospital
https://www.kaizenho[...]
[69]
논문
Esophageal cancer: A Review of epidemiology, pathogenesis, staging workup and treatment modalities
2014-05-00
[70]
논문
Global incidence of oesophageal cancer by histological subtype in 2012
2015-03-00
[71]
논문
Barrett's esophagus and esophageal cancer: an overview
http://www.spandidos[...]
2012-08
[72]
논문
Systematic review: epidemiology of oesophageal cancer in Sub-Saharan Africa
2010-09
[73]
논문
Recent developments in esophageal adenocarcinoma
[74]
웹사이트
Cancer Facts and Figures 2014
http://www.cancer.or[...]
American Cancer Society
2014-04-28
[75]
논문
Changing pattern of esophageal cancer incidence in New Mexico: a 30-year evaluation
2010-06
[76]
웹사이트
Incidence and Mortality Rate Trends
http://planning.canc[...]
National Cancer Institute
2006-09
[77]
웹사이트
Oesophageal cancer statistics
http://www.cancerres[...]
2014-10-03
[78]
웹사이트
Christopher Hitchens' widow on his death: "God never came up"
http://www.cbsnews.c[...]
2012-09-07
[79]
잡지
Morrissey Talks Trump, Cancer Diagnosis, TSA Groping With Larry King
https://www.rollings[...]
2015-08-19
[80]
논문
Meta-analysis: non-steroidal anti-inflammatory drug use and the risk of esophageal squamous cell carcinoma
2011-11
[81]
논문
The landscape of selection in 551 esophageal adenocarcinomas defines genomic biomarkers for the clinic
2019-03
[82]
논문
Multi-omic features of oesophageal adenocarcinoma in patients treated with preoperative neoadjuvant therapy
2023-05
[83]
웹사이트
WHO Disease and injury country estimates
http://www.who.int/h[...]
2009-11-11
[84]
웹사이트
飲酒と食道がんの発生率との関係について
http://epi.ncc.go.jp[...]
2016-07-18
[85]
웹사이트
野菜・果物摂取と扁平上皮細胞由来食道がんとの関連について
http://epi.ncc.go.jp[...]
2016-07-18
[86]
웹사이트
ビタミンB12、ビタミンB6、葉酸およびメチオニンの食事摂取と食道がんのリスクとの関連について
https://epi.ncc.go.j[...]
2022-06-06
[87]
간행물
IARC Monographs evaluate drinking coffee, maté, and very hot beverages
http://www.iarc.fr/e[...]
国際がん研究機関(IARC)
2016-07-18
[88]
간행물
Agents Classified by the IARC Monographs, Volumes 1–106
http://monographs.ia[...]
国際がん研究機関(IARC)
2016-07-18
[89]
서적
やさしい腫瘍学
南江堂
[90]
웹사이트
食道癌に対する手術療法(胸腔鏡)、(開胸)
http://www.jsge.or.j[...]
2020-11-15
[91]
논문
Surgery plus chemotherapy compared with surgery alone for localized squamous cell carcinoma of the thoracic esophagus: a Japan Clinical Oncology Group Study--JCOG9204
https://www.ncbi.nlm[...]
2003-12-15
[92]
논문
A randomized trial comparing postoperative adjuvant chemotherapy with cisplatin and 5-fluorouracil versus preoperative chemotherapy for localized advanced squamous cell carcinoma of the thoracic esophagus (JCOG9907)
https://www.ncbi.nlm[...]
2012-01
[93]
논문
Preoperative chemoradiotherapy for esophageal or junctional cancer
https://www.ncbi.nlm[...]
2012-05-31
[94]
논문
Phase III trial of trimodality therapy with cisplatin, fluorouracil, radiotherapy, and surgery compared with surgery alone for esophageal cancer: CALGB 9781
https://www.ncbi.nlm[...]
2008-03-01
[95]
논문
A phase II trial of chemoradiotherapy for stage I esophageal squamous cell carcinoma: Japan Clinical Oncology Group Study (JCOG9708)
https://www.ncbi.nlm[...]
2009-10
[96]
웹사이트
한국신약
http://hsp.co.kr/jap[...]
[97]
논문
食道切除後の栄養および消化管機能回復への大建中湯の可能性
https://www.kampo-s.[...]
2018-09-20
[98]
뉴스
食道がんの再発防げ 禁酒・節酒で「前がん状態」が改善 京大など
https://www.asahi.co[...]
朝日新聞
2023-12-26
[99]
논문
Global, regional, and national incidence, prevalence, and years lived with disability for 310 diseases and injuries, 1990-2015: a systematic analysis for the Global Burden of Disease Study 2015
2016-10
[100]
서적
World Cancer Report 2014
https://archive.org/[...]
World Health Organization
2014
[101]
서적
Ferri's clinical advisor 2013
Mosby (Elsevier)
2012
[102]
문서
Even by those using the British English spelling "oesophagus"
[103]
서적
Gastrointestinal oncology: principles and practices
https://books.google[...]
Lippincott Williams & Wilkins
2007
[104]
서적
Cancer epidemiology and prevention
https://books.google[...]
Oxford University Press
2006
[105]
논문
Epidemiologic differences in esophageal cancer between Asian and Western populations
2012-06
[106]
저널
Areca nut chewing and esophageal squamous-cell carcinoma risk in Asians: a meta-analysis of case-control studies
2013-02-00
[107]
저널
Oesophageal cancer: ESMO Clinical Practice Guidelines for diagnosis, treatment and follow-up
2013-10-00
[108]
웹사이트
Esophageal Cancer Factsheet
http://gco.iarc.fr/t[...]
2019-11-08
[109]
저널
Global and regional mortality from 235 causes of death for 20 age groups in 1990 and 2010: a systematic analysis for the Global Burden of Disease Study 2010
2012-12-00
[110]
저널
Esophageal cancer
http://gastro.ucsd.e[...]
2003-12-00
[111]
웹사이트
SEER Stat Fact Sheets: Esophageal Cancer
http://seer.cancer.g[...]
2014-06-18
[112]
서적
Harrison's principles of internal medicine
McGraw-Hill Medical Publishing Division
[113]
서적
Oxford American Handbook of Gastroenterology and Hepatology
https://archive.org/[...]
Oxford University Press
2011
[114]
저널
Oesophageal carcinoma
2013-02-00
[115]
서적
Textbook of Gastroenterology
https://books.google[...]
John Wiley & Sons
[116]
서적
Cancer of the Upper Gastrointestinal Tract
PMPH-USA
[117]
저널
Genetic predisposition to gastro-oesophageal cancer
2010-06-00
[118]
서적
Cancer and its management
John Wiley & Sons
2013
[119]
저널
Carcinogenicity of drinking coffee, mate, and very hot beverages
http://www.smeo.org.[...]
2016-07-00
[120]
웹사이트
Q&A on Monographs Volume 116: Coffee, maté, and very hot beverages
https://www.iarc.fr/[...]
IARC / WHO
2016-10-03
[121]
서적
Esophageal cancer principles and practice
https://books.google[...]
Demos Medical
2009
[122]
저널
Oesophageal adenocarcinoma: the new epidemic in men?
2011-07-00
[123]
저널
Barrett's oesophagus: epidemiology, cancer risk and implications for management
2014-01-00
[124]
저널
HOXA13 in etiology and oncogenic potential of Barrett's esophagus
2021-06-00
[125]
저널
The role of bile acids in carcinogenesis
2022-04-00
[126]
저널
A meta-analysis of body mass index and esophageal and gastric cardia adenocarcinoma
2013-03-00
[127]
저널
Influence of obesity on the risk of esophageal disorders
2011-06-00
[128]
저널
Recent developments in esophageal adenocarcinoma
[129]
저널
Risk factors for esophageal cancer development
http://download.bioo[...]
2009-07-00
[130]
서적
Epidemiology of Chronic Disease: Global Perspectives
Jones & Bartlett Publishers
[131]
저널
Second primary tumors in patients with head and neck cancer
2011-04-00
[132]
저널
Coincidental squamous cell cancers of the esophagus, head, and neck: risk and screening
2008-06-00
[133]
웹사이트
Tylosis with esophageal cancer
http://rarediseases.[...]
Genetic and Rare Diseases Information Center (GARD) – NIH
2013-01-18
[134]
서적
Textbook of Cancer Epidemiology
Oxford University Press
[135]
저널
The aetiological role of human papillomavirus in oesophageal squamous cell carcinoma: a meta-analysis
[136]
저널
InterSCOPE study: Associations between esophageal squamous cell carcinoma and human papillomavirus serological markers
2012-01-00
[137]
저널
Geographic origin is a significant determinant of human papillomavirus prevalence in oesophageal squamous cell carcinoma: systematic review and meta-analysis
2013-01-00
[138]
저널
Association between human papillomavirus (HPV) and oesophageal squamous cell carcinoma: a meta-analysis
2014-06-00
[139]
저널
Association Between Coeliac Disease and Risk of Any Malignancy and Gastrointestinal Malignancy: A Meta-Analysis
2015-09-00
[140]
저널
Diagnostic accuracy of CT scan in staging resectable esophageal cancer
2016-01-00
[141]
저널
Multimodality assessment of esophageal cancer: preoperative staging and monitoring of response to therapy
[142]
저널
PET/CT of esophageal cancer: its role in clinical management
2007-11-00
[143]
저널
18F-FDG-PET/MRI in preoperative staging of oesophageal and gastroesophageal junctional cancer
2019-09-00
[144]
서적
General Thoracic Surgery
https://books.google[...]
Lippincott Williams & Wilkins
[145]
서적
Perez and Brady's Principles and Practice of Radiation Oncology
https://books.google[...]
Lippincott Williams & Wilkins
[146]
저널
Oesophageal carcinoma
2013-02-00
[147]
웹사이트
C16 - Malignant neoplasm of the stomach
http://apps.who.int/[...]
World Health Organization
2014-11-14
[148]
저널
A cancer staging primer: esophagus and esophagogastric junction
2010-03-00
[149]
서적
World Cancer Report 2014
https://archive.org/[...]
World Health Organization
2014-00-00
[150]
저널
Areca nut chewing and esophageal squamous-cell carcinoma risk in Asians: a meta-analysis of case-control studies
2013-02-00
[151]
저널
Body Fatness and Cancer--Viewpoint of the IARC Working Group
2016-08-00
[152]
저널
Diet and Esophageal Cancer Risk: An Umbrella Review of Systematic Reviews and Meta-Analyses of Observational Studies
2022-12-00
[153]
저널
Diet and oral, pharyngeal, and esophageal cancer
http://www.cancer.go[...]
[154]
저널
Dietary fiber and the risk of precancerous lesions and cancer of the esophagus: a systematic review and meta-analysis
2013-07-00
[155]
서적
Ferri's clinical advisor 2013
Mosby (Elsevier)
2012-00-00
[156]
저널
Epidemiology of esophageal cancer
2013-09-00
[157]
저널
Controversies in Barrett esophagus
2014-07-00
[158]
서적
Cancer and its Management
John Wiley & Sons
[159]
harvnb
[160]
저널
Oesophageal carcinoma
2013-02-00
[161]
저널
Endoscopic submucosal dissection
2014-04-00
[162]
저널
Efficacy and complication of endoscopic submucosal dissection for superficial esophageal carcinoma: a systematic review and meta-analysis
2014-05-00
[163]
서적
DeVita, Hellman, and Rosenberg's Cancer: Cancer: Principles & Practice of Oncology
Lippincott Williams & Wilkins
2011-00-00
[164]
저널
Esophageal cancer: staging system and guidelines for staging and treatment
2014-05-00
[165]
저널
The role of health-related quality of life outcomes in clinical decision making in surgery for esophageal cancer: a systematic review
2008-09-00
[166]
harvnb
[167]
저널
Prospective randomized trial comparing mitomycin, cisplatin, and protracted venous-infusion fluorouracil (PVI 5-FU) With epirubicin, cisplatin, and PVI 5-FU in advanced esophagogastric cancer
2002-04-00
[168]
저널
Endoscopic mucosal resection and endoscopic submucosal dissection in esophageal and gastric cancers
2010-09-00
[169]
저널
Trends in survival for both histologic types of esophageal cancer in US surveillance, epidemiology and end results areas
2003-05-00
[170]
웹사이트
Oesophageal cancer survival statistics
http://www.cancerres[...]
2015-05-15
[171]
웹사이트
Esophageal Cancer Treatment {{!}} How We Treat Esophageal Cancer {{!}} KAIZEN Hospital
https://www.kaizenho[...]
2021-01-17
[172]
서적
World Cancer Report 2014
https://archive.org/[...]
World Health Organization
2014-00-00
[173]
저널
Epidemiology of esophageal cancer
2013-09-00
[174]
저널
Barrett's esophagus and esophageal cancer: an overview
http://www.spandidos[...]
2012-08-00
[175]
저널
Esophageal cancer: A Review of epidemiology, pathogenesis, staging workup and treatment modalities
2014-05-00
[176]
저널
Global incidence of oesophageal cancer by histological subtype in 2012
2015-03-01
[177]
저널
Systematic review: epidemiology of oesophageal cancer in Sub-Saharan Africa
2010-09-01
[178]
저널
Oesophageal cancer: ESMO Clinical Practice Guidelines for diagnosis, treatment and follow-up
2013-10-01
[179]
저널
Recent developments in esophageal adenocarcinoma
[180]
웹사이트
Cancer Facts and Figures 2014
http://www.cancer.or[...]
American Cancer Society
2014-04-28
[181]
저널
Changing pattern of esophageal cancer incidence in New Mexico: a 30-year evaluation
2010-06-01
[182]
웹사이트
Incidence and Mortality Rate Trends
http://planning.canc[...]
National Cancer Institute
2007-03-21
[183]
웹사이트
Oesophageal cancer statistics
http://www.cancerres[...]
2014-10-03
[184]
웹사이트
https://www.cancer.g[...]
2023-10-10
[185]
웹사이트
Christopher Hitchens' widow on his death: "God never came up"
http://www.cbsnews.c[...]
2015-11-11
[186]
잡지
Morrissey Talks Trump, Cancer Diagnosis, TSA Groping With Larry King
https://www.rollings[...]
2015-11-11
[187]
저널
Meta-analysis: non-steroidal anti-inflammatory drug use and the risk of esophageal squamous cell carcinoma
2011-11-01
[188]
저널
The landscape of selection in 551 esophageal adenocarcinomas defines genomic biomarkers for the clinic
2019-03-01
[189]
저널
Multi-omic features of oesophageal adenocarcinoma in patients treated with preoperative neoadjuvant therapy
2023-05-01
본 사이트는 AI가 위키백과와 뉴스 기사,정부 간행물,학술 논문등을 바탕으로 정보를 가공하여 제공하는 백과사전형 서비스입니다.
모든 문서는 AI에 의해 자동 생성되며, CC BY-SA 4.0 라이선스에 따라 이용할 수 있습니다.
하지만, 위키백과나 뉴스 기사 자체에 오류, 부정확한 정보, 또는 가짜 뉴스가 포함될 수 있으며, AI는 이러한 내용을 완벽하게 걸러내지 못할 수 있습니다.
따라서 제공되는 정보에 일부 오류나 편향이 있을 수 있으므로, 중요한 정보는 반드시 다른 출처를 통해 교차 검증하시기 바랍니다.
문의하기 : help@durumis.com