평활근육종
"오늘의AI위키"의 AI를 통해 더욱 풍부하고 폭넓은 지식 경험을 누리세요.
1. 개요
평활근육종은 평활근에서 발생하는 드문 암의 일종이다. 이 종양은 자궁, 위, 장, 혈관 벽, 피부 등 신체의 다양한 부위에서 발생할 수 있으며, 연조직 육종의 5~10%를 차지한다. 평활근육종의 진단은 신체 검사, 영상 검사(MRI, CT, PET), 조직 생검을 통해 이루어지며, 종양의 위치와 크기에 따라 메스꺼움, 통증, 출혈 등의 다양한 증상이 나타날 수 있다. 치료는 수술을 통한 종양 절제가 기본이며, 화학 요법, 방사선 치료, 표적 치료, 호르몬 치료 등이 사용될 수 있다.
더 읽어볼만한 페이지
- 결합조직 및 연조직의 신생물 - 중피종
중피종은 석면 노출이 주요 원인이며 20~50년의 잠복기를 거쳐 흉막, 복막 등에서 발생하는 악성 종양으로, 진단은 영상 검사 등을 통해 이루어지고 수술, 항암 치료 등을 병행하며 예후는 좋지 않다. - 결합조직 및 연조직의 신생물 - 카포시육종
카포시육종은 카포시육종 관련 헤르페스 바이러스 감염에 의한 혈관내피세포 암으로, 피부와 다양한 장기에 붉은색, 자주색, 갈색 또는 검은색의 결절이나 반점 형태의 병변을 유발하며, 임상적으로 여러 유형으로 분류되고, 생검 및 현미경 검사로 진단하며, 국소적 또는 전신적 치료, AIDS 관련형의 경우 고활성 항레트로바이러스 치료를 시행한다. - 육종 (종양) - 골육종
골육종은 뼈, 특히 장골의 골간단 부위에서 발생하는 악성 종양으로, 밤에 심해지는 통증, 부종, 병적 골절 등의 증상을 보이며, 유전적, 환경적 요인이 복합적으로 작용하는 것으로 추정되고, 수술 및 항암화학요법을 통해 치료하며, 예후는 병기 및 치료 반응에 따라 달라진다. - 육종 (종양) - 미분화 다형성 육종
미분화 다형성 육종은 다양한 모양과 크기를 가진 악성 연조직 종양으로, 분화의 증거가 거의 없으며, 주로 팔다리, 복부 등에서 발생하고, 수술적 절제, 방사선 치료, 화학 요법 등으로 치료한다. - 희귀암 - 중피종
중피종은 석면 노출이 주요 원인이며 20~50년의 잠복기를 거쳐 흉막, 복막 등에서 발생하는 악성 종양으로, 진단은 영상 검사 등을 통해 이루어지고 수술, 항암 치료 등을 병행하며 예후는 좋지 않다. - 희귀암 - 성인 T세포 백혈병
성인 T세포 백혈병은 사람 T세포 림프친화 바이러스 1형에 의해 유발되는 고위험성 비호지킨 림프종의 일종으로, 고칼슘혈증, 피부 질환, 용해성 골병변 등의 증상을 동반하며 급성형, 림프종형, 만성형, 연성형으로 분류된다.
| 평활근육종 | |
|---|---|
| 개요 | |
![]() | |
| 분야 | 혈액학 및 종양학 |
| 영어 | Leiomyosarcoma, LMS |
| 한자 | 平滑筋肉腫 |
| 어원 | (평활-), (근육), 육종(결합 조직 종양) |
| 일반 정보 | |
| 증상 | (정보 없음) |
| 합병증 | (정보 없음) |
| 발병 시기 | (정보 없음) |
| 지속 기간 | (정보 없음) |
| 유형 | (정보 없음) |
| 원인 | (정보 없음) |
| 위험 요인 | (정보 없음) |
| 진단 | (정보 없음) |
| 감별 진단 | (정보 없음) |
| 예방 | (정보 없음) |
| 치료 | (정보 없음) |
| 약물 | (정보 없음) |
| 예후 | (정보 없음) |
| 빈도 | (정보 없음) |
| 사망 | (정보 없음) |
| 식별 | |
| DiseasesDB | 34362 |
| ICD-10 | C49, C45.M48 |
| ICD-9 | (정보 없음) |
| ICD-O | 8890/3 |
| OMIM | (정보 없음) |
| MeSH | D007890 |
| eMedicine 주제 | med/1180 |
| 추가 정보 | |
| 설명 | 평활근에서 발생하는 암 |
2. 발생 기전
평활근육종은 대부분의 육종과 마찬가지로, 그 원인이 명확하게 밝혀지지 않은 상태이다. 다만, 복잡한 핵형을 가지며, 이러한 복잡성 때문에 유전체 불안정성이 원인일 수 있다는 의견이 제시된다.[3]
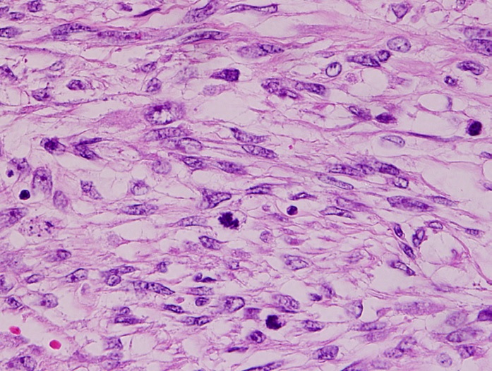
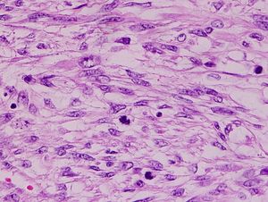
종양은 일반적으로 출혈성이 있고 부드러우며, 현미경적으로 다형성, 풍부한 (고배율 시야당 15–30개) 비정상적인 유사 분열상, 응고성 종양 세포 괴사로 특징지어진다. 감별 진단은 방추형 세포 암종, 방추형 세포 흑색종, 섬유육종, 악성 말초 신경초 종양 및 심지어 양상피성 비부비동 육종까지 광범위하다.
2. 1. 발생 부위별 특징
평활근 세포는 불수의근을 구성하며, 자궁, 위, 장, 모든 혈관 벽, 피부 등 신체의 대부분에서 발견된다. 이들은 평활근육종(LMS)이 발생하는 부위이다.[5] 평활근육종은 후복막 영역[3], 즉 부신, 신장, 요관에서도 발생한다.- 자궁 평활근육종: 자궁 근육층의 평활근에서 발생한다.[6]
- 피부 평활근육종: 피부의 입모근에서 유래한다.
- 위장관 평활근육종: 위장관의 평활근에서 유래하거나, 혈관에서 유래할 수 있다.
- 기타 부위: 후복막 사지(복부, 장 뒤쪽), 몸통, 복부 장기 등에서 평활근육종은 혈관의 근육층(중막)에서 성장하는 것으로 보인다. 따라서 평활근육종은 신체의 어느 곳에서나 혈관에서 기원할 수 있다.[4]
3. 진단
평활근육종(LMS)을 진단하기 위해 의사는 신체 검사를 수행하고, 자기 공명 영상(MRI), 전산화 단층 촬영(CT), 양전자 방출 단층 촬영(PET)과 같은 영상 검사를 할 수 있다. 또한, 제거된 조직 샘플의 조직 병리를 검사하는 조직 생검을 완료할 수도 있다.[1]

3. 1. 주요 증상
평활근육종(LMS)은 광범위한 질병이기 때문에, 증상은 종양의 위치와 크기에 따라 다르다.[2] 메스꺼움, 구토, 촉진 가능한 덩어리, 통증, 출혈, 의도하지 않은 체중 감소 등이 나타날 수 있다.[2]4. 치료
평활근육종의 일반적인 치료법은 종양과 그 주변을 최대한 넓게 절제하는 외과 수술이다. 하지만 수술 절제 부위가 좁거나, 종양 제거가 불확실한 경우, 또는 종양 세포가 남은 경우에는 화학 요법이나 방사선 요법이 생존율을 향상시킨다는 연구 결과가 있다.[8]
평활근육종은 방사선 및 화학 요법에 저항성을 보이는 경향이 있지만, 각 사례마다 결과는 매우 다를 수 있다. 따라서 평활근육종 진단을 받은 환자는 가능한 한 빨리 육종 전문의의 진찰을 받아야 한다.
보완 요법(시판 보충제나 보험 적용 외 민간 요법 등)은 주치의와 상담해야 한다. 치료 효과가 없는 것을 "특별한 치료"인 것처럼 속여 고가에 판매하는 경우가 있고, 화학 요법 등의 치료 효과를 방해할 수도 있기 때문이다.
4. 1. 전이성 평활근육종 치료
일반적으로 평활근육종(LMS) 치료에는 수술을 통해 가능한 한 넓은 절제 연을 확보하는 것이 가장 효과적이고 선호되는 방법이다. 그러나 수술 절제 연이 좁거나 종양이 명확하게 제거되지 않은 경우, 또는 종양 세포가 남아있는 일부 상황에서는 화학 요법이나 방사선 치료가 생존율을 분명하게 향상시키는 것으로 나타났다.[8] LMS는 방사선 및 화학 요법에 저항하는 경향이 있지만, 각 사례는 다르며 결과는 매우 다양할 수 있다.전이성(광범위한) 질환의 경우, 화학 요법 및 표적 치료가 우선적인 선택이다. 화학 요법 요법에는 독소루비신/이포스파미드 및 독소루비신 병용/젬시타빈과 도세탁셀/트라벡테딘이 포함된다.[9] 파조파닙은 전이성 평활근육종에서 2차 치료제로 사용되는 표적 치료법이며, 내약성이 좋다.[10]
자궁 기원의 LMS는 종종 호르몬 치료에 반응한다.[11][12]
4. 2. 자궁 평활근육종의 호르몬 치료
자궁 기원의 평활근육종(LMS)은 호르몬 치료에 반응하는 경향이 있다.[11][12] 2020년 기준으로 자궁 LMS에 대한 여러 임상 시험이 진행 중이다.[13]5. 자궁 근종과의 감별
자궁 근종은 평활근에서 발생하는 양성 종양으로 자궁 평활근육종과 특징이 겹치는 부분이 있다. 두 종양 모두 평활근에서 기원하지만, 자궁 근종이 성숙하여 자궁 평활근육종이 되지는 않는다.[14] 자궁 근종은 폐경 전 여성에게서 발견되며 20~50%의 경우 증상이 나타나는 반면, 가장 흔한 자궁 육종인 자궁 평활근육종은 40~60세가 발병 최고 연령대로, 주로 폐경 후의 고령 여성에게서 발견된다.[15][16] 자궁 근종은 양성이고 대부분 무증상이므로 최소 침습적인 치료 방식을 사용한다.[15] 같은 이유로, 복강경 수술이나 진단 지연이 자궁 평활근육종의 불량한 예후로 인해 높은 이환율로 이어지지 않도록 수술 전에 자궁 평활근육종과 구별하는 것이 중요하다.[15] 예를 들어, 미국 식품의약국(FDA)은 예상치 못한 육종을 가진 경우 암 전파의 위험이 있기 때문에 양성 자궁 근종에 대한 분쇄술 사용에 대해 경고했다.[17]
6. 저명한 사례
- 키스 웰러: 레스터 시티의 축구 선수로, 레스터 시티에서 300경기 이상 출전하여 47골을 기록했다. 또한 잉글랜드 국가대표로 4경기 출전하여 1골을 기록했다.[18]
- 케이티 프라이스[19]
- 실라 바스루르: 캐나다 공중 보건 의사로, 2006년에 자궁 평활근육종을 앓았다.[20]
- 다이아나 샌즈: 미국의 배우[21]
- 어윈 바커: 캐나다 코미디언. 2008년 텔레비전 다큐멘터리 'That's My Time'에서 그의 평활근육종 치료 첫 해를 다루었으며, 그는 2010년에 사망했다.[22]
- E. J. 맥과이어: 프로 아이스 하키 코치, 스카우트, 내셔널 하키 리그 중앙 스카우팅 국 부사장을 역임했다.
- 엘리스 에이버리: 미국의 작가, 스톤월 도서상 2회 수상자.
- 린다 우틀리: 잉글랜드 여자 럭비 유니온 축구 선수, 2007년에 평활근육종 진단을 받았고, 2009년 43세의 나이로 사망했다.[23]
- 이렌 히라노 이노우에: 미·일 위원회의 초대 회장, 2009년 위원회 설립을 도왔다.
참조
[1]
웹사이트
Leiomyosarcoma - Overview - Mayo Clinic
https://www.mayoclin[...]
2023-10-04
[2]
웹사이트
Leiomyosarcoma - NCI
https://www.cancer.g[...]
2023-10-04
[3]
서적
Robbins & Cotran Pathologic Basis of Disease
Jeremy Bowes
[4]
웹사이트
Basic info
http://www.leiomyosa[...]
[5]
서적
Chapter 26: Bones, Joints, and Soft Tissue Tumors
Jeremy Bowes
[6]
웹사이트
Leiomyosarcoma of the Uterus (ULMS): A Review
http://sarcomahelp.o[...]
The Liddy Shriver Sarcoma Initiative
2016-02-01
[7]
웹사이트
Soft tissue - Smooth muscle - Leiomyosarcoma - general
http://www.pathology[...]
[8]
웹사이트
About Chemotherapy
http://www.leiomyosa[...]
2002-08
[9]
학술지
Trabectedin in Soft Tissue Sarcoma: Have We Hit the Bull's-eye?
[10]
학술지
Pazopanib efficacy and toxicity in a metastatic sarcoma cohort: Are Indian patients different?
[11]
학술지
Regression of uterine low-grade smooth-muscle tumors metastatic to the lung after oophorectomy
[12]
학술지
Metastatic Uterine Leiomyosarcoma Regression Using an Aromatase Inhibitor
[13]
웹사이트
Uterine Sarcoma Clinical Trials
https://www.cancer.g[...]
[14]
서적
Chapter 26: Bones, Joints, and Soft Tissue Tumors
Jeremy Bowes
[15]
학술지
How to differentiate uterine leiomyosarcoma from leiomyoma with imaging
https://pubmed.ncbi.[...]
2019-10
[16]
서적
Chapter 26: Bones, Joints, and Soft Tissue Tumors
Jeremy Bowes
[17]
학술지
UPDATE: Perform Only Contained Morcellation When Laparoscopic Power Morcellation Is Appropriate: FDA Safety Communication
https://www.fda.gov/[...]
2020-12-30
[18]
웹사이트
Leicester legend Weller mourned
http://news.bbc.co.u[...]
BBC Online
2004-11-13
[19]
웹사이트
Jordan treated for cancer
http://news.bbc.co.u[...]
BBC Online
2002-08-11
[20]
뉴스
Can't ever give up hope,' Basrur says
https://www.thestar.[...]
The Toronto Star
2008-04-12
[21]
웹사이트
Diana Sands: What Was and What Could've Been
http://www.clutchmag[...]
[22]
웹사이트
That's My Time
http://www.irwinbark[...]
[23]
웹사이트
Former player Linda Uttley
https://www.waspsfc.[...]
2009-11-27
[24]
학술지
Locally advanced leiomyosarcoma of the spleen. A case report and review of the literature(脾臓で局所的に進行した平滑筋肉腫〜ある報告と文献の概説)
http://www.wjso.com/[...]
[25]
학술지
Leiomyosarcoma of the Bone and Soft Tissue: A Review(骨と軟組織の平滑筋肉腫に関する総説)
http://sarcomahelp.o[...]
[26]
웹사이트
Basic info
http://www.leiomyosa[...]
[27]
웹사이트
Basic info., ibid.
http://www.leiomyosa[...]
[28]
URL
http://www.leiomyosa[...]
[29]
웹인용
Leiomyosarcoma - Overview - Mayo Clinic
https://www.mayoclin[...]
2023-10-04
[30]
웹인용
Leiomyosarcoma - NCI
https://www.cancer.g[...]
2023-10-04
본 사이트는 AI가 위키백과와 뉴스 기사,정부 간행물,학술 논문등을 바탕으로 정보를 가공하여 제공하는 백과사전형 서비스입니다.
모든 문서는 AI에 의해 자동 생성되며, CC BY-SA 4.0 라이선스에 따라 이용할 수 있습니다.
하지만, 위키백과나 뉴스 기사 자체에 오류, 부정확한 정보, 또는 가짜 뉴스가 포함될 수 있으며, AI는 이러한 내용을 완벽하게 걸러내지 못할 수 있습니다.
따라서 제공되는 정보에 일부 오류나 편향이 있을 수 있으므로, 중요한 정보는 반드시 다른 출처를 통해 교차 검증하시기 바랍니다.
문의하기 : help@durumis.com
