골육종
"오늘의AI위키"의 AI를 통해 더욱 풍부하고 폭넓은 지식 경험을 누리세요.
1. 개요
골육종은 뼈에서 발생하는 악성 종양으로, 주로 뼈의 성장이 활발한 부위에서 발생한다. 주된 증상으로는 통증과 종창이 나타나며, 심한 경우 병적 골절이 발생하기도 한다. 정확한 원인은 밝혀지지 않았지만, 유전적 요인과 환경적 요인이 복합적으로 작용하는 것으로 알려져 있으며, 망막모세포종 유전자 비활성화, 리-프라우메니 증후군 등이 위험을 높인다. 진단은 엑스레이, CT, MRI 등의 영상 검사를 통해 이루어지며, 조직 검사로 확진한다. 치료는 수술, 항암 화학 요법, 방사선 치료 등을 병행하며, 종양을 완전히 제거하는 근치적 절제술이 주된 치료법이다. 골육종은 개와 고양이에서도 발생하며, 개에서는 가장 흔한 뼈 종양으로 나타난다.
더 읽어볼만한 페이지
- 육종 (종양) - 미분화 다형성 육종
미분화 다형성 육종은 다양한 모양과 크기를 가진 악성 연조직 종양으로, 분화의 증거가 거의 없으며, 주로 팔다리, 복부 등에서 발생하고, 수술적 절제, 방사선 치료, 화학 요법 등으로 치료한다. - 육종 (종양) - 지방육종
지방육종은 지방 조직에서 발생하는 희귀 암의 일종으로, 여러 하위 유형으로 분류되며, 외과적 절제를 기본으로 방사선 치료, 화학 요법 등을 보조적으로 사용하여 치료한다. - 소아암 - 망막모세포종
망막모세포종은 소아에게 주로 나타나는 악성 종양으로, RB1 또는 MYCN 유전자 돌연변이가 원인이며, 백색동공, 시력 저하, 사시 등의 증상을 보이고, 안구 적출술, 방사선 치료, 화학 요법 등으로 치료하며, 종양 위험도 분류 체계를 통해 관리된다. - 소아암 - 과립막 세포 종양
과립막 세포 종양은 난소에서 발생하는 희귀 종양으로, 성인형과 소아형으로 나뉘며, 각각 FOXL2 유전자 돌연변이와 AKT1 효소와 관련이 있고, 에스트로겐을 생성하며, 비정상 자궁 출혈, 조기 사춘기 등의 증상을 보이며, 인히빈이 종양 표지자로 사용된다. - 개 질병 - 개 파보바이러스
개 파보바이러스는 개에게 심각한 위장관 질환을 유발하며, 여러 변종이 존재하고, 무기력, 구토, 설사 등의 증상을 보이며, 분변 검사로 진단하고, 백신 접종과 격리가 예방에 중요하다. - 개 질병 - 히스토플라스마증
히스토플라스마증은 히스토플라스마 캡슐라툼 곰팡이에 의해 발생하며, 오염된 토양에서 포자를 흡입하여 감염될 수 있고, 무증상부터 호흡기 증상, 심각한 합병증까지 유발하며, 항진균제로 치료하는 감염 질환이다.
| 골육종 | |
|---|---|
| 일반 정보 | |
![]() | |
| 분야 | 종양학 |
| 세부 정보 | |
| 증상 | 알 수 없음 |
| 합병증 | 알 수 없음 |
| 발병 시기 | 알 수 없음 |
| 지속 기간 | 알 수 없음 |
| 유형 | 알 수 없음 |
| 원인 | 알 수 없음 |
| 위험 요소 | 알 수 없음 |
| 진단 | 알 수 없음 |
| 감별 진단 | 알 수 없음 |
| 예방 | 알 수 없음 |
| 치료 | 알 수 없음 |
| 약물 | 알 수 없음 |
| 예후 | 알 수 없음 |
| 빈도 | 알 수 없음 |
| 사망 | 알 수 없음 |
| 외부 데이터 | |
| PubMed Health | 골육종 |
2. 징후 및 증상
많은 환자들이 밤에 더 심해지고 간헐적이며 다양한 강도의 통증을 오랫동안 호소한다.[85] 스포츠 활동을 활발히 하는 청소년은 대퇴골 아래쪽이나 무릎 바로 아래에 통증을 호소하는 경우가 많다. 종양이 크면 눈에 띄는 국소 부종으로 나타날 수 있다. 종양에 걸린 뼈는 정상 뼈만큼 강하지 않아 경미한 외상에도 비정상적으로 골절될 수 있는데, 이를 병적 골절이라고 하며, 갑작스러운 골절이 첫 번째 증상인 경우도 있다. 골반에 발생한 종양처럼 피부와 가깝지 않은 깊은 곳의 종양은 국소 부종이 뚜렷하지 않을 수 있다.[85]
골육종의 정확한 원인은 아직 밝혀지지 않았지만, 여러 유전적 요인과 환경적 요인이 복합적으로 작용하는 것으로 알려져 있다.
지속적인 통증이 나타나지만, 심하지 않은 경우도 있다. 운동을 하는 연령대라면 근육통과 혼동하는 경우도 있다. 스포츠 중 병적인 골절로 발견되는 경우도 있다. 소아의 경우 통증을 직접 표현하지 않고, 운동을 싫어하거나, 팔다리를 잡히거나 특정 팔다리를 움직이는 것을 싫어하며(팔을 들지 않으려 한다, 다리를 구부리지 않으려 한다 등), 이유 없이 아픈 부위를 감싸 쥐고 움직이는 경우도 있다.
3. 원인
다른 질환에 대한 방사선 치료는 드물게 골육종의 원인이 될 수 있다.[7]
수돗물 불소화와 암 또는 암으로 인한 사망 사이에는 일반적인 암과 특히 골암 및 골육종 모두에 대해 명확한 연관성이 없다.[59] 일련의 연구에 따르면 수중 불소 농도는 골육종과 관련이 없다는 결론을 내렸다.[60] 불소 노출과 골육종의 연관성에 대한 믿음은 1990년 미국 국립 독성학 프로그램에서 수컷 쥐를 대상으로 한 연구에서 불소와 골육종의 연관성에 대한 불확실한 증거를 보여준 데서 비롯되었다.[61] 그러나 쥐에서 불소가 암을 유발한다는 확실한 증거는 아직 없다.
4. 기전
골육종은 뼈 성장이 활발한 부위에서 발생하는 경향이 있는데, 이는 성장 과정에서 골아세포가 증식하면서 세포 변형을 유발할 수 있는 돌연변이를 획득하기 쉽기 때문으로 추정된다. RB 유전자와 p53 유전자가 이러한 변형과 관련되어 있다.[70] 종양은 주로 긴 뼈의 끝부분(골간단)에 발생하며, 경골이나 상완골의 근위 끝, 또는 대퇴골의 원위 끝에 자주 발생한다. 골육종은 무릎 주변(60%), 엉덩이 주변(15%), 어깨(10%), 턱(8%) 순으로 흔하게 발생한다.[70] 종양은 단단하고 불규칙하며, 석회화된 뼈의 종양 돌기가 직각으로 방사되는 특징적인 모양을 보인다. ("전나무", "좀먹은", 또는 "태양 광선" 모양) 이러한 직각 방사 현상은 코드만 삼각형으로 알려져 있지만, 골육종을 확정적으로 진단하는 것은 아니다. 주변 조직은 일반적으로 침윤되어 있다.[70]
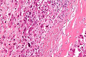
현미경으로 관찰했을 때, 골육종의 특징은 종양 내에 골기질(뼈 형성)이 존재한다는 것이다. 종양 세포는 매우 다형성(이형성)이며, 일부는 거대하고 비정형적인 유사분열을 보인다. 이 세포들은 중심 석회화 유무에 관계없이 불규칙한 소주(비정형, 호산성/분홍색)를 나타내는 골기질을 생성한다. 종양 세포는 골기질 기질에 포함된다. 존재하는 종양 세포의 특징(뼈 세포, 연골 세포 또는 섬유아세포 세포와 유사한지 여부)에 따라 종양을 하위 분류할 수 있다. 골육종은 다핵성 파골세포 유사 거대 세포를 나타낼 수 있다.[22] 미숙한 혈관이 존재하는 경우도 있으며, 이 경우 혈행성 전이를 일으키기 쉽다.[44]
5. 진단
골육종 진단에는 엑스레이 촬영이 우선적으로 시행된다. 엑스레이 사진에서 골육종은 특징적인 "햇살 모양(sunburst appearance)"이나 코드만 삼각형(종양에 의해 새로운 뼈가 형성되는 골피질의 돌출) 소견을 보일 수 있다.[71] CT 스캔은 뼈의 해부학적 구조, 골화(새로운 뼈 물질의 생성), 연골의 석회화를 평가하는 데 유용하다. MRI는 연조직 및 골수강을 더 잘 보여준다.[71]
골육종은 하악골(아래턱)에 자주 발생하기 때문에, 정기 치과 검진 시 촬영한 엑스레이에서 초기 징후가 발견되는 경우가 많다. 치과의사는 골육종을 암시하는 징후(일반적으로 치주 인대 공간의 대칭적인 확장)를 찾도록 훈련받는다.[72] 골육종이 의심되는 경우, 치과의사는 환자를 구강악안면외과 전문의에게 의뢰하여 조직검사를 받도록 한다. 안면 부위 이외의 골육종 의심 부위에 대한 생검은 숙련된 정형외과 종양 전문의가 시행해야 한다.[72] 미국 암 협회는 생검을 잘못 수행하면 팔다리를 살리기 어려울 수 있다고 경고한다.[72]
확진을 위해서는 조직 검사(생검)가 필수적이다.[86] 골육종은 폐로 전이될 수 있으며, 흉부 엑스레이에서 단독 또는 여러 개의 둥근 결절로 나타날 수 있다.[72]
5. 1. 변형
골육종은 다발성 골수종과 악성 림프종을 제외하고 뼈의 악성 종양 중에서 가장 많이 발생하는 뼈 종양이다.[24] 여러 아형을 포함하는데, 그중 가장 흔한 것이 '''골내 통상형 골육종'''이며 예후가 나쁜 것 중 하나이다. 장관골의 골간단이 주로 발생하는 부위이며, 50%가 무릎 주변에 발생한다.조직병리학적으로 종양 세포는 다양한 형태의 핵을 가지며, 종종 거대 세포를 동반하고, 비정상적인 유사분열이 많이 나타난다. 세포 사이에는 불규칙한 형태, 즉 부정형으로 호산성으로 염색되는 골량(종양골, 호염기성 과립상으로 염색되는 중심 석회화는 있을 수도 있고 없을 수도 있다)이나, 류골 기질을 형성한다. 연골 기질이 섞여 있는 경우도 있다.[24] 미숙한 혈관이 존재하는 경우도 있으며, 이 경우 혈액을 통해 전이되기 쉽다.[44]
골육종의 주요 아형은 다음과 같다.[24]
- 전형적인 골육종: 골아세포성, 연골아세포성, 섬유아세포성 골육종
- 혈관확장성 골육종
- 소세포 골육종
- 저등급 중심성 골육종
- 골막성 골육종
- 골외막성 골육종
- 속발성 골육종
- 고등급 표면성 골육종
- 골외 골육종
6. 치료
골육종의 기본적인 치료법은 수술과 항암화학요법을 병용하는 것이다.[45] 골막성 골육종과 같이 예후가 비교적 좋은 아형은 주로 수술을 시행한다.
악성 골육종은 진행 속도가 빠르지만 항암제의 효과도 크기 때문에, 다제 병용 항암화학요법(항암제 치료)을 실시하고, 수술로 원발 병소를 광범위하게 절제한 후, 다시 항암화학요법을 실시한다. 폐나 뼈로 전이되기 쉬우므로 CT, MRI, 골 스캔 검사가 정기적으로 실시된다.
주로 사용되는 항암제는 시스플라틴, 독소루비신, 이포스파미드, 사이클로포스파미드, 블레오마이신 등이다.[45] 과거에는 사지에 발생한 경우 사지 절단을 했지만, 현재는 항암화학요법 및 보조 요법의 발전으로 종양을 절제하고, 절제한 뼈 부위에는 인공 뼈를 이식하는 사지 보존 수술이 가능해져 환자의 삶의 질이 크게 향상되었다.
1999년 가나자와 대학의 쓰치야 히로유키(土屋弘行)는 액체 질소를 이용한 냉동 치료인 '자가 액체 질소 처리 골 이식'을 개발하여 환자의 삶의 질 향상에 기여했다.[45] 뼈를 두 군데에서 절단하여 종양이 있는 뼈를 잘라내는 '유리 처리'와, 한 군데만 절단하여 뼈를 밖으로 내미는 '유경 처리'가 있으며, '유경 처리' 쪽이 회복이 빠르다.[46] 이 방법은 선진 의료로서 가나자와 대학에서 실시되어 왔지만, 2020년에 건강보험이 적용되었다.[47] 2023년부터는 쓰치야가 병원장으로 취임한 요코하마 에이쿄 교제 병원(横浜栄共済病院)에서도 실시되고 있다.[48]
표준 치료는 가능한 경우 사지 보존 정형외과 수술(또는 절단)과 고용량 메토트렉세이트와 류코보린 구조, 동맥 내 시스플라틴, 아드리아마이신(독소루비신), 이포스파미드와 메스나, BCD(블레오마이신, 사이클로포스파미드, 닥티노마이신), 에토포사이드 및 무라밀 트리펩타이드를 병용하는 방법이다.[27] 회전 성형술을 사용할 수 있다. 괴사율이 낮은 경우 이포스파미드를 보조 치료로 사용할 수 있다.
골육종에 대한 화학 요법의 성공에도 불구하고 소아암 중 가장 낮은 생존율을 보이는 암 중 하나이다. 보고된 최고 10년 생존율은 92%이며, 동맥 조영술 반응에 따라 치료를 개별화하는 공격적인 동맥 내 요법이 사용된다.[28] 3년 무사건 생존율은 50%에서 75%, 5년 생존율은 60%에서 85% 이상에 이르는 연구도 있다.[29]
필그라스팀 또는 페그필그라스팀은 백혈구 수와 호중구 수를 높이는 데 도움이 된다. 수혈과 에포에틴 알파는 빈혈에 도움이 된다.
7. 예후
골육종의 예후는 종양의 병기, 위치, 크기, 전이 여부, 치료 반응 등 여러 요인에 따라 달라진다.[78][79]
- '''1기 골육종:''' 드물게 발생하며, 골막 골육종이나 저등급 중심성 골육종이 이에 속한다. 광범위 절제술을 시행하면 예후가 매우 좋아 90% 이상의 생존율을 보인다.
- '''2기 골육종:''' 종양의 위치(근위 경골, 대퇴골, 골반 등), 종양 덩어리의 크기, 신보조 화학요법으로 인한 괴사 정도에 따라 예후가 달라진다. 폐 전이와 관련된 p-당단백질, cxcr4 양성, Her2 양성 여부 등도 중요한 요인이다.[78] 전이성 골육종의 경우 전이까지의 시간이 길수록(12개월 이상), 전이 수가 적을수록, 절제 가능성이 높을수록 예후가 좋다. 전이까지의 시간보다 전이 수가 적은 것이 더 중요하다. 전이 기간이 24개월 이상이고 결절 수가 2개 이하인 경우 예후가 가장 좋으며, 2년 생존율은 50%, 5년 생존율은 40%, 10년 생존율은 20%이다. 국소 및 부위 전이가 모두 있는 경우 예후가 더 나쁘다.
- '''3기 골육종:''' 폐 전이가 있는 경우로, 원발성 종양과 폐 결절의 절제 가능성, 원발 종양의 괴사 정도, 전이 수에 따라 예후가 달라진다. 전체 생존율은 약 30%이다.[79]
과거에는 골육종의 5년 생존율이 30~40%에 불과했지만, 20세기 후반부터 치료법이 발전하면서 장기 생존율이 크게 향상되었다.[73] 2009년에는 생존율이 약 68%에 달했으며,[73] 전이가 없고 적절한 치료를 받으면 완치율이 최대 90% 이상(완전관해율 최대 78%)으로 보고된다. 항암제에 대한 내성이 생기지 않으면 약간의 전이가 있더라도 완치되는 사례가 늘고 있다. 골육종으로 인한 사망률은 매년 약 1.3%씩 감소하고 있다.
8. 역학
골육종은 소아암 중 8번째로 흔한 형태로, 소아 환자에서 발생하는 모든 악성 종양의 2.4%를 차지하며 전체 원발성 골암의 약 20%를 차지한다.[73]
20세 미만 미국 환자의 골육종 발생률은 일반 인구에서 연간 백만 명당 5.0명으로 추정되며, 인종 및 성별에 따라 약간의 차이가 있다.[73]
| 인종 | 발생률 (연간 백만 명당) |
|---|---|
| 흑인 | 6.8 |
| 히스패닉 | 6.5 |
| 백인 | 4.6 |
| 성별 | 발생률 (연간 백만 명당) |
| 남성 | 5.4 |
| 여성 | 4.0 |
대퇴골(42%), 경골(19%), 상완골(10%) 순으로 관상의 긴 뼈의 형태 변화 부위에서 더 자주 발생한다. 전체 사례의 약 8%는 두개골과 턱에서, 나머지 8%는 골반에서 발생한다.[73]
미국에서 매년 진단받는 900명 중 약 300명이 사망한다. 두 번째 발병률 정점은 노년층에서 발생하며, 일반적으로 파제트병과 같은 기저 뼈 병리와 관련이 있다.[80]
9. 기타 동물
골육종은 개에게 가장 흔한 뼈 종양으로, 아이리쉬 울프하운드, 그레이하운드, 저먼 셰퍼드, 로트와일러, 산악 견종(그레이트 피레네, 세인트 버나드, 레온버거, 뉴펀들랜드), 도베르만 핀셔, 그레이트 데인 등 중년의 대형견 및 거대견에게 주로 발병한다. 사람보다 개에서 발병률이 10배 더 높다.[81] 세인트 버나드 견종에서 유전적 기반이 있는 것으로 나타났다.[82] 중성화 수술을 한 개는 그렇지 않은 개보다 골육종에 걸릴 위험이 두 배나 높다.[83] 기생충인 스피로세르카 루피에 감염되면 식도 골육종이 발생할 수 있다.[84]
개 골육종은 사람의 질병과 유사한 패턴의 분자적 체세포 변형을 보인다. 둘 다 유전적 불안정성과 핵형 복잡성이 특징이며, 반복적으로 변이되는 유전자로는 TP53, RB1, PTEN, MYC, PIK3CA 등이 있다.[89] 반면, 히스톤 메틸전달효소 유전자 SETD2의 돌연변이는 인간 골육종에서는 드물지만 개 종양의 21%에서 확인되었다.[90]
골육종은 고양이에게 가장 흔한 뼈 종양이지만 자주 발생하지는 않으며, 대부분 뒷다리에 발생한다. 이 암은 일반적으로 개보다 고양이에서 덜 공격적이기 때문에 절단만으로도 많은 감염된 고양이의 생존 기간을 늘릴 수 있지만, 조직 병리학에서 높은 등급이 확인되면 절단 후 화학 요법을 권장한다.[85]
참조
[1]
논문
Osteosarcoma treatment—where do we stand? A state of the art review
[2]
서적
Pediatric and Adolescent Osteosarcoma
Springer
[3]
웹사이트
Osteosarcoma
https://www.ncbi.nlm[...]
PubMed Health
2013-01-01
[4]
논문
Molecular pathology of sarcomas
[5]
논문
Multitype Network-Guided Target Controllability in Phenotypically Characterized Osteosarcoma: Role of Tumor Microenvironment
2017-01-01
[6]
논문
Immuno-Oncology Integrative Networks: Elucidating the Influences of Osteosarcoma Phenotypes
2017-01-01
[7]
논문
Radiation-induced periosteal osteosarcoma
http://www.grandroun[...]
2009-12-20
[8]
논문
Advances in the management of osteosarcoma
2016-01-01
[9]
논문
Consistent Amplification of FRS2 and MDM2 in Low-grade Osteosarcoma: A Genetic Study of 22 Cases With Clinicopathologic Analysis
2018-09-01
[10]
웹사이트
Sr-90 is known to increase the risk of bone cancer and leukemia in animals, and is presumed to do so in people
https://www.nrc.gov/[...]
[11]
간행물
A systematic review of the efficacy and safety of fluoridation
http://nhmrc.gov.au/[...]
[12]
웹사이트
Water Fluoridation and Cancer Risk
https://web.archive.[...]
2013-06-06
[13]
웹사이트
Cancer myth: Fluoride and cancer
https://web.archive.[...]
[14]
웹사이트
Basic Information about Fluoride in Drinking Water
http://water.epa.gov[...]
[15]
웹사이트
Community Water Fluoridation
https://www.cdc.gov/[...]
[16]
웹사이트
Fluoride
https://www.nrv.gov.[...]
[17]
웹사이트
Fluoridated Water
http://www.cancer.go[...]
[18]
논문
Is fluoride a risk factor for bone cancer? Small area analysis of osteosarcoma and Ewing sarcoma diagnosed among 0-49-year-olds in Great Britain, 1980-2005
2014-01-14
[19]
논문
Bone cancer incidence rates in New York State: time trends and fluoridated drinking water
1991-04-01
[20]
논문
An assessment of bone fluoride and osteosarcoma
2011-10-01
[21]
논문
Fluoride exposure and childhood osteosarcoma: a case-control study
1995-12-01
[22]
논문
Ossifying dermatofibroma with osteoclast-like giant cells: report of a case and literature review
2009-06-01
[23]
논문
Classification, imaging, biopsy and staging of osteosarcoma
2014-05-01
[24]
문서
WHO
[25]
웹사이트
Surgery for Osteosarcoma
https://www.cancer.o[...]
American Cancer Society
2023-10-15
[26]
웹사이트
Luke's Story: Surviving Osteosarcoma
https://web.archive.[...]
2016-11-07
[27]
웹사이트
Chemotherapy in Nonmetastatic Osteosarcoma: Recent Advances and Implications for Developing Countries
https://ascopubs.org[...]
[28]
논문
Superior survival in treatment of primary nonmetastatic pediatric osteosarcoma of the extremity
2003-06-01
[29]
웹사이트
Osteosarcoma
http://sarcomahelp.o[...]
2009-04-15
[30]
웹사이트
osteosarcomasupport.org
http://www.osteosarc[...]
osteosarcomasupport.org
2012-11-13
[31]
웹사이트
Novel Targets to Treat Osteosarcoma Lung Metastases
http://sarcomahelp.o[...]
2009-04-14
[32]
웹사이트
Osteosarcoma
https://www.lecturio[...]
2021-08-25
[33]
웹사이트
Limb Sparing Trials and Canine Osteosarcoma
http://www.ivis.org/[...]
2006-06-16
[34]
논문
Frequency of osteosarcoma among first-degree relatives of St. Bernard dogs
[35]
논문
Host related risk factors for canine osteosarcoma
[36]
저널
Spirocercosis-associated esophageal sarcomas in dogs. A retrospective study of 17 cases (1997-2003)
[37]
서적
Cancer in Dogs and Cats
https://archive.org/[...]
Williams and Wilkins
[38]
저널
Clinical and pathologic relevance of p53 index in canine osseous tumors
2003-05-01
[39]
저널
Multilobular tumour of the caudal cranium causing severe cerebral and cerebellar compression in a dog.
2009-03-01
[40]
저널
Use of the bisphosphonate drug alendronate for palliative management of osteosarcoma in two dogs
http://researchonlin[...]
2000-07-29
[41]
저널
Canine osteosarcoma: a naturally occurring disease to inform pediatric oncology
2014-01-01
[42]
저널
SETD2 Is Recurrently Mutated in Whole-Exome Sequenced Canine Osteosarcoma
2018-07-01
[43]
저널
First Case of Osteosarcoma in a Dinosaur: A Multimodal Diagnosis
[44]
웹사이트
https://web.archive.[...]
[45]
간행물
液体窒素処理自家腫瘍骨の移植に関する実験的研究
https://hdl.handle.n[...]
[46]
웹사이트
암을 동사시켜 자신의 뼈로 결손 부위를 재건한다
http://senshiniryo.n[...]
최첨단의료를 전달하는 활동추진위원회
2011-11-21
[47]
웹사이트
액체질소 처리 뼈를 포함한 자가 처리 뼈를 사용한 재건술이 보험 승인되었습니다.
https://ortho.w3.kan[...]
가나자와 대학 부속 병원 정형외과
2020-04-01
[48]
웹사이트
골연부 종양 외과 외래 개설
https://www.yokohama[...]
요코하마 에이 교제 병원
2023-05-25
[49]
저널
Osteosarcoma treatment—where do we stand? A state of the art review
[50]
서적
Pediatric and Adolescent Osteosarcoma
Springer
[51]
웹사이트
Osteosarcoma
https://www.ncbi.nlm[...]
PubMed Health
2013-01-01
[52]
저널
Molecular pathology of sarcomas
https://semanticscho[...]
[53]
저널
Multitype Network-Guided Target Controllability in Phenotypically Characterized Osteosarcoma: Role of Tumor Microenvironment
2017-01-01
[54]
저널
Immuno-Oncology Integrative Networks: Elucidating the Influences of Osteosarcoma Phenotypes
2017-01-01
[55]
저널
Radiation-induced periosteal osteosarcoma
http://www.grandroun[...]
2009-12-20
[56]
저널
Advances in the management of osteosarcoma
2016-01-01
[57]
저널
Consistent Amplification of FRS2 and MDM2 in Low-grade Osteosarcoma: A Genetic Study of 22 Cases With Clinicopathologic Analysis
2018-09-01
[58]
웹사이트
Sr-90 is known to increase the risk of bone cancer and leukemia in animals, and is presumed to do so in people
https://www.nrc.gov/[...]
[59]
서적
A systematic review of the efficacy and safety of fluoridation
http://nhmrc.gov.au/[...]
[60]
웹사이트
Water Fluoridation and Cancer Risk
http://www.cancer.or[...]
American Cancer Society
2013-06-06
[61]
웹사이트
Cancer myth: Fluoride and cancer
https://www.cancerwa[...]
Cancer Council Western Australia
[62]
웹사이트
Basic Information about Fluoride in Drinking Water
http://water.epa.gov[...]
United States Environmental Protection Agency
[63]
웹사이트
Fluoride
https://www.nrv.gov.[...]
Australian government national health and medical research council
[64]
웹사이트
Community Water Fluoridation
https://www.cdc.gov/[...]
Centers of disease control and prevention
[65]
웹사이트
Fluoridated Water
http://www.cancer.go[...]
National Cancer Institute
[66]
저널
Is fluoride a risk factor for bone cancer? Small area analysis of osteosarcoma and Ewing sarcoma diagnosed among 0-49-year-olds in Great Britain, 1980-2005
2014-01-14
[67]
저널
Bone cancer incidence rates in New York State: time trends and fluoridated drinking water
1991-04-01
[68]
저널
An assessment of bone fluoride and osteosarcoma
2011-10-01
[69]
저널
Fluoride exposure and childhood osteosarcoma: a case-control study
1995-12-01
[70]
저널
Ossifying dermatofibroma with osteoclast-like giant cells: report of a case and literature review
2009-06-01
[71]
저널
Classification, imaging, biopsy and staging of osteosarcoma
2014-05-01
[72]
문서
WHO
[73]
서적
Pediatric and Adolescent Osteosarcoma
Springer
[74]
웹사이트
Luke's Story: Surviving Osteosarcoma
http://www.childrens[...]
2016-11-07
[75]
저널
Superior survival in treatment of primary nonmetastatic pediatric osteosarcoma of the extremity
2003-06-01
[76]
웹사이트
Osteosarcoma
http://sarcomahelp.o[...]
2009-04-15
[77]
저널
Multitype Network-Guided Target Controllability in Phenotypically Characterized Osteosarcoma: Role of Tumor Microenvironment
2017-01-01
[78]
웹사이트
osteosarcomasupport.org
http://www.osteosarc[...]
osteosarcomasupport.org
2012-11-13
[79]
웹사이트
Novel Targets to Treat Osteosarcoma Lung Metastases
http://sarcomahelp.o[...]
2009-04-14
[80]
웹사이트
Osteosarcoma
https://www.lecturio[...]
2021-08-25
[81]
웹사이트
Limb Sparing Trials and Canine Osteosarcoma
https://web.archive.[...]
2006-06-16
[82]
저널
Frequency of osteosarcoma among first-degree relatives of St. Bernard dogs
[83]
저널
Host related risk factors for canine osteosarcoma
[84]
저널
Spirocercosis-associated esophageal sarcomas in dogs. A retrospective study of 17 cases (1997-2003)
[85]
서적
Cancer in Dogs and Cats
https://archive.org/[...]
Williams and Wilkins
[86]
저널
Clinical and pathologic relevance of p53 index in canine osseous tumors
2003-05-01
[87]
저널
Multilobular tumour of the caudal cranium causing severe cerebral and cerebellar compression in a dog.
2009-03-01
[88]
저널
Use of the bisphosphonate drug alendronate for palliative management of osteosarcoma in two dogs
2000-07-29
[89]
저널
Canine osteosarcoma: a naturally occurring disease to inform pediatric oncology
https://pubmed.ncbi.[...]
2014-01-01
[90]
저널
''SETD2'' Is Recurrently Mutated in Whole-Exome Sequenced Canine Osteosarcoma
https://doi.org/10.1[...]
2018-07-01
[91]
저널
First Case of Osteosarcoma in a Dinosaur: A Multimodal Diagnosis
본 사이트는 AI가 위키백과와 뉴스 기사,정부 간행물,학술 논문등을 바탕으로 정보를 가공하여 제공하는 백과사전형 서비스입니다.
모든 문서는 AI에 의해 자동 생성되며, CC BY-SA 4.0 라이선스에 따라 이용할 수 있습니다.
하지만, 위키백과나 뉴스 기사 자체에 오류, 부정확한 정보, 또는 가짜 뉴스가 포함될 수 있으며, AI는 이러한 내용을 완벽하게 걸러내지 못할 수 있습니다.
따라서 제공되는 정보에 일부 오류나 편향이 있을 수 있으므로, 중요한 정보는 반드시 다른 출처를 통해 교차 검증하시기 바랍니다.
문의하기 : help@durumis.com
