맨위로가기

급성 림프모구 백혈병

"오늘의AI위키"는 AI 기술로 일관성 있고 체계적인 최신 지식을 제공하는 혁신 플랫폼입니다.
"오늘의AI위키"의 AI를 통해 더욱 풍부하고 폭넓은 지식 경험을 누리세요.

1. 개요

급성 림프모구 백혈병(ALL)은 림프구의 비정상적인 증식으로 발생하는 혈액암의 일종이다. 초기 증상은 비특이적이며, 피로감, 발열, 멍, 뼈 통증 등이 나타날 수 있다. ALL은 유전적 돌연변이로 인해 발생하며, 특정 유전 증후군이나 환경적 요인도 위험을 증가시킬 수 있다. 진단은 혈액 검사, 골수 생검, 면역 표현형 분석, 세포 유전학적 검사를 통해 이루어진다. 치료는 화학 요법, 방사선 치료, 표적 치료, 면역 요법 등이 사용되며, 최근에는 키메라 항원 수용체 T 세포(CAR-T) 치료법도 개발되었다. 소아 ALL은 치료 성공률이 높지만, 성인의 경우 예후는 환자의 특성, 질병의 특징, 치료 반응에 따라 다르다.

더 읽어볼만한 페이지

  • 급성 림프구성 백혈병 - 성인 T세포 백혈병
    성인 T세포 백혈병은 사람 T세포 림프친화 바이러스 1형에 의해 유발되는 고위험성 비호지킨 림프종의 일종으로, 고칼슘혈증, 피부 질환, 용해성 골병변 등의 증상을 동반하며 급성형, 림프종형, 만성형, 연성형으로 분류된다.
  • 급성 림프구성 백혈병 - B세포 전림프구성 백혈병
    B세포 전림프구성 백혈병은 전림프구가 증가하는 희귀 림프증식 질환으로, 말초 혈액에서 전림프구 증가가 특징적이며, 림프절병증은 미미하고 비장 비대가 나타날 수 있으며, 형태학적, 면역표현형, 세포유전학적 검사를 통해 진단하고 화학 요법, 표적 치료, 단클론 항체 등으로 치료하며 비장 절제술이나 조혈모 줄기 세포 이식을 고려한다.
  • 소아암 - 골육종
    골육종은 뼈, 특히 장골의 골간단 부위에서 발생하는 악성 종양으로, 밤에 심해지는 통증, 부종, 병적 골절 등의 증상을 보이며, 유전적, 환경적 요인이 복합적으로 작용하는 것으로 추정되고, 수술 및 항암화학요법을 통해 치료하며, 예후는 병기 및 치료 반응에 따라 달라진다.
  • 소아암 - 망막모세포종
    망막모세포종은 소아에게 주로 나타나는 악성 종양으로, RB1 또는 MYCN 유전자 돌연변이가 원인이며, 백색동공, 시력 저하, 사시 등의 증상을 보이고, 안구 적출술, 방사선 치료, 화학 요법 등으로 치료하며, 종양 위험도 분류 체계를 통해 관리된다.
급성 림프모구 백혈병
일반 정보
급성 림프모구 백혈병의 형태학적 유형
왼쪽에서 오른쪽으로: 급성 림프모구 백혈병의 L1, L2, L3 형태학적 유형
분야혈액학, 종양학
증상피로감, 창백한 피부, 발열, 쉬운 출혈 또는 멍, 뼈 통증, 확대된 림프절
합병증감염, 종양 용해 증후군
발병 시기2~5세
유형B세포 ALL, T세포 ALL
원인대개 알려지지 않음
위험 요인ALL을 앓는 일란성 쌍둥이
다운 증후군
판코니 빈혈
모세혈관 확장성 운동실조증
클라인펠터 증후군
높은 출생 체중
상당한 방사선 노출
진단혈액 검사 및 골수 검사
감별 진단전염성 단핵구증
급성 골수성 백혈병
림프모구 림프종
재생 불량성 빈혈
예방
치료화학 요법
줄기 세포 이식
방사선 요법
표적 치료
약물해당 없음
예후어린이: 90% 5년 생존율
성인: 35% 5년 생존율
빈도어린이 1,750명 중 1명
사망자 수111,000명 (2015년)

2. 징후 및 증상

초기 증상은 특히 어린이의 경우 비특이적일 수 있다. 백혈병에 걸린 소아의 50% 이상이 간이 만져짐(64%), 비장이 만져짐(61%), 창백한 안색(54%), 발열(53%), 멍(52%) 등 5가지 특징 중 하나 이상을 경험한다.[100] 또한 반복되는 감염, 피로감, 팔 또는 다리 통증, 림프절 비대가 두드러진 특징으로 나타난다. B 증상인 발열, 식은땀, 체중 감소도 종종 나타난다.[101]

수막 침윤으로 인한 뇌신경병증과 같은 중추신경계(CNS) 증상은 성인의 10% 미만, 소아의 5% 미만에서 확인되며, 특히 발견 시점에 성숙한 B세포 급성 림프모구 백혈병(버킷 백혈병)에서 확인된다.[102]

급성 림프모구 백혈병의 징후와 증상은 다양하며 다음과 같다.[103]

증상
전신 쇠약 및 피로감
빈혈
현기증
두통, 구토, 무기력, 목 경직[104] 또는 뇌신경 마비[105] (CNS 관련)
잦거나 설명할 수 없는 발열감염
체중 감소 혹은 식욕 부진
과도하고 설명할 수 없는 멍
뼈 통증, 관절 통증 (골수강에서 뼈 표면이나 관절로 모세포가 퍼져서 발생)
숨가쁨
림프절, 간 혹은 비장 비대
하지 또는 복부의 움푹 패인 부종(부기)
낮은 혈소판 수치로 인해 피부에 작은 붉은 반점이나 선이 생기는 점상 출혈
고환 확대
종격동 종괴


3. 원인

급성 림프모구 백혈병에서 림프구 세포의 발달이 림프모세포(화살표)에서 멈추며, 이 림프모세포도 과잉 생산된다.


급성 림프모구 백혈병은 림프모세포가 혈액 세포 발달과 증식에 영향을 미치는 유전자에 많은 돌연변이를 일으킬 때 발생한다.[89] 림프모세포는 림프구 세포 발달 과정에서 나타나는데, 이 림프모세포가 과잉 생산되면서 문제가 발생한다. 정상적인 림프모세포는 감염과 싸우는 성숙한 B세포 또는 T세포로 발전하지만, 급성 림프모구 백혈병에서는 림프구의 정상적인 발달과 수 조절에 모두 결함이 생긴다.[89][106]

소아 급성 림프모구 백혈병은 임신과 함께 일부 유전자가 유전되면서 시작된다. 이 유전자는 림프구 세포가 발달할 때 더 많은 돌연변이가 발생할 위험을 증가시킨다. 다운 증후군과 같은 특정 유전 증후군도 같은 영향을 미친다. 질병을 유발할 수 있는 충분한 유전적 돌연변이를 생성하려면 환경적 위험 요인도 필요하다. 일란성 쌍둥이 중 10~15%만이 급성 림프모구 백혈병에 걸리는 것에서 볼 수 있듯이, 동일한 유전자를 가진 쌍둥이 중 한 명만 병에 걸리는 이유는 서로 다른 환경 노출 때문이라고 설명할 수 있다.[89]

1세 미만의 아기에게 발생하는 영아 급성 림프모구 백혈병은 드문 변종이다. ''KMT2A''(이전의 MLL) 유전자 재배열이 가장 흔한 원인이며, 출생 전 배아 또는 태아에서 발생한다.[89] 이 재배열은 유전자 전사를 촉진하고 후성유전학적 변화를 통해 혈액 세포 발달 유전자 발현을 증가시킨다.[107][108] 소아 급성 림프모구 백혈병과 달리, KMT2A 재배열 외에는 일반적으로 단 하나의 추가 돌연변이만 발견되므로 환경적 요인은 중요하지 않은 것으로 생각된다.[89]

독감과 같은 흔한 감염이 급성 림프모구 백혈병(ALL) 발생을 간접적으로 촉진할 수 있다는 증거도 있다.[3][10] 지연 감염 가설은 ALL이 유전적 위험 요인을 가진 사람의 감염에 대한 비정상적인 면역 반응 결과라고 주장한다. 즉, 질병 노출이 제한되어 면역 체계 발달이 지연되면 림프구 과다 생산과 돌연변이율 증가가 발생할 수 있다는 것이다. 어린 시절 질병 노출이 많은 어린이에게서 ALL 발생률이 낮다는 연구 결과도 있다. 보육 시설에 다니는 아주 어린 아이들은 ALL 발생률이 낮으며, 일부 연구자들은 이를 위생 가설과 연관 짓기도 한다.[26]

림프구계 세포가 종양화되어 분화·성숙 능력을 잃는 질환 중 골수에 종양 세포가 침윤하고, 말초 혈액에도 종양 세포가 확인되는 것을 급성 림프모구 백혈병이라고 한다. 악성 림프종에서도 백혈화라는 말초 혈액으로의 림프종 세포 출현이 확인되는 경우가 있어, 종양화된 림프구계 세포는 백혈병에도 악성 림프종에도 될 수 있다. WHO 분류 제3판·제4판[81]에서는 양자를 구분하지 않는다. 그럼에도 불구하고, "골수에 종양 세포가 침윤하고, 말초 혈액 중에도 종양 세포가 확인되는" 병태는 임상 증상을 포함하여 급성 백혈병으로 작용하기 때문에 이 병명이 사용되고 있다.

급성 림프모구 백혈병에서는 필라델피아 염색체 (Ph) t(9;22)라는 염색체 이상이 보이는 경우가 있으며, 성인 환자에서 많이 나타나 약 4명 중 1명(15~30%)의 비율로 나타나 필라델피아 염색체 (Ph) 양성 급성 림프모구 백혈병이라고 불린다.

3. 1. 위험 요소

급성 림프모구 백혈병의 위험 요인은 크게 유전적 요인과 환경적 요인으로 나눌 수 있다.
유전적 요인

  • ''ARID5B'', ''CDKN2A/2B'', ''CEBPE'', ''IKZF1'', ''GATA3'', ''PIP4K2A'', ''TP53'' 유전자 등의 돌연변이: 이 유전자들은 세포 발달, 증식, 분화에 중요한 역할을 한다.[90][89][88] 개별 돌연변이의 위험도는 낮지만, 여러 돌연변이가 함께 유전되면 질병 위험이 크게 증가한다.[89]
  • 특정 민족 집단에서 유전적 위험 요인의 분포가 다르게 나타난다. (예: ''ARID5B'' 돌연변이는 아프리카계 민족 집단에서 덜 흔함)[89]
  • 다운 증후군, 판코니 빈혈, 블룸 증후군, X 연관 무감마글로불린혈증, 중증 복합 면역 결핍증, 슈바흐만-다이아몬드 증후군, 코스트만 증후군, 신경섬유종증 1형, 운동실조-모세혈관확장증, 발작성 야간 혈색소뇨증, 리-프라우메니 증후군 등 일부 유전 증후군: 전체 사례의 5% 미만에서 이러한 유전 증후군과 관련이 있다.[99]
  • ''ETV6''와 ''PAX5''의 희귀 돌연변이: 상염색체 우성 유전 패턴을 보이는 가족성 급성 림프모구 백혈병과 관련이 있다.[88]

환경적 요인

  • 핵 낙진으로 인한 고선량 방사선 노출: 백혈병 발병의 위험 요소로 알려져 있다.[24]
  • 임신 중 X선 촬영과 같은 저선량 방사선 노출, 전력선 전자기장 노출: 질병 위험을 약간 증가시킬 수 있지만, 인과 관계는 명확하지 않다.[3][10]
  • 4000g 이상의 고체중 출생: 약간의 위험 증가와 관련이 있지만, 그 기전은 알려져 있지 않다.[3]
  • 에피포도필로톡신 및 시클로포스파미드와 같은 특정 유형의 화학 요법 치료: 2차 백혈병 발생 위험을 높일 수 있다.[3][25]

4. 기전

급성 림프모구 백혈병(ALL)은 림프모세포가 백혈병 세포로 변하는 특징적인 유전적 변화로 인해 발생한다. 주요 유전적 변화는 다음과 같다:[111]


  • 염색체 전위: DNA의 큰 부분이 한 염색체에서 다른 염색체로 이동한다. 이로 인해 세포 분열을 촉진하는 유전자(예: ''C-MYC'')가 활발하게 전사되는 영역으로 옮겨져 세포 분열이 증가한다.[111]
  • 융합 유전자 형성: 두 유전자가 결합하여 새로운 융합 단백질을 만든다. 이 단백질은 암 발생을 촉진하는 기능을 가질 수 있다. 예시로는 ''ETV6''–''RUNX1'' 융합 유전자와 필라델피아 염색체''BCR''-''ABL1'' 융합 유전자가 있다. ''BCR''–''ABL1''은 항상 활성화된 티로신 키나아제를 암호화하여 세포 분열을 촉진한다.[111][112]
  • 염색체 수 변화: 백혈병 세포 내 염색체 수가 변한다. 5개 이상 추가되는 고이배체성이 흔하며, 염색체가 손실되는 저이배체성은 예후가 좋지 않다.[111]
  • 개별 유전자 돌연변이: B세포 ALL에서는 ''PAX5'', ''IKZF1'' 유전자 돌연변이가 흔하다. T세포 ALL에서는 ''LYL1'', ''TAL1'', ''TLX1'', ''TLX3'' 유전자 재배열이 발생할 수 있다.[111][112]


이러한 유전적 변화가 단일 림프모세포에 축적되면, 림프모세포는 과도하게 증식하고 정상 림프구로 분화하지 못한다.[111] 이 림프모세포는 골수에 축적되고, 림프절, 종격동, 비장, 고환, 등 다른 부위로 퍼져나가 증상을 유발한다.[111]

5. 진단

급성 림프모구 백혈병(ALL) 진단은 철저한 병력 청취, 신체 검사, 전체 혈구 수(CBC) 및 혈액 도말 검사로 시작된다. 일반적인 질병에서도 급성 림프모구 백혈병과 비슷한 증상이 나타날 수 있지만, 증상이 지속되거나 원인이 불분명하면 암을 의심해야 한다. 병력 및 검사 결과는 급성 림프모구 백혈병에만 나타나는 특징이 아니므로 추가 검사가 필요하다.[113] 순환 혈액 내 백혈구와 림프모세포 증가는 골수에서 림프 세포가 빠르게 생성됨을 의미하며, 급성 림프모구 백혈병을 의심할 수 있다. 초기 백혈구 수는 다양하지만, 대부분 말초 혈액 도말 검사에서 순환 림프모세포가 관찰된다.[113]

골수 생검은 전체 세포의 20% 이상이 백혈병 림프모세포인 경우 급성 림프모구 백혈병으로 확진한다.[29] 요추 천자(척수 천자)로 척추와 뇌 침범 여부를 확인하며, 요추 천자에서 백혈병 세포가 확인되거나 중추신경계 백혈병 임상 징후를 통해 진단한다. 혈구 수, 신장 기능, 전해질, 간 효소 검사에서 이상이 나타날 수 있다.[114]

병리학적 검사, 세포 유전학(특히 필라델피아 염색체 유무), 면역 표현형 검사로 백혈병 세포가 골수 모세포( 호중구, 호산구, 호염구)인지, 림프모세포(B 림프구 또는 T 림프구)인지 확인한다.[114] 골수 샘플 세포 유전학 검사는 질병 분류와 진행 정도 예측에 도움이 된다. 면역 조직 화학 검사를 통해 백혈병 세포 표면의 TdT 또는 CALLA 항원을 확인할 수 있다.

초음파 또는 CT 스캔으로 폐, , 비장, 림프절, , 신장, 생식 기관 등 다른 장기 침범 여부를 확인할 수 있다.[115]

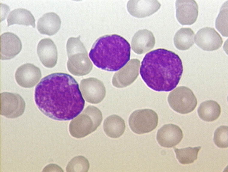
급성 림프모구 백혈병(ALL), 소아 말초혈액, 파펜하임 염색, 배율 x100


급성 림프모구 백혈병 환자의 골수 도말 검사, 고배율


급성 림프모구 백혈병 환자의 골수 도말 검사

5. 1. 면역 표현형 분석

면역 표현형 분석은 세포 표면에 발현되는 단백질을 식별하는 데 사용되는 실험실 기술로, 유세포 분석법이 주로 사용된다. 이 방법은 급성 림프모구 백혈병(ALL) 진단의 핵심 요소이다.[113] 악성 림프모세포에서 말단 디옥시뉴클레오타이딜 전이효소(TdT)가 발현되면 악성 림프구 세포와 반응성 림프구를 구분하는 데 도움이 된다. 반면, 골수 계통의 표지자인 마이엘로퍼옥시데이스(MPO)는 일반적으로 발현되지 않는다.[113]

전구 B세포와 전구 T세포는 동일하게 보이기 때문에 면역 표현형 분석은 급성 림프모구 백혈병의 아형과 악성 백혈구의 성숙도를 구별하는 데 도움이 된다.[113] B세포 및 T세포 급성 림프모구 백혈병과 관련된 면역학적 표지자는 다음과 같다.[116]

면역학적 표지자B세포 계통T세포 계통
B세포 계통
CD19, CD22, CD79a+
CD10− 또는 + (common ALL)
세포질 항체− 또는 + (pre-B ALL)
표면 항체− 또는 + (mature B-cell ALL)
TdT++
T세포 계통
CD2, CD3, CD4, CD5, CD7, CD8+
TdT++


5. 2. 세포유전학

세포유전학적 분석에 따르면 연령대에 따라 급성 림프모구 백혈병 환자의 유전자 이상 비율과 빈도가 다른 것으로 나타났다. 이 정보는 특히 질병 분류에 유용하며 이러한 그룹의 서로 다른 예후를 설명하는 데 도움이 될 수 있다. 유전자 분석과 관련하여, 세포의 염색체 수인 배수성과 전좌와 같은 특정 유전적 이상에 따라 사례를 계층화할 수 있다. 고이배체성 세포는 50개 이상의 염색체를 가진 세포로 정의되며, 저이배체성 세포는 44개 미만의 염색체를 가진 세포로 정의된다. 고이배체성의 경우 예후가 좋은 반면, 저이배체성의 경우 예후가 좋지 않은 경향이 있다.[117] 예를 들어, 소아 B-급성 림프모구 백혈병에서 가장 흔한 특이적인 이상은 조혈의 전사 조절에 관여하는 단백질을 코딩하는 ''RUNX1'' 유전자가 전위되어 ''ETV6-RUNX1'' 융합 단백질에 의해 억제되는 t(12;21) ''ETV6-RUNX1'' 전좌이다.[117]

급성 림프모구 백혈병에서 일부 세포유전학적 전좌 및 분자유전학적 이상 빈도는 아래 표와 같다.

세포유전학적 전위분자유전학적 이상%
cryptic t(12;21)TEL-AML1 융합[118]25.4%[119]
t(1;19)(q23;p13)E2A-PBX (PBX1) 융합[120]4.8%[119]
t(9;22)(q34;q11)BCR-ABL 융합(P185)[121]1.6%[119]
t(4;11)(q21;q23)MLL-AF4 융합[122]1.6%[119]
t(8;14)(q24;q32)IGH-MYC 융합[123]
t(11;14)(p13;q11)TCR-RBTN2 융합[124]


5. 3. 분류

2008년 이전에는 형태학적 평가에 크게 의존하는 프랑스-미국-영국(FAB) 시스템을 사용하여 급성 림프모구 백혈병을 분류했다. FAB 시스템은 세포의 크기, 세포질, 세포핵, 염기성(세포질의 색깔), 공포성(기포와 같은 특성)을 고려하여 L1, L2, L3로 분류했다.[125][126]

FAB 하위군세포 유형특징기타
ALL - L1T세포 또는 pre-B세포작고 균질한(균일한) 세포
ALL - L2T세포 또는 pre-B세포크고 이질적인(다양한) 세포
ALL - L3B세포크고 다양한 공포성이 있는 세포성숙 B세포 ALL은 버킷 백혈병이라고도 불리며, 일반적으로 표준 요법으로는 예후가 좋지 않다.



그러나 이 분류는 치료법 선택과 예후에 미치는 영향이 제한적이기 때문에 거의 쓰이지 않게 되었다.

2008년, 세계보건기구(WHO)는 급성 림프모구성 백혈병의 분류를 새롭게 개발했다. 이 시스템에서는 세포 유전학적 및 분자 진단 검사를 통해 발견된 유전적, 면역 표현형, 분자적, 형태학적 특징의 차이를 고려하여 분류했다.[116] 이러한 아형 분류는 급성 림프모구 백혈병의 각 특정 사례에 대한 예후와 가장 적절한 치료법을 결정하는 데 사용된다.

급성 림프모구 백혈병과 관련된 WHO 하위 유형은 다음과 같다.[127]


  • B 림프모구 백혈병/림프종
  • * 달리 명시되지 않음(NOS)
  • * 반복되는 유전적 이상이 있는 경우
  • * with t(9;22)(q34.1;q11.2);''BCR-ABL1''
  • * with t(v;11q23.3);''KMT2A'' 재배열
  • * with t(12;21)(p13.2;q22.1); ''ETV6-RUNX1''
  • * with t(5;14)(q31.1;q32.3) ''IL3-IGH''
  • * with t(1;19)(q23;p13.3);''TCF3-PBX1''
  • * 고배체성
  • * 저배체성
  • T-림프모구 백혈병/림프종
  • 모호한 급성 백혈병
  • * 급성 미분화 백혈병
  • * 혼합 표현형 급성 백혈병(MPAL), with t(9;22)(q34.1;q11.2); ''BCR–ABL1''
  • * MPAL with t(v;11q23.3); ''KMT2A'' 재배열
  • * MPAL, B/myeloid, NOS
  • * MPAL, T/myeloid, NOS


세포유전학적 분석에 따르면 연령대에 따라 급성 림프모구 백혈병 환자의 유전자 이상 비율과 빈도가 다른 것으로 나타났다. 유전자 분석과 관련하여, 세포의 염색체 수인 배수체전좌와 같은 특정 유전적 이상에 따라 사례를 계층화할 수 있다. 고이배체 세포는 50개 이상의 염색체를 가진 세포로 정의되며, 저이배체 세포는 44개 미만의 염색체를 가진 세포로 정의된다. 고이배체성의 경우 예후가 좋은 반면, 저이배체성의 경우 예후가 좋지 않은 경향이 있다.[117]

아래는 급성 림프모구 백혈병에서 일부 세포유전학적 전좌 및 분자유전학적 이상 빈도가 표시된 표이다.

세포유전학적 전위분자유전학적 이상%
cryptic t(12;21)TEL–AML1 융합[118]25.4%[119]
t(1;19)(q23;p13)E2A–PBX (PBX1) 융합[120]4.8%[119]
t(9;22)(q34;q11)BCR-ABL 융합(P185)[121]1.6%[119]
t(4;11)(q21;q23)MLL–AF4 융합[122]1.6%[119]
t(8;14)(q24;q32)IGH–MYC 융합[123]
t(11;14)(p13;q11)TCR–RBTN2 융합[124]


6. 치료

화학 요법을 위해 정맥관을 연결한 두 명의 여아


급성 림프모구 백혈병(ALL) 치료의 목표는 지속적인 관해 상태를 유도하는 것이다. 관해는 체내에서 암세포가 검출되지 않고, 골수 내 모세포가 5% 미만인 상태를 의미한다.[128][129] 지난 수십 년 동안 치료법이 발전하면서 생존율이 증가했다.

급성 림프모구 백혈병의 치료법에는 화학 요법, 스테로이드, 방사선 요법, 집중 복합 치료(골수 이식 및 줄기세포 이식 포함), 표적 치료, 성장 인자 치료 등이 있다.[128][129]

성인 급성 림프모구 백혈병은 B세포와 T세포 두 가지 아형에 따라 치료법 선택에 특별한 고려가 필요하다. B세포 급성 림프모구 백혈병은 종종 세포유전학적 이상(특히, t(8;14), t(2;8), t(8;22))과 연관되어 있으며, 단기간의 고강도 요법으로 구성된 공격적인 치료가 필요하다. T세포 급성 림프모구 백혈병은 사이클로포스파미드 함유 약제에 가장 잘 반응한다.[131]

필라델피아 염색체(Ph) t(9;22)라는 염색체 이상이 보이는 경우가 있으며, 성인 환자에게서 많이 나타난다. 약 4명 중 1명(15~30%)의 비율로 나타나며 필라델피아 염색체(Ph) 양성 급성 림프모구 백혈병이라고 불린다. 필라델피아 염색체 양성 사례에서는 다제 병용 화학 요법에 더하여 BCR-ABL 티로신 키나제 억제제를 사용한 관해 유도 요법을 실시한다. 고령자의 경우에는 스테로이드 + BCR-ABL 티로신 키나제 억제제의 병용 요법도 고려된다.[83]

ALL 환자는 첫 번째 관해기에 동종 조혈모 세포 이식이 고려된다. 고령자나 합병증을 가진 환자에 대해서는 전처치의 강도를 약화시킨 이식이 검토된다. 이식을 실시하지 않는 경우에는 유지 요법이 권장된다. ALL에서 유지 요법은 중요하며, 메토트렉세이트 + 메르캅토푸린을 중심으로, 빈크리스틴이나 프레드니솔론을 사용한다. 필라델피아 염색체 양성인 경우에는 BCR-ABL 티로신 키나제 억제제의 장기 투여가 실시된다.[83]

6. 1. 화학 요법

화학 요법은 급성 림프모구 백혈병(ALL)의 초기 치료법이며, 대부분의 환자는 여러 약물을 복합적으로 투여받는다. 악성 세포가 몸 전체에 퍼져 있기 때문에 수술은 하지 않는다. 급성 림프모구 백혈병에 대한 화학 요법은 관해 유도, 강화, 유지 요법의 세 단계로 나뉜다.[130][131]

단계설명[130][131]약물[130][131]
관해 유도
강화 요법 및 집중 치료고용량 화학 요법으로 남은 종양을 제거한다.
유지 요법관해 유도 및 강화 요법으로 죽지 않은 잔여 세포를 제거한다.


6. 2. 방사선 치료

방사선 치료는 통증이 있는 뼈 부위, 질병 부담이 큰 부위 또는 골수 이식(전신 방사선 조사)을 위한 준비 과정의 일부로 사용된다.[135][99] 과거에는 의사들이 뇌에서 백혈병의 발생 및 재발을 예방하기 위해 중추 신경계 예방 목적으로 전뇌 방사선 형태의 방사선을 일반적으로 사용했다. 최근 연구에 따르면 중추신경계 화학요법이 치료 효과는 좋지만, 드물게 발달 부작용이 생기는 것으로 나타났다. 그 결과 전뇌 방사선의 사용이 더욱 제한되었다. 대부분의 성인 백혈병 전문가는 중추신경계 예방 화학요법을 위한 방사선 요법 사용을 포기하고 대신 척수강 내 화학요법을 사용하고 있다.[51][14]

6. 3. 생물학적 치료

백혈병 림프 모세포에 대한 조합 효과를 기반으로 생물학적 표적을 선택하여 급성 림프모구 백혈병 치료 효과를 개선할 수 있다.[136] 이매티닙과 같은 티로신 키나아제 억제제(TKI)는 'Bcr-Abl1+(Ph+)' 급성 림프모구 백혈병 환자의 치료 계획에 포함된다. 그러나 이 아형의 급성 림프모구 백혈병은 화학 요법과 TKI 병용에 내성을 보이는 경우가 많으며, 재발 시 동종 조혈모 세포 이식이 권장되는 경우가 많다.[135]

블리나투모맙은 영아 ALL에서 화학 요법에 대한 유망한 부가 치료법일 뿐만 아니라,[53] 어린이의 유망한 단독 요법이기도 하다.[54]

6. 4. 면역 요법

키메라 항원 수용체(CAR)는 급성 림프모구 백혈병(ALL)에 대한 유망한 면역 요법으로 개발되었다. 이 기술은 세포 표면 표지자인 CD19를 인식하도록 설계된 단일 사슬 가변 단편(scFv)을 사용한다.[137][55] CD19는 모든 B세포에서 발견되는 분자로, 잠재적으로 악성일 수 있는 B세포 집단을 구별하는 수단으로 사용될 수 있다.

이 치료법에서는 생쥐에게 CD19 항원을 접종하여 항-CD19 항체를 생성한다. 마우스 비장 세포와 골수종 세포주를 융합하여 개발된 하이브리도마는 CD19 특이 항체를 코딩하는 cDNA의 공급원으로 사용될 수 있다.[137][55] 이 항체의 가변 중쇄와 가변 경쇄를 코딩하는 서열을 시퀀싱하고 작은 펩타이드 링커를 사용하여 이 서열을 함께 복제한다. 그 결과 서열은 scFv를 암호화한다. 이것은 CAR의 엔도도메인(Endo-domain)이 될 것을 코딩하는 트랜스진으로 복제될 수 있는데, 만들어지는 서브유닛의 배열은 다양하지만, 일반적으로 scFv에 부착되는 힌지 영역, 막 통과 영역, CD28과 같은 자극 분자의 세포 내 영역, ITAM 반복을 포함하는 CD3-zeta의 세포 내 도메인으로 구성된다. 이때 4-1bb 및 OX40 서열이 포함되기도 한다.[138][56]

그런 다음 scFv 및 엔도도메인 서열을 포함하는 최종 트랜스진 서열을 환자로부터 얻은 면역 효과 세포에 삽입하여 실험실에서 증폭시킨다. 임상시험에서 이 세포는 세포독성이 있는 T세포의 한 유형으로 만들어졌다.[139][57] 효과기 세포(effector cell)에 DNA를 삽입하는 방법은 여러 가지가 있다. 가장 일반적으로는 트랜스진을 암호화하는 렌티바이러스를 사용한다. 거짓형으로 자가 비활성화된(Pseudotyped, self-inactivating) 렌티바이러스는 원하는 트랜스진을 표적 세포에 안정적으로 삽입할 수 있다. 다른 방법으로는 전기천공 및 형질 전환이 있지만 시간이 지남에 따라 트랜스진의 발현이 감소하기 때문에 그 효능이 제한적이다.[58]

그런 다음 유전자 변형 이펙터 세포를 다시 환자에게 이식한다. 일반적으로 이 과정은 시클로포스파미드와 같은 화학 요법과 함께 이루어지며, 이는 주입된 T세포의 효과를 강화하는 것으로 나타났다. 이러한 효과는 세포가 증식할 수 있는 면역학적 공간을 만드는 데 기인한다.[140][56] 이 과정은 전체적으로 주조직 적합성 복합체와 독립적인 방식으로 종양 세포 항원을 인식하고 세포 독성 반응을 시작할 수 있는 이펙터 세포(일반적으로 T세포)를 생성한다.

티사젠렉류셀은 다른 치료에 적절히 반응하지 않거나 재발한 급성 B세포 림프모구 백혈병 환자를 위한 CAR-T 치료제로 2017년 FDA의 승인을 받았다.[141][59] 22일 동안의 과정을 통해 약물은 각 개인에게 맞춤화된다. 각 환자로부터 정제된 T세포는 백혈병 세포를 인식하는 키메라 항원 수용체를 암호화하는 유전자를 DNA에 삽입하는 바이러스에 의해 조정된다.[142][60] 오베카타젠 아우토류셀은 2024년 11월 미국에서 의료용으로 승인되었다.[61][62]

6. 5. 재발한 급성 림프모구 백혈병

일반적으로 초기 치료 후 급성 림프모구 백혈병이 재발한 환자는 유도 요법 후 완전 관해 상태를 유지하는 환자보다 예후가 더 나쁘다. 재발성 백혈병은 처음에 시행한 표준 화학 요법에 좋은 반응을 보이지 않을 가능성이 높으므로, 이러한 환자는 재유도 화학 요법을 시도한 후 동종 골수 이식을 받아야 한다.[143][63]

블리나투모맙(blinatumomab)은 독성 효과 증가 없이 관해율과 전체 생존율을 증가시키는 것으로 나타났기 때문에 이러한 재발 환자도 블리나투모맙 치료를 받을 수 있다.[143][63]

저선량 완화 방사선 치료는 중추 신경계 내외부의 종양 부담을 줄이고 일부 증상을 완화하는 데 도움이 될 수 있다.

다사티닙은 티로신 키나제 억제제의 일종으로, Ph1 양성 및 이마티닙 내성 급성 림프모구 백혈병 환자에게 효과가 입증되었지만, 장기 생존 및 재발까지의 시간에 대한 더 많은 연구가 필요하다.[131][49]

재발·난치성 사례에 대한 신규 치료 약물로 클로파라빈이 2013년 5월에 약가 등재되었다.[84] 이노투주맙 오조가마이신이 CD22를 표적으로 한 분자 표적 치료제로 2018년 1월에 승인되었다.[85] 블리나투모맙, 티사젠렉류셀이 각각 재발 난치성 사례에 대해 승인되었다.[83]

6. 6. 부작용

화학 요법이나 줄기세포 이식을 받으면 출혈을 예방하기 위해 혈소판 수혈이 필요할 수 있다.[144][145] 줄기세포 이식을 받은 환자는 이식편대숙주질환(GvHD)이 발생할 수 있다. 중간엽 간질세포가 이식편대숙주질환을 예방하는 데 사용될 수 있는지 평가하는 연구가 진행되었으나, 그 효과는 매우 불확실하다. 중간엽 줄기세포를 예방 목적으로 사용할 경우 모든 원인에 의한 사망률, 악성 질환의 재발, 급성 및 만성 이식편대숙주질환 발생률에 거의 차이를 보이지 않거나 차이가 없을 수 있다.[146]

6. 7. 지지 요법

급성 림프모구 백혈병과 같은 혈액암 성인 환자의 표준 치료에 신체 운동을 추가하는 것은 사망률, 삶의 질, 신체 기능 향상에 거의 차이가 없거나 전혀 차이를 만들지 않을 수 있다.[147] 이러한 운동은 우울증을 약간 감소시킬 수 있다. 또한, 유산소 신체 운동은 피로를 감소시킬 가능성이 높다. 불안과 심각한 부작용에 대한 영향에 대한 증거는 매우 불확실하다.[67],[147]

6. 8. 유전자 치료

브렉수캅타젠 오토류셀(Brexucabtagene autoleucel) (테카투스)는 2021년 10월 재발성 또는 불응성 B세포 전구체 급성 림프모구 백혈병 성인 치료제로 승인되었다.[148][149]

브렉수캅타젠 오토루셀은 환자 자신의 면역 체계를 이용하는 맞춤형 치료법이다.[150] 환자의 백혈구 일종인 T세포를 채취하여 림프종 세포를 표적으로 삼아 죽이는 유전자를 포함하도록 유전자 변형한 후, 다시 환자에게 주입한다.[150]

7. 예후

화학 요법과 조혈모세포 이식이 개발되기 전에는 소아 환자의 평균 생존 기간은 3개월에 불과했다. 이는 주로 감염이나 출혈 때문이었다. 화학 요법의 등장 이후 소아 백혈병의 예후는 크게 개선되었다. 급성 림프모구 백혈병(ALL)을 앓고 있는 소아 환자는 치료 시작 4주 후 성공적인 관해에 도달할 확률이 95%로 추정된다. 선진국에서 소아 치료를 받는 ALL 환자는 5년 생존율이 80% 이상이다. 유도 화학 요법을 받는 성인의 60~80%가 4주 후에 완전 관해에 도달하며, 70세 이상 환자의 완치율은 5%로 추정된다.[130][151]

소아 환자 및 ALL 성인 환자의 5년 및 10년 생존율 그래프


그러나 다양한 요인에 따라 개인별로 ALL의 예후가 다르게 나타난다.

  • 성별: 여성은 남성보다 더 나은 경향이 있다.
  • 인종: 백인아프리카계 미국인, 아시아인, 또는 히스패닉보다 급성 백혈병에 걸릴 가능성이 더 높다. 그러나 백인이 비백인보다 예후가 더 좋은 경향도 있다.
  • 진단 시 연령: 1~10세 어린이가 ALL에 걸리고 완치될 가능성이 가장 높다. 고령 환자의 경우 염색체 이상(예: 필라델피아 염색체)으로 인해 치료가 더 어려워지고 예후가 더 나쁠 가능성이 높다. 고령 환자는 ALL 치료를 견디기 어렵게 만드는 동반 질환이 있을 가능성도 높다.
  • 진단 시 백혈구 수치: 30000mm3(B-ALL) 또는 100000mm3(T-ALL) 이상이면 결과가 더 나쁘다.
  • 암의 전이: 암이 중추신경계( 또는 척수)로 전이되면 결과가 더 나쁘다.
  • 형태학적, 면역학적 및 유전적 아형
  • 초기 치료에 대한 환자의 반응: 완전 관해에 도달하는 데 걸리는 시간이 4주 이상으로 길어지는 경우 예후가 좋지 않다.
  • ALL의 조기 재발
  • 미세 잔존 질환
  • 유전 질환: 예를 들어 다운 증후군 및 기타 염색체 이상(이수성 및 전좌)[152]


소아 환자[153][154][155]
요인불리유리
나이2세 미만 또는 10세 초과3~5세
성별남성여성
인종흑인백인
장기 비대존재부재
종격동 종괴존재부재
중추신경계 침범존재부재
백혈구 수B-ALL >30000mm3
T-ALL >100000mm3
낮음
혈색소 농도>10g/dl<10g/dl
세포 유형비 림프구림프구
세포 계열전 B 세포 + T-ALL (소아)초기 전 B 세포
핵형전좌과이수성
치료 반응느림(1주 초과하여 혈액에서 모세포 제거)빠름(1주 이내에 혈액에서 모세포 제거)
관해 시간4주 초과4주 이내
미세 잔존 질환3~6개월에 양성1개월(소아) 또는 3개월(성인)에 음성



암세포염색체에서 특징적인 큰 변화를 연구하는 세포 유전학은 결과의 중요한 예측 인자이다.[156] 일부 세포 유전학적 아형은 다른 아형보다 예후가 더 나쁘다. 여기에는 다음이 포함된다:[157]


  • t(9;22) 양성 ALL 환자(성인 ALL 사례의 30%) 및 기타 ''Bcr-abl'' 재배열 백혈병 환자는 예후가 좋지 않을 가능성이 높지만, 화학 요법 및 ''Bcr-abl'' 티로신 키나제 억제제로 구성된 치료법으로 생존율이 상승할 수 있다.[131]
  • 염색체 4번과 11번 사이의 전좌는 사례의 약 4%에서 발생하며, 12개월 미만의 영아에게서 가장 흔하게 나타난다.


세포 유전학적 변화위험 범주
필라델피아 염색체불량한 예후
t(4;11)(q21;q23)불량한 예후
t(8;14)(q24.1;q32)불량한 예후
복잡한 핵형(4개 이상의 이상)불량한 예후
낮은 저이수성 또는 거의 삼배수체불량한 예후
염색체 7번의 결실불량한 예후
염색체 8번 삼염색체불량한 예후
높은 과이수성(삼염색체 4, 10, 17)좋은 예후
del(9p)좋은 예후


  • 과이수성(50개 이상의 염색체) 및 t(12;21)은 좋은 예후 인자이며 소아 ALL 사례의 50%를 차지한다.


골수 세포 유전학 기반
예후세포 유전학적 소견
유리과이수성 > 50; t (12;21)
중간과이수성 47~50; 정상(이배성); del (6q); 8q24 재배열
불리저이수성-거의 반수성; 거의 사배수성; del (17p); t (9;22); t (11q23)



분류되지 않은 ALL은 중간 예후 위험으로 간주되며,[158] 좋은 위험 범주와 나쁜 위험 범주 사이에 위치한다.

8. 역학

2015년 전 세계적으로 약 87만 6,000명이 급성 림프모구 백혈병에 걸렸고, 그 결과 11만 1,000명이 사망했다.[94][95] 이 질환은 3세에서 7세 사이에서 가장 많이 발생하며, 전체 발병 사례의 약 75%가 6세 이전에 발생한다. 40세 이후에는 발병률이 다시 증가하는 경향을 보인다.[130] 어린이 1,500명 중 1명꼴로 이 질환에 걸리는 것으로 추정된다.[159]

전체 연령대를 고려했을 때, 급성 림프모구 백혈병은 매년 10만 명당 약 1.7명에게서 새롭게 발생한다.[113] 이 질환은 성인 백혈병의 약 20%, 소아 백혈병의 80%를 차지하며, 소아에게 가장 흔한 암이다.[113] 소아 환자의 80~90%는 치료를 통해 장기간 완치되지만, 여전히 소아 암 관련 사망의 주요 원인 중 하나이다.

발병 사례의 85%는 B세포 계통에서 발생하며, 남성과 여성의 발병 비율은 동일하다. 나머지 15%는 T세포 계통에서 발생하며, 남성에게서 더 많이 나타난다.

전 세계적으로 급성 림프모구 백혈병은 아프리카계 사람들보다 백인, 히스패닉, 라틴계 사람들에게서 더 자주 발생한다.[160] 미국에서는 백인(100만 명당 36건)과 히스패닉(100만 명당 41건) 어린이가 아프리카계(100만 명당 15건) 어린이보다 이 질환에 더 많이 걸린다.[161]

9. 임신

백혈병은 임신과 드물게 관련되며, 임산부 10,000명 중 약 1명에게만 영향을 미친다. 임산부의 백혈병 관리는 주로 백혈병의 유형에 따라 달라진다. 급성 백혈병은 일반적으로 유산 및 선천성 장애의 심각한 위험에도 불구하고 즉각적이고 적극적인 치료가 필요하며, 특히 화학 요법이 발달에 민감한 임신 초기에 투여되는 경우 더욱 그렇다.

참조

[1] 웹사이트 Childhood Acute Lymphoblastic Leukemia Treatment https://www.cancer.g[...] 2017-12-08
[2] 서적 Blueprints Pediatrics https://books.google[...] Lippincott Williams & Wilkins 2013
[3] 서적 Childhood acute lymphoblastic leukemia Springer International Publishing
[4] 서적 Ferri's Clinical Advisor 2018 E-Book: 5 Books in 1 https://books.google[...] Elsevier Health Sciences 2017
[5] 논문 Treatment of Acute Lymphoblastic Leukemia https://doi.org/10.1[...] 2006-01-12
[6] 논문 Managing CNS disease in adults with acute lymphoblastic leukemia https://doi.org/10.1[...] 2018-01-02
[7] 논문 Global, regional, and national incidence, prevalence, and years lived with disability for 310 diseases and injuries, 1990-2015: a systematic analysis for the Global Burden of Disease Study 2015 2016-10
[8] 논문 Global, regional, and national life expectancy, all-cause mortality, and cause-specific mortality for 249 causes of death, 1980-2015: a systematic analysis for the Global Burden of Disease Study 2015 2016-10
[9] 웹사이트 Acute Lymphocytic Leukemia – Cancer Stat Facts https://seer.cancer.[...] 2017-12-20
[10] 논문 Acute lymphoblastic leukaemia 2013-06
[11] 논문 Acute Lymphoblastic Leukemia in Children https://repositorio.[...] 2015-10
[12] 서적 Nelson Textbook of Pediatrics Elsevier/Saunders 2011
[13] 논문 Treatment of infant leukemias: challenge and promise 2013-12-06
[14] 논문 Adult Acute Lymphoblastic Leukemia 2016-11
[15] 논문 Clinical presentation of childhood leukaemia: a systematic review and meta-analysis 2016-10
[16] 웹사이트 Acute Lymphoblastic Leukemia https://www.lecturio[...]
[17] 논문 Central nervous system involvement in adult acute lymphocytic leukemia 2001-02
[18] EMedicine Acute Lymphoblastic Leukemia
[19] 논문 Central nervous system leukemia 1988-08
[20] 논문 Cranial nerve palsy in childhood acute lymphoblastic leukemia and non-Hodgkin's lymphoma 1991-05
[21] 논문 Acute lymphoblastic leukemia: a comprehensive review and 2017 update 2017-06
[22] 논문 The MLL recombinome of acute leukemias in 2013 2013-11
[23] 논문 The leukemogenic AF4-MLL fusion protein causes P-TEFb kinase activation and altered epigenetic signatures 2011-01
[24] 논문 Cancer incidence in atomic bomb survivors. Part III. Leukemia, lymphoma and multiple myeloma, 1950–1987 1994-02
[25] 논문 Secondary leukemia or myelodysplastic syndrome after treatment with epipodophyllotoxins 1999-02
[26] 논문 A causal mechanism for childhood acute lymphoblastic leukaemia 2018-08
[27] 서적 Oxford Handbook of Clinical Specialties, Third Edition Oxford
[28] 서적 The MD Anderson Manual of Medical Oncology McGraw-Hill Education 2016
[29] 서적 Harrison's Principles of Internal Medicine McGraw-Hill Professional
[30] 웹사이트 Acute Leukemia http://www.merckmanu[...] Merck Sharp & Dohme Corp. 2013-11
[31] 논문 ETV6-RUNX1-positive childhood acute lymphoblastic leukemia: improved outcome with contemporary therapy 2012-02
[32] 논문 Expression levels of TEL, AML1, and the fusion products TEL-AML1 and AML1-TEL versus drug sensitivity and clinical outcome in t(12;21)-positive pediatric acute lymphoblastic leukemia http://clincancerres[...] 2005-04
[33] 논문 Simple multiplex RT-PCR for identifying common fusion transcripts in childhood acute leukemia 2008-08
[34] 논문 Oncogenic homeodomain transcription factor E2A-Pbx1 activates a novel WNT gene in pre-B acute lymphoblastoid leukemia 1999-09
[35] 논문 Cytogenetic characterization of a BCR-ABL transduced mouse cell line 2005-08
[36] 논문 Modulation of cell cycle by graded expression of MLL-AF4 fusion oncoprotein 2004-06
[37] 논문 Amplification of IGH/MYC fusion in clinically aggressive IGH/BCL2-positive germinal center B-cell lymphomas 2005-08
[38] 논문 Translocation 11;14 in three children with acute lymphoblastic leukemia of T-cell origin 1995-10
[39] 논문 Proposals for the classification of the acute leukaemias. French-American-British (FAB) co-operative group 1976-08
[40] 웹사이트 ACS :: How Is Acute Lymphocytic Leukemia Classified? http://www.cancer.or[...]
[41] 서적 Hoffbrand's essential haematology 2015-10-06
[42] 논문 The 2016 revision to the World Health Organization classification of myeloid neoplasms and acute leukemia 2016-05
[43] 논문 T-cell Acute Lymphoblastic Leukemia: A Roadmap to Targeted Therapies 2021-01
[44] 웹사이트 Acute lymphoblastic leukemia (ALL) Information – Mount Sinai – New York http://www.mountsina[...] 2017-11-18
[45] 서적 Essential Haematology https://books.google[...] Wiley 2013-09-14
[46] 논문 Central nervous system prophylaxis in adults with acute lymphoblastic leukemia: current and emerging therapies 2010-05
[47] 논문 Time to tune the treatment of Ph+ ALL 2015-06
[48] 웹사이트 Acute Lymphoblastic Leukemia Treatment Protocols: Treatment Protocols http://emedicine.med[...] 2015-08-16
[49] 웹사이트 Adult Acute Lymphoblastic Leukemia Treatment https://www.cancer.g[...] 2017-12-06
[50] 웹사이트 Adult Acute Lymphoblastic Leukemia Treatment (PDQ®)–Health Professional Version https://www.cancer.g[...] 2024-07-12
[51] 서적 Hoffbrand's essential haematology 2015-10-26
[52] 논문 Glucocorticoid and proteasome inhibitor impact on the leukemic lymphoblast: multiple, diverse signals converging on a few key downstream regulators 2012-04
[53] 논문 Blinatumomab added to upfront chemotherapy in infant lymphoblastic leukemia
[54] 논문 Blinatumomab for First-Line Treatment of Children and Young Persons With B-ALL https://discovery.uc[...]
[55] 논문 Chimeric antigen receptor-modified T cells for acute lymphoid leukemia 2013-04
[56] 논문 Chimeric antigen receptor therapy for cancer
[57] 논문 CARbodies: Human Antibodies Against Cell Surface Tumor Antigens Selected From Repertoires Displayed on T Cell Chimeric Antigen Receptors 2013-05
[58] 논문 Self-inactivating lentivirus vector for safe and efficient in vivo gene delivery 1998-12
[59] 웹사이트 Press Announcements—FDA approval brings first gene therapy to the United States https://www.fda.gov/[...] 2017-09-12
[60] 논문 Engineered cell therapy for cancer gets thumbs up from FDA advisers 2017-07
[61] 웹사이트 FDA approves obecabtagene autoleucel for acute lymphoblastic leukemia https://www.fda.gov/[...] 2024-11-10
[62] 간행물 Autolus Therapeutics Announces FDA Approval of Aucatzyl (obecabtagene autoleucel – obe-cel) for adults with relapsed/refractory B-cell acute lymphoblastic leukemia (r/r B-ALL) https://www.globenew[...] Autolus Therapeutics 2024-11-10
[63] 논문 Blinatumomab versus Chemotherapy for Advanced Acute Lymphoblastic Leukemia 2017-03
[64] 논문 Prophylactic platelet transfusion for prevention of bleeding in patients with haematological disorders after chemotherapy and stem cell transplantation 2012-05
[65] 논문 Comparison of different platelet count thresholds to guide administration of prophylactic platelet transfusion for preventing bleeding in people with haematological disorders after myelosuppressive chemotherapy or stem cell transplantation 2015-11
[66] 논문 Mesenchymal stromal cells as treatment or prophylaxis for acute or chronic graft-versus-host disease in haematopoietic stem cell transplant (HSCT) recipients with a haematological condition 2019-01
[67] 논문 Aerobic physical exercise for adult patients with haematological malignancies 2019-01
[68] 웹사이트 FDA approves brexucabtagene autoleucel for relapsed or refractory B-cell precursor acute lymphoblastic leukemia https://www.fda.gov/[...] 2021-10-02
[69] 웹사이트 U.S. FDA Approves Kite's Tecartus as the First and Only Car T for Adults With Relapsed or Refractory B-cell Acute Lymphoblastic Leukemia https://www.business[...] 2021-10-01
[70] 웹사이트 FDA Approves First Cell-Based Gene Therapy For Adult Patients with Relapsed or Refractory MCL https://www.fda.gov/[...] 2020-07-24
[71] 논문 Childhood leukemia 2010-06
[72] 웹사이트 Prognosis and survival for acute lymphocytic leukemia - Canadian Cancer Society http://www.cancer.ca[...] 2017-12-06
[73] 서적 Nelson Essentials of Pediatrics
[74] 서적 The Guide Paediatrics
[75] 서적 Hoffbrand's essential haematology 2015-10-26
[76] 논문 Karyotype is an independent prognostic factor in adult acute lymphoblastic leukemia (ALL): analysis of cytogenetic data from patients treated on the Medical Research Council (MRC) UKALLXII/Eastern Cooperative Oncology Group (ECOG) 2993 trial 2007-04
[77] 논문 A subtype of childhood acute lymphoblastic leukaemia with poor treatment outcome: a genome-wide classification study 2009-02
[78] 논문 BCR-ABL1-like acute lymphoblastic leukaemia: From bench to bedside 2017-09
[79] 논문 Genomic evaluations of childhood acute lymphoblastic leukemia susceptibility across race/ethnicities 2014-10
[80] 서적 Cancer Incidence and Survival among Children and Adolescents: United States SEER Program 1975–1995. National Cancer Institute, SEER Program
[81] 문서 WHO classification of Tumours of Haematpietic and Lymphoid Tissue. IRAC Press, Lyon 2008
[82] Youtube 急性リンパ性白血病・リンパ芽球性リンパ腫 http://ganjoho.jp/pu[...] 国立がん研究センターがん情報サービス
[83] 웹사이트 ホーム|造血器腫瘍診療ガイドライン 2018年版補訂版|一般社団法人 日本血液学会 http://www.jshem.or.[...] 2021-11-08
[84] 웹사이트 再発又は難治性の急性リンパ性白血病治療のための抗悪性腫瘍剤「エボルトラ®点滴静注20mg」の発売について http://www.sanofi.co[...] サノフィ株式会社 2013-06-21
[85] 웹사이트 再発・難治性急性リンパ性白血病治療薬「ベスポンサ点滴静注用1mg」本日発売 https://www.pfizer.c[...] ファイザー株式会社 2018-04-18
[86] 웹인용 Childhood Acute Lymphoblastic Leukemia Treatment https://www.cancer.g[...] 2017-12-08
[87] 서적 Blueprints Pediatrics https://books.google[...] Lippincott Williams & Wilkins 2013
[88] 저널 Acute Lymphoblastic Leukemia in Children https://repositorio.[...] 2015-10
[89] 저널 Acute lymphoblastic leukaemia 2013-06
[90] 서적 Childhood acute lymphoblastic leukemia Springer International Publishing
[91] 서적 Ferri's Clinical Advisor 2018 E-Book: 5 Books in 1 https://books.google[...] Elsevier Health Sciences 2017
[92] 저널 Treatment of Acute Lymphoblastic Leukemia https://doi.org/10.1[...] 2006-01-12
[93] 저널 Managing CNS disease in adults with acute lymphoblastic leukemia https://doi.org/10.1[...] 2018-01-02
[94] 저널 Global, regional, and national incidence, prevalence, and years lived with disability for 310 diseases and injuries, 1990-2015: a systematic analysis for the Global Burden of Disease Study 2015 2016-10
[95] 저널 Global, regional, and national life expectancy, all-cause mortality, and cause-specific mortality for 249 causes of death, 1980-2015: a systematic analysis for the Global Burden of Disease Study 2015 2016-10
[96] 웹인용 Acute Lymphocytic Leukemia – Cancer Stat Facts https://seer.cancer.[...] 2017-12-20
[97] 서적 Nelson Textbook of Pediatrics https://archive.org/[...] Elsevier/Saunders 2011
[98] 저널 Treatment of infant leukemias: challenge and promise 2013-12-06
[99] 저널 Adult Acute Lymphoblastic Leukemia 2016-11
[100] 저널 Clinical presentation of childhood leukaemia: a systematic review and meta-analysis 2016-10
[101] 웹인용 Acute Lymphoblastic Leukemia https://www.lecturio[...]
[102] 저널 Central nervous system involvement in adult acute lymphocytic leukemia 2001-02
[103] EMedicine Acute Lymphoblastic Leukemia
[104] 저널 Central nervous system leukemia 1988-08
[105] 저널 Cranial nerve palsy in childhood acute lymphoblastic leukemia and non-Hodgkin's lymphoma 1991-05
[106] 저널 Acute lymphoblastic leukemia: a comprehensive review and 2017 update 2017-06
[107] 저널 The MLL recombinome of acute leukemias in 2013 2013-11
[108] 저널 The leukemogenic AF4-MLL fusion protein causes P-TEFb kinase activation and altered epigenetic signatures 2011-01
[109] 저널 Secondary leukemia or myelodysplastic syndrome after treatment with epipodophyllotoxins 1999-02
[110] 저널 A causal mechanism for childhood acute lymphoblastic leukaemia 2018-08
[111] 저널 Acute Lymphoblastic Leukemia in Children https://repositorio.[...] 2015-10
[112] 저널 Acute lymphoblastic leukaemia 2013-06
[113] 서적 The MD Anderson Manual of Medical Oncology McGraw-Hill Education 2017-11-22
[114] EMedicine Acute Lymphoblastic Leukemia
[115] 웹인용 Acute Leukemia Merck Sharp & Dohme Corp. 2014-04-17
[116] 서적 Hoffbrand's essential haematology 2015-10-06
[117] 저널 ETV6-RUNX1-positive childhood acute lymphoblastic leukemia: improved outcome with contemporary therapy 2012-02
[118] 저널 Expression levels of TEL, AML1, and the fusion products TEL-AML1 and AML1-TEL versus drug sensitivity and clinical outcome in t(12;21)-positive pediatric acute lymphoblastic leukemia http://clincancerres[...] 2005-04
[119] 저널 Simple multiplex RT-PCR for identifying common fusion transcripts in childhood acute leukemia 2008-08
[120] 저널 Oncogenic homeodomain transcription factor E2A-Pbx1 activates a novel WNT gene in pre-B acute lymphoblastoid leukemia 1999-09
[121] 저널 Cytogenetic characterization of a BCR-ABL transduced mouse cell line 2005-08
[122] 저널 Modulation of cell cycle by graded expression of MLL-AF4 fusion oncoprotein 2004-06
[123] 저널 Amplification of IGH/MYC fusion in clinically aggressive IGH/BCL2-positive germinal center B-cell lymphomas 2005-08
[124] 저널 Translocation 11;14 in three children with acute lymphoblastic leukemia of T-cell origin 1995-10
[125] 저널 Proposals for the classification of the acute leukaemias. French-American-British (FAB) co-operative group 1976-08
[126] 웹인용 ACS :: How Is Acute Lymphocytic Leukemia Classified?
[127] 저널 The 2016 revision to the World Health Organization classification of myeloid neoplasms and acute leukemia 2016-05
[128] 저널 T-cell Acute Lymphoblastic Leukemia: A Roadmap to Targeted Therapies 2021-01
[129] 웹인용 Acute lymphoblastic leukemia (ALL) Information – Mount Sinai – New York 2017-11-18
[130] 서적 Essential Haematology https://books.google[...] Wiley 2013-09-14
[131] 웹인용 Adult Acute Lymphoblastic Leukemia Treatment 2017-12-06
[132] 저널 Central nervous system prophylaxis in adults with acute lymphoblastic leukemia: current and emerging therapies 2010-05
[133] 저널 Time to tune the treatment of Ph+ ALL 2015-06
[134] 웹인용 Acute Lymphoblastic Leukemia Treatment Protocols: Treatment Protocols http://emedicine.med[...] 2015-08-16
[135] 서적 Hoffbrand's essential haematology 2015-10-26
[136] 저널 Glucocorticoid and proteasome inhibitor impact on the leukemic lymphoblast: multiple, diverse signals converging on a few key downstream regulators 2012-04
[137] 저널 Chimeric antigen receptor-modified T cells for acute lymphoid leukemia 2013-04
[138] 저널 Chimeric antigen receptor therapy for cancer
[139] 저널 CARbodies: Human Antibodies Against Cell Surface Tumor Antigens Selected From Repertoires Displayed on T Cell Chimeric Antigen Receptors 2013-05
[140] 저널 Self-inactivating lentivirus vector for safe and efficient in vivo gene delivery 1998-12
[141] 웹인용 Press Announcements—FDA approval brings first gene therapy to the United States https://www.fda.gov/[...] 2017-09-12
[142] 저널 Engineered cell therapy for cancer gets thumbs up from FDA advisers 2017-07
[143] 저널 Blinatumomab versus Chemotherapy for Advanced Acute Lymphoblastic Leukemia 2017-03
[144] 저널 Prophylactic platelet transfusion for prevention of bleeding in patients with haematological disorders after chemotherapy and stem cell transplantation 2012-05
[145] 저널 Comparison of different platelet count thresholds to guide administration of prophylactic platelet transfusion for preventing bleeding in people with haematological disorders after myelosuppressive chemotherapy or stem cell transplantation 2015-11
[146] 저널 Mesenchymal stromal cells as treatment or prophylaxis for acute or chronic graft-versus-host disease in haematopoietic stem cell transplant (HSCT) recipients with a haematological condition 2019-01
[147] 저널 Aerobic physical exercise for adult patients with haematological malignancies 2019-01
[148] 웹인용 FDA approves brexucabtagene autoleucel for relapsed or refractory B-cell precursor acute lymphoblastic leukemia https://www.fda.gov/[...] 2021-10-01
[149] 웹인용 U.S. FDA Approves Kite's Tecartus as the First and Only Car T for Adults With Relapsed or Refractory B-cell Acute Lymphoblastic Leukemia https://www.business[...] 2021-10-01
[150] 웹인용 FDA Approves First Cell-Based Gene Therapy For Adult Patients with Relapsed or Refractory MCL https://www.fda.gov/[...] 2020-07-24
[151] 저널 Childhood leukemia 2010-06
[152] 웹인용 Prognosis and survival for acute lymphocytic leukemia - Canadian Cance https://web.archive.[...] 2017-12-06
[153] 서적 Nelson Essentials of Pediatrics
[154] 서적 The Guide Paediatrics
[155] 서적 Hoffbrand's essential haematology 2015-10-26
[156] 저널 Karyotype is an independent prognostic factor in adult acute lymphoblastic leukemia (ALL): analysis of cytogenetic data from patients treated on the Medical Research Council (MRC) UKALLXII/Eastern Cooperative Oncology Group (ECOG) 2993 trial 2007-04
[157] EMedicine Acute Lymphoblastic Leukemia
[158] 저널 A subtype of childhood acute lymphoblastic leukaemia with poor treatment outcome: a genome-wide classification study 2009-02
[159] 저널 BCR-ABL1-like acute lymphoblastic leukaemia: From bench to bedside 2017-09
[160] 저널 Genomic evaluations of childhood acute lymphoblastic leukemia susceptibility across race/ethnicities 2014-10
[161] 서적 Cancer Incidence and Survival among Children and Adolescents: United States SEER Program 1975–1995. National Cancer Institute, SEER Program



본 사이트는 AI가 위키백과와 뉴스 기사,정부 간행물,학술 논문등을 바탕으로 정보를 가공하여 제공하는 백과사전형 서비스입니다.
모든 문서는 AI에 의해 자동 생성되며, CC BY-SA 4.0 라이선스에 따라 이용할 수 있습니다.
하지만, 위키백과나 뉴스 기사 자체에 오류, 부정확한 정보, 또는 가짜 뉴스가 포함될 수 있으며, AI는 이러한 내용을 완벽하게 걸러내지 못할 수 있습니다.
따라서 제공되는 정보에 일부 오류나 편향이 있을 수 있으므로, 중요한 정보는 반드시 다른 출처를 통해 교차 검증하시기 바랍니다.

문의하기 : help@durumis.com