소아마비
"오늘의AI위키"의 AI를 통해 더욱 풍부하고 폭넓은 지식 경험을 누리세요.
1. 개요
소아마비는 소아마비 바이러스 감염으로 발생하는 전염성이 강한 질병이다. 바이러스가 척수, 뇌간, 운동 피질의 운동 신경 세포를 파괴하여 마비를 일으키며, 척수형, 구마비, 구척수형 등 다양한 형태로 나타난다. 증상으로는 고열, 두통, 근육 약화, 마비 등이 있으며, 마비는 비대칭적으로 나타나는 경우가 많다. 소아마비는 분변-구강 경로를 통해 전파되며, 임신, 면역 결핍, 영양실조 등이 감염 위험을 증가시킨다. 예방을 위해 불활성화 백신(IPV)과 약독화 백신(OPV)이 사용되며, 치료는 증상 완화와 재활에 초점을 맞춘다. 소아마비는 1988년 세계 보건 기구 등의 노력으로 퇴치 노력이 진행되었으며, 2000년대 이후 발생률이 크게 감소했으나, 변이 소아마비 바이러스(cVDPV) 발생으로 인해 경구용 소아마비 백신 사용 중단이 권장되기도 한다.
더 읽어볼만한 페이지
- 소아마비 - 폴리오바이러스
폴리오바이러스는 장 바이러스의 일종으로 분변-구강 경로를 통해 감염되어 소아마비를 일으키는 원인이 되며, 백신 개발 노력으로 야생형은 대부분 근절되었으나 백신 유래 바이러스에 의한 마비 사례가 발생하고 있고, 암 치료 연구 등 다양한 분야에서 연구되고 있다. - 소아마비 - 소아마비 백신
소아마비 백신은 폴리오바이러스에 대한 면역을 형성하여 소아마비를 예방하는 백신으로, 주사형 불활성화 백신(IPV)과 경구 생백신(OPV)으로 나뉘며, 국제적인 퇴치 노력에도 불구하고 일부 지역에서는 어려움을 겪고 있다. - 바이러스성 중추신경계통 감염병 - 바이러스성 수막염
바이러스성 수막염은 바이러스 감염으로 수막에 염증이 생기는 질환으로, 두통, 발열, 목 경직 등의 증상을 보이며 엔테로바이러스가 주 원인이고, 뇌척수액 검사로 진단하며, 휴식 및 수액 공급 등의 치료와 항바이러스제 사용, 세균성 수막염과의 감별, 개인 위생 관리를 통한 예방이 중요하다. - 바이러스성 중추신경계통 감염병 - 진행성 다초점 백질뇌병증
진행성 다초점 백질뇌병증은 JC 바이러스 감염으로 생기는 희귀한 탈수초성 질환으로, 면역력 저하 환자에게 주로 발병하여 뇌 백질 손상과 다양한 신경학적 증상을 유발하며, 면역 결핍 회복이 중요하지만 효과적인 치료법은 아직 없다. - 백신으로 예방 가능한 질병 - 장티푸스
장티푸스는 살모넬라 엔테리카 세로바르 티피균에 의해 발생하는 수인성 전염병으로, 고열, 두통, 복통 등의 증상을 보이며, 항생제를 사용하여 치료하고 개인 위생과 환경 위생을 통해 예방한다. - 백신으로 예방 가능한 질병 - 결핵
결핵은 결핵균에 의해 발생하는 감염성 질환으로, 주로 폐에 영향을 미치며 기침, 객혈 등의 증상을 보이지만 무증상일 수도 있고, 호흡기 비말 전파를 통해 감염되며, 항생제 치료를 하지만 약물 내성 문제로 인해 공중 보건 문제로 남아있다.
소아마비 | |
---|---|
질병 개요 | |
이름 | 소아마비 |
동의어 | 폴리오 급성 회백수염 유아 마비 하이네-메딘병 |
분야 | 신경학 감염병 |
발음 | /ˌpoʊlioʊˌmaɪəˈlaɪtɪs/ |
국제질병분류기호 (ICD-10) | A80 B91 |
국제질병분류기호 (ICD-9) | 045 138 |
온라인 데이터베이스 | DiseasesDB: 10209 MedlinePlus: 001402 eMedicineSubj: ped eMedicineTopic: 1843 eMedicine_mult: MeshName: Poliomyelitis MeshNumber: C02.182.600.700 |
![]() | |
증상 및 합병증 | |
증상 | 열 인후통 |
합병증 | 이완성 마비를 일으키는 근육 위축 후소아마비 증후군 |
발병 및 기간 | |
발병 | 수 시간 ~ 수 일 |
원인 및 위험 요소 | |
원인 | 대변-구강 경로를 통해 전파되는 폴리오바이러스 |
위험 요인 | 불량한 위생 상태 |
진단 및 감별 진단 | |
진단 | 대변 또는 혈액 내 항체에서 바이러스 검출 |
감별 진단 | 해당 없음 |
예방 및 치료 | |
예방 | 소아마비 백신 |
치료 | 지지적 치료 외에는 없음 |
빈도 및 사망률 | |
빈도 (2022년) | 야생형: 30건 백신 유래: 856건 |
사망률 | 해당 없음 |
바이러스 유형 | |
유형 | 야생형 PV 유형 1, 2 & 3 백신 유래 PV |
2. 증상
소아마비 바이러스 감염은 대부분 증상이 없거나 경미한 증상만을 유발한다. 소아마비 바이러스 감염의 결과와 증상은 다음과 같다.[5][184]
소아마비는 세 가지 혈청형의 소아마비 바이러스 중 하나에 의해 발생하는 질병을 말한다. 소아마비 감염은 크게 중추신경계(CNS)를 침범하지 않는 경미한 질병과, 마비성 또는 비마비성일 수 있는 CNS를 침범하는 주요 질병으로 나뉜다.[14] 성인은 어린이보다 심각한 증상을 보일 가능성이 더 높다.[3]
감염자의 약 25%는 인두염과 미열 등의 경미한 증상을 겪는다.[11][2] 이러한 증상은 일시적이며 1~2주 안에 완전히 회복된다.[3][11] 드물게 상기도 질환(인두통, 발열 등), 소화기 장애(구역질, 구토, 복통, 변비, 드물게 설사), 감기 유사 증상 등이 나타나기도 한다.[184]
약 1%의 감염에서 바이러스는 위장관에서 중추신경계(CNS)로 이동한다.[3] 이 경우 대부분 환자는 두통, 목, 등, 복부 및 사지 통증, 발열, 구토, 복통, 무기력증 및 과민증 등을 동반한 비마비성 무균성 수막염을 앓는다.[15][16][17]
드물게 뇌 조직 자체의 감염인 뇌염이 발생할 수 있으며, 주로 유아에게 나타난다. 뇌염은 혼란, 정신 상태 변화, 두통, 발열, 드물게 발작 및 경직성 마비를 동반한다.[18]
2. 1. 마비성 소아마비
심할 경우 생명을 잃고, 후유증으로 다리 등의 마비가 오기 때문에 소아마비 장애인들은 휠체어나 목발을 이용해야 한다. 소아가 흔히 걸렸으므로 소아마비라는 병명이 붙었다.[299]면역능력이 있는 대부분의 사람들에게 소아마비 바이러스 감염은 무증상 감염이다. 약 1%의 감염에서 바이러스는 위장관에서 중추 신경계(CNS)로 이동할 수 있다.[3] CNS가 관련된 대부분의 환자는 비마비성 무균성 수막염을 앓게 된다.[15][16][17] 1,000건 중 약 1~5건은 근육이 약해지고, 헐렁해지고, 제대로 제어되지 않고, 마침내 완전히 마비되는 마비성 질환으로 진행된다. 이 상태를 이완성 마비라고 한다. 마비 부위에 따라 마비성 소아마비는 척수성, 숨뇌, 또는 구척수성으로 분류된다. 마비가 발생하는 사람들의 경우, 마비가 호흡 근육에 영향을 미치면서 2~10%가 사망한다.[11]
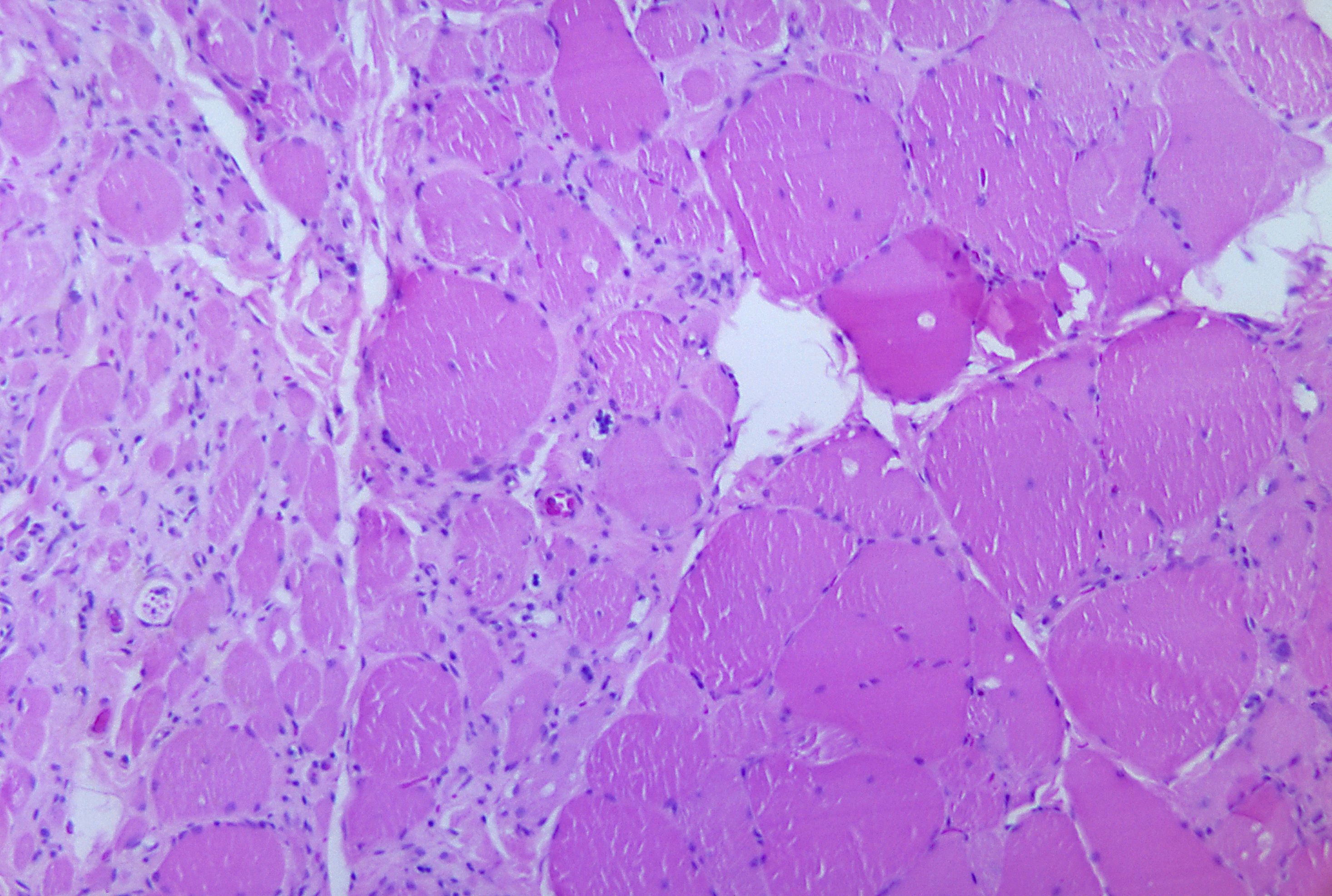
척수성 소아마비는 마비성 소아마비의 가장 흔한 형태로, 근육의 움직임을 담당하는 척수 앞뿔 또는 척수의 복측(전면) 회백질 부위의 운동 신경에 바이러스가 침투하여 발생한다.[46] 바이러스 침투는 신경 세포의 염증을 유발하여 운동 신경 신경절의 손상 또는 파괴로 이어진다. 척수 신경이 죽으면 월러 변성이 일어나, 죽은 신경에 의해 지배되던 근육의 쇠약을 유발한다.[47] 신경 세포가 파괴되면 근육은 더 이상 뇌나 척수에서 신호를 받지 못하며, 신경 자극이 없으면 근육은 위축되어 약해지고, 흐물흐물해지며 제대로 조절되지 않다가 결국 완전히 마비된다. 최대 마비는 빠르게 진행되며(2~4일), 일반적으로 발열과 근육통을 동반한다. 심부 건 반사 또한 영향을 받아 일반적으로 사라지거나 감소하며, 마비된 사지의 감각(느끼는 능력)은 영향을 받지 않는다.[48]
척수 마비의 정도는 경추, 흉부 또는 요추 등 영향을 받는 척수의 부위에 따라 달라진다.[49] 바이러스는 신체의 양쪽 근육에 영향을 미칠 수 있지만, 마비는 더 흔하게 비대칭적으로 나타난다.[37]
3. 원인
소아마비는 폴리오바이러스 감염으로 인해 발생하는 질병이다. 이 바이러스는 장 바이러스의 일종으로, 주로 인간 위장관에 정착한다.[22] 1950년대에 백신이 개발되어 보급되면서 2000년대 이후 발병률이 크게 감소했다.[299]
폴리오바이러스는 캡시드라는 단백질 껍질 안에 단일 가닥 RNA 게놈을 가지고 있는 단순한 구조이다.[21] 이 캡시드는 바이러스의 유전 물질을 보호하고, 특정 유형의 세포를 감염시키는 역할을 한다. 폴리오바이러스는 세 가지 혈청형(WPV1, WPV2, WPV3)으로 나뉘며, 각각 약간 다른 캡시드 단백질을 가진다.[23] 세 가지 혈청형 모두 강한 독성을 띄며 유사한 증상을 유발한다.[21] WPV1이 가장 흔하며 마비와 가장 관련이 깊다.[24] WPV2는 2015년에, WPV3는 2019년에 박멸되었다.[25]
폴리오바이러스에 노출된 개인은 감염이나 소아마비 백신 접종을 통해 면역을 획득한다. 면역을 가진 사람은 편도와 위장관에 IgA 항체가 존재하여 바이러스 복제를 차단하고, IgG와 IgM 항체는 중추 신경계의 운동 뉴런으로 바이러스가 확산되는 것을 막는다.[26] 한 혈청형에 대한 면역은 다른 혈청형에 대한 면역을 제공하지 않으므로, 완전한 면역을 위해서는 각 혈청형에 노출되어야 한다.[26] 드물게 폴리오바이러스가 아닌 다른 장 바이러스 감염으로 인해 유사한 증상이 나타나는 비소아마비 바이러스성 소아마비가 발생할 수 있다.[27]
폴리오바이러스는 입을 통해 신체로 들어와 인두와 위장관 점막을 감염시킨다. 세포막의 폴리오바이러스 수용체인 CD155에 결합하여 바이러스 침입이 이루어진다.[300] 이후 숙주 세포 내에서 복제 및 조립을 시작한다. 위장관에서 증식한 뒤 편도, 파이어판, 림프절 등 주변 림프절로 전파되어 다시 증식하고 혈액으로 이동한다.[301] 바이러스가 혈액에 존재하는 바이러스혈증 상태가 되면 몸 전체로 퍼질 수 있다. 폴리오바이러스는 순환계통에서 최대 17주까지 생존할 수 있다.[302] 드물게 갈색지방, 단핵식세포 조직, 근육 등에서 증식할 수도 있다.[303]
3. 1. 전파
소아마비는 전염성이 매우 강하다. 주로 오염된 음식이나 물을 섭취함으로써 분변-구강 경로를 통해 전파되며, 드물게 구강-구강 경로로 전파되기도 한다.[3] 온대 기후에서는 여름과 가을에 전파가 최고조에 달하며, 열대 지역에서는 이러한 계절적 차이가 덜 두드러진다.[26] 증상 발현 전후 7~10일 사이에 전염성이 가장 높지만, 바이러스가 침이나 대변에 남아 있는 한 전파가 가능하다. 바이러스 입자는 최대 6주 동안 대변으로 배출될 수 있다.[2]
폴리오바이러스는 입을 통해 신체로 침투하여 인두와 위장관 점막을 감염시킨다. 바이러스 침입은 세포막에 있는 폴리오바이러스 수용체인 CD155에 결합함으로써 이루어진다.[300] 이후 숙주 세포의 내부 소기관들을 통해 복제 및 조립을 시작한다. 폴리오바이러스는 위장관에서 대략 일주일간 증식한 뒤 편도의 배중심에 있는 여포성수상돌기세포로 전파되고, 이후 파이어판, 목심부림프절, 하부장간막 림프절의 M세포 등 위장관 주변 림프절에 감염되어 다시 증식한다. 이후 혈액으로 이동한다.[301]
바이러스가 혈액 속에 존재하는 경우를 바이러스혈증이라 하는데, 이로써 몸 구석구석으로 전파될 수 있다. 폴리오바이러스는 혈액과 림프액 등 순환계통에서 최대 17주까지 생존할 수 있다.[302] 드물게 갈색지방, 단핵식세포 조직, 근육 등에서도 전파되어 증식할 수 있다.[303]
잠복기(노출에서 첫 증상까지)는 비마비성 소아마비의 경우 3~6일, 마비성 소아마비의 경우 7~21일이다.[3]
소아마비 감염 위험을 증가시키는 요인으로는 임신,[31] 고령층과 유아, 면역 결핍,[32] 영양실조 등이 있다.[33]
4. 병태 생리
폴리오바이러스는 입을 통해 신체로 침투하여 인두와 소장 점막의 세포를 감염시킨다. 면역 글로불린 유사 수용체인 CD155 분자에 결합하여 세포 내로 침투하며,[36] 숙주 세포의 기구를 사용하여 복제를 시작한다. 소아마비 바이러스는 위장관 세포 내에서 약 1주일 동안 분열하며, 편도, 장 림프 조직, 깊은 경부 림프절 및 하장간막 림프절로 퍼져나가 증식한다. 이후 바이러스는 혈류로 흡수된다.[37]
바이러스혈증으로 알려진 혈류 내 바이러스의 존재는 신체 전체에 널리 퍼질 수 있게 한다. 소아마비 바이러스는 혈액 및 림프관 내에서 최대 17주까지 생존하고 증식할 수 있다.[38] 소수의 경우, 갈색 지방, 세망내피 조직 및 근육과 같은 다른 부위로 퍼져나갈 수 있다.[39] 이러한 지속적인 복제는 주요 바이러스혈증을 유발하고 경미한 인플루엔자 유사 증상을 유발한다. 드물게는 중추 신경계에 침투하여 국소적 염증 반응을 유발할 수 있다. 대부분의 경우 뇌를 둘러싼 조직층인 수막의 자가 제한적 염증을 유발하며, 이를 비마비성 무균 수막염이라고 한다.[15] 중추 신경계로의 침투는 바이러스에 알려진 이점을 제공하지 않으며, 정상적인 위장관 감염의 부수적인 일탈일 가능성이 매우 높다.[40] 소아마비 바이러스가 중추 신경계로 퍼지는 메커니즘은 잘 알려져 있지 않지만, 주로 우연한 사건인 것으로 보이며, 개인의 나이, 성별 또는 사회경제적 지위와는 크게 관련이 없다.
소아마비는 인간 외에는 다른 종에는 영향을 미치지 않는다.[21] 이 질병은 장 바이러스속의 일원인 소아마비 바이러스(PV)에 감염되어 발생한다. 이 RNA 바이러스 그룹은 인간 위장관[22], 특히 구강 인두와 장에 정착한다. 바이러스 구조는 매우 단순하며, 캡시드라고 하는 단백질 껍질에 싸인 단일 플러스 가닥 RNA 게놈으로 구성된다.[21]
4. 1. 마비성 소아마비
폴리오바이러스는 입을 통해 신체로 침투하여 인두와 위장관 점막을 감염시킨다. 바이러스는 세포막에 있는 폴리오바이러스 수용체인 CD155에 결합하여 세포 내로 침입한다.[300] 이후 숙주 세포의 내부 소기관들을 통해 복제 및 조립을 시작한다. 폴리오바이러스는 위장관에서 증식한 뒤 림프절로 이동하여 다시 증식하고 혈액으로 이동한다.[301]바이러스가 혈액 속에 존재하는 것을 바이러스혈증이라고 하며, 이를 통해 바이러스는 몸 전체로 퍼질 수 있다. 폴리오바이러스는 혈액과 림프액에서 최대 17주까지 생존할 수 있다.[302] 드물게 갈색지방, 단핵식세포 조직, 근육 등에서도 증식할 수 있다.[303] 이는 바이러스혈증을 심화시키고 인플루엔자와 유사한 증상을 유발한다. 매우 드물게 중추신경계통으로 침투한 바이러스는 염증반응을 일으켜 수막염을 유발할 수 있는데, 대부분 비마비성 무균성 수막염으로 나타난다.[304]
"소아마비"라는 용어는 세 가지 혈청형의 소아마비 바이러스 중 하나에 의해 발생하는 질병을 식별하는 데 사용된다. 소아마비 감염의 두 가지 기본적인 패턴은 때때로 유산성 소아마비라고 불리는 중추 신경계를 포함하지 않는 경미한 질병과 마비성 또는 비마비성일 수 있는 CNS를 포함하는 주요 질병이다.[14]
감염의 약 1%에서 소아마비 바이러스는 특정 신경 섬유 경로를 따라 퍼져나가 척수, 뇌간, 또는 운동 피질 내의 운동 신경 세포를 선택적으로 복제하고 파괴한다. 이는 마비성 소아마비로 이어지며, 척수형, 연수형, 연수척수형과 같은 다양한 형태는 발생하는 신경 손상 및 염증의 양과 영향을 받는 중추 신경계의 영역에 따라 달라진다.[41]
신경 세포의 파괴는 척수 신경절 내에 병변을 생성하며, 그물 형성체, 전정 신경핵, 소뇌 벌레, 그리고 심부 소뇌 핵에서도 발생할 수 있다. 신경 세포 파괴와 관련된 염증은 척주의 회백질의 색상과 외관을 변화시켜 붉고 부어 보이게 한다.[15]
마비성 소아마비의 초기 증상에는 고열, 두통, 등과 목의 뻣뻣함, 다양한 근육의 비대칭적 약화, 촉각 민감도, 연하 곤란, 근육통, 얕은 반사 및 심부 반사의 소실, 감각 이상 (따끔거림), 과민성, 변비 또는 배뇨 곤란 등이 있다. 마비는 일반적으로 초기 증상이 시작된 후 1~10일 사이에 발생하며, 2~3일 동안 진행되고, 열이 떨어질 때쯤이면 대개 완전하게 나타난다.[42]
마비성 소아마비가 발생할 가능성은 나이가 들수록 증가하며, 마비의 정도도 커진다. 어린이의 경우 마비는 1,000건당 1건만 발생하지만, 성인의 경우 75건당 1건 발생한다.[43] 5세 미만의 어린이의 경우 한쪽 다리의 마비가 가장 흔하며, 성인의 경우 네 다리 모두 영향을 미치는 사지 마비와 더불어 가슴 및 복부의 광범위한 마비가 더 흔하게 나타난다.[44]
결과 | 사례 비율[5] |
---|---|
증상 없음 | 72% |
경미한 질병 | 24% |
비마비 무균성 수막염 | 1–5% |
마비성 소아마비 | 0.1–0.5% |
— 척수성 소아마비 | 마비 사례의 79% |
— 구척수 소아마비 | 마비 사례의 19% |
— 구마비성 소아마비 | 마비 사례의 2% |
;척수성 소아마비
척수성 소아마비는 마비성 소아마비의 가장 흔한 형태로, 척수 앞뿔 또는 척수의 복측 (전면) 회백질 부위의 운동 신경에 바이러스가 침투하여 발생한다. 이곳은 몸통, 사지, 늑간근의 움직임을 담당하는 부분이다.[46] 바이러스 침투는 신경 세포의 염증을 유발하여 운동 신경 신경절의 손상 또는 파괴로 이어진다. 척수 신경이 죽으면 월러 변성이 일어나, 신경에 의해 지배되던 근육의 쇠약을 유발한다.[47] 신경 세포가 파괴되면 근육은 더 이상 뇌나 척수에서 신호를 받지 못하며, 신경 자극이 없으면 근육은 위축되어 약해지고, 흐물흐물해지며 제대로 조절되지 않다가 결국 완전히 마비된다. 최대 마비는 빠르게 진행되며 (2~4일), 일반적으로 발열과 근육통을 동반한다. 심부 건 반사 또한 영향을 받아 일반적으로 사라지거나 감소하며, 마비된 사지의 감각은 영향을 받지 않는다.[48]
척수 마비의 정도는 경추, 흉부 또는 요추 등 영향을 받는 척수의 부위에 따라 달라진다.[49] 바이러스는 신체의 양쪽 근육에 영향을 미칠 수 있지만, 마비는 더 흔하게 비대칭적으로 나타난다.[37]
;구마비
마비성 소아마비 환자의 약 2%에서 발생하는 구마비는 소아마비 바이러스가 뇌간의 구 영역 내 신경을 침범하여 파괴할 때 발생한다.[5] 구 영역은 대뇌 피질을 뇌간과 연결하는 백색질 경로이다. 이러한 신경의 파괴는 뇌신경에 의해 공급되는 근육을 약화시켜 뇌염 증상을 유발하고, 호흡곤란, 말하기, 연하 곤란을 야기한다.[17] 영향을 받는 중요한 신경은 설인신경, 미주신경, 부신경이다. 삼킴에 미치는 영향으로 인해 점액 분비물이 기도에 축적되어 질식을 유발할 수 있다.[5] 다른 징후 및 증상으로는 안면 마비, 복시, 씹기 어려움, 비정상적인 호흡수, 깊이 및 리듬 (호흡 정지로 이어질 수 있음) 등이 있다. 폐부종 및 쇼크도 가능하며 치명적일 수 있다.[49]
5. 진단
감염의 약 1%에서 소아마비 바이러스는 특정 신경 섬유 경로를 따라 퍼져나가 척수, 뇌간, 또는 운동 피질 내의 운동 신경 세포를 선호적으로 복제하고 파괴하여 마비성 소아마비의 발병으로 이어진다.[41]
신경 세포의 파괴는 척수 신경절 내에 병변을 생성하며, 이는 그물 형성체, 전정 신경핵, 소뇌 벌레, 그리고 심부 소뇌 핵에서도 발생할 수 있다. 신경 세포 파괴와 관련된 염증은 종종 척주의 회백질의 색상과 외관을 변화시켜 붉고 부어 보이게 한다.[15]
마비성 소아마비의 초기 증상에는 고열, 두통, 등과 목의 뻣뻣함, 다양한 근육의 비대칭적 약화, 촉각 민감도, 연하 곤란, 근육통, 얕은 반사 및 심부 반사의 소실, 감각 이상 (따끔거림), 과민성, 변비 또는 배뇨 곤란 등이 있다. 마비는 일반적으로 초기 증상이 시작된 후 1~10일 사이에 발생하며, 2~3일 동안 진행되고, 열이 떨어질 때쯤이면 대개 완전하게 나타난다.[42]
마비성 소아마비 발생 가능성과 마비 정도는 나이가 들수록 증가한다. 어린이의 경우 중추 신경계 침범으로 인해 마비가 아닌 수막염이 가장 흔하게 나타나며, 마비는 1,000건당 1건만 발생한다. 성인의 경우 마비는 75건당 1건 발생한다.[43] 5세 미만 어린이의 경우 한쪽 다리의 마비가 가장 흔하며, 성인의 경우 네 다리 모두 영향을 미치는 사지 마비와 더불어 가슴 및 복부의 광범위한 마비가 더 흔하게 나타난다.[44] 마비율은 감염된 소아마비 바이러스의 혈청형에 따라서도 다르며, 가장 높은 마비율(200건당 1건)은 소아마비 바이러스 1형과 관련이 있고, 가장 낮은 마비율(2,000건당 1건)은 2형과 관련이 있다.[45]
마비성 소아마비 환자의 약 2%에서 발생하는 구마비는 소아마비 바이러스가 뇌간의 구 영역 내 신경을 침범하여 파괴할 때 발생한다.[5] 구 영역은 대뇌 피질을 뇌간과 연결하는 백색질 경로이다. 이러한 신경 파괴는 뇌신경에 의해 공급되는 근육을 약화시켜 뇌염 증상을 유발하고, 호흡곤란, 말하기, 삼키기 어려움을 야기한다.[17] 영향을 받는 중요한 신경은 설인신경 (삼킴을 부분적으로 제어하고 인후, 혀의 움직임, 미각에서 기능), 미주신경 (심장, 내장 및 폐로 신호를 보냄), 부신경 (상부 목의 움직임을 제어)이다. 삼킴에 미치는 영향으로 인해 점액 분비물이 기도에 축적되어 질식을 유발할 수 있다.[5] 다른 징후 및 증상으로는 안면 마비, 복시, 씹기 어려움, 비정상적인 호흡수, 깊이 및 리듬 (호흡 정지로 이어질 수 있음) 등이 있다. 폐부종 및 쇼크도 가능하며 치명적일 수 있다.[49]
마비형 소아마비의 2%를 차지하는 연수 폴리오는 폴리오 바이러스가 뇌간의 연수에서 신경을 침범하고 파괴함으로써 발생한다.[184] 연수 영역은 대뇌 피질을 뇌간으로 연결하는 백질 경로이다. 이 부위의 신경 세포 파괴는 뇌신경에 지배되는 근력을 저하시키고 뇌염 증상을 일으켜 호흡 곤란, 발화 장애, 연하 장애를 초래한다.[188] 이 유형의 소아마비에 의해 영향을 받는 신경으로 중요한 것은 설인신경, 미주신경, 부신경이다. 연하 기능에 미치는 영향으로 인해 점액 분비물의 기도 유입이 증가하여 질식을 초래한다.[213] 다른 징후 및 증상으로는 안면 마비, 복시, 저작 곤란, 호흡수, 호흡 깊이, 호흡 리듬의 이상 등이 있다. 폐부종과 쇼크도 발생할 수 있으며 사망에 이를 수 있다.[220]
임상 증상으로 마비성 소아마비가 의심되는 경우는 환자가 급성으로 탈력 마비를 하나 또는 여러 사지에서 발병하고, 다른 명백한 원인 없이 마비된 사지의 건반사가 감소하거나 소실되며, 지각이나 의식 소실이 없는 경우이다.[222]
일반적으로 실험실적 진단은 분변 시료나 인두 도말액에서 소아마비 바이러스를 분리하는 것으로 이루어진다. 소아마비 바이러스에 대한 항체 역시 진단적 가치가 있으며, 발병 초기 시료와 그로부터 3주 후 시료를 비교하여 역가가 4배 증가했을 경우 소아마비 바이러스 감염이 시사된다. 다만, 입원 시에는 이미 다량의 항체를 검출하는 경우가 있으며, 역가의 증가는 반드시 검출되지 않는다.[184] 요추 천자로 얻을 수 있는 환자의 뇌척수액 분석은 백혈구 수(기본적으로 림프구)의 증가나 단백질 수준의 경미한 증가를 증명한다. 뇌척수액으로부터의 바이러스 분리 또한 마비성 소아마비에 대한 진단적 가치를 가지지만, 드물게 검출된다.[184]
급성 탈력 마비 환자로부터 소아마비 바이러스가 분리된 경우에는 DNA 지문법이나, PCR법에 의한 추가 검사가 이루어지며, 분리된 바이러스가 야생형인지, 아니면 백신주인지를 밝힌다.[223] 야생형 소아마비 바이러스에 의해 발생하는 마비성 소아마비 증례 한 건당, 200~3000명의 감염성을 가진 불현성 보균자가 존재한다고 산출되기 때문에, 바이러스의 감염원을 밝히는 것은 중요하다.[224]
6. 치료
소아마비에 대한 치료법은 없지만, 치료는 존재한다. 현대 치료의 초점은 증상 완화, 회복 속도 향상 및 합병증 예방에 맞춰져 있다. 지지 요법으로는 쇠약해진 근육의 감염을 예방하기 위한 항생제, 통증 완화를 위한 진통제, 적절한 운동 및 영양가 있는 식단 등이 있다.[67] 소아마비 치료에는 작업 치료, 물리 치료, 보조기, 교정 신발 및 경우에 따라 정형외과 수술을 포함한 장기적인 재활이 필요하다.[49]
호흡을 돕기 위해 휴대용 인공호흡기가 필요할 수 있다. 역사적으로, 비침습적 음압 인공호흡기(더 일반적으로는 철폐라고 불리는 장치)가 급성 소아마비 감염 동안 환자가 독립적으로 호흡할 수 있을 때까지(일반적으로 약 1~2주) 인공적으로 호흡을 유지하는 데 사용되었다. 철폐의 사용은 더 현대적인 호흡 치료법이 개발되고[68] 세계 대부분 지역에서 소아마비가 퇴치되면서 현대 의학에서는 거의 사용되지 않는다.[69]
하지의 마비, 길이 차이 및 변형은 보행 시 심각한 보행 패턴 손상을 초래하는 보상 기전을 동반하여 보행에 지장을 줄 수 있다. 안전하게 서서 걸을 수 있고 보행 패턴을 개선하기 위해 보조기를 치료 개념에 포함할 수 있다. 오늘날, 현대적인 재료와 기능적 요소는 환자의 보행에서 발생하는 요구 사항에 맞게 보조기를 특별히 조정할 수 있도록 한다. 기계적 입각기 제어 무릎 관절은 초기 입각기에서 무릎 관절을 고정하고, 유각기가 시작될 때 무릎 굴곡을 위해 다시 해제할 수 있다. 입각기 제어 무릎 관절을 사용한 보조기 치료를 통해 원치 않는 무릎 굴곡에 대한 기계적 보호에도 불구하고 자연스러운 보행 패턴을 얻을 수 있다. 이러한 경우, 안전 기능이 우수하지만 유각기 동안 보행 시 무릎 굴곡을 허용하지 않는 잠금 무릎 관절이 자주 사용된다. 이러한 관절을 사용하면 유각기 동안 무릎 관절이 기계적으로 잠긴다. 잠금 무릎 관절을 사용하는 환자는 유각기 동안에도 무릎을 펴고 다리를 앞으로 흔들어야 한다. 이는 환자가 유각기 동안 신체의 무게 중심을 높이거나(뒤셴 파행) 보조 다리를 옆으로 흔드는(circumduction) 등과 같은 보상 기전을 개발하는 경우에만 작동한다.[86][87][88]
기타 소아마비에 대한 과거 치료법으로는 수치료, 전기 치료, 마사지 및 수동 운동, 그리고 힘줄 연장술 및 신경 이식술과 같은 수술적 치료가 있다.
7. 예방
소아마비는 심할 경우 생명을 잃고, 후유증으로 다리 등의 마비가 올 수 있어 휠체어나 목발을 이용해야 하는 장애인들이 있다. 1950년대 개발된 백신이 보급되면서 2000년대 현재 발생률이 많이 감소하였다. 신경계를 침범하는 바이러스 질환으로 국제사회와 각국은 소아마비 박멸을 위해 노력하고 있다.[299]
소아마비를 퇴치하기 위해 전 세계적으로 두 가지 종류의 백신이 사용되고 있다. 주사로 투여하는 불활성화 폴리오 바이러스와 입으로 투여하는 약독화 폴리오 바이러스가 그것이다. 두 종류 모두 소아마비에 대한 면역을 유도하며, 개인을 질병으로부터 보호하는 데 효과적이다.[54]
불활성화 소아마비 백신(IPV)은 1952년 조너스 소크가 개발했으며, 1955년 4월 12일 세계에 발표되었다.[55] 포르말린으로 화학적으로 불활성화시킨 백신이다.[26] IPV를 두 번 투여(주사)하면, 90% 이상이 세 가지 혈청형의 폴리오 바이러스에 대한 방어 항체를 생성하며, 세 번 투여 후에는 최소 99%가 폴리오 바이러스에 면역을 갖게 된다.[3]
앨버트 새빈은 구강으로 투여할 수 있는 소아마비 백신(경구용 소아마비 백신 - OPV)을 개발했는데, 이는 생체 약독화 바이러스로 구성되어 있다. 새빈의 삼가 OPV를 한 번 투여하면 수용자의 약 50%에서 세 가지 모든 폴리오 바이러스 혈청형에 대한 면역이 생성된다. OPV를 세 번 투여하면 수용자의 95% 이상에서 세 가지 모든 폴리오 바이러스 유형에 대한 방어 항체가 생성된다.[3] 1962년에 허가되어[58] 전 세계적으로 사용되는 유일한 경구용 소아마비 백신이 되었다.[59]
경구용 소아마비 백신은 저렴하고, 투여가 쉬우며, 장에서 우수한 면역을 생성하여 많은 국가에서 소아마비 퇴치를 위한 백신으로 선택되어 왔다.[62] 그러나 매우 드물게, 새빈 OPV의 약독화 바이러스가 마비를 유발할 수 있는 형태로 되돌아갈 수 있다.[63] 대부분의 선진국에서는 소아마비에 대한 유일한 백신 또는 경구용 소아마비 백신과 병용하여 되돌아갈 수 없는 불활성화 소아마비 백신으로 전환했다.[65]
개선된 경구용 백신(신규 경구용 소아마비 백신 2형 - nOPV2)은 2021년에 긴급 허가를 받았으며, 2023년 12월에 정식 허가를 받았다.[66] 이는 기존 경구용 백신보다 유전적 안정성이 더 높으며 독성이 강한 형태로 되돌아갈 가능성이 적다.[66]
경구용 생 폴리오 백신(3가 또는 1가) 또는 불활성화 폴리오 백신(3가) 접종이 유일한 예방법이다. 야생주 유행 시에는 백신이 예방 효과를 발휘한다. 생백신은 약독화된 살아있는 폴리오 바이러스 자체를 접종하여 감염시키기 때문에, 백신 바이러스 감염에 의한 마비성 폴리오 발병이 100만 분의 1의 비율로 발생한다.
폴리오는 바이러스가 중추 신경에 감염됨으로써 발생하므로, 포르말린 처리되어 바이러스가 살아있지 않은 불활성화 백신을 접종해도 폴리오는 발병하지 않는다.[242]
야생주에 의한 폴리오 감염이 사라진 지역 및 국가에서는 마비를 일으키지 않는, 보다 안전한 불활성화 백신으로 전환하고 있다.[243]
일본에서는 2012년 9월 1일에 생 폴리오 백신의 정기 예방 접종이 중단되었고, 단독 불활성화 폴리오 백신이 도입되었으며, 2012년 11월 1일부터는 4종 혼합 백신 (디프테리아·백일해·파상풍·불활성화 폴리오)이 도입되었다. 불활성화 폴리오 백신은 초회 접종 3회, 추가 접종 1회, 총 4회 접종이 필요하다.[244]
폴리오는 1988년 세계 보건 기구(WHO) 총회에서 2000년까지의 근절이 결의되었으나, 2019년 현재 1형과 3형 폴리오는 근절되지 않은 상황이다.[248] WHO가 2020년에 아프리카 대륙에서의 근절을 선언했고, 이 시점에서 야생주에 의한 폴리오 상재국은 파키스탄과 아프가니스탄이 되었다.[271]
일본에서는 후생노동성 검역소가 나이지리아, 파키스탄, 아프가니스탄 및 기타 유행 지역으로의 여행자에게 추가 접종을 권장하고 있다.[245]
또한 일본에서는 1975년부터 1977년에 태어난 사람은 폴리오 3형에 대한 면역 (항체)을 가진 비율이 다른 연령층에 비해 낮기 때문에 국립 감염증 연구소는 유행 지역 여행과 관계없이 재접종을 권장하고 있지만, 백신 접종은 자유 진료의 임의 접종이다.[247]
8. 역학
소아마비는 심할 경우 생명을 잃고, 다리 등의 마비 후유증을 일으켜 휠체어나 목발을 사용하는 장애인들이 있다.[299] 20세기 이전에는 전 세계적으로 토착 질병이었으나,[89] 1950년대 개발된 백신 보급으로 2000년대 현재 발생률이 크게 감소했다.[299] 세계 보건 기구(WHO) 등 국제사회는 소아마비 박멸을 위해 노력하고 있으며, 십여 년 내, 어쩌면 몇 년 내로 천연두처럼 뿌리뽑힐 것으로 기대하고 있다.[299]
19세기 동안 위생과 청결이 개선되면서 집단 면역 수준이 감소하여 소아마비 유행이 빈번해졌고, 매년 50만 명 이상이 사망하거나 마비되었다.[91][92] 1950년대 중반 백신 사용 이후 많은 산업 국가에서 발생 건수가 급격히 감소했으며,[93] 1988년부터 질병 근절 노력이 진행 중이다.[97]
계절적으로는 여름부터 가을에 걸쳐 많이 발생한다. 1961년부터 폴리오 백신의 예방 접종이 실시되고 있다. 일본에서는 1980년에 야생주에 의한 폴리오 감염이 근절되었으며, 그 후에는 정기 접종으로 이루어지는 경구 생 폴리오 백신(OPV)으로부터만 발병하고 있지만, 세계에서는 파키스탄과 아프가니스탄이 유행 지역이다.[271]
소아마비는 1988년에는 세계 125개국에서 연간 35만 건이 발생했지만, 일본을 포함한 국제 사회의 노력으로 2009년에는 약 1600건으로 감소했다. 이후 연도별 발생 건수는 다음과 같다.
연도 | 발생 건수 |
---|---|
2010년 | 1349건 |
2011년 | 650건 |
2012년 | 223건 |
2013년 | 385건 |
2014년 | 359건 |
2015년 | 71건 |
2016년 | 37건[251] |
2017년 | 22건[252] |
2018년 | 33건[253] |
2020년 현재, 소아마비 상재국은 파키스탄, 아프가니스탄 2개국뿐이며,[271] 근절을 위한 최종 단계에 들어섰다.
8. 1. 대한민국
1950년, 윌리엄 해먼은 피츠버그 대학교에서 소아마비 생존자의 혈장에서 감마 글로불린 성분을 정제했다.[51] 해먼은 소아마비 바이러스에 대한 항체를 포함하는 감마 글로불린이 소아마비 바이러스 감염을 중단시키고, 질병을 예방하며, 소아마비에 걸린 다른 환자들의 질병 심각도를 줄이는 데 사용될 수 있다고 제안했다. 대규모 임상 시험 결과는 긍정적이었다. 감마 글로불린은 마비성 소아마비 발병을 예방하는 데 약 80%의 효과가 있는 것으로 나타났으며,[52] 소아마비에 걸린 환자들의 질병 심각도를 줄이는 것으로도 나타났다.[51] 그러나 혈장 감마 글로불린의 공급이 제한적이어서 널리 사용하기에는 비실용적이라고 판단되었고, 의료계는 소아마비 백신 개발에 집중했다.[53]급성 회백수염의 마비는 대부분 일시적이다.[189] 마비되었던 근육에 대한 신경 자극은 1개월 이내에 회복되며, 통상 6~8개월에 완전히 회복된다.[227] 마비형 급성 회백수염의 회복에 관한 신경생리학적 과정은 완전히 효과적이어서, 원래의 운동 뉴런이 절반 소실되었더라도 근육은 정상적인 기능을 유지할 수 있다.[232] 감염 후 12~18개월 후에도 근력이 약간 회복될 수도 있지만, 마비가 1년 이상 지속되는 경우에는 영구적인 마비가 되는 것으로 보인다.[227]
소아마비로부터의 회복과 관련된 수복 기전 중 하나는 신경 종말단의 발아이다. 이 기전을 통해 뇌간 및 척수의 운동 뉴런은 새로운 분지 및 축삭 발아를 구축한다.[233] 새로운 분지는 소아마비 감염의 급성기에 신경 지배를 잃은 근섬유에 다시 신경 자극을 줄 수 있으며,[234] 근섬유는 수축 능력을 회복하여 강도를 개선할 수 있게 된다.[235] 종말단의 발아는 여러 개의 현저하게 비대한 운동 뉴런을 생성하며, 비대해진 운동 뉴런은 이전의 4~5배의 일을 수행한다.[214] 예를 들어, 어떤 운동 뉴런이 원래 200개의 근섬유를 지배하고 있었다면, 그 운동 뉴런은 800~1000개의 근섬유를 지배하게 된다. 재활 단계에서 발생하며, 근력의 복원에 기여하는 다른 회복 기전으로는 운동에 의한 근섬유 비대와, II형 근섬유의 I형 근섬유로의 변환이 있다.[234][236]
이러한 생리학적 과정 외에도, 생체는 마비 후유증을 가지고 있더라도 기능을 유지하기 위해 많은 보상 기전을 가지고 있다. 보상 기전에는 약한 근육을 본래의 수축 능력을 넘어서 사용하거나, 원래 잘 사용하지 않던 근육의 운동 능력을 성장시키는 것이 있다.[236]
8. 2. 세계 현황
20세기 이전에는 소아마비가 전 세계적으로 토착 질병이었다.[89] 소아마비 감염에서 살아남은 어머니는 자궁 내에서, 모유를 통해 아기에게 일시적인 면역력을 전달했다.[90] 소아마비에 노출된 유아는 가벼운 증상만 겪고 장기적인 면역력을 얻었다.[91] 19세기 위생과 청결 개선은 인구의 전반적인 집단 면역 수준을 감소시켜 소아마비 유행이 빈번해지는 상황을 초래했다.[91] 유행성 소아마비는 매년 50만 명 이상을 사망시키거나 마비시킨 것으로 추정된다.[92]1950년대 중반 소아마비 바이러스 백신이 널리 사용된 이후, 많은 산업 국가에서 소아마비 신규 발생 건수가 급격히 감소했다.[93] 1988년 세계 보건 기구, 유니세프, 로터리 재단의 주도로 세계 소아마비 퇴치 계획이 시작되었다.[97] 2012년 4월, 세계 보건 총회는 소아마비의 완전한 퇴치 실패는 세계 공중 보건에 대한 프로그램적 비상 사태가 될 것이라고 선언했다.[102]
이러한 노력으로 1988년 추정 350,000건에서 2001년 483건으로 사례 수가 크게 감소했으며, 이후 수년간 연간 약 1,000~2,000건 수준을 유지했다.[103][104] 2015년까지 소아마비는 자연적으로 확산되는 것이 파키스탄과 아프가니스탄 두 국가에만 남아있는 것으로 여겨졌지만,[138][105] 숨겨지거나 재발된 전파로 인해 다른 인접 국가에서 계속 발생했다.[106]
경구용 소아마비 백신은 매우 효과적이지만, 약독화된 생바이러스를 포함하고 있다는 단점이 있다. 백신 바이러스는 변을 통해 배설되며, 면역력이 낮은 지역 사회에서는 사람 간에 전파될 수 있는데, 이를 '''순환 백신 유래 소아마비 바이러스'''(cVDPV) 또는 '''변이 소아마비 바이러스'''라고 한다.[13][94] 이러한 종류의 장기간 전파를 통해 약화된 바이러스는 돌연변이를 일으켜 질병과 마비를 유발하는 형태로 되돌아갈 수 있다. 현재 cVDPV의 사례가 자연형 사례를 초과함에 따라, 가능한 한 안전하게 경구용 소아마비 백신의 사용을 중단하고 대신 다른 유형의 소아마비 백신을 사용하는 것이 바람직하다.[13][95]
소아마비에 대한 세계적인 감시는 이완성 마비 (AFP) 환자 검사와 환경 및 하수 감시 샘플을 통해 이루어진다.[107]
야생 소아마비 사례가 남아 있는 마지막 지역은 아시아 국가 아프가니스탄과 파키스탄이다.[114] 2011년 CIA는 오사마 빈 라덴의 위치를 파악하기 위해 파키스탄, 아보타바드에서 가짜 B형 간염 예방 접종소를 운영하여 해당 지역 예방 접종 프로그램에 대한 신뢰를 무너뜨렸다.[115][116] 2013년과 2014년에 66명의 예방 접종 요원이 사망했고,[117][123] 아프가니스탄에서는 탈레반이 2018년부터 2021년까지 가가호호 소아마비 예방 접종을 금지했다.[118] 이러한 요인들은 이들 국가에서 예방 접종을 통한 소아마비 퇴치 노력을 후퇴시켰다.[119]
아프가니스탄에서는 2011년 35개 지역에서 80건의 소아마비 사례가 보고되었으나, 2021년에는 2개 지역에서 4건으로 감소했다.[120][121] 파키스탄에서는 2014년부터 2018년까지 사례가 97% 감소했는데,[122] 아랍에미리트의 지원,[123][124] 군사 상황 변화, 소아마비 요원을 공격한 일부 인물들의 체포 등이 그 이유이다.[125][126]
아메리카는 1994년에 소아마비 청정 지역으로 선언되었고,[127] 마지막 발병 사례는 1991년 페루에서 발생했다.[128] 미국 질병통제예방센터(CDC)는 여행객과 해당 질병이 유행하는 국가에 거주하는 사람들에게 소아마비 백신 부스터 접종을 권장한다.[129] 2022년 7월, 미국 뉴욕주는 거의 10년 만에 처음으로 소아마비 발병 사례를 보고했으며, 백신 유래 바이러스 균주에 기인한 것으로 알려졌다.[130]
2000년, 소아마비는 중국과 호주를 포함한 서태평양 지역 37개 국가에서 공식적으로 퇴치된 것으로 선언되었다.[131][132] 2011년 9월에 파키스탄에서 흔한 바이러스 균주와 관련된 유행이 중국에서 확인되었다.[133] 2019년 9월, 필리핀 보건부는 3세 소녀의 단일 사례 발생 후 필리핀에서 소아마비 발생을 선언했다.[134] 2019년 12월, 사바 주, 보르네오, 말레이시아에서 영아의 급성 소아마비가 확인되었고,[135] 이후 3건의 추가 소아마비 사례가 보고되었으며, 마지막 사례는 2020년 1월에 보고되었다. 두 유행 모두 백신 유래 소아마비의 관련 사례로 밝혀졌다.[136]
유럽은 2002년에 소아마비 청정 지역으로 선언되었다.[137]
2014년 3월 27일, 세계 보건 기구(WHO)는 방글라데시, 부탄, 조선민주주의인민공화국, 인도, 인도네시아, 몰디브, 미얀마, 네팔, 스리랑카, 태국, 동티모르 등 11개 국가가 포함된 동남아시아 지역에서 소아마비 퇴치를 선언했다.[138] 이 지역의 추가로 인해 세계 인구의 80%가 소아마비가 없는 지역에 살고 있는 것으로 간주되었다.[138]
시리아에서는 진행 중인 시리아 내전으로 인해 예방 접종 프로그램 실행에 어려움이 발생하여 2012년경 소아마비가 재발했으며,[139] 2013년 WHO에 의해 인정되었다.[140][141] 2013년 10월부터 11월 사이에 데에르에조르에서 15건의 소아마비 사례가 어린이들에게서 확인되었다. 이후, 다마스쿠스와 알레포 교외에서 각각 1건씩, 2건의 사례가 더 확인되었다. 이는 1999년 이후 시리아에서 발생한 첫 번째 발병이었다. 의사와 국제 공중 보건 기구는 위생 및 안전한 물 공급 부족으로 반군 지역에서 전염에 대한 우려와 함께 시리아에서 90건 이상의 소아마비 사례를 보고했다.[142] 시리아에서의 예방 접종 캠페인은 총격전 속에서 진행되었고 여러 예방 접종 담당자가 사망했지만,[143] 전쟁 이전 수준으로 예방 접종 범위를 회복했다.[144] 시리아는 현재 소아마비가 없는 상태이지만, "위험" 상태로 간주된다.[145]
2024년, 가자 보건부는 여러 어린이들이 소아마비와 일치하는 증상을 보였다고 보고했으며, 실험 검사 결과 10개월 된 어린이가 바이러스에 감염된 것으로 확인되었다.[146] 2022년, 이스라엘-하마스 분쟁 이전에는 예방 접종 대상 어린이의 일상적인 예방 접종 보급률이 99%를 초과했지만, 세계 보건 기구(WHO)에 따르면 2024년 1분기에는 90% 미만으로 떨어졌다.[147] 유엔 사무총장 안토니우 구테흐스는 예방 접종을 촉진하고 잠재적인 소아마비 발병을 예방하기 위해 가자 지구에서 일주일간의 휴전을 촉구했으며, 많은 어린이들이 직면한 위험을 강조했다.[148]
2003년, 나이지리아 북부에서 소아마비 백신이 아이들을 불임으로 만들도록 설계되었다는 파트와가 발표되었다.[149] 그 후, 소아마비가 나이지리아에서 재발하여 다른 여러 국가로 확산되었다. 2013년, 소아마비 백신을 투여하던 9명의 보건 요원이 카노에서 오토바이를 탄 무장 괴한들의 공격을 받아 사망했지만, 이것이 유일한 공격이었다.[150][151] 지역 전통 및 종교 지도자들과 소아마비 생존자들은 캠페인을 부활시키기 위해 노력했고,[152] 나이지리아는 1년 이상 사례가 발생하지 않아 2015년 9월에 소아마비 발생 국가 목록에서 제외되었지만,[153] 2016년 두 건의 사례가 발견되면서 목록에 다시 추가되었다.[154]
아프리카는 2020년 8월 야생 소아마비에서 해방되었다고 선언되었지만, 순환 백신 유래 2형 소아마비 바이러스 사례가 여러 국가에서 계속 나타나고 있다.[155] 2022년 2월 말라위에서, 그리고 2022년 5월 모잠비크에서 발견된 야생 소아마비의 단일 사례는 모두 파키스탄에서 수입된 균주로, 아프리카 지역의 야생 소아마비 미발생 인증 상태에는 영향을 미치지 않는다.[156][157]
9. 역사
소아마비는 심할 경우 생명을 잃고, 후유증으로 다리 등의 마비가 올 수 있어 장애인들은 휠체어나 목발을 이용해야 한다. 소아가 흔히 걸렸기 때문에 소아마비라는 이름이 붙었다. 1950년대 개발된 백신이 보급되면서 2000년대 이후 발생률이 크게 감소했다. 국제사회는 소아마비 박멸을 위해 노력하고 있으며, 천연두처럼 곧 뿌리뽑힐 것으로 기대하고 있다.[299]
'소아마비'라는 용어는 고대 그리스어로 "회색"을 의미하는 πολιός|폴리오스grc와 "골수"를 의미하는 µυελός|미엘로스grc, 즉 척수의 회색질을 가리키며, -itis 접미사는 염증을 나타낸다.[15] 척수의 회색질 염증을 의미하는 이 단어는 1874년 독일 의사 아돌프 쿠스마울에 의해 처음 사용되었으며,[19] 1911년 ''인디애나폴리스 스타''에서 '소아마비'라는 약어가 처음 기록되었다.[20]
소아마비는 소아마비 바이러스(PV)에 감염되어 발생하며, 이 바이러스는 인간 위장관,[22] 특히 구강 인두와 장에 정착한다. 소아마비 바이러스는 세 가지 혈청형(WPV1, WPV2, WPV3)으로 나뉘며, 모두 독성이 강하고 동일한 증상을 일으킨다.[23] WPV1이 가장 흔하고 마비와 관련이 깊으며,[24] WPV2는 2015년, WPV3는 2019년에 박멸되었다.[25] 잠복기는 비마비성 소아마비의 경우 3~6일, 마비성의 경우 7~21일이다.[3]
소아마비의 영향은 선사 시대부터 알려져 있었다. 고대 이집트의 그림과 조각에는 쇠약해진 사지를 가진 사람들, 지팡이를 짚고 걷는 어린 아이들이 묘사되어 있다.[158] 가장 초기의 사례는 아랍에미리트에서 발견된 4000년 전 소녀의 유해에서 발견되었다.[159] 1789년 영국의 의사 마이클 언더우드가 최초로 임상적 설명을 제공했으며,[160] 1840년 야코프 하이네와 1890년 카를 오스카 메딘의 연구로 '하이네-메딘병'으로 알려지게 되었다.[161] 이후 어린이에게 주로 영향을 미쳐 '소아마비'라고 불렸다.[162]
19세기까지 소아마비는 토착 질병이었으며,[89] 소아마비 감염에서 살아남은 어머니는 아기에게 일시적인 면역력을 전달했다.[90] 그러나 19세기 위생 개선으로 집단 면역 수준이 감소하면서 소아마비 유행이 빈번해졌다.[91] 20세기 이전에는 6개월 미만 영아에게 드물었으나, 19세기 후반과 20세기 초 위생 개선으로 어린 시절 노출과 면역력이 감소하여 마비성 소아마비 감염 위험이 있는 어린이와 성인 비율이 증가했다.[163]
1900년경 유럽과 미국에서 국소적인 소규모 유행이 시작되었고,[164] 20세기 전반기에는 유럽, 북미, 호주, 뉴질랜드에서 팬데믹 수준으로 발생했다. 1950년까지 미국의 발병 최고 연령은 5~9세로 높아졌고, 사례의 약 3분의 1이 15세 이상이었다.[165] 1952년 미국 소아마비 유행은 최악의 발병으로, 58,000건 중 3,145명이 사망하고 21,269명이 마비되었다.[166] 중환자 의학은 소아마비와의 싸움에서 시작되었으며,[167] 1952년 덴마크 코펜하겐의 Blegdam 병원에서 비요른 입센이 설립한 호흡 센터는 현대 중환자실(ICU)의 전신이었다.[168]
소아마비 유행은 풀뿌리 기금 모금 캠페인을 촉진하고 물리 치료 영역을 창출하는 등 문화적 변화를 가져왔다. 소아마비 생존자들은 장애인 권리 운동을 발전시키는 데 기여했다. 1957년 미국 조지아주 웜스프링스에는 소아마비 명예의 전당이 헌정되었다.[172] 세계 소아마비의 날(10월 24일)은 조나스 소크의 탄생을 기념하기 위해 로터리 인터내셔널에 의해 제정되었다.[174]
글로벌 소아마비 퇴치 이니셔티브(GPEI)는 1988년 세계 보건 기구, 유니세프, 로터리 재단의 주도로 시작되어[97] 현재까지 진행 중이다.[174] GPEI의 노력으로 소아마비는 전 세계적으로 99% 감소했다.[174] 2021년에는 1형 사례가 파키스탄과 아프가니스탄에 남아 있었으며,[176] 대부분의 국가는 소아마비를 근절했다.[177] 2024년 4월 현재 소말리아, 지부티, 수단 등 여러 국가가 소아마비가 없는 것으로 간주되었지만 확인되지 않았다.[177]
일본에서는 1910년대, 1920년대, 1930년대 후반부터 1940년대 후반, 1951년 등에 소아마비가 유행했으며, 1960년에는 홋카이도를 중심으로 5,000명 이상의 환자가 발생했다. 1961년 소비에트 연방에서 경구 생백신(OPV)을 긴급 수입하여 일제 투여함으로써 유행이 종식되었다. 1963년부터는 일본산 OPV 2회 투여 정기 접종이 이루어졌다. 1981년 이후 야생형 소아마비 발생은 없으며, 2000년 WHO에 소아마비 근절을 보고했다.[273]
일본에서는 1980년 이후 야생형 소아마비 환자는 없지만, 경구 생백신 접종으로 드물게 마비가 발생하기도 하며, 백신주 유래 바이러스에 의한 환자 발생도 보고된다.[186] 2008년 3월까지 생백신 접종 후 마비가 인정된 사례는 80건, 이차 감염으로 인정된 사례는 5건이다.[275] 이러한 문제로 불활성화 백신 재도입 요구가 높아졌으며,[276] 2012년 9월 1일 단독 불활성화 소아마비 백신이 도입되었고, 11월 1일부터는 4종 혼합 백신(디프테리아·백일해·파상풍·불활성화 소아마비)이 도입되었다.[244]
일본은 1997년 WHO 서태평양 지역 소아마비 근절[277] 경험을 바탕으로 세계 소아마비 근절에 기여해 왔다. 2011년 8월, 일본 정부는 빌 & 멜린다 게이츠 재단과의 파트너십 하에 약 50억 엔의 소아마비 근절 지원을 발표했다. 이는 파키스탄 정부가 성과를 내면 게이츠 재단이 대신 채무를 변제하는 "론 컨버전" 방식으로, 파키스탄 정부의 부담 없이 소아마비 근절을 지원한다.[278]
9. 1. 소아마비와 관련된 인물

- 일본사회당 위원장이며 요코하마 시장을 역임한 아스카타 가즈오
- 중성미자 연구로 2002년 노벨 물리학상을 수상한 고시바 마사토시
- 재활을 위한 일본 무용으로 이끌려 가부키의 명여성 배역이 된 5대 반도 타마사부로
- 1960년 로마 올림픽에서 여자 단거리 3종목(100m, 200m, 400mR)에서 금메달을 획득한 윌마 루돌프
- 유니버설 디자인을 창안한 로널드 메이스
- 바이올리니스트이자 지휘자인 이츠하크 펄먼
- 제32대 미국 대통령 프랭클린 D. 루스벨트 - 1921년 소아마비에 걸려 자신의 마비 증상 치료를 위해 1926년 조지아 주의 온천에 토지를 구입하여 "리틀 화이트 하우스"라는 별장을 짓고 1945년 4월 그곳에서 사망했다.[282] 후유증으로 하반신이 거의 마비되었으나, 장애인 지원에 적극적이었으며, 대통령 취임 후 국립 소아마비 재단(''the National Foundation for Infantile Paralysis'')[283]을 설립하여 모금 활동을 벌였다. 사후 웜 스프링스에는 재활원이 건립되었다.[282] 2003년에는 소아마비가 아닌 길랭-바레 증후군이었다는 보고가 있었다.[284]
10. 합병증
심할 경우 생명을 잃고, 후유증으로 다리 등의 마비가 오기 때문에 소아마비 장애인들은 휠체어나 목발을 이용해야 한다.[299] 소아마비 바이러스 감염의 결과는 다음과 같다.
결과 | 사례 비율[5] |
---|---|
증상 없음 | 72% |
경미한 질병 | 24% |
비마비 무균성 수막염 | 1–5% |
마비성 소아마비 | 0.1–0.5% |
— 척수성 소아마비 | 마비 사례의 79% |
— 구척수 소아마비 | 마비 사례의 19% |
— 구마비성 소아마비 | 마비 사례의 2% |
1,000건 중 약 1~5건은 근육이 약해지고, 헐렁해지고, 제대로 제어되지 않고, 마침내 완전히 마비되는 이완성 마비로 진행된다. 마비 부위에 따라 마비성 소아마비는 척수성, 숨뇌, 또는 구척수성으로 분류된다. 마비가 발생하는 사람들의 경우, 마비가 호흡 근육에 영향을 미치면서 2~10%가 사망한다.[11]
뇌염은 드문 경우에 발생할 수 있으며, 일반적으로 유아에게 제한된다. 이는 혼란, 정신 상태의 변화, 두통, 발열 및 덜 일반적으로 발작 및 경직성 마비로 특징지어진다.[18]
마비성 소아마비의 초기 증상에는 고열, 두통, 등과 목의 뻣뻣함, 다양한 근육의 비대칭적 약화, 촉각 민감도, 연하 곤란, 근육통, 얕은 반사 및 심부 반사의 소실, 감각 이상(따끔거림), 과민성, 변비 또는 배뇨 곤란 등이 있다. 마비는 일반적으로 초기 증상이 시작된 후 1~10일 사이에 발생하며, 2~3일 동안 진행되고, 열이 떨어질 때쯤이면 대개 완전하게 나타난다.[42]
마비성 소아마비가 발생할 가능성과 마비의 정도는 나이가 들수록 증가한다. 어린이의 경우 중추 신경계의 침범으로 인해 마비가 아닌 수막염이 가장 흔하게 나타나며, 마비는 1,000건당 1건만 발생한다. 성인의 경우 마비는 75건당 1건 발생한다.[43] 5세 미만의 어린이의 경우 한쪽 다리의 마비가 가장 흔하며, 성인의 경우 네 다리 모두 영향을 미치는 사지 마비와 더불어 가슴 및 복부의 광범위한 마비가 더 흔하게 나타난다.[44] 마비율은 감염된 소아마비 바이러스의 혈청형에 따라서도 다르며, 가장 높은 마비율(200건당 1건)은 소아마비 바이러스 1형과 관련이 있고, 가장 낮은 마비율(2,000건당 1건)은 2형과 관련이 있다.[45]
소아마비의 많은 사례는 일시적인 마비만을 초래한다. 일반적으로 이러한 경우, 신경 임펄스는 마비된 근육으로 한 달 이내에 돌아오고, 6~8개월 이내에 회복이 완료된다.[70] 회복과 관련된 한 가지 메커니즘은 신경 말단 싹트기인데, 이는 남아있는 뇌간 및 척수 운동 신경 세포가 새로운 가지 또는 축삭 싹을 개발하는 것이다.[76] 이러한 싹은 급성 소아마비 감염으로 신경 지배를 잃은 고아 근육 섬유를 재신경지배할 수 있으며,[77] 섬유의 수축 능력을 회복하고 강도를 개선한다.[83]
불완전형 소아마비나 무균성 수막염만으로 끝나는 경우, 환자는 완전히 회복된다. 증상은 2일에서 10일 동안 지속된다.[227] 척수성 소아마비의 경우, 소아마비 바이러스의 영향을 받은 신경 세포가 완전히 파괴되면 마비는 영구적이다. 반면에 신경 세포가 파괴되지 않고 일시적인 기능 부전에 빠진 경우에는 발병 후 4~6주에 회복된다.[227] 척수성 소아마비 환자의 절반은 완치되고, 4분의 1은 경미한 장애를 가지며, 나머지 4분의 1은 중증 장애가 남는다.[228]
호흡 보조가 없는 경우, 질식이나 분비물 흡입에 의한 폐렴으로 사망할 수 있다.[229] 마비형 소아마비 환자 전체의 5~10%는 호흡근 마비로 인해 사망한다. 치사율은 연령에 따라 다르며, 소아는 2~5%, 성인은 15~30%가 사망한다.[184] 연수성 소아마비는 호흡 보조가 없으면 종종 죽음을 초래한다.[221]
마비성 소아마비의 후유증으로는 근육의 불완전 마비와 마비로 인한 골격 변형, 관절 구축, 운동 장애 등이 있다. 사지 근육이 탈력 상태에 빠지면 다른 근육의 기능까지 방해하여 첨족(내반족과 유사한 상태)과 같은 변형을 유발할 수 있다. 첨족은 발가락을 아래로 내리는 근육(저굴)이 작용하는 반면, 발가락을 들어 올리는 근육(배굴)이 작용하지 않을 때 발생하며, 발이 자연스럽게 아래로 처진다. 치료하지 않으면 아킬레스건이 수축하여 발을 정상 위치에 놓을 수 없게 된다. 내반족이 된 소아마비 환자는 뒤꿈치를 땅에 댈 수 없어 정상적인 보행이 불가능하다. 팔의 마비에서도 유사한 현상이 발생할 수 있다.[237] 소아마비의 영향으로 다리의 성장이 저해되어 한쪽 다리가 다른 쪽 다리에 비해 짧아지고, 환자는 한쪽으로 기울어진 채 다리를 끌게 되며, 척추 측만증과 같은 척추 변형으로 이어질 수 있다.[237]
11. 연구
파비성 마비의 잔여 합병증은 종종 초기 회복 과정 이후에 발생한다.[40] 근육 불완전 마비 및 마비는 때때로 골격 변형, 관절 뻣뻣함, 그리고 운동 장애를 초래할 수 있다. 사지 근육이 늘어지면 다른 근육의 기능에 방해가 될 수 있다. 이러한 문제의 전형적인 징후는 첨족(만곡족과 유사)이다. 이 기형은 발가락을 아래로 당기는 근육은 작동하지만 위로 당기는 근육은 작동하지 않아 발이 자연스럽게 땅을 향해 떨어지는 경향이 있을 때 발생한다. 이 문제를 치료하지 않고 방치하면 발 뒤쪽의 아킬레스건이 수축되어 발이 정상적인 위치를 유지할 수 없게 된다. 첨족이 발생한 소아마비 환자는 발뒤꿈치를 땅에 댈 수 없기 때문에 제대로 걷지 못한다. 팔이 마비될 경우에도 비슷한 상황이 발생할 수 있다.[79]
어떤 경우에는 소아마비로 인해 영향을 받은 다리의 성장이 늦어지는 반면, 다른 다리는 정상적으로 계속 성장한다. 그 결과 한쪽 다리가 다른 쪽 다리보다 짧아지고, 그 사람은 절뚝거리며 한쪽으로 기울게 되어 척추 변형(예: 척추 측만증)을 유발한다.[40] 골다공증과 골절 가능성이 증가할 수 있다. 다리 길이 불균형을 예방하거나 줄이기 위한 중재는 원위 대퇴골 및 근위 경골/비골 과에 성장판 유합술을 실시하여 사지의 성장을 인위적으로 억제하고, 성장판이 닫힐 때까지 다리 길이가 더 균등하게 맞추는 것이다. 또는 다리 길이 차이를 보정하는 맞춤형 신발을 착용할 수 있다. 근육의 길항근/주동근 불균형을 재조정하는 다른 수술도 도움이 될 수 있다. 장기간의 보조기 또는 휠체어 사용은 신경 압박 증후군과 마비된 하지에 혈액이 고여 정맥의 적절한 기능을 상실하게 할 수 있다.[80][81] 폐, 신장 및 심장과 관련된 장기간의 부동으로 인한 합병증으로는 폐부종, 흡인성 폐렴, 요로 감염, 신장 결석, 마비성 장폐색, 심근염 및 폐성 심장증이 있다.[40][81]
2018년 이후, 세계 소아마비 퇴치 계획(GPEI)은 소아마비 퇴치와 감시 및 예방 방법 개선 연구 노력을 조정해 왔다. 사업이 절정에 달했을 때, 이 프로그램은 75개국에서 4,000명을 직접 고용했으며, 예산은 거의 10억달러에 달했다.[178]
2021년 기준으로, GPEI는 180억달러의 기금을 조성했으며,[179] 연간 기부금은 약 8억달러에서 10억달러였다. 기금의 약 30%는 빌 & 멀린다 게이츠 재단에서, 30%는 선진국 정부에서, 27%는 소아마비 위험 국가에서, 나머지는 비영리 단체, 민간 기부자 및 기타 재단의 기부금으로 충당되었다.[180]
GPEI는 지속적인 연구를 위해 다음과 같은 여섯 가지 방향을 제시했다:[181]
- 경구용 소아마비 백신 효능 최적화
- 저렴한 불활성화 소아마비 백신 개발
- 백신 유래 소아마비 바이러스 및 백신 관련 마비성 소아마비와 관련된 위험 관리 (OPV 중단을 포함)
- 항바이러스제
- 소아마비 진단
- 감시 연구
소아마비를 전 세계 인구에서 퇴치할 수 있더라도, 예방 접종 프로그램은 최소 10년 동안 지속되어야 한다.[182] 연구실과 백신 제조 시설에 보관된 생 소아마비 바이러스 샘플 (바이러스 유출 위험이 있음)은 점진적으로 줄여야 한다. 이 두 가지 목표를 지원하기 위해, 바이러스 유사 입자를 사용하거나, 인간 숙주 내에서 번식할 수 없는 변형된 바이러스에서 파생된 백신이 개발 중이다.[182]
참조
[1]
웹사이트
This page allows you to request a table with AFP/polio data
https://extranet.who[...]
2023-05-03
[2]
웹사이트
Disease factsheet about poliomyelitis
https://www.ecdc.eur[...]
2013-03-26
[3]
서적
Epidemiology and Prevention of Vaccine-Preventable Diseases (The Pink Book)
https://www.cdc.gov/[...]
Centers for Disease Control and Prevention
[4]
웹사이트
Post-Polio Syndrome Fact Sheet
http://www.ninds.nih[...]
NIH
2014-04-16
[5]
웹사이트
What is Polio?
https://www.cdc.gov/[...]
2022-03-29
[6]
서적
A Treatise on the Diseases of Children
https://archive.org/[...]
J. Mathews
1789
[7]
서적
Polio
https://books.google[...]
University of Rochester Press
1999
[8]
논문
Übertragung der Poliomyelitis acuta auf Affen
https://babel.hathit[...]
1909
[9]
서적
Science and practice of pediatric critical care medicine
https://books.google[...]
Springer
2009
[10]
웹사이트
Poliomyelitis
https://www.who.int/[...]
[11]
웹사이트
Poliomyelitis: Key facts
https://www.who.int/[...]
World Health Organisation
2019-07-22
[12]
웹사이트
Global Wild Poliovirus 2016 - 2022
https://polioeradica[...]
2023-01-03
[13]
웹사이트
Polio Vaccine: Vaccine-Derived Poliovirus
https://www.cdc.gov/[...]
2022-05-06
[14]
논문
Late functional loss in nonparalytic polio
[15]
서적
The Gale Encyclopedia of Neurological Disorders
https://archive.org/[...]
Thomson Gale
[16]
웹사이트
What is Polio?
https://www.cdc.gov/[...]
2022-03-29
[17]
서적
The late effects of Polio: Information For Health Care Providers.
http://www.health.ql[...]
Commonwealth Department of Community Services and Health
[18]
서적
Principles of Critical Care
https://archive.org/[...]
McGraw-Hill Professional
[19]
웹사이트
Definition of POLIOMYELITIS
https://www.merriam-[...]
[20]
웹사이트
Polio, n. meanings, etymology
https://www.oed.com/[...]
2024-04-09
[21]
서적
Sherris Medical Microbiology
https://archive.org/[...]
McGraw Hill
[22]
서적
Harrison's Principles of Internal Medicine
McGraw-Hill Professional
[23]
서적
Krugman's infectious diseases of children
https://archive.org/[...]
Mosby
[24]
논문
Polio: Will We Soon Vanquish an Old Enemy?
http://www.medscape.[...]
[25]
웹사이트
Two out of three wild poliovirus strains eradicated
https://www.who.int/[...]
[26]
논문
Vaccine-derived polioviruses and the endgame strategy for global polio eradication
https://zenodo.org/r[...]
[27]
논문
Nonpoliovirus poliomyelitis simulating Guillain-Barré syndrome
2001-09
[28]
논문
Polio vaccines: WHO position paper – March, 2016
2016
[29]
웹사이트
What is vaccine-derived polio?
https://www.gavi.org[...]
[30]
웹사이트
GPEI-Vaccine-Derived Polioviruses
https://polioeradica[...]
[31]
논문
Factors influencing the occurrence of illness during naturally acquired poliomyelitis virus infections
1960-12
[32]
웹사이트
Polio and the late effects of polio
https://www.betterhe[...]
Department of Health, State Government of Victoria, Australia
[33]
논문
Reduced secretory antibody response to live attenuated measles and poliovirus vaccines in malnourished children
1975-06
[34]
서적
'Chapter 26:Poliomyelitis. ''in:'' Immunisation Against Infectious Disease, 2006'
http://www.immunisat[...]
Stationery Office
[35]
논문
Antibodies against vaccine-preventable diseases in pregnant women and their offspring in the eastern part of Germany
2002-03
[36]
논문
Complexes of poliovirus serotypes with their common cellular receptor, CD155
2003-04
[37]
서적
Baron's Medical Microbiology
Univ of Texas Medical Branch
[38]
웹사이트
Polio
http://textbookofbac[...]
University of Wisconsin – Madison
2007-04-23
[39]
논문
Pathogenesis of poliomyelitis; reappraisal in the light of new data
1956-06
[40]
논문
Poliovirus and poliomyelitis: a tale of guts, brains, and an accidental event
2005-08
[41]
논문
Post-Polio Syndrome Revisited
2023-06
[42]
서적
Polio
https://archive.org/[...]
Enslow Publishers
[43]
논문
Post-polio syndrome: pathophysiology and clinical management
http://www.poliosurv[...]
2016-06-30
[44]
논문
Occupational therapy and the postpolio syndrome
1989-02
[45]
논문
The epidemiology of poliomyelitis: enigmas surrounding its appearance, epidemicity, and disappearance
1979-12
[46]
서적
Manual of infantile paralysis, with modern methods of treatment.
https://archive.org/[...]
Philadelphia Davis
[47]
웹사이트
A photomicrograph of the thoracic spinal cord depicting degenerative changes due to Polio Type III.
http://phil.cdc.gov/[...]
Centers for Disease Control and Prevention
2005-03-18
[48]
웹사이트
Chapter 12: Poliomyelitis
https://www.cdc.gov/[...]
Centers for Disease Control and Prevention
2013-04-13
[49]
서적
Professional Guide to Diseases (Professional Guide Series)
https://archive.org/[...]
Lippincott Williams & Wilkins
[50]
논문
Case definitions for infectious conditions under public health surveillance. Centers for Disease Control and Prevention
ftp://ftp.cdc.gov/pu[...]
2007-11-11
[51]
논문
Passive immunization against poliomyelitis
[52]
논문
Evaluation of Red Cross gamma globulin as a prophylactic agent for poliomyelitis. 5. Reanalysis of results based on laboratory-confirmed cases
1954-09
[53]
논문
Passive immunization against poliomyelitis: the Hammon gamma globulin field trials, 1951–1953
2005-05
[54]
논문
Polio vaccines: WHO position paper – March, 2016
2016
[55]
뉴스
Tireless polio research effort bears fruit and indignation
http://www.post-gaze[...]
Pittsburgh Post-Gazette
2008-08-23
[56]
논문
History of Sabin attenuated poliovirus oral live vaccine strains
[57]
논문
Live, orally given poliovirus vaccine. Effects of rapid mass immunization on population under conditions of massive enteric infection with other viruses
1960-08
[58]
웹사이트
A Science Odyssey: People and Discoveries
https://www.pbs.org/[...]
PBS
2008-08-23
[59]
웹사이트
Polio Vaccine | IPV Vaccine
http://www.polio.inf[...]
2011-11-01
[60]
논문
Transmissibility and persistence of oral polio vaccine viruses: implications for the global poliomyelitis eradication initiative
1999-11
[61]
논문
The case for replacing the live oral polio vaccine with the inactivated vaccine throughout the Americas
2020-04-04
[62]
논문
Poliomyelitis prevention: recommendations for use of inactivated poliovirus vaccine and live oral poliovirus vaccine. American Academy of Pediatrics Committee on Infectious Diseases
http://pediatrics.aa[...]
1997-02
[63]
웹사이트
GPEI-Variant Polio (cVDPV) Cases
https://polioeradica[...]
2024-04-15
[64]
웹사이트
Eradication of polio – Is Syria being left behind?
https://sphcm.med.un[...]
School of Public Health and Community Medicine
2022-09-27
[65]
웹사이트
WHO: Vaccines for routine use
https://www.who.int/[...]
2008-08-23
[66]
웹사이트
GPEI-OPV Oral polio vaccine
https://polioeradica[...]
2024-04-12
[67]
서적
Polio
University of Rochester Press
[68]
논문
Iron lung versus conventional mechanical ventilation in acute exacerbation of COPD
2004-03
[69]
뉴스
America's last iron lung users on their lives spent inside obsolete ventilators
https://www.independ[...]
2019-04-16
[70]
논문
Polio: its impact on the people of the United States and the emerging profession of physical therapy
http://www.post-poli[...]
2004-08
[71]
서적
Physical Medicine and Rehabilitation Board Review
https://www.ncbi.nlm[...]
Demos Medical Publishing
[72]
논문
Noninvasive mechanical ventilation at home: building upon the tradition
2002-02
[73]
논문
Tracheotomy in bulbar poliomyelitis
1950-01
[74]
학위논문
Constructivist Medicine
http://www.fdcw.unim[...]
Maastricht: Universitaire Pers Maastricht
2008-01-04
[75]
논문
Comparison between concentric needle EMG and macro EMG in patients with a history of polio
1999-11
[76]
논문
Neural cell adhesion molecule in normal, denervated, and myopathic human muscle
1987-05
[77]
논문
Late effects of polio: critical review of the literature on neuromuscular function
1991-10
[78]
논문
Muscle adaptive changes in post-polio subjects
[79]
웹사이트
Poliomyelitis virus (picornavirus, enterovirus), after-effects of the polio, paralysis, deformations
http://www.polio.inf[...]
Sanofi Pasteur
2008-08-23
[80]
서적
Walsh and Hoyt's clinical neuro-ophthalmology
Lippincott Williams & Wilkins
[81]
웹사이트
Polio: Complications
http://www.mayoclini[...]
Mayo Foundation for Medical Education and Research (MFMER)
2007-02-26
[82]
웹사이트
Post-Polio Syndrome Fact Sheet: National Institute of Neurological Disorders and Stroke (NINDS)
http://www.ninds.nih[...]
2011-08-02
[83]
논문
Post-poliomyelitis syndrome
2005-01
[84]
논문
Epidemiology of the post-polio syndrome
1992-10
[85]
논문
Post-poliomyelitis syndrome: case report and review of the literature
http://www.annals.ed[...]
2005-08
[86]
서적
Orthoses for persons with postpolio syndrome.
https://musculoskele[...]
Mosby/Elsevier
2021-07-20
[87]
논문
Gait of stance control orthosis users: the dynamic knee brace system
2005-12
[88]
논문
Effect of carbon-composite knee-ankle-foot orthoses on walking efficiency and gait in former polio patients
2007-10
[89]
논문
The Spatial Dynamics of Poliomyelitis in the United States: From Epidemic Emergence to Vaccine-Induced Retreat, 1910–1971
[90]
서적
Picornaviruses: The Enteroviruses: Polioviruses ''in:'' Baron's Medical Microbiology
https://www.ncbi.nlm[...]
University of Texas Medical Branch
[91]
웹사이트
Polio: a 20th century epidemic
https://www.sciencem[...]
2024-04-12
[92]
웹사이트
History of polio vaccination
https://www.who.int/[...]
2024-04-10
[93]
논문
Landmark perspective: Mass vaccination against polio
[94]
웹사이트
GPEI-Variant Poliovirus (cVDPV)
https://polioeradica[...]
2024-08-07
[95]
웹사이트
GPEI-Vaccine-Derived Polioviruses
https://polioeradica[...]
2022-09-03
[96]
웹사이트
The decade of the last recorded case of paralytic polio by country
https://ourworldinda[...]
2020-03-04
[97]
웹사이트
Polio Vaccine Celebrates 60th Anniversary
https://www.rotary.o[...]
2015-11-11
[98]
웹사이트
Driven to Extinction
http://www.the-scien[...]
2015-11-11
[99]
웹사이트
Smallpox
https://www.who.int/[...]
2008-08-23
[100]
웹사이트
The Smallpox Eradication Programme – SEP (1966–1980)
https://www.who.int/[...]
2015-11-11
[101]
간행물
No more deaths from rinderpest
http://www.oie.int/f[...]
World Organisation for Animal Health
2015-11-11
[102]
서적
Poliomyelitis: intensification of the global eradication initiative. Agenda item A65/20
http://apps.who.int/[...]
World Health Organization
2013-12-07
[103]
논문
Update on vaccine-derived polioviruses
2006-10
[104]
논문
Progress toward interruption of wild poliovirus transmission—worldwide, January 2007 – April 2008
https://www.cdc.gov/[...]
2008-05
[105]
웹사이트
Wild poliovirus type 1 and Circulating vaccine-derived poliovirus cases
http://www.polioerad[...]
2015-12-26
[106]
웹사이트
Emergency appeal for Congo polio outbreak
http://www.polioerad[...]
2010-11-17
[107]
웹사이트
Surveillance Indicators
https://polioeradica[...]
2024-08-14
[108]
웹사이트
Global Wild Poliovirus 2018–2024
https://polioeradica[...]
2024-04-09
[109]
간행물
Progress Toward Polio Eradication — Worldwide, January 2019–June 2021
2021-08-27
[110]
간행물
GPEI Statement on WPV1 in Malawi: Wild poliovirus type 1 detected in Lilongwe, Malawi
https://polioeradica[...]
Global Polio Eradication Initiative - World Health Organization
2022-02-17
[111]
간행물
Progress Toward Poliomyelitis Eradication — Worldwide, January 2021–March 2023
https://www.cdc.gov/[...]
2023
[112]
간행물
GPEI statement on Mozambique WPV1 detection
https://polioeradica[...]
Global Polio Eradication Initiative - World Health Organization
2022-05-18
[113]
간행물
Progress Toward Poliomyelitis Eradication — Worldwide, January 2022–December 2023
https://www.cdc.gov/[...]
2024
[114]
웹사이트
Global Wild Poliovirus 2018–2024
https://polioeradica[...]
2024-04-09
[115]
간행물
How Drone Strikes and a Fake Vaccination Program Have Inhibited Polio Eradication in Pakistan: An Analysis of National Level Data
http://qmro.qmul.ac.[...]
2017-10
[116]
뉴스
C.I.A. Vaccine Ruse May Have Harmed the War on Polio
https://www.nytimes.[...]
2012-07-09
[117]
웹사이트
Pakistan's fight against polio clashes with battle against Taliban – The National
http://www.thenation[...]
2015-01-20
[118]
웹사이트
House-to-house polio vaccination set to recommence across Afghanistan in November
https://www.unicef.o[...]
2022-06-30
[119]
뉴스
Seven shot dead in Pakistan polio attack
https://www.bbc.com/[...]
2016-04-20
[120]
웹사이트
Afghanistan Polio Eradication Initiative Annual Report 2021
https://polioeradica[...]
World Health Organization
2022-06-30
[121]
웹사이트
GPEI-Afghanistan
https://polioeradica[...]
2022-06-30
[122]
뉴스
Nationwide polio campaign starts today
https://www.dawn.com[...]
2018-12-10
[123]
웹사이트
UAE polio campaign vaccinates millions of Pakistani children
http://www.thenation[...]
2015-04-18
[124]
웹사이트
17 million children to be vaccinated against polio in Pakistan
http://www.thenation[...]
2015-01-24
[125]
뉴스
Pakistan could beat polio in months, says WHO
https://www.bbc.co.u[...]
2016-05-16
[126]
뉴스
Polio in Pakistan: Drop of 70% recorded this year
https://www.bbc.com/[...]
2015-06-03
[127]
간행물
Certification of poliomyelitis eradication—the Americas, 1994
https://www.cdc.gov/[...]
1994-10
[128]
웹사이트
Polio Declared Eliminated from the Americas | History of Vaccines
https://www.historyo[...]
2020-05-23
[129]
웹사이트
Guidance to US Clinicians Regarding New WHO Polio Vaccination Requirements for Travel by Residents of and Long-term Visitors to Countries with Active Polio Transmission
http://emergency.cdc[...]
2014-06-02
[130]
웹사이트
How polio came back to New York for the first time in decades, silently spread and left a patient paralyzed
https://www.cnbc.com[...]
2022-10-04
[131]
간행물
General News. Major Milestone reached in Global Polio Eradication: Western Pacific Region is certified Polio-Free
[132]
간행물
Australia declared polio free
[133]
뉴스
New polio outbreak hits China - CNN.com
http://www.cnn.com/2[...]
2011-09-21
[134]
뉴스
PH declares polio outbreak as disease returns after 19 years
https://www.rappler.[...]
2019-09-19
[135]
뉴스
Malaysia Reports First Case of Polio in 27 Years
https://www.voanews.[...]
2019-12-09
[136]
간행물
Concurrent outbreaks of circulating vaccine-derived poliovirus types 1 and 2 affecting the Republic of the Philippines and Malaysia, 2019–2021
2022-03-23
[137]
간행물
Europe achieves historic milestone as Region is declared polio-free
https://www.who.int/[...]
European Region of the World Health Organization
2002-06-21
[138]
웹사이트
WHO South-East Asia Region certified polio-free
http://www.searo.who[...]
WHO
2014-03-27
[139]
뉴스
Polio in Syria: An outbreak that threatens the Middle East
https://www.bbc.com/[...]
2014-03-26
[140]
뉴스
Syria polio cases spread to Damascus and Aleppo – WHO
http://www.dnaindia.[...]
2013-11-26
[141]
뉴스
WHO: Polio cases confirmed in Syria
http://edition.cnn.c[...]
2014-01-24
[142]
간행물
Syria's Polio Epidemic: The Suppressed Truth
http://www.nybooks.c[...]
2014-01-23
[143]
웹사이트
Fighting Polio Amid the Chaos of Syria's Civil War
http://news.national[...]
2015-03-05
[144]
뉴스
Polio immunisation rate in Syria close to pre-war level -WHO
https://www.reuters.[...]
2015-01-28
[145]
웹사이트
GPEI-Syrian Arab Republic
https://polioeradica[...]
2022-07-01
[146]
뉴스
Gaza faces public health crisis with first confirmed case of polio
https://www.washingt[...]
2024-08-18
[147]
웹사이트
Humanitarian pauses vital for critical polio vaccination campaign in the Gaza Strip
https://www.who.int/[...]
2024-12-14
[148]
뉴스
The U.N. Calls for a Temporary Truce to Fight Polio in Gaza
https://www.nytimes.[...]
2024-08-18
[149]
웹사이트
Polio Eradication Efforts in Nigeria and India
http://www.unicef.or[...]
2013-12-25
[150]
뉴스
Nigeria polio vaccinators shot dead in Kano
https://www.bbc.co.u[...]
2013-02-08
[151]
뉴스
Nigeria marks one year without recorded polio case
https://www.bbc.co.u[...]
2015-07-24
[152]
뉴스
Nigeria marks polio-free year, raising global eradication hopes
https://www.reuters.[...]
2015-07-23
[153]
뉴스
WHO Removes Nigeria from Polio-Endemic List
https://www.who.int/[...]
2016-01-08
[154]
웹사이트
Government of Nigeria reports 2 wild polio cases, first since July 2014
https://www.who.int/[...]
2016-08-11
[155]
간행물
Africa declared free from wild polio — but vaccine-derived strains remain
https://www.nature.c[...]
2022-07-01
[156]
웹사이트
Malawi declares polio outbreak
https://www.afro.who[...]
2022-06-29
[157]
웹사이트
First polio outbreak in 30 years declared in Mozambique
https://news.un.org/[...]
2022-07-01
[158]
서적
A History of Poliomyelitis
Yale University Press
[159]
서적
Archaeology: Theories, Methods, and Practice
Thames & Hudson
[160]
서적
A treatise on the diseases of children, with general directions for the management of infants from the birth (1789)
J. Mathews
[161]
간행물
Poliomyelitis (Heine–Medin disease)
2005-01
[162]
서적
A Summer Plague: Polio and its Survivors
https://archive.org/[...]
Yale University Press
[163]
웹사이트
Module 6: Poliomyelitis
http://whqlibdoc.who[...]
World Health Organization. Geneva, Switzerland.
2008-08-23
[164]
간행물
The Spatial Dynamics of Poliomyelitis in the United States: From Epidemic Emergence to Vaccine-Induced Retreat, 1910–1971
2005-06
[165]
서적
Poliomyelitis. In: Tropical and Geographical Medicine
McGraw-Hill
[166]
간행물
A New Challenge for Former Polio Patients
https://www.questia.[...]
[167]
웹사이트
Louise Reisner-Sénélar (2009) The Danish anaesthesiologist Björn Ibsen a pioneer of long-term ventilation on the upper airways
https://docs.google.[...]
[168]
간행물
Bjørn Aage Ibsen
[169]
웹사이트
After Effects of Polio Can Harm Survivors 40 Years Later
http://www.marchofdi[...]
March of Dimes
2014-11-14
[170]
간행물
Post-polio sequelae: physiological and psychological overview
[171]
서적
The Polio Paradox: Understanding and Treating "Post-Polio Syndrome" and Chronic Fatigue
Warner Books
[172]
뉴스
Four added to Polio Hall of Fame at Warm Springs
http://www.times-her[...]
2009-05-29
[173]
뉴스
CDC Inducted into Polio Hall of Fame
https://www.cdc.gov/[...]
2009-01-23
[174]
웹사이트
Announcement: World Polio Day – 24 October 2012
https://www.cdc.gov/[...]
Centers for Disease Control and Prevention
2013-12-07
[175]
웹사이트
Every Last Child, Annual Report 2010
https://polioeradica[...]
2024-06-03
[176]
웹사이트
Poliomyelitis (polio)
https://www.who.int/[...]
2024-06-04
[177]
웹사이트
Progress towards polio eradication
https://ourworldinda[...]
2024-06-04
[178]
서적
Disease Eradication in the 21st Century: Implications for Global Health
https://books.google[...]
The MIT Press
[179]
웹사이트
GPEI-Historical Contributions, 1988-2020
https://polioeradica[...]
[180]
웹사이트
Vaccination funding landscape
http://www.givewell.[...]
2016-06-20
[181]
웹사이트
GPEI-Research + Innovation
https://polioeradica[...]
2024-04-17
[182]
논문
The Last Mile in Polio Eradication: Program Challenges and Perseverance
2024-04
[183]
서적
感染症学
診断と治療社
2009
[184]
서적
Epidemiology and Prevention of Vaccine-Preventable Diseases (The Pink Book)
http://www.cdc.gov/v[...]
Public Health Foundation
[185]
논문
Late functional loss in nonparalytic polio
[186]
간행물
ワクチン株ポリオ3型ウイルスにより発症した急性灰白髄炎の1症例
1996
[187]
서적
The Gale Encyclopedia of Neurological Disorders
Thomson Gale
[188]
서적
The late effects of Polio: Information For Health Care Providers.
http://www.health.ql[...]
Commonwealth Department of Community Services and Health
2008-08-23
[189]
서적
Manual of infantile paralysis, with modern methods of treatment.
https://books.google[...]
Philadelphia Davis
[190]
서적
Principles of Critical Care
McGraw-Hill Professional
[191]
서적
Harrison's Principles of Internal Medicine
McGraw-Hill Professional
[192]
서적
Sherris Medical Microbiology
McGraw Hill
[193]
서적
Krugman's infectious diseases of children
Mosby
[194]
간행물
健康児糞便からの灰白髄炎ウイルス分離に関する研究
1958
[195]
논문
Nonpoliovirus poliomyelitis simulating Guillain-Barré syndrome
http://archneur.jama[...]
2001-09
[196]
간행물
手足口病を含むエンテロウイルス感染症
2014
[197]
논문
Vaccine-derived polioviruses and the endgame strategy for global polio eradication
[198]
서적
McGraw-Hill Concise Encyclopedia of Science & Technology
McGraw-Hill
[199]
논문
One hundred years of poliovirus pathogenesis
[200]
논문
Polio: Will We Soon Vanquish an Old Enemy?
http://www.medscape.[...]
1999
[201]
논문
Chronic progressive poliomyelitis secondary to vaccination of an immunodeficient child
[202]
논문
Reduced secretory antibody response to live attenuated measles and poliovirus vaccines in malnourished children
1975-06-14
[203]
논문
Acute poliomyelitis relation of physical activity at the time of onset to the course of the disease
[204]
논문
Mechanism of Injury-Provoked Poliomyelitis
[205]
논문
Factors influencing the occurrence of illness during naturally acquired poliomyelitis virus infections
http://mmbr.asm.org/[...]
[206]
서적
Chapter 26:Poliomyelitis. ''in:'' Immunisation Against Infectious Disease, 2006
http://www.immunisat[...]
Stationery Office
[207]
논문
Antibodies against vaccine-preventable diseases in pregnant women and their offspring in the eastern part of Germany
[208]
논문
Complexes of Poliovirus Serotypes with Their Common Cellular Receptor, CD155
http://jvi.asm.org/c[...]
[209]
서적
Baron's Medical Microbiology
http://www.ncbi.nlm.[...]
Univ of Texas Medical Branch
[210]
웹사이트
Polio
http://textbookofbac[...]
University of Wisconsin - Madison
2007-04-23
[211]
논문
Pathogenesis of poliomyelitis; reappraisal in the light of new data
[212]
논문
Poliovirus and poliomyelitis: a tale of guts, brains, and an accidental event
[213]
서적
Polio
Enslow Publishers
[214]
논문
Post-polio syndrome: pathophysiology and clinical management
http://www.ott.zynet[...]
[215]
논문
Occupational therapy and the postpolio syndrome
http://www.ott.zynet[...]
[216]
논문
The epidemiology of poliomyelitis: enigmas surrounding its appearance, epidemicity, and disappearance
[217]
서적
Manual of infantile paralysis, with modern methods of treatment.
https://books.google[...]
Philadelphia Davis
[218]
웹사이트
A photomicrograph of the thoracic spinal cord depicting degenerative changes due to Polio Type III.
http://phil.cdc.gov/[...]
Centers for Disease Control and Prevention
2005-03-18
[219]
웹사이트
Chapter 12: Poliomyelitis
http://www.cdc.gov/v[...]
Centers for Disease Control and Prevention
2013-04-13
[220]
서적
Professional Guide to Diseases (Professional Guide Series)
Lippincott Williams & Wilkins
[221]
서적
Walsh and Hoyt's clinical neuro-ophthalmology
Lippincott Williams & Wilkins
[222]
논문
Case definitions for infectious conditions under public health surveillance. Centers for Disease Control and Prevention
ftp://ftp.cdc.gov/pu[...]
[223]
논문
Rapid diagnosis of poliovirus infection by PCR amplification
1996-07
[224]
논문
The mop-up: eradicating polio from the planet, one child at a time
2004-01-12
[225]
서적
Polio
University of Rochester Press
[226]
논문
Noninvasive mechanical ventilation at home: building upon the tradition
[227]
논문
Polio: its impact on the people of the United States and the emerging profession of physical therapy
http://www.post-poli[...]
[228]
서적
Physical Medicine and Rehabilitation Board Review
http://www.ncbi.nlm.[...]
Demos Medical Publishing
[229]
논문
Noninvasive mechanical ventilation at home: building upon the tradition
[230]
논문
Tracheotomy in bulbar poliomyelitis
[231]
논문
Constructivist Medicine
http://www.fdcw.unim[...]
Maastricht: Universitaire Pers Maastricht
[232]
논문
Comparison between concentric needle EMG and macro EMG in patients with a history of polio
[233]
논문
Neural cell adhesion molecule in normal, denervated, and myopathic human muscle
[234]
논문
Late effects of polio: critical review of the literature on neuromuscular function
[235]
논문
Post-poliomyelitis syndrome
[236]
논문
Muscle adaptive changes in post-polio subjects
[237]
웹사이트
Poliomyelitis virus (picornavirus, enterovirus), after-effects of the polio, paralysis, deformations
http://www.polio.inf[...]
[238]
웹사이트
Post-Polio Syndrome Fact Sheet: National Institute of Neurological Disorders and Stroke (NINDS)
http://www.ninds.nih[...]
[239]
논문
Post-poliomyelitis syndrome
[240]
논문
Epidemiology of the post-polio syndrome
[241]
논문
Post-poliomyelitis syndrome: case report and review of the literature
http://www.annals.ed[...]
[242]
논문
不活化ポリオワクチン(特集 ワクチン--最新動向と展望)--(新規ワクチン開発の最新動向と展望)
日本臨床社
2011-09
[243]
논문
ご存じですか ポリオ生ワクチンの危険
http://lohasmedical.[...]
2011-03
[244]
웹사이트
ポリオとポリオワクチンの基礎知識
https://www.mhlw.go.[...]
厚生労働省
2019-05-16
[245]
웹사이트
海外渡航のためのワクチン
https://www.forth.go[...]
厚生労働省検疫所
2019-05-16
[246]
간행물
Weekly epidemiological record
http://www.who.int/w[...]
WHO
2010-06-14
[247]
웹사이트
予防接種Q&A
http://idsc.nih.go.j[...]
国立感染症研究所
2002
[248]
웹사이트
Polio this week
http://polioeradicat[...]
2019-05-16
[249]
웹사이트
Poliomyelitis
http://www.who.int/m[...]
WHO
2012-06-06
[250]
웹사이트
世界ポリオ根絶に向けて
http://www.polio.go.[...]
[251]
뉴스
ポリオ感染、16年37人のみ「根絶に期待」とWHO
https://www.nikkei.c[...]
日本経済新聞
2017-10-25
[252]
웹사이트
Polio Case Count
http://apps.who.int/[...]
World Health Organization
2017-12-27
[253]
웹사이트
Polio this week
http://polioeradicat[...]
2019-05-16
[254]
웹사이트
Global Polio Eradication Initiative > Infected countries
http://www.polioerad[...]
[255]
웹사이트
WHO South-East Asia Region certified polio-free
http://www.searo.who[...]
WHO
2014-03-27
[256]
논문
Public health: Polio clings on in Pakistan
[257]
웹사이트
Global Polio Eradication Initiative > Infected countries > Pakistan
https://web.archive.[...]
[258]
간행물
Pakistan’s fight against polio clashes with battle against Taliban
http://www.thenation[...]
Abu Dhabi Media
2015-01-20
[259]
간행물
UAE polio campaign vaccinates millions of Pakistani children
http://www.thenation[...]
Abu Dhabi Media
2015-04-19
[260]
간행물
Polio in Pakistan: Drop of 70% recorded this year
http://www.bbc.com/n[...]
BBC
2015-06-03
[261]
웹사이트
Global Polio Eradication Initiative > Infected countries > Afghanistan
https://web.archive.[...]
[262]
뉴스
Afghanistan polio: First case in Kabul since 2001
http://www.bbc.co.uk[...]
2014-02-11
[263]
웹사이트
India no longer polio endemic says WHO
http://www.bbc.co.uk[...]
BBC
2012-02-27
[264]
웹사이트
Polio Eradication Efforts in Nigeria and India
http://www.unicef.or[...]
UNICEF
[265]
서적
God Is Not Great: How Religion Poisons Everything
https://books.google[...]
Allen & Unwin
[266]
뉴스
BBC News: Nigeria Polio vaccinators shot dead in Kano
http://www.bbc.co.uk[...]
2013-02-08
[267]
뉴스
Nigeria marks one year without recorded polio case
http://www.bbc.co.uk[...]
2015-07-24
[268]
뉴스
Nigeria marks polio-free year, raising global eradication hopes
https://www.reuters.[...]
2015-07-24
[269]
뉴스
WHO Removes Nigeria from Polio-Endemic List
http://www.who.int/m[...]
2015-09-26
[270]
뉴스
ナイジェリアで2人のポリオ新規患者、WHOが発表 根絶認定遠のく
AFP通信
2016-08-12
[271]
뉴스
アフリカ ポリオ根絶/残りはアフガンとパキスタン
毎日新聞
2020-08-27
[272]
뉴스
恐ろしい小児マヒ
日本経済新聞
1951-07-23
[273]
웹사이트
ポリオ(急性灰白髄炎・小児麻痺)とは
https://www.niid.go.[...]
国立感染症研究所
[274]
웹사이트
ポリオワクチン
http://www.know-vpd.[...]
NPO法人VPD
[275]
문서
参議院第169回国会 「ポリオの予防接種に関する質問主意書」答弁書
[276]
웹사이트
ポリオの会
https://www5b.biglob[...]
[277]
웹사이트
WHO Western Pacific Region-Poliomyelitis
https://web.archive.[...]
[278]
보도자료
JICAとゲイツ財団が戦略的パートナーシップを発表
http://www.jica.go.j[...]
JICA
2011-08-18
[279]
서적
野生チンパンジーの世界
미네르바 서방
[280]
서적
野生チンパンジーの世界
미네르바 서방
[281]
논문
大型類人猿の保護における感染症問題
https://doi.org/10.2[...]
[282]
간행물
第5回「ポリオ」-ルーズベルトはポリオではなかった?(加藤茂孝)
https://www.eiken.co[...]
[283]
문서
現在は、March of Dime([[10円募金]])となって、ポリオ以外の様々な募金活動を実施している。
[284]
문서
人類と感染症の戦い-第5回"ポリオ"
[285]
웹사이트
上田哲著『根絶』-世界初のポリオ発生ゼロを実現したロマン・ドキュメント-
https://web.archive.[...]
[286]
문서
National Immunization Days の略。
[287]
웹사이트
ポリオワクチンについて
https://www5b.biglob[...]
[288]
뉴스
ポリオ:定期接種が不活化ワクチンに 4回の接種が必要
http://mainichi.jp/s[...]
2012-09-01
[289]
웹사이트
【10月24日は「世界ポリオデー」】世界の子どもにワクチンを日本委員会では “ポリオ根絶” を目的に「世界ポリオデー」に合わせ “感染拡大防止キャンペーン” を実施
https://prtimes.jp/m[...]
[290]
간행물
Epidemiology and Prevention of Vaccine-Preventable Diseases (The Pink Book)
https://www.cdc.gov/[...]
Public Health Foundation
[291]
웹인용
Post-Polio Syndrome Fact Sheet
http://www.ninds.nih[...]
NIH
2014-11-04
[292]
웹인용
Poliomyelitis Fact sheet N°114
http://www.who.int/m[...]
2014-11-03
[293]
웹인용
This page allows you to request a table with AFP/polio data
https://extranet.who[...]
2019-03-08
[294]
웹인용
Guidance to US Clinicians Regarding New WHO Polio Vaccination Requirements for Travel by Residents of and Long-term Visitors to Countries with Active Polio Transmission
http://emergency.cdc[...]
2014-06-04
[295]
웹인용
GPEI-This Week
http://polioeradicat[...]
2019-12-22
[296]
서적
Polio
https://books.google[...]
University of Rochester Press
1999
[297]
서적
Science and practice of pediatric critical care medicine
https://books.google[...]
Springer
2009
[298]
저널
Eradicating polio: today's challenges and tomorrow's legacy
[299]
웹인용
Global leaders support new six-year plan to deliver a polio-free world by 2018
http://www.who.int/m[...]
2014-11-04
[300]
저널
Complexes of Poliovirus Serotypes with Their Common Cellular Receptor, CD155
[301]
서적
Baron's Medical Microbiology
Univ of Texas Medical Branch
[302]
웹인용
Polio
http://textbookofbac[...]
University of Wisconsin – Madison
2007-04-23
[303]
저널
Pathogenesis of poliomyelitis; reappraisal in the light of new data
[304]
서적
The Gale Encyclopedia of Neurological Disorders
https://archive.org/[...]
Thomson Gale
[305]
저널
Poliovirus and poliomyelitis: a tale of guts, brains, and an accidental event
본 사이트는 AI가 위키백과와 뉴스 기사,정부 간행물,학술 논문등을 바탕으로 정보를 가공하여 제공하는 백과사전형 서비스입니다.
모든 문서는 AI에 의해 자동 생성되며, CC BY-SA 4.0 라이선스에 따라 이용할 수 있습니다.
하지만, 위키백과나 뉴스 기사 자체에 오류, 부정확한 정보, 또는 가짜 뉴스가 포함될 수 있으며, AI는 이러한 내용을 완벽하게 걸러내지 못할 수 있습니다.
따라서 제공되는 정보에 일부 오류나 편향이 있을 수 있으므로, 중요한 정보는 반드시 다른 출처를 통해 교차 검증하시기 바랍니다.
문의하기 : help@durumis.com