그람 염색
"오늘의AI위키"의 AI를 통해 더욱 풍부하고 폭넓은 지식 경험을 누리세요.
1. 개요
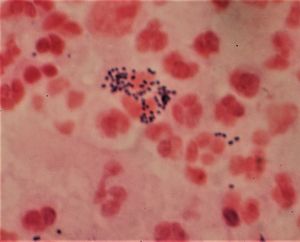
그람 염색은 세균을 그람 양성 세균과 그람 음성 세균으로 분류하는 데 사용되는 염색 기법이다. 1884년 한스 크리스티안 그람이 개발했으며, 세균 감염 진단에 활용된다. 그람 염색은 크리스탈 바이올렛, 아이오딘, 에탄올 또는 아세톤, 사프라닌 또는 카르볼 푸크신을 사용하여 세균의 세포벽 구조 차이에 따라 보라색 또는 분홍색으로 염색한다. 그람 양성 세균은 두꺼운 펩티도글리칸 층 때문에 보라색으로, 그람 음성 세균은 얇은 층과 외막 때문에 분홍색으로 염색된다.
더 읽어볼만한 페이지
| 그람 염색 |
|---|
2. 역사
그람 염색법은 1884년 베를린 시립 병원의 영안실에서 카를 프리들렌더와 함께 연구하던 덴마크 과학자 한스 크리스티안 그람(1853–1938)의 이름을 따서 명명되었다. 그람은 세균 세포가 탈색에 뚜렷한 저항성을 가지고 있다는 것을 알아차렸다. 그는 초기 그람 염색 과정을 개발했으며, 처음에는 에를리히의 아닐린-겐티안 바이올렛, 루골 요오드, 탈색을 위한 절대 에탄올, 대조 염색을 위한 비스마르크 브라운을 사용했다.[5] 1884년에 발표된 그의 짧은 보고서에는 장티푸스 바실러스가 염색을 유지하지 못한다는 관찰 결과가 포함되었다.[6]
2. 1. 개발
1884년, 덴마크의 세균학자인 한스 크리스티안 그람이 베를린 시립 병원의 영안실에서 카를 프리들란더와 함께 근무하면서 개발했다. 그람은 세균을 구별하기 위한 목적이 아니라, 폐 조직의 염색된 부분에서 세균을 더 잘 보이도록 하기 위해 이 방법을 고안했다.[47] 그는 1884년에 자신이 고안한 방법을 발표했으며, 짧은 보고서에 발진티푸스 간균이 염색되지 않는다는 관찰 내용을 포함시켰다.[48]2. 2. 의학적 활용
그람 염색은 감염이 의심될 때 체액 또는 생검으로 수행된다. 그람 염색은 배양보다 훨씬 더 빨리 결과가 나오며, 수막염의 뇌척수액, 패혈성 관절염의 활액과 같이 감염이 환자의 치료와 예후에 중요한 차이를 만들 때 특히 중요하다.[71][52]3. 염색 원리 및 과정
그람 양성 세균은 펩티도글리칸(세포 외막의 50~90%)으로 이루어진 두꺼운 망상 세포벽을 가지고 있어 크리스탈 바이올렛으로 보라색으로 염색되는 반면, 그람 음성 세균은 얇은 층(세포 외막의 10%)을 가지고 있어 보라색 염색을 유지하지 못하고 사프라닌으로 붉은색으로 대비염색된다.
그람 염색의 과정은 다음과 같다.[53][54]
1. 세균 배양액의 열 고정 도말에 1차 염색(크리스탈 바이올렛)을 적용한다. 열 고정은 일부 세균을 죽이지만 주로 세균을 슬라이드에 부착시켜 염색 과정 중에 헹구지 않도록 하는데 사용된다.
2. 크리스탈 바이올렛과 결합하여 세포 안에 가두는 역할을 하는 아이오딘을 첨가한다.
3. 에탄올 또는 아세톤으로 신속하게 탈색한다.
4. 사프라닌으로 대비염색한다. 카르볼 푸크신은 혐기성 세균을 더 강하게 염색하기 때문에 때때로 사프라닌 대신 사용되지만 대비염색을 위해 일반적으로 사용되는 것은 아니다.
| 단계 | 시약 | 세포의 색 | |
|---|---|---|---|
| 그람양성세균 | 그람음성세균 | ||
| 1차 염료 | 크리스탈 바이올렛 | 보라색 | 보라색 |
| 매염제 | 아이오딘 | 보라색 | 보라색 |
| 탈색제 | 에탄올/아세톤 | 보라색 | 무색 |
| 대비염색 | 사프라닌/카르볼 푸크신 | 보라색 | 분홍색 또는 빨간색 |
3. 1. 염색 원리

그람 염색법의 차이는 세균의 세포벽 구조에 기인한다.[45] 그람 양성균의 세포벽은 두꺼운 펩티도글리칸 층으로 구성된 반면, 그람 음성균은 얇은 펩티도글리칸 층 외부에 외막이라고 불리는 리포다당류 (LPS)를 포함하는 지질 이중막이 덮여 있다.
크리스탈 바이올렛 (CV)은 수용액에서 CV+와 염화물 (Cl-) 이온으로 해리된다. 이 이온들은 그람 양성 및 그람 음성 세포의 세포벽을 관통한다. CV+ 이온은 세균 세포의 음전하 성분과 상호 작용하여 세포를 보라색으로 염색한다.[13]
아이오딘화물 (I- 또는 I3-)은 CV+와 상호 작용하여 세포의 내부 및 외부 층 내에 크리스탈 바이올렛과 아이오딘의 큰 복합체 (CV–I)를 형성한다. 아이오딘은 매염제라고 불리지만, CV–I 복합체의 제거를 방지하고 따라서 세포에 색상을 부여하는 포획제이다.[14]
에탄올이나 아세톤과 같은 탈색제가 첨가되면 세포막의 지질과 상호 작용한다.[15] 그람 음성 세포는 외부 지질다당류 막을 잃고 내부 펩티도글리칸 층이 노출된다. CV–I 복합체는 외막과 함께 그람 음성 세포에서 씻겨 나간다.[16] 반대로, 그람 양성 세포는 에탄올 처리로 인해 탈수된다. 큰 CV–I 복합체는 펩티도글리칸의 다층 구조로 인해 그람 양성 세포 내에 갇히게 된다.[16] 탈색 단계는 매우 중요하며 올바르게 시간을 맞춰야 한다. 탈색제를 너무 오래 방치하면 (몇 초) 그람 양성 및 음성 세포 모두에서 크리스탈 바이올렛 염색이 제거된다.[17]
탈색 후 그람 양성 세포는 보라색을 유지하고 그람 음성 세포는 보라색을 잃는다.[17] 대비염색제는 일반적으로 양전하를 띠는 사프라닌 또는 기본 푸크신이며, 탈색된 그람 음성 세균에 분홍색 또는 빨간색을 부여하기 위해 마지막으로 적용된다.[18][19] 그람 양성 세균과 그람 음성 세균 모두 대비염색제를 흡수한다. 그러나 대비염색제는 더 어두운 크리스탈 바이올렛 염색으로 인해 그람 양성 세균에서는 보이지 않는다.
| 단계 | 시약 | 세포 색상 | |
|---|---|---|---|
| 그람 양성 | 그람 음성 | ||
| 1차 염색 | 크리스탈 바이올렛 | 보라색 | 보라색 |
| 포획제 | 아이오딘 | 보라색 | 보라색 |
| 탈색 | 알코올/아세톤 | 보라색 | 무색 |
| 대비염색 | 사프라닌/카르볼 푸크신 | 보라색 | 분홍색 또는 빨간색 |
2015년 Michael J. Wilhelm 등은 염색에 사용되는 크리스탈 바이올렛은 세포질 내부까지 침투할 수 없으며, 대부분이 펩티도글리칸 층에 갇힌다고 설명했다. 그람 양성균은 펩티도글리칸 층이 두꺼워서 색소 유출이 적지만, 그람 음성균은 펩티도글리칸 층이 얇아 에탄올 세척으로 쉽게 색소가 유출되어 탈색될 수 있다.[45]
3. 2. 염색 과정
그람 염색의 4가지 기본 단계는 다음과 같다.[53][54]
# 세균 배양액의 열 고정 도말에 1차 염색(크리스탈 바이올렛)을 적용한다. 열 고정은 일부 세균을 죽이지만 주로 세균을 슬라이드에 부착시켜 염색 과정 중에 헹구지 않도록 하는데 사용된다.
# 크리스탈 바이올렛과 결합하여 세포 안에 가두는 역할을 하는 아이오딘을 첨가한다.
# 에탄올 또는 아세톤으로 신속하게 탈색한다.
# 사프라닌으로 대비염색한다. 카르볼 푸크신은 혐기성 세균을 더 강하게 염색하기 때문에 때때로 사프라닌 대신 사용되지만 대비염색을 위해 일반적으로 사용되는 것은 아니다.
| 단계 | 시약 | 세포의 색 | |
|---|---|---|---|
| 그람양성세균 | 그람음성세균 | ||
| 1차 염료 | 크리스탈 바이올렛 | 보라색 | 보라색 |
| 매염제 | 아이오딘 | 보라색 | 보라색 |
| 탈색제 | 에탄올/아세톤 | 보라색 | 무색 |
| 대비염색 | 사프라닌/카르볼 푸크신 | 보라색 | 분홍색 또는 빨간색 |
크리스탈 바이올렛(CV)은 수용액에서 CV+ 및 염화물(Cl-) 이온으로 해리된다. 이들 이온은 그람양성세균 및 그람음성세균의 세포벽을 관통한다. CV+ 이온은 세균 세포의 음전하 부분과 상호작용하여 세포를 보라색으로 염색한다.[55]
아이오딘화물(I- 또는 I3-)은 CV+와 상호작용하여 세포의 내층과 외층 내에서 크리스탈 바이올렛과 아이오딘의 거대 복합체(CV–I)를 형성한다. 아이오딘은 보통 매염제로 언급되지만, CV–I 복합체의 제거를 방지하여 세포를 착색시키는 포획제이다.[56]
에탄올이나 아세톤과 같은 탈색제가 첨가되면 세포막의 지질과 상호작용한다.[57] 그람음성세균은 외부의 지질다당류 막을 잃고 내부의 펩티도글리칸 층이 노출된 상태로 남는다. CV–I 복합체는 외막과 함께 그람음성세균에서 세척된다.[58] 대조적으로 그람양성세균은 에탄올 처리로 인해 탈수된다. 거대 CV–I 복합체는 펩티도글리칸의 다층 특성으로 인해 그람양성세균 내에 갇히게 된다.[58] 탈색 단계는 매우 중요하며 시간을 정확하게 맞춰야 한다. 탈색제를 너무 오래(몇 초) 방치하면 크리스탈 바이올렛 염색이 그람양성세균과 그람음성세균 모두에서 제거된다.[59]
탈색 후 그람양성세균은 보라색을 유지하며 그람음성세균은 보라색을 잃게 된다.[59] 일반적으로 양전하를 띤 사프라닌 또는 염기성 푸크신으로 대비염색을 마지막에 수행하여 탈색된 그람음성세균을 분홍색 또는 빨간색으로 만든다.[60][61] 그람양성세균과 그람음성세균 모두에 대비염색을 한다. 그러나 대비염색을 해도 크리스탈 바이올렛 염색이 더 진하기 때문에 그람양성세균은 여전히 보라색을 띠게 된다.
4. 세균 분류
그람 염색은 세포벽의 물리적, 화학적 특성에 따라 세균 종을 그람양성세균과 그람음성세균의 두 가지 큰 부류로 구별하는 세균학적 실험 기술이다.[49][50] 고세균은 계통학적 분류군을 따르지 않는 매우 다양한 반응을 나타내기 때문에 그람 염색은 고세균을 분류하는 데 사용되지 않는다.[51]
일부 세균들은 그람 가변적이거나(그람음성 또는 그람양성으로 염색될 수 있음을 의미), 그람 염색법에 사용된 염료로 염색되지 않아 보이지 않는다. 현대의 환경 또는 분자미생물학 연구실에서는 대부분 유전자 서열 및 기타 분자 기술을 사용하여 식별이 이루어지며, 이는 차등 염색보다 훨씬 더 구체적이고 유익한 정보를 제공한다.
그람 염색에 의해 세균류는 크게 그람 양성과 그람 음성의 두가지로 나뉜다. 이 염색성의 차이는 세포벽의 구조 차이에 기인한다. 그람 양성은 펩티도글리칸층이 두껍고, 그람 음성은 펩티도글리칸층이 얇으며, 외막을 갖는다.
그람 양성균은 페니실린 등의 β-락탐계 항생물질에 대한 감수성이 높은 경우가 많지만, 결핵균이나 노카르디아균 등의 방선균·사상균 등은 예외이다.
광학 현미경을 사용하여 세균의 형태를 관찰하는 것은 세균 동정의 첫걸음이지만, 슬라이드 글라스에 도말한 세균을 그대로 관찰하면 세균 이외의 것과의 구별이 어려우므로, 일반적으로 염색을 한다. 그람 염색은 세균의 크기, 모양, 배열, 그람 염색성(세포벽 구조의 차이)의 정보를 얻을 수 있어 세균 감별 시 기본적인 동정법으로 사용된다.
진정세균 이외의 세포에도 그람 염색법을 시행할 수 있으며, 세포벽의 유무에 따라 염색성이 결정된다. 동물 세포는 그람 음성, 식물 세포나 진균 세포는 그람 양성으로 염색된다. 일반적인 고세균은 S층 세포벽을 가지지만 그람 음성이다. 일부 슈도무레인을 가진 고세균 (메타노피루스강, 메타노박테리움강 등)이나, 대형 바이러스 (미미바이러스)도 그람 양성으로 염색되지만, 진정세균의 세포벽 합성을 저해하는 항생물질에는 내성을 보인다.
4. 1. 그람양성균
그람양성세균은 일반적으로 두꺼운 펩티도글리칸으로 둘러싸인 단일 막(monoderm)을 가지고 있다. 이 특징은 후벽균문(몰리쿠테스강, 네가티비쿠테스강 제외)과 방선균문에서 나타난다.[50][62]역사적으로 그람양성세균은 후벽균문(Firmicutes)을 구성했다. 여기에는 락토바실루스속, 바실루스속, 리스테리아속, 포도상구균속, 연쇄상구균속, 장내구균속, 클로스트리디움속과 같이 잘 알려져 있는 많은 속들이 포함되어 있다.[63] 또한 미코플라스마 및 테르모플라스마와 같은 세포벽이 없어서 그람 염색이 불가능하지만 그러한 형태에서 파생된 세균인 몰리쿠테스강을 포함하도록 확정되었다.[64]
일부 세균은 염색을 유지하는 데 특히 유리한 세포벽을 가지고 있어, 다른 그람양성세균과 밀접하게 관련되어 있지 않더라도 그람 염색에서 양성으로 나타난다. 이들은 항산균이라고 하며, 질-닐슨 염색과 같은 특수한 염색 절차를 통해서 다른 그람양성세균과 구별할 수 있다.[65]

세포벽의 강도는 펩티도글리칸 내에 포함된 당중합체 물질인 테이코산에 의해 강화된다. 테이코산은 세포의 순 음전하 생성, 세포벽의 강성 및 형태 유지, 세포 분열 및 열과 염을 포함한 다양한 스트레스 요인에 대한 저항에 기여하는 등 여러 역할을 한다. 펩티도글리칸 층의 밀도에도 불구하고 비교적 다공성을 유지하여 대부분의 물질이 침투할 수 있다. 더 큰 영양소의 경우 그람 양성 세균은 세포 외부에서 거대 분자를 분해하기 위해 세포 외부에 분비되는 엑소효소를 사용한다.[21]
광학 현미경을 사용하여 세균의 형태를 관찰하는 것은 세균을 동정하기 위한 첫걸음이다. 그러나 슬라이드 글라스에 도말한 세균을 그대로 관찰해도 세균 이외의 것과의 구별이 어려우므로, 일반적으로 염색을 하는 경우가 많다.
대표적인 세균에 대해 그람 염색 결과를 나타내면 다음과 같다.
- 그람 양성
- 구균
- 포도상구균속 (포도송이 모양으로 배열한다. 황색포도상구균, 표피포도상구균 등이 포함된다.)
- 연쇄상구균속 (직선상으로 배열, 쌍구균, 4연, 8연 구균 등. 폐렴구균, 용혈성 연쇄상구균 등이 포함된다.)
- 간균
- 아포를 만드는 균: 바실러스속 (탄저균, 고초균 등)과 클로스트리디움속 (파상풍균, 보툴리누스균 등)
- 코리네박테리움속 (디프테리아균 등)
- 리스테리아속
- 유산 간균 (락토바실루스속, 비피도박테리움속)
- 프로피오니박테리움속 (여드름의 원인이 되는 아크네균 등)
- 방선균 (악티노마이세스속 등)
- 그람 부정성
- 항산균 (분류상 방선균에 가깝고 그람 양성: 결핵균, 나균 등)
4. 2. 그람음성균
그람음성세균은 일반적으로 두 개의 막 사이에 얇은 층의 펩티도글리칸을 가지고 있는 '두 겹 막' 구조이다.[25] 지질다당류(LPS)는 대부분의 그람음성세균 세포 표면에서 가장 풍부한 항원으로, 대장균(E. coli)과 살모넬라(Salmonella)의 외부 막의 최대 80%를 차지한다.[26] O-항원(O-다당류), 핵심 다당류 및 지질 A로 구성된 이러한 LPS 분자는 세포의 음전하에 기여하고 특정 화학 물질로부터 보호하는 것을 포함하여 여러 기능을 수행한다. LPS의 역할은 숙주-병원체 상호 작용에서 매우 중요하며, O-항원은 면역 반응을 유발하고 지질 A는 내독소 역할을 한다.[21]
외부 막은 선택적 장벽 역할을 하며, 특정 분자가 통과할 수 있는 기공을 형성하는 막횡단 단백질인 포린에 의해 조절된다. 세포막과 외부 막 사이의 공간인 주형질 공간에는 영양소 처리를 위한 주형질 효소가 포함되어 있다. 펩티도글리칸 층과 외부 막을 연결하는 중요한 구조적 구성 요소는 브라운의 지단백질이며, 이는 세균 세포벽에 추가적인 안정성과 강도를 제공한다.[21]
대부분의 세균 문은 그람 음성으로, 남세균, 녹황세균 및 대부분의 프로테오박테리아가 이에 속한다(예외는 리케차목의 일부 구성원과 장내세균목의 곤충 내공생체이다).[8][20]
그람 음성균은 그 외막이 협막이나 점액층으로 덮인 구조를 가진 경우가 많으며, 일반적인 경향으로는 상대적으로 병원성이 높다. 이러한 구조는 세균 세포의 항원을 숨기고 위장하는 것처럼 작용한다. 인간의 면역계는 이물질을 항원에 의해 인식하기 때문에, 항원이 숨겨지면 침입해 온 것을 인체가 탐지하기 어려워진다. 협막의 존재는 종종 병원균의 독성을 높인다. 게다가 그람 음성균은 외막에 내독소를 가지고 있는데, 이것이 염증을 악화시키고 심한 경우에는 패혈증성 쇼크를 일으키기도 한다.
대표적인 그람 음성균은 다음과 같다.
- 구균
- 나이세리아속 (임균 등)
- 브라나멜라 카타랄리스
- 간균
- 슈도모나스속 (녹농균 등)
- 장내세균과 (대장균, 살모넬라, 이질균, 페스트균, 클레브시엘라속 등)
- 레지오넬라 (단, 레지오넬라는 그람 염색에서는 염색성이 좋지 않으므로 미생물학적인 동정에는 히메네스 염색을 사용한다.)
- 헤모필루스속 (인플루엔자균 등)
- 브루셀라속
- 보르데텔라속 (백일해균 등)
- 나선형 간균
- 비브리오속 (콜레라균, 장염 비브리오 등, 콤마 모양을 띰)
- 스피로헤타, 스피릴룸 등
- 리케차, 클라미디아는 세포벽에 펩티도글리칸을 결여한다.
4. 3. 그람 가변성 및 부정성 세균
일부 세균은 그람 염색 후 분홍색과 보라색 세포가 혼합되어 나타나는 그람 가변성 패턴을 보인다.[16][27] 바실루스속( ''Bacillus''), 부티리비브리오속( ''Butyrivibrio''), 클로스트리디움속( ''Clostridium'') 배양에서 성장하는 동안 펩티도글리칸 두께가 감소하면 그람 음성으로 염색되는 세포 수가 증가한다.[27] 또한, 모든 세균에서 배양액의 나이는 그람 염색 결과에 영향을 줄 수 있다.[27]그람 불확정 세균은 그람 염색에 예측 가능하게 반응하지 않으므로 그람 양성 또는 그람 음성으로 결정할 수 없다. 예를 들어 미코박테리움속( ''Mycobacterium'')에는 소결핵균( ''Mycobacterium bovis''), 나균( ''Mycobacterium leprae''), 결핵균(''Mycobacterium tuberculosis'') 등 많은 종이 있으며, 이 중 나균과 결핵균은 각각 나병과 결핵의 원인균이다.[28][29] 마이코플라스마속(''Mycoplasma'') 세균은 세포막 주변에 세포벽이 없어[30] 그람 염색되지 않으며, 세포벽 합성을 표적으로 하는 항생제에 내성을 보인다.[31][32]
5. 그람 염색과 관련된 기타 사항
한스 크리스티안 그람의 이름에서 유래된 '그람 염색(Gram stain)'은 이름씨(Gram)를 대문자로 표기하지만, 일반 명사인 염색(stain)은 소문자로 표기한다.[74] 이름씨 형용사인 '그람양성(gram-positive)'과 '그람음성(gram-negative)'의 첫 글자는 스타일 가이드에 따라 대문자 'G' 또는 소문자 'g'로 표기할 수 있다. 미국 질병통제예방센터와 AMA 스타일 같은 곳에서는 소문자 스타일을 사용한다.[75] 여러 사전에서 소문자,[76][77] 대문자,[78][79][80][81] 또는 둘 다[82][83] 사용한다. 많은 과학 저널 기사 및 간행물에서 대문자 표기(Gram-positive 또는 Gram-negative)가 일반적이다.[83][84][85] 형용사인 그람양성 및 그람음성에 소문자를 사용하더라도 일반적으로 그람 염색(Gram stain)에는 대문자를 사용한다.
진핵 세포 (동물 세포는 그람 음성, 식물 세포나 진균 세포는 그람 양성) 및 고세균도 그람 염색을 할 수 있지만, 세균과는 다른 세포벽 구조를 가지고 있어 염색 결과의 의미가 다를 수 있다.[49][50][51] 고세균은 계통발생학적 분류군을 따르지 않는 매우 다양한 반응을 나타내기 때문에 그람 염색은 고세균을 분류하는 데 사용되지 않는다.[9]
일부 생물은 그람 변이성(음성 또는 양성으로 염색될 수 있음을 의미)을 띤다. 일부는 그람 염색법에 사용되는 두 염료로 염색되지 않아 보이지 않는다.
5. 1. 철자법
한스 크리스티안 그람의 이름에서 유래된 '그람 염색(Gram stain)'은 이름씨(Gram)를 대문자로 표기하지만, 일반 명사인 염색(stain)은 소문자로 표기한다.[74] 이름씨 형용사인 '그람양성(gram-positive)'과 '그람음성(gram-negative)'의 첫 글자는 스타일 가이드에 따라 대문자 'G' 또는 소문자 'g'로 표기할 수 있다. 미국 질병통제예방센터와 AMA 스타일 같은 곳에서는 소문자 스타일을 사용한다.[75] 여러 사전에서 소문자,[76][77] 대문자,[78][79][80][81] 또는 둘 다[82][83] 사용한다. 많은 과학 저널 기사 및 간행물에서 대문자 표기(Gram-positive 또는 Gram-negative)가 일반적이다.[83][84][85] 논문이 저널에 제출되면 각 저널은 포스트프린트 버전에 자체 스타일을 적용하거나 적용하지 않을 수 있으며, 프리프린트 버전에는 저자가 사용한 스타일이 포함된다. 형용사인 그람양성 및 그람음성에 소문자를 사용하더라도 일반적으로 그람 염색(Gram stain)에는 대문자를 사용한다.5. 2. 진핵 세포 및 고세균의 그람 염색
진핵 세포 (동물 세포는 그람 음성, 식물 세포나 진균 세포는 그람 양성) 및 고세균도 그람 염색을 할 수 있지만, 세균과는 다른 세포벽 구조를 가지고 있어 염색 결과의 의미가 다를 수 있다.[49][50][51] 고세균은 계통발생학적 분류군을 따르지 않는 매우 다양한 반응을 나타내기 때문에 그람 염색은 고세균을 분류하는 데 사용되지 않는다.[9]일부 생물은 그람 변이성(음성 또는 양성으로 염색될 수 있음을 의미)을 띤다. 일부는 그람 염색법에 사용되는 두 염료로 염색되지 않아 보이지 않는다.
참조
[1]
웹사이트
Gram Stain: MedlinePlus Medical Test
https://medlineplus.[...]
[2]
간행물
Gram Staining
2005
[3]
간행물
On the Mechanism of the Gram Stain
https://academic.oup[...]
1955-07-01
[4]
간행물
The Gram stain and the etiology of lobar pneumonia, an historical note
1960
[5]
간행물
THE GRAM STAIN
1952-03
[6]
서적
Über die isolierte Färbung der Schizomyceten in Schnitt- und Trockenpräparaten
1884
[7]
서적
Sherris Medical Microbiology
McGraw Hill
2004
[8]
서적
Brock Biology of Microorganisms
https://archive.org/[...]
Lippincott Williams & Wilkins
2004
[9]
간행물
Use of the Gram stain in microbiology
2001
[10]
간행물
First notification of positive blood cultures: High accuracy of the Gram stain report
2007
[11]
서적
Microbiology: Principles and Explorations
Prentice Hall
1993
[12]
웹사이트
Medical Chemical Corporation
http://www.med-chem.[...]
2016-03-09
[13]
서적
Microbiology Laboratory Theory and Application
Morton Publishing Company
2014
[14]
웹사이트
Stain theory – What a mordant is not
http://stainsfile.in[...]
2016-03-09
[15]
웹사이트
Gram Stain
http://www.austincc.[...]
Austin Community College
2017-05-26
[16]
서적
Pharmaceutical Microbiology: Essentials for Quality Assurance and Quality Control
Elsevier Science
2015-10-21
[17]
웹사이트
Gram's Serendipitous Stain
http://hardydiagnost[...]
[18]
간행물
Cellular responses of ''Bacillus subtilis'' and ''Escherichia coli'' to the Gram stain
1983-11
[19]
간행물
Chemical mechanism of the Gram stain and synthesis of a new electron-opaque marker for electron microscopy, which replaces the iodine mordant of the stain
1983-11
[20]
서적
Introductory Essays
https://www.springer[...]
Springer
2005-07-26
[21]
서적
General Microbiology
https://open.oregons[...]
Oregon State University
2019-08-01
[22]
간행물
Genome Diversity of Spore-forming Firmicutes
2013-12-27
[23]
웹사이트
Practical Medical Microbiology
http://qu.edu.iq/el/[...]
[24]
웹사이트
The Acid Fast Stain
http://www2.highland[...]
Georgia Highlands College
2017-06-10
[25]
간행물
One or two membranes? Diderm Firmicutes challenge the Gram-positive/Gram-negative divide
https://hal.archives[...]
[26]
간행물
Outer Membrane Vesicles of Gram-Negative Bacteria: An Outlook on Biogenesis
[27]
간행물
Mechanism of Gram Variability in Select Bacteria
1990-03
[28]
서적
Microbiology: Principles and Exploration
John Wiley & Sons
2012
[29]
서적
Differential staining of bacteria: Acid fast stain
2009
[30]
서적
Sherris Medical Microbiology
McGraw Hill
[31]
간행물
Diagnosis and antimicrobial therapy of Mycoplasma hominis meningitis in adults
2012-12
[32]
간행물
Antimicrobial Resistance in Mycoplasma spp
2018-07
[33]
서적
New Hart's Rules: The Oxford Style Guide
https://books.google[...]
Oxford University Press
2014-08-28
[34]
웹사이트
Preferred Usage
http://wwwnc.cdc.gov[...]
Centers for Disease Control and Prevention
[35]
웹사이트
Dorland's Illustrated Medical Dictionary
https://www.dorlands[...]
Elsevier
2020-06-05
[36]
간행물
gram–positive
http://www.merriam-w[...]
Encyclopædia Britannica, Inc.
[37]
웹사이트
Gram-positive
http://www.collinsdi[...]
HarperCollins
[38]
웹사이트
Gram stain
https://web.archive.[...]
Oxford University Press
[39]
웹사이트
Gram-positive
http://www.medicinen[...]
[40]
웹사이트
Gram negative/positive
https://web.archive.[...]
2016-10-20
[41]
웹사이트
gram-pos·i·tive or Gram-pos·i·tive
https://ahdictionary[...]
Houghton Mifflin
[42]
웹사이트
Gram-positive
http://www.dictionar[...]
[43]
논문
Through the wall: Extracellular vesicles in Gram-positive bacteria, mycobacteria and fungi
2015
[44]
논문
Detecting Gram-negative bacteria
2015-06-12
[45]
논문
Gram’s Stain Does Not Cross the Bacterial Cytoplasmic Membrane
https://pubs.acs.org[...]
2015-07-17
[46]
논문
Gram Staining
2005
[47]
논문
The Gram stain and the etiology of lobar pneumonia, an historical note
1960
[48]
논문
Über die isolierte Färbung der Schizomyceten in Schnitt- und Trockenpräparaten
1884
[49]
서적
Sherris Medical Microbiology
https://archive.org/[...]
McGraw Hill
2004
[50]
서적
Brock Biology of Microorganisms
https://archive.org/[...]
Lippincott Williams & Wilkins
2004
[51]
논문
Use of the Gram stain in microbiology
2001
[52]
논문
First notification of positive blood cultures: High accuracy of the Gram stain report
2007
[53]
서적
Microbiology: Principles and Explorations
Prentice Hall
1993
[54]
웹인용
Medical Chemical Corporation
http://www.med-chem.[...]
2016-03-09
[55]
서적
Microbiology Laboratory Theory and Application
Morton Publishing Company
2014
[56]
웹인용
Stain theory – What a mordant is not
https://web.archive.[...]
2016-03-09
[57]
웹인용
Gram Stain
http://www.austincc.[...]
Austin Community College
2017-05-26
[58]
서적
Pharmaceutical Microbiology: Essentials for Quality Assurance and Quality Control
2015-10-21
[59]
웹인용
Gram's Serendipitous Stain
http://hardydiagnost[...]
[60]
논문
Cellular responses of ''Bacillus subtilis'' and ''Escherichia coli'' to the Gram stain
https://archive.org/[...]
1983-11
[61]
논문
Chemical mechanism of the Gram stain and synthesis of a new electron-opaque marker for electron microscopy, which replaces the iodine mordant of the stain
1983-11
[62]
서적
Introductory Essays
https://www.springer[...]
Springer
2005-07-26
[63]
논문
Genome Diversity of Spore-forming Firmicutes
2013-12-27
[64]
웹인용
Practical Medical Microbiology
http://qu.edu.iq/el/[...]
[65]
웹인용
The Acid Fast Stain
https://web.archive.[...]
Georgia Highlands College
2017-06-10
[66]
논문
One or two membranes? Diderm Firmicutes challenge the Gram-positive/Gram-negative divide
https://hal.archives[...]
[67]
논문
Outer Membrane Vesicles of Gram-Negative Bacteria: An Outlook on Biogenesis
[68]
논문
Mechanism of Gram Variability in Select Bacteria
1990-03
[69]
서적
Microbiology: Principles and Exploration
https://archive.org/[...]
John Wiley & Sons
2012
[70]
서적
Differential staining of bacteria: Acid fast stain
2009
[71]
서적
Sherris Medical Microbiology
https://archive.org/[...]
McGraw Hill
[72]
저널
Diagnosis and antimicrobial therapy of Mycoplasma hominis meningitis in adults
2012-12
[73]
저널
Antimicrobial Resistance in Mycoplasma spp
2018-07
[74]
서적
New Hart's Rules: The Oxford Style Guide
https://books.google[...]
Oxford University Press
2014-08-28
[75]
웹인용
Preferred Usage
http://wwwnc.cdc.gov[...]
Centers for Disease Control and Prevention
[76]
웹인용
Dorland's Illustrated Medical Dictionary
https://www.dorlands[...]
Elsevier
2020-06-05
[77]
인용
gram–positive
http://www.merriam-w[...]
Encyclopædia Britannica, Inc.
[78]
웹인용
Gram-positive
http://www.collinsdi[...]
HarperCollins
[79]
웹인용
Gram stain
https://www.lexico.c[...]
Oxford University Press
[80]
웹인용
Gram-positive
http://www.medicinen[...]
2023-07-04
[81]
웹인용
Gram negative/positive
http://www.businessd[...]
2016-10-20
[82]
웹인용
gram-pos·i·tive or Gram-pos·i·tive
https://ahdictionary[...]
Houghton Mifflin
[83]
웹인용
Gram-positive
http://www.dictionar[...]
[84]
저널
Through the wall: Extracellular vesicles in Gram-positive bacteria, mycobacteria and fungi
2015
[85]
저널
Detecting Gram-negative bacteria
2015-06-12
본 사이트는 AI가 위키백과와 뉴스 기사,정부 간행물,학술 논문등을 바탕으로 정보를 가공하여 제공하는 백과사전형 서비스입니다.
모든 문서는 AI에 의해 자동 생성되며, CC BY-SA 4.0 라이선스에 따라 이용할 수 있습니다.
하지만, 위키백과나 뉴스 기사 자체에 오류, 부정확한 정보, 또는 가짜 뉴스가 포함될 수 있으며, AI는 이러한 내용을 완벽하게 걸러내지 못할 수 있습니다.
따라서 제공되는 정보에 일부 오류나 편향이 있을 수 있으므로, 중요한 정보는 반드시 다른 출처를 통해 교차 검증하시기 바랍니다.
문의하기 : help@durumis.com