충수염
"오늘의AI위키"의 AI를 통해 더욱 풍부하고 폭넓은 지식 경험을 누리세요.
1. 개요
충수염은 충수에 염증이 생기는 질환으로, 서구에서는 일생 동안 약 8%의 발생률을 보이며, 10대에서 30대 사이에 가장 흔하게 발생한다. 급성 충수염은 가장 흔한 외과적 응급 질환 중 하나로, 충수의 폐쇄로 인해 발생하며, 식모, 이물질, 림프절병증 등이 원인이 될 수 있다. 주요 증상으로는 급성 복통, 메스꺼움, 구토, 발열 등이 있으며, 오른쪽 아랫배 통증이 특징적이다. 진단은 환자의 병력, 증상 평가, 신체 검사, 실험실 검사, 영상 검사 등을 종합하여 이루어지며, Alvarado 점수와 같은 점수 시스템이 활용되기도 한다. 치료는 수술적 치료인 충수 절제술이 일반적이며, 항생제 치료를 시도하기도 한다. 수술 전후 관리가 중요하며, 합병증 발생 시 조기에 대처해야 한다. 치료가 늦어지거나 복막염이 발생하면 사망에 이를 수도 있다.
더 읽어볼만한 페이지
- 일반외과 - 농양
농양은 세균, 기생충, 이물질로 인해 조직, 장기, 제한된 공간에 고름이 국소적으로 축적된 감염 집합체로, 황색포도상구균이 주 원인균이며 절개 및 배농을 통해 치료하고 심각한 경우 항생제를 사용한다. - 일반외과 - 메켈 곁주머니
메켈 곁주머니는 인구의 약 2%에서 발생하는 소화관 기형으로, 회맹판에서 60cm 이내 위치하며 무증상인 경우가 많지만 출혈, 장폐색, 곁주머니염 등의 합병증을 유발하여 수술적 치료가 필요할 수 있다. - 급성 통증 - 강간
- 급성 통증 - 화상
화상은 열, 화학물질, 전기, 방사선 등으로 피부와 조직이 손상되는 것으로, 심한 정도에 따라 증상이 다르게 나타나며 원인에 따라 다양한 치료법이 적용되고 심각한 경우 생명을 위협할 수 있다. - 염증 - 신장염
신장염은 콩팥에 발생한 염증으로, 자가면역질환, 요로감염, 루푸스, 격렬한 운동 등이 원인이 되어 혈뇨, 핍뇨, 요독증, 고혈압 등의 증상을 유발하며, 혈액 검사, X레이, 초음파 등으로 진단하고 원인에 따라 치료한다. - 염증 - 신우신염
신우신염은 신장의 신우와 신실질에 발생하는 감염으로, 급성(고열, 배뇨통, 옆구리 통증)과 만성(지속적인 옆구리 통증, 체중 감소)으로 나뉘며, 대장균과 장구균이 주요 원인균이고, 항생제로 치료하며, 요로의 구조적 이상, 당뇨병, 면역 저하 등이 위험 요인이다.
| 충수염 | |
|---|---|
| 질병 개요 | |
| 한국어 명칭 | 충수염 |
| 영어 명칭 | appendicitis |
| 동의어 | 막창자꼬리염, 맹장염, 맹장꼬리염, 충수돌기염, 상장결장염 |
| 진료과 | 일반외과 |
| 임상 정보 | |
| 증상 | 배꼽 주위 또는 오른쪽 하복부 복통, 구토, 식욕부진 |
| 합병증 | 복막염, 패혈증 |
| 진단 방법 | 증상 기반, 의료 영상, 혈액 검사 |
| 감별 진단 | 장간막 림프절염, 담낭염, 허리근 농양, 복부 대동맥류 |
| 치료 | 충수절제술, 항생제 |
| 통계 | |
| 발생 빈도 (2015년) | 1160만 건 |
| 사망자 수 (2015년) | 50,100명 |
| 의학 분류 | |
| ICD-10 | K35-K37 |
| ICD-9 | 540-543 |
2. 역학
서구에서는 일생동안 약 8%가 충수염을 겪으며, 주로 10대에서 30대 사이에 발생한다. 한국에서는 20대 초반에 발생률이 높다.[139] 급성 충수염은 외과적 응급질환 중 가장 흔하며, 빠른 외과적 처치가 중요하다.
충수염의 원인은 다양하며, 명확하게 밝혀지지 않은 경우도 많다. 일반적으로 다음과 같은 요인들이 충수염을 유발하는 것으로 알려져 있다.
충수염은 주로 5세에서 40세 사이에 발생한다.[106] 2013년 전 세계적으로 충수염으로 인해 72,000명이 사망했으며, 이는 1990년의 88,000명보다 감소한 수치이다.[107]
미국에서는 2010년에 약 293,000명이 충수염으로 입원했다.[9] 충수염은 미국에서 5세에서 17세 사이 어린이의 응급실 방문 원인 중 가장 흔한 질환이다.[108]
가족력이 있는 성인이 응급실에 내원하는 경우, 그렇지 않은 사람보다 충수염에 걸릴 확률이 더 높다.[109]
충수염은 젊은 층부터 노년층까지 폭넓게 발생하며, 남녀 간 발생률 차이는 뚜렷하지 않다. 다만, 남녀 모두 10대에서 20대에 발병하는 경우가 다른 연령대보다 약간 더 많다. 급성 충수염 발생 건수는 여름에 많고 겨울에 적은 계절적 변동을 보인다는 보고가 있으나, 그 원인은 아직 밝혀지지 않았다.[119]
선진국에서 개발도상국보다 충수염 발병률이 높다는 보고가 있지만, 조사 대상 의료기관 표본 수가 적어 유의미한 결과로 보기 어렵다는 지적도 있다.[119]
3. 원인
3. 1. 급성 충수염

급성 충수염은 충수의 일차적인 폐쇄로 인해 발생하는 것으로 보인다.[20][4] 폐쇄가 발생하면 충수가 점액으로 채워지고 부어오른다. 이로 인해 점액 생산이 계속되면 충수 내강과 벽 내의 압력이 증가한다. 압력 증가는 소혈관의 혈전증 및 혈관 폐쇄를 초래하고, 림프계 흐름을 정체시킨다. 이 시점에서는 자연 치유가 거의 일어나지 않는다. 혈관 폐쇄가 진행됨에 따라 충수는 허혈 상태가 되고 이후 괴사된다. 세균이 죽어가는 벽을 통해 새어 나오기 시작하면 충수 내부와 주변에 고름이 형성된다(화농). 그 결과는 충수 파열('터진 충수')로 이어져 복막염을 일으키며, 이는 패혈증으로 이어질 수 있고, 드물게는 사망에 이를 수 있다.
원인 물질로는 식모, 이물질, 외상[21][22], 림프절병증, 그리고 가장 흔하게는 충수결석 또는 분변석이라고 알려진 석회화된 분변 침전물이 있다.[23][26] 충수염 환자에서 분변종을 막는 현상은 선진국에서 개발도상국보다 더 높기 때문에 주목받고 있다.[24] 또한, 충수결석은 복잡한 충수염과 흔히 관련되어 있다.[25] 급성 충수염 환자가 건강한 대조군에 비해 주당 배변 횟수가 적다는 점에서 분변 정체 및 정지가 역할을 할 수 있다.[26][27]
충수 내의 분변석 발생은 결장 내 우측 분변 보관소와 연장된 통과 시간에 기인하는 것으로 생각되었다. 그러나 후속 연구에서는 연장된 통과 시간이 관찰되지 않았다.[28] 게실 질환과 선종성 폴립은 역사적으로 알려지지 않았고, 결장암은 충수염 자체가 드물거나 없는 다양한 아프리카 지역 사회와 같이 매우 드물었다. 연구에 따르면 이러한 지역 사회에서 충수염의 빈도 증가와 기타 앞서 언급한 결장 질환은 서구식 식단으로의 전환과 식이 섬유 섭취 감소와 관련이 있다.[29][30] 급성 충수염은 결장 및 직장 내 암 발생의 선행 요인으로 나타났다.[31] 여러 연구에서는 낮은 섬유질 섭취가 충수염 발병 기전에 관여한다는 증거를 제시한다.[32][33][34] 이러한 식이 섬유 섭취량 감소는 우측 분변 보관소의 발생과 식이 섬유가 통과 시간을 줄인다는 사실과 일치한다.[35]
어떤 원인으로 충수 내부에서 세균이 증식하여 염증을 일으킨 상태이다. 염증이 진행되면 충수는 천공을 일으키고, 고름이나 장액이 복강 내로 흘러나와 복막염을 일으키며, 패혈증으로 인해 사망에 이를 수도 있다. 원인은 다양하며, 명확하지 않은 경우도 많지만, 바이러스 감염이나 분변석 등의 이물질에 의해 림프 소절이 팽창하고, 바륨[111] 또는 이물질에 의한 내강 폐쇄로 인해 혈류 정체가 발생하여 세균 증식을 유발, 점막 손상 및 염증으로 이어진다.[119] 요충 감염[112], 식물의 씨앗[113], 물고기 뼈[113][114], 폐암의 충수 전이[115], 오염된 유치[116], 틀니[117] 등의 보고가 있다.
4. 발생학 및 해부
충수(막창자꼬리라고도 부름), 회장, 상행 결장은 모두 중간 창자(Midgut)에서 기원한다. 이 중 충수는 임신 8주 차에 맹장의 형성과 함께 나타나 점차 내측으로 회전하게 되며, 맹장이 고정되며 우하 복부에 위치하게 된다.[1]
5. 증상
급성 충수염의 증상은 전형적인 증상과 비전형적인 증상으로 나뉜다.[37] 진단학에서 충수염의 병태 생리는 다음과 같이 이해된다. 먼저 충수에 이물질 등이 저류하고 세균이 번식하여 관강 내압이 상승하면서 명치 부위의 둔통 형태의 연관통이 발생한다. 장관 점막에 염증이 생기면 우하복부의 둔통 형태의 내장통이 발생한다. 염증이 더 진행되면 관강 안쪽에서 바깥쪽, 즉 장측 복막으로 파급된다. 장관의 움직임 등으로 장측 복막이 벽측 복막과 접촉하고, 염증이 벽측 복막으로 파급되면 우하복부의 날카로운 통증으로 체성통이 발생한다. 이때 반동 압통 (블룸버그 징후)과 같은 복막 자극 증상이 나타난다. 염증이 심해지고 조직 손상이 강해지면 연관통, 내장통, 체성통 순으로 진행된다. 드문 합병증으로 장요근 농양이 있다.[120]
5. 1. 전형적 증상
급성 충수염의 전형적인 증상으로는 급성 복통, 메스꺼움, 구토, 발열 등이 있다. 충수가 더 부어오르고 염증이 생기면 인접한 복벽을 자극하기 시작하는데, 이로 인해 통증은 오른쪽 아랫부분에 국한된다. 이러한 전형적인 통증의 이동은 3세 미만의 어린이에게는 나타나지 않을 수 있다. 충수염으로 인한 통증은 배꼽 주변의 둔한 통증으로 시작되어 날카로운 통증으로 바뀔 수 있으며, 몇 시간 후에는 일반적으로 오른쪽 아랫부분으로 이동하여 국한된다. 오른쪽 엉덩뼈오목에서 국한된 소견이 나타나며, 복벽은 가벼운 압력에도 매우 민감해진다(촉진). 하복부의 깊은 긴장을 갑자기 풀 때 통증이 발생하는 블룸버그 징후가 나타나기도 한다.[37]
충수가 맹장 뒤에 위치하는 경우(맹장) 오른쪽 아랫부분에 깊은 압력을 가해도 압통을 유발하지 못할 수 있는데(침묵 충수), 이는 가스로 팽창된 맹장이 염증이 있는 충수를 압력으로부터 보호하기 때문이다. 마찬가지로, 충수가 골반 내에 완전히 위치하는 경우 일반적으로 복부 경직이 완전히 나타나지 않으며, 이러한 경우 디지털 직장 검사를 통해 직장방광와에서 압통을 유발할 수 있다. 기침은 맥버니 지점에서 압통을 유발하는데, 이를 던피 징후라고 한다.
전형적인 충수염은 구역, 식욕 부진과 관련된 이동성 오른쪽 엉덩뼈 오목 통증이 특징이며, 구토와 국소 근육 경직/일반적인 복부 경직의 동반 여부는 상관없다.[37] 내장 역위가 있는 사람의 경우 통증이 왼쪽 아랫배로 국한될 수 있다.[38] 배꼽 부위 통증이 오른쪽 아랫배로 이동하고, 식욕 부진, 구역, 지속적이지 않은 구토, 경미한 발열이 동반되는 것은 전형적인 증상이다.[37]
우하복부 통증이 잘 알려져 있지만, 전형적으로는 먼저 명치 부근에 통증이 나타나고, 시간이 지남에 따라 우하복부로 이동하는 경우가 많다. 그 외의 주요 증상으로는 식욕 부진, 구토, 발열 등이 있다.
5. 2. 비전형적 증상
비전형적인 증상은 전형적인 증상 진행 과정을 따르지 않고, 초기 증상으로 오른쪽 아랫배 통증이 나타날 수 있다.[12] 복막(복벽의 안쪽 덮개)이 자극되면 움직이거나 흔들릴 때, 예를 들어 과속 방지턱을 넘을 때 통증이 심해질 수 있다.[39] 이러한 비전형적인 증상의 경우 초음파나 CT 스캔과 같은 영상 검사가 필요한 경우가 많다.[12]
6. 진단
충수염은 흔한 질환이지만, 장염, 대장 게실증, 난소염, 난관염, 변비 등 다른 여러 질환과 증상이 비슷하여 정확한 진단이 어려울 수 있다.[36] 의사는 환자의 병력 청취, 증상 평가, 신체 검사, 검사실 및 영상 검사 등을 종합하여 "가장 가능성이 높은 질환"으로 충수염을 진단한다.[36]
- 전형적인 충수염: 구역, 식욕 부진과 함께 오른쪽 엉덩뼈 오목 통증이 나타나며, 구토와 복부 근육 경직 등이 동반될 수 있다. 내장 역위 환자는 왼쪽 아랫배 통증이 나타날 수 있다.[37][38]
- 비전형적인 충수염: 초기부터 오른쪽 아랫배 통증이 나타날 수 있으며, 움직임이나 과속 방지턱을 넘을 때 통증이 심해질 수 있다. 이 경우 초음파나 CT 스캔 검사가 필요할 수 있다.[12]
CT 스캔으로 염증 때문에 커진 충수를 확인하면 진단이 거의 확실하지만, 모든 경우에 나타나는 것은 아니다.[36] 유아나 노인은 증상이나 염증 소견이 약한 경우가 많아 진단이 늦어질 수 있으며, 이는 감염에 대한 생체 반응이 약하기 때문으로 생각된다.[36] 임산부의 경우 자궁 때문에 충수 위치가 변하고 전형적인 증상이 나타나지 않을 수 있으며, 염증이 심해지는 경향이 있다.[36]
Alvarado 점수(MANTRELS 점수)는 충수염 진단에 자주 사용되는 도구이다.[127]
| 항목 | 점수 |
|---|---|
| 이동성 오른쪽 장골와 통증 | 1점 |
| 식욕 부진 | 1점 |
| 메스꺼움 및 구토 | 1점 |
| 오른쪽 장골와 압통 | 2점 |
| 반동성 복부 압통 | 1점 |
| 발열 | 1점 |
| 높은 백혈구 수치 (백혈구 증가증) | 2점 |
| 좌측 이동 (분절된 호중구) | 1점 |
| 총점 | 10점 |
10점 만점 중 6점 이상이면 급성 충수염을 의심하며, 7점 이상이면 민감도 76.3%, 특이도 78.8%로 보고된다.[127]
과거에는 극도로 비만한 사람의 경우 충수염 진단이 어렵다고 알려졌었다. 1938년 요코즈나 타마니시키 산에몬과 1971년 요코즈나 타마노우미 마사히로가 충수염으로 사망한 사건이 대표적이다. 타마니시키는 충수염을 악화시켜 복막염으로 사망했고, 타마노우미는 수술 후 폐 혈전으로 사망했다. 당시에는 비만 환자의 수술 후 혈전증 위험이 잘 알려지지 않았지만, 최근에는 이러한 위험 요인에 대한 인식이 높아졌다.
6. 1. 신체 검사
의사는 환자의 병력을 파악하고, 환자의 증상을 평가하며, 신체 검사를 시행하고, 검사실 및 영상 검사를 모두 주문한다.[36] 충수염 증상은 전형적인 증상과 비전형적인 증상으로 나뉜다.[37]전형적인 충수염은 구역, 식욕 부진과 관련된 이동성 오른쪽 엉덩뼈 오목 통증이 특징이며, 구토와 국소 근육 경직/일반적인 복부 경직의 동반 여부는 상관없다.[37] 내장 역위가 있는 사람의 경우 통증이 왼쪽 아랫배로 국한될 수 있다.[38] 배꼽 부위 통증이 오른쪽 아랫배로 이동하고, 식욕 부진, 구역, 지속적이지 않은 구토, 경미한 발열이 동반되는 것은 전형적인 증상이다.[37]
비전형적인 병력은 이러한 전형적인 진행 과정을 따르지 않으며, 초기 증상으로 오른쪽 아랫배 통증을 포함할 수 있다. 복막(복벽의 안쪽 덮개)의 자극은 움직임이나 흔들림, 예를 들어 과속 방지턱을 넘을 때 통증을 증가시킬 수 있다.[39] 비전형적인 병력은 종종 초음파 또는 CT 스캔과 같은 영상 검사를 필요로 한다.[12]
충수염 진단의 초기 단계에서는 신체 검사에서 뚜렷한 소견이 나타나지 않는 경우가 많다. 질병이 진행되면서 염증 징후가 눈에 띄게 된다.[40]
| 징후 | 설명 | 민감도/특이도 |
|---|---|---|
| 오르-로자노바 징후 | 오른쪽 허리 삼각의 손가락으로 촉진 시 통증 증가 (양성 블룸버그 징후일 수 있음) | - |
| 바르토미에르-미켈슨 징후 | 검사 대상자가 등을 대고 누웠을 때보다 왼쪽으로 누웠을 때 오른쪽 장골 부위의 촉진 시 통증 증가 | - |
| 던피 징후 | 기침 시 오른쪽 하복부 사분면의 통증 증가 | - |
| 햄버거 징후 | 환자가 식사를 거부함 (식욕 부진은 충수염에 대해 80% 민감함) | - |
| 코셔 징후 | 환자의 병력에서 배꼽 부위의 통증이 시작되어 오른쪽 장골 부위로 이동 | - |
| 마수 징후 | 영국 남서부에서 개발되어 널리 사용되며, 검사자는 검상돌기에서 왼쪽 및 오른쪽 장골와까지 집게 손가락과 가운데 손가락으로 복부를 단단하게 쓸어 내림 | - |
| 폐쇄근 징후 | 검사 대상자는 엉덩이와 무릎을 90도로 굽힌 채 등을 대고 눕는다. 검사자는 한 손으로 환자의 발목을 잡고 다른 손으로 무릎을 잡는다. 검사자는 무릎을 안쪽으로만 움직이게 하면서 환자의 발목을 몸에서 멀리 움직여 엉덩이를 회전시킨다. 양성 검사는 엉덩이의 내회전 시 통증이 나타난다. | 민감도 8%, 특이도 94%[122] |
| 요근 징후 ("오브라츠소바 징후") | 오른쪽 엉덩이의 수동적 신전 또는 등을 대고 누운 상태에서 환자의 오른쪽 엉덩이의 능동적 굴곡으로 나타나는 오른쪽 하부 사분면 통증. 유발되는 통증은 장요근을 덮는 복막의 염증과 요근 자체의 염증 때문. 다리를 펴면 이러한 근육이 늘어나면서 통증이 유발되고, 엉덩이를 굽히면 장요근이 활성화되어 통증이 유발. | 민감도 16%, 특이도 95%[123] |
| 로브싱 징후 | 왼쪽 장골와에서 시작하여 위쪽으로(결장을 따라 시계 반대 방향) 지속적인 깊은 촉진 시 오른쪽 하복부 사분면의 통증. 장 내용물과 공기를 회맹판 쪽으로 밀어 넣어 충수 주위에 압력이 증가하여 오른쪽 복부 통증을 유발. | - |
| 로젠스타인 징후 (시트코프스키 징후) | 검사 대상자가 왼쪽으로 누웠을 때 오른쪽 장골 부위의 통증 증가 | - |
| 페르만 징후 | 급성 충수염에서 왼쪽 장골와를 촉진하면 오른쪽 장골와에 통증이 발생 | - |
| 과속 방지턱을 넘을 때 통증 | 자동차로 이송 중 과속 방지턱을 넘을 때의 진동으로 통증이 심해지면, 충수염일 가능성이 높음 | - |
| 압통점 | ||
| 맥버니 점 (McBurney 점) | 민감도 50-94%, 특이도 70-86% | |
| 란츠 점 (Lanz) | - | |
| 큄멜 점 (Kummel) | - | |
| 먼로 점 (Munro) | - | |
| 복막 자극 징후 | ||
| 반동 압통 (Blumberg's sign) | 복부를 압박한 후 갑자기 손을 뗄 때 통증이 심해지는 증상 | - |
| 근성 방어 | 복부 근육이 긴장하여 굳어진 상태 | - |
| 로브싱 징후 (en) | - | |
| 로젠스타인 징후 (en) | 왼쪽으로 누운 상태에서 맥버니 점을 압박했을 때, 똑바로 누운 자세보다 통증이 증가하는 것 | - |
| 힐 드롭 징후 (Heel drop sign) | 피검자가 입위에서 발꿈치를 들었다가, 발꿈치를 바닥에 세게 떨어뜨린다. 통증이 나타나면 양성. | 민감도 93%[124] |
6. 2. 실험실 검사
충수염을 진단하는 특정한 실험실 검사는 없지만, 감염이나 염증 징후를 확인하기 위해 전혈구 계산 (CBC) 검사를 실시한다. 충수염 환자의 70~90%에서 백혈구(WBC) 수치가 증가할 수 있지만, 다른 많은 복부 및 골반 질환도 WBC 수치를 증가시킬 수 있다.[48] 그러나 높은 WBC 수치만으로는 충수염의 확실한 지표가 될 수 없고, 염증을 나타낼 수 있으며,[11] 호중구 비율이 급성 충수염에 더 민감하고 특이적이다.[49]어린이의 경우, 호중구-림프구 비율(NLR)이 급성 충수염 진단에 높은 정확도를 보이며 단순 충수염과 합병성 충수염을 구별한다.[50] 환자의 75~78%에서 호중구 증가증이 나타난다.[42] 델타 호중구 지수(DNI)는 조직학적으로 정상적인 충수염을 진단하고 단순 충수염과 합병성 충수염을 구별하는 데 도움이 되는 유용한 매개변수이다.[51]
의사는 염증의 추가적인 원인이 있는지 확인하기 위해 [https://medlineplus.gov/lab-tests/c-reactive-protein-crp-test/ C-반응 단백질(CRP) 혈액 검사]를 요청할 것이다.[36] C-반응 단백질/알부민(CRP/ALB) 비율은 합병성 충수염의 신뢰할 수 있는 예측 인자가 될 수 있다.[52]
소변 검사는 복통의 원인으로 요로 감염을 배제하는 데 중요하다. 소변에서 고배율 시야당 20개 이상의 WBC가 나타나는 것은 요로 질환을 시사한다.[48] 환자가 여성인 경우, 임신 검사를 요청할 것이다.[36] 충수염에 특이적인 소견은 없으며, 염증 반응이 지표가 된다.[125]
| 검사 종류 | 설명 |
|---|---|
| 전혈구 계산 (CBC) | 감염 및 염증 징후 확인, 백혈구(WBC) 수치 증가 여부 확인 |
| 호중구-림프구 비율(NLR) (어린이) | 급성 충수염 진단 및 단순/합병성 충수염 구별 |
| 델타 호중구 지수(DNI) | 정상 충수염 진단 및 단순/합병성 충수염 구별 |
| C-반응 단백질(CRP) 혈액 검사 | 염증의 추가 원인 확인 |
| C-반응 단백질/알부민(CRP/ALB) 비율 | 합병성 충수염 예측 |
| 소변 검사 | 요로 감염 배제 |
| 임신 검사 (여성) | 임신 여부 확인 |
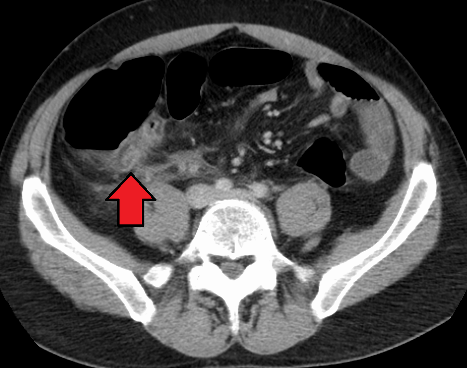
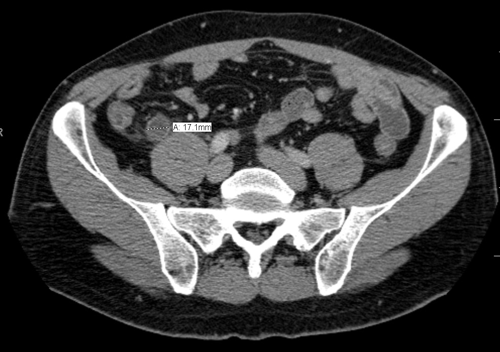
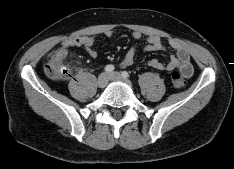
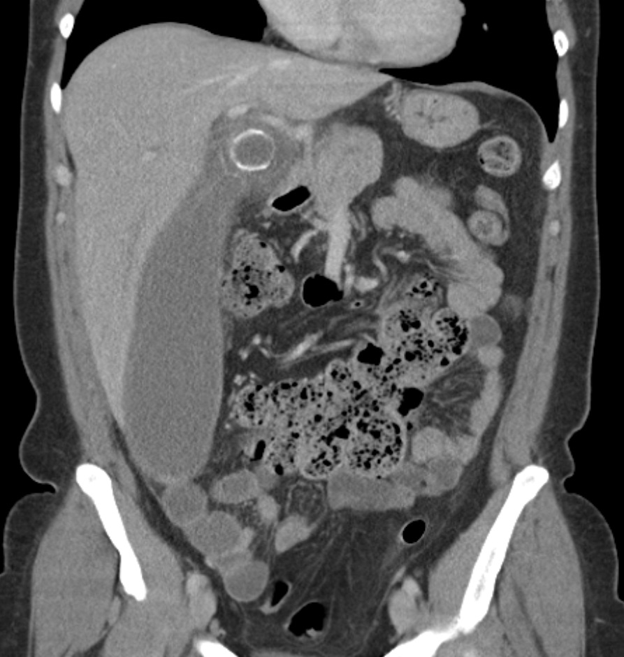
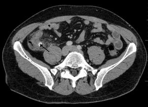
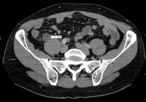
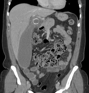
6. 3. 영상 검사
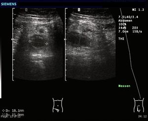
CT 스캔은 급성 충수염을 진단하는데 사용된다.[36] 의사는 환자의 병력과 증상을 평가하고, 신체 검사를 시행하며, 검사실 및 영상 검사를 모두 주문한다. 비전형적인 증상을 보이는 경우에는 초음파나 CT 스캔과 같은 영상 검사가 필요하다.[12] 소아는 방사선 노출 위험 때문에 초음파 검사를 우선적으로 시행하며, 결과가 불확실한 경우에만 CT 스캔을 추가로 시행한다.[54][55][56] 성인 및 청소년의 경우 CT 스캔이 초음파 검사보다 더 정확하며, 민감도 94%, 특이도 95%를 보인다. 반면 초음파 검사는 민감도 86%, 특이도 81%이다.[57]복부 초음파 검사, 특히 도플러 초음파는 특히 소아에게서 충수염 진단에 유용하다. 초음파 검사에서는 오른쪽 장골와에서 액체 저류, 컬러 도플러 사용 시 혈류 증가, 충수의 비압착성 등이 관찰된다. 급성 충수염의 다른 징후로는 충수 주변의 에코성 장간막 지방, 충수 결석의 음향 그림자 등이 있다.[58] 약 5%의 경우, 장골와 초음파 검사에서 이상이 발견되지 않지만, 이는 초기 충수염이거나 지방과 장내 가스로 인해 충수 확인이 어려운 성인에게서 흔하게 나타난다. 숙련된 검사자는 초음파 영상을 통해 충수염과 유사한 증상을 보이는 림프절 염증, 난소 또는 나팔관 문제 등을 구별할 수 있다.[60] 초음파 검사는 방사선과나 응급 의학 전문의가 시행할 수 있다.



컴퓨터 단층 촬영술(CT)은 병력 및 신체 검사에서 진단이 불확실한 경우에 자주 사용된다. 2019년 코크란 리뷰에 따르면 성인 급성 충수염 진단에 대한 CT의 민감도와 특이도는 높다.[62] 그러나 방사선 노출 우려로 인해 임산부와 어린이에게는 CT 사용을 제한하고, 자기 공명 영상(MRI) 사용이 증가하는 추세이다.[63][64]
충수염 진단은 충수 크기가 가장 중요하며, 6mm 이상이면 민감도와 특이도가 모두 95%이다.[65] 그러나 충수가 분변 물질로 채워져 팽창된 경우에는 진단이 어려울 수 있다.[66] 이 경우 초음파 검사가 유용하며, 주변 장에 비해 벽의 조영 증강, 주변 지방 염증 등의 특징으로 진단을 돕는다. 심한 경우 농성 염증, 고름집, 고름이나 장 내용물 누출로 인한 골반 내 액체 층이 관찰될 수 있다. 마른 환자는 지방 부족으로 충수와 주변 염증 관찰이 어려울 수 있다.[66]
자기 공명 영상(MRI)은 소아 및 임산부의 충수염 진단에 많이 사용된다. 건강한 성인에게는 방사선 위험이 거의 없지만, 소아나 태아에게는 해로울 수 있다.[67] 특히 임신 중기 및 후기에 유용하며, CT에서 지방 줄무늬로 보이는 충수 주변 섬유화는 MRI에서 액체 신호 증가로 나타난다. 임신 초기에는 태아의 기관 발생 문제로 MRI 대상이 되지 않는다.[68]

일반 복부 방사선 촬영(PAR)은 충수염 진단에 유용하지 않으며, 요관 결석, 소장 폐쇄, 천공성 궤양 감별에 제한적으로 사용된다.[69][70][71] 불투과성 분변결석은 5% 미만에서 확인된다.[48] 바륨 관장은 효과가 없는 것으로 입증되었다.[71]
CT 검사에서 충수 부종이나 주변 지방 조직 농도 상승이 관찰되며, 조영제 사용 시 민감도와 특이도가 모두 98%로 정확도가 높다. 최신 초음파 검사 장비는 맹장 형태 평가에 유용하지만, 맹장 위치나 장비, 검사자 숙련도에 따라 진단이 어려울 수 있다. 최근 소아 충수염 진단에서 컴퓨터 단층 촬영(CT) 검사는 감소하고 초음파 검사는 증가했지만, 임상 경과에는 변화가 없다는 보고가 있다.[126]
6. 4. 점수 시스템
의사는 환자의 병력을 파악하고, 환자의 증상을 평가하며, 완전한 신체 검사를 시행하고, 검사실 및 영상 검사를 모두 주문한다.[36] 충수염 증상은 전형적인 증상과 비전형적인 증상, 두 가지 범주로 나뉜다.[37]충수염이 있을 가능성이 있는 사람들을 식별하기 위해 여러 점수 시스템이 개발되었다.[72] 그러나 알바라도 점수 및 소아 충수염 점수와 같은 점수의 성능은 가변적이다.[73]
알바라도 점수는 가장 잘 알려진 점수 시스템이다. 5점 미만은 충수염 진단을 반대하며, 7점 이상은 급성 충수염을 예측한다. 5점 또는 6점의 애매한 점수를 가진 사람의 경우, 음성 충수 절제술의 비율을 줄이기 위해 CT 스캔 또는 초음파 검사를 사용할 수 있다. 알바라도 점수는 (두문자를 따서 MANTRELS 점수라고도 불린다) 진단 시 자주 사용된다. 10점 만점 중 6점 이상이면 급성 충수염을 의심한다. 7점 이상인 경우, 민감도는 76.3%, 특이도는 78.8%라는 보고가 있다.[127]
| 이동성 오른쪽 장골와 통증 | 1점 |
| 식욕 부진 | 1점 |
| 메스꺼움 및 구토 | 1점 |
| 오른쪽 장골와 압통 | 2점 |
| 반동성 복부 압통 | 1점 |
| 발열 | 1점 |
| 높은 백혈구 수치 (백혈구 증가증) | 2점 |
| 좌측 이동 (분절된 호중구) | 1점 |
| 총점 | 10점 |
|---|
7. 감별 진단

충수염과 비슷하여 구별해야 할 질환은 다음과 같다.[78]
- 어린이: 위장염, 장간막 림프절염, 메켈 게실염, 장중첩증, 헤노흐-쇤라인 자반병, 엽성 폐렴, 요로 감염, 새로 발생한 크론병 또는 궤양성 대장염, 췌장염, 아동 학대로 인한 복부 외상, 낭성 섬유증이 있는 어린이의 원위부 장 폐쇄 증후군, 백혈병이 있는 어린이의 장티푸스.
- 여성: 자궁외 임신, 골반 염증성 질환, 난소 꼬임, 초경, 월경통, 자궁내막증, 배란통.[78]
- 남성: 고환 꼬임
- 성인: 새로 발생한 크론병, 궤양성 대장염, 국소성 장염, 담낭염, 신산통, 천공된 소화성 궤양, 췌장염, 복직근초 혈종 및 대망 부속기염.
- 노인: 게실염, 장 폐쇄, 결장 선암종, 장간막 허혈, 누출 대동맥류.
"가성 충수염"이라는 용어는 충수염을 모방하는 상태를 설명하는 데 사용된다.[79] 이는 ''Yersinia enterocolitica''와 관련될 수 있다.[80]
충수염은 흔한 질환이지만 정확한 진단은 매우 어렵다. 복통을 일으키는 질환은 무수히 많으며, 우하복부 통증만 보더라도 장염, 대장 게실증, 난소염, 난관염, 심지어 단순한 변비 등도 고려해야 한다. 초음파 검사나 CT로 염증으로 종대한 충수가 확인되면 진단은 거의 확정되지만, 모든 사례에서 나타나는 것은 아니다. 따라서 충수염의 진단은 모든 정보를 종합적으로 판단한 결과 "가장 가능성이 높은 질환"으로 내려진다.
유아나 노인에서는 병세에 비해 증상이나 염증 소견이 약한 경우가 많아, 진단 및 치료가 지연되는 원인이 된다. 감염에 대한 생체 반응이 약하기 때문으로 생각된다.
임산부에서는 자궁에 압박되어 충수가 본래 위치에서 이동해 있으며, 전형적인 증상이 나타나지 않을 수 있다. 또한 염증이 국한되지 않고 중증화되는 경향이 있다.
| 항목 | 점수 |
|---|---|
| 통증의 중심에서 우측 하방으로의 이동 | 1 점 |
| 식욕 부진 | 1 점 |
| 구토 | 1 점 |
| 우하복부 압통 | 2 점 |
| 반동 압통 | 1 점 |
| 발열 | 1 점 |
| 백혈구 수>10000 /μL | 2 점 |
| 핵의 좌방 이동(호중구에서의 막대핵구의 증가) | 1 점 |
| 합계 | 10 점 |
Alvarado 점수[127](MANTRELS 점수)는 진단 시 자주 사용된다. 10점 만점 중 6점 이상이면 급성 충수염을 의심한다. 7점 이상인 경우, 민감도는 76.3%, 특이도는 78.8%라는 보고가 있다.
극도로 비만한 사람도 진단이 어려운 경향이 있으며, "씨름 선수가 맹장이 되면 생명을 잃는다"라는 속설이 있다. 이는 1938년 12월 4일에 요코즈나 타마니시키 산에몬과 1971년 10월 11일에 타마노우미 마사히로가 현역 스모 선수로 활동하던 중 개복 수술 후 얼마 지나지 않아 사망하는 충격적인 사건 이후 특히 유명해졌다. 타마니시키는 충수염에 걸렸음에도 의사의 진찰을 늦게 받아 복막염을 일으켰고, 수술 후 요양에 따르지 않아 사망했다. 타마노우미는 충수염을 복막염 직전까지 악화시켰음에도 약으로 통증을 완화해오다 수술 후 폐 혈전으로 급사했다. 씨름 선수는 복부 근육과 지방이 두꺼워 수술이 어렵고, 비만 환자는 수술 후 혈전증을 일으키기 쉽지만, 당시에는 알려지지 않았다. 타마노우미는 타마니시키의 손제자(타마니시키→타마노우미→타마노우미)이다.
다양한 질환의 증상으로 하복부 통증이 나타나기 때문에 감별 진단의 범위가 넓다.
| 구분 | 질환 목록 |
|---|---|
| 소화기 계통 | 장염, 대장 게실염, 변비, 장 폐쇄 |
| 생식기 계통 | 난소염, 난관염, 자궁외 임신, 골반 복막염 |
| 순환기 계통 | 대동맥 박리 |
| 비뇨기 계통 | 신우신염 |
| 호흡기 계통 | 폐렴 |
| 기타 | 자궁내막증 |
8. 치료
급성 충수염은 조기 진단과 치료(발병 후 48시간 이내)가 필수적이며, 주된 치료법은 수술로 충수 돌기를 제거하는 것이다.[140]
충수염 치료에는 크게 보존적 치료와 수술적 치료 두 가지 방법이 있다.
- 보존적 치료: 여러 가지 조건으로 수술을 할 수 없을 경우 의사의 지시에 따라 조기에 국소 냉찜질을 하고, 정맥을 통하여 강력한 항생제를 사용한다.[140]
- 수술적 치료: 염증이 심해지는 경우에는 충수 절제술을 권장하지만, 그 판단 기준은 환자 개개인의 상태에 따라 다르다. 일반적으로 충수염은 외과학에서 다루는 고전적인 질환일 정도로 수술이 확실하고, 2시간 정도의 시술로 빠르며, 부작용이 거의 없는 치료법이다. 따라서 염증 정도와 수술의 위험을 저울질하여, 환자 본인의 희망을 고려하여 결정한다.
일반적으로 수술적 치료를 고려하는 사항은 다음과 같다.
| 고려 사항 | 내용 |
|---|---|
| 복부 증상・염증 소견이 심한 경우 | 위장 천공, 농양 형성이 의심되는 경우에는 원칙적으로 수술한다. |
| 분변 결석이 있는 경우 | 분변 결석을 제거하지 않으면 증상 개선을 기대할 수 없다. |
| 유아 | 진행이 빠르고 천공되기 쉬우며, 중증도 판단이 어렵기 때문이다. |
| 임산부 | 중증도 판단이 어렵고, 만약 천공된 경우 태아에게 악영향을 미칠 우려가 있기 때문이다. |
응급 충수 절제술 후 잠재적인 수술 후 합병증을 예방하기 위해 항생제 사용이 권장되며, 수술 전, 중, 후에 투여할 때 효과적이다.[87] 진통제(예: 모르핀)는 충수염의 임상 진단의 정확성에 영향을 미치지 않으므로 환자 치료 초기에 투여해야 한다.[88]
8. 1. 보존적 치료
급성 충수염은 조기 진단과 조기 치료(발병 후 48시간 이내)가 필수적이다. 충수염의 주된 치료법은 수술로 충수 돌기를 제거하는 것이지만, 여러 가지 조건으로 수술을 할 수 없을 경우 의사의 지시에 따라 조기에 국소 냉찜질을 하고, 정맥을 통하여 강력한 항생제를 사용한다.[140]일반적으로 수술로 관리하는 급성 충수염[81]은 항생제가 합병증이 없는 충수염 치료에 안전하고 효과적이지만,[13][14][82] 1년 이내에 재발하여 결국 충수 절제술이 필요한 환자는 31%였다.[83] 항생제는 충수 결석이 있는 경우 효과가 떨어진다.[84] 항생제로 치료받은 환자의 51%는 치료 후 3년 동안 충수 절제술이 필요하지 않았지만,[85] 수술과 항생제의 비용 효과는 불분명하다.[86]
염증이 경미한 경우 금식 및 수액 관리를 시행하고, 세펨계 항생제 투여를 통해 회복되는 경우가 많다.[130][131] 이러한 치료를 속칭 "맹장을 흩뜨린다"라고 부른다.
항생제 치료와 관련된 연구 결과는 다음과 같다.
- 아목시실린/클라불란산(AMPC/CVA)을 이용한 비수술적 치료를 받은 급성 단순성 충수염 환자 159명을 대상으로 한 최근 연구에서 2년 전체 재발률은 13.8%였다.[132]
- 스웨덴에서 진행된 또 다른 연구에서 성인 충수염에 대해 일차 치료로 항생제를 사용한 후 충수 절제술을 필요로 하는 충수염 누적 재발률은 1년, 2년, 3년, 5년 후에 각각 9%, 12%, 12%, 13%였다. 8년 후 충수 절제술 미실시율은 86%였다.[133]
- 미국의 충수염에 대한 항생제와 충수 절제술을 비교하는 무작위 시험에서 항생제는 충수 절제술에 대해 비열등성을 보였다. 그러나 항생제 그룹에서 약 30%는 이후 90일 추적 관찰에서 최종적으로 충수 절제술을 받았다.[134]
- 핀란드에서 진행된 경구 항생제(목시플록사신) 그룹과 주사제 에르타페넴 + 레보플록사신 그룹 비교에서 반응률은 각각 70%, 74%였다. 1년 이내에 충수 절제술이 필요했던 비율은 모두 30%에 가까웠다.[135]
8. 2. 수술적 치료
충수 절제술은 개복 수술 또는 복강경 수술을 통해 수행할 수 있다. 복강경 충수 절제술은 급성 충수염에 대한 중재로서 개복 충수 절제술보다 여러 가지 장점이 있다.[89]


개복술(개복 충수 절제술)은 100년 이상 급성 충수염의 표준 치료법이었다.[90] 이 수술은 하복부 오른쪽 부위에 단일 절개를 가하여 감염된 충수를 제거하는 방식으로 진행된다.[91] 개복술 시 절개 부위는 보통 약 5.08cm 에서 약 7.62cm 정도이다.
개복 충수 절제술 중에는, 충수염이 의심되는 환자는 근육을 완전히 이완시키고 의식을 유지하기 위해 전신 마취를 받는다. 절개 부위는 약 5.08cm 에서 약 7.62cm이며, 엉덩이뼈 위 몇 인치 지점의 오른쪽 하복부에 절개를 가한다. 절개를 통해 복강을 열고 충수를 확인한 후, 외과 의사는 감염된 조직을 제거하고 주변 조직에서 충수를 잘라낸다. 감염 부위를 주의 깊게 면밀히 검사하여 주변 조직에 손상이나 감염의 징후가 없는지 확인한다. 응급 개복 충수 절제술로 관리되는 복잡한 충수염의 경우, 복부 배액(농양 형성을 방지하기 위해 복부에서 외부로 연결하는 임시 튜브)을 삽입할 수 있지만, 이로 인해 입원 기간이 길어질 수 있다.[92] 외과 의사는 절개 부위를 봉합하기 시작한다. 이는 근육을 꿰매고 수술용 스테이플러 또는 봉합사를 사용하여 피부를 봉합하는 것을 의미한다. 감염을 예방하기 위해 절개 부위는 멸균 붕대 또는 수술용 접착제로 덮는다.
복강경 충수 절제술은 1983년에 도입되었으며 급성 충수염에 대한 점점 더 널리 사용되는 중재술이 되었다.[93] 이 수술 절차는 복부에 각각 약 0.64cm 에서 약 1.27cm 길이의 세 개에서 네 개의 절개를 가하는 것으로 구성된다. 이러한 유형의 충수 절제술은 복강경이라고 하는 특수한 수술 도구를 절개 부위 중 하나에 삽입하여 수행된다. 복강경은 환자의 몸 외부의 모니터에 연결되어 외과의가 복부의 감염된 부위를 검사하는 데 도움을 준다. 나머지 두 개의 절개는 수술 도구를 사용하여 충수를 제거하기 위해 만들어진다. 복강경 수술에는 전신 마취가 필요하며 최대 2시간까지 걸릴 수 있다. 복강경 충수 절제술은 개복 충수 절제술에 비해 수술 후 회복 기간 단축, 수술 후 통증 감소, 얕은 수술 부위 감염률 감소 등 여러 가지 장점이 있다. 그러나 복강경 충수 절제술에서는 복강 내 농양 발생이 개복 충수 절제술보다 거의 3배 더 흔하다.[94]
소아 환자의 경우, 맹장의 높은 이동성으로 인해 충수를 제대(배꼽)를 통해 체외로 꺼낼 수 있으며, 전체 시술을 단일 절개로 수행할 수 있다. 복강경 보조 경 제대 충수 절제술은 비교적 최근에 등장한 기술이지만, 많은 사례가 보고되었으며 수술적 및 미용적 결과가 매우 좋다.[95]

수술을 받을 사람은 보통 하룻밤 동안 금식을 시켜 수술 전 음식물 섭취를 제한하는 것으로 치료가 시작된다. 정맥 주사를 사용하여 수분을 공급한다. 세푸록심 및 메트로니다졸과 같은 항생제를 정맥 내로 투여하여 박테리아를 죽이고 복부 내 감염 확산과 복부 또는 상처 부위의 수술 후 합병증을 줄일 수 있다. 불확실한 경우에는 항생제 치료로 평가가 더 어려워질 수 있으며, 일련의 검사로 유용성을 판단할 수 있다. 위가 비어 있는 경우(최근 6시간 이내에 음식 섭취 없음), 일반적으로 전신 마취를 사용한다. 그렇지 않은 경우, 척추 마취를 사용할 수 있다.
충수 절제술을 시행하기로 결정하면 준비 절차는 약 1~2시간 정도 소요된다. 그 동안 외과 의사는 수술 절차를 설명하고 충수 절제술을 시행할 때 고려해야 할 위험 요소를 제시할 것이다. 모든 수술에는 절차를 수행하기 전에 평가해야 할 위험이 있다. 위험은 충수의 상태에 따라 다르다. 충수가 파열되지 않은 경우 합병증 발생률은 약 3%에 불과하지만, 충수가 파열된 경우 합병증 발생률은 거의 59%까지 증가한다.[96] 발생할 수 있는 가장 일반적인 합병증은 폐렴, 절개 부위의 탈장, 혈전정맥염, 출혈 및 유착이다. 입원 후 수술을 받는 데 지연이 발생해도 충수염 환자의 결과에 측정 가능한 차이가 없다는 증거가 있다.[97][98]
외과 의사는 회복 과정이 얼마나 걸릴지 설명할 것이다. 절개와 관련된 합병증을 피하기 위해 일반적으로 복부 털을 제거한다. 대부분의 경우, 수술을 받는 환자는 수술 전에 약물이 필요한 메스꺼움이나 구토를 경험한다. 항생제는 진통제와 함께 충수 절제술 전에 투여될 수 있다.
염증이 심해지는 경우에는 충수 절제술을 권장하지만, 그 판단 기준은 케이스 바이 케이스이다. 일반적으로 충수염은 외과학에서 다루는 고전적인 질환일 정도로 수술이 확실하고, 2시간 정도의 시술로 빠르며, 게다가 거의 부작용이 없는 치료법이다. 따라서 염증 정도와 수술의 위험을 저울질하여, 거기에 환자 본인의 희망을 고려하여 결정된다.
일반적으로 수술적 치료를 고려하는 포인트는 다음과 같다.
- '''복부 증상・염증 소견이 심한 경우''': 위장 천공・농양 형성이 의심되는 경우에는 원칙적으로 수술.
- '''분변 결석이 있는 경우''': 분변 결석을 제거하지 않으면 증상 개선을 기대할 수 없다.
- '''유아''': 진행이 급속하고 천공되기 쉬우며, 또한 중증도 판단이 어렵기 때문에.
- '''임산부''': 중증도 판단이 어렵고, 만약 천공된 경우 태아에게 악영향을 미칠 우려가 있기 때문에.
8. 3. 수술 전후 관리
급성 충수염은 조기 진단 및 치료(발병 후 48시간 이내)가 필수적이며, 주된 치료법은 수술로 충수 돌기를 제거하는 것이다.[140] 여러 가지 조건으로 수술을 할 수 없을 경우 의사의 지시에 따라 조기에 국소 냉찜질을 하고, 정맥을 통하여 강력한 항생제를 사용한다.[140]일반적으로 수술로 관리한다. 항생제는 합병증이 없는 충수염 치료에 안전하고 효과적이지만,[13][14][82] 31%의 환자는 1년 이내에 재발하여 결국 충수 절제술이 필요했다.[83] 항생제는 충수 결석이 있는 경우 효과가 떨어진다.[84] 항생제로 치료받은 환자의 51%는 치료 후 3년 동안 충수 절제술이 필요하지 않았지만,[85] 수술과 항생제의 비용 효과는 불분명하다.[86]
응급 충수 절제술 후 잠재적인 수술 후 합병증을 예방하기 위해 항생제 사용이 권장되며, 수술 전, 중, 후에 투여할 때 효과적이다.[87] 진통제(예: 모르핀)는 충수염의 임상 진단의 정확성에 영향을 미치지 않으므로 환자 치료 초기에 투여해야 한다.[88]
수술을 받을 사람은 보통 하룻밤 동안 금식을 시켜 수술 전 음식물 섭취를 제한하는 것으로 치료가 시작된다. 정맥 주사를 사용하여 수분을 공급하고, 세푸록심 및 메트로니다졸과 같은 항생제를 정맥 내로 투여하여 박테리아를 죽이고 복부 내 감염 확산과 복부 또는 상처 부위의 수술 후 합병증을 줄일 수 있다. 불확실한 경우에는 항생제 치료로 평가가 더 어려워질 수 있으며, 일련의 검사로 유용성을 판단할 수 있다. 위가 비어 있는 경우(최근 6시간 이내에 음식 섭취 없음), 일반적으로 전신 마취를 사용한다. 그렇지 않은 경우, 척추 마취를 사용할 수 있다.
충수 절제술을 시행하기로 결정하면 준비 절차는 약 1~2시간 정도 소요된다. 그 동안 외과 의사는 수술 절차를 설명하고 충수 절제술을 시행할 때 고려해야 할 위험 요소를 제시할 것이다. 위험은 충수의 상태에 따라 다르다. 충수가 파열되지 않은 경우 합병증 발생률은 약 3%에 불과하지만, 충수가 파열된 경우 합병증 발생률은 거의 59%까지 증가한다.[96] 발생할 수 있는 가장 일반적인 합병증은 폐렴, 절개 부위의 탈장, 혈전정맥염, 출혈 및 유착이다. 입원 후 수술을 받는 데 지연이 발생해도 충수염 환자의 결과에 측정 가능한 차이가 없다는 증거가 있다.[97][98]
외과 의사는 회복 과정이 얼마나 걸릴지 설명할 것이다. 절개와 관련된 합병증을 피하기 위해 일반적으로 복부 털을 제거한다. 대부분의 경우, 수술을 받는 환자는 수술 전에 약물이 필요한 메스꺼움이나 구토를 경험한다. 항생제는 진통제와 함께 충수 절제술 전에 투여될 수 있다.

입원 기간은 일반적으로 몇 시간에서 며칠이지만, 합병증이 발생하면 몇 주까지 걸릴 수 있다. 회복 과정은 수술 전 맹장의 파열 여부에 따라 다를 수 있다. 맹장이 파열되지 않은 경우 맹장 수술 후 회복이 일반적으로 훨씬 빠르다.[99] 수술을 받은 사람은 의사의 조언을 따르고 신체 활동을 제한하여 조직이 회복될 수 있도록 하는 것이 중요하다. 맹장 절제술 후 회복에는 식단 변경이나 생활 방식 변화가 필요하지 않을 수 있다.
맹장염의 입원 기간은 상태의 심각성에 따라 다릅니다. 미국의 한 연구에 따르면 2010년 맹장염 환자의 평균 입원 기간은 1.8일이었다. 맹장이 파열된 환자의 평균 입원 기간은 5.2일이었다.[9]
수술 후 환자는 마취 후 회복실로 옮겨져 마취 또는 수술 관련 합병증을 감지하기 위해 활력 징후를 면밀히 모니터링한다. 필요시 진통제를 투여할 수 있다. 환자가 완전히 깨어난 후 병실로 옮겨 회복한다. 대부분의 환자는 수술 다음 날 맑은 유동식을 제공받고, 장이 제대로 기능하기 시작하면 일반 식사로 진행한다. 환자는 침대 가장자리에 앉아 하루에 여러 번 짧은 거리를 걷는 것이 권장된다. 움직이는 것은 필수이며, 필요한 경우 진통제를 투여할 수 있다. 맹장 절제술 후 완전한 회복에는 약 4~6주가 걸리지만, 맹장이 파열된 경우에는 최대 8주까지 연장될 수 있다.
염증이 경미한 경우 금식 및 수액 관리를 시행하고, 세펨계 항생제 투여를 통해 회복되는 경우가 많다.[130][131] 이러한 치료를 속칭 "맹장을 흩뜨린다"라고 부른다.
- 아목시실린/클라불란산(AMPC/CVA)을 이용한 비수술적 치료를 받은 급성 단순성 충수염 환자 159명을 대상으로 한 최근 연구에 따르면, 2년 전체 재발률은 13.8%였다.[132]
- 스웨덴에서 진행된 또 다른 연구에서는 성인 충수염에 대해, 일차 치료로 항생제를 사용한 후 충수 절제술을 필요로 하는 충수염 누적 재발률이 1년, 2년, 3년, 5년 후에 각각 9%, 12%, 12%, 13%였다. 최종적으로 8년 후 충수 절제술 미실시율은 86%였다.[133]
- 미국의 충수염에 대한 항생제와 충수 절제술을 비교하는 무작위 시험에서는, 항생제가 충수 절제술에 대해 비열등성을 보였다. 그러나 항생제 그룹에서는, 이후 90일 추적 관찰에서 약 30%가 최종적으로 충수 절제술을 받았다.[134]
- 핀란드에서 진행된 경구 항생제(목시플록사신) 그룹과 주사제 에르타페넴 + 레보플록사신 그룹 비교에서는, 반응률이 각각 70%, 74%였다. 1년 이내에 충수 절제술이 필요했던 비율은 모두 30%에 가까웠다.[135]
염증이 심해지는 경우에는 충수 절제술을 권장하지만, 그 판단 기준은 케이스 바이 케이스이다. 일반적으로 충수염은 외과학에서 다루는 고전적인 질환일 정도로 수술이 확실하고, 2시간 정도의 시술로 빠르며, 게다가 거의 부작용이 없는 치료법이다. 따라서 염증 정도와 수술의 위험을 저울질하여, 거기에 환자 본인의 희망을 고려하여 결정된다.
일반적으로 수술적 치료를 고려하는 포인트는 다음과 같다.
| 고려 사항 | 내용 |
|---|---|
| 복부 증상・염증 소견이 심한 경우 | 위장 천공・농양 형성이 의심되는 경우에는 원칙적으로 수술. |
| 분변 결석이 있는 경우 | 분변 결석을 제거하지 않으면 증상 개선을 기대할 수 없다. |
| 유아 | 진행이 급속하고 천공되기 쉬우며, 또한 중증도 판단이 어렵기 때문에. |
| 임산부 | 중증도 판단이 어렵고, 만약 천공된 경우 태아에게 악영향을 미칠 우려가 있기 때문에. |
9. 합병증
만성 충수염은 급성 충수염이 지난 후 충수나 그 주변에 유착이나 농양이 남아 만성으로 되는 상태이다. 처음부터 만성으로 진행되는 경우도 있다. 평소에는 증상이 없지만 오른쪽 아랫배에 가끔 통증을 느끼거나, 변비나 요통의 원인이 되기도 한다. 과로, 폭음, 폭식 등이 원인이 되어 급성 증상이 나타나기도 한다.[141]
입원 기간은 보통 몇 시간에서 며칠이지만, 합병증이 생기면 몇 주까지 길어질 수 있다. 회복 과정은 수술 전 충수의 파열 여부에 따라 달라질 수 있다. 충수가 파열되지 않은 경우 충수 수술 후 회복이 일반적으로 훨씬 빠르다.[99] 수술을 받은 사람은 의사의 조언을 따르고 신체 활동을 제한하여 조직이 회복될 수 있도록 해야 한다. 충수 절제술 후 회복에는 식단 변경이나 생활 방식 변화가 필요하지 않을 수 있다. 미국의 한 연구에 따르면 2010년 충수염 환자의 평균 입원 기간은 1.8일이었고, 충수가 파열된 환자의 평균 입원 기간은 5.2일이었다.[9]
수술 후 환자는 마취 후 회복실로 옮겨져 마취 또는 수술 관련 합병증을 확인하기 위해 활력 징후를 자세히 관찰한다. 필요하면 진통제를 투여할 수 있다. 환자가 완전히 깨어나면 병실로 옮겨 회복한다. 대부분의 환자는 수술 다음 날 맑은 유동식을 먹고, 장이 제대로 기능하기 시작하면 일반 식사로 넘어간다. 환자는 침대 가장자리에 앉아 하루에 여러 번 짧은 거리를 걷는 것이 좋다. 움직이는 것은 필수적이며, 필요한 경우 진통제를 투여할 수 있다. 충수 절제술 후 완전히 회복하는 데는 약 4~6주가 걸리지만, 충수가 파열된 경우에는 최대 8주까지 걸릴 수 있다.
급성 충수염 환자 대부분은 수술 후 빠르게 회복되지만, 치료가 늦어지거나 복막염이 생기면 합병증이 발생할 수 있다. 회복 기간은 나이, 상태, 합병증 및 기타 상황(음주량 포함)에 따라 다르지만, 보통 10일에서 28일 사이이다. 어린 아이(약 10세)의 경우 회복에 3주가 걸린다. 복막염의 가능성은 급성 충수염에 대한 빠른 진단과 치료가 필요한 이유이다. 충수염이 의심되는 환자는 응급 후송을 받아야 할 수 있다.
전형적인 급성 충수염은 충수 절제술에 빠르게 반응하며, 때로는 자연적으로 낫기도 한다. 충수염이 자연적으로 나은 경우, 재발성 충수염을 예방하기 위해 선택적 간헐적 충수 절제술을 시행해야 하는지 여부는 논란이 있다. 비정형 충수염(화농성 충수염과 관련)은 진단하기가 더 어렵고, 조기에 수술을 받더라도 합병증이 생기기 쉽다. 두 경우 모두, 빠른 진단과 충수 절제술이 최상의 결과를 가져오며, 보통 2~4주 안에 완전히 회복된다. 사망률과 심각한 합병증은 드물지만 발생하며, 특히 복막염이 지속되고 치료받지 않을 경우 발생한다.
충수 돌기 덩어리라고 알려진 상태도 있다. 이것은 감염 초기에 충수가 제거되지 않고, 대망과 창자가 이에 달라붙어 만져지는 덩어리를 형성할 때 발생한다. 이 기간 동안, 열과 독성 또는 초음파 검사로 고름 형성이 뚜렷하지 않다면 수술은 위험하다. 내과적 치료가 이 상태를 치료한다.
충수 절제술의 드문 합병증은 "충수 잔여부 염증"이다. 이는 이전 불완전 충수 절제술 후 남은 충수 잔여부에서 염증이 생기는 것이다.[100] 충수 잔여부 염증은 초기 충수 절제술 후 수개월에서 수년 후에 발생할 수 있으며, 초음파와 같은 영상 검사로 확인할 수 있다.[101]
10. 예후
급성 충수염 환자 대부분은 수술 후 빠르게 회복되지만, 치료가 늦어지거나 복막염이 발생하면 합병증이 생길 수 있다. 회복 기간은 나이, 상태, 합병증, 음주량 등에 따라 다르지만, 보통 10일에서 28일 사이이다. 어린아이(약 10세)는 회복에 3주 정도 걸린다.
복막염의 가능성 때문에 급성 충수염은 신속한 진단과 치료가 필요하다. 충수염이 의심되면 응급 후송이 필요할 수 있다. 응급 후송이 어려운 경우, 응급 상황에서 충수 절제술을 시행하기도 한다.
전형적인 급성 충수염은 충수 절제술에 빠르게 반응하며, 때로는 자연적으로 낫기도 한다. 충수염이 자연적으로 나은 경우, 재발을 막기 위해 선택적 간헐적 충수 절제술을 시행해야 하는지는 논란이 있다. 비정형 충수염(화농성 충수염과 관련)은 진단이 어렵고, 빨리 수술해도 합병증이 생기기 쉽다. 두 경우 모두 신속한 진단과 충수 절제술이 최상의 결과를 가져오며, 보통 2~4주 안에 완전히 회복된다. 사망률과 심각한 합병증은 드물지만, 특히 복막염이 지속되고 치료받지 않으면 발생할 수 있다.
충수 돌기 덩어리는 감염 초기에 충수가 제거되지 않고, 대망과 창자가 달라붙어 덩어리를 형성하는 상태이다. 이 기간 동안에는 열과 독성, 초음파 검사로 고름 형성이 명확하지 않다면 수술은 위험하다. 내과적 치료가 효과적이다.
충수 절제술의 드문 합병증으로 "충수 잔여부 염증"이 있다. 이는 이전 불완전 충수 절제술 후 남은 충수 잔여부에서 염증이 생기는 것이다.[100] 충수 잔여부 염증은 초기 충수 절제술 후 수개월에서 수년 후에 발생할 수 있으며, 초음파 등으로 확인할 수 있다.[101]
일반적으로 예후는 좋다. 그러나 복막염이 함께 발생하면 패혈증으로 이어져 사망할 수도 있다.
11. 역사
베렝가리오 다 카르피는 16세기에 맹장에 대한 최초의 기록된 설명을 제공하였고, 그 뒤를 이어 안드레아스 베살리우스와 가브리엘레 팔로피오가 있었다.[102] 18세기와 19세기에 임상적 이해가 발전했으며, 로렌츠 하이스터의 부검 결과, 클라우디우스 아이만드의 외과적 개입, J. 메스티비에의 충수염 수술 등이 특징이다. "충수염"이라는 용어를 사용하기 전에는 "맹장 주위염", "맹장염", "부맹장염" 및 "우측 장골와 외복막 농양"과 같은 용어로 설명되었다.[102] 1886년 미국의 의사 레지날드 헤버 피츠에 의해 "충수염"이라는 용어가 만들어졌으며, 찰스 맥버니의 맥버니 지점 식별을 포함하여 표준화된 진단 및 치료로 이어졌다. 현대적인 충수 절제술 기술은 20세기 초에 발전했으며, 1908년 루드비히 아쇼프에 의해 입증된 병리학의 발전과 일치했다.[103][104]
; 검사 역사적 변천
CT가 등장하기 전에는 충수염 진단이 매우 어려웠다. 의사는 자신의 경험과 감각에 의존하여 진료했다. 심한 복통으로 치료가 필요한 상태를 모두 합쳐 "급성 복증"이라고 불렀으며, 최종적인 진단에 이르지 못한 채 치료를 받을 수밖에 없었다. 그러나 1980년대 이후, CT나 초음파 검사에 대표되는 영상 진단이 급속도로 발달하여 상세한 영상을 얻을 수 있게 되면서 진단 정확도가 대폭 향상되었다.
; 치료의 역사적 변천
쓰루오카 시립 쇼나이 병원의 쓰쓰이 쇼지는 제2차 세계 대전 중 가장 어려운 시기에 지역 의료에 헌신하여, 당시 아직 자살 수단으로 두려워했던 충수염 수술을 정착시켰다. 그 후 충수염이라고 하면 즉시 수술이었다. 진단 정확도가 낮아 중증 사례가 간과될 우려가 있었기 때문에, 수술로 빨리 결론을 내는 편이 안전했기 때문이다. 2007년 시점에서도 수술이 주요 치료법이라는 점에는 변함이 없지만, 진단 정확도가 현저하게 향상되었고, 또한 강력한 항생제가 개발되면서 수술 외의 치료도 이루어지고 있다. 1997년에는 사이타마 의과대학 병원 소아외과에서 급성 충수염에 대한 수술법 ONE-TROCAR법을 개발했다.
참조
[1]
웹사이트
appendicitis
http://www.merriam-w[...]
Merriam-Webster
[2]
서적
Ferri's differential diagnosis: a practical guide to the differential diagnosis of symptoms, signs, and clinical disorders
Elsevier/Mosby
2010
[3]
논문
Appendicitis
1996-11
[4]
논문
Obstruction of appendix vermiformis causing acute appendicitis. An experimental study in the rabbit
[5]
논문
Hidden Appendicoliths and Their Impact on the Severity and Treatment of Acute Appendicitis
2024
[6]
서적
Harrison's principles of internal medicine.
http://accessmedicin[...]
McGraw-Hill
2014-11-06
[7]
서적
Emergency medicine: a comprehensive study guide
http://accessmedicin[...]
McGraw-Hill
2014-11-06
[8]
서적
Schwartz's principles of surgery
McGraw-Hill, Medical Pub. Division
2010
[9]
논문
Trends in Rates of Perforated Appendix, 2001–2010
http://www.hcup-us.a[...]
Agency for Healthcare Research and Quality
2013-07
[10]
논문
Clinical practice. Suspected appendicitis
http://faculty.vet.u[...]
2017-11-01
[11]
Review
Diagnosing appendicitis: evidence-based review of the diagnostic approach in 2014
2014-11
[12]
논문
Acute and Suppurative Appendicitis: Disease Duration and its Implications for Quality Improvement
http://www.theperman[...]
2016-10-26
[13]
논문
Antibiotics as first-line alternative to appendicectomy in adult appendicitis: 90-day follow-up from a prospective, multicentre cohort study
https://academic.oup[...]
2021-09-08
[14]
논문
Safety and efficacy of antibiotics compared with appendicectomy for treatment of uncomplicated acute appendicitis: meta-analysis of randomised controlled trials
2012-04
[15]
웹사이트
Appendicitis: Surgical vs. Medical Treatment {{!}} Science-Based Medicine
https://sciencebased[...]
2022-11-04
[16]
논문
Appendectomy versus antibiotic treatment for acute appendicitis
2024-04-29
[17]
논문
Global, regional, and national incidence, prevalence, and years lived with disability for 310 diseases and injuries, 1990–2015: a systematic analysis for the Global Burden of Disease Study 2015
2016-10
[18]
논문
Global, regional, and national life expectancy, all-cause mortality, and cause-specific mortality for 249 causes of death, 1980–2015: a systematic analysis for the Global Burden of Disease Study 2015
2016-10
[19]
논문
Surgery for appendicitis: is it necessary?
2008-08
[20]
논문
Significance of the obstructive factor in the genesis of acute appendicitis
[21]
논문
The Rare Incidence of Acute Appendicitis Resulting from External Trauma
1938-04
[22]
논문
Systematic review of blunt abdominal trauma as a cause of acute appendicitis
2010-09
[23]
논문
Acute recurrent appendicitis with appendicolith
[24]
논문
The prevalence of appendiceal fecaliths in patients with and without appendicitis. A comparative study from Canada and South Africa
1985-07
[25]
논문
Appendiceal calculi and fecaliths as indications for appendectomy
1990-09
[26]
논문
An unusual localization of trichobezoar in the appendix
2011-06
[27]
논문
Acute appendicitis related to faecal stasis
[28]
논문
Origin of acute appendicitis: fecal retention in colonic reservoirs: a case control study
2007-02
[29]
논문
The aetiology of appendicitis
1971-09
[30]
논문
Diverticular disease in urban Africans in South Africa
[31]
논문
Acute appendicitis as a sign of a colorectal carcinoma
1982-05
[32]
논문
Effect of dietary fibre on stools and the transit-times, and its role in the causation of disease
1972-12
[33]
논문
Fiber intake and childhood appendicitis
2000-05
[34]
논문
Appendicectomy – becoming a rare event?
http://www.mja.com.a[...]
2001-07
[35]
논문
Fibre and bowel transit times
1981-01
[36]
웹사이트
Appendicitis – Diagnosis
https://www.niddk.ni[...]
National Institute of Diabetes and Digestive and Kidney Diseases (NIDDK)
2023-09-21
[37]
논문
Typical and Atypical Presentations of Appendicitis and Their Implications for Diagnosis and Treatment: A Literature Review.
2023-04
[38]
논문
Left-sided appendicitis in a patient with situs inversus totalis.
2012-09
[39]
논문
Pain over speed bumps in diagnosis of acute appendicitis: diagnostic accuracy study
2012-12
[40]
간행물
Appendicitis
https://www.ncbi.nlm[...]
StatPearls Publishing
2023-04-24
[41]
서적
Advances in Pediatrics
JP Medical
2012
[42]
서적
Atlas of Pediatric Surgery: Principles and Treatment
Springer
2020
[43]
서적
Surgery
Springer
2015
[44]
서적
Harwood-Nuss' Clinical Practice of Emergency Medicine
https://books.google[...]
Wolters Kluwer Health
2016-06-15
[45]
논문
Indirektes Hervorrufen des typischen Schmerzes an McBurney's Punkt. Ein Beitrag zur diagnostik der Appendicitis und Typhlitis
1907
[46]
서적
International Record of Medicine and General Practice Clinics
New York Medical Journal
[47]
문서
Emil Samuel Perman 1856–1946 "About the indications for surgery in appendicitis and an account of cases of Sabbatsberg Hospital in Hygiea 1904
[48]
웹사이트
Appendicitis
http://www.cdemcurri[...]
Clerkship Directors in Emergency Medicine
2010
[49]
논문
The clinical value of leucocyte count and neutrophil percentage in diagnosing uncomplicated (simple) appendicitis and predicting complicated appendicitis.
2014-11
[50]
논문
Accuracy of neutrophil lymphocyte ratio for diagnosis of acute appendicitis in children: A diagnostic study.
2019-12
[51]
논문
Delta neutrophil index as an early predictor of acute appendicitis and acute complicated appendicitis in adults.
2017
[52]
논문
The predictive value of the C-reactive protein/albumin ratio in adult patients with complicated appendicitis
https://doi.org/10.1[...]
2023
[53]
논문
Does this child have appendicitis?
2007-07
[54]
간행물
Five Things Physicians and Patients Should Question
http://choosingwisel[...]
American College of Radiology
2012-08-17
[55]
논문
Effectiveness of a staged US and CT protocol for the diagnosis of pediatric appendicitis: reducing radiation exposure in the age of ALARA
2011-04
[56]
논문
Acute appendicitis in young children: cost-effectiveness of US versus CT in diagnosis – a Markov decision analytic model
2009-02
[57]
논문
Systematic review: computed tomography and ultrasonography to detect acute appendicitis in adults and adolescents
2004-10
[58]
논문
Ultrasound of pediatric appendicitis and its secondary sonographic signs: providing a more meaningful finding
2016-03
[59]
논문
Sonographic diagnosis of acute appendicitis in children: a 3-year retrospective
2016-06
[60]
논문
Diagnostic performance of emergency physician-performed point-of-care ultrasonography for acute appendicitis: A meta-analysis
2019-04
[61]
웹사이트
UOTW #45 - Ultrasound of the Week
https://www.ultrasou[...]
2015-04-25
[62]
논문
Computed tomography for diagnosis of acute appendicitis in adults
2019-11-19
[63]
논문
Increasing utilization of abdominal CT in the Emergency Department of a secondary care center: does it produce better outcomes in caring for pediatric surgical patients?
2014-11
[64]
논문
Gastrointestinal imaging-practical magnetic resonance imaging approach
2014-08
[65]
논문
Suspected appendicitis in children: diagnostic importance of normal abdominopelvic CT findings with nonvisualized appendix
2009-02
[66]
논문
US or CT for Diagnosis of Appendicitis in Children and Adults? A Meta-Analysis
2006-10
[67]
논문
Magnetic resonance imaging (MRI) for diagnosis of acute appendicitis
2021-12-14
[68]
논문
Magnetic resonance imaging of acute appendicitis in pregnancy: a 5-year multi-institutional study
2015-11
[69]
논문
Plain abdominal radiography in clinically suspected appendicitis: diagnostic yield, resource use, and comparison with CT
1999-07
[70]
논문
Plain abdominal radiography as a routine procedure for acute abdominal pain of the right lower quadrant: prospective evaluation
1999-03
[71]
웹사이트
APPENDICITIS from Townsend: Sabiston Textbook of Surgery on MD Consult
http://www.uptomed.i[...]
[72]
논문
Many diagnostic tools for appendicitis: a scoping review
https://pubmed.ncbi.[...]
2023-05
[73]
논문
Does this child have appendicitis? A systematic review of clinical prediction rules for children with acute abdominal pain
2013-01
[74]
논문
Importance of histopathological evaluation of appendectomy specimens
[75]
논문
A retrospective clinicopathological analysis of appendiceal tumors from 3,744 appendectomies: a single-institution study
[76]
논문
Periappendicitis is a significant clinical finding
1990-06
[77]
논문
The pathology of acute appendicitis
[78]
웹사이트
Pelvic inflammatory disease (PID) Symptoms; Diseases and Conditions
http://www.mayoclini[...]
Mayo Clinic
2015-04-23
[79]
논문
Swine influenza (H1N1) and acute appendicitis
2010-07
[80]
서적
Yersinia enterocolitica infection in diarrheal patients
2008-08
[81]
웹사이트
appendicitis
https://www.healthns[...]
2020-06-15
[82]
논문
Meta-analysis of antibiotics versus appendicectomy for non-perforated acute appendicitis
2016-05
[83]
논문
Appendectomy versus antibiotic treatment for acute appendicitis
2024-04-29
[84]
논문
Comparison of Antibiotic Therapy and Appendectomy for Acute Uncomplicated Appendicitis in Children: A Meta-analysis
2017-05
[85]
웹사이트
Comparing Surgery versus Antibiotics for Treating Adults with Uncomplicated Appendicitis - Evidence Update for Clinicians
https://www.pcori.or[...]
2024-05-23
[86]
논문
Efficacy and Safety of Nonoperative Treatment for Acute Appendicitis: A Meta-analysis
http://discovery.ucl[...]
2017-03
[87]
논문
Antibiotics versus placebo for prevention of postoperative infection after appendicectomy
2005-07
[88]
논문
Analgesia for children with acute abdominal pain and diagnostic accuracy
http://www.bestbets.[...]
2008-11
[89]
논문
Laparoscopic versus open surgery for suspected appendicitis
2018-11
[90]
논문
Appendicitis near its centenary
1984-11
[91]
웹사이트
Appendicitis
http://digestive.nid[...]
U.S. Department of Health and Human Services
2010-02-01
[92]
논문
Abdominal drainage to prevent intra-peritoneal abscess after appendectomy for complicated appendicitis
2021-08
[93]
논문
Endoscopic appendectomy
1983-03
[94]
논문
CT predictors of failed laparoscopic appendectomy
2003-11
[95]
논문
Outcomes of Transumbilical Laparoscopic-Assisted Appendectomy and Conventional Laparoscopic Appendectomy for Acute Pediatric Appendicitis in a Single Institution
https://pubmed.ncbi.[...]
2018-12
[96]
간행물
Appendicitis
http://www.surgeryen[...]
2010-02-01
[97]
뉴스
'Emergency' appendix surgery can wait: MDs
http://www.cbc.ca/ne[...]
2010-09-21
[98]
논문
Effect of delay to operation on outcomes in adults with acute appendicitis
2010-09
[99]
웹사이트
Appendicitis surgery, removal and reco very
http://appendixsurge[...]
2010-02-01
[100]
논문
Stump appendicitis: a comprehensive review of literature
2006-02
[101]
논문
Stumped? It could be stump appendicitis
2016
[102]
논문
Acute Appendicitis Review: Background, Epidemiology, Diagnosis, and Treatment
https://www.cureus.c[...]
2020-06-11
[103]
웹사이트
The early days in the history of appendectomy
https://hekint.org/2[...]
2017-01-22
[104]
논문
Perforating inflammation of the vermiform appendix with special reference to its early diagnosis and treatment
[105]
웹사이트
WHO Disease and injury country estimates
https://www.who.int/[...]
2009-11-11
[106]
논문
Acute appendicitis
2012-03
[107]
논문
Global, regional, and national age-sex specific all-cause and cause-specific mortality for 240 causes of death, 1990–2013: a systematic analysis for the Global Burden of Disease Study 2013
2015-01
[108]
보고서
Overview of Children in the Emergency Department, 2010
https://hcup-us.ahrq[...]
Agency for Healthcare Research and Quality
2013-06
[109]
논문
Family History is a Predictor for Appendicitis in Adults in the Emergency Department
http://www.escholars[...]
2012-12-01
[110]
논문
大腸内視鏡検査にて虫垂入口部に隆起性変化がみられた慢性虫垂炎の1例
https://doi.org/10.3[...]
2000-01-01
[111]
논문
上部消化管造影5時間後に発症したバリウム虫垂炎の1例
https://doi.org/10.3[...]
2007-01-01
[112]
논문
蟯虫迷入を認めた小児急性虫垂炎の1例
https://doi.org/10.1[...]
1993-01-01
[113]
논문
魚骨が原因と考えられた急性虫垂炎の1例
https://doi.org/10.3[...]
2000-01-01
[114]
논문
魚骨刺入が原因となった急性虫垂炎の1例
https://doi.org/10.5[...]
2001-01-01
[115]
논문
肺癌虫垂転移による急性虫垂炎の1例
https://doi.org/10.5[...]
1981-01-01
[116]
논문
誤飲した乳歯による急性虫垂炎の1例
https://doi.org/10.3[...]
2017-01-01
[117]
논문
義歯が原因となった急性虫垂炎の1例
https://doi.org/10.3[...]
2010-01-01
[118]
웹사이트
WHO Disease and injury country estimates
http://www.who.int/h[...]
2009-11-11
[119]
논문
【原著】急性虫垂炎の季節性変動
https://doi.org/10.3[...]
2018-01-01
[120]
논문
ドレナージチューブからの色素注入で,虫垂開口部からの流入を確認できた虫垂炎続発腸腰筋膿瘍の1例
https://doi.org/10.3[...]
2005-01-01
[121]
논문
Pain over speed bumps in diagnosis of acute appendicitis :diagnostic accuracy study.
2012-01-01
[122]
서적
Evidence-Baced Physical Diagnosis
W.B Saunders Company
2001-01-01
[123]
논문
Does this patient have appendicitis?
1996-01-01
[124]
서적
ステップビヨンドレジデント2 救急で必ず出会う疾患編
[125]
논문
当院における小児急性虫垂炎と腸重積症の検討
https://doi.org/10.1[...]
1990-01-01
[126]
논문
Effect of Reduction in the Use of Computed Tomography on Clinical Outcomes of Appendicitis
2015-06-22
[127]
논문
Evaluation of the Alvarado score in acute appendicitis
1992-01-01
[128]
논문
急性虫垂炎と診断して手術を行ったクラミジア骨盤腹膜炎の6例
https://doi.org/10.3[...]
日本臨床外科学会
2003-01-01
[129]
논문
急性虫垂炎症状を呈した虫垂子宮内膜症の1例
https://doi.org/10.5[...]
1990-01-01
[130]
논문
Non-operative Treatment With Antibiotics Versus Surgery for Acute Non-perforated Appendicitis in Children: A Pilot Randomized Controlled Trial
2014-07-28
[131]
논문
Antibiotic Therapy vs Appendectomy for Treatment of Uncomplicated Acute Appendicitis: The APPAC Randomized Clinical Trial
2015-01-01
[132]
논문
The NOTA Study (Non Operative Treatment for Acute Appendicitis): prospective study on the efficacy and safety of antibiotics (amoxicillin and clavulanic acid) for treating patients with right lower quadrant abdominal pain and long-term follow-up of conservatively treated suspected appendicitis
2014-01-01
[133]
논문
Long-Term Results Following Antibiotic Treatment of Acute Appendicitis in Adults
2017-03-24
[134]
논문
A Randomized Trial Comparing Antibiotics with Appendectomy for Appendicitis
2020-01-01
[135]
논문
Effect of oral moxifloxacin vs intravenous ertapenem plus oral levofloxacin for treatment of uncomplicated acute appendicitis: The APPAC II randomized clinical trial
2021-01-01
[136]
웹사이트
대한의협 의학용어 사전
https://www.kmle.co.[...]
[137]
저널 인용
Appendicitis
1996-11
[138]
문서
맹장염은 다른 질병이다.
[139]
웹인용
급성충수염
http://health.cdc.go[...]
보건복지부 건강정보
2020-05-25
[140]
웹인용
충수염
https://www.msdmanua[...]
머크 주식회사
2020-05-22
[141]
문서
(우리말샘) 맹장염,충수염 등
본 사이트는 AI가 위키백과와 뉴스 기사,정부 간행물,학술 논문등을 바탕으로 정보를 가공하여 제공하는 백과사전형 서비스입니다.
모든 문서는 AI에 의해 자동 생성되며, CC BY-SA 4.0 라이선스에 따라 이용할 수 있습니다.
하지만, 위키백과나 뉴스 기사 자체에 오류, 부정확한 정보, 또는 가짜 뉴스가 포함될 수 있으며, AI는 이러한 내용을 완벽하게 걸러내지 못할 수 있습니다.
따라서 제공되는 정보에 일부 오류나 편향이 있을 수 있으므로, 중요한 정보는 반드시 다른 출처를 통해 교차 검증하시기 바랍니다.
문의하기 : help@durumis.com