괴사성 근막염
"오늘의AI위키"의 AI를 통해 더욱 풍부하고 폭넓은 지식 경험을 누리세요.
1. 개요
괴사성 근막염은 드물지만 심각한 세균 감염으로, 피부 아래 연조직의 괴사를 유발한다. 황색포도상구균, 용혈성 사슬알균, 대장균 등 다양한 세균이 원인이 될 수 있으며, 감염 세균의 종류에 따라 제1형부터 제4형까지 네 가지 유형으로 분류된다. 당뇨병, 비만, 면역 결핍증 등 특정 위험 요인이 있는 사람들에게서 더 흔하게 발생하며, 외상, 수술, NSAIDs 사용 등도 위험을 증가시킬 수 있다. 증상은 발적, 부종, 극심한 통증, 고열을 동반하며, 물집, 피부 괴사 등 심각한 징후가 나타날 수 있다. 조기 진단이 어렵지만, 외과적 절제술과 항생제 투여가 주요 치료법이며, 고압 산소 치료, 정맥 면역 글로불린 등이 보조적으로 사용될 수 있다. 미국에서 연간 백만 명당 약 4명, 서유럽에서 10만 명당 약 1명꼴로 발생하며, 1994년 퀘벡의 미래 총리 뤼시앵 뷔샤르를 포함하여 여러 유명인들이 이 질병으로 고통받았다.
더 읽어볼만한 페이지
- 괴사 - 욕창
지속적인 압력, 마찰, 전단력과 같은 외적 요인과 노화, 저영양과 같은 내적 요인으로 인해 뼈 돌출 부위에 주로 발생하는 욕창은 혈액 순환 장애를 유발하여 조직 괴사 및 궤양으로 이어지는 피부 손상이다. - 괴사 - 괴사딱지
괴사딱지는 상처 부위에 형성되어 상처를 보호하고 이물질 침입을 방지하는 지혈 과정의 부산물이다. - 근막 질환 - 류마티스 관절염
류마티스 관절염은 관절 활막의 만성 염증성 질환으로, 조기 진단과 적극적인 치료를 통해 질병 진행을 늦추고 삶의 질을 향상시키는 것이 중요하며, 진단에는 류마티스 인자와 항CCP 항체가 사용되고 메토트렉세이트 등의 약물로 치료한다. - 근막 질환 - 염좌
염좌는 관절의 과도한 움직임으로 관절낭, 인대, 연부 조직이 손상되어 통증, 부종, 발열 등의 염증을 동반하며, 손상 정도에 따라 정도가 나뉘고, RICE 요법 등의 비수술적 치료나 심한 경우 수술적 치료와 재활을 통해 회복을 꾀한다.
| 괴사성 근막염 | |
|---|---|
| 질병 개요 | |
| 이름 | 괴사성 근막염 |
| 동의어 | 살 파먹는 박테리아 살 파먹는 박테리아 증후군 괴사성 연조직 감염(NSTI) fasciitis necroticans |
| 영어 이름 | necrotizing fasciitis |
| 발음 | |
| 분야 | 감염병 (의학 전문 분야) |
| 증상 및 진행 | |
| 증상 | 심한 통증 발열 감염 부위의 보라색 반점 |
| 발병 | 급성, 빠르게 확산 |
| 원인 및 위험 요인 | |
| 원인 | 여러 종류의 박테리아 드물게 균류 |
| 위험 요인 | 면역 기능 저하 (당뇨병, 암 등) 비만 알코올 의존증 정맥 주사 약물 사용 말초 동맥 질환 |
| 진단 및 감별 진단 | |
| 진단 | 증상, 의료 영상 기반 |
| 감별 진단 | 봉와직염 화농성 근염 가스 괴저 독성 쇼크 증후군 또는 독성 쇼크 유사 증후군 괴저성 농피증 심부 정맥 혈전증 털곰팡이증 갈색 은둔 거미 물림 |
| 예방 및 치료 | |
| 예방 | 상처 관리 손 씻기 |
| 치료 | 감염된 조직을 제거하는 수술 정맥 항생제 |
| 예후 및 빈도 | |
| 사망률 | 치료 시 ~30%, 미치료 시 ~100% |
| 빈도 | 연간 10만 명당 0.7명 |
2. 원인
괴사성 근막염은 기초 질환이 없어도 발생할 수 있으며, 원인균의 경구 섭취[51]나 외상(항문 주위 농양[52], 치주염, 사랑니 주위염, 발치 후 감염, 인두 주위염 등)을 통해 세균이 침투하여 발생한다.[53] 드물게 구강 성교도 원인이 될 수 있다.[54] 이하선염, 하악 지치의 치근막염 유래 치조 농양, 뺨 점막의 교상, 하악 소구치의 근관 치료, 하악 지치의 발치, 구강저의 선양 낭포 암 절제술, 하악 에나멜 상피종의 하악골 절제술과 같은 질환이 괴사성 근막염의 원인이 되었다는 보고도 있다.[53]
황색포도상구균, 용혈성 사슬알균, 대장균[52] 등 다양한 세균이 괴사성 근막염을 유발할 수 있다.
2. 1. 위험 요인
취약 인구는 일반적으로 당뇨병, 비만, 면역 결핍증과 같은 의학적 동반 질환이 있는 고령자이다.[5] 다른 문서화된 위험 요인으로는 다음이 포함된다.이유는 불분명하지만, 이전의 병력이나 부상이 없는 건강한 개인도 감염될 수 있다.[7][9]
NSAIDs는 신체의 면역 반응을 손상시켜 괴사성 감염률을 증가시킬 수 있다. NSAIDs는 발열, 염증, 통증을 담당하는 프로스타글란딘의 생성을 억제한다. 이론적으로는 백혈구가 감염 부위로 이동하는 것을 방지하여 연조직 감염의 위험을 증가시킨다.[6][7]
농양 및 궤양과 같은 피부 감염 역시 괴사성 근막염을 악화시킬 수 있다. 소수의 사람들은 연쇄상구균 인두염의 세균이 혈액을 통해 퍼질 때 괴사성 근막염에 걸릴 수도 있다.[10] 회음부 및 생식기 감염(푸르니에 괴저)의 경우, 요로 감염, 신장 결석 및 바르톨린선 농양도 관련될 수 있다.[6] 기초 질환이 없어도 발생하며, 원인균의 경구 섭취[51]나 외상(항문 주위 농양[52], 치주염, 사랑니 주위염, 발치 후 감염, 인두 주위염 등)으로부터의 세균 침투가 원인이 된다.[53] 드물게 구강 성교[54]도 원인이 된다. 또한, 전구 질환으로 이하선염, 하악 지치의 치근막염 유래 치조 농양, 뺨 점막의 교상, 하악 소구치의 근관 치료, 하악 지치의 발치, 구강저의 선양 낭포 암 절제술, 하악 에나멜 상피종의 하악골 절제술이 원인이 되었다는 보고가 있다.[53] 조기 진단이 중요하며, 급속도로 악화되어 파종성 혈관 내 응고 증후군, 다기관 부전으로 진행되어 사망하는 경우도 많다.
2. 2. 세균
괴사성 근막염은 감염을 일으키는 세균의 유형에 따라 4가지 유형으로 나뉜다. 이러한 분류 체계는 1977년 줄리아노와 그의 동료들에 의해 처음 기술되었다.[5][6]'''제1형 감염'''은 가장 흔한 유형으로, 전체 사례의 70~80%를 차지한다. 대개 복부 또는 사타구니 부위에서 여러 종류의 세균 혼합으로 인해 발생한다.[5] 관련 세균은 다음과 같다.
- 그람 양성균 구균: ''황색포도상구균'', ''화농성 연쇄상구균'', 장구균[4]
- 그람 음성균 막대균: ''대장균'', ''녹농균, 클레브시엘라 종,'' ''세균류'' 종, ''프레보텔라'' 종[4]
- ''클로스트리디움'' 종: ''웰치균'', ''파종성 클로스트리디움'', ''소르델리 클로스트리디움''[5]
다종 세균(혼합) 감염에서 A군 연쇄상구균(''S. pyogenes'')이 가장 흔하게 발견되며, 그 다음으로 ''S. aureus''가 많다.[10] 그러나 감염이 오로지 ''S. pyogenes'' 및/또는 ''S. aureus''에 의해서만 발생하는 경우 제2형 감염으로 분류된다.
푸르니에 괴저는 사타구니 및 항문 주위 부위에 영향을 미치는 제1형 감염의 한 유형이다.[10] 그람 음성 세균과 ''클로스트리디움''과 같은 혐기성 세균은 푸르니에 괴저와 더 자주 관련된다. ''클로스트리디움''은 전체 제1형 감염의 10%를 차지하며, 가스 괴저 또는 근괴사라고 알려진 특정 종류의 괴사성 근막염을 일으킨다.
'''제2형 감염'''은 사례의 20~30%를 차지하며 주로 사지에서 발생한다.[5][11] ''화농성 연쇄상구균''이 단독으로 또는 포도상구균 감염과 결합하여 관련된다. 메티실린 내성 ''황색 포도상구균'' (MRSA)은 제2형 감염의 최대 3분의 1에 관여한다.[5] 두 종류의 세균에 의한 감염 모두 빠르게 진행되어 쇼크로 나타날 수 있다. 제2형 감염은 외상의 과거력이 있는 젊고 건강한 성인에게서 더 흔하게 발생한다.[6]
'''제3형 감염'''은 해수에서 발견되는 ''비브리오 불니피쿠스''에 의해 발생한다. 이 세균은 피부 상처를 통해 신체에 침투하여 괴사성 근막염을 유발할 수 있다.[12] ''V. vulnificus'' 감염 환자 3명 중 1명은 괴사성 근막염을 앓는다.[12] 질병 진행은 제2형과 유사하지만 때로는 눈에 띄는 피부 변화가 거의 없다.[6]
'''제4형 감염'''은 사례의 1% 미만을 차지하며, 주로 ''칸디다 알비칸스'' 곰팡이에 의해 발생한다. 위험 요인에는 연령 및 면역 결핍이 포함된다.[5][13]
기초 질환이 없어도 발생하며, 원인균의 경구 섭취[51]나 외상(항문 주위 농양[52], 치주염, 사랑니 주위염, 발치 후 감염, 인두 주위염 등)으로부터의 세균 침투가 원인이 된다.[53] 드물게 구강 성교[54]도 원인이 된다. 전구 질환으로 이하선염, 하악 지치의 치근막염 유래 치조 농양, 뺨 점막의 교상, 하악 소구치의 근관 치료, 하악 지치의 발치, 구강저의 선양 낭포 암 절제술, 하악 에나멜 상피종의 하악골 절제술이 원인이 되었다는 보고가 있다.[53] 조기 진단이 중요하며, 급속도로 악화되어 파종성 혈관 내 응고 증후군, 다기관 부전으로 진행되어 사망하는 경우도 많다.
상재균이 원인이 되는 경우도 있으며 황색포도상구균, 용혈성 사슬알균, 대장균[52], 무포자 혐기성균 등 다양하지만 특정되면 원인균명을 붙인 명칭으로 불리기도 한다.
- 용혈성 사슬알균 - 극심형 A군 용혈성 연쇄구균 감염증[55]
- 에어로모나스속(''Aeromonas'') - ''Aeromonas'' 괴사성 연부 조직 감염증
- 비브리오 불니피쿠스 (''Vibrio vulnificus'')[56] - 비브리오 불니피쿠스 감염증
- 웰시균 등 - 괴저
3. 증상
증상은 매우 빠르게, 종종 몇 시간 이내에 나타난다.[7] 초기 징후는 다음과 같다.
- 발적 및 부종
- 경결 (피부 및 연조직의 경화)
- 과도한 통증
- 38.9°C 이상의 고열, 피로, 근육통을 포함한 전신 증상[7]
- 특히 수술 부위에서 많은 양의 악취가 나는 고름과 분비물[4]
초기 피부 변화는 봉와직염 또는 농양과 유사하여 초기 단계에서의 진단이 어려울 수 있다. 발적과 부종은 일반적으로 주변의 정상 조직과 섞인다. 표면의 피부는 광택이 나고 긴장되어 보일 수 있다.[8]
괴사성 변화를 시사하는 후기 징후는 사례의 절반 미만에서만 나타나며, 다음과 같다.
- 물집
- 염발음 (조직 내에서 촉지되는 가스)
- 영향을 받은 부위의 피부 감각 감소 또는 부재[6]
- 반상출혈(멍)이 진행되어 피부 괴사로 이어짐[6] (혈관의 응고로 인해 피부가 붉은색에서 보라색, 검은색으로 변함)[8]
항생제 치료에도 불구하고 쇼크로 급격히 진행되는 것은 괴사성 근막염의 또 다른 징후이다. 그러나 면역 저하자는 전형적인 증상을 보이지 않을 수 있으며, 다음 환자가 포함되지만 이에 국한되지는 않는다.
면역 저하자는 일반 인구에 비해 괴사성 감염으로 사망할 확률이 2배 높으므로 이 그룹에서는 더 높은 의심을 유지해야 한다.[6]
진피 전층에 부종이 현저하고 자반, 수포, 혈포, 함몰성 괴사, 궤양, 격통을 동반하는 부종성 종창, 발적 종창과 발열 등의 전신 증상을 나타낸다. 초기에는 봉와직염과 유사한 증상을 나타내 감별이 어려운 경우가 있다.
4. 진단
괴사성 근막염은 초기에는 단순한 표재성 피부 감염처럼 보여 조기 진단이 어렵다.[5] 여러 검사 및 영상 촬영으로 의심을 높일 수 있지만, 확진은 어렵다.[14] 진단의 금 표준은 외과적 탐색과 조직 생검이다. 의심스러운 경우 국소 마취 후 2cm 절개를 할 수 있다.[6][15] 손가락으로 근막을 따라 조직이 쉽게 분리되면 양성으로, 광범위한 변연 절제술이 필요하다.[6][15]
4. 1. 임상적 진단
괴사성 근막염의 임상적 진단에는 여러 검사들이 활용된다. 항생제 투여 전 세균 검사를 실시하고, 백혈구 증가, 염증 반응 상승(CRP 수치 증가), 간 기능 장애, 응고계 이상 등을 확인한다. 또한, MRI이나 CT와 같은 영상 검사를 통해 근막의 병변이나 가스 생성 유무를 확인한다.4. 2. 영상 검사
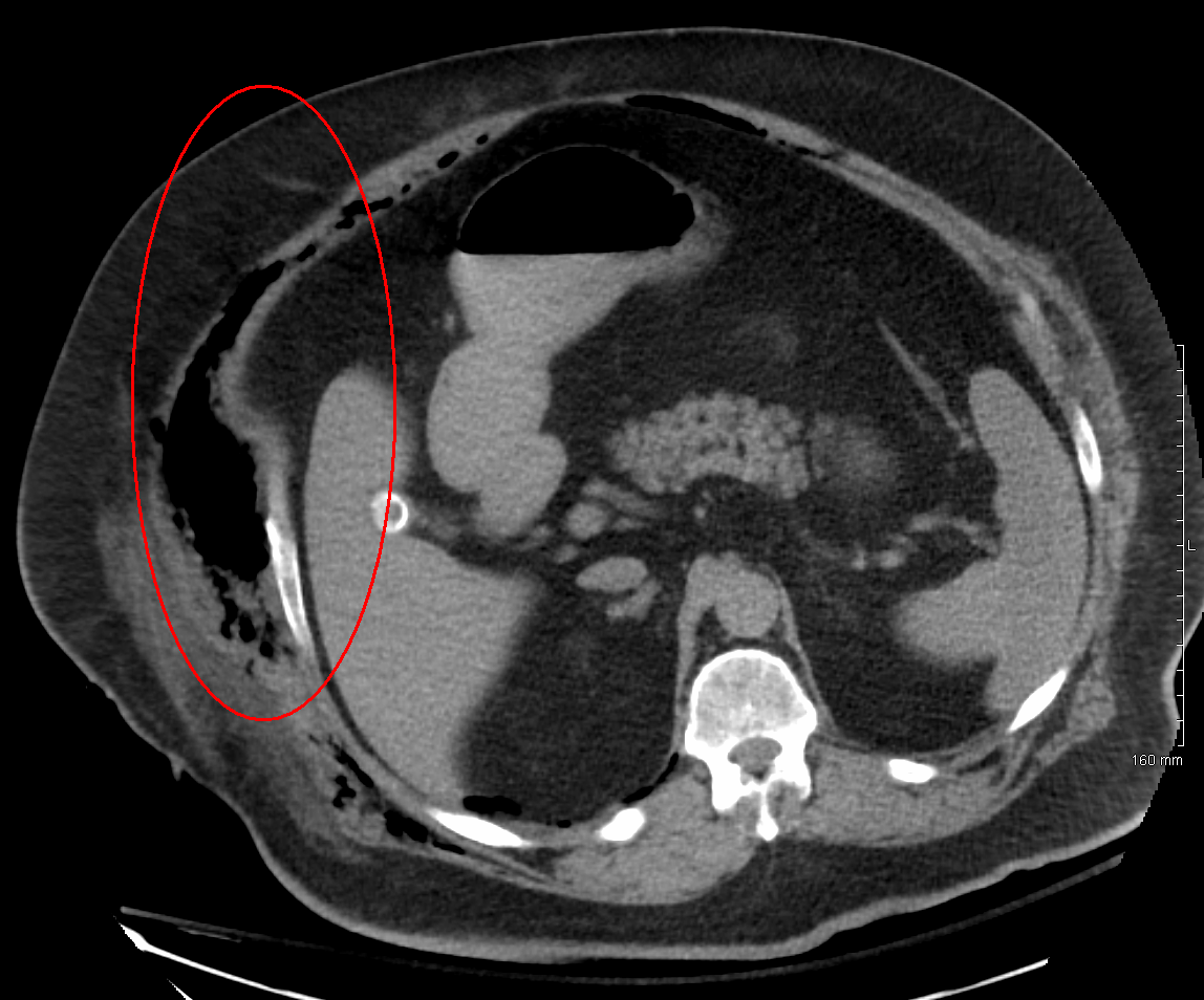
괴사성 근막염은 증상으로 진단하는 것이 가장 좋지만, 빠른 수술이 필요하기 때문에 영상 촬영을 하는 시간 지연이 문제가 될 수 있다.[15] 따라서 괴사성 감염의 징후가 확실하다면 영상 촬영은 필요하지 않을 수 있다. 그러나 초기 증상이 뚜렷하지 않아 영상 촬영이 진단에 도움이 되는 경우가 많다.[15]컴퓨터 단층 촬영술(CT)은 속도와 해상도 면에서 괴사성 근막염을 진단하는 데 가장 편리한 도구로, 약 80%의 괴사성 근막염 사례를 감지한다.[16] CT 스캔은 근막 비후, 부종, 농양 형성을 보여줄 수 있다.[6][15] 조직 내 가스를 자기 공명 영상(MRI)보다 더 잘 감지할 수 있지만, 영상 검사에서 가스가 없는 괴사성 근막염이 나타나는 경우도 드물지 않다.[15] CT는 괴사성 근막염으로 인한 합병증을 평가하고 감염의 원인을 찾는 데도 도움이 된다.[15] 임산부나 신장 문제가 있는 환자에게는 사용이 제한될 수 있다.[15]


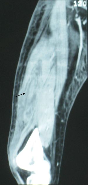
자기 공명 영상(MRI)은 연조직을 보는 데 컴퓨터 단층 촬영(CT)보다 우수하며, 약 93%의 괴사성 근막염 사례를 감지할 수 있다.[15] 특히 괴사성 근막염과 봉와직염을 구별할 수 있는 깊은 근막의 체액을 찾는 데 유용하다.[15] 깊은 근막에 체액이 고이거나 조영제로 두꺼워지거나 조영 증강이 나타나면 괴사성 근막염을 강력하게 의심해야 한다. 그러나 MRI는 CT보다 훨씬 느리고 널리 사용되지 않는다.[15] 신장 문제가 있는 환자에게는 사용에 제한이 있을 수 있다.[15]

현장 초음파 검사(POCUS)는 MRI와 CT를 사용할 수 없을 때 괴사성 근막염 진단에 유용할 수 있다.[18] 심부 정맥 혈전증 (DVT), 표재성 농양, 정맥 울혈 등 괴사성 근막염의 초기 단계를 모방하는 질환을 구별하는 데도 도움이 된다.[18] 선형 프로브는 특히 팔다리 평가에 선호된다.[18]
괴사성 근막염의 특징적인 초음파 소견은 피하 조직의 비정상적인 비후, 공기, 체액이 있다는 것이다.[18] 이는 "STAFF"(Subcutaneous irregularity or Thickening, Air, and Fascial Fluid, 피하 불규칙성 또는 비후, 공기 및 근막 체액)로 요약할 수 있다.[18] 초음파를 사용한 괴사성 근막염의 공식적인 진단은 "광범위한 피하 비후와 2mm 이상의 근막 체액이 모두 존재하는 것"을 필요로 한다.[18] 피하 조직의 가스는 "불규칙한 음향 음영"을 나타낼 수 있다.[15] 그러나 다른 영상 기법과 마찬가지로 피하 유리 공기가 없는 것은 괴사성 근막염을 확정적으로 배제하지 않는다. 이는 질병 과정의 후반부에 나타나는 소견이기 때문이다.[18]
POCUS의 품질과 정확성은 사용자에게 크게 의존한다. 넓은 부위에서 괴사성 근막염을 확인하기 어렵거나 지방이나 근육의 중간층이 많은 경우에도 어려울 수 있다. POCUS가 괴사성 근막염 진단 속도를 개선하는지, 수술 시간을 단축하는지는 아직 불분명하다.[18]

단순 방사선 촬영(X-ray)은 초기 단계에서 괴사성 근막염을 연조직염과 구별하기 어렵다.[15] X-레이는 괴사성 변화를 강력하게 시사하는 피하 기종(피하 조직 내 가스)을 감지할 수 있지만, 공기는 종종 후기 단계에서 나타나며 모든 괴사성 피부 감염이 피하 기종을 생성하는 것은 아니다. 따라서 방사선 촬영은 괴사성 근막염의 초기 진단에 권장되지 않는다.[15] 하지만 이물질이나 골절과 같은 감염원을 식별하여 후속 치료에 도움이 될 수 있다.[15]
4. 3. 점수 체계
임상 소견과 관련하여, 백혈구 수치가 15,000 cells/mm3 이상이고 혈청 나트륨 수치가 135 mmol/L 미만인 경우 괴사성 근막염의 90%를 예측할 수 있다.[4] 검사 수치가 이러한 값을 충족하지 못하면 환자가 괴사성 근막염을 앓고 있지 않을 확률이 99%이다. 괴사성 근막염 발병 가능성을 결정하는 다양한 점수 체계가 있는데, 2004년 웡(Wong)과 그의 동료들이 개발한 괴사성 근막염의 실험실 위험 지표(LRINEC) 점수 체계가 가장 흔하다. 이는 심각한 봉와직염 또는 농양이 있는 사람들을 평가하여 괴사성 근막염 발병 가능성을 결정한다.LRINEC은 C-반응 단백질, 총 백혈구 수, 헤모글로빈, 나트륨, 크레아티닌, 혈당의 6가지 실험실 값을 사용한다.[6] 6점 이상은 괴사성 근막염의 확률이 50-75%임을 나타내고, 8점 이상은 괴사성 근막염의 가능성이 75% 이상임을 나타낸다.[15][19][20] LRINEC 점수가 6점 이상인 환자는 사망률과 절단율이 더 높을 수 있다.[21] 점수 기준은 다음과 같다.[19][22]
| 실험실 값 | 기준 | 점수* |
|---|---|---|
| CRP | ≥ 15 mg/dL (150 mg/L) | +4 |
| 백혈구 수 (×103) | 15 - 25/mm3 | +1 |
| > 25/mm3 | +2 | |
| 헤모글로빈 | 11 - 13.5 g/dL | +1 |
| < 11 g/dL | +2 | |
| 나트륨 | < 135 mEq/L | +2 |
| 크레아티닌 | > 1.6 mg/dL (141 μmol/L) | +2 |
| 포도당 | > 180 mg/dL (10 mmol/L) | +1 |
| *실험실 값이 나열된 기준을 충족하지 못하면 0점을 할당한다. | ||
그러나 이 점수 체계는 아직 검증되지 않았다.[4] LRINEC 점수 ≥6은 괴사성 근막염 사례의 70%만 감지할 수 있으며, LRINEC 점수 ≥8은 훨씬 더 낮은 민감도를 보였다.[20] 또한, 다른 염증성 질환이 있는 경우 이러한 실험실 값은 거짓 양성일 수 있으므로 이 점수 체계는 주의해서 해석해야 한다.[6]
5. 치료
괴사성 근막염은 변연 절제술(영향을 받은 조직을 잘라내는 것)로 치료한다.[4] 이 질환이 의심되는 즉시 항생제 투여를 시작해야 하며, 조직 배양 검사 결과에 따라 적절한 항생제 범위가 변경될 수 있다. 불안정한 활력 징후와 핍뇨가 있는 환자는 추가적인 보조 치료를 받아야 한다.[6]
5. 1. 외과적 변연 절제술
진단이 내려지는 즉시 공격적인 상처 부위 절제술을 수행해야 한다. 감염 부위는 12~36시간마다 여러 번 절제해야 할 수 있다.[4] 감염 확산을 막기 위해 조직과 근육의 넓은 부분을 제거해야 할 수 있으며, 감염이 너무 심하면 절단이 필요할 수 있다.[4]괴사성 근막염(NSTI) 치료에는 ''일괄'' 절제술(EBd)이 가장 일반적으로 사용된다.[23] 이는 흉터 형성 증가와 수술 후 잠재적인 삶의 질 저하를 감수하고 모든 질병 부위를 덮고 있는 피부를 잘라내는 것을 포함한다.[23] 최근에는 피부를 보존하는 절제술(SSd)이 부상하고 있는데, 이는 겉으로 보기에 괴사하지 않은 피부를 보존하면서 감염의 근원인 기저 조직을 절제하기 때문이다.[23] 그러나 SSd가 실제로 수술 후 치유 과정을 가속화하는지 여부를 조사하기 위해서는 더 많은 연구가 필요하다.[23]

상처 부위 절제술 후에는 상처 치유를 촉진하기 위해 적절한 드레싱을 적용해야 한다.[6] 상처는 일반적으로 습윤-건조 드레싱으로 채워지고 치유를 위해 열어둔다.[4] 특히, 푸르니에 괴저의 경우 진공 밀봉 배액(VSD)이 상처 치유에 도움이 될 수 있다.
회음부 부위의 괴사성 감염(푸르니에 괴저)의 경우, 배설물로 인해 이 부위가 더러워지고 상처 치유 과정에 영향을 미치는 경우가 많아 상처 부위 절제술 및 상처 관리가 어려울 수 있다. 따라서 대변 관리 시스템을 통한 정기적인 드레싱 교환은 회음부 부위의 상처를 깨끗하게 유지하는 데 도움이 될 수 있다. 때로는 배설물을 전환하여 회음부 부위의 상처를 깨끗하게 유지하기 위해 결장루술이 필요할 수 있다.[6]
5. 2. 항생제 치료
일반적으로 괴사성 근막염(NSTI) 진단이 내려지면 즉시 경험적 항생제를 투여하기 시작한다. 이후 배양 검사 결과에 따라 항생제 치료법을 변경한다.[24] NSTI의 경우, 경험적 항생제는 광범위하며, 그람 양성균(MRSA 포함), 그람 음성균, 혐기성 세균을 포함한다.[24] 클린다마이신, 답토마이신, 정맥내 반코마이신, 겐타마이신을 조합하여 사용하는 경우가 많다.[6] 그람 음성균에 대한 항생제로는 플루오로퀴놀론, 피페라실린/타조박탐, 카바페넴을 사용할 수 있다.[4]여러 연구가 진행되었지만, 항생제 투여 기간에 대한 합의는 아직 없다.[24] 일반적으로 외과의가 더 이상 변연 절제술이 필요 없다고 판단하고, 환자가 임상적 및 실험실적 관점에서 더 이상 전신적인 감염 징후를 보이지 않을 때까지 항생제를 투여한다.[4] 치료 효과와 부작용에 대한 증거도 불분명하다.
5. 3. 추가 치료
- '''고압 산소 치료 (HBO)''' : 이론적으로 고압 산소 치료는 상처 부위의 국소 염증을 감소시키고 신체의 면역 반응을 강화한다. 그러나 괴사성 근막염 환자에게 고압 산소 치료의 영향은 여전히 불분명하다.[24]
- '''정맥 면역 글로불린 (IVIG)''' : IVIG는 ''S. pyogenes''가 분비하는 독성 쇼크 증후군 (TSS)의 외독소에 대항하기 위한 것이다.[25] 그러나 연구 결과에 따르면 환자 사망률에 어떠한 영향도 미치지 못했다.[25] IVIG 사용에는 심각한 부작용이 따를 수도 있다.[24]
- '''AB103''' : 렐테시모드(Reltecimod)라고도 불리는 AB103은 CD28 T세포 수용체에 결합하여 세균 독소의 영향을 완화하는 새로운 약물이다. 연구에 따르면 괴사성 근막염 환자의 장기 부전의 심각성을 감소시킬 수 있다.[25] 그러나 다른 연구에서는 이 치료법이 사망률에 차이를 보이지 않는 것으로 나타났다.[24]
- '''보조 치료''' : 정맥 수액 공급, 상처 관리, 혈전색전증 예방을 위한 항응고제, 통증 조절, 혈관 수축제 등은 적절한 경우 항상 환자에게 제공해야 한다.[7]
6. 역학
괴사성 근막염은 미국에서 연간 백만 명당 약 4명, 서유럽에서 10만 명당 약 1명꼴로 발생한다.[5] 미국에서는 연간 약 1,000건의 괴사성 근막염이 발생하지만, 발생률은 증가하는 추세인데, 이는 이 질환에 대한 인지도가 높아지고 보고가 증가했거나, 항생제 내성이 증가했기 때문일 수 있다.[6] 남녀 모두에게 동일하게 영향을 미치며,[6] 노인에게서 더 흔하고, 소아에게서는 드물다.[5]
괴사성 근막염은 신체의 모든 부분에서 발생할 수 있지만, 사지, 회음 및 생식기에서 더 흔하게 나타난다. 드물게 머리나 목, 흉부 및 복부에서도 발생한다.[6]
7. 역사
기원전 5세기에 히포크라테스가 처음으로 괴사성 연조직 감염에 대해 다음과 같이 기술했다.
> "사소한 사고가 원인임에도 불구하고 온몸에 단독이 발생했다. 뼈, 살, 힘줄(줄, 힘줄 또는 신경)이 신체에서 떨어져 나갔고 많은 사망자가 발생했다."
18세기에 영국 외과 의사 레너드 길레스피와 영국 의사 길버트 블레인, 토마스 트로터가 괴사성 연조직 감염을 영어로 처음 기술했다. 당시에는 NSTI에 대한 표준화된 이름이 없었고, 심한 궤양, 괴저, 단독 또는 봉와직염으로 다양하게 묘사되었다.[26] 이후 "병원 괴저"라는 용어가 더 일반적으로 사용되었다. 1871년, 미국 남부 연합군 외과 의사 조셉 존스는 2,642건의 병원 괴저 사례를 보고했으며, 사망률은 46%였다.
1883년, 장-알프레드 푸르니에 박사는 회음부와 음낭의 괴사성 감염을 기술했으며, 현재는 그를 기려 푸르니에 괴저라고 명명한다. "괴사성 근막염"이라는 용어는 1952년 밥 윌슨 박사가 만들었다.[5][27] 그 이후로 그 정의는 근막 및 연조직의 감염을 포함하도록 확대되었다.[6] 의료계에서는 기피하지만, "급성 괴저"라는 용어는 괴사성 근막염의 발병을 언급하기 위해 선정적인 뉴스 매체에서 자주 사용된다.[28]
8. 사회와 문화
- 1994년: 뤼시앵 뷔샤르(캐나다 퀘벡의 미래 총리이자 당시 연방 야당인 퀘벡 블록 대표)는 이 질병으로 다리를 잃었다.[29] 같은 해 영국 글로스터셔에서 여러 건의 괴사성 근막염 사례가 발생하여, 5건의 확진 사례와 1건의 의심 사례 중 2명이 사망했다. 이 사례들은 "살을 먹는 벌레가 내 얼굴을 먹었다"와 같은 선정적인 헤드라인으로 언론에 보도되었다.[30][31]
- 1997년: 켄 켄드릭(전 에이전트이자 샌디에이고 파드리스와 애리조나 다이아몬드백스의 부분 소유주)은 이 질병으로 일주일 남짓한 기간 동안 7번의 수술을 받았지만 회복했다.[32]
- 2004년: 돈 리클스(미국의 스탠드업 코미디언, 배우, 작가)는 왼쪽 다리에 이 질병이 발생하여 6번의 수술을 받고 회복했다. 이로 인해 그는 만년에 의자에 앉아 코미디를 공연해야 했다.[33] 같은 해 노벨 물리학상 수상자인 에릭 올린 코넬은 이 질병으로 왼쪽 팔과 어깨를 잃었다.[34]
- 2005년: 알렉산드루 마린(실험 입자 물리학자이자 MIT, 보스턴 대학교, 하버드 대학교 교수)은 이 질병으로 사망했다.[35]
- 2006년: 앨런 코렌(영국 작가이자 풍자가)은 ''더 타임스''의 크리스마스 칼럼에서 프랑스에서 휴가를 보내던 중 이 질병에 걸렸다고 밝혔다.[36]
- 2009년: R. W. 존슨(영국 저널리스트이자 역사가)은 수영 중 발을 다쳐 이 질병에 걸렸고, 다리를 무릎 위에서 절단해야 했다.[37]
- 2011년: 제프 헤니먼(슬레이어의 기타리스트)이 이 질병에 걸렸다. 그는 2년 후 간부전으로 사망했는데, 감염이 사망 원인으로 추정되었으나, 공식적인 사인은 알코올 관련 간경변으로 발표되었다.[38] 같은 해 피터 와츠(캐나다의 SF 작가)도 이 질병에 걸렸다고 자신의 블로그에 보고했다.[39]
- 2013년: 영국 배우 조지 헨리는 케임브리지 대학교에 입학한 지 몇 주 후에 이 질병에 걸려 거의 목숨을 잃을 뻔했다고 밝혔다.
- 2014년: 다니엘 질덴뢰(페인 오브 살베이션의 스웨덴 가수 겸 작곡가)는 등에 괴사성 근막염 진단을 받고 병원에서 몇 달을 보냈다. 회복 후 그는 입원 경험을 바탕으로 앨범 ''In the Passing Light of Day''를 썼다.[40][41] 같은 해 CBS 라디오 모닝 호스트인 리키 바틀렛은 왼쪽 다리를 절단했고, 2022년에는 골질환으로 오른쪽 다리도 잃었다.[42]
- 2015년: 에드거 사비사르(에스토니아 정치인)는 태국 여행 중 이 질병에 걸려 오른쪽 다리를 절단했다.[43]
- 2018년: 알렉스 스미스(미식축구 내셔널 풋볼 리그 (NFL) 워싱턴 풋볼 팀 쿼터백)는 경기 중 부상으로 이 질병에 걸렸다. 그는 다리에 개방 골절을 입었고, 감염되어 절단 위기를 겪었으나, 2020년 프로 미식축구 선수로 복귀했다. 그의 부상과 회복은 ESPN 다큐멘터리 ''E60 Presents: Project 11''의 주제가 되었다.[44][45][46][47]
- 2021년: 아일랜드 배우 배리 코건은 ''이니셰린의 밴시'' 촬영 직전에 괴사성 근막염에 걸려 거의 팔을 절단할 뻔했다고 밝혔다.[48]
참조
[1]
서적
Textbook of Family Medicine
https://books.google[...]
Elsevier Health Sciences
2015
[2]
서적
Davidson's Principles and Practice of Medicine E-Book
https://books.google[...]
Elsevier Health Sciences
2018
[3]
서적
Ferri's Clinical Advisor 2014 E-Book: 5 Books in 1
https://books.google[...]
Elsevier Health Sciences
2013
[4]
웹사이트
Necrotizing Fasciitis
https://rarediseases[...]
2023-09-08
[5]
간행물
Necrotizing fasciitis: an urgent diagnosis
2014-05
[6]
간행물
Necrotizing soft tissue infections: Review and current concepts in treatment, systems of care, and outcomes
[7]
웹사이트
UpToDate
https://www.uptodate[...]
2024-12-09
[8]
간행물
Necrotizing fasciitis
http://www.woundsres[...]
[9]
간행물
Fasceita necrozantă cervico-toracică: caz clinic și recenzie a literaturii de specialitate
http://www.revistaom[...]
2011-03
[10]
간행물
Molecular Pathogenesis of Necrotizing Fasciitis
https://www.annualre[...]
2010-01-01
[11]
간행물
Necrotizing Fasciitis: Current Concepts and Review of the Literature
[12]
간행물
Vibrio vulnificus: Review of Mild to Life-threatening Skin Infections
https://www.mdedge.c[...]
2021-03-01
[13]
간행물
Candida albicans Necrotizing Soft Tissue Infection
https://journals.lww[...]
2013-06
[14]
간행물
What Is the Accuracy of Physical Examination, Imaging, and the LRINEC Score for the Diagnosis of Necrotizing Soft Tissue Infection?
2018-08-13
[15]
간행물
Early diagnosis of necrotizing fasciitis: Imaging techniques and their combined application
2024
[16]
간행물
Necrotizing fasciitis
2009-10
[17]
웹사이트
UOTW#58 – Ultrasound of the Week
https://www.ultrasou[...]
2015-09-07
[18]
간행물
Point-of-care ultrasonography in diagnosing necrotizing fasciitis—a literature review
2023-06-01
[19]
간행물
The LRINEC (Laboratory Risk Indicator for Necrotizing Fasciitis) score: A tool for distinguishing necrotizing fasciitis from other soft tissue infections
[20]
간행물
Necrotizing Soft Tissue Infection: Diagnostic Accuracy of Physical Examination, Imaging, and LRINEC Score: A Systematic Review and Meta-Analysis
https://journals.lww[...]
2019-01
[21]
간행물
Laboratory risk indicator for necrotizing fasciitis score and the outcomes
[22]
웹사이트
LRINEC scoring system for necrotising fasciitis
http://www.emergency[...]
[23]
간행물
The Skin-Sparing Debridement Technique in Necrotizing Soft-Tissue Infections: A Systematic Review
https://linkinghub.e[...]
2021-08-01
[24]
간행물
Interventions for necrotizing soft tissue infections in adults
2018-05-31
[25]
서적
Management of Necrotizing Soft Tissue Infection
https://link.springe[...]
Springer International Publishing
2020
[26]
간행물
Necrotizing soft tissue infections: A review
https://www.research[...]
[27]
간행물
Necrotizing fasciitis
[28]
간행물
Necrotising fasciitis, hospital gangrene, and phagedena
https://www.scienced[...]
[29]
간행물
The Once and Future Scourge: Could common anti-inflammatory drugs allow bacteria to take a deadly turn?
http://www.sciencene[...]
1995-10-07
[30]
간행물
A cluster of cases of streptococcal necrotizing fasciitis in Gloucestershire
[31]
뉴스
SCIENCE: Vital clues to a mystery killer
https://www.independ[...]
1996-03-11
[32]
뉴스
Moorad's life changed by rare disease
http://mlb.mlb.com/n[...]
Major League Baseball
2009-09-05
[33]
뉴스
Don Rickles was politically incorrect before it was incorrect. And at 90, he's still going
https://www.washingt[...]
2016-05-25
[34]
웹사이트
Cornell Discusses His Recovery from Necrotizing Fasciitis with Reporters
https://www.nist.gov[...]
NIST
2005-04-13
[35]
웹사이트
In Memoriam – Alexandru A. Marin (1945–2005)
http://atlas.ch/enew[...]
2005-12
[36]
뉴스
Before I was so rudely interrupted
https://www.thetimes[...]
2006-12-20
[37]
웹사이트
Diary
http://www.lrb.co.uk[...]
2009-08-06
[38]
웹사이트
Slayer Guitarist Jeff Hanneman: Official Cause Of Death Revealed
http://blabbermouth.[...]
2013-05-09
[39]
웹사이트
The Plastinated Man
http://www.rifters.c[...]
2011-02-15
[40]
웹사이트
Pain of Salvation To Release 'In The Passing Light Of Day' Album In January
http://www.blabbermo[...]
2016-11-10
[41]
웹사이트
Pain of Salvation Frontman Daniel Gildenlöw On Recovering From Flesh-Eating Infection – 'I'm Lucky Compared To So Many Other People In This World'
http://bravewords.co[...]
[42]
웹사이트
Meet Ricky Bartlett
https://canvasrebel.[...]
[43]
뉴스
Edgar Savisaare jalg amputeeriti
http://tartu.postime[...]
2015-03-23
[44]
웹사이트
Alex Smith's comeback: Inside the fight to save the QB's leg and life
https://www.espn.com[...]
2020-05-01
[45]
뉴스
A timeline of Alex Smith's remarkable comeback – from life-threatening injury to the playoffs
https://www.washingt[...]
2021-01-06
[46]
웹사이트
Alex Smith plays in first NFL game since gruesome leg injury in November 2018
https://www.usatoday[...]
2020-10-11
[47]
웹사이트
E60 Documents NFL QB Alex Smith's Courageous Recovery From Gruesome Leg Injury
https://espnpressroo[...]
2020-04-28
[48]
웹사이트
Saltburn's Barry Keoghan on Flirting With Jacob Elordi and Manifesting Stardom
https://www.gq.com/s[...]
2024-01-09
[49]
PDF
壊死性筋膜炎 necrotizing fasciitis
http://www.derm-hoku[...]
北海道大学 大学院医学研究科皮膚科学教室
[50]
논문
劇症型A群溶連菌感染症を呈した化膿性膝関節炎の1例
https://doi.org/10.1[...]
2009
[51]
논문
経口感染が考えられた,Aeromonas sobriaによる壊死性筋膜炎の死亡例
https://doi.org/10.1[...]
1992
[52]
논문
肛門周囲膿瘍に続発した壊死性筋膜炎の1例
https://doi.org/10.3[...]
1998
[53]
논문
壊死性筋膜炎
http://id.nii.ac.jp/[...]
1996-12-31
[54]
논문
陰部からの感染が疑われた劇症型溶血性レンサ球菌感染症
http://journal.kyori[...]
2014
[55]
논문
A群溶連菌による壊死性筋膜炎の1例
https://doi.org/10.1[...]
2015
[56]
논문
水害により発生したVibrio vulnificusによる下腿壊死性筋膜炎の1例
https://doi.org/10.1[...]
2005
[57]
논문
下肢壊死性筋膜炎の検討-蜂窩織炎との鑑別は難しい-
https://doi.org/10.7[...]
2015
[58]
저널
Surgical outcome of necrotizing fasciitis in diabetic lower limbs
[59]
웹사이트
http://www.sfgate.co[...]
[60]
저널
Necrotizing Fasciitis: Current Concepts and Review of the Literature
[61]
저널
Necrotizing fasciitis
https://archive.org/[...]
1996-04
[62]
저널
Fasceita necrozantă cervico-toracică: caz clinic și recenzie a literaturii de specialitate
http://www.revistaom[...]
2011-03
본 사이트는 AI가 위키백과와 뉴스 기사,정부 간행물,학술 논문등을 바탕으로 정보를 가공하여 제공하는 백과사전형 서비스입니다.
모든 문서는 AI에 의해 자동 생성되며, CC BY-SA 4.0 라이선스에 따라 이용할 수 있습니다.
하지만, 위키백과나 뉴스 기사 자체에 오류, 부정확한 정보, 또는 가짜 뉴스가 포함될 수 있으며, AI는 이러한 내용을 완벽하게 걸러내지 못할 수 있습니다.
따라서 제공되는 정보에 일부 오류나 편향이 있을 수 있으므로, 중요한 정보는 반드시 다른 출처를 통해 교차 검증하시기 바랍니다.
문의하기 : help@durumis.com