메르켈세포암종
"오늘의AI위키"의 AI를 통해 더욱 풍부하고 폭넓은 지식 경험을 누리세요.
1. 개요
메르켈세포암종(MCC)은 피부에 생기는 드문 암으로, 단단한 결절이나 덩어리로 나타나며 빠르게 커질 수 있다. 주로 햇빛에 노출되는 부위에서 발생하며, 통증, 압통, 가려움증 또는 다른 피부 증상을 동반할 수 있다. 2008년 제시된 AEIOU(무증상/압통 부재, 급속한 확장, 면역 억제, 50세 이상, 맑은 피부를 가진 사람의 자외선 노출 부위)는 MCC의 주요 특징을 요약한다. MCC는 메르켈 세포 폴리오마바이러스 감염, 자외선 노출, 면역 억제 등 다양한 요인과 관련이 있으며, 수술, 방사선 치료, 면역 요법으로 치료한다. 예후는 진단 당시의 병기에 따라 다르며, 5년 생존율은 병기에 따라 20%에서 80%까지 나타난다.
더 읽어볼만한 페이지
- 피부 신생물 - 피부암
피부암은 피부 세포에서 발생하는 악성 종양으로, 자외선 노출, 유전적 요인, 면역 저하 등이 원인이 되며 기저세포암, 편평상피세포암, 흑색종으로 나뉘고 조기 발견과 자외선 차단이 중요하다. - 피부 신생물 - 흑색종
흑색종은 멜라닌 세포에서 발생하는 악성 피부암으로, 자외선 노출과 유전적 요인이 주요 원인이며, ABCDEEFG 규칙으로 인지 가능한 초기 증상과 수술, 면역 요법 등으로 치료하고, 종양 두께와 림프절 전이 여부에 따라 예후가 결정되는, 특히 자외선 노출이 강한 지역 백인에게서 발병률이 높은 암이다. - 희귀암 - 중피종
중피종은 석면 노출이 주요 원인이며 20~50년의 잠복기를 거쳐 흉막, 복막 등에서 발생하는 악성 종양으로, 진단은 영상 검사 등을 통해 이루어지고 수술, 항암 치료 등을 병행하며 예후는 좋지 않다. - 희귀암 - 성인 T세포 백혈병
성인 T세포 백혈병은 사람 T세포 림프친화 바이러스 1형에 의해 유발되는 고위험성 비호지킨 림프종의 일종으로, 고칼슘혈증, 피부 질환, 용해성 골병변 등의 증상을 동반하며 급성형, 림프종형, 만성형, 연성형으로 분류된다.
2. 증상 및 징후


메르켈 세포 암종(MCC)은 일반적으로 단단한 결절(직경 최대 2 cm) 또는 덩어리(직경 >2 cm)로 나타난다. 이러한 살색, 붉은색 또는 파란색 종양은 일반적으로 크기가 0.5 cm(1/4인치 미만)에서 5 cm(2인치) 이상으로 다양하며 빠르게 커질 수 있다. 종양은 통증이 없거나, 압통 또는 가려움증으로 나타날 수 있으며, 구진 또는 반점과 같은 다른 MCC 증상도 보고되었다.[6] MCC는 신체의 거의 모든 부위에서 발생할 수 있지만, 머리, 목 또는 사지와 같이 햇빛에 노출되는 부위에서 가장 흔하게 발견된다.[7] 2008년에는 MCC의 5가지 주요 특징이 두문자어 AEIOU로 요약되었다(무증상/압통 부재, 급속한 확장, 면역 억제, 50세 이상, 맑은 피부를 가진 사람의 자외선 노출 부위).[8] MCC의 90%는 이러한 특징 중 3가지 이상을 가지고 있다.[47]
MCC는 때때로 조직학적 유형의 다른 암, 예를 들어 기저 세포 암종, 편평 세포 암종, 악성 흑색종, 림프종 및 소세포 암종, 또는 양성 낭종으로 오인되기도 한다.[9] 메르켈 세포 암종은 어린이에게서도 나타난다고 보고되었지만, 소아 사례는 매우 드물다.[10]
메르켈 세포 암은 국소적으로 침범하여, 기저 피하 지방, 근막, 및 근육에 침투하는 경향이 있으며, 자연 경과상에서 비교적 초기에 전이되는 경향을 보이며, 가장 흔하게는 국소 림프절로 전이된다. MCC는 또한 혈관을 통해 여러 장기, 특히 간, 폐, 뇌 및 뼈로 공격적으로 확산된다.[11]
2. 1. 주요 특징 (AEIOU)
메르켈세포암종(MCC)은 주로 단단한 결절(직경 최대 2cm) 또는 덩어리(직경 2cm 초과) 형태로 나타난다.[6] 살색, 붉은색, 또는 파란색 종양은 크기가 0.5cm에서 5cm 이상까지 다양하며 빠르게 성장할 수 있다.[6] 통증, 압통, 가려움증을 동반하거나 구진, 반점과 같은 증상이 나타나기도 한다.[6] 주로 머리, 목, 사지 등 햇빛 노출 부위에 발생하지만, 신체 어느 부위에서든 발생할 수 있다.[7]2008년에 MCC의 5가지 주요 특징을 요약한 두문자어 AEIOU가 제시되었다.[8] AEIOU는 무증상/압통 부재(Asymptomatic/lack of tenderness), 급속한 확장(Expanding rapidly), 면역 억제(Immune suppression), 50세 이상(Older than 50 years), 맑은 피부를 가진 사람의 자외선 노출 부위(Ultraviolet-exposed site in a fair-skinned person)를 의미한다.[8] MCC의 90%는 이 중 3가지 이상의 특징을 보인다.[47]
MCC는 기저 세포 암종, 편평 세포 암종, 악성 흑색종, 림프종, 소세포 암종, 양성 낭종 등 다른 암으로 오인되기도 한다.[9] 소아에게서 발생하는 경우는 매우 드물다.[10]
메르켈 세포 암은 국소적으로 침범하여 피하 지방, 근막, 근육에 침투하며, 초기 전이되는 경향이 있어 국소 림프절로 가장 흔하게 전이된다.[11] 또한 혈관을 통해 간, 폐, 뇌, 뼈 등 여러 장기로 확산될 수 있다.[11]
3. 병태 생리

메르켈 세포암종(MCC)은 처음에는 MCC와 메르켈 세포 사이의 조직학적, 생리학적 유사성 때문에 메르켈 세포의 이름을 따서 명명되었지만, MCC의 세포 기원은 격렬한 논쟁의 대상이 되어 왔다. 메르켈 세포는 표피에서 압력 수용체로 작용하는 고도로 특화된 세포이다. 메르켈 세포 자체의 기원은 논쟁의 대상이며, 신경 능선 세포 또는 표피 전구 세포에서 유래된 것으로 제안된다.[13] MCC는 조직학적 외관에서 메르켈 세포와 유사하며(아래: 진단 참조) 표피 마커 사이토케라틴 20과 신경 내분비 마커 시냅토피신 및 크로모그래닌 A를 포함하여 메르켈 세포와 많은 면역조직화학 표지자를 공유한다. 또한, 메르켈 세포 특유의 이온 채널 Piezo2와 전사 인자 Atoh1도 MCC에 의해 발현된다.[3] 그러나 메르켈 세포는 암성 변환 가능성이 낮은 분열 후 세포이다.[13] 또한, MCC의 약 80%에서 종양 형성을 유발하는 것으로 여겨지는 메르켈 세포 폴리오마 바이러스 감염을 지원하는 것으로 나타나지 않았다.[14]
대신, MCC가 메르켈 세포와 유사한 특징을 얻는 시점에서 메르켈 세포 전구체에서 기원할 수 있다는 것이 제안되었다. 그러한 전구체 중 하나는 인간 섬유아세포이다. 섬유아세포 전구체의 증거에는 MCC의 주요 기원 부위로 여겨지는 진피에서의 위치가 포함된다. 또한, ''생체 외'' 실험을 통해 섬유아세포가 메르켈 세포 폴리오마 바이러스 (MCV) 감염을 지원할 뿐만 아니라 바이러스 단백질의 발현으로 MCC 표현형을 갖도록 유도될 수 있음이 입증되었다.[14][15]
그러나 다른 연구자들은 MCC가 편평 상피 세포 암종과 같은 상피 종양을 포함한 혼합 종양에서 자주 나타나기 때문에 상피 전구 세포에서 유래할 가능성이 높다고 주장해 왔다. 상피 세포는 일반적으로 진피에서 발견되지 않지만, 모낭은 종양 발생 가능성이 있는 것으로 나타난 상피 세포를 포함하며, 따라서 MCC 전구체의 가능한 부위로 제안되었다.[3][16]
마지막으로, MCC에서 B 세포 표면 마커의 존재와 MCC와 B 세포 림프종 암 사이의 높은 상관 관계는 MCC가 B 세포와 전구체를 공유할 수 있다는 제안으로 이어졌다.[3][17] 그러나 MCV+ 및 MCV- MCC 사이의 생리학적 및 예후의 차이로 인해(아래 참조), 일부 연구자들은 이 두 가지 MCC 아형이 실제로 다른 전구 세포에서 유래될 수 있다고 제안했다.[18]
MCV, 자외선(UV) 노출 및 약화된 면역 기능을 포함하여 여러 요인이 MCC의 병태 생리에 관여한다.[19]
3. 1. 메르켈 세포 폴리오마바이러스 (MCV)
MCV는 작은 이중 가닥 DNA 바이러스로, 대부분의 MCC 발달에 기여하는 것으로 알려져 있다.[20] 약 80%의 MCC 종양이 MCV에 감염되며, 바이러스는 단클론 패턴으로 숙주 게놈에 통합된다.[20] MCV는 널리 퍼져 있는 바이러스로, 보통 어린 시절에 감염되어 평생 증상 없이 남아있지만, 대부분의 감염자는 MCC를 일으키지 않는다.[15]MCC는 1980년대에 HIV 환자에게서 더 높은 빈도로 발생하는 것이 관찰되면서 MCV와 관련이 있는 것으로 처음 알려졌다.[21] 이후 연구를 통해 MCV 게놈이 MCC 종양 세포의 게놈에 통합된다는 사실이 밝혀졌다. MCV의 병원성을 이해하는 데 중요한 역할을 하는 것은 감염된 세포에서 발현되는 대형 종양 항원(LT)과 소형 종양 항원(sT)이라는 두 가지 바이러스 단백질이다.[22]
일반적으로 MCV에 감염된 환자는 LT 단백질에 대한 항체 수치가 낮은데, 이는 C-말단에 있는 핵 국소화 도메인이 세포 분산을 제한하기 때문일 수 있다. 그러나 바이러스 게놈이 숙주 게놈에 통합되면 이 도메인에 근접한 LT 단백질이 절단될 수 있다. 이는 감염된 세포의 용해를 초래하는 바이러스 복제를 방지하고, LT 단백질을 세포질로 재분배하여 세포질 신호 전달과 상호 작용할 수 있게 한다.[23] LT 단백질의 N-말단 LXCXE 모티프는 종양 유전자 Rb과 상호 작용하며, 다른 암 유발 바이러스에서도 보존된다.[23] LT는 c-Myc 및 사이클린 E와 같은 세포 증식 신호를 유지하고 p53 종양 억제 유전자에 DNA 손상을 유발할 수 있다.[14][15]
sT는 번역 개시자 4EBP1의 과인산화와 세포 증식 신호 분해를 담당하는 유비퀴틴 리가제 복합체의 억제를 통해 세포 증식을 유도한다. sT는 LT 단백질의 발암성 기능을 강화하는 LT 안정화 도메인 (LSD)을 포함한다. MCC 샘플은 sT만 발현하기도 하며, 섬유아세포에서 sT 발현은 MCC 표현형 발달을 유발한다.[14][15]
3. 2. 자외선 (UV) 노출
메르켈세포암종(MCC) 종양의 약 20%는 MCV 음성이다.[7] MCV 유발 MCC와는 대조적으로, 이 종양은 UV 손상의 특징을 나타내는 돌연변이 시그니처를 가진 훨씬 더 높은 돌연변이 부담을 갖는 경향이 있다.[14] MCV 음성 MCC에서 자주 돌연변이가 일어나는 유전자에는 p53, Rb 등이 있다.[22]MCC와 UV 노출 간의 연관성은 UV 광선 요법을 받는 사람뿐만 아니라 UV 노출이 높은 지역의 백인에게서 MCC 발생률이 더 높다는 것을 나타내는 다양한 역학 연구를 통해 입증되었다.[6] 또한, MCC가 햇빛에 노출되는 부위에 전형적으로 분포하고 다른 피부암과 함께 발생하는 점 역시 UV 노출이 MCC 발달에 기여하는 요인임을 시사한다.[6] 이것이 직접적인 돌연변이 영향, 면역 저하 또는 이 두 가지의 조합을 통해 발생하는지는 불분명하다.[6][9]
3. 3. 면역 억제
악성 종양, HIV 감염, 장기 이식 환자와 같이 면역 기능이 결함된 상태에서 메르켈세포암종(MCC)의 발병률이 증가한다.[6] 반대로, 면역 반응이 활발한 환자는 예후가 개선되는 것으로 나타났다.[24] 이는 신체가 MVC 감염으로부터 자신을 방어하거나 재활성화하는 능력이 없기 때문으로 추정된다.[25]4. 진단
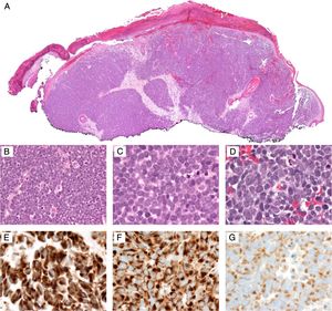
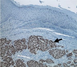
메르켈세포암종(MCC)의 진단은 피부 및 림프절의 임상 검사를 통해 의심스러운 부위를 결정하는 것으로 시작된다.[27] 확진을 위해서는 생검 조직을 검사하여 조직병리학적 특징을 확인해야 한다.[6][27] 이상적인 생검 표본은 펀치 생검이나 전체 두께의 피부 절개 생검으로, 전체 두께의 진피와 피하 조직을 포함한다. 현미경 검사에서 MCC는 신경내분비 특징(소금 후추 모양의 염색질, 희소 세포질, 활발한 유사 분열 활동)을 가진 기저 세포성 종양 둥지를 보인다.[6][27]
면역조직화학(IHC)은 일반적으로 MCC를 소세포 폐암의 피부 전이, 흑색종의 소세포 변이체, 다양한 피부 백혈병/림프성 백혈병 및 유잉 육종과 같은 형태학적으로 유사한 다른 종양과 구별하는 데 필요하다. 시냅토피신 또는 크로모그라닌 A와 같은 신경내분비 분자 마커는 MCC 및 기타 신경내분비 종양의 특징이며, PAX5 또는 사이토케라틴 20과 같은 다른 마커는 이러한 종양과 MCC를 구별할 수 있다.[3][7] 종단 영상 검사도 전이성 소세포 폐암 진단을 배제하는 데 도움이 될 수 있다. MCC 진단이 내려지면, 감시 림프절 생검 및 영상 검사가 예후와 후속 치료 옵션을 결정하는 병기 결정 과정의 일부로 권장된다.[6][27] 영상 검사에는 양전자 방출 단층 촬영술 또는 CT 스캔이 포함될 수 있다.[28]
4. 1. 조직 생검 및 면역조직화학 검사
메르켈세포암종(MCC)의 진단은 피부 및 림프절의 임상 검사를 통해 의심스러운 부위를 결정하는 것으로 시작된다.[27] 확진을 위해서는 생검 조직을 검사하여 조직병리학적 특징을 확인해야 한다.[6][27] 이상적인 생검 표본은 펀치 생검이나 전체 두께의 피부 절개 생검으로, 전체 두께의 진피와 피하 조직을 포함한다. 현미경 검사에서 MCC는 신경내분비 특징(소금 후추 모양의 염색질, 희소 세포질, 활발한 유사 분열 활동)을 가진 기저 세포성 종양 둥지를 보인다.[6][27]면역조직화학(IHC)은 일반적으로 MCC를 소세포 폐암의 피부 전이, 흑색종의 소세포 변이체, 다양한 피부 백혈병/림프성 백혈병 및 유잉 육종과 같은 형태학적으로 유사한 다른 종양과 구별하는 데 필요하다. 시냅토피신 또는 크로모그라닌 A와 같은 신경내분비 분자 마커는 MCC 및 기타 신경내분비 종양의 특징이며, PAX5 또는 사이토케라틴 20과 같은 다른 마커는 이러한 종양과 MCC를 구별할 수 있다.[3][7] 종단 영상 검사도 전이성 소세포 폐암 진단을 배제하는 데 도움이 될 수 있다. MCC 진단이 내려지면, 감시 림프절 생검 및 영상 검사가 예후와 후속 치료 옵션을 결정하는 병기 결정 과정의 일부로 권장된다.[6][27] 영상 검사에는 양전자 방출 단층 촬영술 또는 CT 스캔이 포함될 수 있다.[28]
4. 2. 영상 검사
메르켈세포암종(MCC)의 진단을 위해서는 피부 및 림프절의 임상 검사를 통해 의심스러운 부위를 결정하고 추가 조사를 진행한다.[27] 확진을 위해서는 생검 조직을 검사하여 조직병리학적 특징을 확인해야 한다.[6][27] 이상적인 생검 표본은 펀치 생검이나 전체 두께의 피부 절개 생검으로 전체 두께의 진피와 피하 조직을 포함한다. 현미경 검사에서 MCC는 신경내분비 특징(소금 후추 모양의 염색질, 희소 세포질, 활발한 유사 분열 활동)을 가진 기저 세포성 종양 둥지를 보인다.[6][27]광학 현미경 검사 외에도 면역조직화학(IHC)은 일반적으로 MCC를 소세포 폐암의 피부 전이, 흑색종의 소세포 변이체, 다양한 피부 백혈병/림프성 백혈병 및 유잉 육종과 같은 형태학적으로 유사한 다른 종양과 구별하는 데 필요하다. 시냅토피신 또는 크로모그라닌 A와 같은 신경내분비 분자 마커는 MCC 및 기타 신경내분비 종양의 특징이며, PAX5 또는 사이토케라틴 20과 같은 다른 마커는 이러한 종양과 MCC를 구별할 수 있다.[3][7] 종단 영상 검사도 전이성 소세포 폐암 진단을 배제하는 데 도움이 될 수 있다.
MCC 진단이 내려지면, 감시 림프절 생검 및 영상 검사가 예후와 후속 치료 옵션을 결정하는 병기 결정 과정의 일부로 권장된다.[6][27] 영상 검사에는 양전자 방출 단층 촬영술 또는 CT 스캔이 포함될 수 있다.[28]
5. 예방
햇빛 노출은 메르켈세포암종(MCC)의 원인 중 하나로 여겨진다.[29][30][31] 세계 보건 기구(WHO), 미국 피부과 학회, 피부암 재단은 과도한 자외선 노출과 피부암을 예방하기 위해 다음과 같은 조치를 권장한다.[29][30][31]
- 자외선이 가장 강한 오전 10시에서 오후 4시 사이에는 햇빛 노출을 제한한다.
- 자외선이 가장 강할 때는 그늘을 찾는다.
- 챙 넓은 모자, 선글라스, 촘촘하고 헐렁한 옷 등 자외선 차단 의류를 착용한다.
- 자외선 차단제를 사용한다.
- 태닝 침대와 인공 자외선 노출을 피한다.
5. 1. 자외선 차단
햇빛 노출은 메르켈 세포 암종(MCC)의 원인 중 하나로 여겨진다.[29][30][31] 세계 보건 기구(WHO), 미국 피부과 학회, 피부암 재단은 과도한 자외선 노출과 피부암을 예방하기 위해 다음과 같은 조치를 권장한다.[29][30][31]- 자외선이 가장 강한 오전 10시에서 오후 4시 사이에는 햇빛 노출을 제한한다.
- 자외선이 가장 강할 때는 그늘을 찾는다.
- 챙 넓은 모자, 선글라스, 촘촘하고 헐렁한 옷 등 자외선 차단 의류를 착용한다.
- 자외선 차단제를 사용한다.
- 태닝 침대와 인공 자외선 노출을 피한다.
6. 치료
메르켈세포암종은 일반적으로 수술과 방사선 치료를 받으며, 진행된 질병에는 면역 요법이 사용된다. 영향을 받은 사람이 면역억제제로 치료받는 경우, 가능한 한 약물을 줄인다.[28]
가능하다면, 수술적 절제는 일반적으로 다른 치료법에 앞서 수행된다. 사용되는 수술 유형은 개별 환자에 따라 단순 광범위 절제술 또는 모스 수술과 같은 더 특수한 기술일 수 있다. 감시 림프절 생검과 같은 병기 결정 과정의 일부도 종종 동시에 수행된다.[28]
방사선 치료는 메르켈세포암종(MCC)의 주요 관리 방법이다. 지금까지 호주에서 진행된 가장 큰 연구에 따르면, 방사선 치료 단독 요법은 수술을 먼저 시행하거나 보조 요법으로 수술을 한 후 방사선 치료를 하는 것과 동일한 결과를 얻을 수 있다.[32][33] 수술의 역할은 주로 과거의 것으로, 생검에 국한된다. 두 치료 전략을 비교하는 직접적인 임상 시험은 없으며, 이러한 시험이 부재한 상황에서 외과 의사들은 MCC를 제거하기 위해 방사선 치료를 의뢰하기 전에 절제 생검을 가장 일반적으로 수행하는 경향이 있다. MCC는 매우 방사선에 민감하다.[34] 방사선 종양학 분야의 발표된 연구에서 내린 결론은 MCC는 이상적으로 방사선 치료 단독 요법으로 관리해야 한다는 것이다.[33]
면역 요법 즉, PD1-PDL1 체크포인트 신호 전달 경로의 억제제는 진행성 MCC 또는 화학 요법에 내성이 있는 MCC에 효과를 보인 새로운 항암제이다.[36] PD-1 경로는 T 세포 활성화와 과잉 활성화 사이의 균형을 조절하여 T 세포 고갈 또는 자가 면역을 유발한다.[37] 그러나 종양에서 PD-1 리간드(PDL1)의 과발현이 면역 공격을 회피하는 방법으로 관찰되었다.[38] 따라서 PD-1 억제는 신체의 면역 반응을 강화하여 암세포를 파괴하도록 한다.[39] 그러나 부작용으로 인해 미국종합암네트워크(NCCN) 지침은 초기 단계 MCC보다는 전이성 MCC 환자에게 PD-1 억제제를 권장한다.[47]
2017년 3월, 미국 식품의약국(FDA)은 전이성 MCC가 있는 12세 이상의 성인 및 어린이를 치료하기 위해 아벨루맙, PDL1 억제제에 가속 승인을 부여했다.[40] 2018년 12월, 미국 식품의약국(FDA)은 재발성 국소 진행성 또는 전이성 메르켈 세포 암종이 있는 모든 연령대(성인 및 소아)에 대해 펨브롤리주맙 (KEYTRUDA, Merck & Co. Inc.)에 가속 승인을 부여했다.[41] 니볼루맙 (상품명 Opdivo, Bristol-Myers Squibb)은 3/4상 임상 시험 중에 있다.[22][42] 이필리무맙 (상품명 Yervoy, Bristol-Myers Squibb)은 전이성 MCC가 있는 성인을 대상으로 2상 임상 시험을 진행하고 있다.[43][42]
현재까지의 연구에 따르면 PD-1 경로 억제제로 치료받은 MCC의 임상 반응률은 50~65% 사이인 것으로 나타났다. 추가적인 면역 요법 연구 분야에 대한 제안에는 치료 백신 또는 HLA 수용체의 후성 유전적 변형이 포함되었다.[22][23][24][36]
6. 1. 수술
가능하다면, 수술적 절제는 일반적으로 다른 치료법에 앞서 수행된다. 사용되는 수술 유형은 개별 환자에 따라 단순 광범위 절제술 또는 모스 수술과 같은 더 특수한 기술일 수 있다. 감시 림프절 생검과 같은 병기 결정 과정의 일부도 종종 동시에 수행된다.[28]6. 2. 방사선 치료
방사선 치료는 메르켈세포암종(MCC)의 주요 관리 방법이다. 지금까지 호주에서 진행된 가장 큰 연구에 따르면, 방사선 치료 단독 요법은 수술을 먼저 시행하거나 보조 요법으로 수술을 한 후 방사선 치료를 하는 것과 동일한 결과를 얻을 수 있다.[32][33] 수술의 역할은 주로 과거의 것으로, 생검에 국한된다. 두 치료 전략을 비교하는 직접적인 임상 시험은 없으며, 이러한 시험이 부재한 상황에서 외과 의사들은 MCC를 제거하기 위해 방사선 치료를 의뢰하기 전에 절제 생검을 가장 일반적으로 수행하는 경향이 있다. MCC는 매우 방사선에 민감하다.[34] 방사선 종양학 분야의 발표된 연구에서 내린 결론은 MCC는 이상적으로 방사선 치료 단독 요법으로 관리해야 한다는 것이다.[33]6. 3. 면역 요법
면역 요법 즉, PD1-PDL1 체크포인트 신호 전달 경로의 억제제는 진행성 MCC 또는 화학 요법에 내성이 있는 MCC에 효과를 보인 새로운 항암제이다.[36] PD-1 경로는 T 세포 활성화와 과잉 활성화 사이의 균형을 조절하여 T 세포 고갈 또는 자가 면역을 유발한다.[37] 그러나 종양에서 PD-1 리간드(PDL1)의 과발현이 면역 공격을 회피하는 방법으로 관찰되었다.[38] 따라서 PD-1 억제는 신체의 면역 반응을 강화하여 암세포를 파괴하도록 한다.[39] 그러나 부작용으로 인해 미국종합암네트워크(NCCN) 지침은 초기 단계 MCC보다는 전이성 MCC 환자에게 PD-1 억제제를 권장한다.[47]2017년 3월, 미국 식품의약국(FDA)은 전이성 MCC가 있는 12세 이상의 성인 및 어린이를 치료하기 위해 아벨루맙, PDL1 억제제에 가속 승인을 부여했다.[40] 2018년 12월, 미국 식품의약국(FDA)은 재발성 국소 진행성 또는 전이성 메르켈 세포 암종이 있는 모든 연령대(성인 및 소아)에 대해 펨브롤리주맙 (KEYTRUDA, Merck & Co. Inc.)에 가속 승인을 부여했다.[41] 니볼루맙 (상품명 Opdivo, Bristol-Myers Squibb)은 3/4상 임상 시험 중에 있다.[22][42] 이필리무맙 (상품명 Yervoy, Bristol-Myers Squibb)은 전이성 MCC가 있는 성인을 대상으로 2상 임상 시험을 진행하고 있다.[43][42]
현재까지의 연구에 따르면 PD-1 경로 억제제로 치료받은 MCC의 임상 반응률은 50~65% 사이인 것으로 나타났다. 추가적인 면역 요법 연구 분야에 대한 제안에는 치료 백신 또는 HLA 수용체의 후성 유전적 변형이 포함되었다.[22][23][24][36]
7. 예후
미국 암 연합 위원회(AJCC)에 따르면, 메르켈세포암종(MCC)의 자연 경과는 "변동이 심하며 진단 당시의 병기에 크게 좌우된다".[44] MCC의 병기 설정은 TNM 병기 설정 시스템에 따라 분류되며, 이는 암의 병기를 원발 종양의 크기(T), 국소 림프절로의 전이 정도(N), 그리고 원격 전이의 존재(M)에 따라 설명하는 표기 시스템이다.[44] T, N, M 병기의 조합은 최종 임상 병기 그룹(0, I, IIA, IIB, IIIA, IIIB, IV)을 결정한다.[45] 진행성 병기(즉, 종양의 크기 증가, 종양의 주변 및/또는 원격 조직으로의 전이, 림프절 침범)는 낮은 생존율과 관련이 있다.[7]
국립 암 데이터베이스는 1996년부터 2000년까지 거의 3000명의 MCC 환자로부터 수집한 생존율을 가지고 있으며, 5년 생존율은 다음과 같다:[46]
- '''1A기:''' 80%
- '''1B기:''' 60%
- '''2A기:''' 60%
- '''2B기:''' 50%
- '''2C기:''' 50%
- '''3A기:''' 45%
- '''3B기:''' 25%
- '''4기:''' 20%
5년 생존율은 국소 질환 환자에서는 51%, 림프절 질환 환자에서는 35%, 원격 부위로의 전이가 있는 환자에서는 14%일 수 있다.[47]
종양 병기와는 별개로, 여러 다른 특징들도 예후에 영향을 미칠 수 있다. 여기에는 MCV 바이러스 상태, 조직학적 특징, 면역 상태가 포함된다. 바이러스 상태에서 MCV 대형 종양 항원(LT 항원) 및 망막모세포종 단백질 (RB 단백질) 발현은 더 양호한 예후와 관련이 있는 반면, p63 발현은 더 나쁜 예후와 관련이 있다.[48][49] CD8+ T 림프구 침윤과 같은 조직학적 특징은 양호한 예후와 관련이 있을 수 있으며, 림프관 침윤 패턴은 더 나쁜 예후와 관련이 있을 수 있다.[50][51] 면역 억제 상태, 특히 T 세포 면역 억제(예: 장기 이식, HIV 감염, 특정 악성 종양)는 더 나쁜 예후와 높은 사망률을 예측한다.[52] 면역 억제는 또한 재발 위험을 높인다.[28]
메르켈 세포 폴리오마바이러스 온코단백질에 대한 혈액 내 항체 역가는 진단 시 감지 가능한 항체를 가진 사람들의 치료 반응 생체 지표로 사용될 수 있다.[53][54]
7. 1. 병기별 5년 생존율 (미국 국립 암 데이터베이스, 1996-2000)
미국 암 연합 위원회(AJCC)에 따르면, 메르켈세포암종(MCC)의 자연 경과는 "변동이 심하며 진단 당시의 병기에 크게 좌우된다".[44] 메르켈세포암종의 병기는 TNM 병기 설정 시스템에 따라 분류되며, 이는 암의 병기를 원발 종양의 크기(T), 국소 림프절로의 전이 정도(N), 그리고 원격 전이의 존재(M)에 따라 설명하는 표기 시스템이다.[44] T, N, M 병기의 조합은 최종 임상 병기 그룹(0, I, IIA, IIB, IIIA, IIIB, IV)을 결정한다.[45] 진행성 병기(즉, 종양의 크기 증가, 종양의 주변 및/또는 원격 조직으로의 전이, 림프절 침범)는 낮은 생존율과 관련이 있다.[7]국립 암 데이터베이스는 1996년부터 2000년까지 거의 3000명의 MCC 환자로부터 수집한 생존율을 가지고 있으며, 5년 생존율은 다음과 같다:[46]
- '''1A기:''' 80%
- '''1B기:''' 60%
- '''2A기:''' 60%
- '''2B기:''' 50%
- '''2C기:''' 50%
- '''3A기:''' 45%
- '''3B기:''' 25%
- '''4기:''' 20%
5년 생존율은 국소 질환 환자에서는 51%, 림프절 질환 환자에서는 35%, 원격 부위로의 전이가 있는 환자에서는 14%일 수 있다.[47]
종양 병기와는 별개로, 여러 다른 특징들도 예후에 영향을 미칠 수 있다. 여기에는 MCV 바이러스 상태, 조직학적 특징, 면역 상태가 포함된다. 바이러스 상태에서 MCV 대형 종양 항원(LT 항원) 및 망막모세포종 단백질 (RB 단백질) 발현은 더 양호한 예후와 관련이 있는 반면, p63 발현은 더 나쁜 예후와 관련이 있다.[48][49] CD8+ T 림프구 침윤과 같은 조직학적 특징은 양호한 예후와 관련이 있을 수 있으며, 림프관 침윤 패턴은 더 나쁜 예후와 관련이 있을 수 있다.[50][51] 면역 억제 상태, 특히 T 세포 면역 억제(예: 장기 이식, HIV 감염, 특정 악성 종양)는 더 나쁜 예후와 높은 사망률을 예측한다.[52] 면역 억제는 또한 재발 위험을 높인다.[28]
메르켈 세포 폴리오마바이러스 온코단백질에 대한 혈액 내 항체 역가는 진단 시 감지 가능한 항체를 가진 사람들의 치료 반응 생체 지표로 사용될 수 있다.[53][54]
7. 2. 예후에 영향을 미치는 요인
미국 암 연합 위원회(AJCC)에 따르면, 메르켈세포암종(MCC)의 자연 경과는 변동이 심하며 진단 당시의 병기에 크게 좌우된다.[44] 병기 설정은 TNM 병기 설정 시스템에 따라 분류되며, 암의 병기를 원발 종양의 크기(T), 국소 림프절로의 전이 정도(N), 원격 전이의 존재(M)에 따라 설명한다.[44] T, N, M 병기의 조합은 최종 임상 병기 그룹(0, I, IIA, IIB, IIIA, IIIB, IV)을 결정한다.[45] 진행성 병기(종양 크기 증가, 주변 및/또는 원격 조직으로의 전이, 림프절 침범)는 낮은 생존율과 관련이 있다.[7]국립 암 데이터베이스는 1996년부터 2000년까지 거의 3000명의 MCC 환자로부터 수집한 생존율을 가지고 있으며, 5년 생존율은 다음과 같다:[46]
- '''1A기:''' 80%
- '''1B기:''' 60%
- '''2A기:''' 60%
- '''2B기:''' 50%
- '''2C기:''' 50%
- '''3A기:''' 45%
- '''3B기:''' 25%
- '''4기:''' 20%
5년 생존율은 국소 질환 환자에서 51%, 림프절 질환 환자에서 35%, 원격 부위로 전이된 환자에서 14%이다.[47]
종양 병기 외 다른 특징도 예후에 영향을 줄 수 있다. MCV 바이러스 상태, 조직학적 특징, 면역 상태 등이 그것이다. 바이러스 상태에서 MCV 대형 종양 항원(LT 항원) 및 망막모세포종 단백질(RB 단백질) 발현은 더 양호한 예후와 관련이 있는 반면, p63 발현은 더 나쁜 예후와 관련이 있다.[48][49] CD8+ T 림프구 침윤과 같은 조직학적 특징은 양호한 예후와, 림프관 침윤 패턴은 더 나쁜 예후와 관련이 있을 수 있다.[50][51] 면역 억제 상태, 특히 T 세포 면역 억제(예: 장기 이식, HIV 감염, 특정 악성 종양)는 더 나쁜 예후와 높은 사망률을 예측한다.[52] 면역 억제는 재발 위험 또한 높인다.[28]
메르켈 세포 폴리오마바이러스 온코단백질에 대한 혈액 내 항체 역가는 진단 시 감지 가능한 항체를 가진 사람들의 치료 반응 생체 지표로 사용될 수 있다.[53][54]
8. 역학
메르켈세포암종은 60세에서 80세 사이의 백인에게서 가장 흔하게 발생하며, 남성이 여성보다 발생률이 약 2배 더 높다.[55] 2013년 미국의 발병률은 10만 명당 0.7명에 불과한 드문 피부암이다.[56] 2005년 기준, 미국에서는 매년 약 2,500건의 새로운 메르켈세포암종(MCC) 사례가 진단되는데,[56] 이는 같은 해 약 60,000건의 악성 흑색종과 100만 건 이상의 비흑색종 피부암 사례와 비교된다.[57] 흑색종과 마찬가지로 미국의 MCC 발생률은 빠르게 증가하고 있다.[9] 전 세계적으로 MCC는 햇빛 노출이 증가한 지역에서 가장 흔하게 발견되며, 호주는 MCC 발생률이 가장 높은 국가이다.[58]
2006년 이후, 다발성 골수종, 만성 림프구성 백혈병, 악성 흑색종 병력이 있는 사람들은 MCC의 위험이 상당히 증가한다는 사실이 알려졌다.[59] HIV 감염, 장기 이식 후 또는 자가면역 질환에 대한 면역억제 치료 등 면역억제 상태는 MCC 발생 가능성을 증가시킬 수 있다.[19]
9. 역사
프리드리히 지그문트 메르켈은 1875년 피부에서 ''Tastzellen''(촉각 세포)을 처음으로 기술한 독일의 해부학자이자 조직병리학자였다.[60] 1878년 해부학자 로베르트 보네에 의해 메르켈 세포라는 용어가 만들어졌다. 메르켈 세포 암종은 1972년 시릴 토커에 의해 처음 기술되었다.[61] 그는 '피부의 소주 암종' 5건을 보고했다.
10. 저명한 환자
참조
[1]
웹사이트
Merkel cell carcinoma
https://www.dynamed.[...]
2019-11-11
[2]
서적
Dermatology
Mosby/Elsevier
2008
[3]
논문
Histogenesis of Merkel Cell Carcinoma: A Comprehensive Review
2019-06-10
[4]
서적
Weedon's skin pathology
2014-12-07
[5]
논문
Merkel Cell Carcinoma
2017-06
[6]
논문
Merkel cell carcinoma: An update and review
2018-03
[7]
논문
Updates on Merkel Cell Carcinoma
2019-10
[8]
논문
Clinical characteristics of Merkel cell carcinoma at diagnosis in 195 patients: the AEIOU features
2008-03
[9]
논문
Merkel cell carcinoma
2012-03
[10]
논문
One in a hundred million: Merkel cell carcinoma in pediatric and young adult patients is rare but more likely to present at advanced stages based on US registry data
2019-06
[11]
웹사이트
Merkel Cell Carcinoma Treatment
https://www.cancer.g[...]
2006-02-21
[12]
논문
Human Merkel cell polyomavirus infection I. MCV T antigen expression in Merkel cell carcinoma, lymphoid tissues and lymphoid tumors
2009-09-15
[13]
논문
Merkel cell carcinoma: a review and update on current concepts
2016-04
[14]
서적
Infectious Agents Associated Cancers: Epidemiology and Molecular Biology
[15]
논문
Merkel cell polyomavirus and Merkel cell carcinoma
2017-09-11
[16]
논문
Primary neuroendocrine (Merkel cell) carcinoma of the skin: Morphologic diversity and implications thereof
2001-07
[17]
논문
Merkel cell carcinoma, chronic lymphocytic leukemia and other lymphoproliferative disorders: an old bond with possible new viral ties
2011-02
[18]
논문
Are there multiple cells of origin of Merkel cell carcinoma?
2018-01-11
[19]
논문
Merkel Cell Carcinomas Arising in Autoimmune Disease Affected Patients Treated with Biologic Drugs, Including Anti-TNF
2017-07-15
[20]
논문
The Merkel Cell Polyomavirus and Its Involvement in Merkel Cell Carcinoma
2013-02
[21]
논문
Merkel cell carcinoma and HIV infection
https://zenodo.org/r[...]
2002-02
[22]
논문
Epidemiology, biology and therapy of Merkel cell carcinoma: conclusions from the EU project IMMOMEC
2017-11-30
[23]
논문
Polyomavirus-driven Merkel cell carcinoma: Prospects for therapeutic vaccine development
2020-03-27
[24]
논문
The biology and treatment of Merkel cell carcinoma: current understanding and research priorities
2018-10-04
[25]
논문
Paradoxical roles of the immune system during cancer development
2006-01
[26]
논문
Clinical features and treatment of vulvar Merkel cell carcinoma: a systematic review
2017-01-25
[27]
논문
Merkel cell carcinoma: Epidemiology, pathogenesis, diagnosis and therapy
2017-09-16
[28]
웹사이트
NCCN Guidelines Version 1.2023 Merkel Cell Carcinoma
https://www.nccn.org[...]
2023-04-10
[29]
웹사이트
Sun protection
https://www.who.int/[...]
2018-03-28
[30]
웹사이트
Prevention Guidelines – SkinCancer.org
https://www.skincanc[...]
2018-03-28
[31]
웹사이트
Prevent skin cancer {{!}} American Academy of Dermatology
https://www.aad.org/[...]
2018-03-28
[32]
논문
Radiotherapy alone for Merkel cell carcinoma: A comparative and retrospective study of 25 patients
2011-11
[33]
논문
The Role of Radiotherapy Alone in Patients With Merkel Cell Carcinoma: Reporting the Australian Experience of 43 Patients
2010-11
[34]
논문
Definitive Radiotherapy for Locally Advanced Merkel Cell Carcinoma of the Head and Neck Region: A Case Report
[35]
논문
Merkel Cell Carcinoma, Version 1.2018, NCCN Clinical Practice Guidelines in Oncology
2018-06-11
[36]
논문
Merkel cell carcinoma
2017-10-26
[37]
논문
The diverse functions of the PD1 inhibitory pathway
2017-11-13
[38]
논문
Inhibitors of the PD-1 Pathway in Tumor Therapy
2018-01-08
[39]
논문
Immune Checkpoint Blockade: A Common Denominator Approach to Cancer Therapy
2015-04
[40]
뉴스
FDA approves first treatment for rare form of skin cancer
https://www.fda.gov/[...]
FDA News Release
2017-03-23
[41]
Webarchive
FDA News Release
https://www.fda.gov/[...]
2013-08-19
[42]
웹사이트
Immunotherapy for Merkel Cell Carcinoma {{!}} Merkel Cell Carcinoma
https://merkelcell.o[...]
2020-05-14
[43]
ClinicalTrialsGov
Study of the Drug Ipilimumab for Metastatic Merkel Cell Carcinoma
NCT01913691
[44]
서적
AJCC cancer staging manual
2018-03-30
[45]
논문
PDQ (Physician Data Query)
2013-10-18
[46]
웹사이트
Survival Rates for Merkel Cell Carcinoma, by Stage
https://www.cancer.o[...]
2018-03-03
[47]
논문
Why Merkel Cell Cancer Is Garnering More Attention
2018-07-03
[48]
논문
Merkel Cell Polyomavirus Infection, Large T Antigen, Retinoblastoma Protein and Outcome in Merkel Cell Carcinoma
2011-06-03
[49]
논문
p63 Expression in Merkel Cell Carcinoma Predicts Poorer Survival yet May Have Limited Clinical Utility
2013-12-01
[50]
논문
Transcriptome-Wide Studies of Merkel Cell Carcinoma and Validation of Intratumoral CD8+ Lymphocyte Invasion As an Independent Predictor of Survival
2011-04-20
[51]
논문
Merkel cell carcinoma
2008-11-01
[52]
논문
Effect of Host, Tumor, Diagnostic, and Treatment Variables on Outcomes in a Large Cohort With Merkel Cell Carcinoma
2014-07-01
[53]
논문
Advances in Immunotherapy for Metastatic Merkel Cell Carcinoma: A Clinician's Guide
2018-06-11
[54]
논문
Viral oncoprotein antibodies as a marker for recurrence of Merkel cell carcinoma: A prospective validation study
2017-04-15
[55]
논문
Merkel cell carcinoma: Epidemiology, prognosis, therapy and unmet medical needs
2017-01
[56]
논문
Merkel cell carcinoma: Current US incidence and projected increases based on changing demographics
2018-03
[57]
논문
Merkel cell carcinoma: Changing incidence trends
2005-01-01
[58]
논문
Merkel cell polyomavirus is more frequently present in North American than Australian Merkel cell carcinoma tumors
2009
[59]
논문
Merkel Cell Carcinoma and Multiple Primary Cancers
2006-08-01
[60]
논문
Tastzellen und Tastkörperchen bei den Hausthieren und beim Menschen
https://zenodo.org/r[...]
[61]
논문
Trabecular carcinoma of the skin
1972-01
[62]
웹사이트
David Brudnoy, 64; Talk Radio Host Was Heard in 38 States
https://www.latimes.[...]
2022-04-25
[63]
뉴스
Maria Bueno, three-times women's singles champion at Wimbledon – obituary
https://www.telegrap[...]
2018-06-10
[64]
웹사이트
Jimmy Buffett 1946-2023
https://www.jimmybuf[...]
2023-09-02
[65]
웹사이트
Copelands Help Save Life of Family's Doctor
https://www.lsuhsc.e[...]
2022-04-25
[66]
뉴스
Al Davis Death Certificate Reveals Cause of Death
https://www.nbcbayar[...]
2011-10-28
[67]
뉴스
Edward J. Derwinski, first secretary of the Department of Veterans Affairs, dies
https://www.washingt[...]
2022-04-25
[68]
뉴스
John Fitch, Glamorous Racer With a Flair for Danger, Dies at 95
https://www.nytimes.[...]
2022-04-25
[69]
뉴스
Leonard Hirshan dies at 86; longtime agent for Clint Eastwood
https://www.latimes.[...]
2014-02-06
[70]
뉴스
Gen. Carl E. Mundy Jr., Outspoken Marine Corps Leader, Dies at 78
https://www.nytimes.[...]
2022-04-25
[71]
뉴스
Joe Zawinul, 75, Jazz Fusion Pioneer, Dies
https://www.nytimes.[...]
The New York Times
2007-09-12
[72]
웹인용
Merkel-cell carcinima
https://www.dynamed.[...]
2019-11-11
[73]
서적
Dermatology
https://archive.org/[...]
Mosby/Elsevier
2008
[74]
저널
Histogenesis of Merkel Cell Carcinoma: A Comprehensive Review
2019-06-10
[75]
서적
Weedon's skin pathology
2014-12-07
[76]
저널
Merkel Cell Carcinoma
2017-06
본 사이트는 AI가 위키백과와 뉴스 기사,정부 간행물,학술 논문등을 바탕으로 정보를 가공하여 제공하는 백과사전형 서비스입니다.
모든 문서는 AI에 의해 자동 생성되며, CC BY-SA 4.0 라이선스에 따라 이용할 수 있습니다.
하지만, 위키백과나 뉴스 기사 자체에 오류, 부정확한 정보, 또는 가짜 뉴스가 포함될 수 있으며, AI는 이러한 내용을 완벽하게 걸러내지 못할 수 있습니다.
따라서 제공되는 정보에 일부 오류나 편향이 있을 수 있으므로, 중요한 정보는 반드시 다른 출처를 통해 교차 검증하시기 바랍니다.
문의하기 : help@durumis.com
