세자리병
"오늘의AI위키"의 AI를 통해 더욱 풍부하고 폭넓은 지식 경험을 누리세요.
1. 개요
세자리병은 피부에 주된 임상적 소견이 나타나는 피부 T세포 림프종의 일종이다. 전신 홍피증, 림프절병증, 세자리세포의 출현을 특징으로 하며, 60세 이상 성인에게서 흔히 진단된다. 진단은 피부 생검과 혈액 검사를 통해 이루어지며, 광역학 치료, 방사선 치료, 화학 요법, 생체의약품 등을 조합한 치료가 일반적이다. 예후는 좋지 않으며, 서구권에서는 100만 명당 3명 꼴로 발생한다.
더 읽어볼만한 페이지
- 림프종 - 림프절 변연부 B세포 림프종
제공된 텍스트는 위키백과 문서의 개요가 아니라 문서 작성 과정에 대한 설명이므로, 림프절 변연부 B세포 림프종에 대한 요약문을 생성할 수 없습니다. - 림프종 - 성인 T세포 백혈병
성인 T세포 백혈병은 사람 T세포 림프친화 바이러스 1형에 의해 유발되는 고위험성 비호지킨 림프종의 일종으로, 고칼슘혈증, 피부 질환, 용해성 골병변 등의 증상을 동반하며 급성형, 림프종형, 만성형, 연성형으로 분류된다. - 증후군 - 쇼그렌 증후군
쇼그렌 증후군은 자가면역 반응으로 발생하는 만성 염증성 질환으로, 침샘과 눈물샘 등에서 분비물 감소를 유발하여 건성안, 구강건조증 등 다양한 증상을 나타낸다. - 증후군 - 수근관 증후군
수근관 증후군은 손목터널 내 정중신경 압박으로 인해 저림, 통증을 유발하며 유전적 요인, 당뇨병, 반복적인 손목 사용 등이 원인이 될 수 있고, 보존적 치료나 수술적 치료를 고려한다.
2. 증상 및 징후

세자리병은 균상식육종과 함께 피부에 주요 증상이 나타나는 피부 T세포 림프종의 한 종류이다.[27][5] 이 병의 주된 기원은 말초 CD4+ T세포이지만,[25][3] 드물게 CD8+/CD4- T세포에서 발생하는 경우도 보고된다.[25][3] 악성 CD4+ 림프구가 피부의 표피층으로 이동하는 현상인 표피지향성(epidermotropism)[28][6]과 포트리에 미세농양(Pautrier's microabscesses) 형성이 이 질병의 특징적인 소견이다.[28] 세자리병은 모든 연령대에서 발병할 수 있지만, 일반적으로 60세 이상의 성인에게서 더 흔하게 진단된다.[29][25][7][3]
세자리병의 주요 증상 및 징후는 다음과 같다.
- 전신 홍피증: 피부 전체가 붉어지는 홍반 증상이 나타난다.[25][3]
- 림프절병증: 림프절이 붓고 커진다.[25][3]
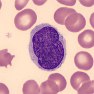
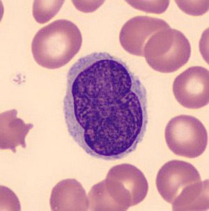
- 비정상적인 T세포 발견: 말초 혈액 검사에서 '세자리 세포'라고 불리는 악성 림프구가 관찰된다. 이 세포는 특징적으로 뇌 모양의 핵(cerebriform nucleus)을 가지고 있다.[30][25][8][3]
- 간비종대: 간과 비장이 비정상적으로 커진다.[31][9]
- 손발바닥각질피부증: 손바닥과 발바닥의 피부가 두꺼워진다.[32][33][10][11]
이 중 홍피증, 림프절 비대, 그리고 말초 혈액 내 이형 림프구(세자리 세포)의 출현을 세자리 증후군의 3대 주요 징후라고 한다. 세자리병은 심각한 전신 증상을 동반하지 않고 만성적으로 진행되는 경우가 많다.
3. 진단

세자리병 환자는 일반적인 약물 치료로는 잘 낫지 않는 피부 병변을 보이는 경우가 많다.[34][12] 혈액 검사에서는 혈액 내 림프구 수치가 변하는 소견이 나타나는데, 이는 피부 T세포 림프종을 시사할 수 있다.[34][12] 또한 말초 혈액에서 이형 림프구(세자리 세포)가 관찰되기도 한다.
다른 질환과의 감별을 위해 피부 병변 부위에서 생검을 시행할 수 있다.[34][12] 병리 검사에서는 표피 내에 림프구 세포들이 모여있는 Pautrier 미소 농양과 같은 특징적인 소견이 관찰될 수 있다.[22]
면역조직화학적 특징은 균상식육종과 매우 유사하지만, 다음과 같은 차이점을 보인다.[35][13]
하지만 모든 세자리병 환자에게서 위와 같은 소견이 항상 나타나는 것은 아니다. 따라서 진단을 확정하기 위해서는 증상이 유사한 다른 홍피증 유발 질환들을 배제하는 과정이 필요하다.
4. 치료
세자리병의 치료는 완치를 목표로 하기보다는 증상을 완화하고 질병의 진행을 억제하는 데 중점을 둔다. 일반적으로 광역학치료, 방사선치료, 화학요법, 생물학적 제제 등을 조합하여 사용한다.[36][14]
광선 요법과 화학요법을 함께 사용하는 경우가 많으며, 화학요법만을 단독으로 시행하는 것은 오늘날 드물다.[25][3] 현재까지 어떤 단일 치료법도 다른 치료법에 비해 명확한 우월성을 보이지 못했으며, 모든 치료법은 여전히 한계를 가지고 있다.[37][15]
방사선치료의 한 종류인 전신 피부 전자선치료(total skin electron therapy)가 사용될 수 있다.[38] 이 치료법은 일반적으로 전신적인 독성 효과를 유발하지는 않지만, 피부 관련 부작용이 나타날 수 있다.[38] 또한, 이 치료는 일부 제한된 의료 기관에서만 가능하다.[38]
약물 치료로는 피부 T세포 림프종의 이차 치료제로 로미뎁신, 보리노스타트 등이 사용된다.[39] CCR4를 표적으로 하는 단클론 항체 약물인 모가물리주맙은 일본[40]과 미국에서 사용 승인을 받았다.[41] 이 외에도 스테로이드 외용제, PUVA 요법(자외선 요법), 인터페론 요법 등이 사용될 수 있으며, 증상이 심한 경우에는 화학요법(항암제)을 병용하기도 한다.
5. 역학
서구권 인구를 기준으로 세자리병은 100만 명당 약 3명에게서 발생하는 것으로 알려져 있다.[25][3] 여성보다 남성에게 더 흔하게 나타나며, 남녀 발병 비율은 대략 2:1이다.[25][3] 주로 55세에서 60세 사이에 발병하며,[25][31][3][9] 50세 이상에서 더 자주 발생하는 경향이 있는 비교적 드문 질환이다.[22]
6. 예후
참조
[1]
웹사이트
Sézary syndrome
https://ghr.nlm.nih.[...]
[2]
문서
Sézary's cell
[3]
논문
Mycosis fungoidses/Sezary's syndrome
http://atlasgenetics[...]
2008-02-15
[4]
논문
Recurring Structural Chromosome Abnormalities in Peripheral Blood Lymphocytes of Patients With Mycosis Fungoides/Sézary Syndrome
http://www.bloodjour[...]
1997-05
[5]
서적
An illustrated guide to Skin Lymphomas
Blackwell Publishing
[6]
서적
Practical Skin Pathology
Springer International Publishing
2015
[7]
웹사이트
Sezary syndrome
https://rarediseases[...]
2018-04-17
[8]
논문
T-Cell Non-Hodgkin Lymphomas: Spectrum of Disease and the Role of Imaging in the Management of Common Subtypes.
2017-01
[9]
웹사이트
Sezary syndrome
http://www.gpnoteboo[...]
2008-02-15
[10]
논문
Plantar keratoderma of Sézary syndrome
[11]
논문
Prevalence and treatment of palmoplantar keratoderma and tinea pedis in patients with Sézary syndrome
2012-10-01
[12]
웹사이트
Diagnosis
http://www.sezary.co[...]
2008-02-15
[13]
서적
Clinician's Guide to Mycosis Fungoides
Springer International Publishing
2017
[14]
웹사이트
Mycosis Fungoides (Including Sézary Syndrome) Treatment
https://www.cancer.g[...]
2017-09-07
[15]
서적
An illustrated guide to Skin Lymphomas
Blackwell Publishing
[16]
웹사이트
Mycosis Fungoides (Including Sézary Syndrome) Treatment
https://www.cancer.g[...]
2017-07-12
[17]
논문
Primary cutaneous T-cell lymphoma (mycosis fungoides and Sézary syndrome): part II. Prognosis, management, and future directions.
2014-02
[18]
논문
Mogamulizumab: first global approval
https://pubmed.ncbi.[...]
2012-06-18
[19]
웹사이트
FDA approves mogamulizumab-kpkc for mycosis fungoides or Sézary syndrome
https://www.fda.gov/[...]
2020-08-04
[20]
URL
https://www.onclive.[...]
[21]
서적
イヤーノート 2015: 内科・外科編
メディック・メディア
[22]
서적
医師国家試験のためのレビューブック マイナー
メディック・メディア
[23]
웹인용
Sézary syndrome
https://ghr.nlm.nih.[...]
[24]
문서
Sézary's cell
[25]
간행물
Mycosis fungoidses/Sezary's syndrome
http://atlasgenetics[...]
2008-02-15
[26]
간행물
Recurring Structural Chromosome Abnormalities in Peripheral Blood Lymphocytes of Patients With Mycosis Fungoides/Sézary Syndrome
http://www.bloodjour[...]
1997-05
[27]
서적
An illustrated guide to Skin Lymphomas
Blackwell Publishing
[28]
서적
Practical Skin Pathology
Springer International Publishing
2015
[29]
웹인용
Sezary syndrome
https://rarediseases[...]
2018-04-17
[30]
간행물
T-Cell Non-Hodgkin Lymphomas: Spectrum of Disease and the Role of Imaging in the Management of Common Subtypes.
2017-01
[31]
웹인용
Sezary syndrome
http://www.gpnoteboo[...]
2008-02-15
[32]
간행물
Plantar keratoderma of Sézary syndrome
[33]
간행물
Prevalence and treatment of palmoplantar keratoderma and tinea pedis in patients with Sézary syndrome
2012-10-01
[34]
웹인용
Diagnosis
http://www.sezary.co[...]
2008-02-15
[35]
서적
Clinician's Guide to Mycosis Fungoides
Springer International Publishing
2017
[36]
웹인용
Mycosis Fungoides (Including Sézary Syndrome) Treatment
https://www.cancer.g[...]
2017-09-07
[37]
서적
An illustrated guide to Skin Lymphomas
Blackwell Publishing
[38]
웹인용
Mycosis Fungoides (Including Sézary Syndrome) Treatment
https://www.cancer.g[...]
2017-07-12
[39]
저널
Primary cutaneous T-cell lymphoma (mycosis fungoides and Sézary syndrome): part II. Prognosis, management, and future directions.
2014-02
[40]
저널
Mogamulizumab: first global approval
https://pubmed.ncbi.[...]
2012-06-18
[41]
웹인용
FDA approves mogamulizumab-kpkc for mycosis fungoides or Sézary syndrome
https://www.fda.gov/[...]
2018-08-08
본 사이트는 AI가 위키백과와 뉴스 기사,정부 간행물,학술 논문등을 바탕으로 정보를 가공하여 제공하는 백과사전형 서비스입니다.
모든 문서는 AI에 의해 자동 생성되며, CC BY-SA 4.0 라이선스에 따라 이용할 수 있습니다.
하지만, 위키백과나 뉴스 기사 자체에 오류, 부정확한 정보, 또는 가짜 뉴스가 포함될 수 있으며, AI는 이러한 내용을 완벽하게 걸러내지 못할 수 있습니다.
따라서 제공되는 정보에 일부 오류나 편향이 있을 수 있으므로, 중요한 정보는 반드시 다른 출처를 통해 교차 검증하시기 바랍니다.
문의하기 : help@durumis.com
