수신증
"오늘의AI위키"의 AI를 통해 더욱 풍부하고 폭넓은 지식 경험을 누리세요.
1. 개요
수신증은 신장, 요관, 방광 사이의 연결 부위의 구조적 이상, 신장 결석, 전립선 비대증 등 다양한 원인으로 인해 신장 내 소변이 제대로 배출되지 못하고 축적되는 질환이다. 수신증은 급성 또는 만성으로 나타나며, 증상은 통증, 메스꺼움, 구토, 요로 감염, 신부전 등 다양하다. 진단은 초음파, CT, MRI 등의 영상 검사, 혈액 및 소변 검사를 통해 이루어지며, 치료는 폐색을 제거하고 소변 배출을 원활하게 하는 데 중점을 둔다. 예후는 원인, 범위, 기존 신장 기능 등에 따라 다르며, 장기간의 수신증은 영구적인 신장 손상을 유발할 수 있다.
더 읽어볼만한 페이지
- 신장학 - 요독증
요독증은 신장 기능 저하로 혈액 내 노폐물이 쌓여 피로, 식욕 부진, 구토, 정신 기능 이상을 일으키며 심할 경우 혼수, 사망에 이르는 증상군으로, 신부전이 주요 원인이며 투석이나 신장 이식으로 치료하고 치과 치료 시 주의가 필요하다. - 신장학 - 신우신염
신우신염은 신장의 신우와 신실질에 발생하는 감염으로, 급성(고열, 배뇨통, 옆구리 통증)과 만성(지속적인 옆구리 통증, 체중 감소)으로 나뉘며, 대장균과 장구균이 주요 원인균이고, 항생제로 치료하며, 요로의 구조적 이상, 당뇨병, 면역 저하 등이 위험 요인이다. - 신장 비뇨기 질환 - 신장염
신장염은 콩팥에 발생한 염증으로, 자가면역질환, 요로감염, 루푸스, 격렬한 운동 등이 원인이 되어 혈뇨, 핍뇨, 요독증, 고혈압 등의 증상을 유발하며, 혈액 검사, X레이, 초음파 등으로 진단하고 원인에 따라 치료한다. - 신장 비뇨기 질환 - 신우신염
신우신염은 신장의 신우와 신실질에 발생하는 감염으로, 급성(고열, 배뇨통, 옆구리 통증)과 만성(지속적인 옆구리 통증, 체중 감소)으로 나뉘며, 대장균과 장구균이 주요 원인균이고, 항생제로 치료하며, 요로의 구조적 이상, 당뇨병, 면역 저하 등이 위험 요인이다.
| 수신증 | |
|---|---|
| 일반 정보 | |
| 질병 명칭 | 수신증 |
| 기타 명칭 | 요관 콩팥증 |
| 영어 명칭 | Hydronephrosis |
| 관련 임상 분야 | 신장학, 비뇨기과학 |
| 임상 정보 | |
| 증상 | 알려진 증상 없음 (경증), 옆구리 통증 (중증), 혈뇨 |
| 합병증 | 신부전 |
| 발병 시기 | 급성 또는 만성 |
| 유형 | 폐쇄성, 비폐쇄성 |
| 원인 | 요로 결석, 선천적 기형, 감염, 종양 |
| 위험 요소 | 요로 결석, 전립선 비대증, 자궁암 |
| 진단 방법 | 신장 초음파, CT 스캔 |
| 감별 진단 | 신우 확장증 |
| 예방 방법 | 충분한 수분 섭취, 요로 감염 예방 |
| 치료 방법 | 원인 제거, 신루 설치술, 요관 스텐트 삽입술 |
| 약물 | 항생제, 진통제 |
| 예후 | 원인 및 치료 시기에 따라 다름 |
| 발생 빈도 | 인구의 약 1% |
2. 원인
수신증은 신장, 요관, 방광 연결 부위의 구조적 이상이나, 신장 결석, 혈전 등 다양한 원인으로 발생할 수 있다. 구조적 이상은 태아 발달 과정에서 발생할 수 있으며, 일부는 유전적 질환으로 확인되었다.[2] 부상, 수술, 방사선 치료 등으로 인해 발생할 수도 있다.
젊은 성인의 경우 신장 결석이 가장 흔한 원인이며, 노인의 경우 전립선 비대증이나 전립선암과 같은 골반강 내 신생물이 주요 원인이다.[3] 이 외에도 후복막 섬유증, 부적절하게 위치된 생리컵 등이 원인이 될 수 있다.[4][5] 폐쇄는 부분적 또는 완전할 수 있으며, 요도 구멍부터 신장 술잔까지 어디에서나 발생할 수 있다.
2. 1. 선천적 요인
어린이에게 나타나는 수신증의 가장 흔한 원인은 해부학적 이상이다. 여기에는 방광요관 역류, 요도 협착, 협착 등이 있다.[2]태아 단계에서 비정상적으로 위치한 정맥, 동맥, 종양 등으로 인해 하나 또는 양쪽 요관이 압박받을 수 있다. 임신 중에는 자궁이 커지면서 요관 양쪽이 눌릴 수 있다. 이 시기에는 호르몬 수치 변화가 방광 근육 수축에 영향을 주어 상태를 더욱 복잡하게 만들 수 있다.[4]
수신증은 방광에서 신장으로 소변이 역류(방광요관 역류)하여 발생하기도 한다. 이러한 역류는 전립선 비대나 직장에 대변이 차는 분변 매복(전립선 바로 뒤에 위치) 외에도, 신경 문제(신경성 방광)나 근육 문제로 방광 배뇨근이 비정상적으로 수축하면서 발생할 수 있다.[6][7]
2. 2. 후천적 요인
수신증은 여러 비정상적인 생리학적 발생의 결과이다. 부상, 수술 또는 방사선 치료에 의해 구조적 이상이 발생할 수 있다.어린이의 수신증의 가장 흔한 원인은 해부학적 이상이다. 여기에는 방광요관 역류, 요도 협착, 협착 등이 있다. 젊은 성인의 수신증의 가장 흔한 원인은 신장 결석이다. 노인의 경우 수신증의 가장 흔한 원인은 전립선 비대증(BPH) 또는 골반강 내의 신생물, 예를 들어 전립선암이다.[3]
하나 또는 양쪽 요관의 압박은 비정상적으로 위치한 정맥, 동맥 또는 종양과 같이 태아 단계에서 완전히 발생하지 않는 다른 발달 결함에 의해서도 발생할 수 있다. 임신 중에는 자궁의 비대로 인해 요관의 양측 압박이 발생할 수 있다. 이 기간 동안의 호르몬 수치 변화는 방광의 근육 수축에도 영향을 미쳐 이 상태를 더욱 복잡하게 만들 수 있다.
다른 다양한 원인에서 발생할 수 있는 폐쇄의 원인으로는 신장 결석, 혈전 또는 후복막 섬유증이 있다.[4] 2019년 검토에 따르면 신장 산통이 있는 수신증 3건이 요관을 누르는 부적절하게 위치된 생리컵에 의해 발생했다. 컵을 제거하자 증상이 사라졌다.[5]
폐쇄는 부분적 또는 완전할 수 있으며, 요도 구멍에서 신장 술잔까지 어디에서나 발생할 수 있다. 수신증은 또한 방광에서 신장으로의 소변 역류(방광요관 역류)로 인해 발생할 수 있으며, 이는 위에 나열된 일부 요인뿐만 아니라 전립선 비대 또는 직장의 분변 매복 (전립선 바로 뒤에 위치)으로 인한 요도로의 방광 출구 폐쇄 압박, 신경 기능 장애(신경성 방광) 또는 기타 근육 질환으로 인한 방광 배뇨근의 비정상적인 수축으로 인해 발생할 수 있다.[6][7]
3. 증상
수신증의 징후와 증상은 급성인지 만성인지, 부분적인지 완전한지, 편측성(한쪽)인지 양측성(양쪽)인지에 따라 다르다. 급성 수신증은 옆구리에 심한 통증을 유발할 수 있는 반면, 만성 수신증은 둔한 불편함이나 통증이 없을 수 있다. 요도나 방광 출구가 막히면 방광 팽창으로 통증과 압력이 발생하고, 소변 흐름이 막히면 요로 감염, 돌, 발열, 혈뇨(피가 섞인 소변), 농뇨(고름 섞인 소변), 신부전(신장 기능 상실) 등이 발생할 수 있다.[1][6]
혈액 검사에서는 신장 기능 저하나 전해질 불균형이 나타날 수 있고, 요 검사에서는 산 배설을 방해하여 상승된 pH가 나타날 수 있다. 마른 환자의 경우, 신체 검사에서 복부나 옆구리 덩어리가 만져질 수 있다.
3. 1. 급성 수신증
수신증의 징후와 증상은 급성인지 만성인지, 부분적인지 완전한지, 편측성인지 양측성인지에 따라 다르다. 갑작스럽게 발생하는 급성 수신증(예: 신장 결석에 의해 발생)은 신산통으로 알려진 옆구리 부위(엉덩이와 갈비뼈 사이)에 심한 통증을 유발할 수 있다. 역사적으로 이 유형의 통증은 "디에틀 위기"로 묘사되어 왔다.[1]반대로 시간이 지남에 따라 점진적으로 발생하는 수신증은 일반적으로 둔한 불편함이나 통증이 없게 된다. 메스꺼움과 구토가 발생할 수도 있다. 요도나 방광 출구에서 발생하는 폐쇄는 방광 팽창으로 인한 통증과 압력을 유발할 수 있다. 소변 흐름을 막으면 일반적으로 요로 감염에 걸리기 쉬워져 돌, 발열, 혈뇨 또는 농뇨가 더 진행될 수 있다. 완전한 폐쇄가 발생하면 신부전(폐쇄성 신병증)이 뒤따를 수 있다.[6]
3. 2. 만성 수신증
만성 수신증은 시간이 지남에 따라 점진적으로 발생하며, 둔한 불편함이나 통증이 없을 수 있다. 메스꺼움과 구토가 발생할 수도 있다. 요도나 방광 출구의 폐쇄는 방광 팽창으로 인한 통증과 압력을 유발할 수 있다. 소변 흐름이 막히면 요로 감염에 걸리기 쉬워져 돌, 발열, 혈뇨 또는 농뇨가 생길 수 있다. 완전한 폐쇄가 발생하면 신부전(폐쇄성 신병증)이 발생할 수 있다.[6]혈액 검사에서는 신장 기능 저하(상승된 요소 또는 크레아티닌) 또는 저나트륨혈증이나 고염소혈증성 산증과 같은 전해질 불균형이 나타날 수 있다. 요 검사는 영향을 받은 신장 내 네프론의 이차적인 파괴로 인해 상승된 pH를 나타낼 수 있는데, 이는 산 배설을 손상시킨다. 마른 환자의 신체 검사에서는 비대해진 신장으로 인한 촉진 가능한 복부 또는 옆구리 덩어리가 감지될 수 있다.
4. 병태 생리
수신증은 콩팥깔때기 이전의 소변 폐쇄로 인해 발생한다. 폐쇄는 신원 세관의 팽창과 콩팥 내부 세관 내벽의 평탄화를 유발하여 콩팥잔의 부종을 유발한다.[3]
수신증은 급성 또는 만성일 수 있다. 급성 수신증의 경우 콩팥 기능이 완전히 회복된다. 그러나 만성 수신증의 경우, 폐쇄가 제거된 후에도 콩팥 기능의 영구적인 손실이 나타난다.[3]
상부 요로의 어느 곳에서나 발생하는 폐쇄는 콩팥에서 방광으로 소변을 통과시킬 수 없어 콩팥 구조 내의 압력을 증가시킨다. 상부 요로 폐쇄의 일반적인 원인으로는 폐쇄성 결석과 요관골반 이음부 (UPJ) 폐쇄(요관의 본질적인 협착 또는 겹쳐진 혈관에 의해 발생)가 있다.
하부 요로에서 발생하는 폐쇄는 소변의 콩팥 역류를 통해 이와 같은 압력 증가를 유발할 수도 있다. 일반적인 원인으로는 방광 기능 장애(예: 신경성 방광) 및 요도 폐쇄(예: 남성 유아의 후부 요도 판막) 또는 압박(예: 노년 남성 성인의 양성 전립선 비대증으로 인한)이 있다.
임신 중에는 자궁의 우회전(오른쪽 회전)으로 인해 오른쪽 요관이 압박되어 수신증이 왼쪽 콩팥보다 오른쪽 콩팥에서 더 흔하게 발생한다. 또한, 에스트로겐, 프로게스테론 및 프로스타글란딘과 같은 호르몬은 요관 확장을 유발하여 요로에 눈에 띄는 폐쇄가 없더라도 수신증을 유발할 수 있다.
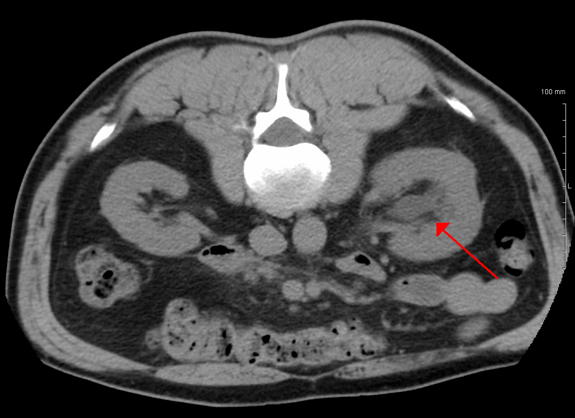
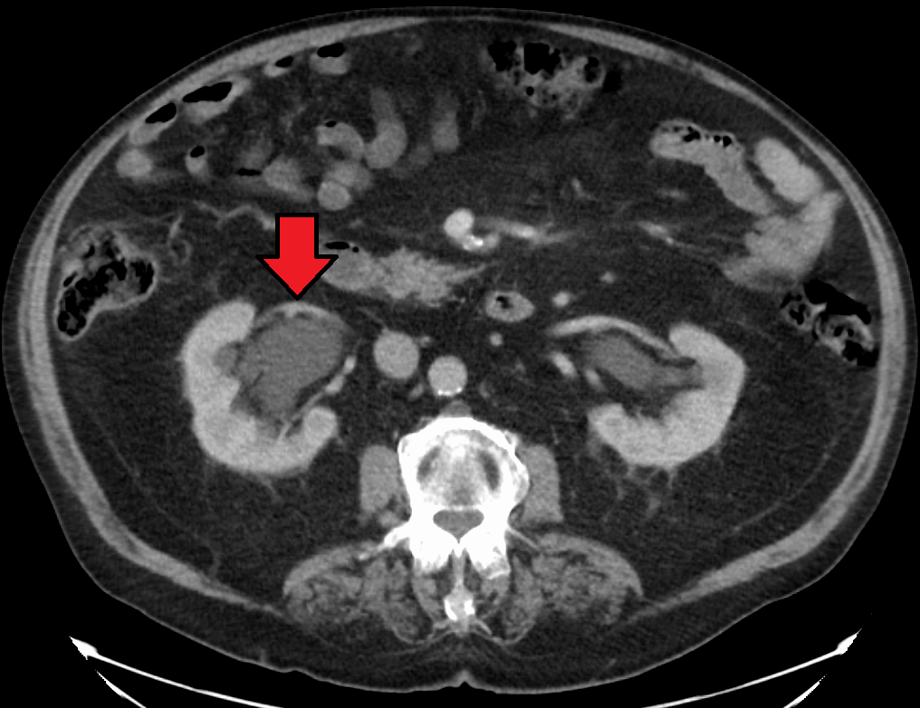
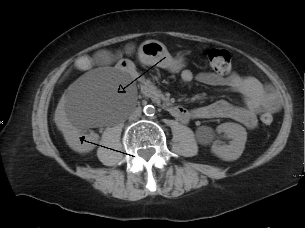
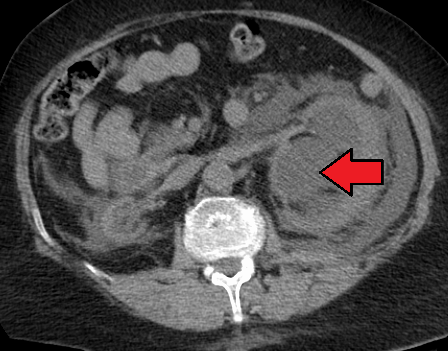
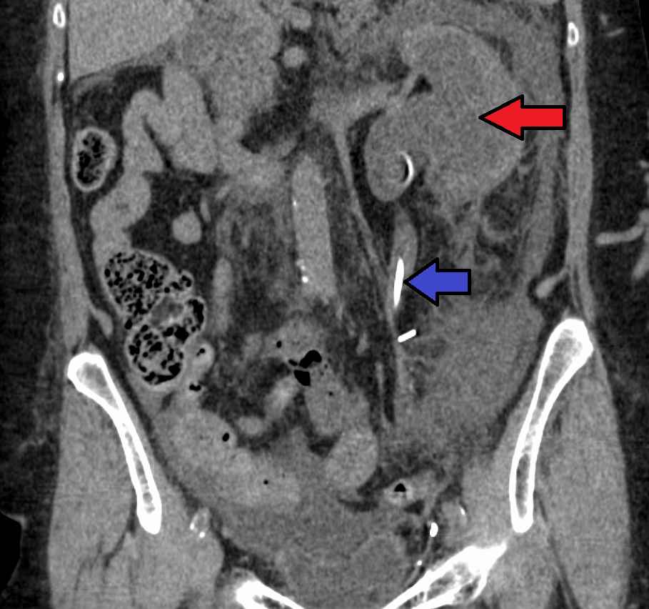
질병을 진단하려면 환자의 병력과 기타 신체 검사 정보를 알아야 한다. 이는 일부 영상 검사를 동반해야 한다. 일반적으로 초음파 검사를 사용하여 환자의 요로, 콩팥 등의 상태를 확인할 수 있다. 또한 CT 스캔과 MRI는 요로 및 폐쇄를 보다 명확하게 보여줄 수 있다.[8]
5. 진단

수신증은 산전 진단이 가능하다.[9] 실제로 소아 환자의 대부분은 임신 중 초음파 검사에서 발견된다.[10] 산전에서 확인된 수신증의 약 절반은 일시적이며, 유아가 태어날 때까지 해결되고, 다른 15%는 수신증이 지속되지만 요로 폐쇄와 관련이 없다. 이러한 어린이의 경우 수신증은 3세까지 자연적으로 사라진다. 그러나 산전 수신증의 나머지 35%에서는 출생 후 병리학적 상태를 확인할 수 있다.[11]
진단 검사는 환자의 나이, 수신증 발견 시기(우연 또는 산전), 증상 동반 여부에 따라 달라진다. 혈액 검사(크레아티닌 측정 등)가 일반적이지만, 한쪽 신장이 막혀도 다른 신장이 보상하여 전반적인 신장 기능은 정상일 수 있으므로 해석에 주의해야 한다. 소변 검사로 혈뇨(신장 결석의 흔한 증상)나 감염 징후를 확인한다. 세뇨관 손상으로 인해 소변 농축 능력 저하나 소변 pH 상승이 나타날 수도 있다.
정맥 신우 조영술(IVU), 신장 초음파 검사, CT, MRI 등의 영상 검사도 중요하다. 초음파 검사는 요관과 신장을 시각화하고 수신증 및 수뇨관증 유무를 확인하는 데 유용하며, IVU는 막힘의 해부학적 위치 평가에 유용하다. 순행 또는 역행 신우 조영술은 IVU와 유사한 소견을 보이면서 치료 옵션도 제공한다. 실시간 초음파와 도플러 초음파 검사는 혈관 저항 검사와 함께 폐색이 요로 기능에 미치는 영향을 파악하는 데 도움이 된다.[12]
폐색 위치는 위트커 검사(압력 관류 검사)로 확인할 수 있다. 이 검사는 신장에 액체를 고압으로 주입하면서 신우 내 압력을 측정한다. 22cmH2O 이상의 압력 상승은 요로 폐색을 시사한다. 방광 압력은 초기 내부 압력 값에서 뺀다.[12] 케이는 치료받지 않은 자궁 내 수신증 신생아는 출생 후 이틀 이내에 신장 초음파 검사를 받아야 한다고 권고한다. 신우가 12mm보다 크면 비정상으로 간주하며, 심각한 확장, 폐색, 요로 이상을 시사한다.[12]
신 산통(소변에 혈흔이 섞인 옆구리 통증)의 초기 검사는 나선형 또는 헬리컬 CT 스캔이다. 이는 소변 흐름 폐색 여부와 다른 신장 기능도 보여준다. CT는 대부분의 결석을 확인할 수 있어 초기 검사로 흔히 선택되지만, 임신과 같이 방사선 노출을 피해야 하는 경우에는 사용하지 않는다.[13][14] 우연히 발견된 산전 수신증의 경우, 첫 검사는 산후 신장 초음파 검사다. 산전 수신증의 많은 사례가 자연적으로 해결되기 때문이다. 출생 후 며칠 이내에 시행하지만, 너무 이른 검사는 경미한 수신증을 놓칠 수 있어 4~6주 후 추적 초음파 검사를 권장하기도 한다.[15] 배뇨 방광 요도 조영술(VCUG)은 방광 요관 역류나 후부 요도 판막 같은 해부학적 이상을 배제하기 위해 시행된다. 수신증이 심각하고 요관 신우 접합부(UPJ) 또는 요관 방광 접합부(UVJ) 폐색이 의심되면, MAG-3 스캔과 같은 핵 영상 검사가 필요하다.[13]

5. 1. 수신증 등급 (SFU 분류)

태아 초음파 학회(SFU)는 수신증에 대한 등급 분류 체계를 개발했는데, 처음에는 신생아 및 영아 수신증에 사용하기 위한 것이었지만, 현재는 성인의 수신증을 등급 분류하는 데에도 사용된다.[17]
- 0단계 – 신우 확장 없음. 이는 태아의 경우 임신 주수 32주까지는 전후경 4mm 미만, 그 이후에는 7mm 미만을 의미한다.[18] 성인의 경우 신우 확장에 대한 절사값은 출처에 따라 다르게 정의되어 있으며, 전후경은 10~20mm 사이이다.[19] 정상적인 건강한 성인의 약 13%는 가로 신우 직경이 10mm 이상이다.[20]
- 1단계 (경증) – 경미한 신우 확장(태아의 경우 전후경 10mm 미만[18]), 신배 확장이나 실질 위축 없음
- 2단계 (경증) – 중등도 신우 확장(태아의 경우 10mm~15mm[18]), 몇 개의 신배 포함
- 3단계 (중등도) – 모든 신배가 균일하게 확장된 신우 확장. 정상 신장 실질
- 4단계 (중증) – 3단계와 같지만 신장 실질이 얇아짐
6. 치료


수신증 치료는 막힌 곳을 제거하고, 막힌 곳 뒤에 쌓인 소변을 배출하는 데 중점을 둔다.[14] 따라서 구체적인 치료법은 막힌 위치에 따라 달라진다.
상부 요로의 급성 폐색은 일반적으로 신루 튜브 삽입으로 치료한다. 만성 상부 요로 폐색은 요관 스텐트 또는 신우 성형술 삽입으로 치료한다.[13]
하부 요로 폐색(예: 양성 전립선 비대증에 의한 방광 유출 폐색)은 일반적으로 요도 카테터 또는 치골상부 카테터 삽입으로 치료한다. 모든 산전 발견 사례에 수술이 필요한 것은 아니다.[21]
7. 예후
수신증의 예후는 매우 다양하며, 다음과 같은 요인에 따라 달라진다.
- 수신증을 유발하는 상태
- 한쪽(단측성) 또는 양쪽(양측성) 신장 모두가 영향을 받는지 여부
- 기존 신장 기능
- 수신증의 기간(급성 또는 만성)
- 수신증이 발달 중인 신장 또는 성숙한 신장에서 발생했는지 여부
신장 조직 압박 및 허혈로 인한 장기간의 수신증은 영구적인 신장 손상을 유발할 수 있다.
예를 들어, 막힌 결석으로 인한 단측성 수신증은 결석이 배출되면 해결될 가능성이 높으며 회복 가능성은 매우 좋다. 반대로, 심각한 양측성 산전 수신증(예: 후부 요도 판막)은 장기적인 예후가 좋지 않을 가능성이 높은데, 이는 신장이 발달하는 동안의 폐쇄가 출생 후 폐쇄가 해소되더라도 영구적인 신장 손상을 유발하기 때문이다.
수신증은 비뇨기과적 응급 상황인 신농증의 원인이 될 수 있다.
참조
[1]
논문
Dietl's crisis: a syndrome of episodic abdominal pain of urologic origin that may present to a gastroenterologist
1997-12
[2]
논문
Congenital anomalies of kidney and urinary tract
2010-07
[3]
서적
Pathophysiology: Introductory Concepts and Clinical Perspectives
[4]
논문
Idiopathic retroperitoneal fibrosis with bilateral lower ureteric obstruction--a case report with literature review
1998-09
[5]
논문
Menstrual cup use, leakage, acceptability, safety, and availability: a systematic review and meta-analysis
2019-08-01
[6]
웹사이트
Hydronephrosis: Merck Manuals Home Health Handbook
http://www.merckmanu[...]
Merck and Co., Inc.
2009
[7]
웹사이트
tract and obstructions
https://www.healthpl[...]
Dipankar Mondal
2024-07-13
[8]
논문
Urologic issues during pregnancy
2004-06
[9]
논문
Prenatal hydronephrosis: early evaluation
2008-07
[10]
논문
Postnatal management of antenatal hydronephrosis
2002-01
[11]
논문
Question from the clinician: management of prenatal hydronephrosis
2011-12
[12]
문서
Evaluation of Hydronephrosis in Children
Hanley & Belfus
[13]
웹사이트
Hydronephrosis
https://www.nhs.uk/c[...]
2018-04-03
[14]
웹사이트
Hydronephrosis
https://www.lecturio[...]
[15]
논문
Postnatal management of infants with antenatally detected hydronephrosis
2005-09
[16]
웹사이트
UOTW #10 - Ultrasound of the Week
https://www.ultrasou[...]
2014-07-22
[17]
웹사이트
Overview of fetal hydronephrosis. Version Version 29.0
https://www.uptodate[...]
[18]
서적
Donald School Basic Textbook of Ultrasound in Obstetrics & Gynecology
JP Medical Ltd
[19]
서적
Emergency Ultrasound Made Easy
Elsevier Health Sciences
[20]
논문
Sonographic evaluation of renal appearance in 665 adult volunteers. Correlation with age and obesity
1993-09
[21]
논문
Treatment and outcome of prenatally detected newborn hydronephrosis
2007-12
[22]
서적
Oxford Handbook of Clinical Medicine
Oxford University Press
[23]
웹사이트
용어의 정의와 개념
https://www.jspm.ne.[...]
본 사이트는 AI가 위키백과와 뉴스 기사,정부 간행물,학술 논문등을 바탕으로 정보를 가공하여 제공하는 백과사전형 서비스입니다.
모든 문서는 AI에 의해 자동 생성되며, CC BY-SA 4.0 라이선스에 따라 이용할 수 있습니다.
하지만, 위키백과나 뉴스 기사 자체에 오류, 부정확한 정보, 또는 가짜 뉴스가 포함될 수 있으며, AI는 이러한 내용을 완벽하게 걸러내지 못할 수 있습니다.
따라서 제공되는 정보에 일부 오류나 편향이 있을 수 있으므로, 중요한 정보는 반드시 다른 출처를 통해 교차 검증하시기 바랍니다.
문의하기 : help@durumis.com