식도이완불능증
"오늘의AI위키"의 AI를 통해 더욱 풍부하고 폭넓은 지식 경험을 누리세요.
1. 개요
식도이완불능증은 식도의 연동 운동 장애로 음식물이 위로 제대로 내려가지 못하는 질환이다. 원인은 하부식도괄약근의 문제로 알려져 있지만, 정확한 기전은 밝혀지지 않았다. 주요 증상으로는 삼킴 곤란, 음식 역류, 흉통, 체중 감소 등이 나타나며, 진단은 바륨 연하 검사, 식도 압력 검사, 내시경 검사 등을 통해 이루어진다. 치료는 약물, 보톡스 주사, 식도 풍선 확장술, 헬러 근절개술, 경구 내시경 근절개술(POEM) 등이 있으며, 말기에는 식도절제술이 필요할 수 있다. 발병률은 인구에 따라 다르며, 30~50대 성인에게 주로 나타난다.
더 읽어볼만한 페이지
2. 원인
대부분의 식도이완불능증 원인은 알려져 있지 않다.[19] 하부식도괄약근(LES)의 압력과 이완은 흥분성 신경전달물질(예: 아세틸콜린, 물질 P)과 억제성 신경전달물질(예: 산화 질소, 혈관활성 장 펩타이드)에 의해 조절된다. 식도이완불능증 환자는 노르아드레날린성, 비콜린성, 억제성 신경절 세포가 부족하여 흥분성 및 억제성 신경전달의 불균형을 초래한다. 그 결과 고혈압성 비이완 식도 괄약근이 된다.[20]
연하곤란(삼킴 곤란), 소화되지 않은 음식의 역류, 흉골 뒤쪽의 흉통, 체중 감소가 식도이완불능증의 주요 증상이다.[11] 연하곤란은 시간이 지남에 따라 점차 악화되는 경향이 있으며 액체와 고형식 모두에 영향을 미친다. 일부 환자는 수평 자세에서 기침을 하기도 한다.
부검 및 근절개 표본의 조직학적 검사 결과, CD3/CD8 양성 세포독성 T 림프구, 다양한 수의 호산구 및 비만 세포, 신경절 세포 소실, 신경섬유증으로 구성된 염증 반응이 나타났다. 이러한 현상은 식도이완불능증 초기에 발생하는 것으로 보인다. 따라서 바이러스 유발 요인에 의해 유발될 가능성이 높은 식도이완불능증에 자가면역적 맥락이 있는 것으로 보인다. 다른 연구에서는 유전, 신경퇴행성, 유전적 및 감염성 기여를 시사한다.[21] 식도 평활근 부위에 있는 벽 내의 아우어바흐 신경총 내 신경절 세포 변성으로 인해 식도 위 접합부가 이완 부전을 일으켜 수축된 채로 유지되어 식도가 확장되는 것으로 여겨지고 있다. 신경 세포 변성 원인은 명확하지 않으며, 신경 변성 질환이라는 보고와 바이러스가 관여하고 있다는 보고 등이 있다.
3. 증상
가슴 통증은 심장 연축 및 비심장성 흉통으로도 알려져 있으며, 종종 심장 마비로 오인될 수 있다. 심한 경우 극심한 통증을 유발할 수 있다. 타액을 포함한 음식과 액체가 식도에 남아 흡인될 수 있다.
치료하지 않은 중기의 식도이완불능증은 거의 모든 음식이나 액체의 통과를 완전히 막을 수 있는데, 이는 삼킨 물체의 표면적이 클수록 하부 식도 괄약근(LES/LOS)을 통과하기 더 어렵기 때문이다. 이러한 단계에서 음식을 삼키면 음식이 식도에 완전히 남아 축적되어 거대 식도라고 알려진 현상으로 식도를 극도로 팽창시킨다. 충분한 음식이 축적되면, 메스꺼움을 동반하지는 않지만, 식도에 축적된 것을 토해내야 할 강렬하고 때로는 조절할 수 없는 필요성이 유발되며, 식도벽의 과도한 팽창으로 인해 힘들이지 않고 쉽게 배출된다. 이 주기는 실질적으로 소량의 음식만이 소장에 도달하여 영양분이 혈류로 흡수되도록 하기 때문에, 점진적인 체중 감소, 식욕 부진, 결국 기아로 이어질 수 있다.
식도이완불능증의 특징적인 증상은 다음과 같다.
4. 진단

식도이완불능증은 증상이 위식도 역류 질환, 식도열공 헤르니아, 심지어 정신신체적 장애와 같은 더 흔한 질환과 유사하여 오진될 수 있다.[28]
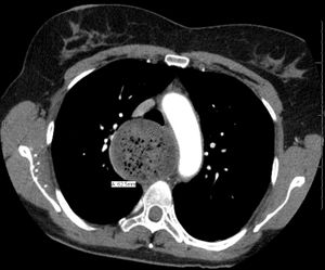
바륨 연하 검사와 식도 압력 검사는 식도이완불능증 진단에 사용되는 특정 검사이다. 내시경 검사를 통해 식도, 위, 십이지장(위식도 십이지장 내시경 검사)을 시행하거나, 내시경 초음파를 함께 시행하여 암의 가능성을 배제한다.[28] 일반적으로 식도 내부는 내시경 검사에서 정상으로 보이지만, 이완되지 않는 하부 식도 괄약근을 통과할 때 "팝" 소리가 날 수 있으며, 하부 식도 괄약근 위에 음식물 찌꺼기가 발견될 수 있다.
투시검사 (X-선 촬영)를 통해 환자가 바륨 용액을 삼키면서 식도를 따라 액체가 흐르는 것을 관찰한다. 식도의 정상적인 연동 운동은 관찰되지 않는다. 하부 식도 괄약근에서 급격하게 좁아지는 "새 부리" 또는 "쥐 꼬리" 모양이 위식도 접합부의 협착으로 인해 나타난다. 협착 부위 위의 식도는 시간이 지남에 따라 점차 늘어나면서 다양한 정도로 식도 확장이 나타나는 경우가 많다.[28] 연동 운동이 없기 때문에 바륨 기둥 위에 공기-액체 경계면이 자주 관찰된다. 5분 동안의 바륨 삼킴 검사는 치료 효과를 측정하는 데 유용할 수 있다.
압력 측정법 (식도 운동성 검사)은 민감도 때문에 진단을 확립하는 핵심 검사로 여겨진다. 코를 통해 카테터 (얇은 튜브)를 삽입하고, 환자는 여러 번 삼키도록 지시받는다. 이 프로브는 삼키는 동안 식도의 여러 부분에서 근육 수축을 측정한다. 압력 측정법은 삼킴 시 하부 식도 괄약근(LES)의 이완 실패와 평활근 식도에서 기능적 연동 운동의 부재를 보여준다.[28]
특징적인 압력 측정 결과는 다음과 같다:
- 젖은 삼킴 시 하부 식도 괄약근(LES)의 이완 실패(75% 미만 이완)
- 하부 식도 괄약근(LES)의 압력 26mm Hg는 정상, 100mm Hg 이상은 식도이완불능증, 200mm Hg 이상은 호두까기 식도 이완불능증으로 간주된다.
- 식도 체부의 비연동 운동
- 위내 압력과 비교하여 상대적인 식도 내 압력 증가
생검은 내시경 검사 중 조직 샘플을 채취하는 것으로, 일반적으로 식도 이완불능증에서 필요하지 않지만, 시행 시에는 비대해진 근육과 식도의 연동 운동을 조절하는 신경 섬유 네트워크인 장간신경총의 특정 신경 세포의 부재가 나타난다.[22] 생검만으로는 식도 이완불능증을 진단할 수 없다.[23]
아칼라지아가 의심되는 경우, 문진 외에 일반적으로 다음과 같은 진단 방법이 사용된다.
- 식도 내·구강 내 pH 검사: 아칼라지아는 위액의 역류가 없는 것이 특징이며, 외형적인 증상과 달리 식도 내 및 구강 내 pH는 정상치가 된다.
- 식도 내시경 검사: 아칼라지아는 운동 장애이기 때문에 초기~중기 단계에서는 내시경으로 이상이 발견되지 않는 것이 특징이다. 증상이 심해지면 식도의 확장, 이상 굴곡이 발생하고, 더욱 악화되면 궤양, 종양, 식도암이 병발될 수 있다.
- 식도 조영술 (소화관 투시): 희석한 바륨이 식도를 통과하는 모습을 관찰하여 증상을 판단한다. 전형적으로는 분문부가 협착되고, 그보다 입쪽에 있는 식도가 확장되어 "새 부리 모양"을 나타낸다. 그러나 초기 증상에서는 액체의 통과 장애가 보이기 어려워 진단이 어려운 경우도 있다.
- 식도 내압 측정: 카테터를 식도 내에 넣고 내압을 측정하여 하부 식도 괄약근의 이완 부전으로 인한 하부 식도 괄약근압의 상승 및 식도 연동 운동파의 소실을 확인한다.
5. 치료
식도이완불능증은 완치가 어렵지만, 증상 완화를 위해 여러 치료법을 시행한다. 환자는 천천히 먹고, 음식을 잘 씹으며, 식사 중 물을 충분히 마시고, 취침 전 식사를 피하는 것이 좋다. 침대 머리를 높이거나 쐐기형 베개를 사용하면 중력으로 식도 배출에 도움이 된다.[26]
약물 치료에는 칼슘 채널 차단제(니페디핀[24] 등)와 질산염(이소소르비드 질산염, 니트로글리세린 등)이 있다. 이 약물들은 하부 식도 괄약근(LES) 압력을 낮추는 데 효과적이다. 그러나 두통, 다리 부종 등의 부작용이 있을 수 있고, 장기 복용 시 효과가 감소할 수 있다.[27] 보툴리눔 독소(보톡스) 주사는 하부 식도 괄약근을 일시적으로 마비시키지만, 약 6개월 후 효과가 사라지고 흉터를 유발하여 헬러 근절개술을 어렵게 할 수 있다.[28]
식도 풍선 확장술은 풍선을 이용하여 하부 식도 괄약근을 늘리고 찢는 시술이다. 천공 위험이 있지만, 40세 이상 환자에게 장기적으로 효과적이다.[30] 반복 시술이 필요할 수 있으며, 실패 시 헬러 근절개술을 고려할 수 있다.
헬러 근절개술은 하부 식도 괄약근과 위 분문부 근육을 절개하는 수술이다. 일반적으로 복강경을 이용하며, 90%의 환자에게 효과적이다.[31] 과도한 역류를 막기 위해 니센 위저부 주름 성형술 또는 도르 위저부 주름 성형술을 추가할 수 있다.[34]
경구 내시경 근절개술(POEM)은 내시경을 이용하여 식도 점막 안쪽 근육층을 절개하는 최소 침습 수술이다.[35] 환자 몸에 흉터가 남지 않으며, 회복이 빠르다.[36]
말기 식도이완불능증은 심하게 확장되고 뒤틀린 식도를 특징으로 한다.[12] 이전에 치료를 받았음에도 불구하고 증상이 재발하고 영양 상태가 악화된 환자에게는 식도절제술이 필요할 수 있다.[13][14][15] 
치료 후에도 연하 기능이 악화될 수 있으므로, 정기적인 검사(바륨 연하 검사, pH 검사, 내시경 검사)가 필요하다.
6. 경과/합병증
식도이완불능증은 시간이 지남에 따라 점차 악화되는 경향이 있으며, 치료하지 않으면 여러 합병증을 유발할 수 있다. 주요 합병증은 다음과 같다.
- 거대식도: 음식이 식도에 계속 쌓이면서 식도가 크게 늘어나는 현상이다.[11] 이로 인해 메스꺼움 없이도 식도에 쌓인 음식물을 토해내게 되며, 심한 경우 식도벽이 과도하게 팽창하여 쉽게 배출된다.[11]
- 영양실조, 기아: 식도이완불능증이 중기로 진행되면 음식물 섭취가 어려워져 영양분이 혈류로 흡수되지 못하고, 점진적인 체중 감소, 식욕 부진, 기아, 사망으로 이어질 수 있다.[11]
- 폐 흡인: 식도에 남은 음식물과 타액이 폐로 흡인될 수 있다.[11]
- 식도암: 말기에는 심하게 확장되고 뒤틀린 식도를 특징으로 하며, 식도절제술이 필요할 수 있다.[12]
식도이완불능증의 치료 방법 중 하나인 식도 풍선 확장술은 풍선을 이용하여 하부 식도 괄약근을 늘리고 찢는 방법이다. 이 시술은 식도 천공의 위험이 있으며, 흉터를 유발하여 추후 할러 근절개술을 어렵게 할 수 있다.[30] 또한, 많은 환자에서 위식도 역류질환이 발생할 수 있다.[30]
7. 역학
식도이완불능증의 발병률은 일부 인구 집단에서 10만 명당 약 1.6명으로 증가했다.[46] 주로 30대에서 50대 사이에 발병한다.[46]
일본에서의 발병률은 10만 명당 1명 정도로 알려져 있지만, 잠재적인 발병률은 이보다 더 높을 것으로 생각된다. 실제로 식도이완불능증 분야는 소화기내과보다 소화기외과에서 발전해 왔으며, 증상으로 인해 소화기내과에서 진찰받는 경우가 대부분이지만, 증상이 특정되지 않거나 오진된 채 증상이 악화되어 식도암 등으로 이어지는 경우, 식도이완불능증이라는 초기 원인이 간과되는 사례가 적지 않다.
일본인에 비해 서양인의 발병률이 더 높으며, 일반적으로 식생활의 차이가 원인일 것으로 추측된다. 일본에서 식도이완불능증의 발병 건수가 증가하고 있다는 보고도 있는데, 이것 또한 일본인의 식생활이 서구화되고 있다는 것이 원인일 것이라는 추측의 근거 중 하나가 되고 있다.
8. 역사
- 1672년, 왕립 학회의 창립자 중 한 명인 영국 의사 토마스 경 윌리스는 현재 식도이완불능증으로 알려진 질환을 처음으로 기술하고, 고래뼈에 부착된 해면을 사용한 확장술로 이 문제를 치료했다.
- 1881년, 독일계 폴란드-오스트리아 의사 요한 프라이헤르 폰 미쿨리츠-라데키는 이 질병을 분문연축으로 묘사하고, 이것이 기계적인 문제라기보다는 기능적인 문제라고 생각했다.
- 1913년, 에르네스트 헬러는 자신의 이름을 딴 헬러 근절개술로 알려진 식도근절개술을 처음으로 성공적으로 시행했다.[39]
- 1929년, 허트와 레이크라는 두 의사는 이 문제가 하부 식도 괄약근의 이완 불능으로 인해 발생한다는 것을 알아내고, 이 질병을 "이완 불능"을 의미하는 식도이완불능증으로 명명했다.
- 1937년, F.C. 렌드람은 1929년 허트와 레이크의 결론을 확인하고, "분문연축" 대신 "식도이완불능증"이라는 용어의 사용을 지지했다.
- 1991년, 시미와 그의 동료들은 영국에서 최초의 복강경 헬러 근절개술을 시행했다.
- 1994년, 파리차 등은 하부 식도 괄약근 압력을 줄이는 방법으로 보톡스를 도입했다.[44]
- 2008년, 식도이완불능증을 외과적으로 치료하는 가장 새로운 방법인 경구 내시경 근절개술이 일본 도쿄의 H. 이노우에에 의해 고안되었다.[45] 이 방법은 현재 미국과 같은 많은 국가에서 실험적인 것으로 간주된다.
참조
[1]
웹사이트
ACHALASIA | Meaning & Definition for UK English | Lexico.com
https://web.archive.[...]
[2]
논문
Frequency and clinical characteristics of special types of achalasia in Japan: A large-scale, multicenter database study
2021-10
[3]
논문
An international study of mortality from achalasia
1988-04
[4]
웹사이트
Achalasia
https://rarediseases[...]
[5]
논문
Etiology and pathogenesis of achalasia: the current understanding
2005-06
[6]
논문
Classification of oesophageal motility abnormalities
2001-07
[7]
논문
AGA technical review on the clinical use of esophageal manometry
2005-01
[8]
논문
Achalasia: a systematic review
2015-05
[9]
논문
Achalasia: update on the disease and its treatment
2010-08
[10]
논문
Achalasia: will genetic studies provide insights?
2010-10
[11]
논문
Achalasia
2008-09
[12]
논문
Oesophagectomy in the management of end-stage achalasia – case reports and a review of the literature
2011-01-01
[13]
논문
Esophagectomy with gastric reconstruction for achalasia
1999-06
[14]
논문
Esophagectomy for end stage achalasia
2007-09
[15]
논문
Diagnostic criteria and surgical procedure for megaesophagus--a personal experience
2009-06
[16]
논문
Esophagectomy for achalasia: patient selection and clinical experience
2001-09
[17]
논문
Esophageal resection for achalasia: indications and results
1989-03
[18]
논문
Vagal-sparing esophagectomy: a more physiologic alternative
2002-09
[19]
논문
Current approach to the treatment of achalasia
2011-06
[20]
EMedicine
Achalasia
[21]
논문
2011 update on esophageal achalasia
2012-04
[22]
서적
Rubin's Pathology – clinicopathological foundations of medicine
Lippincott Williams & Wilkins
[23]
논문
Characterization of esophageal inflammation in patients with achalasia. A retrospective immunohistochemical study
2019-03
[24]
논문
Meta-analysis of randomized and controlled treatment trials for achalasia
2009-11
[25]
논문
Pneumatic dilation versus laparoscopic Heller's myotomy for idiopathic achalasia
2011-05
[26]
웹사이트
Barrett's Esophagus and GERD
https://www.news-med[...]
2017-10-10
[27]
웹사이트
Nifedipine
https://www.nhs.uk/m[...]
2018-08-29
[28]
논문
Treating achalasia: from whalebone to laparoscope
1998-08
[29]
논문
Endoscopic pneumatic dilation versus botulinum toxin injection in the management of primary achalasia
2014-12-08
[30]
논문
Review article: the management of achalasia – a comparison of different treatment modalities
2006-09
[31]
논문
Laparoscopic esophageal myotomy for achalasia: factors affecting functional results
2005-10
[32]
논문
100 Consecutive Minimally Invasive Heller Myotomies: Lessons Learned
2002-05
[33]
웹사이트
Achalasia
https://www.lecturio[...]
2020-10-14
[34]
논문
Randomized controlled trial of laparoscopic Heller myotomy plus Dor fundoplication versus Nissen fundoplication for achalasia: long-term results
2008-12
[35]
논문
Peroral endoscopic myotomy (POEM) for esophageal achalasia
2010-04
[36]
논문
Per-Oral Endoscopic Myotomy: A Series of 500 Patients
2015-08
[37]
논문
Per-oral endoscopic myotomy, 1000 cases later: pearls, pitfalls, and practical considerations
2016-08
[38]
논문
Current status of achalasia management: a review on diagnosis and treatment
2017-04
[39]
논문
Heller of the Heller Myotomy
2006-02
[40]
논문
"[A simple operation for control of reflux esophagitis]"
1956-05
[41]
논문
Gastropexy and "fundoplication" in surgical treatment of hiatal hernia
1961-10
[42]
서적
Fundoplication Surgery
[43]
논문
Total or posterior partial fundoplication in the treatment of GERD: results of a randomized trial after 2 decades of follow-up
2011-05
[44]
웹사이트
All About Achalasia
http://achalasia.us/[...]
2021-12-05
[45]
논문
"[Per-oral endoscopic myotomy (POEM) for 43 consecutive cases of esophageal achalasia]"
https://iss.ndl.go.j[...]
2010-09
[46]
논문
Achalasia: a review of clinical diagnosis, epidemiology, treatment and outcomes
2013-09
[47]
웹사이트
First reach for the stars
https://www.theguard[...]
1999-11-20
[48]
뉴스
Zambia: President collapses from dizziness during televised ceremony
https://www.msn.com/[...]
2021-06-14
[49]
논문
Peroral endoscopic myotomy (POEM) for esophageal achalasia
2010-03-30
[50]
논문
現代医学の焦点(336)食道アカラシアに対する経口内視鏡的筋層切開術(POEM)の臨床
https://iss.ndl.go.j[...]
2010
[51]
논문
Frequency and clinical characteristics of special types of achalasia in Japan: A large-scale, multicenter database study
2021-10
[52]
논문
An international study of mortality from achalasia
1988-04
[53]
논문
Achalasia
2008-09
본 사이트는 AI가 위키백과와 뉴스 기사,정부 간행물,학술 논문등을 바탕으로 정보를 가공하여 제공하는 백과사전형 서비스입니다.
모든 문서는 AI에 의해 자동 생성되며, CC BY-SA 4.0 라이선스에 따라 이용할 수 있습니다.
하지만, 위키백과나 뉴스 기사 자체에 오류, 부정확한 정보, 또는 가짜 뉴스가 포함될 수 있으며, AI는 이러한 내용을 완벽하게 걸러내지 못할 수 있습니다.
따라서 제공되는 정보에 일부 오류나 편향이 있을 수 있으므로, 중요한 정보는 반드시 다른 출처를 통해 교차 검증하시기 바랍니다.
문의하기 : help@durumis.com
