켈로이드
"오늘의AI위키"의 AI를 통해 더욱 풍부하고 폭넓은 지식 경험을 누리세요.
1. 개요
켈로이드는 피부 손상 후 비정상적으로 콜라겐이 과다 생성되어 발생하는 흉터의 일종이다. 켈로이드는 '갈고리 발톱'을 의미하는 그리스어에서 유래되었으며, 유전적 요인과 환경적 요인이 복합적으로 작용하여 발생한다. 아시아인, 흑인 등 유색인종에게서 발생 빈도가 높고, 귀, 가슴, 어깨 등 신체 여러 부위에 나타날 수 있다. 통증, 가려움증, 미용상의 문제 등을 유발하며, 수술, 주사, 레이저 치료 등 다양한 치료법이 시도되지만 재발의 위험이 높다.
더 읽어볼만한 페이지
- 방사선이 건강에 미치는 영향 - 피폭자
피폭자는 핵무기 및 방사능 노출로 피해를 입은 사람을 의미하며, 급성 및 만성 방사선 증후군, 유전적 영향, 사회적 차별 등의 문제를 겪을 수 있으며, 여러 국가와 국제기구에서 지원 노력을 기울이고 있다. - 방사선이 건강에 미치는 영향 - 방사선 치료
방사선 치료는 이온화 방사선을 사용하여 암세포를 파괴하거나 암으로 인한 증상을 완화하는 의료 기술로, 근치적 및 완화적 치료를 목적으로 다양한 암종에 적용되며, 고정밀 방사선 치료 기술을 통해 정상 조직 손상을 최소화하지만 피로, 피부 자극 등의 부작용이 발생할 수 있고, 다른 치료법과 병행하여 사용되기도 한다. - 피부 질환 - 류마티스 관절염
류마티스 관절염은 관절 활막의 만성 염증성 질환으로, 조기 진단과 적극적인 치료를 통해 질병 진행을 늦추고 삶의 질을 향상시키는 것이 중요하며, 진단에는 류마티스 인자와 항CCP 항체가 사용되고 메토트렉세이트 등의 약물로 치료한다. - 피부 질환 - 두드러기
두드러기는 피부에 붉은 팽진과 가려움증을 동반하는 질환으로, 다양한 원인에 의해 발생하며 급성 및 만성으로 분류되고, 항히스타민제 등의 치료를 받는다.
| 켈로이드 | |
|---|---|
| 일반 정보 | |
![]() | |
| 분야 | 피부과학 |
| 발병 시기 | 흉터 형성 |
| 세부 정보 | |
| 증상 | 알려진 증상 없음 |
| 합병증 | 알려진 합병증 없음 |
| 지속 기간 | 알려진 지속 기간 없음 |
| 종류 | 알려진 종류 없음 |
| 원인 | 알려진 원인 없음 |
| 위험 요인 | 알려진 위험 요인 없음 |
| 진단 및 치료 | |
| 진단 | 알려진 진단 방법 없음 |
| 감별 진단 | 알려진 감별 진단 없음 |
| 예방 | 알려진 예방 방법 없음 |
| 치료 | 알려진 치료 방법 없음 |
| 약물 | 알려진 약물 없음 |
| 예후 | 알려진 예후 없음 |
| 빈도 | 알려진 빈도 없음 |
| 사망률 | 알려진 사망률 없음 |
2. 명칭
켈로이드는 갈고리 발톱을 의미하는 그리스어에서 유래된 단어로, "새의 갈고리 발톱과 같은" 병변이라는 뜻이다[1]. 일본어 명칭인 '''게족종'''은 게의 다리 모양처럼 돌출되는 켈로이드의 형태 때문에 붙여진 이름이다.
켈로이드는 피부 손상, 염증, 수술, 이물질 등 다양한 환경적 요인에 의해 발생하며, 유전적 소인 또한 영향을 미치는 것으로 알려져 있다. 특히 아시아인, 흑인 등 유색인종에게서 발생 빈도가 높다.
3. 원인 및 발생 부위
켈로이드는 신체 어느 부위에나 발생할 수 있지만, 귀, 가슴, 어깨, 복부, 회음부 등에 흔히 발생한다.[5] 흉골 절개술로 인한 가슴 중앙, 등과 어깨 (대개 여드름으로 인해 발생), 귓불 (귀 피어싱으로 인해 발생)과 같은 부위에서 더 흔하게 나타난다.[5] 신체 피어싱 부위에서도 발생할 수 있으며, 가장 흔한 부위는 귓불, 팔, 골반 부위 및 쇄골 위이다.[5]
특별한 원인 없이 자발적으로 발생하는 켈로이드도 드물게 보고된다.[5] 이러한 경우, 본인도 모르는 작은 외상이나 벌레 물림 등이 원인일 수 있다.
방사선 화상과 같은 광범위한 화상은 비정상적으로 큰 켈로이드를 유발할 수 있으며, 이는 특히 소이탄 공격의 사상자에게 흔하게 나타났으며 히로시마·나가사키 원자 폭탄 투하의 특징적인 증상이었다.
미국에서 켈로이드의 실제 발생률과 유병률은 알려져 있지 않다. Marneros는 2001년 출판물에서 “일반 인구에서 켈로이드의 보고된 발생률은 콩고 민주 공화국의 성인에서 16%로 높게 나타났으며, 잉글랜드에서는 0.09%로 낮게 나타났다”고 밝혔다.[20] 임상 관찰에 따르면 이 질환은 사하라 사막 이남 아프리카인, 아프리카계 미국인 및 아시아인에게서 더 흔하게 나타난다.[22][23]
3. 1. 유전적 요인
켈로이드는 유전적 소인으로 발생하는 경우와 환경적인 원인으로 발생하는 경우가 있다. 유전적인 요인으로는 주로 아시아인, 흑인 등의 유색인종에게 흔히 발생한다고 알려져 있다.[8]
사하라 사막 이남 아프리카, 아시아 또는 라틴 아메리카 출신의 사람들은 켈로이드가 생길 가능성이 더 높다. 아시아의 한족 중 켈로이드는 가장 흔한 피부 질환이다. 미국에서는 켈로이드가 백인보다 아프리카계 미국인과 히스패닉계 미국인에게 더 흔하다. 켈로이드 가족력이 있는 사람들도 켈로이드가 생길 가능성이 있는데, 켈로이드가 생기는 사람의 약 1/3이 켈로이드가 생기는 직계 혈족(어머니, 아버지, 자매, 형제 또는 자녀)을 가지고 있기 때문이다. 이러한 가족적 특징은 아프리카 및/또는 아시아 출신 사람들에게서 가장 흔하게 나타난다.
쌍둥이 사이에서 켈로이드가 발생하는 것 또한 켈로이드 발생에 대한 유전적 감수성의 존재를 뒷받침한다. Marneros 등은 켈로이드가 있는 네 쌍의 일란성 쌍둥이를 보고했으며, Ramakrishnan 등은 예방 접종 후 동시에 켈로이드가 발생한 한 쌍의 쌍둥이를 묘사했다. 사례 연구에서는 켈로이드 가족력이 있고 흑인 아프리카 민족 출신인 사람들에게 임상적으로 심각한 형태의 켈로이드가 보고되었다.[8]
3. 2. 환경적 요인
염증, 외상, 수술, 이물질 등이 켈로이드 발생의 대표적인 환경적 요인이다.[5] 귓불 피어싱, 여드름, 곤충 물림, 화상, 예방 접종 등도 켈로이드 발생과 관련될 수 있다.[5] 특히 한국에서는 귓불 피어싱 후 켈로이드가 발생하는 경우가 많아 주의가 필요하다. 대부분의 피부 손상은 흉터 형성에 기여할 수 있는데, 여기에는 화상, 여드름 흉터, 수두 흉터, 귀 뚫기, 긁힌 상처, 수술 절개 부위 및 예방 접종 부위 등이 포함된다.[5]
미국 국립 생명공학 정보 센터(National Center for Biotechnology Information)에 따르면 켈로이드 흉터는 10세에서 20세 사이의 젊은 사람들에게 흔하게 나타난다. 외상이나 수술 등이 원인이 되어 교원 섬유성 반흔이 종양처럼 증식하는 경우가 일반적이지만, 원인 불명의 켈로이드 병변 발생도 있다. 원인 불명의 경우에는 본인도 눈치채지 못한 작은 외상, 벌레 물린 상처 등이 선행되는 경우가 많다.
4. 증상
켈로이드는 가려움증, 통증, 이상 감각 등을 동반할 수 있다.[3] 관절 부위에 켈로이드가 발생하면 움직임에 제한이 생길 수 있다. 귓불 등 눈에 잘 띄는 부위에 발생하면 외모에 대한 스트레스를 유발할 수 있다.

켈로이드는 흉터 조직 내에서 형성되며, 상처 치유에 사용되는 콜라겐이 과도하게 성장하여 원래 흉터보다 훨씬 큰 덩어리를 생성하기도 한다. 켈로이드의 색상은 분홍색에서 빨간색까지 다양하다.[4]
일반적으로 부상 부위에서 발생하지만, 자연적으로 발생할 수도 있다. 피어싱 부위뿐만 아니라 단순한 여드름이나 긁힌 자국에서도 발생할 수 있으며, 심한 보통 여드름, 수두 흉터, 상처 부위의 감염, 해당 부위의 반복적인 외상, 상처 봉합 중 과도한 피부 긴장 또는 상처 내 이물질 등이 원인이 될 수 있다.
켈로이드는 사춘기부터 장년기에 발생하기 쉽고, 앞가슴, 어깨, 치골 상부 등에 잘 생기며, 머리, 눈꺼풀, 하지의 병변은 드물다. 대부분의 병변에서 압통이나 자발통을 호소하는 경우가 많으며, 최근에는 귓불 피어싱 구멍에 일치하여 생긴 켈로이드가 많이 보인다.
켈로이드의 일반적인 특징은 다음과 같다.
- 자연 치유되지 않는다.
- 건강한 조직으로 퍼진다.
- 상처나 화상 등 직접적인 원인이 없어도 생길 수 있다.
- 잘 생기는 체질이 있다.
5. 임상적 특징
켈로이드는 통증, 가려움증(소양감), 이상 감각을 동반하는 경우가 많다. 관절 부위에 발생하면 움직임에 제한을 줄 수 있으며, 귓불 등 눈에 잘 띄는 얼굴 부위에 발생하면 정신적인 스트레스를 유발할 수 있다.[3] 켈로이드는 바늘 같은 통증이나 가려움을 유발할 수 있으며, 이러한 감각의 정도는 사람마다 다르다.
켈로이드는 흉터 조직 내에서 형성된다. 상처 치유에 사용되는 콜라겐은 이 부위에서 과도하게 성장하는 경향이 있으며, 때로는 원래 흉터보다 훨씬 더 큰 덩어리를 생성한다. 켈로이드의 색상은 분홍색에서 빨간색까지 다양할 수 있다.[4] 일반적으로 부상 부위에서 발생하지만, 켈로이드는 자연적으로 발생할 수도 있다. 켈로이드는 피어싱 부위뿐만 아니라 단순한 여드름이나 긁힌 자국에서도 발생할 수 있다. 심한 보통 여드름, 수두 흉터, 상처 부위의 감염, 해당 부위의 반복적인 외상, 상처 봉합 중 과도한 피부 긴장 또는 상처 내 이물질의 결과로 발생할 수 있다.
대부분의 피부 손상은 흉터 형성에 기여할 수 있는데, 화상, 여드름 흉터, 수두 흉터, 귀 뚫기, 긁힌 상처, 수술 절개 부위 및 예방 접종 부위 등이 이에 해당한다.
미국 국립 생명공학 정보 센터(National Center for Biotechnology Information)에 따르면 켈로이드 흉터는 10세에서 20세 사이의 젊은 사람들에게 흔하게 나타난다. 연구에 따르면 피부 외상을 입은 경우 피부색이 어두운 사람이 켈로이드 흉터가 생길 위험이 더 높다. 켈로이드 흉터는 사하라 이남 아프리카, 아시아 또는 라틴 아메리카 계통의 개인의 15~20%에서 발생하며, 백인 배경을 가진 사람에게서는 훨씬 적게 나타난다. 켈로이드는 유전적 요소를 가질 가능성이 높으며, 부모 중 한 명 또는 양쪽 모두가 켈로이드를 가지고 있다면 켈로이드가 생길 가능성이 더 높다는 것을 의미한다. 그러나 켈로이드 흉터의 원인 인자로 단일 유전자는 아직 확인되지 않았지만, 여러 감수성 유전자좌가 발견되었으며, 특히 15번 염색체에서 두드러지게 나타난다.[5][7]
사하라 사막 이남 아프리카, 아시아 또는 라틴 아메리카 출신의 사람들은 켈로이드가 생길 가능성이 더 높다. 아시아의 한족 중 켈로이드는 가장 흔한 피부 질환이다. 미국에서는 켈로이드가 백인보다 아프리카계 미국인과 히스패닉계 미국인에게 더 흔하다. 켈로이드의 가족력이 있는 사람들도 켈로이드가 생길 가능성이 있는데, 켈로이드가 생기는 사람의 약 1/3이 켈로이드가 생기는 직계 혈족(어머니, 아버지, 자매, 형제 또는 자녀)을 가지고 있기 때문이다. 이러한 가족적 특징은 아프리카 및/또는 아시아 출신 사람들에게서 가장 흔하게 나타난다.
쌍둥이 사이에서 켈로이드가 발생하는 것 또한 켈로이드 발생에 대한 유전적 감수성의 존재를 뒷받침한다. Marneros 등(1)은 켈로이드가 있는 네 쌍의 일란성 쌍둥이를 보고했으며, Ramakrishnan 등[8]은 예방 접종 후 동시에 켈로이드가 발생한 한 쌍의 쌍둥이를 묘사했다. 사례 연구에서는 켈로이드 가족력이 있고 흑인 아프리카 민족 출신인 사람들에게 임상적으로 심각한 형태의 켈로이드가 보고되었다.
켈로이드는 모든 연령대의 사람에게서 발생할 수 있다. 10세 미만의 어린이는 귀를 뚫는 경우에도 켈로이드가 발생할 가능성이 적다. 켈로이드는 또한 가성 모낭염으로 인해 발생할 수 있다. 면도날에 의한 발진이 있는 상태에서 계속 면도하면 발진 부위에 자극, 감염이 발생하고 시간이 지남에 따라 켈로이드가 형성된다. 면도날 발진이 있는 사람들은 제모를 하기 전에 피부가 스스로 회복될 수 있도록 면도를 중단하는 것이 권장된다. 켈로이드 형성 경향은 유전적인 것으로 추정된다.[19] 켈로이드는 피부를 뚫지 않고도 시간이 지남에 따라 성장하는 것처럼 보일 수 있으며, 마치 느린 종양 성장처럼 작용한다. 이러한 경향의 이유는 알려져 있지 않다.
열상 또는 방사선 화상과 같은 광범위한 화상은 비정상적으로 큰 켈로이드를 유발할 수 있으며, 이는 특히 소이탄 공격의 사상자에게 흔하게 나타났으며 히로시마·나가사키 원자 폭탄 투하의 특징적인 증상이었다.
사춘기부터 장년기에 발생하기 쉽다. 구미에서는 백인보다 흑인에게서 더 많이 나타나는 경향이 있다. 앞가슴, 어깨, 치골 상부 등이 호발 부위이며, 머리, 눈꺼풀, 하지의 병변은 드물다. 보통 피부 표면에서 융기된 탄력성이 풍부한 국한성 종괴를 형성한다. 대부분의 병변에서 압통이나 자발통을 호소하는 경우가 많다. 최근에 많이 보이는 것은 귓불의 피어싱 구멍에 일치하여 생긴 켈로이드이다. 미용 목적으로 의료기관(성형외과, 피부과)을 방문하는 경우가 많기 때문에, 조우 빈도가 많을 것으로 추측된다. 일반적인 경향은 다음과 같다.
- 자연 치유가 없다.
- 건강한 조직으로 스며들듯이 퍼진다.
- 상처나 화상 등 직접적인 원인이 없어도 자연적으로 생길 수 있다.
- 잘 생기는 체질이 있다.
켈로이드와 비후성 반흔의 구별은 전문가조차 혼란스러워하는 경우가 있다. 결정적인 지표는 주변 건강 부위로의 퍼짐이며, 켈로이드에서는 주변의 건강한 피부에 발적을 보이는 경우가 많다. 다만 흑인에서는 육안적인 구별이 매우 어렵다.
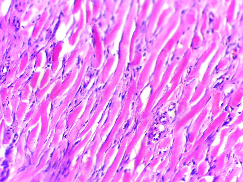
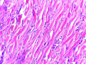
6. 병리조직학적 특징

켈로이드는 조직학적으로 비정형 섬유아세포가 과도하게 세포외 기질 성분, 특히 콜라겐, 피브로넥틴, 엘라스틴, 프로테오글리칸을 침착시켜 특징지어지는 섬유성 종양이다. 일반적으로 켈로이드는 상대적으로 무세포 중심과 병변의 깊은 진피 부분에 결절을 형성하는 두껍고 풍부한 콜라겐 묶음을 포함한다.[9]
진피에서 피하 조직에 걸쳐 유리질의 굵은 콜라겐 섬유 다발이 종횡으로 뒤섞여 증식하는 패턴이 특징적이다. 콜라겐 섬유 다발 사이에는 방추형 섬유아세포가 분포한다. 방추 세포는 면역조직화학적으로 비멘틴 양성이며, 증례에 따라서는 평활근원성 액틴이 양성이어서 근섬유아세포로의 분화를 시사한다. 비후성 반흔과의 감별은 유리질 콜라겐 섬유 다발의 양을 참고하지만, 반드시 감별이 용이한 것은 아니다. 안면 피부에 발생하는 경화성 섬유종(sclerotic fibroma), 안면 섬유성 구진(fibrous papule of the face)과의 감별에 어려움을 겪는 경우도 있어, 임상의로부터의 정보 제공이 정확한 진단에 필수적이다.
7. 치료
켈로이드는 수술, 압박 치료, 스테로이드 주사, 냉동 치료, 방사선 치료, 레이저 치료, 실리콘 겔 시트 요법 등 다양한 방법으로 치료한다. 그러나 단독 치료보다는 여러 치료법을 병행하는 복합 치료가 권장된다.
켈로이드 흉터 발생 가능성이 높은 환자는 불필요한 외상이나 수술(예: 귀 뚫기, 점 제거)을 피하고, 피부 문제(예: 여드름, 감염) 발생 시 조기 치료를 통해 염증을 최소화해야 한다.
병풀 추출물(아시아티코사이드)은 켈로이드 억제 효과가 있는 생약으로 알려져 있다.[26]
7. 1. 수술적 치료
켈로이드 크기가 크거나 다른 치료에 반응하지 않는 경우 수술적 절제를 고려할 수 있다. 하지만 수술만 단독으로 시행할 경우 재발률이 70~100%에 달하며, 재발 시 더 큰 병변이 형성될 수 있다.[5] 따라서 수술 후에는 방사선 치료, 압박 요법, 레이저 절제술 등 다른 치료법을 병행하여 재발률을 낮추는 것이 일반적이다.[5] 특히 귀나 귓불 켈로이드의 경우 수술 후 압박 요법이 효과적인 것으로 알려져 있다.[5]7. 2. 비수술적 치료
켈로이드는 다양한 비수술적 치료 방법이 시도되고 있다. 이러한 치료법들은 켈로이드의 크기를 줄이고 증상을 완화하는 데 도움을 줄 수 있다.- 압박 치료: 켈로이드 부위에 압력을 가하여 흉터를 줄이는 방법이다. 특히 귀나 귓불 켈로이드에 효과가 있는 것으로 알려져 있다.[5]
- 스테로이드 주사: 트리암시놀론 아세토니드(케날로그)와 같은 코르티코스테로이드를 켈로이드 병변 내에 직접 주사하여 섬유아세포 활성, 염증, 소양증을 감소시킨다.[15] 성인의 경우 코르티코스테로이드와 5-FU 및 PDL을 병용한 삼중 요법이 효과를 높이고 부작용을 줄인다.[12]
- 냉동 치료: 극도로 차가운 물질을 이용하여 켈로이드를 치료하는 방법이다. 수행하기 쉽고, 효과적이며 안전하며 재발 가능성이 낮다.[13][14]
- 방사선 치료: 수술 후 방사선 치료나 전자선 치료를 병행하여 켈로이드 재발을 억제한다. ([http://web.sapmed.ac.jp/radiol/guideline/keroid.html 방사선 치료 가이드라인])
- 레이저 치료: 펄스 다이 레이저 등 다양한 레이저를 이용하여 켈로이드를 치료한다. 2022년 체계적 문헌 고찰에서는 레이저 치료의 효과에 대한 충분한 증거를 찾지 못했다.[17]
- 실리콘 겔 시트: 실리콘 겔 시트를 켈로이드 부위에 부착하여 흉터를 관리한다. 2022년 체계적 문헌 고찰에서는 실리콘 겔 시트의 효과에 대한 근거가 부족하다고 보고되었다.[18]
- 기타: 플루오로우라실(5-FU), 인터페론(IFN) 주사, 헤파린 유사 물질 도포, 트라닐라스트 복용, 생약인 병풀 추출물 (아시아티코사이드) 등이 켈로이드 치료에 사용될 수 있다.[26]
하지만, 이러한 치료법들은 단독으로 사용하기보다는 여러 치료법을 병행하는 것이 일반적이다. 켈로이드 치료는 연령에 따라 다르며, 어린이에게는 방사선 치료, 항대사 물질, 코르티코스테로이드는 성장 이상 등의 부작용을 피하기 위해 권장되지 않는다.[12] 티트리 오일, 소금, 기타 국소 오일은 켈로이드에 효과가 없다.[16]
8. 예후
초기 성공적인 치료에도 불구하고 장기간 경과 관찰 시 켈로이드는 재발하는 경우가 흔하다. 1436 케이스를 분석한 연구 결과에 의하면, 재발에 관여하는 인자로 높은 체질량 지수, 이전 치료 경험, 유병 기간 장기화 등을 들 수 있다고 한다.[1]
9. 역사
기원전 1700년경 이집트 외과의들이 켈로이드에 대해 기술하였으며, 외과 기술에 관한 스미스 파피루스에 기록되어 있다. 1806년 장 루이 마르크 알리베르 남작은 켈로이드를 하나의 질환으로 확인하였다.[24] 그는 이를 cancroïde|캉크로이드프랑스어라고 불렀고, 나중에 암과의 혼동을 피하기 위해 chéloïde|켈로이드프랑스어로 이름을 변경했다. 이 단어는 고대 그리스어 χηλή|chelegrc(게의 집게를 의미)와 접미사 '-oid' ('~와 같은'을 의미)에서 유래되었다. 19세기에는 '알리베르 켈로이드'로 알려졌다.[24]
미국 남북 전쟁 시대의 유명한 사진인 "채찍질당한 피터"는 이전 감독관으로부터 수많은 잔혹한 매질을 받아 광범위한 켈로이드 흉터가 생긴 탈출한 노예를 묘사하고 있다.
병변 내 코르티코스테로이드 주사는 1960년대 중반에 흉터를 완화하는 방법으로 치료법으로 도입되었다.[25]
압력 치료는 1970년대부터 켈로이드의 예방 및 치료에 사용되어 왔다.[25]
국소 실리콘 젤 시트는 1980년대 초에 치료법으로 도입되었다.[25]
참조
[1]
서적
Dermatology: 2-Volume Set
Mosby
[2]
학술지
The most current algorithms for the treatment and prevention of hypertrophic scars and keloids
2010-02-01
[3]
학술지
Keloids and hypertrophic scars: A review
2005-07-01
[4]
웹사이트
Keloid Scar: Find Causes, Symptoms, and Removal
http://www.medicinen[...]
2016-02-11
[5]
학술지
Keloids: The paradigm of skin fibrosis - Pathomechanisms and treatment
2016-04-01
[6]
학술지
Epidemiology of keloids in normally pigmented Africans and African people with albinism: population-based cross-sectional survey
2015-09-01
[7]
웹사이트
Keloids
https://www.ncbi.nlm[...]
U.S. National Library of Medicine
2010-10-05
[8]
학술지
Study of 1,000 patients with keloids in South India
1974-03-01
[9]
웹사이트
Keloids
https://www.health.h[...]
2024-08-12
[10]
EMedicine
Wound Healing, Keloids
[11]
학술지
Hypertrophic scarring and keloids: pathomechanisms and current and emerging treatment strategies
[12]
학술지
Up-to-date approach to manage keloids and hypertrophic scars: a useful guide
2014-11-01
[13]
학술지
Outcomes of cryosurgery in keloids and hypertrophic scars. A prospective consecutive trial of case series
1993-09-01
[14]
웹사이트
Keloid Research Foundation
http://www.keloidres[...]
2020-07-13
[15]
학술지
The treatment of keloids with triamcinolone acetonide
1966-09-01
[16]
웹사이트
Keloid Treatment
https://www.txid.org[...]
2018-11-22
[17]
학술지
Laser therapy for treating hypertrophic and keloid scars
2022-09-01
[18]
학술지
Silicone gel sheeting for treating keloid scars
2023-01-01
[19]
학술지
Keloid scarring: understanding the genetic basis, advances, and prospects
2012-05-01
[20]
학술지
Clinical genetics of familial keloids
2001-11-01
[21]
학술지
Heredity of keloids; review of the literature and report of a family with multiple keloids in five generations
1956-02-01
[22]
학술지
Therapy of auricular keloids: review of different treatment modalities and proposal for a therapeutic algorithm
2007-12-01
[23]
학술지
Hypertrophic scarring and keloids: pathomechanisms and current and emerging treatment strategies
[24]
웹사이트
Alibert's disease I
http://www.whonamedi[...]
[25]
학술지
Hypertrophic scarring and keloids: pathomechanisms and current and emerging treatment strategies
Springer Science and Business Media LLC
2010-10-05
[26]
간행물
WHO Monographs on Selected Medicinal Plants - Volume 1 : Herba Centellae
http://apps.who.int/[...]
WHO
본 사이트는 AI가 위키백과와 뉴스 기사,정부 간행물,학술 논문등을 바탕으로 정보를 가공하여 제공하는 백과사전형 서비스입니다.
모든 문서는 AI에 의해 자동 생성되며, CC BY-SA 4.0 라이선스에 따라 이용할 수 있습니다.
하지만, 위키백과나 뉴스 기사 자체에 오류, 부정확한 정보, 또는 가짜 뉴스가 포함될 수 있으며, AI는 이러한 내용을 완벽하게 걸러내지 못할 수 있습니다.
따라서 제공되는 정보에 일부 오류나 편향이 있을 수 있으므로, 중요한 정보는 반드시 다른 출처를 통해 교차 검증하시기 바랍니다.
문의하기 : help@durumis.com
